<?xml version="1.0" encoding="UTF-8"?><rss version="2.0" xmlns:content="http://purl.org/rss/1.0/modules/content/" xmlns:wfw="http://wellformedweb.org/CommentAPI/" xmlns:dc="http://purl.org/dc/elements/1.1/" xmlns:atom="http://www.w3.org/2005/Atom" xmlns:sy="http://purl.org/rss/1.0/modules/syndication/" xmlns:slash="http://purl.org/rss/1.0/modules/slash/">
	<channel>
		<title>Thoát Vị Đĩa Đệm</title>
		<atom:link href="https://chuabenhthoatvidiadem.vn/feed/" rel="self" type="application/rss+xml" />
		<link>https://chuabenhthoatvidiadem.vn/</link>
		<description>Thuốc đặc trị thoát vị đĩa đệm của nhà thuốc đông y Bảo Minh. Lương y Nguyễn Văn Minh khám và điều trị cho từng người bệnh, nên tác dụng chữa bệnh rất tốt, trên 90% không phải mổ thoát vị đĩa đệm. </description>
		<lastBuildDate>Fri, 29 May 2026 10:26:40 +0700</lastBuildDate>
		<language>vi-VN</language>
		<sy:updatePeriod>daily</sy:updatePeriod>
		<sy:updateFrequency>1</sy:updateFrequency>
		<generator>himssu.nvckr@gmail.com</generator>

		
					<item>
						<title>Thuốc chữa thoát vị đĩa đệm tốt quá, em hết tê chân rồi bác sĩ</title>
						<link>https://chuabenhthoatvidiadem.vn/bai-viet/nghe-truc-tiep-nhung-nguoi-duoc-luong-y-minh-chua-khoi-thoat-vi-dia-dem/thuoc-chua-thoat-vi-dia-dem-tot-qua-em-het-te-chan-roi-bac-si-pid-236.html</link>
						<comments></comments>
						<pubDate>Fri, 30 Nov 2018 11:13:35 +0700</pubDate>
						<dc:creator>admin</dc:creator>
						<category><![CDATA[Nghe trực tiếp những người được lương y Minh chữa khỏi thoát vị đĩa đệm ]]></category>
						<guid isPermaLink="false"></guid>
						<description><![CDATA[Thuốc chữa thoát vị đĩa đệm tốt quá. Em không còn đau nữa, hết tê chân rồi bác sĩ. Đây là tiếng nói của anh Nhiên, một bệnh nhân được Lương y Nguyễn Văn Minh chữa khỏi bệnh thoát vị đĩa đệm thắt lưng, anh đồng ý chia sẻ.]]></description>
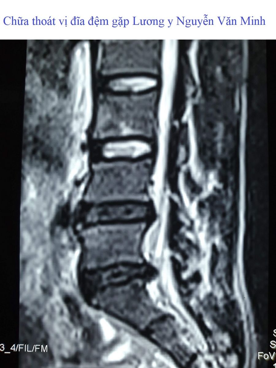
						<content:encoded><![CDATA[<h1  style="text-align: justify;"><span style="font-size:16px;">Thuốc chữa thoát vị đĩa đệm tốt quá&nbsp;em không còn đau lưng nữa, hết tê chân rồi bác sĩ, em đi lại bình thường.v.v.&nbsp;Đây là tiếng nói của anh Nhiên, một bệnh nhân được Lương y Nguyễn Văn Minh chữa khỏi bệnh thoát vị đĩa đệm cột sống&nbsp;thắt lưng.</span></h1><p><em><span style="font-size:22px;"><img alt="Thuốc đông y chữa thoát vị đĩa đệm " src="data:image/gif;base64,R0lGODlhAQABAID/AP///wAAACwAAAAAAQABAAACAkQBADs=" data-src="https://chuabenhthoatvidiadem.vn/resources/images/Thuoc-chua-thoat-vi-dia-dem-tot.jpg" style="width: 650px; height: 371px;" class="lazy" width="768" height="438" data-optimized="1" /></span></em></p><p><em><span style="font-size:22px;"><span style="font-size:14px;">Hốt thuốc đông y chữa thoát vị đĩa đệm ở phòng khám đông y Bảo Minh.</span></span></em></p><h2 style="text-align: justify;"><span style="font-size:16px;">Sau khi chữa khỏi bệnh thoát vị đĩa đệm bằng thuốc đông y, tại phòng khám đông y Bảo&nbsp;Minh,&nbsp;anh Nhiên ở Tp Bảo Lộc, tỉnh Lâm Đồng&nbsp;đồng ý chia sẻ quá trình chữa bệnh, với ý nghĩ tốt đẹp giúp cho những&nbsp;ai bị bệnh giống mình, chỉ họ đến chữa để&nbsp;may gặp thầy gặp thuốc.&nbsp;</span></h2><p><a href="https://chuabenhthoatvidiadem.vn/resources/files/Ghi âm cuộc gọi 0977640939_181127_083737.mp3" title="">Thuốc chữa thoát vị đĩa đệm tốt quá, em hết tê chân rồi.</a></p><p style="text-align: justify;"><span style="font-size: 16px;">Người nào&nbsp;bị thoát vị đĩa đệm nhẹ&nbsp;không cần phải nghe hết câu chuyện, ai bị thoát vị đĩa đệm mức độ nặng, đau nhức nhiều, bác sĩ đã chỉ định mổ thoát vị đĩa đệm, nên nghe hết&nbsp;nội dung câu chuyện ở trang web này. Mời bạn đọc nghe anh Nhiên&nbsp;kể về cách&nbsp;chữa khỏi bệnh&nbsp;thoát vị đĩa đệm như thế nào.</span></p><p style="text-align: justify;"><span style="font-size: 16px;"><img loading="lazy" alt="Thuốc chữa thoát vị đĩa đệm " src="data:image/gif;base64,R0lGODlhAQABAID/AP///wAAACwAAAAAAQABAAACAkQBADs=" data-src="https://chuabenhthoatvidiadem.vn/resources/images/Thuốc chữa thoát vị đĩa đệm(5).jpg" style="width: 890px; height: 1092px;" class="lazy" width="890" height="1092" data-optimized="1" /></span></p><p><em><span style="font-size:14px;">Thuốc chữa thoát vị đĩa đệm đông y sắc uống mỗi ngày</span></em></p><p style="text-align: justify;"><span style="font-size:16px;">Thuốc chữa thoát vị đĩa đệm đông y Bảo Minh đã chữa&nbsp;cho nhiều người hết&nbsp;bệnh, phòng khám&nbsp;chỉ đưa tin&nbsp;khi quý khách đồng ý cho ghi lại và&nbsp;chia sẻ ý kiến. Khi chữa khỏi thoát vị đĩa đệm, rất nhiều người muốn cảm ơn nhà thuốc, nhưng nhiều người muốn giữ bí mật thông tin, nên chúng tôi chỉ đăng bài sau khi được sự đồng ý từ quý khách. Sau này vì một lý do gì đó mà quý khách không muốn chia sẻ ở đây nữa, chúng tôi sẽ gỡ bỏ thông tin&nbsp;xuống. Xin trân trọng cảm ơn quý khách.</span></p><p style="text-align: justify;"><span style="font-size:16px;">Còn đây là kết quả chụp MRI của anh Trần Xuân Tuấn ở Hà Tiên Kiên Giang, anh Tuấn cũng chữa hết thoát vị đĩa đệm và đồng ý chia sẻ phiếu kết quả MRI của anh.</span></p><p style="text-align: justify;"><span style="font-size:16px;"><img loading="lazy" alt="thoatvidiadem top" src="data:image/gif;base64,R0lGODlhAQABAID/AP///wAAACwAAAAAAQABAAACAkQBADs=" data-src="https://chuabenhthoatvidiadem.vn/resources/images/Thoatvidiadem top (2).jpg" style="width: 615px; height: 808px;" class="lazy" width="615" height="808" data-optimized="1" /></span></p><p style="text-align: justify;"><span style="font-size:16px;">Theo như phiếu kết quả MRI&nbsp;thì anh&nbsp;Tuấn bị thoát vị đĩa đệm 3 tầng cột sống đĩa đệm, trong đó nặng nhất là tầng đĩa đệm L3/4, với kích thước khối thoát vị&nbsp;lên tới #7mm, thoát vị&nbsp;ra sau trung tâm, ép rễ thần kinh L4 hai bên, hẹp ống sống. <span style="text-align: justify;">Thoát vị đĩa đệm tầng L4/5&nbsp;nhẹ hơn, chỉ có&nbsp;#3mm, </span></span><span style="font-size: 16px; text-align: justify;">ra sau&nbsp;</span><span style="font-size: 16px; text-align: justify;">trung tâm&nbsp;</span><span style="font-size:16px;"><span style="text-align: justify;">lệch (P), không ép rễ thần kinh.&nbsp;</span>Thoát vị đĩa đệm tầng L5/S1&nbsp;ra sau trung tâm và trong lỗ liên hợp bên&nbsp;(T), ép rễ thần kinh L5 (T), hẹp lỗ liên hợp L5/S1 (T).</span></p><p style="text-align: justify;"><span style="font-size: 16px;">S</span><span style="font-size: 16px;">au khi uống 20 thang thuốc chữa thoát vị đĩa đệm ở phòng khám, năm sau Lương y Nguyễn Văn Minh gọi điện hỏi thăm, anh Tuấn thông báo&nbsp;đã hết bệnh hết đau,&nbsp;bạn đọc nào cần tìm hiểu kỹ hơn, mời&nbsp;bấm vào ô dưới để nghe.</span></p><p style="text-align: justify;"><a href="https://chuabenhthoatvidiadem.vn/resources/files/FILE_Tran Xuan Tuan KG CoVer.mp3" title="">Thuốc trị thoát vị đĩa đệm</a></p><p style="text-align: justify;"><span style="font-size: 16px;">&nbsp;Anh Tuấn đồng ý chia sẻ về tác dụng của thuốc chữa thoát vị đĩa đệm và địa chỉ hiện anh đang ở Kiên Giang. Bạn đọc nào ở gần đây muốn mua thuốc đông y để uống, nên nghe hết nội dung cuộc hội thoại để tham khảo.</span></p><p style="text-align: justify;"><span style="font-size: 16px;">Khi đăng thông tin hình ảnh,&nbsp;bệnh án thoát vị đĩa đệm và kết quả chữa khỏi bệnh của quý bệnh nhân ở đây.&nbsp;Lương y Nguyễn Văn Minh có xin phép và được sự đồng ý của quý khách, sau này quý khách nào không muốn xuất hiện ở đây nữa, chúng tôi sẽ rút bài đăng xuống. Xin trân trọng cảm ơn quý bệnh nhân đã tin tưởng vào uy tín của thầy thuốc Nguyễn Văn Minh, đồng ý cho chia sẻ sự thật trên trang web, với mong muốn giúp được nhiều người bệnh may mắn&nbsp;gặp thầy gặp thuốc.</span></p><p style="text-align: justify;"><span style="font-size: 16px;">Trâng trọng cảm ơn bác Bùi Thị Tứ 57 tuổi, nhà ở TP. HCM. Bác Tứ bị thoát vị đĩa đệm, sau khi chữa khỏi bệnh ở đây, bác đồng ý chia sẻ kết quả chụp cộng hưởng từ MRI và cho quay video clip để chia sẻ giới thiệu làm phước.</span></p><div><img loading="lazy" alt="Thuốc chữa thoát vị đĩa đệm tốt" src="data:image/gif;base64,R0lGODlhAQABAID/AP///wAAACwAAAAAAQABAAACAkQBADs=" data-src="https://chuabenhthoatvidiadem.vn/resources/images/Thuốc chữa thoát vị đĩa đệm tốt.jpg" style="height: 1200px; opacity: 0.9; text-align: justify; width: 900px;" class="lazy" width="900" height="1200" data-optimized="1" /></div><div>Đây là kết quả MRI của bác Bùi Thị Tứ ở TP.HCM. Lương y Nguyễn Văn Minh đã chữa cho bác hết đau, hết nhức, đi lại hoạt động hàng ngày bình thường. Bác rất vui và đồng ý chia sẻ chân thực về sức khỏe hiện tại của mình. Phòng khám chân thành cảm ơn bác.</div><div><span class="optimize-cls-iframe" data-src="https://www.youtube.com/embed/EZ1EBbLt584">https://www.youtube.com/embed/EZ1EBbLt584</span></div><div>&nbsp;</div><p style="text-align: justify;"><span style="font-size:16px;">Quý khách&nbsp;nào có người nhà muốn tư vấn về thuốc chữa thoát vị đĩa đệm, hãy gửi kết luận chụp cộng hưởng từ của bác sĩ chuyên khoa qua Zalo, tôi tư vấn miễn phí giúp họ.</span></p><p style="text-align: justify;"><span style="font-size:16px;"><img loading="lazy" alt="Thoát vị đĩa đệm l4 l5" src="data:image/gif;base64,R0lGODlhAQABAID/AP///wAAACwAAAAAAQABAAACAkQBADs=" data-src="https://chuabenhthoatvidiadem.vn/resources/images/Thoát vị đĩa đệm L4 L5.jpg" style="width: 672px; height: 896px;" class="lazy" width="672" height="896" data-optimized="1" /></span></p><p style="text-align: justify;"><span style="font-size:14px;"><em>Kết luận chụp cộng hưởng từ cho thấy; người bệnh bị thoái hóa cột sống thắt lưng, thoát vị đĩa đệm L4/5 ra sau trung tâm lệch (P), ép rễ thần kinh L5 (P), hẹp ngách bên (P).</em></span></p><p style="text-align: justify;"><span style="font-size:16px;">Còn dưới đây là kết quả chụp MRI của một người bệnh, nhà ở Gò Vấp, TP.HCM. Lúc đầu anh bị đau lưng, đi khám ở bệnh viện và chụp X quang chỉ phát hiện bị thoái hóa cột sống thắt lưng, uống thuốc tây giảm đau kháng viêm cả tháng nhưng không hết bệnh, cứ uống thì hết đau, ngưng thuốc lại đau y như cũ.</span></p><p style="text-align: justify;"><span style="font-size:16px;">Đi&nbsp;bệnh viện Quân y 175&nbsp;chụp cộng hưởng từ cột sống thắt lưng, phát hiện thấy không chỉ bị thoái hóa cột sống&nbsp;mà còn có cả lồi đĩa đệm, ép bao màng cứng, hẹp lỗ liên hợp.</span></p><p style="text-align: justify;"><span style="font-size:14px;"><em><img loading="lazy" alt="Lồi đĩa đệm" src="data:image/gif;base64,R0lGODlhAQABAID/AP///wAAACwAAAAAAQABAAACAkQBADs=" data-src="https://chuabenhthoatvidiadem.vn/resources/images/Loi dia dem (2).jpg" style="width: 650px; height: 933px;" class="lazy" width="836" height="1200" data-optimized="1" /></em></span></p><p style="text-align: justify;"><span style="font-size:16px;">&nbsp;Sau khi chụp MRI, bác sĩ&nbsp;CĐHA kết luận như sau;</span></p><p style="text-align: justify;"><em><span style="font-size:14px;">Thoái hóa đốt sống - đĩa đệm thắt lưng L4 L5. Lồi đĩa đệm L4 L5 ra sau # 6 mm, ép bao màng cứng, hẹp lỗ liên hợp hai bên, ép rễ thần kinh L4 hai bên. Lồi đĩa đệm L5 S1 ra sau - sang hai bên # 3mm, ép bao màng cứng kèn rách bao xơ, không thấy chèn ép các rễ thần kinh tương ứng.</span></em></p><p><span style="font-size:16px;">Nếu quý khách nào&nbsp;bị lồi đĩa đệm hoặc thoát vị đĩa đệm, đã uống thuốc tây nhiều tuần nhưng&nbsp;chưa hết đau hết nhức, hãy liên hệ để được tư vấn cách chữa hiệu quả nhất giúp quý khách.</span></p><p><span style="font-size:16px;">Có thể bạn quan tâm:&nbsp;</span><a data-ved="2ahUKEwjt__L35uP3AhWDzYsBHYCfCW44RhAWegQIDBAB" href="https://chuabenhthoatvidiadem.vn/cach-chua-benh/thuoc-dac-tri-thoat-vi-dia-dem-cua-luong-y-nguyen-van-minh-pid-269.html" ping="/url?sa=t&amp;source=web&amp;rct=j&amp;url=https://chuabenhthoatvidiadem.vn/cach-chua-benh/thuoc-dac-tri-thoat-vi-dia-dem-cua-luong-y-nguyen-van-minh-pid-269.html&amp;ved=2ahUKEwjt__L35uP3AhWDzYsBHYCfCW44RhAWegQIDBAB" style="color: rgb(26, 13, 171); text-decoration-line: none; -webkit-tap-highlight-color: rgba(0, 0, 0, 0.1); outline: 0px; font-family: arial, sans-serif; font-size: small;" title="">Thuốc đặc trị thoát vị đĩa đệm&nbsp;</a></p><p style="text-align: justify;"><span style="font-size:16px;">Bạn đọc xem hiệu quả chữa thoát vị đĩa đệm, lồi đĩa đệm ở phòng khám của chúng tôi:&nbsp;<a data-ved="2ahUKEwjku-_8htn3AhVxmlYBHYVaDAY4ChAWegQIAxAB" href="https://chuabenhthoatvidiadem.vn/cach-chua-benh/thuoc-chua-thoat-vi-dia-dem-pid-290.html" ping="/url?sa=t&amp;source=web&amp;rct=j&amp;url=https://chuabenhthoatvidiadem.vn/cach-chua-benh/thuoc-chua-thoat-vi-dia-dem-pid-290.html&amp;ved=2ahUKEwjku-_8htn3AhVxmlYBHYVaDAY4ChAWegQIAxAB" style="color: rgb(26, 13, 171); text-decoration-line: none; -webkit-tap-highlight-color: rgba(0, 0, 0, 0.1); outline: 0px; font-family: arial, sans-serif; font-size: small;" title="">Bấm vào đây</a></span></p><p><img loading="lazy" alt="Thoát vị đĩa đệm thắt lưng" src="data:image/gif;base64,R0lGODlhAQABAID/AP///wAAACwAAAAAAQABAAACAkQBADs=" data-src="https://chuabenhthoatvidiadem.vn/resources/images/20181023_112325.jpg" style="width: 650px; height: 867px;" class="lazy" width="900" height="1200" data-optimized="1" /></p><p style="text-align: justify;"><em>Hình ảnh thoát vị đĩa đệm chèn ép rễ thần kinh,&nbsp;bệnh gây nên đau nhức dọc đường đi của rễ thần kinh&nbsp;và làm cho tê chân.</em></p><p style="text-align: justify;"><span style="color: rgb(0, 0, 0); font-family: RobotoSlab-Regular, Arial, Helvetica, sans-serif; font-size: 16px;">Lưu ý: Tác dụng của thuốc uống, thuốc đắp&nbsp;chữa thoát vị đĩa đệm/ liệu trình&nbsp;điều trị có thể thay đổi&nbsp;tùy theo cơ địa&nbsp;mỗi nguời.&nbsp;</span></p><p style="text-align: justify;"><span style="color: rgb(0, 0, 0); font-family: RobotoSlab-Regular, Arial, Helvetica, sans-serif; font-size: 16px;">P/s: Trên đây là những nội dung cuộc nói chuyện rất thật giữa thầy thuốc và&nbsp;bệnh nhân cũ, âm thanh nhiều lúc nghe không được rõ lắm, mong quý bạn đọc châm chước, những ai</span><span style="font-size: 16px;">&nbsp;muốn tham khảo kinh nghiệm chữa thoát vị đĩa đệm, nghe tới cuối&nbsp;cuộc nói chuyện này sẽ rõ.</span></p><p style="text-align: justify;"><span style="font-size:16px;">Có thể bạn muốn nghe:&nbsp;<a href="https://chuabenhthoatvidiadem.vn/cach-chua-benh/nho-thay-ma-toi-khong-phai-mo-thoat-vi-dia-dem-hay-nghe-benh-nhan-cu-phat-bieu-pid-41.html" style="color: rgb(102, 0, 153); cursor: pointer; text-decoration-line: none; font-family: arial, sans-serif; font-size: small;" target="_blank" title="">Nhờ thầy mà tôi không phải&nbsp;mổ thoát vị đĩa đệm</a></span></p><p style="text-align: justify;"><span style="color: rgb(0, 0, 0); font-family: RobotoSlab-Regular, Arial, Helvetica, sans-serif; font-size: 16px;">Chữa bệnh thoát vị đĩa đệm gặp Lương y Nguyễn Văn Minh tại: 856/6 đường Quang Trung, phường 8, quận Gò Vấp, Tp.Hồ Chí Minh. Điện thoại, Zalo tư vấn cách chữa bệnh đau cột sống đĩa đệm: 0913503552 - 028.62951367 Thầy thuốc nghe máy và tư vấn trực tiếp với người bệnh.</span></p><p><span style="font-size:16px;"><span style="color: rgb(0, 0, 0); font-family: RobotoSlab-Regular, Arial, Helvetica, sans-serif;">Trang web chuyên trị bệnh thoát vị đĩa đệm của phòng khám đông y Bảo Minh:</span></span></p><p><span style="font-size:16px;"><span style="color: rgb(0, 0, 0); font-family: RobotoSlab-Regular, Arial, Helvetica, sans-serif;">&nbsp;thoatvidiadem.top và chuabenhthoatvidiadem.vn</span></span></p><p><span style="font-size:16px;"><span style="color: rgb(0, 0, 0); font-family: RobotoSlab-Regular, Arial, Helvetica, sans-serif;">Email Lương y Nguyễn Văn Minh: luongynguyenvanminh@gmail.com</span></span></p><p><span style="color: rgb(0, 0, 0); font-family: RobotoSlab-Regular, Arial, Helvetica, sans-serif; font-size: 16px;">Quý khách nên sử dụng&nbsp;Google Map chỉ đường tới phòng khám đông y Bảo Minh.</span></p><p style="text-align: justify;"><span style="background-color: transparent; font-size: 16px; color: rgb(0, 0, 0); font-family: RobotoSlab-Regular, Arial, Helvetica, sans-serif;">Lương y Nguyễn Văn Minh chữa thoát vị đĩa đệm, có thông tin chuẩn tại trang web::</span></p><h3 class="r" style="line-height: 1.1; box-sizing: border-box; margin: 0px; padding: 0px; border: 0px; outline: 0px; font-size: 18px; vertical-align: baseline; background-image: initial; background-position: initial; background-size: initial; background-repeat: initial; background-attachment: initial; background-origin: initial; background-clip: initial; font-family: RobotoSlab-Regular, Arial, Helvetica, sans-serif; color: rgb(0, 0, 0); max-width: 100%; overflow: hidden; text-overflow: ellipsis; white-space: nowrap;"><a href="https://chuabenhthoatvidiadem.vn/" style="color: rgb(102, 0, 153); box-sizing: border-box; margin: 0px; padding: 0px; border: 0px; outline: 0px; vertical-align: baseline; background: transparent; text-decoration-line: none; transition: all 406ms ease-out 0s; max-width: 100%; cursor: pointer;" target="_blank" title="">Thoát Vị Đĩa Đệm</a></h3><div class="s" style="box-sizing: border-box; margin: 0px; padding: 0px; border: 0px; outline: 0px; font-size: 16px; vertical-align: baseline; background-image: initial; background-position: initial; background-size: initial; background-repeat: initial; background-attachment: initial; background-origin: initial; background-clip: initial; position: relative; max-width: 48em; font-family: RobotoSlab-Regular, Arial, Helvetica, sans-serif; color: rgb(84, 84, 84); line-height: 18px;"><div class="f kv _SWb" style="box-sizing: border-box; margin: 0px; padding: 0px; border: 0px; outline: 0px; font-size: small; vertical-align: baseline; background: transparent; position: relative; max-width: 100%; color: rgb(128, 128, 128); height: 18px; line-height: 16px; font-family: arial, sans-serif; white-space: nowrap;"><cite class="_Rm" style="box-sizing: border-box; margin: 0px; padding: 0px; border: 0px; outline: 0px; font-size: 14px; vertical-align: baseline; background: transparent; max-width: 100%; color: rgb(0, 102, 33); font-style: normal;">chuabenhthoatvidiadem.vn</cite></div></div>]]></content:encoded>
						<wfw:commentRss></wfw:commentRss>
						<slash:comments>0</slash:comments>
					</item>
				
					<item>
						<title>Chữa thoát vị đĩa đệm chèn ép rễ thần kinh cho chú Hùng ở Bình Dương.</title>
						<link>https://chuabenhthoatvidiadem.vn/bai-viet/dieu-tri-thoat-vi-dia-dem-cot-song-that-lung/chua-thoat-vi-dia-dem-chen-ep-re-than-kinh-cho-chu-hung-o-binh-duong-pid-344.html</link>
						<comments></comments>
						<pubDate>Sat, 06 Dec 2025 10:28:38 +0700</pubDate>
						<dc:creator>admin</dc:creator>
						<category><![CDATA[Điều trị thoát vị đĩa đệm cột sống thắt lưng]]></category>
						<guid isPermaLink="false"></guid>
						<description><![CDATA[Lương y Nguyễn Văn Minh - Phòng khám Đông y Bảo Minh chỉ chia sẻ ý kiến và kết quả MRI khi được sự đồng ý từ quý khách, sau này quý khách nào không muốn xuất hiện ở đây nữa, chúng tôi sẽ gỡ bài đăng xuống. Xin trân trọng cảm ơn quý khách đã tin tưởng vào uy tín của phòng khám.]]></description>
						<content:encoded><![CDATA[<h2 style="text-align: justify;">Chữa thoát vị đĩa đệm chèn ép rễ thần kinh cho chú Hùng ở Bình Dương.</h2><p style="text-align: justify;"><img loading="lazy" alt="Chữa thoát vị đĩa đệm chèn ép rễ thần kinh cho chú Hùng ở Bình Dương" src="data:image/gif;base64,R0lGODlhAQABAID/AP///wAAACwAAAAAAQABAAACAkQBADs=" data-src="https://chuabenhthoatvidiadem.vn/resources/images/Chữa thoát vị đĩa đệm chèn ép rễ thần kinh cho chú Hùng ở Bình Dương.jpg" style="width: 744px; height: 984px;" class="lazy" width="744" height="984" data-optimized="1" /></p><p style="text-align: justify;">Chú Phạm Ngọc Hùng 55 tuổi ở Bình Dương bị thoát vị đĩa đệm tầng L4-L5 và L5-S1, chèn ép bao màng cứng, gây hẹp lỗ liên hợp hai bên, chèn ép rễ thần kinh L4, L5 và L5, S1 hai bên. Sau khi uống 25 thang thuốc chữa thoát vị đĩa đệm, kết hợp với thuốc bóp đắp cột sống, chú Hùng gần như hết đau nhức. Nay chú đến phòng khám để tái khám mua thêm thuốc uống cho hết hẳn, chú đồng ý chia sẻ kết quả chụp MRI&nbsp;và cho ghi lại nội dung buổi nói chuyện với Lương y Nguyễn Văn Minh. Xin trân trọng cảm ơn chú Hùng.</p><p><span class="optimize-cls-iframe" data-src="https://www.youtube.com/embed/7h45SoXse14">https://www.youtube.com/embed/7h45SoXse14</span></p><p>Bạn đọc có người nhà bị thoát vị đĩa đệm chèn ép rễ thần kinh L4- L5 và L5-S1 gây đau nhức, tê chân, hãy xem video để cảm nhận. Thuốc đông y&nbsp;chữa thoát vị đĩa đệm tốt nhất khi gặp đúng thầy đúng&nbsp;thuốc.</p><p>Thuốc chữa thoát vị đĩa đệm chèn dây thần kinh có tốt không? Mời quý khách xem kết quả chụp MRI của những quý khách đã chữa hết bệnh đồng ý chia sẻ giới thiệu tại dưới đây;&nbsp;ở TP.HCM.&nbsp;</p><p><a title="" href="https://chuabenhthoatvidiadem.vn/cach-chua-benh/thoat-vi-dia-dem-chen-ep-day-than-kinh-pid-331.html">Nhờ có bác sĩ chữa cho tôi mà giờ hết đau rồi, xem quý khách kể lại sự thật.</a></p><h3 style="box-sizing: border-box; margin: 20px 0px 10px; padding: 0px; border: 0px; outline: 0px; font-size: 24px; vertical-align: baseline; background-image: initial; background-position: initial; background-size: initial; background-repeat: initial; background-attachment: initial; background-origin: initial; background-clip: initial; font-family: RobotoSlab-Regular, Arial, Helvetica, sans-serif; line-height: inherit; color: rgb(0, 0, 0); max-width: 100%; text-align: justify;"><span style="font-size:16px;">Phòng Khám Đông y Bảo Minh - Địa chỉ khám chữa bệnh&nbsp;thoát vị đĩa đệm uy tín tại TP.HCM</span></h3><p style="box-sizing: border-box; margin: 0px 0px 10px; padding: 0px; border: 0px; outline: 0px; font-size: 16px; vertical-align: baseline; background-image: initial; background-position: initial; background-size: initial; background-repeat: initial; background-attachment: initial; background-origin: initial; background-clip: initial; max-width: 100%; color: rgb(0, 0, 0); font-family: RobotoSlab-Regular, Arial, Helvetica, sans-serif;">Quý bệnh nhân cần&nbsp;khám bệnh mua thuốc chữa thoát vị đĩa đệm vui lòng đến Phòng Khám đông y Bảo Minh tại TP.HCM.</p><address style="box-sizing: border-box; margin: 0px 0px 20px; padding: 0px; border: 0px; outline: 0px; font-size: 16px; vertical-align: baseline; background-image: initial; background-position: initial; background-size: initial; background-repeat: initial; background-attachment: initial; background-origin: initial; background-clip: initial; font-style: normal; line-height: 1.42857; max-width: 100%; color: rgb(0, 0, 0); font-family: RobotoSlab-Regular, Arial, Helvetica, sans-serif;"><ul style="box-sizing: border-box; margin: 0px 0px 10px; padding-right: 0px; padding-left: 0px; border: 0px; outline: 0px; vertical-align: baseline; background: transparent; list-style-position: inside; list-style-image: initial; max-width: 100%;"><li style="box-sizing: border-box; margin: 0px; padding: 0px; border: 0px; outline: 0px; vertical-align: baseline; background: transparent; transition: 406ms ease-out; max-width: 100%;">Địa chỉ: 856/6 Quang Trung, phường Thông Tây Hội,&nbsp;<span style="box-sizing: border-box; margin: 0px; padding: 0px; border: 0px; outline: 0px; vertical-align: baseline; background: transparent; max-width: 100%; font-style: italic;">TpHCM</span>&nbsp; (trước đây là Phường 8, Quận Gò Vấp,TP.HCM).</li><li style="box-sizing: border-box; margin: 0px; padding: 0px; border: 0px; outline: 0px; vertical-align: baseline; background: transparent; transition: 406ms ease-out; max-width: 100%;">Điện thoại:&nbsp;<a href="tel:0913503552" rel="nofollow" style="box-sizing: border-box; margin: 0px; padding: 0px; border: 0px; outline: 0px; vertical-align: baseline; background: transparent; color: rgb(51, 122, 183); text-decoration-line: none; transition: 406ms ease-out; max-width: 100%;" title="Gọi 0913 503 552">0913 503 552</a></li><li style="box-sizing: border-box; margin: 0px; padding: 0px; border: 0px; outline: 0px; vertical-align: baseline; background: transparent; transition: 406ms ease-out; max-width: 100%;">Website:</li><li style="box-sizing: border-box; margin: 0px; padding: 0px; border: 0px; outline: 0px; vertical-align: baseline; background: transparent; transition: 406ms ease-out; max-width: 100%;">https://thoatvidiadem.top</li><li style="box-sizing: border-box; margin: 0px; padding: 0px; border: 0px; outline: 0px; vertical-align: baseline; background: transparent; transition: 406ms ease-out; max-width: 100%;">https://chuabenhthoatvidiadem.vn</li></ul></address>]]></content:encoded>
						<wfw:commentRss></wfw:commentRss>
						<slash:comments>0</slash:comments>
					</item>
				
					<item>
						<title>Thoát vị đĩa đệm, hẹp nặng ống sống, hẹp lỗ liên hợp, chèn ép rễ thần kinh</title>
						<link>https://chuabenhthoatvidiadem.vn/bai-viet/ket-qua-dieu-tri-thoat-vi-dia-dem/thoat-vi-dia-dem-hep-nang-ong-song-hep-lo-lien-hop-chen-ep-re-than-kinh-pid-243.html</link>
						<comments></comments>
						<pubDate>Wed, 12 Dec 2018 09:10:49 +0700</pubDate>
						<dc:creator>admin</dc:creator>
						<category><![CDATA[Kết quả điều trị thoát vị đĩa đệm]]></category>
						<guid isPermaLink="false"></guid>
						<description><![CDATA[Đây là trường hợp bị thoát vị đĩa đệm nặng, chụp cộng hưởng từ cột sống thắt lưng, bác sĩ chuyên khoa chẩn đoán hình ảnh kết luận: Thoái hóa mất nước đĩa đệm cột sống thắt lưng tầng L4-L5, L5-S1. Thoát vị đĩa đệm tầng L4-L5 ra sau #8mm, thể trung tâm, gây hẹp nặng ống sống, hẹp lỗ liên hợp, ép rễ thần kinh L5 hai bên. Thật may mắn tôi đã chữa khỏi bệnh cho anh, đã đi làm bình thường được 8 tháng. Hãy nghe tiếng nói trực tiếp từ người bệnh với lương y Nguyễn Văn Minh.]]></description>
						<content:encoded><![CDATA[<p style="text-align: justify;"><em><span style="font-size:18px;">Những&nbsp;người bị bệnh&nbsp;thoát vị đĩa đệm nặng, chữa khỏi được bằng đông y&nbsp;không có nhiều. Trường hợp của anh Phong ở Tiền Giang đúng là may hợp thầy hợp thuốc và sự kiên trì uống thuốc của người bệnh. Đi chụp MRI&nbsp;cột sống thắt lưng, bác sĩ chuyên khoa cột sống&nbsp;kết luận: Thoái hóa mất nước đĩa đệm cột sống thắt lưng tầng L4-L5, L5-S1. Thoát vị đĩa đệm tầng L4-L5 ra sau #8mm, thể trung tâm, gây hẹp nặng ống sống, hẹp lỗ liên hợp, ép rễ thần kinh L5 hai bên. Tôi đã trị khỏi bệnh cho&nbsp;anh, hôm nay điện thoại hỏi thăm, anh Phong thông báo: &quot;em hết bệnh rồi, đi làm bình thường&nbsp;được 8 tháng&quot;.&nbsp;Hãy bấm để nghe nội dung cuộc trò chuyện giữa anh Phong&nbsp;và Lương y Nguyễn Văn Minh.</span></em></p><p><a href="https://chuabenhthoatvidiadem.vn/resources/files/Ghi âm cuộc gọi 0987839357_thanh phong_084006.mp3" title="">Thoát vị đĩa đệm L4 L5</a></p><p><img loading="lazy" alt="Thoát vị đĩa đệm, hẹp ống sống, hẹp lỗ liên hợp, chèn ép rễ thần kinh" src="data:image/gif;base64,R0lGODlhAQABAID/AP///wAAACwAAAAAAQABAAACAkQBADs=" data-src="https://chuabenhthoatvidiadem.vn/resources/images/20180323_075650(1).jpg" style="width: 1018px; height: 1200px;" class="lazy" width="1018" height="1200" data-optimized="1" /></p><p style="text-align: justify;"><span style="font-size:14px;"><em>Sau khi được lương y Nguyễn Văn Minh chữa khỏi bệnh cho mình, anh Phong đồng ý chia sẻ kết quả chụp MRI cột sống thắt lưng.</em></span></p><p><span style="font-size:16px;">Bạn đọc nào ở Tiền Giang có thể tìm hiểu kinh nghiệm chữa thoát vị đĩa đệm từ anh Phong, địa chỉ và số điện thoại có ở cuối nội dung cuộc trò chuyện (*)</span></p><p style="text-align: justify;"><span style="font-size:16px;">(*)&nbsp;</span><span style="color: rgb(0, 0, 0); font-family: RobotoSlab-Regular, Arial, Helvetica, sans-serif; font-size: 16px; text-align: justify;">Thuốc uống và&nbsp;thuốc đắp trị&nbsp;thoát vị đĩa đệm/ có tác dụng chữa bệnh nhanh chậm&nbsp;tùy theo cơ địa&nbsp;mỗi nguời.</span></p><p style="text-align: justify;"><span style="font-size:16px;">Kênh&nbsp;<span style="font-size:18px;"><a href="https://www.youtube.com/channel/UCMrl47bRL4MgAguyRi48mEw" style="color: rgb(102, 0, 153); font-size: small; cursor: pointer; text-decoration-line: none; font-family: arial, sans-serif;" target="_blank" title="">YouTube</a></span>&nbsp;của&nbsp;<span style="font-size:18px;"><a href="https://www.youtube.com/channel/UCMrl47bRL4MgAguyRi48mEw" style="color: rgb(102, 0, 153); cursor: pointer; text-decoration-line: none; font-family: arial, sans-serif; font-size: small;" target="_blank" title="">Lương y Nguyễn Văn Minh</a></span>, ghi lại những hình ảnh chữa khỏi bệnh tại phòng khám đông y Bảo Minh.</span></p><p><span style="font-size:16px;"><img loading="lazy" alt="Chữa thoát vị đĩa đệm găp Lương y Nguyễn Văn Minh" src="data:image/gif;base64,R0lGODlhAQABAID/AP///wAAACwAAAAAAQABAAACAkQBADs=" data-src="https://chuabenhthoatvidiadem.vn/resources/images/Luong-y-Nguyen-Van-Minh (2).jpg" style="width: 768px; height: 427px;" class="lazy" width="768" height="427" data-optimized="1" /></span></p><p><span style="font-size:14px;"><em>Hốt thuốc chữa thoát vị đĩa đệm ở phòng khám đông y Bảo Minh</em></span></p><p style="text-align: justify;"><span style="font-size:16px;">Gửi kết quả chụp MRI qua&nbsp;Zalo của Lương y Nguyễn văn Minh: 0913503552 - 028.6294.1367 Bạn sẽ nhận được cách chữa bệnh tốt nhất, ít có tác dụng phụ nhất,&nbsp;ít tốn tiền nhất, khỏi bệnh ít tái phát nhất, tại địa chỉ duy nhất: 856/6 Quang Trung, Gò Vấp, TP.HCM.</span></p><p><span style="font-size:16px;">Trang web thuộc quyền sở hữu của nhà thuốc:</span></p><p><span style="font-size:16px;">thoatvidiadem.top</span></p><p><span style="font-size:16px;"><a href="https://chuabenhthoatvidiadem.vn/" title="">chuabenhthoatvidiadem.vn</a></span></p><p><span style="font-size:16px;"><a href="https://phongkhambaominh.com/" title="">phongkhambaominh.com</a>&nbsp;</span></p><p style="text-align: justify;"><span style="font-size:16px;">Quý khách muốn khám thoát vị đĩa đệm, nên sử dụng Google Map chỉ đường&nbsp;tới phòng&nbsp;</span><span style="font-size:16px;">khám đông y Bảo Minh.</span></p>]]></content:encoded>
						<wfw:commentRss></wfw:commentRss>
						<slash:comments>0</slash:comments>
					</item>
				
					<item>
						<title>Thoát vị đĩa đệm - Cách chữa khỏi bệnh như thế nào?</title>
						<link>https://chuabenhthoatvidiadem.vn/bai-viet/nghe-truc-tiep-nhung-nguoi-duoc-luong-y-minh-chua-khoi-thoat-vi-dia-dem/thoat-vi-dia-dem-cach-chua-khoi-benh-nhu-the-nao-pid-220.html</link>
						<comments></comments>
						<pubDate>Sat, 07 Jul 2018 04:42:41 +0700</pubDate>
						<dc:creator>admin</dc:creator>
						<category><![CDATA[Nghe trực tiếp những người được lương y Minh chữa khỏi thoát vị đĩa đệm ]]></category>
						<guid isPermaLink="false"></guid>
						<description><![CDATA[Thoát vị đĩa đệm là bệnh hay gặp, những cơn đau do thoát vị đĩa đệm làm cho người bệnh rất khổ, có khi đau toát mồ hôi. Xem cách chữa khỏi bệnh, hết đau ở đây.]]></description>
						<content:encoded><![CDATA[<h2 style="text-align: justify;"><span style="font-size:16px;">Cách chữa thoát vị đĩa đệm tốt nhất là cách chữa hết đau, hết nhức, hết tê bì chân tay. Giúp người bệnh không phải mổ thoát vị đĩa đệm.</span></h2><p><a title="" href="https://chuabenhthoatvidiadem.vn/resources/files/do thi thuy 87 tv.mp3" style="font-size: 16px;">Nhờ thầy chữa khỏi bệnh mà con không phải mổ</a></p><p><span style="font-size:16px;"><img loading="lazy" alt="cach-chua-thoat-vi-dia-dem" src="data:image/gif;base64,R0lGODlhAQABAID/AP///wAAACwAAAAAAQABAAACAkQBADs=" data-src="https://chuabenhthoatvidiadem.vn/resources/images/cach-chua-thoat-vi-dia-dem.jpg" style="width: 827px; height: 1083px;" class="lazy" width="827" height="1083" data-optimized="1" /></span></p><p style="text-align: justify;"><span style="font-size:16px;">Thoát vị đĩa đệm là bệnh hay gặp, những cơn đau do thoát vị đĩa đệm gây nên làm cho người bệnh ăn không ngon, ngủ không yên. Nếu người bệnh uống thuốc tây giảm đau không khỏi, có cách chữa nào giúp họ khỏi đau do&nbsp;thoát vị đĩa đệm không? </span></p><p style="text-align: justify;"><span style="font-size:16px;"><img loading="lazy" alt="Thoát vị đĩa đệm cột sống thắt lưng" src="data:image/gif;base64,R0lGODlhAQABAID/AP///wAAACwAAAAAAQABAAACAkQBADs=" data-src="https://chuabenhthoatvidiadem.vn/resources/images/Chữa khỏi thoát vị đĩa đệm.jpg" style="width: 900px; height: 1200px;" class="lazy" width="900" height="1200" data-optimized="1" /></span></p><p style="text-align: justify;"><a title="" href="https://chuabenhthoatvidiadem.vn/resources/files/Cao Thị Huệ 1974%2C An Giang_mp3.mp3" style="font-size: 16px;">Cách chữa thoát vị đĩa đệm không phải mổ</a></p><p style="text-align: justify;"><span style="font-size:16px;">Mời bạn đọc&nbsp;nghe những cuộc nói chuyện giữa người bệnh và Lương y Nguyễn Văn Minh để tham khảo.</span></p><p><a href="https://chuabenhthoatvidiadem.vn/resources/files/Chi tuyet tvdd hau giang mới (1).mp3" title=""><span style="font-size:16px;">Chữa khỏi thoát vị đĩa đệm</span></a></p><p style="text-align: justify;"><span style="font-size:16px;">Thuốc trị&nbsp;thoát vị đĩa đệm của phòng khám đông y Bảo Minh, do Lương y Nguyễn văn Minh khám bệnh và kê đơn thuốc.&nbsp;Đã&nbsp;điều trị cho rất nhiều người khỏi bệnh,&nbsp;chúng tôi chỉ viết bài, đăng thông tin khi quý khách đồng ý cho ghi lại và chia sẻ ý kiến ở đây. Những trường hợp người có bệnh thật sự, thầy thuốc chữa khỏi bệnh có thật, nên sau này quý khách nào không muốn chia sẻ&nbsp;nữa, chúng tôi sẽ gỡ bỏ thông tin xuống. Xin trân trọng cảm ơn quý khách.</span></p><p><a title="" href="https://chuabenhthoatvidiadem.vn/resources/files/Bác Nguyễn Thị Mỹ Lệ%2C Bình Phước.mp3"><span style="font-size:16px;">Cách chữa thoát vị đĩa đệm hết đau hết nhức</span></a></p><h3 style="text-align: justify;"><span style="font-size:16px;">Bạn đọc gửi kết quả chụp cộng hưởng từ cột sống, Lương y Nguyễn Văn Minh tư vấn cách chữa bệnh qua Zalo: 0913503552</span></h3><p><img loading="lazy" alt="Cách chữa thoát vị đĩa đệm thắt lưng" src="data:image/gif;base64,R0lGODlhAQABAID/AP///wAAACwAAAAAAQABAAACAkQBADs=" data-src="https://chuabenhthoatvidiadem.vn/resources/images/Thoát vị đĩa đệm chèn ép bao màng cứng.jpg" style="width: 650px; height: 813px;" class="lazy" width="960" height="1200" data-optimized="1" /></p><p><em>Kết luận chụp cộng hưởng từ cột sống thắt lưng</em></p><p><img loading="lazy" alt="thoát vị đĩa đệm" src="data:image/gif;base64,R0lGODlhAQABAID/AP///wAAACwAAAAAAQABAAACAkQBADs=" data-src="https://chuabenhthoatvidiadem.vn/resources/images/Thoát vị đĩa đệm.png" style="width: 354px; height: 392px;" class="lazy" width="354" height="392" data-optimized="1" /></p><p><em><span style="font-size:16px;">Hình ảnh thoát vị đĩa đệm L4-L5 trên phim chụp cộng hưởng từ.</span></em></p><p><span style="font-size:16px;">(*)&nbsp; &nbsp;Lưu ý: Thuốc chữa thoát vị đĩa đệm có tác dụng nhanh/chậm tùy theo cơ địa&nbsp;mỗi nguời</span></p><p><span style="font-size:16px;">Có thể bạn muốn xem:</span></p><h4 class="ellip" style="overflow: hidden; text-overflow: ellipsis; white-space: nowrap;"><span style="font-size:16px;"><a href="https://phongkhambaominh.com/thoat-vi-dia-dem/benh-hoc-benh-an.htm" rel="noopener" style="color: rgb(102, 0, 153); cursor: pointer; text-decoration-line: none; font-family: arial, sans-serif; font-size: small;" target="_blank" title="">Bệnh học, bệnh án thoát vị đĩa đệm ở phòng khám đông y&nbsp;Bảo Minh</a></span></h4><p style="text-align: justify;"><span style="font-size:16px;">Thầy thuốc đông y&nbsp;chữa thoát vị ở TP.HCM: 856/6 Quang Trung, phường Thông Tây Hội, TP.HCM (trước đây là Phường 8, quận Gò Vấp). ĐT, Zalo gặp Lương y Nguyễn Văn Minh, tôi sẽ&nbsp;chỉ cách chữa tốt nhất, hiệu quả nhất, thuận tiện nhất cho bạn hoặc&nbsp;người nhà bị&nbsp;thoát vị đĩa đệm: 0913503552 - ĐT bàn: 028.6295.1367</span></p><p style="text-align: justify;"><span style="font-size: 16px;">Quý khách muốn khám thoát vị đĩa đệm, nên sử dụng Google Map chỉ&nbsp;đường&nbsp;tới phòng&nbsp;</span><span style="font-size: 16px;">khám đông y Bảo Minh.</span></p><p style="text-align: justify;"><span style="background-color: transparent; font-size: 16px; color: rgb(0, 0, 0); font-family: RobotoSlab-Regular, Arial, Helvetica, sans-serif;">Trang web của phòng khám&nbsp;chuyên chữa thoát vị đĩa đệm, cách chữa hoàn toàn bằng thuốc đông y: thoatvidiadem.top và chuabenhthoatvidiadem.vn</span></p><h3 class="r" style="line-height: 1.1; box-sizing: border-box; margin: 0px; padding: 0px; border: 0px; outline: 0px; font-size: 18px; vertical-align: baseline; background-image: initial; background-position: initial; background-size: initial; background-repeat: initial; background-attachment: initial; background-origin: initial; background-clip: initial; font-family: RobotoSlab-Regular, Arial, Helvetica, sans-serif; color: rgb(0, 0, 0); max-width: 100%; overflow: hidden; text-overflow: ellipsis; white-space: nowrap;"><a href="https://chuabenhthoatvidiadem.vn/" style="color: rgb(102, 0, 153); box-sizing: border-box; margin: 0px; padding: 0px; border: 0px; outline: 0px; vertical-align: baseline; background: transparent; text-decoration-line: none; transition: all 406ms ease-out 0s; max-width: 100%; cursor: pointer;" target="_blank" title="">Thoát Vị Đĩa Đệm</a></h3><div class="s" style="box-sizing: border-box; margin: 0px; padding: 0px; border: 0px; outline: 0px; font-size: 16px; vertical-align: baseline; background-image: initial; background-position: initial; background-size: initial; background-repeat: initial; background-attachment: initial; background-origin: initial; background-clip: initial; position: relative; max-width: 48em; font-family: RobotoSlab-Regular, Arial, Helvetica, sans-serif; color: rgb(84, 84, 84); line-height: 18px;"><div class="f kv _SWb" style="box-sizing: border-box; margin: 0px; padding: 0px; border: 0px; outline: 0px; font-size: small; vertical-align: baseline; background: transparent; position: relative; max-width: 100%; color: rgb(128, 128, 128); height: 18px; line-height: 16px; font-family: arial, sans-serif; white-space: nowrap;"><cite class="_Rm" style="box-sizing: border-box; margin: 0px; padding: 0px; border: 0px; outline: 0px; font-size: 14px; vertical-align: baseline; background: transparent; max-width: 100%; color: rgb(0, 102, 33); font-style: normal;">chuabenhthoatvidiadem.vn</cite></div></div>]]></content:encoded>
						<wfw:commentRss></wfw:commentRss>
						<slash:comments>0</slash:comments>
					</item>
				
					<item>
						<title>Trung ương Hội Đông y Việt Nam khen tặng Lương y Nguyễn Văn Minh</title>
						<link>https://chuabenhthoatvidiadem.vn/bai-viet/kham-chua-benh-thoat-vi-dia-dem/trung-uong-hoi-dong-y-viet-nam-khen-tang-luong-y-nguyen-van-minh-pid-214.html</link>
						<comments></comments>
						<pubDate>Sat, 26 May 2018 06:20:19 +0700</pubDate>
						<dc:creator>admin</dc:creator>
						<category><![CDATA[Khám chữa bệnh thoát vị đĩa đệm]]></category>
						<guid isPermaLink="false"></guid>
						<description><![CDATA[Nhờ thành tích tốt và bề dày trong hoạt động khám bệnh, chữa bệnh bằng đông y, có đạo đức nghề nghiệp và những cống hiến cho nền Đông y Việt Nam phát triển. Lương y Nguyễn Văn Minh được ban chấp hành Trung ương Hội Đông y Việt Nam khen tặng. Quyết định khen thưởng số 414 /QĐ - HYĐ ngày 10/01/2018 do thầy thuốc nhân dân Trần Văn Bản, chủ tịch Hội Đông y Việt Nam ký quyết định ngày 10/01/2018.]]></description>
						<content:encoded><![CDATA[<p style="text-align: justify;"><span style="font-size:16px;">Nhờ thành tích tốt cũng như bề dày trong hoạt động khám bệnh, chữa bệnh bằng đông y, có đạo đức nghề nghiệp và&nbsp;những cống hiến cho nền Đông y Việt Nam phát triển. Lương y Nguyễn Văn Minh được ban chấp hành Trung ương Hội Đông y Việt Nam khen tặng. Quyết định khen thưởng số 414 /QĐ - HYĐ ngày 10/01/2018 do thầy thuốc nhân dân Trần Văn Bản, chủ tịch Hội Đông y&nbsp;Việt Nam ký ngày 10/01/2018.</span></p><p style="text-align: justify;"><img loading="lazy" alt="Bằng khen Lương y Nguyễn Văn Minh" src="data:image/gif;base64,R0lGODlhAQABAID/AP///wAAACwAAAAAAQABAAACAkQBADs=" data-src="https://chuabenhthoatvidiadem.vn/resources/images/20180504_102753.jpg" style="width: 650px; height: 600px;" class="lazy" width="640" height="481" data-optimized="1" /></p><p style="text-align: justify;"><span style="font-size:16px;">Đây là phần thưởng cao quý nhất của Hội Đông y&nbsp;Việt Nam. Những thầy thuốc được trao Kỷ Niệm Chương Vì Sự Nghiệp Đông Y phải hội đủ các yếu tố: Có thời gian trên 25 năm&nbsp;hoạt động liên tục trong lĩnh vực đông y, có uy tín trong việc khám bệnh, chữa bệnh bằng thuốc đông y, có&nbsp;đạo đức nghề nghiệp tốt, tham gia tích cực&nbsp;phổ biến&nbsp;truyền thụ&nbsp;kiến thức khám chữa bệnh bằng đông y. Được&nbsp;Hội Đông y&nbsp;các quận huyện và Hội Đông y&nbsp;TP. HCM đề cử.</span></p><p style="text-align: justify;"><img loading="lazy" alt="Thầy thuốc đông y Nguyễn Văn Minh" src="data:image/gif;base64,R0lGODlhAQABAID/AP///wAAACwAAAAAAQABAAACAkQBADs=" data-src="https://chuabenhthoatvidiadem.vn/resources/images/Thầy thuốc đông y Nguyễn Văn Minh(2).jpg" style="width: 884px; height: 656px;" class="lazy" width="884" height="656" data-optimized="1" /></p><p style="text-align: justify;">Năm 2025, Lương y Nguyễn Văn Minh vinh dự nhận danh hiệu: THẦY THUỐC ĐÔNG Y TIÊU BIỂU TOÀN QUỐC.</p><p style="text-align: justify;">Mời quý khách xem một số hình ảnh tại buổi lễ vinh danh thầy thuốc đông y tiêu biểu toàn quốc,&nbsp;do Trung ương Hội Đông y Việt Nam tổ chức&nbsp;<span style="text-align: justify;">tại TP.HCM.</span></p><p style="text-align: justify;"><span class="optimize-cls-iframe" data-src="https://www.youtube.com/embed/xLWYYvmTA-w">https://www.youtube.com/embed/xLWYYvmTA-w</span></p><p style="text-align: justify;">Lương y Nguyễn Văn Minh là thầy thuốc chuyên chữa thoát vị đĩa đệm tại TP.HCM. Ông có kinh nghiệm chữa bệnh trên 25 năm, đã chữa khỏi bệnh cho rất nhiều người. Phòng khám của ông điều trị thoát vị đĩa đệm có uy tín, được nhiều người khỏi bệnh giới thiệu người nhà đến chữa.&nbsp;</p><p style="text-align: justify;"><img loading="lazy" alt="Bằng khen Lương y Nguyễn Văn Minh" src="data:image/gif;base64,R0lGODlhAQABAID/AP///wAAACwAAAAAAQABAAACAkQBADs=" data-src="https://chuabenhthoatvidiadem.vn/resources/images/Lương y Nguyễn Văn Minh(3).jpg" style="width: 850px; height: 638px;" class="lazy" width="1536" height="1152" data-optimized="1" /></p><p style="text-align: justify;">Chủ tịch Hội Đông y Việt Nam tặng bằng khen Lương y Nguyễn Văn Minh năm 2023.</p><p style="text-align: justify;"><span style="font-size:16px;"><img loading="lazy" alt="Thầy thuốc Nguyễn Văn Minh " src="data:image/gif;base64,R0lGODlhAQABAID/AP///wAAACwAAAAAAQABAAACAkQBADs=" data-src="https://chuabenhthoatvidiadem.vn/resources/images/Thầy thuốc Nguyễn Văn Minh(1).jpg" style="width: 768px; height: 570px;" class="lazy" width="768" height="570" data-optimized="1" /><em><span style="font-size:14px;">Thầy thuốc chữa thoát vị đĩa đệm;&nbsp;</span></em></span><a data-ved="2ahUKEwihk4u_2av_AhUPmVYBHcEmD6o4RhAWegQICBAB" href="https://chuabenhthoatvidiadem.vn/cach-chua-benh/thay-thuoc-chua-thoat-vi-dia-dem-o-go-vap-thay-thuoc-10-that-pid-313.html" jsaction="rcuQ6b:npT2md" jscontroller="M9mgyc" jsname="qOiK6e" ping="/url?sa=t&amp;source=web&amp;rct=j&amp;url=https://chuabenhthoatvidiadem.vn/cach-chua-benh/thay-thuoc-chua-thoat-vi-dia-dem-o-go-vap-thay-thuoc-10-that-pid-313.html&amp;ved=2ahUKEwihk4u_2av_AhUPmVYBHcEmD6o4RhAWegQICBAB" style="box-sizing: border-box; margin: 0px; padding: 0px; border: 0px; outline: 0px; font-size: small; vertical-align: baseline; background-image: initial; background-position: initial; background-size: initial; background-repeat: initial; background-attachment: initial; background-origin: initial; background-clip: initial; color: rgb(26, 13, 171); text-decoration-line: none; transition: all 406ms ease-out 0s; max-width: 100%; text-align: justify; -webkit-tap-highlight-color: rgba(0, 0, 0, 0.1); font-family: arial, sans-serif;" title="">Thầy Thuốc có 10 sự thật.</a></p><p style="text-align: justify;"><img loading="lazy" alt="Lương y Nguyễn Văn Minh đông y TP.HCM " src="data:image/gif;base64,R0lGODlhAQABAID/AP///wAAACwAAAAAAQABAAACAkQBADs=" data-src="https://chuabenhthoatvidiadem.vn/resources/images/Thoatvidiadem_top.jpg" style="width: 640px; height: 469px;" class="lazy" width="640" height="469" data-optimized="1" /></p><p style="text-align: justify;">Chủ tịch Hội Đông y TP.HCM khen tặng Lương y Nguyễn Văn Minh vì những đóng góp của ông cho Hội Đông y Quận gò Vấp.&nbsp;</p><p style="text-align: justify;"><img loading="lazy" alt="Thầy thuốc đông y Nguyễn Văn Minh" src="data:image/gif;base64,R0lGODlhAQABAID/AP///wAAACwAAAAAAQABAAACAkQBADs=" data-src="https://chuabenhthoatvidiadem.vn/resources/images/Thoatvidiadem_top (4).jpg" style="width: 640px; height: 514px;" class="lazy" width="640" height="514" data-optimized="1" /></p><p style="text-align: justify;">Trang web&nbsp;<a data-ved="2ahUKEwis5_Hy3uX3AhVID94KHbAgC_gQFnoECAIQAQ" href="https://chuabenhthoatvidiadem.vn/" ping="/url?sa=t&amp;source=web&amp;rct=j&amp;url=https://chuabenhthoatvidiadem.vn/&amp;ved=2ahUKEwis5_Hy3uX3AhVID94KHbAgC_gQFnoECAIQAQ" style="color: rgb(26, 13, 171); text-decoration-line: none; -webkit-tap-highlight-color: rgba(0, 0, 0, 0.1); outline: 0px; font-family: arial, sans-serif; font-size: small;" title="">Thoát Vị Đĩa Đệm</a>&nbsp;có 2 tên miền: thoatvidiadem.top và chuabenhthoatvidiadem.vn</p><p style="text-align: justify;"><img loading="lazy" alt="Bằng khen Hội đông y Quận Gò Vấp" src="data:image/gif;base64,R0lGODlhAQABAID/AP///wAAACwAAAAAAQABAAACAkQBADs=" data-src="https://chuabenhthoatvidiadem.vn/resources/images/Bằng khen Lương y Nguyễn Văn Minh.jpg" style="width: 1600px; height: 1163px;" class="lazy" width="1600" height="1163" data-optimized="1" /></p><p style="text-align: justify;"><span style="font-size:16px;"><img loading="lazy" alt="BCH hội đông y quận Gò Vấp, TP.HCM" src="data:image/gif;base64,R0lGODlhAQABAID/AP///wAAACwAAAAAAQABAAACAkQBADs=" data-src="https://chuabenhthoatvidiadem.vn/resources/images/Dong-y-Go-Vap.jpg" style="width: 768px; height: 576px;" class="lazy" width="768" height="576" data-optimized="1" /></span></p><p style="text-align: justify;"><span style="font-size:16px;"><span style="font-size:14px;"><em>Lương y Nguyễn Văn Minh trong ban chấp hành Hội Đông y quận Gò Vấp, TP. Hồ Chí Minh.</em></span></span></p><p style="text-align: justify;"><span style="font-size: 16px;">Có thể bạn quan tâm:</span></p><p style="text-align: justify;"><span style="font-size: 16px;">Kênh video&nbsp;chữa bệnh của&nbsp;<a href="https://www.youtube.com/channel/UCMrl47bRL4MgAguyRi48mEw" style="color: rgb(102, 0, 153); cursor: pointer; text-decoration-line: none;" target="_blank" title="">Lương y Nguyễn Văn Minh trên YouTube</a></span></p><p style="text-align: justify;"><span style="font-size: 16px;">Trang web&nbsp;về&nbsp;<a href="http://phongkhambaominh.com/" style="color: rgb(102, 0, 153); cursor: pointer; text-decoration-line: none;" target="_blank" title="">Phòng Khám Đông Y Bảo Minh</a></span></p><p style="text-align: justify;"><span style="font-size: 16px;">Lương y Nguyễn Văn Minh chữa bệnh t</span><span style="font-size: 16px;">hoát vị đĩa đệm tại địa chỉ duy nhất ở TP. HCM: 856/6 Đường Quang Trung, Quận Gò Vấp. ĐT, Zalo: 0913503552 - ĐT bàn: 028.6295.1367</span></p><p style="text-align: justify;"><span style="font-size:16px;"><span class="optimize-cls-iframe" data-src="https://www.youtube.com/embed/EmPEC4ONVr8">https://www.youtube.com/embed/EmPEC4ONVr8</span></span></p><p style="text-align: justify;"><span style="background-color: transparent; color: rgb(0, 0, 0); font-family: RobotoSlab-Regular, Arial, Helvetica, sans-serif; font-size: 16px;">Lương y Nguyễn Văn Minh chữa thoát vị đĩa đệm, có chia sẻ cách chữa&nbsp;tại trang web:</span></p><h3 class="r" style="line-height: 1.1; box-sizing: border-box; margin: 0px; padding: 0px; border: 0px; outline: 0px; font-size: 18px; vertical-align: baseline; background-image: initial; background-position: initial; background-size: initial; background-repeat: initial; background-attachment: initial; background-origin: initial; background-clip: initial; font-family: RobotoSlab-Regular, Arial, Helvetica, sans-serif; color: rgb(0, 0, 0); max-width: 100%; overflow: hidden; text-overflow: ellipsis; white-space: nowrap;"><a href="https://chuabenhthoatvidiadem.vn/" style="color: rgb(102, 0, 153); box-sizing: border-box; margin: 0px; padding: 0px; border: 0px; outline: 0px; vertical-align: baseline; background: transparent; text-decoration-line: none; transition: all 406ms ease-out 0s; max-width: 100%; cursor: pointer;" target="_blank" title="">Cách Chữa Bệnh Thoát Vị Đĩa Đệm</a></h3><div class="s" style="box-sizing: border-box; margin: 0px; padding: 0px; border: 0px; outline: 0px; font-size: 16px; vertical-align: baseline; background-image: initial; background-position: initial; background-size: initial; background-repeat: initial; background-attachment: initial; background-origin: initial; background-clip: initial; position: relative; max-width: 48em; font-family: RobotoSlab-Regular, Arial, Helvetica, sans-serif; color: rgb(84, 84, 84); line-height: 18px;"><div class="f kv _SWb" style="box-sizing: border-box; margin: 0px; padding: 0px; border: 0px; outline: 0px; font-size: small; vertical-align: baseline; background: transparent; position: relative; max-width: 100%; color: rgb(128, 128, 128); height: 18px; line-height: 16px; font-family: arial, sans-serif; white-space: nowrap;"><cite class="_Rm" style="box-sizing: border-box; margin: 0px; padding: 0px; border: 0px; outline: 0px; font-size: 14px; vertical-align: baseline; background: transparent; max-width: 100%; color: rgb(0, 102, 33); font-style: normal;">chuabenhthoatvidiadem.vn</cite></div><div class="f kv _SWb" style="box-sizing: border-box; margin: 0px; padding: 0px; border: 0px; outline: 0px; font-size: small; vertical-align: baseline; background: transparent; position: relative; max-width: 100%; color: rgb(128, 128, 128); height: 18px; line-height: 16px; font-family: arial, sans-serif; white-space: nowrap;"><font face="arial, helvetica, sans-serif" style="box-sizing: border-box; margin: 0px; padding: 0px; border: 0px; outline: 0px; font-size: 16px; vertical-align: baseline; background-image: initial; background-position: initial; background-size: initial; background-repeat: initial; background-attachment: initial; background-origin: initial; background-clip: initial; max-width: 100%; color: rgb(0, 0, 0);"><span style="box-sizing: border-box; margin: 0px; padding: 0px; border: 0px; outline: 0px; vertical-align: baseline; background: transparent; max-width: 100%;">Googd Map chỉ đường:&nbsp;</span></font><a href="https://thoatvidiademcotsong.business.site/?utm_source=gmb&amp;utm_medium=referral" style="box-sizing: border-box; margin: 0px; padding: 0px; border: 0px; outline: 0px; font-size: 16px; vertical-align: baseline; background-image: initial; background-position: initial; background-size: initial; background-repeat: initial; background-attachment: initial; background-origin: initial; background-clip: initial; color: rgb(51, 122, 183); text-decoration-line: none; transition: all 406ms ease-out 0s; max-width: 100%; font-family: RobotoSlab-Regular, Arial, Helvetica, sans-serif;" title="">thoatvidiadem cotsong</a></div></div>]]></content:encoded>
						<wfw:commentRss></wfw:commentRss>
						<slash:comments>0</slash:comments>
					</item>
				
					<item>
						<title>Lương y Nguyễn Văn Minh: Thầy thuốc đông y tiêu biêu toàn quốc.</title>
						<link>https://chuabenhthoatvidiadem.vn/bai-viet/thay-thuoc-dong-y-o-tp-hcm/luong-y-nguyen-van-minh-thay-thuoc-dong-y-tieu-bieu-toan-quoc-pid-339.html</link>
						<comments></comments>
						<pubDate>Sun, 22 Jun 2025 11:47:02 +0700</pubDate>
						<dc:creator>admin</dc:creator>
						<category><![CDATA[Thầy thuốc đông y ở TP. HCM]]></category>
						<guid isPermaLink="false"></guid>
						<description><![CDATA[Thầy thuốc đông y giỏi ở TP.HCM]]></description>
						<content:encoded><![CDATA[<h2 style="text-align: justify;"><span style="font-size:16px;">Thầy thuốc Đông y tiêu biểu toàn quốc là danh hiệu cao quý do Chủ tịch Trung ương Hội Đông y Việt Nam trao tặng.&nbsp;Danh hiệu này nhằm tôn vinh những thầy thuốc đông y&nbsp; giỏi, có chuyên môn cao, tâm huyết với nghề và có những cống hiến xuất sắc trong việc khám chữa bệnh&nbsp;bằng phương pháp Đông y.&nbsp;</span></h2><p><img loading="lazy" alt="Thay thuoc dong y tieu bieu toan quoc" src="data:image/gif;base64,R0lGODlhAQABAID/AP///wAAACwAAAAAAQABAAACAkQBADs=" data-src="https://chuabenhthoatvidiadem.vn/resources/images/Thay thuoc dong y tieu bieu toan quoc(1).jpg" style="width: 896px; height: 656px;" class="lazy" width="896" height="656" data-optimized="1" /></p><p style="text-align: justify;"><span style="font-size:16px;">Lương y Nguyễn Văn Minh là thầy thuốc đông y ở Thành Phố Hồ Chí Minh. Ông vinh dự nhận giải thưởng: Thầy Thuốc Đông y tiêu biểu toàn quốc.&nbsp;</span></p><p style="text-align: justify;"><span style="font-size:16px;"><img loading="lazy" alt="Lễ vinh danh thầy thuốc đông y tiêu biểu toàn quốc" src="data:image/gif;base64,R0lGODlhAQABAID/AP///wAAACwAAAAAAQABAAACAkQBADs=" data-src="https://chuabenhthoatvidiadem.vn/resources/images/Lễ vinh danh Thầy thuốc đông y tiêu biểu toàn quốc.jpg" style="width: 896px; height: 672px;" class="lazy" width="896" height="672" data-optimized="1" /></span></p><p style="text-align: justify;"><span style="font-size: 16px; text-align: justify;">Lương y Nguyễn Văn Minh&nbsp;là UVBCH hội Đông Y quận Gò Vấp, thuộc hội Đông Y thành phố Hồ Chí Minh. Ông có trên 30 năm cống hiến cho nền đông y Việt Nam. Ông vinh dự nhận nhiều giấy khen của UBND quận Gò Vấp, BCH Hội Đông y&nbsp;thành phố Hồ Chí Minh, nhận nhiều bằng khen do Chủ tịch Hội Đông y Việt Nam trao tặng. Đặc biệt hơn, Ông được trao tặng kỷ niệm chương VÌ SỰ NGHIỆP ĐÔNG Y trước khi nhận danh hiệu&nbsp;THẦY THUỐC ĐÔNG Y TIÊU BIỂU TOÀN QUỐC.</span></p><p style="text-align: justify;"><span style="font-size:16px;">Nhà thuốc và phòng khám đông y Bảo Minh do ông phụ trách, có địa chỉ duy nhất ở thành phố Hồ Chí Minh, số 856/6 đường Quang Trung, quận Gò Vấp, thành phố Hồ Chí Minh.&nbsp;</span></p><p><span class="optimize-cls-iframe" data-src="https://www.youtube.com/embed/xLWYYvmTA-w">https://www.youtube.com/embed/xLWYYvmTA-w</span></p><p><em><span style="font-size:14px;">Video ghi lại buổi lễ vinh danh thầy thuốc đông y tiêu biểu toàn quốc.&nbsp;</span></em></p><p>&nbsp;</p>]]></content:encoded>
						<wfw:commentRss></wfw:commentRss>
						<slash:comments>0</slash:comments>
					</item>
				
					<item>
						<title>Phòng khám đông y TP HCM chữa thoát vị đĩa đệm</title>
						<link>https://chuabenhthoatvidiadem.vn/bai-viet/ket-qua-dieu-tri-thoat-vi-dia-dem/phong-kham-dong-y-tp-hcm-chua-thoat-vi-dia-dem-pid-336.html</link>
						<comments></comments>
						<pubDate>Mon, 24 Mar 2025 06:01:31 +0700</pubDate>
						<dc:creator>admin</dc:creator>
						<category><![CDATA[Kết quả điều trị thoát vị đĩa đệm]]></category>
						<guid isPermaLink="false"></guid>
						<description><![CDATA[Phòng Khám đông y TP HCM chữa thoát vị đĩa đệm có rất nhiều. Phòng khám nào chữa bệnh tốt, bác sĩ chữa bệnh giỏi, có uy tín sẽ được người bệnh nhớ mãi và sẵn sàng giới thiệu bạn bè, người quen đến phòng khám đông y đó để chữa bệnh. Phòng khám đông y Bảo Minh vinh dự là một trong số đó.]]></description>
						<content:encoded><![CDATA[<h2 style="text-align: justify;"><span style="font-size:16px;">Phòng khám đông y&nbsp;TP&nbsp;HCM chữa thoát vị đĩa đệm có rất nhiều. Phòng khám nào tốt&nbsp;có uy&nbsp;tín, bác sĩ chữa bệnh&nbsp;giỏi sẽ được người bệnh nhớ mãi và sẵn sàng giới thiệu bạn bè, người quen&nbsp;đến phòng khám đông y đó để chữa bệnh.&nbsp;</span></h2><p><img loading="lazy" alt="Phòng khám đông yTP HCM chữa thoát vị đĩa đệm" src="data:image/gif;base64,R0lGODlhAQABAID/AP///wAAACwAAAAAAQABAAACAkQBADs=" data-src="https://chuabenhthoatvidiadem.vn/resources/images/Phong-kham-dong-y-TP_HCM.jpg" style="width: 855px; height: 635px;" class="lazy" width="855" height="635" data-optimized="1" /></p><p><span style="font-size:16px;">Phòng khám đông y Bảo Minh nhận giấy khen năm 2023.</span></p><p style="text-align: justify;"><span style="font-size:16px;">Thuốc đông y gần đây nhận được nhiều sự quan tâm của người bệnh vì tác dụng chữa bệnh rất tốt, ít tác dụng phụ, nhất là thuốc chữa bệnh đau xương khớp,&nbsp;thoái hóa cột sống, gai cột sống và thoát vị đĩa đệm.&nbsp;Phòng khám đông y Bảo Minh TP.HCM là&nbsp;phòng khám được nhiều người biết đến qua sự giới thiệu, mời bạn đọc bấm vào video để nghe người bệnh tin tưởng đến khám bệnh tại</span><span style="font-size: 16px; text-align: justify;">&nbsp;đây. A</span><span style="font-size:16px;">nh tên là Trương Đình Tùng, nhà ở thôn Quảng Lộc, Xã Đạo Nghĩa, huyện Đắk&nbsp;R&#39;Lấp, tỉnh Đắk Nông.&nbsp;</span><span style="text-align: justify; font-size: 16px;">Anh</span><span style="text-align: justify; font-size: 16px;">&nbsp;Tùng chứng kiến&nbsp;bạn mình là anh Vinh và anh Bảo đã chữa hết bệnh, hết đau, hết nhức ở đây.&nbsp;</span></p><p><span class="optimize-cls-iframe" data-src="https://www.youtube.com/embed/ZZzci7vd7AM">https://www.youtube.com/embed/ZZzci7vd7AM</span></p><p style="text-align: justify;"><span style="font-size: 16px;">&nbsp;Anh Tùng là bạn thân của anh&nbsp;Vinh và anh Bảo, anh Tùng thấy các bạn mình chữa bệnh ở&nbsp;đây tốt quá, nay anh đến bắt mạch, khám bệnh để mua thuốc đông y về điều trị, anh đồng ý kể lại câu chuyện về bạn mình đã giới thiệu anh đến đây chữa bệnh. </span></p><p style="text-align: justify;"><span style="font-size: 16px;">Mời quý khách xem kết quả chụp MRI của anh Trần Vinh ở dưới đây;</span></p><p><img loading="lazy" alt="Phong-kham-dong-y-TP-HCM" src="data:image/gif;base64,R0lGODlhAQABAID/AP///wAAACwAAAAAAQABAAACAkQBADs=" data-src="https://chuabenhthoatvidiadem.vn/resources/images/Phong-kham-dong-y-tp-hcm.jpg" style="width: 841px; height: 1200px;" class="lazy" width="841" height="1200" data-optimized="1" /></p><p style="text-align: justify;"><span style="font-size:16px;">Năm 2023,&nbsp;anh Trần Vinh có&nbsp;đến phòng khám đông y Bảo Minh để chữa bệnh.&nbsp;Do anh Vinh được anh Thống đã&nbsp;chữa khỏi bệnh giới thiệu đến phòng khám, anh Vinh&nbsp;đồng ý cho quay video kể lại câu chuyện.&nbsp;</span>&nbsp;</p><p><span class="optimize-cls-iframe" data-src="https://www.youtube.com/embed/zbRit8kiKUQ">https://www.youtube.com/embed/zbRit8kiKUQ</span></p><p style="box-sizing: border-box; margin: 0px 0px 10px; padding: 0px; border: 0px; outline: 0px; font-size: 16px; vertical-align: baseline; background-image: initial; background-position: initial; background-size: initial; background-repeat: initial; background-attachment: initial; background-origin: initial; background-clip: initial; max-width: 100%; color: rgb(0, 0, 0); font-family: RobotoSlab-Regular, Arial, Helvetica, sans-serif; text-align: justify;"><span style="font-size:16px;"><span style="box-sizing: border-box; margin: 0px; padding: 0px; border: 0px; outline: 0px; vertical-align: baseline; background: transparent; max-width: 100%;">Khi chia sẻ&nbsp;thông tin&nbsp;bệnh án và kết quả chữa khỏi bệnh của quý khách&nbsp;ở đây. Phòng khám đông y Bảo Minh&nbsp;TP.HCM có xin phép và được sự đồng ý của quý khách. Xin trân trọng cảm ơn quý khách đã tin vào uy tín của phòng khám và thầy thuốc cho chia sẻ sự thật ở đây, với mong muốn giúp được nhiều người bệnh&nbsp;gặp thầy gặp thuốc.&nbsp;&nbsp;Sau này quý khách nào không muốn xuất hiện trên trang web này nữa, chúng tôi sẽ ẩn đi.</span></span></p><p style="box-sizing: border-box; margin: 0px 0px 10px; padding: 0px; border: 0px; outline: 0px; font-size: 16px; vertical-align: baseline; background-image: initial; background-position: initial; background-size: initial; background-repeat: initial; background-attachment: initial; background-origin: initial; background-clip: initial; max-width: 100%; color: rgb(0, 0, 0); font-family: RobotoSlab-Regular, Arial, Helvetica, sans-serif;"><span style="font-size:16px;"><span style="box-sizing: border-box; margin: 0px; padding: 0px; border: 0px; outline: 0px; vertical-align: baseline; background: transparent; max-width: 100%;">Mời quý khách xem;&nbsp;<a data-ved="2ahUKEwjiy9_6hJuFAxXHrVYBHU1vAA44ChAWegQICxAB" href="https://chuabenhthoatvidiadem.vn/cach-chua-benh/chinh-sach-bao-mat-thong-tin-pid-300.html" jsname="UWckNb" ping="/url?sa=t&amp;source=web&amp;rct=j&amp;opi=89978449&amp;url=https://chuabenhthoatvidiadem.vn/cach-chua-benh/chinh-sach-bao-mat-thong-tin-pid-300.html&amp;ved=2ahUKEwjiy9_6hJuFAxXHrVYBHU1vAA44ChAWegQICxAB" style="box-sizing: border-box; margin: 0px; padding: 0px; border: 0px; outline: 0px; font-size: small; vertical-align: baseline; background: transparent; color: rgb(26, 13, 171); text-decoration-line: none; transition: 406ms ease-out; max-width: 100%; -webkit-tap-highlight-color: rgba(0, 0, 0, 0.1); font-family: arial, sans-serif;" title="">Chính sách bảo mật thông tin</a></span></span></p><p style="box-sizing: border-box; margin: 0px 0px 10px; padding: 0px; border: 0px; outline: 0px; font-size: 16px; vertical-align: baseline; background-image: initial; background-position: initial; background-size: initial; background-repeat: initial; background-attachment: initial; background-origin: initial; background-clip: initial; max-width: 100%; color: rgb(0, 0, 0); font-family: RobotoSlab-Regular, Arial, Helvetica, sans-serif;"><img loading="lazy" alt="Phòng khám đông y TP HCM" src="data:image/gif;base64,R0lGODlhAQABAID/AP///wAAACwAAAAAAQABAAACAkQBADs=" data-src="https://chuabenhthoatvidiadem.vn/resources/images/Phong-kham-dong-y(1).jpg" style="width: 848px; height: 1200px;" class="lazy" width="848" height="1200" data-optimized="1" /></p><p style="box-sizing: border-box; margin: 0px 0px 10px; padding: 0px; border: 0px; outline: 0px; font-size: 16px; vertical-align: baseline; background-image: initial; background-position: initial; background-size: initial; background-repeat: initial; background-attachment: initial; background-origin: initial; background-clip: initial; max-width: 100%; color: rgb(0, 0, 0); font-family: RobotoSlab-Regular, Arial, Helvetica, sans-serif;"><span style="color: rgb(0, 0, 0); font-family: RobotoSlab-Regular, Arial, Helvetica, sans-serif; font-size: 16px;">Đây là bệnh án thoát vị đĩa đệm cổ; </span></p><p style="box-sizing: border-box; margin: 0px 0px 10px; padding: 0px; border: 0px; outline: 0px; font-size: 16px; vertical-align: baseline; background-image: initial; background-position: initial; background-size: initial; background-repeat: initial; background-attachment: initial; background-origin: initial; background-clip: initial; max-width: 100%; color: rgb(0, 0, 0); font-family: RobotoSlab-Regular, Arial, Helvetica, sans-serif;"><span style="color: rgb(0, 0, 0); font-family: RobotoSlab-Regular, Arial, Helvetica, sans-serif; font-size: 16px;">Quý khách bị thoái hóa đĩa đệm cột sống cổ, hẹp ống sống cổ. Phình lồi, thoát vị đĩa đệm cùng các gai xương thoái hóa gây hẹp nặng ống sống cổ và các lỗ liên hợp hai bên, chèn ép mạnh các rễ thần kinh. Sau khi điều trị ở phòng khám đông y, anh thấy tốt quá, đồng ý cho quay video kể lại quá trình&nbsp;điều trị như thế nào.&nbsp;Mời bạn đọc bấm xem video và cảm nhận phòng khám đông y ở TP.HCM&nbsp;có uy tín.</span></p><p style="box-sizing: border-box; margin: 0px 0px 10px; padding: 0px; border: 0px; outline: 0px; font-size: 16px; vertical-align: baseline; background-image: initial; background-position: initial; background-size: initial; background-repeat: initial; background-attachment: initial; background-origin: initial; background-clip: initial; max-width: 100%; color: rgb(0, 0, 0); font-family: RobotoSlab-Regular, Arial, Helvetica, sans-serif;"><span class="optimize-cls-iframe" data-src="https://www.youtube.com/embed/t_ttGQglswY">https://www.youtube.com/embed/t_ttGQglswY</span></p><p style="box-sizing: border-box; margin: 0px 0px 10px; padding: 0px; border: 0px; outline: 0px; font-size: 16px; vertical-align: baseline; background-image: initial; background-position: initial; background-size: initial; background-repeat: initial; background-attachment: initial; background-origin: initial; background-clip: initial; max-width: 100%; color: rgb(0, 0, 0); font-family: RobotoSlab-Regular, Arial, Helvetica, sans-serif;"><span style="box-sizing: border-box; margin: 0px; padding: 0px; border: 0px; outline: 0px; font-size: 16px; vertical-align: baseline; background-image: initial; background-position: initial; background-size: initial; background-repeat: initial; background-attachment: initial; background-origin: initial; background-clip: initial; max-width: 100%; color: rgb(0, 0, 0); font-family: RobotoSlab-Regular, Arial, Helvetica, sans-serif;">Có thể bạn muốn xem kênh YouTube của&nbsp;</span><a data-ved="2ahUKEwjw-azLjq-CAxVkqVYBHRiJA0QQFnoECBIQAQ" href="https://www.youtube.com/channel/UCMrl47bRL4MgAguyRi48mEw" jsname="UWckNb" ping="/url?sa=t&amp;source=web&amp;rct=j&amp;opi=89978449&amp;url=https://www.youtube.com/channel/UCMrl47bRL4MgAguyRi48mEw&amp;ved=2ahUKEwjw-azLjq-CAxVkqVYBHRiJA0QQFnoECBIQAQ" style="box-sizing: border-box; margin: 0px; padding: 0px; border: 0px; outline: 0px; font-size: small; vertical-align: baseline; background-image: initial; background-position: initial; background-size: initial; background-repeat: initial; background-attachment: initial; background-origin: initial; background-clip: initial; color: rgb(26, 13, 171); text-decoration-line: none; transition: 406ms ease-out; max-width: 100%; -webkit-tap-highlight-color: rgba(0, 0, 0, 0.1); font-family: arial, sans-serif;" title="">Lương y Nguyễn Văn Minh</a></p><p style="box-sizing: border-box; margin: 0px 0px 10px; padding: 0px; border: 0px; outline: 0px; font-size: 16px; vertical-align: baseline; background-image: initial; background-position: initial; background-size: initial; background-repeat: initial; background-attachment: initial; background-origin: initial; background-clip: initial; max-width: 100%; color: rgb(0, 0, 0); font-family: RobotoSlab-Regular, Arial, Helvetica, sans-serif; text-align: justify;"><span style="font-size:16px;">Đây là anh Đỗ Hải Nam ở thông Quảng Thọ, xã Đạo Nghĩa , huyện Đắk R Lấp, tỉnh Đắk Nông. Anh Nam được anh Lê Tấn&nbsp;Bảo ở gần nhà giới thiệu đến chữa bệnh đau lưng, đau xuống mông kéo xuống bắp chân. Đây là triệu chứng của căn bệnh thoát vị đĩa đệm cột sống thắt lưng, trước đây anh Bảo ở cùng xã đã được Lương y Nguyễn Văn Minh chữa khỏi bệnh.</span></p><p style="box-sizing: border-box; margin: 0px 0px 10px; padding: 0px; border: 0px; outline: 0px; font-size: 16px; vertical-align: baseline; background-image: initial; background-position: initial; background-size: initial; background-repeat: initial; background-attachment: initial; background-origin: initial; background-clip: initial; max-width: 100%; color: rgb(0, 0, 0); font-family: RobotoSlab-Regular, Arial, Helvetica, sans-serif;"><span style="box-sizing: border-box; margin: 0px; padding: 0px; border: 0px; outline: 0px; vertical-align: baseline; background: transparent; max-width: 100%;"><span class="optimize-cls-iframe" data-src="https://www.youtube.com/embed/4ekJn-7hTDU">https://www.youtube.com/embed/4ekJn-7hTDU</span></span></p><p style="box-sizing: border-box; margin: 0px 0px 10px; padding: 0px; border: 0px; outline: 0px; font-size: 16px; vertical-align: baseline; background-image: initial; background-position: initial; background-size: initial; background-repeat: initial; background-attachment: initial; background-origin: initial; background-clip: initial; max-width: 100%; color: rgb(0, 0, 0); font-family: RobotoSlab-Regular, Arial, Helvetica, sans-serif;"><span style="font-size:16px;">Bạn đọc xem&nbsp;video&nbsp;anh Lê Tấn Bảo chia sẻ ở đây&nbsp;<a title="" href="https://chuabenhthoatvidiadem.vn/cach-chua-benh/thay-thuoc-chua-thoat-vi-dia-dem-o-go-vap-thay-thuoc-10-that-pid-313.html">Thầy thuốc chữa thoát vị đĩa đệm tại TP.HCM</a></span></p><p style="box-sizing: border-box; margin: 0px 0px 10px; padding: 0px; border: 0px; outline: 0px; font-size: 16px; vertical-align: baseline; background-image: initial; background-position: initial; background-size: initial; background-repeat: initial; background-attachment: initial; background-origin: initial; background-clip: initial; max-width: 100%; color: rgb(0, 0, 0); font-family: RobotoSlab-Regular, Arial, Helvetica, sans-serif;">&nbsp;</p><p style="box-sizing: border-box; margin: 0px 0px 10px; padding: 0px; border: 0px; outline: 0px; font-size: 16px; vertical-align: baseline; background-image: initial; background-position: initial; background-size: initial; background-repeat: initial; background-attachment: initial; background-origin: initial; background-clip: initial; max-width: 100%; color: rgb(0, 0, 0); font-family: RobotoSlab-Regular, Arial, Helvetica, sans-serif;"><span class="optimize-cls-iframe" data-src="https://www.youtube.com/embed/EipKk5ZocEk">https://www.youtube.com/embed/EipKk5ZocEk</span></p><p style="box-sizing: border-box; margin: 0px 0px 10px; padding: 0px; border: 0px; outline: 0px; font-size: 16px; vertical-align: baseline; background-image: initial; background-position: initial; background-size: initial; background-repeat: initial; background-attachment: initial; background-origin: initial; background-clip: initial; max-width: 100%; color: rgb(0, 0, 0); font-family: RobotoSlab-Regular, Arial, Helvetica, sans-serif; text-align: justify;"><span style="font-size:16px;">Đây là người bệnh ở gần nhà anh Trần Vinh, thấy anh Vinh chữa hết bệnh họ hỏi thăm và được anh Vinh giới thiệu đến phòng khám. Quý khách xem hết các video sẽ thấy uy tín của phòng khám đông y ở đây tốt như thế nào họ mới giới thiệu như vậy.</span></p><p style="box-sizing: border-box; margin: 0px 0px 10px; padding: 0px; border: 0px; outline: 0px; font-size: 16px; vertical-align: baseline; background-image: initial; background-position: initial; background-size: initial; background-repeat: initial; background-attachment: initial; background-origin: initial; background-clip: initial; max-width: 100%; color: rgb(0, 0, 0); font-family: RobotoSlab-Regular, Arial, Helvetica, sans-serif;"><span style="font-size:16px;">Xin trân trọng cảm ơn quý khách đã đồng ý cho ghi lại những nội dung buổi nói chuyện.</span></p><p style="box-sizing: border-box; margin: 0px 0px 10px; padding: 0px; border: 0px; outline: 0px; font-size: 16px; vertical-align: baseline; background-image: initial; background-position: initial; background-size: initial; background-repeat: initial; background-attachment: initial; background-origin: initial; background-clip: initial; max-width: 100%; color: rgb(0, 0, 0); font-family: RobotoSlab-Regular, Arial, Helvetica, sans-serif; text-align: justify;">Địa chỉ&nbsp;<a title="" href="https://phongkhambaominh.com/phong-kham-dong-y-bao-minh-chuyen-ve-dia-chi-moi.htm">phòng khám đông y</a>&nbsp;tại TP.HCM: 856/6 đường Quang Trung, quận Gò Vấp. Điện thoại 0913 503 552. Lương y Nguyễn Văn Minh đứng tên <a title="" href="https://chuabenhthoatvidiadem.vn/cach-chua-benh/giay-phep-kham-chua-benh-cua-luong-y-nguyen-van-minh-pid-30.html">giấy phép khám chữa bệnh</a>&nbsp;ở phòng khám.&nbsp;</p>]]></content:encoded>
						<wfw:commentRss></wfw:commentRss>
						<slash:comments>0</slash:comments>
					</item>
				
					<item>
						<title>Chữa đau vai gáy, tê tay do thoát vị đĩa đệm cổ</title>
						<link>https://chuabenhthoatvidiadem.vn/bai-viet/dieu-tri-thoat-vi-dia-dem-cot-song-co/chua-dau-vai-gay-te-tay-do-thoat-vi-dia-dem-co-pid-333.html</link>
						<comments></comments>
						<pubDate>Mon, 23 Sep 2024 09:56:41 +0700</pubDate>
						<dc:creator>admin</dc:creator>
						<category><![CDATA[Điều trị thoát vị đĩa đệm cột sống cổ]]></category>
						<guid isPermaLink="false"></guid>
						<description><![CDATA[Chữa đau vai gáy, tê tay do thoát vị đĩa đệm cổ]]></description>
						<content:encoded><![CDATA[<h2 style="text-align: justify;"><span style="font-size:16px;">Chữa đau vai gáy, tê tay do thoát vị đĩa đệm cột sống cổ. Chữa bằng phương pháp y học cổ truyền, hay còn gọi chữa bằng đông y.&nbsp;Đây là cách chữa tại&nbsp;phòng khám đông y Bảo Minh ở Gò Vấp.&nbsp;</span></h2><p style="text-align: justify;"><span style="font-size:16px;">Những trường hợp đau vai gáy, tê tay mức độ&nbsp;nhẹ, người bệnh không có thời gian sắc thuốc uống. Hoặc nhà ở xa, không đi châm cứu&nbsp;bấm huyệt được,&nbsp;không cần xem kỹ những nội dung có thật ở đây. Còn những ai bị thoát vị đĩa đệm nặng,&nbsp;chèn ép mạnh rễ thần kinh,&nbsp;hẹp nặng ống sống, muốn điều trị bảo tồn đĩa đệm để sau này không phải mổ đĩa đệm cột sống, hãy xem hết và nghe hết những nội dung có thật từ quý bệnh nhân chia sẻ. Đây là những người đã&nbsp;chữa khỏi&nbsp;thoát vị đĩa đệm, cách chữa&nbsp;bằng&nbsp;đông y ở Gò Vấp.</span></p><p><img loading="lazy" alt="Chua-dau-vai-gay" src="data:image/gif;base64,R0lGODlhAQABAID/AP///wAAACwAAAAAAQABAAACAkQBADs=" data-src="https://chuabenhthoatvidiadem.vn/resources/images/chua-dau-vai-gay.jpg" style="width: 829px; height: 1200px;" class="lazy" width="829" height="1200" data-optimized="1" /></p><p style="text-align: justify;"><span style="font-size:16px;">Đây là trường hợp bị đau vai gáy, tê tay do thoát vị đĩa đệm cổ. Sau thời gian điều trị tại phòng khám đông y Bảo Minh ở Gò Vấp. Người bệnh đã hồi phục rất tốt, cánh tay anh đã hết tê, cử động giơ lên hạ xuống bình thường. Anh đồng ý cho ghi hình và chia sẻ kết luận chụp cộng hưởng từ MRI cột sống cổ.</span></p><p><span class="optimize-cls-iframe" data-src="https://www.youtube.com/embed/8wtIwS0FvB0">https://www.youtube.com/embed/8wtIwS0FvB0</span></p><p style="text-align: justify;"><span style="font-size:16px;"><span style="text-align: justify;">Trước khi đến chữa bệnh tại phòng khám,&nbsp;người bệnh đã điều trị nhiều nơi không khỏi. Do anh bị thoát vị đĩa đệm&nbsp;chèn ép&nbsp;dây thần kinh, hẹp lỗ liên hợp, hẹp ống sống cổ&nbsp;gây nên teo cơ bả vai, tay yếu không giơ lên được.&nbsp;</span></span></p><p style="text-align: justify;"><span style="font-size:16px;">Cách chữa thoát vị đĩa đệm có&nbsp;</span><span style="font-size:16px;">uống thuốc đông y kết hợp&nbsp;xoa bóp thuốc. Quý khách nào nhà ở gần Gò Vấp, nên kết hợp châm cứu bấm huyệt thêm cho mau khỏi bệnh.</span></p><p style="box-sizing: border-box; margin: 0px 0px 10px; padding: 0px; border: 0px; outline: 0px; font-size: small; vertical-align: baseline; background-image: initial; background-position: initial; background-size: initial; background-repeat: initial; background-attachment: initial; background-origin: initial; background-clip: initial; max-width: 100%; text-wrap: nowrap; color: rgb(128, 128, 128); font-family: arial, sans-serif;"><span style="box-sizing: border-box; margin: 0px; padding: 0px; border: 0px; outline: 0px; font-size: 16px; vertical-align: baseline; background: transparent; max-width: 100%; color: rgb(0, 0, 0); font-family: RobotoSlab-Regular, Arial, Helvetica, sans-serif; text-align: justify; text-wrap: wrap !important;">Lương y Nguyễn Văn Minh chuyên chữa&nbsp;</span><a data-ved="2ahUKEwjnq-e45ZL4AhWtglYBHVi0ATIQFnoECAIQAQ" href="https://chuabenhthoatvidiadem.vn/" ping="/url?sa=t&amp;source=web&amp;rct=j&amp;url=https://chuabenhthoatvidiadem.vn/&amp;ved=2ahUKEwjnq-e45ZL4AhWtglYBHVi0ATIQFnoECAIQAQ" style="box-sizing: border-box; margin: 0px; padding: 0px; border: 0px; outline: 0px; vertical-align: baseline; background: transparent; color: rgb(26, 13, 171); text-decoration-line: none; transition: 406ms ease-out; max-width: 100%; -webkit-tap-highlight-color: rgba(0, 0, 0, 0.1); text-wrap: wrap !important;" title="">Thoát Vị Đĩa Đệm</a>&nbsp;<span style="box-sizing: border-box; margin: 0px; padding: 0px; border: 0px; outline: 0px; font-size: 16px; vertical-align: baseline; background: transparent; max-width: 100%; color: rgb(0, 0, 0); font-family: RobotoSlab-Regular, Arial, Helvetica, sans-serif; text-align: justify; text-wrap: wrap !important;">ở TP. HCM.</span></p><p style="box-sizing: border-box; margin: 0px 0px 10px; padding: 0px; border: 0px; outline: 0px; font-size: small; vertical-align: baseline; background-image: initial; background-position: initial; background-size: initial; background-repeat: initial; background-attachment: initial; background-origin: initial; background-clip: initial; max-width: 100%; text-wrap: nowrap; color: rgb(128, 128, 128); font-family: arial, sans-serif;"><span style="box-sizing: border-box; margin: 0px; padding: 0px; border: 0px; outline: 0px; font-size: 16px; vertical-align: baseline; background: transparent; max-width: 100%; color: rgb(0, 0, 0); font-family: RobotoSlab-Regular, Arial, Helvetica, sans-serif; text-align: justify; text-wrap: wrap !important;">&nbsp;Trang web chữa bệnh thoát vị đĩa đệm&nbsp;có 2 tên miền;</span></p><p style="box-sizing: border-box; margin: 0px 0px 10px; padding: 0px; border: 0px; outline: 0px; font-size: small; vertical-align: baseline; background-image: initial; background-position: initial; background-size: initial; background-repeat: initial; background-attachment: initial; background-origin: initial; background-clip: initial; max-width: 100%; text-wrap: nowrap; color: rgb(128, 128, 128); font-family: arial, sans-serif;"><span style="font-size:16px;"><a title="" href="https://chuabenhthoatvidiadem.vn/">https://chuabenhthoatvidiadem.vn</a></span></p><p style="box-sizing: border-box; margin: 0px 0px 10px; padding: 0px; border: 0px; outline: 0px; font-size: small; vertical-align: baseline; background-image: initial; background-position: initial; background-size: initial; background-repeat: initial; background-attachment: initial; background-origin: initial; background-clip: initial; max-width: 100%; text-wrap: nowrap; color: rgb(128, 128, 128); font-family: arial, sans-serif;"><span style="font-size:16px;"><a title="" href="https://thoatvidiadem.top">https://thoatvidiadem.top</a></span></p>]]></content:encoded>
						<wfw:commentRss></wfw:commentRss>
						<slash:comments>0</slash:comments>
					</item>
				
					<item>
						<title>Lương y chữa thoát vị đĩa đệm</title>
						<link>https://chuabenhthoatvidiadem.vn/bai-viet/cach-chua-thoat-vi-dia-dem/luong-y-chua-thoat-vi-dia-dem-pid-330.html</link>
						<comments></comments>
						<pubDate>Sat, 20 Jul 2024 09:09:12 +0700</pubDate>
						<dc:creator>admin</dc:creator>
						<category><![CDATA[Cách chữa thoát vị đĩa đệm]]></category>
						<guid isPermaLink="false"></guid>
						<description><![CDATA[Lương y Nguyễn Văn Minh là thầy thuốc chuyên chữa thoát vị đĩa đệm ở Gò Vấp. Ông có kinh nghiệm chữa bệnh trên 25 năm, đã chữa khỏi thoát vị đĩa đệm cho rất nhiều người. Phòng khám của ông điều trị thoát vị đĩa đệm có uy tín, được nhiều người khỏi bệnh giới thiệu người nhà đến chữa.]]></description>
						<content:encoded><![CDATA[<h2 style="text-align: justify;"><span style="font-size:16px;"><strong>Lương y chữa thoát vị đĩa đệm</strong>&nbsp;ở Gò Vấp, chữa bằng phương pháp&nbsp;y học cổ truyền. Đây là cách chữa bệnh của&nbsp;<a title="" href="https://chuabenhthoatvidiadem.vn/dieu-tri/luong-y-nguyen-van-minh-chua-thoat-vi-dia-dem-cid-7-0.html">Lương y Nguyễn Văn Minh.</a>&nbsp;Cách chữa này của ông đã giúp cho rất&nbsp;nhiều người hết đau, hết nhức, hết tê bì chân tay. Những&nbsp;triệu chứng đau nhức do&nbsp;thoái hóa cột sống, gai cột sống, thoát vị đĩa đệm chèn dây thần kinh, chèn ép&nbsp;bao màng cứng, làm hẹp lỗ liên hợp&nbsp;gây nên những cơn đau.</span></h2><p style="text-align: justify;"><span style="font-size:16px;">Phương pháp chữa có uống thuốc đông y, kết hợp xoa bóp thuốc rượu xoa bóp. Nếu người bệnh ở&nbsp;gần Gò Vấp,&nbsp;đang đau nhiều nhức nhiều, phòng khám có bác sĩ châm cứu giỏi,&nbsp;sẽ châm cứu </span><span style="font-size: 16px; text-align: justify;">bấm huyệt giúp&nbsp;</span><span style="font-size:16px;">giảm&nbsp;đau cho quý khách ngay lần đầu tiên.</span></p><p><img loading="lazy" alt="Lương y chữa thoát vị đĩa đệm" src="data:image/gif;base64,R0lGODlhAQABAID/AP///wAAACwAAAAAAQABAAACAkQBADs=" data-src="https://chuabenhthoatvidiadem.vn/resources/images/Lương y chữa thoát vị đĩa đệm(1).jpg" style="width: 1152px; height: 845px;" class="lazy" width="1152" height="845" data-optimized="1" /></p><p><span style="font-size:14px;"><em>Lương y Nguyễn Văn Minh chữa bệnh&nbsp;có uy tín. Vinh dự nhận bằng khen của Chủ tịch Hội Đông y Việt Nam trao tặng.</em></span></p><p style="text-align: justify;"><span style="font-size: 16px; text-align: justify;"><img loading="lazy" alt="Luong-y-chua-thoat-vi-dia-dem" src="data:image/gif;base64,R0lGODlhAQABAID/AP///wAAACwAAAAAAQABAAACAkQBADs=" data-src="https://chuabenhthoatvidiadem.vn/resources/images/Luong-y-chua-thoat-vi-dia-dem.jpg" style="width: 1024px; height: 751px;" class="lazy" width="1024" height="751" data-optimized="1" /></span></p><p><span style="font-size:14px;"><em>Lương y chữa thoát vị đĩa đệm&nbsp;<a title="" href="https://chuabenhthoatvidiadem.vn/cach-chua-benh/luong-y-nguyen-van-minh-chua-thoat-vi-dia-dem-nhieu-nguoi-khong-phai-mo-thoat-vi-dia-dem-pid-25.html">Nguyễn Văn Minh</a>&nbsp;vinh dự nhận Kỷ Niệm Chương Vì Sự Nghiệp Đông Y.&nbsp;</em></span></p><p style="text-align: justify;"><span style="font-size: 16px;">Phòng khám đông y Bảo Minh, do&nbsp;Lương y Nguyễn Văn Minh thành lập từ năm 2005&nbsp;tại Gò Vấp,&nbsp;TP.HCM.&nbsp;Trước đó; ông có&nbsp;khám chữa bệnh tại bệnh viện ở&nbsp;Hà Nội từ nhiều năm trước. Lương y&nbsp;có kinh nghiệm chữa thoát vị đĩa đệm&nbsp;trên 25 năm.&nbsp; Phòng khám thoát vị đĩa đệm nơi lương y làm việc rất&nbsp;có uy tín, được nhiều người khỏi bệnh giới thiệu người nhà, người quen&nbsp;đến chữa bệnh.</span></p><p style="text-align: justify;"><span style="font-size: 16px; text-align: justify;">Để khẳng định điều này, mời bạn đọc hãy&nbsp;xem những nội dung có thật được quý khách đã chữa khỏi bệnh chia sẻ ở đây. Phòng khám chỉ giới thiệu khi được sự đồng ý từ quý bệnh nhân, sau này quý khách nào không muốn chia sẻ ở đây nữa, chúng tôi sẽ gỡ bỏ xuống. Xin trân trọng cảm ơn quý khách.</span></p><p style="text-align: justify;"><span style="font-size: 16px;"><img loading="lazy" alt="Thoát vị đĩa đệm cổ" src="data:image/gif;base64,R0lGODlhAQABAID/AP///wAAACwAAAAAAQABAAACAkQBADs=" data-src="https://chuabenhthoatvidiadem.vn/resources/images/Thoat-vi-dia-dem-co(1).jpg" style="width: 829px; height: 1200px;" class="lazy" width="829" height="1200" data-optimized="1" /></span></p><p style="text-align: justify;">Trân trọng cảm ơn anh Lưu Kim Chan ở quận Bình Tân, TP.HCM. Anh đồng ý chia sẻ kết quả chụp MRI và&nbsp;<span style="text-align: justify;">cho ghi hình nội dung này. Anh bị&nbsp;</span>thoát vị đĩa đệm cổ nặng, chèn ép mạnh rễ thần kinh. Bác sĩ chỉ định mổ để giải tỏa chèn ép dây thần kinh, nhưng anh quyết định&nbsp;không mổ,&nbsp;tìm cách chữa bằng đông y.</p><p style="text-align: justify;"><span class="optimize-cls-iframe" data-src="https://www.youtube.com/embed/t_ttGQglswY">https://www.youtube.com/embed/t_ttGQglswY</span></p><p style="text-align: justify;"><span style="font-size:14px;">Đây là những nội dung phản ánh chân thực giữa người bệnh và lương y Nguyễn Văn Minh. Quý khách nào không muốn mổ thoát vị đĩa đệm, muốn sử dụng thuốc đông y chữa thoát vị đĩa đệm, nên xem hết nội dung&nbsp;để quyết định chữa thoát vị đĩa đệm ở đâu tốt nhất cho mình.</span></p><p style="text-align: justify;"><span style="font-size:14px;"><span class="optimize-cls-iframe" data-src="https://www.youtube.com/embed/YdyRczpmrqg">https://www.youtube.com/embed/YdyRczpmrqg</span></span></p><p style="text-align: justify;"><span style="font-size:14px;">Mời bạn đọc xem kết quả MRI và video ghi lại lời kể của chú Phạm Ngọc Hùng 55 tuổi ở Dĩ An, Bình Dương.&nbsp;</span></p><p style="text-align: justify;"><span style="font-size:14px;"><img loading="lazy" alt="Lương y chữa thoát vị đĩa đệm" src="data:image/gif;base64,R0lGODlhAQABAID/AP///wAAACwAAAAAAQABAAACAkQBADs=" data-src="https://chuabenhthoatvidiadem.vn/resources/images/Lương y chữa thoát vị đĩa đệm (3).jpg" style="width: 744px; height: 984px;" class="lazy" width="744" height="984" data-optimized="1" /></span></p><p style="text-align: justify;"><span style="font-size:14px;">Chú Hùng đồng ý chia sẻ để giới thiệu làm phước, chú cho biết nơi đang làm việc và địa chỉ của chú ở Đông Hòa, Dĩ An, Bình Dương. Xin trân trọng cảm ơn quý khách đã đồng ý chia sẻ thông tin hình ảnh.</span></p><p style="text-align: justify;"><span style="font-size: 16px;"><img loading="lazy" alt="Phieu-ket-qua-MRI" src="data:image/gif;base64,R0lGODlhAQABAID/AP///wAAACwAAAAAAQABAAACAkQBADs=" data-src="https://chuabenhthoatvidiadem.vn/resources/images/Phieu-ket-qua-MRI.jpg" style="width: 870px; height: 1190px;" class="lazy" width="870" height="1190" data-optimized="1" /></span></p><p><span style="font-size:14px;"><em>Phiếu kết quả MRI của chị Nguyễn Thị Hồng Thắm ở Long An.</em></span></p><p style="text-align: justify;"><span style="font-size:16px;">Chị Thắm đồng ý&nbsp;cho Lương y Nguyễn Văn Minh chia sẻ ý kiến, mong muốn giới thiệu lương y chữa thoát vị đĩa đệm uy tín ở TP.HCM đến với những ai đang bị thoát vị đĩa đệm, muốn chữa bằng đông y.</span></p><p style="text-align: justify;"><span style="font-size: 16px;">Năm 2018 chị Thắm đến</span><span style="font-size: 16px;">&nbsp;chữa thoát vị đĩa đệm ở phòng khám đông y Bảo Minh. Sau khi chữa khỏi bệnh, chị Thắm&nbsp;hỏi&nbsp;xem có chữa được bệnh cho cô của mình&nbsp;không? Mời quý khách nghe hết câu chuyện dưới đây:</span></p><p style="text-align: justify;"><a title="" href="https://chuabenhthoatvidiadem.vn/resources/files/Ghi âm cuộc gọi Nguyễn T Hồng Thắm 83 tv Đỡ Long An 10_230504_081258.mp3">Lương y chữa thoát vị đĩa đệm</a></p><p style="text-align: justify;"><span style="font-size:16px;">Đây là kết quả cộng hưởng từ của cô chị Thắm, bà Nguyễn Thị Đương, nhà ở ấp Bình Thủy, xã Hòa Khánh Đông, huyện Đức Hòa, tỉnh Long An.</span></p><p><span style="font-size:14px;"><img loading="lazy" alt="Ket-qua-cong-huong-tu" src="data:image/gif;base64,R0lGODlhAQABAID/AP///wAAACwAAAAAAQABAAACAkQBADs=" data-src="https://chuabenhthoatvidiadem.vn/resources/images/Ket-qua-cong-huong-tu.jpg" style="width: 851px; height: 1200px;" class="lazy" width="851" height="1200" data-optimized="1" /></span></p><p><em><span style="font-size: 14px;">Kết quả cộng chụp cộng hưởng từ MRI, bà Nguyễn Thị Đương đồng ý chia sẻ&nbsp;giới thiệu.</span></em></p><p style="text-align: justify;"><span style="font-size: 16px;">Sau khi chứng kiến bà Nguyễn Thị Đương chữa bệnh hết đau nhức, đi lại gần như bình thường.&nbsp;Người dì của chị Thắm là&nbsp;bà Trần Thị Bé cũng nhờ&nbsp;chị Thắm đưa bà đến chữa bệnh.&nbsp;</span></p><p style="text-align: justify;"><span style="font-size: 16px;"><span class="optimize-cls-iframe" data-src="https://www.youtube.com/embed/DtpVzgxXZOQ">https://www.youtube.com/embed/DtpVzgxXZOQ</span></span></p><p style="text-align: justify;"><span style="font-size:16px;">Bà Trần Thị Bé và chị Nguyễn Thị Hồng Thắm đồng ý&nbsp;</span><span style="font-size: 16px; text-align: justify;">chia sẻ phiếu kết quả MRI,</span><span style="font-size:16px;">&nbsp;ghi hình thực tế&nbsp;tại phòng khám đông y Bảo Minh. Xin trân trọng cảm ơn quý khách, chúng tôi coi đây là nguồn động viên to lớn để ngày càng giúp được nhiều người chữa hết bệnh.</span></p><p style="text-align: justify;"><img loading="lazy" alt="Luong-y-chua-thoat-vi-dia-dem" src="data:image/gif;base64,R0lGODlhAQABAID/AP///wAAACwAAAAAAQABAAACAkQBADs=" data-src="https://chuabenhthoatvidiadem.vn/resources/images/Luong-y-chua-thoat-vi-dia-dem(2).jpg" style="width: 871px; height: 1200px;" class="lazy" width="871" height="1200" data-optimized="1" /></p><p style="text-align: justify;"><span style="font-size: 16px;">Một năm sau,&nbsp;chị Thắm hỏi mua thêm&nbsp;thuốc xoa bóp cho người cô của mình. Lương y Nguyễn Văn Minh hỏi thăm,&nbsp;chị Thắm kể chuyện và đồng ý chia sẻ&nbsp;địa chỉ và số điện thoại ở cuối cuộc hội thoại;</span></p><p style="text-align: justify;"><span style="font-size: 16px;">Mục đích&nbsp;giúp cho những ai không may bị thoát vị đĩa đệm, gặp được thầy được&nbsp;thuốc. Xin trân trọng cảm ơn chị Nguyễn Thị Hồng Thắm.</span></p><h3><span style="font-size: 16px;"><a title="" href="https://chuabenhthoatvidiadem.vn/resources/files/Chị Thắm Long An khỏi bệnh_MP3.mp3">Lương y Nguyễn Văn Minh nghe chị Thắm thông báo về sức khỏe người cô, người dì của chị ở Long An</a></span></h3><p style="text-align: justify;"><span style="font-size:16px;">Những ai&nbsp;bị thoát vị đĩa đệm&nbsp;nhẹ, hoặc không có thời gian sắc thuốc uống, hoặc muốn uống thuốc viên thì không cần xem kỹ những nội dung có thật ở trên. Còn người nào bị thoát vị đĩa đệm nặng, có chèn ép rễ thần kinh, chèn ép bao màng cứng và hẹp lỗ liên hợp, muốn điều trị bảo tồn đĩa đệm để sau này tránh được phẫu thuật đĩa đệm,&nbsp;hãy xem hết và nghe hết những nội dung chia sẻ&nbsp;từ quý bệnh nhân. Đây là&nbsp;những người được lương y chữa khỏi thoát vị đĩa đệm cho họ bằng thuốc đông y.</span></p><p style="text-align: justify;"><span style="font-size:16px;"><img loading="lazy" alt="Luong-y-chua-thoat-vi-dia-dem" src="data:image/gif;base64,R0lGODlhAQABAID/AP///wAAACwAAAAAAQABAAACAkQBADs=" data-src="https://chuabenhthoatvidiadem.vn/resources/images/Luong-y-chua-thoat-vi-dia-dem(3).jpg" style="width: 675px; height: 1200px;" class="lazy" width="675" height="1200" data-optimized="1" /></span></p><p style="text-align: justify;"><span style="font-size:16px;">Bác bệnh nhân ở Kon Tum gửi kết quả chụp MRI nhờ thầy thuốc tư vấn xem có chữa được không. Bác đã đến tận nơi khám bệnh và mua thuốc về uống. Hôm nay bác xuống tái khám và đồng ý cho quay video chia sẻ ý kiến của mình. Bác cũng đồng ý chia sẻ kết quả chụp cộng hưởng từ của bác để bạn đọc tham khảo. Xin trân trọng cảm ơn bác.</span></p><p style="text-align: justify;"><span style="font-size:16px;"><span class="optimize-cls-iframe" data-src="https://www.youtube.com/embed/ymrBbt0uovA">https://www.youtube.com/embed/ymrBbt0uovA</span></span></p><p style="text-align: justify;"><span style="font-size:16px;">Phòng khám đông y Bảo Minh, do lương y Nguyễn Văn Minh đứng tên chủ cơ sở, trực tiếp khám chữa bệnh và&nbsp;luôn tuân thủ nguyên tắc: Chỉ chia sẻ sự thật, chữa khỏi bệnh có thật. Mời quý khách xem;&nbsp;<a title="" href="https://chuabenhthoatvidiadem.vn/cach-chua-benh/thay-thuoc-chua-thoat-vi-dia-dem-o-go-vap-thay-thuoc-10-that-pid-313.html">Thầy thuốc chữa thoát vị đĩa đệm ở Gò Vấp&nbsp;có 10 sự thật ở đây</a></span></p><p style="text-align: justify;"><span style="font-size:16px;">Quý khách nào có người nhà bị thoát vị đĩa đệm L5 S1 nặng, rách bao xơ, có mảnh rời chèn ép rễ và gây hẹp ống sống, bị teo cơ yếu chân. Bấm vào đây xem chia sẻ thật từ người bệnh;&nbsp;<a title="" href="https://chuabenhthoatvidiadem.vn/cach-chua-benh/chua-thoat-vi-dia-dem-cho-chi-thuy-o-dong-thap-pid-327.html">Thoát vị đĩa đệm gây&nbsp;teo cơ</a></span></p><p style="text-align: justify;"><span style="color: rgb(0, 0, 0); font-family: RobotoSlab-Regular, Arial, Helvetica, sans-serif; font-size: 16px;">Phòng Khám Đông Y Bảo Minh: 856/6 Quang Trung, Quận Gò Vấp, TP. HCM.</span><br style="box-sizing: border-box; max-width: 100%; color: rgb(0, 0, 0); font-family: RobotoSlab-Regular, Arial, Helvetica, sans-serif; font-size: 16px;" /><span style="color: rgb(0, 0, 0); font-family: RobotoSlab-Regular, Arial, Helvetica, sans-serif; font-size: 16px;">Điện thoại, Zalo thầy thuốc chữa thoát vị đĩa đệm:&nbsp;091 350 3552</span></p>]]></content:encoded>
						<wfw:commentRss></wfw:commentRss>
						<slash:comments>0</slash:comments>
					</item>
				
					<item>
						<title>Thoát vị đĩa đệm có nên mổ không</title>
						<link>https://chuabenhthoatvidiadem.vn/bai-viet/tu-van-chua-thoat-vi-dia-dem/thoat-vi-dia-dem-co-nen-mo-khong-pid-325.html</link>
						<comments></comments>
						<pubDate>Mon, 13 May 2024 04:47:25 +0700</pubDate>
						<dc:creator>admin</dc:creator>
						<category><![CDATA[Tư vấn chữa thoát vị đĩa đệm]]></category>
						<guid isPermaLink="false"></guid>
						<description><![CDATA[Những người bị thoát vị đĩa đệm nặng, đã uống thuốc hoặc tiêm thuốc giảm đau không nhưng không hết đau hết nhức. Đi bệnh viện khám thì bác sĩ chỉ định phẫu thuật thoát vị đĩa đệm, họ rất phân vân lo lắng với hàng loạt câu hỏi; thoát vị đĩa đệm có nên mổ không, nếu mổ có bị biến chứng gì không, mổ rồi có hết tê nhức không. Nếu không mổ thì chữa bằng cách nào, thuốc đông y có chữa khỏi thoát vị đĩa đệm được không, nếu chữa thì chữa ở đâu tốt, có uy tín nhất...]]></description>
						<content:encoded><![CDATA[<p style="text-align: justify;"><span style="font-size: 16px;">Đây là kết quả chụp MRI cột sống thắt lưng của chị Đỗ Thị Thanh Thúy ở Đồng Tháp. Sau khi uống 40 thang thuốc chữa thoát vị đĩa đệm, chị Thúy đã hết đau hết nhức, đi lại được và phục hồi bắp chân bị teo nhão. Gần 1 năm sau chị Thúy nhắn tin cảm ơn, lương y Nguyễn Văn Minh đã gọi điện hỏi thăm, chị Thúy đồng ý cho chia sẻ bệnh án và nội dung câu chuyện dưới đây.</span></p><p><img loading="lazy" alt="Thoát vị đĩa đệm có nên mổ không" src="data:image/gif;base64,R0lGODlhAQABAID/AP///wAAACwAAAAAAQABAAACAkQBADs=" data-src="https://chuabenhthoatvidiadem.vn/resources/images/Thoát vị đĩa đệm có nên mổ không (3).jpg" style="width: 827px; height: 1150px;" class="lazy" width="827" height="1150" data-optimized="1" /></p><h2 style="text-align: justify;"><span style="font-size:16px;"><strong>Thoát vị đĩa đệm có nên mổ không,&nbsp;</strong>mời quý khách&nbsp;nghe ý kiến từ những người&nbsp;đã chữa khỏi bệnh, họ may mắn&nbsp;gặp thầy gặp thuốc nên không phải mổ thoát vị đĩa đệm.</span></h2><h3><span style="font-size:16px;"><a title="" href="https://chuabenhthoatvidiadem.vn/resources/files/do thi thuy 87 tv.mp3">Thoát&nbsp;vị đĩa đệm có nên mổ không</a></span></h3><p style="text-align: justify;"><span style="font-size:16px;">Những người&nbsp;bị thoát vị đĩa đệm mức độ nhẹ, hoặc không muốn uống&nbsp;thuốc thang đông y thì không cần xem hết&nbsp;những nội dung chia sẻ&nbsp;ở trang web này. Còn những ai bị thoát vị đĩa đệm mức độ trung bình hoặc&nbsp;mức độ nặng;&nbsp;chèn ép rễ thần kinh, chèn ép bao màng cứng và lỗ liên hợp, làm hẹp ống sống, có mảnh rời. Muốn điều trị bảo tồn đĩa đệm để sau này không phải mổ thoát vị đĩa đệm, hãy xem hết và nghe hết những nội dung rất thật từ quý bệnh nhân, những người được thầy thuốc chữa hết bệnh cho họ bằng thuốc thang đông y.</span></p><p style="text-align: justify;"><span style="color: rgb(0, 0, 0); font-family: RobotoSlab-Regular, Arial, Helvetica, sans-serif; font-size: 16px; text-align: justify;">Lương y Nguyễn Văn Minh&nbsp;xin trân trọng cảm ơn quý bệnh nhân đã đồng ý cho chia sẻ kinh nghiệm chữa bệnh ở đây, chúng tôi chỉ đưa thông tin&nbsp;hình ảnh khi được sự đồng ý của quý khách, sau này quý khách nào không muốn&nbsp;công khai ở đây nữa, tôi sẽ gỡ bài đăng xuống.&nbsp;Xin cảm ơn quý khách đã&nbsp;tin tưởng phòng khám đông y Bảo Minh và uy tín của</span><span style="color: rgb(0, 0, 0); font-family: RobotoSlab-Regular, Arial, Helvetica, sans-serif; font-size: 16px; text-align: justify;">&nbsp;thầy thuốc ở đây.</span></p><p style="text-align: justify;"><img loading="lazy" alt="Thoát vị đĩa đệm có nên mổ không" src="data:image/gif;base64,R0lGODlhAQABAID/AP///wAAACwAAAAAAQABAAACAkQBADs=" data-src="https://chuabenhthoatvidiadem.vn/resources/images/Thoát vị đĩa đệm có nên mổ không.jpg" style="height: 1200px; opacity: 0.9; width: 897px;" class="lazy" width="897" height="1200" data-optimized="1" /></p><p style="text-align: justify;"><span style="font-size: 16px; text-align: justify;">Như vậy; không nên mổ thoát vị đĩa đệm khi người bệnh chưa đến chữa ở những phòng khám đông y uy tín. Những phòng khám&nbsp;có thầy thuốc giỏi bắt mạch và khám bệnh, có nhiều năm kinh nghiệm điều trị thoát vị đĩa đệm. Để minh chứng cho điều này, mời quý khách nghe hết nội dung câu chuyện dưới đây.&nbsp;</span></p><h4><a title="" href="https://chuabenhthoatvidiadem.vn/resources/files/Ghi âm cuộc gọi 0367698166_230513_085714.mp3" style="text-align: justify;">Thoát vị đĩa đệm có nên mổ không</a></h4><p style="text-align: justify;"><span style="font-size:16px;">Anh Trần Vinh ở Đắk Nông bị đau lưng, đau lan xuống mông, đau kéo xuống chân&nbsp;đi lại khó khăn, vào bệnh viện khám và chụp MRI mới biết&nbsp;</span><span style="font-size: 16px; text-align: justify;">thoát vị đĩa đệm chèn ép rễ thần kinh,&nbsp;</span><span style="font-size:16px;">bác sĩ khuyên nên mổ thoát vị đĩa đệm. Anh Vinh sợ không dám&nbsp;mổ, trên đường về&nbsp;gặp&nbsp;người đi cùng chuyến xe đã chữa khỏi bệnh&nbsp;ở phòng khám đông y Bảo Minh cho số điện&nbsp;thoại, anh Vinh đến khám và mua&nbsp;thuốc uống. Anh đồng ý chia sẻ bệnh án và địa chỉ anh đang ở Đắk Nông, bạn đọc nào ở gần đây&nbsp;muốn tìm hiểu thêm, nên đến hỏi thăm tận nơi anh Vinh sẵn lòng chia sẻ kinh nghiệm chữa bệnh của mình.</span></p><p style="text-align: justify;"><img loading="lazy" alt="Thoát vị đĩa đệm có nên mổ không" src="data:image/gif;base64,R0lGODlhAQABAID/AP///wAAACwAAAAAAQABAAACAkQBADs=" data-src="https://chuabenhthoatvidiadem.vn/resources/images/Thoát vị đĩa đệm có nên mổ không (4).jpg" style="width: 843px; height: 1200px;" class="lazy" width="843" height="1200" data-optimized="1" /></p><h4 style="box-sizing: border-box; margin: 0px 0px 10px; padding: 0px; border: 0px; outline: 0px; font-size: 16px; vertical-align: baseline; background-image: initial; background-position: initial; background-size: initial; background-repeat: initial; background-attachment: initial; background-origin: initial; background-clip: initial; max-width: 100%; color: rgb(0, 0, 0); font-family: RobotoSlab-Regular, Arial, Helvetica, sans-serif; text-align: justify;"><span style="box-sizing: border-box; margin: 0px; padding: 0px; border: 0px; outline: 0px; vertical-align: baseline; background: transparent; max-width: 100%;">Khám&nbsp;thoát vị đĩa đệm ở đâu:&nbsp;<a data-="" href="https://www.google.com.vn/url?sa=t&amp;rct=j&amp;q=&amp;esrc=s&amp;source=web&amp;cd=35&amp;ved=0ahUKEwi18Nfe9t_WAhVCp48KHVP5Dj04HhAWCDgwBA&amp;url=http%3A%2F%2Fchuabenhthoatvidiadem.vn%2Fcach-chua-benh%2Fdia-chi-chua-benh-thoat-vi-dia-dem-pid-73.html&amp;usg=AOvVaw1iT_X0Y0CWxMGEvxhL0VXX" style="box-sizing: border-box; margin: 0px; padding: 0px; border: 0px; outline: 0px; vertical-align: baseline; background: transparent; color: rgb(102, 0, 153); text-decoration-line: none; transition: all 406ms ease-out 0s; max-width: 100%; cursor: pointer;" target="_blank" title="">856/6 đường Quang Trung, Phường 8, quận Gò Vấp, TP HCM</a>.</span></h4><p style="text-align: justify;"><span style="font-size: 16px;">Sau khi chữa khỏi&nbsp;thoát vị đĩa đệm L4/5 cho bác Nguyễn Văn Chính ở TP.HCM. Bác Chính đồng ý chia sẻ phiếu kết quả MRI của bác và nội dung câu chuyện rất thật dưới đây.</span></p><h4><a title="" href="https://chuabenhthoatvidiadem.vn/resources/files/Tho_i_022_m.mp3" style="font-size: 16px; text-align: justify;">Thoát vị đĩa đệm có nên mổ không</a></h4><p><span style="font-size:16px;">Đây là nội dung trao đổi giữa bác Nguyễn Văn Chính và Lương y Nguyễn Văn Minh năm 2016. Xin trân trọng cảm ơn bác.</span></p><p><span style="box-sizing: border-box; margin: 0px; padding: 0px; border: 0px; outline: 0px; vertical-align: baseline; background: transparent; max-width: 100%;"><img loading="lazy" alt="Thoát vị đĩa đệm có nên mổ không" src="data:image/gif;base64,R0lGODlhAQABAID/AP///wAAACwAAAAAAQABAAACAkQBADs=" data-src="https://chuabenhthoatvidiadem.vn/resources/images/Thoát vị đĩa đệm có nên mổ không(1).jpg" style="width: 964px; height: 1026px;" class="lazy" width="964" height="1026" data-optimized="1" /></span></p><h3 class="r" style="box-sizing: border-box; margin: 0px; padding: 0px; border: 0px; outline: 0px; font-size: 18px; vertical-align: baseline; background-image: initial; background-position: initial; background-size: initial; background-repeat: initial; background-attachment: initial; background-origin: initial; background-clip: initial; font-family: RobotoSlab-Regular, Arial, Helvetica, sans-serif; line-height: 1.1; color: rgb(0, 0, 0); max-width: 100%; text-wrap: nowrap; overflow: hidden; text-overflow: ellipsis;"><a href="https://chuabenhthoatvidiadem.vn/" style="box-sizing: border-box; margin: 0px; padding: 0px; border: 0px; outline: 0px; vertical-align: baseline; background: transparent; color: rgb(102, 0, 153); text-decoration-line: none; transition: all 406ms ease-out 0s; max-width: 100%; cursor: pointer; text-wrap: wrap !important;" target="_blank" title="">Thoát Vị Đĩa Đệm&nbsp;</a></h3><div class="s" style="box-sizing: border-box; margin: 0px; padding: 0px; border: 0px; outline: 0px; font-size: 16px; vertical-align: baseline; background-image: initial; background-position: initial; background-size: initial; background-repeat: initial; background-attachment: initial; background-origin: initial; background-clip: initial; position: relative; max-width: 48em; font-family: RobotoSlab-Regular, Arial, Helvetica, sans-serif; color: rgb(84, 84, 84); line-height: 18px;"><div class="f kv _SWb" style="box-sizing: border-box; margin: 0px; padding: 0px; border: 0px; outline: 0px; font-size: small; vertical-align: baseline; background: transparent; position: relative; max-width: 100%; text-wrap: nowrap; color: rgb(128, 128, 128); height: 18px; line-height: 16px; font-family: arial, sans-serif;"><cite class="_Rm" style="box-sizing: border-box; margin: 0px; padding: 0px; border: 0px; outline: 0px; font-size: 14px; vertical-align: baseline; background: transparent; max-width: 100%; color: rgb(0, 102, 33); font-style: normal; text-wrap: wrap !important;">chuabenhthoatvidiadem.vn</cite></div></div><p style="box-sizing: border-box; margin: 0px 0px 10px; padding: 0px; border: 0px; outline: 0px; font-size: 16px; vertical-align: baseline; background-image: initial; background-position: initial; background-size: initial; background-repeat: initial; background-attachment: initial; background-origin: initial; background-clip: initial; max-width: 100%; color: rgb(0, 0, 0); font-family: RobotoSlab-Regular, Arial, Helvetica, sans-serif;">Trước khi mổ thoát vị đĩa đệm, quý khách nhờ thầy thuốc&nbsp;trị thoát vị đĩa đệm ở Gò Vấp, tư vấn xem có chữa được hay không.</p><p style="box-sizing: border-box; margin: 0px 0px 10px; padding: 0px; border: 0px; outline: 0px; font-size: 16px; vertical-align: baseline; background-image: initial; background-position: initial; background-size: initial; background-repeat: initial; background-attachment: initial; background-origin: initial; background-clip: initial; max-width: 100%; color: rgb(0, 0, 0); font-family: RobotoSlab-Regular, Arial, Helvetica, sans-serif;"><span style="box-sizing: border-box; margin: 0px; padding: 0px; border: 0px; outline: 0px; vertical-align: baseline; background: transparent; max-width: 100%;">Điện thoại bàn: 028.62951367- Lương y Nguyễn Văn Minh: 0913503552</span></p>]]></content:encoded>
						<wfw:commentRss></wfw:commentRss>
						<slash:comments>0</slash:comments>
					</item>
				
					<item>
						<title>Thoát vị đĩa đệm dạng trung tâm, có rách vòng xơ.</title>
						<link>https://chuabenhthoatvidiadem.vn/bai-viet/dieu-tri-thoat-vi-dia-dem-cot-song-that-lung/thoat-vi-dia-dem-dang-trung-tam-co-rach-vong-xo-pid-309.html</link>
						<comments></comments>
						<pubDate>Mon, 03 Apr 2023 03:42:56 +0700</pubDate>
						<dc:creator>admin</dc:creator>
						<category><![CDATA[Điều trị thoát vị đĩa đệm cột sống thắt lưng]]></category>
						<guid isPermaLink="false"></guid>
						<description><![CDATA[Thoát vị đĩa đệm dạng trung tâm tầng L4-L5, có rách vòng xơ, có mảnh rời di trú xuống dưới ở ngách bên phải, ép mặt trước bao màng cứng, chèn rễ L5 phải. Thoái hóa cột sống thắt lưng.]]></description>
						<content:encoded><![CDATA[<p style="text-align: justify;"><span style="font-size: 16px; text-align: justify;">Thoát vị đĩa đệm dạng trung tâm tầng L4-L5, có rách vòng xơ, có mảnh rời di trú xuống dưới ở ngách bên phải, ép mặt trước bao màng cứng, chèn rễ L5 phải. Thoái hóa cột sống thắt lưng.</span></p><p><img loading="lazy" alt="Thầy thuốc chữa thoát vị đĩa đệm" src="data:image/gif;base64,R0lGODlhAQABAID/AP///wAAACwAAAAAAQABAAACAkQBADs=" data-src="https://chuabenhthoatvidiadem.vn/resources/images/Thầy thuốc chữa thoát vị đĩa đệm(1).jpg" style="width: 806px; height: 1200px;" class="lazy" width="806" height="1200" data-optimized="1" /></p><p><em><span style="font-size:14px;">Đây là kết quả MRI của bác Trần Quế, nhà ở 147 Lý Nam Đế, Phường 7, Quận 11, Thành Phố Hồ Chí Minh.</span></em></p><p style="text-align: justify;"><span style="font-size:16px;">Cuối năm 2018 và đầu năm 2019, bác Trần Quế&nbsp;có đến phòng khám đông y Bảo Minh để chữa bệnh, bác bị&nbsp;đau nhức và tê chân do thoát vị đĩa đệm gây nên. Sau khi uống thuốc và bóp thuốc đắp&nbsp;của phòng khám, bác Quế đã hết đau, hết nhức, hết tê chân. Gần đây, bác Quế thấy thỉnh thoảng có&nbsp;đau lại, mức độ nhẹ hơn trước đây,&nbsp;bác đem&nbsp;kết quả chụp MRI đến để Lương y Nguyễn Văn Minh xem lại, khám bệnh&nbsp;bắt mạch kê đơn thuốc cho bác. Bác đồng ý cho phòng khám ghi&nbsp;lại nội dung cuộc&nbsp;nói chuyện,&nbsp; giữa bác và thầy thuốc đông y Nguyễn Văn Minh. Bác cũng đồng ý chia sẻ bệnh án thoát vị đĩa đệm của mình, với mong muốn giúp người khác may gặp thầy gặp thuốc. Phòng khám xin trân trọng cảm ơn&nbsp;lòng tốt của bác Quế.</span></p><p style="text-align: justify;"><span style="font-size:16px;">Mời bạn đọc bấm vào VIDEO dưới đây, được ghi hình năm 2024&nbsp;để xem và cảm nhận sự chân thật từ bác Trần Quế.</span></p><p style="text-align: justify;"><span class="optimize-cls-iframe" data-src="https://www.youtube.com/embed/qK3Ka45mths">https://www.youtube.com/embed/qK3Ka45mths</span></p><p style="text-align: justify;"><span style="font-size:16px;"><span style="text-align: justify;">Thuốc&nbsp;đông y c</span>hữa thoát vị đĩa đệm&nbsp;là thế mạnh của y học cổ truyền Việt Nam.&nbsp;Với kinh nghiệm&nbsp;hơn 25 năm trong nghề, Lương y Nguyễn Văn Minh đã chữa cho rất nhiều người khỏi bệnh, giúp họ hết đau, hết nhức, đi lại hoạt động hàng ngày được bình thường, giúp nhiều người không phải phẫu thuật&nbsp;thoát vị đĩa đệm.</span></p><p style="text-align: justify;"><span style="font-size:16px;"><img loading="lazy" alt="Phòng khám đông y Bảo Minh" src="data:image/gif;base64,R0lGODlhAQABAID/AP///wAAACwAAAAAAQABAAACAkQBADs=" data-src="https://chuabenhthoatvidiadem.vn/resources/images/thoatvidiadem top (2).jpg" style="width: 896px; height: 672px;" class="lazy" width="896" height="672" data-optimized="1" /></span></p><p style="text-align: justify;"><span style="font-size:16px;">Những người bị bệnh nhẹ không cần phải xem hết, nghe hết nội dung, còn&nbsp;trường hợp bị thoát vị đĩa đệm nặng, có chỉ định mổ của bác sĩ, nhưng không muốn mổ, hãy nghe và xem hết những nội dung được quý bệnh nhân đã khỏi bệnh chia sẻ ở trang web này.</span></p><p style="text-align: justify;"><a title="" href="https://chuabenhthoatvidiadem.vn/resources/files/Bác Chính khỏi TVDD.mp3">Đông y chữa thoát vị đĩa đệm</a></p><p style="text-align: justify;"><span style="font-size:16px;">Đông y lý giải căn bệnh thoát vị đĩa đệm là do lúc chính khí cơ thể suy yếu, các tà khí như; phong, hàn, thấp, nhiệt xâm phạm vào cơ thể, chúng ẩn nấp vào gân cơ, khớp xương, kinh lạc làm sự vận hành của khí huyết bị tắc nghẽn, gây nên các triệu chứng đau nhức, tê bì, chân tay yếu mỏi. Gốc bệnh là do hai tạng can và thận hư yếu hoặc bệnh lâu ngày làm khí huyết giảm sút dẫn đến can, thận bị hư tổn. Thận yếu không chủ được cốt tủy, can huyết hư không nuôi dưỡng được gân làm xương khớp, đĩa đệm bị thoái hóa mất nước, bao xơ dây mất độ đàn hồi, thiếu dẻo dai không chắc chắn rất dễ bị thoát vị đĩa đệm.</span></p><p style="text-align: justify;"><span style="font-size:16px;"><a title="" href="https://chuabenhthoatvidiadem.vn/resources/files/Chị Tuyết tvdd Hậu Giang (1).mp3">Thuốc đông y chữa thoát vị đĩa đệm</a></span></p><p style="text-align: justify;"><span style="font-size:16px;">Đông y chữa thoát vị đĩa đệm là chữa vào gốc bệnh; thuốc có tác dụng bồi bổ can thận, vì thận chủ cốt tủy (hệ xương khớp trong cơ thể), can chủ cân (hệ gân cơ dây chằng đĩa đệm). Khi hai tạng can và thận khỏe mạnh thì xương khớp vững chắc, gân cơ dây chằng bền chặt chắc chắn. Ngoài tác dụng bổ can thận, thì bài thuốc chữa thoát vị đĩa đệm còn có tác dụng hoạt huyết trừ ứ (tiêu trừ huyết ứ do đĩa đệm bị rách bao xơ, mảnh rời nhân nhầy thoát ra ngoài). Bài thuốc cũng có những vị thuốc tốt nhất chữa vết thương bên trong cơ thể, làm lành bao xơ phục hồi đĩa đệm cột sống.</span></p><p style="text-align: justify;"><span style="box-sizing: border-box; margin: 0px; padding: 0px; border: 0px; outline: 0px; font-size: 16px; vertical-align: baseline; background: transparent; max-width: 100%; color: rgb(0, 0, 0); font-family: RobotoSlab-Regular, Arial, Helvetica, sans-serif; text-align: justify;">Trang web&nbsp;</span><a href="https://chuabenhthoatvidiadem.vn/" style="box-sizing: border-box; margin: 0px; padding: 0px; border: 0px; outline: 0px; font-size: 18px; vertical-align: baseline; background: transparent; color: rgb(102, 0, 153); text-decoration-line: none; transition: all 406ms ease-out 0s; max-width: 100%; font-family: RobotoSlab-Regular, Arial, Helvetica, sans-serif; cursor: pointer;" target="_blank" title="">Thoát Vị Đĩa Đệm</a><span style="color: rgb(0, 0, 0); font-family: RobotoSlab-Regular, Arial, Helvetica, sans-serif; font-size: 16px;">&nbsp;</span><span style="box-sizing: border-box; margin: 0px; padding: 0px; border: 0px; outline: 0px; font-size: 16px; vertical-align: baseline; background: transparent; max-width: 100%; color: rgb(0, 0, 0); font-family: RobotoSlab-Regular, Arial, Helvetica, sans-serif; text-align: justify;">có hai tên miền, thuộc&nbsp;quyền sở hữu&nbsp;của Lương y Nguyễn Văn Minh.&nbsp;</span></p><p style="text-align: justify;"><span style="font-size:16px;"><a title="" class="xFAlBc" font-size:="" helvetica="" href="https://thoatvidiadem.top/" ping="/url?sa=t&amp;source=web&amp;rct=j&amp;url=https://thoatvidiadem.top/&amp;ved=2ahUKEwjK5umq8PWGAxVbZ_UHHaL3Bo4QhAd6BAhLEAE&amp;opi=89978449" style="color: var(--JKqx2); -webkit-tap-highlight-color: rgba(0, 0, 0, 0.1); overflow-wrap: break-word; word-break: break-word; outline: 0px; font-family: Roboto, ">https://thoatvidiadem.top</a></span></p><div font-size:="" helvetica="" style="color: rgb(60, 64, 67); font-family: Roboto, "><span style="font-size:16px;"><a title="" class="xFAlBc" href="https://chuabenhthoatvidiadem.vn/" ping="/url?sa=t&amp;source=web&amp;rct=j&amp;url=https://chuabenhthoatvidiadem.vn/&amp;ved=2ahUKEwjK5umq8PWGAxVbZ_UHHaL3Bo4Q6156BAgpEAE&amp;opi=89978449" style="color: var(--JKqx2); -webkit-tap-highlight-color: rgba(0, 0, 0, 0.1); overflow-wrap: break-word; word-break: break-word; outline: 0px;">https://chuabenhthoatvidiadem.vn</a></span></div><div font-size:="" helvetica="" style="color: rgb(60, 64, 67); font-family: Roboto, "><span style="font-size: 16px;">Địa chỉ chữa thoát vị đĩa đệm ở Gò Vấp, TP.HCM: Số nhà 856/6 đường Quang Trung, Phường 8.</span></div>]]></content:encoded>
						<wfw:commentRss></wfw:commentRss>
						<slash:comments>0</slash:comments>
					</item>
				
					<item>
						<title>Chính sách bảo mật thông tin </title>
						<link>https://chuabenhthoatvidiadem.vn/bai-viet/uncategory/chinh-sach-bao-mat-thong-tin-pid-300.html</link>
						<comments></comments>
						<pubDate>Mon, 05 Jul 2021 10:18:41 +0700</pubDate>
						<dc:creator>admin</dc:creator>
						<category><![CDATA[]]></category>
						<guid isPermaLink="false"></guid>
						<description><![CDATA[Phòng khám đông y Bảo Minh - Khám chữa bệnh thoát vị đĩa đệm bằng thuốc đông y. Phòng khám chỉ chia sẻ thông tin khi được sự đồng ý của quý khách.]]></description>
						<content:encoded><![CDATA[<p style="text-align: justify;"><span style="font-size:18px;">Phòng khám chữa bệnh thoát vị đĩa đệm. Chuyên trị&nbsp;thoát &nbsp;vị đĩa đệm bằng thuốc đông y cổ truyền dân tộc. Trang web có 2 tên miền, tên miền quốc tế: thoatvidiadem.top - Tên miền Việt Nam: chuabenhthoatvidiadem.vn</span></p><p><img loading="lazy" alt="Lương y Nguyễn Văn Minh ở Gò Vấp, TP.HCM" src="data:image/gif;base64,R0lGODlhAQABAID/AP///wAAACwAAAAAAQABAAACAkQBADs=" data-src="https://chuabenhthoatvidiadem.vn/resources/images/Lương y Nguyễn Văn Minh ở Gò Vấp.jpg" style="width: 743px; height: 557px;" class="lazy" width="743" height="557" data-optimized="1" /></p><p style="text-align: center;"><span style="font-size:18px;">CHÍNH SÁCH BẢO MẬT THÔNG TIN</span></p><p><span style="font-size:16px;">&nbsp;1. Mục đích thu thập thông tin khách hàng<br />Khi truy cập và sử dụng các tính năng và dịch vụ trên Website: chuabenhthoatvidiadem.vn. Quý khách hàng có thể sẽ được yêu cầu đăng ký với chúng tôi thông tin cá nhân bao gồm họ tên, số điện thoại, Zalo...Website&nbsp;chuabenhthoatvidiadem.vn&nbsp;&nbsp;không chịu mọi trách nhiệm liên quan đến pháp luật đối với thông tin Quý khách hàng khai báo trên hệ thống.<br />&nbsp;2. Phạm vi sử dụng thông tin khách hàng<br />Website:&nbsp;chuabenhthoatvidiadem.vn &amp; thoatvidiadem.top thu thập và sử dụng thông tin cá nhân của Quý khách hàng với mục đích phù hợp, không vi phạm pháp luật và hoàn toàn tuân thủ nội dung của &ldquo;Chính sách bảo mật&rdquo; này. Chúng tôi có thể sử dụng những thông tin cá nhân của Quý khách hàng để liên hệ trực tiếp với Quý khách dưới các hình thức như: gởi thư ngỏ, xác nhận lịch đặt hẹn tư vấn với Chuyên viên tư vấn, thư cảm ơn, tin nhắn, các chương trình của&nbsp;Website:&nbsp;chuabenhthoatvidiadem.vn&nbsp;cũng như những thay đổi trong chính sách liên quan đến quyền lợi của Quý khách hàng.<br />&nbsp;3. Thời gian lưu trữ thông tin khách hàng<br />Dữ liệu cá nhân của Quý khách hàng sẽ được lưu trữ cho đến khi có yêu cầu hủy bỏ hoặc Quý khách hàng đăng nhập và thực hiện hủy bỏ. Còn lại trong mọi trường hợp thông tin cá nhân thành viên sẽ được bảo mật tuyệt đối trên máy chủ của&nbsp;Website chuabenhthoatvidiadem.vn&nbsp;<br />&nbsp;4. Địa chỉ của đơn vị thu thập và quản lý thông tin cá nhân<br />Phòng khám Đông Y Bảo Minh<br />Địa chỉ: 856/6 Đường Quang Trung, phường 8, Quận Gò Vấp, thành phố Hồ CHí Minh, Việt Nam<br />Điện thoại: 0913503552<br />&nbsp;5. Phương tiện và công cụ để người dùng tiếp cận và chỉnh sửa dữ liệu cá nhân<br />Quý khách hàng có thể chỉnh sửa thông tin cá nhân của mình bằng những cách sau:<br />- Quý khách hàng cũng có thể gọi điện thoại hoặc để lại tin nhắn cho chúng tôi qua số điện thoại hoặc Zalo: 0913503552<br />&nbsp;6. Cam kết bảo mật thông tin cá nhân của Quý khách hàng<br />Thông tin cá nhân của Quý khách hàng cung cấp cho chúng tôi thông qua Website&nbsp;chuabenhthoatvidiadem.vn được chúng tôi cam kết bảo mật tuyệt đối theo Chính sách bảo mật thông tin này và theo các quy định pháp luật. Việc thu thập và sử dụng thông tin của Quý khách hàng chỉ được thực hiện khi có sự đồng ý của Quý khách hàng hoặc các trường hợp khác do pháp luật quy định.<br />Website:&nbsp;chuabenhthoatvidiadem.vn&nbsp;cam kết không tiết lộ, cung cấp cho bên thứ ba khác những thông tin của Quý khách hàng khi chưa được sự đồng ý từ Quý khách hàng.<br />Website:&nbsp;chuabenhthoatvidiadem.vn&nbsp;không chịu trách nhiệm về tính xác thực cũng như mọi trách nhiệm liên quan đến pháp luật đối với các thông tin Quý khách hàng khai báo.<br />Trân trọng cảm ơn Quý khách hàng.</span></p><p>Thầy thuốc chuyên chữa&nbsp;<a data-ved="2ahUKEwjn6_izk_j3AhUKHKYKHT7HCE4QFnoECAMQAQ" href="https://chuabenhthoatvidiadem.vn/" ping="/url?sa=t&amp;source=web&amp;rct=j&amp;url=https://chuabenhthoatvidiadem.vn/&amp;ved=2ahUKEwjn6_izk_j3AhUKHKYKHT7HCE4QFnoECAMQAQ" style="color: rgb(26, 13, 171); text-decoration-line: none; -webkit-tap-highlight-color: rgba(0, 0, 0, 0.1); outline: 0px; font-family: arial, sans-serif; font-size: small;" title="">Thoát Vị Đĩa Đệm</a>&nbsp;-&nbsp;<a title="" data-ved="2ahUKEwjFtJeMlPj3AhV7zIsBHf0qB_4QFnoECBwQAQ" href="https://www.youtube.com/channel/UCMrl47bRL4MgAguyRi48mEw" ping="/url?sa=t&amp;source=web&amp;rct=j&amp;url=https://www.youtube.com/channel/UCMrl47bRL4MgAguyRi48mEw&amp;ved=2ahUKEwjFtJeMlPj3AhV7zIsBHf0qB_4QFnoECBwQAQ" style="color: rgb(26, 13, 171); text-decoration-line: none; -webkit-tap-highlight-color: rgba(0, 0, 0, 0.1); outline: 0px; font-family: arial, sans-serif; font-size: small;">Lương y Nguyễn Văn Minh&nbsp;</a></p>]]></content:encoded>
						<wfw:commentRss></wfw:commentRss>
						<slash:comments>0</slash:comments>
					</item>
				
					<item>
						<title>Giá chụp cộng hưởng từ bệnh viện Đại học Y Dược TP.HCM</title>
						<link>https://chuabenhthoatvidiadem.vn/bai-viet/uncategory/gia-chup-cong-huong-tu-benh-vien-dai-hoc-y-duoc-tp-hcm-pid-298.html</link>
						<comments></comments>
						<pubDate>Tue, 13 Apr 2021 09:27:13 +0700</pubDate>
						<dc:creator>admin</dc:creator>
						<category><![CDATA[]]></category>
						<guid isPermaLink="false"></guid>
						<description><![CDATA[Giá chụp cộng hưởng từ bệnh viện Đại học Y Dược TP.HCM bao nhiêu, chụp cộng hưởng từ có được thanh toán bảo hiểm y tế không? Chụp cộng hưởng từ ở đâu tốt nhất, bệnh viện tuyến quận ở TP.HCM có chụp cộng hưởng từ không, làm thế nào để được chụp cộng hưởng từ, nên chụp cộng hưởng từ ở bệnh viện nào.v.v.]]></description>
						<content:encoded><![CDATA[<p><span style="font-size:18px;">Giá chụp cộng hưởng từ ở&nbsp;bệnh viện Đại Học Y Dược TP.HCM.</span></p><p style="text-align: justify;"><span style="font-size:16px;">Bảng giá chụp cộng hưởng từ ở bệnh viện Đại Học Y Dược TP.HCM, có giá &nbsp;2,300,000 đồng (hai triệu ba trăm ngàn đồng) 1 lần chụp. Đây là&nbsp;bảng giá chụp cộng hưởng từ cột sống thắt lưng - cùng, mới nhất năm 2021 tại&nbsp;bệnh viện Đại Học Y Dược TP.HCM. </span></p><p style="text-align: justify;"><span style="font-size:16px;">Chụp cộng hưởng từ ở đâu cũng có chi phí cao, giá không hề rẻ, do các bệnh viện phải đầu tư máy móc trang thiết bị đắt đỏ, nên BHYT có những quy định mà không phải ai có thẻ BHYT cũng được bảo hiểm y tế chi trả&nbsp;chi phí chụp cộng hưởng từ.&nbsp;</span></p><p style="text-align: justify;"><span style="font-size:16px;">Bệnh viện ĐHYD TP.HCM là bệnh viện lớn ở TP.HCM. Đây là bệnh viện công, có đội ngũ các thầy thuốc là các&nbsp;</span><span style="font-size: 16px; text-align: justify;">giáo sư,</span><span style="font-size:16px;"> tiến sĩ,&nbsp;bác sĩ chuyên khoa giỏi, chữa bệnh có&nbsp;uy tín, được nhiều bệnh nhân tin tưởng đến khám&nbsp;bệnh và yêu cầu được chụp MRI ở đây. Địa chỉ bệnh viện: 215 Hồng Bàng - Quận 5 - TP. Hồ Chí Minh.</span></p><p><img loading="lazy" alt="Bảng giá chụp cộng hưởng từ bệnh viện Đại học Y" src="data:image/gif;base64,R0lGODlhAQABAID/AP///wAAACwAAAAAAQABAAACAkQBADs=" data-src="https://chuabenhthoatvidiadem.vn/resources/images/Giá chụp cộng hưởng từ.jpg" style="width: 631px; height: 535px;" class="lazy" width="631" height="535" data-optimized="1" /></p><p>&nbsp;</p><p><span style="font-size:16px;">Mời bạn đọc tham khảo; Kết quả chụp cộng hưởng từ cột sống thắt lưng ở bệnh viện Đại Học Y Dược TP.HCM.</span></p><p><img loading="lazy" alt="MRI thoát vị đĩa đệm" src="data:image/gif;base64,R0lGODlhAQABAID/AP///wAAACwAAAAAAQABAAACAkQBADs=" data-src="https://chuabenhthoatvidiadem.vn/resources/images/Chụp MRI ở BV DHYD.jpg" style="width: 710px; height: 783px;" class="lazy" width="710" height="783" data-optimized="1" /></p><p><span style="font-size:16px;">Sau khi chụp cộng hưởng từ, bác sĩ&nbsp; chẩn đoán hình ảnh mô tả chi tiết cột sống thắt lưng của người bệnh như sau:</span></p><p><span style="font-size:16px;">- Trục cột sống thắt lưng bình thường</span></p><p><span style="font-size:16px;">- Bề cao các thân sống bình thường</span></p><p><span style="font-size:16px;">- Gai thoái hóa các thân sống thắt lưng</span></p><p><span style="font-size:16px;">- Bề cao các đĩa đệm bình thường, thoái hóa mất nước giảm tín hiệu các đĩa đệm trên T2W .</span></p><p><span style="font-size:16px;">- Tầng L1-2. L2-3, L3-4; Không thoát vị đĩa đệm.</span></p><p><span style="font-size:16px;">- Tầng L4-5;&nbsp;Thoát vị đĩa đệm ra sau # 3mm ở trung tâm và cạnh phải trung tâm, chèn ép mặt trước bao màng cứng, gây hẹp nghách bên bên phải, chèn ép rễ thần kinh L5 phải.</span></p><p><span style="font-size:16px;">- Tầng L5-S1; Không thoát vị đĩa đệm.</span></p><p><span style="font-size:16px;">- Đường kính trước sau ống sống hẹp nhất ngang mức L4-5, dAP #7,5mm</span></p><p><span style="font-size:16px;">- Chóp cùng tủy ngang mức D12-L1, hình dạng và tín hiệu bình thường.</span></p><p><span style="font-size:16px;">- Mấu khớp hai bên phì đại nhẹ</span></p><p><span style="font-size:16px;">- Các dây chằng dọc trước, dọc sau và dây chằng vàng bình thường</span></p><p style="text-align: justify;"><span style="font-size:16px;">Như vậy; Nếu so sánh&nbsp;chụp cộng hưởng từ và chụp X- quang cột sống, thì chụp cộng hưởng từ mới phát hiện được có bị thoát vị đĩa đệm hay không, thoát vị đĩa đệm ở đâu, thoát vị đĩa đệm nặng hay nhẹ, có chèn ép bao màng cứng, chèn ép ngách bên hay chèn ép rễ thần kinh hay không.v.v. Những câu hỏi này, nếu chỉ chụp X quang sẽ không thể biết được.</span></p><p style="text-align: justify;"><span style="font-size:14px;"><em>Khi phát hiện bị thoát vị đĩa đệm, đa số người bệnh sẽ gặp bác sĩ chuyên khoa khám và kê đơn thuốc tây để điều trị. Có 1 số ít người bệnh không khỏi, hoặc khi uống thuốc tây chữa thoát vị đĩa đệm lại bị đau dạ dày. Những trường hợp này, hãy tham khảo cách chữa thoát vị đĩa đệm bằng thuốc đông y ở trang web này:&nbsp;</em></span></p><p style="text-align: justify;"><span style="color: rgb(60, 64, 67); font-family: Roboto, HelveticaNeue, Arial, sans-serif; font-size: 14px;">&nbsp;</span><a class="xFAlBc" data-ved="2ahUKEwiahIK0qvrvAhWCAYgKHXH9BHkQ614wHnoECCQQAQ" href="https://chuabenhthoatvidiadem.vn/" jsaction="ebq3Kd; clickonly:ebq3Kd;" jscontroller="pU86Hd" style="color: rgb(26, 13, 171); text-decoration-line: none; -webkit-tap-highlight-color: rgba(0, 0, 0, 0.1); overflow-wrap: break-word; word-break: break-word; font-family: Roboto, HelveticaNeue, Arial, sans-serif; font-size: 14px;" title="">chuabenhthoatvidiadem.vn</a></p>]]></content:encoded>
						<wfw:commentRss></wfw:commentRss>
						<slash:comments>0</slash:comments>
					</item>
				
					<item>
						<title>Thuốc đông y chữa thoát vị đĩa đệm</title>
						<link>https://chuabenhthoatvidiadem.vn/bai-viet/benh-thoat-vi-dia-dem/thuoc-dong-y-chua-thoat-vi-dia-dem-pid-248.html</link>
						<comments></comments>
						<pubDate>Mon, 01 Apr 2019 03:00:48 +0700</pubDate>
						<dc:creator>admin</dc:creator>
						<category><![CDATA[Bệnh thoát vị đĩa đệm]]></category>
						<guid isPermaLink="false"></guid>
						<description><![CDATA[Thuốc đông y chữa thoát vị đĩa đệm có nhiều loại: Thuốc viên hoàn, thuốc viên nén, thuốc viên con nhộng, thuốc thang sắc uống, thuốc tễ, thuốc cao đặc, thuốc nước, thuốc bột, thuốc tán. Các thầy thuốc đông y nổi tiếng đều nhận định: Chữa bệnh thoát vị đĩa đệm tốt nhất là sử dụng thuốc thang. Bởi vì, thuốc thang được kê đơn cho từng người bệnh, số lượng thuốc đúng với mức độ thoát vị đĩa đệm nặng nhẹ của mỗi người, đúng với tuổi và cân nặng bao nhiêu, cơ địa người bệnh nóng lạnh ra sao...nên thuốc thang đông]]></description>
						<content:encoded><![CDATA[<h2 style="text-align: justify;"><span style="font-size:16px;">Thuốc đông y hay còn gọi là thuốc y học cổ truyền, xu thế chữa bệnh bằng thuốc đông y ngày càng được ưa chuộng ở nhiều nơi. Thuốc đông y chữa thoát vị đĩa đệm có rất nhiều&nbsp;dạng: Thuốc viên hoàn, thuốc viên nén, thuốc viên con nhộng, thuốc thang, thuốc tễ, thuốc cao đặc, thuốc nước, thuốc bột hay còn gọi thuốc tán. Các thầy thuốc đông y nổi tiếng đều nhận định: Chữa bệnh thoát vị đĩa đệm tốt nhất nên&nbsp;sử dụng thuốc thang. Bởi vì, thuốc thang được kê đơn cho từng người bệnh phù hợp với: Mức độ thoát vị đĩa đệm, triệu chứng thoát vị đĩa đệm đau ở đâu, nguyên nhân nào gây thoát vị đĩa đệm, độ tuổi bị thoát vị đĩa đệm.v.v.</span></h2><p style="text-align: justify;"><em><span style="font-size:18px;"><img loading="lazy" alt="Thuốc đông y chữa thoát vị đĩa đệm " src="data:image/gif;base64,R0lGODlhAQABAID/AP///wAAACwAAAAAAQABAAACAkQBADs=" data-src="https://chuabenhthoatvidiadem.vn/resources/images/thuốc đông y chữa thoát vị đĩa đệm (2).jpg" style="width: 699px; height: 1104px;" class="lazy" width="699" height="1104" data-optimized="1" /></span></em></p><p><em><span style="font-size:18px;"><img loading="lazy" alt="Lương y Nguyễn Văn Minh" src="data:image/gif;base64,R0lGODlhAQABAID/AP///wAAACwAAAAAAQABAAACAkQBADs=" data-src="https://chuabenhthoatvidiadem.vn/resources/images/Lương y chữa thoát vị đĩa đệm.PNG" style="width: 800px; height: 436px;" class="lazy" width="1017" height="554" data-optimized="1" /><span style="font-size:14px;">Lương y Nguyễn Văn Minh - Phòng khám đông y Bảo Minh, chuyên chữa bệnh thoát vị đĩa đệm bằng đông y.</span></span></em></p><p><em><span style="font-size:18px;"><span style="font-size:14px;"><span class="optimize-cls-iframe" data-src="https://www.youtube.com/embed/xLWYYvmTA-w">https://www.youtube.com/embed/xLWYYvmTA-w</span></span></span></em></p><p><span style="font-size:18px;"><span style="font-size:14px;">Lương y Nguyễn Văn Minh vinh dự nhận danh hiệu: THẦY THUỐC ĐÔNG Y TIÊU BIỂU TOÀN QUỐC.</span></span></p><p><img loading="lazy" alt="Thầy thuốc đông y tiêu biểu toàn quốc" src="data:image/gif;base64,R0lGODlhAQABAID/AP///wAAACwAAAAAAQABAAACAkQBADs=" data-src="https://chuabenhthoatvidiadem.vn/resources/images/Thầy thuốc đông y tiêu biểu toàn quốc(1).jpg" style="width: 896px; height: 656px;" class="lazy" width="896" height="656" data-optimized="1" /></p><p style="text-align: justify;"><span style="font-size:16px;">Đây là phần thưởng cao quý của Chủ tịch Hội đông y Việt Nam trao tặng cho những thầy thuốc đông y giỏi, có uy tín tốt&nbsp;được cộng đồng công nhận.</span></p><p style="text-align: justify;"><span style="font-size:16px;">Muốn có thang thuốc chữa thoát vị đĩa đệm tốt nhất,&nbsp;thầy thuốc phải có kinh nghiệm và tay nghề bắt mạch giỏi,&nbsp;nhà thuốc phải có các vị thuốc phải đạt chất lượng tốt nhất. Nếu chỉ dựa vào bắt mạch rồi kê đơn thuốc là chưa đủ, phải kết hợp với kết quả chụp MRI của người bệnh. Ngoài ra còn phải căn cứ vào mức độ thoát vị đĩa đệm, nặng nhẹ thế nào, triệu chứng đau nhức ở đâu, bao nhiêu tuổi,&nbsp;&nbsp;tiền sử có bị bệnh gì không, cơ địa của người bệnh hàn nhiệt thế nào.v.v Từ đó&nbsp;kê đơn bốc thuốc mới có tác dụng điều trị&nbsp;tốt nhất. Gọi là thuốc thang chữa thoát vị đĩa đệm là tốt nhất&nbsp;do tỷ lệ chữa khỏi bệnh cao, chứ không thể áp dụng một công thức chung cho mọi người. Đây chính là điều đặc biệt của thuốc thang kê đơn cho từng người bệnh, các loại thuốc viên bào chế sẵn thì không có&nbsp;tác dụng tốt&nbsp;như vậy.</span></p><p style="text-align: justify;"><em><span style="font-size: 18px;"><span style="font-size: 14px;"><span class="optimize-cls-iframe" data-src="https://www.youtube.com/embed/gfz6217uWTI">https://www.youtube.com/embed/gfz6217uWTI</span></span></span></em></p><p style="text-align: justify;"><span style="color: rgb(0, 0, 0); font-family: RobotoSlab-Regular, Arial, Helvetica, sans-serif; font-size: 16px; text-align: justify;">Tôi;&nbsp;Lương y Nguyễn Văn Minh là chủ&nbsp;phòng khám Đông y Bảo Minh. Xin trân trọng cảm ơn quý bệnh nhân đồng ý cho ghi lại nội dung thực tế tại phòng khám, tôi chỉ đăng&nbsp;hình ảnh khi được sự đồng ý của quý khách, sau này quý khách nào không muốn công khai ở đây nữa, tôi sẽ gỡ xuống. Cảm ơn quý khách đã tin tưởng vào uy tín của tôi khi đến phòng khám chữa thoát vị đĩa đệm.</span></p><p style="text-align: justify;"><span style="font-size:16px;"><span class="optimize-cls-iframe" data-src="https://www.youtube.com/embed/9ZVbdtmCntk">https://www.youtube.com/embed/9ZVbdtmCntk</span></span></p><p style="text-align: justify;">Đây là những video ghi lại hình ảnh thật của những người bệnh đã dùng thuốc đông y chữa thoát vị đĩa đệm có kết quả tốt.</p><p style="text-align: justify;"><span class="optimize-cls-iframe" data-src="https://www.youtube.com/embed/iTdvrwdQ3ho">https://www.youtube.com/embed/iTdvrwdQ3ho</span></p><p style="text-align: justify;"><span style="font-size:16px;">Ai bị thoát vị đĩa đệm mà đã uống nhiều thuốc tây, tiêm thuốc tây nhưng không khỏi đau nhức tê bì, hãy xem hết nội dung quý khách kể lại quá trình dùng thuốc đông y chữa thoát vị đĩa đệm.</span></p><p style="text-align: justify;"><span style="font-size:16px;"><span class="optimize-cls-iframe" data-src="https://www.youtube.com/embed/7h45SoXse14">https://www.youtube.com/embed/7h45SoXse14</span></span></p><p style="text-align: justify;"><span style="font-size:16px;">Tham khảo&nbsp;1 số trườnng hợp&nbsp;dùng thuốc đông y chữa thoát vị đĩa đệm. Lương y Nguyễn Văn Minh đã gọi điện, hỏi thăm và được sự đồng ý của quý bệnh nhân cho chia sẻ bệnh án thoát vị đĩa đệm, địa chỉ và số điện thoại&nbsp;ở đây;</span></p><p><span style="font-size:16px;">Mời quý khách xem kết quả chụp cộng hưởng từ MRI ở bệnh viện Chợ Rẫy của chị Võ Thị Thu Hiền.</span></p><p><img loading="lazy" alt="Thoát vị đĩa đệm thắt lưng" src="data:image/gif;base64,R0lGODlhAQABAID/AP///wAAACwAAAAAAQABAAACAkQBADs=" data-src="https://chuabenhthoatvidiadem.vn/resources/images/Thuocthoatvidiadem.jpg" style="width: 657px; height: 719px;" class="lazy" width="657" height="719" data-optimized="1" /></p><p>&nbsp;</p><p style="text-align: justify;"><span style="font-size:16px;">Đây là nội dung trao đổi rất thật giữa thầy thuốc Nguyễn Văn Minh và chị Võ Thị Thu Hiền ở TP. Trà Vinh. Chị Hiền đồng ý cho công bố nội dung tại trang web này,&nbsp;nhấp&nbsp;vào mũi tên trong ô dưới đây để nghe.</span></p><p><a href="https://chuabenhthoatvidiadem.vn/resources/files/Thoatvidiadem Vo Thu Hien Tra Vinh.mp3" title="">Thuốc đông y chữa thoát vị đĩa đệm</a></p><p><span style="font-size:16px;">Những trường hợp tương tự có rất nhiều, mời bạn đọc bấm vào liên kết dưới đây, xem thuốc đông y chữa thoát vị đĩa đệm tốt như thế nào:</span></p><p><span style="font-size:16px;"><a data-ctbtn="0" data-cthref="http://www.google.com.vn/url?sa=t&amp;rct=j&amp;q=&amp;esrc=s&amp;source=web&amp;cd=69&amp;ved=2ahUKEwjI66XzlqriAhURfXAKHSUmCxY4PBAWMAh6BAgIEAE&amp;url=http%3A%2F%2Fchuabenhthoatvidiadem.vn%2Fcach-chua-benh%2Fthoat-vi-dia-dem-chen-ep-re-than-kinh-pid-254.html&amp;usg=AOvVaw0-8hO5Izyd8ZH1irqjNkv3" href="http://www.google.com.vn/url?sa=t&amp;rct=j&amp;q=&amp;esrc=s&amp;source=web&amp;cd=69&amp;ved=2ahUKEwjI66XzlqriAhURfXAKHSUmCxY4PBAWMAh6BAgIEAE&amp;url=http%3A%2F%2Fchuabenhthoatvidiadem.vn%2Fcach-chua-benh%2Fthoat-vi-dia-dem-chen-ep-re-than-kinh-pid-254.html&amp;usg=AOvVaw0-8hO5Izyd8ZH1irqjNkv3" style="color: rgb(102, 0, 153); cursor: pointer; text-decoration-line: none; font-family: arial, sans-serif; font-size: small;" target="_blank" title="">Thoát vị đĩa đệm chèn ép rễ thần kinh, uống thuốc hết tê chân</a></span></p><p><span style="font-size:16px;"><a data-ctbtn="0" data-cthref="http://www.google.com.vn/url?sa=t&amp;rct=j&amp;q=&amp;esrc=s&amp;source=web&amp;cd=132&amp;ved=2ahUKEwiuwoKvm6riAhWCMt4KHQhUDVM4ggEQFjABegQIAhAB&amp;url=http%3A%2F%2Fchuabenhthoatvidiadem.vn%2Fcach-chua-benh%2Fthoat-vi-dia-dem-hep-nang-ong-song-hep-lo-lien-hop-chen-ep-re-than-kinh-pid-243.html&amp;usg=AOvVaw2YouXa_x8zKz0-Yrn12e0a" href="http://www.google.com.vn/url?sa=t&amp;rct=j&amp;q=&amp;esrc=s&amp;source=web&amp;cd=132&amp;ved=2ahUKEwiuwoKvm6riAhWCMt4KHQhUDVM4ggEQFjABegQIAhAB&amp;url=http%3A%2F%2Fchuabenhthoatvidiadem.vn%2Fcach-chua-benh%2Fthoat-vi-dia-dem-hep-nang-ong-song-hep-lo-lien-hop-chen-ep-re-than-kinh-pid-243.html&amp;usg=AOvVaw2YouXa_x8zKz0-Yrn12e0a" style="color: rgb(102, 0, 153); cursor: pointer; text-decoration-line: none; font-family: arial, sans-serif; font-size: small;" target="_blank" title="">Thoát vị đĩa đệm, hẹp nặng ống sống, hẹp lỗ liên hợp, chèn ép rễ thần kinh</a></span></p><p><span style="font-size:16px;"><a href="https://chuabenhthoatvidiadem.vn/cach-chua-benh/nho-thay-chua-thoat-vi-dia-dem-dot-song-co-toi-het-moi-co-het-dau-vai-gay-pid-115.html" style="color: rgb(102, 0, 153); cursor: pointer; text-decoration-line: none; font-family: arial, sans-serif; font-size: small;" target="_blank" title="">Người bệnh kể: &quot;Uống thuốc của thầy, tôi hết mỏi cổ&nbsp;hết đau vai gáy&quot;</a></span></p><p><a data-ctbtn="0" data-cthref="http://www.google.com.vn/url?sa=t&amp;rct=j&amp;q=&amp;esrc=s&amp;source=web&amp;cd=179&amp;ved=2ahUKEwivzZ6nnqriAhXWMt4KHaAEAx04qgEQFjAIegQICBAB&amp;url=http%3A%2F%2Fchuabenhthoatvidiadem.vn%2Fcach-chua-benh%2Fthoat-vi-dia-dem-gay-nen-dau-that-lung-dau-hong-va-dau-chan-xem-cach-chua-o-tp-hcm-pid-230.html&amp;usg=AOvVaw1Y8IrAVYaD2bbUxwQZAmzp" href="http://www.google.com.vn/url?sa=t&amp;rct=j&amp;q=&amp;esrc=s&amp;source=web&amp;cd=179&amp;ved=2ahUKEwivzZ6nnqriAhXWMt4KHaAEAx04qgEQFjAIegQICBAB&amp;url=http%3A%2F%2Fchuabenhthoatvidiadem.vn%2Fcach-chua-benh%2Fthoat-vi-dia-dem-gay-nen-dau-that-lung-dau-hong-va-dau-chan-xem-cach-chua-o-tp-hcm-pid-230.html&amp;usg=AOvVaw1Y8IrAVYaD2bbUxwQZAmzp" style="color: rgb(102, 0, 153); cursor: pointer; text-decoration-line: none; font-family: arial, sans-serif; font-size: small;" target="_blank" title="">Bệnh án thoát vị đĩa đệm, chia sẻ từ người bệnh đã chữa khỏi hẳn&nbsp;</a></p><p><span style="font-size:16px;"><a href="https://chuabenhthoatvidiadem.vn/bai-viet/ket-qua-dieu-tri-thoat-vi-dia-dem/benh-thoat-vi-dia-dem-nhieu-tang-co-chua-duoc-khong-pid-68.html" style="color: rgb(102, 0, 153); cursor: pointer; text-decoration-line: none; font-family: arial, sans-serif; font-size: small;" target="_blank" title="">Thoát vị đĩa đệm&nbsp;cổ, nghe người bệnh thông báo&nbsp;</a></span></p><p><span style="font-size:16px;"><a href="https://chuabenhthoatvidiadem.vn/cach-chua-benh/nho-thay-ma-toi-khong-phai-mo-thoat-vi-dia-dem-hay-nghe-benh-nhan-cu-phat-bieu-pid-41.html" style="color: rgb(102, 0, 153); cursor: pointer; text-decoration-line: none; font-family: arial, sans-serif; font-size: small;" target="_blank" title="">Nhờ thầy mà tôi không phải mổ thoát vị đĩa đệm, nghe để cảm nhận</a></span></p><p><span style="font-size:16px;"><a href="https://chuabenhthoatvidiadem.vn/bai-viet/ket-qua-dieu-tri-thoat-vi-dia-dem/thoat-vi-dia-dem-that-lung-toi-9mm-co-chua-duoc-khong-pid-208.html" style="color: rgb(102, 0, 153); cursor: pointer; text-decoration-line: none; font-family: arial, sans-serif; font-size: small;" target="_blank" title="">Thoát vị đĩa đệm nặng như vậy, chữa được&nbsp;không có nhiều</a></span></p><p><a href="https://chuabenhthoatvidiadem.vn/cach-chua-benh/toi-da-khoi-benh-thoat-vi-dia-dem-cot-song-co-nho-luong-y-nguyen-van-minh-chua-tri-pid-61.html" style="color: rgb(102, 0, 153); cursor: pointer; text-decoration-line: none; font-family: arial, sans-serif; font-size: small;" target="_blank" title="">Tôi đã khỏi&nbsp;thoát vị đĩa đệm cổ nhờ lương y Nguyễn Văn Minh</a></p><p><a href="https://chuabenhthoatvidiadem.vn/cach-chua-benh/luong-y-nguyen-van-minh-chua-thoat-vi-dia-dem-cho-anh-ut-o-dong-thap-khoi-dut-toi-nay-pid-10.html" style="color: rgb(102, 0, 153); cursor: pointer; text-decoration-line: none; font-family: arial, sans-serif; font-size: small;" target="_blank" title="">Chữa thoát vị đĩa đệm ở phòng khám Bảo Minh, gặp người bệnh kể thật tìnhh</a></p><p><span style="background-color: transparent; color: rgb(0, 0, 0); font-family: RobotoSlab-Regular, Arial, Helvetica, sans-serif; font-size: 16px; text-align: justify; white-space: nowrap;">Lương y Nguyễn Văn Minh chữa thoát vị đĩa đệm ở TP.HCM.</span></p><p style="text-align: justify; "><font color="#000000" face="RobotoSlab-Regular, Arial, Helvetica, sans-serif"><span style="font-size: 16px; text-wrap-mode: nowrap;">Địa chỉ duy nhất tại</span></font><span style="color: rgb(0, 0, 0); font-family: RobotoSlab-Regular, Arial, Helvetica, sans-serif; font-size: 16px; text-align: justify;">: 856/6 Quang Trung, Phường 8, quận Gò Vấp, nay là Phường Thông Tây Hội, TP.HCM.</span></p><h3 class="r" style="line-height: 1.1; box-sizing: border-box; margin: 0px; padding: 0px; border: 0px; outline: 0px; font-size: 18px; vertical-align: baseline; background-image: initial; background-position: initial; background-size: initial; background-repeat: initial; background-attachment: initial; background-origin: initial; background-clip: initial; font-family: RobotoSlab-Regular, Arial, Helvetica, sans-serif; color: rgb(0, 0, 0); max-width: 100%; overflow: hidden; text-overflow: ellipsis; white-space: nowrap;"><a href="https://chuabenhthoatvidiadem.vn/" style="color: rgb(102, 0, 153); box-sizing: border-box; margin: 0px; padding: 0px; border: 0px; outline: 0px; vertical-align: baseline; background: transparent; text-decoration-line: none; transition: all 406ms ease-out 0s; max-width: 100%; cursor: pointer;" target="_blank" title="">Thuốc đông y chữa&nbsp;thoát vị đĩa đệm</a></h3><div class="s" style="box-sizing: border-box; margin: 0px; padding: 0px; border: 0px; outline: 0px; font-size: 16px; vertical-align: baseline; background-image: initial; background-position: initial; background-size: initial; background-repeat: initial; background-attachment: initial; background-origin: initial; background-clip: initial; position: relative; max-width: 48em; font-family: RobotoSlab-Regular, Arial, Helvetica, sans-serif; color: rgb(84, 84, 84); line-height: 18px;"><div class="f kv _SWb" style="box-sizing: border-box; margin: 0px; padding: 0px; border: 0px; outline: 0px; font-size: small; vertical-align: baseline; background: transparent; position: relative; max-width: 100%; color: rgb(128, 128, 128); height: 18px; line-height: 16px; font-family: arial, sans-serif; white-space: nowrap;"><cite class="_Rm" style="box-sizing: border-box; margin: 0px; padding: 0px; border: 0px; outline: 0px; font-size: 14px; vertical-align: baseline; background: transparent; max-width: 100%; color: rgb(0, 102, 33); font-style: normal;">chuabenhthoatvidiadem.vn</cite></div></div>]]></content:encoded>
						<wfw:commentRss></wfw:commentRss>
						<slash:comments>0</slash:comments>
					</item>
				
					<item>
						<title>Thoát vị đĩa đệm</title>
						<link>https://chuabenhthoatvidiadem.vn/bai-viet/luong-y-nguyen-van-minh-chua-thoat-vi-dia-dem/thoat-vi-dia-dem-pid-197.html</link>
						<comments></comments>
						<pubDate>Sun, 28 Jan 2018 10:05:19 +0700</pubDate>
						<dc:creator>admin</dc:creator>
						<category><![CDATA[Lương y Nguyễn Văn Minh chữa thoát vị đĩa đệm]]></category>
						<guid isPermaLink="false"></guid>
						<description><![CDATA[Thoát vị đĩa đệm là bệnh gây đau nhức xương khớp hay gặp nhất tại phòng khám đông y Bảo Minh. Nếu phát hiện thoát vị đĩa đệm, điều trị kịp thời đúng cách, gặp thầy gặp thuốc thì tỷ lệ khỏi bệnh rất cao, hơn 90% người bệnh không phải mổ thoát vị đĩa đệm. Thuốc chữa bệnh của nhà thuốc còn có tác dụng bổ xương khớp, tốt cho bao xơ dây chằng, hồi phục đĩa đệm bị thoái hóa mất nước, chữa lành vết thương. Người bệnh sẽ hết đau, hết nhức do không bị chèn ép rễ thần kinh, chèn ép bao màng cứng hoặc làm hẹp lỗ liên]]></description>
						<content:encoded><![CDATA[<p style="text-align: justify;"><span style="font-size:16px;">Thoát vị đĩa đệm là bệnh về xương khớp hay gặp nhất tại phòng khám đông y Bảo Minh. Nếu phát hiện sớm thoát vị đĩa đệm, chữa bệnh&nbsp;kịp thời đúng cách, đúng thầy đúng thuốc thì tỷ lệ khỏi bệnh rất cao, hơn 90% người bệnh không phải phẫu thuật đĩa đệm cột sống. Thuốc chữa thoát vị đĩa đệm từ các vị thảo dược của nhà thuốc giúp phục hồi các gân cơ, dây chằng đĩa đệm, chữa&nbsp;lành vết thương vết rách bao xơ đĩa đệm, thuốc ngấm từ từ&nbsp;rồi&nbsp;hết&nbsp;đau,&nbsp;hết&nbsp;nhức do khối thoát vị đĩa đệm không còn chèn ép rễ thần kinh, không còn chèn ép bao màng cứng hoặc lỗ liên hợp&nbsp;nữa, thuốc còn giúp hồi&nbsp;phục đĩa đệm bị thoái hóa mất nước, cột sống bị thoái hóa có&nbsp;gai xương.</span></p><p><img loading="lazy" alt="Thoát vị đĩa đệm" src="data:image/gif;base64,R0lGODlhAQABAID/AP///wAAACwAAAAAAQABAAACAkQBADs=" data-src="https://chuabenhthoatvidiadem.vn/resources/images/thoat-vi-dia-dem(1).jpg" style="width: 900px; height: 1200px;" class="lazy" width="900" height="1200" data-optimized="1" /></p><h2 style="text-align: justify;"><span style="font-size:16px;"><strong>Thoát vị đĩa đệm</strong> nếu gặp thầy gặp thuốc sẽ chữa hết bệnh; hết đau, hết nhức. Thuốc chữa thoát vị đĩa đệm ở phòng khám&nbsp;là thuốc&nbsp;đông y, mỗi thang thuốc&nbsp;sắc uống ngày 2 lần. Phòng khám đông y Bảo Minh chỉ sử dụng những vị thuốc tốt nhất hiện nay để chữa bệnh.</span></h2><h3><a href="https://chuabenhthoatvidiadem.vn/resources/files/Cao Thị Huệ 1974%2C An Giang_mp3.mp3" style="font-size: 16px; text-align: justify;" title="">Thoát vị đĩa đệm</a></h3><p style="text-align: justify;"><span style="font-size:16px;">Để minh chứng cho điều này, mời bạn đọc bấm vào những mũi tên ở trong ô của trang web, nghe và cảm nhận sự&nbsp;thật từ người bệnh.</span></p><p><span style="font-size: 16px;"><img loading="lazy" alt="Lương y Nguyễn Văn Minh nhận bằng khen của Chủ tịch Hội đông y Việt Nam" src="data:image/gif;base64,R0lGODlhAQABAID/AP///wAAACwAAAAAAQABAAACAkQBADs=" data-src="https://chuabenhthoatvidiadem.vn/resources/images/Bằng khen của Lương y Nguyễn Văn Minh.jpg" style="height: 1180px; opacity: 0.9; width: 1600px;" class="lazy" width="1600" height="1180" data-optimized="1" /></span></p><p style="text-align: justify;"><span style="font-size: 14px;"><em>Nhờ thành tích tốt trong quá trình khám bệnh, chữa bệnh bằng thuốc đông y.&nbsp;Lương y Nguyễn Văn Minh vinh dự được Chủ tịch Hội Đông y Việt Nam tặng bằng khen.&nbsp;</em></span></p><p style="text-align: justify;"><span style="font-size:16px;">Khi quý khách đến khám bệnh, chữa bệnh tại phòng khám đông y Bảo Minh. Quý khách được giữ bí mật thông tin riêng. Lương y Nguyễn Văn Minh&nbsp;chỉ chia sẻ&nbsp;ý kiến phản hồi hoặc kết quả chụp MRI khi quý khách đồng ý. Sau này&nbsp;quý khách nào không muốn chia sẻ ở trang web này nữa, chúng tôi sẽ gỡ bỏ thông tin xuống. Xin trân trọng cảm ơn quý khách.</span></p><p style="text-align: justify;"><em style="text-align: justify;"><span style="font-size: 14px;"><img loading="lazy" alt="Thoát vị đĩa đệm " src="data:image/gif;base64,R0lGODlhAQABAID/AP///wAAACwAAAAAAQABAAACAkQBADs=" data-src="https://chuabenhthoatvidiadem.vn/resources/images/Thoát vị đĩa đệm (4).jpg" style="width: 913px; height: 1200px;" class="lazy" width="913" height="1200" data-optimized="1" /></span></em></p><p style="text-align: justify;"><em><span style="font-size:14px;">Được sự cho phép của vợ chồng chị Cao Thị Huệ, Lương y Nguyễn Văn Minh xin đăng kết quả chụp cộng hưởng từ (MRI) của chị&nbsp;để bạn đọc tham khảo. Mời bạn đọc nhấp vào ô dưới để nghe chị Huệ và chồng chị kể lại quá trình chữa thoát vị đĩa đệm ở phòng khám đông y Bảo Minh.</span></em></p><p style="text-align: justify;"><span style="font-size:16px;">Chị Cao Thị Huệ đồng ý cho chia sẻ kết quả chụp MRI, số điện thoại và địa chỉ của chị đang ở,&nbsp;quý khách nào ở gần đây đến hỏi thăm, tìm hiểu thêm: Ấp Bình Thành, xã Phú Bình, huyện Phú Tân, tỉnh An Giang. Xin trân trọng cảm ơn vợ chồng chị Huệ đã đồng ý chia sẻ thật để giới thiệu với bạn đọc.</span></p><p style="text-align: justify;"><span style="font-size:16px;"><a href="https://chuabenhthoatvidiadem.vn/resources/files/Chồng chị Cao Thị Huệ%2C An Giang_mp3.mp3" title="">Chồng chị Huệ thấy vợ khỏi bệnh, đồng ý giới thiệu thầy thuốc</a></span></p><p style="text-align: justify;"><span style="font-size:16px;"><img loading="lazy" alt="hinh-anh-thoat-vi-dia-dem" src="data:image/gif;base64,R0lGODlhAQABAID/AP///wAAACwAAAAAAQABAAACAkQBADs=" data-src="https://chuabenhthoatvidiadem.vn/resources/images/hinh-anh-thoat-vi-dia-dem.jpg" style="width: 882px; height: 1189px;" class="lazy" width="882" height="1189" data-optimized="1" /></span></p><p style="text-align: justify;"><span style="font-size:16px;">Bạn đọc nào có người quen&nbsp;bị thoát vị đĩa đệm chèn ép rễ thần kinh, gây nên đau nhức nhiều, đi lại vận động khó khăn, họ đã uống thuốc giảm đau của bệnh viện mà không hết bệnh. Quý khách hãy nghe hết sẽ biết số điện thoại, xem hết những&nbsp;nội dung của người bệnh chia sẻ ở trang web này, giới thiệu cho họ với hy vọng may mắn&nbsp;gặp thầy gặp thuốc để chữa khỏi bệnh .</span></p><p style="text-align: justify;"><a href="https://chuabenhthoatvidiadem.vn/resources/files/Phạm thị Nghề 0397957079_230313_081709.mp3" style="text-align: justify;" title=""><span style="font-size: 16px;">Thuốc chữa thoát vị đĩa đệm ở phòng khám đông y Bảo Minh</span></a></p><p style="text-align: justify;"><span style="font-size:16px;">Xin trân trọng cảm ơn quý bệnh nhân đã tin tưởng vào uy tín của thầy thuốc, đồng ý cho chia sẻ sự thật ở đây, với mong muốn giúp được nhiều&nbsp;người gặp thầy gặp thuốc.</span></p><p style="text-align: justify;"><span style="font-size: 16px;"><img loading="lazy" alt="Thầy thuốc Nguyễn Văn Minh chữa thoát vị đĩa đệm" src="data:image/gif;base64,R0lGODlhAQABAID/AP///wAAACwAAAAAAQABAAACAkQBADs=" data-src="https://chuabenhthoatvidiadem.vn/resources/images/Thầy thuốc Nguyễn Văn Minh(2).jpg" style="width: 1600px; height: 901px;" class="lazy" width="1600" height="901" data-optimized="1" /></span></p><p style="text-align: justify;"><span style="font-size:14px;"><em>Quý bệnh nhân đã&nbsp;chữa khỏi bệnh được 7 năm, gần đây bà bị đau lại, mức độ nhẹ nhưng bà quyết định đến phòng khám để Lương y Nguyễn Văn Minh khám bệnh bắt mạch cho bà, bà đồng ý chụp chung tấm hình và cho quay video ghi lại nội dung câu chuyện. Xin trân trọng cảm ơn bà Nguyễn Thị Lành ở Bình Phước.</em></span></p><p style="text-align: justify;"><span class="optimize-cls-iframe" data-src="https://www.youtube.com/embed/aRyWWAbNLq8">https://www.youtube.com/embed/aRyWWAbNLq8</span></p><p style="text-align: justify;"><span style="font-size:16px;">Bà Nguyễn Thị Lành 71 tuổi,&nbsp;nhà ở phường Hưng Chiến, thị xã Bình Long, tỉnh Bình Phước đã khỏi thoát vị đĩa đệm được 7 năm. Gần đây bà bị đau lại mức độ nhẹ, bà quay lại phòng khám để khám bệnh bắt mạch, bà Lành đồng ý cho quay video để giới thiệu cách chữa thoát vị đĩa đệm của Lương y Nguyễn Văn Minh.</span></p><p style="text-align: justify;"><span style="font-size:16px;">&nbsp;Năm 2016 bà Lành bị bệnh thoát vị đĩa đệm, đi khám mấy bệnh viện bác sĩ đều yêu cầu phải mổ thoát vị đĩa đệm mới hết đau. Chồng bà lên mạng tìm được phòng khám của Lương y Nguyễn Văn Minh, bà đã chữa thoát vị đĩa đệm ở đây và hết đau nhức đến nay được 7 năm. Gần đây bà bị đau lại nhưng mức độ nhẹ, bà lại tìm đến nhờ Lương y Minh khám bệnh và kê đơn thuốc cho bà về nhà uống, bà đồng ý chia sẻ giới thiệu cho những ai bị thoát vị đĩa đệm, cho&nbsp;họ biết đến thuốc chữa thoát vị đĩa đệm của phòng khám đông y Bảo Minh.&nbsp;</span><br /><span style="font-size:16px;">Lương y Nguyễn Văn Minh chân thành&nbsp;cảm ơn quý bệnh nhân đồng ý&nbsp;chia sẻ hình ảnh, nội dung góp ý. Chúng tôi coi đây là nguồn&nbsp;động viên to lớn để ngày càng chữa bệnh tốt hơn nữa.</span></p><p style="text-align: justify;"><span style="font-size:16px;"><img loading="lazy" alt="Thoatvidiadem top" src="data:image/gif;base64,R0lGODlhAQABAID/AP///wAAACwAAAAAAQABAAACAkQBADs=" data-src="https://chuabenhthoatvidiadem.vn/resources/images/Thoatvidiadem top (3).jpg" style="width: 850px; height: 906px;" class="lazy" width="1126" height="1200" data-optimized="1" /></span></p><p style="text-align: justify;"><img loading="lazy" alt="Hình ảnh thoát vị đĩa đệm L4-L5" src="data:image/gif;base64,R0lGODlhAQABAID/AP///wAAACwAAAAAAQABAAACAkQBADs=" data-src="https://chuabenhthoatvidiadem.vn/resources/images/Thoát vị đĩa đệm(7).jpg" style="height: 1200px; opacity: 0.9; font-size: 20px; width: 900px;" class="lazy" width="900" height="1200" data-optimized="1" /></p><p style="text-align: justify;"><span style="font-size:14px;"><em>Hình ảnh thoát vị đĩa đệm L4-L5 trên phim chụp cộng hưởng từ MRI</em></span></p><p style="text-align: justify;"><span style="font-size: 16px;">Phòng khám đông y Bảo Minh xin trân trọng cảm ơn bác Nguyễn Văn Chính ở TP.HCM. Bác đã đồng ý cho chia sẻ kết quả chụp MRI, và nội dung cuộc trò chuyện này.</span></p><p style="text-align: justify;"><a href="https://chuabenhthoatvidiadem.vn/resources/files/Bác Chính khỏi TVDD.mp3" style="font-size: 16px;" title="">Thoát vị đĩa đệm</a></p><p style="text-align: justify;"><span style="text-align: justify; font-size: 16px;">Có rất&nbsp;nhiều người được Lương y Nguyễn Văn Minh chữa khỏi bệnh, mấy năm sau cũng không bị đau lại. Mời quý bạn đọc bấm vào ô trên&nbsp;để nghe bác&nbsp;Nguyễn Văn Chính&nbsp;ở TP.HCM đã chữa khỏi bệnh từ năm 2016.&nbsp;Hôm nay; 12/6/2022 bác gọi lại gặp Lương y Nguyễn Văn Minh hỏi lại&nbsp;địa chỉ phòng khám để giới thiệu người quen đến chữa bệnh.</span></p><p style="text-align: justify;"><span style="text-align: justify; font-size: 16px;">Có thể bạn muốn xem; Năm 2016&nbsp;bác Chính đồng ý cho quay phim chia sẻ sau khi khỏi bệnh:&nbsp;</span><a data-ved="2ahUKEwiO77S-stf4AhUnqVYBHRoTCKI4eBAWegQIDxAB" href="https://chuabenhthoatvidiadem.vn/cach-chua-benh/nho-thay-ma-toi-khong-phai-mo-thoat-vi-dia-dem-hay-nghe-benh-nhan-cu-phat-bieu-pid-41.html" ping="/url?sa=t&amp;source=web&amp;rct=j&amp;url=https://chuabenhthoatvidiadem.vn/cach-chua-benh/nho-thay-ma-toi-khong-phai-mo-thoat-vi-dia-dem-hay-nghe-benh-nhan-cu-phat-bieu-pid-41.html&amp;ved=2ahUKEwiO77S-stf4AhUnqVYBHRoTCKI4eBAWegQIDxAB" style="color: rgb(26, 13, 171); font-size: small; text-align: justify; text-decoration-line: none; -webkit-tap-highlight-color: rgba(0, 0, 0, 0.1); outline: 0px; font-family: arial, sans-serif;" title="">Nhấp Vào Đây&nbsp;</a></p><p style="text-align: justify;"><span style="text-align: justify; font-size: 16px;">Sáu&nbsp;năm trước, bác Chính&nbsp;chữa thoát vị đĩa đệm tại</span><span style="text-align: justify; font-size: 16px;">&nbsp;địa chỉ cũ: 373/5 Thống Nhất, Quận Gò Vấp. Đến năm 2017 thì phòng khám dời về địa chỉ; 856/6 đường Quang Trung cũng ở Quận Gò Vấp.</span></p><p style="text-align: justify;"><span style="font-size:14px;"><img loading="lazy" alt="Thoat vi dia dem top" src="data:image/gif;base64,R0lGODlhAQABAID/AP///wAAACwAAAAAAQABAAACAkQBADs=" data-src="https://chuabenhthoatvidiadem.vn/resources/images/Thoat vi dia dem L4 L5 S1 (2).jpg" style="width: 744px; height: 984px;" class="lazy" width="744" height="984" data-optimized="1" /></span></p><p style="text-align: justify;"><span style="font-size: 16px;">Còn đây là trường hợp của anh Phạm Ngọc Hùng ở Dĩ An, Bình Dương,&nbsp;tháng 2&nbsp;năm 2021 anh Hùng có đến chữa thoát vị đĩa đệm ở phòng khám đông y Bảo Minh. Hôm nay; 12/7/2022 anh gọi điện cho Lương y Nguyễn Văn Minh,&nbsp;xin trân trọng cảm ơn anh đã đồng ý chia sẻ nội dung này.&nbsp;</span></p><p style="text-align: justify;"><a href="https://chuabenhthoatvidiadem.vn/resources/files/pham ngoc hung.mp3" title=""><span style="font-size: 14px;">Thoát vị đĩa đệm&nbsp;</span></a></p><p style="text-align: justify;"><span style="font-size:16px;"><span style="text-align: justify;">Ai bị</span><span style="text-align: justify;">&nbsp;thoát vị đĩa đệm nhẹ, không cần phải nghe hết nội dung cuộc hội thoại trên, còn trường hợp nào bị thoát vị đĩa đệm mà chữa mãi không bớt, hãy chịu khó nghe hết câu chuyện, quý vị&nbsp;sẽ có thông tin hữu ích để tham khảo cách chữa.</span></span><span style="font-size: 16px; text-align: justify;">&nbsp;Zalo thầy thuốc tư vấn miễn phí cách chữa bệnh: 0913503552.&nbsp;</span></p><p style="text-align: justify;"><span style="font-size:16px;">Năm ngoái, khi uống hết 25 thang thuốc bớt đau nhiều, lần sau cùng anh Hùng đến phòng khám mua thuốc, anh&nbsp;đồng ý cho quay video kể&nbsp;về căn bệnh thoát vị đĩa đệm của mình, bạn đọc nhấp xem&nbsp;</span><a data-ved="2ahUKEwi1iIq_55P5AhXpmFYBHRIXBSo4RhAWegQIBBAB" href="https://chuabenhthoatvidiadem.vn/cach-chua-benh/thoat-vi-dia-dem-l4-l5-l5-s1-chen-ep-re-than-kinh-pid-299.html" ping="/url?sa=t&amp;source=web&amp;rct=j&amp;url=https://chuabenhthoatvidiadem.vn/cach-chua-benh/thoat-vi-dia-dem-l4-l5-l5-s1-chen-ep-re-than-kinh-pid-299.html&amp;ved=2ahUKEwi1iIq_55P5AhXpmFYBHRIXBSo4RhAWegQIBBAB" style="color: rgb(26, 13, 171); -webkit-tap-highlight-color: rgba(0, 0, 0, 0.1); outline: 0px; font-family: arial, sans-serif; font-size: small;" title="">Ở&nbsp;ĐÂY</a><font size="2">&nbsp;</font></p><p><img loading="lazy" alt="Thoát vị đĩa đệm" src="data:image/gif;base64,R0lGODlhAQABAID/AP///wAAACwAAAAAAQABAAACAkQBADs=" data-src="https://chuabenhthoatvidiadem.vn/resources/images/Thoát vị đĩa đệm(1).jpg" style="width: 580px; height: 394px;" class="lazy" width="493" height="335" data-optimized="1" />&nbsp;</p><p><span style="font-size:14px;"><em>Mô hình đĩa đệm bị thoát vị chèn ép rễ thần kinh gây đau&nbsp;nhức,&nbsp;tê bì&nbsp;cho người bệnh.</em></span></p><p><span style="font-size: 14px;">Mời bạn đọc xem kết quả MRI của chị Võ Thị Lệ Nga ở địa chỉ; 20 KP4, thị trấn Cần Giuộc, tỉnh Long An.&nbsp;</span></p><p><span style="font-size:14px;"><em><img loading="lazy" alt="Thoát vị đĩa đệm " src="data:image/gif;base64,R0lGODlhAQABAID/AP///wAAACwAAAAAAQABAAACAkQBADs=" data-src="https://chuabenhthoatvidiadem.vn/resources/images/thoatvidiadem top (4).jpg" style="width: 442px; height: 589px;" class="lazy" width="442" height="589" data-optimized="1" /></em></span></p><p><span style="font-size:16px;">Lương y Nguyễn Văn Minh xin phép,&nbsp;chị Nga đồng ý giới thiệu và &nbsp;thông báo đã khỏi bệnh:</span></p><p><a href="https://chuabenhthoatvidiadem.vn/resources/files/nga can giuoc.mp3" title="">Thoát vị đĩa đệm L5 S1</a></p><p><span style="font-size:16px;">Sau khi chụp MRI cột sống thắt lưng của chị Nga, bác sĩ kết luận:</span></p><p><span style="font-size:16px;">Gai thoái hóa nhỏ đốt sống L5-S1.</span><span style="font-size: 16px;">Thoái hóa mất nước đĩa đệm tầng L5/S1. </span></p><p><span style="font-size: 16px;">Thoát vị đĩa đệm tầng L5/S1, ra sau #5 mm trung tâm lệch (P), ép nhẹ rễ thần kinh S1 (P).&nbsp;</span></p><p style="text-align: justify;"><span style="font-size:16px;">Nếu quý khách lần đầu ghé thăm trang web, mời&nbsp;bấm vào VIDEO dưới đây để xem hình ảnh phòng khám, nghe một người bệnh đã trị khỏi thoát vị đĩa đệm cách nay mấy năm, chị đồng ý chia sẻ địa chỉ và giới thiệu người thân tới chữa.</span></p><p><span class="optimize-cls-iframe" data-src="https://www.youtube.com/embed/8gYdQC6Vtto">https://www.youtube.com/embed/8gYdQC6Vtto</span></p><p style="text-align: justify;"><span style="font-size:16px;">Tôi; Lương y Nguyễn Văn Minh&nbsp;là thầy thuốc ở phòng khám đông y Bảo Minh. Nhằm giữ gìn uy tín của thầy thuốc và phòng khám, tôi chỉ chia sẻ hình ảnh thật, nội dung thật, bệnh án thật và chữa khỏi bệnh có thật, nên có những câu chuyện phải nghe tới cuối mới cảm nhận sự chân thật. Tôi chỉ đăng tin khi được sự đồng ý từ quý khách,&nbsp;xin trân trọng cảm ơn.</span></p><p style="text-align: justify;"><span style="font-size:16px;"><img loading="lazy" alt="Phòng khám Bảo Minh" src="data:image/gif;base64,R0lGODlhAQABAID/AP///wAAACwAAAAAAQABAAACAkQBADs=" data-src="https://chuabenhthoatvidiadem.vn/resources/images/Phòng khám Bảo Minh(1).jpg" style="width: 1024px; height: 768px;" class="lazy" width="1024" height="768" data-optimized="1" /><em><span style="font-size:14px;">Bốc thuốc chữa thoát vị đĩa đệm tại phòng khám đông y Bảo Minh.</span></em></span></p><p><em><span style="font-size:16px;"><img loading="lazy" alt="Hình ảnh thoát vị đĩa đệm " src="data:image/gif;base64,R0lGODlhAQABAID/AP///wAAACwAAAAAAQABAAACAkQBADs=" data-src="https://chuabenhthoatvidiadem.vn/resources/images/Thoát vị đĩa đệm(5).jpg" style="width: 664px; height: 960px;" class="lazy" width="664" height="960" data-optimized="1" /></span></em></p><p><span style="font-size:14px;"><em>Hình ảnh thoát vị đĩa đệm tầng L4/L5 trên phim chụp cộng hưởng từ MRI.</em></span></p><p style="text-align: justify;"><span style="font-size: 16px;">Cách nay gần 6 năm, chị&nbsp;Lê Thị Huệ có chữa thoát vị đĩa đệm ở phòng khám của Lương y Nguyễn Văn Minh. Hôm nay, Lương y Minh gọi điện hỏi thăm, chị Huệ&nbsp;thông báo đã hết bệnh,&nbsp;chị đồng ý cho chia sẻ nội dung câu chuyện và&nbsp;địa chỉ, ai ở gần nhà chị Huệ ghé&nbsp;hỏi thêm kinh nghiệm: Số nhà 581 đường Thống Nhất,&nbsp;phường Kinh Dinh, TP. Phan Rang-Tháp Chàm, tỉnh Ninh Thuận. Xin trân trọng cảm ơn chị&nbsp;Huệ.</span></p><p style="text-align: justify;"><a href="https://chuabenhthoatvidiadem.vn/resources/files/Lê Thị Huệ tv 6_23.mp3" style="font-size: 16px;" title="">Thoát vị đĩa đệm</a></p><p style="text-align: justify;"><span style="font-size:16px;">Chụp X quang cột sống&nbsp;không thể phát hiện thoát vị đĩa đệm chính xác, chỉ có chụp MRI cộng hưởng từ mới biết được mức độ thoát vị đĩa đệm nặng hay nhẹ, có chèn ép rễ thần kinh hay không? mức độ chèn ép nặng hay nhẹ, có khả năng chữa được không? chữa bao lâu thì khỏi bệnh.v.v. Hàng loạt câu hỏi&nbsp;người bệnh muốn biết về căn bệnh thoát vị đĩa đệm. Mời bạn đọc tham khảo&nbsp;bệnh án dưới đây;</span></p><p><em><span style="font-size:16px;"><img loading="lazy" alt="Thoát vị đĩa đệm " src="data:image/gif;base64,R0lGODlhAQABAID/AP///wAAACwAAAAAAQABAAACAkQBADs=" data-src="https://chuabenhthoatvidiadem.vn/resources/images/thoatvidiadem (3).jpg" style="width: 636px; height: 896px;" class="lazy" width="636" height="896" data-optimized="1" /></span></em></p><p style="text-align: justify;"><em style="font-size: 14px;">Một bệnh nhân nữ 42 tuổi, nhà ở Hóc Môn, TP Hồ Chí Minh, lúc đầu bị đau lưng, sau đó đau xuống mông bên trái, đau dài xuống chân&nbsp;trái và tê chân. Vào bệnh viện chụp MRI cộng hưởng từ cột sống thắt lưng, phát hiện thoát vị đĩa đệm, bác sĩ chuyên khoa kết luận như sau</em><span style="font-size:14px;"><em>:</em></span></p><p><span style="font-size:16px;">Thoái hóa cột sống thắt lưng mức độ vừa.</span></p><p style="text-align: justify;"><span style="font-size:16px;">Trượt nhẹ đốt sống và thoát vị đĩa đệm L5/S1 thể sau bên trái (#7-8mm), gây hẹp ngách bên và lỗ liên hợp trái, chèn ép bao màng cứng và rễ S1 trái.</span></p><p style="text-align: justify;"><span style="font-size:16px;">Thoát vị nhẹ đĩa đệm L3/L4 ,L4/L5 (#3mm), không thấy chèn ép các rễ thần kinh.&nbsp;</span></p><p style="text-align: justify;"><span style="font-size:16px;">Đây chỉ là một trong rất nhiều trường hợp thoát vị đĩa đệm, được Lương y Nguyễn Văn Minh chữa khỏi bệnh.&nbsp;</span><span style="font-size: 16px;">Để xem thuốc&nbsp;</span><span style="font-size: 16px;">chữa thoát vị đĩa đệm hiệu quả như thế nào, quý khách nhấp</span><a data-ved="2ahUKEwjzl6nrwI74AhV5pVYBHTF9BVU4HhAWegQIAhAB" href="https://chuabenhthoatvidiadem.vn/dieu-tri/ket-qua-dieu-tri-thoat-vi-dia-dem-cid-2-0.html" ping="/url?sa=t&amp;source=web&amp;rct=j&amp;url=https://chuabenhthoatvidiadem.vn/dieu-tri/ket-qua-dieu-tri-thoat-vi-dia-dem-cid-2-0.html&amp;ved=2ahUKEwjzl6nrwI74AhV5pVYBHTF9BVU4HhAWegQIAhAB" style="font-size: small; color: rgb(26, 13, 171); text-decoration-line: none; -webkit-tap-highlight-color: rgba(0, 0, 0, 0.1); outline: 0px; font-family: arial, sans-serif;" title="">&nbsp;Vào Đây</a>&nbsp;</p><h3><span style="font-size:20px;">Lý giải cơ chế thoát vị đĩa đệm</span></h3><p style="text-align: justify;"><span style="font-size:16px;">Đĩa đệm như những&nbsp;&ldquo;miếng đệm, miếng&nbsp;lót&rdquo; hấp thu lực tác&nbsp;động vào cột sống để bảo vệ các đốt sống&nbsp;của xương cột sống.&nbsp;Đĩa đệm nằm trong&nbsp;khe giữa 2 đốt&nbsp;sống có lớp vỏ sợi bọc nhân nhầy bên trong. Nhờ tính co giãn, đàn hồi nên&nbsp;đĩa đệm đóng vai trò như bộ phận giảm xóc, bảo vệ cho cột sống khỏi các chấn thương. Những người từ 30 tuổi trở lên&nbsp;đĩa đệm dễ bị thoái hóa, khi thoái hóa đĩa đệm sẽ&nbsp;làm giảm&nbsp;đi độ co giãn mềm mại, nhân nhầy bị khô và vòng sụn bên ngoài bị xơ hoá, rạn nứt có thể rách. Chỉ cần có tác động mạnh, nhân nhầy bên trong đĩa đệm có thể chui qua chỗ rách, thoát vị ra ngoài, chèn ép vào&nbsp;rễ thần kinh tạo ra những cơn đau nhức vùng cột sống và đường đi của dây thần kinh bị chèn ép.</span></p><p style="text-align: justify;"><span style="font-size:16px;">&nbsp;</span><span style="font-size:18px;"><span style="font-size:16px;">Xem thêm;</span>&nbsp;<a href="http://phongkhambaominh.com/thoat-vi-dia-dem/benh-hoc-benh-an.htm" style="color: rgb(102, 0, 153); cursor: pointer; text-decoration-line: none; font-family: arial, sans-serif; font-size: small;" target="_blank" title="">Bệnh&nbsp;án&nbsp;thoát vị đĩa đệm điển hình</a></span></p><h4 style="text-align: justify;"><span style="font-size: 20px;">Những triệu chứng thoát vị đĩa đệm</span></h4><p style="text-align: justify;"><span style="font-size:16px;">Khi bị thoát vị đĩa đệm, người bệnh&nbsp;sẽ gặp những&nbsp;cơn đau ở hệ thống cột sống. Tuỳ từng vị trí đĩa đệm thoát vị, người bệnh sẽ có những triệu chứng đặc trưng khác nhau. Hay gặp&nbsp;nhất là thoát vị đĩa đệm cột sống thắt lưng và thoát vị đĩa đệm cột sống cổ.<br />Thoát vị đĩa đệm cột sống cổ: xuất hiện các triệu chứng đau dọc vùng gáy, đau mỏi lan rộng từ bả vai đến cánh tay. Ngoài ra, người bệnh còn có thể gặp thêm cảm giác tê dọc cánh tay bàn tay. Cơ lực tay của người bệnh sẽ giảm dần, ảnh hưởng đến các hoạt động bình thường như giơ cao cánh tay khó khăn,&nbsp;nắm, cầm, vác, xách đều bị hạn chế.<br />Thoát vị đĩa đệm cột sống thắt lưng có các triệu chứng là các cơn đau nhức ê ẩm vùng thắt lưng. Khi ho, hắt hơi hoặc vận động mạnh các cơn đau&nbsp;sẽ tăng lên.&nbsp;Người bệnh sẽ có cảm giác đau&nbsp;lưng, đau xuống&nbsp;mông kéo xuống chân, gây nhức chân, tê bì, hạn chế các cử động của cột sống như mất khả năng ưỡn của thắt lưng, không cúi được xuống thấp hoặc cố gắng cúi sẽ rất đau.</span></p><h5 style="text-align: justify;"><span style="font-size:20px;">Cách điều trị thoát vị đĩa đệm</span></h5><p style="text-align: justify;"><span style="font-size:16px;">Thoát vị đĩa đệm có thể dẫn đến biến chứng nguy hiểm khi không điều trị kịp thời, dẫn đến&nbsp;thoát vị đĩa đệm ngày càng nặng, chèn ép nặng rễ thần kinh, chèn&nbsp;vào tủy sống gây hẹp nặng ống sống, hẹp lỗ liên hợp. Nên&nbsp;khi phát hiện thoát vị đĩa đệm, người bệnh cần đến gặp lương y,&nbsp;bác sĩ có uy tín để được chẩn đoán và điều trị thoát vị đĩa đệm đúng cách. Việc tự ý áp dụng chữa&nbsp;theo các phương pháp dân gian không đúng hoặc mua thuốc giảm đau về sử dụng dài ngày có thể khiến tình trạng bệnh trở nên nghiêm trọng hơn. Thực tế cho thấy có trên&nbsp;90% trường hợp thoát vị đĩa đệm được điều trị khỏi hẳn mà không phải phẫu thuật thoát vị đĩa đệm.</span></p><p style="text-align: justify;"><span style="font-size:16px;">Có hơn 25&nbsp;kinh nghiệm điều trị&nbsp;thoát vị đĩa đệm bằng đông y, gồm&nbsp;thuốc uống kết hợp&nbsp;thuốc bóp thuốc đắp</span><span style="font-size: 16px; text-align: justify;">.&nbsp;L</span><span style="font-size:16px;">ương y Nguyễn Văn Minh ở&nbsp;phòng khám đông y Bảo Minh đã&nbsp;điều trị cho hàng ngàn người khỏi bệnh. Nhiều người 4-5 năm sau gọi điện hỏi thăm, họ thông báo&nbsp;không bị đau lại. Ở&nbsp;</span><span style="text-align: justify; font-size: 16px;">m</span><span style="text-align: justify; font-size: 16px;">ột vài trường hợp có thể kết hợp thêm châm cứu, bấm huyệt&nbsp;nếu thấy cần thiết.</span></p><p style="text-align: justify;"><img loading="lazy" alt="" src="data:image/gif;base64,R0lGODlhAQABAID/AP///wAAACwAAAAAAQABAAACAkQBADs=" data-src="https://chuabenhthoatvidiadem.vn/resources/images/Capture(1).PNG" style="width: 800px; height: 427px;" class="lazy" width="1067" height="569" data-optimized="1" /></p><p style="text-align: justify;"><em><span style="font-size:16px;">Lương y Nguyễn Văn Minh, thầy thuốc chữa thoát vị đĩa đệm ở&nbsp;phòng khám đông y Bảo Minh.</span></em></p><h6 style="text-align: justify;"><span style="font-size: 20px;">Thuốc đông y&nbsp;trị thoát vị đĩa đệm, chất lượng từ đầu vào.</span></h6><p style="text-align: justify;"><span style="font-size: 16px;">Bài&nbsp;<a title="" href="https://chuabenhthoatvidiadem.vn/cach-chua-benh/bai-thuoc-chua-thoat-vi-dia-dem-khang-dinh-uy-tin-cua-thay-thuoc-pid-215.html">thuốc trị thoát vị đĩa đệm&nbsp;</a>của lương y Nguyễn Văn Minh,&nbsp;có gần 30&nbsp;vị thuốc thảo dược đông y tốt nhất.</span><span style="font-size: 16px;">&nbsp;Thuốc </span><span style="font-size: 16px;">được Lương y Minh đặt mua ở những vùng có nhiều cây thuốc, khắp nơi trong cả nước.&nbsp;Lương y&nbsp;trực tiếp chỉ đạo&nbsp;bào chế sao tẩm thuốc, nấu thuốc, bảo quản đúng tiêu chuẩn&nbsp;nên chất lượng thuốc&nbsp;luôn đảm bảo tốt nhất, an toàn nhất, nếu uống lâu dài cũng không có hại gì đến sức khỏe. Những vị thuốc nòng cốt trong bài thuốc gồm có các vị như: Mộc qua, đan sâm, lộc giác, thục địa, đương quy, khương hoạt, tần giao, hà thủ ô, đỗ trọng, quy bản, độc hoạt, ngưu tất, phòng phong.v.v..Khi chữa bệnh, tùy vào mức độ thoát vị đĩa đệm của từng bệnh nhân, lương y Minh sẽ điều chỉnh một số vị thuốc để phù hợp với cơ địa của mỗi người nên&nbsp;hiệu quả chữa bệnh của bài thuốc này rất cao, có&nbsp;uy tín khắp trong và ngoài nước.</span></p><p style="text-align: justify;"><span class="optimize-cls-iframe" data-src="https://www.youtube.com/embed/x7aavTS0FT8">https://www.youtube.com/embed/x7aavTS0FT8</span></p><p style="text-align: justify;"><span style="font-size:14px;"><em>Bạn đọc bấm vào video trên xem cuộc nói chuyện giữa người bệnh và thầy thuốc được quay ở phòng khám đông y Bảo Minh.</em></span></p><p style="text-align: justify;"><span style="font-size:16px;"><a href="https://chuabenhthoatvidiadem.vn/cach-chua-benh/thuoc-dap-thoat-vi-dia-dem-tu-dap-thuoc-chua-tri-tai-nha-pid-102.html" style="font-size: 20px; color: rgb(102, 0, 153); cursor: pointer; text-decoration-line: none;" target="_blank" title="">Thuốc bóp, thuốc đắp&nbsp;</a>hỗ trợ trị&nbsp; thoát vị đĩa đệm&nbsp;-&nbsp;</span><span style="font-size: 16px;">Thuốc dùng&nbsp;ngoài da, tự xoa bóp hoặc đắp thuốc tại nhà.</span></p><p style="text-align: justify;"><span style="font-size:16px;">Chữa thoát vị đĩa đệm bằng cách vừa uống thuốc thang, vừa bóp thuốc hoặc đắp thuốc lên vùng&nbsp;đĩa đệm bị thoát vị&nbsp;rất hiệu nghiệm. Chỉ cần vừa uống vừa xoa bóp hay đắp thuốc khoảng 10 ngày đã thấy bớt đau, bớt nhức nhiều. Đây là bài thuốc xoa bóp&nbsp;được Lương y Nguyễn Văn Minh bào chế thành dạng nước đóng sẵn vào chai cho tiện sử dụng. Khi dùng chỉ cần đổ thuốc lên miếng gạc y tế, hoặc miếng bông gòn rồi đắp lên vùng&nbsp;cột sống bị đau, thuốc đắp chữa thoát vị&nbsp;không gây kích ứng da, không&nbsp;rát ở nơi&nbsp;đắp thuốc. Ngày đắp 1-2 lần, mỗi lần từ 10&nbsp;đến 30&nbsp;phút. Nếu bị thoát vị đĩa đệm chèn ép rễ thần kinh gây đau nhức nhiều, có thể đắp nhiều lần trong ngày hoặc đắp cả đêm khi đi ngủ cũng không sợ có hại gì tới sức khỏe. Có thể đổ thuốc đắp lên chỗ nhức rồi xoa bóp nhiều lần trong ngày. Một chai thuốc đắp chữa thoát vị đĩa đệm sử dụng&nbsp;được khoảng&nbsp;5 - 10 ngày.</span></p><p><span style="font-size:16px;">Xem hiệu quả của bài thuốc: <a href="https://chuabenhthoatvidiadem.vn/cach-chua-benh/ket-qua-dieu-tri-thoat-vi-dia-dem-cid-2-10.html" style="color: rgb(102, 0, 153); cursor: pointer; text-decoration-line: none;" target="_blank" title="">Bấm vào đây &gt;&gt;</a></span></p><p style="text-align: justify;"><span style="font-size:16px;">Phòng khám&nbsp;đông y Bảo Minh:&nbsp;Nơi chữa thoát vị đĩa đệm uy tín ở thành phố HCM: 856/6 đường Quang Trung, Phường&nbsp;8, quận Gò Vấp. DĐ - Zalo của Lương y Nguyễn Văn Minh: 0913503552 - ĐT bàn: 028.6295.1367</span></p><p style="text-align: justify;"><span style="font-size: 16px; text-align: justify;">Quý khách nào nhà ở gần Gò Vấp. Quận 12, quận Tân Bình, Tân Phú, Phú Nhuận, Bình Thạnh và huyện Hóc Môn. Nếu muốn kết hợp&nbsp;châm cứu, bấm huyệt chữa thoát vị đĩa đệm. Phòng khám có <a title="" href="https://chuabenhthoatvidiadem.vn/cach-chua-benh/cham-cuu-bam-huyet-pid-328.html">bác sĩ châm cứu</a>&nbsp;giỏi</span><span style="font-size: 16px; text-align: justify;">, châm cứu theo phương pháp mới nhất giúp&nbsp;giảm&nbsp;đau nhanh.&nbsp;Đây là cách chữa giúp&nbsp;giảm đau nhức thay cho&nbsp;phải&nbsp;uống thuốc tây giảm đau mỗi ngày. Phòng khám có phòng châm cứu ở dưới tầng trệt, phòng châm cứu trên lầu 1 có máy lạnh.</span></p><p><span style="font-size:16px;">Trang web của phòng khám đông y Bảo Minh chữa thoát vị đĩa đệm:</span></p><p><a class="xFAlBc" font-size:="" helvetica="" href="https://thoatvidiadem.top/" ping="/url?sa=t&amp;source=web&amp;rct=j&amp;url=https://thoatvidiadem.top/&amp;ved=2ahUKEwim8fGcrNSAAxUO32EKHcfZClkQhAd6BAhUEAE&amp;opi=89978449" style="color: rgb(26, 13, 171); -webkit-tap-highlight-color: rgba(0, 0, 0, 0.1); overflow-wrap: break-word; word-break: break-word; outline: 0px; font-family: Roboto, " title="">thoatvidiadem.top</a></p><p><span style="font-size:18px;">&nbsp;</span><a href="https://chuabenhthoatvidiadem.vn/" title="">chuabenhthoatvidiadem.vn</a></p><p><span style="font-size:18px;">&nbsp;</span><a href="http://phongkhambaominh.com/" title="">phongkhambaominh.com</a></p><p><span style="font-size:16px;">Trang YouTube của&nbsp;<a href="https://www.youtube.com/channel/UCMrl47bRL4MgAguyRi48mEw" rel="noopener" style="white-space: nowrap; font-size: small; color: rgb(102, 0, 153); cursor: pointer; text-decoration-line: none; font-family: arial, sans-serif;" target="_blank" title="">Lương y Nguyễn Văn Minh</a></span></p><p><span style="font-size: 16px;">Quý khách có thể dùng Google Map chỉ đường, đi khám bệnh thoát vị đĩa đệm ở thành phố Hồ Chí Minh.</span></p>]]></content:encoded>
						<wfw:commentRss></wfw:commentRss>
						<slash:comments>0</slash:comments>
					</item>
				
					<item>
						<title>Uống thuốc của thầy chữa thoát vị đĩa đệm cổ, tôi hết mỏi cổ, hết đau vai gáy.</title>
						<link>https://chuabenhthoatvidiadem.vn/bai-viet/ket-qua-dieu-tri-thoat-vi-dia-dem/uong-thuoc-cua-thay-chua-thoat-vi-dia-dem-co-toi-het-moi-co-het-dau-vai-gay-pid-115.html</link>
						<comments></comments>
						<pubDate>Sun, 12 Nov 2017 11:01:01 +0700</pubDate>
						<dc:creator>admin</dc:creator>
						<category><![CDATA[Kết quả điều trị thoát vị đĩa đệm]]></category>
						<guid isPermaLink="false"></guid>
						<description><![CDATA[Uống thuốc của thầy chữa thoát vị đĩa đệm cổ, tôi hết mỏi cổ, hết đau vai gáy. Đây là câu nói của bác Tâm ở TP.HCM, bác gọi điện cho lương y Nguyễn Văn Minh thông báo khỏi bệnh và hỏi lại địa chỉ của lương y Minh để giới thiệu người nhà tới chữa bệnh về cột sống đĩa đệm.]]></description>
						<content:encoded><![CDATA[<h2 style="text-align: justify;"><span style="font-size:16px;">Thuốc chữa thoát vị đĩa đệm tốt nhất nên chữa bằng thuốc thang, bởi vì thang thuốc&nbsp;được thầy thuốc kê đơn theo đúng với&nbsp;độ tuổi người bệnh,&nbsp;đúng với mức độ thoát vị đĩa đệm, đúng với thời gian bị bệnh, đúng với cơ địa người bệnh v.v Nên mức độ chữa khỏi bệnh rất&nbsp;cao.</span></h2><p style="text-align: justify;"><span style="text-align: justify; font-size: 16px;">Uống thuốc của&nbsp;thầy&nbsp;tôi hết mỏi cổ, hết đau vai gáy, mấy năm tôi không đau lại.&nbsp;Đây là câu nói của bác Tâm ở TP.HCM, bác gọi điện cho Lương y Nguyễn Văn Minh thông báo không còn mỏi cổ và đau vai gáy nữa.&nbsp;</span><span style="text-align: justify; font-size: 16px;">Trước khi&nbsp;tới phòng khám đông y Bảo Minh,&nbsp;bác Tâm đã chữa thoát vị đĩa đệm ở nhiều nơi nhưng </span><span style="text-align: justify; font-size: 16px;">&nbsp;</span><span style="text-align: justify; font-size: 16px;">không hết bệnh. Cách nay hai năm, bác Tâm&nbsp;đến&nbsp;gặp L</span><span style="text-align: justify; font-size: 16px;">ương y Minh để chữa bệnh, sau khi uống thuốc điều trị,&nbsp;căn bệnh đau mỏi cổ gáy do thoát vị đĩa đệm cổ của bác Tâm đã không còn nữa.</span></p><p style="text-align: justify;"><span style="font-size:16px;">Hôm nay bác Tâm&nbsp;hỏi lại địa chỉ của Lương y Nguyễn Văn Minh để giới thiệu người nhà tới mua thuốc chữa bệnh, bác đồng ý&nbsp;chia sẻ tình trạng bệnh và địa chỉ của mình ở Củ Chi,&nbsp;TP.HCM, Việt Nam.</span></p><p><span style="font-size:16px;">Mời bạn đọc nhấp vào mũi tên dưới&nbsp;để biết rõ hơn.</span></p><p><a href="https://chuabenhthoatvidiadem.vn/resources/files/Tho_i_041.mp3" title="">Thuốc chữa thoát vị đĩa đệm&nbsp;</a></p><p style="text-align: justify;"><span style="font-size:16px;">&nbsp;<em>Đây là cuộc nói chuyện rất thật giữa Lương y Nguyễn văn Minh và bác Tâm,&nbsp;có lúc âm thanh nghe không rõ, nhưng đảm bảo được tính chân thật, đúng người đúng bệnh.</em></span></p><p style="text-align: justify;"><span style="font-size:16px;"><em><img loading="lazy" alt="Thuốc chữa thoát vị đĩa đệm" src="data:image/gif;base64,R0lGODlhAQABAID/AP///wAAACwAAAAAAQABAAACAkQBADs=" data-src="https://chuabenhthoatvidiadem.vn/resources/images/Phòng khám Bảo Minh.jpg" style="width: 800px; height: 600px;" class="lazy" width="1600" height="1200" data-optimized="1" /></em></span></p><p style="text-align: justify;"><span style="font-size:16px;"><em>Thuốc chữa thoát vị đĩa đệm của phòng khám đông y Bảo Minh</em></span></p><p><span style="font-size:16px;"><em><img loading="lazy" alt="Thoát vị đĩa đệm cổ" src="data:image/gif;base64,R0lGODlhAQABAID/AP///wAAACwAAAAAAQABAAACAkQBADs=" data-src="https://chuabenhthoatvidiadem.vn/resources/images/Thoatvidiademco.jpg" style="width: 756px; height: 1008px;" class="lazy" width="756" height="1008" data-optimized="1" /><span style="font-size:14px;">Hình ảnh thoát vị đĩa đệm&nbsp;cổ, trêm phim chụp cộng hưởng từ MRI cột sống cổ</span></em></span></p><h3 style="text-align: justify;"><span style="font-size: 16px; text-align: justify;">Phòng khám chữa thoát vị đĩa đệm&nbsp;do Lương y Nguyễn Văn Minh trực tiếp khám bệnh, kê toa thuốc điều trị bệnh. Trước đây phòng khám đặt tại địa chỉ: 373/5 Thống Nhất, phường 11, quận Gò Vấp. Hiện giờ&nbsp;đã chuyển về địa chỉ: 856/6 đường Quang Trung, phường 8, cũng tại quận Gò Vấp, TP.HCM.</span></h3><p><span style="font-size: 16px; text-align: justify;"><img loading="lazy" alt="Lương y Nguyễn Văn Minh" src="data:image/gif;base64,R0lGODlhAQABAID/AP///wAAACwAAAAAAQABAAACAkQBADs=" data-src="https://chuabenhthoatvidiadem.vn/resources/images/20180809_084232.jpg" style="width: 850px; height: 638px;" class="lazy" width="1600" height="1200" data-optimized="1" /><em>Mới đây, có dịp ghé thăm phòng khám, bác Tâm chụp ảnh kỷ niệm với Lương y Nguyễn Văn Minh.</em></span></p><p style="text-align: justify;"><span style="font-size:16px;">Bác Tâm đã chữa&nbsp;trị chứng&nbsp;đau mỏi vai gáy, tê tay&nbsp;do thoát vị đĩa đệm cổ&nbsp;gây nên tại phòng khám từ năm 2015, tới nay đã hơn hai năm. Gần đây có người quen ở Long An&nbsp;bị bệnh giống như của bác, bác Tâm muốn giới thiệu nên có&nbsp;cuộc điện thoại này. Lương y Nguyễn Văn Minh đã xin phép và bác đồng ý cho chia sẻ địa chỉ thật của bác đang sinh sống tại: Nhà số 11, đường Liêu Bình Hương, thị trấn Củ Chi, TP.HCM (*)</span></p><p style="text-align: justify;"><span style="font-size:16px;">(*) &quot;Lưu ý: bài thuốc&nbsp;điều trị thoát vị đĩa đệm có tác dụng nhanh hay chậm, có thể thay đổi tùy theo tình trạng&nbsp;bệnh của mỗi nguời&quot;</span></p><p><span style="font-size:16px;"><a href="https://www.youtube.com/channel/UCMrl47bRL4MgAguyRi48mEw" style="color: rgb(102, 0, 153); background-image: initial; background-position: initial; background-size: initial; background-repeat: initial; background-attachment: initial; background-origin: initial; background-clip: initial; box-sizing: border-box; margin: 0px; padding: 0px; border: 0px; outline: 0px; font-size: 16px; vertical-align: baseline; text-decoration-line: none; transition: all 406ms ease-out; max-width: 100%; font-family: arial, sans-serif; white-space: nowrap; cursor: pointer;" title="">Lương y Nguyễn Văn Minh chuyên chữa thoát vị đĩa đệm</a>. DĐ, Zalo: 0913503552 - 02862951367</span></p><p><span style="font-size:16px;">Địa chỉ chữa thoát vị&nbsp;đĩa đệm: 856/6 Quang Trung, Phường 8, Quận Gò Vấp, TP.HCM</span></p><p><span style="background-color: transparent; color: rgb(0, 0, 0); font-family: RobotoSlab-Regular, Arial, Helvetica, sans-serif; font-size: 16px; text-align: justify; white-space: nowrap;">Xem&nbsp;Lương y Nguyễn Văn Minh chữa thoát vị đĩa đệm&nbsp;tại trang web:</span></p><h3 class="r" style="line-height: 1.1; box-sizing: border-box; margin: 0px; padding: 0px; border: 0px; outline: 0px; font-size: 18px; vertical-align: baseline; background-image: initial; background-position: initial; background-size: initial; background-repeat: initial; background-attachment: initial; background-origin: initial; background-clip: initial; font-family: RobotoSlab-Regular, Arial, Helvetica, sans-serif; color: rgb(0, 0, 0); max-width: 100%; overflow: hidden; text-overflow: ellipsis; white-space: nowrap;"><a href="https://chuabenhthoatvidiadem.vn/" style="color: rgb(102, 0, 153); box-sizing: border-box; margin: 0px; padding: 0px; border: 0px; outline: 0px; vertical-align: baseline; background: transparent; text-decoration-line: none; transition: all 406ms ease-out 0s; max-width: 100%; cursor: pointer;" target="_blank" title="">Thuốc Chữa&nbsp;Thoát Vị Đĩa Đệm</a></h3><div class="s" style="box-sizing: border-box; margin: 0px; padding: 0px; border: 0px; outline: 0px; font-size: 16px; vertical-align: baseline; background-image: initial; background-position: initial; background-size: initial; background-repeat: initial; background-attachment: initial; background-origin: initial; background-clip: initial; position: relative; max-width: 48em; font-family: RobotoSlab-Regular, Arial, Helvetica, sans-serif; color: rgb(84, 84, 84); line-height: 18px;"><div class="f kv _SWb" style="box-sizing: border-box; margin: 0px; padding: 0px; border: 0px; outline: 0px; font-size: small; vertical-align: baseline; background: transparent; position: relative; max-width: 100%; color: rgb(128, 128, 128); height: 18px; line-height: 16px; font-family: arial, sans-serif; white-space: nowrap;"><cite class="_Rm" style="box-sizing: border-box; margin: 0px; padding: 0px; border: 0px; outline: 0px; font-size: 14px; vertical-align: baseline; background: transparent; max-width: 100%; color: rgb(0, 102, 33); font-style: normal;">chuabenhthoatvidiadem.vn</cite></div></div>]]></content:encoded>
						<wfw:commentRss></wfw:commentRss>
						<slash:comments>0</slash:comments>
					</item>
				
					<item>
						<title>Khám thoát vị đĩa đệm ở đâu TP.HCM </title>
						<link>https://chuabenhthoatvidiadem.vn/bai-viet/dia-chi-chua-benh-thoat-vi-dia-dem/kham-thoat-vi-dia-dem-o-dau-tp-hcm-pid-73.html</link>
						<comments></comments>
						<pubDate>Thu, 16 Feb 2017 11:54:16 +0700</pubDate>
						<dc:creator>admin</dc:creator>
						<category><![CDATA[Địa chỉ chữa bệnh thoát vị đĩa đệm]]></category>
						<guid isPermaLink="false"></guid>
						<description><![CDATA[Khi bị đau nhức cột sống, không biết mình có bị thoát vị đĩa đệm hay không. Lúc đó ai cũng muốn biết: Khám thoát vị đĩa đệm ở đâu tốt, cách chữa thoát vị đĩa đệm thế nào cho hiệu quả? Thuốc chữa thoát vị đĩa đệm tốt nhất hiện nay là thuốc gì? Thầy thuốc nào chữa thoát vị đĩa đệm có uy tín? Hãy xem Lương y Nguyễn Văn Minh chữa thoát vị đĩa đệm như thế nào? Địa chỉ phòng khám chữa bệnh thoát vị đĩa đệm đặt tại số: 856/6 Đường Quang Trung, Phường 8, Quận Gò Vấp, TP Hồ Chí Minh. Số điện thoại tư vấn: 0913.503.5]]></description>
						<content:encoded><![CDATA[<h2 style="text-align: justify;"><span style="font-size:16px;">Khám thoát vị đĩa đệm ở TPHCM, nên khám ở đâu để đảm bảo tin tưởng. Chữa thoát vị đĩa đệm ở đâu có thầy thuốc uy tín. Phòng khám có giấy phép chữa bệnh của Sở Y&nbsp;Tế TP.HCM</span></h2><p style="text-align: justify;"><span style="font-size:16px;">Lương y Nguyễn Văn Minh chuyên chữa bệnh thoát vị đĩa đệm, địa chỉ phòng khám chữa bệnh thoát vị đĩa đệm đặt tại nhà riêng: 856/6 đường Quang Trung, Phường 8, quận Gò Vấp, TP. Hồ Chí Minh.</span><img loading="lazy" alt="Giấy phép hoạt động của phòng khám" src="data:image/gif;base64,R0lGODlhAQABAID/AP///wAAACwAAAAAAQABAAACAkQBADs=" data-src="https://chuabenhthoatvidiadem.vn/resources/images/20171005_152631.jpg" style="font-family: arial, helvetica, sans-serif; font-size: 18px; width: 650px; height: 845px;" class="lazy" width="640" height="450" data-optimized="1" /></p><p><span style="font-size:14px;"><em>Giấy phép khám chữa bệnh cho loại hình: Phòng chẩn trị y học cổ truyền. Do&nbsp;<a href="https://www.youtube.com/channel/UCMrl47bRL4MgAguyRi48mEw" rel="noopener" style="color: rgb(102, 0, 153); text-decoration-line: none; -webkit-tap-highlight-color: rgba(0, 0, 0, 0.1); font-family: arial, sans-serif; font-size: small;" target="_blank" title="">Lương y Nguyễn Văn Minh&nbsp;</a>phụ trách, chịu trách nhiệm chuyên môn kỹ thuật, được Giám đốc Sở y&nbsp;tế TP. Hồ Chí Minh ký giấy.</em></span></p><p><span style="font-size:14px;"><em><img loading="lazy" alt="Bằng khen Lương y Nguyễn Văn Minh" src="data:image/gif;base64,R0lGODlhAQABAID/AP///wAAACwAAAAAAQABAAACAkQBADs=" data-src="https://chuabenhthoatvidiadem.vn/resources/images/Bang-khen- luong-y-Nguyen-Van-Minh.jpg" style="width: 1280px; height: 926px;" class="lazy" width="1280" height="926" data-optimized="1" /></em></span></p><p><span style="font-size: 14px;"><i>Chủ Tịch Hội Đông y Việt Nam tặng bằng khen Lương y Nguyễn Văn Minh năm 2023.</i></span></p><p><img loading="lazy" alt="Khám thoát vị đĩa đệm ở TP.HCM" src="data:image/gif;base64,R0lGODlhAQABAID/AP///wAAACwAAAAAAQABAAACAkQBADs=" data-src="https://chuabenhthoatvidiadem.vn/resources/images/kham-thoat-vi-dia-dem.jpg" style="width: 1280px; height: 1053px;" class="lazy" width="1280" height="1053" data-optimized="1" /></p><p style="text-align: justify;"><span style="background-color: transparent; font-size: 16px; color: rgb(0, 0, 0); font-family: RobotoSlab-Regular, Arial, Helvetica, sans-serif;">Tôi; Lương y Nguyễn Văn Minh, phụ trách phòng khám đông y Bảo Minh. Tôi chuyên chữa bệnh thoát vị đĩa đệm cột sống thắt lưng, cột sống cổ. Rất nhiều người đã khỏi bệnh hoàn toàn nhờ bài thuốc đặc trị thoát vị đĩa đệm do tôi bào chế.&nbsp;Trước khi tôi muốn sử dụng hình ảnh, địa chỉ,&nbsp;giọng nói và kết quả chụp MRI của những bệnh nhân cũ tôi đều xin phép, được sự đồng ý tôi mới đăng tin.&nbsp;Tôi cũng rất vui khi nhiều người tới chữa bệnh ở phòng khám&nbsp;của tôi, họ nói: Thầy chữa khỏi bệnh cho tôi, tôi không phải tốn tiền đi mổ, thầy cứ ghi hình hay làm gì cũng được. Xin chân thành cảm ơn những tấm lòng quý báu&nbsp;của họ. Mời quý vị hãy xem và nghe&nbsp;trực tiếp giọng nói của một số bệnh nhân cũ, đã chữa bệnh tại phòng khám của tôi.</span></p><p style="box-sizing: border-box; margin: 20px 0px 10px; padding: 0px; border: 0px; outline: 0px; font-size: 24px; vertical-align: baseline; background-image: initial; background-position: initial; background-size: initial; background-repeat: initial; background-attachment: initial; background-origin: initial; background-clip: initial; font-family: RobotoSlab-Regular, Arial, Helvetica, sans-serif; line-height: 1.1; color: rgb(0, 0, 0); max-width: 100%; text-align: justify;"><span class="optimize-cls-iframe" data-src="https://www.youtube.com/embed/Ii4NtLhPcnY">https://www.youtube.com/embed/Ii4NtLhPcnY</span></p><p style="box-sizing: border-box; margin: 20px 0px 10px; padding: 0px; border: 0px; outline: 0px; vertical-align: baseline; background-image: initial; background-position: initial; background-size: initial; background-repeat: initial; background-attachment: initial; background-origin: initial; background-clip: initial; font-family: RobotoSlab-Regular, Arial, Helvetica, sans-serif; line-height: 1.1; color: rgb(0, 0, 0); max-width: 100%; text-align: justify;"><span style="font-size: 16px;">Để tìm hiểu cách chữa thoát vị đĩa đệm ở phòng khám, quý khách bấm vào VIDEO xem người bệnh kể chuyện.</span></p><p style="box-sizing: border-box; margin: 20px 0px 10px; padding: 0px; border: 0px; outline: 0px; vertical-align: baseline; background-image: initial; background-position: initial; background-size: initial; background-repeat: initial; background-attachment: initial; background-origin: initial; background-clip: initial; font-family: RobotoSlab-Regular, Arial, Helvetica, sans-serif; line-height: 1.1; color: rgb(0, 0, 0); max-width: 100%; text-align: justify;"><span class="optimize-cls-iframe" data-src="https://www.youtube.com/embed/qSgsr1hAjtA">https://www.youtube.com/embed/qSgsr1hAjtA</span></p><h6 class="r" style="font-size: 18px; margin: 0px; padding: 0px; overflow: hidden; text-overflow: ellipsis; white-space: nowrap; color: rgb(34, 34, 34); font-family: arial, sans-serif;"><span style="font-size:16px;"><span style="font-family:arial,helvetica,sans-serif;"><em>&nbsp; &nbsp; &nbsp;&nbsp;</em></span></span></h6><p style="text-align: justify;"><span style="font-size: 16px;">Chữa thoát vị đĩa đệm ở TP.HCM có rất nhiều phòng khám, cả tây&nbsp;y và&nbsp;đông y (phòng khám y học cổ truyền). Nhưng phòng khám chuyên sâu về thoát vị đĩa đệm lại không có nhiều. Bạn đọc hãy lên mạng gõ dòng chữ: Phòng khám đông y chưathoát vị đĩa đệm. Bạn sẽ có kết quả tìm kiếm tốt nhất do Google&nbsp;cung cấp.</span></p><p style="text-align: justify;"><span class="optimize-cls-iframe" data-src="https://www.youtube.com/embed/CzFKp2rBi6Q">https://www.youtube.com/embed/CzFKp2rBi6Q</span></p><p><em style="color: rgb(34, 34, 34); font-family: arial, helvetica, sans-serif; font-size: 16px; text-wrap: nowrap;">&nbsp; &nbsp; &nbsp;&nbsp;<a href="https://www.youtube.com/channel/UCMrl47bRL4MgAguyRi48mEw" style="color: rgb(102, 0, 153); cursor: pointer; text-decoration-line: none;" title="">Lương y Nguyễn Văn Minh</a></em><span style="color: rgb(34, 34, 34); font-family: arial, helvetica, sans-serif; font-size: 16px; text-wrap: nowrap;">&nbsp;- Phụ trách phòng khám và&nbsp;nhà thuốc đông y Bảo Minh</span></p><p><span style="font-size: 14px;">Có thể bạn quan tâm:&nbsp;</span></p><p><a href="https://chuabenhthoatvidiadem.vn/cach-chua-benh/thuoc-dap-thoat-vi-dia-dem-tu-dap-thuoc-chua-tri-tai-nha-pid-102.html" rel="noopener" style="color: rgb(102, 0, 153); text-decoration-line: none; -webkit-tap-highlight-color: rgba(0, 0, 0, 0.1); font-family: arial, sans-serif; font-size: small;" target="_blank" title="">Thuốc đắp, thuốc bóp hỗ trợ trị thoát vị đĩa đệm&nbsp;</a></p><p><span style="font-size: 16px;"><a href="https://chuabenhthoatvidiadem.vn/cach-chua-benh/hoi-dong-y-quan-go-vap-tp-hcm-pid-285.html" rel="noopener" style="color: rgb(102, 0, 153); text-decoration-line: none; -webkit-tap-highlight-color: rgba(0, 0, 0, 0.1); font-family: arial, sans-serif; font-size: small;" target="_blank" title="">Hội Đông y quận Gò Vấp, TP. HCM&nbsp;</a></span></p><p><span style="font-size: 16px;"><a href="https://phongkhambaominh.com/luong-y-nguyen-van-minh-nhan-ky-niem-chuong-vi-su-nghiep-dong-y.htm" rel="noopener" style="color: rgb(102, 0, 153); text-decoration-line: none; -webkit-tap-highlight-color: rgba(0, 0, 0, 0.1); font-family: arial, sans-serif; font-size: small;" target="_blank" title="">Trung ương Hội Đông y Việt Nam&nbsp;trao tặng&nbsp;vì sự nghiệp đông y&nbsp;</a></span></p><p style="text-align: justify;"><span style="font-family: arial, helvetica, sans-serif;"><span style="font-size: 18px;">Số điện thoại, Zalo thầy thuốc chữa&nbsp;thoát vị đĩa đệm: 0913503552. Bạn gửi kết luận của bác sĩ chụp MRI qua Zalo, Lương y Nguyễn Văn Minh sẽ tư vấn phương pháp chữa bệnh cho bạn. Điện thoại bàn của phòng khám: 02862951367</span></span></p><p><span style="font-family: arial, helvetica, sans-serif;"><span style="font-size: 18px;">Bạn đọc sử dụng điện thoại di dộng, muốn đến khám thoát vị đĩa đệm;&nbsp;dùng Google Map&nbsp;chỉ đường đến tận nơi.&nbsp;</span></span></p><p><span style="font-size: 16px; text-align: justify;">Điều trị thoát vị đĩa đệm cột sống có các tên gọi sau:</span></p><p style="text-align: justify;"><span style="font-size: 16px;">Điều trị thoát vị đĩa đệm cột sống cổ; hay gặp nhất là thoát vị đĩa đệm C6-C7, rồi đến đĩa đệm C5-C6. Các đĩa đệm còn lại như: C2-C3; C3-C4; C4-C5 thường gặp ít hơn.&nbsp;</span></p><p style="text-align: justify;"><span style="font-size: 16px;">Điều trị thoát vị đĩa đệm cột sống thắt lưng; hay gặp nhất là thoát vị đĩa đệm L4-L5, tiếp theo đến thoát vị đĩa đệm L5-S1. Các tầng đĩa đệm như; L1-L2; L2-L3; L3-L4; tỷ lệ bị thoát vị không nhiều bằng L4-L5 và L5-S1.</span></p><p style="text-align: justify;"><span style="font-size: 16px;">Điều trị lồi đĩa đệm; những trường hợp này bệnh thường nhẹ, điều trị rất nhanh khỏi.</span></p><p style="text-align: justify;"><span style="font-size: 16px;">Điều trị phồng đĩa đệm; tương tự như trường hợp lồi đĩa đệm, thể bệnh nhẹ không đáng ngại.</span></p><p style="text-align: justify;"><span style="font-size: 16px;">Điều trị thoái hóa đĩa đệm mất nước; khi điều trị thoát vị đĩa đệm thầy thuốc sẽ kết hợp luôn trong thang thuốc.</span></p><p style="text-align: justify;"><span style="font-size: 16px;">Điều trị gai cột sống; cũng kết hợp được khi điều trị thoát vị đĩa đệm. Bài thuốc trị thoát vị đĩa đệm của lương y Nguyễn Văn Minh nhiều người uống khỏi thoát vị đĩa đệm khỏi luôn đau nhức do&nbsp;gai cột sống.</span></p><p style="text-align: justify;"><span style="font-size: 16px;">Điều trị thoái hóa cột sống; đa số bệnh nhân khi chụp MRI phát hiện thoát vị đĩa đệm thì cũng có thoái hóa cột sống, gai cột sống kèm theo. Thuốc đông y điều trị thoát vị đĩa đệm thường điều trị vào gốc bệnh nên khỏi thoát vị đĩa đệm sẽ khỏi cả những bệnh lý về cột sống đi kèm.</span></p><p><span style="font-size: 16px;"><span class="optimize-cls-iframe" data-src="https://www.youtube.com/embed/EmPEC4ONVr8">https://www.youtube.com/embed/EmPEC4ONVr8</span></span></p><p><font face="arial, helvetica, sans-serif"><span style="font-size: 16px;">Muốn tìm hiểu thuốc&nbsp;chữa thoát vị đĩa đệm của Lương y Nguyễn văn Minh có tốt không, bạn vào mạng tìm kiếm của Google, gõ dòng chữ: Lương y Nguyễn Văn Minh chữa thoát vị đĩa đệm ở Gò Vấp. Bạn sẽ có kết quả từ Google.</span></font></p><p><img loading="lazy" alt="Thầy thuốc chữa thoát vị đĩa đệm" src="data:image/gif;base64,R0lGODlhAQABAID/AP///wAAACwAAAAAAQABAAACAkQBADs=" data-src="https://chuabenhthoatvidiadem.vn/resources/images/Capture(2).PNG" style="height: 360px; font-size: 16px; width: 650px;" class="lazy" width="764" height="423" data-optimized="1" /></p><p><em><span style="font-size: 14px;"><a href="https://chuabenhthoatvidiadem.vn/cach-chua-benh/thuoc-chua-thoat-vi-dia-dem-tot-nhat-la-phai-ke-don-thuoc-cua-tung-nguoi-pid-247.html" rel="noopener" style="color: rgb(102, 0, 153); text-decoration-line: none; -webkit-tap-highlight-color: rgba(0, 0, 0, 0.1); font-family: arial, sans-serif; font-size: small;" target="_blank" title="">Thuốc chữa thoát vị đĩa đệm, tốt nhất nên khám bệnh kê đơn thuốc theo từng trường hợp bị thoát vị đĩa đệm</a></span></em></p><p><img loading="lazy" alt="chữa thoát vị đĩa đệm" src="data:image/gif;base64,R0lGODlhAQABAID/AP///wAAACwAAAAAAQABAAACAkQBADs=" data-src="https://chuabenhthoatvidiadem.vn/resources/images/Thoa-vi-dia-dem.jpg" style="height: 409px; opacity: 0.9; font-family: arial, helvetica, sans-serif; font-size: 18px; width: 537px;" class="lazy" width="537" height="409" data-optimized="1" /></p><p style="box-sizing: border-box; margin: 0px 0px 10px; padding: 0px; border: 0px; outline: 0px; font-size: 16px; vertical-align: baseline; background-image: initial; background-position: initial; background-size: initial; background-repeat: initial; background-attachment: initial; background-origin: initial; background-clip: initial; max-width: 100%; color: rgb(0, 0, 0); font-family: RobotoSlab-Regular, Arial, Helvetica, sans-serif;">Lưu ý: Dưới đây là những cuộc nói chuyện rất thật giữa thầy thuốc với những người đã khỏi bệnh, có lúc âm thanh nghe không rõ, nhưng đảm bảo được tính chân thật, đúng người đúng bệnh, đúng địa chỉ.</p><p style="box-sizing: border-box; margin: 0px 0px 10px; padding: 0px; border: 0px; outline: 0px; font-size: 16px; vertical-align: baseline; background-image: initial; background-position: initial; background-size: initial; background-repeat: initial; background-attachment: initial; background-origin: initial; background-clip: initial; max-width: 100%; color: rgb(0, 0, 0); font-family: RobotoSlab-Regular, Arial, Helvetica, sans-serif;"><a href="https://chuabenhthoatvidiadem.vn/cach-chua-benh/nho-thay-chua-thoat-vi-dia-dem-dot-song-co-toi-het-moi-co-het-dau-vai-gay-pid-115.html" style="color: rgb(102, 0, 153); box-sizing: border-box; margin: 0px; padding: 0px; border: 0px; outline: 0px; vertical-align: baseline; background: transparent; text-decoration-line: none; transition: all 406ms ease-out 0s; max-width: 100%; cursor: pointer;" target="_blank" title="">Nhờ thầy chữa bệnh, tôi hết đau&nbsp;mỏi cổ - Bác Tâm ở Củ Chi, TP.HCM kể chuyện</a></p><p style="box-sizing: border-box; margin: 0px 0px 10px; padding: 0px; border: 0px; outline: 0px; font-size: 16px; vertical-align: baseline; background-image: initial; background-position: initial; background-size: initial; background-repeat: initial; background-attachment: initial; background-origin: initial; background-clip: initial; max-width: 100%; color: rgb(0, 0, 0); font-family: RobotoSlab-Regular, Arial, Helvetica, sans-serif;"><a data-="" href="https://www.google.com.vn/url?sa=t&amp;rct=j&amp;q=&amp;esrc=s&amp;source=web&amp;cd=50&amp;ved=0ahUKEwjC1tTM87_WAhWJQ48KHXSdD844KBAWCFcwCQ&amp;url=http%3A%2F%2Fchuabenhthoatvidiadem.vn%2Fcach-chua-benh%2Fchua-thoat-vi-dia-dem-cot-song-that-lung-khoi-han-khong-phai-mo-pid-74.html&amp;usg=AFQjCNFk9PpHY6F1eywkYl16lBbVUnyCtA" style="color: rgb(102, 0, 153); box-sizing: border-box; margin: 0px; padding: 0px; border: 0px; outline: 0px; vertical-align: baseline; background: transparent; text-decoration-line: none; transition: all 406ms ease-out 0s; max-width: 100%; cursor: pointer;" target="_blank" title="">Điều trị thoát vị đĩa đệm cột sống thắt lưng, có địa chỉ đã khỏi bệnh để quý vị tham khảo.</a></p><p style="box-sizing: border-box; margin: 0px 0px 10px; padding: 0px; border: 0px; outline: 0px; font-size: 16px; vertical-align: baseline; background-image: initial; background-position: initial; background-size: initial; background-repeat: initial; background-attachment: initial; background-origin: initial; background-clip: initial; max-width: 100%; color: rgb(0, 0, 0); font-family: RobotoSlab-Regular, Arial, Helvetica, sans-serif;"><a href="https://chuabenhthoatvidiadem.vn/cach-chua-benh/luong-y-minh-chua-thoat-vi-dia-dem-cho-anh-ut-khoi-benh-gan-nam-nay-pid-22.html" style="color: rgb(102, 0, 153); box-sizing: border-box; margin: 0px; padding: 0px; border: 0px; outline: 0px; vertical-align: baseline; background: transparent; text-decoration-line: none; transition: all 406ms ease-out 0s; max-width: 100%; cursor: pointer;" target="_blank" title="">Chữa thoát vị đĩa đệm L3-4 và L4-5 cho anh Út, nghe để cảm nhận cách chữa bệnh ít tốn kém mà hiệu quả.</a></p><p style="box-sizing: border-box; margin: 0px 0px 10px; padding: 0px; border: 0px; outline: 0px; font-size: 16px; vertical-align: baseline; background-image: initial; background-position: initial; background-size: initial; background-repeat: initial; background-attachment: initial; background-origin: initial; background-clip: initial; max-width: 100%; color: rgb(0, 0, 0); font-family: RobotoSlab-Regular, Arial, Helvetica, sans-serif;"><a href="https://chuabenhthoatvidiadem.vn/cach-chua-benh/thoat-vi-dia-dem-cot-song-that-lung-l4-l5-xem-cach-tri-thoat-vi-dia-dem-dut-diem-pid-124.html" style="color: rgb(102, 0, 153); box-sizing: border-box; margin: 0px; padding: 0px; border: 0px; outline: 0px; vertical-align: baseline; background: transparent; text-decoration-line: none; transition: all 406ms ease-out 0s; max-width: 100%; cursor: pointer;" target="_blank" title="">Thoát vị đĩa đệm cột sống thắt lưng L4/L5 - Anh Phúc ở TPHCM cho biết địa chỉ</a></p><p style="box-sizing: border-box; margin: 0px 0px 10px; padding: 0px; border: 0px; outline: 0px; font-size: 16px; vertical-align: baseline; background-image: initial; background-position: initial; background-size: initial; background-repeat: initial; background-attachment: initial; background-origin: initial; background-clip: initial; max-width: 100%; color: rgb(0, 0, 0); font-family: RobotoSlab-Regular, Arial, Helvetica, sans-serif;"><a href="https://chuabenhthoatvidiadem.vn/cach-chua-benh/dau-vai-gay-hoi-tham-bac-cuc-chua-benh-cach-nay-gan-2-nam-pid-32.html" style="color: rgb(102, 0, 153); box-sizing: border-box; margin: 0px; padding: 0px; border: 0px; outline: 0px; vertical-align: baseline; background: transparent; text-decoration-line: none; transition: all 406ms ease-out 0s; max-width: 100%; cursor: pointer;" target="_blank" title="">Bác Cúc&nbsp;ở Gò Vấp bị thoát vị đĩa đệm cột sống cổ, chèn ép rễ thần kinh gây đau mỏi cổ,&nbsp;nhức bả vai, tê cánh tay. Tôi đã chữa khỏi bệnh cho bác&nbsp;gần 2 năm không đau lại.</a></p><p style="box-sizing: border-box; margin: 0px 0px 10px; padding: 0px; border: 0px; outline: 0px; font-size: 16px; vertical-align: baseline; background-image: initial; background-position: initial; background-size: initial; background-repeat: initial; background-attachment: initial; background-origin: initial; background-clip: initial; max-width: 100%; color: rgb(0, 0, 0); font-family: RobotoSlab-Regular, Arial, Helvetica, sans-serif;"><a href="https://chuabenhthoatvidiadem.vn/cach-chua-benh/khoi-thoat-vi-dia-dem-cot-song-that-lung-sau-hon-1-thang-dieu-tri-pid-37.html" style="color: rgb(102, 0, 153); box-sizing: border-box; margin: 0px; padding: 0px; border: 0px; outline: 0px; vertical-align: baseline; background: transparent; text-decoration-line: none; transition: all 406ms ease-out 0s; max-width: 100%; cursor: pointer;" target="_blank" title="">Bệnh thoát vị đĩa đệm cột sống thắt lưng, chữa khỏi hẳn không tái phát, nghe bà Hảo chia sẻ địa chỉ ở Kiên Giang.</a></p><p style="box-sizing: border-box; margin: 0px 0px 10px; padding: 0px; border: 0px; outline: 0px; font-size: 16px; vertical-align: baseline; background-image: initial; background-position: initial; background-size: initial; background-repeat: initial; background-attachment: initial; background-origin: initial; background-clip: initial; max-width: 100%; color: rgb(0, 0, 0); font-family: RobotoSlab-Regular, Arial, Helvetica, sans-serif;"><a href="https://chuabenhthoatvidiadem.vn/cach-chua-benh/benh-thoat-vi-dia-dem-cot-song-co-nhieu-tang-co-chua-duoc-khong-pid-68.html" style="color: rgb(102, 0, 153); box-sizing: border-box; margin: 0px; padding: 0px; border: 0px; outline: 0px; vertical-align: baseline; background: transparent; text-decoration-line: none; transition: all 406ms ease-out 0s; max-width: 100%; cursor: pointer;" target="_blank" title="">Bệnh thoát vị đĩa đệm cột sống cổ&nbsp;có nguy hiểm&nbsp;không ? Hãy nghe anh Lê chia sẻ.</a></p><p style="box-sizing: border-box; margin: 0px 0px 10px; padding: 0px; border: 0px; outline: 0px; font-size: 16px; vertical-align: baseline; background-image: initial; background-position: initial; background-size: initial; background-repeat: initial; background-attachment: initial; background-origin: initial; background-clip: initial; max-width: 100%; color: rgb(0, 0, 0); font-family: RobotoSlab-Regular, Arial, Helvetica, sans-serif;"><a href="https://chuabenhthoatvidiadem.vn/cach-chua-benh/anh-hoang-khoi-dau-nhuc-ba-vai-te-cach-tay-do-thoat-vi-dia-dem-cot-song-co-pid-7.html" style="color: rgb(102, 0, 153); box-sizing: border-box; margin: 0px; padding: 0px; border: 0px; outline: 0px; vertical-align: baseline; background: transparent; text-decoration-line: none; transition: all 406ms ease-out 0s; max-width: 100%; cursor: pointer;" target="_blank" title="">Đau&nbsp;bả vai, tê cách tay do thoát vị đĩa đệm cột sống cổ, chữa khỏi bệnh anh Hoàng gọi điện thoại cảm ơn</a></p><p style="box-sizing: border-box; margin: 0px 0px 10px; padding: 0px; border: 0px; outline: 0px; font-size: 16px; vertical-align: baseline; background-image: initial; background-position: initial; background-size: initial; background-repeat: initial; background-attachment: initial; background-origin: initial; background-clip: initial; max-width: 100%; color: rgb(0, 0, 0); font-family: RobotoSlab-Regular, Arial, Helvetica, sans-serif;"><a data-="" href="https://www.google.com.vn/url?sa=t&amp;rct=j&amp;q=&amp;esrc=s&amp;source=web&amp;cd=65&amp;ved=0ahUKEwiE7byExcDWAhXFr48KHTmWBBo4PBAWCDowBA&amp;url=http%3A%2F%2Fchuabenhthoatvidiadem.vn%2Fcach-chua-benh%2Fcach-chua-thoat-vi-dia-dem-cot-song-that-lung-l4-l5-khoi-benh-khong-phai-mo-tvdd-pid-106.html&amp;usg=AFQjCNF68fP1PpvR2u6GjMqzuBU6AKZJ5A" style="color: rgb(102, 0, 153); box-sizing: border-box; margin: 0px; padding: 0px; border: 0px; outline: 0px; vertical-align: baseline; background: transparent; text-decoration-line: none; transition: all 406ms ease-out 0s; max-width: 100%; cursor: pointer;" target="_blank" title="">Khỏi hẳn bệnh đau lưng nhờ uống thuốc chữa thoát vị đĩa đệm, địa chỉ ở Gò Vấp TP.HCM</a></p><p style="box-sizing: border-box; margin: 0px 0px 10px; padding: 0px; border: 0px; outline: 0px; font-size: 16px; vertical-align: baseline; background-image: initial; background-position: initial; background-size: initial; background-repeat: initial; background-attachment: initial; background-origin: initial; background-clip: initial; max-width: 100%; color: rgb(0, 0, 0); font-family: RobotoSlab-Regular, Arial, Helvetica, sans-serif;"><a href="https://chuabenhthoatvidiadem.vn/cach-chua-benh/chi-van-o-quan-1-tp-hcm-khoi-thoat-vi-dia-dem-khong-tai-phat--pid-19.html" style="color: rgb(102, 0, 153); box-sizing: border-box; margin: 0px; padding: 0px; border: 0px; outline: 0px; vertical-align: baseline; background: transparent; text-decoration-line: none; transition: all 406ms ease-out 0s; max-width: 100%; cursor: pointer;" target="_blank" title="">Thoát vị đĩa đệm cột sống thắt lưng L5-S1, chị Nga ở Long An kể đã khỏi dứt điểm.</a></p><p style="box-sizing: border-box; margin: 0px 0px 10px; padding: 0px; border: 0px; outline: 0px; font-size: 16px; vertical-align: baseline; background-image: initial; background-position: initial; background-size: initial; background-repeat: initial; background-attachment: initial; background-origin: initial; background-clip: initial; max-width: 100%; color: rgb(0, 0, 0); font-family: RobotoSlab-Regular, Arial, Helvetica, sans-serif;"><a data-="" href="https://www.google.com.vn/url?sa=t&amp;rct=j&amp;q=&amp;esrc=s&amp;source=web&amp;cd=58&amp;ved=0ahUKEwiU6vPloMDWAhUhR48KHW8fDRU4MhAWCEswBw&amp;url=http%3A%2F%2Fchuabenhthoatvidiadem.vn%2Fcach-chua-benh%2Fchi-van-o-quan-1-tp-hcm-khoi-thoat-vi-dia-dem-khong-tai-phat--pid-19.html&amp;usg=AFQjCNHlxgVc0VzmW40gI062yVtq8A3r_A" style="color: rgb(102, 0, 153); background: transparent; box-sizing: border-box; margin: 0px; padding: 0px; border: 0px; outline: 0px; vertical-align: baseline; text-decoration-line: none; transition: all 406ms ease-out 0s; max-width: 100%; cursor: pointer;" target="_blank" title="">Thoát vị đĩa đệm cột sống thắt lưng có chữa&nbsp;khỏi được&nbsp;không? Bấm xem sẽ rõ.</a></p><p style="box-sizing: border-box; margin: 0px 0px 10px; padding: 0px; border: 0px; outline: 0px; font-size: 16px; vertical-align: baseline; background-image: initial; background-position: initial; background-size: initial; background-repeat: initial; background-attachment: initial; background-origin: initial; background-clip: initial; max-width: 100%; color: rgb(0, 0, 0); font-family: RobotoSlab-Regular, Arial, Helvetica, sans-serif;"><a href="https://chuabenhthoatvidiadem.vn/cach-chua-benh/dieu-tri-thoat-vi-dia-dem-cho-benh-nhan-o-tien-giang-goi-dien-hoi-tham-nguoi-nha-ke-da-khoi-han-pid-43.html" style="color: rgb(102, 0, 153); box-sizing: border-box; margin: 0px; padding: 0px; border: 0px; outline: 0px; vertical-align: baseline; background: transparent; text-decoration-line: none; transition: all 406ms ease-out 0s; max-width: 100%; cursor: pointer;" target="_blank" title="">Lương y Minh chữa khỏi thoát vị đĩa đệm cho anh Lành ở Tiền Giang, người nhà thông báo đã khỏi bệnh.</a></p><p style="box-sizing: border-box; margin: 0px 0px 10px; padding: 0px; border: 0px; outline: 0px; font-size: 16px; vertical-align: baseline; background-image: initial; background-position: initial; background-size: initial; background-repeat: initial; background-attachment: initial; background-origin: initial; background-clip: initial; max-width: 100%; color: rgb(0, 0, 0); font-family: RobotoSlab-Regular, Arial, Helvetica, sans-serif;"><a href="https://chuabenhthoatvidiadem.vn/cach-chua-benh/luong-y-nguyen-van-minh-chua-khoi-dau-vai-gay-do-thoat-vi-dia-dem-co-cho-anh-long-o-go-vap-tp-hcm-pid-56.html" style="color: rgb(102, 0, 153); box-sizing: border-box; margin: 0px; padding: 0px; border: 0px; outline: 0px; vertical-align: baseline; background: transparent; text-decoration-line: none; transition: all 406ms ease-out 0s; max-width: 100%; cursor: pointer;" target="_blank" title="">Chữa thoát vị đĩa đệm cho anh Long ở Gò Vấp, vợ anh kể anh&nbsp;đã khỏi bệnh không tái phát</a></p><p style="box-sizing: border-box; margin: 0px 0px 10px; padding: 0px; border: 0px; outline: 0px; font-size: 16px; vertical-align: baseline; background-image: initial; background-position: initial; background-size: initial; background-repeat: initial; background-attachment: initial; background-origin: initial; background-clip: initial; max-width: 100%; color: rgb(0, 0, 0); font-family: RobotoSlab-Regular, Arial, Helvetica, sans-serif;"><a href="https://chuabenhthoatvidiadem.vn/cach-chua-benh/dieu-tri-thoat-vi-dia-dem-khoi-han-nghe-thong-bao-tu-benh-nhan-o-tp-hcm-pid-39.html" style="color: rgb(102, 0, 153); box-sizing: border-box; margin: 0px; padding: 0px; border: 0px; outline: 0px; vertical-align: baseline; background: transparent; text-decoration-line: none; transition: all 406ms ease-out 0s; max-width: 100%; cursor: pointer;" target="_blank" title="">Chữa thoát vị đĩa đệm L4/5,&nbsp;lồi đĩa đệm L5/S1 bằng thuốc đông y&nbsp;có khỏi được không ?.</a></p><p><span style="font-size:16px;"><span style="font-family:arial,helvetica,sans-serif;">Trang Web của phòng khám</span></span></p><p><span style="font-size:16px;"><span style="font-family:arial,helvetica,sans-serif;">thoatvidiadem.top</span></span></p><p><span style="font-size:16px;"><span style="font-family:arial,helvetica,sans-serif;">chuabenhthoatvidiadem.vn</span></span></p><h3 class="r" style="box-sizing: border-box; margin: 0px; padding: 0px; border: 0px; outline: 0px; font-size: 18px; vertical-align: baseline; background-image: initial; background-position: initial; background-size: initial; background-repeat: initial; background-attachment: initial; background-origin: initial; background-clip: initial; font-family: RobotoSlab-Regular, Arial, Helvetica, sans-serif; line-height: 1.1; color: rgb(0, 0, 0); max-width: 100%; overflow: hidden; text-overflow: ellipsis; white-space: nowrap;">&nbsp;<a href="https://chuabenhthoatvidiadem.vn/" style="box-sizing: border-box; margin: 0px; padding: 0px; border: 0px; outline: 0px; vertical-align: baseline; background: transparent; color: rgb(102, 0, 153); text-decoration-line: none; transition: all 406ms ease-out 0s; max-width: 100%; cursor: pointer;" target="_blank" title="">Chuyên&nbsp;Trị Thoát Vị Đĩa Đệm</a></h3><div class="s" style="box-sizing: border-box; margin: 0px; padding: 0px; border: 0px; outline: 0px; font-size: 16px; vertical-align: baseline; background-image: initial; background-position: initial; background-size: initial; background-repeat: initial; background-attachment: initial; background-origin: initial; background-clip: initial; position: relative; max-width: 48em; font-family: RobotoSlab-Regular, Arial, Helvetica, sans-serif; color: rgb(84, 84, 84); line-height: 18px;"><div class="f kv _SWb" style="box-sizing: border-box; margin: 0px; padding: 0px; border: 0px; outline: 0px; font-size: small; vertical-align: baseline; background: transparent; position: relative; max-width: 100%; color: rgb(128, 128, 128); height: 18px; line-height: 16px; font-family: arial, sans-serif; white-space: nowrap;"><cite class="_Rm" style="box-sizing: border-box; margin: 0px; padding: 0px; border: 0px; outline: 0px; font-size: 14px; vertical-align: baseline; background: transparent; max-width: 100%; color: rgb(0, 102, 33); font-style: normal;">&nbsp;Thuocdactrithoatvidiadem.vn</cite></div><div class="f kv _SWb" style="box-sizing: border-box; margin: 0px; padding: 0px; border: 0px; outline: 0px; font-size: small; vertical-align: baseline; background: transparent; position: relative; max-width: 100%; color: rgb(128, 128, 128); height: 18px; line-height: 16px; font-family: arial, sans-serif; white-space: nowrap;">&nbsp;</div><div class="f kv _SWb" style="box-sizing: border-box; margin: 0px; padding: 0px; border: 0px; outline: 0px; font-size: small; vertical-align: baseline; background: transparent; position: relative; max-width: 100%; color: rgb(128, 128, 128); height: 18px; line-height: 16px; font-family: arial, sans-serif; white-space: nowrap; text-align: justify;"><span style="font-size:16px;"><span style="color: rgb(0, 0, 0); font-family: RobotoSlab-Regular, Arial, Helvetica, sans-serif; white-space: nowrap;">Địa chỉ khám chữa bệnh thoát vị&nbsp;đĩa đệm: 856/6 đường Quang Trung, phường 8, quận Gò Vấp, TP.HCM</span></span><span style="background-color: transparent; color: rgb(0, 102, 33); font-size: 14px;"><span style="font-size:16px;">&nbsp;</span>&nbsp;</span></div><div class="f kv _SWb" style="box-sizing: border-box; margin: 0px; padding: 0px; border: 0px; outline: 0px; font-size: small; vertical-align: baseline; background: transparent; position: relative; max-width: 100%; color: rgb(128, 128, 128); height: 18px; line-height: 16px; font-family: arial, sans-serif; white-space: nowrap;">&nbsp;</div></div>]]></content:encoded>
						<wfw:commentRss></wfw:commentRss>
						<slash:comments>0</slash:comments>
					</item>
				
					<item>
						<title>Thoát vị đĩa đệm L4/5 và lồi đĩa đệm L5/S1 có chữa khỏi được không.</title>
						<link>https://chuabenhthoatvidiadem.vn/bai-viet/nghe-truc-tiep-nhung-nguoi-duoc-luong-y-minh-chua-khoi-thoat-vi-dia-dem/thoat-vi-dia-dem-l4-5-va-loi-dia-dem-l5-s1-co-chua-khoi-duoc-khong-pid-39.html</link>
						<comments></comments>
						<pubDate>Mon, 12 Dec 2016 11:11:12 +0700</pubDate>
						<dc:creator>admin</dc:creator>
						<category><![CDATA[Nghe trực tiếp những người được lương y Minh chữa khỏi thoát vị đĩa đệm ]]></category>
						<guid isPermaLink="false"></guid>
						<description><![CDATA[Kết quả chụp MRI cột sống; thoát vị đĩa đệm L4/5, lồi đĩa đệm L5/S1 liệu có chữa khỏi được không? Mời quý vị nghe ý kiến từ người bệnh đã chữa khỏi thoát vị đĩa đệm cách nay cả năm kể lại để được rõ.]]></description>
						<content:encoded><![CDATA[<h2 style="text-align: justify;"><span style="font-size:16px;">Thoát vị đĩa đệm L4-L5, chèn ép&nbsp;rễ thần kinh L5 hai bên, hẹp ống sống. Lồi đĩa đệm L5-S1 ra sau,&nbsp;ép bao màng cứng ống sống.</span></h2><p style="text-align: justify;"><span style="font-size:16px;"><span style="text-align: justify;">Dưới đây là cuộc điện thoại của bác Chính, bệnh nhân cũ&nbsp;đã được tôi&nbsp;chữa khỏi thoát vị đĩa đệm cách nay cả&nbsp;năm. Hôm nay bác&nbsp;hỏi xem tôi có chữa bệnh đau thắt ngực không? rồi bác Chính kể &quot;Năm ngoái tôi uống 30 thang thuốc của thầy đã khỏi hẳn thoát vị đĩa đệm&quot;. Tôi thật cảm động và ấn tượng với câu nói của bác &quot;Nhờ thầy mà tôi không phải mổ thoát vị đĩa đệm&quot;. Tôi xin cảm ơn bác đồng ý cho chia sẻ ý kiến của bác về cách&nbsp;chữa thoát vị đĩa đệm bằng đông y của tôi.&nbsp;</span></span></p><p><img loading="lazy" alt="Thoát vị đĩa đệm" src="data:image/gif;base64,R0lGODlhAQABAID/AP///wAAACwAAAAAAQABAAACAkQBADs=" data-src="https://chuabenhthoatvidiadem.vn/resources/images/20161211_093114(2).jpg" style="width: 650px; height: 693px;" class="lazy" width="1126" height="1200" data-optimized="1" />&nbsp;</p><p><span style="font-size:16px;"><em>Đây là kết quả chụp MRI năm 2015, đầu&nbsp;năm 2016 bác Chính đến chữa bệnh tại phòng khám, bác Chính&nbsp;đồng ý chia sẻ&nbsp; kết quả MRI và nội dung câu chuyện. Xin trân trọng cảm ơn bác Nguyễn Văn Chính ở quận Bình Thạnh, TP.HCM.(*)</em></span></p><p style="text-align: justify;"><span style="font-size:16px;">Mời quý vị nghe trực tiếp cuộc nói chuyện dưới đây của bác Chính và lương y Nguyễn Văn Minh để rõ hơn.</span></p><p><a href="https://chuabenhthoatvidiadem.vn/resources/files/Tho_i_022_m.mp3" title="">Thoát vị đĩa đệm L4 L5</a></p><h4 style="text-align: justify;"><span style="font-size:16px;">Do ảnh chụp PHIẾU KẾT QUẢ&nbsp;MRI của bác Chính ở trên cỡ chữ hơi nhỏ, tôi chép&nbsp;lại KẾT LUẬN của bác sĩ để bạn đọc dễ nhìn như sau:</span></h4><h3 style="text-align: justify;"><span style="font-size:16px;"><strong>Thoát vị đĩa đệm tầng L4/5 ra sau trung tâm, kích thước #6-6,5mm, chèn ép vào rễ thần kinh L5 hai bên và gây hẹp ống sống (ĐK trước-sau #6mm). Tầng L5/S1 lồi đĩa đệm ra sau, kích thước #3-4mm, ép vào bao màng cứng ống sống nhưng không ảnh hưởng rễ thần kinh hai bên.&nbsp;</strong></span></h3><p><span style="font-size: 16px; text-align: justify;">Khi chụp MRI phát hiện bị thoát vị đĩa đệm cột sống; L4/5, L5/S1...Nhiều người hay lo sợ tự hỏi; thoát vị đĩa đệm&nbsp;L4/5, L5/S1 có chữa khỏi được không?&nbsp;bệnh thoát vị đĩa đệm có nguy hiểm không? chữa thoát vị đĩa đệm ở đâu tốt? điều trị thoát vị đĩa đệm trong thời gian bao lâu thì khỏi?.v.v. Câu trả lời chính xác nhất là&nbsp;từ bệnh nhân cũ của phòng khám.</span></p><p style="text-align: justify;"><span style="font-size:16px;">(*)&nbsp;&nbsp;&quot;Lưu ý: tác dụng của thuốc uống, thuốc đắp chữa thoát vị đĩa đệm/ nhanh hay chậm tùy theo&nbsp;tình trạng, triệu chứng bệnh&nbsp;của mỗi nguời&quot;</span></p><p><span style="font-size:16px;">Xem kênh&nbsp;&nbsp;&nbsp;</span><a href="https://www.youtube.com/channel/UCMrl47bRL4MgAguyRi48mEw" style="color: rgb(102, 0, 153); font-size: 16px; cursor: pointer;" title="">YouTube của Lương y Nguyễn văn Minh</a></p><p style="text-align: justify;"><span style="font-size:16px;">Lương y Nguyễn Văn Minh&nbsp;khám chữa bệnh thoát vị đĩa đệm, tại địa chỉ: 856/6 Quang Trung, Phường 8, Quận Gò Vấp, TP.HCM. Điện thoại, Zalo: 0913503552 - Cố định: 028.6295.1367</span></p><p><span style="font-size:16px;">Trang web chia sẻ kiến thức chữa bệnh </span><a title="" data-ved="2ahUKEwjTv828lPj3AhXaqFYBHYknBQEQFnoECAIQAQ" href="https://chuabenhthoatvidiadem.vn/" ping="/url?sa=t&amp;source=web&amp;rct=j&amp;url=https://chuabenhthoatvidiadem.vn/&amp;ved=2ahUKEwjTv828lPj3AhXaqFYBHYknBQEQFnoECAIQAQ" style="color: rgb(26, 13, 171); text-decoration-line: none; -webkit-tap-highlight-color: rgba(0, 0, 0, 0.1); outline: 0px; font-family: arial, sans-serif; font-size: small;">Thoát Vị Đĩa Đệm</a><span style="font-size:16px;">&nbsp;bằng đông y:&nbsp;</span></p><p><a title="" class="xFAlBc" href="https://thoatvidiadem.top/" ping="/url?sa=t&amp;source=web&amp;rct=j&amp;url=https://thoatvidiadem.top/&amp;ved=2ahUKEwjK5umq8PWGAxVbZ_UHHaL3Bo4QhAd6BAhLEAE&amp;opi=89978449" style="color: var(--JKqx2); -webkit-tap-highlight-color: rgba(0, 0, 0, 0.1); overflow-wrap: break-word; word-break: break-word; outline: 0px; font-family: Roboto, &quot;Helvetica Neue&quot;, Arial, sans-serif; font-size: 14px;">thoatvidiadem.top</a></p><p>Và</p><p><a href="https://chuabenhthoatvidiadem.vn/" title="">chuabenhthoatvidiadem.vn</a></p>]]></content:encoded>
						<wfw:commentRss></wfw:commentRss>
						<slash:comments>0</slash:comments>
					</item>
				
					<item>
						<title>Giấy phép khám chữa bệnh của lương y Nguyễn Văn Minh.</title>
						<link>https://chuabenhthoatvidiadem.vn/bai-viet/kham-chua-benh-thoat-vi-dia-dem/giay-phep-kham-chua-benh-cua-luong-y-nguyen-van-minh-pid-30.html</link>
						<comments></comments>
						<pubDate>Sun, 11 Dec 2016 10:03:31 +0700</pubDate>
						<dc:creator>admin</dc:creator>
						<category><![CDATA[Khám chữa bệnh thoát vị đĩa đệm]]></category>
						<guid isPermaLink="false"></guid>
						<description><![CDATA[Để bảo vệ uy tín của thầy thuốc và nhà thuốc đông y Bảo Minh, tôi đưa lên đây giấy phép hành nghề y của tôi (chứng chỉ hành nghề khám chữa bệnh bằng y học cổ truyền). Do Giám Đốc Sở Y Tế TP HCM cấp.]]></description>
						<content:encoded><![CDATA[<p style="text-align: justify;"><span style="font-size:16px;">Thỉnh thoảng ở đâu đó có những người hành nghề khám chữa bệnh mà chưa có giấy phép, báo chí đăng tin làm cho người bệnh hoang mang. Để yên tâm cho người bệnh&nbsp;và&nbsp;bảo vệ uy tín của nhà thuốc cũng như uy tín của thầy thuốc chữa bệnh. Tôi (lương y Nguyễn Văn Minh) đăng lên đây giấy phép hành nghề để mọi người được rõ.</span></p><p style="text-align: justify;"><span style="font-size:16px;">Thông thường, trang web của&nbsp;những phòng khám hoặc nhà thuốc có uy tín họ thường đăng công khai: địa chỉ,&nbsp;hình ảnh của người thầy thuốc khám chữa bệnh, giấy phép hành nghề y và chịu trách nhiệm tại phòng khám đó. Kèm theo có cả bảng giá khám chữa bệnh công khai (tránh bị tính giá thuốc, giá dịch vụ quá đắt, hay gặp ở một số&nbsp;phòng khám có yếu tố người nước ngoài vào Việt Nam mở dịch vụ&nbsp;khám chữa bệnh)</span></p><p><img loading="lazy" alt="Chứng chỉ hành nghề y" src="data:image/gif;base64,R0lGODlhAQABAID/AP///wAAACwAAAAAAQABAAACAkQBADs=" data-src="https://chuabenhthoatvidiadem.vn/resources/images/20160905_152247.jpg" style="width: 445px; height: 642px;" class="lazy" width="445" height="642" data-optimized="1" /></p><p><em>Giấy phép khám chữa bệnh của lương y Nguyễn Văn Minh, chuyên khoa y học cổ truyền.</em></p><h2 style="text-align: justify;"><span style="font-size:16px;">Giấy phép khám chữa bệnh, hay còn gọi là chứng chỉ hành nghề khám bệnh, chữa bệnh. Đây là giấy phép do Sở Y Tế TP.HCM cấp cho các lương y, bác sĩ đủ điều kiện hành nghề.</span></h2><p><em><img loading="lazy" alt="Giấy phép của Lương y Nguyễn văn Minh ở phòng khám Bảo Minh" src="data:image/gif;base64,R0lGODlhAQABAID/AP///wAAACwAAAAAAQABAAACAkQBADs=" data-src="https://chuabenhthoatvidiadem.vn/resources/images/Giay-phep-kham-benh-chua-benh.jpg" style="width: 650px; height: 537px;" class="lazy" width="1048" height="704" data-optimized="1" /></em></p><h3 style="text-align: justify;"><span style="font-size:16px;"><em>Giấy phép hoạt động khám chữa bệnh của Lương y Nguyễn Văn Minh&nbsp;tại địa chỉ: 856/6 Quang Trung, Phường 8, Quận Gò Vấp. Sở&nbsp; Y tế TP. Hồ Chí Minh cấp phép đủ điều kiện hành nghề.</em></span></h3><p style="text-align: justify;"><span style="font-size:16px;">Ở đâu chữa thoát vị đĩa đệm tốt, người bệnh sẽ nhớ đến thầy thuốc, nhớ đến phòng khám để giới thiệu cách chữa với người quen. Nếu bạn đọc lần đầu vào trang web này, hãy bấm vào những VIDEO, những đường link ghi lại nội dung chia sẻ. Đây là những nội dung có thật, hình ảnh chân thật:&nbsp;Đúng thầy, đúng thuốc, đúng bệnh án của người&nbsp;bệnh thật cho chia sẻ. </span></p><p style="text-align: justify;"><span style="font-size:16px;">Tôi chỉ đăng tin hoặc đăng VIDEO khi người bệnh đồng ý cho giới thiệu, có những thông tin bạn đọc phải nghe đến gần cuối mới thất rõ.</span></p><p style="text-align: justify;"><span style="font-size:16px;"><span class="optimize-cls-iframe" data-src="https://www.youtube.com/embed/YdyRczpmrqg">https://www.youtube.com/embed/YdyRczpmrqg</span></span></p><p style="text-align: justify;"><em><span style="font-size:14px;">Bạn đọc&nbsp;<a data-ved="2ahUKEwipteze_NX_AhULtlYBHeHDBo0QFnoECBAQAQ" href="https://chuabenhthoatvidiadem.vn/cach-chua-benh/thoat-vi-dia-dem-pid-197.html" jsaction="rcuQ6b:npT2md" jscontroller="M9mgyc" jsname="qOiK6e" ping="/url?sa=t&amp;source=web&amp;rct=j&amp;url=https://chuabenhthoatvidiadem.vn/cach-chua-benh/thoat-vi-dia-dem-pid-197.html&amp;ved=2ahUKEwipteze_NX_AhULtlYBHeHDBo0QFnoECBAQAQ" style="color: rgb(26, 13, 171); text-decoration-line: none; -webkit-tap-highlight-color: rgba(0, 0, 0, 0.1); outline: 0px; font-family: arial, sans-serif; font-size: small;" title="">nhấp VÀO ĐÂY, xem kết quả chụp MRI của anh Phạm Ngọc Hùng, anh&nbsp;đồng ý chia sẻ để giới thiệu cách chữa bệnh&nbsp;thoát vị đĩa đệm.</a></span></em></p><p style="box-sizing: border-box; margin: 20px 0px 10px; padding: 0px; border: 0px; outline: 0px; font-size: 24px; vertical-align: baseline; background-image: initial; background-position: initial; background-size: initial; background-repeat: initial; background-attachment: initial; background-origin: initial; background-clip: initial; font-family: RobotoSlab-Regular, Arial, Helvetica, sans-serif; line-height: 1.1; color: rgb(0, 0, 0); max-width: 100%; text-align: justify;"><span style="font-size:16px;"><span style="color:#000000;"><span style="box-sizing: border-box; margin: 0px; padding: 0px; border: 0px; outline: 0px; vertical-align: baseline; background: transparent; max-width: 100%;"><span style="box-sizing: border-box; margin: 0px; padding: 0px; border: 0px; outline: 0px; vertical-align: baseline; background: transparent; max-width: 100%;">Tôi&nbsp;chuyên chữa bệnh thoát vị đĩa đệm cột sống thắt lưng, cột sống cổ. Rất nhiều người đã khỏi bệnh hoàn toàn nhờ bài thuốc đặc trị thoát vị đĩa đệm do tôi bào chế.&nbsp;Trước khi tôi muốn sử dụng hình ảnh, địa chỉ,&nbsp;giọng nói và kết quả chụp MRI của những bệnh nhân cũ, tôi đều xin phép và được sự đồng ý tôi mới đăng tin.&nbsp;Tôi cũng rất vui khi nhiều người tới chữa bệnh ở phòng khám&nbsp;của tôi, họ nói: Thầy chữa khỏi bệnh cho tôi, tôi không phải tốn tiền đi mổ, thầy cứ ghi hình hay làm gì cũng được.Tôi xin chân thành cảm ơn những tấm lòng quý báu&nbsp;của họ. Mời quý vị hãy nghe trực tiếp giọng nói của một số bệnh nhân cũ đã chữa bệnh tại phòng khám của tôi.</span></span></span></span></p><p><span class="optimize-cls-iframe" data-src="https://www.youtube.com/embed/qSgsr1hAjtA">https://www.youtube.com/embed/qSgsr1hAjtA</span></p><p style="text-align: justify;"><span style="font-size:16px;">Có&nbsp;những VIDEO ghi hình&nbsp;trước năm 2017,&nbsp;nên âm thanh hình ảnh không được chuyên nghiệp, nhưng chuyển tải dược hết nội dung thật của phòng khám&nbsp;đông y Bảo Minh.&nbsp;</span></p><p style="text-align: justify;"><span class="optimize-cls-iframe" data-src="https://www.youtube.com/embed/IqN5mAEsHOs">https://www.youtube.com/embed/IqN5mAEsHOs</span></p><p style="text-align: justify;"><span style="font-size:16px;">Lưu ý: Dưới đây là những cuộc nói chuyện rất thật giữa thầy thuốc với những người đã khỏi bệnh, có lúc âm thanh nghe không rõ, nhưng đảm bảo được tính chân thật, đúng người đúng bệnh, đúng địa chỉ.</span></p><p><span style="font-size:16px;"><a href="https://chuabenhthoatvidiadem.vn/cach-chua-benh/nho-thay-chua-thoat-vi-dia-dem-dot-song-co-toi-het-moi-co-het-dau-vai-gay-pid-115.html" style="color: rgb(102, 0, 153); cursor: pointer; text-decoration-line: none;" target="_blank" title="">Nhờ thầy chữa bệnh, tôi hết đau&nbsp;mỏi cổ - Bác Tâm ở Củ Chi, TP.HCM kể chuyện</a></span></p><p><span style="font-size:16px;"><a data-="" href="https://www.google.com.vn/url?sa=t&amp;rct=j&amp;q=&amp;esrc=s&amp;source=web&amp;cd=50&amp;ved=0ahUKEwjC1tTM87_WAhWJQ48KHXSdD844KBAWCFcwCQ&amp;url=http%3A%2F%2Fchuabenhthoatvidiadem.vn%2Fcach-chua-benh%2Fchua-thoat-vi-dia-dem-cot-song-that-lung-khoi-han-khong-phai-mo-pid-74.html&amp;usg=AFQjCNFk9PpHY6F1eywkYl16lBbVUnyCtA" style="color: rgb(102, 0, 153); cursor: pointer; text-decoration-line: none;" target="_blank" title="">Điều trị thoát vị đĩa đệm cột sống thắt lưng, có địa chỉ đã khỏi bệnh để quý vị tham khảo.</a></span></p><p><span style="font-size:16px;"><a href="https://chuabenhthoatvidiadem.vn/cach-chua-benh/luong-y-minh-chua-thoat-vi-dia-dem-cho-anh-ut-khoi-benh-gan-nam-nay-pid-22.html" style="color: rgb(102, 0, 153); cursor: pointer;" target="_blank" title="">Chữa thoát vị đĩa đệm L3-4 và L4-5 cho anh Út, nghe để cảm nhận cách chữa bệnh ít tốn kém mà hiệu quả.</a></span></p><p><span style="font-size:16px;"><a href="https://chuabenhthoatvidiadem.vn/cach-chua-benh/thoat-vi-dia-dem-cot-song-that-lung-l4-l5-xem-cach-tri-thoat-vi-dia-dem-dut-diem-pid-124.html" style="color: rgb(102, 0, 153); cursor: pointer; text-decoration-line: none;" target="_blank" title="">Thoát vị đĩa đệm cột sống thắt lưng L4/L5 - Anh Phúc ở TPHCM cho biết địa chỉ</a></span></p><p><span style="font-size:16px;"><a href="https://chuabenhthoatvidiadem.vn/cach-chua-benh/dau-vai-gay-hoi-tham-bac-cuc-chua-benh-cach-nay-gan-2-nam-pid-32.html" style="color: rgb(102, 0, 153); cursor: pointer;" target="_blank" title="">Bác Cúc&nbsp;ở Gò Vấp bị thoát vị đĩa đệm cột sống cổ, chèn ép rễ thần kinh gây đau mỏi cổ,&nbsp;nhức bả vai, tê cánh tay. Tôi đã chữa khỏi bệnh cho bác&nbsp;gần 2 năm không đau lại.</a></span></p><p><span style="font-size:16px;"><a href="https://chuabenhthoatvidiadem.vn/cach-chua-benh/khoi-thoat-vi-dia-dem-cot-song-that-lung-sau-hon-1-thang-dieu-tri-pid-37.html" style="color: rgb(102, 0, 153); cursor: pointer; text-decoration-line: none;" target="_blank" title="">Bệnh thoát vị đĩa đệm cột sống thắt lưng, chữa khỏi hẳn không tái phát, nghe bà Hảo chia sẻ địa chỉ ở Kiên Giang.</a></span></p><p><span style="font-size:16px;"><a href="https://chuabenhthoatvidiadem.vn/cach-chua-benh/benh-thoat-vi-dia-dem-cot-song-co-nhieu-tang-co-chua-duoc-khong-pid-68.html" style="color: rgb(102, 0, 153); cursor: pointer; text-decoration-line: none;" target="_blank" title="">Bệnh thoát vị đĩa đệm cột sống cổ&nbsp;có nguy hiểm&nbsp;không ? Hãy nghe anh Lê chia sẻ.</a></span></p><p><span style="font-size:16px;"><a data-="" href="https://www.google.com.vn/url?sa=t&amp;rct=j&amp;q=&amp;esrc=s&amp;source=web&amp;cd=58&amp;ved=0ahUKEwiU6vPloMDWAhUhR48KHW8fDRU4MhAWCEswBw&amp;url=http%3A%2F%2Fchuabenhthoatvidiadem.vn%2Fcach-chua-benh%2Fchi-van-o-quan-1-tp-hcm-khoi-thoat-vi-dia-dem-khong-tai-phat--pid-19.html&amp;usg=AFQjCNHlxgVc0VzmW40gI062yVtq8A3r_A" style="color: rgb(102, 0, 153); cursor: pointer; text-decoration-line: none;" target="_blank" title="">Thoát vị đĩa đệm cột sống thắt lưng có chữa&nbsp;khỏi được&nbsp;không? Bấm xem sẽ rõ.</a></span></p><p><span style="font-size:16px;"><a href="https://chuabenhthoatvidiadem.vn/cach-chua-benh/anh-hoang-khoi-dau-nhuc-ba-vai-te-cach-tay-do-thoat-vi-dia-dem-cot-song-co-pid-7.html" style="color: rgb(102, 0, 153); cursor: pointer; text-decoration-line: none;" target="_blank" title="">Đau&nbsp;bả vai, tê cách tay do thoát vị đĩa đệm cột sống cổ, chữa khỏi bệnh anh Hoàng gọi điện thoại cảm ơn</a></span></p><p><a data-="" href="https://www.google.com.vn/url?sa=t&amp;rct=j&amp;q=&amp;esrc=s&amp;source=web&amp;cd=65&amp;ved=0ahUKEwiE7byExcDWAhXFr48KHTmWBBo4PBAWCDowBA&amp;url=http%3A%2F%2Fchuabenhthoatvidiadem.vn%2Fcach-chua-benh%2Fcach-chua-thoat-vi-dia-dem-cot-song-that-lung-l4-l5-khoi-benh-khong-phai-mo-tvdd-pid-106.html&amp;usg=AFQjCNF68fP1PpvR2u6GjMqzuBU6AKZJ5A" style="font-size: 16px; color: rgb(102, 0, 153); cursor: pointer; text-decoration-line: none;" target="_blank" title="">Khỏi hẳn bệnh đau lưng nhờ uống thuốc chữa thoát vị đĩa đệm, địa chỉ ở Gò Vấp TP.HCM</a></p><p><span style="font-size:16px;"><a href="https://chuabenhthoatvidiadem.vn/cach-chua-benh/chi-van-o-quan-1-tp-hcm-khoi-thoat-vi-dia-dem-khong-tai-phat--pid-19.html" style="color: rgb(102, 0, 153); cursor: pointer; text-decoration-line: none;" target="_blank" title="">Thoát vị đĩa đệm cột sống thắt lưng L5-S1, chị Nga ở Long An kể đã khỏi dứt điểm.</a></span></p><p><span style="font-size:16px;"><a href="https://chuabenhthoatvidiadem.vn/cach-chua-benh/dieu-tri-thoat-vi-dia-dem-cho-benh-nhan-o-tien-giang-goi-dien-hoi-tham-nguoi-nha-ke-da-khoi-han-pid-43.html" style="color: rgb(102, 0, 153); cursor: pointer; text-decoration-line: none;" target="_blank" title="">Lương y Minh chữa khỏi thoát vị đĩa đệm cho anh Lành ở Tiền Giang, người nhà thông báo đã khỏi bệnh.</a></span></p><p><span style="font-size:16px;"><a href="https://chuabenhthoatvidiadem.vn/cach-chua-benh/luong-y-nguyen-van-minh-chua-khoi-dau-vai-gay-do-thoat-vi-dia-dem-co-cho-anh-long-o-go-vap-tp-hcm-pid-56.html" style="color: rgb(102, 0, 153); cursor: pointer; text-decoration-line: none;" target="_blank" title="">Chữa thoát vị đĩa đệm cho anh Long ở Gò Vấp, vợ anh kể anh&nbsp;đã khỏi bệnh không tái phát</a></span></p><p><span style="font-size:16px;"><a href="https://chuabenhthoatvidiadem.vn/cach-chua-benh/dieu-tri-thoat-vi-dia-dem-khoi-han-nghe-thong-bao-tu-benh-nhan-o-tp-hcm-pid-39.html" style="color: rgb(102, 0, 153); cursor: pointer; text-decoration-line: none;" target="_blank" title="">Chữa thoát vị đĩa đệm L4/5,&nbsp;lồi đĩa đệm L5/S1 bằng thuốc đông y&nbsp;có khỏi được không ?.</a></span></p><p class="r" style="box-sizing: border-box; margin: 0px; padding: 0px; border: 0px; outline: 0px; font-size: 18px; vertical-align: baseline; background-image: initial; background-position: initial; background-size: initial; background-repeat: initial; background-attachment: initial; background-origin: initial; background-clip: initial; font-family: arial, sans-serif; line-height: 1.1; color: rgb(34, 34, 34); max-width: 100%; overflow: hidden; text-overflow: ellipsis; white-space: nowrap; text-align: justify;"><span style="font-size:16px;">&nbsp;Xem thêm:&nbsp;Hiệu quả chữa thoát vị đĩa đệm</span>&nbsp;<a href="https://chuabenhthoatvidiadem.vn/dieu-tri/ket-qua-dieu-tri-thoat-vi-dia-dem-cid-2-0.html" style="color: rgb(102, 0, 153); cursor: pointer; text-decoration-line: none;" target="_blank" title="">tại đây &gt;&gt;</a></p><p><span style="font-size:16px;">Trang web chuyên&nbsp;về chữa bệnh </span><a data-ved="2ahUKEwjTv828lPj3AhXaqFYBHYknBQEQFnoECAIQAQ" href="https://chuabenhthoatvidiadem.vn/" ping="/url?sa=t&amp;source=web&amp;rct=j&amp;url=https://chuabenhthoatvidiadem.vn/&amp;ved=2ahUKEwjTv828lPj3AhXaqFYBHYknBQEQFnoECAIQAQ" style="color: rgb(26, 13, 171); text-decoration-line: none; -webkit-tap-highlight-color: rgba(0, 0, 0, 0.1); outline: 0px; font-family: arial, sans-serif; font-size: small;" title="">Thoát Vị Đĩa Đệm</a><span style="font-size:16px;">&nbsp;của&nbsp;lương y Nguyễn Văn Minh:</span></p><p>thoatvidiadem.top</p><p>chuabenhthoatvidiadem.vn</p><h2 class="r" style="font-size: 18px; margin: 0px; padding: 0px; overflow: hidden; text-overflow: ellipsis; white-space: nowrap;"><span style="font-size:16px;"><a href="https://chuabenhthoatvidiadem.vn/" style="color: rgb(102, 0, 153); cursor: pointer; text-decoration: none;" target="_blank" title="">Cách Chữa Bệnh Thoát Vị Đĩa Đệm&nbsp;</a></span></h2><div class="s" style="max-width: 48em; line-height: 18px;"><div class="f kv _SWb" style="height: 18px; line-height: 16px; font-family: arial, sans-serif; white-space: nowrap;"><p style="color: rgb(128, 128, 128); font-size: small;"><cite class="_Rm" style="color: rgb(0, 102, 33); font-style: normal; font-size: 14px;">chuabenhthoatvidiadem.vn</cite></p><h2 style="text-align: justify;"><span style="font-size:16px;">Địa chỉ chữa bệnh thoát vị đĩa đệm ở&nbsp;TP.HCM: 856/6 Đường Quang trung, P.8, Quận Gò Vấp.</span></h2><div class="action-menu ab_ctl" style="color: rgb(128, 128, 128); font-size: small; display: inline; position: relative; margin: 1px 3px 0px; user-select: none; vertical-align: middle;"><div class="action-menu-panel ab_dropdown" data-ved="0ahUKEwiF2M3yy9jRAhUDJpQKHUp_BVsQqR8IGTAA" jsaction="keydown:m.hdke;mouseover:m.hdhne;mouseout:m.hdhue" role="menu" style="background-image: initial; background-position: initial; background-size: initial; background-repeat: initial; background-attachment: initial; background-origin: initial; background-clip: initial; border: 1px solid rgba(0, 0, 0, 0.2); font-size: 13px; padding: 0px; position: absolute; right: auto; top: 12px; z-index: 3; transition: opacity 0.218s; box-shadow: rgba(0, 0, 0, 0.2) 0px 2px 4px; left: 0px; visibility: hidden;" tabindex="-1"><ol style="margin: 0px; padding-right: 0px; padding-left: 0px; border: 0px;"><li class="action-menu-item ab_dropdownitem" role="menuitem" style="margin: 0px; padding: 0px; border: 0px; list-style: none; user-select: none; cursor: pointer;">&nbsp;</li></ol></div></div></div></div>]]></content:encoded>
						<wfw:commentRss></wfw:commentRss>
						<slash:comments>0</slash:comments>
					</item>
				
					<item>
						<title>Lương y Nguyễn Văn Minh chữa thoát vị đĩa đệm, nhiều người không phải mổ thoát vị đĩa đệm.</title>
						<link>https://chuabenhthoatvidiadem.vn/bai-viet/thuoc-dong-y-tri-thoat-vi-dia-dem/luong-y-nguyen-van-minh-chua-thoat-vi-dia-dem-nhieu-nguoi-khong-phai-mo-thoat-vi-dia-dem-pid-25.html</link>
						<comments></comments>
						<pubDate>Fri, 09 Dec 2016 08:39:16 +0700</pubDate>
						<dc:creator>admin</dc:creator>
						<category><![CDATA[Thuốc đông y trị thoát vị đĩa đệm ]]></category>
						<guid isPermaLink="false"></guid>
						<description><![CDATA[Chữa bệnh thoát vị đĩa đệm cột sống bằng thuốc đông y là thế mạnh của y học cổ truyền, với thâm niên hơn 25 năm trong nghề, Lương y Nguyễn Văn Minh đã chữa cho rất nhiều người khỏi bệnh, giúp họ không phải mổ thoát vị đĩa đệm. Những người bị bệnh nhẹ không cần phải xem hết, nghe hết nội dung, trường hợp bị thoát vị đĩa đệm nặng, có chỉ định mổ của bác sĩ, nhưng không muốn mổ, hãy nghe và xem hết những nội dung được quý bệnh nhân đã khỏi bệnh chia sẻ ở đây.]]></description>
						<content:encoded><![CDATA[<p style="text-align: justify;"><span style="font-size:16px;">Chữa bệnh thoát vị đĩa đệm cột sống bằng thuốc đông y là thế mạnh của nền&nbsp;y học cổ truyền Việt Nam. Với thâm niên&nbsp;hơn 25&nbsp;năm trong nghề, Lương y Nguyễn Văn Minh&nbsp;chữa thoát vị đĩa đệm cho rất nhiều người khỏi bệnh, họ kể đã&nbsp;hết đau hết nhức, hết tê bì chân tay, hết</span><a data-ved="2ahUKEwjiy9_6hJuFAxXHrVYBHU1vAA44ChAWegQIBBAB" href="https://chuabenhthoatvidiadem.vn/cach-chua-benh/benh-chen-ep-day-than-kinh-pid-323.html" jsname="UWckNb" ping="/url?sa=t&amp;source=web&amp;rct=j&amp;opi=89978449&amp;url=https://chuabenhthoatvidiadem.vn/cach-chua-benh/benh-chen-ep-day-than-kinh-pid-323.html&amp;ved=2ahUKEwjiy9_6hJuFAxXHrVYBHU1vAA44ChAWegQIBBAB" style="color: rgb(26, 13, 171); text-decoration-line: none; -webkit-tap-highlight-color: rgba(0, 0, 0, 0.1); outline: 0px; font-family: arial, sans-serif; font-size: small;" title="">&nbsp;<span style="font-size:16px;">chèn ép dây thần kinh</span></a>&nbsp;<span style="font-size:16px;">giúp nhiều người không phải mổ thoát vị đĩa đệm. Có một số quý khách đồng ý cho chia sẻ bệnh án thật,&nbsp;hình ảnh thật,&nbsp;địa chỉ thật và góp ý phản hồi&nbsp;khi chữa hết bệnh&nbsp;ở phòng khám đông y Bảo Minh.</span></p><p style="text-align: justify;"><span style="font-size:16px;">&nbsp;<a data-ved="2ahUKEwicj4iY6bmEAxWwr1YBHdPnCwE4ChAWegQIBhAB" href="https://www.youtube.com/channel/UCMrl47bRL4MgAguyRi48mEw" jsname="UWckNb" ping="/url?sa=t&amp;source=web&amp;rct=j&amp;opi=89978449&amp;url=https://www.youtube.com/channel/UCMrl47bRL4MgAguyRi48mEw&amp;ved=2ahUKEwicj4iY6bmEAxWwr1YBHdPnCwE4ChAWegQIBhAB" style="color: rgb(26, 13, 171); text-decoration-line: none; -webkit-tap-highlight-color: rgba(0, 0, 0, 0.1); outline: 0px; font-family: arial, sans-serif; font-size: small;" title="">Lương y Nguyễn Văn Minh</a>&nbsp;chỉ đưa&nbsp;thông tin khi được sự đồng ý của quý khách, sau này quý khách nào không muốn chia sẻ nữa, chúng tôi sẽ gỡ bài xuống. Xin trân trọng cảm ơn quý khách.&nbsp;</span></p><p><span style="font-size:16px;"><img loading="lazy" alt="Bằng khen Lương y Nguyễn Văn Minh" src="data:image/gif;base64,R0lGODlhAQABAID/AP///wAAACwAAAAAAQABAAACAkQBADs=" data-src="https://chuabenhthoatvidiadem.vn/resources/images/Bằng khen Lương y Nguyễn Văn Minh(1).jpg" style="width: 1023px; height: 716px;" class="lazy" width="1023" height="716" data-optimized="1" />Lương y Nguyễn Văn Minh nhận bằng khen của Chủ tịch Hội Đông y Việt&nbsp;Nam.</span></p><p><img loading="lazy" alt="Thuốc đặc trị thoát vị đĩa đệm của phòng khám đông y Bảo Minh" src="data:image/gif;base64,R0lGODlhAQABAID/AP///wAAACwAAAAAAQABAAACAkQBADs=" data-src="https://chuabenhthoatvidiadem.vn/resources/images/Thuoc-tri-thoat-vi-dia-dem.jpg" style="width: 768px; height: 456px;" class="lazy" width="768" height="456" data-optimized="1" /></p><p><span style="font-size:14px;"><em>Hốt thuốc trị thoát vị đĩa đệm tại phòng khám đông y Bảo Minh.</em></span></p><h2 style="text-align: justify;"><span style="font-size:16px;">Chị&nbsp;Thúy ở Đồng Tháp bị thoát vị đĩa đệm L5 S1 nặng, bác sĩ bảo phải mổ mới hết đau, chị&nbsp;Thúy sợ mổ nên tìm cách chữa&nbsp;bằng đông y. Gặp&nbsp;được thầy thuốc chữa cho&nbsp;chị hết bệnh, giúp chị&nbsp;không phải&nbsp;<strong>mổ thoát vị đĩa đệm</strong>. Chị Thúy biết ơn và đồng ý chia sẻ bệnh án thoát vị đĩa đệm, địa chỉ&nbsp;của mình ở Đồng Tháp.</span></h2><h3><a title="" href="https://chuabenhthoatvidiadem.vn/resources/files/do thi thuy 87 tv.mp3" style="text-align: justify;">Chữa khỏi bệnh, không phải mổ thoát vị đĩa đệm</a></h3><p style="text-align: justify;"><span style="font-size:16px;">Quý khách nào có người quen bị thoát vị đĩa đệm nặng, đã chữa trị bằng nhiều cách và uống nhiều loại&nbsp;thuốc nhưng chưa hết thoát vị đĩa đệm, bác sĩ kêu phải mổ mới hết đau, hết chèn ép dây thần kinh. Hãy bấm vào ô trên&nbsp;đây, nghe hết lời cảm ơn từ chị Đỗ Thị Thanh Thúy để cảm nhận. Xin trân trọng cảm ơn chị Thúy.</span></p><p style="text-align: justify;"><span style="font-size:16px;"><span style="text-align: justify;">Tôi; Lương y Nguyễn Văn Minh</span><a data-ved="2ahUKEwjiy9_6hJuFAxXHrVYBHU1vAA44ChAWegQIDRAB" href="https://chuabenhthoatvidiadem.vn/cach-chua-benh/thong-tin-chu-so-huu-website-pid-301.html" jsname="UWckNb" ping="/url?sa=t&amp;source=web&amp;rct=j&amp;opi=89978449&amp;url=https://chuabenhthoatvidiadem.vn/cach-chua-benh/thong-tin-chu-so-huu-website-pid-301.html&amp;ved=2ahUKEwjiy9_6hJuFAxXHrVYBHU1vAA44ChAWegQIDRAB" style="color: rgb(26, 13, 171); font-size: small; text-align: justify; text-decoration-line: none; -webkit-tap-highlight-color: rgba(0, 0, 0, 0.1); outline: 0px; font-family: arial, sans-serif;" title="">&nbsp;chủ sở hữu website</a><span style="text-align: justify;">&nbsp;và nhà thuốc đông y Bảo Minh. Để giữ gìn vào bảo vệ uy tín, tôi chỉ đăng&nbsp;sự thật, thông tin thật nên có những câu chuyện&nbsp;phải nghe hết mới rõ.&nbsp;</span></span></p><p><em style="font-size: 14px;"><img loading="lazy" alt="Chữa khỏi bệnh, không phải mổ thoát vị đĩa đệm" src="data:image/gif;base64,R0lGODlhAQABAID/AP///wAAACwAAAAAAQABAAACAkQBADs=" data-src="https://chuabenhthoatvidiadem.vn/resources/images/Chữa hết thoát vị đĩa đệm.jpg" style="height: 1145px; opacity: 0.9; width: 829px;" class="lazy" width="829" height="1145" data-optimized="1" /></em></p><p><span style="font-size:16px;">Kết quả chụp MRI ở BVĐKTN Triều An - Loan Trâm của chị Đỗ Thị Thanh Thúy. BS kết luận như sau;</span></p><p><span style="font-size:16px;">Lồi đĩa đệm trung tâm các tầng L3 L4 và L4 L5, kèm rách bao xơ và không chèn ép rễ thần kinh.</span></p><p><span style="font-size:16px;">Thoát vị đĩa đệm cạnh trái trung tâm nền rộng tầng L5 S1 ra sau #10mm, có mảnh rời xuống dưới #8mm kèm rách bao xơ, gây hẹp ống sống ngang mức và chèn ép&nbsp;rễ S1. Trái &gt; phải.</span></p><p><span style="font-size:16px;">Gai nhỏ thân sống L3 L4 L5.</span></p><p style="text-align: justify;"><span style="font-size:16px;">Bệnh thoát vị đĩa đệm nặng như vậy, dễ gây teo cơ, chân tay bị yếu&nbsp;liệt. Thuốc đông y ngoài việc chữa khỏi bệnh, thuốc&nbsp;còn có tác dụng phục hồi các cơ bị teo nhão, giúp người bệnh phục hồi sức khỏe.</span></p><p style="text-align: justify;"><img loading="lazy" alt="thoat-vi-dia-dem-cot-song" src="data:image/gif;base64,R0lGODlhAQABAID/AP///wAAACwAAAAAAQABAAACAkQBADs=" data-src="https://chuabenhthoatvidiadem.vn/resources/images/Thoat-vi-dia-dem-cot-song.jpg" style="height: 1200px; opacity: 0.9; text-align: justify; width: 800px;" class="lazy" width="800" height="1200" data-optimized="1" /></p><p style="text-align: justify;"><span style="font-size: 16px; text-align: justify;">Bác Đỗ Thị Hạnh ở Kon Tum bị thoát vị đĩa đệm chèn ép rễ thần kinh. Hôm nay bác tái khám lấy thêm thuốc, bác đồng ý cho quay video và chia sẻ kết quả chụp cộng hưởng từ MRI.</span></p><p style="text-align: justify;"><span class="optimize-cls-iframe" data-src="https://www.youtube.com/embed/oP-jDIP3vLw">https://www.youtube.com/embed/oP-jDIP3vLw</span></p><p style="text-align: justify;"><span style="font-size:16px;">Lương y Nguyễn Văn Minh chữa bệnh giúp bác Hạnh không phải&nbsp;phải mổ, bác vui vẻ kể lại quá trình điều trị bệnh. Xin trân trọng cảm ơn bác.</span></p><p><span style="font-size:16px;">Có thể bạn quan tâm;&nbsp;<a data-ved="2ahUKEwjr1a6PhpuFAxUEqVYBHaiSA-84UBAWegQIBRAB" href="https://chuabenhthoatvidiadem.vn/cach-chua-benh/thay-thuoc-chua-thoat-vi-dia-dem-o-go-vap-thay-thuoc-10-that-pid-313.html" jsname="UWckNb" ping="/url?sa=t&amp;source=web&amp;rct=j&amp;opi=89978449&amp;url=https://chuabenhthoatvidiadem.vn/cach-chua-benh/thay-thuoc-chua-thoat-vi-dia-dem-o-go-vap-thay-thuoc-10-that-pid-313.html&amp;ved=2ahUKEwjr1a6PhpuFAxUEqVYBHaiSA-84UBAWegQIBRAB" style="font-size: small; color: rgb(26, 13, 171); text-decoration-line: none; -webkit-tap-highlight-color: rgba(0, 0, 0, 0.1); outline: 0px; font-family: arial, sans-serif;" title="">Thầy thuốc chữa thoát vị đĩa đệm ở Gò Vấp, thầy thuốc có mười sự&nbsp;thật.</a></span></p><p style="text-align: justify;"><span style="text-align: justify; font-size: 16px;">Còn&nbsp;đây là trường hợp của bác Phùng Quang Thanh ở Nha Trang, Khánh Hòa. Bác Thanh&nbsp;bị thoát vị đĩa đệm nặng,&nbsp;đã có chỉ định phẫu thuật thoát vị đĩa đệm của bác sĩ.&nbsp;</span></p><p><span style="font-size:14px;"><em><img loading="lazy" alt="Thoát vị đĩa đệm L4-5" src="data:image/gif;base64,R0lGODlhAQABAID/AP///wAAACwAAAAAAQABAAACAkQBADs=" data-src="https://chuabenhthoatvidiadem.vn/resources/images/Thoát vị đĩa đệm L4-5.jpg" style="width: 857px; height: 1200px;" class="lazy" width="857" height="1200" data-optimized="1" /></em></span></p><p style="text-align: justify;"><span style="font-size:16px;">Với ý nghĩa tốt đẹp và&nbsp;giàu lòng nhân ái, bác Thanh</span><span style="font-size: 16px; text-align: justify;">&nbsp;đồng ý cho tôi chia sẻ bệnh án thoát vị đĩa đệm của mình, với&nbsp;</span><span style="font-size:16px;">mong muốn ai bị bệnh giống như vậy&nbsp;có thêm thông tin tham khảo, trước khi quyết định có nên mổ thoát vị đĩa đệm hay không.</span></p><p style="text-align: justify;"><a href="https://chuabenhthoatvidiadem.vn/resources/files/Ghi âm cuộc gọi Phùng Quang Thanh 61 Tv Nặng Nha Trang 1_ 24_240128_103334 (2) (1).mp3" style="text-align: justify;" title="">Thoát vị đĩa đệm L4-5 #9mm&nbsp;bác sĩ bảo phải mổ,&nbsp;có nên mổ hay không</a></p><p style="text-align: justify;"><span style="font-size:16px;">Xin trân trọng cảm ơn tấm lòng tốt của bác Phùng Quang Thanh.</span></p><p style="text-align: justify;"><em style="font-size: 14px;">Để phản ảnh nội dung chân thực nhất, tôi để nguyên nội dung câu chuyện để bạn đọc nghe và cảm&nbsp;nhận.</em></p><p style="text-align: justify;"><span style="font-size:16px;">Quý&nbsp;khách nào&nbsp;có người nhà không may bị bệnh như vậy, nên nghe hết nội dung trao đổi để cảm nhận cách chữa bệnh ở đây;</span></p><p>&nbsp;</p><p><span style="font-size:14px;"><em><img loading="lazy" alt="Thoát vị đĩa đệm L4 5" src="data:image/gif;base64,R0lGODlhAQABAID/AP///wAAACwAAAAAAQABAAACAkQBADs=" data-src="https://chuabenhthoatvidiadem.vn/resources/images/thoat vi dia dem L4-5.jpg" style="width: 676px; height: 1200px;" class="lazy" width="676" height="1200" data-optimized="1" /></em></span></p><p><span style="font-size:14px;"><em>Hình ảnh thoát vị đĩa đệm L4-5, cắt ra từ phim chụp cộng huởng từ&nbsp; của bác Phùng Quang Thanh.</em></span></p><p style="text-align: justify;"><span style="font-size:16px;">Nếu bạn quan tâm, bấm vào đây nghe bác bệnh nhân ở thành phố Hồ Chí Minh cho biết:&nbsp;<a data-ved="2ahUKEwjU_MmjhpuFAxWC1jQHHcgABfY4eBAWegQIBRAB" href="https://chuabenhthoatvidiadem.vn/cach-chua-benh/nho-thay-ma-toi-khong-phai-mo-thoat-vi-dia-dem-hay-nghe-benh-nhan-cu-phat-bieu-pid-41.html" jsname="UWckNb" ping="/url?sa=t&amp;source=web&amp;rct=j&amp;opi=89978449&amp;url=https://chuabenhthoatvidiadem.vn/cach-chua-benh/nho-thay-ma-toi-khong-phai-mo-thoat-vi-dia-dem-hay-nghe-benh-nhan-cu-phat-bieu-pid-41.html&amp;ved=2ahUKEwjU_MmjhpuFAxWC1jQHHcgABfY4eBAWegQIBRAB" style="color: rgb(26, 13, 171); text-decoration-line: none; -webkit-tap-highlight-color: rgba(0, 0, 0, 0.1); outline: 0px; font-family: arial, sans-serif; font-size: small;" title="">Nhờ thầy mà tôi <strong>không phải mổ thoát vị đĩa đệm&nbsp;</strong></a></span></p><p><span style="font-size: 16px; text-align: justify;">Mời bạn đọc nghe tiếp&nbsp;ý kiến chân thực từ chị Vân, một&nbsp;bệnh nhân cũ của phòng khám.</span></p><h3 style="text-align: justify;"><span style="font-size:16px;">Chị Vân ở phường Bến Thành, Quận 1, TP.HCM bị đau thắt lưng, tê, nhức&nbsp;chân do thoát vị đĩa đệm cột sống chèn ép rễ thần kinh gây đau. Nhờ người quen đã chữa khỏi thoát vị đĩa đệm tại phòng khám của <a href="https://www.youtube.com/channel/UCMrl47bRL4MgAguyRi48mEw" style="color: rgb(102, 0, 153); cursor: pointer; text-decoration-line: none;" title="">Lương y Nguyễn Văn Minh</a>&nbsp;giới thiệu. Chị&nbsp;Vân có tới chữa bệnh cách nay gần 1 năm. Hôm nay lương y Minh&nbsp;gọi điện lại xem bệnh thoát vị đĩa đệm của chị có tái phát không. Mời quý vị&nbsp;nghe trực tiếp câu trả lời từ chị Vân. Phòng khám chúng tôi xin được cảm ơn sự chia sẻ đồng&nbsp;cảm với người bị thoát vị đĩa đệm từ chị Vân (*)</span></h3><p><span style="font-size:16px;"><a href="https://chuabenhthoatvidiadem.vn/resources/files/Tho_i_025_m.mp3" title="">Bấm để nghe trao đổi&nbsp;về kết quả chữa thoát vị đĩa đệm giữa chị Vân và Lương y Minh</a></span></p><p style="text-align: justify;"><span style="font-size:16px;">Khi đăng thông tin hình ảnh, bệnh án và kết quả chữa khỏi bệnh của quý khách&nbsp;ở trang web này, Lương y Nguyễn Văn Minh có xin phép và được sự đồng ý của quý khách. Xin trân trọng cảm ơn quý khách đã tin tưởng vào uy tín của thầy thuốc, đồng ý cho chia sẻ sự thật ở đây, với mong muốn giúp được nhiều người&nbsp;gặp thầy gặp thuốc, sau này quý khách nào không muốn xuất hiện ở đây nữa, chúng tôi sẽ ẩn đi.</span></p><p style="text-align: justify;"><span style="font-size:16px;">Mời quý khách xem;&nbsp;<a data-ved="2ahUKEwjiy9_6hJuFAxXHrVYBHU1vAA44ChAWegQICxAB" href="https://chuabenhthoatvidiadem.vn/cach-chua-benh/chinh-sach-bao-mat-thong-tin-pid-300.html" jsname="UWckNb" ping="/url?sa=t&amp;source=web&amp;rct=j&amp;opi=89978449&amp;url=https://chuabenhthoatvidiadem.vn/cach-chua-benh/chinh-sach-bao-mat-thong-tin-pid-300.html&amp;ved=2ahUKEwjiy9_6hJuFAxXHrVYBHU1vAA44ChAWegQICxAB" style="color: rgb(26, 13, 171); text-decoration-line: none; -webkit-tap-highlight-color: rgba(0, 0, 0, 0.1); outline: 0px; font-family: arial, sans-serif; font-size: small;" title="">Chính sách bảo mật thông tin</a></span></p><p style="text-align: justify;"><span style="font-size: 16px; text-align: justify;">Năm 2018, anh Nguyễn Văn Nhiên được Lương y Nguyễn Văn Minh chữa khỏi bệnh, giúp cho anh không phải mổ&nbsp;thoát vị đĩa đệm. Anh Nhiên đồng ý chia sẻ ý kiến về căn bệnh này, anh còn cho biết&nbsp;địa chỉ mình đang ở:&nbsp;&nbsp;11/2 đường Tô Hiệu, phường Lộc Sơn, thành phố Bảo Lộc, tỉnh Lâm đồng. Quý khách nào&nbsp;</span><span style="font-size: 16px;">ở gần có thể đến hỏi thêm cho yên tâm.</span></p><p style="text-align: justify;"><span style="font-size:16px;">&nbsp;</span><a href="https://chuabenhthoatvidiadem.vn/resources/files/Ghi âm cuộc gọi 0977640939_181127_083737.mp3" style="text-align: justify;" title=""><span style="font-size: 16px;">Chữa khỏi bệnh, không phải mổ&nbsp;thoát vị đĩa đệm</span></a></p><p style="text-align: justify;"><span style="font-size:16px;">Nếu người bệnh không muốn mổ thoát vị đĩa đệm, hãy tìm xem&nbsp;chữa thoát vị đĩa đệm&nbsp;</span><span style="font-size: 16px; text-align: justify;">ở đâu</span>&nbsp;<span style="font-size:16px;">tốt nhất, thầy thuốc nào giỏi, có&nbsp;chuyên môn cao nhất và kinh nghiệm nhiều nhất để điều trị.&nbsp;</span></p><p style="text-align: justify;"><span style="font-size: 16px;">Mời quý khách tham khảo bệnh án thoát vị đĩa đệm, bác Lê Thị Thanh Xuân đồng ý giới thiệu ở đây;</span></p><p style="text-align: justify;"><span style="font-size:16px;"><img loading="lazy" alt="Giấy chuyển tuyến khám bệnh, chữa bệnh bảo hiểm y tế." src="data:image/gif;base64,R0lGODlhAQABAID/AP///wAAACwAAAAAAQABAAACAkQBADs=" data-src="https://chuabenhthoatvidiadem.vn/resources/images/Giấy chuyển tuyến khám bệnh, chữa bệnh bảo hiểm y tế.jpg" style="width: 872px; height: 1200px;" class="lazy" width="872" height="1200" data-optimized="1" />Giấy chuyển tuyến khám bệnh, chữa bệnh bảo hiểm y tế của bác Lê Thị Thanh Xuân.</span></p><p><img loading="lazy" alt="Thầy thuốc chữa thoát vị đĩa đệm " src="data:image/gif;base64,R0lGODlhAQABAID/AP///wAAACwAAAAAAQABAAACAkQBADs=" data-src="https://chuabenhthoatvidiadem.vn/resources/images/Thầy thuốc chữa thoát vị đĩa đệm (7).jpg" style="width: 858px; height: 1200px;" class="lazy" width="858" height="1200" data-optimized="1" /></p><p style="text-align: justify;"><span style="font-size:16px;">Xin cảm ơn bác Lê Thị Thanh Xuân 53 tuổi, nhà ở Long Hòa, Lai Vung, Đồng Tháp. Lương y Nguyễn Văn Minh xin phép và bác&nbsp;đồng ý cho chia sẻ kết quả chụp cộng hưởng từ MRI.</span></p><p style="text-align: justify;"><span style="text-align: justify; font-size: 16px;">Đơn thuốc chữa thoát vị đĩa đệm, bác Xuân uống 1 tháng nhưng&nbsp;không hợp thuốc,&nbsp;</span><span style="text-align: justify; font-size: 16px;">còn đau nhức nhiều,&nbsp;</span><span style="text-align: justify; font-size: 16px;">bác sĩ khuyên <strong>mổ thoát vị đĩa đệm</strong> mới hết đau nhức.</span></p><p style="text-align: justify;"><span style="font-size:16px;"><img loading="lazy" alt="Đơn thuốc chữa thoát vị đĩa đệm" src="data:image/gif;base64,R0lGODlhAQABAID/AP///wAAACwAAAAAAQABAAACAkQBADs=" data-src="https://chuabenhthoatvidiadem.vn/resources/images/Đơn thuốc chữa thoát vị đĩa đệm.jpg" style="width: 885px; height: 1200px;" class="lazy" width="885" height="1200" data-optimized="1" /></span></p><p style="text-align: justify;"><span style="font-size: 16px; text-align: justify;">&nbsp;Khi được người quen đã chữa hết bệnh giới thiệu, bác Xuân rất mừng và đồng ý chia sẻ để giới thiệu thầy thuốc ở phòng khám đông y Bảo Minh.</span></p><p><span class="optimize-cls-iframe" data-src="https://www.youtube.com/embed/hDZkg5z8NjI">https://www.youtube.com/embed/hDZkg5z8NjI</span></p><p><span style="font-size: 16px; text-align: justify;">Bác Xuân đồng ý cho ghi lại câu chuyện, bác&nbsp;kể về người quen&nbsp;đã chữa khỏi thoát vị đĩa đệm ở phòng khám.&nbsp;Họ cho bác số điện thoại của Lương y Nguyễn Văn Minh để bác lên thành phố&nbsp;trị bệnh. Bạn đọc bấm vào video xem sẽ hiểu rõ&nbsp;hơn.</span></p><p style="text-align: justify;"><span style="font-size:16px;">Tôi, Lương y Nguyễn Văn Minh;&nbsp;thầy thuốc chữa thoát vị đĩa đệm ở phòng khám đông y Bảo Minh. Nhằm giữ uy tín của thầy thuốc và phòng khám, tôi chỉ chia sẻ hình ảnh thật, nội dung thật, bệnh án thật và chữa khỏi bệnh có thật, nên những&nbsp;câu chuyện phải nghe hết&nbsp;mới cảm nhận sự chân thật của người bệnh và thầy thuốc.</span></p><p style="text-align: justify;"><span style="font-size:16px;">Lần đầu bạn ghé trang web này, bấm vào đây xem giấy phép khám chữa bệnh:&nbsp;</span><a data-ved="2ahUKEwil8uqEhpuFAxUBsVYBHQ06CLA4PBAWegQIBBAB" href="https://chuabenhthoatvidiadem.vn/cach-chua-benh/giay-phep-kham-chua-benh-cua-luong-y-nguyen-van-minh-pid-30.html" jsname="UWckNb" ping="/url?sa=t&amp;source=web&amp;rct=j&amp;opi=89978449&amp;url=https://chuabenhthoatvidiadem.vn/cach-chua-benh/giay-phep-kham-chua-benh-cua-luong-y-nguyen-van-minh-pid-30.html&amp;ved=2ahUKEwil8uqEhpuFAxUBsVYBHQ06CLA4PBAWegQIBBAB" style="color: rgb(26, 13, 171); text-decoration-line: none; -webkit-tap-highlight-color: rgba(0, 0, 0, 0.1); outline: 0px; font-family: arial, sans-serif; font-size: small;" title="">Giấy phép khám chữa bệnh của Lương y Nguyễn Văn Minh.</a></p><p><img loading="lazy" alt="Thoát vị đĩa đêm lưng" src="data:image/gif;base64,R0lGODlhAQABAID/AP///wAAACwAAAAAAQABAAACAkQBADs=" data-src="https://chuabenhthoatvidiadem.vn/resources/images/Thoatvidiademlung.jpg" style="width: 665px; height: 545px;" class="lazy" width="665" height="545" data-optimized="1" /></p><p>&nbsp;</p><p style="text-align: justify;"><span style="font-size:16px;">Mời bạn đọc nghe thêm; Nội dung cuộc trò chuyện&nbsp;rất&nbsp;chân thật giữa Lương y Nguyễn Văn Minh và chị Thảo 45 tuổi, ở Đơn Dương, Lâm Đồng.&nbsp;</span></p><p><span style="font-size:16px;"><a href="https://chuabenhthoatvidiadem.vn/resources/files/Đã cover Nguyễn Thị Thảo 74 Tv_.mp3" title="">Thoát vị đĩa đệm cổ</a></span></p><p style="text-align: justify;"><span style="font-size:16px;">Chị Nguyễn Thị Thảo bị thoát vị đĩa đệm cổ C5 C6, C6&nbsp;C7. Căn bệnh&nbsp;làm cho chị bị đau cổ và đau vai gáy. Chị Thảo kể; &quot;Em đã uống đủ các loại thuốc nhưng không khỏi, uống thuốc của thầy hết đau, chắc gặp thầy gặp thuốc&quot;. Bạn đọc bấm vào ô trên nghe thêm, sẽ&nbsp;rõ thời gian uống thuốc, thời gian đã khỏi bệnh và không bị đau lại từ lời kể của chị Thảo.</span></p><p style="text-align: justify;"><span style="font-size:16px;"><img loading="lazy" alt="Thoát vị đĩa đệm cổ" src="data:image/gif;base64,R0lGODlhAQABAID/AP///wAAACwAAAAAAQABAAACAkQBADs=" data-src="https://chuabenhthoatvidiadem.vn/resources/images/thoatvidiademco(1).jpg" style="width: 655px; height: 872px;" class="lazy" width="655" height="872" data-optimized="1" /></span></p><p style="text-align: justify;"><span style="font-size:14px;"><em>Hình ảnh thoát vị đĩa đệm cột sống cổ trên phim chụp MRI.</em></span></p><p style="text-align: justify;"><span style="font-size: 16px;">Tôi đã xin phép và được chị Thảo đồng ý cho chia sẻ địa chỉ và số điện thoại: Thôn Hòa Lạc, xã Ka Đơn, huyện Đơn Dương, tỉnh&nbsp;</span><span style="font-size: 16px; text-align: justify;">Lâm Đồng. Bạn đọc nào ở gần nhà chị Thảo, có thể ghé hỏi thăm kinh nghiệm chữa thoát vị đĩa đệm từ chị Thảo tại địa chỉ trên. Tôi chân thành cảm ơn chị Thảo đã đồng ý cho chia sẻ nội dung này.</span></p><p style="text-align: justify;"><img loading="lazy" alt="Phòng khám đông y Bảo Minh" src="data:image/gif;base64,R0lGODlhAQABAID/AP///wAAACwAAAAAAQABAAACAkQBADs=" data-src="https://chuabenhthoatvidiadem.vn/resources/images/Phòng khám đông y Bảo Minh (2).jpg" style="width: 1024px; height: 718px;" class="lazy" width="1024" height="718" data-optimized="1" />Phòng khám đông y Bảo Minh:&nbsp;Phòng khám chữa bệnh thoát vị đĩa đệm ở TP. Hồ Chí Minh,<span style="text-align: justify;">&nbsp;có địa chỉ duy nhất tại:&nbsp;856/6 đường Quang Trung, Phường 8, quận&nbsp;Gò Vấp.</span></p><p style="text-align: justify;"><span style="font-size: 16px; text-align: justify;"><img loading="lazy" alt="Lương y Nguyễn Văn Minh chữa thoát vị đĩa đệm" src="data:image/gif;base64,R0lGODlhAQABAID/AP///wAAACwAAAAAAQABAAACAkQBADs=" data-src="https://chuabenhthoatvidiadem.vn/resources/images/Lương y Nguyễn Văn Minh (3).jpg" style="width: 1152px; height: 1152px;" class="lazy" width="1152" height="1152" data-optimized="1" /><span style="font-size:14px;"><em>Hình ảnh Lương y Nguyễn Văn Minh dự hội nghị tổng kết hoạt động Hội Đông y Gò Vấp năm 2023.</em></span></span></p><p style="text-align: justify;"><span style="font-size: 16px; text-align: justify;">Bạn đọc nào muốn tư vấn chữa thoát vị đĩa đệm cột sống cổ, gửi kết luận của bác sĩ chụp cộng hưởng từ, tôi sẽ coi giúp xem có chữa được không.</span></p><p style="text-align: justify;"><span style="font-size: 16px; text-align: justify;"><img loading="lazy" alt="Thoát vị đĩa đệm cổ" src="data:image/gif;base64,R0lGODlhAQABAID/AP///wAAACwAAAAAAQABAAACAkQBADs=" data-src="https://chuabenhthoatvidiadem.vn/resources/images/Thoat vi dia dem co(1).jpg" style="width: 668px; height: 501px;" class="lazy" width="668" height="501" data-optimized="1" /></span></p><p style="text-align: justify;"><span style="font-size: 16px;">&nbsp;Đây là kết quả chụp MRI của&nbsp;người bệnh&nbsp;ở Bình Dương, anh bị đau mỏi&nbsp;vùng&nbsp;cổ gáy,&nbsp;có lúc đau bả vai cách tay&nbsp;rất khó chịu, uống thuốc kháng viêm dãn cơ giảm đau&nbsp;chỉ đỡ được vài ngày, hết tác dụng của thuốc lại đau. Anh tìm thuốc đông y để trị thoát vị đĩa đệm, kết quả rất tốt, bạn đọc bấm vào đây xem thêm:&nbsp;</span><a data-ved="2ahUKEwjlv862-uz3AhXohVYBHU5CAGQQFnoECAsQAQ" href="https://chuabenhthoatvidiadem.vn/cach-chua-benh/benh-thoat-vi-dia-dem-cid-16-0.html" ping="/url?sa=t&amp;source=web&amp;rct=j&amp;url=https://chuabenhthoatvidiadem.vn/cach-chua-benh/benh-thoat-vi-dia-dem-cid-16-0.html&amp;ved=2ahUKEwjlv862-uz3AhXohVYBHU5CAGQQFnoECAsQAQ" style="color: rgb(26, 13, 171); text-decoration-line: none; -webkit-tap-highlight-color: rgba(0, 0, 0, 0.1); outline: 0px; font-family: arial, sans-serif; font-size: small;" title="">Bệnh thoát vị đĩa đệm</a></p><p style="text-align: justify;"><span style="font-size: 16px; text-align: justify;">Mời quý khách xem video&nbsp;quay tại phòng khám đông y Bảo Minh.</span></p><p style="text-align: justify;"><span class="optimize-cls-iframe" data-src="https://www.youtube.com/embed/cGCJvyQX0iw">https://www.youtube.com/embed/cGCJvyQX0iw</span></p><p style="text-align: justify;"><img loading="lazy" alt="Thoat vi dia dem" src="data:image/gif;base64,R0lGODlhAQABAID/AP///wAAACwAAAAAAQABAAACAkQBADs=" data-src="https://chuabenhthoatvidiadem.vn/resources/images/10-thoi-quen-sai-lam-cua-dan-cong-so11438934446(1).jpg" style="opacity: 0.9; text-align: justify; width: 600px; height: 382px;" class="lazy" width="600" height="382" data-optimized="1" /></p><p style="text-align: justify;"><span class="optimize-cls-iframe" data-src="https://www.youtube.com/embed/8gYdQC6Vtto">https://www.youtube.com/embed/8gYdQC6Vtto</span></p><p style="text-align: justify;"><span style="font-size:16px;">Địa chỉ phòng khám chữa thoát vị đĩa đệm tại&nbsp;TP.HCM: <a data-="" href="https://www.google.com.vn/url?sa=t&amp;rct=j&amp;q=&amp;esrc=s&amp;source=web&amp;cd=35&amp;ved=0ahUKEwi18Nfe9t_WAhVCp48KHVP5Dj04HhAWCDgwBA&amp;url=http%3A%2F%2Fchuabenhthoatvidiadem.vn%2Fcach-chua-benh%2Fdia-chi-chua-benh-thoat-vi-dia-dem-pid-73.html&amp;usg=AOvVaw1iT_X0Y0CWxMGEvxhL0VXX" style="color: rgb(102, 0, 153); cursor: pointer; text-decoration-line: none;" target="_blank" title="">856/6 Đường Quang Trung, Phường 8, Quận Gò Vấp.&nbsp;</a></span></p><p><span style="font-size:16px;">Điện thoại bàn: 028.62951367- Lương y Nguyễn Văn Minh: 0913503552</span></p><p style="text-align: justify;"><span style="font-size:16px;">(*)&nbsp;&quot;Lưu ý: bài thuốc chữa&nbsp;thoát vị đĩa đệm có tác dụng nhanh hay chậm, tùy theo tình trạng bệnh nặng nhẹ của&nbsp;mỗi nguời&quot;</span></p><p style="text-align: justify;"><span style="font-size:16px;">Xem Lương y Nguyễn Văn Minh chữa&nbsp;</span><a data-ved="2ahUKEwjlv862-uz3AhXohVYBHU5CAGQQFnoECAcQAQ" href="https://chuabenhthoatvidiadem.vn/" ping="/url?sa=t&amp;source=web&amp;rct=j&amp;url=https://chuabenhthoatvidiadem.vn/&amp;ved=2ahUKEwjlv862-uz3AhXohVYBHU5CAGQQFnoECAcQAQ" style="color: rgb(26, 13, 171); text-decoration-line: none; -webkit-tap-highlight-color: rgba(0, 0, 0, 0.1); outline: 0px; font-family: arial, sans-serif; font-size: small;" title="">Thoát Vị Đĩa Đệm</a><span style="font-size:16px;">&nbsp;ở Gò Vấp. TP.HCM,&nbsp;tại trang web:</span></p><p><span style="font-size:16px;">https://thoatvidiadem.top</span></p><p><span style="font-size:16px;">https://chuabenhthoatvidiadem.vn</span></p>]]></content:encoded>
						<wfw:commentRss></wfw:commentRss>
						<slash:comments>0</slash:comments>
					</item>
				
					<item>
						<title>Bệnh thoát vị đĩa đệm có thể chữa khỏi hẳn bằng đông y ở TP HCM.</title>
						<link>https://chuabenhthoatvidiadem.vn/bai-viet/luong-y-chua-thoat-vi-dia-dem-o-tp-hcm/benh-thoat-vi-dia-dem-co-the-chua-khoi-han-bang-dong-y-o-tp-hcm-pid-20.html</link>
						<comments></comments>
						<pubDate>Sat, 19 Nov 2016 11:21:28 +0700</pubDate>
						<dc:creator>admin</dc:creator>
						<category><![CDATA[Lương y chữa thoát vị đĩa đệm ở TP.HCM]]></category>
						<guid isPermaLink="false"></guid>
						<description><![CDATA[Tôi, lương y Nguyễn Văn Minh chữa thoát vị đĩa đã khẳng định được uy tín. Tôi đã chữa khỏi thoát vị đĩa đệm cho rất nhiều người, một số đồng ý cho tôi ghi hình thực tế kể về việc tôi đã chữa khỏi bệnh cho họ, một số chia sẻ qua điện thoại. Mời bạn đọc nghe thực tế những cuộc nói chuyện giữa tôi và những người đã khỏi bệnh thoát vị đĩa đệm tại trang web này.]]></description>
						<content:encoded><![CDATA[<h2 style="text-align: justify;"><span style="font-size:16px;"><span style="text-align: justify;">Tôi, lương y Nguyễn Văn Minh chữa thoát vị đĩa đệm đã khẳng định được uy tín. Hơn 20 năm hành nghề y, bản thân tôi&nbsp;đã chữa&nbsp;thoát vị đĩa đệm cho hàng ngàn&nbsp;người khỏi bệnh. Trong đó có những bệnh nhân đã có chỉ định của bác sĩ phải&nbsp;phẫu thuật đĩa đệm cột sống, nhưng họ không muốn mổ thoát vị đĩa đệm, tìm tới tôi chữa và khỏi bệnh. Mời bạn đọc nghe thực tế những cuộc nói chuyện giữa tôi và những người đã khỏi bệnh thoát vị đĩa đệm tại trang web này.</span></span></h2><p>&nbsp;</p><p style="text-align: justify;"><img loading="lazy" alt="Giấy phép hành nghề y do Sở Y Tế TP HCM cấp." src="data:image/gif;base64,R0lGODlhAQABAID/AP///wAAACwAAAAAAQABAAACAkQBADs=" data-src="https://chuabenhthoatvidiadem.vn/resources/images/20160905_152247.jpg" style="width: 445px; height: 642px;" class="lazy" width="445" height="642" data-optimized="1" /></p><p style="text-align: justify;"><em>Giấy phép hành nghề khám chữa bệnh của lương y Nguyễn Văn Minh.</em></p><h2 style="text-align: justify;"><span style="font-size:16px;">Khi người bệnh có yêu cầu khám chữa thoát vị đĩa đệm, tôi&nbsp;sẽ căn cứ vào thể trạng của từng người và kết quả chụp MRI cột sống cổ, cột sống thắt lưng rồi đưa ra một hoặc nhiều phương pháp kết hợp để chữa thoát vị đĩa đệm.<br />Các phương pháp&nbsp;chữa thoát vị đĩa đệm tôi đang sử dụng: Uống thuốc đông y (thuốc thang, thuốc tễ, thuốc nước) kết hợp với thuốc đắp để&nbsp;chữa thoát vị đĩa đệm.&nbsp;Ngoài ra còn tùy vào tình trạng&nbsp;bệnh của từng người có thể kết hợp thêm: châm cứu, day ấn huyệt, vật lý trị liệu. Sau đó sẽ&nbsp;hướng dẫn&nbsp;các bài tập phòng và chữa thoát vị đĩa đệm.&nbsp;</span></h2><p style="text-align: justify;"><span style="font-size:18px;"><span style="font-size:16px;">Theo y học cổ truyền&nbsp;thì bệnh thoát vị đĩa đệm là do chính khí của cơ thể không đầy đầy đủ, các tà khí như phong, hàn, thấp, nhiệt xâm phạm cơ thể, ẩn nấp vào gân cơ, khớp xương, kinh lạc làm sự vận hành của khí huyết bị tắc nghẽn gây nên các chứng đau nhức, tê bì. Gốc bệnh là do hai tạng can và thận hư yếu hoặc bệnh lâu ngày làm khí huyết giảm sút dẫn đến can, thận bị hư tổn. Thận yếu không chủ được cốt tủy, can huyết hư không nuôi dưỡng được gân làm xương khớp, đĩa đệm bị thoái hóa mất nước, bao xơ dây chằng lỏng lẻo không chắc chắn rất dễ bị thoát vị.</span></span></p><p style="text-align: justify;"><span style="font-size:16px;">Vì vậy, khi chữa bệnh thoát vị đĩa đệm, thoái hóa đốt sống đĩa đệm, các phương pháp chữa đều nhằm lưu thông khí huyết, đưa tà khí (phong, hàn, thấp, nhiệt) ra ngoài cơ thể. Bồi bổ can thận để chống tái phát bệnh và chống lại các hiện tượng thoái hóa, lão hóa. Phục hồi các chức năng bình thường của đĩa đệm cột sống. Những trường hợp bị thoát vị đĩa đệm do chấn thương thì phải phối hợp thêm thuốc hoạt huyết trừ ứ để đạt hiệu quả cao.</span></p><p style="text-align: justify;"><span style="font-size:16px;">&nbsp;</span><span style="font-size:18px;"><span style="font-size:16px;"> Hơn 20 năm hành nghề khám chữa bệnh, tôi có kinh nghiệm chuyên sâu về chữa thoát vị đĩa đệm, đã chữa khỏi cho nhiều bệnh nhân bằng bài thuốc đông y đặc trị thoát vị đĩa đệm. Do chữa trị vào tận gốc bệnh thoát vị đĩa đệm nên nhiều người khỏi bệnh mấy năm trời không tái phát. Trong số những bệnh nhân đã được tôi chữa khỏi hẳn thoát vị đĩa đệm, có nhiều người có chỉ định phẫu thuật đĩa đệm của bác sĩ nhưng lại quyết định không mổ mà tìm tới nhờ tôi chữa. Một trong số đó đồng ý cho tôi ghi hình, ghi âm buổi nói chuyện để làm tài liệu cho trang web này, họ tâm sự thật với tôi &quot;Thầy đã chữa khỏi bệnh cho tôi, tôi chỉ kể lại thực tế, có sao nói vậy&quot;. Tôi vô cùng cảm kích trước&nbsp;những lời tâm sự chân tình và tôi cũng bày tỏ sư biết ơn trước sự chia sẻ của họ.</span>.</span></p><p style="text-align: justify;"><span style="font-size:16px;">Bài thuốc tôi dùng chữa thoát vị đĩa đệm&nbsp;đặc biệt hay ở chỗ vừa chữa khỏi bệnh, vừa giúp phục hồi sự cứng cáp dẻo dai của đĩa đệm cột sống mà lại không hề xảy ra tác dụng phụ.</span></p><p style="text-align: justify;"><span style="font-size:16px;">Nhà thuốc đông y&nbsp;Bảo Minh chỉ đăng tin, ghi hình, chụp ảnh&nbsp; khi có sự đồng ý của quý bệnh nhân. Chúng tôi coi đây là niềm động viên khích lệ để chúng tôi ngày càng chữa được cho nhiều người khỏi bệnh. Tôi xin chân thành biết ơn những tấm lòng của quý bệnh nhân đã đồng ý cho chia sẻ ý kiến của mình&nbsp;với mọi người tại trang web này.&nbsp;</span></p><p><span style="font-size: 16px;">Mời bạn đọc bấm vào liên kết dưới để&nbsp;nghe ý kiến của một số bệnh nhân cũ, đã điều trị khỏi bệnh thoát vị đĩa đệm&nbsp;tại phòng khám của tôi cách nay có khi&nbsp;vài năm.&nbsp;</span></p><p><span style="font-size:16px;">Lưu ý;&nbsp;Đây là những cuộc nói chuyện rất thật giữa thầy thuốc với người bệnh, có lúc âm thanh nghe không rõ, nhưng đảm bảo được tính chân thật, đúng người đúng bệnh.</span></p><p><span style="font-size: 16px;">Bạn muốn tư vấn cách chữa bệnh tốt nhất bằng đông y, hãy gửi kết quả chụp MRI qua Zalo của lương y Nguyễn Văn Minh: 0913503552. Địa chỉ: 856/6 Quang Trung, Gò Vấp, HCM.</span></p><h2 class="hd" style="position: absolute; width: 1px; height: 1px; top: -1000em; overflow: hidden;">Kết quả tìm kiếm</h2><div id="BkavSafeDownload" style="height: 0px; width: 556px; background-color: rgb(255, 237, 230); position: relative; z-index: 10;">&nbsp;</div><div data-async-context="query:site%3Achuabenhthoatvidiadem.vn" id="ires" style="margin-top: 6px;"><div eid="96GIWNmFJsO30gTunI3YBw" id="rso"><div class="_NId"><div class="srg"><div class="g" style="line-height: 1.2; font-size: small; font-family: arial, sans-serif; margin-top: 0px; margin-bottom: 26px;"><div class="rc" data-hveid="21" data-ved="0ahUKEwiZ3bLLrd3RAhXDm5QKHW5OA3s4FBAVCBUoADAA" style="position: relative;"><p class="r" style="font-size: 18px; margin: 0px; padding: 0px; overflow: hidden; text-overflow: ellipsis; white-space: nowrap;"><span style="font-size:16px;"><a href="https://chuabenhthoatvidiadem.vn/dieu-tri/ket-qua-dieu-tri-thoat-vi-dia-dem-cid-2-0.html" style="color: rgb(102, 0, 153); cursor: pointer; text-decoration: none;" title="">Kết quả điều trị thoát vị đĩa đệm</a></span></p><div class="s" style="max-width: 48em; color: rgb(84, 84, 84); line-height: 18px;"><div class="f kv _SWb" style="color: rgb(128, 128, 128); height: 18px; line-height: 16px; white-space: nowrap;"><cite class="_Rm" style="color: rgb(0, 102, 33); font-style: normal; font-size: 14px;">chuabenhthoatvidiadem.vn/dieu-tri/ket-qua-dieu-tri-thoat-vi-dia-dem-cid-2-0.html</cite><div class="action-menu ab_ctl" style="display: inline; position: relative; margin: 1px 3px 0px; user-select: none; vertical-align: middle;"><div class="action-menu-panel ab_dropdown" data-ved="0ahUKEwiZ3bLLrd3RAhXDm5QKHW5OA3s4FBCpHwgYMAA" jsaction="keydown:m.hdke;mouseover:m.hdhne;mouseout:m.hdhue" role="menu" style="background-image: initial; background-position: initial; background-size: initial; background-repeat: initial; background-attachment: initial; background-origin: initial; background-clip: initial; border: 1px solid rgba(0, 0, 0, 0.2); font-size: 13px; padding: 0px; position: absolute; right: auto; top: 12px; z-index: 3; transition: opacity 0.218s; box-shadow: rgba(0, 0, 0, 0.2) 0px 2px 4px; left: 0px; visibility: hidden;" tabindex="-1"><ol style="margin: 0px; padding-right: 0px; padding-left: 0px; border: 0px;"><li class="action-menu-item ab_dropdownitem" role="menuitem" style="margin: 0px; padding: 0px; border: 0px; list-style: none; user-select: none; cursor: pointer;">&nbsp;</li></ol></div></div></div></div></div></div></div></div></div></div><h2 class="hd" style="position: absolute; width: 1px; height: 1px; top: -1000em; overflow: hidden;">Kết quả tìm kiế</h2><div data-async-context="query:site%3Achuabenhthoatvidiadem.vn" id="ires" style="margin-top: 6px;"><div eid="HjpeWNaDIILP0gT__LLQBw" id="rso"><div class="_NId"><div class="srg"><div class="g" style="line-height: 1.2; font-size: small; font-family: arial, sans-serif; margin-top: 0px; margin-bottom: 26px;"><div class="rc" data-hveid="22" data-ved="0ahUKEwjWitHSvIzRAhWCp5QKHX--DHoQFQgWKAAwAA" style="position: relative;"><p class="r" style="font-size: 18px; margin: 0px; padding: 0px; overflow: hidden; text-overflow: ellipsis; white-space: nowrap;"><span style="font-size:16px;"><a href="https://chuabenhthoatvidiadem.vn/" style="font-size: 16px; color: rgb(102, 0, 153); cursor: pointer; text-decoration-line: none;" title="">Lương y&nbsp;Chữa Bệnh Thoát Vị Đĩa Đệm ở Sài Gòn</a></span></p><div class="s" style="max-width: 48em; color: rgb(84, 84, 84); line-height: 18px;"><div class="f kv _SWb" style="color: rgb(128, 128, 128); height: 18px; line-height: 16px; white-space: nowrap;"><p><cite class="_Rm" style="color: rgb(0, 102, 33); font-style: normal; font-size: 14px;">chuabenhthoatvidiadem.vn</cite></p><div class="action-menu ab_ctl" style="display: inline; position: relative; margin: 1px 3px 0px; user-select: none; vertical-align: middle;"><div class="action-menu-panel ab_dropdown" data-ved="0ahUKEwjWitHSvIzRAhWCp5QKHX--DHoQqR8IGTAA" jsaction="keydown:m.hdke;mouseover:m.hdhne;mouseout:m.hdhue" role="menu" style="background-image: initial; background-position: initial; background-size: initial; background-repeat: initial; background-attachment: initial; background-origin: initial; background-clip: initial; border: 1px solid rgba(0, 0, 0, 0.2); font-size: 13px; padding: 0px; position: absolute; right: auto; top: 12px; z-index: 3; transition: opacity 0.218s; box-shadow: rgba(0, 0, 0, 0.2) 0px 2px 4px; left: 0px; visibility: hidden;" tabindex="-1"><ol style="margin: 0px; padding-right: 0px; padding-left: 0px; border: 0px;"><li class="action-menu-item ab_dropdownitem" role="menuitem" style="margin: 0px; padding: 0px; border: 0px; list-style: none; user-select: none; cursor: pointer;">&nbsp;</li></ol></div></div></div></div></div></div></div></div></div></div><p><span style="font-size:16px;">Địa chỉ: 856/6 Quang Trung, Phường 8, Quận Gò Vấp, TP. Hồ Chí Minh.</span></p>]]></content:encoded>
						<wfw:commentRss></wfw:commentRss>
						<slash:comments>0</slash:comments>
					</item>
				
					<item>
						<title>Bài thuốc rượu xoa bóp</title>
						<link>https://chuabenhthoatvidiadem.vn/bai-viet/uncategory/bai-thuoc-ruou-xoa-bop-pid-2.html</link>
						<comments></comments>
						<pubDate>Sat, 19 Nov 2016 11:21:28 +0700</pubDate>
						<dc:creator>admin</dc:creator>
						<category><![CDATA[]]></category>
						<guid isPermaLink="false"></guid>
						<description><![CDATA[Rượu xoa bóp bảo minh]]></description>
						<content:encoded><![CDATA[<p>Rượu Xoa Bóp Bảo Minh.</p><p>Nhà thuốc có bài thuốc hay dùng ngâm rượu để xoa bóp, hỗ trợ điều trị đau nhức xương khớp do thoát vị đĩa đệm, lồi đĩa đệm, thoái hóa cột sống cổ, cột sống thắt lưng, thoái hóa khớp. Rượu xoa bóp của phòng khám còn thích hợp sử dụng cho những người bị đau lưng, đau mỏi cổ, đau vai gáy, nhức bả vai, nhức khớp xương, đau cơ, tê mỏi chân tay, làm tan máu bầm do bong gân chấn thương gây ra. Cách sử dụng rượu xoa bóp rất đơn giản, chỉ việc xoa rượu lên chỗ đau rồi bóp nhẹ cho rượu ngấm vào da thịt, cứ làm như vậy khoảng 4-5 lần vừa đổ vừa xoa rồi bóp nhẹ lên vùng bị đau nhức. Những bệnh nhân bị thoát vị đĩa đệm, lồi đĩa đệm hoặc thoái hóa cột sống nên vừa uống thuốc trị bệnh vừa dùng rượu xoa bóp đắp cột sống sẽ khỏi đau và phục hồi cột sống nhanh nhất. Khi xoa bóp tránh xoa lên vết thương hở.<br />Do rượu xoa bóp của phòng khám đông y Bảo Minh được bào chế hoàn toàn bằng thuốc thảo dược, được ngâm bằng rượu gạo 35 độ, lại không pha thêm bất cứ hóa chất gì nên xoa bóp rượu này lên da thịt không làm nóng rát da, không gây dị ứng da, không bị mẩn ngứa, không kích ứng da. Có thể xoa bóp nhiều lần trong ngày, nếu đau nhức nhiều thì dùng bông gòn tẩm rượu xoa bóp cho ướt đều rồi đắp lên chỗ đau, băng lại để từ 1- 2 tiếng hoặc hơn sẽ càng công hiệu.<br />&nbsp; &nbsp; &nbsp; &nbsp; Lưu ý: &nbsp;( không được uống, phụ nữ có thai không nên dùng)<br />&nbsp; &nbsp; &nbsp; &nbsp; &nbsp; &nbsp; &nbsp; &nbsp; &nbsp; &nbsp; &nbsp; &nbsp; &nbsp; &nbsp; &nbsp; &nbsp; &nbsp; &nbsp; &nbsp; &nbsp; &nbsp; &nbsp; Để xa tầm tay trẻ em.<br />&nbsp; &nbsp; &nbsp; &nbsp; &nbsp; &nbsp; &nbsp; &nbsp; &nbsp; &nbsp; &nbsp; &nbsp; &nbsp; &nbsp; &nbsp; &nbsp; &nbsp; &nbsp; Đơn giá bán lẻ: 50.000 đ/ chai</p><p>Từ bài thuốc rượu xoa bóp, Lương y Nguyễn Văn Minh điều chế ra&nbsp;thuốc đắp hỗ trợ chữa&nbsp;trị thoát vị đĩa đệm rất tốt, dùng xoa bóp nhiều lần vào&nbsp;những chỗ&nbsp;đau do thoát vị đĩa đệm gây nên.</p><p><img loading="lazy" alt="Thoát vị đĩa đệm" src="data:image/gif;base64,R0lGODlhAQABAID/AP///wAAACwAAAAAAQABAAACAkQBADs=" data-src="https://chuabenhthoatvidiadem.vn/resources/images/Thuoc dap thoat vi dia dem.jpg" style="opacity: 0.9; width: 674px; height: 509px;" class="lazy" width="674" height="509" data-optimized="1" /></p><p style="text-align: justify;"><span style="font-size:16px;">Để xem tác dụng của&nbsp;rượu xoa bóp, và thuốc chữa thoát vị đĩa đệm tốt như thế nào, mời bạn đọc xem bệnh án và nội dung</span><span style="font-size: 16px; text-align: justify;">&nbsp;cuộc nói chuyện&nbsp;</span><span style="font-size:16px;">giữa thầy thuốc và người bệnh&nbsp;dưới đây;</span></p><p><img loading="lazy" alt="Thoát vị đĩa đệm L4 L5 S1" src="data:image/gif;base64,R0lGODlhAQABAID/AP///wAAACwAAAAAAQABAAACAkQBADs=" data-src="https://chuabenhthoatvidiadem.vn/resources/images/thoatvidiadem(2).jpg" style="width: 819px; height: 1085px;" class="lazy" width="819" height="1085" data-optimized="1" /></p><p>Tôi; Lương y Nguyễn Văn Minh đã xin phép và được anh Phạm Ngọc Hùng 55 tuổi, ở phường Đông Hòa, thành phố Dĩ An, tỉnh Bình Dương, đồng ý chia sẻ kết quả chụp MRI. Anh cũng đồng ý cho quay video ghi lại cuộc nói chuyện, nội dung anh thông báo: sau khi uống hết 25 thang thuốc, các chứng đau nhức và tê chân không còn nữa.&nbsp;</p><p>Mời bạn đọc nhấp vào xem thầy thuốc và&nbsp;người bệnh kể chuyện thật;</p><p><iframe frameborder="0" height="310" longdesc="Thuốc chữa thoát vị đĩa đệm" name="Thoát vị đĩa đệm" scrolling="no" src="https://www.youtube.com/embed/YdyRczpmrqg" title="Chữa thoát vị đĩa đệm" width="550"></iframe></p><p>&nbsp;</p><p>Có thể bạn muốn xem:</p><h3 class="LC20lb DKV0Md" style="font-size: 20px; margin: 0px 0px 3px; padding: 5px 0px 0px; display: inline-block; line-height: 1.3;"><a data-ved="2ahUKEwiNzJ-a_YfwAhUFPnAKHRTPA3Y4FBAWMAN6BAgLEAM" href="https://chuabenhthoatvidiadem.vn/cach-chua-benh/cach-chua-thoat-vi-dia-dem-tai-nha-pid-274.html" rel="noopener" style="color: rgb(26, 13, 171); text-decoration-line: none; -webkit-tap-highlight-color: rgba(0, 0, 0, 0.1); font-family: arial, sans-serif; font-size: small;" target="_blank" title="">Cách chữa thoát vị đĩa đệm tại nhà</a></h3><p><a data-ved="2ahUKEwjJ7MvR_IfwAhXRFogKHWmuB-MQFjADegQICxAD" href="https://chuabenhthoatvidiadem.vn/cach-chua-benh/benh-thoat-vi-dia-dem-pid-293.html" rel="noopener" style="color: rgb(26, 13, 171); text-decoration-line: none; -webkit-tap-highlight-color: rgba(0, 0, 0, 0.1); font-family: arial, sans-serif; font-size: small;" target="_blank" title="">Bệnh thoát vị đĩa đệm</a></p><p><a data-ved="2ahUKEwiXhJCG_YfwAhWEMN4KHU5-Bsw4ChAWMAl6BAgJEAM" href="https://chuabenhthoatvidiadem.vn/cach-chua-benh/thuoc-dong-y-chua-thoat-vi-dia-dem-pid-248.html" rel="noopener" style="color: rgb(26, 13, 171); text-decoration-line: none; -webkit-tap-highlight-color: rgba(0, 0, 0, 0.1); font-family: arial, sans-serif; font-size: small;" target="_blank" title="">Thuốc đông y chữa thoát vị đĩa đệm</a></p><h3 class="LC20lb DKV0Md" style="font-size: 20px; margin: 0px 0px 3px; padding: 5px 0px 0px; display: inline-block; line-height: 1.3;"><a data-ved="2ahUKEwinu-fn_YfwAhWKPZQKHW6pAsc4HhAWMAB6BAgDEAM" href="https://chuabenhthoatvidiadem.vn/dieu-tri/ket-qua-dieu-tri-thoat-vi-dia-dem-cid-2-0.html" rel="noopener" style="color: rgb(26, 13, 171); -webkit-tap-highlight-color: rgba(0, 0, 0, 0.1); font-family: arial, sans-serif; font-size: small;" target="_blank" title="">Kết quả điều trị thoát vị đĩa đệm</a></h3><h3 class="LC20lb DKV0Md" style="font-size: 20px; margin: 0px 0px 3px; padding: 5px 0px 0px; display: inline-block; line-height: 1.3;">&nbsp;</h3><h3 class="LC20lb DKV0Md" style="font-size: 20px; margin: 0px 0px 3px; padding: 5px 0px 0px; display: inline-block; line-height: 1.3;">&nbsp;</h3><h3 class="LC20lb DKV0Md" style="font-size: 20px; margin: 0px 0px 3px; padding: 5px 0px 0px; display: inline-block; line-height: 1.3;">&nbsp;</h3>]]></content:encoded>
						<wfw:commentRss></wfw:commentRss>
						<slash:comments>0</slash:comments>
					</item>
				
					<item>
						<title>Chữa thoát vị đĩa đệm cho bác Tứ ở TP.HCM</title>
						<link>https://chuabenhthoatvidiadem.vn/bai-viet/dieu-tri-thoat-vi-dia-dem-cot-song-that-lung/chua-thoat-vi-dia-dem-cho-bac-tu-o-tp-hcm-pid-342.html</link>
						<comments></comments>
						<pubDate>Tue, 11 Nov 2025 05:30:22 +0700</pubDate>
						<dc:creator>admin</dc:creator>
						<category><![CDATA[Điều trị thoát vị đĩa đệm cột sống thắt lưng]]></category>
						<guid isPermaLink="false"></guid>
						<description><![CDATA[Sau khi được Lương y Nguyễn Văn Minh chữa hết đau, hết nhức, hết tê chân do thoát vị đĩa đệm gây nên. Bác Bùi Thị Tứ 57 tuổi, nhà ở Gò Vấp TP. Hồ Chí Minh đồng ý cho ghi lại nội dung câu chuyện kể về cách chữa như thế nào. Xin trân trọng cảm ơn bác Tứ.]]></description>
						<content:encoded><![CDATA[<h2><span style="font-size: 16px;">Chữa thoát vị đĩa đệm cho bác Tứ ở TP.HCM.</span></h2><p><img loading="lazy" alt="Chữa thoát vị đĩa đệm cho bác Tứ ở TP.HCM" src="data:image/gif;base64,R0lGODlhAQABAID/AP///wAAACwAAAAAAQABAAACAkQBADs=" data-src="https://chuabenhthoatvidiadem.vn/resources/images/Chữa thoát vị đĩa đệm ở TP_HCM.jpg" style="width: 881px; height: 1200px;" class="lazy" width="881" height="1200" data-optimized="1" /></p><p style="text-align: justify;"><span style="font-size: 16px; text-align: justify;">Sau khi được Lương y Nguyễn Văn Minh chữa hết đau, hết nhức, hết tê chân do thoát vị đĩa đệm gây nên. Bác Bùi Thị Tứ 57 tuổi, nhà ở Gò Vấp TP. Hồ Chí Minh đồng ý cho ghi lại nội dung câu chuyện kể về căn bệnh của bác. Xin trân trọng cảm ơn bác Tứ.</span></p><p><span style="font-size:16px;">Kết quả MRI của bác Tứ:</span></p><p><span style="font-size:16px;">Thoái hóa đốt sống - đĩa đệm và các thành phần liên quan L1&mdash;&gt;S1.<br />&nbsp;Phình đĩa đệm L2/3 ra sau - sang hai bên # 2 mm, dưới dây chằng dọc sau, ép bao màng cứng, không thấy ép rễ thần kinh mức tương ứng.<br />Phình đĩa đệm L3/4 ra sau #4mm, dưới dây chằng dọc sau, ép bao màng cứng, rách bao xơ, ép rễ L4 hai bên.<br />&nbsp;Thoát vị đĩa đệm ra sau + phình đĩa đệm L4/5 ra xung quanh, dưới dây chằng dọc sau, ép bao màng cứng, rách bao xơ, ép rễ L4 phải trong lỗ liên hợp và ép rễ L5 hai bên trong ngách bên.</span></p><p style="text-align: justify;"><span style="font-size:16px;">Trước khi đến gặp Lương y Nguyễn Văn Minh, bác Tứ có điều trị thoát vị đĩa đệm bằng uống&nbsp;thuốc tây mỗi ngày nhưng chỉ giảm đau, hết thuốc lại đau y&nbsp;như cũ. Gia đình&nbsp;bác quyết định chữa bằng đông y, nên tìm đến phòng khám của Lương y Minh để điều trị. Kết quả tốt như thế nào, xin mời quý khách xem video quay tại phòng khám.</span></p><p style="text-align: justify;"><span style="font-size:16px;"><span class="optimize-cls-iframe" data-src="https://www.youtube.com/embed/gfz6217uWTI">https://www.youtube.com/embed/gfz6217uWTI</span></span></p><h3 style="text-align: justify;"><span style="font-size:16px;">Chữa thoát vị đĩa đệm cho bác Tứ ở TP.HCM khỏi thoát vị đĩa đệm cột sống thắt lưng.</span></h3><p><span style="font-size:16px;"><img loading="lazy" alt="Hình ảnh MRI cột sống lưng" src="data:image/gif;base64,R0lGODlhAQABAID/AP///wAAACwAAAAAAQABAAACAkQBADs=" data-src="https://chuabenhthoatvidiadem.vn/resources/images/Hình ảnh MRI cột sống lưng.jpg" style="width: 821px; height: 1095px;" class="lazy" width="821" height="1095" data-optimized="1" /></span></p><p><span style="font-size:16px;">Hình ảnh MRI cột sống lưng của bác Bùi Thị Tứ TP.HCM.</span></p><p><span style="font-size:16px;"><img loading="lazy" alt="Hình ảnh MRI thoát vị đĩa đệm lưng" src="data:image/gif;base64,R0lGODlhAQABAID/AP///wAAACwAAAAAAQABAAACAkQBADs=" data-src="https://chuabenhthoatvidiadem.vn/resources/images/Kết quả MRI của bác Tứ.jpg" style="width: 900px; height: 1200px;" class="lazy" width="900" height="1200" data-optimized="1" /></span></p><p style="text-align: justify;"><span style="font-size:16px;">Lương y Nguyễn Văn Minh thành lập Phòng khám đông y Bảo Minh từ năm 2005 tại Gò Vấp, TP.HCM. Trước đó; ông có khám chữa bệnh tại bệnh viện ở Hà Nội từ nhiều năm trước. Lương y có kinh nghiệm chữa thoát vị đĩa đệm trên 25 năm.&nbsp; Phòng khám thoát vị đĩa đệm nơi lương y làm việc&nbsp;có uy tín, tốt, được nhiều người khỏi bệnh giới thiệu người nhà và người quen đến chữa bệnh.</span></p><p style="text-align: justify;"><span style="font-size:16px;">Để biết bài thuốc&nbsp;đông y chữa thoát vị đĩa đệm có tốt không,&nbsp;mời bạn đọc hãy xem những nội dung có thật được quý khách đã chữa khỏi bệnh chia sẻ ở trang web này. Phòng khám chỉ giới thiệu khi được sự đồng ý từ quý bệnh nhân, sau này quý khách nào không muốn chia sẻ ở đây nữa, chúng tôi sẽ gỡ bỏ xuống. Xin trân trọng cảm ơn quý khách.</span></p><p style="text-align: justify;"><span style="font-size:16px;">Không ở đâu có Phòng Khám Đông Y Bảo Minh ngoài <span style="text-align: justify;">địa chỉ, tại:&nbsp;</span>856/6 Quang Trung, phường Thông Tây Hội, TP.HCM. Trước đây là Phường 8, quận Gò Vấp,&nbsp;</span><span style="font-size: 16px; text-align: justify;">TP. HCM. (Đây cũng là nhà riêng của&nbsp;</span><span style="font-size:16px;"><a data-ved="2ahUKEwicj4iY6bmEAxWwr1YBHdPnCwE4ChAWegQIBhAB" href="https://www.youtube.com/channel/UCMrl47bRL4MgAguyRi48mEw" jsname="UWckNb" ping="/url?sa=t&amp;source=web&amp;rct=j&amp;opi=89978449&amp;url=https://www.youtube.com/channel/UCMrl47bRL4MgAguyRi48mEw&amp;ved=2ahUKEwicj4iY6bmEAxWwr1YBHdPnCwE4ChAWegQIBhAB" style="box-sizing: border-box; margin: 0px; padding: 0px; border: 0px; outline: 0px; font-size: small; vertical-align: baseline; background-image: initial; background-position: initial; background-size: initial; background-repeat: initial; background-attachment: initial; background-origin: initial; background-clip: initial; color: rgb(26, 13, 171); text-decoration-line: none; transition: 406ms ease-out; max-width: 100%; text-align: justify; -webkit-tap-highlight-color: rgba(0, 0, 0, 0.1); font-family: arial, sans-serif;" title="">Lương y Nguyễn Văn Minh</a>)</span></p><p><span style="font-size:16px;">Điện thoại, Zalo thầy thuốc chữa thoát vị đĩa đệm tư vấn: 091 350 3552</span></p><p><span style="font-size:16px;">Nếu đây là lần đầu quý khách vào trang web chữa thoát vị đĩa đệm, mời quý khách xem :</span></p><p><span style="font-size:16px;"><a data-ved="2ahUKEwjiy9_6hJuFAxXHrVYBHU1vAA44ChAWegQICxAB" href="https://chuabenhthoatvidiadem.vn/cach-chua-benh/chinh-sach-bao-mat-thong-tin-pid-300.html" jsname="UWckNb" ping="/url?sa=t&amp;source=web&amp;rct=j&amp;opi=89978449&amp;url=https://chuabenhthoatvidiadem.vn/cach-chua-benh/chinh-sach-bao-mat-thong-tin-pid-300.html&amp;ved=2ahUKEwjiy9_6hJuFAxXHrVYBHU1vAA44ChAWegQICxAB" style="box-sizing: border-box; margin: 0px; padding: 0px; border: 0px; outline: 0px; font-size: small; vertical-align: baseline; background-image: initial; background-position: initial; background-size: initial; background-repeat: initial; background-attachment: initial; background-origin: initial; background-clip: initial; color: rgb(26, 13, 171); text-decoration-line: none; transition: 406ms ease-out; max-width: 100%; text-align: justify; -webkit-tap-highlight-color: rgba(0, 0, 0, 0.1); font-family: arial, sans-serif;" title="">Chính sách bảo mật thông tin</a></span></p><p><span style="font-size:16px;"><a data-ved="2ahUKEwil8uqEhpuFAxUBsVYBHQ06CLA4PBAWegQIBBAB" href="https://chuabenhthoatvidiadem.vn/cach-chua-benh/giay-phep-kham-chua-benh-cua-luong-y-nguyen-van-minh-pid-30.html" jsname="UWckNb" ping="/url?sa=t&amp;source=web&amp;rct=j&amp;opi=89978449&amp;url=https://chuabenhthoatvidiadem.vn/cach-chua-benh/giay-phep-kham-chua-benh-cua-luong-y-nguyen-van-minh-pid-30.html&amp;ved=2ahUKEwil8uqEhpuFAxUBsVYBHQ06CLA4PBAWegQIBBAB" style="box-sizing: border-box; margin: 0px; padding: 0px; border: 0px; outline: 0px; font-size: small; vertical-align: baseline; background-image: initial; background-position: initial; background-size: initial; background-repeat: initial; background-attachment: initial; background-origin: initial; background-clip: initial; color: rgb(26, 13, 171); text-decoration-line: none; transition: 406ms ease-out; max-width: 100%; text-align: justify; -webkit-tap-highlight-color: rgba(0, 0, 0, 0.1); font-family: arial, sans-serif;" title="">Giấy phép khám chữa bệnh bằng y học cổ truyền của Lương y Nguyễn Văn Minh.</a></span></p><p style="box-sizing: border-box; margin: 0px 0px 10px; padding: 0px; border: 0px; outline: 0px; font-size: 16px; vertical-align: baseline; background-image: initial; background-position: initial; background-size: initial; background-repeat: initial; background-attachment: initial; background-origin: initial; background-clip: initial; max-width: 100%; color: rgb(0, 0, 0); font-family: RobotoSlab-Regular, Arial, Helvetica, sans-serif; text-align: justify;">Có thể bạn quan tâm;</p><p style="box-sizing: border-box; margin: 0px 0px 10px; padding: 0px; border: 0px; outline: 0px; font-size: 16px; vertical-align: baseline; background-image: initial; background-position: initial; background-size: initial; background-repeat: initial; background-attachment: initial; background-origin: initial; background-clip: initial; max-width: 100%; color: rgb(0, 0, 0); font-family: RobotoSlab-Regular, Arial, Helvetica, sans-serif; text-align: justify;"><span style="font-size:16px;"><a data-ved="2ahUKEwjr1a6PhpuFAxUEqVYBHaiSA-84UBAWegQIBRAB" href="https://chuabenhthoatvidiadem.vn/cach-chua-benh/thay-thuoc-chua-thoat-vi-dia-dem-o-go-vap-thay-thuoc-10-that-pid-313.html" jsname="UWckNb" ping="/url?sa=t&amp;source=web&amp;rct=j&amp;opi=89978449&amp;url=https://chuabenhthoatvidiadem.vn/cach-chua-benh/thay-thuoc-chua-thoat-vi-dia-dem-o-go-vap-thay-thuoc-10-that-pid-313.html&amp;ved=2ahUKEwjr1a6PhpuFAxUEqVYBHaiSA-84UBAWegQIBRAB" style="box-sizing: border-box; margin: 0px; padding: 0px; border: 0px; outline: 0px; font-size: small; vertical-align: baseline; background-image: initial; background-position: initial; background-size: initial; background-repeat: initial; background-attachment: initial; background-origin: initial; background-clip: initial; color: rgb(26, 13, 171); text-decoration-line: none; transition: 406ms ease-out; max-width: 100%; -webkit-tap-highlight-color: rgba(0, 0, 0, 0.1); font-family: arial, sans-serif;" title="">Thầy thuốc chữa thoát vị đĩa đệm ở TP.HCM, thầy thuốc công bố&nbsp;mười sự&nbsp;thật.</a></span></p><p style="box-sizing: border-box; margin: 0px 0px 10px; padding: 0px; border: 0px; outline: 0px; font-size: 16px; vertical-align: baseline; background-image: initial; background-position: initial; background-size: initial; background-repeat: initial; background-attachment: initial; background-origin: initial; background-clip: initial; max-width: 100%; color: rgb(0, 0, 0); font-family: RobotoSlab-Regular, Arial, Helvetica, sans-serif;"><a href="https://chuabenhthoatvidiadem.vn/cach-chua-benh/thuoc-tri-thoat-vi-dia-dem-pid-324.html" style="box-sizing: border-box; margin: 0px; padding: 0px; border: 0px; outline: 0px; vertical-align: baseline; background: transparent; color: rgb(51, 122, 183); text-decoration-line: none; transition: 406ms ease-out; max-width: 100%;" title="">Bài thuốc chữa thoát vị đĩa đệm chèn dây thần kinh</a></p><p style="box-sizing: border-box; margin: 0px 0px 10px; padding: 0px; border: 0px; outline: 0px; font-size: 16px; vertical-align: baseline; background-image: initial; background-position: initial; background-size: initial; background-repeat: initial; background-attachment: initial; background-origin: initial; background-clip: initial; max-width: 100%; color: rgb(0, 0, 0); font-family: RobotoSlab-Regular, Arial, Helvetica, sans-serif;"><a href="https://chuabenhthoatvidiadem.vn/cach-chua-benh/thoat-vi-dia-dem-hep-nang-ong-song-hep-lo-lien-hop-chen-ep-re-than-kinh-pid-243.html" style="box-sizing: border-box; margin: 0px; padding: 0px; border: 0px; outline: 0px; font-size: 16px; vertical-align: baseline; background-image: initial; background-position: initial; background-size: initial; background-repeat: initial; background-attachment: initial; background-origin: initial; background-clip: initial; color: rgb(51, 122, 183); text-decoration-line: none; transition: 406ms ease-out; max-width: 100%; font-family: RobotoSlab-Regular, Arial, Helvetica, sans-serif;" title=""><span style="box-sizing: border-box; margin: 0px; padding: 0px; border: 0px; outline: 0px; vertical-align: baseline; background: transparent; transition: 406ms ease-out; max-width: 100%;">Thoát vị đĩa đệm nặng, chèn ép rễ thần kinh L5 hai bên</span></a></p><p><span style="font-size:16px;">Trang web có hai tên miền, đã dăng ký chủ sở hữu:&nbsp;</span></p><p><span style="font-size:16px;">https://chuabenhthoatvidiadem.vn</span></p><p><span style="font-size:16px;">https://thoatvidiadem.top</span></p>]]></content:encoded>
						<wfw:commentRss></wfw:commentRss>
						<slash:comments>0</slash:comments>
					</item>
				
					<item>
						<title>Thoát vị đĩa đệm cột sống lưng</title>
						<link>https://chuabenhthoatvidiadem.vn/bai-viet/thay-thuoc-dong-y-o-tp-hcm/thoat-vi-dia-dem-cot-song-lung-pid-340.html</link>
						<comments></comments>
						<pubDate>Tue, 08 Jul 2025 10:57:25 +0700</pubDate>
						<dc:creator>admin</dc:creator>
						<category><![CDATA[Thầy thuốc đông y ở TP. HCM]]></category>
						<guid isPermaLink="false"></guid>
						<description><![CDATA[Thoát vị đĩa đệm cột sống lưng nếu uống thuốc tây giảm đau, kháng viêm, dãn cơ rồi tập vật lý trị liệu không hết đau nhức, không hết tê chân. Quý khách nên tham khảo trường hợp của Bác Tứ ở TP.HCM. Bác bị đau lưng, đau lan mông, tê chân, những cơn đau làm cho bác không ngủ được, vào bệnh viên chụp MRI phát hiện thoát vị đĩa đệm cột sống lưng.]]></description>
						<content:encoded><![CDATA[<p style="text-align: justify;"><span style="font-size:16px;"><span style="text-align: justify;">Sau khi chữa khỏi thoát vị đĩa đệm cột sống</span><span style="text-align: justify;">&nbsp;lưng tại phòng khám đông y Bảo Minh. Bác Bùi Thị Tứ ở TP. HCM&nbsp;</span><span style="text-align: justify;">đồng ý chia sẻ hình ảnh thoát vị đĩa đệm cột sống lưng của bác. Bác kể lại quá trình đã khám thoát vị đĩa đệm ở đâu? T</span><span style="text-align: justify;">ại sao lại đến khám thoát vị đĩa đệm ở đây? Lương y Nguyễn Văn Minh đã</span><span style="text-align: justify;">&nbsp;</span><span style="text-align: justify;">chữa thoát vị đĩa đệm cho bác hư thế nào? Thời gian&nbsp;</span><span style="text-align: justify;">chữa bao lâu thì khỏi&nbsp;</span><span style="text-align: justify;">thoát vị đĩa đệm cột sống lưng.</span></span></p><h2><strong><span style="font-size:16px;">Thoát vị đĩa đệm cột sống lưng</span></strong></h2><p><span style="font-size: 16px;">Hình ảnh thoát vị đĩa đệm cột sống lưng trên phim chụp MRI.</span></p><p><img loading="lazy" alt="Thoát vị đĩa đệm cột sống lưng" src="data:image/gif;base64,R0lGODlhAQABAID/AP///wAAACwAAAAAAQABAAACAkQBADs=" data-src="https://chuabenhthoatvidiadem.vn/resources/images/Thoát vị đĩa đệm cột sống lưng.jpg" style="width: 888px; height: 1200px;" class="lazy" width="888" height="1200" data-optimized="1" /></p><p style="text-align: justify;"><img loading="lazy" alt="thoat-vi-dia-dem-cot-song-lung" src="data:image/gif;base64,R0lGODlhAQABAID/AP///wAAACwAAAAAAQABAAACAkQBADs=" data-src="https://chuabenhthoatvidiadem.vn/resources/images/Thoat-vi-dia-dem-cot-song-lung.jpg" style="height: 1200px; opacity: 0.9; width: 900px;" class="lazy" width="900" height="1200" data-optimized="1" /></p><p style="text-align: justify;"><span style="font-size:14px;"><em>Kết quả MRI thoát vị đĩa đệm cột sống lưng của bác Bùi Thị Tứ ở TP. Hồ Chí Minh.&nbsp;</em></span></p><p style="text-align: justify;"><span style="font-size:16px;">Trân trọng cảm ơn quý khách đã đồng ý cho chia sẻ ý kiến ở đây, mục đích muốn giúp đỡ những người bị thoát vị đĩa đệm cột sống lưng&nbsp;có thông tin tốt&nbsp;để tham khảo. Sau này, quý khách nào không muốn chia sẻ nữa, chúng tôi sẽ gỡ bài đăng.&nbsp;</span></p><p style="text-align: justify;"><img loading="lazy" alt="MRI thoát vị đĩa đệm cột sống lưng" src="data:image/gif;base64,R0lGODlhAQABAID/AP///wAAACwAAAAAAQABAAACAkQBADs=" data-src="https://chuabenhthoatvidiadem.vn/resources/images/MRI thoát vị đĩa đệm cột sống lưng.jpg" style="width: 900px; height: 1200px;" class="lazy" width="900" height="1200" data-optimized="1" /></p><p style="text-align: justify;"><span style="font-size:16px;">Để xem thuốc chữa thoát vị đĩa đệm cột sống lưng có tốt không, mời quý khách nhấp vào video xem Lương y Nguyễn Văn Minh và bác Bùi Thị Tứ trao đổi.</span></p><h3><span style="font-size: 16px; text-align: justify;">Thuốc chữa thoát vị đĩa đệm cột sống lưng</span></h3><p><span class="optimize-cls-iframe" data-src="https://www.youtube.com/embed/EZ1EBbLt584">https://www.youtube.com/embed/EZ1EBbLt584</span></p><p style="text-align: justify;"><span style="font-size: 16px; text-align: justify;">Ai bị thoát vị đĩa đệm cột sống lưng, căn bệnh&nbsp;làm cho người bệnh đau nhức tới mức; đứng đau, ngồi đau, đang nằm trở mình&nbsp;đau, ho đau, hắt hơi đau...đau quá đêm không ngủ được. Đã tiêm chích hoặc uống thuốc tây chỉ&nbsp;giảm đau, hãy chịu khó xem&nbsp;hết nộii dung video trên.</span></p><p style="text-align: justify;"><span style="box-sizing: border-box; margin: 0px; padding: 0px; border: 0px; outline: 0px; font-size: 16px; vertical-align: baseline; background-image: initial; background-position: initial; background-size: initial; background-repeat: initial; background-attachment: initial; background-origin: initial; background-clip: initial; max-width: 100%; color: rgb(0, 0, 0); font-family: RobotoSlab-Regular, Arial, Helvetica, sans-serif; text-align: justify;">Lương y Nguyễn Văn Minh là</span><a data-ved="2ahUKEwjiy9_6hJuFAxXHrVYBHU1vAA44ChAWegQIDRAB" href="https://chuabenhthoatvidiadem.vn/cach-chua-benh/thong-tin-chu-so-huu-website-pid-301.html" jsname="UWckNb" ping="/url?sa=t&amp;source=web&amp;rct=j&amp;opi=89978449&amp;url=https://chuabenhthoatvidiadem.vn/cach-chua-benh/thong-tin-chu-so-huu-website-pid-301.html&amp;ved=2ahUKEwjiy9_6hJuFAxXHrVYBHU1vAA44ChAWegQIDRAB" style="box-sizing: border-box; margin: 0px; padding: 0px; border: 0px; outline: 0px; font-size: small; vertical-align: baseline; background-image: initial; background-position: initial; background-size: initial; background-repeat: initial; background-attachment: initial; background-origin: initial; background-clip: initial; color: rgb(26, 13, 171); text-decoration-line: none; transition: 406ms ease-out; max-width: 100%; text-align: justify; -webkit-tap-highlight-color: rgba(0, 0, 0, 0.1); font-family: arial, sans-serif;" title="">&nbsp;<span style="font-size:16px;">chủ sở hữu website</span></a><span style="box-sizing: border-box; margin: 0px; padding: 0px; border: 0px; outline: 0px; font-size: 16px; vertical-align: baseline; background-image: initial; background-position: initial; background-size: initial; background-repeat: initial; background-attachment: initial; background-origin: initial; background-clip: initial; max-width: 100%; color: rgb(0, 0, 0); font-family: RobotoSlab-Regular, Arial, Helvetica, sans-serif; text-align: justify;">&nbsp;và nhà thuốc đông y Bảo Minh. Để giữ uy tín&nbsp;vào bảo vệ thương hiệu, tôi chỉ đăng&nbsp;sự thật, thông tin thật nên có những câu chuyện quý khách phải nghe hết mới rõ.&nbsp;</span></p><p style="text-align: justify;"><img loading="lazy" alt="Thoát vị đĩa đệm cột sống lưng" src="data:image/gif;base64,R0lGODlhAQABAID/AP///wAAACwAAAAAAQABAAACAkQBADs=" data-src="https://chuabenhthoatvidiadem.vn/resources/images/Thoát vị đĩa đệm cột sống lưng(1).jpg" style="width: 848px; height: 1200px;" class="lazy" width="848" height="1200" data-optimized="1" /></p><p style="text-align: justify;"><span style="font-size:16px;">Bác Phùng Quang Thanh ở Nha Trang, Khánh Hòa bị đau nhức cột sống thắt lưng, đau lan xuống mông và tê nhức chân. Bác đã điều trị bằng thuốc tây nhưng chỉ&nbsp;giảm đau, hết tác dụng của thuốc lại đau. Đi 2 bệnh viện lớn chuyên khoa cột sống bác sĩ đều khuyên mổ, bác Thanh tìm gặp Lương y Nguyễn Văn Minh để khám và điều trị bằng thuốc đông y. Quý khách nào có người nhà bị thoái hóa cột sống thắt lưng, thoát vị đĩa đệm L4-5, chèn ép rễ thần kinh hai bên, hẹp nặng ống sống. Hãy nghe hết ý kiến của bác Thanh phát biểu. Bác Thanh đồng ý cho phòng khám đông y Bảo Minh công bố kết quả chụp MRI của bác,&nbsp;ở đây có ghi&nbsp;địa chỉ nhà bác ở Khánh Hòa: 100 Đường 2/4, Vĩnh Hải, TP Nha Trang, tỉnh Khánh Hòa. Xin trân trọng cảm ơn bác Thanh.</span></p><p><span style="font-size:16px;"><a title="" href="https://chuabenhthoatvidiadem.vn/resources/files/Ghi âm cuộc gọi Phùng Quang Thanh 61 Tv Nặng Nha Trang 1_ 24_240128_103334 (2) (1).mp3">Thuốc chữa thoát vị đĩa đệm cột sống</a></span></p><p style="box-sizing: border-box; margin: 0px 0px 10px; padding: 0px; border: 0px; outline: 0px; font-size: 16px; vertical-align: baseline; background-image: initial; background-position: initial; background-size: initial; background-repeat: initial; background-attachment: initial; background-origin: initial; background-clip: initial; max-width: 100%; color: rgb(0, 0, 0); font-family: RobotoSlab-Regular, Arial, Helvetica, sans-serif;"><span style="font-size:16px;"><span style="box-sizing: border-box; margin: 0px; padding: 0px; border: 0px; outline: 0px; vertical-align: baseline; background: transparent; max-width: 100%;">Nếu đây là lần đầu quý khách vào trang web của phòng khám, nên xem;&nbsp;<a href="https://chuabenhthoatvidiadem.vn/cach-chua-benh/giay-phep-kham-chua-benh-cua-luong-y-nguyen-van-minh-pid-30.html" style="box-sizing: border-box; margin: 0px; padding: 0px; border: 0px; outline: 0px; vertical-align: baseline; background: transparent; color: rgb(51, 122, 183); text-decoration-line: none; transition: 406ms ease-out; max-width: 100%;" title="">Giấy phép khám chữa bệnh của Lương y Nguyễn Văn Minh</a></span></span></p><p style="box-sizing: border-box; margin: 0px 0px 10px; padding: 0px; border: 0px; outline: 0px; font-size: 16px; vertical-align: baseline; background-image: initial; background-position: initial; background-size: initial; background-repeat: initial; background-attachment: initial; background-origin: initial; background-clip: initial; max-width: 100%; color: rgb(0, 0, 0); font-family: RobotoSlab-Regular, Arial, Helvetica, sans-serif; text-align: justify;"><span style="font-size:16px;"><span style="box-sizing: border-box; margin: 0px; padding: 0px; border: 0px; outline: 0px; vertical-align: baseline; background: transparent; max-width: 100%;"><span style="box-sizing: border-box; margin: 0px; padding: 0px; border: 0px; outline: 0px; vertical-align: baseline; background: transparent; max-width: 100%;">Lương y Nguyễn Văn Minh chữa&nbsp;</span><a data-ved="2ahUKEwjlv862-uz3AhXohVYBHU5CAGQQFnoECAcQAQ" href="https://chuabenhthoatvidiadem.vn/" ping="/url?sa=t&amp;source=web&amp;rct=j&amp;url=https://chuabenhthoatvidiadem.vn/&amp;ved=2ahUKEwjlv862-uz3AhXohVYBHU5CAGQQFnoECAcQAQ" style="box-sizing: border-box; margin: 0px; padding: 0px; border: 0px; outline: 0px; font-size: small; vertical-align: baseline; background: transparent; color: rgb(26, 13, 171); text-decoration-line: none; transition: 406ms ease-out; max-width: 100%; -webkit-tap-highlight-color: rgba(0, 0, 0, 0.1); font-family: arial, sans-serif;" title="">Thoát Vị Đĩa Đệm</a><span style="box-sizing: border-box; margin: 0px; padding: 0px; border: 0px; outline: 0px; vertical-align: baseline; background: transparent; max-width: 100%;">&nbsp;tại TP.HCM; 856/6 Quang Trung, Phường Thông Tây Hội, TP.HCM. Điện thoại 0913 503 552.</span></span></span></p><p style="box-sizing: border-box; margin: 0px 0px 10px; padding: 0px; border: 0px; outline: 0px; font-size: 16px; vertical-align: baseline; background-image: initial; background-position: initial; background-size: initial; background-repeat: initial; background-attachment: initial; background-origin: initial; background-clip: initial; max-width: 100%; color: rgb(0, 0, 0); font-family: RobotoSlab-Regular, Arial, Helvetica, sans-serif; text-align: justify;">Lưu ý; Từ đầu tháng 7 năm 2025, Phường 8, quận Gò Vấp, TP.HCM chuyển thành phường Thông Tây Hội, TP.HCM. Đây là tên gọi phường mới sau khi sáp nhập Bình Dương và Bà Rịa - Vũng Tàu&nbsp;với TP.HCM.</p><p style="box-sizing: border-box; margin: 0px 0px 10px; padding: 0px; border: 0px; outline: 0px; font-size: 16px; vertical-align: baseline; background-image: initial; background-position: initial; background-size: initial; background-repeat: initial; background-attachment: initial; background-origin: initial; background-clip: initial; max-width: 100%; color: rgb(0, 0, 0); font-family: RobotoSlab-Regular, Arial, Helvetica, sans-serif; text-align: justify;"><span style="color: rgb(0, 0, 0); font-family: RobotoSlab-Regular, Arial, Helvetica, sans-serif; font-size: 16px; text-align: justify;">Trang web:&nbsp;</span><a class="xFAlBc" font-size:="" helvetica="" href="https://thoatvidiadem.top/" ping="/url?sa=t&amp;source=web&amp;rct=j&amp;url=https://thoatvidiadem.top/&amp;ved=2ahUKEwjazZPK5OiAAxVHpVYBHQccCIcQhAd6BAhbEAE&amp;opi=89978449" style="box-sizing: border-box; margin: 0px; padding: 0px; border: 0px; outline: 0px; font-size: 16px; vertical-align: baseline; background: transparent; color: rgb(26, 13, 171); text-decoration-line: none; transition: 406ms ease-out; max-width: 100%; font-family: RobotoSlab-Regular, Arial, Helvetica, sans-serif; text-align: justify; -webkit-tap-highlight-color: rgba(0, 0, 0, 0.1); overflow-wrap: break-word; word-break: break-word;" title="">thoatvidiadem.top</a><span style="color: rgb(0, 0, 0); font-family: RobotoSlab-Regular, Arial, Helvetica, sans-serif; font-size: 16px; text-align: justify;">&nbsp;và&nbsp;</span><a class="xFAlBc" font-size:="" helvetica="" href="https://chuabenhthoatvidiadem.vn/" ping="/url?sa=t&amp;source=web&amp;rct=j&amp;url=https://chuabenhthoatvidiadem.vn/&amp;ved=2ahUKEwjazZPK5OiAAxVHpVYBHQccCIcQ6156BAhFEAE&amp;opi=89978449" style="box-sizing: border-box; margin: 0px; padding: 0px; border: 0px; outline: 0px; font-size: 16px; vertical-align: baseline; background: transparent; color: rgb(26, 13, 171); text-decoration-line: none; transition: 406ms ease-out; max-width: 100%; font-family: RobotoSlab-Regular, Arial, Helvetica, sans-serif; text-align: justify; -webkit-tap-highlight-color: rgba(0, 0, 0, 0.1); overflow-wrap: break-word; word-break: break-word;" title="">chuabenhthoatvidiadem.vn</a></p>]]></content:encoded>
						<wfw:commentRss></wfw:commentRss>
						<slash:comments>0</slash:comments>
					</item>
				
					<item>
						<title>Chữa thoát vị đĩa đệm ở Gò Vấp</title>
						<link>https://chuabenhthoatvidiadem.vn/bai-viet/tu-van-chua-thoat-vi-dia-dem/chua-thoat-vi-dia-dem-o-go-vap-pid-332.html</link>
						<comments></comments>
						<pubDate>Wed, 18 Sep 2024 10:34:58 +0700</pubDate>
						<dc:creator>admin</dc:creator>
						<category><![CDATA[Tư vấn chữa thoát vị đĩa đệm]]></category>
						<guid isPermaLink="false"></guid>
						<description><![CDATA[Đông y chữa thoát vị đĩa đệm có tốt không, phải tận mắt thấy mới tin. Có những ca bệnh hồi phục thật kỳ diệu, khi bị thoát vị đĩa đệm cổ gây hẹp nặng ống sống. Chèn ép mạnh các rễ thần kinh làm cho teo cơ, tay yếu không giơ lên được, đã có chỉ định mổ của bác sĩ. Nhờ sự kiên trì uống thuốc kết hợp châm cứu và tập thể dục, anh Lưu Kim Chan ở TP.HCM đã hồi phục gần như bình thường. Trân trọng cảm ơn anh đã đồng ý cho ghi hình chia sẻ ở đây.]]></description>
						<content:encoded><![CDATA[<p style="text-align: justify;"><span style="font-size:16px;">Thuốc đông y chữa thoát vị đĩa đệm tốt nhất là thuốc có công dụng&nbsp;chữa hết đau,&nbsp;hết nhức, hết tê bì chân tay&nbsp;do&nbsp;thoát vị đĩa đệm gây nên. Sau thời gian điều trị khỏi bệnh,&nbsp;không cần uống thêm thuốc gì nhưng người bệnh cũng không bị đau lại. Những trường hợp bị thoát vị đĩa đệm nặng, gây hẹp nặng ống sống, chèn ép mạnh các rễ thần kinh có thể gây teo cơ, tay yếu không giơ lên được. Nếu gặp thầy gặp thuốc sẽ hồi phục được cơ bị teo, giúp đi lại và vận động cánh tay; cầm, nắm được bình thường.</span></p><p style="text-align: justify;"><span style="font-size: 16px; text-align: justify;">Xin trân trọng cảm ơn anh Lưu Kim Chan đã đồng ý cho chia sẻ bệnh án này.</span></p><p><img loading="lazy" alt="Chữa thoát vị đĩa đệm ở Gò Vấp" src="data:image/gif;base64,R0lGODlhAQABAID/AP///wAAACwAAAAAAQABAAACAkQBADs=" data-src="https://chuabenhthoatvidiadem.vn/resources/images/Chữa thoát vị đĩa đệm ở Gò Vấp.jpg" style="width: 848px; height: 1200px;" class="lazy" width="848" height="1200" data-optimized="1" /></p><p style="text-align: justify;"><span style="font-size:16px;">Anh Lưu Kim Chan&nbsp;ở quận Bình Tân, Thành phố Hồ Chí Minh bị </span><span style="font-size: 16px; text-align: justify;">đau nhức vai gáy, đau bả vai trái và cánh tay yếu không giơ lên được. Sau khi chụp cộng hưởng từ MRI cột sống cổ,&nbsp;bác sĩ kết luận:</span></p><p style="text-align: justify;"><span style="font-size: 16px;">- Thoái hóa đĩa đệm cột sống cổ. Hẹp ống sống cổ.</span></p><p style="text-align: justify;"><span style="font-size: 16px;">- Tầng C3-4, C4-5, C5-6, C6-7, C7-T1; Phình lồi, thoát vị đĩa đệm ra sau # 3-4mm. Cùng các gai xương thoái hóa gây hẹp nặng ống sống cổ và các lỗ liên hợp hai bên, chèn ép mạnh các rễ thần kinh từ C4 đến C8 hai bên.</span></p><p style="text-align: justify;"><span style="font-size: 16px;">- Đường kính trước sau&nbsp;ống sống # 7-8mm.</span></p><p style="text-align: justify;"><span style="font-size: 16px;">- Tủy cổ bị đè ép nhất là ngang mức C3-4 và C5-6, tín hiệu mô tủy tăng trên T2W dạng phù nề.</span></p><p style="text-align: justify;"><span style="font-size: 16px;">Nhìn kết quả này, bác sĩ&nbsp;điều trị khuyên&nbsp;anh nên mổ thoát vị đĩa đệm.&nbsp;Do&nbsp;lo ngại&nbsp;biến chứng anh không dám mổ.&nbsp;</span><span style="font-size: 16px;">Khi đến khám bệnh anh Lưu&nbsp;Kim Chan&nbsp;</span><span style="font-size: 16px;">đã có hiện tượng bị teo cơ bả vai và tay rất yếu, cầm nắm&nbsp;khó khăn.</span></p><p style="text-align: justify;"><span style="font-size:16px;"><span style="text-align: justify;">&nbsp;Sau một thời</span><span style="text-align: justify;">&nbsp;gian kiên trì điều&nbsp;trị, căn bệnh thoát vị đĩa đệm cổ của anh đã hồi phục gần như bình thường. Anh đồng ý cho ghi hình lại nội dung câu chuyện dưới đây. Mời quý khách bấm xem VIDEO và cảm nhận.</span></span></p><p><span class="optimize-cls-iframe" data-src="https://www.youtube.com/embed/t_ttGQglswY">https://www.youtube.com/embed/t_ttGQglswY</span></p><p style="text-align: justify;"><span style="font-size:16px;">Lương y Nguyễn Văn Minh chuyên chữa thoát vị đĩa đệm ở Gò Vấp TP HCM. Ông có kinh nghiệm trên 25 năm trong nghề, sử dụng&nbsp;các phương pháp của đông y chữa thoát vị đĩa đệm. Thuốc chữa thoát vị đĩa đệm ở đây không có tác dụng phụ, không giữ nước, không làm đau bao tử, không tăng cân. Sau khi chữa khỏi bệnh, ngừng&nbsp;uống thuốc nhưng cũng không bị đau nhức trở lại. Có nhiều người sau khi chữa hết bệnh&nbsp;mấy năm sau mới bị đau lại, mức độ nhẹ, lúc&nbsp;đó chỉ cần uống thêm từ 10 -15 ngày thuốc sẽ&nbsp;khỏe lại. Quý khách nào có điều kiện thì 1-2 năm sau, uống lại nửa tháng thuốc sẽ&nbsp;tốt cho đĩa đệm&nbsp;cột sống, làm chậm quá trình lão hóa và thoái hóa cột sống.</span></p><p style="text-align: justify;"><span style="font-size: 16px; text-align: justify;">Kết quả chụp cộng hưởng từ MRI của bác Đỗ Thị Hạnh ở thành phố Kon Tum.&nbsp;</span></p><p style="text-align: justify;"><span style="font-size:16px;"><img loading="lazy" alt="Cach-chua-thoat-vi-dia-dem-l4-l5" src="data:image/gif;base64,R0lGODlhAQABAID/AP///wAAACwAAAAAAQABAAACAkQBADs=" data-src="https://chuabenhthoatvidiadem.vn/resources/images/Cach-chua-thoat-vi-dia-dem-L4-L5.jpg" style="width: 800px; height: 1200px;" class="lazy" width="800" height="1200" data-optimized="1" /></span></p><p style="text-align: justify;"><span style="font-size:16px;">Gai xương thoái hóa các đốt sống thắt lưng L2&rarr;L5. Thoát vị đĩa đệm tầng l4/L5, trung tâm và cạnh trung tâm trái ra sau # 3 mm. Hẹp ngách bên và lỗ liên hợp bên trái, chèn ép rễ thần kinh L4 và L5 bên trái. Đường kính ống sống D# 5 mm. Lồi đĩa đệm tầng L5 S1, chèn ép nhẹ rễ thần kinh S1 hai bên.</span></p><p style="text-align: justify;"><span class="optimize-cls-iframe" data-src="https://www.youtube.com/embed/ymrBbt0uovA">https://www.youtube.com/embed/ymrBbt0uovA</span></p><p style="text-align: justify;"><span style="text-align: justify; font-size: 16px;">Bác&nbsp;</span><span style="text-align: justify; font-size: 16px;">Đỗ Thị Hạnh ở Kon Tum bị&nbsp;</span><span style="text-align: justify; font-size: 16px;">thoát vị đĩa đệm L4/5, chèn ép rễ thần kinh L4 và L5 bên trái. Sau khi uống thuốc chữa bệnh ở đây thấy đỡ nhiều, bác Hạnh đồng ý cho quay video clip để chia sẻ. Xin trân trọng cảm ơn bác.</span></p><p><span style="font-size:16px;"><span style="text-align: justify;">Có thể bạn quan tâm:&nbsp;</span></span></p><p><span style="font-size:16px;"><span style="text-align: justify;">-&nbsp;<a title="" href="https://chuabenhthoatvidiadem.vn/cach-chua-benh/luong-y-nguyen-van-minh-chua-thoat-vi-dia-dem-nhieu-nguoi-khong-phai-mo-thoat-vi-dia-dem-pid-25.html">Chữa thoát vị đĩa đệm ở Gò Vấp có tốt không.</a></span></span></p><p><span style="font-size:16px;">-&nbsp;<a title="" href="https://chuabenhthoatvidiadem.vn/cach-chua-benh/thuoc-tri-thoat-vi-dia-dem-pid-324.html">Thuốc đông y chữa thoát vị đĩa đệm tốt nhất là thuốc gì.</a></span></p><p><span style="font-size:16px;">-&nbsp;<a title="" href="https://chuabenhthoatvidiadem.vn/cach-chua-benh/thoat-vi-dia-dem-l4-l5-l5-s1-chen-ep-re-than-kinh-pid-299.html">Thoát vị đĩa đệm chèn ép rễ&nbsp;thần kinh.</a></span></p><p style="text-align: justify;"><span style="font-size: 16px; text-align: justify;">Khám thoát vị đĩa đệm ở&nbsp;TP HCM: 856/6 đường Quang Trung, Phường 8, quận Gò Vấp. Phòng khám do thầy thuốc đông y Nguyễn Văn Minh làm chủ cơ sở, có địa chỉ duy nhất tại thành phố Hồ Chí Minh.</span></p><p style="text-align: justify;"><span style="font-size: 16px; text-align: justify;">Thầy thuốc&nbsp;trực tiếp tư vấn&nbsp;chữa thoát vị đĩa đệm: 0913 503 552.&nbsp;&nbsp;</span></p><p style="text-align: justify;"><span style="font-size: 16px;">Tham khảo thêm:</span></p><p style="text-align: justify;"><span style="font-size: 16px;">-&nbsp;<a title="" href="https://chuabenhthoatvidiadem.vn/cach-chua-benh/giay-phep-kham-chua-benh-cua-luong-y-nguyen-van-minh-pid-30.html">Giấy phép khám chữa bệnh&nbsp;tại TP. HCM.</a></span></p><p style="text-align: justify;"><span style="font-size: 16px;">-&nbsp;<a title="" href="https://chuabenhthoatvidiadem.vn/dieu-tri/ket-qua-dieu-tri-thoat-vi-dia-dem-cid-2-0.html">Chữa thoát vị đĩa đệm bao lâu thì khỏi.</a></span></p><p style="text-align: justify;"><span style="font-size: 16px;">-&nbsp;<a title="" href="https://chuabenhthoatvidiadem.vn/cach-chua-benh/bai-thuoc-chua-thoat-vi-dia-dem-khang-dinh-uy-tin-cua-thay-thuoc-pid-215.html">Bài thuốc chữa thoát vị đĩa đệm.</a></span></p><p style="text-align: justify;"><span style="font-size: 16px;">-&nbsp;<a title="" href="https://chuabenhthoatvidiadem.vn/cach-chua-benh/thoat-vi-dia-dem-chen-ep-day-than-kinh-pid-331.html">Chữa thoát vị đĩa đệm chèn dây thần kinh.</a></span></p><p style="text-align: justify;"><span style="display: none;">&nbsp;</span></p>]]></content:encoded>
						<wfw:commentRss></wfw:commentRss>
						<slash:comments>0</slash:comments>
					</item>
				
					<item>
						<title>Chữa thoát vị đĩa đệm cho chị Thúy ở Đồng tháp</title>
						<link>https://chuabenhthoatvidiadem.vn/bai-viet/dia-chi-chua-benh-thoat-vi-dia-dem/chua-thoat-vi-dia-dem-cho-chi-thuy-o-dong-thap-pid-327.html</link>
						<comments></comments>
						<pubDate>Tue, 11 Jun 2024 10:48:00 +0700</pubDate>
						<dc:creator>admin</dc:creator>
						<category><![CDATA[Địa chỉ chữa bệnh thoát vị đĩa đệm]]></category>
						<guid isPermaLink="false"></guid>
						<description><![CDATA[Chữa thoát vị đĩa đệm L5-S1 cho chị Đỗ Thị Thanh Thúy ở Đồng Tháp hết bệnh. Chị Thúy đồng ý chia sẻ, giới thiệu cách chữa thoát vị đĩa đệm ở phòng khám đông y Bảo Minh. Cách chữa giúp chị không phải mổ thoát vị đĩa đệm.]]></description>
						<content:encoded><![CDATA[<p style="text-align: justify;"><span style="font-size:16px;">Sau khi chữa khỏi bệnh; hết đau, hết nhức, đi lại hoạt động bình thường.&nbsp;Chị Đỗ Thị Thanh Thúy ở Đồng Tháp&nbsp;đồng ý chia sẻ giới thiệu cách chữa thoát vị đĩa đệm ở phòng khám đông y Bảo Minh. Phòng khám do&nbsp;Lương y Nguyễn Văn Minh đứng tên chủ sơ sở khám chữa bệnh.</span></p><h2><span style="font-size:16px;">Chữa thoát vị đĩa đệm cho chị Thúy ở Đồng tháp.</span></h2><p><a title="" href="https://chuabenhthoatvidiadem.vn/resources/files/do thi thuy 87 tv.mp3" style="font-size: 13px;">Chữa thoát vị đĩa đệm, khỏi bệnh&nbsp;hết đau, hết nhức</a></p><p><img loading="lazy" alt="hinh-anh-thoat-vi-dia-dem-L5-S1" src="data:image/gif;base64,R0lGODlhAQABAID/AP///wAAACwAAAAAAQABAAACAkQBADs=" data-src="https://chuabenhthoatvidiadem.vn/resources/images/hinh-anh-thoat-vi-dia-dem L5-S1.jpg" style="width: 915px; height: 1200px;" class="lazy" width="915" height="1200" data-optimized="1" /></p><p><img loading="lazy" alt="hinh-anh-thoat-vi-dia-dem-L5 S1" src="data:image/gif;base64,R0lGODlhAQABAID/AP///wAAACwAAAAAAQABAAACAkQBADs=" data-src="https://chuabenhthoatvidiadem.vn/resources/images/hinh-anh-thoat-vi-dia-dem-L5 S1.jpg" style="width: 960px; height: 1200px;" class="lazy" width="960" height="1200" data-optimized="1" /></p><p><img loading="lazy" alt="Chữa thoát vị đĩa đệm ở Đồng Tháp" src="data:image/gif;base64,R0lGODlhAQABAID/AP///wAAACwAAAAAAQABAAACAkQBADs=" data-src="https://chuabenhthoatvidiadem.vn/resources/images/chua-thoat-vi-dia-dem-o-dong-thap.jpg" style="width: 875px; height: 1200px;" class="lazy" width="875" height="1200" data-optimized="1" /></p><p><span style="font-size:16px;">Chị Thúy chụp MRI cột sống thắt lưng, bác sĩ kết luận: </span></p><p><span style="font-size:16px;">- Lồi đĩa đệm trung tâm các tầng L3 L4 và L4/L5 kèm rách bao xơ và không chèn ép rễ thần kinh hai bên.</span></p><h3><span style="font-size:16px;">- Thoát vị đĩa đệm cạnh trái trung tâm nền rộng tầng L5 S1 ra sau #10mm, có mảnh rời xuống dưới #8mm kèm rách bao xơ gây hẹp ống sống ngang mức và chèn ép rễ S1 trái&gt; phải.</span></h3><p><span style="font-size:16px;">- Gai nhỏ thân sống L3 L4 L5.</span></p><p style="text-align: justify;"><span style="font-size: 16px;">Đây là trường hợp thoát vị đĩa đệm nặng, kích thước khối thoát vị đĩa đệm lớn tới 10mm. Có mảnh rời kích thước lên đến&nbsp;8mm, gây hẹp ống sống, chèn ép nặng rễ thần kinh S1. Căn bệnh&nbsp;làm cho chị Thúy đi lại khó khăn, chân yếu, có hiện tượng&nbsp;bị teo cơ.&nbsp;Bác sĩ ở bệnh viện khuyên phẫu thuật thoát vị đĩa đệm, chị Thúy sợ mổ nên tìm đông y&nbsp;chữa thoát vị đĩa đệm. Lên mạng tìm hiểu xem ở đâu chữa thoát vị đĩa đệm tốt nhất, thầy thuốc có kinh nghiệm và uy tín, chị Thúy đặt&nbsp;lòng tin và tin rằng&nbsp;Lương y Nguyễn Văn Minh sẽ chữa hết bệnh cho mình,&nbsp;và mong muốn chữa khỏi bệnh mà không phải mổ của chị đã được đền đáp. Chị Thúy biết ơn thầy thuốc đã chữa hết bệnh cho mình, chị đồng ý chia sẻ bệnh án thoát vị đĩa đệm L5-S1 ở đây, mong muốn đông y chữa thoát vị đĩa đệm cho nhiều người hơn nữa. Xin trân trọng cảm ơn chị Đỗ Thị Thanh Thúy.</span></p><p style="text-align: justify;"><span style="box-sizing: border-box; margin: 0px; padding: 0px; border: 0px; outline: 0px; font-size: 16px; vertical-align: baseline; background-image: initial; background-position: initial; background-size: initial; background-repeat: initial; background-attachment: initial; background-origin: initial; background-clip: initial; max-width: 100%; color: rgb(0, 0, 0); font-family: RobotoSlab-Regular, Arial, Helvetica, sans-serif; text-align: justify;">Người nào bị thoát vị đĩa đệm mức độ</span><span style="box-sizing: border-box; margin: 0px; padding: 0px; border: 0px; outline: 0px; font-size: 16px; vertical-align: baseline; background-image: initial; background-position: initial; background-size: initial; background-repeat: initial; background-attachment: initial; background-origin: initial; background-clip: initial; max-width: 100%; color: rgb(0, 0, 0); font-family: RobotoSlab-Regular, Arial, Helvetica, sans-serif; text-align: justify;">&nbsp;nhẹ, hoặc không có thời gian&nbsp;sắc thuốc uống, hoặc muốn uống&nbsp;thuốc viên&nbsp;</span><span style="box-sizing: border-box; margin: 0px; padding: 0px; border: 0px; outline: 0px; font-size: 16px; vertical-align: baseline; background-image: initial; background-position: initial; background-size: initial; background-repeat: initial; background-attachment: initial; background-origin: initial; background-clip: initial; max-width: 100%; color: rgb(0, 0, 0); font-family: RobotoSlab-Regular, Arial, Helvetica, sans-serif; text-align: justify;">thì không cần xem hết&nbsp;những nội dung có thật ở đây. Còn những ai bị thoát vị đĩa đệm mức độ trung bình hoặc nặng hơn, có chèn ép rễ thần kinh, có chèn ép bao màng cứng và lỗ liên hợp, muốn điều trị bảo tồn đĩa đệm để sau này không phải mổ đĩa đệm cột sống, hãy xem hết và nghe hết những nội dung có thật&nbsp;từ quý bệnh nhân, những người</span><span style="box-sizing: border-box; margin: 0px; padding: 0px; border: 0px; outline: 0px; font-size: 16px; vertical-align: baseline; background-image: initial; background-position: initial; background-size: initial; background-repeat: initial; background-attachment: initial; background-origin: initial; background-clip: initial; max-width: 100%; color: rgb(0, 0, 0); font-family: RobotoSlab-Regular, Arial, Helvetica, sans-serif; text-align: justify;">&nbsp;được thầy thuốc chữa khỏi bệnh thoát vị đĩa đệm cho họ&nbsp;bằng thuốc đông y.</span></p><p style="text-align: justify;"><span style="box-sizing: border-box; margin: 0px; padding: 0px; border: 0px; outline: 0px; font-size: 16px; vertical-align: baseline; background-image: initial; background-position: initial; background-size: initial; background-repeat: initial; background-attachment: initial; background-origin: initial; background-clip: initial; max-width: 100%; color: rgb(0, 0, 0); font-family: RobotoSlab-Regular, Arial, Helvetica, sans-serif; text-align: justify;"><img loading="lazy" alt="Chua-thoat-vi-dia-dem" src="data:image/gif;base64,R0lGODlhAQABAID/AP///wAAACwAAAAAAQABAAACAkQBADs=" data-src="https://chuabenhthoatvidiadem.vn/resources/images/chua-thoat-vi-dia-dem.jpg" style="width: 1280px; height: 1044px;" class="lazy" width="1280" height="1044" data-optimized="1" /></span></p><p style="text-align: justify;"><em><span style="font-size:14px;"><span style="box-sizing: border-box; margin: 0px; padding: 0px; border: 0px; outline: 0px; vertical-align: baseline; background-image: initial; background-position: initial; background-size: initial; background-repeat: initial; background-attachment: initial; background-origin: initial; background-clip: initial; max-width: 100%; color: rgb(0, 0, 0); font-family: RobotoSlab-Regular, Arial, Helvetica, sans-serif; text-align: justify;">Chị Thúy giới thiệu người nhà đến&nbsp;chữa bệnh ở phòng khám thoát vị đĩa đệm của Lương y Nguyễn Văn Minh.</span></span></em></p><p style="text-align: justify;"><span style="color: rgb(0, 0, 0); font-family: RobotoSlab-Regular, Arial, Helvetica, sans-serif; font-size: 16px; text-align: justify;">Muốn chữa được thoát vị đĩa đệm hết bệnh, người thầy&nbsp;thuốc phải có nhiều kinh nghiệm, có bài thuốc hay,&nbsp;các vị thuốc phải có chất lượng tốt nhất. Nếu chỉ dựa vào bắt mạch rồi kê đơn thuốc là chưa đủ, mà phải kết hợp với kết quả chụp cộng hưởng từ MRI của người bệnh. Ngoài ra còn phải căn cứ vào mức độ thoát vị đĩa đệm, triệu chứng, tuổi tác, tiền sử bệnh, cơ địa của người bệnh.v.v để kê đơn bốc thuốc mới có tác dụng tốt. Gọi là thuốc đặc trị thoát vị đĩa đệm là do tỷ lệ chữa khỏi bệnh cao, chứ không thể áp dụng&nbsp;một công thức chung cho mọi người. Đây chính là điều đặc biệt của <a title="" href="https://chuabenhthoatvidiadem.vn/cach-chua-benh/thuoc-tri-thoat-vi-dia-dem-pid-324.html">thang thuốc trị thoát vị đĩa đệm</a>&nbsp;kê đơn cho từng người, các loại thuốc viên bào chế sẵn thì không có được tác dụng như vậy.</span></p><p style="text-align: justify;"><span style="color: rgb(0, 0, 0); font-family: RobotoSlab-Regular, Arial, Helvetica, sans-serif; font-size: 16px; text-align: justify;">Xin trân trọng cảm ơn quý bệnh nhân đã tin tưởng vào uy tín của thầy thuốc, đồng ý cho chia sẻ sự thật ở đây, với mong muốn giúp cho người khác may mắn gặp thầy gặp thuốc.</span></p><p style="box-sizing: border-box; margin: 0px 0px 10px; padding: 0px; border: 0px; outline: 0px; font-size: 16px; vertical-align: baseline; background-image: initial; background-position: initial; background-size: initial; background-repeat: initial; background-attachment: initial; background-origin: initial; background-clip: initial; max-width: 100%; color: rgb(0, 0, 0); font-family: RobotoSlab-Regular, Arial, Helvetica, sans-serif; text-align: justify;"><span style="box-sizing: border-box; margin: 0px; padding: 0px; border: 0px; outline: 0px; vertical-align: baseline; background: transparent; max-width: 100%;">Nhằm giữ uy tín của thầy thuốc và phòng khám, tôi chỉ chia sẻ hình ảnh thật, nội dung thật, bệnh án thật và chữa khỏi bệnh có thật, nên những&nbsp;câu chuyện phải nghe hết&nbsp;mới cảm nhận sự chân thật của người bệnh và thầy thuốc.</span></p><p style="box-sizing: border-box; margin: 0px 0px 10px; padding: 0px; border: 0px; outline: 0px; font-size: 16px; vertical-align: baseline; background-image: initial; background-position: initial; background-size: initial; background-repeat: initial; background-attachment: initial; background-origin: initial; background-clip: initial; max-width: 100%; color: rgb(0, 0, 0); font-family: RobotoSlab-Regular, Arial, Helvetica, sans-serif; text-align: justify;"><span style="box-sizing: border-box; margin: 0px; padding: 0px; border: 0px; outline: 0px; vertical-align: baseline; background: transparent; max-width: 100%;">Lần đầu bạn ghé trang web này,&nbsp;nên xem;&nbsp;<a title="" href="https://chuabenhthoatvidiadem.vn/cach-chua-benh/giay-phep-kham-chua-benh-cua-luong-y-nguyen-van-minh-pid-30.html">Giấy phép khám chữa bệnh của Lương y Nguyễn Văn Minh</a></span></p><p style="box-sizing: border-box; margin: 0px 0px 10px; padding: 0px; border: 0px; outline: 0px; font-size: 16px; vertical-align: baseline; background-image: initial; background-position: initial; background-size: initial; background-repeat: initial; background-attachment: initial; background-origin: initial; background-clip: initial; max-width: 100%; color: rgb(0, 0, 0); font-family: RobotoSlab-Regular, Arial, Helvetica, sans-serif; text-align: justify;"><span style="font-size:16px;"><span style="background-image: initial; background-position: initial; background-size: initial; background-repeat: initial; background-attachment: initial; background-origin: initial; background-clip: initial; box-sizing: border-box; margin: 0px; padding: 0px; border: 0px; outline: 0px; vertical-align: baseline; max-width: 100%;">Lương y Nguyễn Văn Minh chữa&nbsp;</span><a data-ved="2ahUKEwjlv862-uz3AhXohVYBHU5CAGQQFnoECAcQAQ" href="https://chuabenhthoatvidiadem.vn/" ping="/url?sa=t&amp;source=web&amp;rct=j&amp;url=https://chuabenhthoatvidiadem.vn/&amp;ved=2ahUKEwjlv862-uz3AhXohVYBHU5CAGQQFnoECAcQAQ" style="background-image: initial; background-position: initial; background-size: initial; background-repeat: initial; background-attachment: initial; background-origin: initial; background-clip: initial; box-sizing: border-box; margin: 0px; padding: 0px; border: 0px; outline: 0px; font-size: small; vertical-align: baseline; color: rgb(26, 13, 171); text-decoration-line: none; transition: all 406ms ease-out 0s; max-width: 100%; -webkit-tap-highlight-color: rgba(0, 0, 0, 0.1); font-family: arial, sans-serif;" title="">Thoát Vị Đĩa Đệm</a><span style="background-image: initial; background-position: initial; background-size: initial; background-repeat: initial; background-attachment: initial; background-origin: initial; background-clip: initial; box-sizing: border-box; margin: 0px; padding: 0px; border: 0px; outline: 0px; vertical-align: baseline; max-width: 100%;">&nbsp;ở Gò Vấp,TP.HCM; 856/6 Quang Trung, Phường 8.</span></span></p>]]></content:encoded>
						<wfw:commentRss></wfw:commentRss>
						<slash:comments>0</slash:comments>
					</item>
				
					<item>
						<title>Thầy thuốc chữa thoát vị đĩa đệm ở Gò Vấp. Thầy thuốc 10 thật.</title>
						<link>https://chuabenhthoatvidiadem.vn/bai-viet/luong-y-nguyen-van-minh-chua-thoat-vi-dia-dem/thay-thuoc-chua-thoat-vi-dia-dem-o-go-vap-thay-thuoc-10-that-pid-313.html</link>
						<comments></comments>
						<pubDate>Wed, 10 May 2023 10:46:02 +0700</pubDate>
						<dc:creator>admin</dc:creator>
						<category><![CDATA[Lương y Nguyễn Văn Minh chữa thoát vị đĩa đệm]]></category>
						<guid isPermaLink="false"></guid>
						<description><![CDATA[Thầy thuốc chữa thoát vị đĩa đệm ở Gò Vấp, thầy thuốc có 10 sự thật: Hình ảnh thầy thuốc thật, giấy phép khám chữa bệnh thật, giấy phép kinh doanh thật, địa chỉ phòng khám thật, kinh nghiệm chữa bệnh thật, thuốc đông y thật, chữa khỏi bệnh có thật, người bệnh chia sẻ thật, số điện thoại thật, trang web đăng ký thật.]]></description>
						<content:encoded><![CDATA[<h2><span style="font-size:16px;">Thầy thuốc chữa thoát vị đĩa đệm ở Gò Vấp. Chia sẻ&nbsp;10 sự thật về bệnh thoát vị đĩa đệm và cách chữa bằng đông y.</span></h2><p><img loading="lazy" alt="Giấy phép khám bệnh, chữa bệnh của Lương y Nguyễn Văn Minh" src="data:image/gif;base64,R0lGODlhAQABAID/AP///wAAACwAAAAAAQABAAACAkQBADs=" data-src="https://chuabenhthoatvidiadem.vn/resources/images/Giấy phép khám bệnh.jpg" style="opacity: 0.9; font-size: 16px; text-align: justify; width: 1536px; height: 1157px;" class="lazy" width="1536" height="1157" data-optimized="1" /></p><p>Giấy phép khám hoạt động khám bệnh, chữa bệnh, số 06494 /HCM-GPHĐ. Sở Y Tế cấp cho Lương y Nguyễn Văn Minh. Địa điểm hành nghề: 856/6 Quang Trung, Phường 8, Quận Gò Vấp. Nay là phường&nbsp;Thông Tây Hội, thành phố Hồ Chí Minh.</p><p><img loading="lazy" alt="Thầy thuốc đông y Nguyễn Văn Minh" src="data:image/gif;base64,R0lGODlhAQABAID/AP///wAAACwAAAAAAQABAAACAkQBADs=" data-src="https://chuabenhthoatvidiadem.vn/resources/images/Thầy Thuốc Nguyễn Văn Minh (2).jpg" style="width: 1280px; height: 960px;" class="lazy" width="1280" height="960" data-optimized="1" /></p><p style="text-align: justify;"><span style="font-size:16px;">Tôi; Lương y Nguyễn Văn Minh, là thầy thuốc chuyên trị thoát vị đĩa đệm ở Gò Vấp, TP.HCM. Bằng cách&nbsp;tôn trọng sự thật;&nbsp;Hình ảnh thầy thuốc thật, <a title="" href="https://chuabenhthoatvidiadem.vn/cach-chua-benh/giay-phep-kham-chua-benh-cua-luong-y-nguyen-van-minh-pid-30.html">Giấy Phép Khám Chữa Bệnh</a>&nbsp;thật, giấy phép kinh doanh thật, địa chỉ phòng khám thật, kinh nghiệm chữa bệnh thật, thuốc đông y thật, chữa khỏi bệnh có thật, người bệnh chia sẻ thật, số điện thoại thật, trang web thật đã thông báo Bộ Công Thương Việt Nam. Chính từ những sự thật này, mang lại</span><span style="text-align: justify; font-size: 16px;">&nbsp;</span><span style="text-align: justify; font-size: 16px;">uy tín để người bệnh tin tưởng và sẵn sàng giới thiệu cho người quen tới chữa bệnh.</span></p><p style="text-align: justify;"><img loading="lazy" alt="Thầy thuốc chữa thoát vị đĩa đệm" src="data:image/gif;base64,R0lGODlhAQABAID/AP///wAAACwAAAAAAQABAAACAkQBADs=" data-src="https://chuabenhthoatvidiadem.vn/resources/images/Phòng khám đông y Bảo Minh(1).jpg" style="width: 850px; height: 701px;" class="lazy" width="1024" height="768" data-optimized="1" /></p><p style="text-align: justify;"><span style="font-size:14px;"><em>Hình ảnh hốt thuốc chữa thoát vị đĩa đệm, tại phòng khám đông y Bảo Minh. </em></span></p><p style="text-align: justify;"><span style="font-size:16px;">Phòng khám&nbsp;của thầy thuốc đông Nguyễn Văn Minh đứng tên chủ cơ sở và trực tiếp khám bệnh, kê đơn thuốc điều trị thoát vị đĩa đệm cho quý bệnh nhân. Phòng khám có duy nhất tại địa chỉ: 856/6 đường Quang Trung, Phường 8, quận Gò Vấp, Tp. Hồ Chí Minh.</span></p><p style="text-align: justify;"><span style="font-size:16px;">Khi đăng thông tin hình ảnh, bệnh án và kết quả chữa khỏi bệnh của quý bệnh nhân ở trang web này, Lương y Nguyễn Văn Minh&nbsp;có xin phép và được sự đồng ý của quý khách, sau này quý khách nào không muốn xuất hiện ở đây nữa, chúng tôi sẽ gỡ thông tin xuống. Xin trân trọng cảm ơn quý bệnh nhân đã tin tưởng vào uy tín của thầy thuốc,&nbsp;đồng ý cho chia sẻ sự thật ở đây, với mong muốn giúp được&nbsp;người bệnh may gặp thầy gặp thuốc.</span></p><p style="text-align: justify;"><span style="text-align: justify; font-size: 16px;">Hình ảnh quý bệnh nhân cho&nbsp;</span><span style="text-align: justify; font-size: 16px;">chụp hình, cho quay VIDEO phát biểu, gọi điện hỏi thăm được&nbsp;chia sẻ thật ở trang web này, các&nbsp;</span><span style="text-align: justify; font-size: 16px;">kết quả chụp MRI tại các bệnh viện cũng là&nbsp;</span><span style="text-align: justify; font-size: 16px;">thật.&nbsp;</span></p><p style="text-align: justify;"><span style="font-size: 16px;"><img loading="lazy" alt="Lồi đĩa đệm L4-L5" src="data:image/gif;base64,R0lGODlhAQABAID/AP///wAAACwAAAAAAQABAAACAkQBADs=" data-src="https://chuabenhthoatvidiadem.vn/resources/images/Lồi đĩa đệm L4-L5 8mm.jpg" style="width: 875px; height: 1200px;" class="lazy" width="875" height="1200" data-optimized="1" /></span></p><p style="text-align: justify;"><span style="font-size:14px;"><em>Anh Trần Vinh 51 tuổi ở Đắk Nông, đồng ý cho phòng khám chia sẻ kết quả chụp cộng hưởng từ (MRI). Anh Vinh được người khác giới thiệu gặp&nbsp;<span style="text-align: justify;">Lương y Nguyễn Văn Minh để&nbsp;</span>chữa bệnh.</em></span></p><p style="text-align: justify;"><span style="font-size:16px;">Mời bạn đọc xem VIDEO được quay tại phòng khám đông y Bảo Minh. Đây là ngày đầu tiên anh Vinh ở Đắk Nông đến khám thoát vị đĩa đệm. Anh có mang theo kết quả chụp cộng hưởng từ cột sống thắt lưng, anh đồng ý cho ghi lại nội dung này. Phòng khám xin trân trọng cảm ơn anh Trần Vinh.</span></p><p style="text-align: justify;"><span class="optimize-cls-iframe" data-src="https://www.youtube.com/embed/zbRit8kiKUQ">https://www.youtube.com/embed/zbRit8kiKUQ</span></p><p style="text-align: justify;"><em>Anh Vinh đang kể lại câu chuyện gặp người đi cùng xe khách từ Sài Gòn về Đắk Nông, họ cho anh số điện thoại của Lương y Nguyễn Văn Minh.&nbsp;</em></p><p style="text-align: justify;"><span style="font-size:16px;">Mời&nbsp;bạn đọc bấm vào ô dưới để&nbsp;nghe anh Phan Đức Thắng 56 tuổi,địa chỉ ở xã Đạo Nghĩa, huyện Đắk RLấp, tỉnh Đắk Nông kể về việc chia sẻ giới thiệu anh Trần Vinh đi chữa bệnh, hôm nay anh lại giới thiệu thêm 1 người quen nữa. Xin trân trọng cảm ơn anh Thắng!</span></p><p style="text-align: justify;"><span style="font-size:16px;"><a href="https://chuabenhthoatvidiadem.vn/resources/files/phan duc thang.mp3" title="">Thầy thuốc chữa thoát vị đĩa đệm có uy tín,&nbsp;được nhiều người mách nhau đến chữa bệnh</a></span></p><p style="text-align: justify;"><span style="font-size:16px;">Anh Thắng bị thoát vị đĩa đệm, cách nay 4 tháng anh mới uống 12 thang thuốc và xoa bóp hết 1 chai thuốc&nbsp;đắp, đã đỡ nhiều và đi làm được. Hôm nay, anh muốn uống&nbsp;thêm thuốc để tốt&nbsp;cho cột sống đĩa đệm, phòng chống bệnh tái phát, mời bạn đọc nghe tiếp&nbsp;để hiểu hơn; cách chữa thoát vị đĩa đệm có uy tín của thầy thuốc Nguyễn Văn Minh.</span></p><p style="text-align: justify;"><span style="font-size:16px;"><a href="https://chuabenhthoatvidiadem.vn/resources/files/Ghi âm cuộc gọi Phan Đức Thắng 57 Tv Đỡ Đắk N 1_ 23_230417_182543.mp3" title="">Thoát vị đĩa đệm uống thuốc gì?</a></span></p><p style="text-align: justify;"><span style="font-size:14px;"><em>Phòng khám thoát vị đĩa đệm Bảo Minh xin cảm&nbsp;ơn lòng tốt của anh Thắng, anh đã đồng ý cho chia sẻ&nbsp;những nội dung tự nhiên nhất,&nbsp;chân thật nhất về thầy thuốc và&nbsp;người bệnh ở trang web này.</em></span></p><p style="text-align: justify;"><span style="font-size: 16px; text-align: justify;">Sau khi được anh Thắng giới thiệu, anh Vinh đến khám bệnh và mua 15 thang thuốc&nbsp;về sắc uống, vừa uống thuốc vừa xoa bóp ở nhà, bệnh đỡ&nbsp;rất nhiều,&nbsp;anh muốn mua thêm thuốc điều trị cho&nbsp;khỏi&nbsp;hẳn, mời bạn đọc nghe nội dung dưới đây;</span></p><p style="text-align: justify;"><span style="font-size: 16px;"><a href="https://chuabenhthoatvidiadem.vn/resources/files/Ghi âm cuộc gọi 0367698166_230513_085714.mp3" title="">Thầy thuốc chữa thoát vị đĩa đệm và anh Vinh trao đổi</a></span></p><p style="text-align: justify;"><span style="text-align: justify; font-size: 16px;">Những người nào bị thoát vị đĩa đệm mức độ</span><span style="text-align: justify; font-size: 16px;">&nbsp;nhẹ, hoặc không có thời gian&nbsp;sắc thuốc uống, hoặc muốn uống&nbsp;thuốc viên&nbsp;</span><span style="text-align: justify; font-size: 16px;">thì không cần xem kỹ những nội dung có thật ở đây. Còn những ai bị thoát vị đĩa đệm mức độ trung bình hoặc nặng hơn, có chèn ép rễ thần kinh, có chèn ép bao màng cứng và lỗ liên hợp, muốn điều trị bảo tồn đĩa đệm để sau này không phải mổ đĩa đệm cột sống, hãy xem hết và nghe hết những nội dung có thật&nbsp;từ quý bệnh nhân, những người</span><span style="text-align: justify; font-size: 16px;">&nbsp;được thầy thuốc chữa khỏi bệnh thoát vị đĩa đệm cho họ&nbsp;bằng thuốc đông y.</span></p><p style="text-align: justify;"><span style="text-align: justify; font-size: 16px;">Tận mắt chứng kiến anh Trần Vinh uống thuốc tốt quá, anh Lê Tấn Bảo xin địa chỉ&nbsp;đến gặp Lương y Nguyễn Văn Minh để trị bệnh, anh đồng ý cho ghi lại nội dung câu chuyện dưới đây;</span></p><p style="text-align: justify;"><span class="optimize-cls-iframe" data-src="https://www.youtube.com/embed/u41MCDviAqQ">https://www.youtube.com/embed/u41MCDviAqQ</span></p><p style="text-align: justify;"><span style="font-size:14px;">Quý khách nào có người quen bị thoát vị đĩa đệm, nếu nhà ở xã Đạo Nghĩa,&nbsp;huyện Đắk RLấp, tỉnh Đắk Nông nên hỏi ý kiến từ những người đã chữa khỏi bệnh, như; Anh Phan Đức Thắng, anh Trần Vinh và anh Lê Tấn Bảo.</span></p><p style="text-align: justify;"><img loading="lazy" alt="Thầy thuốc trị thoát vị đĩa đệm " src="data:image/gif;base64,R0lGODlhAQABAID/AP///wAAACwAAAAAAQABAAACAkQBADs=" data-src="https://chuabenhthoatvidiadem.vn/resources/images/Thầy thuốc trị thoát vị đĩa đệm (2).jpg" style="width: 1280px; height: 976px;" class="lazy" width="1280" height="960" data-optimized="1" /></p><p style="text-align: justify;"><em><span style="font-size:14px;">Thầy thuốc Nguyễn Văn Minh đang bắt mạch cho anh Lê Tấn Bảo.</span></em></p><p style="text-align: justify;"><img loading="lazy" alt="Thoát vị đĩa đệm chèn ép rễ L5" src="data:image/gif;base64,R0lGODlhAQABAID/AP///wAAACwAAAAAAQABAAACAkQBADs=" data-src="https://chuabenhthoatvidiadem.vn/resources/images/Thoát vị đĩa đệm chèn rễ L5.jpg" style="opacity: 0.9; font-size: 16px; width: 824px; height: 1152px;" class="lazy" width="824" height="1152" data-optimized="1" /></p><p style="text-align: justify;"><span style="font-size: 14px;"><em>Bác Trần Quế đồng ý chia sẻ bệnh án thoát vị đĩa đệm và địa chỉ thật của bác ở Quận 11, Thành phố Hồ Chí Minh. Phòng khám xin trân trọng cảm ơn bác rất nhiều!</em></span></p><p style="text-align: justify;"><span class="optimize-cls-iframe" data-src="https://www.youtube.com/embed/qK3Ka45mths">https://www.youtube.com/embed/qK3Ka45mths</span></p><p style="text-align: justify;"><span style="font-size:14px;"><em>Mời bạn đọc bấm vào VIDEO trên để xem bác Quế chia sẻ rất thật về căn bệnh của bác.</em></span></p><p style="text-align: justify;"><span style="font-size: 16px;">Còn hàng ngàn người đã được thầy thuốc chữa khỏi bệnh, nhưng vì nhiều lý do họ không muốn công bố thông tin ở đây, chúng tôi đảm bảo giữ bí mật cho họ.</span></p><p style="text-align: justify;"><span style="font-size:16px;">Dưới đây là PHIẾU MRI của anh Lê Thành Phong ở tỉnh Tiền Giang. Sau khi được thầy thuốc chữa khỏi bệnh cho mình, anh đồng ý chia sẻ bệnh án và nội dung cuộc trò chuyện, mời bạn đọc bấm vào mũi tên để nghe và cảm nhận sự thật từ câu chuyện.</span></p><p><span style="font-size:14px;"><em><img loading="lazy" alt="Thoát vị đĩa đệm L4-L5" src="data:image/gif;base64,R0lGODlhAQABAID/AP///wAAACwAAAAAAQABAAACAkQBADs=" data-src="https://chuabenhthoatvidiadem.vn/resources/images/Thoát vị đĩa đệm L4-L5(1).jpg" style="width: 815px; height: 960px;" class="lazy" width="815" height="960" data-optimized="1" /></em></span></p><p><a href="https://chuabenhthoatvidiadem.vn/resources/files/Ghi âm cuộc gọi 0987839357_thanh phong_084006 (1).mp3" title="">Thoát vị đĩa đệm L4-L5, hẹp nặng ống sống, hẹp lỗ liên hợp, ép rễ thần kinh L5 hai bên</a></p><p style="text-align: justify;"><span style="font-size:16px;">Bạn đọc đang nghe nội dung câu chuyện thật về thầy thuốc và bệnh nhân, chữa khỏi bệnh&nbsp;thật, chia sẻ địa chỉ thật nội dung thật. Phòng khám xin trân trọng cảm ơn anh Phong, đã đồng ý chia sẻ nội dung này với bạn đọc để có thêm thông tin hữu ích.</span></p><p style="text-align: justify;"><span style="font-size:16px;">Còn dưới đây là PHIẾU KẾT QUẢ MRI của chị Võ Thị Trúc Linh. Chụp cộng hưởng từ ở bệnh viện Chợ Rẫy. Chị Trúc Linh đồng ý chia sẻ nội dung câu chuyện, chị&nbsp;thấy hài lòng về cách chữa thoát vị đĩa đệm của thầy thuốc ở phòng khám đông y Bảo Minh.</span></p><p style="text-align: justify;"><img loading="lazy" alt="Thoát vị đĩa đệm L4/L5, L5/S1" src="data:image/gif;base64,R0lGODlhAQABAID/AP///wAAACwAAAAAAQABAAACAkQBADs=" data-src="https://chuabenhthoatvidiadem.vn/resources/images/Thoát vị đĩa đệm L4 L5 (2).jpg" style="width: 850px; height: 667px;" class="lazy" width="935" height="960" data-optimized="1" /></p><p style="text-align: justify;"><a href="https://chuabenhthoatvidiadem.vn/resources/files/Trúc Linh - Trà Vinh (1).mp3" title="">Thoát vị đĩa đệm L4/5 ra sau trung tâm, ép nhẹ rễ thần kinh L5. Thoát vị đĩa đệm L5/S1 ra sau trung tâm, ép mặt trước bao màng cứng</a></p><p style="text-align: justify;"><span style="font-size:16px;">Ở dưới đây là KẾT QUẢ MRI của anh Đặng Văn Út ở Đồng Tháp. Chụp ở bệnh viện Chấn Thương Chỉnh Hình - Khoa Chẩn Đoán Hình Ảnh. Sau khi uống thuốc trị thoát vị đĩa đệm ở phòng khám thấy đỡ, anh Đặng Văn Út có giới thiệu nhiều người đến chữa. Anh đồng ý chia sẻ địa chỉ và thông báo về sức khỏe của mình. Xin trân trọng cảm ơn anh Đặng Văn Út. Mời bạn đọc bấm vào liên kết nghe để cảm nhận sự chân thực nhất.</span></p><p><img loading="lazy" alt="Thoát vị đĩa đệm L3 L4, L4 L5" src="data:image/gif;base64,R0lGODlhAQABAID/AP///wAAACwAAAAAAQABAAACAkQBADs=" data-src="https://chuabenhthoatvidiadem.vn/resources/images/Thoát vị đĩa đệm L3 L4, L4 L5.jpg" style="width: 442px; height: 589px;" class="lazy" width="442" height="589" data-optimized="1" /></p><p style="text-align: justify;"><a href="https://chuabenhthoatvidiadem.vn/resources/files/Đặng Văn Út - Đồng Tháp (1).mp3" style="font-size: 16px;" title="">Gai thoái hóa các đốt sống thắt lưng. Thoát vị đĩa đệm L3/4 ra sau kiểu trung tâm, hẹp ống sống, hẹp lỗ liên hợp hai bên, chèn ép rễ thần kinh L4 hai bên. Thoát vị đĩa đệm L4/5 ra sau kiểu trung tâm, hẹp lỗ liên hợp L4,L5 (T), chèn ép rễ thần kinh L5 (T)</a></p><p style="text-align: justify;"><span style="font-size:16px;">Mời bạn đọc xem PHIẾU KẾT QUẢ MRI của anh Trần Xuân Tuấn ở Kiên Giang. Sau khi thầy thuốc chữa khỏi bệnh cho mình, anh Tuấn đồng ý cho đăng bệnh án thoát vị đĩa đệm,&nbsp;thông báo với thầy thuốc mình không còn đau nhức do thoát vị đĩa đệm gây nên.</span></p><p><img loading="lazy" alt="Thoát vị đĩa đệm L3/L4, L4/L5, L5/S1" src="data:image/gif;base64,R0lGODlhAQABAID/AP///wAAACwAAAAAAQABAAACAkQBADs=" data-src="https://chuabenhthoatvidiadem.vn/resources/images/Thoát vị đĩa đệm L3L4,L4L5,L5S1.jpg" style="width: 618px; height: 808px;" class="lazy" width="618" height="808" data-optimized="1" /></p><p style="text-align: justify;"><span style="font-size:16px;"><a href="https://chuabenhthoatvidiadem.vn/resources/files/FILE_Tran Xuan Tuan KG CoVer.mp3" title="">Thoái hóa cột sống thắt lưng. Thoát vị đĩa đệm tầng L3/L4 ra sau trung tâm, ép rễ thần kinh L4 hai bên, hẹp ống sống. Thoát vị đĩa đệm L4/L5 ra sau trung tâm, lệch (P) không ép rễ thần kinh. Thoát vị đĩa đệm tầng L5/S1 ra sau trung tâm và trong lỗ liên hợp bên (T), ép rễ thần kinh L5 (T), hẹp lỗ liên hợp L5/S1 (T)</a></span></p><p style="text-align: justify;"><span style="font-size:16px;">Thấy cách chữa thoát vị đĩa đệm hay quá, anh Tuấn có giới thiệu người quen gọi điện cho thầy thuốc nhờ tư vấn chữa thoát vị đĩa đệm.</span></p><p><span style="font-size:16px;"><a href="https://chuabenhthoatvidiadem.vn/resources/files/Thầy giáo tv ở Hà Tiên.mp3" title="">Gặp thầy thuốc chuyên trị thoát vị đĩa đệm, nhờ tư vấn cách chữa bệnh</a></span></p><p style="text-align: justify;"><span style="font-size:16px;">Tôi xin trân trọng cảm ơn quý bệnh nhân, họ đã&nbsp;đồng ý giới thiệu kinh nghiệm chữa bệnh ở đây, tôi chỉ đăng&nbsp;thông tin hình ảnh khi được sự đồng ý, sau này quý bệnh nhân&nbsp;nào không muốn&nbsp;công khai ở đây nữa, tôi sẽ gỡ bài đăng xuống, xin cảm ơn quý khách đã tin tưởng và đặt niềm tin vào uy tín của tôi cũng như phòng khám do tôi làm chủ cơ sở.</span></p><p style="text-align: justify;"><img loading="lazy" alt="Thoát vị đĩa đệm L5 S1" src="data:image/gif;base64,R0lGODlhAQABAID/AP///wAAACwAAAAAAQABAAACAkQBADs=" data-src="https://chuabenhthoatvidiadem.vn/resources/images/Thoát vị đĩa đệm L5 S1 (2).jpg" style="height: 1190px; opacity: 0.9; font-size: 16px; text-align: justify; width: 870px;" class="lazy" width="870" height="1190" data-optimized="1" /></p><p style="text-align: justify;"><span style="font-size: 16px;">Phiếu kết quả&nbsp;MRI của chị Nguyễn Thị Hồng Thắm ở Long An, chụp ở bệnh viện Chợ Rẫy năm 2018. Chị Thắm đã điều trị&nbsp;thoát vị đĩa đệm ở phòng khám hết đau, hết nhức được gần 5 năm,&nbsp;đầu năm 2023 chị bị đau&nbsp;lại, mức độ đau ít, đau nhẹ nên uống 2 đợt thuốc và hết đau luôn tới giờ. Mời bạn đọc nhấp vào nội dung cuộc nói chuyện giữa thầy thuốc Nguyễn Văn Minh và chị Thắm sẽ rõ hơn. Xin trân trọng cảm ơn chị Thắm đã gởi PHIẾU KẾT QUẢ MRI của chị để có tư liệu viết bài này.</span></p><p><a href="https://chuabenhthoatvidiadem.vn/resources/files/Ghi âm cuộc gọi Nguyễn T Hồng Thắm 83 tv Đỡ Long An 10_230504_081258.mp3" title=""><span style="font-size: 16px;">Lồi đĩa đệm tầng L4/5. Thoát vị đĩa đệm tầng L5/S1</span></a></p><p style="text-align: justify;"><span style="font-size:16px;">Bạn đọc nghe tới cuối nội dung câu chuyên chân thật trên, sẽ thấy chị Thắm cho biết địa chỉ chị&nbsp;ở đâu tại Long An.&nbsp;</span></p><p style="text-align: justify;"><span style="font-size:16px;">Nhờ những thành tích tốt trong khám chữa bệnh và bảo tồn phát triển đông y, đông dược Việt Nam.&nbsp;Lương y Nguyễn Văn Minh vinh dự nhận danh hiệu; THẦY THUỐC ĐÔNG Y TIÊU BIỂU TOÀN QUỐC.</span></p><p style="text-align: justify;"><span style="font-size:16px;"><img loading="lazy" alt="Thầy thuốc Nguyễn Văn Minh" src="data:image/gif;base64,R0lGODlhAQABAID/AP///wAAACwAAAAAAQABAAACAkQBADs=" data-src="https://chuabenhthoatvidiadem.vn/resources/images/Thầy Thuốc Nguyễn Văn Minh.jpg" style="width: 1280px; height: 937px;" class="lazy" width="1280" height="937" data-optimized="1" /></span></p><p><span style="font-size:16px;">Phòng khám thoát vị đĩa đệm đông y Bảo Minh, do Lương y Nguyễn Văn Minh là chủ cơ sở,&nbsp;có địa chỉ duy nhất tại TP.HCM. Phòng khám&nbsp;không có chi nhánh:&nbsp;</span></p><p style="box-sizing: border-box; margin: 0px 0px 10px; padding: 0px; border: 0px; outline: 0px; font-size: 16px; vertical-align: baseline; background-image: initial; background-position: initial; background-size: initial; background-repeat: initial; background-attachment: initial; background-origin: initial; background-clip: initial; max-width: 100%; color: rgb(0, 0, 0); font-family: RobotoSlab-Regular, Arial, Helvetica, sans-serif; text-align: justify;"><span style="font-size:16px;"><span style="box-sizing: border-box; margin: 0px; padding: 0px; border: 0px; outline: 0px; vertical-align: baseline; background: transparent; max-width: 100%; text-align: justify;">Số nhà; 856/6 đường&nbsp;Quang Trung,&nbsp;quận Gò Vấp, TP.HCM. Nay là phường Thông Tây Hội, TP.HCM. Điện thoại: 028.62951367 - Di Động: 0913503552.</span></span></p><p style="box-sizing: border-box; margin: 0px 0px 10px; padding: 0px; border: 0px; outline: 0px; font-size: 16px; vertical-align: baseline; background-image: initial; background-position: initial; background-size: initial; background-repeat: initial; background-attachment: initial; background-origin: initial; background-clip: initial; max-width: 100%; color: rgb(0, 0, 0); font-family: RobotoSlab-Regular, Arial, Helvetica, sans-serif; text-align: justify;"><span style="font-size:16px;"><span style="background-color: transparent; text-align: justify;">Trang web </span><a href="https://chuabenhthoatvidiadem.vn/" style="color: rgb(102, 0, 153); font-family: RobotoSlab-Regular, Arial, Helvetica, sans-serif; background: transparent; font-size: 18px; box-sizing: border-box; margin: 0px; padding: 0px; border: 0px; outline: 0px; vertical-align: baseline; text-decoration-line: none; transition: all 406ms ease-out 0s; max-width: 100%; cursor: pointer;" target="_blank" title="">Thoát Vị Đĩa Đệm</a>&nbsp;<span style="background-color: transparent; text-align: justify;">có hai tên miền, thuộc&nbsp;quyền sở hữu riêng của Lương y Nguyễn Văn Minh.</span></span></p><p style="box-sizing: border-box; margin: 0px 0px 10px; padding: 0px; border: 0px; outline: 0px; font-size: 16px; vertical-align: baseline; background-image: initial; background-position: initial; background-size: initial; background-repeat: initial; background-attachment: initial; background-origin: initial; background-clip: initial; max-width: 100%; color: rgb(0, 0, 0); font-family: RobotoSlab-Regular, Arial, Helvetica, sans-serif;"><span style="font-size:16px;"><span style="background-color: transparent; text-align: justify;">https://thoatvidiadem.top </span></span></p><p style="box-sizing: border-box; margin: 0px 0px 10px; padding: 0px; border: 0px; outline: 0px; font-size: 16px; vertical-align: baseline; background-image: initial; background-position: initial; background-size: initial; background-repeat: initial; background-attachment: initial; background-origin: initial; background-clip: initial; max-width: 100%; color: rgb(0, 0, 0); font-family: RobotoSlab-Regular, Arial, Helvetica, sans-serif;"><span style="font-size:16px;"><span style="text-align: justify; background-color: transparent; white-space: nowrap;">https://chuabenhthoatvidiadem.vn</span></span></p><div class="s" style="box-sizing: border-box; margin: 0px; padding: 0px; border: 0px; outline: 0px; font-size: 16px; vertical-align: baseline; background-image: initial; background-position: initial; background-size: initial; background-repeat: initial; background-attachment: initial; background-origin: initial; background-clip: initial; position: relative; max-width: 48em; font-family: RobotoSlab-Regular, Arial, Helvetica, sans-serif; color: rgb(84, 84, 84); line-height: 18px;"><div class="f kv _SWb" style="box-sizing: border-box; margin: 0px; padding: 0px; border: 0px; outline: 0px; font-size: small; vertical-align: baseline; background: transparent; position: relative; max-width: 100%; white-space: nowrap; color: rgb(128, 128, 128); height: 18px; line-height: 16px; font-family: arial, sans-serif;"><span style="font-size:16px;"><span style="color: rgb(0, 0, 0); font-family: RobotoSlab-Regular, Arial, Helvetica, sans-serif; text-align: justify;">Khám&nbsp;</span><span style="background-color: transparent; color: rgb(0, 0, 0); font-family: RobotoSlab-Regular, Arial, Helvetica, sans-serif;">thoát vị đĩa đệm ở thành phố Hồ Chí Minh:</span></span></div><div class="f kv _SWb" style="box-sizing: border-box; margin: 0px; padding: 0px; border: 0px; outline: 0px; font-size: small; vertical-align: baseline; background: transparent; position: relative; max-width: 100%; white-space: nowrap; color: rgb(128, 128, 128); height: 18px; line-height: 16px; font-family: arial, sans-serif;">&nbsp;</div><div class="f kv _SWb" style="box-sizing: border-box; margin: 0px; padding: 0px; border: 0px; outline: 0px; font-size: small; vertical-align: baseline; background: transparent; position: relative; max-width: 100%; white-space: nowrap; color: rgb(128, 128, 128); height: 18px; line-height: 16px; font-family: arial, sans-serif;"><span style="background-color: transparent; color: rgb(0, 0, 0); font-family: RobotoSlab-Regular, Arial, Helvetica, sans-serif; font-size: 16px;">Quý khách bấm vào Google Map chỉ đường đi là nhanh nhất.&nbsp;</span></div></div>]]></content:encoded>
						<wfw:commentRss></wfw:commentRss>
						<slash:comments>0</slash:comments>
					</item>
				
					<item>
						<title>Thông tin chủ sở hữu website </title>
						<link>https://chuabenhthoatvidiadem.vn/bai-viet/uncategory/thong-tin-chu-so-huu-website-pid-301.html</link>
						<comments></comments>
						<pubDate>Mon, 05 Jul 2021 10:59:04 +0700</pubDate>
						<dc:creator>admin</dc:creator>
						<category><![CDATA[]]></category>
						<guid isPermaLink="false"></guid>
						<description><![CDATA[Trang web: thoatvidiadem.top và chuabenhthoatvidiadem.vn do Lương y Nguyễn Văn Minh - Phòng khám đông y Bảo Minh là chủ sở hữu. Đây là trang web chuyên về bệnh thoát vị đĩa đệm. Lương y Nguyễn Văn Minh trực tiếp tổng hợp kiến thức và viết bài. Không sao chép dưới mọi hình thức khi chưa được sự đồng ý từ chủ sở hữu web.]]></description>
						<content:encoded><![CDATA[<p style="box-sizing: border-box; margin: 0px 0px 10px; padding: 0px; border: 0px; outline: 0px; font-size: 16px; vertical-align: baseline; background-image: initial; background-position: initial; background-size: initial; background-repeat: initial; background-attachment: initial; background-origin: initial; background-clip: initial; max-width: 100%; color: rgb(0, 0, 0); font-family: RobotoSlab-Regular, Arial, Helvetica, sans-serif;"><span style="box-sizing: border-box; margin: 0px; padding: 0px; border: 0px; outline: 0px; vertical-align: baseline; background: transparent; max-width: 100%;">THÔNG TIN VỀ CHỦ SỞ HỮU WEBSITE</span></p><p style="box-sizing: border-box; margin: 0px 0px 10px; padding: 0px; border: 0px; outline: 0px; font-size: 16px; vertical-align: baseline; background-image: initial; background-position: initial; background-size: initial; background-repeat: initial; background-attachment: initial; background-origin: initial; background-clip: initial; max-width: 100%; color: rgb(0, 0, 0); font-family: RobotoSlab-Regular, Arial, Helvetica, sans-serif;"><span style="box-sizing: border-box; margin: 0px; padding: 0px; border: 0px; outline: 0px; vertical-align: baseline; background: transparent; max-width: 100%;">LƯƠNG Y NGUYỄN VĂN MINH -&nbsp;PHÒNG KHÁM ĐÔNG Y BẢO MINH</span></p><p style="box-sizing: border-box; margin: 0px 0px 10px; padding: 0px; border: 0px; outline: 0px; font-size: 16px; vertical-align: baseline; background-image: initial; background-position: initial; background-size: initial; background-repeat: initial; background-attachment: initial; background-origin: initial; background-clip: initial; max-width: 100%; color: rgb(0, 0, 0); font-family: RobotoSlab-Regular, Arial, Helvetica, sans-serif;"><span style="box-sizing: border-box; margin: 0px; padding: 0px; border: 0px; outline: 0px; vertical-align: baseline; background: transparent; max-width: 100%;">Địa chỉ: 856/6 Quang Trung, Phường 8, Quận Gò Vấp, Thành phố Hồ Chí Minh, Việt Nam.</span></p><p style="box-sizing: border-box; margin: 0px 0px 10px; padding: 0px; border: 0px; outline: 0px; font-size: 16px; vertical-align: baseline; background-image: initial; background-position: initial; background-size: initial; background-repeat: initial; background-attachment: initial; background-origin: initial; background-clip: initial; max-width: 100%; color: rgb(0, 0, 0); font-family: RobotoSlab-Regular, Arial, Helvetica, sans-serif;"><span style="box-sizing: border-box; margin: 0px; padding: 0px; border: 0px; outline: 0px; vertical-align: baseline; background: transparent; max-width: 100%;">SĐT: 0913503552&nbsp;<br style="box-sizing: border-box; max-width: 100%;" />Giấy chứng nhận đăng ký hộ kinh doanh số: 41M8027349 đăng ký lần đầu ngày 17/01/2014, đăng ký thay đổi lần thứ nhất ngày: 27/3/2017.</span></p><p style="box-sizing: border-box; margin: 0px 0px 10px; padding: 0px; border: 0px; outline: 0px; font-size: 16px; vertical-align: baseline; background-image: initial; background-position: initial; background-size: initial; background-repeat: initial; background-attachment: initial; background-origin: initial; background-clip: initial; max-width: 100%; color: rgb(0, 0, 0); font-family: RobotoSlab-Regular, Arial, Helvetica, sans-serif;"><img loading="lazy" alt="Đông y Bảo Minh" src="data:image/gif;base64,R0lGODlhAQABAID/AP///wAAACwAAAAAAQABAAACAkQBADs=" data-src="https://chuabenhthoatvidiadem.vn/resources/images/Đông y Bảo Minh (3).jpg" style="width: 778px; height: 1088px;" class="lazy" width="778" height="1088" data-optimized="1" /></p><p style="box-sizing: border-box; margin: 0px 0px 10px; padding: 0px; border: 0px; outline: 0px; font-size: 16px; vertical-align: baseline; background-image: initial; background-position: initial; background-size: initial; background-repeat: initial; background-attachment: initial; background-origin: initial; background-clip: initial; max-width: 100%; color: rgb(0, 0, 0); font-family: RobotoSlab-Regular, Arial, Helvetica, sans-serif;"><span style="font-size:14px;"><em>Giấy chứng nhận đăng ký kinh doanh&nbsp;của phòng khám đông y Bảo Minh.</em></span></p><p style="box-sizing: border-box; margin: 0px 0px 10px; padding: 0px; border: 0px; outline: 0px; font-size: 16px; vertical-align: baseline; background-image: initial; background-position: initial; background-size: initial; background-repeat: initial; background-attachment: initial; background-origin: initial; background-clip: initial; max-width: 100%; color: rgb(0, 0, 0); font-family: RobotoSlab-Regular, Arial, Helvetica, sans-serif;"><span style="font-size:14px;"><em><img loading="lazy" alt="Lương y Nguyễn Văn Minh trị thoát vị đĩa đệm" src="data:image/gif;base64,R0lGODlhAQABAID/AP///wAAACwAAAAAAQABAAACAkQBADs=" data-src="https://chuabenhthoatvidiadem.vn/resources/images/Lương y Nguyễn Văn Minh Gò Vấp.jpg" style="width: 743px; height: 555px;" class="lazy" width="743" height="555" data-optimized="1" /></em></span></p><p style="box-sizing: border-box; margin: 0px 0px 10px; padding: 0px; border: 0px; outline: 0px; font-size: 16px; vertical-align: baseline; background-image: initial; background-position: initial; background-size: initial; background-repeat: initial; background-attachment: initial; background-origin: initial; background-clip: initial; max-width: 100%; color: rgb(0, 0, 0); font-family: RobotoSlab-Regular, Arial, Helvetica, sans-serif;">&nbsp;</p><p style="box-sizing: border-box; margin: 0px 0px 10px; padding: 0px; border: 0px; outline: 0px; vertical-align: baseline; background-image: initial; background-position: initial; background-size: initial; background-repeat: initial; background-attachment: initial; background-origin: initial; background-clip: initial; max-width: 100%; color: rgb(0, 0, 0); font-family: RobotoSlab-Regular, Arial, Helvetica, sans-serif; text-align: center;"><span style="font-size:16px;">GIẤY PHÉP HOẠT ĐÔNG KHÁM CHỮA BỆNH CHUYÊN KHOA</span></p><p style="box-sizing: border-box; margin: 0px 0px 10px; padding: 0px; border: 0px; outline: 0px; vertical-align: baseline; background-image: initial; background-position: initial; background-size: initial; background-repeat: initial; background-attachment: initial; background-origin: initial; background-clip: initial; max-width: 100%; color: rgb(0, 0, 0); font-family: RobotoSlab-Regular, Arial, Helvetica, sans-serif; text-align: center;">&nbsp;</p><p style="box-sizing: border-box; margin: 0px 0px 10px; padding: 0px; border: 0px; outline: 0px; font-size: 16px; vertical-align: baseline; background-image: initial; background-position: initial; background-size: initial; background-repeat: initial; background-attachment: initial; background-origin: initial; background-clip: initial; max-width: 100%; color: rgb(0, 0, 0); font-family: RobotoSlab-Regular, Arial, Helvetica, sans-serif;"><span style="font-size:14px;"><em><img loading="lazy" alt="" src="data:image/gif;base64,R0lGODlhAQABAID/AP///wAAACwAAAAAAQABAAACAkQBADs=" data-src="https://chuabenhthoatvidiadem.vn/resources/images/Phòng khám thoát vị đĩa đệm.jpg" style="width: 743px; height: 535px;" class="lazy" width="743" height="535" data-optimized="1" /></em></span></p><p style="box-sizing: border-box; margin: 0px 0px 10px; padding: 0px; border: 0px; outline: 0px; font-size: 16px; vertical-align: baseline; background-image: initial; background-position: initial; background-size: initial; background-repeat: initial; background-attachment: initial; background-origin: initial; background-clip: initial; max-width: 100%; color: rgb(0, 0, 0); font-family: RobotoSlab-Regular, Arial, Helvetica, sans-serif;">Địa điểm hành nghề khám chữa bệnh: 856/6 đường Quang Trung, Phường 8, Quận Gò Vấp, TP.HCM</p><p style="box-sizing: border-box; margin: 0px 0px 10px; padding: 0px; border: 0px; outline: 0px; font-size: 16px; vertical-align: baseline; background-image: initial; background-position: initial; background-size: initial; background-repeat: initial; background-attachment: initial; background-origin: initial; background-clip: initial; max-width: 100%; color: rgb(0, 0, 0); font-family: RobotoSlab-Regular, Arial, Helvetica, sans-serif;"><img loading="lazy" alt="Khám chữa bệnh thoát vị dĩa đệm" src="data:image/gif;base64,R0lGODlhAQABAID/AP///wAAACwAAAAAAQABAAACAkQBADs=" data-src="https://chuabenhthoatvidiadem.vn/resources/images/Khám chữa bệnh thoát vị đĩa đệm.jpg" style="width: 771px; height: 1088px;" class="lazy" width="771" height="1088" data-optimized="1" /></p><p style="box-sizing: border-box; margin: 0px 0px 10px; padding: 0px; border: 0px; outline: 0px; font-size: 16px; vertical-align: baseline; background-image: initial; background-position: initial; background-size: initial; background-repeat: initial; background-attachment: initial; background-origin: initial; background-clip: initial; max-width: 100%; color: rgb(0, 0, 0); font-family: RobotoSlab-Regular, Arial, Helvetica, sans-serif;"><img loading="lazy" alt="Khám chữa bệnh thoát vị đĩa đệm" src="data:image/gif;base64,R0lGODlhAQABAID/AP///wAAACwAAAAAAQABAAACAkQBADs=" data-src="https://chuabenhthoatvidiadem.vn/resources/images/Khám chữa bệnh thoát vị đĩa đệm (2).jpg" style="width: 766px; height: 1088px;" class="lazy" width="766" height="1088" data-optimized="1" /></p><p style="box-sizing: border-box; margin: 0px 0px 10px; padding: 0px; border: 0px; outline: 0px; font-size: 16px; vertical-align: baseline; background-image: initial; background-position: initial; background-size: initial; background-repeat: initial; background-attachment: initial; background-origin: initial; background-clip: initial; max-width: 100%; color: rgb(0, 0, 0); font-family: RobotoSlab-Regular, Arial, Helvetica, sans-serif;">GIÁM ĐỐC SỞ Y TẾ TP.HCM quyết định phê duyệt danh mục kỹ thuật trong khám bệnh, chữa bệnh đối với Phòng chẩn trị y học cổ truyền do Lương y Nguyễn Văn Minh chịu trách nhiệm chuyên môn kỹ thuật.</p><p style="box-sizing: border-box; margin: 0px 0px 10px; padding: 0px; border: 0px; outline: 0px; font-size: 16px; vertical-align: baseline; background-image: initial; background-position: initial; background-size: initial; background-repeat: initial; background-attachment: initial; background-origin: initial; background-clip: initial; max-width: 100%; color: rgb(0, 0, 0); font-family: RobotoSlab-Regular, Arial, Helvetica, sans-serif;"><span style="font-size:16px;">Trang web do Lương y Nguyễn Văn Minh quản lý có hai tên miền: thoatvidiadem.top và chuabenhthoatvidiadem.vn</span></p>]]></content:encoded>
						<wfw:commentRss></wfw:commentRss>
						<slash:comments>0</slash:comments>
					</item>
				
					<item>
						<title>Thoát vị đĩa đệm L4-L5, L5-S1, chèn ép rễ thần kinh </title>
						<link>https://chuabenhthoatvidiadem.vn/bai-viet/thuoc-dong-y-tri-thoat-vi-dia-dem/thoat-vi-dia-dem-l4-l5-l5-s1-chen-ep-re-than-kinh-pid-299.html</link>
						<comments></comments>
						<pubDate>Sun, 25 Apr 2021 04:36:05 +0700</pubDate>
						<dc:creator>admin</dc:creator>
						<category><![CDATA[Thuốc đông y trị thoát vị đĩa đệm ]]></category>
						<guid isPermaLink="false"></guid>
						<description><![CDATA[Thoát vị đĩa đệm L4-L5 ra sau #5mm, chèn ép bao màng cứng, gây hẹp lỗ liên hợp hai bên, chèn ép rễ thần kinh L4, L5. Thoát vị đĩa đệm L5-S1 trung tâm ra sau #5mm, chèn ép mặt trước bao màng cứng, gây hẹp lỗ liên hợp hai bên, chèn ép rễ thần kinh L5, S1.]]></description>
						<content:encoded><![CDATA[<p><span style="font-size:16px;">Thoát vị đĩa đệm L4-L5, L5-S1</span></p><p><img loading="lazy" alt="Thoat-vi-dia-dem-L4-L5-L5-S1" src="data:image/gif;base64,R0lGODlhAQABAID/AP///wAAACwAAAAAAQABAAACAkQBADs=" data-src="https://chuabenhthoatvidiadem.vn/resources/images/thoat-vi-dia-dem-L4-L5-L5-S1.jpg" style="width: 938px; height: 1200px;" class="lazy" width="938" height="1200" data-optimized="1" /></p><p><span style="font-size:14px;"><em>Hình ảnh thoát vị đĩa đệm L4-L5, L5-S1.</em></span></p><p><span style="font-size:16px;">Dưới đây là bệnh án&nbsp;thoát vị đĩa đệm L4-L5, L5-S1. Anh Trần Ngọc Hùng ở Dĩ An, Bình Dương đồng ý chia sẻ. Xin trân trọng cảm ơn anh.</span></p><h2 style="text-align: justify;"><span style="font-size:16px;">Thoát vị đĩa đệm L4-L5 ra sau #5mm, chèn ép bao màng cứng, gây hẹp lỗ liên hợp hai bên, chèn ép rễ thần kinh L4, L5. Thoát vị đĩa đệm L5-S1 trung tâm ra sau #5mm, chèn ép mặt trước bao màng cứng, gây hẹp lỗ liên hợp hai bên, chèn ép rễ thần kinh L5, S1.</span></h2><p><img loading="lazy" alt="Thoát vị đĩa đệm L4-L5,L5- S1" src="data:image/gif;base64,R0lGODlhAQABAID/AP///wAAACwAAAAAAQABAAACAkQBADs=" data-src="https://chuabenhthoatvidiadem.vn/resources/images/Thoat vi dia dem L4 L5 S1 (2).jpg" style="width: 744px; height: 984px;" class="lazy" width="744" height="984" data-optimized="1" /></p><p><span style="font-size:14px;"><em>Tháng 2/2021 anh Hùng có đến khám và mua thuốc chữa thoát vị đĩa đệm ở phòng khám đông y Bảo Minh.</em></span></p><p style="text-align: justify;"><span style="font-size:16px;">Tôi; Lương y Nguyễn Văn Minh đã xin phép và được&nbsp;anh Phạm Ngọc Hùng 55 tuổi, ở phường Đông Hòa, thành phố Dĩ An, tỉnh Bình Dương, đồng ý chia sẻ kết quả chụp MRI. Anh cũng đồng ý cho quay video ghi&nbsp;lại cuộc nói chuyện, nội dung anh thông báo: sau khi uống hết 25 thang thuốc, các chứng&nbsp;đau nhức và tê chân không còn nữa.&nbsp;</span></p><p><span style="font-size: 16px;">Mời bạn đọc nhấp vào xem chi tiết.</span></p><p><span class="optimize-cls-iframe" data-src="https://www.youtube.com/embed/YdyRczpmrqg">https://www.youtube.com/embed/YdyRczpmrqg</span></p><p style="text-align: justify;"><span style="font-size:14px;"><em>Bạn đọc đang xem video quay tại Phòng khám đông y Bảo Minh, tháng 2&nbsp;năm 2021.</em></span></p><p style="text-align: justify;"><span style="font-size:16px;">Đến tháng 7/2022 anh Hùng có gọi cho Lương y Nguyễn Văn Minh, mời bạn đọc nhấp vào ô bên dưới để nghe và cảm nhận.</span></p><p style="text-align: justify;"><span style="font-size:14px;"><a title="" href="https://chuabenhthoatvidiadem.vn/resources/files/pham ngoc hung.mp3">Chữa khỏi thoát vị đĩa đệm L4 L5, L5 S1</a></span></p><p style="text-align: justify;"><span style="font-size:16px;">Chúng tôi chỉ chia sẻ ý kiến khi quý khách đồng ý, khi khỏi bệnh thoát vị đĩa đệm&nbsp;nhiều người muốn cảm ơn nhà thuốc, nhưng nhiều người muốn giữ bí mật thông tin, nên chúng tôi chỉ đăng bài sau khi được sự đồng ý từ quý khách. Sau này vì&nbsp;lý do gì&nbsp;quý khách không muốn chia sẻ ở đây nữa, chúng tôi sẽ gỡ bỏ thông tin xuống. Xin trân trọng cảm ơn quý khách.</span></p><p><span style="font-size:16px;">Lương y Nguyễn Văn Minh - Phòng Khám Đông Y Bảo Minh: 856/6 Quang Trung, Quận Gò Vấp, TP. HCM.<br />Điện thoại, Zalo tư vấn mua thuốc chữa bệnh: 091 350 3552- (028) 6295 1367.</span></p><p class="LC20lb MBeuO DKV0Md" style="margin: 0px 0px 3px; padding: 5px 0px 0px; font-size: 20px; line-height: 1.3; display: inline-block; text-align: justify;"><span style="font-size:16px;">Trang thông tin chuyên khoa cột sống đĩa đệm, giới thiệu cách trị&nbsp;</span><a data-ved="2ahUKEwjTv828lPj3AhXaqFYBHYknBQEQFnoECAIQAQ" href="https://chuabenhthoatvidiadem.vn/" ping="/url?sa=t&amp;source=web&amp;rct=j&amp;url=https://chuabenhthoatvidiadem.vn/&amp;ved=2ahUKEwjTv828lPj3AhXaqFYBHYknBQEQFnoECAIQAQ" style="color: rgb(26, 13, 171); text-decoration-line: none; -webkit-tap-highlight-color: rgba(0, 0, 0, 0.1); outline: 0px; font-family: arial, sans-serif; font-size: small;" title="">Thoát Vị Đĩa Đệm</a>&nbsp;<span style="font-size:16px;">của Lương y Nguyễn Văn Minh ở phòng khám đông y Bảo Minh: </span></p><p class="LC20lb MBeuO DKV0Md" style="margin: 0px 0px 3px; padding: 5px 0px 0px; font-size: 20px; line-height: 1.3; display: inline-block; text-align: justify;"><span style="font-size:16px;">thoatvidiadem.top </span></p><p class="LC20lb MBeuO DKV0Md" style="margin: 0px 0px 3px; padding: 5px 0px 0px; font-size: 20px; line-height: 1.3; display: inline-block; text-align: justify;">&nbsp;</p><p class="LC20lb MBeuO DKV0Md" style="margin: 0px 0px 3px; padding: 5px 0px 0px; font-size: 20px; line-height: 1.3; display: inline-block; text-align: justify;">&nbsp;</p><p class="LC20lb MBeuO DKV0Md" style="margin: 0px 0px 3px; padding: 5px 0px 0px; font-size: 20px; line-height: 1.3; display: inline-block; text-align: justify;">&nbsp;</p><p class="LC20lb MBeuO DKV0Md" style="margin: 0px 0px 3px; padding: 5px 0px 0px; font-size: 20px; line-height: 1.3; display: inline-block; text-align: justify;"><span style="font-size:16px;">&nbsp;và&nbsp;chuabenhthoatvidiadem.vn</span></p><p class="LC20lb MBeuO DKV0Md" style="margin: 0px 0px 3px; padding: 5px 0px 0px; font-size: 20px; line-height: 1.3; display: inline-block; text-align: justify;">&nbsp;</p><p class="LC20lb MBeuO DKV0Md" style="margin: 0px 0px 3px; padding: 5px 0px 0px; font-size: 20px; line-height: 1.3; display: inline-block; text-align: justify;">&nbsp;</p><p class="LC20lb MBeuO DKV0Md" style="margin: 0px 0px 3px; padding: 5px 0px 0px; font-size: 20px; line-height: 1.3; display: inline-block; text-align: justify;">&nbsp;</p><p class="LC20lb MBeuO DKV0Md" style="margin: 0px 0px 3px; padding: 5px 0px 0px; font-size: 20px; line-height: 1.3; display: inline-block; text-align: justify;">&nbsp;</p><p class="LC20lb MBeuO DKV0Md" style="margin: 0px 0px 3px; padding: 5px 0px 0px; font-size: 20px; line-height: 1.3; display: inline-block; text-align: justify;">&nbsp;</p><p class="LC20lb MBeuO DKV0Md" style="margin: 0px 0px 3px; padding: 5px 0px 0px; font-size: 20px; line-height: 1.3; display: inline-block;">&nbsp;</p>]]></content:encoded>
						<wfw:commentRss></wfw:commentRss>
						<slash:comments>0</slash:comments>
					</item>
				
					<item>
						<title>Thoát vị đĩa đệm cổ C4 C5 C6, chèn rễ thần kinh C6</title>
						<link>https://chuabenhthoatvidiadem.vn/bai-viet/dieu-tri-thoat-vi-dia-dem-cot-song-co/thoat-vi-dia-dem-co-c4-c5-c6-chen-re-than-kinh-c6-pid-296.html</link>
						<comments></comments>
						<pubDate>Mon, 04 Jan 2021 10:18:29 +0700</pubDate>
						<dc:creator>admin</dc:creator>
						<category><![CDATA[Điều trị thoát vị đĩa đệm cột sống cổ]]></category>
						<guid isPermaLink="false"></guid>
						<description><![CDATA[Thoát vị đĩa đệm cổ C4 C5 C6, chèn rễ thần kinh C6]]></description>
						<content:encoded><![CDATA[<p style="text-align: justify;"><span style="font-size:16px;">Bệnh thoái hóa mất nước có thoát vị đĩa đệm&nbsp;C4-C5-C6 ra sau trung tâm, chèn lõm bao màng cứng, không chèn ép tủy cổ, chèn rễ thần kinh C6 hai bên. Hình thoái hóa mọc gai xương các thân đốt C4-C6. Trượt thân đốt C5/C6 ra sau độ 1 gây chèn hẹp ống sống.</span></p><p style="text-align: justify;"><span style="font-size:16px;">Trên đây là kết luận của bác sĩ chuyên khoa, bệnh viện quốc tế chấn thương chỉnh hình Sài Gòn ITO. Tờ kết quả MRI này, người bệnh chụp&nbsp;năm 2014, hôm nay&nbsp;04/1/2020, tôi; Lương y Nguyễn Văn Minh gọi điện hỏi thăm, anh vui vẻ thông báo về tình trạng bệnh của mình,&nbsp;tôi đã xin phép và được anh&nbsp;đồng ý&nbsp;cho chia sẻ bệnh án, địa chỉ&nbsp;để giới thiệu. Những ai bị </span><span style="font-size: 16px; text-align: justify;">thoát vị đĩa đệm cổ, nếu&nbsp;</span><span style="font-size:16px;">ở gần có thể ghé địa chỉ của anh để hỏi thêm kinh nghiệm chữa bệnh.</span></p><p style="text-align: justify;">&nbsp;</p><p><img loading="lazy" alt="Thoát vị đĩa đệm cổ C4 C5 C6, chèn rễ thần kinh " src="data:image/gif;base64,R0lGODlhAQABAID/AP///wAAACwAAAAAAQABAAACAkQBADs=" data-src="https://chuabenhthoatvidiadem.vn/resources/images/Thoat-vi-dia-dem-co.jpg" style="width: 652px; height: 909px;" class="lazy" width="652" height="909" data-optimized="1" /></p><p style="text-align: justify;"><span style="font-size:16px;">Lương y Nguyễn Văn Minh chữa thoát vị đĩa đệm, được nhiều người quý mến&nbsp;và giới thiệu với bạn bè người quen, điều này có được là do uy tín của thầy thuốc. Tạo dựng uy tín bằng sự thật chữa khỏi bệnh, giúp nhiều người bớt đi những cơn đau, tránh không phải can thiệp bằng ngoại&nbsp;khoa, giúp họ sinh hoạt lao động bình thường.</span></p><p style="text-align: justify;"><span style="font-size:16px;">Mời bạn đọc bấm vào mũi tên dưới để nghe sự thật.</span></p><p style="text-align: justify;"><a href="https://chuabenhthoatvidiadem.vn/resources/files/FILE_Truyện Tv CoVe.mp3" title="">Thoát vị đĩa đệm cổ</a></p><p style="text-align: justify;"><span style="font-size:16px;">Bạn muốn tìm hiểu về thầy thuốc nào đó chữa thoát vị đĩa đệm có giỏi không, thuốc chữa bệnh&nbsp;có tốt không, uy tín của phòng khám như thế nào? Hãy lên mạng gõ nội dung cần tìm, Google sẽ tìm nội dung,&nbsp;bạn hãy tham khảo trước khi quyết định chữa thoát vị đĩa đệm ở&nbsp;đâu.&nbsp;</span></p><p style="text-align: justify;"><span style="font-size:16px;"><img loading="lazy" alt="Thoát vị đĩa đệm cột sống cổ" src="data:image/gif;base64,R0lGODlhAQABAID/AP///wAAACwAAAAAAQABAAACAkQBADs=" data-src="https://chuabenhthoatvidiadem.vn/resources/images/Thoát vị đĩa đệm cột sống cổ.jpg" style="width: 840px; height: 1152px;" class="lazy" width="840" height="1152" data-optimized="1" /></span></p><p style="text-align: justify;"><span style="font-size:16px;">Quý khách đến khám chữa bệnh tại phòng khám đông y Bảo Minh được bảo&nbsp;mật&nbsp;thông tin. Phòng khám chỉ chia sẻ ý kiến khi được sự đồng ý của quý bệnh nhân, sau này vì bất cứ lý do gì quý khách không muốn công bố thông tin ở đây nữa, chúng tôi sẽ gỡ bài đăng xuống.&nbsp; Xin trân trọng cảm ơn quý khách.</span></p><p style="text-align: justify;"><span style="font-size:16px;">Xem&nbsp;<a data-ved="2ahUKEwjxrtT74rb4AhWbQPUHHRkZD6IQFnoECBEQAQ" href="https://chuabenhthoatvidiadem.vn/cach-chua-benh/chinh-sach-bao-mat-thong-tin-pid-300.html" ping="/url?sa=t&amp;source=web&amp;rct=j&amp;url=https://chuabenhthoatvidiadem.vn/cach-chua-benh/chinh-sach-bao-mat-thong-tin-pid-300.html&amp;ved=2ahUKEwjxrtT74rb4AhWbQPUHHRkZD6IQFnoECBEQAQ" style="color: rgb(26, 13, 171); text-decoration-line: none; -webkit-tap-highlight-color: rgba(0, 0, 0, 0.1); outline: 0px; font-family: arial, sans-serif; font-size: small;" title="">Chính sách bảo mật thông tin - Thoát Vị Đĩa Đệm</a></span></p><p><span style="font-size:16px;">Trang web của phòng khám chuyên trị&nbsp;</span><a data-ved="2ahUKEwjTv828lPj3AhXaqFYBHYknBQEQFnoECAIQAQ" href="https://chuabenhthoatvidiadem.vn/" ping="/url?sa=t&amp;source=web&amp;rct=j&amp;url=https://chuabenhthoatvidiadem.vn/&amp;ved=2ahUKEwjTv828lPj3AhXaqFYBHYknBQEQFnoECAIQAQ" style="color: rgb(26, 13, 171); text-decoration-line: none; -webkit-tap-highlight-color: rgba(0, 0, 0, 0.1); outline: 0px; font-family: arial, sans-serif; font-size: small;" title="">Thoát Vị Đĩa Đệm</a>:</p><p style="text-align: justify;"><span style="font-size:16px;">thoatvidiadem.top</span></p><p style="text-align: justify;"><span style="font-size:16px;">chuabenhthoatvidiadem.vn</span></p><p class="r" style="box-sizing: border-box; margin: 0px; padding: 0px; border: 0px; outline: 0px; font-size: 18px; vertical-align: baseline; background-image: initial; background-position: initial; background-size: initial; background-repeat: initial; background-attachment: initial; background-origin: initial; background-clip: initial; max-width: 100%; color: rgb(0, 0, 0); font-family: RobotoSlab-Regular, Arial, Helvetica, sans-serif; line-height: 1.1; overflow: hidden; text-overflow: ellipsis; white-space: nowrap;"><a href="https://chuabenhthoatvidiadem.vn/" style="box-sizing: border-box; margin: 0px; padding: 0px; border: 0px; outline: 0px; vertical-align: baseline; background: transparent; color: rgb(102, 0, 153); text-decoration-line: none; transition: all 406ms ease-out 0s; max-width: 100%; cursor: pointer;" target="_blank" title="">Thuốc&nbsp;đặc trị thoát vị đĩa đệm</a></p><div class="s" style="box-sizing: border-box; margin: 0px; padding: 0px; border: 0px; outline: 0px; font-size: 16px; vertical-align: baseline; background-image: initial; background-position: initial; background-size: initial; background-repeat: initial; background-attachment: initial; background-origin: initial; background-clip: initial; position: relative; max-width: 48em; font-family: RobotoSlab-Regular, Arial, Helvetica, sans-serif; color: rgb(84, 84, 84); line-height: 18px;"><div class="f kv _SWb" style="box-sizing: border-box; margin: 0px; padding: 0px; border: 0px; outline: 0px; font-size: small; vertical-align: baseline; background: transparent; position: relative; max-width: 100%; color: rgb(128, 128, 128); height: 18px; line-height: 16px; font-family: arial, sans-serif; white-space: nowrap;"><cite class="_Rm" style="box-sizing: border-box; margin: 0px; padding: 0px; border: 0px; outline: 0px; font-size: 14px; vertical-align: baseline; background: transparent; max-width: 100%; color: rgb(0, 102, 33); font-style: normal;">chuabenhthoatvidiadem.vn</cite></div></div>]]></content:encoded>
						<wfw:commentRss></wfw:commentRss>
						<slash:comments>0</slash:comments>
					</item>
				
					<item>
						<title>Hội Đông y quận Gò Vấp, TP. HCM</title>
						<link>https://chuabenhthoatvidiadem.vn/bai-viet/kham-chua-benh-thoat-vi-dia-dem/hoi-dong-y-quan-go-vap-tp-hcm-pid-285.html</link>
						<comments></comments>
						<pubDate>Tue, 13 Oct 2020 10:16:15 +0700</pubDate>
						<dc:creator>admin</dc:creator>
						<category><![CDATA[Khám chữa bệnh thoát vị đĩa đệm]]></category>
						<guid isPermaLink="false"></guid>
						<description><![CDATA[Hội Đông y quận Gò Vấp,TP. Hồ Chí Minh là hội nghề nghiệp, quy tụ những thầy thuốc là lương y, lương dược, y sĩ, bác sĩ y học cổ truyền và những người yêu thích nền Đông y Việt Nam. Cấp trên ngành dọc là Thành hội Đông y TP.HCM và Trung ương Hội Đông y Việt Nam. UBND quận Gò Vấp và phòng y tế quản lý về mặt chính quyền, phổ biến chủ trương của nhà nước.]]></description>
						<content:encoded><![CDATA[<p style="text-align: justify;"><em><span style="font-size:18px;">Hội Đông y quận Gò Vấp, cấp trên là Hội Đông y TP. HCM, trực thuộc Trung ương Hội Đông y Việt Nam. Quyết định thành lập hội do UBND quận Gò Vấp ký . Hội Đông y Gò Vấp là nơi sinh hoạt trao đổi bồi dưỡng, cập nhật kiến thức chuyên môn nghề nghiệp, các hội viên chung tay góp sức giữ gìn và phát triển nền Đông y&nbsp;Việt Nam. Hội&nbsp;còn là nơi trao đổi góp ý chuyên môn, giữa các thầy thuốc đông y trong quận hội và trong thành hội TP.HCM.</span></em></p><p><em><span style="font-size:18px;"><img loading="lazy" alt="Chủ tịch Hội Đông y Việt Nam khen Hội Đông y Quận Gò Vấp." src="data:image/gif;base64,R0lGODlhAQABAID/AP///wAAACwAAAAAAQABAAACAkQBADs=" data-src="https://chuabenhthoatvidiadem.vn/resources/images/Hội Đông y Gò Vấp.jpg" style="width: 1076px; height: 782px;" class="lazy" width="1076" height="782" data-optimized="1" /></span></em></p><p>Năm 2022 Hội đông y Quận Gò Vấp được Chủ tịch Hội đông y Việt Nam tặng bằng khen vì có thành tích xuất sắc vượt trội.</p><p><em><span style="font-size:18px;"><img loading="lazy" alt="Hội đông y Gò Vấp, TP. HCM" src="data:image/gif;base64,R0lGODlhAQABAID/AP///wAAACwAAAAAAQABAAACAkQBADs=" data-src="https://chuabenhthoatvidiadem.vn/resources/images/HoidongyGoVap.jpg" style="width: 650px; height: 520px;" class="lazy" width="861" height="689" data-optimized="1" /><span style="font-size:14px;">Trung ương Hội Đông y Việt Nam tặng bằng khen&nbsp;ban chấp hành Hội Đông y quận Gò Vấp,TP.HCM</span></span></em></p><p><em><span style="font-size:18px;"><img loading="lazy" alt="Hội đông y Gò Vấp" src="data:image/gif;base64,R0lGODlhAQABAID/AP///wAAACwAAAAAAQABAAACAkQBADs=" data-src="https://chuabenhthoatvidiadem.vn/resources/images/DongyGoVap.png" style="width: 650px; height: 566px;" class="lazy" width="1024" height="724" data-optimized="1" /></span></em></p><p><em><span style="font-size:18px;"><img loading="lazy" alt="Chủ tịch UBND TP.HCM khen Hội Đông y Quận Gò Vấp." src="data:image/gif;base64,R0lGODlhAQABAID/AP///wAAACwAAAAAAQABAAACAkQBADs=" data-src="https://chuabenhthoatvidiadem.vn/resources/images/UBND TP_HCM tặng bằng khen.jpg" style="width: 1024px; height: 751px;" class="lazy" width="1024" height="751" data-optimized="1" /></span></em></p><p><em><span style="font-size:18px;"><span style="font-size:14px;">Những thầy thuốc đông y trong ban chấp hành Hội Đông y quận Gò Vấp, TP.HCM</span></span></em></p><p><em><span style="font-size:18px;"><span style="font-size:14px;"><img loading="lazy" alt="Đông y Gò Vấp TP.HCM" src="data:image/gif;base64,R0lGODlhAQABAID/AP///wAAACwAAAAAAQABAAACAkQBADs=" data-src="https://chuabenhthoatvidiadem.vn/resources/images/Hoi dong y TP_HCM.jpg" style="width: 650px; height: 488px;" class="lazy" width="768" height="576" data-optimized="1" />UBND tặng bằng khen cho tập thể Hội Đông y quận Gò Vấp.</span></span></em></p><p><em><span style="font-size:18px;"><span style="font-size:14px;"><img loading="lazy" alt="Đông y quận Gò Vấp, TP.HCM" src="data:image/gif;base64,R0lGODlhAQABAID/AP///wAAACwAAAAAAQABAAACAkQBADs=" data-src="https://chuabenhthoatvidiadem.vn/resources/images/Dong y Go Vap.jpg" style="width: 650px; height: 488px;" class="lazy" width="768" height="576" data-optimized="1" /></span></span></em></p><p><em><span style="font-size:18px;"><span style="font-size:14px;">Chủ tịch UBND thành phố Hồ Chí Minh tặng danh hiệu tập thể xuất sắc cho Hội đông y quận Gò vấp.</span></span></em></p><p><em><span style="font-size:18px;"><span style="font-size:14px;"><img loading="lazy" alt="Chủ tịch Hội Đông y TP.HCM khen Hội Đông y Quận Gò Vấp." src="data:image/gif;base64,R0lGODlhAQABAID/AP///wAAACwAAAAAAQABAAACAkQBADs=" data-src="https://chuabenhthoatvidiadem.vn/resources/images/Chủ tịch Hội đông y TP_HCM khen tặng.jpg" style="width: 1024px; height: 750px;" class="lazy" width="1024" height="750" data-optimized="1" /></span></span></em></p><p><img loading="lazy" alt="Lương y Nguyễn Văn Minh - Hội đông y Gò Vấp" src="data:image/gif;base64,R0lGODlhAQABAID/AP///wAAACwAAAAAAQABAAACAkQBADs=" data-src="https://chuabenhthoatvidiadem.vn/resources/images/LuongynguyenVanMinh.jpg" style="width: 700px; height: 525px;" class="lazy" width="832" height="624" data-optimized="1" /></p><p><em><span style="font-size:14px;">Phó chủ tịch&nbsp;UBND quận Gò Vấp, cùng&nbsp;lãnh đạo phòng y tế quận Gò vấp&nbsp;tặng hoa&nbsp;ban chấp hành Hội Đông y Gò Vấp&nbsp;</span></em></p><p>&nbsp;</p>]]></content:encoded>
						<wfw:commentRss></wfw:commentRss>
						<slash:comments>0</slash:comments>
					</item>
				
					<item>
						<title>Thoát vị đĩa đệm bị tê chân, xem cách trị thoát vị đĩa đệm hết tê chân</title>
						<link>https://chuabenhthoatvidiadem.vn/bai-viet/nghe-truc-tiep-nhung-nguoi-duoc-luong-y-minh-chua-khoi-thoat-vi-dia-dem/thoat-vi-dia-dem-bi-te-chan-xem-cach-tri-thoat-vi-dia-dem-het-te-chan-pid-261.html</link>
						<comments></comments>
						<pubDate>Fri, 07 Jun 2019 03:55:16 +0700</pubDate>
						<dc:creator>admin</dc:creator>
						<category><![CDATA[Nghe trực tiếp những người được lương y Minh chữa khỏi thoát vị đĩa đệm ]]></category>
						<guid isPermaLink="false"></guid>
						<description><![CDATA[Thoát vị đĩa đệm bị tê chân, đây là triệu chứng rất hay gặp ở những người bị thoát vị đĩa đệm cột sống thắt lưng. Lương y Nguyễn Văn Minh có thuốc đặc trị thoát vị đĩa đệm hết tê chân. Đây là phương pháp chữa của thầy thuốc chuyên sâu về bệnh thoát vị đĩa đệm: Kết hợp trong uống ngoài đắp, thường sau 1-2 liệu trình đã bớt tê chân tới 80-90%. Hãy bấm vào đây xem thực tế bác Quế kể.]]></description>
						<content:encoded><![CDATA[<p style="text-align: justify;"><span style="font-size:16px;">Thoát vị đĩa đệm bị tê chân, đây là triệu chứng thoát vị đĩa đệm cột sống thắt lưng, do kích thước đĩa đệm bị thoát vị tương đối lớn, chèn ép vào&nbsp;rễ thần kinh làm tê chân. Lương y Nguyễn Văn Minh - Phòng khám đông y Bảo Minh&nbsp;có thuốc đặc trị thoát vị đĩa đệm, đã chữa cho rất nhiều người khỏi bệnh, hết tê chân.</span></p><p style="text-align: justify;"><span style="font-size:16px;">Đây là bệnh án thoát vị đĩa đệm của bác Trần Quế ở Quận 11, TP. HCM. Lương y Nguyễn Văn Minh đã xin phép và được bác&nbsp;Quế&nbsp;</span><span style="font-size: 16px; text-align: justify;">đồng ý cho chia sẻ ở đây.&nbsp;</span><span style="font-size:16px;">Bác Quế bị thoát vị đĩa đệm với kết luận của bác sĩ&nbsp; chuyên khoa cột sống ở bệnh viện Triều An, Quận Bình Tân, TP. HCM như sau:</span></p><p style="text-align: justify;"><span style="font-size:16px;">Thoát vị đĩa đệm cạnh trái trung tâm tầng L2-3, chèn ép rễ L3 trái</span></p><h2 style="text-align: justify;"><span style="font-size:16px;">Thoát vị đĩa đệm cạnh&nbsp;phải trung tâm tầng L4-5, chèn ép rễ L5 bên phải</span></h2><h2 style="text-align: justify;"><span style="font-size:16px;">Lồi đĩa đệm trung tâm các tầng L1-2, L3-4 &amp; L5-S1, không chèn ép rễ thần kinh hai bên</span></h2><h2 style="text-align: justify;"><span style="font-size:16px;">Trượt ra sau độ 1 thân sống L2-3 &amp; L3-4 thoái hóa cột sống thắt lưng</span></h2><p style="text-align: justify;"><span style="font-size: 16px;">Thoát vị đĩa đệm cột sống thắt lưng làm cho bác Quế bị đau thắt&nbsp;lưng, đau mông và tê chân. Sau khi điều trị 2 liệu trình bằng thuốc đặc trị thoát vị đĩa đệm tại phòng khám đông y Bảo Minh, bác Quế bớt tê chân tới 90%, đau nhức bớt hẳn, gần hết. Hôm nay bác Quế tới tái khám&nbsp;và kể lại tình trạng bệnh đã bớt như thế nào, bác đồng ý cho ghi lại cuộc nói chuyện này với Lương y Nguyễn Văn Minh.</span></p><p style="text-align: justify;"><span class="optimize-cls-iframe" data-src="https://www.youtube.com/embed/uPj0mIAp2gw">https://www.youtube.com/embed/uPj0mIAp2gw</span></p><p style="text-align: justify;"><em><span style="font-size:14px;">Bạn đang xem bác Quế chỉ vào chỗ chân bị tê, giờ thì đã ổn.</span></em></p><p style="text-align: justify;"><span style="font-size:16px;">Dưới đây&nbsp;là tờ kết quả chụp MRI </span><span style="font-size: 16px; text-align: justify;">của bác Quế&nbsp;</span><span style="font-size:16px;">ở bệnh viện Triều An,&nbsp;</span><span style="font-size: 16px; text-align: justify;">425 Kinh Dương Vương, Phường An Lạc, Quận Bình Tân, Tp. HCM</span><span style="font-size:16px;">&nbsp;(*)</span></p><p style="text-align: justify;"><img loading="lazy" alt="Bệnh án thoát vị đĩa đệm" src="data:image/gif;base64,R0lGODlhAQABAID/AP///wAAACwAAAAAAQABAAACAkQBADs=" data-src="https://chuabenhthoatvidiadem.vn/resources/images/MRI thoát vị đĩa đệm(1).jpg" style="opacity: 0.9; text-align: justify; width: 800px; height: 949px;" class="lazy" width="1012" height="1200" data-optimized="1" /></p><p style="text-align: justify;"><span style="font-size:16px;">&nbsp;</span></p><p style="text-align: justify;"><span style="font-size:16px;">(*)&nbsp; &nbsp;Lưu ý: thuốc đặc trị thoát vị đĩa đệm có tác dụng nhanh/ chậm có thể thay đổi tùy theo bệnh mỗi nguời.</span></p><p><span style="font-size:16px;">Khám chữa thoát vị đĩa đệm ở Tp. Hồ Chí Minh: 856/6 Quang Trung, Quận Gò Vấp.&nbsp;Lương y Nguyễn Văn Minh tư vấn cách chữa bệnh qua Zalo số: 0913503552 -&nbsp; Điện thoại bàn: 028.6295.1367</span></p><p><span style="font-size:16px;">Trang web chuyên sâu bệnh&nbsp;</span><a title="" data-ved="2ahUKEwjTv828lPj3AhXaqFYBHYknBQEQFnoECAIQAQ" href="https://chuabenhthoatvidiadem.vn/" ping="/url?sa=t&amp;source=web&amp;rct=j&amp;url=https://chuabenhthoatvidiadem.vn/&amp;ved=2ahUKEwjTv828lPj3AhXaqFYBHYknBQEQFnoECAIQAQ" style="color: rgb(26, 13, 171); text-decoration-line: none; -webkit-tap-highlight-color: rgba(0, 0, 0, 0.1); outline: 0px; font-family: arial, sans-serif; font-size: small;">Thoát Vị Đĩa Đệm</a><span style="font-size:16px;">:</span></p><p><span style="font-size:16px;">thoatvidiadem.top</span></p><p><a href="https://chuabenhthoatvidiadem.vn/" title="">chuabenhthoatvidiadem.vn</a></p>]]></content:encoded>
						<wfw:commentRss></wfw:commentRss>
						<slash:comments>0</slash:comments>
					</item>
				
					<item>
						<title>Thoát vị đĩa đệm và những kết luận của bác sĩ chuyên khoa cột sống đĩa đệm.</title>
						<link>https://chuabenhthoatvidiadem.vn/bai-viet/luong-y-chua-thoat-vi-dia-dem-o-tp-hcm/thoat-vi-dia-dem-va-nhung-ket-luan-cua-bac-si-chuyen-khoa-cot-song-dia-dem-pid-244.html</link>
						<comments></comments>
						<pubDate>Tue, 12 Feb 2019 06:12:34 +0700</pubDate>
						<dc:creator>admin</dc:creator>
						<category><![CDATA[Lương y chữa thoát vị đĩa đệm ở TP.HCM]]></category>
						<guid isPermaLink="false"></guid>
						<description><![CDATA[]]></description>
						<content:encoded><![CDATA[<p style="text-align: justify;"><em style="text-align: justify;"><span style="font-size:18px;">Đây là những kết quả MRI: Thoát vị đĩa đệm cột sống&nbsp;cổ, hoặc&nbsp;cột sống thắt&nbsp;lưng, do các bác sĩ chuyên khoa chẩn đoán hình ảnh tại các bệnh viện: Chợ Rẫy, Chấn Thương Chỉnh Hình, Đại Học Y Dược, Hòa Hảo, Thống Nhất...kết luận. Khi có tờ kết quả này, thầy thuốc&nbsp;có thể tiên lượng có chữa được hay không? nếu chữa thì trong bao lâu sẽ khỏi bệnh, chi phí hết bao nhiêu tiền .v.v</span></em></p><p>&nbsp;</p><p><strong><span style="font-size:16px;">Chụp MRI ở phòng khám Bệnh viện Đại Học Y Dược TP.Hồ Chí Minh</span></strong></p><p><img loading="lazy" alt="Thoát vị đĩa đệm cột sống thắt lưng - Kết quả chụp MRI" src="data:image/gif;base64,R0lGODlhAQABAID/AP///wAAACwAAAAAAQABAAACAkQBADs=" data-src="https://chuabenhthoatvidiadem.vn/resources/images/thoat-vi-dia-dem-that-lung.jpg" style="width: 800px; height: 1067px;" class="lazy" width="900" height="1200" data-optimized="1" /></p><p style="text-align: justify;"><span style="font-size:16px;">Đây là kết quả chụp MRI của bệnh nhân nữ 42 tuổi ở Đồng Nai. Tiền sử&nbsp;chị bị đau lưng cách nay hơn 3 tháng, uống thuốc tây theo toa bác sĩ hết đau lưng, nhưng&nbsp;sau đó lại bị đau bên mông phải, hiện&nbsp;giờ&nbsp;đau nhức xuống chân phải, đi bộ khoảng 10 phút hoặc đứng lâu 1 lúc là bị đau, nằm nghỉ thì đỡ đau. Chụp MRI bác sĩ kết luận: Gai thoái hóa nhẹ các thân sống thắt lưng. Thoái hóa mất nước đ9ĩa đệm L4-L5, L5-S1. Lồi nhẹ đĩa đệm L4-L5 đồng tâm, ép nhẹ bao màng cứng, không ép rễ thần kinh. Thoát vị đĩa đệm tầng L5-S1 ra sau 6mm ép rễ thần kinh s1 hai bên, ưu thế bên phải. </span></p><p style="text-align: justify;"><span style="font-size:16px;">Bạn đọc bấm vào đây xem&nbsp;<strong><a data-ctbtn="0" data-cthref="/url?sa=t&amp;rct=j&amp;q=&amp;esrc=s&amp;source=web&amp;cd=40&amp;ved=2ahUKEwi9lYSuh5vmAhVjL6YKHY30DRI4HhAWMAl6BAgKEAE&amp;url=https%3A%2F%2Fchuabenhthoatvidiadem.vn%2Fdieu-tri%2Fket-qua-dieu-tri-thoat-vi-dia-dem-cid-2-0.html&amp;usg=AOvVaw1AvTBB3gK1wfoQ07iyGuzH" href="https://www.google.com.vn/url?sa=t&amp;rct=j&amp;q=&amp;esrc=s&amp;source=web&amp;cd=40&amp;ved=2ahUKEwi9lYSuh5vmAhVjL6YKHY30DRI4HhAWMAl6BAgKEAE&amp;url=https%3A%2F%2Fchuabenhthoatvidiadem.vn%2Fdieu-tri%2Fket-qua-dieu-tri-thoat-vi-dia-dem-cid-2-0.html&amp;usg=AOvVaw1AvTBB3gK1wfoQ07iyGuzH" rel="noopener" style="color: rgb(102, 0, 153); cursor: pointer; text-decoration-line: none; font-family: arial, sans-serif; font-size: small;" target="_blank" title=""><span class="S3Uucc">thoát vị đĩa đệm có chữa được không</span></a></strong></span></p><p style="text-align: justify;"><strong><span style="font-size: 16px;">Chụp MRI ở&nbsp;Bệnh viện Chấn Thương Chỉnh Hình&nbsp;TP.Hồ Chí Minh</span></strong></p><p><em style="text-align: justify;"><span style="font-size:18px;"><img loading="lazy" alt="Thoát vị đĩa đệm có chữa được không" src="data:image/gif;base64,R0lGODlhAQABAID/AP///wAAACwAAAAAAQABAAACAkQBADs=" data-src="https://chuabenhthoatvidiadem.vn/resources/images/Thoát vị đĩa đệm có chữa được không.jpg" style="width: 700px; height: 901px;" class="lazy" width="932" height="1200" data-optimized="1" /></span></em></p><h2 style="text-align: justify;"><span style="font-size:14px;"><em>Chụp MRI ở bệnh viện Chấn Thương Chỉnh Hình Tp Hồ Chí Minh, bác sĩ chẩn đoán hình ảnh kết luận:&nbsp;Thoát vị đĩa đệm các tầng&nbsp; L4/L5 và L5/S1 có kích thước # 7mm. Điều này giúp cho thầy thuốc điều trị và người bệnh biết được mức độ nặng nhẹ của bệnh, hòng đánh giá khả năng có chữa khỏi được hay không, và tiên lượng được thời gian điều trị bệnh.</em></span></h2><p><span style="font-size:16px;">&nbsp;Bạn đọc&nbsp;<strong><a data-ctbtn="0" data-cthref="/url?sa=t&amp;rct=j&amp;q=&amp;esrc=s&amp;source=web&amp;cd=28&amp;ved=2ahUKEwiI14D4iZvmAhUsCqYKHTUhAcQ4FBAWMAd6BAgJEAE&amp;url=https%3A%2F%2Fchuabenhthoatvidiadem.vn%2Fcach-chua-benh%2Fthuoc-dac-tri-thoat-vi-dia-dem-pid-256.html&amp;usg=AOvVaw1hHJr7wqoxZH1iiUBoOI6k" href="https://www.google.com.vn/url?sa=t&amp;rct=j&amp;q=&amp;esrc=s&amp;source=web&amp;cd=28&amp;ved=2ahUKEwiI14D4iZvmAhUsCqYKHTUhAcQ4FBAWMAd6BAgJEAE&amp;url=https%3A%2F%2Fchuabenhthoatvidiadem.vn%2Fcach-chua-benh%2Fthuoc-dac-tri-thoat-vi-dia-dem-pid-256.html&amp;usg=AOvVaw1hHJr7wqoxZH1iiUBoOI6k" rel="noopener" style="color: rgb(102, 0, 153); cursor: pointer; text-decoration-line: none; font-family: arial, sans-serif; font-size: small;" target="_blank" title=""><span class="S3Uucc" style="color: rgb(102, 0, 153); cursor: pointer; text-decoration-line: none; font-family: arial, sans-serif;">bấm vào đây xem chữa thoát vị đĩa đệm ở phòng khám đông y Bảo Minh</span></a></strong></span></p><p style="text-align: justify;"><span style="font-size:16px;">Mời bạn đọc xem video ghi lại nội dung cuộc nói chuyện, giữa lương y Nguyễn văn Minh và mẹ của 1 bệnh nhân, đã chữa khỏi bệnh tại phòng khám đông y Bảo Minh.</span></p><p><span class="optimize-cls-iframe" data-src="https://www.youtube.com/embed/8ZlYstKCZKc">https://www.youtube.com/embed/8ZlYstKCZKc</span></p><p>&nbsp;</p><p><strong><span style="font-size: 16px;">Chụp MRI ở&nbsp;Bệnh viện Chợ Rẫy&nbsp;TP.Hồ Chí Minh</span></strong></p><p><img loading="lazy" alt="Thoát vị đĩa đệm L5/S1" src="data:image/gif;base64,R0lGODlhAQABAID/AP///wAAACwAAAAAAQABAAACAkQBADs=" data-src="https://chuabenhthoatvidiadem.vn/resources/images/20181030_114644.jpg" style="width: 800px; height: 866px;" class="lazy" width="1108" height="1200" data-optimized="1" /></p><h3 style="text-align: justify;"><em><span style="font-size:14px;">Trên đây là kết quả chụp cộng hưởng từ (MRI) ở bệnh viện Chợ Rẫy, bác sĩ cũng đo chính xác kích thước đĩa đệm bị thoát vị ra sau #5mm ở tầng L5/S1. Bác sĩ còn cho biết khối thoát vị đĩa đệm này ép nhẹ rễ thần kinh S1 hai bên. Với những trường hợp thoát vị đĩa đệm như thế này, thời gian điều trị khỏi bệnh&nbsp; thường nhanh và không lo tốn&nbsp;nhiều tiền.&nbsp;</span></em></h3><p><span class="S3Uucc" style="cursor: pointer; text-decoration-line: none;"><span style="font-size:16px;">Bạn đọc</span> <span style="font-size:16px;"><strong><a data-ctbtn="0" data-cthref="/url?sa=t&amp;rct=j&amp;q=&amp;esrc=s&amp;source=web&amp;cd=107&amp;ved=2ahUKEwjIvvGriJvmAhUQ7WEKHWShAcA4ZBAWMAZ6BAgEEAE&amp;url=https%3A%2F%2Fchuabenhthoatvidiadem.vn%2Fcach-chua-benh%2Fthuoc-chua-thoat-vi-dia-dem-toi-uong-20-thang-het-dau-roi-thay-pid-127.html&amp;usg=AOvVaw2u5HzYzdTeButj_KLlb3I1" href="https://www.google.com.vn/url?sa=t&amp;rct=j&amp;q=&amp;esrc=s&amp;source=web&amp;cd=107&amp;ved=2ahUKEwjIvvGriJvmAhUQ7WEKHWShAcA4ZBAWMAZ6BAgEEAE&amp;url=https%3A%2F%2Fchuabenhthoatvidiadem.vn%2Fcach-chua-benh%2Fthuoc-chua-thoat-vi-dia-dem-toi-uong-20-thang-het-dau-roi-thay-pid-127.html&amp;usg=AOvVaw2u5HzYzdTeButj_KLlb3I1" rel="noopener" style="color: rgb(102, 0, 153); font-family: arial, sans-serif; font-size: small; cursor: pointer; text-decoration-line: none;" target="_blank" title="">bấm vào đây nghe người bệnh kể: &quot;em uống 20 thang hết đau rồi thầy&quot;</a></strong></span></span></p><p><span style="font-size:16px;">Mời bạn đọc xem video ghi lại thực tế,&nbsp;bệnh nhân đã chữa khỏi bệnh cách nay 3 năm, hôm nay bác&nbsp;quay lại phòng khám và kể lại quá trình chữa khỏi bệnh ở đây.</span></p><p><span class="optimize-cls-iframe" data-src="https://www.youtube.com/embed/rj2fJRoHBko">https://www.youtube.com/embed/rj2fJRoHBko</span></p><p>&nbsp;</p><p><strong><span style="font-size: 16px;">Chụp MRI ở phòng khám đa khoa MEDIC Hòa Hảo,&nbsp;(dân gian quen gọi là bệnh viện&nbsp;Hòa Hảo Sài Gòn)</span></strong></p><h3 style="text-align: justify;"><img loading="lazy" alt="" src="data:image/gif;base64,R0lGODlhAQABAID/AP///wAAACwAAAAAAQABAAACAkQBADs=" data-src="https://chuabenhthoatvidiadem.vn/resources/images/20181008_090612.jpg" style="font-size: 13px; width: 800px; height: 1048px;" class="lazy" width="916" height="1200" data-optimized="1" /></h3><h4 style="text-align: justify;"><span style="font-size:14px;"><em>Đây là kết quả chụp cộng hưởng từ cột sống thắt lưng ở bệnh viện Hòa Hảo, các bác sĩ ở bệnh viện này thường không đo&nbsp;kích thước thoát vị đĩa đệm là bao nhiêu mm. Nhìn vào kết luận này, người bệnh thật khó biết được mức độ thoát vị đĩa đệm của mình nặng nhẹ thế nào? Chỉ những thầy thuốc có chuyên môn mới hiểu.</em></span></h4><p><span style="font-size:16px;">Bạn đọc&nbsp;<strong><a data-ctbtn="0" data-cthref="/url?sa=t&amp;rct=j&amp;q=&amp;esrc=s&amp;source=web&amp;cd=185&amp;ved=2ahUKEwi43LmmjZvmAhWQPXAKHegqAOY4tAEQFjAEegQIBhAB&amp;url=https%3A%2F%2Fchuabenhthoatvidiadem.vn%2Fbai-viet%2Fdieu-tri-thoat-vi-dia-dem-cot-song-that-lung%2Fkhoi-thoat-vi-dia-dem-cot-song-that-lung-sau-hon-1-thang-dieu-tri-pid-37.html&amp;usg=AOvVaw0JBr2_gsPvdhu9HvzVJbLg" href="https://www.google.com.vn/url?sa=t&amp;rct=j&amp;q=&amp;esrc=s&amp;source=web&amp;cd=185&amp;ved=2ahUKEwi43LmmjZvmAhWQPXAKHegqAOY4tAEQFjAEegQIBhAB&amp;url=https%3A%2F%2Fchuabenhthoatvidiadem.vn%2Fbai-viet%2Fdieu-tri-thoat-vi-dia-dem-cot-song-that-lung%2Fkhoi-thoat-vi-dia-dem-cot-song-that-lung-sau-hon-1-thang-dieu-tri-pid-37.html&amp;usg=AOvVaw0JBr2_gsPvdhu9HvzVJbLg" rel="noopener" style="color: rgb(102, 0, 153); cursor: pointer; text-decoration-line: none; font-family: arial, sans-serif; font-size: small;" target="_blank" title=""><span class="S3Uucc" style="color: rgb(102, 0, 153); cursor: pointer; text-decoration-line: none; font-family: arial, sans-serif;">bấm vào đây xem cách chữa thoát vị đĩa đệm thắt lưng</span></a></strong></span></p><p><span style="font-size:16px;">Hiệu quả của thuốc chữa thoát vị đĩa đệm, hãy xem thực tế bà Hoa kể lại ở video dưới đây.</span></p><p><span class="optimize-cls-iframe" data-src="https://www.youtube.com/embed/IqN5mAEsHOs">https://www.youtube.com/embed/IqN5mAEsHOs</span></p><p>&nbsp;</p><p><strong style="text-align: justify;"><span style="font-size: 16px;">Chụp cộng hưởng từ ở bệnh viện Chấn Thương Chỉnh Hình&nbsp;TP.HCM&nbsp;</span></strong></p><p><img loading="lazy" alt="" src="data:image/gif;base64,R0lGODlhAQABAID/AP///wAAACwAAAAAAQABAAACAkQBADs=" data-src="https://chuabenhthoatvidiadem.vn/resources/images/20180905_141705.jpg" style="width: 800px; height: 896px;" class="lazy" width="1071" height="1200" data-optimized="1" /></p><h3 style="text-align: justify;"><span style="font-size:14px;"><em>Bệnh viện Chấn Thương Chỉnh Hình TP.HCM là bệnh viện chuyên khoa về xương khớp,&nbsp;cột sống đĩa đệm. Các bác sĩ giỏi ở đây có nhiều, chụp MRI ở khoa chẩn đoán hình ảnh của bệnh viện, bác sĩ thường kết luận rất chi tiết và đầy đủ nhất về tình trạng bệnh cột sống đĩa đệm. Nhìn tờ kết quả này,&nbsp;cho dù người bệnh không có chuyên môn nhưng&nbsp;khi nghe bác sĩ giải thích họ sẽ biết được mức độ bệnh của mình ra sao để có hướng điều trị tốt nhất.</em></span></h3><p><span style="font-size:16px;">Bạn đọc&nbsp;<strong><a data-ctbtn="0" data-cthref="/url?sa=t&amp;rct=j&amp;q=&amp;esrc=s&amp;source=web&amp;cd=212&amp;ved=2ahUKEwiH6eGklpvmAhWMZt4KHfutCW440gEQFjABegQIBhAB&amp;url=https%3A%2F%2Fchuabenhthoatvidiadem.vn%2Fbai-viet%2Fnghe-truc-tiep-nhung-nguoi-duoc-luong-y-minh-chua-khoi-thoat-vi-dia-dem%2Fchua-thoat-vi-dia-dem-cot-song-that-lung-khoi-han-khong-phai-mo-pid-74.html&amp;usg=AOvVaw0H8OWEDPe5JnbWWoh4AV1t" href="https://www.google.com.vn/url?sa=t&amp;rct=j&amp;q=&amp;esrc=s&amp;source=web&amp;cd=212&amp;ved=2ahUKEwiH6eGklpvmAhWMZt4KHfutCW440gEQFjABegQIBhAB&amp;url=https%3A%2F%2Fchuabenhthoatvidiadem.vn%2Fbai-viet%2Fnghe-truc-tiep-nhung-nguoi-duoc-luong-y-minh-chua-khoi-thoat-vi-dia-dem%2Fchua-thoat-vi-dia-dem-cot-song-that-lung-khoi-han-khong-phai-mo-pid-74.html&amp;usg=AOvVaw0H8OWEDPe5JnbWWoh4AV1t" rel="noopener" style="color: rgb(102, 0, 153); cursor: pointer; text-decoration-line: none; font-family: arial, sans-serif; font-size: small;" target="_blank" title=""><span class="S3Uucc">bấm vào đây xem chữa khỏi hẳn&nbsp;thoát vị đĩa đệm cột sống thắt lưng</span></a></strong></span></p><p class="bNg8Rb" style="margin: 0px; padding: 0px; font-family: arial, sans-serif; font-size: 14px; clip: rect(1px, 1px, 1px, 1px); height: 1px; overflow: hidden; position: absolute; white-space: nowrap; width: 1px; z-index: -1000; color: rgb(34, 34, 34);">Kết quả tìm kiếm</p><div data-async-context="query:site%3Achuabenhthoatvidiadem.vn" eid="1DfnXZvXEZr3hwOX8IvADw" id="rso" style="margin-top: 6px; color: rgb(34, 34, 34); font-family: arial, sans-serif; font-size: medium;"><div class="bkWMgd"><h2 class="bNg8Rb" style="clip: rect(1px, 1px, 1px, 1px); height: 1px; margin: 0px; overflow: hidden; padding: 0px; position: absolute; white-space: nowrap; width: 1px; z-index: -1000;">Kết quả tìm kiếm trên web<a data-ctbtn="0" data-cthref="http://www.google.com.vn/url?sa=t&amp;rct=j&amp;q=&amp;esrc=s&amp;source=web&amp;cd=191&amp;ved=2ahUKEwibkYzdlZvmAhWa-2EKHRf4Avg4vgEQFjAAegQIBhAB&amp;url=http%3A%2F%2Fchuabenhthoatvidiadem.vn%2Fbai-viet%2Fket-qua-dieu-tri-thoat-vi-dia-dem%2Fthoat-vi-dia-dem-hep-nang-ong-song-hep-lo-lien-hop-chen-ep-re-than-kinh-pid-243.html&amp;usg=AOvVaw06YluB1CzcebJamLue08l0" href="http://www.google.com.vn/url?sa=t&amp;rct=j&amp;q=&amp;esrc=s&amp;source=web&amp;cd=191&amp;ved=2ahUKEwibkYzdlZvmAhWa-2EKHRf4Avg4vgEQFjAAegQIBhAB&amp;url=http%3A%2F%2Fchuabenhthoatvidiadem.vn%2Fbai-viet%2Fket-qua-dieu-tri-thoat-vi-dia-dem%2Fthoat-vi-dia-dem-hep-nang-ong-song-hep-lo-lien-hop-chen-ep-re-than-kinh-pid-243.html&amp;usg=AOvVaw06YluB1CzcebJamLue08l0" rel="noopener" style="font-size: 16px; color: rgb(102, 0, 153); cursor: pointer; text-decoration-line: none;" target="_blank" title="">Thoát vị đĩa đệm, hẹp nặng ống sống, hẹp lỗ liên hợp, chèn ...</a></h2></div></div><p style="text-align: justify;"><span style="font-size:16px;">Bệnh thoát vị đĩa đệm có chữa khỏi được không? Hãy nghe bà bệnh nhân kể: Người thực việc thực ở video dưới đây.</span></p><p><span style="font-size:14px;"><em><span class="optimize-cls-iframe" data-src=" https://www.youtube.com/embed/x7aavTS0FT8"> https://www.youtube.com/embed/x7aavTS0FT8</span></em></span></p><p>&nbsp;</p><p><strong><span style="font-size: 16px;">Chụp MRI ở&nbsp;&nbsp;Bệnh viện Thống Nhất&nbsp;TP.Hồ Chí Minh</span></strong></p><p><img loading="lazy" alt="Thoát vị đĩa đệm là gì" src="data:image/gif;base64,R0lGODlhAQABAID/AP///wAAACwAAAAAAQABAAACAkQBADs=" data-src="https://chuabenhthoatvidiadem.vn/resources/images/20180828_170529.jpg" style="width: 800px; height: 802px;" class="lazy" width="1197" height="1200" data-optimized="1" /></p><h4 style="text-align: justify;"><em><span style="font-size:14px;">Chụp MRI ở bệnh viện Thống Nhất TP.HCM, bác sĩ cũng cho biết&nbsp;kết quả thật&nbsp;chi tiết và đầy đủ, giúp ích rất tốt cho việc điều trị bệnh</span></em>.</h4><p><span style="font-size:16px;">Bạn đọc&nbsp;<strong><a data-ctbtn="0" data-cthref="http://www.google.com.vn/url?sa=t&amp;rct=j&amp;q=&amp;esrc=s&amp;source=web&amp;cd=220&amp;ved=2ahUKEwiH6eGklpvmAhWMZt4KHfutCW440gEQFjAJegQICRAB&amp;url=http%3A%2F%2Fchuabenhthoatvidiadem.vn%2Fbai-viet%2Fnghe-truc-tiep-nhung-nguoi-duoc-luong-y-minh-chua-khoi-thoat-vi-dia-dem%2Fthoat-vi-dia-dem-bi-te-chan-xem-cach-tri-thoat-vi-dia-dem-het-te-chan-pid-261.html&amp;usg=AOvVaw30XO-UqKpyGg8brhK8KTaJ" href="http://www.google.com.vn/url?sa=t&amp;rct=j&amp;q=&amp;esrc=s&amp;source=web&amp;cd=220&amp;ved=2ahUKEwiH6eGklpvmAhWMZt4KHfutCW440gEQFjAJegQICRAB&amp;url=http%3A%2F%2Fchuabenhthoatvidiadem.vn%2Fbai-viet%2Fnghe-truc-tiep-nhung-nguoi-duoc-luong-y-minh-chua-khoi-thoat-vi-dia-dem%2Fthoat-vi-dia-dem-bi-te-chan-xem-cach-tri-thoat-vi-dia-dem-het-te-chan-pid-261.html&amp;usg=AOvVaw30XO-UqKpyGg8brhK8KTaJ" rel="noopener" style="color: rgb(102, 0, 153); cursor: pointer; text-decoration-line: none; font-family: arial, sans-serif; font-size: small;" target="_blank" title=""><span class="S3Uucc">bấm vào đây xem chữa khỏi thoát vị đĩa đệm, chèn ép rễ thân kinh gây nên tê chân</span></a></strong></span></p><p><span class="optimize-cls-iframe" data-src=" https://www.youtube.com/embed/qSgsr1hAjtA"> https://www.youtube.com/embed/qSgsr1hAjtA</span></p><p>&nbsp;</p><p><strong><span style="font-size: 16px;">Chụp MRI ở Khu Y Tế Kỹ Thuật Cao&nbsp;TP.Hồ Chí Minh</span></strong></p><p><img loading="lazy" alt="Thoát vị đĩa đệm cột sống lưng" src="data:image/gif;base64,R0lGODlhAQABAID/AP///wAAACwAAAAAAQABAAACAkQBADs=" data-src="https://chuabenhthoatvidiadem.vn/resources/images/20181114_151113.jpg" style="width: 800px; height: 1004px;" class="lazy" width="956" height="1200" data-optimized="1" /></p><h5 style="text-align: justify;"><span style="font-size:14px;"><em>Khu Y Tế Kỹ Thuật Cao 1A, cũng là nơi chụp cộng hưởng từ cột sống có nhiều người đến chụp. </em></span></h5><p style="text-align: justify;">&nbsp;</p><p><strong style="text-align: justify;"><span style="font-size: 16px;">Chụp&nbsp;cộng hưởng từ phòng khám Đa Khoa VIETLIFE TP.HCM</span></strong></p><p><span style="font-size:14px;"><em><img loading="lazy" alt="Bệnh thoát vị đĩa đệm" src="data:image/gif;base64,R0lGODlhAQABAID/AP///wAAACwAAAAAAQABAAACAkQBADs=" data-src="https://chuabenhthoatvidiadem.vn/resources/images/Bệnh thoát vị đĩa đệm.jpg" style="width: 798px; height: 1200px;" class="lazy" width="798" height="1200" data-optimized="1" /></em></span></p><h3 style="text-align: justify;"><span style="font-size:14px;"><em>Đây là kết quả chụp cộng hưởng từ cột sống thắt lưng tại phòng khám đa khoa VIETLIFE. Bác sĩ chẩn đoán hình ảnh ở đây&nbsp;mô tả bệnh lý cột sống, đĩa đệm&nbsp;rất chi tiết,&nbsp;rõ ràng, đầy đủ.</em></span></h3><p><span style="font-size:16px;">Lương y Nguyễn Văn Minh chữa thoát vị đĩa đệm ở TP.HCM, địa chỉ duy nhất:&nbsp;&nbsp;856/6 Đường Quang Trung, Quận Gò Vấp. Di Động, Zalo gửi kết quả chụp MRI cột sống đĩa đệm, tôi tư vấn cách chữa thoát vị đĩa đệm khỏi&nbsp;tận gốc: 0913503552 - Cố định: 02862951367</span></p><p><span style="font-size:16px;">Trang web chuyên về bệnh </span><a title="" data-ved="2ahUKEwjTv828lPj3AhXaqFYBHYknBQEQFnoECAIQAQ" href="https://chuabenhthoatvidiadem.vn/" ping="/url?sa=t&amp;source=web&amp;rct=j&amp;url=https://chuabenhthoatvidiadem.vn/&amp;ved=2ahUKEwjTv828lPj3AhXaqFYBHYknBQEQFnoECAIQAQ" style="color: rgb(26, 13, 171); text-decoration-line: none; -webkit-tap-highlight-color: rgba(0, 0, 0, 0.1); outline: 0px; font-family: arial, sans-serif; font-size: small;">Thoát Vị Đĩa Đệm</a><span style="font-size: 16px;">:</span></p><p><span style="font-size: 16px;">thoatvidiadem.top</span></p><p><a href="https://chuabenhthoatvidiadem.vn/" title="">chuabenhthoatvidiadem.vn</a></p>]]></content:encoded>
						<wfw:commentRss></wfw:commentRss>
						<slash:comments>0</slash:comments>
					</item>
				
					<item>
						<title>Thoát vị đĩa đệm cột sống thắt lưng L4/L5, L5/S1- May gặp được thầy.</title>
						<link>https://chuabenhthoatvidiadem.vn/bai-viet/ket-qua-dieu-tri-thoat-vi-dia-dem/thoat-vi-dia-dem-cot-song-that-lung-l4-l5-l5-s1-may-gap-duoc-thay-pid-123.html</link>
						<comments></comments>
						<pubDate>Mon, 04 Dec 2017 06:33:56 +0700</pubDate>
						<dc:creator>admin</dc:creator>
						<category><![CDATA[Kết quả điều trị thoát vị đĩa đệm]]></category>
						<guid isPermaLink="false"></guid>
						<description><![CDATA[Thoát vị đĩa đệm cột sống thắt lưng L4/L5, L5/S1 lương y Minh hay gặp nhiều nhất. Đây là vùng thắt lưng mà cột sống phải chịu lực của cơ thể đè nặng nhất nên dễ bị thoát vị đĩa đệm hơn các vùng cột sống khác.]]></description>
						<content:encoded><![CDATA[<p style="text-align: justify;"><span style="font-size:16px;">Thoát vị đĩa đệm cột sống thắt lưng L4/L5, L5/S1 Lương y Minh hay&nbsp;gặp nhiều nhất. Đây là vùng thắt lưng&nbsp;mà cột sống phải chịu lực của cơ thể đè nặng&nbsp;nhất, nên dễ bị thoát vị đĩa đệm hơn các vùng cột sống khác như cột sống cổ và&nbsp;cột sống lưng.</span></p><p><span style="font-size:16px;"><img loading="lazy" alt="Thầy thuốc Bảo Minh" src="data:image/gif;base64,R0lGODlhAQABAID/AP///wAAACwAAAAAAQABAAACAkQBADs=" data-src="https://chuabenhthoatvidiadem.vn/resources/images/Thầy thuốc Bảo Minh.jpg" style="width: 1152px; height: 864px;" class="lazy" width="1152" height="864" data-optimized="1" /></span></p><h2 style="text-align: justify;"><span style="font-size:16px;">Chị Võ Thị Trúc Linh bị đau thắt lưng, đau lan&nbsp;xuống mông, đau dọc bên đùi và cẳng chân, ngồi xuống đứng lên đau không thẳng ngay lưng&nbsp;được, đi lại càng đau. Chị Linh đã uống nhiều loại thuốc chữa thoát vị đĩa đệm nhưng chỉ giảm đau, ngưng thuốc vài hôm lại đau không chịu được. Khi chị Linh lên thành phố khám chữa bệnh tại bệnh viện Chợ Rẫy, bác sĩ yêu cầu chụp cộng hưởng từ cột sống thắt lưng, kết quả chị Linh bị thoái hóa cột sống thắt lưng, thoát vị đĩa đệm tầng L4/L5 kích thước #5mm, chèn ép rễ thần kinh. Thoát vị đĩa đệm tầng L5/S1 kích thước #4mm, chèn ép mặt trước bao màng cứng. Bác sĩ kê đơn cho chị Linh uống thêm&nbsp;3 đợt&nbsp;&nbsp;thuốc tây&nbsp;hơn một tháng nhưng không khỏi hẳn (theo lời chị Linh kể, bạn đọc bấm vào mũi tên ở dưới để nghe).&nbsp;</span></h2><p><span style="font-size:16px;"><a href="https://chuabenhthoatvidiadem.vn/resources/files/Tho_i_042.mp3" title="">&nbsp;benhthoatvidiadem&nbsp;L4/5, L5/S1</a></span></p><h3 style="text-align: justify;"><span style="font-size:16px;">Do gặp được&nbsp;người quen đã chữa khỏi thoát vị đĩa đệm&nbsp;giới thiệu, chị Linh có đến&nbsp;điều trị bệnh tại phòng khám của lương y Minh 2 liệu trình. Lần đầu, chị Linh mang kết quả chụp MRI tới khám và mua thuốc về nhà uống. Lần sau,&nbsp;do nhà ở xa nên chị đặt mua thuốc gửi qua đường bưu điện. Tổng cộng 2 liệu trình điều trị hết 20 thang thuốc.</span></h3><h4 style="text-align: justify;"><span style="font-size:16px;">Hôm nay, lương y Minh gọi điện hỏi thăm, chị Linh đồng ý cho chia sẻ bệnh án thoát vị đĩa đệm, cũng như cuộc nói chuyện giữa vợ chồng chị và lương y Minh để mọi người tham khảo đánh giá. Hai vợ chồng chị Linh đều xuýt xoa cảm ơn và nói: &quot; may gặp được thầy&quot;. Tôi, lương y Nguyễn Văn Minh&nbsp;cũng thấy mình hạnh phúc khi chữa khỏi bệnh cho&nbsp;chị.&nbsp;</span></h4><p><span style="font-size:16px;">P/s: Đây là cuộc nói chuyện rất&nbsp;thật giữa thầy thuốc với người bệnh, có lúc âm thanh nghe không rõ, nhưng đảm bảo được tính chân thật, đúng người đúng bệnh (*)</span></p><p><img loading="lazy" alt="Thoát vị đĩa đệm cột sống " src="data:image/gif;base64,R0lGODlhAQABAID/AP///wAAACwAAAAAAQABAAACAkQBADs=" data-src="https://chuabenhthoatvidiadem.vn/resources/images/20171025_070205 (2).jpg" style="width: 700px; height: 719px;" class="lazy" width="1168" height="1200" data-optimized="1" /></p><p style="text-align: justify;"><span style="font-size:16px;">Đây là kết quả chụp MRI của&nbsp;chị Linh do bác sĩ&nbsp;ở bệnh viện Chợ Rẫy thực hiện. Tôi&nbsp;đã xin phép và được chị Linh đồng ý cho chia sẻ cả&nbsp;địa chỉ&nbsp;và số điện thoại của chị&nbsp;</span><span style="font-size: 16px;">Võ Thị Trúc Linh, ấp Cả Chương, xã Phong Thạnh, huyện Cầu Kè, tỉnh Trà Vinh.&nbsp;</span></p><p><span style="font-size:16px;"><span style="text-align: justify;">Tôi xin trân trọng cảm ơn tấm lòng tốt của chị Trúc Linh và gia đình chị.</span></span></p><p><span style="font-size:16px;">(*) &nbsp;&quot;Lưu ý: tác dụng của thuốc uống, thuốc đắp&nbsp;chữa thoát vị đĩa đệm/ liệu trình&nbsp;điều trị có thể thay đổi&nbsp;tùy theo cơ địa&nbsp;mỗi nguời&quot;</span></p><p><span style="font-size:16px;"><a href="https://www.youtube.com/channel/UCMrl47bRL4MgAguyRi48mEw" style="color: rgb(102, 0, 153); cursor: pointer; text-decoration-line: none;" target="_blank" title="">Lương y Nguyễn Văn Minh</a>&nbsp;- Sử dụng&nbsp;bài thuốc&nbsp;chữa thoát vị đĩa đệm uy tín trên 25&nbsp;năm ở TP.HCM</span></p><p><span style="font-size:16px;">Địa chỉ&nbsp;khám chữa thoát vị đĩa đệm: 856/6 Quang Trung, Phường 8, Quận Gò Vấp, TP.HCM</span></p><p><span style="font-size: 16px;">Điện thoại, Zalo hướng dẫn phương pháp chữa thoát vị đĩa đệm: 0913503552 - Điện thoại cố định: 02862951367.</span></p><p><span style="font-size: 16px;">Trang web chuyên khám chữa bệnh&nbsp;</span><a data-ved="2ahUKEwjTv828lPj3AhXaqFYBHYknBQEQFnoECAIQAQ" href="https://chuabenhthoatvidiadem.vn/" ping="/url?sa=t&amp;source=web&amp;rct=j&amp;url=https://chuabenhthoatvidiadem.vn/&amp;ved=2ahUKEwjTv828lPj3AhXaqFYBHYknBQEQFnoECAIQAQ" style="color: rgb(26, 13, 171); text-decoration-line: none; -webkit-tap-highlight-color: rgba(0, 0, 0, 0.1); outline: 0px; font-family: arial, sans-serif; font-size: small;" title="">Thoát Vị Đĩa Đệm</a>:</p><p>thoatvidiadem.top</p><p><a href="https://chuabenhthoatvidiadem.vn/" title="">chuabenhthoatvidiadem.vn</a></p>]]></content:encoded>
						<wfw:commentRss></wfw:commentRss>
						<slash:comments>0</slash:comments>
					</item>
				
					<item>
						<title>Thầy thuốc đông y tiêu biêu toàn quốc</title>
						<link>https://chuabenhthoatvidiadem.vn/bai-viet/tu-van-chua-thoat-vi-dia-dem/thay-thuoc-dong-y-tieu-bieu-toan-quoc-pid-337.html</link>
						<comments></comments>
						<pubDate>Thu, 19 Jun 2025 06:10:18 +0700</pubDate>
						<dc:creator>admin</dc:creator>
						<category><![CDATA[Tư vấn chữa thoát vị đĩa đệm]]></category>
						<guid isPermaLink="false"></guid>
						<description><![CDATA[Thầy Thuốc Đông y tiêu biêu toàn quốc là danh hiệu cao quý của Trung ương Hội Đông y Việt Nam trao tặng. Giải thưởng nhằm tôn vinh những thầy thuốc là lương y, bác sĩ y học cổ truyền có thành tích xuất sắc và uy tín trong khám bệnh, chữa bệnh bằng đông y. Có nhiều đóng góp trong công tác kế thừa, bảo tồn và phát triển đông y, đông dược Việt Nam.]]></description>
						<content:encoded><![CDATA[<h2 style="text-align: justify;"><span style="font-size:16px;">Lương y Nguyễn Văn Minh vinh dự nhận danh hiệu: THẦY THUỐC ĐÔNG Y TIÊU BIỂU TOÀN QUỐC. Đây là phần thưởng&nbsp;ghi nhận những thành tích xuất sắc trong khám chữa bệnh bằng đông y, cũng như công tác kế thừa, bảo tồn và phát triển đông y, đông dược Việt Nam.</span></h2><p><img loading="lazy" alt="Thầy thuốc đông y tiêu biểu toàn quốc" src="data:image/gif;base64,R0lGODlhAQABAID/AP///wAAACwAAAAAAQABAAACAkQBADs=" data-src="https://chuabenhthoatvidiadem.vn/resources/images/Thay thuoc dong y tieu bieu toan quoc.jpg" style="width: 896px; height: 662px;" class="lazy" width="896" height="662" data-optimized="1" /></p><p style="text-align: justify;"><span style="font-size:14px;">Chủ tịch Trung ương Hội đông y Việt Nam tặng danh hiệu: Thầy thuốc đông y tiêu biểu cho Lương y Nguyễn Văn Minh - Phòng khám đông y Bảo Minh.</span></p><p style="text-align: justify;"><span style="font-size:14px;"><img loading="lazy" alt="Thầy thuốc đông y Nguyễn Văn Minh" src="data:image/gif;base64,R0lGODlhAQABAID/AP///wAAACwAAAAAAQABAAACAkQBADs=" data-src="https://chuabenhthoatvidiadem.vn/resources/images/Thầy thuốc đông y Nguyễn Văn Minh(3).jpg" style="width: 859px; height: 524px;" class="lazy" width="859" height="524" data-optimized="1" /></span></p><p style="text-align: justify;"><span style="font-size:14px;">Thầy thuốc đông y Nguyễn Văn Minh TP.HCM</span></p><p><img loading="lazy" alt="Thầy thuốc đông y tiêu biểu" src="data:image/gif;base64,R0lGODlhAQABAID/AP///wAAACwAAAAAAQABAAACAkQBADs=" data-src="https://chuabenhthoatvidiadem.vn/resources/images/Thầy thuốc đông y tiêu biểu.jpg" style="width: 896px; height: 672px;" class="lazy" width="896" height="672" data-optimized="1" /></p><p>Hình ảnh Lương y Nguyễn Văn Minh&nbsp;trong buổi lễ vinh danh Thầy thuốc đông y tiêu biểu toàn quốc năm 2025.</p><p><span class="optimize-cls-iframe" data-src="https://www.youtube.com/embed/xLWYYvmTA-w">https://www.youtube.com/embed/xLWYYvmTA-w</span></p><p style="text-align: justify;"><span style="font-size:16px;">Video ghi lại những khoảnh khắc trang trọng, ý nghĩa&nbsp;tại buổi lễ vinh danh các thầy thuốc đông y tiêu biể toàn quốc.</span></p><p style="text-align: justify;"><span style="font-size:16px;">Bạn đọc xem thêm về Thầy Thuốc đông y tiêu biểu toàn quốc: <a title="" href="https://chuabenhthoatvidiadem.vn/cach-chua-benh/luong-y-nguyen-van-minh-chua-thoat-vi-dia-dem-nhieu-nguoi-khong-phai-mo-thoat-vi-dia-dem-pid-25.html">Lương y Nguyễn Văn Minh</a></span></p>]]></content:encoded>
						<wfw:commentRss></wfw:commentRss>
						<slash:comments>0</slash:comments>
					</item>
				
					<item>
						<title>Phòng Khám đông y chữa xương khớp</title>
						<link>https://chuabenhthoatvidiadem.vn/bai-viet/kham-chua-benh-thoat-vi-dia-dem/phong-kham-dong-y-chua-xuong-khop-pid-335.html</link>
						<comments></comments>
						<pubDate>Tue, 18 Mar 2025 10:05:07 +0700</pubDate>
						<dc:creator>admin</dc:creator>
						<category><![CDATA[Khám chữa bệnh thoát vị đĩa đệm]]></category>
						<guid isPermaLink="false"></guid>
						<description><![CDATA[Phòng Khám đông y Bảo Minh - Phòng khám chữa xương khớp có uy tín ở TP.HCM. Chuyên chữa bệnh đau nhức xương khớp, tê bì chân tay, do; thoái hóa cột sống, gai cột sống, viêm khớp vai, đau các khớp. Thoát vị đĩa đệm chèn ép bao màng cứng, chèn ép rễ thần kinh, chèn ép lỗ liên hợp hoặc chùm đuôi ngựa.]]></description>
						<content:encoded><![CDATA[<h2 style="text-align: justify;"><span style="font-size:16px;">Phòng khám đông y chữa xương khớp&nbsp;ở TP.HCM - Phòng Khám đông y Bảo Minh.&nbsp;Đây là phòng khám chữa bệnh đau nhức xương khớp, do; viêm khớp, thoái hóa cột sống, gai cột sống, thoát vị đĩa đệm. Chữa bằng phương pháp đông y, có thể dùng một hoặc nhiều cách kết hợp, như; uống thuốc đông y, châm cứu bấm huyệt, xoa bóp bấm huyệt, thuốc đắp cột sống, thuốc nặn bóp&nbsp;xương khớp.</span></h2><p><img loading="lazy" alt="Phòng khám đông y chữa xương khớp" src="data:image/gif;base64,R0lGODlhAQABAID/AP///wAAACwAAAAAAQABAAACAkQBADs=" data-src="https://chuabenhthoatvidiadem.vn/resources/images/Phong-kham-dong-y.jpg" style="width: 900px; height: 615px;" class="lazy" width="1600" height="1094" data-optimized="1" /></p><p><em><span style="font-size:14px;">Phòng khám đông y Bảo Minh chữa&nbsp;đau nhức&nbsp;xương khớp có tiếng ở TP.HCM. Điều này được khảng định khi quý khách đã chữa khỏi bệnh giới thiệu người nhà, mách bảo người&nbsp;quen đến chữa.</span></em></p><p style="text-align: justify;"><span style="font-size:16px;">Đông y chữa đau nhức xương khớp rất hay, đây là thế mạnh của y học cổ truyền Việt&nbsp;Nam. Các phòng khám đông y hay còn gọi là phòng chẩn trị y học cổ truyền ở TP.HCM&nbsp;chữa bệnh xương khớp rất tốt. Cách chữa giúp người bệnh hết đau, hết nhức, hết tê bì chân tay, phục hồi di chứng tai biến mạch máu não, chữa liệt dây thần kinh số 7, chữa đau vai gáy, chữa đau lưng, đau quanh khớp vai, viêm khớp vai rất hiệu nghiệm. Còn nhiều bệnh về xương khớp mà đông y chữa rất giỏi, rất hay.</span></p><p style="text-align: justify;"><span style="font-size:16px;"><span class="optimize-cls-iframe" data-src="https://www.youtube.com/embed/YQUxnY39a4c">https://www.youtube.com/embed/YQUxnY39a4c</span></span></p><p style="text-align: justify;"><em><span style="font-size:14px;">Đông y châm cứu chữa xương khớp rất hay, sau một buổi châm đã bớt đau bớt nhức.</span></em></p><p style="text-align: justify;"><span style="font-size:16px;">Có những bệnh đau xương khớp chỉ cần châm cứu bấm huyệt sau 7 ngày đã hết đau, hết nhức, cử động khớp rất tốt&nbsp;mà không cần phải uống thuốc gì.&nbsp;</span></p><p><span class="optimize-cls-iframe" data-src="https://www.youtube.com/embed/2gEEuaZ0ikE">https://www.youtube.com/embed/2gEEuaZ0ikE</span></p><p><span style="font-size:14px;"><em>Bác Huệ nói; &quot; bác sĩ Long châm cứu rất giỏi, tôi đỡ ngay từ hôm đầu tiên&quot;.&nbsp;</em></span></p><p style="text-align: justify;"><span style="font-size:16px;">Quý khách nào ở thành phố Hồ Chí Minh, muốn chữa đau&nbsp;xương khớp, đau vai gáy, cử động khớp vai khó khăn, cách tay không giơ lên được. Muốn chữa&nbsp;bằng châm cứu bấm huyệt, nên bấm vào video trên&nbsp;xem bác sĩ chữa xương khớp ở TP.HCM hay như thế nào. Đây là video được quay tại phòng khám đông y Bảo Minh, do bác sĩ y học cổ truyền Nguyễn Thành Long châm cứu bấm huyệt.</span></p><p style="text-align: justify;"><span style="font-size:16px;">Xin trân trọng cảm ơn quý khách,&nbsp;đã đồng ý cho phòng khám xương khớp ghi lại những nội dung này. Sau này quý khách nào không muốn xuất hiện ở đây nữa, phòng khám sẽ gỡ xuống. Xin chân&nbsp;thành cảm ơn quý khách.</span></p><p style="text-align: justify;"><span style="font-size:16px;"><img loading="lazy" alt="Cham-cuu-dau-vai-gay" src="data:image/gif;base64,R0lGODlhAQABAID/AP///wAAACwAAAAAAQABAAACAkQBADs=" data-src="https://chuabenhthoatvidiadem.vn/resources/images/Cham-cuu-dau-vai-gay.jpg" style="width: 900px; height: 1200px;" class="lazy" width="900" height="1200" data-optimized="1" /></span></p><p><span style="font-size:14px;"><em>Hình ảnh châm cứu đau vai gáy ở phòng châm cứu đông y Bảo Minh.</em></span></p><p><span style="text-align: justify; font-size: 16px;">&nbsp;Khi một người nào đó bị đau nhức xương khớp, họ không muốn uống thuốc tây do lo sợ&nbsp;tác dụng phụ của thuốc. Họ sẽ tìm cách chữa xương khớp bằng đông y. C</span><span style="text-align: justify; font-size: 16px;">ụm từ</span><span style="text-align: justify; font-size: 16px;">&nbsp;&quot;p</span><span style="text-align: justify; font-size: 16px;">hòng khám đông y chữa xương khớp&quot; được người bệnh tìm kiếm trên mạng nhiều&nbsp;nhất. Với mong muốn tìm được</span><span style="text-align: justify; font-size: 16px;">&nbsp;những phòng khám đông y chữa bệnh đau nhức xương khớp tốt nhất,&nbsp;có uy tín nhất để đến chữa bệnh.</span></p><p><span class="optimize-cls-iframe" data-src="https://www.youtube.com/embed/ymrBbt0uovA">https://www.youtube.com/embed/ymrBbt0uovA</span></p><p style="text-align: justify;"><span style="font-size: 16px;">Video được quay ở phòng khám đông y Bảo Minh. Bạn đọc xem và cảm nhận sự hài lòng của quý khách khi đến đây chữa đau nhức xương khớp, căn bệnh&nbsp;do thoát vị đĩa đệm gây nên.&nbsp;</span></p><p style="text-align: justify;"><span style="font-size:16px;"><a title="" href="https://phongkhambaominh.com/">Phòng khám đông y Bảo Minh</a></span><span style="font-size: 16px; text-align: justify;">&nbsp;do <a title="" href="https://chuabenhthoatvidiadem.vn/dieu-tri/luong-y-nguyen-van-minh-chua-thoat-vi-dia-dem-cid-7-0.html">Lương y Nguyễn Văn Minh</a>&nbsp;và <a title="" href="https://www.youtube.com/@bsyhctlong2000/videos">Bác sĩ Nguyễn Thành Long</a>; khám chữa bệnh bằng y học cổ truyền: Bắt mạch, kê đơn, bốc thuốc, châm cứu, bấm huyệt.&nbsp;</span></p><p style="text-align: justify;"><span style="font-size: 16px; text-align: justify;">Phòng khám&nbsp;xương khớp tại&nbsp;</span><span style="font-size:16px;">TP.HCM:&nbsp;856/6 đường Quang Trung, Phường 8, quận Gò Vấp. Điện thoại có Zalo tư vấn;&nbsp;Lương y Nguyễn Văn Minh: 0913 503 552.&nbsp; B</span><span style="font-size: 16px; text-align: justify;">ác sĩ Nguyễn Thành Long, đặt hẹn</span><span style="font-size:16px;">&nbsp;châm cứu bấm huyệt: 0868 677 475.</span></p><p><span style="font-size:16px;">Trang web của phòng khám đông y Bảo Minh có 2 tên miền, đã đăng ký chính chủ&nbsp;và thông báo với Bộ Công Thương.</span></p><p><span style="font-size:16px;">https://thoatvidiadem.top</span></p><p><span style="font-size:16px;">https://chuabenhthoatvidiadem.vn</span></p>]]></content:encoded>
						<wfw:commentRss></wfw:commentRss>
						<slash:comments>0</slash:comments>
					</item>
				
					<item>
						<title>Châm cứu chữa thoát vị đĩa đệm</title>
						<link>https://chuabenhthoatvidiadem.vn/bai-viet/dia-chi-chua-benh-thoat-vi-dia-dem/cham-cuu-chua-thoat-vi-dia-dem-pid-329.html</link>
						<comments></comments>
						<pubDate>Sat, 13 Jul 2024 05:45:58 +0700</pubDate>
						<dc:creator>admin</dc:creator>
						<category><![CDATA[Địa chỉ chữa bệnh thoát vị đĩa đệm]]></category>
						<guid isPermaLink="false"></guid>
						<description><![CDATA[Châm cứu chữa thoát vị đĩa đệm]]></description>
						<content:encoded><![CDATA[<p><span style="font-size:16px;"><strong>Châm cứu chữa thoát vị đĩa đệm</strong></span></p><p><span style="font-size:16px;">Thoát vị đĩa đệm là gì?</span></p><p><span style="font-size:16px;"><img loading="lazy" alt="MRI thoát vị đĩa đệm " src="data:image/gif;base64,R0lGODlhAQABAID/AP///wAAACwAAAAAAQABAAACAkQBADs=" data-src="https://chuabenhthoatvidiadem.vn/resources/images/MRI thoat vi dia dem.jpg" style="width: 932px; height: 1200px;" class="lazy" width="932" height="1200" data-optimized="1" /></span></p><p style="text-align: justify;"><span style="font-size:16px;">Thoát vị đĩa đệm là tình trạng đĩa đệm giữa 2 đốt sống bị đẩy ra khỏi vị trí bình thường vốn có, khi đĩa đệm bị thoát ra ngoài sẽ chèn vào các dây thần kinh có ở 2 bên đốt sống từ đó gây nên những cơn đau nhức buốt như điện giật từ chỗ đĩa đệm bị thoát vị lan theo đường đi của dây thần kinh đi đến các chi.<br />Nếu thoát vị đốt sống thắt lưng thì cơn đau sẽ từ lưng lan xuống mông và chân. Trước đây hay gọi&nbsp;là triệu chứng của 1 cơn đau thần kinh tọa. Ngày nay khi xem phim chụp MRI cột sống, bác sĩ biết được những dây thần kinh nào đang bị chèn ép gây nên những cơn đau.</span></p><p style="text-align: justify;"><img loading="lazy" alt="Thoat-vi-dia-dem-co" src="data:image/gif;base64,R0lGODlhAQABAID/AP///wAAACwAAAAAAQABAAACAkQBADs=" data-src="https://chuabenhthoatvidiadem.vn/resources/images/Thoa-vi-dia-dem-co.jpg" style="width: 900px; height: 1200px;" class="lazy" width="900" height="1200" data-optimized="1" /><br /><span style="font-size:16px;">Nếu thoát vị đốt sống cổ thì cơn đau sẽ từ cổ, vai, bả vai hoặc gáy lan dọc theo cánh tay đến cẳng tay và các ngón tay, người ta gọi&nbsp;là hội chứng cổ - vai- tay.</span></p><p style="text-align: justify;">CÁC CÁCH ĐIỀU TRỊ THOÁT VỊ ĐĨA ĐỆM THEO Y HỌC HIỆN ĐẠI</p><p style="text-align: justify;"><span style="font-size:16px;">Hiện nay có những phương pháp điều trị thoái vị đĩa đệm như sau:<br />Điều trị theo y học hiện đại (tây y):<br />Mang đai thắt lưng, đi bơi, treo xà<br />Uống thuốc giảm đau chống viêm, giãn cơ<br />Kéo giãn cột sống bằng máy<br />Tiêm thuốc bổ thần kinh&hellip;<br />Phẫu thuật cột sống đĩa đệm (nếu điều trị bằng thuốc không còn tác dụng). Mọi người đều biết; khi bị thoát vị đĩa đệm thì đa phần thuốc giảm đau sẽ luôn là sự lựa chọn đầu tay, vì tác dụng đạt được giúp người bệnh thoát khỏi cơn đau cấp tính rất&nbsp; nhanh chóng.<br />Tuy nhiên thuốc giảm đau chỉ sử dụng được trong 1 khoảng thời gian ngắn, và tác dụng phụ gây ra là khá nhiều nên khi uống hết 1 đợt thuốc giảm đau mà bệnh vẫn tiến triển hoặc thậm chí có nhiều trường hợp uống thuốc giảm đau xong vẫn đau như thường thì đa phần các bác sĩ tây y sẽ chỉ định phẫu thuật thoát vị đĩa đệm.<br />Chi phí phẫu thuật thoát vị đĩa đệm là rất cao, và không đảm bảo 100% sau phẫu thuật bạn sẽ không tái lại. Khi phẫu thuật xong bạn sẽ phải tốn rất nhiều chi phí và thời gian nằm viện.</span></p><p style="text-align: justify;">&nbsp;</p><p style="text-align: justify;"><img loading="lazy" alt="Bs. Nguyễn Thành Long" src="data:image/gif;base64,R0lGODlhAQABAID/AP///wAAACwAAAAAAQABAAACAkQBADs=" data-src="https://chuabenhthoatvidiadem.vn/resources/images/BS_ Nguyễn Thành Long.jpg" style="width: 1308px; height: 718px;" class="lazy" width="1308" height="718" data-optimized="1" /></p><p><em><span style="font-size:14px;">BS. Nguyễn Thành Long, chuyên gia châm cứu bấm huyệt chữa bệnh tại phòng khám đông y Bảo Minh</span></em></p><p><span style="font-size:16px;">CÁC PHƯƠNG PHÁP&nbsp;ĐIỀU TRỊ THOÁT VỊ ĐĨA ĐỆM THEO Y HỌC CỔ TRUYỀN</span></p><p><span style="font-size:16px;">Điều trị theo y học cổ truyền gồm có:<br />- Châm cứu&nbsp;<br />- Xoa bóp bấm&nbsp;huyệt<br />- Kéo giãn cột sống bằng tay<br />- Chiếu đèn hồng ngoại<br />- Đắp thuốc xoa bóp<br />- Uống thuốc đông y</span></p><p><span style="font-size:16px;">CHÂM CỨU - MỘT PHƯƠNG PHÁP CHỮA BỆNH TỐT&nbsp;CHO NGƯỜI BỊ THOÁT VỊ ĐĨA ĐỆM</span></p><p><span style="font-size:16px;">Rất may; hiện nay bệnh thoát vị đĩa đệm đã được y học cổ truyền xử lý rất tốt bằng phương pháp châm cứu bấm huyệt, kết hợp uống thuốc đông y (trong uống ngoài châm). Cách chữa bệnh này&nbsp;giúp cho bệnh nhân bị thoát vị đĩa đệm sống khoẻ mạnh và tránh phải&nbsp;mổ thoát vijddiax đệm, tránh&nbsp;đau đớn về sau.<br />Thường thì khi mới bị thoát vị đĩa đệm, bệnh nhân sẽ rất đau, có người đau chảy nước mặt, không nằm ngửa được, không xoay người, không gượng dậy được, đặc biệt là vào mỗi buổi tối khi cơn đau hành hạ khiến bệnh nhân mất ngủ cả đêm vì đau. Những lần như vậy nên châm với cường độ dày đặc 1 ngày có thể châm 2 lần ( sáng tối) và châm liên tục 14 ngày thì bệnh sẽ lui rất nhanh, thậm chí có những người vừa châm xong đã giảm đau đớn rất nhiều và đi lại rất nhẹ nhàng.<br />Cơ chế giảm đau của châm cứu đã được chứng minh hiệu quả qua hàng ngàn năm lịch sử. Quý bệnh nhân có thể hình dung rằng: nếu y học hiện đại có thuốc giảm đau thì y học cổ truyền có phương pháp châm cứu.<br />Châm cứu có ưu điểm hơn thuốc giảm đau ở chỗ: vì châm cứu là phương pháp không dùng thuốc, điều trị giảm đau bằng cơ chế sinh học tự nhiên nên không gây cho người bệnh những tác dụng phụ như khi dùng thuốc giảm đau bên tây y, mà hiệu quả giúp giảm đau tương đương hoặc thậm chí nếu thầy thuốc có tay nghề cao có thể châm giúp bệnh nhân cắt cơn đau thần kinh toạ ngay lập&nbsp;tức chỉ với vài chiếc kim châm vào đúng huyệt đạo.</span></p><p><span style="font-size:16px;">Mặc dù châm cứu là phương pháp điều trị tự nhiên, lành tính và rất hiệu quả đối với việc giải quyết các cơn đau, tuy nhiên người bệnh cần lưu ý những điều sau:<br />- Không nên ăn quá no hoặc để quá đói trước khi châm cứu<br />- Nếu lần đầu châm cứu hoặc cơ địa quá sợ kim thì hãy nói cho thầy thuốc của bạn biết để có thể chọn những huyệt ít đau nhất và thủ pháp châm thật nhanh để tránh gây đau đớn, hoặc có thể lựa chọn những phương pháp điều trị khác không dùng kim như điện xung, cứu ngải, bấm huyệt, bó thuốc,&hellip;<br />- Không nên tự ý châm cứu hoặc để người không có chuyên môn thực hiện châm cứu.</span></p><p><span style="font-size:16px;">&nbsp;Điều trị châm cứu ở đâu<br />Nếu quý bệnh nhân vẫn chưa biết phải chọn nơi nào để điều trị thoát vị đĩa đệm - đau thần kinh toạ bằng châm cứu thì có thể tham khảo dịch vụ châm cứu tại phòng khám đông y Bảo Minh do bác sĩ Nguyễn Thành Long phụ trách chuyên môn trực tiếp điều trị cho quý bệnh nhân.<br />Bác sĩ Nguyễn Thành Long tốt nghiệp khoá 14 Học Viện Y Dược Học Cổ Truyền Việt Nam<br />Khi châm cứu tại phòng khám đông y Bảo Minh, quý vị có thể chọn châm cứu trong phòng điều hoà hoặc quý bệnh nhân nào sợ máy lạnh có thể chọn phòng thường không điều hoà, giá tiền 2 phòng điều trị là như nhau.</span></p><p><span style="font-size:16px;">BẢNG GIÁ CHÂM CỨU</span></p><p><span style="font-size:16px;"><img loading="lazy" alt="Bang-gia-cham-cuu" src="data:image/gif;base64,R0lGODlhAQABAID/AP///wAAACwAAAAAAQABAAACAkQBADs=" data-src="https://chuabenhthoatvidiadem.vn/resources/images/Bang-gia-cham-cuu.jpg" style="width: 930px; height: 1200px;" class="lazy" width="930" height="1200" data-optimized="1" /></span></p><p><span style="font-size:16px;"><span style="font-size:14px;"><em>Bảng giá châm cứu tại phòng khám.</em></span><br />Tại phòng khám đông y Bảo Minh chúng tôi sử dụng kim châm cứu Hải Nam rất sắc béngiúp kim qua da nhanh, đi sâu vào huyệt&nbsp; mà không gây đau đớn cho bệnh nhân, kim sau khi được sử dụng xong là sẽ tiêu huỷ không dùng lại cho những lần sau.<br />Phòng châm cứu, giường châm cứu luôn được khử trùng, lau chùi sạch sẽ thường xuyên để đem đến trải nghiệm điều trị tuyệt vời và thoải mái nhất cho bệnh nhân.<br />Bảng giá niêm yết dịch vụ tại phòng khám, tiền thủ thuật châm cứu đã bao gồm cả tiền kim nên quý vị không cần phải mua hộp kim riêng.</span></p><p>&nbsp;</p>]]></content:encoded>
						<wfw:commentRss></wfw:commentRss>
						<slash:comments>0</slash:comments>
					</item>
				
					<item>
						<title>Chữa thoát vị đĩa đệm cho chị Huệ ở An Giang</title>
						<link>https://chuabenhthoatvidiadem.vn/bai-viet/dieu-tri-thoat-vi-dia-dem-cot-song-that-lung/chua-thoat-vi-dia-dem-cho-chi-hue-o-an-giang-pid-317.html</link>
						<comments></comments>
						<pubDate>Sun, 09 Jul 2023 06:12:59 +0700</pubDate>
						<dc:creator>admin</dc:creator>
						<category><![CDATA[Điều trị thoát vị đĩa đệm cột sống thắt lưng]]></category>
						<guid isPermaLink="false"></guid>
						<description><![CDATA[Chữa khỏi thoát vị đĩa đệm cho chị Huệ ở An Giang, chị Huệ đồng ý cho ghi lại nội dung câu chuyện để giới thiệu cách chữa bệnh của Lương y Nguyễn Văn Minh. Bà con cô bác ai ở gần nhà Chị Huệ nên tìm gặp chị Huệ để biết rõ rằng; Bệnh thoát vị đĩa đệm chữa khỏi được, chữa bằng phương pháp của đông y, khỏi bệnh không đau lại.]]></description>
						<content:encoded><![CDATA[<p style="text-align: justify;"><span style="font-size:16px;">Chữa khỏi thoát vị đĩa đệm cho chị Huệ ở An Giang, chị Huệ đồng ý cho ghi lại nội dung câu chuyện để giới thiệu, bà con cô bác ai ở gần nhà Chị Huệ nên gặp chị Huệ để thấy rõ; bệnh thoát vị đĩa đệm chữa khỏi được, chữa bằng thuốc đông y của&nbsp;phòng khám đông y Bảo Minh.&nbsp;</span></p><p><img loading="lazy" alt="Chữa khỏi thoát vị đĩa đệm " src="data:image/gif;base64,R0lGODlhAQABAID/AP///wAAACwAAAAAAQABAAACAkQBADs=" data-src="https://chuabenhthoatvidiadem.vn/resources/images/Chữa khỏi thoát vị đĩa đệm.jpg" style="width: 900px; height: 1200px;" class="lazy" width="900" height="1200" data-optimized="1" /></p><p style="text-align: justify;"><em><span style="font-size:14px;">Chị Huệ đồng ý cho Lương y Nguyễn Văn Minh chia sẻ thông tin, bệnh án thoát vị đĩa đệm,&nbsp;địa chỉ nhà ở và số điện thoại của vợ chồng chị, mục đích giúp cho người nào&nbsp;không may bị thoát vị đĩa đệm,&nbsp;gặp được thầy gặp thuốc để&nbsp;chữa khỏi bệnh:</span></em></p><p><a href="https://chuabenhthoatvidiadem.vn/resources/files/Cao Thị Huệ 1974%2C An Giang_mp3.mp3" title="">Chữa khỏi thoát vị đĩa đệm cho chị Huệ ở An Giang</a></p><p><a href="https://chuabenhthoatvidiadem.vn/resources/files/Chồng chị Cao Thị Huệ%2C An Giang_mp3.mp3" title="">Chồng chị Huệ thấy vợ khỏi bệnh, đồng ý&nbsp;chia sẻ thông tin</a></p><p style="box-sizing: border-box; margin: 0px 0px 10px; padding: 0px; border: 0px; outline: 0px; font-size: 16px; vertical-align: baseline; background-image: initial; background-position: initial; background-size: initial; background-repeat: initial; background-attachment: initial; background-origin: initial; background-clip: initial; max-width: 100%; color: rgb(0, 0, 0); font-family: RobotoSlab-Regular, Arial, Helvetica, sans-serif; text-align: justify;"><span style="box-sizing: border-box; margin: 0px; padding: 0px; border: 0px; outline: 0px; vertical-align: baseline; background: transparent; max-width: 100%;">Lương y Nguyễn Văn Minh đã xin phép và được vợ chồng&nbsp;chị&nbsp;Huệ đồng ý cho chia sẻ nội dung câu&nbsp;chuyện, cho cả số&nbsp;điện thoại để ai ở gần đến gặp chị Huệ, tham khảo cách&nbsp;</span><span style="box-sizing: border-box; margin: 0px; padding: 0px; border: 0px; outline: 0px; vertical-align: baseline; background: transparent; max-width: 100%;">chữa thoát vị đĩa đệm: 0364778841. Quý khách nghe đến cuối nội dung cuộc nói chuyện, sẽ thấy chồng chị Huệ cho biết địa chỉ của anh chị đang ở hiện nay.</span></p><p style="box-sizing: border-box; margin: 0px 0px 10px; padding: 0px; border: 0px; outline: 0px; font-size: 16px; vertical-align: baseline; background-image: initial; background-position: initial; background-size: initial; background-repeat: initial; background-attachment: initial; background-origin: initial; background-clip: initial; max-width: 100%; color: rgb(0, 0, 0); font-family: RobotoSlab-Regular, Arial, Helvetica, sans-serif; text-align: justify;"><span style="box-sizing: border-box; margin: 0px; padding: 0px; border: 0px; outline: 0px; vertical-align: baseline; background: transparent; max-width: 100%;">&nbsp;Phòng khám đông y Bảo Minh xin cảm ơn vợ chồng chị Huệ&nbsp;rất nhiều. Chúng tôi chỉ chia sẻ thông tin khi được sự đồng ý của quý bệnh nhân, trường hợp nào cần bảo mật thông tin, chúng tôi không bao giờ chia sẻ.&nbsp;</span></p><p style="box-sizing: border-box; margin: 0px 0px 10px; padding: 0px; border: 0px; outline: 0px; font-size: 16px; vertical-align: baseline; background-image: initial; background-position: initial; background-size: initial; background-repeat: initial; background-attachment: initial; background-origin: initial; background-clip: initial; max-width: 100%; color: rgb(0, 0, 0); font-family: RobotoSlab-Regular, Arial, Helvetica, sans-serif; text-align: justify;">Sau này; nếu quý khách nào không muốn chia sẻ ở đây nữa, chúng tôi sẽ gỡ bài đăng xuống. Xin trân trọng cảm ơn quý khách.&nbsp;<span style="color: rgb(0, 0, 0); font-family: RobotoSlab-Regular, Arial, Helvetica, sans-serif; font-size: 16px; text-align: justify;">Xem&nbsp;</span><a data-ved="2ahUKEwjxrtT74rb4AhWbQPUHHRkZD6IQFnoECBEQAQ" href="https://chuabenhthoatvidiadem.vn/cach-chua-benh/chinh-sach-bao-mat-thong-tin-pid-300.html" ping="/url?sa=t&amp;source=web&amp;rct=j&amp;url=https://chuabenhthoatvidiadem.vn/cach-chua-benh/chinh-sach-bao-mat-thong-tin-pid-300.html&amp;ved=2ahUKEwjxrtT74rb4AhWbQPUHHRkZD6IQFnoECBEQAQ" style="box-sizing: border-box; margin: 0px; padding: 0px; border: 0px; outline: 0px; font-size: small; vertical-align: baseline; background-image: initial; background-position: initial; background-size: initial; background-repeat: initial; background-attachment: initial; background-origin: initial; background-clip: initial; color: rgb(26, 13, 171); text-decoration-line: none; transition: all 406ms ease-out 0s; max-width: 100%; text-align: justify; -webkit-tap-highlight-color: rgba(0, 0, 0, 0.1); font-family: arial, sans-serif;" title=""><span style="font-size:16px;">Chính sách bảo mật thông tin - Thoát Vị Đĩa Đệm</span></a></p><p style="box-sizing: border-box; margin: 0px 0px 10px; padding: 0px; border: 0px; outline: 0px; font-size: 16px; vertical-align: baseline; background-image: initial; background-position: initial; background-size: initial; background-repeat: initial; background-attachment: initial; background-origin: initial; background-clip: initial; max-width: 100%; color: rgb(0, 0, 0); font-family: RobotoSlab-Regular, Arial, Helvetica, sans-serif; text-align: justify;">Phòng khám và nhà thuốc đông y Bảo Minh, do thầy thuốc đông y Nguyễn Văn Minh đứng tên, có địa chỉ duy nhất ở thành phố: 856/6 đường Quang Trung, Phường 8, quận Gò Vấp. Điện thoại có Zalo <span style="color: rgb(0, 0, 0); font-family: RobotoSlab-Regular, Arial, Helvetica, sans-serif; font-size: 16px; text-align: justify;">thầy thuốc&nbsp;</span>tư vấn cách chữa: 0913 503 552.&nbsp;</p><p style="box-sizing: border-box; margin: 0px 0px 10px; padding: 0px; border: 0px; outline: 0px; font-size: 16px; vertical-align: baseline; background-image: initial; background-position: initial; background-size: initial; background-repeat: initial; background-attachment: initial; background-origin: initial; background-clip: initial; max-width: 100%; color: rgb(0, 0, 0); font-family: RobotoSlab-Regular, Arial, Helvetica, sans-serif; text-align: justify;">Nếu đây là&nbsp;lần đầu quý khách vào&nbsp;trang web này, mời xem:&nbsp;<span style="font-size:16px;"><a data-ved="2ahUKEwj94eeKyIGAAxUNU94KHef4CXY4MhAWegQIEBAB" href="https://chuabenhthoatvidiadem.vn/cach-chua-benh/giay-phep-kham-chua-benh-cua-luong-y-nguyen-van-minh-pid-30.html" jsaction="rcuQ6b:npT2md" jscontroller="M9mgyc" jsname="qOiK6e" ping="/url?sa=t&amp;source=web&amp;rct=j&amp;opi=89978449&amp;url=https://chuabenhthoatvidiadem.vn/cach-chua-benh/giay-phep-kham-chua-benh-cua-luong-y-nguyen-van-minh-pid-30.html&amp;ved=2ahUKEwj94eeKyIGAAxUNU94KHef4CXY4MhAWegQIEBAB" style="color: rgb(26, 13, 171); text-decoration-line: none; -webkit-tap-highlight-color: rgba(0, 0, 0, 0.1); outline: 0px; font-family: arial, sans-serif; font-size: small;" title="">Giấy phép khám chữa bệnh của lương y Nguyễn Văn Minh.</a></span></p><p style="box-sizing: border-box; margin: 0px 0px 10px; padding: 0px; border: 0px; outline: 0px; font-size: 16px; vertical-align: baseline; background-image: initial; background-position: initial; background-size: initial; background-repeat: initial; background-attachment: initial; background-origin: initial; background-clip: initial; max-width: 100%; color: rgb(0, 0, 0); font-family: RobotoSlab-Regular, Arial, Helvetica, sans-serif; text-align: justify;">Trang web của phòng khám đông y Bảo Minh có 2 tên miền đăng ký chính chủ cơ sở, đã thông báo với Bộ Công Thương.</p><p style="box-sizing: border-box; margin: 0px 0px 10px; padding: 0px; border: 0px; outline: 0px; font-size: 16px; vertical-align: baseline; background-image: initial; background-position: initial; background-size: initial; background-repeat: initial; background-attachment: initial; background-origin: initial; background-clip: initial; max-width: 100%; color: rgb(0, 0, 0); font-family: RobotoSlab-Regular, Arial, Helvetica, sans-serif; text-align: justify;"><a class="xFAlBc" font-size:="" helvetica="" href="https://thoatvidiadem.top/" ping="/url?sa=t&amp;source=web&amp;rct=j&amp;url=https://thoatvidiadem.top/&amp;ved=2ahUKEwiysb_RuZT-AhVApFYBHVLSBtAQhAd6BAgbEAE" style="box-sizing: border-box; margin: 0px; padding: 0px; border: 0px; outline: 0px; vertical-align: baseline; background: transparent; color: rgb(26, 13, 171); text-decoration-line: none; transition: all 406ms ease-out 0s; max-width: 100%; -webkit-tap-highlight-color: rgba(0, 0, 0, 0.1); overflow-wrap: break-word; word-break: break-word;" title="">thoatvidiadem.top</a></p><p style="box-sizing: border-box; margin: 0px 0px 10px; padding: 0px; border: 0px; outline: 0px; font-size: 16px; vertical-align: baseline; background-image: initial; background-position: initial; background-size: initial; background-repeat: initial; background-attachment: initial; background-origin: initial; background-clip: initial; max-width: 100%; color: rgb(0, 0, 0); font-family: RobotoSlab-Regular, Arial, Helvetica, sans-serif; text-align: justify;"><a class="xFAlBc" font-size:="" helvetica="" href="https://chuabenhthoatvidiadem.vn/" ping="/url?sa=t&amp;source=web&amp;rct=j&amp;url=https://chuabenhthoatvidiadem.vn/&amp;ved=2ahUKEwiysb_RuZT-AhVApFYBHVLSBtAQ6156BAgdEAE" style="box-sizing: border-box; margin: 0px; padding: 0px; border: 0px; outline: 0px; vertical-align: baseline; background: transparent; color: rgb(26, 13, 171); text-decoration-line: none; transition: all 406ms ease-out 0s; max-width: 100%; -webkit-tap-highlight-color: rgba(0, 0, 0, 0.1); overflow-wrap: break-word; word-break: break-word;" title="">chuabenhthoatvidiadem.vn</a></p>]]></content:encoded>
						<wfw:commentRss></wfw:commentRss>
						<slash:comments>0</slash:comments>
					</item>
				
					<item>
						<title>Thoát vị đĩa đệm, rách vòng xơ, chèn rễ L3 trái, chèn rễ L5 phải.</title>
						<link>https://chuabenhthoatvidiadem.vn/bai-viet/thuoc-dong-y-tri-thoat-vi-dia-dem/thoat-vi-dia-dem-rach-vong-xo-chen-re-l3-trai-chen-re-l5-phai-pid-312.html</link>
						<comments></comments>
						<pubDate>Thu, 06 Apr 2023 10:24:08 +0700</pubDate>
						<dc:creator>admin</dc:creator>
						<category><![CDATA[Thuốc đông y trị thoát vị đĩa đệm ]]></category>
						<guid isPermaLink="false"></guid>
						<description><![CDATA[Lồi kèm thoát vị đĩa đệm tầng L2-L3, di trú xuống dưới ở ngách bên trái, ép mặt trước bao màng cứng, làm hẹp ngách bên trái, chèn rễ L3 trái. Thoát vị đĩa đệm dạng trung tâm tầng L4-L5, có rách vòng xơ, có mảnh rời di trú xuống dưới ở ngách bên phải, ép mặt trước bao màng cứng, chèn ép rễ L5 phải. Thoái hóa cột sống thắt lưng.]]></description>
						<content:encoded><![CDATA[<p style="text-align: justify;"><span style="font-size:16px;">Đây là bài viết chia sẻ ý kiến của quý khách về cách chữa thoát vị đĩa đệm ở phòng khám đông y Bảo Minh. Quý khách nào muốn tham khảo chuyên sâu thì nên xem hết nội dung VIDEO ở dưới, do quay tại phòng khám có&nbsp;nội dung tự nhiên nên hình ảnh,&nbsp;âm thanh có lúc ồn ào không rõ, nhưng là nội dung rất thật về bệnh thoát vị đĩa đệm đa tầng, thuộc dạng bệnh&nbsp;nặng, bác sĩ ở&nbsp;bệnh viện&nbsp;đã yêu cầu phẫu thuật cột sống đĩa đệm.&nbsp;</span></p><p><span style="font-size:16px;"><img loading="lazy" alt="Lương y Nguyễn Văn Minh chữa thoát vị đĩa đệm" src="data:image/gif;base64,R0lGODlhAQABAID/AP///wAAACwAAAAAAQABAAACAkQBADs=" data-src="https://chuabenhthoatvidiadem.vn/resources/images/Lương y chữa thoát vị đĩa đệm.jpg" style="width: 841px; height: 1200px;" class="lazy" width="841" height="1200" data-optimized="1" /></span></p><p><span style="font-size:14px;"><em>Xẹp L2 và trượt L2 ra sau độ 1</em></span></p><p style="text-align: justify;"><span style="font-size:14px;"><em>Lồi đĩa đệm tầng L1-L2, L5-S1, ép mặt trước bao màng cứng, chưa chèn ép rễ.&nbsp;</em></span></p><p style="text-align: justify;"><em style="font-size: 14px;">Lồi kèm thoát vị đĩa đệm tầng L2-L3, di trú xuống dưới ở ngách bên trái, ép mặt trước bao màng cứng, làm hẹp ngách bên trái, chèn rễ L3 trái.</em></p><p style="text-align: justify;"><span style="font-size:14px;"><em>Lồi đĩa đệm tầng L3- L4, ép mặt trước bao màng cứng, làm hẹp ngách dưới lỗ liên hợp hai bên, chưa chèn rễ.</em></span></p><p style="text-align: justify;"><em style="font-size: 14px;">Thoát vị đĩa đệm dạng trung tâm tầng L4-L5, có rách vòng xơ, có mảnh rời di trú xuống dưới ở ngách bên phải, ép mặt trước bao màng cứng, chèn ép rễ L5 phải. Thoái hóa cột sống thắt lưng.</em></p><p style="text-align: justify;"><span style="font-size:16px;">Tôi; Lương y Nguyễn Văn Minh&nbsp;xin trân trọng cảm ơn quý bệnh nhân đồng ý chia sẻ kinh nghiệm chữa bệnh ở đây, tôi chỉ đưa thông tin, hình ảnh khi được sự đồng ý của quý khách, sau này quý khách nào không thích công khai ở đây nữa, tôi sẽ gỡ bài đăng xuống, xin cảm ơn quý khách đã tin tưởng và đặt niềm tin vào uy tín của tôi cũng như phòng khám do tôi làm chủ cơ sở.</span></p><p style="text-align: justify;"><span style="font-size:16px;"><span class="optimize-cls-iframe" data-src="https://www.youtube.com/embed/CzFKp2rBi6Q">https://www.youtube.com/embed/CzFKp2rBi6Q</span></span></p><p style="text-align: justify;">Quý khách muốn tìm đường đến phòng khám&nbsp;chính xác và nhanh nhất,&nbsp;quý khách vào tìm kiếm gõ dòng chữ: THẦY THUỐC CHỮA THOÁT VỊ ĐĨA ĐỆM,&nbsp; khi hiện ra bản đồ Maps, quý khách nhấp vào chỉ đường là tới nơi.</p><p style="text-align: justify;">Phòng khám và nhà thuốc đông y Bảo Minh, có địa chỉ duy nhất ở thành phố HCM: 856/6 đường Quang Trung, Phường 8, quận Gò Vấp. Điện thoại có Zalo tư vấn trực tiếp cách chữa từ thầy thuốc: 0913 503 552.&nbsp;</p><p style="text-align: justify;">Trang web của phòng khám đông y Bảo Minh có 2 tên miền, đã đăng ký chính chủ cơ sở và thông báo với Bộ Công Thương.</p><p style="text-align: justify;"><a class="xFAlBc" font-size:="" helvetica="" href="https://thoatvidiadem.top/" ping="/url?sa=t&amp;source=web&amp;rct=j&amp;url=https://thoatvidiadem.top/&amp;ved=2ahUKEwiysb_RuZT-AhVApFYBHVLSBtAQhAd6BAgbEAE" style="color: rgb(26, 13, 171); text-decoration-line: none; -webkit-tap-highlight-color: rgba(0, 0, 0, 0.1); overflow-wrap: break-word; word-break: break-word; outline: 0px; font-family: Roboto, " title="">thoatvidiadem.top</a></p><p style="text-align: justify;"><a class="xFAlBc" font-size:="" helvetica="" href="https://chuabenhthoatvidiadem.vn/" ping="/url?sa=t&amp;source=web&amp;rct=j&amp;url=https://chuabenhthoatvidiadem.vn/&amp;ved=2ahUKEwiysb_RuZT-AhVApFYBHVLSBtAQ6156BAgdEAE" style="color: rgb(26, 13, 171); text-decoration-line: none; -webkit-tap-highlight-color: rgba(0, 0, 0, 0.1); overflow-wrap: break-word; word-break: break-word; outline: 0px; font-family: Roboto, " title="">chuabenhthoatvidiadem.vn</a></p>]]></content:encoded>
						<wfw:commentRss></wfw:commentRss>
						<slash:comments>0</slash:comments>
					</item>
				
					<item>
						<title>Thoát vị đĩa đệm thắt lưng tới 9mm, có chữa được không</title>
						<link>https://chuabenhthoatvidiadem.vn/bai-viet/ket-qua-dieu-tri-thoat-vi-dia-dem/thoat-vi-dia-dem-that-lung-toi-9mm-co-chua-duoc-khong-pid-208.html</link>
						<comments></comments>
						<pubDate>Sat, 14 Apr 2018 08:00:49 +0700</pubDate>
						<dc:creator>admin</dc:creator>
						<category><![CDATA[Kết quả điều trị thoát vị đĩa đệm]]></category>
						<guid isPermaLink="false"></guid>
						<description><![CDATA[Thoát vị đĩa đệm thắt lưng thể nặng. Bệnh án chụp MRI: Thoái hóa cột sống đĩa đệm thắt lưng, gai đốt sống thắt lưng, thoát vị đĩa đệm tầng L4/L5 chèn ép rễ thần kinh L5 hai bên, hẹp lỗ liên hợp L4/L5. Thoát vị đĩa đệm L5/S1 chèn ép rễ thần kinh L5 và S1, Hẹp ống sống L5/S1. Trượt L3/L4 ra trước độ 1 và lồi đĩa đệm.]]></description>
						<content:encoded><![CDATA[<p style="text-align: justify;"><span style="font-size:18px;">Dưới đây là bệnh án thoát vị đĩa đệm của anh Tuấn, do&nbsp;bác sĩ&nbsp;chuyên khoa&nbsp;cột sống&nbsp;ở bệnh viện Chấn Thương Chỉnh Hình TP.HCM kết luận:</span></p><p style="text-align: justify;"><span style="font-size:16px;">- Thoái hóa đốt sống đĩa đệm thắt lưng</span></p><p style="text-align: justify;"><span style="font-size:16px;">-&nbsp;Thoát vị đĩa đệm nặng&nbsp;tầng L4/L5, ra sau # 9mm dạng trung tâm, chèn ép rễ thần kinh L5 hai bên, hẹp lỗ liên hợp L4/L5 hai bên.</span></p><p style="text-align: justify;"><span style="font-size:16px;">- Thoát vị đĩa đệm tầng&nbsp;L5/S1, ra sau sang bên (P), và hướng xuống dưới (T)&nbsp;#8mm, làm hẹp ngách bên (T), chèn ép rễ thần kinh L5 (P) và S1 (T).&nbsp;Hẹp ống sống L5/S1.</span></p><p style="text-align: justify;"><span style="font-size:16px;">- Trượt L3/L4 ra trước độ 1 và lồi đĩa đệm, làm hẹp ống sống, ép rễ thần kinh L4 hai bên.</span></p><p style="text-align: justify;"><span style="font-size:16px;">Đây là bệnh án thoát vị đĩa đệm thắt lưng thể&nbsp;nặng. Tôi có&nbsp;xin phép và anh Tuấn&nbsp;đồng ý cho chia sẻ bệnh án của mình, để cảm ơn&nbsp;và giới thiệu phương pháp chữa thoát vị đĩa đệm của phòng khám đông y Bảo Minh.</span></p><p style="text-align: justify;"><span style="font-size:16px;">&nbsp;Khi anh biết tôi (lương y Nguyễn Văn Minh) đã chữa cho nhiều người bị thoát vị đĩa đệm khỏi bệnh, anh Tuấn có tới phòng khám và nhờ tôi chữa bệnh cho anh. Do thấy bệnh của anh thuộc dạng nặng, khó có khả năng chữa khỏi bằng thuốc uống và thuốc đắp cột sống của nhà thuốc, tôi đã từ chối chữa, nhưng anh nhiệt tình trình bày và&nbsp;&nbsp;không muốn mổ thoát vị đĩa đệm. Anh&nbsp;thuyết phục tôi chữa cho anh dù hy vọng chỉ 1%.&nbsp;Từ trước tới nay tôi không muốn chữa bệnh cho ai khi mà tỷ lệ khỏi bệnh dưới 70%, trường hợp của anh thì hy vọng chữa khỏi chỉ 1%. Và điều kỳ diệu đã xảy ra; anh hết những cơn đau nhức sau 20 ngày vừa uống thuốc vừa đắp thuốc trị thoát vị đĩa đệm.</span></p><p style="text-align: justify;"><span style="font-size:16px;">Mời bạn đọc nhấp chuột vào ô bên dưới để nghe anh Tuấn thông báo khỏi bệnh và chia sẻ địa chỉ thực của mình ở TP Bảo Lộc, Lâm Đồng (*)</span></p><p><a href="https://chuabenhthoatvidiadem.vn/resources/files/Thoại 004.mp3" title="">Thoát vị đĩa đệm nặng</a></p><p style="text-align: justify;"><span style="font-size:16px;">Bạn đang nghe anh Tuấn kể: &quot;Em mới uống hết 20 thang, mấy tháng nay không thấy đau lại&quot; và: &quot;Lúc trước bác sĩ yêu cầu em phải mổ đấy, may anh (lương y Nguyễn Văn Minh) chữa cho em khỏi bệnh&quot; v.v.</span></p><p style="text-align: justify;">&nbsp;</p><p><img loading="lazy" alt="Thoát vị đĩa đệm thắt lưng" src="data:image/gif;base64,R0lGODlhAQABAID/AP///wAAACwAAAAAAQABAAACAkQBADs=" data-src="https://chuabenhthoatvidiadem.vn/resources/images/20180413_171043.jpg" style="width: 650px; height: 488px;" class="lazy" width="785" height="589" data-optimized="1" /></p><p>&nbsp;</p><p style="text-align: justify;"><span style="font-size:16px;">Bệnh án thoát vị đĩa đệm nặng&nbsp;như của anh Tuấn, tôi phải thừa nhận rằng chữa bằng phương pháp của đông y rất khó có khả năng hết bệnh. Đa số phải phẫu thuật cột sống mới hết đau, hết nhức. Trường hợp của anh Tuấn đúng là&nbsp;hợp thầy hợp&nbsp;thuốc và may mắn nhất mà tôi từng chữa. Cũng cần phải nói thêm rằng; Anh Tuấn khi bị thoát vị đĩa đệm đang còn trẻ, mới 39 tuổi, sức khỏe rất tốt, không bị thêm bệnh gì khác.&nbsp;&nbsp;Anh Tuấn luôn tuân thủ việc uống thuốc và kiêng làm việc trong thời gian điều trị, tôi có khuyên anh kết hợp với đi bơi để chữa thoát vị đĩa đệm được&nbsp;tốt.&nbsp;</span></p><p style="text-align: justify;"><img loading="lazy" alt="Thoát vị đĩa đệm" src="data:image/gif;base64,R0lGODlhAQABAID/AP///wAAACwAAAAAAQABAAACAkQBADs=" data-src="https://chuabenhthoatvidiadem.vn/resources/images/DSC_0594.JPG" style="width: 650px; height: 505px;" class="lazy" width="1545" height="1200" data-optimized="1" /></p><p style="text-align: justify;"><span style="font-size:14px;"><em>Hai năm sau anh Tuấn ghé thăm phòng khám và chụp&nbsp;ảnh kỷ niệm với Lương y Nguyễn Văn&nbsp;Minh.</em></span></p><p style="text-align: justify;"><span style="font-size:16px;"><em style="font-size: 16px;">(*)&nbsp; Lưu ý: Bài thuốc điều trị&nbsp;thoát vị đĩa đệm tác dụng nhanh hay chậm tùy theo cơ địa mỗi nguời.</em></span></p><p style="text-align: justify;"><span style="font-size:16px;"><em style="font-size: 16px;">Khi bạn muốn tìm thông tin chữa bệnh thoát vị đĩa đệm&nbsp;của&nbsp;lương y Nguyễn Văn Minh, chỉ cần lên mạng và gõ dòng chữ: &quot;chữa thoát vị đĩa đệm gắp lương y Nguyễn Văn Minh&quot; hoặc&nbsp;&quot;thuốc đông y chữa thoát vị đĩa đệm&quot;, hoặc &quot;lương y Nguyễn Văn Minh chữa thoát vị đĩa đệm&quot;, hoặc &quot;phòng khám&nbsp;thoát vị đĩa đệm ở TP.HCM&quot; là có&nbsp;ngay kết quả chính xác.</em></span></p><p style="text-align: justify;"><a href="https://www.youtube.com/channel/UCMrl47bRL4MgAguyRi48mEw" style="background: transparent; font-family: RobotoSlab-Regular, Arial, Helvetica, sans-serif; font-size: 16px; box-sizing: border-box; margin: 0px; padding: 0px; border: 0px; outline: 0px; vertical-align: baseline; color: rgb(102, 0, 153); text-decoration-line: none; transition: all 406ms ease-out 0s; max-width: 100%; cursor: pointer;" target="_blank" title="">Lương y Nguyễn Văn Minh</a><span style="background-color: transparent; color: rgb(0, 0, 0); font-family: RobotoSlab-Regular, Arial, Helvetica, sans-serif; font-size: 16px;">&nbsp;chuyên&nbsp;chữa thoát vị đĩa đệm, đã khẳng định uy tín tốt trên 25&nbsp;năm ở TP.HCM</span></p><p style="box-sizing: border-box; margin: 0px 0px 10px; padding: 0px; border: 0px; outline: 0px; font-size: 16px; vertical-align: baseline; background-image: initial; background-position: initial; background-size: initial; background-repeat: initial; background-attachment: initial; background-origin: initial; background-clip: initial; max-width: 100%; color: rgb(0, 0, 0); font-family: RobotoSlab-Regular, Arial, Helvetica, sans-serif;"><span style="font-size:16px;"><span style="box-sizing: border-box; margin: 0px; padding: 0px; border: 0px; outline: 0px; vertical-align: baseline; background: transparent; max-width: 100%;">Địa chỉ&nbsp;khám chữa thoát vị đĩa đệm: 856/6 Quang Trung, Phường 8, Quận Gò Vấp, TP.HCM</span></span></p><p style="box-sizing: border-box; margin: 0px 0px 10px; padding: 0px; border: 0px; outline: 0px; font-size: 16px; vertical-align: baseline; background-image: initial; background-position: initial; background-size: initial; background-repeat: initial; background-attachment: initial; background-origin: initial; background-clip: initial; max-width: 100%; color: rgb(0, 0, 0); font-family: RobotoSlab-Regular, Arial, Helvetica, sans-serif; text-align: justify;"><span style="font-size:16px;"><span style="box-sizing: border-box; margin: 0px; padding: 0px; border: 0px; outline: 0px; vertical-align: baseline; background: transparent; max-width: 100%;">Điện thoại, Zalo hướng dẫn phương pháp chữa thoát vị đĩa đệm số: 0913503552 - Điện thoại cố định: 02862951367.</span></span></p><p style="box-sizing: border-box; margin: 0px 0px 10px; padding: 0px; border: 0px; outline: 0px; font-size: 16px; vertical-align: baseline; background-image: initial; background-position: initial; background-size: initial; background-repeat: initial; background-attachment: initial; background-origin: initial; background-clip: initial; max-width: 100%; color: rgb(0, 0, 0); font-family: RobotoSlab-Regular, Arial, Helvetica, sans-serif;"><span style="font-size:16px;">Xem thêm;&nbsp;<a data-ved="2ahUKEwiY1-CZqPz3AhUtqVYBHQf8BbMQFnoECAsQAQ" href="https://chuabenhthoatvidiadem.vn/cach-chua-benh/thong-tin-chu-so-huu-website-pid-301.html" ping="/url?sa=t&amp;source=web&amp;rct=j&amp;url=https://chuabenhthoatvidiadem.vn/cach-chua-benh/thong-tin-chu-so-huu-website-pid-301.html&amp;ved=2ahUKEwiY1-CZqPz3AhUtqVYBHQf8BbMQFnoECAsQAQ" style="color: rgb(26, 13, 171); text-decoration-line: none; -webkit-tap-highlight-color: rgba(0, 0, 0, 0.1); outline: 0px; font-family: arial, sans-serif; font-size: small;" title="">Thông tin chủ sở hữu website - Thoát Vị Đĩa Đệm</a></span></p><p style="box-sizing: border-box; margin: 0px 0px 10px; padding: 0px; border: 0px; outline: 0px; font-size: 16px; vertical-align: baseline; background-image: initial; background-position: initial; background-size: initial; background-repeat: initial; background-attachment: initial; background-origin: initial; background-clip: initial; max-width: 100%; color: rgb(0, 0, 0); font-family: RobotoSlab-Regular, Arial, Helvetica, sans-serif;"><span style="font-size:16px;">Trang web <a data-ved="2ahUKEwim-77YqPz3AhWfg1YBHYYnBLY4ChAWegQIBBAB" href="https://chuabenhthoatvidiadem.vn/cach-chua-benh/thuoc-chua-thoat-vi-dia-dem-pid-290.html" ping="/url?sa=t&amp;source=web&amp;rct=j&amp;url=https://chuabenhthoatvidiadem.vn/cach-chua-benh/thuoc-chua-thoat-vi-dia-dem-pid-290.html&amp;ved=2ahUKEwim-77YqPz3AhWfg1YBHYYnBLY4ChAWegQIBBAB" style="color: rgb(26, 13, 171); text-decoration-line: none; -webkit-tap-highlight-color: rgba(0, 0, 0, 0.1); outline: 0px; font-family: arial, sans-serif; font-size: small;" title="">Thoát vị đĩa đệm</a>&nbsp;của nhà thuốc: thoatvidiadem.top và&nbsp;chuabenhthoatvidiadem.vn</span></p>]]></content:encoded>
						<wfw:commentRss></wfw:commentRss>
						<slash:comments>0</slash:comments>
					</item>
				
					<item>
						<title>Chấm dứt đau vai gáy do thoát vị đĩa đệm cột sống cổ sau 3 tuần điều trị, (ảnh chụp MRI tại BV Đại Học Y Dược TP HCM)</title>
						<link>https://chuabenhthoatvidiadem.vn/bai-viet/nghe-truc-tiep-nhung-nguoi-duoc-luong-y-minh-chua-khoi-thoat-vi-dia-dem/cham-dut-dau-vai-gay-do-thoat-vi-dia-dem-cot-song-co-sau-3-tuan-dieu-tri-anh-chup-mri-tai-bv-dai-hoc-y-duoc-tp-hcm-pid-65.html</link>
						<comments></comments>
						<pubDate>Tue, 10 Jan 2017 09:10:07 +0700</pubDate>
						<dc:creator>admin</dc:creator>
						<category><![CDATA[Nghe trực tiếp những người được lương y Minh chữa khỏi thoát vị đĩa đệm ]]></category>
						<guid isPermaLink="false"></guid>
						<description><![CDATA[Anh Lê bị thoát vị đĩa đệm cột sống cổ C3-4, C4-5, C5-6 và C6-7. Những cơn đau nhức làm cho anh không ngủ được, uống thuốc tây nhiều lại bị đau bao tử. Sau 3 tuần điều trị bằng thuốc uống và thuốc đắp của lương y Nguyễn Văn Minh, anh Lê đã hết đau nhức. Hãy nghe anh Lê phát biểu ý kiến và chia sẻ địa chỉ ở Bến Tre.]]></description>
						<content:encoded><![CDATA[<p style="text-align: justify;"><span style="font-size:16px;">Trước khi tới phòng khám của tôi (lương y Nguyễn Văn Minh), anh Mai Văn Lê thường xuyên bị đau nhức vùng cổ gáy, bả vai và cánh tay. Sau 3 tuần uống thuốc và đắp thuốc điều trị thoát vị đĩa đệm cột sống cổ, anh Lê đã hết đau nhức, anh rất vui mừng gọi điện thoại cho tôi để báo tin. Anh Lê đồng ý chia sẻ&nbsp;kết quả chụp cộng hưởng từ cột sống cổ&nbsp;và cho biết địa chỉ nơi anh đang sinh sống. (*)</span></p><p>&nbsp;</p><p><img loading="lazy" alt="Cách điều trị thoát vị đĩa đệm cột sống" src="data:image/gif;base64,R0lGODlhAQABAID/AP///wAAACwAAAAAAQABAAACAkQBADs=" data-src="https://chuabenhthoatvidiadem.vn/resources/images/20161205_103801.jpg" style="width: 474px; height: 638px;" class="lazy" width="474" height="638" data-optimized="1" /></p><p><span style="font-size:16px;"><em>Anh Lê đồng ý chia sẻ kết quả chụp cộng hưởng từ để mọi người tham khảo.</em></span></p><p><span style="font-size:16px;">Hãy nhấp chuột vào liên kết dưới để nghe chính anh Lê thông báo mức độ khỏi bệnh của mình qua điện thoại.</span></p><p><a href="https://chuabenhthoatvidiadem.vn/resources/files/Tho_i_030_m.mp3" title="">thoatvidiadem.top</a></p><p><span style="font-size:16px;">Do ảnh chụp&nbsp;ở trên chữ&nbsp;hơi nhỏ,&nbsp;tôi chép nguyên văn nội dung&nbsp;kết quả chụp cộng hưởng từ do&nbsp;bác sĩ ở bệnh viện Đại Học Y Dược TP HCM kết luận, để bạn đọc dễ tham khảo:</span></p><p><strong>MÔ TẢ HÌNH ẢNH:</strong></p><p>-<span style="font-size:16px;"> Trục cột sống cổ bình thường</span></p><p><span style="font-size:16px;">- Bề cao và tín hiệu các thân sống bình thường. Gai thoái hóa các thân sống.</span></p><p><span style="font-size:16px;">- Bề cao các đĩa đệm cột sống cổ bình thường. Thoái hóa mất nước&nbsp;giảm tín hiệu các đĩa đệm cổ trên T2W.</span></p><p><span style="font-size:16px;">- Tầng C3-4: Phức hợp gai xương và thoát vị đĩa đệm vào lỗ liên hợp, ra sau # 3mm chèn ép mặt trước bao màng cứng và mặt trước tủy, gây hẹp lỗ liên hợp bên (T), chèn ép rễ thần kinh &nbsp;C4 (T). Đường kính trước sau ống sống ngang mức này # 9mm.</span></p><p><span style="font-size:16px;">- Tầng C4-5: Thoát vị đĩa đệm cạnh P, ra sau # 2mm, chèn ép mặt trước&nbsp;bao màng cứng và mặt trước&nbsp;tủy, gây hẹp lỗ liên hợp hai bên, không chèn ép rễ thần kinh. Đường kính trước sau ống sống ngang mức này # 8mm.</span></p><p><span style="font-size:16px;">- Tầng C5-6: Phức hợp gai xương và thoát vị đĩa đệm ra sau # 3mm, chèn ép mặt trước bao màng cứng và mặt trước tủy, gây hẹp lỗ liên hợp hai bên, không chèn ép rễ thần kinh. Đường kính ông sống ngang mức này # 7mm.</span></p><p><span style="font-size:16px;">- Tầng C6-7: Thoát vị đĩa đệm cạnh (P) trung tâm và lỗ liên hợp bên (P), ra sau rễ thần kinh C7 (P). Đường kính trước sau ống sống ngang mức này # 7mm.</span></p><p><span style="font-size:16px;">- &nbsp;Tầng C7-T1: Không thoát vị đĩa đệm.</span></p><p><span style="font-size:16px;">- Hình dạng và tín hiệu tủy&nbsp;cổ và ngực cao thấy được trên phim bình thường.</span></p><p><span style="font-size:16px;">- Các dây chằng dọc trước, dọc sau và dây chằng vàng bình thường.</span></p><p><span style="font-size:16px;">- Mấu khớp hai bên không phì đại.</span></p><p><span style="font-size:16px;">- Không thấy bất thường mô mềm cạnh sống.</span></p><h3><span style="font-size:18px;"><strong>KẾT LUẬN:</strong></span></h3><h3><span style="font-size:16px;">- Thoái hóa cột sống cổ</span></h3><h3><span style="font-size:16px;">- Thoát vị đĩa đệm tầng C6-7, chèn ép rễ thần kinh C7 bên (P).</span></h3><h3><span style="font-size:16px;">- Thoát vị đĩa đệm tầng C3-4 kèm gai sau, chèn ép rễ thần kinh C4 (T).</span></h3><h3><span style="font-size:16px;">- Thoát vị đĩa đệm tầng C4-5 và C5-6, không chèn ép rễ thần kinh.</span></h3><h3><span style="font-size:16px;">- Hẹp nhẹ ống sống cổ ngang mức từ C4--&gt;C7, đường kính trước sau chỗ hẹp nhất (ngang mức C5-6 và C6-7) # 7mm.</span></h3><h2><span style="font-size:16px;">(*) &nbsp; &quot;Lưu ý: thuốc uống, thuốc đắp chữa thoát vị đĩa đệm /có tác dụng nhanh hay chậm&nbsp;còn tùy vào&nbsp;cơ địa của mỗi nguời&quot;</span></h2><p><span style="font-size:16px;"><img loading="lazy" alt="Lương y Nguyễn Văn Minh" src="data:image/gif;base64,R0lGODlhAQABAID/AP///wAAACwAAAAAAQABAAACAkQBADs=" data-src="https://chuabenhthoatvidiadem.vn/resources/images/20180712_093640.jpg" style="width: 700px; height: 525px;" class="lazy" width="640" height="480" data-optimized="1" /></span></p><p><em><span style="font-size:16px;">Gần đây anh Lê có đưa người nhà lên chữa bệnh tại phòng khám, anh chụp hình kỷ niệm với Lương y Nguyễn Văn Miinh.</span></em></p><h4><span style="font-size:16px;">Chữa thoát vị đĩa đệm gặp lương y Nguyễn Văn Minh, tại địa chỉ:</span></h4><p><span style="font-size:16px;">856/6 Quang Trung, P.8, Gò Vấp, Tp Hồ Chí Minh.</span></p><p><span style="background-color: transparent; color: rgb(0, 0, 0); font-family: RobotoSlab-Regular, Arial, Helvetica, sans-serif; font-size: 16px; text-align: justify;">Trang web chuyên về bệnh </span><a title="" data-ved="2ahUKEwjTv828lPj3AhXaqFYBHYknBQEQFnoECAIQAQ" href="https://chuabenhthoatvidiadem.vn/" ping="/url?sa=t&amp;source=web&amp;rct=j&amp;url=https://chuabenhthoatvidiadem.vn/&amp;ved=2ahUKEwjTv828lPj3AhXaqFYBHYknBQEQFnoECAIQAQ" style="color: rgb(26, 13, 171); text-decoration-line: none; -webkit-tap-highlight-color: rgba(0, 0, 0, 0.1); outline: 0px; font-family: arial, sans-serif; font-size: small;">Thoát Vị Đĩa Đệm</a><span style="background-color: transparent; color: rgb(0, 0, 0); font-family: RobotoSlab-Regular, Arial, Helvetica, sans-serif; font-size: 16px; text-align: justify;">:&nbsp;</span></p><p><span style="background-color: transparent; color: rgb(0, 0, 0); font-family: RobotoSlab-Regular, Arial, Helvetica, sans-serif; font-size: 16px; text-align: justify;">thoatvidiadem.top</span></p><p><a href="https://chuabenhthoatvidiadem.vn/" style="background: transparent; font-family: RobotoSlab-Regular, Arial, Helvetica, sans-serif; font-size: 16px; text-align: justify; color: rgb(51, 122, 183); box-sizing: border-box; margin: 0px; padding: 0px; border: 0px; outline: 0px; vertical-align: baseline; text-decoration-line: none; transition: all 406ms ease-out 0s; max-width: 100%;" title="">chuabenhthoatvidiadem.vn</a></p><p><span style="background-color: transparent; color: rgb(0, 0, 0); font-family: RobotoSlab-Regular, Arial, Helvetica, sans-serif; font-size: 16px; text-align: justify;">Google Map chỉ đường:&nbsp;</span></p><p style="box-sizing: border-box; margin: 0px 0px 10px; padding: 0px; border: 0px; outline: 0px; font-size: 16px; vertical-align: baseline; background-image: initial; background-position: initial; background-size: initial; background-repeat: initial; background-attachment: initial; background-origin: initial; background-clip: initial; max-width: 100%; color: rgb(0, 0, 0); font-family: RobotoSlab-Regular, Arial, Helvetica, sans-serif; text-align: justify;"><span style="box-sizing: border-box; margin: 0px; padding: 0px; border: 0px; outline: 0px; vertical-align: baseline; background: transparent; max-width: 100%;"><a href="https://thoatvidiademcotsong.business.site/?utm_source=gmb&amp;utm_medium=referral" style="box-sizing: border-box; margin: 0px; padding: 0px; border: 0px; outline: 0px; vertical-align: baseline; background: transparent; color: rgb(51, 122, 183); text-decoration-line: none; transition: all 406ms ease-out 0s; max-width: 100%;" title="">thoatvidiadem cotsong.</a></span></p>]]></content:encoded>
						<wfw:commentRss></wfw:commentRss>
						<slash:comments>0</slash:comments>
					</item>
				
					<item>
						<title>Giới thiệu cách chữa thoát vị đĩa đệm của lương y Nguyễn Văn Minh</title>
						<link>https://chuabenhthoatvidiadem.vn/bai-viet/benh-thoat-vi-dia-dem/gioi-thieu-cach-chua-thoat-vi-dia-dem-cua-luong-y-nguyen-van-minh-pid-50.html</link>
						<comments></comments>
						<pubDate>Thu, 22 Dec 2016 09:01:44 +0700</pubDate>
						<dc:creator>admin</dc:creator>
						<category><![CDATA[Bệnh thoát vị đĩa đệm]]></category>
						<guid isPermaLink="false"></guid>
						<description><![CDATA[Tôi, Lương y Nguyễn Văn Minh chữa bệnh thoát vị đĩa đệm đã khẳng định được uy tín. Tôi đã chữa khỏi thoát vị đĩa đệm cho rất nhiều người. Một số bệnh nhân cũ đồng ý cho tôi ghi hình thực tế, một số đồng ý chia sẻ qua điện thoại. Mời bạn đọc nghe thực tế những cuộc nói chuyện với những người đã khỏi bệnh thoát vị đĩa đệm do tôi chữa tại trang web này.]]></description>
						<content:encoded><![CDATA[<p style="text-align: justify;"><span style="font-size:16px;">Tôi;&nbsp;Lương y Nguyễn Văn Minh chữa thoát vị đĩa đệm&nbsp;đã&nbsp;khẳng định được uy tín. Tôi&nbsp;đã chữa khỏi thoát vị đĩa đệm cho rất nhiều người. Một&nbsp;số bệnh nhân cũ của tôi đồng ý cho tôi ghi hình thực tế, một số đồng ý chia sẻ qua cuộc nói chuyện trên điện thoại. Mời bạn đọc nghe thực tế&nbsp;những người do tôi điều trị&nbsp;khỏi thoát vị đĩa đệm kể lại tại trang web này.</span></p><p style="text-align: justify;"><img loading="lazy" alt="Chữa thoát vị đĩa đệm ở TP HCM" src="data:image/gif;base64,R0lGODlhAQABAID/AP///wAAACwAAAAAAQABAAACAkQBADs=" data-src="https://chuabenhthoatvidiadem.vn/resources/images/20160905_152247.jpg" style="width: 445px; height: 642px;" class="lazy" width="445" height="642" data-optimized="1" />&nbsp;</p><p style="text-align: justify;"><em>Giấy phép hành nghề khám chữa bệnh của lương y Nguyễn Văn Minh do Sở Y Tế TP HCM cấp.</em></p><h4 style="text-align: justify;"><span style="font-size:16px;">Khi người bệnh có yêu cầu khám chữa bệnh thoát vị đĩa đệm, tôi sẽ căn cứ vào thể trạng của từng người và kết quả chụp MRI cột sống cổ, cột sống thắt lưng, rồi đưa ra một hoặc nhiều phương pháp kết hợp để chữa thoát vị đĩa đệm.</span></h4><p><span style="font-size:16px;"><a title="" href="https://chuabenhthoatvidiadem.vn/resources/files/Lê Thị Huệ tv 6_23.mp3">Thuốc chữa bệnh thoát vị đĩa đệm</a></span></p><p style="text-align: justify;"><span style="font-size:16px;">Phương pháp chữa thoát vị đĩa đệm hiện tôi đang sử dụng: Uống <a data-ctbtn="0" data-cthref="/url?sa=t&amp;rct=j&amp;q=&amp;esrc=s&amp;source=web&amp;cd=&amp;ved=2ahUKEwiYuqvGzt7tAhXMFogKHQqyBrs4ChAWMAR6BAgGEAI&amp;url=https%3A%2F%2Fchuabenhthoatvidiadem.vn%2Fdieu-tri%2Fthuoc-dac-tri-thoat-vi-dia-dem-cid-14-0.html&amp;usg=AOvVaw2s3yT_JxsWHdhh80JFusjE" data-ved="2ahUKEwiYuqvGzt7tAhXMFogKHQqyBrs4ChAWMAR6BAgGEAI" href="https://www.google.com.vn/url?sa=t&amp;rct=j&amp;q=&amp;esrc=s&amp;source=web&amp;cd=&amp;ved=2ahUKEwiYuqvGzt7tAhXMFogKHQqyBrs4ChAWMAR6BAgGEAI&amp;url=https%3A%2F%2Fchuabenhthoatvidiadem.vn%2Fdieu-tri%2Fthuoc-dac-tri-thoat-vi-dia-dem-cid-14-0.html&amp;usg=AOvVaw2s3yT_JxsWHdhh80JFusjE" rel="noopener" style="color: rgb(102, 0, 153); text-decoration-line: none; -webkit-tap-highlight-color: rgba(0, 0, 0, 0.1); font-family: arial, sans-serif; font-size: small;" target="_blank" title="">thuốc đông y </a>(thuốc thang, thuốc tễ, thuốc nước), kết hợp với &nbsp;đắp thuốc&nbsp;chữa thoát vị đĩa đệm. Ngoài ra, còn tùy vào tình trạng bệnh của từng người có thể kết hợp thêm: Châm cứu, day ấn huyệt, vật lý trị liệu. Sau đó sẽ hướng dẫn các bài tập phòng và chữa thoát vị đĩa đệm</span><br />&nbsp;</p><p style="text-align: justify;"><span class="optimize-cls-iframe" data-src="https://www.youtube.com/embed/x7aavTS0FT8">https://www.youtube.com/embed/x7aavTS0FT8</span></p><p><em>Video ghi lại thực tế&nbsp;tại phòng khám của Lương y Nguyễn Văn Minh, năm 2016 tại Gò Vấp,TP.HCM.</em></p><p><em><span class="optimize-cls-iframe" data-src="https://www.youtube.com/embed/iZD6IsMPCRM&amp;t=50s">https://www.youtube.com/embed/iZD6IsMPCRM&amp;t=50s</span></em></p><p style="text-align: justify;"><span style="font-size:16px;">Theo y học cổ truyền thì bệnh thoát vị đĩa đệm là do chính khí của cơ thể không đầy đầy đủ, các tà khí như phong, hàn, thấp, nhiệt xâm phạm cơ thể, ẩn nấp vào gân cơ, khớp xương, kinh lạc làm sự vận hành của khí huyết bị tắc nghẽn gây nên các chứng đau nhức, tê bì. Gốc bệnh là do hai tạng can và thận hư yếu hoặc bệnh lâu ngày làm khí huyết giảm sút dẫn đến can, thận bị hư tổn. Thận yếu không chủ được cốt tủy, can huyết hư không nuôi dưỡng được gân làm xương khớp, đĩa đệm bị thoái hóa mất nước, bao xơ dây chằng lỏng lẻo không chắc chắn rất dễ bị thoát vị.</span></p><p style="text-align: justify;"><span style="font-size:16px;"><img loading="lazy" alt="Chữa thoát vị đĩa đệm gặp Lương y Nguyễn Văn Minh" src="data:image/gif;base64,R0lGODlhAQABAID/AP///wAAACwAAAAAAQABAAACAkQBADs=" data-src="https://chuabenhthoatvidiadem.vn/resources/images/chua thoat vi dia dem.jpg" style="width: 645px; height: 860px;" class="lazy" width="900" height="1200" data-optimized="1" /></span></p><p style="text-align: justify;"><br /><span style="font-size:16px;">Vì vậy khi chữa bệnh thoát vị đĩa đệm, thoái hóa đốt sống đĩa đệm, các phương pháp chữa đều nhằm lưu thông khí huyết, đưa tà khí (phong, hàn, thấp, nhiệt) ra ngoài cơ thể. Bồi bổ can thận để chống tái phát bệnh và chống lại các hiện tượng thoái hóa, lão hóa. Phục hồi các chức năng bình thường của đĩa đệm cột sống. Những trường hợp bị thoát vị đĩa đệm do chấn thương thì phải phối hợp thêm thuốc hoạt huyết trừ ứ để đạt hiệu quả cao.</span></p><p style="text-align: justify;"><a href="https://chuabenhthoatvidiadem.vn/resources/files/FILE_L0937156113_Lê thị thới.mp3" style="font-size: 16px;" title="">Khỏi thoát vị đĩa đệm, đồng ý giới thiệu giúp người bệnh</a></p><h3 style="text-align: justify;"><span style="font-size:16px;"><span style="color:#000000;">&nbsp; Hơn 20 năm hành nghề khám chữa bệnh, tôi có kinh nghiệm chuyên sâu về chữa thoát vị đĩa đệm, đã chữa khỏi cho nhiều bệnh nhân bằng bài thuốc đông y đặc trị thoát vị đĩa đệm. Do chữa trị vào tận gốc bệnh thoát vị đĩa đệm nên nhiều người khỏi bệnh mấy năm trời không tái phát. Trong số những bệnh nhân đã được tôi chữa khỏi hẳn thoát vị đĩa đệm, có nhiều người có chỉ định phẫu thuật đĩa đệm của bác sĩ nhưng lại quyết định không mổ mà tìm tới nhờ tôi chữa. Một trong số đó đồng ý cho tôi ghi hình, ghi âm buổi nói chuyện để làm tài liệu cho trang web này, họ tâm sự thật với tôi &quot;Thầy đã chữa khỏi bệnh cho tôi, tôi chỉ kể lại thực tế, có sao nói vậy&quot;. Tôi vô cùng cảm kích trước những lời tâm sự chân tình và tôi cũng bày tỏ sư biết ơn trước sự chia sẻ của họ..</span></span></h3><p style="text-align: justify;"><span style="font-size:16px;">Bài thuốc tôi dùng chữa thoát vị đĩa đệm đặc biệt hay ở chỗ&nbsp;chữa khỏi bệnh và&nbsp;giúp phục hồi sự cứng cáp dẻo dai của đĩa đệm cột sống mà lại không hề xảy ra tác dụng phụ. Số điện thoại và Zalo: 0913503552 - ĐT bàn: 028.62951367</span></p><p style="text-align: justify;"><span style="font-size:16px;">Để nghe ý kiến của những người đã khỏi thoát vị đĩa đệm&nbsp;đồng ý chia sẻ, hãy click liên kết dưới:</span></p><p style="text-align: justify;"><span style="font-size:16px;">- <a href="https://chuabenhthoatvidiadem.vn/cach-chua-benh/luong-y-minh-chua-thoat-vi-dia-dem-cho-anh-ut-khoi-benh-gan-nam-nay-pid-22.html" style="color: rgb(102, 0, 153); cursor: pointer;" target="_blank" title="">Chữa bệnh thoát vị đĩa đệm L3-4 và L4-5, thuốc chữa khỏi bệnh ít tốn kém mà hiệu quả.</a></span></p><p style="text-align: justify;"><span style="font-size:16px;">-&nbsp;<a data-="" href="https://www.google.com.vn/url?sa=t&amp;rct=j&amp;q=&amp;esrc=s&amp;source=web&amp;cd=50&amp;ved=0ahUKEwjC1tTM87_WAhWJQ48KHXSdD844KBAWCFcwCQ&amp;url=http%3A%2F%2Fchuabenhthoatvidiadem.vn%2Fcach-chua-benh%2Fchua-thoat-vi-dia-dem-cot-song-that-lung-khoi-han-khong-phai-mo-pid-74.html&amp;usg=AFQjCNFk9PpHY6F1eywkYl16lBbVUnyCtA" style="color: rgb(102, 0, 153); cursor: pointer; text-decoration-line: none;" target="_blank" title="">Điều trị thoát vị đĩa đệm cột sống thắt lưng khỏi hẳn, có địa chỉ&nbsp;khỏi bệnh để quý vị tham khảo.</a></span></p><p style="text-align: justify;"><span style="font-size:16px;">- <a href="https://chuabenhthoatvidiadem.vn/cach-chua-benh/dau-vai-gay-hoi-tham-bac-cuc-chua-benh-cach-nay-gan-2-nam-pid-32.html" style="color: rgb(102, 0, 153); cursor: pointer;" target="_blank" title="">Thuốc chữa thoát vị đĩa đệm cột sống cổ, chèn ép rễ thần kinh.&nbsp;Gần 2 năm hỏi thăm không đau lại.</a></span></p><p style="text-align: justify;"><span style="font-size:16px;">-&nbsp;<a href="https://chuabenhthoatvidiadem.vn/cach-chua-benh/khoi-thoat-vi-dia-dem-cot-song-that-lung-sau-hon-1-thang-dieu-tri-pid-37.html" style="color: rgb(102, 0, 153); cursor: pointer; text-decoration-line: none;" target="_blank" title="">Bệnh thoát vị đĩa đệm cột sống thắt lưng, ai ở Kiên Giang tới địa chỉ sau hỏi thăm.</a></span></p><p style="text-align: justify;"><span style="font-size:16px;">-&nbsp;<a href="https://chuabenhthoatvidiadem.vn/cach-chua-benh/benh-thoat-vi-dia-dem-cot-song-co-nhieu-tang-co-chua-duoc-khong-pid-68.html" style="color: rgb(102, 0, 153); cursor: pointer; text-decoration-line: none;" target="_blank" title="">Bệnh thoát vị đĩa đệm cột sống cổ&nbsp;có nguy hiểm&nbsp;không ? Tham khảo&nbsp;ý kiến sau sẽ rõ</a></span></p><p style="text-align: justify;"><span style="font-size:16px;">-&nbsp;<a data-="" href="https://www.google.com.vn/url?sa=t&amp;rct=j&amp;q=&amp;esrc=s&amp;source=web&amp;cd=58&amp;ved=0ahUKEwiU6vPloMDWAhUhR48KHW8fDRU4MhAWCEswBw&amp;url=http%3A%2F%2Fchuabenhthoatvidiadem.vn%2Fcach-chua-benh%2Fchi-van-o-quan-1-tp-hcm-khoi-thoat-vi-dia-dem-khong-tai-phat--pid-19.html&amp;usg=AFQjCNHlxgVc0VzmW40gI062yVtq8A3r_A" style="color: rgb(102, 0, 153); cursor: pointer; text-decoration-line: none;" target="_blank" title="">Thoát vị đĩa đệm cột sống thắt lưng có chữa&nbsp;khỏi được&nbsp;không? Bấm xem sẽ rõ.</a></span></p><p style="text-align: justify;"><span style="font-size:16px;">- <a href="https://chuabenhthoatvidiadem.vn/cach-chua-benh/nho-thay-ma-toi-khong-phai-mo-thoat-vi-dia-dem-hay-nghe-benh-nhan-cu-phat-bieu-pid-41.html" style="color: rgb(102, 0, 153); cursor: pointer; text-decoration-line: none;" target="_blank" title="">Có nên phẫu thuật thoát vị đĩa đệm ? có cách nào chữa khỏi thoát vị không cần mổ?&nbsp;</a></span></p><p style="text-align: justify;"><span style="font-size:16px;">-&nbsp;<a href="https://chuabenhthoatvidiadem.vn/cach-chua-benh/anh-hoang-khoi-dau-nhuc-ba-vai-te-cach-tay-do-thoat-vi-dia-dem-cot-song-co-pid-7.html" style="color: rgb(102, 0, 153); cursor: pointer; text-decoration-line: none;" target="_blank" title="">Đau&nbsp;bả vai, tê cách tay do thoát vị đĩa đệm cột sống cổ, anh Hoàng ở Bình Thạnh gọi điện thoại cảm ơn</a></span></p><p style="text-align: justify;"><span style="font-size:16px;">-&nbsp;<a href="https://chuabenhthoatvidiadem.vn/cach-chua-benh/chup-mri-cot-song-that-lung-thoat-vi-dia-dem-l5-s1-ra-sau-5mm-chen-ep-re-than-kinh-dieu-tri-30-ngay-khoi-han-pid-97.html" style="color: rgb(102, 0, 153); cursor: pointer; text-decoration-line: none;" target="_blank" title="">Thoát vị đĩa đệm L5/S1 ra sau # 5mm, chèn ép rễ thần kinh, ai ở Long An ghé địa chỉ sau tham khảo</a>.</span></p><p style="text-align: justify;"><span style="font-size:16px;">-&nbsp;<a href="https://chuabenhthoatvidiadem.vn/cach-chua-benh/dieu-tri-thoat-vi-dia-dem-cho-benh-nhan-o-tien-giang-goi-dien-hoi-tham-nguoi-nha-ke-da-khoi-han-pid-43.html" style="color: rgb(102, 0, 153); cursor: pointer; text-decoration-line: none;" target="_blank" title="">Lương y chữa thoát vị đĩa đệm cho anh Lành ở Tiền Giang, bấm vào đây để nghe thông báo.</a></span></p><p style="text-align: justify;"><span style="font-size:16px;">-&nbsp;<a href="https://chuabenhthoatvidiadem.vn/cach-chua-benh/luong-y-nguyen-van-minh-chua-khoi-dau-vai-gay-do-thoat-vi-dia-dem-co-cho-anh-long-o-go-vap-tp-hcm-pid-56.html" style="color: rgb(102, 0, 153); cursor: pointer; text-decoration-line: none;" target="_blank" title="">Chữa thoát vị đĩa đệm cho anh Long ở Gò Vấp, gặp vợ anh kể&nbsp;khỏi bệnh không đau lại.</a></span></p><p style="text-align: justify;"><span style="font-size:16px;">Xem thêm&nbsp;lương y Minh điều trị thoát vị đĩa đệm;</span>&nbsp;<span style="font-size:16px;"><em><a href="https://chuabenhthoatvidiadem.vn/dieu-tri/nghe-truc-tiep-nhung-nguoi-duoc-luong-y-minh-chua-khoi-thoat-vi-dia-dem-cid-4-0.html" style="color: rgb(102, 0, 153); cursor: pointer; text-decoration-line: none;" title=""><strong style="cursor: pointer;">Tại đây&nbsp;</strong></a></em></span></p><p style="text-align: justify;"><span style="font-size:16px;">Trang web chuyên chữa&nbsp;bệnh </span><a data-ved="2ahUKEwjn6_izk_j3AhUKHKYKHT7HCE4QFnoECAMQAQ" href="https://chuabenhthoatvidiadem.vn/" ping="/url?sa=t&amp;source=web&amp;rct=j&amp;url=https://chuabenhthoatvidiadem.vn/&amp;ved=2ahUKEwjn6_izk_j3AhUKHKYKHT7HCE4QFnoECAMQAQ" style="color: rgb(26, 13, 171); text-decoration-line: none; -webkit-tap-highlight-color: rgba(0, 0, 0, 0.1); outline: 0px; font-family: arial, sans-serif; font-size: small;" title="">Thoát Vị Đĩa Đệm</a></p><p style="text-align: justify;"><span style="font-size:16px;">thoatvidiadem.top&nbsp;</span></p><h2 class="hd" style="position: absolute; width: 1px; height: 1px; top: -1000em; overflow: hidden;">Kết quả tìm kiếm</h2><div data-async-context="query:site%3Achuabenhthoatvidiadem.vn" id="ires" style="margin-top: 6px;"><div eid="HjpeWNaDIILP0gT__LLQBw" id="rso"><div class="_NId"><div class="srg"><div class="g" style="line-height: 1.2; font-family: arial, sans-serif; margin-top: 0px; margin-bottom: 26px;"><div class="rc" data-hveid="22" data-ved="0ahUKEwjWitHSvIzRAhWCp5QKHX--DHoQFQgWKAAwAA" style="position: relative;"><div class="s" style="max-width: 48em; color: rgb(84, 84, 84); line-height: 18px;"><div class="f kv _SWb" style="color: rgb(128, 128, 128); height: 18px; line-height: 16px; white-space: nowrap;"><p style="font-size: small;"><a href="https://chuabenhthoatvidiadem.vn/" title="">chuabenhthoatvidiadem.vn</a></p><p style="font-size: small;"><span style="font-size:16px;">&nbsp;<a href="https://www.youtube.com/channel/UCMrl47bRL4MgAguyRi48mEw" style="color: rgb(102, 0, 153); cursor: pointer; text-decoration-line: none;" target="_blank" title="">Lương y Nguyễn Văn Minh </a>&nbsp;-&nbsp;<a href="http://phongkhambaominh.com/" style="color: rgb(102, 0, 153); cursor: pointer; text-decoration-line: none;" target="_blank" title="">Phòng Khám Đông Y Bảo Minh</a></span></p><div class="action-menu ab_ctl" style="font-size: small; display: inline; position: relative; margin: 1px 3px 0px; user-select: none; vertical-align: middle;"><div class="action-menu-panel ab_dropdown" data-ved="0ahUKEwjWitHSvIzRAhWCp5QKHX--DHoQqR8IGTAA" jsaction="keydown:m.hdke;mouseover:m.hdhne;mouseout:m.hdhue" role="menu" style="background-image: initial; background-position: initial; background-size: initial; background-repeat: initial; background-attachment: initial; background-origin: initial; background-clip: initial; border: 1px solid rgba(0, 0, 0, 0.2); font-size: 13px; padding: 0px; position: absolute; right: auto; top: 12px; z-index: 3; transition: opacity 0.218s; box-shadow: rgba(0, 0, 0, 0.2) 0px 2px 4px; left: 0px; visibility: hidden;" tabindex="-1"><ol style="margin: 0px; padding-right: 0px; padding-left: 0px; border: 0px;"><li class="action-menu-item ab_dropdownitem" role="menuitem" style="margin: 0px; padding: 0px; border: 0px; list-style: none; user-select: none; cursor: pointer;">&nbsp;</li></ol></div></div></div></div></div></div></div></div></div></div><div class="f kv _SWb" style="color: rgb(128, 128, 128); height: 18px; line-height: 16px; font-family: arial, sans-serif; font-size: small; white-space: nowrap;"><div class="action-menu ab_ctl" style="display: inline; position: relative; margin: 1px 3px 0px; user-select: none; vertical-align: middle;"><div class="action-menu-panel ab_dropdown" data-ved="0ahUKEwjWitHSvIzRAhWCp5QKHX--DHoQqR8IGTAA" jsaction="keydown:m.hdke;mouseover:m.hdhne;mouseout:m.hdhue" role="menu" style="background-image: initial; background-position: initial; background-size: initial; background-repeat: initial; background-attachment: initial; background-origin: initial; background-clip: initial; border: 1px solid rgba(0, 0, 0, 0.2); font-size: 13px; padding: 0px; position: absolute; right: auto; top: 12px; z-index: 3; transition: opacity 0.218s; box-shadow: rgba(0, 0, 0, 0.2) 0px 2px 4px; left: 0px; visibility: hidden;" tabindex="-1"><ol style="margin: 0px; padding-right: 0px; padding-left: 0px; border: 0px;"><li class="action-menu-item ab_dropdownitem" role="menuitem" style="margin: 0px; padding: 0px; border: 0px; list-style: none; user-select: none; cursor: pointer;">&nbsp;</li></ol></div></div></div>]]></content:encoded>
						<wfw:commentRss></wfw:commentRss>
						<slash:comments>0</slash:comments>
					</item>
				
					<item>
						<title>Chữa thoát vị đĩa đệm bằng đông y</title>
						<link>https://chuabenhthoatvidiadem.vn/bai-viet/luong-y-nguyen-van-minh-chua-thoat-vi-dia-dem/chua-thoat-vi-dia-dem-bang-dong-y-pid-45.html</link>
						<comments></comments>
						<pubDate>Mon, 19 Dec 2016 09:24:06 +0700</pubDate>
						<dc:creator>admin</dc:creator>
						<category><![CDATA[Lương y Nguyễn Văn Minh chữa thoát vị đĩa đệm]]></category>
						<guid isPermaLink="false"></guid>
						<description><![CDATA[Cách chữa thoát vị đĩa đệm bằng đông y: Uống thuốc đông y (thuốc thang, thuốc nước, thuốc viên), châm cứu, vật lý trị liệu, day ấn huyệt, xoa bóp hoặc đắp thuốc nam.v.v. để chữa bệnh. Tùy cơ địa từng người, thầy thuốc sẽ chỉ định uống thuốc đông y và kết hợp với phương pháp nào là tốt nhất. Ở Phòng Khám Đông Y Bảo Minh hay sử dụng sắc thuốc uống và bóp thuốc bóp hoặc đắp thuốc để trị thoát vị đĩa đệm, trên 90% không phải mổ thoát vị đĩa đệm.]]></description>
						<content:encoded><![CDATA[<h2 style="text-align: justify;"><span style="font-size:16px;">Thuốc đông y chữa thoát vị đĩa đệm tốt nhất là thuốc thang, hay còn gọi là chén thuốc, ấm thuốc, thang thuốc sắc.&nbsp;Khi sử dụng thì cho&nbsp;thuốc vào ấm&nbsp;rồi&nbsp;thêm 2 lít nước, nước nhất&nbsp;sắc thuốc đặc lại còn khoảng nửa chén, nước hai cũng vậy, hai&nbsp;nước hòa chung chia&nbsp;làm hai lần uống trong ngày.&nbsp;</span></h2><p style="text-align: justify;"><span style="font-size:16px;"><img loading="lazy" alt="Thuốc đông y chữa thoát vị đĩa đệm tốt nhất" src="data:image/gif;base64,R0lGODlhAQABAID/AP///wAAACwAAAAAAQABAAACAkQBADs=" data-src="https://chuabenhthoatvidiadem.vn/resources/images/Thuốc đông y chữa thoát vị đĩa đệm tốt nhất.jpg" style="width: 864px; height: 1074px;" class="lazy" width="864" height="1074" data-optimized="1" /></span></p><p style="text-align: justify;"><span style="font-size: 16px;">Khi người bệnh tới khám chữa bệnh thoát vị đĩa đệm, Lương y Nguyễn Văn Minh sẽ căn cứ vào mức độ thoát vị&nbsp;đĩa đệm, thể trạng&nbsp;của từng người bệnh, căn cứ&nbsp;vào kết quả chụp MRI&nbsp;cột sống. Tùy theo thoát vị đĩa đệm&nbsp;cổ, hoặc thoát vị&nbsp;đĩa đệm lưng, Lương y sẽ điều chỉnh những vị&nbsp;thuốc cho phù hợp,&nbsp;rồi&nbsp;đưa ra một hay&nbsp;nhiều phương pháp&nbsp;kết hợp để chữa thoát vị đĩa đệm. Ở Phòng khám đông y Bảo Minh, phần đông người bệnh chỉ cần sắc&nbsp;thuốc uống&nbsp;và bóp thuốc bóp hoặc đắp thuốc cột sống. Tùy từng trường hợp, thầy thuốc sẽ hướng dẫn&nbsp;thêm bài tập, tập&nbsp;hàng ngày để&nbsp;chữa&nbsp;bệnh.&nbsp;</span></p><p style="text-align: justify;"><span style="font-size: 16px; text-align: justify;">Theo đông y thì bệnh thoát vị đĩa đệm là do chính khí của cơ thể không đầy đầy đủ, các tà khí như phong, hàn, thấp, nhiệt xâm phạm cơ thể, ẩn nấp vào gân cơ, khớp xương, kinh lạc làm sự vận hành của khí huyết bị tắc nghẽn gây nên các chứng đau nhức, tê bì. Gốc bệnh là do hai tạng can và thận hư yếu hoặc bệnh lâu ngày làm khí huyết giảm sút dẫn đến can, thận bị hư tổn. Thận yếu không chủ được cốt tủy, can huyết hư không nuôi dưỡng được gân làm xương khớp, đĩa đệm bị thoái hóa mất nước, bao xơ dây chằng lỏng lẻo không chắc chắn rất dễ bị thoát vị.</span></p><p style="text-align: justify;"><span style="font-size: 16px; text-align: justify;">Các phương pháp của đông y chữa&nbsp;thoát vị đĩa đệm rất đa dạng, phong phú; như: uống thuốc đông y, hay còn gọi là thuốc y học cổ truyền. Thuốc đông y lại có nhiều loại: Thuốc thang, thuốc hoàn, thuốc viên, thuốc tễ, thuốc nước, thuốc cao, thuốc bóp, thuốc đắp, thuốc ngâm chân. Trong các loại thuốc kể trên, thuốc thang sắc uống mỗi ngày là thuốc chữa thoát vị&nbsp;đĩa đệm tốt nhất hiện nay, bởi vì thuốc thang có đủ hàm lượng, lại được kê đơn&nbsp;đúng với mức độ&nbsp;thoát vị&nbsp;đĩa đệm, phù hợp với cơ địa&nbsp;của người bệnh&nbsp;nên tác dụng chữa bệnh tốt hơn các loại&nbsp;thuốc khác.</span></p><p style="text-align: justify;"><span style="font-size: 16px; text-align: justify;">Tùy mức độ thoát vị đĩa đệm, đông y còn sử dụng thêm các phương pháp chữa kết hợp để tăng thêm tác dụng;&nbsp;như; châm cứu,&nbsp; điện xung, bấm&nbsp;huyệt, kéo dãn cột&nbsp;sống, day ấn huyệt vị, đắp thuốc cột sống, bó thuốc&nbsp;nam, rượu xoa bóp day ấn huyệt&nbsp;và các bài tập chữa thoát vị đĩa đệm.</span><span style="font-size: 18px; text-align: justify;">&nbsp;</span></p><p style="text-align: justify;"><span style="font-size:16px;">Vì vậy khi chữa bệnh thoát vị đĩa đệm, thoái hóa đốt sống đĩa đệm, các phương pháp chữa đều nhằm lưu thông khí huyết, đưa tà khí (phong, hàn, thấp, nhiệt) ra ngoài cơ thể. Bồi bổ can thận để chống tái phát bệnh và chống lại các hiện tượng thoái hóa, lão hóa. Phục hồi các chức năng bình thường của đĩa đệm cột sống. Những trường hợp bị thoát vị đĩa đệm nặng, chèn ép nặng rễ thần kinh hoặc&nbsp;có mảnh rời, khi thầy thuốc bắt mạch xác định có ứ huyết, hoặc&nbsp;do chấn thương thì&nbsp;phải phối hợp thêm thuốc hoạt huyết trừ ứ để đạt hiệu quả cao. Thầy thuốc giỏi phải biết vận dụng những vị thuốc tốt nhất hiện nay để&nbsp;chữa vết thương, chữa&nbsp;bao xơ bị rách, làm lành vết thương.</span></p><p style="text-align: justify;"><span style="font-size:16px;">&nbsp;Lương y Nguyễn Văn Minh đã có kinh nghiệm hơn 25&nbsp;năm&nbsp;chữa thoát vị đĩa đệm, ông&nbsp;đã chữa khỏi cho nhiều bệnh nhân bằng&nbsp;thuốc đông y đặc trị thoát vị đĩa đệm. Do chữa trị vào tận&nbsp;gốc&nbsp;bệnh nên nhiều người&nbsp;khỏi bệnh mấy năm trời không tái phát, trong số đó nhiều người có&nbsp;chỉ định phẫu thuật của </span><span style="font-size: 16px; text-align: justify;">bác sĩ, nhằm giúp&nbsp;</span><span style="font-size:16px;">họ khỏi&nbsp;đau, hết tê hết nhức, phục hồi bắp chân, cẳng&nbsp;tay bị teo nhão.</span></p><p style="box-sizing: border-box; margin: 0px 0px 10px; padding: 0px; border: 0px; outline: 0px; font-size: 16px; vertical-align: baseline; background-image: initial; background-position: initial; background-size: initial; background-repeat: initial; background-attachment: initial; background-origin: initial; background-clip: initial; max-width: 100%; color: rgb(0, 0, 0); font-family: RobotoSlab-Regular, Arial, Helvetica, sans-serif; text-align: justify;"><span style="box-sizing: border-box; margin: 0px; padding: 0px; border: 0px; outline: 0px; vertical-align: baseline; background: transparent; max-width: 100%;">&nbsp;<a data-ved="2ahUKEwicj4iY6bmEAxWwr1YBHdPnCwE4ChAWegQIBhAB" href="https://www.youtube.com/channel/UCMrl47bRL4MgAguyRi48mEw" jsname="UWckNb" ping="/url?sa=t&amp;source=web&amp;rct=j&amp;opi=89978449&amp;url=https://www.youtube.com/channel/UCMrl47bRL4MgAguyRi48mEw&amp;ved=2ahUKEwicj4iY6bmEAxWwr1YBHdPnCwE4ChAWegQIBhAB" style="box-sizing: border-box; margin: 0px; padding: 0px; border: 0px; outline: 0px; font-size: small; vertical-align: baseline; background: transparent; color: rgb(26, 13, 171); text-decoration-line: none; transition: all 406ms ease-out 0s; max-width: 100%; -webkit-tap-highlight-color: rgba(0, 0, 0, 0.1); font-family: arial, sans-serif;" title="">Lương y Nguyễn Văn Minh</a>&nbsp;chỉ đăng&nbsp;thông tin thật khi được sự đồng ý của quý khách, chúng tôi coi đây là cách biết ơn tốt nhất đến thầy thuốc đã chữa khỏi bệnh cho mình.&nbsp;Sau này quý khách nào không muốn chia sẻ ở đây nữa, chúng tôi sẽ gỡ bài đăng&nbsp;xuống. Xin trân trọng cảm ơn quý khách.&nbsp;</span></p><p style="text-align: justify;"><span style="font-size:16px;"><img loading="lazy" alt="Chữa khỏi thoát vị đĩa đệm." src="data:image/gif;base64,R0lGODlhAQABAID/AP///wAAACwAAAAAAQABAAACAkQBADs=" data-src="https://chuabenhthoatvidiadem.vn/resources/images/Khỏi thoát vị đĩa đệm.jpg" style="width: 840px; height: 1152px;" class="lazy" width="840" height="1152" data-optimized="1" /></span></p><p style="text-align: justify;">Đây là trường hợp đặc biệt, sau khi chữa hết bệnh, chị Thúy đồng ý cho chia sẻ bệnh án thoát vị đĩa đệm và địa chỉ của chị. Mời quý khách bấm vào ô dưới để nghe, ai mới bị thoát vị đĩa đệm hoặc thoát vị đĩa đệm nhẹ không cần phải nghe hết. Trường hợp nào đã có chỉ định mổ của bác sĩ, nên nghe hết, xem hết những nội dung ở trang web này.</p><p style="text-align: justify;"><a href="https://chuabenhthoatvidiadem.vn/resources/files/do thi thuy 87 tv.mp3" title="">Thuốc chữa thoát vị đĩa đệm tốt nhất - Thuốc chữa hết bệnh</a></p><h3 style="text-align: justify;"><span style="font-size:18px;">&nbsp;<span style="font-size:16px;">Thuốc đông y đặc trị thoát vị đĩa đệm của Lương y Nguyễn Văn Minh, đã giúp&nbsp;cho nhiều người khỏi bệnh, tránh không phải mổ thoát vị đĩa đệm.</span></span></h3><p><img loading="lazy" alt="Thuốc đông y chữa thoát vị đĩa đệm" src="data:image/gif;base64,R0lGODlhAQABAID/AP///wAAACwAAAAAAQABAAACAkQBADs=" data-src="https://chuabenhthoatvidiadem.vn/resources/images/20180619_090502.jpg" style="width: 650px; height: 488px;" class="lazy" width="785" height="589" data-optimized="1" /></p><p><span style="font-size: 16px; text-align: justify;">Bài thuốc đặc biệt hay ở chỗ: Vừa chữa khỏi bệnh vừa&nbsp;giúp phục hồi sự cứng cáp dẻo dai của dây chằng đĩa đệm, phục hồi xương&nbsp;cột sống mà lại không hề xảy ra tác dụng phụ.</span></p><p style="text-align: justify;"><span style="font-size: 16px;">Bài thuốc quý gồm hơn 20 vị thuốc đông y (thuốc bắc, thuốc&nbsp;nam),&nbsp;được lương y Minh trực tiếp đặt mua với người dân khai thác,&nbsp;rồi chọn lựa những loại thuốc tốt nhất, chỉ đạo bào chế sao tẩm, nấu thuốc, bảo quản thuốc tự nhiên&nbsp;nên chất lượng luôn đảm bảo. Những vị thuốc nòng cốt trong bài gồm có các vị như: Mộc qua, đan sâm, lộc giác, thục địa, đương quy, khương hoạt, tần giao, hà thủ ô, đỗ trọng, quy bản, độc hoạt, ngưu tất, phòng phong, chánh tế tân.v.v..Khi chữa bệnh, tùy vào mức độ thoát vị đĩa đệm của từng bệnh nhân, Lương y Nguyễn Văn Minh sẽ gia giảm&nbsp;thêm một số vị thuốc, nhằm&nbsp;phù hợp với cơ địa của mỗi người&nbsp;sao cho hiệu quả chữa bệnh tốt nhất.&nbsp;</span></p><p style="text-align: justify;"><span style="font-size:16px;">Tham khảo một số địa chỉ của những người đã khỏi bệnh đồng ý cho chia sẻ, còn rất nhiều&nbsp;người khỏi bệnh nhưng không muốn xuất hiện ở đây, tôi tôn trọng và đảm bảo quyền riêng tư của họ.</span></p><p style="text-align: justify;"><span style="font-size:16px;">Thuốc chữa thoát vị đĩa đệm đông y Bảo Minh đã chữa cho rất nhiều người khỏi thoát vị đĩa đệm, chúng tôi chỉ viết bài khi quý khách đồng ý cho ghi lại và chia sẻ ý kiến. Đây là những trường hợp người&nbsp;thật việc thật, nên sau này quý khách không muốn chia sẻ ở đây nữa, chúng tôi sẽ gỡ bỏ thông tin xuống. Xin trân trọng cảm ơn quý khách.</span></p><p style="text-align: justify;"><span style="font-size:16px;"><span style="text-align: justify;">Bác Chính ở Sài Gòn c</span>hữa thoát vị đĩa đệm bằng đông y,&nbsp;hãy nghe bác kể lại một&nbsp;cách chân thực nhất. Đây là VIDEO quay năm 2016, tại địa chỉ cũ nên quý khách thấy hình ảnh phòng khám sẽ&nbsp;khác hơn so hiện nay.&nbsp;</span></p><p style="text-align: justify;"><span class="optimize-cls-iframe" data-src="https://www.youtube.com/embed/qSgsr1hAjtA">https://www.youtube.com/embed/qSgsr1hAjtA</span></p><p style="text-align: justify;"><span style="font-size:14px;"><em>Bác Nguyễn Văn Chính 66&nbsp;tuổi đang chia sẻ sau khi chữa khỏi bệnh, bác đồng ý chia sẻ địa chỉ bác đang ở: 127B Đinh Tiên Hoàng, phường 3, quận Bình Thạnh, TP. HCM.&nbsp;</em></span></p><p style="text-align: justify;"><span style="font-size: 18px; text-align: justify;">Chữa thoát vị đĩa đệm bằng đông y cho bà Hoa ở Bình Thạnh, TP.HCM</span></p><p style="text-align: justify;"><span style="font-size: 18px; text-align: justify;"><span class="optimize-cls-iframe" data-src="https://www.youtube.com/embed/IqN5mAEsHOs">https://www.youtube.com/embed/IqN5mAEsHOs</span></span></p><p style="text-align: justify;"><em><span style="color: rgb(3, 3, 3); font-family: Roboto, Arial, sans-serif; font-size: 14px; white-space: pre-wrap; background-color: rgb(249, 249, 249);">Bà Hoa chia sẻ địa chỉ đang ở TP.HCM: Số nhà 220/26D Xô Viết Nghệ Tĩnh, phường 21, quận Bình Thạnh.</span></em></p><p style="text-align: justify;"><span style="text-align: justify; font-size: 16px;">Anh Trần Thanh Nhã, c</span><span style="font-size:16px;"><span style="text-align: justify;">hữa thoát vị đĩa đệm bằng đông y ở phòng khám đông y Bảo Minh</span></span></p><p style="text-align: justify;"><span class="optimize-cls-iframe" data-src="https://www.youtube.com/embed/hRNThAWSBak">https://www.youtube.com/embed/hRNThAWSBak</span></p><p style="text-align: justify;"><span style="font-size:14px;"><em><span style="color: rgb(0, 0, 0); font-family: RobotoSlab-Regular, Arial, Helvetica, sans-serif; text-align: justify;">Anh Nhã chia sẻ địa chỉ: ấp Tràm Chỏi, xã Vĩnh Điều, huyện Giang Thành, tỉnh Kiên Giang .</span></em></span></p><p style="text-align: justify;"><span style="font-size:16px;"><span style="text-align: justify;">Chữa thoát vị đĩa đệm bằng đông y cho cô Tư ở Bến Tre</span></span></p><p style="text-align: justify;"><span class="optimize-cls-iframe" data-src="https://www.youtube.com/embed/rj2fJRoHBko">https://www.youtube.com/embed/rj2fJRoHBko</span></p><p style="text-align: justify;"><em style="text-align: justify;"><span style="color: rgb(3, 3, 3); font-family: Roboto, Arial, sans-serif; font-size: 14px; white-space: pre-wrap; background-color: rgb(249, 249, 249);">Cô Đỗ Thị Tư chia sẻ địa chỉ của mình: ấp Thanh Yên, xã Tân Hiền, huyện Chợ Lách, tỉnh Bến </span></em><em style="text-align: justify;"><span style="color: rgb(3, 3, 3); font-family: Roboto, Arial, sans-serif; font-size: 14px; white-space: pre-wrap; background-color: rgb(249, 249, 249);"> </span></em><em style="text-align: justify;"><span style="color: rgb(3, 3, 3); font-family: Roboto, Arial, sans-serif; font-size: 14px; white-space: pre-wrap; background-color: rgb(249, 249, 249);">Tre.</span></em></p><p style="text-align: justify;"><span style="font-size:16px;"><span style="text-align: justify;">Chữa thoát vị đĩa đệm bằng đông y cho bà Hảo ở Kiên Giang. Năm&nbsp;2015 bà Hảo chữa khỏi bệnh, đến năm 2016 bà quay lại phòng khám để mua thuốc cho người nhà, bà đồng ý kể lại câu chuyện của bản thân.</span></span></p><p style="text-align: justify;"><span class="optimize-cls-iframe" data-src="https://www.youtube.com/embed/x7aavTS0FT8">https://www.youtube.com/embed/x7aavTS0FT8</span></p><p style="text-align: justify;"><em><span style="font-size:14px;">Bà&nbsp;Hảo đồng ý cho biết nhà ở&nbsp;</span></em><em style="text-align: justify;"><span style="font-size: 14px;">Kiên Giang,</span></em><em><span style="font-size:14px;">&nbsp;địa chỉ: Số 270 đường Cách Mạng Tháng 8, phường Vĩnh Lợi, TP Rạch Giá.</span></em></p><p style="text-align: justify;"><span style="font-size:16px;"><span style="text-align: justify;">Chị Hiếu ở&nbsp;Đắk Lắk, chữa thoát vị đĩa đệm bằng đông y khỏi bệnh,&nbsp;thông báo</span></span></p><p style="text-align: justify;"><em><span style="font-size:14px;"><span class="optimize-cls-iframe" data-src="https://www.youtube.com/embed/cGCJvyQX0iw">https://www.youtube.com/embed/cGCJvyQX0iw</span></span></em></p><p style="text-align: justify;"><span style="font-size: 14px;"><i>Địa chỉ của chị Hiếu ở Đắk Lắk: 154 Hùng Vương, phường Đạt Hiếu,&nbsp;&nbsp;thị xã Buôn Hồ</i></span></p><p style="text-align: justify;"><span style="font-size:16px;"><span style="text-align: justify;">Cô&nbsp;Thu kể chuyện con trai chữa&nbsp;thoát vị đĩa đệm bằng đông y ở phòng khám&nbsp;</span></span></p><p style="text-align: justify;"><span style="font-size: 18px; text-align: justify;"><span class="optimize-cls-iframe" data-src="https://www.youtube.com/embed/8ZlYstKCZKc">https://www.youtube.com/embed/8ZlYstKCZKc</span></span></p><p style="text-align: justify;"><span style="font-size:14px;"><em>Địa chỉ của cô Thu ở Đồng Tháp: ấp Tân Phú, xã Hòa Long, huyện Lai Vung tỉnh Đồng Tháp</em></span></p><p style="text-align: justify;"><span style="font-size: 16px; text-align: justify;">Năm 2019, bác Quế ở Quận 11, TP. HCM, đến chữa thoát vị đĩa đệm bằng đông y ở phòng khám.&nbsp;</span></p><p style="text-align: justify;"><span class="optimize-cls-iframe" data-src="https://www.youtube.com/embed/uPj0mIAp2gw">https://www.youtube.com/embed/uPj0mIAp2gw</span></p><p style="text-align: justify;"><em style="font-size: 14px; text-align: justify;">Bạn đang nghe bác Quế kể về căn bệnh thoát vị đĩa đệm của bác, sau khi uống thuốc đông y đã bớt bệnh như thế nào.</em></p><p style="text-align: justify;"><span style="font-size:16px;">Năm 2023, bác Quế có quay lại&nbsp;phòng khám, nhờ Lương y Nguyễn Văn Minh khám lại cho bác, bác đồng ý cho ghi lại nội dung cuộc trò chuyện.</span></p><p style="text-align: justify;"><span class="optimize-cls-iframe" data-src="https://www.youtube.com/embed/qK3Ka45mths">https://www.youtube.com/embed/qK3Ka45mths</span></p><p style="text-align: justify;"><span style="font-size:14px;"><em>Gần đây bác Quế thấy đau nhẹ khi ngồi lâu, đứng lên đi thì hết đau. Bác Quế muốn bắt mạch để hốt thêm ít thang thuốc uống cho khỏe.</em></span></p><p style="text-align: justify;"><span style="font-size: 16px;">Chữa thoát vị đĩa đệm bằng đông y, nhất&nbsp;là sử dụng&nbsp;thang thuốc đông y để sắc uống trị bệnh.&nbsp;Đây là cách chữa&nbsp;cho&nbsp;những người đã chữa thoát vị đĩa đệm bằng thuốc tây, nhưng không khỏi hẳn, họ lại sợ phẫu thuật thoát vị đĩa đệm, những người này nên sử dụng thuốc đông y để chữa bệnh là tốt nhất.&nbsp;</span></p><p style="text-align: justify;"><span style="font-size:16px;">Điều trị thoát vị đĩa đệm bằng đông y, hỏi thăm để chở người nhà tới điều trị;</span></p><p style="text-align: justify;"><span style="font-size:16px;"><a href="https://chuabenhthoatvidiadem.vn/resources/files/FILE_L0937156113_Lê thị thới.mp3" title="">Điều trị thoát vị đĩa đệm bằng đông y</a></span></p><p style="text-align: justify;"><span style="font-size:16px;">Quý vị bấm vào mũi tên, nghe gần hết nội dung, sẽ thấy người nhà quý bệnh nhân đồng ý chia sẻ những thông tin hữu ích.&nbsp;<a data-ved="2ahUKEwjU6Nbv0PTtAhUUUd4KHX4KAW0QFjAEegQIChAC" href="https://www.youtube.com/channel/UCMrl47bRL4MgAguyRi48mEw" rel="noopener" style="color: rgb(102, 0, 153); text-decoration-line: none; -webkit-tap-highlight-color: rgba(0, 0, 0, 0.1); font-family: arial, sans-serif; font-size: small;" target="_blank" title="">Lương y Nguyễn Văn Minh&nbsp;</a>&nbsp;xin trân trọng cảm ơn&nbsp;quý người bệnh&nbsp;đồng ý cho phép tôi được chia sẻ thông tin, giới thiệu tại trang web này. Còn rất nhiều người đã&nbsp;điều trị khỏi bệnh, nhưng không muốn công bố thông tin, tôi đảm bảo bí mật cho họ.</span></p><p><span style="font-size:16px;">Trang web của Lương y Nguyễn Văn Minh ở TP HCM, chuyên trị&nbsp;thoát vị đĩa đệm:<br />thoatvidiadem.top và chuabenhthoatvidiadem.vn</span></p><p style="text-align: justify;"><span style="font-size: 16px;">Chữa bệnh thoát vị đĩa đệm cột sống hay gặp ở các tầng đốt sống&nbsp;sau:</span></p><p style="text-align: justify;"><span style="font-family: arial, helvetica, sans-serif; font-size: 16px;">Chữa thoát vị đĩa đệm cột sống cổ; hay gặp nhất là thoát vị đĩa đệm C6-C7, rồi đến đĩa đệm C5-C6. Các đĩa đệm còn lại như: C2-C3; C3-C4; C4-C5 thường gặp ít hơn.&nbsp;</span></p><h3 style="text-align: justify;"><span style="font-size: 16px;"><span style="font-family: arial, helvetica, sans-serif;">Chữa&nbsp;thoát vị đĩa đệm cột sống thắt lưng; hay gặp nhất là thoát vị đĩa đệm L4-L5, rồi đến thoát vị đĩa đệm L5-S1. Các tầng đĩa đệm như; L1-L2; L2-L3; L3-L4; tỷ lệ bị thoát vị không nhiều bằng L4-L5 và L5-S1.<br />Chữa bệnh lồi đĩa đệm; những trường hợp này bệnh thường nhẹ, điều trị rất nhanh khỏi.<br />Chữa bệnh&nbsp;phồng đĩa đệm; tương tự như trường hợp lồi đĩa đệm, thể bệnh nhẹ không đáng ngại.<br />Chữa bệnh&nbsp;thoái hóa đĩa đệm mất nước; khi điều trị thoát vị đĩa đệm thầy thuốc sẽ kết hợp luôn trong thang thuốc.</span></span></h3><h4 style="text-align: justify;"><span style="font-size: 16px;">Chữa bệnh&nbsp;gai cột sống; cũng kết hợp được khi điều trị thoát vị đĩa đệm. Bài thuốc trị thoát vị đĩa đệm của lương y Nguyễn Văn Minh nhiều người uống khỏi thoát vị đĩa đệm, khỏi luôn đau nhức do gai cột sống gây nên.</span></h4><h4 style="text-align: justify;"><span style="font-size: 16px;">Chữa bệnh&nbsp;thoái hóa cột sống; đa số bệnh nhân khi chụp MRI phát hiện thoát vị đĩa đệm thì cũng có thoái hóa cột sống, gai cột sống kèm theo. Thuốc đông y điều trị thoát vị đĩa đệm thường điều trị vào gốc bệnh nên khỏi thoát vị đĩa đệm sẽ khỏi cả những bệnh lý về cột sống đi kèm.</span></h4><p style="text-align: justify;"><span style="font-size:16px;">Anh Đặng Văn Út 30 tuổi, địa chỉ: Ấp Thượng, xã Thới Tiền, huyện Hồng Ngự, tỉnh Đồng Tháp</span></p><p style="text-align: justify;"><span style="font-size:16px;">Chị Nguyễn Thị Nguyệt 51 tuổi, địa chỉ:&nbsp;Xóm 2, xã Nhân Thịnh, huyện Lý Nhân, tỉnh Hà Nam.</span></p><p style="text-align: justify;"><span style="font-size:16px;">Anh Trần Thanh Nhã 36 tuổi,địa chỉ: ấp Tràm Chỏi, xã Vĩnh Điều, huyện Giang Thành, tỉnh Kiên Giang</span></p><p style="text-align: justify;"><span style="font-size:16px;">Bác&nbsp;Nguyển Thị Hồng Cúc 58 tuổi, địa chỉ: 525/19/9 Thống Nhất, phường 16, quận Gò Vấp, TP HCM</span></p><p style="text-align: justify;"><span style="font-size:16px;">Anh Nguyễn Thanh Hải 42 tuổi, địa chỉ: 61/72 Điện Biên Phủ, Phường 1, Quận 3, TP HCM.</span></p><p style="text-align: justify;"><span style="font-size:16px;">Chị Lê Thị Thanh Vân 48&nbsp;tuổi, địa chỉ: 149/ 22 Lê Thị Riêng, phường Bến Thành, Quận 1, TP HCM.</span></p><p style="text-align: justify;"><span style="font-size:16px;">Anh Mai Văn Lê 30 tuổi, địa chỉ: Ấp 2, xã An Phước, huyện Châu Thành, tỉnh Bến Tre.</span></p><p style="text-align: justify;"><span style="font-size:16px;">Chú&nbsp;Lê Tấn Bửu Long 55&nbsp;tuổi, địa chỉ: 396/39/5 Dương Quảng Hàm, phường 5, quận Gò Vấp, TP HCM.</span></p><p style="text-align: justify;"><span style="font-size:16px;">Anh Trần Văn&nbsp;Dùm 29 tuổi, địa chỉ: Ấp Long Phú, xã Hòa Long, huyện Lai Vung, tỉnh Đồng Tháp.</span></p><p style="text-align: justify;"><span style="font-size:16px;">Chị Võ Thị Lệ Nga 44 tuổi, địa chỉ; Số nhà 20, KP4, TT Cần Giuộc, huyện Cần Giuộc, tỉnh Long An.v.v</span></p><p style="text-align: justify;"><span style="font-size:18px;">Bạn đọc tham khảo thêm:</span></p><p><span style="font-size:16px;"><a href="https://chuabenhthoatvidiadem.vn/cach-chua-benh/uong-thuoc-cua-thay-chua-thoat-vi-dia-dem-co-toi-het-moi-co-het-dau-vai-gay-pid-115.html" style="color: rgb(102, 0, 153); font-size: 16px; text-align: justify; cursor: pointer; text-decoration-line: none;" target="_blank" title="">Bác Lê Thành Tâm 65 tuổi ở Củ Chi, Tp Hồ Chí Minh</a></span></p><p class="LC20lb DKV0Md" style="font-size: 20px; margin: 0px 0px 3px; padding: 4px 0px 0px; display: inline-block; line-height: 1.3;"><span style="font-size: 16px;"><a data-ctbtn="0" data-cthref="/url?sa=t&amp;rct=j&amp;q=&amp;esrc=s&amp;source=web&amp;cd=&amp;ved=2ahUKEwjr5Obq-fHpAhUyw4sBHSOPBAE4FBAWMAR6BAgGEAE&amp;url=https%3A%2F%2Fchuabenhthoatvidiadem.vn%2Fcach-chua-benh%2Fthoat-vi-dia-dem-va-cach-dieu-tri-pid-233.html&amp;usg=AOvVaw3C6SdJpJ-6MgCRc5XONfE_" href="https://www.google.com.vn/url?sa=t&amp;rct=j&amp;q=&amp;esrc=s&amp;source=web&amp;cd=&amp;ved=2ahUKEwjr5Obq-fHpAhUyw4sBHSOPBAE4FBAWMAR6BAgGEAE&amp;url=https%3A%2F%2Fchuabenhthoatvidiadem.vn%2Fcach-chua-benh%2Fthoat-vi-dia-dem-va-cach-dieu-tri-pid-233.html&amp;usg=AOvVaw3C6SdJpJ-6MgCRc5XONfE_" rel="noopener" style="color: rgb(102, 0, 153); cursor: pointer; text-decoration-line: none; font-family: arial, sans-serif; font-size: small;" target="_blank" title="">Thoát vị đĩa đệm và cách điều trị</a>&nbsp; &nbsp; &nbsp; &nbsp; &nbsp; &nbsp; &nbsp; &nbsp; &nbsp; &nbsp; &nbsp; &nbsp; &nbsp; &nbsp; &nbsp; &nbsp; &nbsp; &nbsp; &nbsp; &nbsp; &nbsp; &nbsp; &nbsp; &nbsp; &nbsp; &nbsp; &nbsp; &nbsp; &nbsp; &nbsp; &nbsp; &nbsp; &nbsp; &nbsp; &nbsp; &nbsp; &nbsp;&nbsp;</span></p><p class="LC20lb DKV0Md" style="font-size: 20px; margin: 0px 0px 3px; padding: 4px 0px 0px; display: inline-block; line-height: 1.3;"><span style="font-size: 16px;"><a data-ctbtn="0" data-cthref="/url?sa=t&amp;rct=j&amp;q=&amp;esrc=s&amp;source=web&amp;cd=&amp;ved=2ahUKEwjr5Obq-fHpAhUyw4sBHSOPBAE4FBAWMAl6BAgJEAE&amp;url=https%3A%2F%2Fchuabenhthoatvidiadem.vn%2Fcach-chua-benh%2Fket-qua-dieu-tri-thoat-vi-dia-dem-cid-2-10.html&amp;usg=AOvVaw1CERIJ0fexNjMSyKGYHCvj" href="https://www.google.com.vn/url?sa=t&amp;rct=j&amp;q=&amp;esrc=s&amp;source=web&amp;cd=&amp;ved=2ahUKEwjr5Obq-fHpAhUyw4sBHSOPBAE4FBAWMAl6BAgJEAE&amp;url=https%3A%2F%2Fchuabenhthoatvidiadem.vn%2Fcach-chua-benh%2Fket-qua-dieu-tri-thoat-vi-dia-dem-cid-2-10.html&amp;usg=AOvVaw1CERIJ0fexNjMSyKGYHCvj" rel="noopener" style="color: rgb(102, 0, 153); cursor: pointer; text-decoration-line: none; font-family: arial, sans-serif; font-size: small;" target="_blank" title="">Kết quả điều trị thoát vị đĩa đệm&nbsp;</a>&nbsp; &nbsp; &nbsp; &nbsp; &nbsp; &nbsp; &nbsp; &nbsp; &nbsp; &nbsp; &nbsp; &nbsp; &nbsp; &nbsp; &nbsp; &nbsp; &nbsp; &nbsp; &nbsp; &nbsp; &nbsp; &nbsp; &nbsp; &nbsp; &nbsp; &nbsp; &nbsp;&nbsp; &nbsp; &nbsp; &nbsp; &nbsp;</span></p><p class="LC20lb DKV0Md" style="font-size: 20px; margin: 0px 0px 3px; padding: 4px 0px 0px; display: inline-block; line-height: 1.3;"><span style="font-size: 16px;"><a href="https://chuabenhthoatvidiadem.vn/cach-chua-benh/khoi-thoat-vi-dia-dem-cot-song-that-lung-sau-hon-1-thang-dieu-tri-pid-37.html" rel="noopener" style="color: rgb(102, 0, 153); cursor: pointer; text-decoration-line: none; font-family: arial, sans-serif; font-size: small;" target="_blank" title="">Khỏi hẳn&nbsp;thoát vị đĩa đệm cột sống thắt lưng&nbsp;</a>&nbsp; &nbsp; &nbsp; &nbsp; &nbsp; &nbsp; &nbsp; &nbsp; &nbsp; &nbsp; &nbsp; &nbsp; &nbsp; &nbsp; &nbsp; &nbsp; &nbsp; &nbsp; &nbsp; &nbsp; &nbsp; &nbsp; &nbsp; &nbsp; &nbsp; &nbsp; &nbsp; &nbsp; &nbsp; &nbsp; &nbsp; &nbsp; &nbsp; &nbsp;</span></p><p class="LC20lb DKV0Md" style="font-size: 20px; margin: 0px 0px 3px; padding: 4px 0px 0px; display: inline-block; line-height: 1.3;"><span style="font-size: 16px;"><a href="https://chuabenhthoatvidiadem.vn/cach-chua-benh/vao-google-go-chu-chua-thoat-vi-dia-dem-gap-luong-y-nguyen-van-minh-pid-242.html" rel="noopener" style="color: rgb(102, 0, 153); cursor: pointer; font-family: arial, sans-serif; font-size: small;" target="_blank" title="">Chữa thoát vị đĩa đệm, may gặp thầy gặp thuốc</a>&nbsp; &nbsp; &nbsp; &nbsp; &nbsp; &nbsp; &nbsp; &nbsp; &nbsp; </span></p><p class="LC20lb DKV0Md" style="font-size: 20px; margin: 0px 0px 3px; padding: 4px 0px 0px; display: inline-block; line-height: 1.3;"><span style="font-size: 16px;">&nbsp;</span><a data-ctbtn="0" data-cthref="/url?sa=t&amp;rct=j&amp;q=&amp;esrc=s&amp;source=web&amp;cd=&amp;ved=2ahUKEwjS-LSQ-_HpAhUZyYsBHVN-C8M4WhAWMAl6BAgKEAE&amp;url=https%3A%2F%2Fchuabenhthoatvidiadem.vn%2Fcach-chua-benh%2Fnghe-truc-tiep-nhung-nguoi-duoc-luong-y-minh-chua-khoi-thoat-vi-dia-dem-cid-4-10.html&amp;usg=AOvVaw28G39eaerO2mnfULHUMTao" href="https://www.google.com.vn/url?sa=t&amp;rct=j&amp;q=&amp;esrc=s&amp;source=web&amp;cd=&amp;ved=2ahUKEwjS-LSQ-_HpAhUZyYsBHVN-C8M4WhAWMAl6BAgKEAE&amp;url=https%3A%2F%2Fchuabenhthoatvidiadem.vn%2Fcach-chua-benh%2Fnghe-truc-tiep-nhung-nguoi-duoc-luong-y-minh-chua-khoi-thoat-vi-dia-dem-cid-4-10.html&amp;usg=AOvVaw28G39eaerO2mnfULHUMTao" rel="noopener" style="color: rgb(102, 0, 153); cursor: pointer; text-decoration-line: none; font-family: arial, sans-serif; font-size: small;" target="_blank" title="">Nghe quý khách đã chữa khỏi bệnh</a><span style="font-size: 16px;">&nbsp; &nbsp; &nbsp; &nbsp; &nbsp; &nbsp; &nbsp; &nbsp; &nbsp; &nbsp; &nbsp; &nbsp; &nbsp; &nbsp; &nbsp; &nbsp; &nbsp; &nbsp; &nbsp; &nbsp; &nbsp; &nbsp; &nbsp; &nbsp; &nbsp; &nbsp; &nbsp; &nbsp; &nbsp; &nbsp; &nbsp; &nbsp; &nbsp; &nbsp; &nbsp; &nbsp; &nbsp; &nbsp; &nbsp;&nbsp;</span></p><h3 class="r" style="font-size: 18px; margin: 0px; padding: 0px; overflow: hidden; text-overflow: ellipsis; white-space: nowrap;"><a data-="" href="https://www.google.com.vn/url?sa=t&amp;rct=j&amp;q=&amp;esrc=s&amp;source=web&amp;cd=&amp;ved=0ahUKEwj3oLT40tjRAhWKJZQKHYI9BWE4ChAWCD0wBw&amp;url=http%3A%2F%2Fchuabenhthoatvidiadem.vn%2Fdieu-tri%2Fket-qua-dieu-tri-thoat-vi-dia-dem-cid-2-0.html&amp;usg=AFQjCNGPDZQppdauF3FAox6iUAi1qbRtzQ&amp;sig2=WAKVBk_APaJGBW-s7_9SzA&amp;bvm=bv.144686652,d.dGo" style="color: rgb(102, 0, 153); cursor: pointer; text-decoration: none;" target="_blank" title="">Kết quả điều trị thoát vị đĩa đệm</a></h3><div class="s" style="max-width: 48em; color: rgb(84, 84, 84); line-height: 18px;"><div class="f kv _SWb" style="color: rgb(128, 128, 128); height: 18px; line-height: 16px; font-family: arial, sans-serif; font-size: small; white-space: nowrap;"><cite class="_Rm" style="color: rgb(0, 102, 33); font-style: normal; font-size: 14px;">chuabenhthoatvidiadem.vn/dieu-tri/</cite></div></div><h2 class="hd" style="position: absolute; width: 1px; height: 1px; top: -1000em; overflow: hidden;">Kết quả tìm kiếm</h2><div data-async-context="query:site%3Achuabenhthoatvidiadem.vn" id="ires" style="margin-top: 6px;"><div eid="HjpeWNaDIILP0gT__LLQBw" id="rso"><div class="_NId"><div class="srg"><div class="g" style="line-height: 1.2; font-size: small; font-family: arial, sans-serif; margin-top: 0px; margin-bottom: 26px;"><div class="rc" data-hveid="22" data-ved="0ahUKEwjWitHSvIzRAhWCp5QKHX--DHoQFQgWKAAwAA" style="position: relative;"><h3 class="r" style="font-size: 18px; margin: 0px; padding: 0px; overflow: hidden; text-overflow: ellipsis; white-space: nowrap;"><a href="https://chuabenhthoatvidiadem.vn/" style="color: rgb(102, 0, 153); cursor: pointer; text-decoration: none;" target="_blank" title="">Thoát vị đĩa đệm</a></h3><div class="s" style="max-width: 48em; color: rgb(84, 84, 84); line-height: 18px;"><div class="f kv _SWb" style="color: rgb(128, 128, 128); height: 18px; line-height: 16px; font-family: arial, sans-serif; font-size: small; white-space: nowrap;"><p><cite class="_Rm" style="color: rgb(0, 102, 33); font-style: normal; font-size: 14px;">chuabenhthoatvidiadem.vn</cite></p><div class="action-menu ab_ctl" style="display: inline; position: relative; margin: 1px 3px 0px; user-select: none; vertical-align: middle;"><div class="action-menu-panel ab_dropdown" data-ved="0ahUKEwj-kKXN09jRAhWDVZQKHR-hArgQqR8IGTAA" jsaction="keydown:m.hdke;mouseover:m.hdhne;mouseout:m.hdhue" role="menu" style="background-image: initial; background-position: initial; background-size: initial; background-repeat: initial; background-attachment: initial; background-origin: initial; background-clip: initial; border: 1px solid rgba(0, 0, 0, 0.2); font-size: 13px; padding: 0px; position: absolute; right: auto; top: 12px; z-index: 3; transition: opacity 0.218s; box-shadow: rgba(0, 0, 0, 0.2) 0px 2px 4px; left: 0px; visibility: hidden;" tabindex="-1"><ol style="margin: 0px; padding-right: 0px; padding-left: 0px; border: 0px;"><li class="action-menu-item ab_dropdownitem" role="menuitem" style="margin: 0px; padding: 0px; border: 0px; list-style: none; user-select: none; cursor: pointer;">&nbsp;</li></ol></div></div></div></div><div class="s" style="max-width: 48em; color: rgb(84, 84, 84); line-height: 18px;"><div class="f kv _SWb" style="color: rgb(128, 128, 128); height: 18px; line-height: 16px; white-space: nowrap;"><div class="action-menu ab_ctl" style="display: inline; position: relative; margin: 1px 3px 0px; user-select: none; vertical-align: middle;"><div class="action-menu-panel ab_dropdown" data-ved="0ahUKEwjWitHSvIzRAhWCp5QKHX--DHoQqR8IGTAA" jsaction="keydown:m.hdke;mouseover:m.hdhne;mouseout:m.hdhue" role="menu" style="background-image: initial; background-position: initial; background-size: initial; background-repeat: initial; background-attachment: initial; background-origin: initial; background-clip: initial; border: 1px solid rgba(0, 0, 0, 0.2); font-size: 13px; padding: 0px; position: absolute; right: auto; top: 12px; z-index: 3; transition: opacity 0.218s; box-shadow: rgba(0, 0, 0, 0.2) 0px 2px 4px; left: 0px; visibility: hidden;" tabindex="-1"><ol style="margin: 0px; padding-right: 0px; padding-left: 0px; border: 0px;"><li class="action-menu-item ab_dropdownitem" role="menuitem" style="margin: 0px; padding: 0px; border: 0px; list-style: none; user-select: none; cursor: pointer;">&nbsp;</li></ol></div></div></div></div></div></div></div></div></div></div>]]></content:encoded>
						<wfw:commentRss></wfw:commentRss>
						<slash:comments>0</slash:comments>
					</item>
				
					<item>
						<title>Thoát vị đĩa đệm bao lâu thì khỏi</title>
						<link>https://chuabenhthoatvidiadem.vn/bai-viet/kham-chua-benh-thoat-vi-dia-dem/thoat-vi-dia-dem-bao-lau-thi-khoi-pid-272.html</link>
						<comments></comments>
						<pubDate>Wed, 28 Aug 2019 11:15:01 +0700</pubDate>
						<dc:creator>admin</dc:creator>
						<category><![CDATA[Khám chữa bệnh thoát vị đĩa đệm]]></category>
						<guid isPermaLink="false"></guid>
						<description><![CDATA[Thoát vị đĩa đệm bao lâu thì khỏi, thời gian uống thuốc trong bao lâu, một liệu trình điều trị bao nhiêu ngày, hết bao nhiêu tiền.v.v. Đây là điều quan tâm của nhiều người bị thoát vị đĩa đệm. Họ mong muốn có được thông tin càng nhiều càng tốt, về cách chữa thoát vị đĩa đệm ở phòng khám đông y Bảo Minh.]]></description>
						<content:encoded><![CDATA[<h2 style="text-align: justify;"><span style="font-size:16px;">Chữa thoát vị đĩa đệm bao lâu thì khỏi?&nbsp;Thời gian uống thuốc có lâu không bác sĩ? Chữa thoát vị đĩa đệm ở phòng khám đông y Bảo Minh có tốt không, có đảm bảo không?.v.v. Đây là điều mà nhiều bệnh nhân bị thoát vị đĩa đệm muốn biết, trước khi họ đến phòng khám thoát vị đĩa đệm của Lương y Nguyễn văn Minh để trị bệnh.</span></h2><p><img loading="lazy" alt="Thoát vị đĩa đệm bao lâu thì khỏi" src="data:image/gif;base64,R0lGODlhAQABAID/AP///wAAACwAAAAAAQABAAACAkQBADs=" data-src="https://chuabenhthoatvidiadem.vn/resources/images/Thoát vị đĩa đệm(6).jpg" style="width: 814px; height: 1200px;" class="lazy" width="814" height="1200" data-optimized="1" /></p><p style="text-align: justify;"><span style="font-size:16px;">Với&nbsp;kinh nghiệm điều trị thoát vị đĩa đệm hơn 25&nbsp;năm ở phòng khám đông y Bảo Minh.&nbsp;Lương y Nguyễn Văn Minh thấy thời gian chữa khỏi bệnh thoát vị đĩa đệm phụ thuộc vào các yếu tố chính như sau;</span></p><p style="text-align: justify;"><span style="font-size:16px;">1-&nbsp;Tuổi tác của người bệnh; tuổi càng trẻ&nbsp;chữa bệnh càng dễ, do tuổi trẻ nên sức khỏe tốt, rất&nbsp;mau khỏi bệnh. Có nhiều trường hợp bị thoát vị đĩa đệm chỉ cần uống thuốc&nbsp;sau 2-3 tuần đã hết đau nhức, đi lại sinh hoạt và làm việc bình thường.</span></p><p style="text-align: justify;"><span style="font-size:16px;"><img loading="lazy" alt="Thoát vị đĩa đệm bao lâu thì khỏi" src="data:image/gif;base64,R0lGODlhAQABAID/AP///wAAACwAAAAAAQABAAACAkQBADs=" data-src="https://chuabenhthoatvidiadem.vn/resources/images/Thoát vị đĩa đệm bao lâu thì khỏi.jpg" style="width: 624px; height: 813px;" class="lazy" width="624" height="813" data-optimized="1" /></span></p><p style="text-align: justify;"><span style="font-size:16px;"><a data-ved="2ahUKEwif18ez_bX4AhWFUfUHHWtKAloQFnoECAsQAQ" href="https://www.youtube.com/channel/UCMrl47bRL4MgAguyRi48mEw" ping="/url?sa=t&amp;source=web&amp;rct=j&amp;url=https://www.youtube.com/channel/UCMrl47bRL4MgAguyRi48mEw&amp;ved=2ahUKEwif18ez_bX4AhWFUfUHHWtKAloQFnoECAsQAQ" style="color: rgb(26, 13, 171); text-decoration-line: none; -webkit-tap-highlight-color: rgba(0, 0, 0, 0.1); outline: 0px; font-family: arial, sans-serif; font-size: small;" title="">Lương y Nguyễn Văn Minh</a>&nbsp;đã chữa cho nhiều người khỏi&nbsp;thoát vị đĩa đệm. Chúng tôi chỉ đăng&nbsp;tin khi quý khách đồng ý cho ghi lại và chia sẻ ý kiến. Khi chữa khỏi thoát vị đĩa đệm rất nhiều người muốn cảm ơn thầy thuốc và&nbsp;nhà thuốc, nhưng nhiều người muốn giữ bí mật thông tin, nên chúng tôi chỉ đăng bài sau khi được sự đồng ý từ quý khách. Sau này vì một lý do gì đó mà quý khách không muốn chia sẻ ở đây nữa, chúng tôi sẽ gỡ bỏ thông tin xuống.</span></p><p style="text-align: justify;"><a href="https://chuabenhthoatvidiadem.vn/resources/files/FILE_Tran Xuan Tuan KG CoVer.mp3" style="text-align: justify;" title="">Thoát vị đĩa đệm bao lâu thì khỏi</a></p><p style="text-align: justify;"><span style="font-size:16px;">Phòng khám xin trân trọng cảm ơn anh Trần Xuân Tuấn 44 tuổi, nhà ở Hà Tiên, Kiên Giang. Anh&nbsp;đồng ý chia sẻ bệnh án và nội dung nói chuyện rất thật giữa anh và thầy thuốc, mời quý khách nhấp vào trong&nbsp;ô để nghe và cảm nhận sự thật.</span></p><p style="text-align: justify;"><a href="https://chuabenhthoatvidiadem.vn/resources/files/Thầy giáo tv ở Hà Tiên.mp3" title="">Tư vấn chữa thoát vị đĩa đệm bao lâu thì khỏi</a></p><p style="text-align: justify;"><span style="font-size:14px;">Có thể bạn quan tâm:&nbsp;<em><a href="https://chuabenhthoatvidiadem.vn/cach-chua-benh/thoai-hoa-dia-dem-mat-nuoc-va-loi-dia-dem-gay-hep-ong-song-chen-ep-re-than-kinh-l4-l5-pid-257.html" rel="noopener" style="color: rgb(102, 0, 153); text-decoration-line: none; -webkit-tap-highlight-color: rgba(0, 0, 0, 0.1); cursor: pointer; font-family: arial, sans-serif; font-size: small;" target="_blank" title="">Lồi đĩa&nbsp;đệm L4 L5,&nbsp;&nbsp;hẹp ống sống, hẹp ngách bên, hẹp lỗ liên hợp, chèn ép rễ thần kinh L4 L5&nbsp;</a>. Người bệnh kể: &quot;Em uống 30 thang đỡ lắm rồi, bớt đau tới 90%&quot;</em></span></p><p style="text-align: justify;"><span style="font-size:16px;">2- Các mức độ thoát vị đĩa đệm sẽ ảnh hưởng nhiều đến thời gian điều trị bệnh. Thoát vị đĩa đệm nhẹ chỉ cần chữa trong thời gian từ 2 đến 4 tuần sẽ hết đau lưng, hết đau cổ vai gáy, không còn&nbsp;đau nhức hông đùi, bắp chân. Mức độ thoát vị đĩa đệm vừa phải hay là thoát vị đĩa đệm mức trung bình, thời gian điều trị thường từ 1 đến 2 tháng, nhưng trong thời gian điều trị từ 10 - 20 ngày là bệnh đã đỡ, có thuyên giảm rõ rệt. Mức độ thoát vị đĩa đệm nặng, người bệnh đau lâu ngày, đau tái đi tái lại, khối thoát vị có chèn ép rễ, chèn ép chùm đuôi ngựa, chèn ép bao màng cứng ống sống rồi cộng thêm bị thoái hóa cột sống, gai cột sống.v.v. Những trường hợp như vậy, thầy thuốc phải căn cứ vào từng trường hợp cụ thể mới có thể chẩn đoán tương đối chính xác thời gian để điều trị.</span></p><p style="text-align: justify;"><em style="font-size: 18px;"><img loading="lazy" alt="Thoát vị đĩa đệm bao lâu thì khỏi" src="data:image/gif;base64,R0lGODlhAQABAID/AP///wAAACwAAAAAAQABAAACAkQBADs=" data-src="https://chuabenhthoatvidiadem.vn/resources/images/Thoát vị đĩa đệm bao lâu thì khỏi(1).jpg" style="opacity: 0.9; width: 844px; height: 1200px;" class="lazy" width="844" height="1200" data-optimized="1" /></em></p><p style="text-align: justify;"><span style="font-size:14px;">Mời bạn đọc xem thêm</span><em><span style="font-size:14px;">:&nbsp;<a data-ctbtn="0" data-cthref="/url?sa=t&amp;rct=j&amp;q=&amp;esrc=s&amp;source=web&amp;cd=&amp;ved=2ahUKEwiKi6CF-qjsAhXMad4KHdCzA9Q4qgEQFjAEegQIBxAC&amp;url=https%3A%2F%2Fchuabenhthoatvidiadem.vn%2Fbai-viet%2Fket-qua-dieu-tri-thoat-vi-dia-dem%2Fthoat-vi-dia-dem-hep-nang-ong-song-hep-lo-lien-hop-chen-ep-re-than-kinh-pid-243.html&amp;usg=AOvVaw1QBTwOj_s5yFHEji04spJc" href="https://www.google.com.vn/url?sa=t&amp;rct=j&amp;q=&amp;esrc=s&amp;source=web&amp;cd=&amp;ved=2ahUKEwiKi6CF-qjsAhXMad4KHdCzA9Q4qgEQFjAEegQIBxAC&amp;url=https%3A%2F%2Fchuabenhthoatvidiadem.vn%2Fbai-viet%2Fket-qua-dieu-tri-thoat-vi-dia-dem%2Fthoat-vi-dia-dem-hep-nang-ong-song-hep-lo-lien-hop-chen-ep-re-than-kinh-pid-243.html&amp;usg=AOvVaw1QBTwOj_s5yFHEji04spJc" rel="noopener" style="color: rgb(102, 0, 153); text-decoration-line: none; -webkit-tap-highlight-color: rgba(0, 0, 0, 0.1); cursor: pointer; font-family: arial, sans-serif; font-size: small;" target="_blank" title="">Thoát vị đĩa đệm tầng L4 L5 thể trung tâm, gây&nbsp;hẹp nặng ống sống, hẹp lỗ liên hợp, ép rễ thần kinh L5 hai bên</a>. Người bệnh kể: &quot;Em uống bốn chục thang thuốc hết rồi anh&quot;</span></em></p><p style="text-align: justify;"><span style="font-size:16px;">3- Phụ thuộc vào thể trạng của người bệnh, tức là họ có bị thêm các bệnh gì khác nữa không, nếu có thêm các bệnh lý nền kèm theo như; cao huyết áp, bệnh tiểu đường, bệnh tim mạch, bệnh suy nhược cơ thể.v.v thì thời gian điều trị sẽ phải kéo dài, điều trị lâu hơn do phải kết hợp trong điều trị các bệnh khác nữa.</span></p><p style="text-align: justify;"><span style="font-size:14px;">Nội dung đáng để xem</span><em><span style="font-size:14px;">:&nbsp;<a href="https://chuabenhthoatvidiadem.vn/bai-viet/ket-qua-dieu-tri-thoat-vi-dia-dem/uong-thuoc-cua-thay-chua-thoat-vi-dia-dem-co-toi-het-moi-co-het-dau-vai-gay-pid-115.html" rel="noopener" style="color: rgb(102, 0, 153); text-decoration-line: none; -webkit-tap-highlight-color: rgba(0, 0, 0, 0.1); cursor: pointer; font-family: arial, sans-serif; font-size: small;" target="_blank" title="">Uống thuốc của thầy mấy chục thang,&nbsp;tôi hết mỏi cổ, hết đau vai gáy mấy năm nay</a>.&nbsp;Bác bệnh nhân gọi điện cho biết như vậy.</span></em></p><p style="text-align: justify;"><span style="font-size:16px;">4- Ngoài các yếu tố trên thì thời gian chữa bệnh còn phụ thuộc vào điều kiện công việc, ví như; dân văn phòng bị thoát vị đĩa đệm do ngồi nhiều, cúi nhiều do làm việc trên máy tính, cần phải lưu ý thời gian đứng lên vận động đi lại. Rồi đến&nbsp;chế độ sinh hoạt nghỉ ngơi, ý thức&nbsp;tập luyện theo chỉ dẫn của bác sĩ điều trị, chế độ dinh dưỡng.v.v. Cũng góp phần làm cho thời gian trị bệnh giảm xuống đáng kể.</span></p><p style="text-align: justify;"><img loading="lazy" alt="Thoát vị đĩa đệm bao lâu thì khỏi" src="data:image/gif;base64,R0lGODlhAQABAID/AP///wAAACwAAAAAAQABAAACAkQBADs=" data-src="https://chuabenhthoatvidiadem.vn/resources/images/Thoát vị đĩa đệm bao lâu thì khỏi (2).jpg" style="width: 863px; height: 1200px;" class="lazy" width="863" height="1200" data-optimized="1" /></p><p style="text-align: justify;"><span style="font-size:14px;">Có thể bạn muốn nghe<em>:<a data-ctbtn="0" data-cthref="/url?sa=t&amp;rct=j&amp;q=&amp;esrc=s&amp;source=web&amp;cd=&amp;ved=2ahUKEwjZu4fP_KjsAhXiFqYKHd6xAzE4tAEQFjAGegQICRAC&amp;url=https%3A%2F%2Fchuabenhthoatvidiadem.vn%2Fbai-viet%2Fnghe-truc-tiep-nhung-nguoi-duoc-luong-y-minh-chua-khoi-thoat-vi-dia-dem%2Fthuoc-chua-thoat-vi-dia-dem-tot-qua-em-het-te-chan-roi-bac-si-pid-236.html&amp;usg=AOvVaw33kYPyx779PK0_C4KiTVnK" href="https://www.google.com.vn/url?sa=t&amp;rct=j&amp;q=&amp;esrc=s&amp;source=web&amp;cd=&amp;ved=2ahUKEwjZu4fP_KjsAhXiFqYKHd6xAzE4tAEQFjAGegQICRAC&amp;url=https%3A%2F%2Fchuabenhthoatvidiadem.vn%2Fbai-viet%2Fnghe-truc-tiep-nhung-nguoi-duoc-luong-y-minh-chua-khoi-thoat-vi-dia-dem%2Fthuoc-chua-thoat-vi-dia-dem-tot-qua-em-het-te-chan-roi-bac-si-pid-236.html&amp;usg=AOvVaw33kYPyx779PK0_C4KiTVnK" rel="noopener" style="color: rgb(102, 0, 153); text-decoration-line: none; -webkit-tap-highlight-color: rgba(0, 0, 0, 0.1); cursor: pointer; font-family: arial, sans-serif; font-size: small;" target="_blank" title="">Thuốc chữa thoát vị đĩa đệm tốt đấy,&nbsp;em uống 45 thang thuốc, bình thường rồi,&nbsp;hết tê chân rồi bác sĩ.</a>&nbsp;Người bệnh cho biết như vậy.</em></span></p><p style="text-align: justify;"><span style="font-size:16px;">Ngoài các yếu tố trên đây thì còn một số yếu tố phụ khác nữa, nhưng không điển hình, khi khám bệnh thoát vị đĩa đệm, thầy thuốc sẽ dặn dò chu đáo theo bệnh tật của từng người.</span></p><p class="LC20lb DKV0Md" style="font-size: 20px; margin: 0px 0px 3px; padding: 4px 0px 0px; display: inline-block; line-height: 1.3;"><span style="font-size:14px;">Lời kể chân tình từ người bệnh</span><em><span style="font-size:14px;">:&nbsp;<a data-ctbtn="0" data-cthref="/url?sa=t&amp;rct=j&amp;q=&amp;esrc=s&amp;source=web&amp;cd=&amp;ved=2ahUKEwjf_N-0_qjsAhXMxYsBHRQECZQ4vgEQFjAFegQIBhAC&amp;url=https%3A%2F%2Fchuabenhthoatvidiadem.vn%2Fbai-viet%2Fnghe-truc-tiep-nhung-nguoi-duoc-luong-y-minh-chua-khoi-thoat-vi-dia-dem%2Fcham-dut-dau-vai-gay-do-thoat-vi-dia-dem-cot-song-co-sau-3-tuan-dieu-tri-anh-chup-mri-tai-bv-dai-hoc-y-duoc-tp-hcm-pid-65.html&amp;usg=AOvVaw0UUhI7BbK5DrBvx8rAUq8H" href="https://www.google.com.vn/url?sa=t&amp;rct=j&amp;q=&amp;esrc=s&amp;source=web&amp;cd=&amp;ved=2ahUKEwjf_N-0_qjsAhXMxYsBHRQECZQ4vgEQFjAFegQIBhAC&amp;url=https%3A%2F%2Fchuabenhthoatvidiadem.vn%2Fbai-viet%2Fnghe-truc-tiep-nhung-nguoi-duoc-luong-y-minh-chua-khoi-thoat-vi-dia-dem%2Fcham-dut-dau-vai-gay-do-thoat-vi-dia-dem-cot-song-co-sau-3-tuan-dieu-tri-anh-chup-mri-tai-bv-dai-hoc-y-duoc-tp-hcm-pid-65.html&amp;usg=AOvVaw0UUhI7BbK5DrBvx8rAUq8H" rel="noopener" style="color: rgb(102, 0, 153); text-decoration-line: none; -webkit-tap-highlight-color: rgba(0, 0, 0, 0.1); cursor: pointer; font-family: arial, sans-serif; font-size: small;" target="_blank" title="">Uống thuốc hết hai liệu trình, 20 thang thuốc sắc và thuốc đắp cột sống, em đỡ lắm rồi thầy, lúc trước em đau không chịu nổi</a></span></em></p><p class="LC20lb DKV0Md" style="font-size: 20px; margin: 0px 0px 3px; padding: 4px 0px 0px; display: inline-block; line-height: 1.3;">&nbsp;</p><p style="text-align: justify;"><span style="font-size: 16px;">Nếu người bệnh chọn chữa thoát vị đĩa đệm theo y học cổ truyền, sử dụng thuốc đông y để&nbsp;trị&nbsp;bệnh, thì thời gian không thể nhanh chóng giảm đau như thuốc tây được, mà phải cần phải có thời gian để ngấm thuốc. Còn các loại thuốc viên, thuốc tễ, thuốc cao, thuốc nước bào chế sẵn bán trên thị trường hiện nay&nbsp;có rất nhiều, nhưng bạn đọc nên nhớ điều này để tránh cho mình hoặc khuyên người nhà tránh xa: </span><strong style="font-size: 16px;">Thuốc nào uống vào mà thấy giảm đau ngay,&nbsp;hôm sau không uống lại bị đau, bị&nbsp;&nbsp;nhức&nbsp;thì thuốc đó không phải là thuốc đông y&nbsp;chất lượng tốt. Chỉ có&nbsp;trộn lẫn&nbsp;thuốc giảm đau của tây y,&nbsp;mới bớt đau nhanh như vậy, chứ thuốc đông y thật không thể nào uống vào hết đau ngay tức khắc được.</strong></p><p style="text-align: justify;"><span style="font-size: 16px;">Những thầy thuốc đông y giỏi, có uy tín, sẽ không ai bán những thứ thuốc viên, thuốc nước dạng giảm đau ngay như này.</span></p><p style="text-align: justify;"><span style="font-size: 16px;">Bao giờ&nbsp;thuốc đông y tốt, khi chữa thoát vị&nbsp;cũng phải có thời gian đợi ngấm&nbsp;thuốc, nhiều trường hợp bị thoát vị đĩa đệm nặng, chèn ép rễ thần kinh&nbsp;có khi trong 10 ngày đầu&nbsp;uống thuốc đau tăng lên, nhưng vài ngày sau thuốc thấm sẽ bớt dần và bệnh thuyên giảm. Chỉ những ai bị thoát vị đĩa đệm mới hiểu đau nhức như thế nào, mời quý khách nghe&nbsp;câu chuyện rất thật từ người bệnh và thầy thuốc.</span></p><p style="text-align: justify;"><span style="font-size: 16px;">Đây là&nbsp;ý kiến của người bệnh 67 tuổi ở Bình Phước, bác bị đau nhức nhiều do thoát vị đĩa đệm, đã đi chữa nhiều nơi nhưng chưa hết bệnh. Bác có khám bệnh và mua 15 thang thuốc, nhưng mới uống được 12 thang đã thấy tốt quá, bác gọi điện&nbsp;lại và có nội dung câu chuyện dưới đây;</span></p><p style="text-align: justify;"><span style="font-size: 16px;"><span class="optimize-cls-iframe" data-src="https://www.youtube.com/embed/iZD6IsMPCRM">https://www.youtube.com/embed/iZD6IsMPCRM</span></span></p><p style="text-align: justify;"><span style="font-size:14px;"><em>Tôi; Lương y Nguyễn Văn Minh xin trân trọng cảm ơn quý bệnh nhân đồng ý chia sẻ thật về cách chữa&nbsp;bệnh ở đây, tôi chỉ đưa thông tin hình ảnh khi được sự đồng ý của quý khách.&nbsp;Về sau;&nbsp;quý khách nào không thích công khai ở đây nữa, tôi sẽ gỡ bài đăng xuống, xin cảm ơn quý khách đã tin tưởng và đặt niềm tin vào uy tín của tôi cũng như phòng khám do tôi làm chủ cơ sở.</em></span></p><p style="text-align: justify;"><span class="optimize-cls-iframe" data-src="https://www.youtube.com/embed/ahJrSsmI994">https://www.youtube.com/embed/ahJrSsmI994</span></p><p style="text-align: justify;"><span style="font-size: 16px;">Mời bạn đọc tham khảo trường hợp người bệnh</span><span style="font-size: 16px; text-align: justify;">&nbsp;30 tuổi&nbsp;</span><span style="font-size: 16px;">bị thoát vị đĩa đệm, đã chữa&nbsp;khỏi thoát vị đĩa đệm sau thời gian ngắn, ở đây:</span></p><p style="text-align: justify;"><span style="font-size: 16px;"><a href="https://chuabenhthoatvidiadem.vn/resources/files/hoang cong thang 88 tv (1).mp3" title="">Chữa thoát vị đĩa đệm bao lâu thì khỏi</a></span></p><p style="text-align: justify;"><span style="font-size:16px;">Dưới&nbsp;đây là kết luận của bác sĩ chụp MRI:&nbsp;Thoát vị đĩa đệm L4-5 ra sau trung tâm lệch (T), kích thước #5,5- 6mm, chèn ép vào rễ thần kinh L5 bên (T) và ép bao màng cứng ống sống.</span></p><p style="text-align: justify;"><img loading="lazy" alt="Thoát vị đĩa đệm L4L5" src="data:image/gif;base64,R0lGODlhAQABAID/AP///wAAACwAAAAAAQABAAACAkQBADs=" data-src="https://chuabenhthoatvidiadem.vn/resources/images/Thoát vị đĩa đệm L4L5.jpg" style="width: 649px; height: 747px;" class="lazy" width="649" height="747" data-optimized="1" /></p><p style="text-align: justify;"><span style="font-size: 16px;">Lương y Nguyễn Văn Minh đã xin phép và được anh Thắng ở Bình Thuận đồng ý cho chia sẻ bệnh án , chia sẻ nội dung nói chuyện ở trên, về căn bệnh thoát vị đĩa đệm&nbsp;L4 L5 của anh.</span></p><p style="text-align: justify;"><span style="font-size: 16px;">Để tham khảo được nhiều hơn, rõ hơn, bạn đọc bấm vào đường link dưới đây:</span></p><p style="text-align: justify;"><a data-ctbtn="0" data-cthref="/url?sa=t&amp;rct=j&amp;q=&amp;esrc=s&amp;source=web&amp;cd=&amp;ved=2ahUKEwil0cS98IDsAhX1zIsBHb_6BaQ4UBAWMAd6BAgJEAE&amp;url=https%3A%2F%2Fchuabenhthoatvidiadem.vn%2Fcach-chua-benh%2Fthuoc-chua-thoat-vi-dia-dem-toi-uong-20-thang-het-dau-roi-thay-pid-127.html&amp;usg=AOvVaw2u5HzYzdTeButj_KLlb3I1" href="https://www.google.com.vn/url?sa=t&amp;rct=j&amp;q=&amp;esrc=s&amp;source=web&amp;cd=&amp;ved=2ahUKEwil0cS98IDsAhX1zIsBHb_6BaQ4UBAWMAd6BAgJEAE&amp;url=https%3A%2F%2Fchuabenhthoatvidiadem.vn%2Fcach-chua-benh%2Fthuoc-chua-thoat-vi-dia-dem-toi-uong-20-thang-het-dau-roi-thay-pid-127.html&amp;usg=AOvVaw2u5HzYzdTeButj_KLlb3I1" rel="noopener" style="color: rgb(102, 0, 153); text-decoration-line: none; -webkit-tap-highlight-color: rgba(0, 0, 0, 0.1); cursor: pointer; font-family: arial, sans-serif; font-size: small;" target="_blank" title="">Thuốc chữa thoát vị đĩa đệm , em uống 20 thang hết đau rồi thầy</a></p><p class="LC20lb DKV0Md" style="font-size: 20px; margin: 0px 0px 3px; padding: 4px 0px 0px; display: inline-block; line-height: 1.3;"><a href="https://chuabenhthoatvidiadem.vn/dieu-tri/ket-qua-dieu-tri-thoat-vi-dia-dem-cid-2-0.html" rel="noopener" style="color: rgb(102, 0, 153); text-decoration-line: none; -webkit-tap-highlight-color: rgba(0, 0, 0, 0.1); cursor: pointer; font-family: arial, sans-serif; font-size: small;" target="_blank" title="">Kết quả điều trị thoát vị đĩa đệm ở phòng&nbsp;khám đông y Bảo Minh</a>.&nbsp;</p><p class="LC20lb DKV0Md" style="font-size: 20px; margin: 0px 0px 3px; padding: 4px 0px 0px; display: inline-block; line-height: 1.3;"><a href="https://chuabenhthoatvidiadem.vn/cach-chua-benh/thoat-vi-dia-dem-chen-ep-re-than-kinh-pid-254.html" rel="noopener" style="color: rgb(102, 0, 153); text-decoration-line: none; -webkit-tap-highlight-color: rgba(0, 0, 0, 0.1); cursor: pointer; font-family: arial, sans-serif; font-size: small;" target="_blank" title="">Thoát vị đĩa đệm chèn ép rễ thần kinh, xem bác Quế kể chuyện</a>.&nbsp;</p><p class="LC20lb DKV0Md" style="font-size: 20px; margin: 0px 0px 3px; padding: 4px 0px 0px; display: inline-block; line-height: 1.3;">&nbsp;</p><p class="LC20lb DKV0Md" style="font-size: 20px; margin: 0px 0px 3px; padding: 4px 0px 0px; display: inline-block; line-height: 1.3;">&nbsp;</p><p class="LC20lb DKV0Md" style="font-size: 20px; margin: 0px 0px 3px; padding: 4px 0px 0px; display: inline-block; line-height: 1.3;">&nbsp;</p><p class="LC20lb DKV0Md" style="font-size: 20px; margin: 0px 0px 3px; padding: 4px 0px 0px; display: inline-block; line-height: 1.3;">&nbsp;</p><p class="LC20lb DKV0Md" style="font-size: 20px; margin: 0px 0px 3px; padding: 4px 0px 0px; display: inline-block; line-height: 1.3;">&nbsp;</p><p class="LC20lb DKV0Md" style="font-size: 20px; margin: 0px 0px 3px; padding: 4px 0px 0px; display: inline-block; line-height: 1.3;">&nbsp;</p><p class="LC20lb DKV0Md" style="font-size: 20px; margin: 0px 0px 3px; padding: 4px 0px 0px; display: inline-block; line-height: 1.3;">&nbsp;</p><p class="LC20lb DKV0Md" style="font-size: 20px; margin: 0px 0px 3px; padding: 4px 0px 0px; display: inline-block; line-height: 1.3;">&nbsp;</p><p class="LC20lb DKV0Md" style="font-size: 20px; margin: 0px 0px 3px; padding: 4px 0px 0px; display: inline-block; line-height: 1.3;">&nbsp;</p><p class="LC20lb DKV0Md" style="font-size: 20px; margin: 0px 0px 3px; padding: 4px 0px 0px; display: inline-block; line-height: 1.3;">&nbsp;</p><p class="LC20lb DKV0Md" style="font-size: 20px; margin: 0px 0px 3px; padding: 4px 0px 0px; display: inline-block; line-height: 1.3;">&nbsp;</p><p class="LC20lb DKV0Md" style="font-size: 20px; margin: 0px 0px 3px; padding: 4px 0px 0px; display: inline-block; line-height: 1.3;">&nbsp;</p><p class="LC20lb DKV0Md" style="margin: 0px 0px 3px; padding: 4px 0px 0px; display: inline-block; line-height: 1.3;"><a data-ctbtn="0" data-cthref="/url?sa=t&amp;rct=j&amp;q=&amp;esrc=s&amp;source=web&amp;cd=&amp;ved=2ahUKEwiu0Y2g7IDsAhXH7GEKHfbwA_k4HhAWMAl6BAgKEAE&amp;url=https%3A%2F%2Fchuabenhthoatvidiadem.vn%2Fcach-chua-benh%2Fcach-chua-thoat-vi-dia-dem-cot-song-that-lung-pid-222.html&amp;usg=AOvVaw0XJ8uJ9mXsqTS0Q7SfV6IS" href="https://www.google.com.vn/url?sa=t&amp;rct=j&amp;q=&amp;esrc=s&amp;source=web&amp;cd=&amp;ved=2ahUKEwiu0Y2g7IDsAhXH7GEKHfbwA_k4HhAWMAl6BAgKEAE&amp;url=https%3A%2F%2Fchuabenhthoatvidiadem.vn%2Fcach-chua-benh%2Fcach-chua-thoat-vi-dia-dem-cot-song-that-lung-pid-222.html&amp;usg=AOvVaw0XJ8uJ9mXsqTS0Q7SfV6IS" rel="noopener" style="font-size: small; color: rgb(102, 0, 153); text-decoration-line: none; -webkit-tap-highlight-color: rgba(0, 0, 0, 0.1); cursor: pointer; font-family: arial, sans-serif;" target="_blank" title="">Chữa thoát vị đĩa đệm ở phòng khám Bảo Minh, chữa khỏi&nbsp;không phải mổ</a><font size="2">.</font></p><p class="LC20lb DKV0Md" style="margin: 0px 0px 3px; padding: 4px 0px 0px; display: inline-block; line-height: 1.3;">&nbsp;</p><p class="LC20lb DKV0Md" style="margin: 0px 0px 3px; padding: 4px 0px 0px; display: inline-block; line-height: 1.3;">&nbsp;</p><p class="LC20lb DKV0Md" style="margin: 0px 0px 3px; padding: 4px 0px 0px; display: inline-block; line-height: 1.3;"><span style="font-size: 20px;">&nbsp;</span></p><p class="LC20lb DKV0Md" style="margin: 0px 0px 3px; padding: 4px 0px 0px; display: inline-block; line-height: 1.3;">&nbsp;</p><p class="LC20lb DKV0Md" style="margin: 0px 0px 3px; padding: 4px 0px 0px; display: inline-block; line-height: 1.3;">&nbsp;</p><p class="LC20lb DKV0Md" style="margin: 0px 0px 3px; padding: 4px 0px 0px; display: inline-block; line-height: 1.3;"><span style="font-size: 20px;">&nbsp;</span></p><p class="LC20lb DKV0Md" style="margin: 0px 0px 3px; padding: 4px 0px 0px; display: inline-block; line-height: 1.3;"><a href="https://chuabenhthoatvidiadem.vn/cach-chua-benh/chua-thoat-vi-dia-dem-cot-song-that-lung-khoi-han-khong-phai-mo-pid-74.html" rel="noopener" style="font-size: small; color: rgb(102, 0, 153); text-decoration-line: none; -webkit-tap-highlight-color: rgba(0, 0, 0, 0.1); cursor: pointer; font-family: arial, sans-serif;" target="_blank" title="">Trị hết thoát vị đĩa đệm&nbsp;lưng, nghe người bệnh kể chân thực</a></p><p class="LC20lb DKV0Md" style="margin: 0px 0px 3px; padding: 4px 0px 0px; display: inline-block; line-height: 1.3;">&nbsp;</p><p class="LC20lb DKV0Md" style="font-size: 20px; margin: 0px 0px 3px; padding: 4px 0px 0px; display: inline-block; line-height: 1.3; text-align: justify;">&nbsp;<span style="font-size:16px;">Còn hàng ngàn người&nbsp;đã chữa khỏi thoát vị đĩa đệm ở phòng khám đông y Bảo Minh, nhưng Lương y Nguyễn Văn Minh&nbsp;chỉ đưa lên đây những trường hợp đồng ý cho chia sẻ, mục đích để giới thiệu&nbsp;phương pháp, bài thuốc đông y&nbsp;chữa bệnh có hiệu quả của phòng khám cho người bệnh.&nbsp; &nbsp; &nbsp; &nbsp; &nbsp;</span> &nbsp; &nbsp; &nbsp; &nbsp; &nbsp; &nbsp; &nbsp; &nbsp; &nbsp; &nbsp; &nbsp;&nbsp;&nbsp; &nbsp; &nbsp; &nbsp; &nbsp;&nbsp;</p><p class="LC20lb DKV0Md" style="font-size: 20px; margin: 0px 0px 3px; padding: 4px 0px 0px; display: inline-block; line-height: 1.3;">&nbsp;</p><p class="LC20lb DKV0Md" style="font-size: 20px; margin: 0px 0px 3px; padding: 4px 0px 0px; display: inline-block; line-height: 1.3;">&nbsp;</p><p style="text-align: justify;"><span class="optimize-cls-iframe" data-src="https://www.youtube.com/embed/UN0lTke8WFY">https://www.youtube.com/embed/UN0lTke8WFY</span></p><p style="text-align: justify;"><span style="font-size:14px;"><em>Mời bạn đọc bấm vào Clip trên,&nbsp;nghe thông tin về cách chữa thoát vị đĩa đệm. Do bác Chính ở TP. HCM kể lại câu&nbsp;chuyện của bác&nbsp;chữa khỏi bệnh ở phòng khám đông y Bảo Minh. (*)</em></span></p><p><span style="font-size:18px;">Có thể bạn quan tâm;</span></p><p><a data-ved="2ahUKEwihk4u_2av_AhUPmVYBHcEmD6o4RhAWegQICBAB" href="https://chuabenhthoatvidiadem.vn/cach-chua-benh/thay-thuoc-chua-thoat-vi-dia-dem-o-go-vap-thay-thuoc-10-that-pid-313.html" jsaction="rcuQ6b:npT2md" jscontroller="M9mgyc" jsname="qOiK6e" ping="/url?sa=t&amp;source=web&amp;rct=j&amp;url=https://chuabenhthoatvidiadem.vn/cach-chua-benh/thay-thuoc-chua-thoat-vi-dia-dem-o-go-vap-thay-thuoc-10-that-pid-313.html&amp;ved=2ahUKEwihk4u_2av_AhUPmVYBHcEmD6o4RhAWegQICBAB" style="box-sizing: border-box; margin: 0px; padding: 0px; border: 0px; outline: 0px; font-size: small; vertical-align: baseline; background-image: initial; background-position: initial; background-size: initial; background-repeat: initial; background-attachment: initial; background-origin: initial; background-clip: initial; color: rgb(26, 13, 171); text-decoration-line: none; transition: all 406ms ease-out 0s; max-width: 100%; text-align: justify; -webkit-tap-highlight-color: rgba(0, 0, 0, 0.1); font-family: arial, sans-serif;" title="">Thầy Thuốc chữa thoát vị đĩa đệm có 10 điều&nbsp;thật.</a></p><p><a data-ctbtn="0" data-cthref="/url?sa=t&amp;rct=j&amp;q=&amp;esrc=s&amp;source=web&amp;cd=&amp;ved=2ahUKEwiu0Y2g7IDsAhXH7GEKHfbwA_k4HhAWMAZ6BAgIEAE&amp;url=https%3A%2F%2Fchuabenhthoatvidiadem.vn%2Fcach-chua-benh%2Fthoat-vi-dia-dem-that-lung-l4-l5-l5-s1-pid-223.html&amp;usg=AOvVaw0ARPnYjMXTx9ZugXkfV2Oe" href="https://www.google.com.vn/url?sa=t&amp;rct=j&amp;q=&amp;esrc=s&amp;source=web&amp;cd=&amp;ved=2ahUKEwiu0Y2g7IDsAhXH7GEKHfbwA_k4HhAWMAZ6BAgIEAE&amp;url=https%3A%2F%2Fchuabenhthoatvidiadem.vn%2Fcach-chua-benh%2Fthoat-vi-dia-dem-that-lung-l4-l5-l5-s1-pid-223.html&amp;usg=AOvVaw0ARPnYjMXTx9ZugXkfV2Oe" rel="noopener" style="color: rgb(102, 0, 153); font-size: small; text-decoration-line: none; -webkit-tap-highlight-color: rgba(0, 0, 0, 0.1); cursor: pointer; font-family: arial, sans-serif;" target="_blank" title="">Thoát vị đĩa đệm&nbsp;L4 L5, anh Bền ở Bình Dương đã khỏi bệnh</a></p><div class="ellip" style="overflow: hidden; text-overflow: ellipsis; white-space: nowrap;"><a data-ctbtn="0" data-cthref="http://www.google.com.vn/url?sa=t&amp;rct=j&amp;q=&amp;esrc=s&amp;source=web&amp;cd=39&amp;ved=2ahUKEwiplOKJiKXkAhVX_GEKHSVkBHc4HhAWMAh6BAgDEAE&amp;url=http%3A%2F%2Fchuabenhthoatvidiadem.vn%2Fcach-chua-benh%2Fdon-gia-thuoc-chua-thoat-vi-dia-dem-pid-83.html&amp;usg=AOvVaw0SFL351NUoYXTOl118Btaq" href="http://www.google.com.vn/url?sa=t&amp;rct=j&amp;q=&amp;esrc=s&amp;source=web&amp;cd=39&amp;ved=2ahUKEwiplOKJiKXkAhVX_GEKHSVkBHc4HhAWMAh6BAgDEAE&amp;url=http%3A%2F%2Fchuabenhthoatvidiadem.vn%2Fcach-chua-benh%2Fdon-gia-thuoc-chua-thoat-vi-dia-dem-pid-83.html&amp;usg=AOvVaw0SFL351NUoYXTOl118Btaq" rel="noopener" style="color: rgb(102, 0, 153); cursor: pointer; text-decoration-line: none; font-family: arial, sans-serif; font-size: small;" target="_blank" title="">Thuốc chữa thoát vị đĩa đệm giá bao nhiêu</a></div><div class="ellip" style="overflow: hidden; text-overflow: ellipsis; white-space: nowrap;"><h3 class="LC20lb" style="color: rgb(102, 0, 153); cursor: pointer; text-decoration-line: none; font-family: arial, sans-serif; font-size: 20px; margin: 0px; padding: 0px; display: inline-flex; max-width: 100%; line-height: 1.3;">&nbsp;</h3><div class="ellip" style="overflow: hidden; text-overflow: ellipsis; white-space: nowrap;"><a href="https://chuabenhthoatvidiadem.vn/bai-viet/thuoc-chua-benh-thoat-vi-dia-dem/thang-thuoc-chua-thoat-vi-dia-dem-pid-219.html" rel="noopener" style="color: rgb(102, 0, 153); cursor: pointer; text-decoration-line: none; font-family: arial, sans-serif; font-size: small;" target="_blank" title="">Thuốc chữa thoát vị đĩa đệm ở nhà thuốc đông y Bảo Minh</a></div><div><h3 class="LC20lb" style="color: rgb(102, 0, 153); cursor: pointer; text-decoration-line: none; font-family: arial, sans-serif; font-size: 20px; margin: 0px; padding: 0px; display: inline-flex; max-width: 100%; line-height: 1.3;">&nbsp;</h3><div class="ellip" style="overflow: hidden; text-overflow: ellipsis; white-space: nowrap;"><a href="https://chuabenhthoatvidiadem.vn/cach-chua-benh/thuoc-chua-thoat-vi-dia-dem-toi-uong-20-thang-het-dau-roi-thay-pid-127.html" rel="noopener" style="color: rgb(102, 0, 153); cursor: pointer; text-decoration-line: none; font-family: arial, sans-serif; font-size: small;" target="_blank" title="">Em uống hết 20 thang thuốc, em hết đau rồi thầy</a></div><div><div>&nbsp;</div></div></div></div><div class="ellip" style="overflow: hidden; text-overflow: ellipsis; white-space: nowrap;"><div class="ellip" style="overflow: hidden; text-overflow: ellipsis; white-space: nowrap;"><a href="https://chuabenhthoatvidiadem.vn/cach-chua-benh/vao-google-go-chu-chua-thoat-vi-dia-dem-gap-luong-y-nguyen-van-minh-pid-242.html" rel="noopener" style="color: rgb(102, 0, 153); cursor: pointer; font-family: arial, sans-serif; font-size: small;" target="_blank" title="">Em uống bốn chục thang, hết bệnh rồi bác sĩ</a></div><div class="ellip" style="overflow: hidden; text-overflow: ellipsis; white-space: nowrap;">&nbsp;</div></div><div><span style="color: rgb(0, 0, 0); font-family: RobotoSlab-Regular, Arial, Helvetica, sans-serif; font-size: 16px;">(*)&nbsp; Lưu ý: Thuốc đông y trị&nbsp;thoát vị đĩa đệm có tác dụng nhanh/chậm tùy theo cơ địa&nbsp;mỗi nguời</span></div><p><span style="background-color: transparent; color: rgb(0, 0, 0); font-family: RobotoSlab-Regular, Arial, Helvetica, sans-serif; font-size: 16px;">Bạn đọc bấm vào đây xem kênh&nbsp;</span><span style="background: transparent; color: rgb(0, 0, 0); font-family: RobotoSlab-Regular, Arial, Helvetica, sans-serif; box-sizing: border-box; margin: 0px; padding: 0px; border: 0px; outline: 0px; font-size: 18px; vertical-align: baseline; max-width: 100%;"><a href="https://www.youtube.com/channel/UCMrl47bRL4MgAguyRi48mEw" style="box-sizing: border-box; margin: 0px; padding: 0px; border: 0px; outline: 0px; font-size: small; vertical-align: baseline; background: transparent; color: rgb(102, 0, 153); text-decoration-line: none; transition: all 406ms ease-out 0s; max-width: 100%; cursor: pointer; font-family: arial, sans-serif;" target="_blank" title="">YouTube</a></span><span style="background-color: transparent; color: rgb(0, 0, 0); font-family: RobotoSlab-Regular, Arial, Helvetica, sans-serif; font-size: 16px;">&nbsp;của&nbsp;</span><span style="background: transparent; color: rgb(0, 0, 0); font-family: RobotoSlab-Regular, Arial, Helvetica, sans-serif; box-sizing: border-box; margin: 0px; padding: 0px; border: 0px; outline: 0px; font-size: 18px; vertical-align: baseline; max-width: 100%;"><a href="https://www.youtube.com/channel/UCMrl47bRL4MgAguyRi48mEw" style="box-sizing: border-box; margin: 0px; padding: 0px; border: 0px; outline: 0px; font-size: small; vertical-align: baseline; background: transparent; color: rgb(102, 0, 153); text-decoration-line: none; transition: all 406ms ease-out 0s; max-width: 100%; cursor: pointer; font-family: arial, sans-serif;" target="_blank" title="">Lương y Nguyễn Văn Minh</a></span><span style="background-color: transparent; color: rgb(0, 0, 0); font-family: RobotoSlab-Regular, Arial, Helvetica, sans-serif; font-size: 16px;">, ghi lại những hình ảnh người bệnh đồng ý chia sẻ, phát biểu về cách&nbsp;chữa&nbsp;bệnh thoát vị đĩa đệm tốt nhất&nbsp;ở đây.</span></p><p style="box-sizing: border-box; margin: 0px 0px 10px; padding: 0px; border: 0px; outline: 0px; font-size: 16px; vertical-align: baseline; background-image: initial; background-position: initial; background-size: initial; background-repeat: initial; background-attachment: initial; background-origin: initial; background-clip: initial; max-width: 100%; color: rgb(0, 0, 0); font-family: RobotoSlab-Regular, Arial, Helvetica, sans-serif; text-align: justify;"><span style="box-sizing: border-box; margin: 0px; padding: 0px; border: 0px; outline: 0px; vertical-align: baseline; background: transparent; max-width: 100%;">Nếu quý khách gửi kết quả chụp cộng hưởng&nbsp;từ MRI, qua&nbsp;Zalo của Lương y Nguyễn Văn Minh: 091 350 3552. Quý khách&nbsp;sẽ được tư vấn miễn phí&nbsp;cách chữa bệnh đúng với mức độ thoát vị đĩa đệm, các triệu chứng đau nhức, tình trạng nặng nhẹ của căn bệnh.&nbsp;&nbsp;Địa chỉ phòng khám thoát vị đĩa đệm ở Tp Hồ Chí Minh: 856/6 đường Quang Trung, quận Gò Vấp.</span></p><p style="box-sizing: border-box; margin: 0px 0px 10px; padding: 0px; border: 0px; outline: 0px; font-size: 16px; vertical-align: baseline; background-image: initial; background-position: initial; background-size: initial; background-repeat: initial; background-attachment: initial; background-origin: initial; background-clip: initial; max-width: 100%; color: rgb(0, 0, 0); font-family: RobotoSlab-Regular, Arial, Helvetica, sans-serif;"><span style="box-sizing: border-box; margin: 0px; padding: 0px; border: 0px; outline: 0px; vertical-align: baseline; background: transparent; max-width: 100%;">Trang web thuộc&nbsp;sở hữu của nhà thuốc đông y Bảo Minh:</span></p><p style="box-sizing: border-box; margin: 0px 0px 10px; padding: 0px; border: 0px; outline: 0px; font-size: 16px; vertical-align: baseline; background-image: initial; background-position: initial; background-size: initial; background-repeat: initial; background-attachment: initial; background-origin: initial; background-clip: initial; max-width: 100%; color: rgb(0, 0, 0); font-family: RobotoSlab-Regular, Arial, Helvetica, sans-serif;"><span style="box-sizing: border-box; margin: 0px; padding: 0px; border: 0px; outline: 0px; vertical-align: baseline; background: transparent; max-width: 100%;">thoatvidiadem.top</span></p><p style="box-sizing: border-box; margin: 0px 0px 10px; padding: 0px; border: 0px; outline: 0px; font-size: 16px; vertical-align: baseline; background-image: initial; background-position: initial; background-size: initial; background-repeat: initial; background-attachment: initial; background-origin: initial; background-clip: initial; max-width: 100%; color: rgb(0, 0, 0); font-family: RobotoSlab-Regular, Arial, Helvetica, sans-serif;"><a href="https://phongkhambaominh.com/" style="box-sizing: border-box; margin: 0px; padding: 0px; border: 0px; outline: 0px; vertical-align: baseline; background: transparent; color: rgb(51, 122, 183); text-decoration-line: none; transition: all 406ms ease-out 0s; max-width: 100%;" title="">phongkhambaominh.com</a></p><p style="box-sizing: border-box; margin: 0px 0px 10px; padding: 0px; border: 0px; outline: 0px; font-size: 16px; vertical-align: baseline; background-image: initial; background-position: initial; background-size: initial; background-repeat: initial; background-attachment: initial; background-origin: initial; background-clip: initial; max-width: 100%; color: rgb(0, 0, 0); font-family: RobotoSlab-Regular, Arial, Helvetica, sans-serif;"><a href="https://chuabenhthoatvidiadem.vn/" style="box-sizing: border-box; margin: 0px; padding: 0px; border: 0px; outline: 0px; vertical-align: baseline; background: transparent; color: rgb(51, 122, 183); text-decoration-line: none; transition: all 406ms ease-out 0s; max-width: 100%;" title="">chuabenhthoatvidiadem.vn</a></p><p style="box-sizing: border-box; margin: 0px 0px 10px; padding: 0px; border: 0px; outline: 0px; font-size: 16px; vertical-align: baseline; background-image: initial; background-position: initial; background-size: initial; background-repeat: initial; background-attachment: initial; background-origin: initial; background-clip: initial; max-width: 100%; color: rgb(0, 0, 0); font-family: RobotoSlab-Regular, Arial, Helvetica, sans-serif;"><span style="background-color: transparent;">Quý khách nhờ&nbsp;Google Map chỉ đường là nhanh nhất,&nbsp;khi đến&nbsp;chữa thoát vị đĩa đệm ở Gò Vấp:</span></p>]]></content:encoded>
						<wfw:commentRss></wfw:commentRss>
						<slash:comments>0</slash:comments>
					</item>
				
					<item>
						<title>Lương y Nguyễn Văn Minh chữa thoát vị đĩa đệm cho chị Nghĩa khỏi hẳn, chị đồng ý chia sẻ địa chỉ thật</title>
						<link>https://chuabenhthoatvidiadem.vn/bai-viet/ket-qua-dieu-tri-thoat-vi-dia-dem/luong-y-nguyen-van-minh-chua-thoat-vi-dia-dem-cho-chi-nghia-khoi-han-chi-dong-y-chia-se-dia-chi-that-pid-264.html</link>
						<comments></comments>
						<pubDate>Fri, 21 Jun 2019 06:03:16 +0700</pubDate>
						<dc:creator>admin</dc:creator>
						<category><![CDATA[Kết quả điều trị thoát vị đĩa đệm]]></category>
						<guid isPermaLink="false"></guid>
						<description><![CDATA[Chị Nghĩa ở Đắk Lắk bị thoát vị đĩa đệm thắt lưng, được lương y Nguyễn Văn Minh chữa thoát vị đĩa đệm cho chị khỏi hẳn, chị Nghĩa rất tin vào cách chữa này, cách chữa thoát vị đĩa đệm bằng đông y đã giúp chị khỏi bệnh, cả năm nay không bị đau nữa. Chị Nghĩa thấy ai bị thoát vị đĩa đệm, chị đều giới thiệu làm phước. Chị đồng ý chia sẻ địa chỉ và số điện thoại của mình ở đây.]]></description>
						<content:encoded><![CDATA[<h2 style="text-align: justify;"><span style="font-size:16px;">Chữa&nbsp;thoát vị đĩa đệm ở TPHCM&nbsp;có rất nhiều thầy thuốc giỏi. Đây&nbsp;là những lương y, bác sỹ giỏi có nhiều kinh nghiệm, có chuyên môn tay nghề cao, chữa bệnh có tâm và&nbsp;uy tín.</span></h2><p style="text-align: justify;">Khi người bệnh chữa khỏi bệnh ở đâu, phòng khám nào, thầy thuốc tên gì.v.v. Người bệnh&nbsp;sẽ nhớ và giới thiệu cho người thân hoặc&nbsp;người nhà tới chữa.</p><p style="text-align: justify;">Lương y Nguyễn Văn Minh có được uy tín về&nbsp;chữa bệnh thoát vị đĩa đệm cũng là nhờ ở những người như vậy. Mời bạn đọc bấm vào mũi tên ở dưới, nghe cuộc trò chuyện giữa lương y Nguyễn văn Minh và chị Phạm Thị Nghĩa, một người bệnh đã chữa khỏi thoát vị đĩa đệm cách nay cả năm. Chị rất tốt,&nbsp;khi gặp ai bị đau nhức do thoát vị đĩa đệm, chị đều giới thiệu tới gặp Lương y Nguyễn Văn Minh để trị bệnh. Những người quen được chị giới thiệu tới chữa cũng khỏi bệnh, càng làm chị tin tưởng cách chữa&nbsp; ở đây. Chị Nghĩa đồng ý cho chia sẻ địa chỉ, số điện thoại của mình tại&nbsp;đây.&nbsp;Phòng khám đông y Bảo Minh xin chân thành cảm ơn chị Nghĩa (*)</p><p>Bạn đọc bấm vào ô dưới&nbsp;sẽ rõ hơn</p><p><a href="https://chuabenhthoatvidiadem.vn/resources/files/Đã cover Phạm T Nghĩa 68 Tv.mp3" title="">Thuốc chữa thoát vị đĩa đệm&nbsp;</a></p><p style="text-align: justify;">Bạn đọc nghe gần hết cuộc hội thoại sẽ rõ địa chỉ và số điện thoại của chị Nghĩa.</p><h3 style="text-align: justify;"><span style="font-size:16px;">Lương y Nguyễn Văn Minh chuyên chữa thoát vị đĩa đệm, có địa chỉ duy nhất: 856/6 đường Quang Trung, quận Gò Vấp, Tp Hồ Chí Minh.</span></h3><p style="text-align: justify;">Điện thoại, Zalo tư vấn cách chữa&nbsp;bệnh cột sống đĩa đệm: 0913503552 - 028.62951367</p><p>Trang web&nbsp;Thoát Vị Đĩa Đệm có 2 tên miền; thoatvidiadem.top và chuabenhthoatvidiadem.vn&nbsp;</p><p>Thuộc sở hữu của Lương y Nguyễn Văn Minh.</p><p style="text-align: justify;"><span style="font-size:16px;"><img loading="lazy" alt="" src="data:image/gif;base64,R0lGODlhAQABAID/AP///wAAACwAAAAAAQABAAACAkQBADs=" data-src="https://chuabenhthoatvidiadem.vn/resources/images/Lương y chữa thoát vị đĩa đệm(1).PNG" style="width: 784px; height: 433px;" class="lazy" width="784" height="433" data-optimized="1" /></span></p><p>&nbsp;(*). Lưu ý: Thuốc đặc trị thoát vị đĩa đệm có tác dụng nhanh/ chậm có thể thay đổi tùy theo bệnh mỗi nguời.</p><p><span style="color: rgb(0, 0, 0); font-family: RobotoSlab-Regular, Arial, Helvetica, sans-serif; font-size: 16px;"><img loading="lazy" alt="Bốc thuốc chữa thoát vị đĩa đệm tại nhà thuốc đông y Bảo Minh" src="data:image/gif;base64,R0lGODlhAQABAID/AP///wAAACwAAAAAAQABAAACAkQBADs=" data-src="https://chuabenhthoatvidiadem.vn/resources/images/thoat-vi-dia-dem (3).jpg" style="width: 768px; height: 432px;" class="lazy" width="768" height="432" data-optimized="1" /></span>Bốc<em> thuốc chữa thoát vị đĩa đệm</em> tại nhà thuốc đông y Bảo Minh.</p><p style="text-align: justify;">Tìm đường tới&nbsp;chữa thoát vị đĩa đệm ở&nbsp;phòng khám đông y Bảo Minh,&nbsp;rất dễ, bạn bấm vào liên kết ở đây.&nbsp;Google Map sẽ chỉ đường tới&nbsp;tận nơi:<span style="color: rgb(0, 0, 0); font-family: RobotoSlab-Regular, Arial, Helvetica, sans-serif; font-size: 16px; text-align: justify;">&nbsp;</span><a href="https://thoatvidiademcotsong.business.site/?m=true" title="">thoatvidiadem cotsong</a></p><p>Đọc thêm về<span style="font-size:16px;">:&nbsp;<a data-ved="2ahUKEwirkrnV0OX3AhULwIsBHRbOCNg4ChAWegQIAhAB" href="https://chuabenhthoatvidiadem.vn/cach-chua-benh/thuoc-chua-thoat-vi-dia-dem-pid-290.html" ping="/url?sa=t&amp;source=web&amp;rct=j&amp;url=https://chuabenhthoatvidiadem.vn/cach-chua-benh/thuoc-chua-thoat-vi-dia-dem-pid-290.html&amp;ved=2ahUKEwirkrnV0OX3AhULwIsBHRbOCNg4ChAWegQIAhAB" style="color: rgb(26, 13, 171); text-decoration-line: none; -webkit-tap-highlight-color: rgba(0, 0, 0, 0.1); outline: 0px; font-family: arial, sans-serif; font-size: small;" title="">Thuốc chữa thoát vị đĩa đệm</a></span></p><p style="text-align: justify;">Bạn đọc nào ở Long An, muốn tìm hiểu về cách chữa thoát vị đĩa đệm bằng thuốc đông, hãy nhấp vào video ở dưới để xem. Phòng khám chỉ đăng những nội dung có thật,&nbsp;có những câu chuyện quý bạn đọc nên nghe hết, để&nbsp;cảm nhận sự chân thực từ thầy thuốc và người bệnh.&nbsp;</p><p><span style="font-size:16px;"><span class="optimize-cls-iframe" data-src="https://www.youtube.com/embed/1xuKJLILCQU">https://www.youtube.com/embed/1xuKJLILCQU</span></span></p><p style="text-align: justify;">Thuốc chữa thoát vị đĩa đệm của phòng khám đông y Bảo Minh, đã điều trị khỏi bệnh cho nhiều người, phòng khám chỉ đăng&nbsp;tin khi quý khách đồng ý cho ghi lại và chia sẻ ý kiến ở đây. Sau này, nếu quý khách không muốn chia sẻ&nbsp;nữa, chúng tôi sẽ gỡ xuống.&nbsp;Xin trân trọng cảm ơn quý khách.</p><p>Lương y Nguyễn Văn Minh chuyên khám chữa bệnh thoát vị đĩa đệm, có địa chỉ duy nhất ở TP.HCM:</p><p>856/6 đường Quang Trung, Phường 8, Quận Gò Vấp. Điện thoại: 028.62951367 - Di Động: 0913503552</p><h3 class="r" style="line-height: 1.1; box-sizing: border-box; margin: 0px; padding: 0px; border: 0px; outline: 0px; font-size: 18px; vertical-align: baseline; background-image: initial; background-position: initial; background-size: initial; background-repeat: initial; background-attachment: initial; background-origin: initial; background-clip: initial; font-family: RobotoSlab-Regular, Arial, Helvetica, sans-serif; color: rgb(0, 0, 0); max-width: 100%; overflow: hidden; text-overflow: ellipsis; white-space: nowrap;"><a href="https://chuabenhthoatvidiadem.vn/" style="color: rgb(102, 0, 153); box-sizing: border-box; margin: 0px; padding: 0px; border: 0px; outline: 0px; vertical-align: baseline; background: transparent; text-decoration-line: none; transition: all 406ms ease-out 0s; max-width: 100%; cursor: pointer;" target="_blank" title="">Thoát Vị Đĩa Đệm&nbsp;</a></h3><div class="s" style="box-sizing: border-box; margin: 0px; padding: 0px; border: 0px; outline: 0px; font-size: 16px; vertical-align: baseline; background-image: initial; background-position: initial; background-size: initial; background-repeat: initial; background-attachment: initial; background-origin: initial; background-clip: initial; position: relative; max-width: 48em; font-family: RobotoSlab-Regular, Arial, Helvetica, sans-serif; color: rgb(84, 84, 84); line-height: 18px;"><div class="f kv _SWb" style="box-sizing: border-box; margin: 0px; padding: 0px; border: 0px; outline: 0px; font-size: small; vertical-align: baseline; background: transparent; position: relative; max-width: 100%; color: rgb(128, 128, 128); height: 18px; line-height: 16px; font-family: arial, sans-serif; white-space: nowrap;"><cite class="_Rm" style="box-sizing: border-box; margin: 0px; padding: 0px; border: 0px; outline: 0px; font-size: 14px; vertical-align: baseline; background: transparent; max-width: 100%; color: rgb(0, 102, 33); font-style: normal;">chuabenhthoatvidiadem.vn</cite></div></div>]]></content:encoded>
						<wfw:commentRss></wfw:commentRss>
						<slash:comments>0</slash:comments>
					</item>
				
					<item>
						<title>Thuốc chữa thoát vị đĩa đệm tốt nhất là phải kê đơn thuốc của từng người</title>
						<link>https://chuabenhthoatvidiadem.vn/bai-viet/luong-y-nguyen-van-minh-chua-thoat-vi-dia-dem/thuoc-chua-thoat-vi-dia-dem-tot-nhat-la-phai-ke-don-thuoc-cua-tung-nguoi-pid-247.html</link>
						<comments></comments>
						<pubDate>Sat, 23 Mar 2019 10:31:57 +0700</pubDate>
						<dc:creator>admin</dc:creator>
						<category><![CDATA[Lương y Nguyễn Văn Minh chữa thoát vị đĩa đệm]]></category>
						<guid isPermaLink="false"></guid>
						<description><![CDATA[Muốn chữa khỏi thoát vị đĩa đệm bằng thuốc đông y, phải tìm được thầy thuốc đông y giỏi và phòng khám hoặc nhà thuốc có uy tín. Thông tin về thuốc chữa thoát vị đĩa đệm trên mạng có rất nhiều, nhưng quyết định khám chữa bệnh ở đâu tốt, giá thuốc không đắt, uống thuốc không bị đau bao tử, không bị giữ nước, chữa được bệnh khỏi hẳn, khi ngưng không uống thuốc cũng không bị đau lại.v.v. Thật không dễ với nhiều người, nhất là những người đã bị bệnh thời gian dài. Xem cách chữa thoát vị đĩa đệm của phòng khám đô]]></description>
						<content:encoded><![CDATA[<p style="text-align: justify;"><span style="font-size:16px;">Thuốc chữa thoát vị đĩa đệm tốt nhất là phải kê đơn thuốc cho&nbsp;từng người, nhất là thang thuốc đông y.&nbsp;Bởi vì; khi thầy thuốc khám bệnh và kê đơn thuốc của mỗi người sẽ căn cứ vào: Triệu chứng và nguyên nhân gây bệnh, thời gian bị bệnh, mức độ nặng nhẹ của bệnh, người bệnh có mắc thêm những căn bệnh nào khác nữa không.v.v. Đây là cách chữa bệnh tốn công, tốn của, tốn thời gian, nhưng đổi lại hiệu quả thường cao hơn nhiều lần so với mua thuốc viên, hoặc thuốc nước bào chế sẵn.&nbsp;</span></p><p style="text-align: justify;"><span style="font-size: 18px;"><span style="font-size:16px;">Để có cái nhìn khách quan nhất, chân thực nhất về thuốc chữa thoát vị đĩa đệm ở phòng khám đông y Bảo Minh. Mời bạn đọc bấm vào ô bên dưới để nghe được rõ.</span></span></p><p><span style="font-size:16px;"><a href="https://chuabenhthoatvidiadem.vn/resources/files/FILE_Tran Xuan Tuan KG CoVer.mp3" title="">Thuốc chữa thoát vị đĩa đệm tốt, được người quen giới thiệu</a></span></p><p><span style="font-size:16px;"><img loading="lazy" alt="Thoát vị đĩa đệm L3/4, L4/5, L5/S1" src="data:image/gif;base64,R0lGODlhAQABAID/AP///wAAACwAAAAAAQABAAACAkQBADs=" data-src="https://chuabenhthoatvidiadem.vn/resources/images/Thuốc chữa thoát vị đĩa đệm(2).jpg" style="width: 619px; height: 865px;" class="lazy" width="619" height="865" data-optimized="1" /></span></p><p><img loading="lazy" alt="Thuốc chữa thoát vị đĩa đệm " src="data:image/gif;base64,R0lGODlhAQABAID/AP///wAAACwAAAAAAQABAAACAkQBADs=" data-src="https://chuabenhthoatvidiadem.vn/resources/images/Thuốc chữa thoát vị đĩa đệm(4).jpg" style="width: 860px; height: 1024px;" class="lazy" width="860" height="1024" data-optimized="1" /></p><p style="text-align: justify;"><span style="font-size:14px;"><i>Đây là nhận định chung của các thầy thuốc đông y giỏi, các lương y bác sĩ chuyên chữa thoát&nbsp;vị đĩa đệm ở TP. HCM</i></span></p><p><span style="font-size:16px;"><a href="https://chuabenhthoatvidiadem.vn/resources/files/Thầy giáo tv ở Hà Tiên.mp3" title="">Thuốc chữa thoát vị đĩa đệm tốt, chữa khỏi bệnh cho anh Tuấn, được giới thiệu người quen đến chữa</a></span></p><p style="text-align: justify;"><span style="font-size:16px;">Phòng khám xin cảm ơn anh, một thầy giáo&nbsp;ở Hà Tiên, anh đồng ý cho chia sẻ nội dung này, bạn đọc nghe hết câu chuyện&nbsp;sẽ thấy sự chân thật từ thầy thuốc và quý khách!</span></p><p><img loading="lazy" alt="Lương y Nguyễn Văn Minh" src="data:image/gif;base64,R0lGODlhAQABAID/AP///wAAACwAAAAAAQABAAACAkQBADs=" data-src="https://chuabenhthoatvidiadem.vn/resources/images/20190220_152307.jpg" style="width: 800px; height: 450px;" class="lazy" width="640" height="360" data-optimized="1" /></p><p><em><span style="font-size:14px;">Lương y Nguyễn Văn Minh đang khám bệnh tại&nbsp;phòng khám đông y Bảo Minh.</span></em></p><p style="text-align: justify;"><span style="font-size:16px;">Sau khi xem kết quả chụp MRI, Lương y Nguyễn Văn Minh sẽ bắt mạch, khám bệnh, kê đơn thuốc để&nbsp;trị thoát vị đĩa đệm. Đây là phương pháp chữa thoát vị&nbsp;đĩa đệm hiệu quả nhất, bởi vì thuốc chữa bệnh được cân đong theo đúng với mức độ&nbsp;thoát vị&nbsp;đĩa đệm, đúng với thể trạng của người bệnh, đúng với cân nặng và độ&nbsp;tuổi của người bệnh, nên tác dụng chữa bệnh của thang thuốc là tốt nhất, hiện nay có nhiều bệnh nhân bị thoát vị đĩa đệm&nbsp;chữa bệnh bằng thang thuốc&nbsp;này.</span></p><p style="text-align: justify;"><span style="font-size:16px;"><a href="https://chuabenhthoatvidiadem.vn/resources/files/Bác Nguyễn Thị Mỹ Lệ%2C Bình Phước.mp3" title="">Thuốc chữa thoát vị đĩa đệm</a></span></p><p style="text-align: justify;"><em><span style="font-size:14px;">Phòng khám xin cảm ơn bác Nguyễn Thị Mỹ Lệ, nhà ở Bình Phước&nbsp;đã đồng ý cho chia sẻ nội dung câu chuyện, nhằm giới thiệu thuốc chữa thoát vị đĩa đệm của nhà thuốc đông y Bảo Minh.</span></em></p><p style="text-align: justify;"><span style="font-size:16px;">Mời bạn đọc bấm vào video dưới đây xem; Bác bệnh nhân ở TP.HCM chữa khỏi thoát vị đĩa đệm, nhờ thang thuốc đặc trị do Lương y Nguyễn Văn Minh khám, kê đơn thuốc&nbsp;chữa bệnh cho bác.</span></p><p><em><span style="font-size:14px;"><span class="optimize-cls-iframe" data-src="https://www.youtube.com/embed/UN0lTke8WFY">https://www.youtube.com/embed/UN0lTke8WFY</span></span></em></p><p><span style="font-size:16px;">Trang web&nbsp;<a data-ved="2ahUKEwiSqeWXnO33AhXgg1YBHf3GAGQQFnoECAsQAQ" href="https://chuabenhthoatvidiadem.vn/cach-chua-benh/benh-thoat-vi-dia-dem-cid-16-0.html" ping="/url?sa=t&amp;source=web&amp;rct=j&amp;url=https://chuabenhthoatvidiadem.vn/cach-chua-benh/benh-thoat-vi-dia-dem-cid-16-0.html&amp;ved=2ahUKEwiSqeWXnO33AhXgg1YBHf3GAGQQFnoECAsQAQ" style="color: rgb(26, 13, 171); text-decoration-line: none; -webkit-tap-highlight-color: rgba(0, 0, 0, 0.1); outline: 0px; font-family: arial, sans-serif; font-size: small;" title="">Thoát Vị Đia Đệm</a>&nbsp;chia sẻ cách chữa bệnh bằng đông y:</span></p><p><span style="font-size:16px;">thoatvidiadem.top và chuabenhthoatvidiadem.vn</span></p><p style="text-align: justify;"><span style="font-size:16px;">Phòng khám đông y Bảo Minh xin cảm ơn&nbsp;những&nbsp;bệnh nhân&nbsp;đã đồng ý chia sẻ bệnh án thoát vị đĩa đệm, cho ghi hình, cho ghi lại giọng nói, chia sẻ địa chỉ thật ở trang web của phòng khám. Chúng tôi chỉ đăng tin chia sẻ,&nbsp;khi được quý bệnh nhân đã&nbsp;khỏi bệnh đồng ý. Sau này, nếu quý khách nào không thích chia sẻ ở đây nữa, chúng tôi sẽ rút bài đăng xuống.&nbsp;</span><span style="font-size: 16px;">Xin trân trọng cảm ơn quý khách.</span></p><p><span style="font-size: 16px; text-align: justify;">Email thầy thuốc: luongynguyenvanminh@gmail.com</span></p><p><span style="font-size:16px;"><img loading="lazy" alt="Thoatvidiadem vn" src="data:image/gif;base64,R0lGODlhAQABAID/AP///wAAACwAAAAAAQABAAACAkQBADs=" data-src="https://chuabenhthoatvidiadem.vn/resources/images/Thoatvidiadem vn (2).jpg" style="width: 698px; height: 832px;" class="lazy" width="698" height="832" data-optimized="1" /></span></p><p style="text-align: justify;"><span style="font-size:14px;"><em>Bạn đọc gửi kết quả chụp MRI qua Zalo của Lương y Nguyễn Văn Minh&nbsp;để được tư vấn cách chữa miễn phí.</em></span></p><p style="text-align: justify;"><em><span style="font-size:16px;"><img loading="lazy" alt="Thuốc thoát vị đĩa đệm" src="data:image/gif;base64,R0lGODlhAQABAID/AP///wAAACwAAAAAAQABAAACAkQBADs=" data-src="https://chuabenhthoatvidiadem.vn/resources/images/Thuốc chữa thoát vị đĩa đệm(1).jpg" style="width: 726px; height: 968px;" class="lazy" width="726" height="968" data-optimized="1" /></span></em></p><p style="text-align: justify;"><span style="font-size:14px;"><em>Kết quả MRI chụp tại khoa chẩn đoán hình ảnh - Bệnh viện Chấn thương Chỉnh Hình TP.HCM.</em></span></p><p style="text-align: justify;"><em style="font-size: 18px;"><img loading="lazy" alt="Thuốc chữa thoát vị đĩa đệm tốt nhất" src="data:image/gif;base64,R0lGODlhAQABAID/AP///wAAACwAAAAAAQABAAACAkQBADs=" data-src="https://chuabenhthoatvidiadem.vn/resources/images/thuoc chua thoat vi dia dem tot nhat.jpg" style="opacity: 0.9; width: 624px; height: 491px;" class="lazy" width="624" height="491" data-optimized="1" /></em></p><p class="LC20lb" style="font-size: 18px; margin: 0px; padding: 0px; display: inline-block; line-height: 1.33; text-align: justify;"><span style="font-size:18px;"><a data-ctbtn="0" data-cthref="/url?sa=t&amp;rct=j&amp;q=&amp;esrc=s&amp;source=web&amp;cd=66&amp;ved=2ahUKEwj9j5Wx7J7hAhUfxosBHfhtCIU4PBAWMAV6BAgFEAE&amp;url=http%3A%2F%2Fchuabenhthoatvidiadem.vn%2Fcach-chua-benh%2Fthoat-vi-dia-dem-that-lung-l4-l5-l5-s1-pid-223.html&amp;usg=AOvVaw0Xd8idmE62t849mWO8Whwi" href="https://www.google.com/url?sa=t&amp;rct=j&amp;q=&amp;esrc=s&amp;source=web&amp;cd=66&amp;ved=2ahUKEwj9j5Wx7J7hAhUfxosBHfhtCIU4PBAWMAV6BAgFEAE&amp;url=http%3A%2F%2Fchuabenhthoatvidiadem.vn%2Fcach-chua-benh%2Fthoat-vi-dia-dem-that-lung-l4-l5-l5-s1-pid-223.html&amp;usg=AOvVaw0Xd8idmE62t849mWO8Whwi" style="color: rgb(102, 0, 153); cursor: pointer; text-decoration-line: none; font-family: arial, sans-serif; font-size: small;" target="_blank" title="">Chữa khỏi thoát vị đĩa đệm cho anh Bền, ở địa chỉ: 23/6 Khu phố Hòa Long, đường Vĩnh Phú 38, phường Vĩnh Phú, TX Thuận An, tỉnh Bình Dương, hơn 2 năm sau gọi điện hỏi thăm, anh&nbsp;thông báo khỏi hẳn</a></span></p><p class="LC20lb" style="font-size: 18px; margin: 0px; padding: 0px; display: inline-block; line-height: 1.33; text-align: justify;">&nbsp;</p><p class="LC20lb" style="font-size: 18px; margin: 0px; padding: 0px; display: inline-block; line-height: 1.33; text-align: justify;">&nbsp;</p><p class="LC20lb" style="font-size: 18px; margin: 0px; padding: 0px; display: inline-block; line-height: 1.33; text-align: justify;">&nbsp;</p><p class="LC20lb" style="font-size: 18px; margin: 0px; padding: 0px; display: inline-block; line-height: 1.33; text-align: justify;">&nbsp;</p><p class="LC20lb" style="font-size: 18px; margin: 0px; padding: 0px; display: inline-block; line-height: 1.33; text-align: justify;">&nbsp;</p><p class="LC20lb" style="font-size: 18px; margin: 0px; padding: 0px; display: inline-block; line-height: 1.33; text-align: justify;">&nbsp;</p><p class="LC20lb" style="font-size: 18px; margin: 0px; padding: 0px; display: inline-block; line-height: 1.33; text-align: justify;">&nbsp;</p><p class="LC20lb" style="font-size: 18px; margin: 0px; padding: 0px; display: inline-block; line-height: 1.33; text-align: justify;">&nbsp;</p><p class="LC20lb" style="font-size: 18px; margin: 0px; padding: 0px; display: inline-block; line-height: 1.33; text-align: justify;">&nbsp;</p><p class="LC20lb" style="font-size: 18px; margin: 0px; padding: 0px; display: inline-block; line-height: 1.33; text-align: justify;">&nbsp;</p><p class="LC20lb" style="font-size: 18px; margin: 0px; padding: 0px; display: inline-block; line-height: 1.33; text-align: justify;">&nbsp;</p><p class="LC20lb" style="font-size: 18px; margin: 0px; padding: 0px; display: inline-block; line-height: 1.33; text-align: justify;"><span style="font-size:18px;"><a data-ctbtn="0" data-cthref="/url?sa=t&amp;rct=j&amp;q=&amp;esrc=s&amp;source=web&amp;cd=82&amp;ved=2ahUKEwj3qfnJ857hAhUYwosBHUoxBDs4UBAWMAF6BAgGEAE&amp;url=http%3A%2F%2Fchuabenhthoatvidiadem.vn%2Fcach-chua-benh%2Fthoat-vi-dia-dem-that-lung-toi-9mm-co-chua-duoc-khong-pid-208.html&amp;usg=AOvVaw38MSF_aX5PQaHaQ8qUm9iB" href="https://www.google.com/url?sa=t&amp;rct=j&amp;q=&amp;esrc=s&amp;source=web&amp;cd=82&amp;ved=2ahUKEwj3qfnJ857hAhUYwosBHUoxBDs4UBAWMAF6BAgGEAE&amp;url=http%3A%2F%2Fchuabenhthoatvidiadem.vn%2Fcach-chua-benh%2Fthoat-vi-dia-dem-that-lung-toi-9mm-co-chua-duoc-khong-pid-208.html&amp;usg=AOvVaw38MSF_aX5PQaHaQ8qUm9iB" style="color: rgb(102, 0, 153); cursor: pointer; text-decoration-line: none; font-family: arial, sans-serif; font-size: small;" target="_blank" title="">Chữa khỏi thoát vị đĩa đệm cho anh Tuấn ở Lâm Đồng, trước đó đi khám ở bệnh viện, anh Tuấn&nbsp;đã có chỉ định mổ của bác sĩ. Địa chỉ nhà riêng anh Tuấn hiện nay ở: 30/5 Tô Hiệu,&nbsp;&nbsp;phường Lộc Sơn, TP Bảo Lộc, tỉnh Lâm Đồng</a></span></p><p class="LC20lb" style="font-size: 18px; margin: 0px; padding: 0px; display: inline-block; line-height: 1.33; text-align: justify;">&nbsp;</p><p class="LC20lb" style="font-size: 18px; margin: 0px; padding: 0px; display: inline-block; line-height: 1.33; text-align: justify;">&nbsp;</p><p class="LC20lb" style="font-size: 18px; margin: 0px; padding: 0px; display: inline-block; line-height: 1.33; text-align: justify;"><span style="font-size:18px;"><a href="https://chuabenhthoatvidiadem.vn/cach-chua-benh/vao-google-go-chu-chua-thoat-vi-dia-dem-gap-luong-y-nguyen-van-minh-pid-242.html" style="color: rgb(102, 0, 153); cursor: pointer; text-decoration-line: none; font-family: arial, sans-serif; font-size: small;" target="_blank" title="">Người bệnh đã chữa khỏi thoát vị đĩa đệm nặng ở phòng khám, khi tôi gọi điện hỏi thăm anh kể: &quot;Em nói thầy chữa khỏi&nbsp;cho em bằng đông y, nhiều người không tin, thấy em đi làm được họ mới tin&quot; Đây là trường hợp của anh Lê Thành Phong, anh Phong đồng ý&nbsp;chia sẻ bệnh án và địa chỉ hiện tại của mình ở Tiền Giang: 70/10 Trần Quốc Tuấn, Phường 7, TP Mỹ Tho, tỉnh Tiền Giang.&nbsp;&nbsp;</a></span></p><p class="LC20lb" style="font-size: 18px; margin: 0px; padding: 0px; display: inline-block; line-height: 1.33; text-align: justify;">&nbsp;</p><p class="LC20lb" style="font-size: 18px; margin: 0px; padding: 0px; display: inline-block; line-height: 1.33; text-align: justify;">&nbsp;</p><p class="LC20lb" style="font-size: 18px; margin: 0px; padding: 0px; display: inline-block; line-height: 1.33; text-align: justify;">&nbsp;</p><p class="LC20lb" style="font-size: 18px; margin: 0px; padding: 0px; display: inline-block; line-height: 1.33; text-align: justify;"><span style="font-size:18px;"><a data-ctbtn="0" data-cthref="/url?sa=t&amp;rct=j&amp;q=&amp;esrc=s&amp;source=web&amp;cd=99&amp;ved=2ahUKEwjdjvGo957hAhUO7mEKHcZOAGY4WhAWMAh6BAgHEAE&amp;url=http%3A%2F%2Fchuabenhthoatvidiadem.vn%2Fcach-chua-benh%2Fthuoc-chua-thoat-vi-dia-dem-toi-uong-20-thang-het-dau-roi-thay-pid-127.html&amp;usg=AOvVaw0kHFvmtCcToke0ohGGjLkn" href="https://www.google.com/url?sa=t&amp;rct=j&amp;q=&amp;esrc=s&amp;source=web&amp;cd=99&amp;ved=2ahUKEwjdjvGo957hAhUO7mEKHcZOAGY4WhAWMAh6BAgHEAE&amp;url=http%3A%2F%2Fchuabenhthoatvidiadem.vn%2Fcach-chua-benh%2Fthuoc-chua-thoat-vi-dia-dem-toi-uong-20-thang-het-dau-roi-thay-pid-127.html&amp;usg=AOvVaw0kHFvmtCcToke0ohGGjLkn" style="color: rgb(102, 0, 153); cursor: pointer; text-decoration-line: none; font-family: arial, sans-serif; font-size: small;" target="_blank" title="">Thuốc chữa thoát vị đĩa đệm&nbsp; tốt quá, em uống 20 thang hết đau rồi thầy, chị Linh ở địa chỉ: Ấp Cả Chương, xã Phong Thạnh, huyện Cầu Kè, tỉnh Trà Vinh thông báo.</a></span></p><p class="LC20lb" style="font-size: 18px; margin: 0px; padding: 0px; display: inline-block; line-height: 1.33; text-align: justify;"><span style="font-size:18px;"><a data-ctbtn="0" data-cthref="/url?sa=t&amp;rct=j&amp;q=&amp;esrc=s&amp;source=web&amp;cd=112&amp;ved=2ahUKEwjcgrqf-J7hAhUKUN4KHVZuA944bhAWMAF6BAgCEAE&amp;url=http%3A%2F%2Fchuabenhthoatvidiadem.vn%2Fcach-chua-benh%2Fthuoc-chua-thoat-vi-dia-dem-tot-qua-em-het-te-chan-roi-bac-si-pid-236.html&amp;usg=AOvVaw3p-jQNtk8h1YqZclgsfSoH" href="https://www.google.com/url?sa=t&amp;rct=j&amp;q=&amp;esrc=s&amp;source=web&amp;cd=112&amp;ved=2ahUKEwjcgrqf-J7hAhUKUN4KHVZuA944bhAWMAF6BAgCEAE&amp;url=http%3A%2F%2Fchuabenhthoatvidiadem.vn%2Fcach-chua-benh%2Fthuoc-chua-thoat-vi-dia-dem-tot-qua-em-het-te-chan-roi-bac-si-pid-236.html&amp;usg=AOvVaw3p-jQNtk8h1YqZclgsfSoH" style="color: rgb(102, 0, 153); cursor: pointer; text-decoration-line: none; font-family: arial, sans-serif; font-size: small;" target="_blank" title="">Bác sĩ yêu cầu em mổ thoát vị đĩa đệm, nhờ uống thuốc của phòng khám&nbsp;em thấy bình thường rồi, không còn đau nhức gì nữa. Hãy nghe anh Nhiên ở Bảo Lộc kể chuyện, anh cho biết&nbsp;địa chỉ của mình ở: 11/2&nbsp; đường Tô Hiệu, phường Lộc Sơn, TP Bảo Lộc, Lâm Đồng.</a></span></p><p class="LC20lb" style="font-size: 18px; margin: 0px; padding: 0px; display: inline-block; line-height: 1.33; text-align: justify;">&nbsp;</p><p class="LC20lb" style="font-size: 18px; margin: 0px; padding: 0px; display: inline-block; line-height: 1.33;"><span style="font-size:16px;"><a href="https://chuabenhthoatvidiadem.vn/cach-chua-benh/luong-y-minh-chua-thoat-vi-dia-dem-cho-anh-ut-khoi-benh-gan-nam-nay-pid-22.html" style="color: rgb(102, 0, 153); cursor: pointer; text-decoration-line: none; font-family: arial, sans-serif; font-size: small;" target="_blank" title="">Ai ở Đồng Tháp ghé địa chỉ:&nbsp;Ấp Thượng, xã Thới Tiền, huyện Hồng Ngự, tỉnh Đồng Tháp, hỏi thăm anh Đặng Văn Út đã chữa khỏi bệnh trên thành phố</a></span></p><p class="LC20lb" style="font-size: 18px; margin: 0px; padding: 0px; display: inline-block; line-height: 1.33;"><span style="font-size:16px;"><a data-ctbtn="0" data-cthref="/url?sa=t&amp;rct=j&amp;q=&amp;esrc=s&amp;source=web&amp;cd=112&amp;ved=2ahUKEwj-8NTRzp_hAhVGE4gKHSU_Df84bhAWMAF6BAgAEAE&amp;url=http%3A%2F%2Fchuabenhthoatvidiadem.vn%2Fcach-chua-benh%2Fthoat-vi-dia-dem-cot-song-that-lung-cach-chua-khoi-benh-khong-tai-phat-pid-79.html&amp;usg=AOvVaw2Ue8zRGSyIpP8e5bPvLYv5" href="https://www.google.com/url?sa=t&amp;rct=j&amp;q=&amp;esrc=s&amp;source=web&amp;cd=112&amp;ved=2ahUKEwj-8NTRzp_hAhVGE4gKHSU_Df84bhAWMAF6BAgAEAE&amp;url=http%3A%2F%2Fchuabenhthoatvidiadem.vn%2Fcach-chua-benh%2Fthoat-vi-dia-dem-cot-song-that-lung-cach-chua-khoi-benh-khong-tai-phat-pid-79.html&amp;usg=AOvVaw2Ue8zRGSyIpP8e5bPvLYv5" style="color: rgb(102, 0, 153); cursor: pointer; text-decoration-line: none; font-family: arial, sans-serif; font-size: small;" target="_blank" title="">Chữa khỏi thoát vị đĩa đệm cột sống thắt lưng, anh Dùm ở đồng Tháp chia sẻ địa chỉ: Ấp Long Phú, xã Hòa Long, huyện Lại Vung, Đồng Tháp</a></span></p><p class="LC20lb" style="font-size: 18px; margin: 0px; padding: 0px; display: inline-block; line-height: 1.33;"><span style="font-size:16px;"><a data-ctbtn="0" data-cthref="/url?sa=t&amp;rct=j&amp;q=&amp;esrc=s&amp;source=web&amp;cd=57&amp;ved=2ahUKEwjaovXbsp_hAhXBE4gKHXFxCU04MhAWMAZ6BAgCEAE&amp;url=http%3A%2F%2Fchuabenhthoatvidiadem.vn%2Fcach-chua-benh%2Fthoat-vi-dia-dem-va-cach-dieu-tri-pid-233.html&amp;usg=AOvVaw0LgWsEfk-Q_p2hkKoACHx5" href="https://www.google.com/url?sa=t&amp;rct=j&amp;q=&amp;esrc=s&amp;source=web&amp;cd=57&amp;ved=2ahUKEwjaovXbsp_hAhXBE4gKHXFxCU04MhAWMAZ6BAgCEAE&amp;url=http%3A%2F%2Fchuabenhthoatvidiadem.vn%2Fcach-chua-benh%2Fthoat-vi-dia-dem-va-cach-dieu-tri-pid-233.html&amp;usg=AOvVaw0LgWsEfk-Q_p2hkKoACHx5" style="color: rgb(102, 0, 153); cursor: pointer; font-family: arial, sans-serif; font-size: small;" target="_blank" title="">Chữa khỏi bệnh thoát vị đĩa đệm cột sống thắt lưng,&nbsp;chị Thủy ở Đắk Lắk gọi điện thông báo và đồng ý chia sẻ bệnh án,&nbsp;địa chỉ đang ở: Số&nbsp;50 Trần Nhật Duật, phường Đạt Hiếu, TX Buôn Hồ, tỉnh Đắk Lắk</a></span></p><p class="LC20lb" style="font-size: 18px; margin: 0px; padding: 0px; display: inline-block; line-height: 1.33;"><span style="font-size:16px;"><a data-ctbtn="0" data-cthref="/url?sa=t&amp;rct=j&amp;q=&amp;esrc=s&amp;source=web&amp;cd=116&amp;ved=2ahUKEwiG2fOLxZ_hAhWY-mEKHVAdAPA4bhAWMAV6BAgEEAE&amp;url=http%3A%2F%2Fchuabenhthoatvidiadem.vn%2Fcach-chua-benh%2Fkhoi-thoat-vi-dia-dem-cot-song-that-lung-sau-hon-1-thang-dieu-tri-pid-37.html&amp;usg=AOvVaw12bs8zdUwpDg0fWImReAC-" href="https://www.google.com/url?sa=t&amp;rct=j&amp;q=&amp;esrc=s&amp;source=web&amp;cd=116&amp;ved=2ahUKEwiG2fOLxZ_hAhWY-mEKHVAdAPA4bhAWMAV6BAgEEAE&amp;url=http%3A%2F%2Fchuabenhthoatvidiadem.vn%2Fcach-chua-benh%2Fkhoi-thoat-vi-dia-dem-cot-song-that-lung-sau-hon-1-thang-dieu-tri-pid-37.html&amp;usg=AOvVaw12bs8zdUwpDg0fWImReAC-" style="color: rgb(102, 0, 153); cursor: pointer; text-decoration-line: none; font-family: arial, sans-serif; font-size: small;" target="_blank" title="">Chữa khỏi thoát vị đĩa đệm cho bệnh nhân&nbsp;ở Kiên Giang, bà đồng ý cho ghi hình phát biểu và chia sẻ địa chỉ: 270 Cách mạng Tháng Tám, phường Vĩnh Lợi, TP Rạch Giá, tỉnh Kiên Giang.</a></span></p><p><span style="font-size:16px;"><a data-ctbtn="0" data-cthref="/url?sa=t&amp;rct=j&amp;q=&amp;esrc=s&amp;source=web&amp;cd=171&amp;ved=2ahUKEwjmgOiuy5_hAhWMfXAKHZ3ODng4qgEQFjAAegQIBRAB&amp;url=http%3A%2F%2Fchuabenhthoatvidiadem.vn%2Fcach-chua-benh%2Fthoai-hoa-cot-song-that-lung-thoat-vi-dia-dem-l3-4-l4-5-dieu-tri-20-ngay-thuoc-het-dau-pid-147.html&amp;usg=AOvVaw24CdhLIBBKyI8GCQ6Vx8kP" href="https://www.google.com/url?sa=t&amp;rct=j&amp;q=&amp;esrc=s&amp;source=web&amp;cd=171&amp;ved=2ahUKEwjmgOiuy5_hAhWMfXAKHZ3ODng4qgEQFjAAegQIBRAB&amp;url=http%3A%2F%2Fchuabenhthoatvidiadem.vn%2Fcach-chua-benh%2Fthoai-hoa-cot-song-that-lung-thoat-vi-dia-dem-l3-4-l4-5-dieu-tri-20-ngay-thuoc-het-dau-pid-147.html&amp;usg=AOvVaw24CdhLIBBKyI8GCQ6Vx8kP" style="color: rgb(102, 0, 153); cursor: pointer; text-decoration-line: none; font-family: arial, sans-serif; font-size: small;" target="_blank" title="">Chữa khỏi bệnh&nbsp;thoát vị đĩa đệm cột sống thắt lưng, chị Xương ở Bến Tre chia sẻ địa chỉ: Ấp Tư, xã An Bình Tây, huyện Ba Tri, tỉnh Bến Tre</a>.</span></p><p class="LC20lb" style="font-size: 18px; margin: 0px; padding: 0px; display: inline-block; line-height: 1.33;"><span style="font-size:16px;"><a data-ctbtn="0" data-cthref="/url?sa=t&amp;rct=j&amp;q=&amp;esrc=s&amp;source=web&amp;cd=139&amp;ved=2ahUKEwi2hp-Nx5_hAhWGAYgKHdICBvU4ggEQFjAIegQICBAB&amp;url=http%3A%2F%2Fchuabenhthoatvidiadem.vn%2Fcach-chua-benh%2Fthoat-vi-dia-dem-l4-5-va-loi-dia-dem-l5-s1-co-chua-khoi-duoc-khong-pid-39.html&amp;usg=AOvVaw0Dfs_J4CnCrv5l3Pn9llkX" href="https://www.google.com/url?sa=t&amp;rct=j&amp;q=&amp;esrc=s&amp;source=web&amp;cd=139&amp;ved=2ahUKEwi2hp-Nx5_hAhWGAYgKHdICBvU4ggEQFjAIegQICBAB&amp;url=http%3A%2F%2Fchuabenhthoatvidiadem.vn%2Fcach-chua-benh%2Fthoat-vi-dia-dem-l4-5-va-loi-dia-dem-l5-s1-co-chua-khoi-duoc-khong-pid-39.html&amp;usg=AOvVaw0Dfs_J4CnCrv5l3Pn9llkX" style="color: rgb(102, 0, 153); cursor: pointer; font-family: arial, sans-serif; font-size: small;" target="_blank" title="">Chữa khỏi thoát vị đĩa đệm hơn 1 năm, hôm nay bác Nguyễn Văn Chính ở TP.HCM gọi điện thông báo, bác cho biết cả địa chỉ bác đang ở: 127B Đinh Tiên Hoàng, phường 3, quận Bình Thạnh, TP.HCM</a></span></p><p class="LC20lb" style="font-size: 18px; margin: 0px; padding: 0px; display: inline-block; line-height: 1.33; text-align: justify;"><span style="font-size:16px;"><a data-ctbtn="0" data-cthref="/url?sa=t&amp;rct=j&amp;q=&amp;esrc=s&amp;source=web&amp;cd=145&amp;ved=2ahUKEwjdsrGVyJ_hAhUPFYgKHRIqAak4jAEQFjAEegQIAhAB&amp;url=http%3A%2F%2Fchuabenhthoatvidiadem.vn%2Fcach-chua-benh%2Fuong-thuoc-cua-thay-chua-thoat-vi-dia-dem-co-toi-het-moi-co-het-dau-vai-gay-pid-115.html&amp;usg=AOvVaw3fRK8Xgt2QYhlxZtZjp93q" href="https://www.google.com/url?sa=t&amp;rct=j&amp;q=&amp;esrc=s&amp;source=web&amp;cd=145&amp;ved=2ahUKEwjdsrGVyJ_hAhUPFYgKHRIqAak4jAEQFjAEegQIAhAB&amp;url=http%3A%2F%2Fchuabenhthoatvidiadem.vn%2Fcach-chua-benh%2Fuong-thuoc-cua-thay-chua-thoat-vi-dia-dem-co-toi-het-moi-co-het-dau-vai-gay-pid-115.html&amp;usg=AOvVaw3fRK8Xgt2QYhlxZtZjp93q" style="color: rgb(102, 0, 153); cursor: pointer; text-decoration-line: none; font-family: arial, sans-serif; font-size: small;" target="_blank" title="">Chữa khỏi bệnh thoát vị đĩa cách nay mấy năm, bác Tâm ở Củ Chi gọi điện hỏi lại địa chỉ để giới thiệu người thân tới chữa bệnh, bác cho biết đã uống thuốc khỏi mấy năm nay không đau lại.&nbsp;Bác&nbsp;Tâm chia sẻ địa của mình: 11 Liêu Bình Hương, thị Trấn Củ Chi, huyện Củ Chi, TP.HCM</a></span></p><p class="LC20lb" style="font-size: 18px; margin: 0px; padding: 0px; display: inline-block; line-height: 1.33; text-align: justify;">&nbsp;</p><p class="LC20lb" style="font-size: 18px; margin: 0px; padding: 0px; display: inline-block; line-height: 1.33; text-align: justify;">&nbsp;</p><p><span style="font-size: 16px; text-align: justify;">Chữa thoát vị đĩa đệm gặp Lương y Nguyễn Văn Minh, tại địa chỉ duy nhất: 856/6 đường Quang Trung, P.8, Quận Gò Vấp, TP.HCM. Điện thoại: 028.62951367 - Di Động: 0913503552</span></p><p class="r" style="line-height: 1.1; box-sizing: border-box; margin: 0px; padding: 0px; border: 0px; outline: 0px; font-size: 18px; vertical-align: baseline; background-image: initial; background-position: initial; background-size: initial; background-repeat: initial; background-attachment: initial; background-origin: initial; background-clip: initial; font-family: RobotoSlab-Regular, Arial, Helvetica, sans-serif; color: rgb(0, 0, 0); max-width: 100%; overflow: hidden; text-overflow: ellipsis; white-space: nowrap;"><a href="https://chuabenhthoatvidiadem.vn/" style="color: rgb(102, 0, 153); box-sizing: border-box; margin: 0px; padding: 0px; border: 0px; outline: 0px; vertical-align: baseline; background: transparent; text-decoration-line: none; transition: all 406ms ease-out 0s; max-width: 100%; cursor: pointer;" target="_blank" title="">Thuốc&nbsp;đặc trị thoát vị đĩa đệm</a></p><div class="s" style="box-sizing: border-box; margin: 0px; padding: 0px; border: 0px; outline: 0px; font-size: 16px; vertical-align: baseline; background-image: initial; background-position: initial; background-size: initial; background-repeat: initial; background-attachment: initial; background-origin: initial; background-clip: initial; position: relative; max-width: 48em; font-family: RobotoSlab-Regular, Arial, Helvetica, sans-serif; color: rgb(84, 84, 84); line-height: 18px;"><div class="f kv _SWb" style="box-sizing: border-box; margin: 0px; padding: 0px; border: 0px; outline: 0px; font-size: small; vertical-align: baseline; background: transparent; position: relative; max-width: 100%; color: rgb(128, 128, 128); height: 18px; line-height: 16px; font-family: arial, sans-serif; white-space: nowrap;"><cite class="_Rm" style="box-sizing: border-box; margin: 0px; padding: 0px; border: 0px; outline: 0px; font-size: 14px; vertical-align: baseline; background: transparent; max-width: 100%; color: rgb(0, 102, 33); font-style: normal;">chuabenhthoatvidiadem.vn</cite></div><div class="f kv _SWb" style="box-sizing: border-box; margin: 0px; padding: 0px; border: 0px; outline: 0px; font-size: small; vertical-align: baseline; background: transparent; position: relative; max-width: 100%; color: rgb(128, 128, 128); height: 18px; line-height: 16px; font-family: arial, sans-serif; white-space: nowrap;">&nbsp;</div></div>]]></content:encoded>
						<wfw:commentRss></wfw:commentRss>
						<slash:comments>0</slash:comments>
					</item>
				
					<item>
						<title>Vào Google gõ chữ: chữa thoát vị đĩa đệm gặp lương y Nguyễn Văn Minh</title>
						<link>https://chuabenhthoatvidiadem.vn/bai-viet/nghe-truc-tiep-nhung-nguoi-duoc-luong-y-minh-chua-khoi-thoat-vi-dia-dem/vao-google-go-chu-chua-thoat-vi-dia-dem-gap-luong-y-nguyen-van-minh-pid-242.html</link>
						<comments></comments>
						<pubDate>Wed, 12 Dec 2018 09:26:35 +0700</pubDate>
						<dc:creator>admin</dc:creator>
						<category><![CDATA[Nghe trực tiếp những người được lương y Minh chữa khỏi thoát vị đĩa đệm ]]></category>
						<guid isPermaLink="false"></guid>
						<description><![CDATA[Trên mạng có hàng ngàn trang web về chữa bệnh thoát vị đĩa đệm, để tìm được thông tin chính xác nhất phòng khám của tôi, bạn đọc vào mạng tìm kiếm của Google gõ chữ: chữa thoát vị đĩa đệmm gặp lương y Nguyễn Văn Minh là ra kết quả đúng nhất, không nhầm lẫn với người khác được. Đây cũng là cách tìm hiểu chữa thoát vị đĩa đệm bằng đông y.]]></description>
						<content:encoded><![CDATA[<p style="text-align: justify;"><span style="font-size:16px;">Tôi;&nbsp;Lương y Nguyễn Văn Minh, là thầy thuốc đông y&nbsp;có trên 25&nbsp;năm kinh nghiệm. Tôi chuyên chữa bệnh&nbsp;đau&nbsp;cột sống, đau cổ,&nbsp;</span><span style="font-size: 16px; text-align: justify;">đau lưng do thoát vị</span><span style="font-size:16px;">&nbsp;đĩa đệm.&nbsp;Phòng khám do tôi phụ trách lấy tên: Phòng khám đông y Bảo Minh. Trang web do tôi điều hành viết bài, chia sẻ kiến thức về cách chữa&nbsp;bệnh thoát vị đĩa đệm có tên:&nbsp;<strong><a data-ved="2ahUKEwjC8_-JofKAAxVXilYBHVcJDlcQFnoECBkQAQ" href="https://chuabenhthoatvidiadem.vn/" jsaction="rcuQ6b:npT2md" jscontroller="M9mgyc" jsname="qOiK6e" ping="/url?sa=t&amp;source=web&amp;rct=j&amp;opi=89978449&amp;url=https://chuabenhthoatvidiadem.vn/&amp;ved=2ahUKEwjC8_-JofKAAxVXilYBHVcJDlcQFnoECBkQAQ" style="color: rgb(26, 13, 171); text-decoration-line: none; -webkit-tap-highlight-color: rgba(0, 0, 0, 0.1); outline: 0px; font-family: arial, sans-serif; font-size: small;" title="">Thoát Vị Đĩa Đệm</a></strong>. Trang web có 2 tên miền;&nbsp;https://chuabenhthoatvidiadem.vn&nbsp; và https://thoatvidiadem.top</span></p><p style="text-align: justify;"><span style="font-size:16px;">&nbsp;Những địa chỉ tên miền này là duy nhất ở Việt Nam, chuyên về chữa một loại bệnh: Thoát Vị Đĩa Đệm.</span></p><p style="text-align: justify;"><img loading="lazy" alt="Thầy thuốc đông y Nguyễn Văn Minh" src="data:image/gif;base64,R0lGODlhAQABAID/AP///wAAACwAAAAAAQABAAACAkQBADs=" data-src="https://chuabenhthoatvidiadem.vn/resources/images/Thầy thuốc đông y Nguyễn Văn Minh.jpg" style="width: 1536px; height: 865px;" class="lazy" width="1536" height="865" data-optimized="1" /></p><p style="text-align: justify;"><span style="font-size:16px;">Do việc có rất nhiều địa chỉ trang web gần giống nhau cùng được đăng ký, điều này rất dễ gây nhầm lẫn cho bạn đọc.&nbsp;Để chắc chắn 100% tìm đúng trang chuyên sâu về kiến thức bệnh thoát vị đĩa đệm, bạn&nbsp;hãy vào Google gõ chữ: chữa thoát vị đĩa đệm gặp lương y Nguyễn Văn Minh. Lúc này kết quả tìm kiếm của Google sẽ hiện ra như hình bên dưới, lúc đó bạn chỉ việc nhấp chuột vào một trong các kết quả sẽ gặp được đúng thầy đúng thuốc.</span></p><p><img loading="lazy" alt="Chữa thoát vị đĩa đệm gặp lương y Nguyễn Văn Minh" src="data:image/gif;base64,R0lGODlhAQABAID/AP///wAAACwAAAAAAQABAAACAkQBADs=" data-src="https://chuabenhthoatvidiadem.vn/resources/images/Thoát vị đĩa đệm là gì.PNG" style="width: 850px; height: 477px;" class="lazy" width="1113" height="625" data-optimized="1" /></p><p style="text-align: justify;"><span style="font-size:16px;">Với mong muốn phương pháp chữa bệnh tốt được nhiều người biết đến, hy vọng chữa&nbsp;cho nhiều người khỏi thoát vị đĩa đệm, giúp họ có được cơ hội trị bệnh với chi phí thấp, tỷ lệ khỏi bệnh cao, phục hồi sức lao động sau khi chữa khỏi bệnh. Tôi xin phép và được sự đồng ý của quý bệnh nhân, cho&nbsp;đăng bệnh án, địa chỉ, số điện thoại&nbsp;lên&nbsp;trang web này, hãy bấm vào mũi tên để nghe tâm sự thật, niềm vui chữa khỏi bệnh.</span></p><p><a href="https://chuabenhthoatvidiadem.vn/resources/files/Ghi âm cuộc gọi 0987839357_thanh phong_084006.mp3" title="">chuabenhthoatvidiadem.vn</a></p><p style="text-align: justify;"><span style="font-size:16px;">Đây là&nbsp;tiếng nói của anh Lê Thành Phong, 32 tuổi ở Tiền Giang nói chuyện với lương y Nguyễn Văn Minh về căn bệnh thoát vị đĩa đệm cột sống. Trước đây anh Phong bị thoát vị đĩa đệm, đi khám ở nhiều&nbsp;bệnh viện lớn tại TP.HCM, thấy anh Phong bị bệnh nặng, các bác sĩ đều khuyên anh Phong nên mổ thoát vị đĩa đệm. Quyết định không mổ, anh Phong&nbsp;gặp&nbsp;lương y Nguyễn văn Minh nhờ chữa trị bằng thuốc đông y, sau khi sử dụng&nbsp;40 thang thuốc uống và đắp thoát vị đĩa đệm, hôm nay gọi điện hỏi thăm anh Phong kể; &quot;em hết bệnh, đã đi làm 7-8 tháng nay&quot; (*)</span></p><p style="text-align: justify;"><span style="font-size:16px;"><img loading="lazy" alt="Thoát vị đĩa đệm, hẹp nặng ống sống" src="data:image/gif;base64,R0lGODlhAQABAID/AP///wAAACwAAAAAAQABAAACAkQBADs=" data-src="https://chuabenhthoatvidiadem.vn/resources/images/20180323_075650(1).jpg" style="width: 1018px; height: 1200px;" class="lazy" width="1018" height="1200" data-optimized="1" /></span></p><p style="text-align: justify;"><span style="box-sizing: border-box; margin: 0px; padding: 0px; border: 0px; outline: 0px; font-size: 16px; vertical-align: baseline; background: transparent; max-width: 100%;">(*)&nbsp;Công dụng của&nbsp;thuốc uống và&nbsp;thuốc đắp&nbsp;chữa thoát vị đĩa đệm/ liệu trình&nbsp;trị bệnh&nbsp;có thể thay đổi tùy theo cơ địa&nbsp;mỗi nguời.</span></p><p style="text-align: justify;"><span style="font-size:16px;">Lương y Nguyễn Văn Minh -<span style="font-size:18px;">&nbsp;<a href="http://phongkhambaominh.com/" style="color: rgb(102, 0, 153); cursor: pointer; text-decoration-line: none; font-family: arial, sans-serif; font-size: small;" target="_blank" title="">Phòng Khám Đông Y Bảo Minh</a></span>, trực tiếp khám và điều trị bệnh cột sống đĩa đệm. Điện thoại, Zalo: 0913503552 - 02862951367</span></p><p style="text-align: justify;"><span style="background-color: transparent; font-size: 18px; color: rgb(0, 0, 0); font-family: RobotoSlab-Regular, Arial, Helvetica, sans-serif;">Google Map chỉ đường đến&nbsp;phòng khám&nbsp;đông y bảo Minh chữa thoát vị đĩa đệm:</span></p><p style="box-sizing: border-box; margin: 0px 0px 10px; padding: 0px; border: 0px; outline: 0px; font-size: 16px; vertical-align: baseline; background-image: initial; background-position: initial; background-size: initial; background-repeat: initial; background-attachment: initial; background-origin: initial; background-clip: initial; max-width: 100%; color: rgb(0, 0, 0); font-family: RobotoSlab-Regular, Arial, Helvetica, sans-serif;"><a href="https://thoatvidiademcotsong.business.site/?utm_source=gmb&amp;utm_medium=referral" style="box-sizing: border-box; margin: 0px; padding: 0px; border: 0px; outline: 0px; vertical-align: baseline; background: transparent; color: rgb(51, 122, 183); text-decoration-line: none; transition: all 406ms ease-out 0s; max-width: 100%;" title="">https://thoatvidiademcotsong</a></p><p><span style="background-color: transparent; color: rgb(0, 0, 0); font-family: RobotoSlab-Regular, Arial, Helvetica, sans-serif; font-size: 16px; text-align: justify; white-space: nowrap;">Xem thông tin&nbsp;Lương y Nguyễn Văn Minh chữa thoát vị đĩa đệm ở TP.HCM&nbsp;tại trang web:</span></p><h3 class="r" style="line-height: 1.1; box-sizing: border-box; margin: 0px; padding: 0px; border: 0px; outline: 0px; font-size: 18px; vertical-align: baseline; background-image: initial; background-position: initial; background-size: initial; background-repeat: initial; background-attachment: initial; background-origin: initial; background-clip: initial; font-family: RobotoSlab-Regular, Arial, Helvetica, sans-serif; color: rgb(0, 0, 0); max-width: 100%; overflow: hidden; text-overflow: ellipsis; white-space: nowrap;"><a href="https://chuabenhthoatvidiadem.vn/" style="color: rgb(102, 0, 153); box-sizing: border-box; margin: 0px; padding: 0px; border: 0px; outline: 0px; vertical-align: baseline; background: transparent; text-decoration-line: none; transition: all 406ms ease-out 0s; max-width: 100%; cursor: pointer;" target="_blank" title="">Cách Chữa Bệnh Thoát Vị Đĩa Đệm</a></h3><div class="s" style="box-sizing: border-box; margin: 0px; padding: 0px; border: 0px; outline: 0px; font-size: 16px; vertical-align: baseline; background-image: initial; background-position: initial; background-size: initial; background-repeat: initial; background-attachment: initial; background-origin: initial; background-clip: initial; position: relative; max-width: 48em; font-family: RobotoSlab-Regular, Arial, Helvetica, sans-serif; color: rgb(84, 84, 84); line-height: 18px;"><div class="f kv _SWb" style="box-sizing: border-box; margin: 0px; padding: 0px; border: 0px; outline: 0px; font-size: small; vertical-align: baseline; background: transparent; position: relative; max-width: 100%; color: rgb(128, 128, 128); height: 18px; line-height: 16px; font-family: arial, sans-serif; white-space: nowrap;"><cite class="_Rm" style="box-sizing: border-box; margin: 0px; padding: 0px; border: 0px; outline: 0px; font-size: 14px; vertical-align: baseline; background: transparent; max-width: 100%; color: rgb(0, 102, 33); font-style: normal;">chuabenhthoatvidiadem.vn/</cite></div></div>]]></content:encoded>
						<wfw:commentRss></wfw:commentRss>
						<slash:comments>0</slash:comments>
					</item>
				
					<item>
						<title>Khỏi thoát vị đĩa đệm cột sống thắt lưng sau hơn 1 tháng điều trị.</title>
						<link>https://chuabenhthoatvidiadem.vn/bai-viet/dieu-tri-thoat-vi-dia-dem-cot-song-that-lung/khoi-thoat-vi-dia-dem-cot-song-that-lung-sau-hon-1-thang-dieu-tri-pid-37.html</link>
						<comments></comments>
						<pubDate>Mon, 12 Dec 2016 10:46:11 +0700</pubDate>
						<dc:creator>admin</dc:creator>
						<category><![CDATA[Điều trị thoát vị đĩa đệm cột sống thắt lưng]]></category>
						<guid isPermaLink="false"></guid>
						<description><![CDATA[Lương y Nguyễn Văn Minh có hơn 25 năm kinh nghiệm chữa thoát vị đĩa đệm. Hàng ngàn bệnh nhân đã được ông chữa trị khỏi bệnh, nhất là chứng bệnh thoát vị đĩa đệm cột sống thắt lưng. Một trong số đó có bà Hảo ở Rạch Giá, Kiên Giang. Dưới đây là video bà Hảo kể lại thực tế quá trình điều trị bệnh thoát vị đĩa đệm cột sống thắt lưng của mình, ở phòng khám đông y Bảo Minh.]]></description>
						<content:encoded><![CDATA[<h2>Cách chữa thoát vị đĩa đệm cột sống thắt lưng</h2><p style="text-align: justify;"><span style="font-size: 16px; text-align: justify;">Muốn chữa&nbsp;trị thoát vị đĩa đệm cột sống thắt lưng có hiệu quả, phải tìm được thầy thuốc là những lương y,&nbsp;bác sĩ giỏi chữa thoát vị đĩa đệm, bởi vì&nbsp;họ có&nbsp;chuyên môn sâu, kinh nghiệm nhiều&nbsp;về trị bệnh cột sống đĩa đệm. </span></p><p><span style="font-size: 16px; text-align: justify;">Cách chữa nào không gây nguy hiểm, uống thuốc không có tác dụng phụ, tránh được&nbsp;phẫu thuật đĩa đệm cột sống, luôn là mong ước của những ai không may&nbsp;bị thoát vị đĩa đệm.</span></p><p style="text-align: justify;"><span style="font-size: 16px; text-align: justify;">Bà&nbsp;Hảo ở Kiên Giang bị đau lưng đã lâu, sau đó&nbsp;đau cả xuống một bên chân, tê dọc mé ngoài cẳng chân, đi lại lưng như muốn còng xuống, nhiều đêm đau nhức không ngủ được,&nbsp;Năm 2016, đi khám bệnh và chụp MRI (chụp cộng hưởng từ) bác sĩ kết luận: Thoái hóa cột&nbsp;sống thắt lưng, gai&nbsp;cột sống, thoái hóa đĩa đệm mất nước, thoát vị đĩa đệm&nbsp;L4 L5 và L5 S1.&nbsp;Uống thuốc tây theo toa của bác sĩ chỉ đỡ, không khỏi hẳn, uống kéo dài làm bà bị đau dạ dày.</span></p><p style="text-align: justify;"><span style="font-size:16px;">Bà Hảo mang kết quả chụp cộng hưởng từ tới gặp lương y Nguyễn văn Minh, tại đây bà được bắt mạch, kê đơn bốc thuốc thang sắc uống. Sau hơn 1 tháng đã hết hẳn những triệu chứng đau lưng, tê nhức,&nbsp;nguyên nhân do thoát vị đĩa đệm cột sống thắt lưng gây nên. ( *)</span></p><p><span class="optimize-cls-iframe" data-src="https://www.youtube.com/embed/x7aavTS0FT8">https://www.youtube.com/embed/x7aavTS0FT8</span></p><p style="text-align: justify;"><span style="font-size:16px;">Hơn năm nay bà Hảo không còn bị những cơn đau nhức hành hạ.&nbsp;Hôm nay bà lên Sài Gòn tiện dịp ghé qua bắt mạch kiểm tra sức khỏe, bốc thêm 10 thang thuốc uống bồi bổ thêm cho khỏe, bà vui vẻ nhận lời quay video thực tế tại phòng khám và cung cấp số điện thoại, địa chỉ bà đang ở. Chúng tôi coi đây là sự khích lệ, động viên trong việc chữa bệnh giúp nhiều người khỏi những cơn đau nhức do thoát vị đĩa đệm gây ra. Phòng khám đông y Bảo Minh xin chân thành cảm ơn bà Hảo.&nbsp;</span></p><p style="text-align: justify;"><span style="font-size:16px;">Nếu quý vị nào ở Kiên Giang có thể hỏi kinh nghiệm và cách chữa bệnh thoát vị đĩa đệm của bà Hảo tại địa chỉ:<br />270 Cách Mạng Tháng 8, phường Vĩnh Lợi, TP Rạch Giá, Kiên Giang Việt Nam.<br />Khi tới phòng khám, tùy từng bệnh nhân mà lương y Nguyễn Văn Minh có thể chỉ định dùng thêm một trong các phương pháp hỗ trợ như rượu xoa bóp, châm cứu, vật lý trị liệu hoặc đắp thuốc nam để bệnh mau khỏi.&nbsp;</span></p><p style="text-align: justify;"><span style="font-size:16px;">(*)&nbsp;Lưu ý: Tác dụng của thuốc chữa thoát vị đĩa đệm/ nhanh hay chậm&nbsp;có thể thay đổi tùy theo cơ địa&nbsp;mỗi nguời. Phòng khám đông y Bảo Minh chỉ ghi hình và sử dụng hình ảnh&nbsp;khi được sự đồng ý của quý bệnh nhân.</span></p><p style="text-align: justify;"><span style="font-size:16px;">Khám chữa thoát vị đĩa đệm ở Tp. Hồ Chí Minh.&nbsp;</span><span style="font-size: 16px; text-align: justify;">Nên sử dụng&nbsp;</span><span style="font-size: 16px; text-align: justify;">Google Map chỉ đường:</span><span style="font-size:16px;">: 856/6 Quang Trung, phường Thông Tây Hội, TP.HCM (trước đây là phường 8, Quận Gò Vấp). ĐT, Zalo của Lương y Nguyễn Văn Minh: 0913503552 - 028.6295.1367.&nbsp;</span></p><p><span style="font-size:16px;"><span style="background-color: transparent; color: rgb(0, 0, 0); font-family: RobotoSlab-Regular, Arial, Helvetica, sans-serif;">Trang web chữa bệnh </span></span><a data-ved="2ahUKEwjTv828lPj3AhXaqFYBHYknBQEQFnoECAIQAQ" href="https://chuabenhthoatvidiadem.vn/" ping="/url?sa=t&amp;source=web&amp;rct=j&amp;url=https://chuabenhthoatvidiadem.vn/&amp;ved=2ahUKEwjTv828lPj3AhXaqFYBHYknBQEQFnoECAIQAQ" style="color: rgb(26, 13, 171); text-decoration-line: none; -webkit-tap-highlight-color: rgba(0, 0, 0, 0.1); outline: 0px; font-family: arial, sans-serif; font-size: small;" title="">Thoát Vị Đĩa Đệm</a>&nbsp;<span style="font-size:16px;"><span style="background-color: transparent; color: rgb(0, 0, 0); font-family: RobotoSlab-Regular, Arial, Helvetica, sans-serif;">của Lương y Nguyễn Văn Minh:</span></span></p><p><span style="font-size:16px;"><span style="background-color: transparent; color: rgb(0, 0, 0); font-family: RobotoSlab-Regular, Arial, Helvetica, sans-serif;">thoatvidiadem.top</span></span></p><p><a href="https://chuabenhthoatvidiadem.vn/" title="">chuabenhthoatvidiadem.vn</a></p><div class="s" style="max-width: 48em; color: rgb(84, 84, 84); line-height: 18px;"><div class="f kv _SWb" style="color: rgb(128, 128, 128); height: 18px; line-height: 16px; font-family: arial, sans-serif; font-size: small; white-space: nowrap;"><div class="action-menu ab_ctl" style="display: inline; position: relative; margin: 1px 3px 0px; user-select: none; vertical-align: middle;"><div class="action-menu-panel ab_dropdown" data-ved="0ahUKEwiTg6PDzdjRAhURv5QKHbjRDlYQqR8IGTAA" jsaction="keydown:m.hdke;mouseover:m.hdhne;mouseout:m.hdhue" role="menu" style="background-image: initial; background-position: initial; background-size: initial; background-repeat: initial; background-attachment: initial; background-origin: initial; background-clip: initial; border: 1px solid rgba(0, 0, 0, 0.2); font-size: 13px; padding: 0px; position: absolute; right: auto; top: 12px; z-index: 3; transition: opacity 0.218s; box-shadow: rgba(0, 0, 0, 0.2) 0px 2px 4px; left: 0px; visibility: hidden;" tabindex="-1"><ol style="margin: 0px; padding-right: 0px; padding-left: 0px; border: 0px;"><li class="action-menu-item ab_dropdownitem" role="menuitem" style="margin: 0px; padding: 0px; border: 0px; list-style: none; user-select: none; cursor: pointer;">&nbsp;</li></ol></div></div></div></div>]]></content:encoded>
						<wfw:commentRss></wfw:commentRss>
						<slash:comments>0</slash:comments>
					</item>
				
					<item>
						<title>Chị Cúc ở Gia Lai chữa khỏi thoát vị đĩa đệm ở phòng khám.</title>
						<link>https://chuabenhthoatvidiadem.vn/bai-viet/dieu-tri-thoat-vi-dia-dem-cot-song-that-lung/chi-cuc-o-gia-lai-chua-khoi-thoat-vi-dia-dem-o-phong-kham-pid-316.html</link>
						<comments></comments>
						<pubDate>Wed, 21 Jun 2023 10:31:19 +0700</pubDate>
						<dc:creator>admin</dc:creator>
						<category><![CDATA[Điều trị thoát vị đĩa đệm cột sống thắt lưng]]></category>
						<guid isPermaLink="false"></guid>
						<description><![CDATA[Chị Cúc ở Gia Lai chữa khỏi thoát vị đĩa đệm ở phòng khám đông y Bảo Minh. Phòng khám do thầy thuốc đông y Nguyễn Văn Minh khám chữa bệnh thoát vị đĩa đệm, có địa chỉ duy nhất ở Gò Vấp, TP.HCM.]]></description>
						<content:encoded><![CDATA[<p style="text-align: justify;"><span style="font-size:16px;">Chị Nguyễn Thị Kim&nbsp;Cúc ở Gia Lai, bị&nbsp;thoát vị đĩa đệm thắt lưng.&nbsp;Năm 2016 chị Cúc có chữa thoát vị đĩa đệm ở phòng khám đông y Bảo Minh. 7&nbsp;năm sau Lương y Nguyễn Văn Minh gọi lại hỏi thăm, chị Cúc thông báo sức khỏe và&nbsp;cho biết địa chỉ của chị ở Gia Lai: xã An Trung,&nbsp;&nbsp;huyện Kông Chro, tỉnh Gia Lai. Phòng khám xin trân trọng cảm ơn chị Cúc đã đồng ý cho chia sẻ nội dung này.</span></p><p><span class="optimize-cls-iframe" data-src="https://www.youtube.com/embed/ahJrSsmI994">https://www.youtube.com/embed/ahJrSsmI994</span></p><p style="box-sizing: border-box; margin: 0px 0px 10px; padding: 0px; border: 0px; outline: 0px; font-size: 16px; vertical-align: baseline; background-image: initial; background-position: initial; background-size: initial; background-repeat: initial; background-attachment: initial; background-origin: initial; background-clip: initial; max-width: 100%; color: rgb(0, 0, 0); font-family: RobotoSlab-Regular, Arial, Helvetica, sans-serif; text-align: justify;"><span style="box-sizing: border-box; margin: 0px; padding: 0px; border: 0px; outline: 0px; vertical-align: baseline; background: transparent; max-width: 100%;">Phòng khám và nhà thuốc đông y Bảo Minh: Địa chỉ&nbsp;chữa thoát vị đĩa đệm uy tín ở thành phố HCM: 856/6 đường Quang Trung, phường 8, quận Gò Vấp.</span></p><p style="box-sizing: border-box; margin: 0px 0px 10px; padding: 0px; border: 0px; outline: 0px; font-size: 16px; vertical-align: baseline; background-image: initial; background-position: initial; background-size: initial; background-repeat: initial; background-attachment: initial; background-origin: initial; background-clip: initial; max-width: 100%; color: rgb(0, 0, 0); font-family: RobotoSlab-Regular, Arial, Helvetica, sans-serif; text-align: justify;"><img loading="lazy" alt="" src="data:image/gif;base64,R0lGODlhAQABAID/AP///wAAACwAAAAAAQABAAACAkQBADs=" data-src="https://chuabenhthoatvidiadem.vn/resources/images/Lương y Nguyễn Văn Minh(1).jpg" style="width: 1280px; height: 955px;" class="lazy" width="1280" height="955" data-optimized="1" /></p><p style="box-sizing: border-box; margin: 0px 0px 10px; padding: 0px; border: 0px; outline: 0px; font-size: 16px; vertical-align: baseline; background-image: initial; background-position: initial; background-size: initial; background-repeat: initial; background-attachment: initial; background-origin: initial; background-clip: initial; max-width: 100%; color: rgb(0, 0, 0); font-family: RobotoSlab-Regular, Arial, Helvetica, sans-serif; text-align: justify;"><span style="box-sizing: border-box; margin: 0px; padding: 0px; border: 0px; outline: 0px; vertical-align: baseline; background: transparent; max-width: 100%;">DĐ- Zalo của Lương y Nguyễn Văn Minh: 091 350 3552 - ĐT bàn: 028.6295.1367.</span></p><p style="box-sizing: border-box; margin: 0px 0px 10px; padding: 0px; border: 0px; outline: 0px; font-size: 16px; vertical-align: baseline; background-image: initial; background-position: initial; background-size: initial; background-repeat: initial; background-attachment: initial; background-origin: initial; background-clip: initial; max-width: 100%; color: rgb(0, 0, 0); font-family: RobotoSlab-Regular, Arial, Helvetica, sans-serif;"><span style="box-sizing: border-box; margin: 0px; padding: 0px; border: 0px; outline: 0px; vertical-align: baseline; background: transparent; max-width: 100%;"><span style="box-sizing: border-box; margin: 0px; padding: 0px; border: 0px; outline: 0px; vertical-align: baseline; background: transparent; max-width: 100%; text-align: justify;">Trang web c</span></span><span style="box-sizing: border-box; margin: 0px; padding: 0px; border: 0px; outline: 0px; vertical-align: baseline; background: transparent; max-width: 100%; text-align: justify;">huyên&nbsp;trị&nbsp;</span><a href="https://chuabenhthoatvidiadem.vn/" style="box-sizing: border-box; margin: 0px; padding: 0px; border: 0px; outline: 0px; vertical-align: baseline; background: transparent; color: rgb(51, 122, 183); text-decoration-line: none; transition: all 406ms ease-out 0s; max-width: 100%; text-align: justify;" title="">Thoát vị đĩa đệm</a><span style="box-sizing: border-box; margin: 0px; padding: 0px; border: 0px; outline: 0px; vertical-align: baseline; background: transparent; max-width: 100%; text-align: justify;">&nbsp;</span><span style="box-sizing: border-box; margin: 0px; padding: 0px; border: 0px; outline: 0px; vertical-align: baseline; background: transparent; max-width: 100%; text-align: justify;">ở TP.HCM. Có hai tên miền quốc tế và Việt Nam, phòng khám đã đăng ký mua bản&nbsp;quyền lâu dài.</span></p><p style="box-sizing: border-box; margin: 0px 0px 10px; padding: 0px; border: 0px; outline: 0px; font-size: 16px; vertical-align: baseline; background-image: initial; background-position: initial; background-size: initial; background-repeat: initial; background-attachment: initial; background-origin: initial; background-clip: initial; max-width: 100%; color: rgb(0, 0, 0); font-family: RobotoSlab-Regular, Arial, Helvetica, sans-serif;"><span style="box-sizing: border-box; margin: 0px; padding: 0px; border: 0px; outline: 0px; vertical-align: baseline; background: transparent; max-width: 100%;"><span style="box-sizing: border-box; margin: 0px; padding: 0px; border: 0px; outline: 0px; vertical-align: baseline; background: transparent; max-width: 100%; text-align: justify;">https://thoatvidiadem.top và https://chuabenhthoatvidiadem.vn&nbsp;</span></span></p>]]></content:encoded>
						<wfw:commentRss></wfw:commentRss>
						<slash:comments>0</slash:comments>
					</item>
				
					<item>
						<title>Thoát vị đĩa đệm L4 L5</title>
						<link>https://chuabenhthoatvidiadem.vn/bai-viet/thuoc-dong-y-tri-thoat-vi-dia-dem/thoat-vi-dia-dem-l4-l5-pid-283.html</link>
						<comments></comments>
						<pubDate>Sun, 11 Oct 2020 11:36:15 +0700</pubDate>
						<dc:creator>admin</dc:creator>
						<category><![CDATA[Thuốc đông y trị thoát vị đĩa đệm ]]></category>
						<guid isPermaLink="false"></guid>
						<description><![CDATA[Thoát vị đĩa đệm L4 L5, kích thước 6mm, chèn ép vào rễ thần kinh L5 hai bên và gây hẹp ống sống (đường kính trước - sau #6mm)]]></description>
						<content:encoded><![CDATA[<h2 style="text-align: justify;"><span style="font-size:16px;">Thoát vị đĩa đệm L4 L5, kích thước 6mm, thoát vị&nbsp;ra sau trung tâm chèn ép vào rễ thần kinh L5 hai bên và gây hẹp ống sống (đường kính trước - sau #6mm). Thuốc đông y trị thoát vị đĩa đệm&nbsp;của nhà thuốc Bảo Minh có chữa được không? Mời bạn đọc&nbsp;xem và nghe để cảm nhận.</span></h2><p><img loading="lazy" alt="Thoát vị đĩa đệm L4 L5" src="data:image/gif;base64,R0lGODlhAQABAID/AP///wAAACwAAAAAAQABAAACAkQBADs=" data-src="https://chuabenhthoatvidiadem.vn/resources/images/Thoat vi dia dem L4 L5.jpg" style="width: 800px; height: 852px;" class="lazy" width="1014" height="1080" data-optimized="1" /></p><p>&nbsp;</p><p><span style="font-size:14px;"><em>Thoát vị đĩa đệm L4/L5 # 6mm, ra sau trung tâm, chèn ép&nbsp;rễ thần kinh L5 hai bên và gây hẹp ống sống.</em></span></p><p style="text-align: justify;"><span style="font-size:16px;">Bạn đang xem phiếu kết quả&nbsp;MRI của bác Chính ở TP. HCM. Sau khi chữa khỏi bệnh&nbsp;cho bác bằng thuốc đặc trị thoát vị đĩa đệm, 1 năm sau bác có gọi điện thông báo khỏi hẳn. Lương y Nguyễn Văn Minh xin phép,&nbsp;bác đồng ý cho chia sẻ cuộc trò chuyện và kết quả chụp MRI cột sống thắt lưng của bác. Mời bạn đọc bấm vào ô bên dưới để nghe:</span></p><p><span style="font-size:16px;"><a href="https://chuabenhthoatvidiadem.vn/resources/files/Tho_i_022_m.mp3" title="">Thoát vị đĩa đệm L4 L5&nbsp;</a></span></p><p style="text-align: justify;"><img loading="lazy" alt="Thoát vị đĩa đệm L4 L5" src="data:image/gif;base64,R0lGODlhAQABAID/AP///wAAACwAAAAAAQABAAACAkQBADs=" data-src="https://chuabenhthoatvidiadem.vn/resources/images/Thoatvidiadem.jpg" style="width: 753px; height: 1200px;" class="lazy" width="753" height="1200" data-optimized="1" /><span style="font-size:14px;"><em>Hình ảnh thoát vị đĩa đệm L4 L5 trên phim chụp MRI cột sống thắt lưng</em></span></p><p style="text-align: justify;"><span style="font-size:16px;">Muốn chữa&nbsp;thoát vị đĩa đệm có hiệu quả, thầy&nbsp;thuốc phải có kinh nghiệm và tay nghề giỏi, có bài thuốc hay,&nbsp;các vị thuốc phải đạt chất lượng tốt. Nếu chỉ dựa vào bắt mạch rồi kê đơn thuốc là chưa đủ, mà phải kết hợp với kết quả chụp MRI của người bệnh. Ngoài ra còn phải căn cứ vào mức độ thoát vị đĩa đệm, triệu chứng, tuổi tác, tiền sử bệnh, cơ địa của người bệnh.v.v để kê đơn bốc thuốc mới có tác dụng tốt. Gọi là thuốc đặc trị thoát vị đĩa đệm là do tỷ lệ chữa khỏi bệnh cao, chứ không thể áp dụng&nbsp;một công thức chung cho mọi người. Đây chính là điều đặc biệt của thuốc thang kê đơn cho từng người, các loại thuốc viên bào chế sẵn thì không có được tác dụng như vậy.</span></p><p style="text-align: justify;"><span style="font-size:16px;"><img loading="lazy" alt="Thuốc chữa thoát vị đĩa đệm L4 L5" src="data:image/gif;base64,R0lGODlhAQABAID/AP///wAAACwAAAAAAQABAAACAkQBADs=" data-src="https://chuabenhthoatvidiadem.vn/resources/images/thuoc thoat vi dia dem.jpg" style="width: 968px; height: 727px;" class="lazy" width="968" height="727" data-optimized="1" /><em><span style="font-size:14px;">Thuốc trị thoát vị đĩa đệm là thuốc thang,&nbsp;sắc thuốc bằng ấm điện tự động của Việt Nam. N</span></em></span><em style="font-size: 16px; text-align: justify;"><span style="font-size: 14px;">gày uống 2 lần.</span></em></p><p style="text-align: justify;"><span style="font-size:16px;">Còn đây là trường hợp bị thoát vị đĩa đệm L4 L5 rất nặng, bác sĩ đã chỉ định mổ thoát vị đĩa đệm để giải tỏa cơn đau&nbsp;do chèn ép rễ thần kinh. Sau khi tìm hiểu cách chữa&nbsp;<span style="text-align: justify;">thoát vị đĩa đệm L4 L5 bằng đông y tại TP.HCM. Bác bệnh nhân quyết định đến gặp Lương y Nguyễn Văn Minh&nbsp;khám chữa bệnh cho bác.</span></span></p><p style="text-align: justify;"><span style="font-size:16px;"><span style="text-align: justify;">Thuốc trị thoát vị đĩa đệm L4 L5 có tốt không? Mời bạn đọc nghe câu chuyện dưới đây:</span></span></p><p><span style="font-size:16px;"><a title="" href="https://chuabenhthoatvidiadem.vn/resources/files/Ghi âm cuộc gọi Phùng Quang Thanh 61 Tv Nặng Nha Trang 1_ 24_240128_103334 (2) (1).mp3">Thoát vị đĩa đệm L4 L5, chèn ép rễ thần kinh L5, S1 hai bên</a></span></p><p><span style="font-size:16px;">Hơn hai năm sau, Lương y Nguyễn Văn Minh gọi lại hỏi thăm, bác đồng ý chia sẻ thêm:</span></p><p><span style="font-size:16px;"><a title="" href="https://chuabenhthoatvidiadem.vn/resources/files/Ghi âm cuộc gọi Phùng Quang Thanh 61 Tv Nặng Nha Trang 1_ 24_251028_172007_1.mp3">Thuốc đông y chữa thoát vị đĩa đệm L4 L5</a></span></p><p style="text-align: justify;"><span style="font-size: 16px; text-align: justify;">Xin trân trọng cảm ơn bác Thanh đã đồng ý cho chia sẻ những nội dung này, nếu quý khách nào muốn tìm hiểu kỹ hơn, nên nghe hết những nội dung rất thật ở đây, bác Thanh sẵn lòng chia sẻ cả số điện thoại ở cuối câu chuyện.</span></p><p style="text-align: justify;"><img loading="lazy" alt="Thoát vị đĩa đệm L4 L5" src="data:image/gif;base64,R0lGODlhAQABAID/AP///wAAACwAAAAAAQABAAACAkQBADs=" data-src="https://chuabenhthoatvidiadem.vn/resources/images/Thoát vị đĩa đệm L4 L5(5).jpg" style="height: 1152px; opacity: 0.9; font-size: 16px; text-align: justify; width: 823px;" class="lazy" width="823" height="1152" data-optimized="1" /></p><p style="text-align: justify;">Kết quả chụp cộng hưởng từ MRI cho biết bác Thanh bị thoát vị đĩa đệm tầng&nbsp;L4 L5 ra sau #9mm, ép mặt trước bao màng cứng, không gây hẹp lỗ liên hợp hai bên, có chèn ép rễ thần kinh L5, S1 hai bên.&nbsp;<span style="text-align: justify;">Hẹp ống sống ngang mức&nbsp;</span>L4 L5, với đường kính trước sau bao màng cúng ngang mức này #4mm.</p><p style="text-align: justify;"><img loading="lazy" alt="Thoát vị đĩa đệm L4 L5" src="data:image/gif;base64,R0lGODlhAQABAID/AP///wAAACwAAAAAAQABAAACAkQBADs=" data-src="https://chuabenhthoatvidiadem.vn/resources/images/Thoát vị đĩa đệm L4 L5(6).jpg" style="width: 861px; height: 1024px;" class="lazy" width="861" height="1024" data-optimized="1" /></p><p style="text-align: justify;">Hình ảnh thoát vị đĩa đệm L4 L5 trên phim chụp cộng hưởng từ MRI. Bác Thanh đồng ý cung cấp để bạn đọc có thêm thông tin tham khảo,&nbsp;trước khi quyết định nên chữa thoát vị đĩa đệm ở đâu tốt nhất.</p><p style="text-align: justify;"><img loading="lazy" alt="Thoát vị đĩa đệm L4-5" src="data:image/gif;base64,R0lGODlhAQABAID/AP///wAAACwAAAAAAQABAAACAkQBADs=" data-src="https://chuabenhthoatvidiadem.vn/resources/images/Thoát vị đĩa đệm L4-5(1).jpg" style="width: 696px; height: 821px;" class="lazy" width="696" height="821" data-optimized="1" /></p><p style="text-align: justify;"><span style="text-align: justify; font-size: 16px;">Quý vị nào hoặc người nhà&nbsp;bị thoát vị đĩa đệm L4&nbsp;L5, đã chữa bằng thuốc&nbsp;tây y mà chỉ giảm đau, không hết bệnh, nên chuyển sang&nbsp;chữa bằng thuốc&nbsp;</span><span style="text-align: justify; font-size: 16px;">đông y đặc trị, khả năng có tới trên 90% người bệnh hết đau, hết nhức, đi lại vận động và sinh hoạt được bình thường.</span></p><p style="text-align: justify;"><span style="font-size: 16px;">Hãy gửi kết luận chụp cộng hưởng từ&nbsp;MRI cột sống qua Zalo số: 091 350 3552. </span><a href="https://www.youtube.com/channel/UCMrl47bRL4MgAguyRi48mEw" rel="noopener" style="color: rgb(102, 0, 153); text-decoration-line: none; -webkit-tap-highlight-color: rgba(0, 0, 0, 0.1); cursor: pointer; font-family: arial, sans-serif; font-size: small;" target="_blank" title="">Lương y Nguyễn Văn Minh </a><span style="font-size: 16px;">tư vấn giúp bạn, xem có chữa được hay không.</span></p><h4 style="box-sizing: border-box; margin: 20px 0px 10px; padding: 0px; border: 0px; outline: 0px; font-size: 24px; vertical-align: baseline; background-image: initial; background-position: initial; background-size: initial; background-repeat: initial; background-attachment: initial; background-origin: initial; background-clip: initial; font-family: RobotoSlab-Regular, Arial, Helvetica, sans-serif; line-height: inherit; color: rgb(0, 0, 0); max-width: 100%;"><strong><span style="font-size:18px;">Phòng Khám Đông y Bảo Minh - Địa chỉ chữa&nbsp;thoát vị đĩa đệm&nbsp;uy tín tại TP.HCM</span></strong></h4><p style="box-sizing: border-box; margin: 0px 0px 10px; padding: 0px; border: 0px; outline: 0px; font-size: 16px; vertical-align: baseline; background-image: initial; background-position: initial; background-size: initial; background-repeat: initial; background-attachment: initial; background-origin: initial; background-clip: initial; max-width: 100%; color: rgb(0, 0, 0); font-family: RobotoSlab-Regular, Arial, Helvetica, sans-serif; text-align: justify;">Quý bệnh nhân cần khám bệnh, mua thuốc trị thoát vị đĩa đệm vui lòng đến phòng khám tại&nbsp;địa chỉ: 856/6 Quang Trung, phường Thông Tây Hội,TP. Hồ Chí Minh. Trước đây là Phường 8, quận Gò Vấp. TP.HCM. Thầy thuốc có&nbsp;nhiều năm kinh nghiệm cùng với những vị thuốc tốt nhất, Phòng Khám Đông y&nbsp;Bảo Minh là nơi khám chữa bệnh uy tín cho rất nhiều bệnh nhân bị thoát vị đĩa đệm.</p><address style="box-sizing: border-box; margin: 0px 0px 20px; padding: 0px; border: 0px; outline: 0px; font-size: 16px; vertical-align: baseline; background-image: initial; background-position: initial; background-size: initial; background-repeat: initial; background-attachment: initial; background-origin: initial; background-clip: initial; font-style: normal; line-height: 1.42857; max-width: 100%; color: rgb(0, 0, 0); font-family: RobotoSlab-Regular, Arial, Helvetica, sans-serif;"><ul style="box-sizing: border-box; margin: 0px 0px 10px; padding-right: 0px; padding-left: 0px; border: 0px; outline: 0px; vertical-align: baseline; background: transparent; list-style-position: inside; list-style-image: initial; max-width: 100%;"><li style="box-sizing: border-box; margin: 0px; padding: 0px; border: 0px; outline: 0px; vertical-align: baseline; background: transparent; transition: 406ms ease-out; max-width: 100%;">Điện thoại:&nbsp;<a href="tel:0913503552" rel="nofollow" style="box-sizing: border-box; margin: 0px; padding: 0px; border: 0px; outline: 0px; vertical-align: baseline; background: transparent; color: rgb(51, 122, 183); text-decoration-line: none; transition: 406ms ease-out; max-width: 100%;" title="Gọi 0913 503 552">0913 503 552</a></li><li style="box-sizing: border-box; margin: 0px; padding: 0px; border: 0px; outline: 0px; vertical-align: baseline; background: transparent; transition: 406ms ease-out; max-width: 100%;">Website:</li><li style="box-sizing: border-box; margin: 0px; padding: 0px; border: 0px; outline: 0px; vertical-align: baseline; background: transparent; transition: 406ms ease-out; max-width: 100%;">https://thoatvidiadem.top</li><li style="box-sizing: border-box; margin: 0px; padding: 0px; border: 0px; outline: 0px; vertical-align: baseline; background: transparent; transition: 406ms ease-out; max-width: 100%;">https://chuabenhthoatvidiadem.vn</li></ul></address><p style="box-sizing: border-box; margin: 0px 0px 10px; padding: 0px; border: 0px; outline: 0px; font-size: 16px; vertical-align: baseline; background-image: initial; background-position: initial; background-size: initial; background-repeat: initial; background-attachment: initial; background-origin: initial; background-clip: initial; max-width: 100%; color: rgb(0, 0, 0); font-family: RobotoSlab-Regular, Arial, Helvetica, sans-serif;">Zalo thầy thuốc tư vấn&nbsp;trực tiếp người bệnh: 0913 503 552.</p><p style="box-sizing: border-box; margin: 0px 0px 10px; padding: 0px; border: 0px; outline: 0px; font-size: 16px; vertical-align: baseline; background-image: initial; background-position: initial; background-size: initial; background-repeat: initial; background-attachment: initial; background-origin: initial; background-clip: initial; max-width: 100%; color: rgb(0, 0, 0); font-family: RobotoSlab-Regular, Arial, Helvetica, sans-serif;">​Tag: #thoatvidiademl4l5&nbsp;#cachchuathoatvidiademl4l5</p><p style="box-sizing: border-box; margin: 0px 0px 10px; padding: 0px; border: 0px; outline: 0px; font-size: 16px; vertical-align: baseline; background-image: initial; background-position: initial; background-size: initial; background-repeat: initial; background-attachment: initial; background-origin: initial; background-clip: initial; max-width: 100%; color: rgb(0, 0, 0); font-family: RobotoSlab-Regular, Arial, Helvetica, sans-serif;"><a href="https://chuabenhthoatvidiadem.vn/" style="font-size: 18px; text-wrap-mode: nowrap; background: transparent; box-sizing: border-box; margin: 0px; padding: 0px; border: 0px; outline: 0px; vertical-align: baseline; color: rgb(102, 0, 153); text-decoration-line: none; transition: 406ms ease-out; max-width: 100%; cursor: pointer;" target="_blank" title="">Thuốc đặc trị&nbsp;thoát vị đĩa đệm</a></p><div class="s" style="box-sizing: border-box; margin: 0px; padding: 0px; border: 0px; outline: 0px; font-size: 16px; vertical-align: baseline; background-image: initial; background-position: initial; background-size: initial; background-repeat: initial; background-attachment: initial; background-origin: initial; background-clip: initial; position: relative; max-width: 48em; font-family: RobotoSlab-Regular, Arial, Helvetica, sans-serif; color: rgb(84, 84, 84); line-height: 18px;"><div class="f kv _SWb" style="box-sizing: border-box; margin: 0px; padding: 0px; border: 0px; outline: 0px; font-size: small; vertical-align: baseline; background: transparent; position: relative; max-width: 100%; color: rgb(128, 128, 128); height: 18px; line-height: 16px; font-family: arial, sans-serif; white-space: nowrap;"><cite class="_Rm" style="box-sizing: border-box; margin: 0px; padding: 0px; border: 0px; outline: 0px; font-size: 14px; vertical-align: baseline; background: transparent; max-width: 100%; color: rgb(0, 102, 33); font-style: normal;">chuabenhthoatvidiadem.vn</cite></div></div>]]></content:encoded>
						<wfw:commentRss></wfw:commentRss>
						<slash:comments>0</slash:comments>
					</item>
				
					<item>
						<title>Thoát vị đĩa đệm gây nên đau lưng, đau hông và chân: Xem cách chữa ở TP.HCM</title>
						<link>https://chuabenhthoatvidiadem.vn/bai-viet/ket-qua-dieu-tri-thoat-vi-dia-dem/thoat-vi-dia-dem-gay-nen-dau-lung-dau-hong-va-chan-xem-cach-chua-o-tp-hcm-pid-230.html</link>
						<comments></comments>
						<pubDate>Sat, 06 Oct 2018 10:11:32 +0700</pubDate>
						<dc:creator>admin</dc:creator>
						<category><![CDATA[Kết quả điều trị thoát vị đĩa đệm]]></category>
						<guid isPermaLink="false"></guid>
						<description><![CDATA[Thoát vị đĩa đệm cột sống thắt lưng gây nên đau lưng, đau hông, có khi đau dọc xuống một hoặc hai chân. Nếu uống thuốc giảm đau thì chỉ đỡ đau được vài tiếng, không uống lại đau. Điều trị thoát vị đĩa đệm bằng cách uống thuốc kháng viêm giảm đau như vậy vài lần không khỏi, bác sĩ sẽ tư vấn người bệnh nên phẫu thuật để khỏi đau. Trước khi bạn hoặc người thân quyết định phẫu thuật, hãy gặp lương y Nguyễn văn Minh nhờ tư vấn. Có rất nhiều người trong số đó đã khỏi bệnh thoát vị đĩa đệm mà không cần phẫu thuật.]]></description>
						<content:encoded><![CDATA[<p style="text-align: justify;"><span style="font-size:16px;"><em>Thoát vị đĩa đệm cột sống thắt lưng gây nên đau lưng, đau hông, có khi đau dọc xuống một hoặc hai chân. Nếu uống thuốc giảm đau thì chỉ đỡ đau được vài tiếng, không uống lại đau. Điều trị thoát vị đĩa đệm bằng cách uống thuốc kháng viêm giảm đau như vậy vài lần không khỏi, bác sĩ sẽ tư vấn người bệnh nên phẫu thuật để khỏi đau. Trước khi bạn hoặc người thân quyết định phẫu thuật, hãy liên hệ&nbsp;lương y Nguyễn văn Minh nhờ tư vấn. Có rất nhiều người trong số đó đã khỏi bệnh thoát vị đĩa đệm mà không cần phẫu thuật.</em></span></p><p><span style="font-size:16px;"><em><img loading="lazy" alt="Thuốc chữa thoát vị đĩa đệm" src="data:image/gif;base64,R0lGODlhAQABAID/AP///wAAACwAAAAAAQABAAACAkQBADs=" data-src="https://chuabenhthoatvidiadem.vn/resources/images/Thuốc thoát vị đĩa đệm.jpg" style="width: 1024px; height: 768px;" class="lazy" width="1024" height="768" data-optimized="1" /></em></span></p><p style="text-align: justify;"><span style="font-size:16px;">Dưới đây là trường hợp của chị Lê Thị Thu Thủy, ở địa chỉ: 50 Trần Nhật Duật, phường Đạt Hiếu, thị xã Buôn Hồ, tỉnh Đắk Lắk. Chị Thủy đã chữa khỏi bệnh thoát vị đĩa đệm tại phòng khám của lương y Nguyễn Văn Minh, chị gọi điện thông báo với lương y đã khỏi bệnh hoàn toàn. Tôi đã xin phép và được sự đồng ý của chị Thủy cho chia sẻ bệnh án chụp MRI của chị&nbsp;tại bệnh viện Hòa Hảo TP. HCM.</span></p><p><img loading="lazy" alt="Thoát vị đĩa đệm thắt lưng" src="data:image/gif;base64,R0lGODlhAQABAID/AP///wAAACwAAAAAAQABAAACAkQBADs=" data-src="https://chuabenhthoatvidiadem.vn/resources/images/20180811_104521.jpg" style="width: 900px; height: 1200px;" class="lazy" width="900" height="1200" data-optimized="1" /></p><p style="text-align: justify;"><span style="font-size: 16px; text-align: justify;">Kết luận của bác sĩ chụp MRI ở bệnh viện&nbsp;Hòa Hảo TP.HCM cho chị Thủy như sau:</span></p><p><strong><span style="font-size:16px;">Trượt L5-S1. Thoái hóa mấu khớp bên L5-S1 hai bên.</span></strong></p><p style="text-align: justify;"><strong><span style="font-size:16px;">Thoát vị đĩa đệm trung tâm tầng L3-4, L5-S1, chèn ép rễ L4, S1 hai bên.</span></strong></p><p><strong><span style="font-size:16px;">Thoái hóa cột sống thắt lưng</span></strong></p><p style="text-align: justify;"><span style="font-size:16px;">Sau khi trị khỏi bệnh tại phòng khám của lương y Nguyễn Văn Minh, chị Thủy có gọi điện yêu cầu lưu bệnh án để sau này có gì sẽ sử dụng tiếp.</span></p><p style="text-align: justify;"><span style="font-size:16px;">Để khách quan, tôi; Lương y Nguyễn Văn Minh&nbsp;đã xin phép chị cho chia sẻ bệnh án và cuộc nói chuyện chân thực giữa tôi và chị.</span></p><p><a href="https://chuabenhthoatvidiadem.vn/resources/files/Ghi âm cuộc gọi 0976930315_181006_083327.mp3" title="">Chữa thoát vị đĩa đệm hết đau nhức.</a></p><p style="text-align: justify;"><span style="font-size:16px;">Tôi đã điều trị bệnh cho chị bằng cách; Trong uống thuốc thang, ngoài bóp thuốc bóp, chỗ nào đau nhiều thì đắp thuốc bào chế sẵn,&nbsp;kết quả: Sau hơn 1 tháng&nbsp;chị đã khỏi hẳn (*)</span></p><p style="text-align: justify;"><span style="font-size:16px;">(*)&nbsp; &nbsp;&quot;Lưu ý: thuốc&nbsp;chữa thoát vị đĩa đệm có tác dụng nhanh/ chậm có thể thay đổi tùy theo bệnh mỗi nguời&quot;<br /><span style="font-size:18px;">Khám chữa&nbsp;thoát vị đĩa đệm ở Tp. Hồ Chí Minh: 856/6 Quang Trung,&nbsp;Quận Gò Vấp.</span></span></p><p style="text-align: justify;"><span style="font-size:16px;"><span style="font-size:18px;">ĐT, Zalo của Lương y Nguyễn Văn Minh: 0913503552 - Cố định: 028.6295.1367.&nbsp;</span></span></p><p><span style="font-size:16px;">Gmail Lương y Nguyễn Văn Minh: luongynguyenvanminh@gmail.com</span></p><p style="text-align: justify;"><span style="font-size:16px;">Đường đi đến&nbsp;phòng khám&nbsp;đông y bảo Minh chữa thoát vị đĩa đệm, tốt nhất nên sử dụng&nbsp;Google Map chỉ đường.</span></p><p><span style="font-size:16px;">Trang web&nbsp;<a data-ved="2ahUKEwioo8Oknu33AhUPvJQKHfMsDioQFnoECAIQAQ" href="https://chuabenhthoatvidiadem.vn/" ping="/url?sa=t&amp;source=web&amp;rct=j&amp;url=https://chuabenhthoatvidiadem.vn/&amp;ved=2ahUKEwioo8Oknu33AhUPvJQKHfMsDioQFnoECAIQAQ" style="color: rgb(26, 13, 171); text-decoration-line: none; -webkit-tap-highlight-color: rgba(0, 0, 0, 0.1); outline: 0px; font-family: arial, sans-serif; font-size: small;" title="">Thoát Vị Đĩa Đệm</a>&nbsp;của phòng khám:</span></p><p><span style="font-size:16px;">thoatvidiadem.top và chuabenhthoatvidiadem.vn</span></p>]]></content:encoded>
						<wfw:commentRss></wfw:commentRss>
						<slash:comments>0</slash:comments>
					</item>
				
					<item>
						<title>Chữa thoát vị đĩa đệm ngay tại nhà - Hướng dẫn cách chữa tại nhà tốt nhất</title>
						<link>https://chuabenhthoatvidiadem.vn/bai-viet/benh-thoat-vi-dia-dem/chua-thoat-vi-dia-dem-ngay-tai-nha-huong-dan-cach-chua-tai-nha-tot-nhat-pid-217.html</link>
						<comments></comments>
						<pubDate>Sat, 02 Jun 2018 04:23:20 +0700</pubDate>
						<dc:creator>admin</dc:creator>
						<category><![CDATA[Bệnh thoát vị đĩa đệm]]></category>
						<guid isPermaLink="false"></guid>
						<description><![CDATA[Chữa thoát vị đĩa đệm ngay tại nhà, là cách chữa bệnh được nhiều người quan tâm vì: Không phải nằm viện, không đi lại nhiều, ít tốn kém tiền bạc. Đây là cách chữa dùng cho những người ở xa, không có điều kiện trực tiếp tới khám bệnh mua thuốc, có kết quả chụp cộng hưởng từ cột sống của bác sĩ. Thầy thuốc ở phòng khám thoát vị đĩa đệm hướng dẫn cách chữa như sau:]]></description>
						<content:encoded><![CDATA[<p style="text-align: justify;"><em><span style="font-size:18px;">Chữa thoát vị đĩa đệm ngay tại nhà, là cách chữa bệnh được nhiều người quan tâm bởi vì: Không phải nằm viện, không đi lại nhiều, chi phí chữa bệnh không cao, biết trước thời gian có thể hết bệnh</span></em><em style="font-size: 13px;"><span style="font-size:18px;">. Đây là cách chữa dùng cho những người ở xa, không có điều kiện trực tiếp tới khám bệnh mua thuốc, thầy thuốc ở phòng khám thoát vị đĩa đệm hướng dẫn cách chữa như sau:</span></em></p><p><span style="font-size:16px;">1- Chụp hình kết quả MRI (chụp cộng hưởng từ cột sống) gửi tới điện thoại của lương y Nguyễn Văn Minh. Nếu muốn bảo mật thông tin cá nhân thì chỉ cần chụp phần kết quả,&nbsp;kết luận của bác sĩ là được.</span></p><p><img loading="lazy" alt="Chữa thoát vị đĩa đệm ngay tại nhà" src="data:image/gif;base64,R0lGODlhAQABAID/AP///wAAACwAAAAAAQABAAACAkQBADs=" data-src="https://chuabenhthoatvidiadem.vn/resources/images/20180210_111825.jpg" style="width: 646px; height: 589px;" class="lazy" width="646" height="589" data-optimized="1" /></p><p style="text-align: justify;"><span style="font-size:16px;">2- Nhắn tin trên Zalo đặt hẹn thời gian bác sĩ tư vấn, sau đó gọi điện gặp&nbsp;các lương y bác sĩ của phòng khám để bác sĩ&nbsp;hỏi thêm về tình trạng sức khỏe, tiền sử bệnh, thời gian bị bệnh.v.v. nhằm có thêm thông tin chữa bệnh.</span></p><p style="text-align: justify;"><span style="font-size:16px;">3- Sau khi được bác sĩ tư vấn về thời gian điều trị, đơn giá thuốc và cách&nbsp;sử dụng thuốc chữa bệnh. Quý khách nhắn&nbsp;địa chỉ nơi nhận thuốc và số điện thoại để bưu tá giao hàng liên hệ khi cần, khi nhận được thuốc thì thanh toán tiền cho người giao hàng.</span></p><p style="text-align: justify;"><span style="font-size:16px;">&nbsp;Số điện thoại gửi hình ảnh qua Zalo: 0913503552 - 028.6295.1367&nbsp;<a href="https://www.youtube.com/channel/UCMrl47bRL4MgAguyRi48mEw" rel="noopener" style="margin: 0px; padding: 0px; outline: 0px; color: rgb(102, 0, 153);" target="_blank" title=""><span style="margin: 0px; padding: 0px;"><span style="margin: 0px; padding: 0px;">Lương y</span>&nbsp;<span style="margin: 0px; padding: 0px;">Nguyễn</span>&nbsp;<span style="margin: 0px; padding: 0px;">Văn Minh</span>&nbsp;</span></a></span></p><p style="text-align: justify;"><span style="font-size:16px;"><span style="margin: 0px; padding: 0px;"><span class="optimize-cls-iframe" data-src="https://www.youtube.com/embed/cGCJvyQX0iw">https://www.youtube.com/embed/cGCJvyQX0iw</span></span></span></p><p style="text-align: justify;"><em>Chữa bệnh thoát vị đĩa đệm ở phòng khám đông y Bảo Minh</em></p><p style="text-align: justify;"><span style="font-size: 16px;">Nhà thuốc đông y Bảo Minh có duy nhất tại: 856/6 đường Quang Trung, quận Gò Vấp, Tp Hồ Chí Minh.</span></p><p style="text-align: justify;"><span style="font-size: 16px;">Google Map chỉ đường:&nbsp;</span></p><p style="text-align: justify;"><span style="font-size:16px;"><a href="https://thoatvidiademcotsong.business.site/?utm_source=gmb&amp;utm_medium=referral" title="">https://thoat vi dia dem cotsong.</a></span></p><p style="text-align: justify;"><span style="font-size:16px;">Trang web chuyên về bệnh thoát vị đĩa đệm:&nbsp;<a href="https://chuabenhthoatvidiadem.vn/" title="">https://chuabenhthoatvidiadem.vn/</a></span></p>]]></content:encoded>
						<wfw:commentRss></wfw:commentRss>
						<slash:comments>0</slash:comments>
					</item>
				
					<item>
						<title>Bài thuốc chữa thoát vị đĩa đệm - Khẳng định uy tín của thầy thuốc</title>
						<link>https://chuabenhthoatvidiadem.vn/bai-viet/luong-y-nguyen-van-minh-chua-thoat-vi-dia-dem/bai-thuoc-chua-thoat-vi-dia-dem-khang-dinh-uy-tin-cua-thay-thuoc-pid-215.html</link>
						<comments></comments>
						<pubDate>Wed, 30 May 2018 08:08:21 +0700</pubDate>
						<dc:creator>admin</dc:creator>
						<category><![CDATA[Lương y Nguyễn Văn Minh chữa thoát vị đĩa đệm]]></category>
						<guid isPermaLink="false"></guid>
						<description><![CDATA[Hiệu quả của bài thuốc chữa thoát vị đĩa đệm, chính là sự khẳng định uy tín của phòng khám, uy tín của thầy thuốc. Hiện nay, chữa bệnh thoát vị đĩa đệm bằng thuốc đông y được nhiều người tin dùng. Lương y Nguyễn Văn Minh với bề dày kinh nghiệm điều trị, đã trị cho rất nhiều người khỏi bệnh thoát vị đĩa đệm, khắp nơi từ bắc vào nam, khi gặp lại họ hay bảo: &quot;tốt lắm thầy&quot;.]]></description>
						<content:encoded><![CDATA[<p style="text-align: justify;"><span style="font-size:16px;">Hiệu quả của bài thuốc chữa thoát vị đĩa đệm, chính là sự khẳng định uy tín của phòng khám, uy tín của thầy thuốc. Tìm cách chữa bệnh thoát vị đĩa đệm bằng thuốc đông y được nhiều người đặt niềm tin. Lương y Nguyễn Văn Minh với bề dày kinh nghiệm điều trị, đã trị cho rất nhiều người khỏi hẳn, không cần mổ thoát vị đĩa đệm, khi gặp lại, họ hay bảo: &quot;tốt lắm thầy&quot;</span></p><p><img loading="lazy" alt="Bài thuốc chữa thoát vị đĩa đệm" src="data:image/gif;base64,R0lGODlhAQABAID/AP///wAAACwAAAAAAQABAAACAkQBADs=" data-src="https://chuabenhthoatvidiadem.vn/resources/images/20180619_090129.jpg" style="width: 785px; height: 589px;" class="lazy" width="785" height="589" data-optimized="1" /></p><p style="text-align: justify;"><a href="https://chuabenhthoatvidiadem.vn/resources/files/Bác Nguyễn Thị Mỹ Lệ%2C Bình Phước.mp3" style="font-size: 16px; text-align: justify;" title="">Thuốc chữa thoát vị đĩa đệm</a></p><p style="text-align: justify;"><span style="font-size: 16px;">Đây là ý kiến&nbsp;rất thật từ bác Nguyễn Thị Mỹ Lệ ở Bình Phước. Bác đồng ý chia sẻ với&nbsp;mong&nbsp;muốn có ích cho những ai&nbsp;bị thoát vị đĩa đệm, muốn chữa bệnh bằng thuốc đông y&nbsp;may gặp thầy gặp thuốc. Quý khách nào&nbsp;</span><span style="font-size: 16px;">cần tìm hiểu bệnh&nbsp;thoát vị đĩa đệm đau như thế nào, muốn chữa thoát vị đĩa đệm ở đâu tốt, hãy nhấp vào những ô trong trang web này để nghe và cảm nhận hết sự thật.</span></p><h2 style="text-align: justify;"><span style="font-size:16px;"><strong>Bài thuốc chữa thoát vị đĩa đệm</strong> có gần 30 vị thuốc,&nbsp;dưới đây là 21&nbsp;vị thuốc chủ lực, sau khi khám bệnh&nbsp;và&nbsp;có kết quả&nbsp;chụp cộng hưởng từ cột sống, rồi&nbsp;căn cứ&nbsp;cơ địa&nbsp;của từng người, Lương y Nguyễn Văn Minh sẽ bổ&nbsp;thêm những vị thuốc đặc trị. Chính vì&nbsp;vậy bài thuốc luôn đạt hiệu quả tối ưu trong điều trị thoát vị đĩa đệm cột sống.</span></h2><p><span style="font-size:16px;">1- Mộc qua 12 gr (tẩm dấm ăn, sao chín)&nbsp;</span></p><p><span style="font-size:16px;">2-&nbsp; Đương quy 16 gr (bào mỏng, phơi khô, sao vàng hạ thổ)&nbsp;</span></p><p><span style="font-size:16px;">3-&nbsp; Ngưu tất 20&nbsp;gr&nbsp;(ủ rượu, bào mỏng, sao khô)<br />4- Thục địa&nbsp;20 gr&nbsp;(&nbsp;lão sinh địa nấu với sa nhân theo công thức gia truyền, không bị đầy bụng)<br />5- Sơn thù 12 gr (bỏ hạt, tẩm dấm ăn sao khô)<br />6- Cẩu tích 16 gr (sao nước muối nhạt)<br />7- Tang ký sinh 16 gr (sao chín)&nbsp;<br />8- Tục đoạn 16 gr (tẩy rượu sao chín)<br />9- Đan sâm&nbsp;20 gr (ủ rượu, bào mỏng, sao khô)<br />10- Xích thược 12 gr (ủ mềm, bào mỏng, phơi khô, sao chín)<br />11- Hà thủ ô đỏ 20 gr (nấu chung với đậu đen xanh lòng, sấy khô)&nbsp;<br />12- Chánh hoài sơn 20 gr (sao vàng hạ thổ)&nbsp;<br />13- Dạ giao đằng 12&nbsp;gr&nbsp;<br />14-&nbsp; Bạch phục linh 16 gr&nbsp;<br />15-&nbsp; Đỗ trọng 20 gr (tẩm nước muối nhạt sao khô)&nbsp;<br />16- Thương truật 16 gr (tẩm nước vo gạo sao vàng hạ thổ)<br />17- Độc hoạt 10 gr (rửa sạch, thái mỏng, phơi thật khô, sao nhẹ)<br />18- Tần giao xoắn&nbsp;24 gr (bào mỏng, sấy khô, sao qua)<br />19- Hồng hoa nhẹ&nbsp;12 gr (hồng hoa Tây Tạng, loại xịn)<br />20- Khương hoạt dẻo&nbsp;12 gr (thái miếng, sấy nhẹ cho khô).</span></p><p><span style="font-size:16px;">21- Tế tân (chánh tế tân)&nbsp;&nbsp;12 gr</span></p><p><span style="font-size:16px;"><img loading="lazy" alt="Thầy thuốc Nguyễn Văn Minh chữa thoát vị đĩa đệm" src="data:image/gif;base64,R0lGODlhAQABAID/AP///wAAACwAAAAAAQABAAACAkQBADs=" data-src="https://chuabenhthoatvidiadem.vn/resources/images/Thầy thuốc đông y Nguyễn Văn Minh(1).jpg" style="width: 819px; height: 1200px;" class="lazy" width="819" height="1200" data-optimized="1" /><em><span style="font-size:14px;">Thầy thuốc Nguyễn Văn Minh&nbsp;dự hội nghị tổng kết&nbsp;hội Đông y quận&nbsp;Gò Vấp năm 2023.</span></em></span></p><p style="text-align: justify;"><span style="font-size:16px;">Thầy thuốc chữa thoát vị đĩa đệm giỏi, có uy tín sẽ&nbsp;được người bệnh giới thiệu người quen đến chữa. Mời quý khách bấm vào xem video nghe bác&nbsp;Lê Thị Thanh Xuân,&nbsp;nhà ở ấp Long Hòa, xã Long Hậu, huyện Lai Vung, tỉnh Đồng Tháp. Bác bị thoát vị đĩa đệm, nhưng sợ mổ, bác được người quen giới thiệu lên gặp Lương y Nguyễn Văn Minh để khám bệnh và điều trị. Trước đây người quen của bác cũng bị thoát vị đĩa đệm, đã được Lương y Nguyễn Văn Minh chữa khỏi bệnh, giúp cho họ không phải mổ thoát vị đĩa đệm, khi thấy bác Xuân bị bệnh, họ đã cho số điện thoại để bác Xuân tìm đến chữa bệnh. Xin trân trọng cảm ơn bác Xuân đã đồng ý cho chia sẻ bệnh án và hình ảnh của bác.</span></p><p><span class="optimize-cls-iframe" data-src="https://www.youtube.com/embed/hDZkg5z8NjI">https://www.youtube.com/embed/hDZkg5z8NjI</span></p><p><span style="font-size:16px;">Bác Xuân đồng ý chia sẻ kết quả chụp cộng hưởng từ MRI, và cho biết&nbsp;tại sao bác lại&nbsp;đến phòng khám của Lương y Nguyễn Văn Minh để chữa thoát vị đĩa đệm.</span></p><p><img loading="lazy" alt="Lương y chữa thoát vị đĩa đệm" src="data:image/gif;base64,R0lGODlhAQABAID/AP///wAAACwAAAAAAQABAAACAkQBADs=" data-src="https://chuabenhthoatvidiadem.vn/resources/images/Lương y chữa thoát vị đĩa đệm (2).jpg" style="width: 858px; height: 1200px;" class="lazy" width="858" height="1200" data-optimized="1" /></p><p style="text-align: justify;"><span style="font-size:16px;">Uy tín của thầy thuốc chính là&nbsp;sự tín nhiệm của người bệnh, khi&nbsp;chữa khỏi bệnh họ thường&nbsp;mách bảo, giới thiệu phòng khám và bác sĩ đã chữa khỏi bệnh cho họ với mọi người xung quanh.</span></p><p><span style="font-size: 16px;">Có thể bạn muốn xem kênh YouTube của&nbsp;</span><a data-ved="2ahUKEwjw-azLjq-CAxVkqVYBHRiJA0QQFnoECBIQAQ" href="https://www.youtube.com/channel/UCMrl47bRL4MgAguyRi48mEw" jsname="UWckNb" ping="/url?sa=t&amp;source=web&amp;rct=j&amp;opi=89978449&amp;url=https://www.youtube.com/channel/UCMrl47bRL4MgAguyRi48mEw&amp;ved=2ahUKEwjw-azLjq-CAxVkqVYBHRiJA0QQFnoECBIQAQ" style="font-size: small; color: rgb(26, 13, 171); text-decoration-line: none; -webkit-tap-highlight-color: rgba(0, 0, 0, 0.1); outline: 0px; font-family: arial, sans-serif;" title="">Lương y Nguyễn Văn Minh</a></p><p style="text-align: justify;"><span style="font-size: 16px;">Tôi xin&nbsp;trân trọng cảm ơn quý bệnh nhân đồng ý chia sẻ kinh nghiệm chữa bệnh ở đây, tôi chỉ đăng thông tin khi được sự đồng ý của quý khách, sau này quý nào không thích công khai ở trang web:&nbsp;</span></p><p style="text-align: justify;"><span style="font-size: 16px; text-align: justify;">chuabenhthoatvidiadem.vn&nbsp;</span></p><p><span style="font-size: 16px; text-align: justify;">Và thoatvidiadem.top</span></p><p style="text-align: justify;"><span style="font-size: 16px; text-align: justify;">Chúng tôi sẽ gỡ xuống, xin&nbsp;cảm ơn quý khách đã có&nbsp;niềm tin vào thuốc đông y chữa thoát vị đĩa đệm.</span></p><p><span style="font-size: 16px; text-align: justify;"><img loading="lazy" alt="Thầy thuốc chữa thoát vị đĩa đệm" src="data:image/gif;base64,R0lGODlhAQABAID/AP///wAAACwAAAAAAQABAAACAkQBADs=" data-src="https://chuabenhthoatvidiadem.vn/resources/images/Thầy thuốc chữa thoát vị đĩa đệm(4).jpg" style="width: 849px; height: 1200px;" class="lazy" width="849" height="1200" data-optimized="1" /></span></p><p style="text-align: justify;"><span style="font-size:16px;">Bác&nbsp;Phùng Quang Thanh 62 tuổi, nhà&nbsp;ở Nha Trang bị thoát vị đĩa đệm nặng, đang&nbsp;điều trị bằng&nbsp;uống thuốc và bóp thuốc ở phòng khám đã gần như hết bệnh, chú đồng ý chia sẻ kết quả MRI và có&nbsp;ý kiến rất thật về&nbsp;thuốc&nbsp;chữa thoát vị đĩa đệm ở đây;</span></p><p><a href="https://chuabenhthoatvidiadem.vn/resources/files/Ghi âm cuộc gọi Phùng Quang Thanh 61 Tv Nặng Nha Trang 1_ 24_240128_103334 (2) (1).mp3" title="">Thuốc đông y chữa thoát vị đĩa đệm có tốt không</a></p><p style="text-align: justify;"><span style="font-size:16px;">Quý bạn đọc nào muốn tìm hiểu xem chữa&nbsp;thoát vị đĩa đệm có hết không, có chữa khỏi được không? Nên kiên trì xem hết, nghe hết những nội dung ở trang web này.&nbsp;</span></p><p><span style="font-size: 16px;">&nbsp;Để xem tác dụng của bài thuốc chữa&nbsp;thoát vị đĩa đệm tốt&nbsp;như thế nào, mời quý khách nghe cô Đặng Thị Yến ở Bến Tre kể về việc cô đang uống thuốc chữa thoát vị đĩa đệm, thang thuốc&nbsp;do&nbsp;</span><a data-ved="2ahUKEwi1z_vkndz6AhUnpVYBHXS9B20QFnoECBIQAQ" href="https://www.youtube.com/channel/UCMrl47bRL4MgAguyRi48mEw" ping="/url?sa=t&amp;source=web&amp;rct=j&amp;url=https://www.youtube.com/channel/UCMrl47bRL4MgAguyRi48mEw&amp;ved=2ahUKEwi1z_vkndz6AhUnpVYBHXS9B20QFnoECBIQAQ" style="color: rgb(26, 13, 171); text-decoration-line: none; -webkit-tap-highlight-color: rgba(0, 0, 0, 0.1); outline: 0px; font-family: arial, sans-serif; font-size: small;" title="">Lương y Nguyễn Văn Minh</a>&nbsp;<span style="font-size:16px;">kê đơn cho cô. Đây là nội dung câu chuyện&nbsp;thật,&nbsp;Lương y Nguyễn Văn Minh đã gọi lại xin phép và được cô Yến đồng ý chia sẻ với bạn đọc.</span></p><p><a href="https://chuabenhthoatvidiadem.vn/resources/files/Bac Pham Thi Yen Ben Tre.mp3" title=""><span style="font-size:16px;">Bài thuốc chữa thoát vị đĩa đệm</span></a></p><p><span class="optimize-cls-iframe" data-src="https://www.youtube.com/embed/8gYdQC6Vtto">https://www.youtube.com/embed/8gYdQC6Vtto</span></p><p style="text-align: justify;"><span style="font-size:14px;"><em>Phòng khám đông y Bảo Minh xin trân trọng cảm ơn quý khách, đồng ý cho chúng tôi đưa thông tin thật ở đây,&nbsp;chúng tôi lấy đó làm nguồn động viên để chữa bệnh tốt hơn nữa!</em></span></p><p style="text-align: justify;"><span style="font-size:16px;">Cùng là những vị thuốc chữa bệnh thoát vị đĩa đệm, nhưng nếu </span>t<span style="font-size: 16px;">hầy thuốc có nhiều kinh nghiệm trong điều trị&nbsp;sẽ chọn được những loại thuốc tốt nhất, xịn nhất để bào chế.&nbsp;Cách bào chế thuốc cũng quyết định tới việc chữa bệnh có khỏi hay không, bào chế không kỹ ngoài việc không khỏi bệnh mà còn gây tác dụng phụ như: đau bụng, sôi bụng, ợ hơi, nóng khát, khô cổ họng, táo bón....</span></p><p><span class="optimize-cls-iframe" data-src="https://www.youtube.com/embed/gmxUKfKBqOY">https://www.youtube.com/embed/gmxUKfKBqOY</span></p><p style="text-align: justify;"><span style="font-size:16px;">Đây là Video ghi lại thực tế cuộc nói chuyện ở phòng khám đông y Bảo Minh. Cách đây 2 năm, anh Hiếu có chở mẹ vợ tới chữa bệnh thoát vị đĩa đệm ở phòng khám của Lương y Nguyễn Văn Minh, hôm nay anh lại đưa mẹ đẻ tới cũng chữa thoát vị đĩa đệm, anh cho biết: mẹ vợ đã khỏi hẳn căn bệnh thoát vị đĩa đệm, hai năm nay bà không bị đau nhức gì nữa. Chính vì tin tưởng vào phòng khám nên hôm nay anh cũng mong lương y Minh chữa khỏi bệnh cho mẹ mình. Bạn đọc hãy nghe anh Hiếu chia sẻ địa và số điện thoại của mình với mong muốn giúp cho ai đang bị bệnh sớm gặp thầy gặp thuốc.</span></p><p><span style="font-size: 16px;">Để hỗ trợ cho việc điều trị&nbsp;thoát vị đĩa đệm được hiệu quả, chúng tôi còn có thuốc bóp, thuốc&nbsp;đắp ngoài da do nhà thuốc tự bào chế.&nbsp;Kết hợp&nbsp;uống thuốc với bóp thuốc, đắp thuốc giúp&nbsp;cho cột sống đĩa đệm rất mau hồi phục.</span></p><p><span style="font-size: 16px;">Lương y Nguyễn Văn Minh, phụ trách phòng khám và nhà thuốc đông y Bảo Minh, có địa chỉ duy nhất tại: 856/6 Quang Trung, Quận Gò vấp. Di động, Zalo: 0913503552 - 028.6295.1367</span></p><p><span style="font-size: 16px; text-align: justify;"><img loading="lazy" alt="Lương y Nguyễn Văn Minh chữa thoát vị đĩa đệm" src="data:image/gif;base64,R0lGODlhAQABAID/AP///wAAACwAAAAAAQABAAACAkQBADs=" data-src="https://chuabenhthoatvidiadem.vn/resources/images/Lương y Nguyễn Văn Minh chữa thoát vị đĩa đệm.jpg" style="width: 853px; height: 1200px;" class="lazy" width="853" height="1200" data-optimized="1" /></span></p><p style="text-align: justify;"><span style="font-size:16px;">Quý bệnh nhân muốn tư vấn thuốc chữa thoát vị đĩa đệm tốt nhất, phù hợp nhất với cơ địa và mức độ bị thoát vị đĩa đệm, hãy gửi kết quả chụp MRI cột sống qua Zalo. Thầy thuốc chuyên trị thoát vị đĩa đệm sẽ xem xét rồi gọi lại hỏi thêm về tình trạng bệnh, thời gian bị bệnh bao&nbsp;lâu, mức độ đau nhức thế nào, vị trí đau ở đâu nhiều nhất, có bị đau mông hay không, bị tê chân hay chưa?.v.v..</span></p><p><span style="font-size: 16px;">Xem thêm hiệu quả bài thuốc:</span></p><p><span style="font-size:16px;"><a href="https://chuabenhthoatvidiadem.vn/tag/Thuốc+chữa+thoát+vị+đĩa+đệm/?start=10" style="color: rgb(102, 0, 153); cursor: pointer; text-decoration-line: none;" target="_blank" title="">Bác Tâm ở Củ Chi, TP.HCM khen ngợi bài thuốc</a></span></p><p class="r" style="font-size: 18px; margin: 0px; padding: 0px; overflow: hidden; text-overflow: ellipsis; white-space: nowrap; color: rgb(34, 34, 34); font-family: arial, sans-serif;"><span style="font-size:16px;"><a href="https://chuabenhthoatvidiadem.vn/cach-chua-benh/thoat-vi-dia-dem-that-lung-toi-9mm-co-chua-duoc-khong-pid-208.html" style="color: rgb(102, 0, 153); cursor: pointer; text-decoration-line: none;" target="_blank" title="">Thoát vị đĩa đệm&nbsp;tới 9mm, không phải ai cũng may như anh Tuấn</a></span></p><p class="r" style="font-size: 18px; margin: 0px; padding: 0px; overflow: hidden; text-overflow: ellipsis; white-space: nowrap; color: rgb(34, 34, 34); font-family: arial, sans-serif;">&nbsp;</p><p style="box-sizing: border-box; margin: 0px 0px 10px; padding: 0px; border: 0px; outline: 0px; font-size: 16px; vertical-align: baseline; background-image: initial; background-position: initial; background-size: initial; background-repeat: initial; background-attachment: initial; background-origin: initial; background-clip: initial; max-width: 100%; color: rgb(0, 0, 0); font-family: RobotoSlab-Regular, Arial, Helvetica, sans-serif; text-align: justify;"><span style="box-sizing: border-box; margin: 0px; padding: 0px; border: 0px; outline: 0px; vertical-align: baseline; background: transparent; max-width: 100%;"><a href="https://chuabenhthoatvidiadem.vn/cach-chua-benh/luong-y-minh-chua-thoat-vi-dia-dem-cho-anh-ut-khoi-benh-gan-nam-nay-pid-22.html" style="box-sizing: border-box; margin: 0px; padding: 0px; border: 0px; outline: 0px; vertical-align: baseline; background: transparent; color: rgb(102, 0, 153); text-decoration-line: none; transition: all 406ms ease-out 0s; max-width: 100%; cursor: pointer;" target="_blank" title="">Điều trị&nbsp;thoát vị đĩa đệm L3/4,&nbsp;L4/5 khỏi bệnh chi phí thấp&nbsp;</a></span></p><p style="box-sizing: border-box; margin: 0px 0px 10px; padding: 0px; border: 0px; outline: 0px; font-size: 16px; vertical-align: baseline; background-image: initial; background-position: initial; background-size: initial; background-repeat: initial; background-attachment: initial; background-origin: initial; background-clip: initial; max-width: 100%; color: rgb(0, 0, 0); font-family: RobotoSlab-Regular, Arial, Helvetica, sans-serif; text-align: justify;"><a data-="" href="https://www.google.com.vn/url?sa=t&amp;rct=j&amp;q=&amp;esrc=s&amp;source=web&amp;cd=50&amp;ved=0ahUKEwjC1tTM87_WAhWJQ48KHXSdD844KBAWCFcwCQ&amp;url=http%3A%2F%2Fchuabenhthoatvidiadem.vn%2Fcach-chua-benh%2Fchua-thoat-vi-dia-dem-cot-song-that-lung-khoi-han-khong-phai-mo-pid-74.html&amp;usg=AFQjCNFk9PpHY6F1eywkYl16lBbVUnyCtA" style="background: transparent; box-sizing: border-box; margin: 0px; padding: 0px; border: 0px; outline: 0px; vertical-align: baseline; color: rgb(102, 0, 153); text-decoration-line: none; transition: all 406ms ease-out 0s; max-width: 100%; cursor: pointer;" target="_blank" title="">Thoát vị đĩa đệm&nbsp;có chữa được không?&nbsp;chữa ở đâu&nbsp;để yên tâm</a></p><p style="box-sizing: border-box; margin: 0px 0px 10px; padding: 0px; border: 0px; outline: 0px; font-size: 16px; vertical-align: baseline; background-image: initial; background-position: initial; background-size: initial; background-repeat: initial; background-attachment: initial; background-origin: initial; background-clip: initial; max-width: 100%; color: rgb(0, 0, 0); font-family: RobotoSlab-Regular, Arial, Helvetica, sans-serif; text-align: justify;"><span style="box-sizing: border-box; margin: 0px; padding: 0px; border: 0px; outline: 0px; vertical-align: baseline; background: transparent; max-width: 100%;"><a href="https://chuabenhthoatvidiadem.vn/cach-chua-benh/dau-vai-gay-hoi-tham-bac-cuc-chua-benh-cach-nay-gan-2-nam-pid-32.html" style="box-sizing: border-box; margin: 0px; padding: 0px; border: 0px; outline: 0px; vertical-align: baseline; background: transparent; color: rgb(102, 0, 153); text-decoration-line: none; transition: all 406ms ease-out 0s; max-width: 100%; cursor: pointer;" target="_blank" title="">Thoát vị đĩa đệm&nbsp;cổ,&nbsp;khỏi bệnh&nbsp;2 năm hỏi thăm không tái lại</a></span></p><p style="box-sizing: border-box; margin: 0px 0px 10px; padding: 0px; border: 0px; outline: 0px; font-size: 16px; vertical-align: baseline; background-image: initial; background-position: initial; background-size: initial; background-repeat: initial; background-attachment: initial; background-origin: initial; background-clip: initial; max-width: 100%; color: rgb(0, 0, 0); font-family: RobotoSlab-Regular, Arial, Helvetica, sans-serif; text-align: justify;"><span style="box-sizing: border-box; margin: 0px; padding: 0px; border: 0px; outline: 0px; vertical-align: baseline; background: transparent; max-width: 100%;"><a href="https://chuabenhthoatvidiadem.vn/cach-chua-benh/khoi-thoat-vi-dia-dem-cot-song-that-lung-sau-hon-1-thang-dieu-tri-pid-37.html" style="box-sizing: border-box; margin: 0px; padding: 0px; border: 0px; outline: 0px; vertical-align: baseline; background: transparent; color: rgb(102, 0, 153); text-decoration-line: none; transition: all 406ms ease-out 0s; max-width: 100%; cursor: pointer;" target="_blank" title="">Thoát vị đĩa đệm chữa như thế nào, có&nbsp;địa chỉ để tham khảo</a></span></p><p style="box-sizing: border-box; margin: 0px 0px 10px; padding: 0px; border: 0px; outline: 0px; font-size: 16px; vertical-align: baseline; background-image: initial; background-position: initial; background-size: initial; background-repeat: initial; background-attachment: initial; background-origin: initial; background-clip: initial; max-width: 100%; color: rgb(0, 0, 0); font-family: RobotoSlab-Regular, Arial, Helvetica, sans-serif; text-align: justify;"><span style="box-sizing: border-box; margin: 0px; padding: 0px; border: 0px; outline: 0px; vertical-align: baseline; background: transparent; max-width: 100%;"><a href="https://chuabenhthoatvidiadem.vn/cach-chua-benh/benh-thoat-vi-dia-dem-cot-song-co-nhieu-tang-co-chua-duoc-khong-pid-68.html" style="box-sizing: border-box; margin: 0px; padding: 0px; border: 0px; outline: 0px; vertical-align: baseline; background: transparent; color: rgb(102, 0, 153); text-decoration-line: none; transition: all 406ms ease-out 0s; max-width: 100%; cursor: pointer;" target="_blank" title="">Thoát vị đĩa đệm&nbsp;có nguy hiểm&nbsp;không ? ở đâu chữa khỏi bệnh&nbsp;</a></span></p><p style="box-sizing: border-box; margin: 0px 0px 10px; padding: 0px; border: 0px; outline: 0px; font-size: 16px; vertical-align: baseline; background-image: initial; background-position: initial; background-size: initial; background-repeat: initial; background-attachment: initial; background-origin: initial; background-clip: initial; max-width: 100%; color: rgb(0, 0, 0); font-family: RobotoSlab-Regular, Arial, Helvetica, sans-serif; text-align: justify;"><span style="box-sizing: border-box; margin: 0px; padding: 0px; border: 0px; outline: 0px; vertical-align: baseline; background: transparent; max-width: 100%;"><a data-="" href="https://www.google.com.vn/url?sa=t&amp;rct=j&amp;q=&amp;esrc=s&amp;source=web&amp;cd=58&amp;ved=0ahUKEwiU6vPloMDWAhUhR48KHW8fDRU4MhAWCEswBw&amp;url=http%3A%2F%2Fchuabenhthoatvidiadem.vn%2Fcach-chua-benh%2Fchi-van-o-quan-1-tp-hcm-khoi-thoat-vi-dia-dem-khong-tai-phat--pid-19.html&amp;usg=AFQjCNHlxgVc0VzmW40gI062yVtq8A3r_A" style="box-sizing: border-box; margin: 0px; padding: 0px; border: 0px; outline: 0px; vertical-align: baseline; background: transparent; color: rgb(102, 0, 153); text-decoration-line: none; transition: all 406ms ease-out 0s; max-width: 100%; cursor: pointer;" target="_blank" title="">Thoát vị đĩa đệm&nbsp;thắt lưng có chữa được không?&nbsp;xem ở đây</a></span></p><p style="box-sizing: border-box; margin: 0px 0px 10px; padding: 0px; border: 0px; outline: 0px; font-size: 16px; vertical-align: baseline; background-image: initial; background-position: initial; background-size: initial; background-repeat: initial; background-attachment: initial; background-origin: initial; background-clip: initial; max-width: 100%; color: rgb(0, 0, 0); font-family: RobotoSlab-Regular, Arial, Helvetica, sans-serif; text-align: justify;"><span style="box-sizing: border-box; margin: 0px; padding: 0px; border: 0px; outline: 0px; vertical-align: baseline; background: transparent; max-width: 100%;"><a href="https://chuabenhthoatvidiadem.vn/cach-chua-benh/nho-thay-ma-toi-khong-phai-mo-thoat-vi-dia-dem-hay-nghe-benh-nhan-cu-phat-bieu-pid-41.html" style="box-sizing: border-box; margin: 0px; padding: 0px; border: 0px; outline: 0px; vertical-align: baseline; background: transparent; color: rgb(102, 0, 153); text-decoration-line: none; transition: all 406ms ease-out 0s; max-width: 100%; cursor: pointer;" target="_blank" title="">Mổ&nbsp;thoát vị đĩa đệm có an toàn không? cách nào&nbsp;không phải mổ?&nbsp;</a></span></p><p style="box-sizing: border-box; margin: 0px 0px 10px; padding: 0px; border: 0px; outline: 0px; font-size: 16px; vertical-align: baseline; background-image: initial; background-position: initial; background-size: initial; background-repeat: initial; background-attachment: initial; background-origin: initial; background-clip: initial; max-width: 100%; color: rgb(0, 0, 0); font-family: RobotoSlab-Regular, Arial, Helvetica, sans-serif; text-align: justify;"><span style="box-sizing: border-box; margin: 0px; padding: 0px; border: 0px; outline: 0px; vertical-align: baseline; background: transparent; max-width: 100%;"><a href="https://chuabenhthoatvidiadem.vn/cach-chua-benh/anh-hoang-khoi-dau-nhuc-ba-vai-te-cach-tay-do-thoat-vi-dia-dem-cot-song-co-pid-7.html" style="box-sizing: border-box; margin: 0px; padding: 0px; border: 0px; outline: 0px; vertical-align: baseline; background: transparent; color: rgb(102, 0, 153); text-decoration-line: none; transition: all 406ms ease-out 0s; max-width: 100%; cursor: pointer;" target="_blank" title="">Thoát vị đĩa đệm&nbsp;cổ gây đau vai gáy, trị khỏi bệnh gọi điện thoại cảm ơn</a></span></p><p style="box-sizing: border-box; margin: 0px 0px 10px; padding: 0px; border: 0px; outline: 0px; font-size: 16px; vertical-align: baseline; background-image: initial; background-position: initial; background-size: initial; background-repeat: initial; background-attachment: initial; background-origin: initial; background-clip: initial; max-width: 100%; color: rgb(0, 0, 0); font-family: RobotoSlab-Regular, Arial, Helvetica, sans-serif; text-align: justify;"><span style="box-sizing: border-box; margin: 0px; padding: 0px; border: 0px; outline: 0px; vertical-align: baseline; background: transparent; max-width: 100%;"><a href="https://chuabenhthoatvidiadem.vn/cach-chua-benh/chup-mri-cot-song-that-lung-thoat-vi-dia-dem-l5-s1-ra-sau-5mm-chen-ep-re-than-kinh-dieu-tri-30-ngay-khoi-han-pid-97.html" style="box-sizing: border-box; margin: 0px; padding: 0px; border: 0px; outline: 0px; vertical-align: baseline; background: transparent; color: rgb(102, 0, 153); text-decoration-line: none; transition: all 406ms ease-out 0s; max-width: 100%; cursor: pointer;" target="_blank" title="">Thoát vị đĩa đệm L5/S1, nếu bạn ở Long An tham khảo địa chỉ ở đây</a></span></p><p style="box-sizing: border-box; margin: 0px 0px 10px; padding: 0px; border: 0px; outline: 0px; font-size: 16px; vertical-align: baseline; background-image: initial; background-position: initial; background-size: initial; background-repeat: initial; background-attachment: initial; background-origin: initial; background-clip: initial; max-width: 100%; color: rgb(0, 0, 0); font-family: RobotoSlab-Regular, Arial, Helvetica, sans-serif; text-align: justify;"><span style="background-color: transparent;">Trang web thuộc quyền sở hữu của Lương y Nguyễn Văn Minh - Phòng khám đông y Bảo Minh:</span></p><p style="box-sizing: border-box; margin: 0px 0px 10px; padding: 0px; border: 0px; outline: 0px; font-size: 16px; vertical-align: baseline; background-image: initial; background-position: initial; background-size: initial; background-repeat: initial; background-attachment: initial; background-origin: initial; background-clip: initial; max-width: 100%; color: rgb(0, 0, 0); font-family: RobotoSlab-Regular, Arial, Helvetica, sans-serif;"><a href="https://phongkhambaominh.com/" title="">phongkhambaominh.com</a>&nbsp;</p><p style="box-sizing: border-box; margin: 0px 0px 10px; padding: 0px; border: 0px; outline: 0px; font-size: 16px; vertical-align: baseline; background-image: initial; background-position: initial; background-size: initial; background-repeat: initial; background-attachment: initial; background-origin: initial; background-clip: initial; max-width: 100%; color: rgb(0, 0, 0); font-family: RobotoSlab-Regular, Arial, Helvetica, sans-serif;"><a href="https://chuabenhthoatvidiadem.vn/" title="">chuabenhthoatvidiadem.vn</a></p><p style="box-sizing: border-box; margin: 0px 0px 10px; padding: 0px; border: 0px; outline: 0px; font-size: 16px; vertical-align: baseline; background-image: initial; background-position: initial; background-size: initial; background-repeat: initial; background-attachment: initial; background-origin: initial; background-clip: initial; max-width: 100%; color: rgb(0, 0, 0); font-family: RobotoSlab-Regular, Arial, Helvetica, sans-serif;">thoatvidiadem.top</p><p style="box-sizing: border-box; margin: 0px 0px 10px; padding: 0px; border: 0px; outline: 0px; font-size: 16px; vertical-align: baseline; background-image: initial; background-position: initial; background-size: initial; background-repeat: initial; background-attachment: initial; background-origin: initial; background-clip: initial; max-width: 100%; color: rgb(0, 0, 0); font-family: RobotoSlab-Regular, Arial, Helvetica, sans-serif; text-align: justify;"><span style="box-sizing: border-box; margin: 0px; padding: 0px; border: 0px; outline: 0px; vertical-align: baseline; background: transparent; max-width: 100%;">Quý khách muốn khám bệnh, xem&nbsp;đông y chữa thoát vị đĩa đệm như thế nào?&nbsp;Cách tốt nhất là lên&nbsp;mạng tìm kiếm nội dung; </span></p><p style="box-sizing: border-box; margin: 0px 0px 10px; padding: 0px; border: 0px; outline: 0px; font-size: 16px; vertical-align: baseline; background-image: initial; background-position: initial; background-size: initial; background-repeat: initial; background-attachment: initial; background-origin: initial; background-clip: initial; max-width: 100%; color: rgb(0, 0, 0); font-family: RobotoSlab-Regular, Arial, Helvetica, sans-serif; text-align: justify;"><strong><span style="box-sizing: border-box; margin: 0px; padding: 0px; border: 0px; outline: 0px; vertical-align: baseline; background: transparent; max-width: 100%;">Chữa thoát vị đĩa đệm ở Gò Vấp.</span></strong></p><p style="box-sizing: border-box; margin: 0px 0px 10px; padding: 0px; border: 0px; outline: 0px; font-size: 16px; vertical-align: baseline; background-image: initial; background-position: initial; background-size: initial; background-repeat: initial; background-attachment: initial; background-origin: initial; background-clip: initial; max-width: 100%; color: rgb(0, 0, 0); font-family: RobotoSlab-Regular, Arial, Helvetica, sans-serif; text-align: justify;"><span style="box-sizing: border-box; margin: 0px; padding: 0px; border: 0px; outline: 0px; vertical-align: baseline; background: transparent; max-width: 100%;">Google Map sẽ chỉ đường chính xác nhất đến phòng khám đông y Bảo Minh; Phòng khám thoát vị đĩa đệm ở TP. Hồ Chí Minh:</span></p><p style="text-align: justify;"><span style="background-color: transparent; font-size: 16px; color: rgb(0, 0, 0); font-family: RobotoSlab-Regular, Arial, Helvetica, sans-serif;">Lương y Nguyễn Văn Minh chuyên chữa thoát vị đĩa đệm bằng đông y. Ông hay viết bài, viết&nbsp;những nội dung có thật,&nbsp;</span><span style="color: rgb(0, 0, 0); font-family: RobotoSlab-Regular, Arial, Helvetica, sans-serif; font-size: 16px; text-align: justify;">chia sẻ kinh nghiệm chữa khỏi bệnh</span><span style="background-color: transparent; font-size: 16px; color: rgb(0, 0, 0); font-family: RobotoSlab-Regular, Arial, Helvetica, sans-serif;">&nbsp;bằng thuốc đông y tại trang web:</span></p><h3 class="r" style="line-height: 1.1; box-sizing: border-box; margin: 0px; padding: 0px; border: 0px; outline: 0px; font-size: 18px; vertical-align: baseline; background-image: initial; background-position: initial; background-size: initial; background-repeat: initial; background-attachment: initial; background-origin: initial; background-clip: initial; font-family: RobotoSlab-Regular, Arial, Helvetica, sans-serif; color: rgb(0, 0, 0); max-width: 100%; overflow: hidden; text-overflow: ellipsis; white-space: nowrap;"><a href="https://chuabenhthoatvidiadem.vn/" style="color: rgb(102, 0, 153); box-sizing: border-box; margin: 0px; padding: 0px; border: 0px; outline: 0px; vertical-align: baseline; background: transparent; text-decoration-line: none; transition: all 406ms ease-out 0s; max-width: 100%; cursor: pointer;" target="_blank" title="">Thoát Vị Đĩa Đệm</a></h3><div class="s" style="box-sizing: border-box; margin: 0px; padding: 0px; border: 0px; outline: 0px; font-size: 16px; vertical-align: baseline; background-image: initial; background-position: initial; background-size: initial; background-repeat: initial; background-attachment: initial; background-origin: initial; background-clip: initial; position: relative; max-width: 48em; font-family: RobotoSlab-Regular, Arial, Helvetica, sans-serif; color: rgb(84, 84, 84); line-height: 18px;"><div class="f kv _SWb" style="box-sizing: border-box; margin: 0px; padding: 0px; border: 0px; outline: 0px; font-size: small; vertical-align: baseline; background: transparent; position: relative; max-width: 100%; color: rgb(128, 128, 128); height: 18px; line-height: 16px; font-family: arial, sans-serif; white-space: nowrap;"><cite class="_Rm" style="box-sizing: border-box; margin: 0px; padding: 0px; border: 0px; outline: 0px; font-size: 14px; vertical-align: baseline; background: transparent; max-width: 100%; color: rgb(0, 102, 33); font-style: normal;">chuabenhthoatvidiadem.vn</cite></div></div>]]></content:encoded>
						<wfw:commentRss></wfw:commentRss>
						<slash:comments>0</slash:comments>
					</item>
				
					<item>
						<title>Thuốc chữa thoát vị đĩa đệm tốt nhất là dạng nào: thuốc thang, thuốc viên hay thuốc đắp?</title>
						<link>https://chuabenhthoatvidiadem.vn/bai-viet/kham-chua-benh-thoat-vi-dia-dem/thuoc-chua-thoat-vi-dia-dem-tot-nhat-la-dang-nao-thuoc-thang-thuoc-vien-hay-thuoc-dap-pid-199.html</link>
						<comments></comments>
						<pubDate>Mon, 05 Feb 2018 10:21:56 +0700</pubDate>
						<dc:creator>admin</dc:creator>
						<category><![CDATA[Khám chữa bệnh thoát vị đĩa đệm]]></category>
						<guid isPermaLink="false"></guid>
						<description><![CDATA[Thuốc chữa thoát vị đĩa đệm tốt nhất là dạng nào: thuốc thang, thuốc viên, thuốc nước, thuốc tán hay thuốc đắp? Ý kiến của những thầy thuốc là lương y, bác sĩ giỏi ở TP.HCM đều chung nhận định: thuốc thang chữa thoát vị đĩa đệm tốt hơn các dạng thuốc khác. Khi kết hợp uống thuốc thang với thuốc đắp chữa thoát vị đĩa đệm thì chữa bệnh rất nhanh khỏi.]]></description>
						<content:encoded><![CDATA[<p style="text-align: justify;"><span style="font-size:16px;"><em>Thuốc chữa thoát vị đĩa đệm tốt nhất là dạng nào: thuốc thang, thuốc viên, thuốc nước, thuốc tán, thuốc cao&nbsp;hay thuốc đắp?</em></span></p><p><span style="text-align: justify; font-size: 20px;">Thuốc thang</span><span style="font-size: 16px; text-align: justify;">: Hay còn gọi&nbsp;thuốc chén, thuốc sắc, thang thuốc bắc, ấm thuốc bắc, thang thuốc đông y, thang thuốc y học cổ truyền. Thuốc thang được cân&nbsp;(bốc) từ nhiều vị thuốc làm nên một thang thuốc. Đa số các lương y, bác sĩ giỏi ở TP.HCM đều khẳng định: chữa thoát vị đĩa đệm bằng cách sắc thuốc thang có tác&nbsp;dụng&nbsp;tốt hơn các dạng thuốc khác.&nbsp;Khi kết hợp uống thuốc thang với thuốc đắp chữa thoát vị đĩa đệm thì việc điều trị thoát vị đĩa đệm trở nên dễ dàng.</span></p><p><img loading="lazy" alt="Thuốc thang" src="data:image/gif;base64,R0lGODlhAQABAID/AP///wAAACwAAAAAAQABAAACAkQBADs=" data-src="https://chuabenhthoatvidiadem.vn/resources/images/20180619_090147.jpg" style="width: 785px; height: 589px;" class="lazy" width="785" height="589" data-optimized="1" /></p><p style="text-align: justify;"><em>Thang thuốc đông y đặc trị&nbsp;thoát vị đĩa đệm của&nbsp;phòng khám đông y Bảo Minh</em></p><p style="text-align: justify;"><a href="https://chuabenhthoatvidiadem.vn/resources/files/Lê Thị Huệ tv 6_23.mp3" title="">Thang thuốc chữa thoát vị đĩa đệm tốt thế nào, nghe chia sẻ từ quý khách đã khỏi bệnh.</a></p><p style="text-align: justify;">&nbsp;</p><p><span style="font-size:18px;"><span class="optimize-cls-iframe" data-src="https://www.youtube.com/embed/kIdQUr8qF-Y">https://www.youtube.com/embed/kIdQUr8qF-Y</span></span></p><p style="text-align: justify;"><em><span style="font-size:14px;">Lương y Nguyễn Văn Minh giới thiệu cách chữa thoát vị đĩa đệm ở phòng khám đông y Bảo Minh.</span></em></p><p style="text-align: justify;"><span style="font-size:16px;"><span style="font-size:20px;">Thuốc viên: <span style="font-size:16px;">Gồm có viên hoàn, viên tễ, viên nén.</span></span> Thuốc viên có ưu điểm dễ uống, dễ mang theo,&nbsp;không mất thời gian sắc thuốc, giá thuốc rẻ do được bào chế, sản xuất&nbsp;hàng loạt. Nhược điểm lớn nhất của các loại thuốc viên&nbsp;là hoạt chất thuốc chứa trong mỗi liều dùng thường rất ít, chỉ phù hợp với những trường hợp bệnh đơn giản hoặc còn nhẹ, bị 1 chứng&nbsp;bệnh.</span></p><p style="text-align: justify;"><span style="font-size:16px;"><span style="font-size:20px;">Thuốc nước:</span>&nbsp;Thuốc dạng nước được&nbsp;đóng trong&nbsp;chai thủy tinh, chai nhựa hoặc&nbsp;bịch nylon hàn kín. Nhược điểm lớn nhất của thuốc nước dễ bị hư,&nbsp;nên muốn để vài hôm phải cho vào&nbsp;tủ lạnh. Thuốc nước&nbsp;bày bán ngoài thị trường thì&nbsp;phải dùng đường và hóa chất để bảo quản nên tác dụng của thuốc cũng không được đánh giá cao.</span></p><p style="text-align: justify;"><span style="font-size:16px;"><span style="font-size:20px;">Thuốc tán&nbsp;</span>hay thuốc bột. Thuốc được bào chế bằng cách&nbsp;xay nhuyễn dược liệu&nbsp;thành dạng bột mịn, đây là cách bào chế thuốc đơn giản nhất. Thuốc tán có nhược điểm gần giống như thuốc viên, hoạt chất thuốc chữa bệnh có trong thuốc tán chỉ bằng 1/10 so với thuốc thang nên rất ít thầy thuốc sử dụng.</span></p><p style="text-align: justify;"><span style="font-size:16px;"><span style="font-size:20px;">Thuốc cao:<span style="font-size:16px;">&nbsp;Hay cao đặc, cao thuốc</span></span>. Thuốc cao chính là thuốc thang cô đặc lại thành cao.&nbsp;Sau khi sắc được thuốc thang&nbsp;lọc lấy nước thuốc&nbsp;rồi&nbsp;đun cho bay hết hơi nước sẽ thu được&nbsp;thuốc dạng cao đặc. Thuốc cao thường để được thời gian dài, không cần hóa chất để bảo quản.</span></p><h3 style="text-align: justify;"><span style="font-size:16px;"><span style="font-size:20px;"><a href="https://chuabenhthoatvidiadem.vn/cach-chua-benh/thuoc-dap-thoat-vi-dia-dem-tu-dap-thuoc-chua-tri-tai-nha-pid-102.html" style="color: rgb(102, 0, 153); cursor: pointer; text-decoration-line: none;" target="_blank" title="">Thuốc đắp</a>:</span>&nbsp;Hay còn gọi thuốc bóp, thuốc bó, bó thuốc nam, thuốc xoa bóp, đắp thuốc nam, thuốc đòn, bó lá nam. Thuốc đắp trị thoát vị đĩa đệm chỉ dùng đắp ngoài da, không được uống. Thuốc đắp&nbsp;chỉ chữa khỏi&nbsp;những trường hợp thoát vị đĩa đệm nhẹ, lồi đĩa đệm, phình đĩa đệm, phồng đĩa đệm. Những trường hợp thoát vị đĩa đệm chèn ép rễ thần kinh,&nbsp; cần phải kết hợp với thuốc thang là tốt nhất.</span></h3><p><span style="font-size:16px;"><img loading="lazy" alt="Thuốc đắp thoát vị đĩa đệm" src="data:image/gif;base64,R0lGODlhAQABAID/AP///wAAACwAAAAAAQABAAACAkQBADs=" data-src="https://chuabenhthoatvidiadem.vn/resources/images/20180520_093209.jpg" style="width: 800px; height: 600px;" class="lazy" width="1600" height="1200" data-optimized="1" /></span></p><p>Có thể bạn quan tâm;</p><p class="r" style="font-size: 18px; margin: 0px; padding: 0px; overflow: hidden; text-overflow: ellipsis; white-space: nowrap; color: rgb(34, 34, 34); font-family: arial, sans-serif;"><span style="font-size:16px;"><a href="https://chuabenhthoatvidiadem.vn/cach-chua-benh/benh-thoat-vi-dia-dem-cot-song-co-nhieu-tang-co-chua-duoc-khong-pid-68.html" style="color: rgb(102, 0, 153); cursor: pointer; text-decoration-line: none;" target="_blank" title="">&rArr;&nbsp;Thoát vị đĩa đệm cột sống cổ đa tầng có chữa khỏi&nbsp;không?</a></span></p><p class="r" style="font-size: 18px; margin: 0px; padding: 0px; overflow: hidden; text-overflow: ellipsis; white-space: nowrap; color: rgb(34, 34, 34); font-family: arial, sans-serif;"><a href="https://chuabenhthoatvidiadem.vn/cach-chua-benh/khoi-thoat-vi-dia-dem-cot-song-that-lung-sau-hon-1-thang-dieu-tri-pid-37.html" style="color: rgb(102, 0, 153); cursor: pointer; text-decoration-line: none;" target="_blank" title=""><span style="font-size:16px;">&rArr;&nbsp;Cách chữa thoát vị đĩa đệm cột sống thắt lưng </span></a></p><p class="r" style="font-size: 18px; margin: 0px; padding: 0px; overflow: hidden; text-overflow: ellipsis; white-space: nowrap; color: rgb(34, 34, 34); font-family: arial, sans-serif; text-align: justify;"><span style="font-size:16px;">Lương y chữa bệnh thoát vị đĩa đệm ở TP. HCM có nhiều thầy&nbsp;giỏi, có chuyên môn cao, chữa bệnh</span></p><p class="r" style="font-size: 18px; margin: 0px; padding: 0px; overflow: hidden; text-overflow: ellipsis; white-space: nowrap; color: rgb(34, 34, 34); font-family: arial, sans-serif; text-align: justify;"><span style="font-size: 16px;">có uy tín.&nbsp;</span><span style="font-size: 16px;">Những trường hợp bị thoát vị đĩa đệm, điều trị bằng tây y không hết bệnh,&nbsp;nên tìm đến đúng</span></p><p class="r" style="font-size: 18px; margin: 0px; padding: 0px; overflow: hidden; text-overflow: ellipsis; white-space: nowrap; color: rgb(34, 34, 34); font-family: arial, sans-serif; text-align: justify;"><span style="font-size: 16px;">địa&nbsp;</span><span style="font-size: 16px;">chỉ của các thầy&nbsp;</span><span style="font-size: 16px;">đông y này, bạn có cơ hội rất cao chữa khỏi bệnh thoát vị đĩa đệm.&nbsp;</span></p><p class="r" style="font-size: 18px; margin: 0px; padding: 0px; overflow: hidden; text-overflow: ellipsis; white-space: nowrap; color: rgb(34, 34, 34); font-family: arial, sans-serif; text-align: justify;"><span style="font-size: 16px;">Lương y Nguyễn Văn Minh có trên 20 năm kinh nghiệm, chuyên sâu</span><span style="font-size: 16px;">&nbsp;điều trị thoát vị đĩa đệm bằng đông </span></p><p class="r" style="font-size: 18px; margin: 0px; padding: 0px; overflow: hidden; text-overflow: ellipsis; white-space: nowrap; color: rgb(34, 34, 34); font-family: arial, sans-serif; text-align: justify;"><span style="font-size: 16px;">y. Bạn&nbsp;hãy gửi kết quả chụp MRI qua Zalo số: 0913503552 để được&nbsp;</span><span style="font-size: 16px;">tư vấn cách chữa thoát vị đĩa đệm </span></p><p class="r" style="font-size: 18px; margin: 0px; padding: 0px; overflow: hidden; text-overflow: ellipsis; white-space: nowrap; color: rgb(34, 34, 34); font-family: arial, sans-serif; text-align: justify;"><span style="font-size: 16px;">tốt nhất cho bạn.</span></p><p class="r" style="font-size: 18px; margin: 0px; padding: 0px; overflow: hidden; text-overflow: ellipsis; white-space: nowrap; color: rgb(34, 34, 34); font-family: arial, sans-serif; text-align: justify;"><span style="background-color: transparent; color: rgb(0, 0, 0); font-family: RobotoSlab-Regular, Arial, Helvetica, sans-serif; font-size: 16px;">Lương y Nguyễn Văn Minh chữa thoát vị đĩa đệm, chia sẻ cách chữa&nbsp;tại trang web:</span></p><p class="r" style="font-size: 18px; margin: 0px; padding: 0px; overflow: hidden; text-overflow: ellipsis; white-space: nowrap; color: rgb(34, 34, 34); font-family: arial, sans-serif; text-align: justify;"><span style="background-color: transparent; color: rgb(0, 0, 0); font-family: RobotoSlab-Regular, Arial, Helvetica, sans-serif; font-size: 16px;">thoatvidiadem.top</span></p><p class="r" style="font-size: 18px; margin: 0px; padding: 0px; overflow: hidden; text-overflow: ellipsis; white-space: nowrap; color: rgb(34, 34, 34); font-family: arial, sans-serif; text-align: justify;"><span style="background-color: transparent; color: rgb(0, 0, 0); font-family: RobotoSlab-Regular, Arial, Helvetica, sans-serif; font-size: 16px;">chuabenhthoatvidiadem.vn</span></p><h3 class="r" style="line-height: 1.1; box-sizing: border-box; margin: 0px; padding: 0px; border: 0px; outline: 0px; font-size: 18px; vertical-align: baseline; background-image: initial; background-position: initial; background-size: initial; background-repeat: initial; background-attachment: initial; background-origin: initial; background-clip: initial; font-family: RobotoSlab-Regular, Arial, Helvetica, sans-serif; color: rgb(0, 0, 0); max-width: 100%; overflow: hidden; text-overflow: ellipsis; white-space: nowrap;">&nbsp;<a href="https://chuabenhthoatvidiadem.vn/" style="color: rgb(102, 0, 153); box-sizing: border-box; margin: 0px; padding: 0px; border: 0px; outline: 0px; vertical-align: baseline; background: transparent; text-decoration-line: none; transition: all 406ms ease-out 0s; max-width: 100%; cursor: pointer;" target="_blank" title="">Cách Chữa bênh&nbsp;Thoát Vị Đĩa Đệm</a></h3><div class="s" style="box-sizing: border-box; margin: 0px; padding: 0px; border: 0px; outline: 0px; font-size: 16px; vertical-align: baseline; background-image: initial; background-position: initial; background-size: initial; background-repeat: initial; background-attachment: initial; background-origin: initial; background-clip: initial; position: relative; max-width: 48em; font-family: RobotoSlab-Regular, Arial, Helvetica, sans-serif; color: rgb(84, 84, 84); line-height: 18px;"><div class="f kv _SWb" style="box-sizing: border-box; margin: 0px; padding: 0px; border: 0px; outline: 0px; font-size: small; vertical-align: baseline; background: transparent; position: relative; max-width: 100%; color: rgb(128, 128, 128); height: 18px; line-height: 16px; font-family: arial, sans-serif; white-space: nowrap;"><cite class="_Rm" style="box-sizing: border-box; margin: 0px; padding: 0px; border: 0px; outline: 0px; font-size: 14px; vertical-align: baseline; background: transparent; max-width: 100%; color: rgb(0, 102, 33); font-style: normal;">&nbsp;chuabenhthoatvidiadem.vn</cite></div><div class="f kv _SWb" style="box-sizing: border-box; margin: 0px; padding: 0px; border: 0px; outline: 0px; font-size: small; vertical-align: baseline; background: transparent; position: relative; max-width: 100%; color: rgb(128, 128, 128); height: 18px; line-height: 16px; font-family: arial, sans-serif; white-space: nowrap;">&nbsp;</div><div class="f kv _SWb" style="box-sizing: border-box; margin: 0px; padding: 0px; border: 0px; outline: 0px; font-size: small; vertical-align: baseline; background: transparent; position: relative; max-width: 100%; color: rgb(128, 128, 128); height: 18px; line-height: 16px; font-family: arial, sans-serif; white-space: nowrap;"><span style="font-size:16px;"><span style="color: rgb(0, 0, 0); font-family: RobotoSlab-Regular, Arial, Helvetica, sans-serif;">Địa chỉ khám chữa bệnh thoát vị&nbsp;đĩa đệm: 856/6 đường Quang Trung, phường 8, quận Gò Vấp, TP.HCM</span></span></div><div class="f kv _SWb" style="box-sizing: border-box; margin: 0px; padding: 0px; border: 0px; outline: 0px; font-size: small; vertical-align: baseline; background: transparent; position: relative; max-width: 100%; color: rgb(128, 128, 128); height: 18px; line-height: 16px; font-family: arial, sans-serif; white-space: nowrap;">&nbsp;</div><div class="f kv _SWb" style="box-sizing: border-box; margin: 0px; padding: 0px; border: 0px; outline: 0px; font-size: small; vertical-align: baseline; background: transparent; position: relative; max-width: 100%; color: rgb(128, 128, 128); height: 18px; line-height: 16px; font-family: arial, sans-serif; white-space: nowrap;"><span style="font-size:16px;"><span style="color: rgb(0, 0, 0); font-family: RobotoSlab-Regular, Arial, Helvetica, sans-serif;">Nên dùng Googd Map chỉ đường đến phòng khám cho tiện lợi.</span></span></div></div>]]></content:encoded>
						<wfw:commentRss></wfw:commentRss>
						<slash:comments>0</slash:comments>
					</item>
				
					<item>
						<title>Anh Hoàng khỏi đau nhức bả vai, tê cách tay do thoát vị đĩa đệm cột sống cổ.</title>
						<link>https://chuabenhthoatvidiadem.vn/bai-viet/nghe-truc-tiep-nhung-nguoi-duoc-luong-y-minh-chua-khoi-thoat-vi-dia-dem/anh-hoang-khoi-dau-nhuc-ba-vai-te-cach-tay-do-thoat-vi-dia-dem-cot-song-co-pid-7.html</link>
						<comments></comments>
						<pubDate>Sat, 03 Dec 2016 08:55:21 +0700</pubDate>
						<dc:creator>admin</dc:creator>
						<category><![CDATA[Nghe trực tiếp những người được lương y Minh chữa khỏi thoát vị đĩa đệm ]]></category>
						<guid isPermaLink="false"></guid>
						<description><![CDATA[Anh Hoàng ở Bình Thạnh, TP HCM bị đau nhức vùng cổ gáy, đau lan xuống bả vai cánh tay, chụp cộng hưởng từ bác sĩ kết luận anh bị thoát vị đĩa đệm cột sống cổ, chèn ép rễ thần kinh gây đau nhức, mỏi cổ. Lương y Nguyễn Văn Minh đã điều trị cho anh khỏi hẳn đau mỏi vai gáy do thoát vị đĩa đệm gây ra.]]></description>
						<content:encoded><![CDATA[<p style="text-align: justify;"><span style="font-size:16px;">Anh Hoàng ở Bình Thạnh, TP HCM bị đau&nbsp;nhức vùng cổ gáy, đau lan xuống bả vai cánh tay, đã điều trị bằng nhiều cách mấy tháng không khỏi dứt điểm, khi chụp cộng hưởng từ bác sĩ kết luận anh bị thoát vị đĩa đệm cột sống cổ chèn ép rễ thần kinh gây đau nhức. Lương y Nguyễn Văn Minh đã điều trị cho anh khỏi hẳn đau nhức do thoát vị đĩa đệm gây ra, anh gọi điện cảm ơn lương y Minh. Hai năm sau&nbsp;gặp lại&nbsp;anh Hoàng, anh thông báo khỏi hẳn từ ngày đó tới nay không thấy tái phát. (*)</span></p><p>&nbsp;</p><p><span style="font-size:18px;"><img loading="lazy" alt="Lương y Nguyễn Văn Minh chụp ảnh cùng bệnh nhân điều trị tvdd đã khỏi bệnh" src="data:image/gif;base64,R0lGODlhAQABAID/AP///wAAACwAAAAAAQABAAACAkQBADs=" data-src="https://chuabenhthoatvidiadem.vn/resources/images/454545.jpg" style="width: 480px; height: 270px;" class="lazy" width="480" height="270" data-optimized="1" /></span></p><p><span style="font-size:16px;"><em>Lương y Minh và anh Hoàng&nbsp;chụp hình kỷ niệm sau 2&nbsp;năm&nbsp;khỏi thoát vị đĩa đệm.</em></span></p><p><span style="font-size:16px;">&nbsp;Hãy bấm vào mũi tên để nghe cuộc nói chuyện giữa lương y Minh và anh Hoàng về căn bệnh&nbsp;thoát vị đĩa đệm cột sống cổ.</span></p><p><a href="https://chuabenhthoatvidiadem.vn/resources/files/Tho_i_028_m.mp3" title="">Anh Hoàng chủ động gọi điện cảm ơn lương y Minh đã chữa khỏi bệnh cho anh.</a></p><h4 style="box-sizing: border-box; margin: 10px 0px; padding: 0px; border: 0px; outline: 0px; font-size: 18px; vertical-align: baseline; background-image: initial; background-position: initial; background-size: initial; background-repeat: initial; background-attachment: initial; background-origin: initial; background-clip: initial; font-family: RobotoSlab-Regular, Arial, Helvetica, sans-serif; line-height: 1.1; color: rgb(0, 0, 0); max-width: 100%;">&nbsp;</h4><h2><span style="font-size:16px;">(*) &nbsp; &quot;Lưu ý: tác dụng của&nbsp;thuốc&nbsp;điều trị thoát vị đĩa đệm /nhanh hay chậm có&nbsp;thể thay đổi tùy theo cơ địa của mỗi nguời&quot;</span></h2><h3 class="r" style="font-size: 18px; margin: 0px; padding: 0px; overflow: hidden; text-overflow: ellipsis; white-space: nowrap; color: rgb(34, 34, 34); font-family: arial, sans-serif;"><span style="font-size:16px;">Tin liên quan;&nbsp;<a href="https://chuabenhthoatvidiadem.vn/cach-chua-benh/dia-chi-chua-benh-thoat-vi-dia-dem-pid-73.html" style="color: rgb(102, 0, 153); cursor: pointer; text-decoration-line: none;" target="_blank" title="">Phòng khám&nbsp;bệnh thoát vị đĩa đệm ở Tp Hồ Chí Minh</a></span></h3><h4><span style="font-size:16px;">Địa chỉ&nbsp;chữa bệnh thoát vị đĩa đệm: 856/6 Quang Trung, Phường 8, Quận Gò Vấp, TPHCM.</span></h4><p><span style="background-color: transparent; color: rgb(0, 0, 0); font-family: RobotoSlab-Regular, Arial, Helvetica, sans-serif; font-size: 16px; text-align: justify; white-space: nowrap;">Xem&nbsp;Lương y Nguyễn Văn Minh chữa thoát vị đĩa đệm,&nbsp;tại trang web:</span></p><h3 class="r" style="line-height: 1.1; box-sizing: border-box; margin: 0px; padding: 0px; border: 0px; outline: 0px; font-size: 18px; vertical-align: baseline; background-image: initial; background-position: initial; background-size: initial; background-repeat: initial; background-attachment: initial; background-origin: initial; background-clip: initial; font-family: RobotoSlab-Regular, Arial, Helvetica, sans-serif; color: rgb(0, 0, 0); max-width: 100%; overflow: hidden; text-overflow: ellipsis; white-space: nowrap;"><a href="https://chuabenhthoatvidiadem.vn/" style="color: rgb(102, 0, 153); box-sizing: border-box; margin: 0px; padding: 0px; border: 0px; outline: 0px; vertical-align: baseline; background: transparent; text-decoration-line: none; transition: all 406ms ease-out 0s; max-width: 100%; cursor: pointer;" target="_blank" title="">Cách Chữa Bệnh Thoát Vị Đĩa Đệm</a></h3><div class="s" style="box-sizing: border-box; margin: 0px; padding: 0px; border: 0px; outline: 0px; font-size: 16px; vertical-align: baseline; background-image: initial; background-position: initial; background-size: initial; background-repeat: initial; background-attachment: initial; background-origin: initial; background-clip: initial; position: relative; max-width: 48em; font-family: RobotoSlab-Regular, Arial, Helvetica, sans-serif; color: rgb(84, 84, 84); line-height: 18px;"><div class="f kv _SWb" style="box-sizing: border-box; margin: 0px; padding: 0px; border: 0px; outline: 0px; font-size: small; vertical-align: baseline; background: transparent; position: relative; max-width: 100%; color: rgb(128, 128, 128); height: 18px; line-height: 16px; font-family: arial, sans-serif; white-space: nowrap;"><cite class="_Rm" style="box-sizing: border-box; margin: 0px; padding: 0px; border: 0px; outline: 0px; font-size: 14px; vertical-align: baseline; background: transparent; max-width: 100%; color: rgb(0, 102, 33); font-style: normal;">chuabenhthoatvidiadem.vn/</cite></div></div>]]></content:encoded>
						<wfw:commentRss></wfw:commentRss>
						<slash:comments>0</slash:comments>
					</item>
				
					<item>
						<title>Chữa thoát vị đĩa đệm cho bác Hạnh ở Kon Tum</title>
						<link>https://chuabenhthoatvidiadem.vn/bai-viet/dieu-tri-thoat-vi-dia-dem-cot-song-that-lung/chua-thoat-vi-dia-dem-cho-bac-hanh-o-kon-tum-pid-343.html</link>
						<comments></comments>
						<pubDate>Sat, 22 Nov 2025 03:57:48 +0700</pubDate>
						<dc:creator>admin</dc:creator>
						<category><![CDATA[Điều trị thoát vị đĩa đệm cột sống thắt lưng]]></category>
						<guid isPermaLink="false"></guid>
						<description><![CDATA[Sau khi uống thuốc chữa thoát vị đĩa đệm tại phòng khám đông y Bảo Minh, bác Hạnh ở Kon Tum thấy đỡ rất nhiều. Hôm nay tái khám, bác đồng ý kể lại thoát vị đĩa đệm đau như thế nào, đau nhất ở đâu, đã uống thuốc gì mà không bớt, tại sao bác tìm được và đến chữa bệnh ở đây. Xin trân trọng cảm ơn bác Hạnh.]]></description>
						<content:encoded><![CDATA[<h2 style="text-align: justify;"><span style="font-size:16px;">Lương y Nguyễn Văn Minh chữa thoát vị đĩa đệm cho bác Hạnh ở Kon Tum. Bác Đỗ Thị Hạnh 62 tuổi, nhà ở Kon Tum bị đau nhức rất nhiều, đi chụp cộng hưởng từ cột sống thắt lưng phát hiện thoát vị đĩa đệm chèn ép rễ thần kinh.</span></h2><p><img loading="lazy" alt="Thoát vị đĩa đệm L4 L5" src="data:image/gif;base64,R0lGODlhAQABAID/AP///wAAACwAAAAAAQABAAACAkQBADs=" data-src="https://chuabenhthoatvidiadem.vn/resources/images/Thoat-vi-dia-dem-L4-L5(1).jpg" style="width: 720px; height: 1147px;" class="lazy" width="720" height="1147" data-optimized="1" /></p><p><span style="font-size:16px;">Bác Hạnh đồng ý chia sẻ bệnh án thoát vị đĩa đệm cột sống thắt lưng.</span></p><p><span class="optimize-cls-iframe" data-src="https://www.youtube.com/embed/iTdvrwdQ3ho">https://www.youtube.com/embed/iTdvrwdQ3ho</span></p><p style="text-align: justify;"><span style="font-size:16px;">Sau khi uống 40 </span><a title="" class="zReHs" data-ved="2ahUKEwiuvYCZyYWRAxUyoK8BHWOiM744ChAWegQIFRAB" href="https://chuabenhthoatvidiadem.vn/cach-chua-benh/thuoc-tri-thoat-vi-dia-dem-pid-324.html" jsname="UWckNb" ping="/url?sa=t&amp;source=web&amp;rct=j&amp;opi=89978449&amp;url=https://chuabenhthoatvidiadem.vn/cach-chua-benh/thuoc-tri-thoat-vi-dia-dem-pid-324.html&amp;ved=2ahUKEwiuvYCZyYWRAxUyoK8BHWOiM744ChAWegQIFRAB" style="color: rgb(26, 13, 171); text-decoration-line: none; -webkit-tap-highlight-color: rgba(0, 0, 0, 0.1); outline: 0px; font-family: Arial, sans-serif; font-size: 14px;">Thang thuốc trị thoát vị đĩa đệm</a>&nbsp;<span style="font-size:16px;">ở phòng khám đông y Bảo Minh, bác Hạnh ở Kon Tum đã đỡ đau rất nhiều. Hôm nay tái khám, bác đồng ý cho quay video kể lại mức độ đau do&nbsp;thoát vị đĩa đệm ra sao, mặc dù&nbsp;chữa bằng thuốc và&nbsp;tiêm giảm đau nhưng cũng không bớt, đến khi uống thuốc đông y trị thoát vị đĩa đệm bác thấy rất ổn và mừng vì không phải mổ thoát vị đĩa đệm nữa.</span></p><p style="box-sizing: border-box; margin: 0px 0px 10px; padding: 0px; border: 0px; outline: 0px; font-size: 16px; vertical-align: baseline; background-image: initial; background-position: initial; background-size: initial; background-repeat: initial; background-attachment: initial; background-origin: initial; background-clip: initial; max-width: 100%; color: rgb(0, 0, 0); font-family: RobotoSlab-Regular, Arial, Helvetica, sans-serif; text-align: justify;"><span style="box-sizing: border-box; margin: 0px; padding: 0px; border: 0px; outline: 0px; vertical-align: baseline; background: transparent; max-width: 100%;">&nbsp;Phòng khám đông y Bảo Minh chỉ chia sẻ thông tin khi được sự đồng ý của quý bệnh nhân, trường hợp nào cần bảo mật thông tin, chúng tôi không bao giờ công bố ở đây.</span></p><p style="box-sizing: border-box; margin: 0px 0px 10px; padding: 0px; border: 0px; outline: 0px; font-size: 16px; vertical-align: baseline; background-image: initial; background-position: initial; background-size: initial; background-repeat: initial; background-attachment: initial; background-origin: initial; background-clip: initial; max-width: 100%; color: rgb(0, 0, 0); font-family: RobotoSlab-Regular, Arial, Helvetica, sans-serif; text-align: justify;">Sau này, nếu quý khách nào không muốn xuất hiện ở đây nữa, chúng tôi sẽ gỡ bài đăng xuống. Xin trân trọng cảm ơn quý khách.&nbsp;<span style="box-sizing: border-box; margin: 0px; padding: 0px; border: 0px; outline: 0px; vertical-align: baseline; background: transparent; max-width: 100%;">Xem&nbsp;</span><a data-ved="2ahUKEwjxrtT74rb4AhWbQPUHHRkZD6IQFnoECBEQAQ" href="https://chuabenhthoatvidiadem.vn/cach-chua-benh/chinh-sach-bao-mat-thong-tin-pid-300.html" ping="/url?sa=t&amp;source=web&amp;rct=j&amp;url=https://chuabenhthoatvidiadem.vn/cach-chua-benh/chinh-sach-bao-mat-thong-tin-pid-300.html&amp;ved=2ahUKEwjxrtT74rb4AhWbQPUHHRkZD6IQFnoECBEQAQ" style="box-sizing: border-box; margin: 0px; padding: 0px; border: 0px; outline: 0px; font-size: small; vertical-align: baseline; background: transparent; color: rgb(26, 13, 171); text-decoration-line: none; transition: 406ms ease-out; max-width: 100%; -webkit-tap-highlight-color: rgba(0, 0, 0, 0.1); font-family: arial, sans-serif;" title=""><span style="box-sizing: border-box; margin: 0px; padding: 0px; border: 0px; outline: 0px; font-size: 16px; vertical-align: baseline; background: transparent; transition: 406ms ease-out; max-width: 100%;">Chính sách bảo mật thông tin - Thoát Vị Đĩa Đệm</span></a></p><p style="box-sizing: border-box; margin: 0px 0px 10px; padding: 0px; border: 0px; outline: 0px; font-size: 16px; vertical-align: baseline; background-image: initial; background-position: initial; background-size: initial; background-repeat: initial; background-attachment: initial; background-origin: initial; background-clip: initial; max-width: 100%; color: rgb(0, 0, 0); font-family: RobotoSlab-Regular, Arial, Helvetica, sans-serif; text-align: justify;">Phòng khám và nhà thuốc đông y Bảo Minh, do thầy thuốc đông y Nguyễn Văn Minh đứng tên, có địa chỉ duy nhất ở thành phố: 856/6 đường Quang Trung, phường Thông Tây Hội, TP.HCM. (trước là Phường 8, quận Gò Vấp). Điện thoại có Zalo&nbsp;<span style="box-sizing: border-box; margin: 0px; padding: 0px; border: 0px; outline: 0px; vertical-align: baseline; background: transparent; max-width: 100%;">thầy thuốc&nbsp;</span>tư vấn thuốc&nbsp;đông y chữa bệnh: 0913 503 552.&nbsp;</p><p style="box-sizing: border-box; margin: 0px 0px 10px; padding: 0px; border: 0px; outline: 0px; font-size: 16px; vertical-align: baseline; background-image: initial; background-position: initial; background-size: initial; background-repeat: initial; background-attachment: initial; background-origin: initial; background-clip: initial; max-width: 100%; color: rgb(0, 0, 0); font-family: RobotoSlab-Regular, Arial, Helvetica, sans-serif; text-align: justify;">Nếu đây là&nbsp;lần đầu quý khách vào&nbsp;trang web này, xin mời xem:&nbsp;<span style="box-sizing: border-box; margin: 0px; padding: 0px; border: 0px; outline: 0px; vertical-align: baseline; background: transparent; max-width: 100%;"><a data-ved="2ahUKEwj94eeKyIGAAxUNU94KHef4CXY4MhAWegQIEBAB" href="https://chuabenhthoatvidiadem.vn/cach-chua-benh/giay-phep-kham-chua-benh-cua-luong-y-nguyen-van-minh-pid-30.html" jsaction="rcuQ6b:npT2md" jscontroller="M9mgyc" jsname="qOiK6e" ping="/url?sa=t&amp;source=web&amp;rct=j&amp;opi=89978449&amp;url=https://chuabenhthoatvidiadem.vn/cach-chua-benh/giay-phep-kham-chua-benh-cua-luong-y-nguyen-van-minh-pid-30.html&amp;ved=2ahUKEwj94eeKyIGAAxUNU94KHef4CXY4MhAWegQIEBAB" style="box-sizing: border-box; margin: 0px; padding: 0px; border: 0px; outline: 0px; font-size: small; vertical-align: baseline; background: transparent; color: rgb(26, 13, 171); text-decoration-line: none; transition: 406ms ease-out; max-width: 100%; -webkit-tap-highlight-color: rgba(0, 0, 0, 0.1); font-family: arial, sans-serif;" title="">Giấy phép khám chữa bệnh của lương y Nguyễn Văn Minh.</a></span></p><p style="box-sizing: border-box; margin: 0px 0px 10px; padding: 0px; border: 0px; outline: 0px; font-size: 16px; vertical-align: baseline; background-image: initial; background-position: initial; background-size: initial; background-repeat: initial; background-attachment: initial; background-origin: initial; background-clip: initial; max-width: 100%; color: rgb(0, 0, 0); font-family: RobotoSlab-Regular, Arial, Helvetica, sans-serif; text-align: justify;"><span style="box-sizing: border-box; margin: 0px; padding: 0px; border: 0px; outline: 0px; vertical-align: baseline; background: transparent; max-width: 100%;">Có thể bạn muốn xem:&nbsp;</span></p><p style="box-sizing: border-box; margin: 0px 0px 10px; padding: 0px; border: 0px; outline: 0px; font-size: 16px; vertical-align: baseline; background-image: initial; background-position: initial; background-size: initial; background-repeat: initial; background-attachment: initial; background-origin: initial; background-clip: initial; max-width: 100%; color: rgb(0, 0, 0); font-family: RobotoSlab-Regular, Arial, Helvetica, sans-serif; text-align: justify;"><a title="" class="zReHs" data-ved="2ahUKEwiXh5-XyoWRAxUX1DQHHU1GJy84MhAWegQIFBAB" href="https://chuabenhthoatvidiadem.vn/cach-chua-benh/thoat-vi-dia-dem-chen-ep-day-than-kinh-pid-331.html" jsname="UWckNb" ping="/url?sa=t&amp;source=web&amp;rct=j&amp;opi=89978449&amp;url=https://chuabenhthoatvidiadem.vn/cach-chua-benh/thoat-vi-dia-dem-chen-ep-day-than-kinh-pid-331.html&amp;ved=2ahUKEwiXh5-XyoWRAxUX1DQHHU1GJy84MhAWegQIFBAB&amp;cshid=1763808412341311" style="color: rgb(26, 13, 171); text-decoration-line: none; -webkit-tap-highlight-color: rgba(0, 0, 0, 0.1); outline: 0px; font-family: Arial, sans-serif; font-size: 14px;">Thoát vị đĩa đệm chèn ép dây thần kinh</a></p><p style="box-sizing: border-box; margin: 0px 0px 10px; padding: 0px; border: 0px; outline: 0px; font-size: 16px; vertical-align: baseline; background-image: initial; background-position: initial; background-size: initial; background-repeat: initial; background-attachment: initial; background-origin: initial; background-clip: initial; max-width: 100%; color: rgb(0, 0, 0); font-family: RobotoSlab-Regular, Arial, Helvetica, sans-serif; text-align: justify;"><a title="" class="zReHs" data-ved="2ahUKEwiuvYCZyYWRAxUyoK8BHWOiM744ChAWegQIKhAB" href="https://chuabenhthoatvidiadem.vn/cach-chua-benh/thang-thuoc-chua-thoat-vi-dia-dem-pid-219.html" jsname="UWckNb" ping="/url?sa=t&amp;source=web&amp;rct=j&amp;opi=89978449&amp;url=https://chuabenhthoatvidiadem.vn/cach-chua-benh/thang-thuoc-chua-thoat-vi-dia-dem-pid-219.html&amp;ved=2ahUKEwiuvYCZyYWRAxUyoK8BHWOiM744ChAWegQIKhAB" style="color: rgb(26, 13, 171); text-decoration-line: none; -webkit-tap-highlight-color: rgba(0, 0, 0, 0.1); outline: 0px; font-family: Arial, sans-serif; font-size: 14px;">Thang thuốc chữa thoát vị đĩa đệm</a></p><p style="box-sizing: border-box; margin: 0px 0px 10px; padding: 0px; border: 0px; outline: 0px; font-size: 16px; vertical-align: baseline; background-image: initial; background-position: initial; background-size: initial; background-repeat: initial; background-attachment: initial; background-origin: initial; background-clip: initial; max-width: 100%; color: rgb(0, 0, 0); font-family: RobotoSlab-Regular, Arial, Helvetica, sans-serif; text-align: justify;">Trang web của phòng khám đông y Bảo Minh có 2 tên miền đăng ký chính chủ cơ sở, đã thông báo với Bộ Công Thương.</p><p style="box-sizing: border-box; margin: 0px 0px 10px; padding: 0px; border: 0px; outline: 0px; font-size: 16px; vertical-align: baseline; background-image: initial; background-position: initial; background-size: initial; background-repeat: initial; background-attachment: initial; background-origin: initial; background-clip: initial; max-width: 100%; color: rgb(0, 0, 0); font-family: RobotoSlab-Regular, Arial, Helvetica, sans-serif; text-align: justify;"><a class="xFAlBc" font-size:="" helvetica="" href="https://thoatvidiadem.top/" ping="/url?sa=t&amp;source=web&amp;rct=j&amp;url=https://thoatvidiadem.top/&amp;ved=2ahUKEwiysb_RuZT-AhVApFYBHVLSBtAQhAd6BAgbEAE" style="box-sizing: border-box; margin: 0px; padding: 0px; border: 0px; outline: 0px; vertical-align: baseline; background: transparent; color: rgb(26, 13, 171); text-decoration-line: none; transition: 406ms ease-out; max-width: 100%; -webkit-tap-highlight-color: rgba(0, 0, 0, 0.1); overflow-wrap: break-word; word-break: break-word;" title="">https://thoatvidiadem.top</a></p><p style="box-sizing: border-box; margin: 0px 0px 10px; padding: 0px; border: 0px; outline: 0px; font-size: 16px; vertical-align: baseline; background-image: initial; background-position: initial; background-size: initial; background-repeat: initial; background-attachment: initial; background-origin: initial; background-clip: initial; max-width: 100%; color: rgb(0, 0, 0); font-family: RobotoSlab-Regular, Arial, Helvetica, sans-serif; text-align: justify;"><a class="xFAlBc" font-size:="" helvetica="" href="https://chuabenhthoatvidiadem.vn/" ping="/url?sa=t&amp;source=web&amp;rct=j&amp;url=https://chuabenhthoatvidiadem.vn/&amp;ved=2ahUKEwiysb_RuZT-AhVApFYBHVLSBtAQ6156BAgdEAE" style="box-sizing: border-box; margin: 0px; padding: 0px; border: 0px; outline: 0px; vertical-align: baseline; background: transparent; color: rgb(26, 13, 171); text-decoration-line: none; transition: 406ms ease-out; max-width: 100%; -webkit-tap-highlight-color: rgba(0, 0, 0, 0.1); overflow-wrap: break-word; word-break: break-word;" title="">https://chuabenhthoatvidiadem.vn</a></p>]]></content:encoded>
						<wfw:commentRss></wfw:commentRss>
						<slash:comments>0</slash:comments>
					</item>
				
					<item>
						<title>Phòng khám thoát vị đĩa đệm</title>
						<link>https://chuabenhthoatvidiadem.vn/bai-viet/kham-chua-benh-thoat-vi-dia-dem/phong-kham-thoat-vi-dia-dem-pid-326.html</link>
						<comments></comments>
						<pubDate>Fri, 07 Jun 2024 09:00:16 +0700</pubDate>
						<dc:creator>admin</dc:creator>
						<category><![CDATA[Khám chữa bệnh thoát vị đĩa đệm]]></category>
						<guid isPermaLink="false"></guid>
						<description><![CDATA[Khám thoát vị đĩa đệm ở đâu, chữa thoát vị đĩa đệm ở phòng khám nào tốt, thuốc đông y có chữa khỏi thoát vị đĩa đệm được không. Mời bạn đọc xem quý khách đã chữa khỏi thoát vị đĩa đệm ở phòng khám đông y Bảo Minh chia sẻ rất thật ở đây.]]></description>
						<content:encoded><![CDATA[<p style="text-align: justify;"><span style="color: rgb(0, 0, 0); font-family: RobotoSlab-Regular, Arial, Helvetica, sans-serif; font-size: 16px; text-align: justify;">Khi chia sẻ thông tin hình ảnh, bệnh án và kết quả chữa khỏi bệnh ở đây, phòng khám có xin phép và được sự đồng ý của quý bệnh nhân. Trân trọng cảm ơn quý bệnh nhân đã tin tưởng vào uy tín của thầy thuốc, của phòng khám, nên đã đồng ý cho chia sẻ sự thật ở đây,&nbsp;với ý nghĩ&nbsp;giúp cho&nbsp;những ai không may bị <a title="" href="https://chuabenhthoatvidiadem.vn/cach-chua-benh/thoat-vi-dia-dem-pid-197.html">thoát vị đĩa đệm</a>, gặp được&nbsp;thầy gặp thuốc mà chữa hết bệnh.</span></p><p style="text-align: justify;"><img loading="lazy" alt="Khám chữa bệnh thoát vị đĩa đệm" src="data:image/gif;base64,R0lGODlhAQABAID/AP///wAAACwAAAAAAQABAAACAkQBADs=" data-src="https://chuabenhthoatvidiadem.vn/resources/images/Khám chữa bệnh thoát vị đĩa đệm(1).jpg" style="height: 488px; opacity: 0.9; width: 1255px;" class="lazy" width="1255" height="488" data-optimized="1" /></p><h2 style="text-align: justify;"><span style="font-size:16px;">Phòng khám thoát vị đĩa đệm của Lương y Nguyễn Văn Minh ở Gò Vấp. Phòng khám y học cổ truyền do ông đứng tên,&nbsp;giấp phép khám chữa bệnh&nbsp;được Sở Y tế Tp Hồ Chí Minh cấp. Ông chuyên trị thoát vị đĩa đệm bằng thuốc y học cổ truyền (thuốc đông y). Tính&nbsp;đến năm 2024 ông đã có trên 25 năm kinh nghiệm chữa bệnh.&nbsp;</span></h2><p>&nbsp;</p><p><img loading="lazy" alt="Phòng khám thoát vị đĩa đệm" src="data:image/gif;base64,R0lGODlhAQABAID/AP///wAAACwAAAAAAQABAAACAkQBADs=" data-src="https://chuabenhthoatvidiadem.vn/resources/images/Chữa thoát vị đĩa đệm.png" style="width: 500px; height: 500px;" class="lazy" width="500" height="500" data-optimized="1" /></p><p><span style="font-size:16px;">Logo&nbsp;trang web&nbsp;khám&nbsp;chữa bệnh thoát vị đĩa đệm - Phòng khám đông y Bảo Minh.</span></p><p><span style="color: rgb(0, 0, 0); font-family: RobotoSlab-Regular, Arial, Helvetica, sans-serif; font-size: 16px; text-align: justify;">Lương y Nguyễn Văn Minh&nbsp;khám bệnh, bắt mạch, kê đơn, bốc thuốc. Phòng khám có địa chỉ duy nhất tại: 856/6 đường Quang Trung, Phường 8, quận Gò Vấp, Tp. Hồ Chí Minh.</span></p><p><span style="color: rgb(0, 0, 0); font-family: RobotoSlab-Regular, Arial, Helvetica, sans-serif; font-size: 16px; text-align: justify;"><span class="optimize-cls-iframe" data-src="https://www.youtube.com/embed/DtpVzgxXZOQ">https://www.youtube.com/embed/DtpVzgxXZOQ</span></span></p><p style="text-align: justify;"><span style="font-size:16px;">Đây là những video quay tại phòng khám thoát vị đĩa đệm, được quý khách đồng ý cho ghi lại những câu chuyện rất&nbsp;thật về phòng khám.</span></p><p style="text-align: justify;"><span class="optimize-cls-iframe" data-src="https://www.youtube.com/embed/4ekJn-7hTDU">https://www.youtube.com/embed/4ekJn-7hTDU</span></p><p style="text-align: justify;"><span style="font-size:16px;">Quý khách nên tìm hiểu kỹ trước khi quyết định; khám thoát vị đĩa đệm ở đâu tại TP.HCM.&nbsp;</span></p><p style="text-align: justify;"><span class="optimize-cls-iframe" data-src="https://www.youtube.com/embed/G4XlXfFpuRc">https://www.youtube.com/embed/G4XlXfFpuRc</span></p><p style="text-align: justify;"><span style="font-size:16px;">Những người bị thoát vị đĩa đệm nhẹ, không cần phải xem hết, nghe hết nội dung. Còn ai bị thoát vị đĩa đệm nặng, bác sĩ đã khuyên nên phẫu thuật thoát vị đĩa đệm, nên xem hết những câu chuyện ở trang web này.</span></p><p style="text-align: justify;"><span style="font-size:16px;"><span style="text-align: justify;">Đông y</span> chữa thoát vị đĩa đệm&nbsp;được nhiều người&nbsp;tin tưởng, vì tác dụng chữa bệnh rất tốt. Lương y Nguyễn Văn Minh với bề dày kinh nghiệm chữa bệnh, ông đã chữa cho rất nhiều người khỏi hẳn, giúp họ không phải mổ thoát vị đĩa đệm.&nbsp;<a title="" href="https://chuabenhthoatvidiadem.vn/cach-chua-benh/bai-thuoc-chua-thoat-vi-dia-dem-khang-dinh-uy-tin-cua-thay-thuoc-pid-215.html">Thuốc chữa thoát vị đĩa đệm</a>&nbsp;tốt nhất là thuốc được&nbsp;kê đơn&nbsp;cho mỗi người, theo tình trạng bệnh thoát vị đĩa đệm của họ.&nbsp;</span></p><p style="text-align: justify;"><span style="font-size:16px;">Địa chỉ <a title="" href="https://chuabenhthoatvidiadem.vn/cach-chua-benh/dia-chi-chua-benh-thoat-vi-dia-dem-cid-18-0.html">khám chữa bệnh ở Gò Vấp</a>, TP.HCM: 856/6 đường Quang Trung, Phường 8.</span></p>]]></content:encoded>
						<wfw:commentRss></wfw:commentRss>
						<slash:comments>0</slash:comments>
					</item>
				
					<item>
						<title>Rách bao xơ đĩa đệm </title>
						<link>https://chuabenhthoatvidiadem.vn/bai-viet/thuoc-dong-y-tri-thoat-vi-dia-dem/rach-bao-xo-dia-dem-pid-322.html</link>
						<comments></comments>
						<pubDate>Sat, 24 Feb 2024 04:14:49 +0700</pubDate>
						<dc:creator>admin</dc:creator>
						<category><![CDATA[Thuốc đông y trị thoát vị đĩa đệm ]]></category>
						<guid isPermaLink="false"></guid>
						<description><![CDATA[Rách bao xơ đĩa đệm hay còn gọi là rách vòng xơ đĩa đệm. Khi bao xơ bị rách làm cho nhân nhầy đĩa đệm thoát ra ngoài gây nên bệnh thoát vị đĩa đệm. Điều trị rách bao xơ đĩa đệm phải dùng những vị thuốc có tác dụng chữa lành vết thương, vết rách. Khi thuốc ngấm vào cơ thể giúp hồi phục bao xơ đĩa đệm, giúp gân cơ dây chằng chắc khỏe dẻo dai, chữa hết bệnh vài năm sau cũng không bị đau nhức trở lại.]]></description>
						<content:encoded><![CDATA[<h2 style="text-align: justify;"><span style="font-size:16px;">Rách bao xơ đĩa đệm hay còn gọi là rách vòng xơ đĩa đệm. Khi bao xơ bị rách làm cho nhân nhầy đĩa đệm bị thoát ra ngoài gây nên bệnh thoát vị đĩa đệm.&nbsp;</span></h2><p style="text-align: justify;"><span style="font-size:16px;">Xin trân trọng cảm ơn anh Nguyễn Thế Anh ở thành phố Vĩnh Long, tỉnh Vĩnh Long. Sau khi chữa khỏi bệnh, anh đã đồng ý cho chúng tôi chia sẻ bệnh án này. Mục đích giúp cho những ai không may bị thoát vị đĩa đệm, kèm theo rách bao xơ chèn ép rễ,&nbsp;có tư liệu&nbsp;tham khảo cách chữa bệnh ở phòng khám đông y Bảo Minh.&nbsp;</span></p><p><img loading="lazy" alt="Thoát vị đĩa đệm rách bao xơ" src="data:image/gif;base64,R0lGODlhAQABAID/AP///wAAACwAAAAAAQABAAACAkQBADs=" data-src="https://chuabenhthoatvidiadem.vn/resources/images/Rách bao xơ.jpg" style="width: 891px; height: 1200px;" class="lazy" width="891" height="1200" data-optimized="1" /></p><p><img loading="lazy" alt="Rách bao xơ đĩa đệm" src="data:image/gif;base64,R0lGODlhAQABAID/AP///wAAACwAAAAAAQABAAACAkQBADs=" data-src="https://chuabenhthoatvidiadem.vn/resources/images/Rách bao xơ đĩa đệm (2).jpg" style="width: 768px; height: 919px;" class="lazy" width="768" height="919" data-optimized="1" /></p><p style="text-align: justify;"><span style="font-size:16px;">Một năm sau, lương y Nguyễn Văn Minh gọi điện hỏi thăm, anh cho biết đã hết bệnh, không còn bị đau nhức và tê bì nữa.</span></p><p style="text-align: justify;"><a href="https://chuabenhthoatvidiadem.vn/resources/files/Ghi âm cuộc gọi Nguyễn Thế Anh 83tv Vĩnh Long Khỏi 2_ 23_240222_144754.mp3" title="">Rách bao xơ đĩa đệm chèn ép rễ S1 bên trái</a></p><p style="text-align: justify;"><span style="font-size:14px;"><em>Để phản ảnh ý kiến chân thực nhất từ quý khách, lương y Nguyễn Văn Minh giữ nguyên nội dung&nbsp;câu chuyện giữa thầy thuốc và quý khách.</em></span></p><p style="text-align: justify;"><span style="font-size: 16px;">Phòng khám đông y Bảo Minh do Lương y Nguyễn Văn Minh làm chủ cơ sở và trực tiếp khám bệnh, bắt mạch, kê đơn bốc thuốc. Phòng khám có địa chỉ duy nhất: 856/6 đường Quang Trung, Phường 8, quận Gò Vấp, Tp. Hồ Chí Minh.</span></p><p style="text-align: justify;"><span style="font-size: 16px;"><img loading="lazy" alt="Giấy khen Lương y Nguyễn Văn Minh" src="data:image/gif;base64,R0lGODlhAQABAID/AP///wAAACwAAAAAAQABAAACAkQBADs=" data-src="https://chuabenhthoatvidiadem.vn/resources/images/Giấy khen Lương y Nguyễn Văn Minh.jpg" style="width: 887px; height: 655px;" class="lazy" width="887" height="655" data-optimized="1" /></span></p><p style="text-align: justify;"><span style="font-size: 16px;">Khi chia sẻ thông tin hình ảnh, bệnh án và kết quả chữa khỏi bệnh ở đây, Lương y Nguyễn Văn Minh có xin phép và được sự đồng ý của quý bệnh nhân đã khỏi bệnh. Xin trân trọng cảm ơn quý bệnh nhân đã tin tưởng vào uy tín của thầy thuốc, đồng ý cho chia sẻ sự thật ở đây, với mong muốn giúp được nhiều người khác may mắn gặp thầy gặp thuốc.</span></p><p style="text-align: justify;"><span style="font-size: 16px;"><img loading="lazy" alt="Rách bao xơ đĩa đệm" src="data:image/gif;base64,R0lGODlhAQABAID/AP///wAAACwAAAAAAQABAAACAkQBADs=" data-src="https://chuabenhthoatvidiadem.vn/resources/images/Rách bao xơ đĩa đệm(1).jpg" style="width: 900px; height: 1200px;" class="lazy" width="900" height="1200" data-optimized="1" /></span></p><p style="text-align: justify;"><span style="font-size: 16px;">Bác Bùi Thị Tứ ở TP.HCM bị đau lưng lan mông kèm tê chân. Khám bệnh chụp cộng hưởng từ, kết quả MRI có phim, bác sĩ kết luận: </span></p><p style="text-align: justify;"><span style="font-size: 16px;">Thoát vị đĩa đệm ra sau + Phình đĩa đệm L4/5 ra xung quanh, dưới dây chằng dọc sau, ép bao màng cứng, rách bao xơ, ép rễ L4 phải trong lỗ liên hợp và ép rễ L5 hai bên trong ngách bên.</span></p><p style="text-align: justify;"><img loading="lazy" alt="Rach-bao-xo-dia-dem" src="data:image/gif;base64,R0lGODlhAQABAID/AP///wAAACwAAAAAAQABAAACAkQBADs=" data-src="https://chuabenhthoatvidiadem.vn/resources/images/Rach-bao-xo-dia-dem.jpg" style="width: 900px; height: 1200px;" class="lazy" width="900" height="1200" data-optimized="1" /></p><p style="text-align: justify;"><span style="font-size:16px;">Sau khi chữa khỏi đau nhức do thoát vị đĩa đệm, bác Bùi Thị Tứ đồng ý cho ghi lại ý kiến và chia sẻ bệnh án: Thoát vị đĩa đệm rách bao xơ của mình để quý khách tham khảo. Xin trân trọng cảm ơn bác Tứ.</span></p><p style="text-align: justify;"><span class="optimize-cls-iframe" data-src="https://www.youtube.com/embed/EZ1EBbLt584">https://www.youtube.com/embed/EZ1EBbLt584</span></p><p style="text-align: justify;"><span style="font-size:16px;">Đây là câu chuyện rất thật giữa thầy thuốc và người bệnh, ai bị thoát vị đĩa đệm rách bao xơ, không muốn vào viện mổ, hãy kiên trì nghe hết nội dung video trên.</span></p><p style="box-sizing: border-box; margin: 0px 0px 10px; padding: 0px; border: 0px; outline: 0px; font-size: 16px; vertical-align: baseline; background-image: initial; background-position: initial; background-size: initial; background-repeat: initial; background-attachment: initial; background-origin: initial; background-clip: initial; max-width: 100%; color: rgb(0, 0, 0); font-family: RobotoSlab-Regular, Arial, Helvetica, sans-serif; text-align: justify;"><span style="box-sizing: border-box; margin: 0px; padding: 0px; border: 0px; outline: 0px; vertical-align: baseline; background: transparent; max-width: 100%;">Giấy phép khám chữa bệnh thoát vị đĩa đệm&nbsp;bằng y học cổ truyền&nbsp;của Lương y Nguyễn Văn Minh;</span><span style="box-sizing: border-box; margin: 0px; padding: 0px; border: 0px; outline: 0px; vertical-align: baseline; background: transparent; max-width: 100%;">&nbsp;</span><span style="box-sizing: border-box; margin: 0px; padding: 0px; border: 0px; outline: 0px; vertical-align: baseline; background: transparent; max-width: 100%;"><a data-ved="2ahUKEwj94eeKyIGAAxUNU94KHef4CXY4MhAWegQIEBAB" href="https://chuabenhthoatvidiadem.vn/cach-chua-benh/giay-phep-kham-chua-benh-cua-luong-y-nguyen-van-minh-pid-30.html" jsaction="rcuQ6b:npT2md" jscontroller="M9mgyc" jsname="qOiK6e" ping="/url?sa=t&amp;source=web&amp;rct=j&amp;opi=89978449&amp;url=https://chuabenhthoatvidiadem.vn/cach-chua-benh/giay-phep-kham-chua-benh-cua-luong-y-nguyen-van-minh-pid-30.html&amp;ved=2ahUKEwj94eeKyIGAAxUNU94KHef4CXY4MhAWegQIEBAB" style="box-sizing: border-box; margin: 0px; padding: 0px; border: 0px; outline: 0px; font-size: small; vertical-align: baseline; background: transparent; color: rgb(26, 13, 171); text-decoration-line: none; transition: all 406ms ease-out 0s; max-width: 100%; -webkit-tap-highlight-color: rgba(0, 0, 0, 0.1); font-family: arial, sans-serif;" title="">Giấy phép khám chữa bệnh&nbsp;</a></span></p><p style="box-sizing: border-box; margin: 0px 0px 10px; padding: 0px; border: 0px; outline: 0px; font-size: 16px; vertical-align: baseline; background-image: initial; background-position: initial; background-size: initial; background-repeat: initial; background-attachment: initial; background-origin: initial; background-clip: initial; max-width: 100%; color: rgb(0, 0, 0); font-family: RobotoSlab-Regular, Arial, Helvetica, sans-serif; text-align: justify;">Trang web:&nbsp;<a class="xFAlBc" font-size:="" helvetica="" href="https://thoatvidiadem.top/" ping="/url?sa=t&amp;source=web&amp;rct=j&amp;url=https://thoatvidiadem.top/&amp;ved=2ahUKEwjazZPK5OiAAxVHpVYBHQccCIcQhAd6BAhbEAE&amp;opi=89978449" style="box-sizing: border-box; margin: 0px; padding: 0px; border: 0px; outline: 0px; vertical-align: baseline; background: transparent; color: rgb(26, 13, 171); text-decoration-line: none; transition: all 406ms ease-out 0s; max-width: 100%; -webkit-tap-highlight-color: rgba(0, 0, 0, 0.1); overflow-wrap: break-word; word-break: break-word;" title="">thoatvidiadem.top</a>&nbsp;và&nbsp;<a class="xFAlBc" font-size:="" helvetica="" href="https://chuabenhthoatvidiadem.vn/" ping="/url?sa=t&amp;source=web&amp;rct=j&amp;url=https://chuabenhthoatvidiadem.vn/&amp;ved=2ahUKEwjazZPK5OiAAxVHpVYBHQccCIcQ6156BAhFEAE&amp;opi=89978449" style="box-sizing: border-box; margin: 0px; padding: 0px; border: 0px; outline: 0px; vertical-align: baseline; background: transparent; color: rgb(26, 13, 171); text-decoration-line: none; transition: all 406ms ease-out 0s; max-width: 100%; -webkit-tap-highlight-color: rgba(0, 0, 0, 0.1); overflow-wrap: break-word; word-break: break-word;" title="">chuabenhthoatvidiadem.vn</a></p><p style="box-sizing: border-box; margin: 0px 0px 10px; padding: 0px; border: 0px; outline: 0px; font-size: 16px; vertical-align: baseline; background-image: initial; background-position: initial; background-size: initial; background-repeat: initial; background-attachment: initial; background-origin: initial; background-clip: initial; max-width: 100%; color: rgb(0, 0, 0); font-family: RobotoSlab-Regular, Arial, Helvetica, sans-serif; text-align: justify;">Thầy thuốc chữa thoát vị đĩa đệm tư vấn: 0913503552 - (028)62951367</p>]]></content:encoded>
						<wfw:commentRss></wfw:commentRss>
						<slash:comments>0</slash:comments>
					</item>
				
					<item>
						<title>Chữa thoát vị đĩa đệm gặp Lương y Nguyễn Văn Minh</title>
						<link>https://chuabenhthoatvidiadem.vn/bai-viet/ket-qua-dieu-tri-thoat-vi-dia-dem/chua-thoat-vi-dia-dem-gap-luong-y-nguyen-van-minh-pid-280.html</link>
						<comments></comments>
						<pubDate>Fri, 09 Oct 2020 09:17:09 +0700</pubDate>
						<dc:creator>admin</dc:creator>
						<category><![CDATA[Kết quả điều trị thoát vị đĩa đệm]]></category>
						<guid isPermaLink="false"></guid>
						<description><![CDATA[Chữa thoát vị đĩa đệm gặp Lương y Nguyễn Văn Minh, đây là nội dung tìm kiếm trên Google. Người bệnh thường tìm hiểu về thầy thuốc, trước khi quyết định nên chữa thoát vị đĩa đệm ở đâu tốt.]]></description>
						<content:encoded><![CDATA[<p style="text-align: justify;"><span style="font-size:16px;">Khi biết mình&nbsp;bị thoát vị đĩa đệm, người bệnh&nbsp;thường lên mạng tìm kiếm thông tin về cách chữa&nbsp;thoát vị đĩa đệm. Họ xem bệnh như của mình có nặng không, có chữa được không, chữa có khỏi hẳn không? Cách chữa thoát vị đĩa đệm như thế nào? Chữa bằng phương pháp gì tốt nhất, chi phí&nbsp;có đắt không? Khám bệnh thoát vị đĩa đệm ở đâu tốt?&nbsp;Thầy thuốc điều trị thoát vị đĩa đệm có hiệu quả không.v.v để tham khảo, trước khi quyết định nên chữa thoát vị đĩa đệm ở đâu.&nbsp;</span></p><p><img loading="lazy" alt="Thoát vị đĩa đệm" src="data:image/gif;base64,R0lGODlhAQABAID/AP///wAAACwAAAAAAQABAAACAkQBADs=" data-src="https://chuabenhthoatvidiadem.vn/resources/images/Thoat vi dia dem (2)(1).jpg" style="opacity: 0.9; text-align: justify; width: 635px; height: 847px;" class="lazy" width="635" height="847" data-optimized="1" /></p><p><span style="font-size:14px;"><em style="font-size: 14px;">Hình ảnh thoát vị đĩa đệm L4/L5 và L5/S1 trên phim chụp cộng hưởng từ MRI.&nbsp;</em></span></p><p style="text-align: justify;"><img loading="lazy" alt="Thầy thuốc trị thoát vị đĩa đệm " src="data:image/gif;base64,R0lGODlhAQABAID/AP///wAAACwAAAAAAQABAAACAkQBADs=" data-src="https://chuabenhthoatvidiadem.vn/resources/images/Thầy thuốc trị thoát vị đĩa đệm (3).jpg" style="width: 1536px; height: 1152px;" class="lazy" width="1536" height="1152" data-optimized="1" /><span style="font-size: 16px;">Lương y Nguyễn Văn Minh đang bốc thuốc điều trị thoát vị đĩa đệm. Đây là thuốc chữa thoát vị đĩa đệm tốt nhất hiện nay,&nbsp;do thuốc được kê đơn cho từng người bệnh theo mức độ thoát vị đĩa đệm; nặng hay nhẹ, bị bệnh trong bao lâu, độ tuổi và cơ địa người bệnh, mức độ chèn ép rễ thần kinh thế nào, đau nhức nhiều ở đâu, có tê bì tay chân hay không...Nên tác dụng chữa bệnh của&nbsp;thuốc này rất tốt, đã điều trị cho rất nhiều người khỏi bệnh.</span></p><p style="text-align: justify;"><span style="font-size: 16px;">Nếu quý vị nào có người nhà bị thoát vị đĩa đệm, đã điều trị nhiều nơi mà chưa hết bệnh, hãy nghe và xem&nbsp;những chia sẻ có thật từ người bệnh ở trang web này.&nbsp;</span></p><p style="text-align: justify;"><span style="font-size:16px;">Phòng khám đông y Bảo Minh do Lương y&nbsp;Nguyễn Văn Minh làm chủ Phòng khám&nbsp;và trực tiếp khám bệnh, bắt mạch, kê đơn, bốc&nbsp;thuốc.&nbsp;Phòng khám có&nbsp;địa chỉ duy nhất ở: Số nhà 856/6 đường Quang Trung, Phường 8, quận Gò Vấp, Tp. Hồ Chí Minh.</span></p><p style="text-align: justify;"><span style="font-size:16px;">Khi chia sẻ&nbsp;thông tin hình ảnh, bệnh án và kết quả chữa khỏi bệnh&nbsp;ở đây, Lương y Nguyễn Văn Minh có xin phép và được sự đồng ý của quý bệnh nhân đã khỏi bệnh. Xin trân trọng cảm ơn quý bệnh nhân đã tin tưởng vào uy tín của thầy thuốc, đồng ý cho chia sẻ sự thật ở đây, với mong muốn giúp được nhiều&nbsp;người khác may mắn&nbsp;gặp thầy gặp thuốc.</span></p><p><em><span style="font-size:18px;"><img loading="lazy" alt="Thoat vi dia dem " src="data:image/gif;base64,R0lGODlhAQABAID/AP///wAAACwAAAAAAQABAAACAkQBADs=" data-src="https://chuabenhthoatvidiadem.vn/resources/images/Thoavidiadem.jpg" style="width: 680px; height: 768px;" class="lazy" width="680" height="768" data-optimized="1" /></span></em></p><p><span style="font-size:14px;"><em>Gửi kết luận&nbsp;chụp MRI của bác sĩ CĐHA, nhờ Lương y tư vấn xem có chữa được không</em></span></p><p style="text-align: justify;"><span style="font-size: 16px; text-align: justify;">Tôi; Lương y Nguyễn Văn Minh&nbsp;xin trân trọng cảm ơn quý bệnh nhân đồng ý chia sẻ ở đây, dưới đây là những câu chuyện rất chân thực về bệnh&nbsp;thoát vị đĩa đệm.</span></p><p style="text-align: justify;"><span style="font-size:16px;"><span style="text-align: justify;">Mời bạn đọc nhấp vào ô dưới để nghe bác bệnh nhân 67 tuổi, nhà&nbsp;ở tỉnh Bình Phước, kể câu chuyện chân&nbsp;thật về cách chữa&nbsp;bệnh thoát vị đĩa đệm của&nbsp;</span><a data-ved="2ahUKEwix0bnL2Kv_AhV_mFYBHZvDDegQtwJ6BAgNEAE" href="https://www.youtube.com/channel/UCMrl47bRL4MgAguyRi48mEw" jsaction="rcuQ6b:npT2md" jscontroller="M9mgyc" jsname="qOiK6e" ping="/url?sa=t&amp;source=web&amp;rct=j&amp;url=https://www.youtube.com/channel/UCMrl47bRL4MgAguyRi48mEw&amp;ved=2ahUKEwix0bnL2Kv_AhV_mFYBHZvDDegQtwJ6BAgNEAE" style="color: rgb(26, 13, 171); font-size: small; text-align: justify; text-decoration-line: none; -webkit-tap-highlight-color: rgba(0, 0, 0, 0.1); outline: 0px; font-family: arial, sans-serif;" title="">Lương y Nguyễn Văn Minh</a></span></p><p><a href="https://chuabenhthoatvidiadem.vn/resources/files/Bác Nguyễn Thị Mỹ Lệ%2C Bình Phước.mp3" style="font-size: 16px; text-align: justify;" title="">Tôi uống 12 thang thuốc của thầy đã bớt đau nhiều</a></p><p style="text-align: justify;"><span style="font-size:16px;">Nghe hết câu chuyện bạn đọc biết bác là Nguyễn Thị Mỹ Lệ, lần đầu bác đến khám bệnh và mua 15 thang thuốc và 2 chai thuốc xoa bóp cột sống, mới uống hết 12 thang bác thấy thuốc tốt quá, bèn gọi điện nhờ gửi thêm 15 thang thuốc và 2 chai thuốc xoa bóp&nbsp;nữa. Hơn một năm sau, Lương y Nguyễn Văn Minh gọi lại hỏi thăm,&nbsp;bác cho biết như sau;</span></p><p><span style="font-size:16px;"><a href="https://chuabenhthoatvidiadem.vn/resources/files/Bác Mỹ Lệ khỏi bệnh hơn 1 năm.mp3" title="">Lương y Minh gọi điện hỏi thăm, bác Nguyễn thị Mỹ Lệ đồng ý chia sẻ, giới thiệu với mọi người</a></span></p><p style="text-align: justify;"><span style="font-size:16px;">Tôi xin chân trọng cảm ơn quý bệnh nhân cho&nbsp;chia sẻ ở đây, tôi chỉ đăng thông tin khi được sự đồng ý của quý khách, dưới đây là câu chuyện rất chân thực về cách chữa thoát vị đĩa đệm bằng thuốc đông y của tôi.</span></p><p style="text-align: justify;"><span class="optimize-cls-iframe" data-src="https://www.youtube.com/embed/CzFKp2rBi6Q">https://www.youtube.com/embed/CzFKp2rBi6Q</span></p><p style="text-align: justify;"><span style="font-size:14px;"><em>Phòng khám đông y Bảo Minh, do thầy thuốc đông y Nguyễn Văn Minh đứng tên chủ cơ sở,&nbsp;trực tiếp khám chữa bệnh, luôn tuân thủ: chỉ chia sẻ sự thật.</em></span></p><p><span style="font-size:16px;">Có 10 sự thật về thầy thuốc chữa thoát vị đĩa đệm, nhấp vào đây xem;<a data-ved="2ahUKEwihk4u_2av_AhUPmVYBHcEmD6o4RhAWegQICBAB" href="https://chuabenhthoatvidiadem.vn/cach-chua-benh/thay-thuoc-chua-thoat-vi-dia-dem-o-go-vap-thay-thuoc-10-that-pid-313.html" jsaction="rcuQ6b:npT2md" jscontroller="M9mgyc" jsname="qOiK6e" ping="/url?sa=t&amp;source=web&amp;rct=j&amp;url=https://chuabenhthoatvidiadem.vn/cach-chua-benh/thay-thuoc-chua-thoat-vi-dia-dem-o-go-vap-thay-thuoc-10-that-pid-313.html&amp;ved=2ahUKEwihk4u_2av_AhUPmVYBHcEmD6o4RhAWegQICBAB" style="color: rgb(26, 13, 171); text-decoration-line: none; -webkit-tap-highlight-color: rgba(0, 0, 0, 0.1); outline: 0px; font-family: arial, sans-serif; font-size: small;" title="">&nbsp;Thầy thuốc 10 thật.</a></span></p><p><span style="font-size: 16px;"><a href="https://chuabenhthoatvidiadem.vn/resources/files/FILE_L0937156113_Lê thị thới.mp3" title="">Bệnh&nbsp;thoát vị đĩa đệm</a></span></p><p style="text-align: justify;"><span style="font-size:16px;">Lương y Nguyễn Văn Minh đã&nbsp;chữa thoát vị đĩa cho nhiều người khỏi bệnh, chúng tôi chỉ đăng tin khi quý khách đồng ý cho ghi lại và phản hồi ở đây. Sau này; nếu quý khách nào không muốn chia sẻ nữa, chúng tôi sẽ gỡ bài đăng xuống. Xin trân trọng cảm ơn quý khách.</span></p><p style="text-align: justify;"><span style="font-size: 16px;">Quý bạn đọc muốn tư vấn chữa thoát vị đĩa đệm bằng thuốc đông y, chỉ cần chụp lại phiếu MRI, gửi qua Zalo: 091 350 3552. Lương y Nguyễn Văn Minh sẽ tư vấn xem có chữa được không.</span></p><p><img loading="lazy" alt="Thoát vị đĩa đêm" src="data:image/gif;base64,R0lGODlhAQABAID/AP///wAAACwAAAAAAQABAAACAkQBADs=" data-src="https://chuabenhthoatvidiadem.vn/resources/images/Thoat vi dia dem.jpg" style="width: 846px; height: 831px;" class="lazy" width="846" height="831" data-optimized="1" /></p><p style="text-align: justify;"><span style="font-size:14px;"><em>Chữa thoát vị đĩa đệm gặp Lương y Nguyễn Văn Minh , hoặc gửi kết luận chụp cộng hưởng từ MRI, nhờ Lương y tư vấn xem có chữa được không.&nbsp;</em></span></p><p style="text-align: justify;"><span style="font-size: 18px; text-align: justify;">Những thông tin chân thực ở dưới đây, về phòng khám và Lương y Nguyễn Văn Minh, mong&nbsp;giúp được chút gì cho bạn đọc tham khảo.</span></p><p style="text-align: justify;"><span style="font-size: 16px;">Cách nay hơn 2 năm, tháng 9/2018, chị Lê Thị Thu Thủy bị đau nhức do thoát vị đĩa đệm, đi chữa trị nhiều nơi không đỡ, chị Thủy&nbsp;tới gặp Lương y Nguyễn Văn Minh để chữa bệnh. Sau khi khỏi bệnh được&nbsp;vài tháng, chị Thủy có gọi điện thông báo với lương y là bệnh đã bớt nhiều:&nbsp;</span><a href="https://chuabenhthoatvidiadem.vn/cach-chua-benh/thoat-vi-dia-dem-va-cach-dieu-tri-pid-233.html" rel="noopener" style="font-size: small; color: rgb(102, 0, 153); text-decoration-line: none; -webkit-tap-highlight-color: rgba(0, 0, 0, 0.1); cursor: pointer; font-family: arial, sans-serif;" target="_blank" title="">Nhấp vào đây&nbsp;nghe</a>.&nbsp;<span style="font-size: 16px;">Đến hôm nay; ngày 09/10/2020&nbsp;sau hơn hai năm, Lương y Minh gọi điện gặp&nbsp;chị Thủy&nbsp;hỏi thăm xem bệnh của chị bữa nay ra sao,&nbsp;chị Thủy cho biết như sau:</span></p><p><span style="font-size:16px;"><a href="https://chuabenhthoatvidiadem.vn/resources/files/FILE_20201009_103150_ Lê Thị Thu Thủy%2C đã cor_201009_102428.mp3" title="">Thoát vị đĩa đệm thắt lưng</a></span></p><p style="text-align: justify;"><span style="font-size:16px;">Bạn đọc bấm vào ô bên trên, nghe chị&nbsp;Thủy kể về thời gian, quá trình điều&nbsp;trị thoát vị đĩa đệm của mình ở phòng khám đông y Bảo Minh.&nbsp;</span></p><p style="text-align: justify;"><span style="font-size:16px;">Nếu người nhà hoặc quý vị nào bị thoát vị đĩa đệm nhẹ, không cần phải nghe hết cuộc trò chuyện, còn không;&nbsp;hãy nghe hết cuộc điện thoại trên giữa Lương y Nguyễn Văn Minh và chị Lê Thị Thu Thủy. Hy vọng sẽ gặp thầy gặp thuốc, và điều kỳ diệu sẽ đến với bạn đọc&nbsp;hoặc người nhà của bạn.</span></p><p style="text-align: justify;"><span style="font-size: 16px; text-align: justify;">Xin đăng lại&nbsp;kết luận chụp MRI cột sống thắt lưng, của chị Lê Thị Thu Thủy ở địa chỉ: 150 Trần Nhật Duật, phường Đạt Hiếu, thị xã Buôn Hồ, tỉnh Đắk Lắk.&nbsp;</span></p><p><span style="font-size:14px;"><em><img loading="lazy" alt="Chua thoat vi dia dem gap Luong y Nguyen Van Minh" src="data:image/gif;base64,R0lGODlhAQABAID/AP///wAAACwAAAAAAQABAAACAkQBADs=" data-src="https://chuabenhthoatvidiadem.vn/resources/images/chuabenhthoatvidiadem_vn(3).jpg" style="width: 900px; height: 1200px;" class="lazy" width="900" height="1200" data-optimized="1" /></em></span></p><p style="text-align: justify;"><span style="font-size:16px;">Lương y Nguyễn Văn Minh đã xin phép và được chị Thủy đồng ý cho chia sẻ cuộc nói chuyện, cung cấp số điện thoại để bạn đọc nào ở gần thì tìm gặp chị Thủy hỏi thêm</span><span style="font-size: 16px; text-align: justify;">&nbsp;kinh nghiệm chữa thoát vị đĩa đệm</span><span style="font-size:16px;">:&nbsp;</span><span style="text-align: justify; font-size: 16px;">0976930315</span><span style="font-size:16px;">.</span></p><p style="text-align: justify;"><span style="font-size:16px;">Nhà thuốc đông y Bảo Minh xin được cảm ơn chị Lê Thị Thu Thủy rất nhiều. Chúng tôi chỉ chia sẻ thông tin khi được sự đồng ý của quý bệnh nhân, còn rất nhiều trường hợp cần bảo mật thông tin, chúng tôi không bao giờ chia sẻ.</span></p><p style="text-align: justify;"><span style="font-size:18px;"><a href="https://www.youtube.com/channel/UCMrl47bRL4MgAguyRi48mEw" rel="noopener" style="color: rgb(102, 0, 153); text-decoration-line: none; -webkit-tap-highlight-color: rgba(0, 0, 0, 0.1); cursor: pointer; font-family: arial, sans-serif; font-size: small;" target="_blank" title="">Lương y Nguyễn Văn Minh&nbsp;</a>có tải lên&nbsp;<a href="https://www.youtube.com/channel/UCMrl47bRL4MgAguyRi48mEw" rel="noopener" style="color: rgb(102, 0, 153); -webkit-tap-highlight-color: rgba(0, 0, 0, 0.1); cursor: pointer; font-family: arial, sans-serif; font-size: small;" target="_blank" title="">YouTube</a>&nbsp; những Video Clip tự quay ở phòng khám của mình, tuy chất lượng video không sắc nét, nhưng đây lại là những chia sẻ chân thật về&nbsp; thầy thuốc và người bệnh.</span></p><p style="text-align: justify;"><span style="font-size:16px;"><span class="optimize-cls-iframe" data-src="https://www.youtube.com/embed/x7aavTS0FT8">https://www.youtube.com/embed/x7aavTS0FT8</span></span></p><p style="text-align: justify;"><span style="font-size:16px;"><span style="color: rgb(0, 0, 0); font-family: RobotoSlab-Regular, Arial, Helvetica, sans-serif; text-align: justify;">Phòng khám và nhà thuốc đông y Bảo Minh: Địa chỉ&nbsp;chữa thoát vị đĩa đệm uy tín ở thành phố HCM: 856/6 đường Quang Trung, phường 8, quận Gò Vấp. </span></span></p><p style="text-align: justify;"><span style="font-size:16px;"><span style="color: rgb(0, 0, 0); font-family: RobotoSlab-Regular, Arial, Helvetica, sans-serif; text-align: justify;">DĐ/Zalo của Lương y Nguyễn Văn Minh: 091 350 3552 - ĐT bàn: 028.6295.1367.</span></span></p><p><span style="font-size:16px;"><span style="color: rgb(0, 0, 0); font-family: RobotoSlab-Regular, Arial, Helvetica, sans-serif; text-align: justify;">Trang web c</span></span><span style="text-align: justify; color: rgb(0, 0, 0); font-family: RobotoSlab-Regular, Arial, Helvetica, sans-serif; font-size: 16px;">huyên&nbsp;trị&nbsp;</span><a href="https://chuabenhthoatvidiadem.vn/" style="color: rgb(51, 122, 183); text-align: justify; background-image: initial; background-position: initial; background-size: initial; background-repeat: initial; background-attachment: initial; background-origin: initial; background-clip: initial; font-size: 16px; box-sizing: border-box; margin: 0px; padding: 0px; border: 0px; outline: 0px; vertical-align: baseline; text-decoration-line: none; transition: all 406ms ease-out 0s; max-width: 100%; font-family: RobotoSlab-Regular, Arial, Helvetica, sans-serif;" title="">Thoát vị đĩa đệm</a><span style="text-align: justify;">&nbsp;</span><span style="text-align: justify; color: rgb(0, 0, 0); font-family: RobotoSlab-Regular, Arial, Helvetica, sans-serif; font-size: 16px;">ở TP.HCM:</span></p><p><span style="font-size:16px;"><span style="color: rgb(0, 0, 0); font-family: RobotoSlab-Regular, Arial, Helvetica, sans-serif; text-align: justify;">thoatvidiadem.top và chuabenhthoatvidiadem.vn&nbsp;</span></span></p>]]></content:encoded>
						<wfw:commentRss></wfw:commentRss>
						<slash:comments>0</slash:comments>
					</item>
				
					<item>
						<title>Cách chữa thoát vị đĩa đệm tại nhà</title>
						<link>https://chuabenhthoatvidiadem.vn/bai-viet/luong-y-nguyen-van-minh-chua-thoat-vi-dia-dem/cach-chua-thoat-vi-dia-dem-tai-nha-pid-274.html</link>
						<comments></comments>
						<pubDate>Tue, 07 Jan 2020 06:06:43 +0700</pubDate>
						<dc:creator>admin</dc:creator>
						<category><![CDATA[Lương y Nguyễn Văn Minh chữa thoát vị đĩa đệm]]></category>
						<guid isPermaLink="false"></guid>
						<description><![CDATA[Cách chữa thoát vị đĩa đệm tại nhà là gì, làm cách nào để chữa bệnh ngay tại nhà, chữa bằng phương pháp gì, chữa như vậy có khỏi bệnh được không.v.v Hãy bấm vào xem người bệnh kể chuyện chữa thoát vị đĩa đệm ngay tại nhà bằng thuốc đông y Bảo Minh.]]></description>
						<content:encoded><![CDATA[<p style="text-align: justify;"><span style="font-size:16px;">Cách chữa thoát vị đĩa đệm ngay tại nhà là gì? Có khỏi bệnh được&nbsp;không? Cách chữa như thế nào? Làm sao để mua được thuốc chữa bệnh ngay tại nhà mà không phải đến tận nơi.</span></p><p><span style="font-size:16px;"><img loading="lazy" alt="Cách chữa thoát vị đĩa đệm tại nhà" src="data:image/gif;base64,R0lGODlhAQABAID/AP///wAAACwAAAAAAQABAAACAkQBADs=" data-src="https://chuabenhthoatvidiadem.vn/resources/images/Cách chữa thoát vị đĩa đệm tại nhà(1).jpg" style="opacity: 0.9; width: 977px; height: 1065px;" class="lazy" width="977" height="1065" data-optimized="1" /></span></p><p style="text-align: justify;"><span style="font-size:16px;">Đây là cách chữa không nằm viện, không uống thuốc tây giảm đau, không phẫu thuật đĩa đệm. Người bệnh chỉ việc gửi kết quả&nbsp;chụp MRI&nbsp;cho thầy thuốc, căn cứ vào đây;&nbsp;Lương y Nguyễn Văn Minh&nbsp;sẽ hỏi thêm,&nbsp;rồi trả lời xem&nbsp;mức độ thoát vị đĩa đệm như vậy chữa&nbsp;tại nhà có khỏi được&nbsp;không.</span></p><p><img loading="lazy" alt="Cách chữa thoát vị đĩa đệm tại nhà" src="data:image/gif;base64,R0lGODlhAQABAID/AP///wAAACwAAAAAAQABAAACAkQBADs=" data-src="https://chuabenhthoatvidiadem.vn/resources/images/chữa thoát vị đĩa đệm tại nhà.jpg" style="width: 681px; height: 896px;" class="lazy" width="681" height="896" data-optimized="1" /></p><p><span style="font-size:14px;"><em>Cách chữa thoát vị đĩa đệm tại nhà, Người bệnh&nbsp;cần phải có kết quả chụp cộng hưởng từ MRI cột sống.</em></span></p><p><span style="font-size:14px;"><a href="https://chuabenhthoatvidiadem.vn/resources/files/Chi tuyet tvdd hau giang mới (1).mp3" title="">Cách chữa thoát vị đĩa đệm tại nhà</a></span></p><p><span style="font-size:14px;"><em>Mời bạn đọc bấm vào ô trên để nghe nội dung, nghe hết quý khách sẽ hiểu rõ nhất về cách chữa thoát vị đĩa đệm tại nhà là như thế nào? Làm cách nào để chữa bệnh tại nhà một cách tốt nhất, hiệu quả nhất.</em></span></p><p><span style="font-size:14px;"><em><img loading="lazy" alt="Cách chữa thoát vị đĩa đệm tại nhà" src="data:image/gif;base64,R0lGODlhAQABAID/AP///wAAACwAAAAAAQABAAACAkQBADs=" data-src="https://chuabenhthoatvidiadem.vn/resources/images/Chữa thoát vị đĩa đệm tại nhà.jpg" style="width: 1038px; height: 1098px;" class="lazy" width="1038" height="1098" data-optimized="1" /></em></span></p><p><span style="font-size:14px;"><a href="https://chuabenhthoatvidiadem.vn/resources/files/Lê Thị Huệ tv 6_23.mp3" title="">Cách chữa thoát vị đĩa đệm tại nhà cho chị Huệ ở Phan Rang</a></span></p><p style="text-align: justify;"><span style="font-size:16px;">Tôi; Lương y Nguyễn Văn Minh xin trân trọng cảm ơn quý bệnh nhân cho chia sẻ ở đây, tôi chỉ đăng thông tin, địa chỉ hoặc số điện thoại, bệnh án thoát vị đĩa đệm...khi được sự đồng ý của quý khách. Đây là những câu chuyện rất thật,&nbsp;chân thực về cách chữa thoát vị đĩa đệm ở&nbsp;phòng khám do tôi phụ trách.</span></p><p style="text-align: justify;"><span class="optimize-cls-iframe" data-src="https://www.youtube.com/embed/ahJrSsmI994">https://www.youtube.com/embed/ahJrSsmI994</span></p><p style="text-align: justify;"><span style="font-size:16px;">Người nào&nbsp;ở Gia Lai, muốn chữa thoát vị đĩa đệm tại nhà, nên bấm vào VIDEO xem và&nbsp;nghe. Đây là trường hợp của chị Nguyễn Thị Kim Cúc, năm 2016 chị Cúc&nbsp;bị thoát vị đĩa đệm, đau nặng tới mức phải nằm để ăn cơm, sau khi uống 20 thang thuốc và bóp thuốc đắp, chị Cúc hết đau nhức, đi lại làm việc nhà bình thường. Ai có&nbsp;nhà ở gần xã An Trung, huyện&nbsp;Kông Chro, tỉnh Gia Lai, hãy tìm gặp chị Cúc để hỏi thêm về cách chữa thoát vị đĩa đệm tại nhà của chị.</span></p><p><img loading="lazy" alt="Cách chữa thoát vị đĩa đệm tại nhà" src="data:image/gif;base64,R0lGODlhAQABAID/AP///wAAACwAAAAAAQABAAACAkQBADs=" data-src="https://chuabenhthoatvidiadem.vn/resources/images/cach-chua-thoat-vi-dia-dem-tai-nha.jpg" style="width: 750px; height: 524px;" class="lazy" width="1227" height="990" data-optimized="1" /></p><h3 style="text-align: justify;">Lưu ý:</h3><h3 style="text-align: justify;"><span style="font-size:18px;"><strong><em>Cách chữa thoát vị đĩa đệm tại nhà là cách chữa chỉ áp dụng cho những bệnh nhân ở xa, không có điều kiện đến trực tiếp phòng khám. Đây là cách chữa&nbsp;người bệnh phải có kết luận chụp MRI cột sống của bác sĩ.</em></strong></span></h3><p style="text-align: justify;"><span style="font-size: 16px; text-align: justify;">Khi đó, bạn gửi kết quả chụp cộng hưởng từ MRI qua Zalo của thầy thuốc: 0913 503 552. Bạn yêu cầu được tư vấn xem bệnh của bạn như vậy, có thể chữa tại nhà mà không cần phải đi đến phòng khám được không?&nbsp;</span></p><p style="text-align: justify;"><span style="font-size:16px;">Mời bạn đọc bấm vào mũi tên dưới đây để nghe lời kể rất thật của chị Hoa, một người bệnh bị thoát vị đĩa đệm. Do chị Hoa ở xa, không trực tiếp đến&nbsp;phòng khám được, chị đã gửi kết quả chụp MRI cột sống cho Lương y Nguyễn Văn Minh xem, rồi gọi điện kể thêm thông tin bệnh án, căn cứ vào đây, Lương y Nguyễn Văn Minh đã gửi thuốc cho chị Hoa qua đường bưu điện.&nbsp;</span></p><p><a href="https://chuabenhthoatvidiadem.vn/resources/files/chua-thoat-vi-dia-dem.mp3" title=""><span style="font-size:16px;">Cách chữa thoát vị đĩa đệm tại nhà</span></a></p><p><em><span style="font-size:14px;">(Chị Hoa thông báo khỏi bệnh hơn 2 năm không bị đau lại)</span></em></p><p style="text-align: justify;"><span style="font-size:16px;"><span style="text-align: justify;">Gửi kết quả chụp MRI cột sống cho Lương y Nguyễn Văn Minh, bạn đọc sẽ nhận được tư vấn cách chữa thoát vị đĩa đệm tốt nhất.</span></span></p><p style="text-align: justify;"><strong><span style="font-size:18px;"><span style="text-align: justify;"><img loading="lazy" alt="Chữa thoát vị đĩa đệm tại nhà" src="data:image/gif;base64,R0lGODlhAQABAID/AP///wAAACwAAAAAAQABAAACAkQBADs=" data-src="https://chuabenhthoatvidiadem.vn/resources/images/thuoc thoat vi dia dem(1).jpg" style="width: 623px; height: 468px;" class="lazy" width="623" height="468" data-optimized="1" /></span></span></strong></p><p style="text-align: justify;"><em><span style="font-size:14px;"><span style="text-align: justify;">Gửi kết quả chụp MRI cột sống, gọi điện miễn phí qua Zalo gặp&nbsp;Lương y Nguyễn Văn Minh xem có chữa được không</span></span></em></p><p style="text-align: justify;"><em><span style="font-size:14px;"><span style="text-align: justify;"><img loading="lazy" alt="Cách trị thoát vị đĩa đệm " src="data:image/gif;base64,R0lGODlhAQABAID/AP///wAAACwAAAAAAQABAAACAkQBADs=" data-src="https://chuabenhthoatvidiadem.vn/resources/images/Cách trị thoát vị đĩa đệm tại nhà.jpg" style="width: 623px; height: 768px;" class="lazy" width="623" height="768" data-optimized="1" /></span></span></em></p><p><em><span style="font-size:14px;"><span style="text-align: justify;">Gửi kết quả chụp MRI qua Zalo của thầy thuốc, nhờ tư vấn cách trị bệnh: 0913503552</span></span></em></p><p style="text-align: justify;"><strong><span style="font-size:18px;"><span style="text-align: justify;"><img loading="lazy" alt="Chữa thoát vị đĩa đệm tại nhà" src="data:image/gif;base64,R0lGODlhAQABAID/AP///wAAACwAAAAAAQABAAACAkQBADs=" data-src="https://chuabenhthoatvidiadem.vn/resources/images/chua thoat vi dia dem tai nha.jpg" style="width: 663px; height: 621px;" class="lazy" width="663" height="621" data-optimized="1" /></span></span></strong></p><p style="text-align: justify;"><em><span style="font-size:14px;"><span style="text-align: justify;">Người bệnh bị thoát vị đĩa đệm đa tầng cột sống cổ, do ở tỉnh Bạc Liêu, cách xa phòng khám nên đã gửi kết quả chụp MRI nhờ tư vấn xem có chữa được không? Có gửi thuốc để trị bệnh ngay tại nhà có thể bớt đau nhức không?</span></span></em></p><p style="text-align: justify;"><img loading="lazy" alt="Cách chữa thoát vị đĩa đệm tại nhà" src="data:image/gif;base64,R0lGODlhAQABAID/AP///wAAACwAAAAAAQABAAACAkQBADs=" data-src="https://chuabenhthoatvidiadem.vn/resources/images/cach-chua-thoat-vi-dia-dem-tai-nha (2).jpg" style="width: 750px; height: 711px;" class="lazy" width="1266" height="1200" data-optimized="1" /></p><p style="text-align: justify;"><span style="font-size:16px;">Cách chữa thoát vị đĩa đệm tại nhà chỉ nên áp dụng cho những người bệnh ở xa, không có điều&nbsp;kiện tới khám bệnh tại phòng khám.</span></p><p><a href="https://chuabenhthoatvidiadem.vn/resources/files/Đã cover Nguyễn Thị Thảo 74 Tv_.mp3" title="">Chữa thoát vị đĩa đệm</a></p><p style="text-align: justify;"><span style="font-size:16px;"><img loading="lazy" alt="Cách chữa thoát vị đĩa đệm tại nhà" src="data:image/gif;base64,R0lGODlhAQABAID/AP///wAAACwAAAAAAQABAAACAkQBADs=" data-src="https://chuabenhthoatvidiadem.vn/resources/images/Chuabenhthoatvidiadem_vn.jpg" style="width: 710px; height: 758px;" class="lazy" width="710" height="758" data-optimized="1" /></span></p><p style="text-align: justify;"><span style="font-size:16px;">Chỉ chữa thoát vị đĩa đệm tại nhà khi quý khách&nbsp;biết chắc chắn về thầy thuốc sẽ chữa bệnh cho mình, nên tìm hiểu xem&nbsp;Lương y hoặc bác sĩ chữa thoát vị đĩa đệm có giấy phép hành nghề không? Có chuyên khoa thoát vị đĩa đệm hay bệnh gì cũng chữa?&nbsp;Địa chỉ phòng khám có được sở y tế cấp giấy phép đủ điều kiện hành nghề hay chưa? Phòng khám có uy tín không?</span></p><p style="text-align: justify;"><span style="font-size:16px;"><img loading="lazy" alt="Thầy thuốc chữa thoát vị đĩa đệm" src="data:image/gif;base64,R0lGODlhAQABAID/AP///wAAACwAAAAAAQABAAACAkQBADs=" data-src="https://chuabenhthoatvidiadem.vn/resources/images/Thầy thuốc Nguyễn Văn Minh.jpg" style="width: 445px; height: 642px;" class="lazy" width="445" height="642" data-optimized="1" /></span></p><p style="text-align: justify;"><em><span style="font-size:14px;">Giấy phép khám chữa bệnh&nbsp;của thầy thuốc đông y Nguyễn Văn Minh, do Sở y tế Tp.HCM cấp.</span></em></p><p style="text-align: justify;"><img loading="lazy" alt="Giấy phép khám chữa bệnh" src="data:image/gif;base64,R0lGODlhAQABAID/AP///wAAACwAAAAAAQABAAACAkQBADs=" data-src="https://chuabenhthoatvidiadem.vn/resources/images/chua-thoat-vi-dia-den-tai-nha.jpg" style="width: 640px; height: 438px;" class="lazy" width="640" height="438" data-optimized="1" /></p><p style="text-align: justify;"><em><span style="font-size:14px;">Khám chữa bệnh là ngành nghề đặc biệt liên quan đến sức khỏe của nhân dân, thầy thuốc khám chữa bệnh ở thành phố&nbsp;cần phải có đủ giấy phép hành nghề&nbsp;và giấy phép hoạt động, do Sở Y Tế Thành Phố Hồ&nbsp;Chí Minh&nbsp;cấp.</span></em></p><p style="text-align: justify;"><img loading="lazy" alt="" src="data:image/gif;base64,R0lGODlhAQABAID/AP///wAAACwAAAAAAQABAAACAkQBADs=" data-src="https://chuabenhthoatvidiadem.vn/resources/images/Giấy khen(1).jpg" style="width: 696px; height: 540px;" class="lazy" width="696" height="540" data-optimized="1" /></p><p><em><span style="font-size:14px;">Hội đông y TP.HCM khen tặng Lương y Nguyễn Văn Minh</span></em></p><p style="text-align: justify;"><span style="font-size:16px;"><img loading="lazy" alt="Thầy thuốc tư vấn cách chữa bệnh thoát vị đĩa đẹm tại nhà" src="data:image/gif;base64,R0lGODlhAQABAID/AP///wAAACwAAAAAAQABAAACAkQBADs=" data-src="https://chuabenhthoatvidiadem.vn/resources/images/bv-ngoai-than-kinh-quoc-te.jpg" style="width: 650px; height: 593px;" class="lazy" width="792" height="723" data-optimized="1" /></span></p><p><span style="font-size:16px;">Chụp MRI cột sống để thầy thuốc tư vấn cách chữa thoát vị đĩa đệm tại nhà.</span></p><p style="text-align: justify;"><img loading="lazy" alt="Thoát vị đĩa đệm lưng" src="data:image/gif;base64,R0lGODlhAQABAID/AP///wAAACwAAAAAAQABAAACAkQBADs=" data-src="https://chuabenhthoatvidiadem.vn/resources/images/Thoat-vi-dia-dem-lung (3).jpg" style="width: 750px; height: 641px;" class="lazy" width="1024" height="875" data-optimized="1" /></p><p style="text-align: justify;">Mời bạn đọc bấm vào video dưới đây, xem Lương y Nguyễn Văn Minh giới thiệu cách chữa thoát vị đĩa đệm.</p><p style="text-align: justify;"><span class="optimize-cls-iframe" data-src="https://www.youtube.com/embed/EmPEC4ONVr8">https://www.youtube.com/embed/EmPEC4ONVr8</span></p><p style="text-align: justify;"><span style="font-size:16px;">Phòng khám đông y Bảo Minh&nbsp;trị thoát vị đĩa đệm, địa chỉ duy nhất&nbsp;ở thành phố HCM: 856/6 Quang Trung, P. 8, Quận Gò Vấp.</span></p><p style="text-align: justify;"><span style="font-size:16px;">Có thể bạn quan tâm:&nbsp;</span></p><div font-size:="" helvetica="" style="color: rgb(60, 64, 67); font-family: Roboto, "><a class="xFAlBc" href="https://chuabenhthoatvidiadem.vn/" ping="/url?sa=t&amp;source=web&amp;rct=j&amp;url=https://chuabenhthoatvidiadem.vn/&amp;ved=2ahUKEwjP8JOLqOaEAxXygFYBHWtSAPAQ6156BAgZEAE&amp;opi=89978449" style="color: rgb(26, 13, 171); text-decoration-line: none; -webkit-tap-highlight-color: rgba(0, 0, 0, 0.1); overflow-wrap: break-word; word-break: break-word; outline: 0px;" title="">Thuốc chữa thoát vị đĩa đệm</a></div><p class="LC20lb DKV0Md" style="font-size: 20px; margin: 0px 0px 3px; padding: 4px 0px 0px; display: inline-block; line-height: 1.3;"><span style="font-size: 16px;"><a data-ctbtn="0" data-cthref="/url?sa=t&amp;rct=j&amp;q=&amp;esrc=s&amp;source=web&amp;cd=&amp;ved=2ahUKEwjr5Obq-fHpAhUyw4sBHSOPBAE4FBAWMAR6BAgGEAE&amp;url=https%3A%2F%2Fchuabenhthoatvidiadem.vn%2Fcach-chua-benh%2Fthoat-vi-dia-dem-va-cach-dieu-tri-pid-233.html&amp;usg=AOvVaw3C6SdJpJ-6MgCRc5XONfE_" href="https://www.google.com.vn/url?sa=t&amp;rct=j&amp;q=&amp;esrc=s&amp;source=web&amp;cd=&amp;ved=2ahUKEwjr5Obq-fHpAhUyw4sBHSOPBAE4FBAWMAR6BAgGEAE&amp;url=https%3A%2F%2Fchuabenhthoatvidiadem.vn%2Fcach-chua-benh%2Fthoat-vi-dia-dem-va-cach-dieu-tri-pid-233.html&amp;usg=AOvVaw3C6SdJpJ-6MgCRc5XONfE_" rel="noopener" style="color: rgb(102, 0, 153); cursor: pointer; text-decoration-line: none; font-family: arial, sans-serif; font-size: small;" target="_blank" title="">Thoát vị đĩa đệm và cách điều trị</a>&nbsp; &nbsp; &nbsp; &nbsp; &nbsp; &nbsp; &nbsp; &nbsp; &nbsp; &nbsp; &nbsp; &nbsp; &nbsp; &nbsp; &nbsp; &nbsp; &nbsp; &nbsp; &nbsp; &nbsp; &nbsp; &nbsp; &nbsp; &nbsp; &nbsp; &nbsp; &nbsp; &nbsp; &nbsp; &nbsp; &nbsp; &nbsp; &nbsp; &nbsp; &nbsp; &nbsp; &nbsp;&nbsp;</span></p><p class="LC20lb DKV0Md" style="font-size: 20px; margin: 0px 0px 3px; padding: 4px 0px 0px; display: inline-block; line-height: 1.3;"><span style="font-size: 16px;"><a data-ctbtn="0" data-cthref="/url?sa=t&amp;rct=j&amp;q=&amp;esrc=s&amp;source=web&amp;cd=&amp;ved=2ahUKEwjr5Obq-fHpAhUyw4sBHSOPBAE4FBAWMAl6BAgJEAE&amp;url=https%3A%2F%2Fchuabenhthoatvidiadem.vn%2Fcach-chua-benh%2Fket-qua-dieu-tri-thoat-vi-dia-dem-cid-2-10.html&amp;usg=AOvVaw1CERIJ0fexNjMSyKGYHCvj" href="https://www.google.com.vn/url?sa=t&amp;rct=j&amp;q=&amp;esrc=s&amp;source=web&amp;cd=&amp;ved=2ahUKEwjr5Obq-fHpAhUyw4sBHSOPBAE4FBAWMAl6BAgJEAE&amp;url=https%3A%2F%2Fchuabenhthoatvidiadem.vn%2Fcach-chua-benh%2Fket-qua-dieu-tri-thoat-vi-dia-dem-cid-2-10.html&amp;usg=AOvVaw1CERIJ0fexNjMSyKGYHCvj" rel="noopener" style="color: rgb(102, 0, 153); cursor: pointer; text-decoration-line: none; font-family: arial, sans-serif; font-size: small;" target="_blank" title="">Kết quả điều trị thoát vị đĩa đệm&nbsp;</a>&nbsp; &nbsp; &nbsp; &nbsp; &nbsp; &nbsp; &nbsp; &nbsp; &nbsp; &nbsp; &nbsp; &nbsp; &nbsp; &nbsp; &nbsp; &nbsp; &nbsp; &nbsp; &nbsp; &nbsp; &nbsp; &nbsp; &nbsp; &nbsp; &nbsp; &nbsp; &nbsp;&nbsp; &nbsp; &nbsp; &nbsp; &nbsp;</span></p><p class="LC20lb DKV0Md" style="font-size: 20px; margin: 0px 0px 3px; padding: 4px 0px 0px; display: inline-block; line-height: 1.3;"><span style="font-size: 16px;"><a href="https://chuabenhthoatvidiadem.vn/cach-chua-benh/khoi-thoat-vi-dia-dem-cot-song-that-lung-sau-hon-1-thang-dieu-tri-pid-37.html" rel="noopener" style="color: rgb(102, 0, 153); cursor: pointer; text-decoration-line: none; font-family: arial, sans-serif; font-size: small;" target="_blank" title="">Khỏi hẳn&nbsp;thoát vị đĩa đệm cột sống thắt lưng&nbsp;</a>&nbsp; &nbsp; &nbsp; &nbsp; &nbsp; &nbsp; &nbsp; &nbsp; &nbsp; &nbsp; &nbsp; &nbsp; &nbsp; &nbsp; &nbsp; &nbsp; &nbsp; &nbsp; &nbsp; &nbsp; &nbsp; &nbsp; &nbsp; &nbsp; &nbsp; &nbsp; &nbsp; &nbsp; &nbsp; &nbsp; &nbsp; &nbsp; &nbsp; &nbsp;</span></p><p class="LC20lb DKV0Md" style="font-size: 20px; margin: 0px 0px 3px; padding: 4px 0px 0px; display: inline-block; line-height: 1.3;"><span style="font-size: 16px;"><a href="https://chuabenhthoatvidiadem.vn/cach-chua-benh/vao-google-go-chu-chua-thoat-vi-dia-dem-gap-luong-y-nguyen-van-minh-pid-242.html" rel="noopener" style="color: rgb(102, 0, 153); cursor: pointer; font-family: arial, sans-serif; font-size: small;" target="_blank" title="">Chữa thoát vị đĩa đệm, may gặp thầy gặp thuốc</a>&nbsp; &nbsp; &nbsp; &nbsp; &nbsp; &nbsp; &nbsp; &nbsp; &nbsp; &nbsp; &nbsp; &nbsp; &nbsp; &nbsp; &nbsp; &nbsp;</span></p><p><a data-ctbtn="0" data-cthref="/url?sa=t&amp;rct=j&amp;q=&amp;esrc=s&amp;source=web&amp;cd=&amp;ved=2ahUKEwjS-LSQ-_HpAhUZyYsBHVN-C8M4WhAWMAl6BAgKEAE&amp;url=https%3A%2F%2Fchuabenhthoatvidiadem.vn%2Fcach-chua-benh%2Fnghe-truc-tiep-nhung-nguoi-duoc-luong-y-minh-chua-khoi-thoat-vi-dia-dem-cid-4-10.html&amp;usg=AOvVaw28G39eaerO2mnfULHUMTao" href="https://www.google.com.vn/url?sa=t&amp;rct=j&amp;q=&amp;esrc=s&amp;source=web&amp;cd=&amp;ved=2ahUKEwjS-LSQ-_HpAhUZyYsBHVN-C8M4WhAWMAl6BAgKEAE&amp;url=https%3A%2F%2Fchuabenhthoatvidiadem.vn%2Fcach-chua-benh%2Fnghe-truc-tiep-nhung-nguoi-duoc-luong-y-minh-chua-khoi-thoat-vi-dia-dem-cid-4-10.html&amp;usg=AOvVaw28G39eaerO2mnfULHUMTao" rel="noopener" style="color: rgb(102, 0, 153); cursor: pointer; text-decoration-line: none; font-family: arial, sans-serif; font-size: small;" target="_blank" title="">Nghe trực tiếp những người được lương y Minh chữa khỏi bệnh</a></p><p style="text-align: justify;"><span style="font-size:16px;">Lương y Nguyễn Văn Minh tư vấn qua Zalo: 0913503552 - ĐT bàn: 028.62951367.</span></p><p><span style="font-size:16px;">Trang web chuyên&nbsp;về bệnh thoát vị đĩa đệm: </span></p><p><span style="font-size:16px;">thoatvidiadem.top </span></p><p><span style="font-size:16px;">chuabenhthoatvidiadem.vn</span></p>]]></content:encoded>
						<wfw:commentRss></wfw:commentRss>
						<slash:comments>0</slash:comments>
					</item>
				
					<item>
						<title>Thoát vị đĩa đệm uống thuốc gì? Thuốc gì chữa bệnh cột sống đĩa đệm khỏi hẳn</title>
						<link>https://chuabenhthoatvidiadem.vn/bai-viet/nghe-truc-tiep-nhung-nguoi-duoc-luong-y-minh-chua-khoi-thoat-vi-dia-dem/thoat-vi-dia-dem-uong-thuoc-gi-thuoc-gi-chua-benh-cot-song-dia-dem-khoi-han-pid-265.html</link>
						<comments></comments>
						<pubDate>Fri, 21 Jun 2019 08:49:28 +0700</pubDate>
						<dc:creator>admin</dc:creator>
						<category><![CDATA[Nghe trực tiếp những người được lương y Minh chữa khỏi thoát vị đĩa đệm ]]></category>
						<guid isPermaLink="false"></guid>
						<description><![CDATA[Thoát vị đĩa đệm uống thuốc gì? Nên uống thuốc gì để trị vào nguyên nhân thoát vị đĩa đệm, thuốc gì có tác dụng lâu dài, khỏi bệnh không cần uống thuốc cũng không bị đau lại. Thuốc gì uống vào không bị tăng cân, không bị giữ nước, không bị phù, không bị đau dạ dày. Mua thuốc chữa thoát vị đĩa đệm ở đâu tốt nhất, giá thuốc chữa thoát vị đĩa đệm là bao nhiêu, uống thuốc trong bao lâu thì khỏi bệnh .v.v. Hãy nghe người bệnh kể lại là khách quan nhất.]]></description>
						<content:encoded><![CDATA[<h2 style="text-align: justify;"><span style="font-size:18px;"><em>Thuốc đông y&nbsp;chữa thoát vị đĩa đệm có rất nhiều dạng: Thuốc thang, thuốc cao, thuốc viên, thuốc nước, thuốc tễ, thuốc tán, thuốc bột, thuốc đắp, thuốc bó, thuốc ngâm, thuốc bóp.v.v. Được sử dụng rộng rãi ở các phòng khám, các&nbsp;nhà thuốc, trong các&nbsp;bệnh viện, đã góp phần không nhỏ vào việc chăm sóc sức khỏe của nhân dân.</em></span></h2><h2 style="text-align: justify;"><span style="font-size:16px;">Tuy nhiên,&nbsp;để chữa khỏi bệnh&nbsp;cột sống đĩa đệm thì&nbsp;mua thuốc gì, uống thuốc gì? Không hề dễ dàng với nhiều người, nhất là những người bị thoát vị đĩa đệm nhưng điều kiện kinh tế còn khó khăn.</span></h2><p style="text-align: justify;"><span style="font-size:16px;">Tìm&nbsp;hiểu kỹ uy tín của thầy thuốc chữa thoát vị đĩa đệm, tìm hiểu kỹ nhà thuốc, tìm hiểu kỹ&nbsp;phòng khám, bệnh viện chữa thoát vị đĩa đệm tốt, chính là cách chữa đem lại hiệu quả cao,&nbsp;tốn&nbsp;ít chi phí chữa bệnh nhất cho bạn.</span></p><p style="text-align: justify;"><span style="font-size:16px;">Mời bạn đọc tham khảo cách chữa thoát vị đĩa đệm, của lương y Nguyễn Văn Minh - Phòng Khám đông y Bảo Minh, qua câu chuyện với một người bệnh đã khỏi bệnh thoát vị đĩa đệm cách nay gần cả năm.&nbsp;</span></p><p style="text-align: justify;"><span style="font-size:16px;"><a href="https://chuabenhthoatvidiadem.vn/resources/files/Đã cover Phạm T Nghĩa 68 Tv.mp3" title="">http://benhthoatvidiadem.vn</a></span></p><p style="text-align: justify;"><span style="font-size:16px;">(*)&nbsp; &nbsp;Lưu ý: Thuốc trị thoát vị đĩa đệm của phòng khám đông y Bảo Minh, có tác dụng nhanh/&nbsp;chậm tùy theo bệnh và cơ địa&nbsp;mỗi nguời.</span></p><p style="text-align: justify;"><span style="font-size:16px;">P/s: Đây là cuộc nói chuyện rất thật giữa thầy thuốc với người bệnh, có lúc âm thanh nghe không được rõ, nhưng đảm bảo được tính chân thật, đúng người, đúng bệnh, đúng địa chỉ.</span></p><p style="text-align: justify;"><img loading="lazy" alt="Thoát vị đĩa đệm uống thuốc gì" src="data:image/gif;base64,R0lGODlhAQABAID/AP///wAAACwAAAAAAQABAAACAkQBADs=" data-src="https://chuabenhthoatvidiadem.vn/resources/images/Bệnh đau cột sống.PNG" style="width: 779px; height: 443px;" class="lazy" width="779" height="443" data-optimized="1" /></p><p style="text-align: justify;"><span style="font-size:16px;"><a href="https://www.youtube.com/channel/UCMrl47bRL4MgAguyRi48mEw" rel="noopener" style="color: rgb(102, 0, 153); cursor: pointer; text-decoration-line: none; font-family: arial, sans-serif; font-size: small;" target="_blank" title="">Lương y Nguyễn Văn Minh</a>&nbsp;-&nbsp;<a href="http://phongkhambaominh.com/thoat-vi-dia-dem.htm" rel="noopener" style="color: rgb(102, 0, 153); cursor: pointer; text-decoration-line: none; font-family: arial, sans-serif; font-size: small;" target="_blank" title="">Phòng Khám Đông Y Bảo Minh</a>:&nbsp;856/6 Quang Trung,&nbsp;Quận Gò Vấp, TP. HCM.<br />Điện thoại, Zalo tư vấn mua thuốc chữa bệnh: 0913.503.552- 028.6295.1367.</span></p><p style="text-align: justify;"><span style="background-color: transparent; color: rgb(0, 0, 0); font-family: RobotoSlab-Regular, Arial, Helvetica, sans-serif; font-size: 16px; white-space: nowrap;">Xem&nbsp;Lương y Nguyễn Văn Minh chữa thoát vị đĩa đệm,&nbsp;tại trang web:</span></p><h3 class="r" style="line-height: 1.1; box-sizing: border-box; margin: 0px; padding: 0px; border: 0px; outline: 0px; font-size: 18px; vertical-align: baseline; background-image: initial; background-position: initial; background-size: initial; background-repeat: initial; background-attachment: initial; background-origin: initial; background-clip: initial; font-family: RobotoSlab-Regular, Arial, Helvetica, sans-serif; color: rgb(0, 0, 0); max-width: 100%; overflow: hidden; text-overflow: ellipsis; white-space: nowrap;"><a href="https://chuabenhthoatvidiadem.vn/" style="color: rgb(102, 0, 153); box-sizing: border-box; margin: 0px; padding: 0px; border: 0px; outline: 0px; vertical-align: baseline; background: transparent; text-decoration-line: none; transition: all 406ms ease-out 0s; max-width: 100%; cursor: pointer;" target="_blank" title="">Cách Chữa Bệnh Thoát Vị Đĩa Đệm</a></h3><div class="s" style="box-sizing: border-box; margin: 0px; padding: 0px; border: 0px; outline: 0px; font-size: 16px; vertical-align: baseline; background-image: initial; background-position: initial; background-size: initial; background-repeat: initial; background-attachment: initial; background-origin: initial; background-clip: initial; position: relative; max-width: 48em; font-family: RobotoSlab-Regular, Arial, Helvetica, sans-serif; color: rgb(84, 84, 84); line-height: 18px;"><div class="f kv _SWb" style="box-sizing: border-box; margin: 0px; padding: 0px; border: 0px; outline: 0px; font-size: small; vertical-align: baseline; background: transparent; position: relative; max-width: 100%; color: rgb(128, 128, 128); height: 18px; line-height: 16px; font-family: arial, sans-serif; white-space: nowrap;"><cite class="_Rm" style="box-sizing: border-box; margin: 0px; padding: 0px; border: 0px; outline: 0px; font-size: 14px; vertical-align: baseline; background: transparent; max-width: 100%; color: rgb(0, 102, 33); font-style: normal;">chuabenhthoatvidiadem.vn/</cite></div></div>]]></content:encoded>
						<wfw:commentRss></wfw:commentRss>
						<slash:comments>0</slash:comments>
					</item>
				
					<item>
						<title>Cách chữa thoát vị đĩa đệm L4 L5</title>
						<link>https://chuabenhthoatvidiadem.vn/bai-viet/luong-y-nguyen-van-minh-chua-thoat-vi-dia-dem/cach-chua-thoat-vi-dia-dem-l4-l5-pid-318.html</link>
						<comments></comments>
						<pubDate>Tue, 15 Aug 2023 04:55:27 +0700</pubDate>
						<dc:creator>admin</dc:creator>
						<category><![CDATA[Lương y Nguyễn Văn Minh chữa thoát vị đĩa đệm]]></category>
						<guid isPermaLink="false"></guid>
						<description><![CDATA[Chữa thoát vị đĩa đệm L4 L5 tốt nhất là có kết quả chụp MRI, hoặc có hình ảnh phim chụp cộng hưởng cột sống. Nếu người nào bị đau thắt lưng, đau hông hoặc đau lan xuống chân, tê nhức chân nhưng chưa đi chụp MRI được, nên gặp thầy thuốc chuyên chữa thoát vị đĩa đệm để khám bệnh. Khi khám bệnh bắt mạch, những thầy thuốc giàu kinh nghiệm vẫn có thể chẩn bệnh và kê đơn thuốc điều trị được.]]></description>
						<content:encoded><![CDATA[<p style="text-align: justify;"><span style="font-size: 16px;">Chữa thoát vị đĩa đệm L4 L5&nbsp;tốt nhất là có&nbsp;kết quả chụp MRI cột sống, hoặc có&nbsp;<a title="" href="https://chuabenhthoatvidiadem.vn/cach-chua-benh/hinh-anh-thoat-vi-dia-dem-pid-276.html">hình ảnh thoát vị đĩa đệm</a>&nbsp;L4 L5&nbsp;trên phim&nbsp;chụp cộng hưởng từ MRI.&nbsp;</span></p><h2 style="text-align: justify;"><span style="font-size:16px;"><strong>Cách chữa thoát vị đĩa đệm L4 L5</strong>, chữa bằng phương pháp đông y. Uống thuốc đông y kết hợp với xoa bóp đắp&nbsp;thuốc, hoặc&nbsp;châm cứu, day bấm huyệt. Phải khẳng định thoát vị đĩa đệm L4 L5 chữa được bằng đông y. Đây là cách&nbsp;chữa giúp&nbsp;người bệnh hết đau, hết&nbsp;nhức do thoát vị đĩa đệm không còn&nbsp;chèn ép rễ thần kinh, chèn ép bao màng cứng hoặc làm hẹp lỗ liên hợp nữa.</span></h2><h3><span style="font-size:16px;"><a title="" href="https://chuabenhthoatvidiadem.vn/resources/files/Ghi âm cuộc gọi Đoan Trang Nhật Yến 90 TV Nặng 1_ 24_240312_090339 (1).mp3">Cách chữa thoát vị đĩa đệm L4 L5</a></span></h3><p style="text-align: justify;"><span style="color: rgb(0, 0, 0); font-family: RobotoSlab-Regular, Arial, Helvetica, sans-serif; font-size: 16px; text-align: justify;">Phòng khám đông y Bảo Minh trân trọng cảm ơn quý khách, người nhà quý khách&nbsp;đã&nbsp;đồng ý giới thiệu, chia sẻ&nbsp;cách chữa&nbsp;thoát vị đĩa đệm L4 L5 ở đây. Cách chữa không có tác dụng phụ, chữa bằng thuốc thuốc đông y, giúp quý khách hết đau, hết nhức, vận động đi lại làm việc được. Khi khỏi bệnh không phải uống thêm thuốc gì nhưng cũng không bị đau nhức nữa.</span></p><p><span style="color: rgb(0, 0, 0); font-family: RobotoSlab-Regular, Arial, Helvetica, sans-serif; font-size: 16px;">Quý khách muốn xem bài thuốc, bấm vào&nbsp;đây:&nbsp;</span><span style="font-size: 16px;"><a href="https://chuabenhthoatvidiadem.vn/cach-chua-benh/bai-thuoc-chua-thoat-vi-dia-dem-khang-dinh-uy-tin-cua-thay-thuoc-pid-215.html" style="color: rgb(51, 122, 183); box-sizing: border-box; margin: 0px; padding: 0px; border: 0px; outline: 0px; vertical-align: baseline; background-image: initial; background-position: initial; background-size: initial; background-repeat: initial; background-attachment: initial; background-origin: initial; background-clip: initial; text-decoration-line: none; transition: all 406ms ease-out 0s; max-width: 100%; font-family: RobotoSlab-Regular, Arial, Helvetica, sans-serif;" title="Thuốc trị thoát vị đĩa đệm đông y">Thuốc đông y chữa&nbsp;thoát vị đĩa đệm.</a></span></p><p style="text-align: justify;"><span style="color: rgb(0, 0, 0); font-family: RobotoSlab-Regular, Arial, Helvetica, sans-serif; font-size: 16px; text-align: justify;"><img loading="lazy" alt="Cách chữa thoát vị đĩa đệm L4-L5" src="data:image/gif;base64,R0lGODlhAQABAID/AP///wAAACwAAAAAAQABAAACAkQBADs=" data-src="https://chuabenhthoatvidiadem.vn/resources/images/Cách chữa thoát vị đĩa đệm L4 L5 (3).jpg" style="width: 691px; height: 1200px;" class="lazy" width="691" height="1200" data-optimized="1" /></span></p><p style="text-align: justify;"><span style="color: rgb(0, 0, 0); font-family: RobotoSlab-Regular, Arial, Helvetica, sans-serif; font-size: 16px; text-align: justify;">Ai bị thoát vị đĩa đệm L4 L5 nhẹ, bệnh mới phát, độ tuổi trẻ, chưa bị đau nhức dữ dội, không cần nghe hết, xem hết nội dung. Những quý vị nào bị thoát vị đĩa đệm mức độ nặng hoặc trung bình, nên xem kỹ để có niềm tin đến chữa bệnh.</span></p><p><span style="font-size:16px;"><img loading="lazy" alt="Cách chữa thoát vị đĩa đệm L4 L5" src="data:image/gif;base64,R0lGODlhAQABAID/AP///wAAACwAAAAAAQABAAACAkQBADs=" data-src="https://chuabenhthoatvidiadem.vn/resources/images/Cách chữa thoát vị đĩa đệm L4 L5 (2).jpg" style="width: 838px; height: 1200px;" class="lazy" width="838" height="1200" data-optimized="1" /></span></p><p style="text-align: justify;"><span style="color: rgb(0, 0, 0); font-family: RobotoSlab-Regular, Arial, Helvetica, sans-serif; font-size: 16px; text-align: justify;">Phòng khám chỉ đăng&nbsp;thông tin hình ảnh khi được sự đồng ý của quý khách, sau này quý khách&nbsp;nào không muốn&nbsp;công khai ở đây nữa, chúng tôi&nbsp;sẽ gỡ bài đăng xuống.&nbsp;Chân thành&nbsp;cảm ơn quý người bệnh&nbsp;đã tin tưởng và đặt niềm tin vào uy tín của chúng tôi.</span></p><p style="text-align: justify;"><span style="color: rgb(0, 0, 0); font-family: RobotoSlab-Regular, Arial, Helvetica, sans-serif; font-size: 16px; text-align: justify;"><img loading="lazy" alt="Thoát vị đĩa đệm L4 L5" src="data:image/gif;base64,R0lGODlhAQABAID/AP///wAAACwAAAAAAQABAAACAkQBADs=" data-src="https://chuabenhthoatvidiadem.vn/resources/images/Thoát vị đĩa đệm L4 L5(4).jpg" style="width: 900px; height: 1200px;" class="lazy" width="900" height="1200" data-optimized="1" /></span></p><p style="text-align: justify;"><span style="font-size:16px;">Anh Vũ Tiến Mạnh ở thành phố Buôn Ma Thuột tỉnh Đắk Lắk bị thoát vị đĩa đệm L4/L5. Anh đồng ý cho quay video và chia sẻ rất thật về chứng bệnh này.&nbsp;</span></p><p style="text-align: justify;"><span class="optimize-cls-iframe" data-src="https://www.youtube.com/embed/qcZG1X049g0">https://www.youtube.com/embed/qcZG1X049g0</span></p><p style="text-align: justify;"><span style="font-size:16px;">Quý khách nào bị thoát vị đĩa đệm muốn chữa bằng thuốc đông y, nếu&nbsp;ở gần nhà anh Mạnh tại Buôn Ma Thuột.&nbsp;Quý khách&nbsp;đến hỏi thăm sẽ tốt hơn, anh&nbsp;Mạnh sẵn sàng chia sẻ kinh nghiệm chữa bệnh từ chính mình. Trân trọng cảm ơn anh.</span></p><p style="text-align: justify;"><span style="color: rgb(0, 0, 0); font-family: RobotoSlab-Regular, Arial, Helvetica, sans-serif; font-size: 16px; text-align: justify;">Có thể bạn muốn nghe quý khách kể:&nbsp;</span><span style="font-size:16px;"><a href="https://chuabenhthoatvidiadem.vn/cach-chua-benh/nho-thay-ma-toi-khong-phai-mo-thoat-vi-dia-dem-hay-nghe-benh-nhan-cu-phat-bieu-pid-41.html" style="box-sizing: border-box; margin: 0px; padding: 0px; border: 0px; outline: 0px; font-size: small; vertical-align: baseline; background-image: initial; background-position: initial; background-size: initial; background-repeat: initial; background-attachment: initial; background-origin: initial; background-clip: initial; color: rgb(102, 0, 153); text-decoration-line: none; transition: all 406ms ease-out 0s; max-width: 100%; text-align: justify; cursor: pointer; font-family: arial, sans-serif;" target="_blank" title="">Nhờ thầy mà tôi không phải&nbsp;mổ thoát vị đĩa đệm đấy.</a></span></p><p style="text-align: justify;"><span style="color: rgb(0, 0, 0); font-family: RobotoSlab-Regular, Arial, Helvetica, sans-serif; font-size: 16px; text-align: justify;"><img loading="lazy" alt="Cách chữa thoát vị đĩa đệm L4L5" src="data:image/gif;base64,R0lGODlhAQABAID/AP///wAAACwAAAAAAQABAAACAkQBADs=" data-src="https://chuabenhthoatvidiadem.vn/resources/images/Cách chữa thoát vị đĩa đệm L4L5.jpg" style="width: 827px; height: 1150px;" class="lazy" width="827" height="1150" data-optimized="1" /></span></p><p><a title="" href="https://chuabenhthoatvidiadem.vn/resources/files/do thi thuy 87 tv.mp3"><span style="font-size:16px;">Thoát vị đĩa đệm L4 L5, xem cách chữa hết chèn ép ở&nbsp;đây</span></a></p><p><span style="font-size:16px;">Mời quý khách nhấp vào ô trên để nghe thông tin từ người bệnh. Đây là trường hợp thoát vị đĩa đệm nặng, phòng khám đã&nbsp;chữa cho chị hết đau, hết nhức, phục hồi cơ bị teo. Chị đồng ý chia sẻ cảm ơn. Xin trân trọng cảm ơn chị Đỗ Thị Thanh Thúy ở Đồng Tháp.</span></p><p><span style="color: rgb(0, 0, 0); font-family: RobotoSlab-Regular, Arial, Helvetica, sans-serif; font-size: 16px; text-align: justify;">Xem kênh&nbsp;</span><span style="font-size:16px;"><span style="box-sizing: border-box; margin: 0px; padding: 0px; border: 0px; outline: 0px; vertical-align: baseline; background-image: initial; background-position: initial; background-size: initial; background-repeat: initial; background-attachment: initial; background-origin: initial; background-clip: initial; max-width: 100%; color: rgb(0, 0, 0); font-family: RobotoSlab-Regular, Arial, Helvetica, sans-serif; text-align: justify;"><a href="https://www.youtube.com/channel/UCMrl47bRL4MgAguyRi48mEw" style="box-sizing: border-box; margin: 0px; padding: 0px; border: 0px; outline: 0px; font-size: small; vertical-align: baseline; background: transparent; color: rgb(102, 0, 153); text-decoration-line: none; transition: all 406ms ease-out 0s; max-width: 100%; cursor: pointer; font-family: arial, sans-serif;" target="_blank" title="">YouTube</a></span></span><span style="color: rgb(0, 0, 0); font-family: RobotoSlab-Regular, Arial, Helvetica, sans-serif; font-size: 16px; text-align: justify;">&nbsp;của&nbsp;</span><span style="font-size:16px;"><span style="box-sizing: border-box; margin: 0px; padding: 0px; border: 0px; outline: 0px; vertical-align: baseline; background-image: initial; background-position: initial; background-size: initial; background-repeat: initial; background-attachment: initial; background-origin: initial; background-clip: initial; max-width: 100%; color: rgb(0, 0, 0); font-family: RobotoSlab-Regular, Arial, Helvetica, sans-serif; text-align: justify;"><a href="https://www.youtube.com/channel/UCMrl47bRL4MgAguyRi48mEw" style="box-sizing: border-box; margin: 0px; padding: 0px; border: 0px; outline: 0px; font-size: small; vertical-align: baseline; background: transparent; color: rgb(102, 0, 153); text-decoration-line: none; transition: all 406ms ease-out 0s; max-width: 100%; cursor: pointer; font-family: arial, sans-serif;" target="_blank" title="">Lương y Nguyễn Văn Minh, thầy thuốc chữa bệnh ở&nbsp;phòng khám đông y Bảo Minh.</a></span></span></p><p style="text-align: justify;"><span style="font-size: 16px;"><img loading="lazy" alt="Cách chữa thoát vị đĩa đệm L4 L5" src="data:image/gif;base64,R0lGODlhAQABAID/AP///wAAACwAAAAAAQABAAACAkQBADs=" data-src="https://chuabenhthoatvidiadem.vn/resources/images/Cách chữa thoát vị đĩa đệm L4 L5(1).jpg" style="width: 900px; height: 1200px;" class="lazy" width="900" height="1200" data-optimized="1" /></span></p><p style="text-align: justify;"><span style="font-size:14px;"><em>Hình ảnh thoát vị đĩa đệm trên phim chụp cộng hưởng từ MRI.</em></span></p><p><span style="font-size: 16px;"><img loading="lazy" alt="Chữa thoát vị đĩa đệm L4 L5" src="data:image/gif;base64,R0lGODlhAQABAID/AP///wAAACwAAAAAAQABAAACAkQBADs=" data-src="https://chuabenhthoatvidiadem.vn/resources/images/Thoát vị đĩa đệm L4L5(1).jpg" style="width: 676px; height: 1200px;" class="lazy" width="676" height="1200" data-optimized="1" /></span></p><p><em><span style="font-size:14px;">Hình ảnh thoát vị đĩa đệm L4 L5 chèn ép nặng ngách bên và&nbsp;rễ&nbsp;thần kinh L5 hai bên, hẹp nặng ống sống L4 L5.</span></em></p><p><span style="font-size: 16px;"><img loading="lazy" alt="Thoát vị đĩa đệm L4 L5" src="data:image/gif;base64,R0lGODlhAQABAID/AP///wAAACwAAAAAAQABAAACAkQBADs=" data-src="https://chuabenhthoatvidiadem.vn/resources/images/Thoát vị đĩa đệm_ L4 L5.jpg" style="width: 781px; height: 1200px;" class="lazy" width="781" height="1200" data-optimized="1" /><img loading="lazy" alt="Thoát vị đĩa đệm L4 L5" src="data:image/gif;base64,R0lGODlhAQABAID/AP///wAAACwAAAAAAQABAAACAkQBADs=" data-src="https://chuabenhthoatvidiadem.vn/resources/images/Thoát vị đĩa đệm L4L5 (2).jpg" style="width: 863px; height: 1200px;" class="lazy" width="863" height="1200" data-optimized="1" /></span></p><p><em><span style="font-size:14px;">Chữa thoát vị đĩa đệm L4 L5 bằng thuốc đông y, có thể kết hợp với các phương pháp khác, như: Châm cứu, day ấn huyệt, xoa bóp thuốc,&nbsp;đắp thuốc cột sống.. có&nbsp;kết quả rất tốt.</span></em></p><p><img loading="lazy" alt="Cách chữa thoát vị đĩa đệm L4 L5" src="data:image/gif;base64,R0lGODlhAQABAID/AP///wAAACwAAAAAAQABAAACAkQBADs=" data-src="https://chuabenhthoatvidiadem.vn/resources/images/Cách chữa thoát vị đĩa đệm L4 L5.jpg" style="width: 900px; height: 1200px;" class="lazy" width="676" height="1200" data-optimized="1" /></p><p>Nếu bị thoát&nbsp;vị đĩa đệm L4 L5 chèn ép rễ thần kinh L4 Hoặc L5 sẽ gây đau nhức dọc đường đi của rễ&nbsp;L4 hoặc L5 hoặc cả hai.</p><p><img loading="lazy" alt="Cách chữa bệnh thoát vị đĩa đệm L4 L5" src="data:image/gif;base64,R0lGODlhAQABAID/AP///wAAACwAAAAAAQABAAACAkQBADs=" data-src="https://chuabenhthoatvidiadem.vn/resources/images/Cách chữa bệnh thoát vị đĩa đệm L4 L5.jpg" style="width: 845px; height: 1200px;" class="lazy" width="845" height="1200" data-optimized="1" /></p><p><em><span style="font-size:14px;">Phiếu kết quả chụp MRI (chụp cộng hưởng từ cột sống thắt lưng).</span></em></p><p style="text-align: justify;"><img loading="lazy" alt="" src="data:image/gif;base64,R0lGODlhAQABAID/AP///wAAACwAAAAAAQABAAACAkQBADs=" data-src="https://chuabenhthoatvidiadem.vn/resources/images/Thoát vị đĩa đệm L4-L5 (2).jpg" style="font-size: 13px; width: 900px; height: 1200px;" class="lazy" width="900" height="1200" data-optimized="1" /></p><p style="text-align: justify;"><em><span style="font-size:14px;">Một phần hình ảnh thoát vị đĩa đệm L4 L5, nhìn trên&nbsp;phim chụp MRI cột sống thắt lưng.</span></em></p><h3 style="text-align: justify;"><span style="font-size: 16px;">Người nào bị đau nhức thắt lưng, đau lâu lan xuống mông, đau xuống đùi, xuống chân mà chưa đi chụp MRI được. Không biết mình có bị&nbsp;thoát vị đĩa đệm L4-L5 hay không, nếu&nbsp;gặp thầy thuốc giỏi, có nhiều kinh nghiệm chữa thoát vị đĩa đệm, khi khám bệnh bắt mạch và khai thác tốt triệu chứng đau nhức, người thầy thuốc vẫn chẩn đoán được căn bệnh và điều trị đau có kết quả tốt.</span></h3><p><span style="font-size: 16px;"><a title="" href="https://chuabenhthoatvidiadem.vn/resources/files/Bác Mỹ Lệ khỏi thoát vị đĩa đệm.mp3">Chữa đau lưng cho bác Mỹ Lệ ở Bình Phước, giúp bác hết đau lưng</a></span></p><p style="text-align: justify;"><span style="font-size:16px;">Mời quý khách xem trọn&nbsp;bộ 3 hình ảnh thoát vị đĩa đệm L4 L5, trên phim chụp cộng hưởng từ cột sống thắt lưng, hình ảnh&nbsp;thoát vị đĩa đệm L4 L5 trên tờ kết luận của bác sĩ tại bệnh viện Ngoại Thần Kinh Quốc Tế.</span></p><p style="text-align: justify;"><img loading="lazy" alt="Hình ảnh thoát vị đĩa đệm L4 L5" src="data:image/gif;base64,R0lGODlhAQABAID/AP///wAAACwAAAAAAQABAAACAkQBADs=" data-src="https://chuabenhthoatvidiadem.vn/resources/images/Thoát vị đĩa đệm L4 L5(1).jpg" style="width: 900px; height: 1200px;" class="lazy" width="900" height="1200" data-optimized="1" /></p><p style="text-align: justify;"><span style="font-size:16px;">Hình ảnh thoát vị đĩa đệm L4-L5 trên phim chụp MRI&nbsp;</span></p><p style="text-align: justify;"><img loading="lazy" alt="Hình ảnh thoát vị đĩa đệm L4 L5" src="data:image/gif;base64,R0lGODlhAQABAID/AP///wAAACwAAAAAAQABAAACAkQBADs=" data-src="https://chuabenhthoatvidiadem.vn/resources/images/Thoát vị đĩa đệm L4 L5 (2)(1).jpg" style="width: 1003px; height: 1200px;" class="lazy" width="1003" height="1200" data-optimized="1" /><span style="font-size:16px;">Hình ảnh thoát vị đĩa đệm L4 L5</span></p><p style="text-align: justify;"><img loading="lazy" alt="Hình ảnh thoát vị đĩa đệm L4 L5" src="data:image/gif;base64,R0lGODlhAQABAID/AP///wAAACwAAAAAAQABAAACAkQBADs=" data-src="https://chuabenhthoatvidiadem.vn/resources/images/Hình ảnh thoát vị đĩa đệm L4 L5.jpg" style="width: 952px; height: 1200px;" class="lazy" width="952" height="1200" data-optimized="1" /></p><p><span style="font-size:16px;">Hình ảnh thoát vị đĩa đệm L4 L5.&nbsp;</span></p><p style="text-align: justify;"><span style="font-size: 16px; text-align: justify;">Kết quả chụp cộng huởng từ MRI cột sống thắt lưng, hình ảnh&nbsp;</span><span style="font-size: 16px; text-align: justify;">thoát vị đĩa đệm L4-5 ra sau trung tâm lệch (P), kèm dày dây chằng vàng, chèn ép nghách bên và rễ L5 hai bên, chèn ép chùm đuôi ngựa, hẹp nặng ống sống L4-5, hẹp lỗ liên hợp L4-5 (P) và chèn ép rễ L4 (P).</span></p><p style="text-align: justify;"><img loading="lazy" alt="Hình ảnh kết quả chụp MRI, bị thoát vị đĩa đệm L4 L5" src="data:image/gif;base64,R0lGODlhAQABAID/AP///wAAACwAAAAAAQABAAACAkQBADs=" data-src="https://chuabenhthoatvidiadem.vn/resources/images/Thoát vị đĩa đệm L4 L5 (4).jpg" style="opacity: 0.9; text-align: justify; width: 863px; height: 1200px;" class="lazy" width="863" height="1200" data-optimized="1" /></p><p style="text-align: justify;"><span style="font-size:18px;">Dưới đây là những bệnh án thoát vị đĩa đệm L4-L5.&nbsp;</span></p><p><span style="font-size:16px;">Sau khi chữa khỏi bệnh, quý khách đồng ý cho chia sẻ để giới thiệu cách chữa giúp khỏi bệnh.</span></p><p style="text-align: justify;"><span style="font-size:16px;">Đây là&nbsp;kết quả&nbsp;MRI của một bác ở Quận 11, TP.HCM. Năm 2018 bác bị đau&nbsp;&nbsp;bác chụp cộng hưởng từ cột sống năm 2018, bác đã điều trị hết đau nhức ở phòng khám đông y Bảo Minh. Năm nay&nbsp;2023, bác bị đau lưng trở&nbsp;lại nhưng mức độ nhẹ hơn năm 2018, bác liền&nbsp;ghé phòng khám để bắt mạch&nbsp;lại và mua thêm thuốc uống, bác đồng ý cho quay video nội dung này. Lương y Nguyễn Văn Minh xin trân trọng cảm ơn bác.</span></p><p style="text-align: justify;"><span style="font-size:16px;"><img loading="lazy" alt="Thoát vị đĩa đệm L4-L5" src="data:image/gif;base64,R0lGODlhAQABAID/AP///wAAACwAAAAAAQABAAACAkQBADs=" data-src="https://chuabenhthoatvidiadem.vn/resources/images/Thoát vị đĩa đệm L4-L5 (3).jpg" style="width: 792px; height: 1106px;" class="lazy" width="792" height="1106" data-optimized="1" /></span></p><p style="text-align: justify;"><span style="font-size:16px;"><span style="text-align: justify;">Mời q</span><span style="text-align: justify;">uý khách</span><span style="text-align: justify;">&nbsp;xem kết quả chụp MRI, và nghe&nbsp;</span>bác Trần Quế&nbsp;kể câu chuyện đã&nbsp;chữa khỏi bệnh&nbsp;ở phòng khám đông y Bảo Minh cách nay&nbsp;5&nbsp;năm.</span></p><p style="text-align: justify;"><span class="optimize-cls-iframe" data-src="https://www.youtube.com/embed/qK3Ka45mths">https://www.youtube.com/embed/qK3Ka45mths</span></p><p style="text-align: justify;"><span style="font-size:16px;">Còn dưới đây là trường hợp bị thoát vị đĩa đệm L4 L5 nặng, quý khách bấm vào mũi tên để nghe anh Phong kể rất thật về cách chữa khỏi thoát vị đĩa đệm ở đây.</span></p><p style="text-align: justify;"><span style="font-size:16px;"><a href="https://chuabenhthoatvidiadem.vn/resources/files/Ghi âm cuộc gọi 0987839357_thanh phong_084006 (1).mp3" title="">Cách chữa thoát vị đĩa đệm L4 L5</a></span></p><p style="text-align: justify;"><span style="font-size:16px;"><img loading="lazy" alt="Thoát vị đĩa đệm L4 L5" src="data:image/gif;base64,R0lGODlhAQABAID/AP///wAAACwAAAAAAQABAAACAkQBADs=" data-src="https://chuabenhthoatvidiadem.vn/resources/images/20180323_075650(1).jpg" style="width: 1018px; height: 1200px;" class="lazy" width="1018" height="1200" data-optimized="1" /></span></p><p style="text-align: justify;">Mời bạn đọc nhấp vào video dưới đây, xem bác Chính ở quận Bình Thạnh, TP.HCM kể về cách chữa khỏi thoát vị đĩa đệm như thế nào.</p><p style="text-align: justify;"><img loading="lazy" alt="Cách chữa Thoát vị đĩa đệm L4 L5" src="data:image/gif;base64,R0lGODlhAQABAID/AP///wAAACwAAAAAAQABAAACAkQBADs=" data-src="https://chuabenhthoatvidiadem.vn/resources/images/Thoát vị đĩa đệm L4 L5(2).jpg" style="width: 789px; height: 840px;" class="lazy" width="789" height="840" data-optimized="1" /></p><p style="text-align: justify;"><span style="font-size:16px;">Phòng khám xin trân trọng cảm ơn quý khách đã đồng ý cho chia sẻ ở trang web này, sau này quý khách nào không muốn công bố thông tin ở đây nữa, chúng tôi sẽ gỡ bỏ hình ảnh và nội dung xuống.</span></p><p style="text-align: justify;"><span class="optimize-cls-iframe" data-src="https://www.youtube.com/embed/UN0lTke8WFY">https://www.youtube.com/embed/UN0lTke8WFY</span></p><p style="text-align: justify;"><span style="font-size:16px;">Muốn&nbsp;chữa&nbsp;thoát vị đĩa đệm bằng y học cổ truyền, phải tìm được thầy thuốc đông y giỏi và phòng khám chuyên khoa có uy tín. Thông tin về thuốc và thầy thuốc chữa thoát vị đĩa đệm trên mạng có rất nhiều, nhưng quyết định khám chữa bệnh ở đâu tốt nhất, đơn giá thuốc chữa bệnh hợp lý, uống thuốc không có tác dụng phụ,&nbsp;chữa khỏi bệnh hết đau hết nhức hết tê bì chân tay, thời gian khỏi bệnh lâu dài, từ 5, 7 hoặc 10 năm cũng không bị tái lại, không dễ gì tìm ngay được.&nbsp;Quý khách nên xem hết những nội dung ở trang web này, c</span><span style="font-size: 16px; text-align: justify;">húng tôi chỉ đăng thông tin người thật việc thật, nhằm</span><span style="font-size: 16px;">&nbsp;giữ uy tín của phòng khám và thầy thuốc đông y Bảo Minh.</span></p><p style="text-align: justify;"><span style="font-size: 16px;"><a href="https://chuabenhthoatvidiadem.vn/resources/files/FILE_đã cover_Ghi âm cuộc gọi Hoàng Công Thắng 88 Tv_200625_173531.mp3" title="">Cách chữa thoát vị đĩa đệm L4-L5</a></span></p><p style="text-align: justify;"><img loading="lazy" alt="Thoát vị đĩa đệm L4-L5" src="data:image/gif;base64,R0lGODlhAQABAID/AP///wAAACwAAAAAAQABAAACAkQBADs=" data-src="https://chuabenhthoatvidiadem.vn/resources/images/Thoát vị đĩa đệm L4-L5 (4).jpg" style="width: 711px; height: 818px;" class="lazy" width="711" height="818" data-optimized="1" /></p><p style="text-align: justify;"><span style="font-size:16px;">Có thể bạn muốn xem: Giấy phép khám chữa bệnh bằng y học cổ truyền&nbsp;của Lương y Nguyễn Văn Minh;</span><span style="color: rgb(0, 0, 0); font-family: RobotoSlab-Regular, Arial, Helvetica, sans-serif; font-size: 16px; text-align: justify;">&nbsp;</span><span style="box-sizing: border-box; margin: 0px; padding: 0px; border: 0px; outline: 0px; font-size: 16px; vertical-align: baseline; background-image: initial; background-position: initial; background-size: initial; background-repeat: initial; background-attachment: initial; background-origin: initial; background-clip: initial; max-width: 100%; color: rgb(0, 0, 0); font-family: RobotoSlab-Regular, Arial, Helvetica, sans-serif; text-align: justify;"><a data-ved="2ahUKEwj94eeKyIGAAxUNU94KHef4CXY4MhAWegQIEBAB" href="https://chuabenhthoatvidiadem.vn/cach-chua-benh/giay-phep-kham-chua-benh-cua-luong-y-nguyen-van-minh-pid-30.html" jsaction="rcuQ6b:npT2md" jscontroller="M9mgyc" jsname="qOiK6e" ping="/url?sa=t&amp;source=web&amp;rct=j&amp;opi=89978449&amp;url=https://chuabenhthoatvidiadem.vn/cach-chua-benh/giay-phep-kham-chua-benh-cua-luong-y-nguyen-van-minh-pid-30.html&amp;ved=2ahUKEwj94eeKyIGAAxUNU94KHef4CXY4MhAWegQIEBAB" style="box-sizing: border-box; margin: 0px; padding: 0px; border: 0px; outline: 0px; font-size: small; vertical-align: baseline; background: transparent; color: rgb(26, 13, 171); text-decoration-line: none; transition: all 406ms ease-out 0s; max-width: 100%; -webkit-tap-highlight-color: rgba(0, 0, 0, 0.1); font-family: arial, sans-serif;" title="">Giấy phép khám chữa bệnh&nbsp;</a></span></p><p style="text-align: justify;">Trang web:&nbsp;<a class="xFAlBc" font-size:="" helvetica="" href="https://thoatvidiadem.top/" ping="/url?sa=t&amp;source=web&amp;rct=j&amp;url=https://thoatvidiadem.top/&amp;ved=2ahUKEwjazZPK5OiAAxVHpVYBHQccCIcQhAd6BAhbEAE&amp;opi=89978449" style="color: rgb(26, 13, 171); text-decoration-line: none; -webkit-tap-highlight-color: rgba(0, 0, 0, 0.1); overflow-wrap: break-word; word-break: break-word; outline: 0px; font-family: Roboto, " title="">thoatvidiadem.top</a>&nbsp;và&nbsp;<a class="xFAlBc" font-size:="" helvetica="" href="https://chuabenhthoatvidiadem.vn/" ping="/url?sa=t&amp;source=web&amp;rct=j&amp;url=https://chuabenhthoatvidiadem.vn/&amp;ved=2ahUKEwjazZPK5OiAAxVHpVYBHQccCIcQ6156BAhFEAE&amp;opi=89978449" style="color: rgb(26, 13, 171); -webkit-tap-highlight-color: rgba(0, 0, 0, 0.1); overflow-wrap: break-word; word-break: break-word; outline: 0px; font-family: Roboto, " title="">chuabenhthoatvidiadem.vn</a></p><p style="text-align: justify;"><span style="font-size:16px;">Lương Nguyễn Văn Minh chia sẻ thông tin&nbsp;khi quý khách đồng ý, khi chữa khỏi&nbsp;thoát vị đĩa đệm, nhều người cảm ơn bằng cách đồng ý chia sẻ thuốc chữa bệnh ở phòng khám,&nbsp;nhưng nhiều người muốn giữ bí mật thông tin, nên chúng tôi chỉ đăng bài sau khi được sự chấp thuận từ quý khách. Sau này vì lý do gì quý khách không muốn chia sẻ ở đây nữa, chúng tôi sẽ gỡ bỏ thông tin xuống. Xin trân trọng cảm ơn quý khách</span>.&nbsp;<span style="color: rgb(0, 0, 0); font-family: RobotoSlab-Regular, Arial, Helvetica, sans-serif; font-size: 16px; text-align: justify;">Mời quý khách xem;&nbsp;</span><a data-ved="2ahUKEwjiy9_6hJuFAxXHrVYBHU1vAA44ChAWegQICxAB" href="https://chuabenhthoatvidiadem.vn/cach-chua-benh/chinh-sach-bao-mat-thong-tin-pid-300.html" jsname="UWckNb" ping="/url?sa=t&amp;source=web&amp;rct=j&amp;opi=89978449&amp;url=https://chuabenhthoatvidiadem.vn/cach-chua-benh/chinh-sach-bao-mat-thong-tin-pid-300.html&amp;ved=2ahUKEwjiy9_6hJuFAxXHrVYBHU1vAA44ChAWegQICxAB" style="box-sizing: border-box; margin: 0px; padding: 0px; border: 0px; outline: 0px; font-size: small; vertical-align: baseline; background-image: initial; background-position: initial; background-size: initial; background-repeat: initial; background-attachment: initial; background-origin: initial; background-clip: initial; color: rgb(26, 13, 171); text-decoration-line: none; transition: all 406ms ease-out 0s; max-width: 100%; text-align: justify; -webkit-tap-highlight-color: rgba(0, 0, 0, 0.1); font-family: arial, sans-serif;" title="">Chính sách bảo mật thông tin</a></p><p style="text-align: justify;"><img loading="lazy" alt="Cách trị thoát vị đĩa đệm L4 L5" src="data:image/gif;base64,R0lGODlhAQABAID/AP///wAAACwAAAAAAQABAAACAkQBADs=" data-src="https://chuabenhthoatvidiadem.vn/resources/images/Cách trị thoát vị đĩa đệm L4 L5.jpg" style="height: 1200px; opacity: 0.9; font-size: 16px; width: 848px;" class="lazy" width="848" height="1200" data-optimized="1" /></p><p style="text-align: justify;"><span style="font-size:16px;">Quý khách nào chữa thoát vị đĩa đệm bằng thuốc tây nhưng không hết bệnh, nhưng sợ phải mổ, hãy gửi&nbsp;kết quả chụp MRI nhờ tư vấn cách chữa bệnh.</span></p><p><span style="font-size:16px;">Lương y Nguyễn Văn Minh&nbsp;có địa chỉ khám chữa bệnh duy nhất, không có chi nhánh ở đâu, ngoài địa chỉ: 856/6 Quang Trung, Quận Gò Vấp, TP. HCM.<br />Điện thoại, Zalo tư vấn mua thuốc chữa bệnh: 091 350 3552- (028) 6295 1367</span></p><p><span style="font-size:16px;">Đây là trang thông tin chuyên khoa cột sống đĩa đệm, giới thiệu cách trị&nbsp;</span><a title="" data-ved="2ahUKEwj-v5aI8dGDAxXDlK8BHaF-CXgQFnoECBgQAQ" href="https://chuabenhthoatvidiadem.vn/" jsname="UWckNb" ping="/url?sa=t&amp;source=web&amp;rct=j&amp;opi=89978449&amp;url=https://chuabenhthoatvidiadem.vn/&amp;ved=2ahUKEwj-v5aI8dGDAxXDlK8BHaF-CXgQFnoECBgQAQ" style="color: rgb(26, 13, 171); text-decoration-line: none; -webkit-tap-highlight-color: rgba(0, 0, 0, 0.1); outline: 0px; font-family: arial, sans-serif; font-size: small;">Thoát Vị Đĩa Đệm</a>&nbsp;<span style="font-size:16px;">của Lương y Nguyễn Văn Minh ở phòng khám đông y Bảo Minh:</span></p><div class="f kv _SWb" style="box-sizing: border-box; margin: 0px; padding: 0px; border: 0px; outline: 0px; font-size: small; vertical-align: baseline; background: transparent; position: relative; max-width: 100%; text-wrap: nowrap; color: rgb(128, 128, 128); height: 18px; line-height: 16px; font-family: arial, sans-serif;"><span style="box-sizing: border-box; margin: 0px; padding: 0px; border: 0px; outline: 0px; font-size: 16px; vertical-align: baseline; background: transparent; max-width: 100%; color: rgb(0, 0, 0); font-family: RobotoSlab-Regular, Arial, Helvetica, sans-serif; text-align: justify; text-wrap: wrap !important;">Quý khách ở xa,&nbsp;nên&nbsp;dùng bản đồ&nbsp;</span><span style="box-sizing: border-box; margin: 0px; padding: 0px; border: 0px; outline: 0px; font-size: 16px; vertical-align: baseline; background: transparent; max-width: 100%; color: rgb(0, 0, 0); font-family: RobotoSlab-Regular, Arial, Helvetica, sans-serif;">Google Map</span><span style="box-sizing: border-box; margin: 0px; padding: 0px; border: 0px; outline: 0px; font-size: 16px; vertical-align: baseline; background: transparent; max-width: 100%; color: rgb(0, 0, 0); font-family: RobotoSlab-Regular, Arial, Helvetica, sans-serif; text-align: justify; text-wrap: wrap !important;">&nbsp;chỉ đường&nbsp;đến&nbsp;phòng&nbsp;khám là&nbsp;nhanh nhất. &nbsp;</span></div><div class="f kv _SWb" style="box-sizing: border-box; margin: 0px; padding: 0px; border: 0px; outline: 0px; font-size: small; vertical-align: baseline; background: transparent; position: relative; max-width: 100%; text-wrap: nowrap; color: rgb(128, 128, 128); height: 18px; line-height: 16px; font-family: arial, sans-serif;"><span style="box-sizing: border-box; margin: 0px; padding: 0px; border: 0px; outline: 0px; font-size: 16px; vertical-align: baseline; background: transparent; max-width: 100%; color: rgb(0, 0, 0); font-family: RobotoSlab-Regular, Arial, Helvetica, sans-serif; text-align: justify; text-wrap: wrap !important;">Chữa&nbsp;</span><span style="box-sizing: border-box; margin: 0px; padding: 0px; border: 0px; outline: 0px; font-size: 16px; vertical-align: baseline; background: transparent; max-width: 100%; color: rgb(0, 0, 0); font-family: RobotoSlab-Regular, Arial, Helvetica, sans-serif; text-wrap: wrap !important;">thoát vị đĩa đệm ở Gò Vấp; 856/6 Quang Trung.</span></div><div class="f kv _SWb" style="box-sizing: border-box; margin: 0px; padding: 0px; border: 0px; outline: 0px; font-size: small; vertical-align: baseline; background: transparent; position: relative; max-width: 100%; text-wrap: nowrap; color: rgb(128, 128, 128); height: 18px; line-height: 16px; font-family: arial, sans-serif;">&nbsp;</div>]]></content:encoded>
						<wfw:commentRss></wfw:commentRss>
						<slash:comments>0</slash:comments>
					</item>
				
					<item>
						<title>Chữa thoát vị đĩa đệm không cần phẫu thuật</title>
						<link>https://chuabenhthoatvidiadem.vn/bai-viet/kham-chua-benh-thoat-vi-dia-dem/chua-thoat-vi-dia-dem-khong-can-phau-thuat-pid-306.html</link>
						<comments></comments>
						<pubDate>Sat, 08 Oct 2022 09:31:51 +0700</pubDate>
						<dc:creator>admin</dc:creator>
						<category><![CDATA[Khám chữa bệnh thoát vị đĩa đệm]]></category>
						<guid isPermaLink="false"></guid>
						<description><![CDATA[Chữa thoát vị đĩa đệm không cần phẫu thuật, không nằm viện. Đây là cách chữa của thầy thuốc đông y Nguyễn Văn Minh ở phòng khám đông y Bảo Minh. Lương y Nguyễn Văn Minh có kinh nghiệm trên 25 năm trong nghề; khám bệnh, bắt mạch, kê đơn thuốc điều trị thoát vị đĩa đệm.]]></description>
						<content:encoded><![CDATA[<p style="text-align: justify;"><span style="font-size:16px;">Bệnh&nbsp;thoát vị đĩa đệm chèn ép dây thần kinh, chèn ép bao màng cứng, làm hẹp lỗ liên hợp, hẹp ống sống. Nếu chỉ uống thuốc&nbsp;giảm đau, kháng viêm dãn&nbsp;cơ và tập vật lý trị liệu&nbsp;thì không chắc chữa khỏi&nbsp;bệnh. Khi đó bác sĩ khuyên người bệnh phẫu thật đĩa đệm để giải tỏa những con đau.</span></p><h2 style="text-align: justify;"><span style="font-size:16px;"><strong>Chữa thoát vị đĩa đệm không cần phẫu thuật</strong>. Chữa bằng thuốc đặc trị của nhà thuốc đông y Bảo Minh. Thuốc chữa hết đau, chữa hết nhức, hết tê bì chân tay, giúp người bệnh đi lại hoạt động hàng ngày không còn đau nhức gì nữa.&nbsp;Thuốc&nbsp;còn có tác dụng bổ xương khớp,&nbsp;tốt cho sức khỏe.</span></h2><h3><span style="font-size:16px;"><a title="" href="https://chuabenhthoatvidiadem.vn/resources/files/Ghi âm cuộc gọi Đoan Trang Nhật Yến 90 TV Nặng 1_ 24_240312_090339 (1).mp3">Chữa thoát vị đĩa đệm không cần phẫu thuật</a></span></h3><p style="text-align: justify;"><span style="color: rgb(0, 0, 0); font-family: RobotoSlab-Regular, Arial, Helvetica, sans-serif; font-size: 16px; text-align: justify;">Những người bị thoát vị đĩa đệm nhẹ, triệu chứng đau nhức không cần phải xem hết, nghe hết nội dung ở trang web này. Những trường hợp thoát vị đĩa đệm nặng, uống thuốc và tập vật lý trị liệu không khỏi bệnh, bác sĩ chỉ định phẫu thuật đĩa đêm&nbsp;nhưng sợ mổ,&nbsp;hãy nghe hết và xem hết những nội dung mà&nbsp;quý bệnh nhân chữa&nbsp;khỏi bệnh chia sẻ ở đây.&nbsp;</span></p><p style="text-align: justify;"><span style="color: rgb(0, 0, 0); font-family: RobotoSlab-Regular, Arial, Helvetica, sans-serif; font-size: 16px; text-align: justify;">Trân trọng cảm ơn chị Đoàn Trang Nhật Yến đã chia sẻ nội dung, hình ảnh và kết quả chụp cộng hưởng từ MRI cột sống thắt lưng của chị.</span></p><p style="text-align: justify;"><span style="font-size:16px;">Xin&nbsp;cảm ơn quý khách đã tin tưởng và&nbsp;đồng ý cho chia sẻ sự thật ở đây, với mong muốn giúp&nbsp;người bệnh gặp thầy gặp thuốc.&nbsp;Sau này quý khách nào không muốn đưa tin&nbsp;ở đây nữa, chúng tôi sẽ rút xuống, trân trọng!</span></p><p><span style="font-size:16px;"><img loading="lazy" alt="Chữa thoát vị đĩa đệm không cần phẫu thuật" src="data:image/gif;base64,R0lGODlhAQABAID/AP///wAAACwAAAAAAQABAAACAkQBADs=" data-src="https://chuabenhthoatvidiadem.vn/resources/images/Chữa thoát vị đĩa đệm không cần phẫu thuật.jpg" style="width: 779px; height: 1200px;" class="lazy" width="779" height="1200" data-optimized="1" /></span></p><p><span style="font-size:14px;"><em>Hình ảnh thoát vị đĩa đệm L4-5 trên phim chụp cộng hưởng từ MRI</em></span></p><p><span style="font-size:14px;"><em><img loading="lazy" alt="Chữa thoát vị đĩa đệm không cần phẫu thuật" src="data:image/gif;base64,R0lGODlhAQABAID/AP///wAAACwAAAAAAQABAAACAkQBADs=" data-src="https://chuabenhthoatvidiadem.vn/resources/images/Chữa thoát vị đĩa đệm không cần phẫu thuật (2).jpg" style="width: 926px; height: 1200px;" class="lazy" width="926" height="1200" data-optimized="1" /></em></span></p><p style="text-align: justify;"><span style="font-size:16px;">Mức độ thoát vị đĩa đệm nặng; bác sĩ yêu cầu phải phẫu thuật thoát vị đĩa đệm mới hết đau nhức. Chị Yến không muốn mổ, tìm cách chữa thoát vị đĩa đệm tại&nbsp;phòng khám đông y Bảo Minh.</span></p><p style="text-align: justify;"><span style="font-size: 16px;">Quý khách nào&nbsp;muốn chữa thoát vị đĩa đệm&nbsp;không cần phẫu thuật, hãy tìm hiểu cách chữa rất tốt bằng thuốc đông y ở trang web này.</span></p><p style="text-align: justify;"><span style="font-size:16px;"><img loading="lazy" alt="Chữa thoát vị đĩa đệm không cần phẫu thuật" src="data:image/gif;base64,R0lGODlhAQABAID/AP///wAAACwAAAAAAQABAAACAkQBADs=" data-src="https://chuabenhthoatvidiadem.vn/resources/images/Chữa thoát vị đĩa đệm không cần phẫu thuật (3).jpg" style="width: 857px; height: 1200px;" class="lazy" width="857" height="1200" data-optimized="1" /></span></p><p style="text-align: justify;"><span style="font-size:16px;">Bác Thanh bị thoát vị đĩa đệm L4-5 ra sau tới 9mm, chèn ép rễ&nbsp;thần kinh, ép mặt trước bao màng cứng, làm hẹp ống sống ngang mức L4-5, với&nbsp;đường kính trước sau bao màng cứng ngang mức này #4mm. (hẹp nặng ống sống). Mời quý khách bấm vào ô dưới nghe bác Thanh kể rất thật, về quá trình đi chữa thoát vị đĩa đệm của bác.</span></p><h4><span style="font-size:16px;"><a title="" href="https://chuabenhthoatvidiadem.vn/resources/files/Ghi âm cuộc gọi Phùng Quang Thanh 61 Tv Nặng Nha Trang 1_ 24_240128_103334 (2) (1).mp3">Chữa thoát vị đĩa đệm không cần phẫu thuật&nbsp;</a></span></h4><p style="text-align: justify;"><span style="font-size:16px;">Trân trọng cảm&nbsp;ơn bác Phùng Quang Thanh ở Nha Trang, Khánh Hòa. Bác đồng ý chia sẻ phản hồi về cách chữa thoát vị đĩa đệm không cần phẫu thuật.&nbsp;&nbsp;</span></p><p style="text-align: justify;"><span style="font-size:16px;">Mời bạn đọc bấm vào video dưới đây để nghe bác Nguyễn Văn Chính ở Quận Bình Thạnh, TP.HCM chia sẻ ý kiến sau khi được Lương y Nguyễn Văn Minh chữa khỏi bệnh. Năm trước, bác Chính có đến khám bệnh thoát vị đĩa đệm, ở phòng khám đông y Bảo Minh. Năm nay bác ghé phòng khám để chữa căn bệnh khác, khi Lương y Minh hỏi thăm, bác&nbsp;Chính đồng ý kể lại quá trình chữa bệnh ở phòng khám, nhờ đó mà bác&nbsp;không cần phẫu thuật cột sống đĩa đệm.</span></p><p><span class="optimize-cls-iframe" data-src="https://www.youtube.com/embed/qSgsr1hAjtA">https://www.youtube.com/embed/qSgsr1hAjtA</span></p><p style="text-align: justify;"><span style="font-size:16px;">Năm 2015&nbsp;bác Chính có đến khám bệnh và mua thuốc chữa&nbsp;thoát vị đĩa đệm,&nbsp;ở phòng khám đông y Bảo Minh. Một năm sau,&nbsp;năm 2016 bác ghé phòng khám để chữa căn bệnh khác, khi Lương y Minh hỏi thăm, bác Chính đồng ý kể lại quá trình chữa bệnh ở phòng khám, nhờ đó mà bác không cần phẫu thuật cột sống đĩa đệm.</span></p><p style="text-align: justify;"><span style="font-size:16px;">Được sự đồng ý của&nbsp;bác Chính, Lương y Nguyễn Văn Minh có đăng video trên lên kênh&nbsp;<a data-ved="2ahUKEwjf7-q4itL6AhXIAN4KHYYlB5oQFnoECD8QAQ" href="https://www.youtube.com/channel/UCMrl47bRL4MgAguyRi48mEw" ping="/url?sa=t&amp;source=web&amp;rct=j&amp;url=https://www.youtube.com/channel/UCMrl47bRL4MgAguyRi48mEw&amp;ved=2ahUKEwjf7-q4itL6AhXIAN4KHYYlB5oQFnoECD8QAQ" style="color: rgb(26, 13, 171); font-size: small; text-align: justify; text-decoration-line: none; -webkit-tap-highlight-color: rgba(0, 0, 0, 0.1); outline: 0px; font-family: arial, sans-serif;" title="">YouTube</a>&nbsp;-&nbsp;<a data-ved="2ahUKEwjf7-q4itL6AhXIAN4KHYYlB5oQFnoECD8QAQ" href="https://www.youtube.com/channel/UCMrl47bRL4MgAguyRi48mEw" ping="/url?sa=t&amp;source=web&amp;rct=j&amp;url=https://www.youtube.com/channel/UCMrl47bRL4MgAguyRi48mEw&amp;ved=2ahUKEwjf7-q4itL6AhXIAN4KHYYlB5oQFnoECD8QAQ" style="color: rgb(26, 13, 171); text-decoration-line: none; -webkit-tap-highlight-color: rgba(0, 0, 0, 0.1); outline: 0px; font-family: arial, sans-serif; font-size: small;" title="">Lương y Nguyễn Văn Minh</a>. Xin trân trọng cảm ơn bác Nguyễn Văn Chính.</span></p><p style="text-align: justify;"><span style="color: rgb(0, 0, 0); font-family: RobotoSlab-Regular, Arial, Helvetica, sans-serif; font-size: 16px; text-align: justify;">Địa chỉ phòng khám chữa&nbsp;thoát vị đĩa đệm ở TP.HCM: Số nhà&nbsp;</span><a data-="" href="https://www.google.com.vn/url?sa=t&amp;rct=j&amp;q=&amp;esrc=s&amp;source=web&amp;cd=35&amp;ved=0ahUKEwi18Nfe9t_WAhVCp48KHVP5Dj04HhAWCDgwBA&amp;url=http%3A%2F%2Fchuabenhthoatvidiadem.vn%2Fcach-chua-benh%2Fdia-chi-chua-benh-thoat-vi-dia-dem-pid-73.html&amp;usg=AOvVaw1iT_X0Y0CWxMGEvxhL0VXX" style="box-sizing: border-box; margin: 0px; padding: 0px; border: 0px; outline: 0px; font-size: 16px; vertical-align: baseline; background-image: initial; background-position: initial; background-size: initial; background-repeat: initial; background-attachment: initial; background-origin: initial; background-clip: initial; color: rgb(102, 0, 153); text-decoration-line: none; transition: all 406ms ease-out 0s; max-width: 100%; font-family: RobotoSlab-Regular, Arial, Helvetica, sans-serif; text-align: justify; cursor: pointer;" target="_blank" title="">856/6 Quang Trung, Phường 8, Quận Gò Vấp.<span style="font-size:16px;">&nbsp;</span></a><span style="font-size:16px;">Điện thoại có Zalo: 0913503552 - Điện thoại cố định; (028) 6295 1367</span></p><p style="text-align: justify;"><span style="font-size: 16px;">Trang Web của phòng khám có 2 tên miền, đã đăng ký bảo hộ và thông báo với Bộ Công Thương Việt Nam;&nbsp;</span></p><p><span style="font-size:16px;">&nbsp;https://thoatvidiadem.top và https://chuabenhthoatvidiadem.vn</span></p><p style="box-sizing: border-box; margin: 0px 0px 10px; padding: 0px; border: 0px; outline: 0px; font-size: 16px; vertical-align: baseline; background-image: initial; background-position: initial; background-size: initial; background-repeat: initial; background-attachment: initial; background-origin: initial; background-clip: initial; max-width: 100%; color: rgb(0, 0, 0); font-family: RobotoSlab-Regular, Arial, Helvetica, sans-serif;"><span style="color: rgb(0, 0, 0); font-family: RobotoSlab-Regular, Arial, Helvetica, sans-serif; font-size: 16px;">Quý khách muốn khám thoát vị đĩa đệm ở Gò Vấp</span><span style="color: rgb(0, 0, 0); font-family: RobotoSlab-Regular, Arial, Helvetica, sans-serif; font-size: 16px;">:&nbsp;</span><span style="background-color: transparent;">Nên sử dụng Google Map chỉ đường đến tận nơi.</span></p>]]></content:encoded>
						<wfw:commentRss></wfw:commentRss>
						<slash:comments>0</slash:comments>
					</item>
				
					<item>
						<title>Chữa thoát vị đĩa đệm không cần mổ</title>
						<link>https://chuabenhthoatvidiadem.vn/bai-viet/benh-thoat-vi-dia-dem/chua-thoat-vi-dia-dem-khong-can-mo-pid-305.html</link>
						<comments></comments>
						<pubDate>Sat, 08 Oct 2022 05:35:17 +0700</pubDate>
						<dc:creator>admin</dc:creator>
						<category><![CDATA[Bệnh thoát vị đĩa đệm]]></category>
						<guid isPermaLink="false"></guid>
						<description><![CDATA[Thầy thuốc đông y Nguyễn Văn Minh, phụ trách phòng khám đông y Bảo Minh ở TP.HCM. Ông đã chữa khỏi thoát vị đĩa đệm cho rất nhiều người, giúp họ không cần mổ thoát vị đĩa đệm. Khi khám bệnh cho họ, ông căn cứ vào kết quả chụp cộng hưởng từ cột sống để kê đơn thuốc phù hợp nhất, tốt nhất theo cơ địa và mức độ bệnh của họ nên tỉ lệ chữa khỏi bệnh luôn ở mức cao.]]></description>
						<content:encoded><![CDATA[<p style="text-align: justify;"><span style="font-size:18px;">Chữa thoát vị đĩa đệm không cần mổ, là cách chữa bảo tồn cột sống đĩa đệm&nbsp;của y học cổ truyền, giúp người bệnh không cần&nbsp;phẫu thuật. Cách chữa này quan trọng nhất là dùng thuốc uống để bổ cho xương cột sống chắc khỏe, bổ&nbsp;cho&nbsp;gân cơ dây chằng đĩa đệm thêm dẻo dai chắc chắn để sau này nhân nhầy&nbsp;đĩa đệm không thoát ra ngoài bao xơ&nbsp;được nữa.&nbsp;</span></p><p style="text-align: justify;"><span style="font-size:16px;">Thầy thuốc đông y hoặc&nbsp;bác sĩ&nbsp;chữa thoát vị đĩa đệm giỏi, không thể tự mình nhận là chữa giỏi được, mà phải do người bệnh nhận xét. Chính vì vậy nên chúng tôi&nbsp;luôn tôn trọng ý kiến nhận xét chân thực từ phía khách hàng, do những cuộc hội thoại hoàn toàn tự nhiên, nên bạn đọc nào cần tìm hiểu kỹ về cách chữa bệnh, nên nghe hết để&nbsp;quyết định chữa thoát vị đĩa đệm&nbsp;ở đâu là tốt nhất.</span></p><p style="text-align: justify;"><span style="font-size: 16px;">Để khách quan trong việc đánh giá, mời bạn đọc bấm vào liên kết dưới đây để nghe ý kiến của một chị gần 50&nbsp;tuổi, nhà ở Sài Gòn. Chị bị thoát vị đĩa đệm tầng L5/S1 ra sau 7mm, chèn ép bao màng cứng, chèn ép rễ S1 bên phải...Bác sĩ chuyên khoa ngoại thần kinh chỉ định mổ,&nbsp;chị được người quen giới thiệu,&nbsp;cho số điện thoại</span><span style="font-size: 16px;">&nbsp;của Lương y Nguyễn Văn Minh.</span></p><p><span style="font-size:16px;"><a href="https://chuabenhthoatvidiadem.vn/resources/files/Chữa thoát vị đĩa đệm.mp3" style="text-align: justify;" title="">Chữa thoát vị đĩa đệm không cần mổ</a></span></p><p style="text-align: justify;"><span style="font-size:16px;">Lương y Nguyễn Văn Minh đã chữa thoát vị đĩa đêm cho rất nhiều người khỏi bệnh,&nbsp;phòng khám chỉ đăng tin khi quý khách hoặc người nhà&nbsp;đồng ý chia sẻ ý kiến. Sau này&nbsp;quý khách không muốn chia sẻ ở đây nữa, chúng tôi sẽ gỡ&nbsp;bài đăng xuống, xin trân trọng cảm ơn quý khách.</span></p><p style="text-align: justify;"><span style="font-size:16px;"><a href="https://chuabenhthoatvidiadem.vn/resources/files/Ghi âm cuộc gọi Chị Hoa 67 Tv Khỏi_181204_094556.mp3" title="">Chữa&nbsp;khỏi thoát vị đĩa đệm, không phải mổ theo chỉ định của bác sĩ</a></span></p><p style="text-align: justify;"><img loading="lazy" alt="Chữa thoát vị đĩa đệm không cần mổ" src="data:image/gif;base64,R0lGODlhAQABAID/AP///wAAACwAAAAAAQABAAACAkQBADs=" data-src="https://chuabenhthoatvidiadem.vn/resources/images/thoatvidiadem vn.jpg" style="width: 720px; height: 960px;" class="lazy" width="720" height="960" data-optimized="1" /></p><p style="text-align: justify;"><em>Một phần hình ảnh trên phim chụp cộng hưởng từ cột sống.</em></p><p style="text-align: justify;"><span style="font-size:16px;">Nếu quý khách không muốn mổ&nbsp;thoát vị đĩa đệm, nên bấm vào đường link ở dưới để nghe và cảm nhận sự chân thực.</span></p><p style="text-align: justify;"><span style="font-size: 16px;"><a href="https://chuabenhthoatvidiadem.vn/resources/files/Bác Chính khỏi TVDD.mp3" title="">Chữa thoát vị đĩa đệm không cần mổ</a></span></p><p style="text-align: justify;"><span style="font-size: 16px;">Nếu quý khách nào ở Bình Phước, nên tham khảo cách chữa bệnh ở video dưới đây. Phòng khám đông y Bảo Minh trân trọng cảm ơn bà bệnh nhân, đã đồng ý cho ghi hình nội dung này.</span></p><p style="text-align: justify;"><span class="optimize-cls-iframe" data-src="https://www.youtube.com/embed/aRyWWAbNLq8">https://www.youtube.com/embed/aRyWWAbNLq8</span></p><p style="text-align: justify;"><span style="font-size: 16px; text-align: justify;">Muốn chữa thoát vị đĩa đệm tốt nhất,&nbsp;phải có kết quả chụp cộng hưởng từ cột sống, hay còn gọi là chụp MRI cột sống. Nếu&nbsp;chụp X quang thì không phát hiện được thoát vị đĩa đệm, chụp&nbsp;X quang cột sống chỉ phát hiện được&nbsp;thoái hóa cột sống,&nbsp;gai cột sống, trượt, lệch, hoặc xẹp đốt sống.&nbsp;Do chụp MRI có giá cao hơn hàng chục lần&nbsp;so với chụp X quang, nếu người bệnh&nbsp;có BHYT sẽ được thanh toán&nbsp;một phần.&nbsp;&nbsp;</span></p><p style="text-align: justify;"><span style="font-size: 16px; text-align: justify;"><img loading="lazy" alt="Phiếu kết quả MRI" src="data:image/gif;base64,R0lGODlhAQABAID/AP///wAAACwAAAAAAQABAAACAkQBADs=" data-src="https://chuabenhthoatvidiadem.vn/resources/images/Chữa thoát vị đĩa đệm(2).jpg" style="width: 767px; height: 819px;" class="lazy" width="767" height="819" data-optimized="1" /></span></p><p style="text-align: justify;"><span style="font-size:14px;"><em>Phiếu kết quả chụp MRI của một bệnh nhân nam 61 tuổi, do bác sĩ ở bệnh viện Thống Nhất, TP.HCM thực hiện.</em></span></p><p style="text-align: justify;"><span style="font-size:16px;">Chúng tôi chỉ chia sẻ nội dung, thông tin địa chỉ, bệnh án thoát vị đĩa đệm...khi được sự đồng ý của&nbsp;quý khách. Sau này, bất cứ lý do gì mà&nbsp;quý khách không muốn chia sẻ ở đây nữa, chúng tôi sẽ gỡ bỏ thông tin xuống. </span></p><p style="text-align: justify;"><a href="https://chuabenhthoatvidiadem.vn/resources/files/Ghi âm cuộc gọi 0987839357_thanh phong_084006.mp3" style="font-size: 16px; text-align: justify;" title="">Chữa khỏi thoát vị đĩa đệm&nbsp;</a></p><p style="text-align: justify;"><span style="font-size:16px;">Xin trân trọng cảm ơn quý khách.</span></p><p style="text-align: justify;"><span style="font-size:16px;"><img loading="lazy" alt="Chữa thoát vị đĩa đệm không cần mổ" src="data:image/gif;base64,R0lGODlhAQABAID/AP///wAAACwAAAAAAQABAAACAkQBADs=" data-src="https://chuabenhthoatvidiadem.vn/resources/images/Thoatvidiadem top(1).jpg" style="width: 745px; height: 962px;" class="lazy" width="745" height="962" data-optimized="1" /></span></p><p style="text-align: justify;"><em><span style="font-size:14px;">Kết quả chụp cộng hưởng từ (MRI), của một bệnh nhân <span style="text-align: justify;">nam&nbsp;</span>55 tuổi, do bác sĩ ở bệnh viện Chợ Rẫy, TP.HCM thực hiện.</span></em></p><p style="text-align: justify;"><span style="font-size: 16px; text-align: justify;">Ngoài việc uống thuốc thang đông y, tùy vào mức độ thoát vị đĩa đệm của mỗi bệnh nhân, thầy thuốc sẽ chỉ định kết hợp thêm&nbsp;một hoặc nhiều thủ thuật hỗ trợ thêm,&nbsp;như; thuốc xoa bóp cột sống, châm cứu điện, cấy chỉ, xoa bóp day ấn huyệt, tác động&nbsp;cột sống, vật lý trị liệu&nbsp;kéo giãn cột sống, đắp thuốc cột sống,&nbsp;bó thuốc nam.v.v. Tùy theo tình trạng thoát vị đĩa đệm như thế nào, thầy thuốc sẽ hướng dẫn thêm các bài tập thể dục tốt cho người bệnh.</span></p><p style="box-sizing: border-box; margin: 0px 0px 10px; padding: 0px; border: 0px; outline: 0px; font-size: 16px; vertical-align: baseline; background-image: initial; background-position: initial; background-size: initial; background-repeat: initial; background-attachment: initial; background-origin: initial; background-clip: initial; max-width: 100%; color: rgb(0, 0, 0); font-family: RobotoSlab-Regular, Arial, Helvetica, sans-serif;"><span style="box-sizing: border-box; margin: 0px; padding: 0px; border: 0px; outline: 0px; vertical-align: baseline; background: transparent; max-width: 100%;">Trang web của phòng khám chuyên trị&nbsp;</span><a data-ved="2ahUKEwjTv828lPj3AhXaqFYBHYknBQEQFnoECAIQAQ" href="https://chuabenhthoatvidiadem.vn/" ping="/url?sa=t&amp;source=web&amp;rct=j&amp;url=https://chuabenhthoatvidiadem.vn/&amp;ved=2ahUKEwjTv828lPj3AhXaqFYBHYknBQEQFnoECAIQAQ" style="box-sizing: border-box; margin: 0px; padding: 0px; border: 0px; outline: 0px; font-size: small; vertical-align: baseline; background: transparent; color: rgb(26, 13, 171); text-decoration-line: none; transition: all 406ms ease-out 0s; max-width: 100%; -webkit-tap-highlight-color: rgba(0, 0, 0, 0.1); font-family: arial, sans-serif;" title="">Thoát Vị Đĩa Đệm</a>:</p><p style="box-sizing: border-box; margin: 0px 0px 10px; padding: 0px; border: 0px; outline: 0px; font-size: 16px; vertical-align: baseline; background-image: initial; background-position: initial; background-size: initial; background-repeat: initial; background-attachment: initial; background-origin: initial; background-clip: initial; max-width: 100%; color: rgb(0, 0, 0); font-family: RobotoSlab-Regular, Arial, Helvetica, sans-serif;"><span style="box-sizing: border-box; margin: 0px; padding: 0px; border: 0px; outline: 0px; vertical-align: baseline; background: transparent; max-width: 100%;">https://thoatvidiadem.top và</span></p><p style="box-sizing: border-box; margin: 0px 0px 10px; padding: 0px; border: 0px; outline: 0px; font-size: 16px; vertical-align: baseline; background-image: initial; background-position: initial; background-size: initial; background-repeat: initial; background-attachment: initial; background-origin: initial; background-clip: initial; max-width: 100%; color: rgb(0, 0, 0); font-family: RobotoSlab-Regular, Arial, Helvetica, sans-serif;"><span style="box-sizing: border-box; margin: 0px; padding: 0px; border: 0px; outline: 0px; vertical-align: baseline; background: transparent; max-width: 100%;">https://chuabenhthoatvidiadem.vn</span></p><p style="box-sizing: border-box; margin: 0px 0px 10px; padding: 0px; border: 0px; outline: 0px; font-size: 16px; vertical-align: baseline; background-image: initial; background-position: initial; background-size: initial; background-repeat: initial; background-attachment: initial; background-origin: initial; background-clip: initial; max-width: 100%; color: rgb(0, 0, 0); font-family: RobotoSlab-Regular, Arial, Helvetica, sans-serif;">Phòng khám chuyên chữa thoát vị đĩa đệm ở Tp. Hồ Chí Minh: 856/6 Quang Trung, Quận Gò Vấp. Điện thoại có&nbsp;Zalo của Lương y Nguyễn Văn Minh: 0913503552. Nhà riêng;&nbsp;(028) 6295 1367</p>]]></content:encoded>
						<wfw:commentRss></wfw:commentRss>
						<slash:comments>0</slash:comments>
					</item>
				
					<item>
						<title>Thuốc chữa thoát vị đĩa đệm </title>
						<link>https://chuabenhthoatvidiadem.vn/bai-viet/thuoc-dong-y-tri-thoat-vi-dia-dem/thuoc-chua-thoat-vi-dia-dem-pid-290.html</link>
						<comments></comments>
						<pubDate>Tue, 15 Dec 2020 10:50:18 +0700</pubDate>
						<dc:creator>admin</dc:creator>
						<category><![CDATA[Thuốc đông y trị thoát vị đĩa đệm ]]></category>
						<guid isPermaLink="false"></guid>
						<description><![CDATA[Thuốc chữa thoát vị đĩa đệm của Mỹ, thuốc trị thoát vị đĩa đệm của Nhật, thuốc chữa thoát vị đĩa đệm của Đức, thuốc đông y trị thoát vị đĩa đệm của Việt Nam, loại thuốc nào tốt? Thuốc chữa thoát vị đĩa đệm tốt nhất hiện nay là thuốc gì? Bị thoát vị đĩa đệm uống thuốc tây kháng viêm giảm đau nhiều có tốt không? Thuốc đông y chữa thoát vị đĩa đệm có khỏi được không.v.v. Mời quý khách xem thầy thuốc chuyên chữa thoát vị đĩa đệm ở Gò Vấp tư vấn: Thoát vị đĩa đệm mức độ nào, nên uống thuốc gì là tốt nhất.]]></description>
						<content:encoded><![CDATA[<p style="text-align: justify;"><span style="font-size: 16px;">Thuốc chữa thoát vị đĩa đệm tốt nhất hiện nay là thuốc gì? Bị thoát vị đĩa đệm uống thuốc tây&nbsp;kháng viêm, giãn cơ,&nbsp;giảm đau nhiều có tốt không? Thuốc đông y chữa thoát vị đĩa đệm có khỏi được không.v.v. Thầy thuốc chuyên chữa thoát vị đĩa đệm ở Gò Vấp, TP. HCM tư vấn: loại&nbsp;thuốc nào chữa bệnh&nbsp;phù hợp với trường hợp nào, bệnh nặng mức độ nào thì chữa bằng thuốc đông y sắc uống</span></p><h2 style="text-align: justify;"><span style="font-size: 16px; text-align: justify;">Thuốc chữa thoát vị đĩa đệm của Mỹ.&nbsp;Thuốc trị thoát vị đĩa đệm của Nhật. Thuốc chữa thoát vị đĩa đệm của Đức.&nbsp;Thuốc chữa thoát vị đĩa đệm của Việt Nam. Thuốc nào là thuốc chữa thoát vị đĩa đệm&nbsp;tốt nhất, chữa hết đau hết nhức, ngưng uống thuốc không bị đau lại?</span><span style="font-size:16px;">&nbsp;</span></h2><h3><a title="" href="https://chuabenhthoatvidiadem.vn/resources/files/Bác Mỹ Lệ khỏi thoát vị đĩa đệm.mp3" style="text-align: justify;"><span style="font-size: 16px;">Thuốc chữa thoát vị đĩa đệm đông y</span></a></h3><p><img loading="lazy" alt="Thuốc chữa thoát vị đĩa đệm " src="data:image/gif;base64,R0lGODlhAQABAID/AP///wAAACwAAAAAAQABAAACAkQBADs=" data-src="https://chuabenhthoatvidiadem.vn/resources/images/Thuốc chữa thoát vị đĩa đêm.jpg" style="opacity: 0.9; text-align: justify; width: 1280px; height: 1105px;" class="lazy" width="1280" height="1105" data-optimized="1" /></p><table align="center" border="4" cellpadding="4" cellspacing="4" style="width:600px;"><caption>Thuốc chữa thoát vị đĩa đệm</caption><thead><tr><td>Thầy thuốc trị thoát vị đĩa đệm</td><td>Lương y Nguyễn Văn Minh</td></tr></thead><tbody><tr><td><strong>Thuốc chữa bệnh thoát vị đĩa đệm</strong></td><td>Thuốc đông y đặc trị sắc uống</td></tr><tr><td><strong>Kinh nghiệm chữa bệnh</strong></td><td>Trên 25 năm chuyên trị thoát vị đĩa đệm</td></tr><tr><td><strong>Giấy phép khám chữa bệnh:</strong></td><td>003648/HCM- CCHN</td></tr><tr><td><strong>Địa chỉ phòng khám:</strong></td><td>856/6 Quang Trung, Quận Gò Vấp,TPHCM</td></tr><tr><td><strong>Trang web:</strong></td><td><p>https://chuabenhthoatvidiadem.vn</p><p>https://thoatvidiadem.top</p></td></tr><tr><td><strong>Thầy thuốc tư vấn cách trị bệnh</strong></td><td>0913503552. Gặp trực tiếp thầy thuốc</td></tr></tbody></table><h4 style="box-sizing: border-box; margin: 20px 0px 10px; padding: 0px; border: 0px; outline: 0px; font-size: 30px; vertical-align: baseline; background-image: initial; background-position: initial; background-size: initial; background-repeat: initial; background-attachment: initial; background-origin: initial; background-clip: initial; font-family: RobotoSlab-Regular, Arial, Helvetica, sans-serif; line-height: inherit; color: rgb(0, 0, 0); max-width: 100%; text-align: justify;"><span style="box-sizing: border-box; margin: 0px; padding: 0px; border: 0px; outline: 0px; font-size: 16px; vertical-align: baseline; background: transparent; max-width: 100%;">Bài thuốc chữa thoát vị đĩa đệm có gần 30 vị thuốc,&nbsp;dưới đây là 21&nbsp;vị thuốc chủ lực, sau khi khám bệnh&nbsp;và&nbsp;có kết quả&nbsp;chụp cộng hưởng từ cột sống, rồi&nbsp;căn cứ&nbsp;cơ địa&nbsp;của từng người, Lương y Nguyễn Văn Minh sẽ bổ&nbsp;thêm những vị thuốc đặc trị. Chính vì&nbsp;vậy bài thuốc luôn đạt hiệu quả tối ưu trong điều trị thoát vị đĩa đệm cột sống.</span></h4><p style="box-sizing: border-box; margin: 0px 0px 10px; padding: 0px; border: 0px; outline: 0px; font-size: 16px; vertical-align: baseline; background-image: initial; background-position: initial; background-size: initial; background-repeat: initial; background-attachment: initial; background-origin: initial; background-clip: initial; max-width: 100%; color: rgb(0, 0, 0); font-family: RobotoSlab-Regular, Arial, Helvetica, sans-serif;"><span style="box-sizing: border-box; margin: 0px; padding: 0px; border: 0px; outline: 0px; vertical-align: baseline; background: transparent; max-width: 100%;">1- Mộc qua 12 gr (tẩm dấm ăn, sao chín)&nbsp;</span></p><p style="box-sizing: border-box; margin: 0px 0px 10px; padding: 0px; border: 0px; outline: 0px; font-size: 16px; vertical-align: baseline; background-image: initial; background-position: initial; background-size: initial; background-repeat: initial; background-attachment: initial; background-origin: initial; background-clip: initial; max-width: 100%; color: rgb(0, 0, 0); font-family: RobotoSlab-Regular, Arial, Helvetica, sans-serif;"><span style="box-sizing: border-box; margin: 0px; padding: 0px; border: 0px; outline: 0px; vertical-align: baseline; background: transparent; max-width: 100%;">2-&nbsp; Đương quy 16 gr (bào mỏng, phơi khô, sao vàng hạ thổ)&nbsp;</span></p><p style="box-sizing: border-box; margin: 0px 0px 10px; padding: 0px; border: 0px; outline: 0px; font-size: 16px; vertical-align: baseline; background-image: initial; background-position: initial; background-size: initial; background-repeat: initial; background-attachment: initial; background-origin: initial; background-clip: initial; max-width: 100%; color: rgb(0, 0, 0); font-family: RobotoSlab-Regular, Arial, Helvetica, sans-serif;"><span style="box-sizing: border-box; margin: 0px; padding: 0px; border: 0px; outline: 0px; vertical-align: baseline; background: transparent; max-width: 100%;">3-&nbsp; Ngưu tất 20&nbsp;gr&nbsp;(ủ rượu, bào mỏng, sao khô)<br style="box-sizing: border-box; max-width: 100%;" />4- Thục địa&nbsp;20 gr&nbsp;(&nbsp;lão sinh địa nấu với sa nhân theo công thức gia truyền, không bị đầy bụng)<br style="box-sizing: border-box; max-width: 100%;" />5- Sơn thù 12 gr (bỏ hạt, tẩm dấm ăn sao khô)<br style="box-sizing: border-box; max-width: 100%;" />6- Cẩu tích 16 gr (sao nước muối nhạt)<br style="box-sizing: border-box; max-width: 100%;" />7- Tang ký sinh 16 gr (sao chín)&nbsp;<br style="box-sizing: border-box; max-width: 100%;" />8- Tục đoạn 16 gr (tẩy rượu sao chín)<br style="box-sizing: border-box; max-width: 100%;" />9- Đan sâm&nbsp;20 gr (ủ rượu, bào mỏng, sao khô)<br style="box-sizing: border-box; max-width: 100%;" />10- Xích thược 12 gr (ủ mềm, bào mỏng, phơi khô, sao chín)<br style="box-sizing: border-box; max-width: 100%;" />11- Hà thủ ô đỏ 20 gr (nấu chung với đậu đen xanh lòng, sấy khô)&nbsp;<br style="box-sizing: border-box; max-width: 100%;" />12- Chánh hoài sơn 20 gr (sao vàng hạ thổ)&nbsp;<br style="box-sizing: border-box; max-width: 100%;" />13- Dạ giao đằng 12&nbsp;gr&nbsp;<br style="box-sizing: border-box; max-width: 100%;" />14-&nbsp; Bạch phục linh 16 gr&nbsp;<br style="box-sizing: border-box; max-width: 100%;" />15-&nbsp; Đỗ trọng 20 gr (tẩm nước muối nhạt sao khô)&nbsp;<br style="box-sizing: border-box; max-width: 100%;" />16- Thương truật 16 gr (tẩm nước vo gạo sao vàng hạ thổ)<br style="box-sizing: border-box; max-width: 100%;" />17- Độc hoạt 10 gr (rửa sạch, thái mỏng, phơi thật khô, sao nhẹ)<br style="box-sizing: border-box; max-width: 100%;" />18- Tần giao xoắn&nbsp;24 gr (bào mỏng, sấy khô, sao qua)<br style="box-sizing: border-box; max-width: 100%;" />19- Hồng hoa nhẹ&nbsp;12 gr (hồng hoa Tây Tạng, loại xịn)<br style="box-sizing: border-box; max-width: 100%;" />20- Khương hoạt dẻo&nbsp;12 gr (thái miếng, sấy nhẹ cho khô).</span></p><p style="box-sizing: border-box; margin: 0px 0px 10px; padding: 0px; border: 0px; outline: 0px; font-size: 16px; vertical-align: baseline; background-image: initial; background-position: initial; background-size: initial; background-repeat: initial; background-attachment: initial; background-origin: initial; background-clip: initial; max-width: 100%; color: rgb(0, 0, 0); font-family: RobotoSlab-Regular, Arial, Helvetica, sans-serif;"><span style="box-sizing: border-box; margin: 0px; padding: 0px; border: 0px; outline: 0px; vertical-align: baseline; background: transparent; max-width: 100%;">21- Tế tân (chánh tế tân)&nbsp;&nbsp;12 gr</span></p><p><img loading="lazy" alt="Thuốc chữa thoát vị đĩa đệm" src="data:image/gif;base64,R0lGODlhAQABAID/AP///wAAACwAAAAAAQABAAACAkQBADs=" data-src="https://chuabenhthoatvidiadem.vn/resources/images/Lương y Nguyễn Văn Minh (2).jpg" style="width: 1024px; height: 763px;" class="lazy" width="1024" height="763" data-optimized="1" /></p><p style="text-align: justify;"><em>Thuốc chữa thoát vị đĩa đệm tốt nhất hiện nay là thuốc thang sắc uống, vì&nbsp;thuốc được kê đơn đúng với mức độ thoát vị đĩa đệm của mỗi người.</em></p><p style="text-align: justify;"><em><img loading="lazy" alt="Thuốc chữa thoát vị đĩa đệm " src="data:image/gif;base64,R0lGODlhAQABAID/AP///wAAACwAAAAAAQABAAACAkQBADs=" data-src="https://chuabenhthoatvidiadem.vn/resources/images/Thuốc chữa thoát vị đĩa đệm(3).jpg" style="width: 900px; height: 1200px;" class="lazy" width="900" height="1200" data-optimized="1" /></em></p><p style="text-align: justify;"><span style="font-size:14px;"><em style="text-align: justify;">Thang thuốc đặc trị thoát vị đĩa đệm, Lương y Nguyễn Văn Minh khám và&nbsp;điều trị cho chị Hiền ở Trà Vinh.</em></span></p><p style="text-align: justify;"><img loading="lazy" alt="Thoat vi dia dem" src="data:image/gif;base64,R0lGODlhAQABAID/AP///wAAACwAAAAAAQABAAACAkQBADs=" data-src="https://chuabenhthoatvidiadem.vn/resources/images/Thoat vi dia dem(2).jpg" style="width: 676px; height: 739px;" class="lazy" width="676" height="739" data-optimized="1" /></p><p style="text-align: justify;"><span style="font-size:14px;"><em>Lương y Nguyễn Văn Minh đã xin phép&nbsp;chị </em></span><em style="font-size: 14px; text-align: justify;">Võ Thị Thu Hiền ở Trà Vinh, chị&nbsp;</em><span style="font-size:14px;"><em>đồng ý cho chia sẻ bệnh án, địa chỉ và số điện thoại để quý bạn đọc tham khảo.</em></span></p><p style="text-align: justify;"><span style="font-size: 16px;">Bạn đọc bấm vào mũi tên bên dưới, xem kinh nghiệm&nbsp;chữa thoát vị đĩa đệm của chị&nbsp;Hiền. Cách nay hơn&nbsp;3 năm, chị Hiền xem được anh Út ở Đồng Tháp chia sẻ&nbsp;số điện thoại trên trang web này, chị đã gọi điện hỏi anh Út, xem&nbsp;thuốc chữa thoát vị đĩa đệm của phòng khám đông y Bảo Minh có tốt không. Được anh Út mách tới chữa bệnh. Sau khi uống thuốc trị khỏi bệnh hơn 3 năm, hôm&nbsp;nay chị nhắn tin hỏi thăm, Lương y Nguyễn văn Minh&nbsp;đã gọi lại cho chị, dưới&nbsp;đây là nội dung cuộc trò chuyện.</span></p><p style="text-align: justify;"><a href="https://chuabenhthoatvidiadem.vn/resources/files/Thoatvidiadem Vo Thu Hien Tra Vinh.mp3" title="">Thuốc chữa thoát vị đĩa đệm</a></p><p style="text-align: justify;"><span style="font-size:16px;">Bác sĩ mô tả hình ảnh chụp MRI ở bệnh viện Chợ Rẫy của chị Hiền như sau;</span></p><p style="text-align: justify;"><span style="font-size:16px;">- Tín hiệu chóp tủy thấy được trên phim trong giới hạn bình thường</span></p><p style="text-align: justify;"><span style="font-size:16px;">- Hình dàng và tín hiệu các đốt sống thắt lưng trong giới hạn bình thường</span></p><p style="text-align: justify;"><span style="font-size:16px;">- Thoái hóa mất nước nhẹ đĩa đệm thắt lưng</span></p><p style="text-align: justify;"><span style="font-size:16px;">- Thoát vị đĩa đệm tầng L4/L5 ra sau # 5mm, dàng trung tâm đáy rộng, chèn ép rễ thần kinh L5 (T), hẹp ống sống và lỗ liên hợp hai bên.</span></p><p style="text-align: justify;"><span style="font-size:16px;">- Không thấy bất thường thành phần sau đốt sống</span></p><p style="text-align: justify;"><span style="font-size:16px;">- Không thấy bất thường phần mề cạnh sống</span></p><p style="text-align: justify;"><span style="font-size:16px;">Bác sĩ kết luận; Thoát vị đĩa đệm tầng L4/L5 ra sau trung tâm đáy rộng,&nbsp;<span style="text-align: justify;">chèn ép rễ thần kinh L5 (T), hẹp ống sống và lỗ liên hợp hai bên.</span></span></p><p style="text-align: justify;"><span style="font-size:14px;">P/s<em>; Ai ở TP Trà Vinh, bị thoát vị đĩa đệm, kiên trì nghe hết nội dung trên, sẽ thấy chị Hiền chia sẻ địa chỉ và số điện thoại của chị, nên tìm gặp hỏi kinh nghiệm trị bệnh.</em></span></p><p style="text-align: justify;"><span style="font-size: 16px;">Dưới&nbsp;đây cũng là 1 trong nhiều trường hợp, đã uống thuốc chữa thoát vị đĩa đệm của&nbsp;Lương y Nguyễn Văn Minh. Sau khi chữa khỏi bệnh, Lương y Nguyễn Văn Minh có gọi điện hỏi thăm, anh đồng ý cho chia sẻ bệnh án, địa chỉ và cả số điện thoại để mọi người tham khảo.</span></p><p style="text-align: justify;"><span style="font-size:16px;">Anh Trần Xuân Tuấn ở Thanh Hóa, hiện đang sinh sống&nbsp;tại thành phố Hà Tiên tỉnh Kiên Giang. Cách nay 11 tháng, anh Tuấn có mua&nbsp;thuốc&nbsp;chữa thoát vị đĩa đệm ở phòng khám đông y Bảo Minh. Anh Tuấn kể lại việc&nbsp;đã chữa thoát vị đĩa đệm ở phòng khám đông y Bảo Minh như thế nào, mời quý bạn đọc tham khảo.</span></p><p><img loading="lazy" alt="Thuốc chữa thoát vị địa đệm" src="data:image/gif;base64,R0lGODlhAQABAID/AP///wAAACwAAAAAAQABAAACAkQBADs=" data-src="https://chuabenhthoatvidiadem.vn/resources/images/thoatvidiadem (2).jpg" style="width: 658px; height: 876px;" class="lazy" width="658" height="876" data-optimized="1" /></p><p><span style="font-size:14px;"><em>Phiếu kết quả MRI của anh Trần Xuân Tuấn 44 tuổi, ở Hà Tiên, Kiên Giang.&nbsp;</em></span></p><p style="text-align: justify;"><span style="font-size: 16px; text-align: justify;">Đi bệnh viện đa khoa Vạn Hạnh khám và&nbsp;</span><span style="font-size:16px;">chụp MRI, bác sĩ chuyên khoa&nbsp;cho biết mức&nbsp;độ thoát vị đĩa đệm của anh Tuấn như sau;</span></p><p style="text-align: justify;"><span style="font-size:16px;">Gai thoái hóa thân sống thắt lưng. Thoái hóa xương dưới sụn L3 -&gt;S1 type II. Thoái hóa mất nước đĩa đệm thắt lưng.</span></p><p style="text-align: justify;"><span style="font-size:16px;">Thoát vị đĩa đệm tầng L3/4 ra sau # 7mm, trung tâm, ép rễ thần kinh L4 hai bên, hẹp ống sống.</span></p><p style="text-align: justify;"><span style="font-size:16px;">Thoát vị đĩa đệm tầng L4/5&nbsp;ra sau # 3mm, trung tâm, lệch (P) không ép rễ thần kinh.</span></p><p style="text-align: justify;"><span style="font-size:16px;">Thoát vị đĩa đệm tầng L5/S1 ra sau trung tâm và trong lỗ liên hợp bên (T), ép rễ thần kinh L5 (T), hẹp lỗ liên hợp L5/S1 (T)</span></p><p style="text-align: justify;"><span style="font-size:16px;">Bạn đọc nhấp vào ô dưới để nghe;&nbsp;</span></p><p><a href="https://chuabenhthoatvidiadem.vn/resources/files/FILE_Tran Xuan Tuan KG CoVer.mp3" title="">Thuốc chữa thoát vị đĩa đệm,&nbsp;chữa khỏi bệnh cho anh Tuấn ở Hà Tiên, Kiên Giang</a></p><p>Chữa bệnh thoát vị đĩa đệm ở TP. HCM có rất nhiều thầy thuốc giỏi, đây là những lương y, bác sỹ có nhiều kinh nghiệm, có chuyên môn tay nghề cao, chữa bệnh có tâm và có uy tín. Khi người bệnh chữa khỏi bệnh ở đâu, phòng khám nào, thầy thuốc tên là gì.v.v. Người bệnh sẽ luôn nhớ và giới thiệu cho người quen&nbsp;đến chữa bệnh.</p><p><a href="https://chuabenhthoatvidiadem.vn/resources/files/Thầy giáo tv ở Hà Tiên.mp3" title="">Giới thiệu&nbsp;thầy thuốc chữa thoát vị đĩa đệm hay</a></p><p>Thuốc&nbsp;thoát vị đĩa&nbsp;đông y của phòng khám, đã điều trị khỏi bệnh cho nhiều người hết bệnh,&nbsp;chúng tôi chỉ đăng tin khi quý khách đồng ý cho ghi lại và phản hồi ý kiến ở đây. Sau này, nếu quý khách không muốn chia sẻ nữa, chúng tôi sẽ gỡ bài đăng xuống. Xin trân trọng cảm ơn quý khách.</p><p>Mời quý khách xem video ghi lại hình ảnh thực tế ở phòng khám đông y Bảo Minh.&nbsp;</p><p><span class="optimize-cls-iframe" data-src="https://www.youtube.com/embed/4ekJn-7hTDU">https://www.youtube.com/embed/4ekJn-7hTDU</span></p><p><em><span style="font-size:14px;">Đây là trường hợp được người quen giới thiệu,&nbsp; anh đến khám&nbsp;chữa bệnh và đồng ý kể lại lý do tại sao anh đến phòng khám đông y Bảo Minh để chữa thoát vị đĩa đệm.</span></em></p><p style="text-align: justify;"><span style="font-size:16px;">Muốn uống thuốc đông y chữa thoát vị đĩa đệm, quý khách hãy gửi phiếu kết quả MRI qua Zalo; 0913503552. Thầy thuốc chuyên chữa thoát vị đĩa đệm sẽ tư vấn miễn phí.</span></p><p><span style="font-size:16px;">Trang web chuyên về cách trị&nbsp;<a data-ved="2ahUKEwjkqLyZ5e33AhUULqYKHUOPDesQFnoECAYQAQ" href="https://chuabenhthoatvidiadem.vn/" ping="/url?sa=t&amp;source=web&amp;rct=j&amp;url=https://chuabenhthoatvidiadem.vn/&amp;ved=2ahUKEwjkqLyZ5e33AhUULqYKHUOPDesQFnoECAYQAQ" style="color: rgb(26, 13, 171); text-decoration-line: none; -webkit-tap-highlight-color: rgba(0, 0, 0, 0.1); outline: 0px; font-family: arial, sans-serif; font-size: small;" title="">Thoát Vị Đĩa Đệm</a>&nbsp;bằng thuốc đông:</span></p><p><span style="font-size:16px;">https://thoatvidiadem.top và https://</span><span style="font-size: 16px;">chuabenhthoatvidiadem.vn</span></p><p style="text-align: justify;"><span style="font-size:16px;"><span style="color: rgb(0, 0, 0); font-family: RobotoSlab-Regular, Arial, Helvetica, sans-serif; text-align: justify;">Mua thuốc chữa thoát vị đĩa đệm ở đâu; Số nhà 856/6 đường Quang Trung, Phường 8,&nbsp;Quận Gò Vấp. Zalo&nbsp;Lương y Nguyễn Văn Minh: 0913503552</span></span></p>]]></content:encoded>
						<wfw:commentRss></wfw:commentRss>
						<slash:comments>0</slash:comments>
					</item>
				
					<item>
						<title>Thoát vị đĩa đệm và cách điều trị ở người trẻ tuổi</title>
						<link>https://chuabenhthoatvidiadem.vn/bai-viet/luong-y-chua-thoat-vi-dia-dem-o-tp-hcm/thoat-vi-dia-dem-va-cach-dieu-tri-o-nguoi-tre-tuoi-pid-206.html</link>
						<comments></comments>
						<pubDate>Sun, 25 Mar 2018 02:52:02 +0700</pubDate>
						<dc:creator>admin</dc:creator>
						<category><![CDATA[Lương y chữa thoát vị đĩa đệm ở TP.HCM]]></category>
						<guid isPermaLink="false"></guid>
						<description><![CDATA[Thoát vị đĩa đệm và cách điều trị bảo tồn là gì? Làm sao điều trị dứt điểm bệnh thoát vị đĩa đệm ngay tại nhà, nhất là ở những người trẻ tuổi bị thoát vị đĩa đệm do làm việc sai tư thế, khiêng vác vật nặng quá sức...Tham khảo bệnh án thoát vị đĩa đệm chụp tại Bệnh viện Chấn Thương Chỉnh Hình TP.HCM.]]></description>
						<content:encoded><![CDATA[<h2 style="text-align: justify;"><span style="font-size:18px;">Thoát vị đĩa đệm và cách điều trị bảo tồn của phòng khám đông y Bảo Minh đã thành thương hiệu. Nhất là ở những người trẻ tuổi bị thoát vị đĩa đệm do làm việc sai tư thế, khiêng vác vật nặng quá sức, tập luyện thể dục thể thao không đúng cách .v.v. Phương pháp điều trị nhẹ nhàng bằng thuốc uống và thuốc đắp cột sống đã giúp cho rất nhiều bạn trẻ khỏi bệnh, lấy lại sức lao động của tuổi trẻ.</span></h2><p><img loading="lazy" alt="" src="data:image/gif;base64,R0lGODlhAQABAID/AP///wAAACwAAAAAAQABAAACAkQBADs=" data-src="https://chuabenhthoatvidiadem.vn/resources/images/20180325_104122.jpg" style="width: 580px; height: 699px;" class="lazy" width="464" height="559" data-optimized="1" /></p><h2 style="text-align: justify;"><span style="font-size:16px;">Đây là bệnh án thoát vị đĩa đệm cột sống thắt lưng của em ...&nbsp;Nam&nbsp;ở Đà Nẵng (*). Em ...&nbsp;Nam 21 tuổi,&nbsp;đang học đại học ở TP.HCM,&nbsp;bị đau lưng do khiêng vật nặng sai tư thế. Chụp cộng hưởng từ tại Bệnh viện Chấn Thương Chỉnh Hình TP.HCM, bác sĩ chẩn đoán hình ảnh mô tả như sau:</span></h2><h3><span style="font-size:16px;">&nbsp;<em><span style="font-size:18px;">- Gai thoái hóa các đốt sống thắt lưng, bề mặt thân sống đều. Thoái hóa mỡ xương dưới sụn các thân sống thắt lưng. Thoái hóa các khớp liên mấu thắt lưng hai bên.</span></em></span></h3><h3><em><span style="font-size:18px;">- Thoái hóa mất nước đĩa đệm thắt lưng L5-S1</span></em></h3><h3><em><span style="font-size:18px;">- Thoát vị đĩa đệm tầng L5-S1 ra sau #6mm, trung tâm và cạnh trung tâm (phải), hẹp ngách bên (phải), chèn ép rễ thần kinh S1 (phải).</span></em></h3><p><span style="font-size:16px;">Em ...Nam kể: sau khi khiêng vật nặng thì bị đau nhói&nbsp;thắt&nbsp;&nbsp;lưng, rồi sau đó đau&nbsp;xuống 1 bên mông, cơn đau kéo xuống chân phải, tê chân. Khi cúi ngửa hoặc đêm nằm trở mình đều đau, sợ nhất những cơn ho, hắt hơi&nbsp;vì&nbsp;làm cho đau nhức&nbsp;tăng lên.</span></p><p><span style="font-size:16px;">Do tuổi còn trẻ, sức khỏe tốt lại điều trị kịp thời nên chỉ sau 1 liệu&nbsp;trình&nbsp;vừa uống thuốc kết hợp đắp thuốc, những cơn đau nhức đã giảm hẳn, chỉ cần 2 liệu trình điều trị bệnh đã khỏi hẳn.</span></p><p style="text-align: justify;"><span style="font-size:16px;">(*) <em>Để đảm bảo bí mật thông tin cá nhân, phòng khám đông y Bảo Minh xin được che bớt&nbsp;tên&nbsp;tuổi, địa chỉ của những người đang học tập tại các trường học, đang làm việc trong các cơ quan nhà nước,&nbsp;các công ty xí nghiệp. </em></span></p><p style="text-align: justify;"><em><span style="font-size:16px;">Chúng tôi chỉ&nbsp;đăng&nbsp;đầy đủ tên tuổi, địa chỉ, bệnh án thoát vị đĩa đệm của những cô&nbsp;bác đã về hưu, các bác nông dân, những người&nbsp;nội trợ v.v. sau khi đã xin phép và được sự sự đồng ý của họ.</span></em></p><p style="text-align: justify;">Có thể bạn quan tâm;</p><p class="r" style="font-size: 18px; margin: 0px; padding: 0px; overflow: hidden; text-overflow: ellipsis; white-space: nowrap; color: rgb(34, 34, 34); font-family: arial, sans-serif;"><span style="font-size:16px;"><a href="https://chuabenhthoatvidiadem.vn/cach-chua-benh/thoat-vi-dia-dem-that-lung-toi-9mm-co-chua-duoc-khong-pid-208.html" style="color: rgb(102, 0, 153); cursor: pointer; text-decoration-line: none;" target="_blank" title="">&rArr;Thoát vị đĩa đệm cột sống # 9mm, may gặp thầy gặp thuốc</a></span></p><p class="r" style="margin: 0px; padding: 0px; overflow: hidden; text-overflow: ellipsis;"><font color="#660099" face="arial, sans-serif"><span style="font-size: 16px; white-space: nowrap;">&rArr; Hỏi thăm n</span></font><span style="color: rgb(34, 34, 34); font-family: arial, sans-serif; font-size: 16px; white-space: nowrap;"><a data-="" href="https://www.google.com.vn/url?sa=t&amp;rct=j&amp;q=&amp;esrc=s&amp;source=web&amp;cd=107&amp;ved=0ahUKEwjbr7OP3t7bAhVPcCsKHe1jAdw4ZBAWCEYwBg&amp;url=http%3A%2F%2Fchuabenhthoatvidiadem.vn%2Fdieu-tri%2Fnghe-truc-tiep-nhung-nguoi-duoc-luong-y-minh-chua-khoi-thoat-vi-dia-dem-cid-4-0.html&amp;usg=AOvVaw3OFSSfe7IpKB_3mWiQP_2s" style="color: rgb(102, 0, 153); cursor: pointer; text-decoration-line: none;" target="_blank" title="">gười bệnh đã chữa khỏi thoát vị đĩa đệm</a></span></p>]]></content:encoded>
						<wfw:commentRss></wfw:commentRss>
						<slash:comments>0</slash:comments>
					</item>
				
					<item>
						<title>Lương y chữa thoát vị đĩa đệm giỏi, có uy tín là do người bệnh giới thiệu thầy thuốc.</title>
						<link>https://chuabenhthoatvidiadem.vn/bai-viet/nghe-truc-tiep-nhung-nguoi-duoc-luong-y-minh-chua-khoi-thoat-vi-dia-dem/luong-y-chua-thoat-vi-dia-dem-gioi-co-uy-tin-la-do-nguoi-benh-gioi-thieu-thay-thuoc-pid-117.html</link>
						<comments></comments>
						<pubDate>Tue, 14 Nov 2017 11:02:26 +0700</pubDate>
						<dc:creator>admin</dc:creator>
						<category><![CDATA[Nghe trực tiếp những người được lương y Minh chữa khỏi thoát vị đĩa đệm ]]></category>
						<guid isPermaLink="false"></guid>
						<description><![CDATA[Lương y giỏi chữa bệnh cứu người, có uy tín là do người bệnh giới thiệu thầy thuốc, nhất là bệnh thoát vị đĩa đệm cột sống, bởi chính họ đã được vị lương y giỏi chuyên môn điều trị cho họ khỏi bệnh. Nên khi người thân bị bệnh là họ nhớ tới ông thầy đã chữa bệnh cho mình để giới thiệu.]]></description>
						<content:encoded><![CDATA[<p style="text-align: justify;"><span style="font-size:16px;">Lương y giỏi chữa bệnh cứu người, có uy tín là do người bệnh giới thiệu thầy thuốc, nhất là bệnh thoát vị đĩa đệm cột sống, vì&nbsp;chính họ đã được&nbsp;vị lương y giỏi chuyên môn&nbsp;điều trị cho&nbsp;khỏi bệnh. Nên khi người thân bị bệnh là họ nhớ tới ông thầy đã chữa bệnh cho mình để giới thiệu.</span></p><p>&nbsp;</p><p><span style="font-size:16px;"><img loading="lazy" alt="Giấy phép khám chữa bệnh của lương y Nguyễn Văn Minh" src="data:image/gif;base64,R0lGODlhAQABAID/AP///wAAACwAAAAAAQABAAACAkQBADs=" data-src="https://chuabenhthoatvidiadem.vn/resources/images/20171005_152631.jpg" style="width: 640px; height: 450px;" class="lazy" width="640" height="450" data-optimized="1" /></span></p><p>&nbsp;</p><p><span style="font-size:16px;">Đây là&nbsp;giấy phép hoạt động khám chữa bệnh, do Sở Y Tế TP.HCM cấp cho Phòng chẩn trị y học cổ truyền (phòng khám đông y ) do&nbsp;lương y Nguyễn Văn&nbsp;Minh đứng tên.&nbsp;</span><span style="font-size: 16px; text-align: justify;">Từ tháng 7/2017,&nbsp;phòng khám chuyển về nhà riêng tại địa chỉ này.</span></p><h2 style="text-align: justify;"><span style="font-size: 16px;">Tới nay, đã hơn 20 năm hành nghề chữa bệnh bằng phương pháp y học cổ truyền, có hàng ngàn người&nbsp;đã&nbsp;khỏi bệnh nhờ lương y Nguyễn Văn Minh điều trị, họ thường lưu số điện thoại của lương y Minh để khi cần thì sử dụng. Một trong hàng ngàn người đó có bác Lê Thành Tâm 63 tuổi, địa chỉ: số nhà 11, đường&nbsp;Liêu Bình Hương, thị trấn Củ Chi, TP.HCM, Việt Nam. (bác Tâm đồng ý chia sẻ).</span></h2><h2 style="text-align: justify;"><span style="font-size: 16px;">Bác Tâm đã&nbsp;chữa khỏi bệnh đau mỏi vai gáy,&nbsp;&nbsp;tê tay do thoái hóa đốt sống cổ và thoát vị đĩa đệm cổ gây nên.&nbsp;Bác gọi điện cho lương y Minh, kể: &quot;tôi hết bệnh, muốn hỏi địa chỉ mới của thầy để giới thiệu người quen tới chữa bệnh&quot;.</span></h2><p><span style="font-size: 16px;">Mời bạn đọc nhấp chuột vào ô bên dưới, để nghe trực tiếp bác Tâm kể chuyện đã khỏi bệnh như thế nào (*)</span></p><p><a href="https://chuabenhthoatvidiadem.vn/resources/files/Tho_i_041.mp3" title="">Chữa benhthoatvidiadem.vn&nbsp;</a></p><p><img loading="lazy" alt="Lương y Nguyễn Văn Minh" src="data:image/gif;base64,R0lGODlhAQABAID/AP///wAAACwAAAAAAQABAAACAkQBADs=" data-src="https://chuabenhthoatvidiadem.vn/resources/images/20180809_084239.jpg" style="width: 800px; height: 600px;" class="lazy" width="1600" height="1200" data-optimized="1" /><em><span style="font-size:16px;">&nbsp;Mới đây, bác Tâm có dịp ghé thăm phòng khám đông y Bảo Minh, bác chụp ảnh kỷ niệm với lương y Nguyễn Văn Minh</span></em></p><h3 style="text-align: justify;"><span style="font-size:18px;"><span style="text-align: justify;">Ba năm trước, khi bác Tâm tới chữa bệnh, phòng khám của lương y Nguyễn Văn Minh đặt tại địa chỉ: 375/5 Thống Nhất, P.11, quận Gò Vấp, TP.HCM. Hiện nay, c</span><span style="color: rgb(0, 0, 0); font-family: RobotoSlab-Regular, Arial, Helvetica, sans-serif;">hữa thoát vị đĩa đệm gặp lương y Nguyễn Văn Minh,&nbsp;tại địa chỉ: 856/6 Quang Trung, P.8, Quận Gò Vấp, Tp Hồ Chí Minh.</span></span></h3><p style="text-align: justify;"><span style="font-size: 16px;">Số điện thoại di động và điện thoại bàn không thay đổi: 0913503552- 02862951367.</span></p><h4 style="text-align: justify;"><span style="font-size:16px;">Xem thêm: <a href="https://chuabenhthoatvidiadem.vn/cach-chua-benh/benh-thoat-vi-dia-dem-cot-song-co-nhieu-tang-co-chua-duoc-khong-pid-68.html" style="color: rgb(102, 0, 153); cursor: pointer; text-decoration-line: none;" target="_blank" title="">Thoát vị đĩa đệm cổ C5-C6, C6-C7 có nguy hiểm không</a></span></h4><h5 style="text-align: justify;"><span style="font-size:16px;"><a href="https://www.youtube.com/channel/UCMrl47bRL4MgAguyRi48mEw" style="font-family: arial, sans-serif; font-size: 18px; white-space: nowrap; color: rgb(102, 0, 153); cursor: pointer; text-decoration-line: none;" target="_blank" title="">Lương y Nguyễn Văn Minh - Chữa thoát vị đĩa đệm&nbsp;</a></span></h5><p><span style="font-size:16px;">(*) &quot;Lưu ý: thuốc chữa thoát vị đĩa đệm /tác dụng nhanh hay chậm&nbsp;có thể phụ thuộc vào cơ địa của mỗi nguời, cần tư vấn chữa bệnh, quý khách liên hệ trực tiếp thầy thuốc của phòng khám&quot;</span></p><p><span style="font-size:16px;">Trang web chuyên sâu về bệnh thoát vị đĩa đệm: chuabenhthoatvidiadem.vn</span></p><p><font color="#000000" face="RobotoSlab-Regular, Arial, Helvetica, sans-serif" style="box-sizing: border-box; margin: 0px; padding: 0px; border: 0px; outline: 0px; font-size: 16px; vertical-align: baseline; background-image: initial; background-position: initial; background-size: initial; background-repeat: initial; background-attachment: initial; background-origin: initial; background-clip: initial; max-width: 100%; color: rgb(0, 0, 0); font-family: RobotoSlab-Regular, Arial, Helvetica, sans-serif; text-align: justify;"><span style="box-sizing: border-box; margin: 0px; padding: 0px; border: 0px; outline: 0px; vertical-align: baseline; background: transparent; max-width: 100%;">Đi đường tới&nbsp;chữa thoát vị đĩa đệm ở&nbsp;phòng khám đông y Bảo Minh,&nbsp;rất dễ, quý khách hãy&nbsp;bấm vào liên kết ở đây.&nbsp;</span></font><span style="box-sizing: border-box; margin: 0px; padding: 0px; border: 0px; outline: 0px; font-size: 16px; vertical-align: baseline; background-image: initial; background-position: initial; background-size: initial; background-repeat: initial; background-attachment: initial; background-origin: initial; background-clip: initial; max-width: 100%; color: rgb(0, 0, 0); font-family: RobotoSlab-Regular, Arial, Helvetica, sans-serif; text-align: justify;">Google Map sẽ chỉ đường tới&nbsp;tận nơi:&nbsp;</span><font color="#000000" face="RobotoSlab-Regular, Arial, Helvetica, sans-serif" style="box-sizing: border-box; margin: 0px; padding: 0px; border: 0px; outline: 0px; font-size: 16px; vertical-align: baseline; background-image: initial; background-position: initial; background-size: initial; background-repeat: initial; background-attachment: initial; background-origin: initial; background-clip: initial; max-width: 100%; color: rgb(0, 0, 0); font-family: RobotoSlab-Regular, Arial, Helvetica, sans-serif; text-align: justify;"><span style="box-sizing: border-box; margin: 0px; padding: 0px; border: 0px; outline: 0px; vertical-align: baseline; background: transparent; max-width: 100%;">&nbsp;</span></font><a href="https://thoatvidiademcotsong.business.site/?m=true" style="box-sizing: border-box; margin: 0px; padding: 0px; border: 0px; outline: 0px; font-size: 16px; vertical-align: baseline; background-image: initial; background-position: initial; background-size: initial; background-repeat: initial; background-attachment: initial; background-origin: initial; background-clip: initial; color: rgb(51, 122, 183); text-decoration-line: none; transition: all 406ms ease-out 0s; max-width: 100%; font-family: RobotoSlab-Regular, Arial, Helvetica, sans-serif; text-align: justify;" title="">https://thoatvidiadem cot song</a></p>]]></content:encoded>
						<wfw:commentRss></wfw:commentRss>
						<slash:comments>0</slash:comments>
					</item>
				
					<item>
						<title>Thoát vị đĩa đệm cột sống thắt lưng - Cách chữa khỏi bệnh không tái phát</title>
						<link>https://chuabenhthoatvidiadem.vn/bai-viet/ket-qua-dieu-tri-thoat-vi-dia-dem/thoat-vi-dia-dem-cot-song-that-lung-cach-chua-khoi-benh-khong-tai-phat-pid-79.html</link>
						<comments></comments>
						<pubDate>Tue, 28 Feb 2017 01:36:08 +0700</pubDate>
						<dc:creator>admin</dc:creator>
						<category><![CDATA[Kết quả điều trị thoát vị đĩa đệm]]></category>
						<guid isPermaLink="false"></guid>
						<description><![CDATA[Tôi, lương y Nguyễn Văn Minh chuyên chữa thoát vị đĩa đệm. Năm ngoái tôi chữa thoát vị đĩa đệm cột sống thắt lưng cho anh Dùm ở Lai Vung, Đồng Tháp. Vừa uống thuốc bắc vừa đắp thuốc nam chữa thoát vị đã khỏi hẳn. Hôm nay gọi điện anh Dùm kể: &quot; khỏi hẳn, không còn bị đau nhức gì nữa&quot;. Tôi xin cảm ơn anh Dùm đã đồng ý chia sẻ cách chữa khỏi căn bệnh thoát vị đĩa đệm ở đây.]]></description>
						<content:encoded><![CDATA[<h2 style="text-align: justify;"><span style="font-size:16px;">Năm ngoái, anh Trần Văn Dùm 29 tuổi bị thoát vị đĩa đệm cột sống thắt lưng. Tôi đã chữa khỏi bệnh thoát vị đĩa đệm cho anh bằng thuốc uống và thuốc đắp cột sống, sau gần 1 tháng đã khỏi hẳn. Hôm nay tôi gọi điện hỏi thăm, anh cho biết không còn bị đau nhức và đi làm việc bình thường.&nbsp;</span></p><p style="text-align: justify;">&nbsp;</p><p><img loading="lazy" alt="Chữa thoát vị đĩa đệm" src="data:image/gif;base64,R0lGODlhAQABAID/AP///wAAACwAAAAAAQABAAACAkQBADs=" data-src="https://chuabenhthoatvidiadem.vn/resources/images/20161216_071939 (2).jpg" style="width: 478px; height: 617px;" class="lazy" width="478" height="617" data-optimized="1" />&nbsp;</p><h2 style="text-align: justify;"><span style="font-size:16px;">Bác sĩ chụp MRI kết luận bệnh của anh Dùm như sau:</span></h2><h2 style="text-align: justify;"><span style="font-size:16px;">- Vẹo nhẹ cột sống thắt lưng sang phải.</span></h2><h2 style="text-align: justify;"><span style="font-size:16px;">- Thoái hóa đĩa đệm cột sống thắt lưng</span></h2><h2 style="text-align: justify;"><span style="font-size:16px;">- Thoát vị đĩa đệm tầng L5/S1 ra sau trung tâm, hẹp ngách hai bên, chèn ép mặt trước bao màng cứng, hẹp lỗ liên hợp L5/S1 hai bên, chèn ép rễ thần kinh L5, S1 hai bên, hẹp nặng ống sống.</span></h2><h2 style="text-align: justify;"><span style="font-size:16px;">Sau khi điều trị thoát vị đĩa đệm trong&nbsp;các&nbsp;bệnh viện tại TP.HCM mấy tháng&nbsp;không hết đau, bác sĩ điều trị khuyên nên&nbsp;mổ thoát vị đĩa đệm. Khi chuẩn bị vào mổ thoát vị đĩa đệm ở bệnh viện Chợ Rẫy, anh Dùm có người mách tới gặp lương y Minh để chữa bệnh.</span></h2><p style="text-align: justify;"><span style="font-size:16px;">Do anh Dùm đã chữa trị&nbsp;ở nhiều nơi, tốn kém nhiều&nbsp;mà không khỏi hẳn, đến khi tôi&nbsp;chữa khỏi bệnh cho anh, anh và gia đình rất mừng và biết ơn nhà thuốc. Anh Dùm và gia đình đồng ý cho nhà thuốc được sử dụng hình ảnh và bệnh án thoát vị đĩa đệm của anh, với mục đích giúp cho những ai không muốn mổ thoát vị đĩa đệm tham khảo. Tôi xin chân thành cám ơn anh và gia đình.&nbsp;</span></p><p style="text-align: justify;"><span style="font-size:16px;">Hãy bấm vào mũi tên dưới đây để nghe ý kiến của anh Dùm về cách chữa thoát vị đĩa đệm của lương y Nguyễn Văn Minh - Phòng Khám Đông Y Bảo Minh.</span></p><p><a href="https://chuabenhthoatvidiadem.vn/resources/files/Tho_i_031_m.mp3" title="">https://chuabenhthoatvidiadem.vn/ thoatvidiadem L5/S1</a></p><p><span style="font-size:16px;">Nếu bạn đọc ở gần có thể tham khảo địa chỉ của anh Dùm: Ấp Long Phú, xã Hòa Long, huyện Lai Vung, tỉnh Đồng Tháp (*</span>)</p><h3 style="text-align: justify;"><span style="font-size:12px;">(*) </span>&nbsp;&quot;<span style="font-size:16px;">Lưu ý: tác dụng của&nbsp;thuốc uống, thuốc đắp&nbsp;chữa thoát vị đĩa đệm/ liệu trình&nbsp;điều trị bệnh&nbsp;có thể thay đổi tùy theo cơ địa&nbsp;mỗi nguời&quot;</span></h3><p><span style="font-size:16px;">Phòng khám chữa bệnh&nbsp;thoát vị đĩa đệm của lương y Nguyễn văn Minh có địa chỉ duy nhất: 856/6 Quang Trung, Quận Gò Vấp, TP. HCM. Zalo&nbsp;Lương y Nguyễn Văn Minh tư vấn trực tiếp: 0913503552 - 028.6295.1367</span></p><p class="r" style="font-size: 18px; margin: 0px; padding: 0px; overflow: hidden; text-overflow: ellipsis; white-space: nowrap; color: rgb(34, 34, 34); font-family: arial, sans-serif;"><span style="font-size:16px;"><a href="https://chuabenhthoatvidiadem.vn/cach-chua-benh/khoi-thoat-vi-dia-dem-cot-song-that-lung-sau-hon-1-thang-dieu-tri-pid-37.html" style="color: rgb(102, 0, 153); cursor: pointer; text-decoration-line: none;" target="_blank" title="">Xem video cách chữa bệnh&nbsp;thoát vị đĩa đệm cột sống thắt lưng</a></span></p><p><span style="font-size:18px;"><span style="font-family:times new roman,times,serif;">Quay lại&nbsp;trang chủ:&nbsp;</span></span></p><h3 class="r" style="font-size: 18px; margin: 0px; padding: 0px; overflow: hidden; text-overflow: ellipsis; white-space: nowrap;"><a href="https://chuabenhthoatvidiadem.vn/" style="color: rgb(102, 0, 153); cursor: pointer; text-decoration: none;" title="">Cách Chữa Bệnh Thoát Vị Đĩa Đệm</a>&nbsp;</h3><div class="s" style="max-width: 48em; color: rgb(84, 84, 84); line-height: 18px;"><div class="f kv _SWb" style="color: rgb(128, 128, 128); height: 18px; line-height: 16px; font-family: arial, sans-serif; font-size: small; white-space: nowrap;"><cite class="_Rm" style="color: rgb(0, 102, 33); font-style: normal; font-size: 14px;">chuabenhthoatvidiadem.vn/</cite><div class="action-menu ab_ctl" style="display: inline; position: relative; margin: 1px 3px 0px; user-select: none; vertical-align: middle;"><div class="action-menu-panel ab_dropdown" data-ved="0ahUKEwiSpffEzrLSAhVKF5QKHU5CD1sQqR8IGTAA" jsaction="keydown:m.hdke;mouseover:m.hdhne;mouseout:m.hdhue" role="menu" style="background-image: initial; background-position: initial; background-size: initial; background-repeat: initial; background-attachment: initial; background-origin: initial; background-clip: initial; border: 1px solid rgba(0, 0, 0, 0.2); font-size: 13px; padding: 0px; position: absolute; right: auto; top: 12px; z-index: 3; transition: opacity 0.218s; box-shadow: rgba(0, 0, 0, 0.2) 0px 2px 4px; left: 0px; visibility: hidden;" tabindex="-1"><ol style="margin: 0px; padding-right: 0px; padding-left: 0px; border: 0px;"><li class="action-menu-item ab_dropdownitem" role="menuitem" style="margin: 0px; padding: 0px; border: 0px; list-style: none; user-select: none; cursor: pointer;">&nbsp;</li></ol></div></div></div></div>]]></content:encoded>
						<wfw:commentRss></wfw:commentRss>
						<slash:comments>0</slash:comments>
					</item>
				
					<item>
						<title>Thoát vị đĩa đệm L5 S1 </title>
						<link>https://chuabenhthoatvidiadem.vn/bai-viet/luong-y-nguyen-van-minh-chua-thoat-vi-dia-dem/thoat-vi-dia-dem-l5-s1-pid-319.html</link>
						<comments></comments>
						<pubDate>Mon, 25 Sep 2023 09:32:21 +0700</pubDate>
						<dc:creator>admin</dc:creator>
						<category><![CDATA[Lương y Nguyễn Văn Minh chữa thoát vị đĩa đệm]]></category>
						<guid isPermaLink="false"></guid>
						<description><![CDATA[Thoát vị đĩa đệm L5 S1 là gì? Cách chữa như thế nào? Có chữa khỏi được không? Mời quý khách nghe và xem thực tế, bệnh án thoát vị đĩa đệm L5 S1 được quý bệnh nhân đã chữa khỏi bệnh đồng ý cho phòng khám đông y Bảo Minh chia sẻ ở đây.]]></description>
						<content:encoded><![CDATA[<p style="text-align: justify;"><span style="font-size:16px;">Thoát vị đĩa đệm L5 S1 là gì? Cách chữa như thế nào? Có chữa khỏi được không? Mời quý khách nghe và xem bệnh án thoát vị đĩa đệm L5 S1, được quý bệnh nhân đã chữa khỏi bệnh đồng ý cho phòng khám đông y Bảo Minh chia sẻ ở đây.</span></p><p><img loading="lazy" alt="Thoát vị đĩa đệm L5 S1" src="data:image/gif;base64,R0lGODlhAQABAID/AP///wAAACwAAAAAAQABAAACAkQBADs=" data-src="https://chuabenhthoatvidiadem.vn/resources/images/Thoát vị đĩa đệm L5 S1.jpg" style="width: 815px; height: 1200px;" class="lazy" width="815" height="1200" data-optimized="1" /></p><p><span style="font-size: 16px; text-align: justify;">Tôi là thầy thuốc đông y Nguyễn Văn Minh - Phụ trách phòng khám đông y Bảo Minh. Tôi xin trân trọng cảm ơn quý bệnh nhân cho chia sẻ ở trang web này, tôi chỉ đưa lên đây những bệnh án thoát vị đĩa đệm khi được sự đồng ý của quý khách, đây là những câu chuyện có thật được chữa khỏi bệnh ở phòng khám đông y Bảo Minh. </span></p><p style="text-align: justify;"><span style="font-size: 16px; text-align: justify;">Sau này; quý khách nào không muốn chia sẻ ở đây nữa, chúng tôi sẽ gỡ bỏ thông tin xuống. Xin trân trọng cảm ơn quý khách.</span></p><p style="text-align: justify;"><img loading="lazy" alt="Thoát vị đĩa đệm L5 S1" src="data:image/gif;base64,R0lGODlhAQABAID/AP///wAAACwAAAAAAQABAAACAkQBADs=" data-src="https://chuabenhthoatvidiadem.vn/resources/images/Thoát vị đĩa đệm L5 S1(1).jpg" style="opacity: 0.9; width: 870px; height: 1200px;" class="lazy" width="870" height="1200" data-optimized="1" /></p><p style="text-align: justify;"><span style="font-size: 16px;">Anh Nguyễn Thế Anh 40 tuổi, nhà ở TP Vĩnh Long, tỉnh Vĩnh Long bị thoát vị đĩa đệm L5 S1. Kết quả MRI bác sĩ kết luận như sau;</span></p><p><span style="font-size: 16px;">Trượt ra trước độ 1 thân sống L5 S1/ khuyết eo L5 S1</span></p><p><span style="font-size: 16px;">Gai nhỏ thân sống L3, L4, L5.</span></p><p><span style="font-size: 16px;">Lồi đĩa đệm trung tâm tầng L4-L5 ra sau # 3mm kèm rách bao xơ và không chèn ép rễ L5 hay bên.</span></p><p><span style="font-size:16px;">Thoát vị đĩa đệm trung tâm cạnh trái tầng L5 S1 ra sau #8mm, lên trên #6mm vào ngách bên trái kèm rách bao xơ và chèn ép rễ S1 bên trái.</span></p><p style="text-align: justify;"><span style="font-size: 16px;">Sau khi chữa khỏi bệnh, anh đồng ý cho chia sẻ kết quả MRI, mời&nbsp;</span><span style="font-size: 16px; text-align: justify;">quý khách bấm vào ô dưới để nghe&nbsp;</span><span style="font-size: 16px;">thông báo anh không bị đau nhức và tê chân nữa. Xin trân trọng cảm ơn anh Nguyễn Thế Anh.</span></p><p style="text-align: justify;"><a href="https://chuabenhthoatvidiadem.vn/resources/files/Ghi âm cuộc gọi Nguyễn Thế Anh 83tv Vĩnh Long Khỏi 2_ 23_230909_161150 (1).mp3" style="font-size: 16px;" title="">Thoát vị đĩa đệm&nbsp;L5 S1</a></p><p style="box-sizing: border-box; margin: 0px 0px 10px; padding: 0px; border: 0px; outline: 0px; font-size: 16px; vertical-align: baseline; background-image: initial; background-position: initial; background-size: initial; background-repeat: initial; background-attachment: initial; background-origin: initial; background-clip: initial; max-width: 100%; color: rgb(0, 0, 0); font-family: RobotoSlab-Regular, Arial, Helvetica, sans-serif; text-align: justify;">Phòng khám và nhà thuốc đông y Bảo Minh, có địa chỉ duy nhất ở thành phố HCM: Số nhà 856/6 đường Quang Trung, Phường 8, quận Gò Vấp. Điện thoại có Zalo thầy thuốc trực tiếp tư vấn cách chữa: 0913 503 552.</p><p style="box-sizing: border-box; margin: 0px 0px 10px; padding: 0px; border: 0px; outline: 0px; font-size: 16px; vertical-align: baseline; background-image: initial; background-position: initial; background-size: initial; background-repeat: initial; background-attachment: initial; background-origin: initial; background-clip: initial; max-width: 100%; color: rgb(0, 0, 0); font-family: RobotoSlab-Regular, Arial, Helvetica, sans-serif; text-align: justify;"><img loading="lazy" alt="Thoát vị đĩa đệm L5 S1" src="data:image/gif;base64,R0lGODlhAQABAID/AP///wAAACwAAAAAAQABAAACAkQBADs=" data-src="https://chuabenhthoatvidiadem.vn/resources/images/Thoát vị đĩa đệm L5S1.jpg" style="opacity: 0.9; text-align: justify; font-size: 16px; width: 908px; height: 1024px;" class="lazy" width="908" height="1024" data-optimized="1" /></p><p style="box-sizing: border-box; margin: 0px 0px 10px; padding: 0px; border: 0px; outline: 0px; font-size: 16px; vertical-align: baseline; background-image: initial; background-position: initial; background-size: initial; background-repeat: initial; background-attachment: initial; background-origin: initial; background-clip: initial; max-width: 100%; color: rgb(0, 0, 0); font-family: RobotoSlab-Regular, Arial, Helvetica, sans-serif; text-align: justify;"><span style="font-size:16px;"><span style="color: rgb(51, 51, 51); font-family: sans-serif, Arial, Verdana, " trebuchet="">Thoát vị đĩa đệm L5 S1 là dạng thoát vị đĩa đệm gặp nhiều nhất, sau đó mới đến thoát vị đĩa đệm L4 L5. Trên thực tế còn gặp thoát vị đĩa đệm đa tầng; tức là thoát vị đĩa đệm L4 L5 và L5 S1, hoặc có thêm thoát vị đĩa đệm L3 L4.</span></span></p><p style="box-sizing: border-box; margin: 0px 0px 10px; padding: 0px; border: 0px; outline: 0px; font-size: 16px; vertical-align: baseline; background-image: initial; background-position: initial; background-size: initial; background-repeat: initial; background-attachment: initial; background-origin: initial; background-clip: initial; max-width: 100%; color: rgb(0, 0, 0); font-family: RobotoSlab-Regular, Arial, Helvetica, sans-serif; text-align: justify;"><img loading="lazy" alt="Thoát vị đĩa đệm L4 L5, L5 S1" src="data:image/gif;base64,R0lGODlhAQABAID/AP///wAAACwAAAAAAQABAAACAkQBADs=" data-src="https://chuabenhthoatvidiadem.vn/resources/images/Thoat vi dia dem L4 L5 S1 (2)(1).jpg" style="opacity: 0.9; color: rgb(0, 0, 0); font-family: RobotoSlab-Regular, Arial, Helvetica, sans-serif; font-size: 16px; text-align: justify; width: 744px; height: 984px;" class="lazy" width="744" height="984" data-optimized="1" /></p><p style="box-sizing: border-box; margin: 0px 0px 10px; padding: 0px; border: 0px; outline: 0px; font-size: 16px; vertical-align: baseline; background-image: initial; background-position: initial; background-size: initial; background-repeat: initial; background-attachment: initial; background-origin: initial; background-clip: initial; max-width: 100%; color: rgb(0, 0, 0); font-family: RobotoSlab-Regular, Arial, Helvetica, sans-serif; text-align: justify;"><a href="https://chuabenhthoatvidiadem.vn/resources/files/pham ngoc hung.mp3" style="font-family: RobotoSlab-Regular, Arial, Helvetica, sans-serif; font-size: 16px; text-align: justify;" title="">Thoát vị đĩa đệm L4 L5, L5 S1</a></p><p style="box-sizing: border-box; margin: 0px 0px 10px; padding: 0px; border: 0px; outline: 0px; font-size: 16px; vertical-align: baseline; background-image: initial; background-position: initial; background-size: initial; background-repeat: initial; background-attachment: initial; background-origin: initial; background-clip: initial; max-width: 100%; color: rgb(0, 0, 0); font-family: RobotoSlab-Regular, Arial, Helvetica, sans-serif; text-align: justify;"><img loading="lazy" alt="Thoát vị đĩa đệm L5/S1" src="data:image/gif;base64,R0lGODlhAQABAID/AP///wAAACwAAAAAAQABAAACAkQBADs=" data-src="https://chuabenhthoatvidiadem.vn/resources/images/Thoát vị đĩa đệm L5 S1 (3).jpg" style="width: 870px; height: 1190px;" class="lazy" width="870" height="1190" data-optimized="1" /></p><p style="box-sizing: border-box; margin: 0px 0px 10px; padding: 0px; border: 0px; outline: 0px; font-size: 16px; vertical-align: baseline; background-image: initial; background-position: initial; background-size: initial; background-repeat: initial; background-attachment: initial; background-origin: initial; background-clip: initial; max-width: 100%; color: rgb(0, 0, 0); font-family: RobotoSlab-Regular, Arial, Helvetica, sans-serif; text-align: justify;">Chị Nguyễn Thị Hồng Thắm ở Long An, chữa khỏi bệnh thoát vị đĩa đệm, hôm nay chị gọi lại để&nbsp;đặt hẹn&nbsp;cho người nhà đến chữa bệnh ở phòng khám đông y Bảo Minh. Chị đồng ý cho chia sẻ để giới thiệu cách chữa thoát vị đĩa đệm L5 S1 ở phòng khám.</p><p style="box-sizing: border-box; margin: 0px 0px 10px; padding: 0px; border: 0px; outline: 0px; font-size: 16px; vertical-align: baseline; background-image: initial; background-position: initial; background-size: initial; background-repeat: initial; background-attachment: initial; background-origin: initial; background-clip: initial; max-width: 100%; color: rgb(0, 0, 0); font-family: RobotoSlab-Regular, Arial, Helvetica, sans-serif; text-align: justify;"><a href="https://chuabenhthoatvidiadem.vn/resources/files/Ghi âm cuộc gọi Nguyễn T Hồng Thắm 83 tv Đỡ Long An 10_230504_081258.mp3" title="">Thoát vị đĩa đệm L5 S1</a></p><p style="box-sizing: border-box; margin: 0px 0px 10px; padding: 0px; border: 0px; outline: 0px; font-size: 16px; vertical-align: baseline; background-image: initial; background-position: initial; background-size: initial; background-repeat: initial; background-attachment: initial; background-origin: initial; background-clip: initial; max-width: 100%; color: rgb(0, 0, 0); font-family: RobotoSlab-Regular, Arial, Helvetica, sans-serif; text-align: justify;">Trang web của phòng khám đông y Bảo Minh có 2 tên miền, đã đăng ký chính chủ và thông báo với Bộ Công Thương.</p><p style="box-sizing: border-box; margin: 0px 0px 10px; padding: 0px; border: 0px; outline: 0px; font-size: 16px; vertical-align: baseline; background-image: initial; background-position: initial; background-size: initial; background-repeat: initial; background-attachment: initial; background-origin: initial; background-clip: initial; max-width: 100%; color: rgb(0, 0, 0); font-family: RobotoSlab-Regular, Arial, Helvetica, sans-serif;"><a class="xFAlBc" font-size:="" helvetica="" href="https://thoatvidiadem.top/" ping="/url?sa=t&amp;source=web&amp;rct=j&amp;url=https://thoatvidiadem.top/&amp;ved=2ahUKEwiysb_RuZT-AhVApFYBHVLSBtAQhAd6BAgbEAE" style="box-sizing: border-box; margin: 0px; padding: 0px; border: 0px; outline: 0px; vertical-align: baseline; background: transparent; color: rgb(26, 13, 171); text-decoration-line: none; transition: all 406ms ease-out 0s; max-width: 100%; -webkit-tap-highlight-color: rgba(0, 0, 0, 0.1); overflow-wrap: break-word; word-break: break-word;" title="">thoatvidiadem.top</a></p><p style="box-sizing: border-box; margin: 0px 0px 10px; padding: 0px; border: 0px; outline: 0px; font-size: 16px; vertical-align: baseline; background-image: initial; background-position: initial; background-size: initial; background-repeat: initial; background-attachment: initial; background-origin: initial; background-clip: initial; max-width: 100%; color: rgb(0, 0, 0); font-family: RobotoSlab-Regular, Arial, Helvetica, sans-serif;"><a class="xFAlBc" font-size:="" helvetica="" href="https://chuabenhthoatvidiadem.vn/" ping="/url?sa=t&amp;source=web&amp;rct=j&amp;url=https://chuabenhthoatvidiadem.vn/&amp;ved=2ahUKEwiysb_RuZT-AhVApFYBHVLSBtAQ6156BAgdEAE" style="box-sizing: border-box; margin: 0px; padding: 0px; border: 0px; outline: 0px; vertical-align: baseline; background: transparent; color: rgb(26, 13, 171); text-decoration-line: none; transition: all 406ms ease-out 0s; max-width: 100%; -webkit-tap-highlight-color: rgba(0, 0, 0, 0.1); overflow-wrap: break-word; word-break: break-word;" title="">chuabenhthoatvidiadem.vn</a></p>]]></content:encoded>
						<wfw:commentRss></wfw:commentRss>
						<slash:comments>0</slash:comments>
					</item>
				
					<item>
						<title>Bài thuốc đắp chữa trị thoát vị đĩa đệm</title>
						<link>https://chuabenhthoatvidiadem.vn/bai-viet/benh-thoat-vi-dia-dem/bai-thuoc-dap-chua-tri-thoat-vi-dia-dem-pid-235.html</link>
						<comments></comments>
						<pubDate>Thu, 22 Nov 2018 08:21:51 +0700</pubDate>
						<dc:creator>admin</dc:creator>
						<category><![CDATA[Bệnh thoát vị đĩa đệm]]></category>
						<guid isPermaLink="false"></guid>
						<description><![CDATA[Bài thuốc đắp chữa thoát vị đĩa đệm được bào chế sẵn. Đắp thuốc mỗi ngày có tác dụng giảm những cơn đau nhức do thoát vị đĩa đệm gây nên. Bài thuốc có công dụng làm mềm gân cơ, lưu thông khí huyết vùng cột sống đĩa đệm bị thoát vị. Do thành phần bài thuốc là những vị thuốc nam nên có giá rẻ, được lương y Nguyễn Văn Minh chế sẵn với rượu, khi muốn đắp thuốc chỉ việc đổ lên miếng gạc rồi đắp vào vùng cột sống bị đau. Thuốc đắp này không có tác dụng phụ, không rát bỏng da như các loại dầu nóng khác.]]></description>
						<content:encoded><![CDATA[<p style="text-align: justify;"><em><span style="font-size:18px;">Bài thuốc đắp chữa thoát vị đĩa đệm được&nbsp;bào chế sẵn. Thuốc có công dụng làm mềm gân cơ, lưu thông khí huyết vùng cột sống đĩa đệm bị thoát vị. Đắp thuốc mỗi ngày có tác dụng giảm đau nhức do bệnh đĩa đệm gây ra. Do thành phần bài thuốc là những vị thuốc&nbsp;y học cổ truyền&nbsp;dễ tìm, nên có giá rẻ mà tác dụng chữa bệnh lại tốt. Bài thuốc được lương y Nguyễn Văn Minh chế sẵn với rượu, khi muốn đắp&nbsp;chỉ việc đổ thuốc&nbsp;lên miếng gạc rồi đắp vào vùng cột sống bị đau. Bài thuốc đắp này không có tác dụng phụ, không rát bỏng da hoặc dị ứng da như các loại dầu nóng khác.</span></em></p><p><em><span style="font-size:18px;"><img loading="lazy" alt="Bài thuốc đắp chữa thoát vị đĩa đệm" src="data:image/gif;base64,R0lGODlhAQABAID/AP///wAAACwAAAAAAQABAAACAkQBADs=" data-src="https://chuabenhthoatvidiadem.vn/resources/images/20181124_101830.jpg" style="width: 700px; height: 575px;" class="lazy" width="1460" height="1200" data-optimized="1" /></span></em></p><p style="text-align: justify;"><span style="font-size:16px;">Bài thuốc có hơn 40 vị thuốc y học cổ truyền, trong đó có nhiều vị thuốc được&nbsp;dân gian&nbsp;dùng chữa đau nhức xương khớp&nbsp;rất hay như: Lá lốt, dây đau xương, cây xương rồng, cây cỏ xước, cây ngải cứu, huyết giác, kê huyết đằng, bạc hà, cốt toái bổ, cẩu tích, tục đoạn, hạt gấc, chi tử, đào nhân, hồng hoa, tế tân, đương quy nam, kim ngân hoa, cây ngũ trảo, cây kim vàng, quế chi, ngũ bội tử, tô mộc, tang ký sinh.v.v.</span></p><p style="text-align: justify;"><span style="font-size:16px;">Cách bào chế bài thuốc đắp như sau: Các vị thuốc được rửa sạch, phơi khô, mang&nbsp;xay vụn như cám rồi trộn với rượu sao kỹ, lọc lấy nước thuốc mang&nbsp;đóng chai sử dụng.</span></p><p style="text-align: justify;"><span style="font-size:16px;"><span class="optimize-cls-iframe" data-src="https://www.youtube.com/embed/kIdQUr8qF-Y">https://www.youtube.com/embed/kIdQUr8qF-Y</span></span></p><p style="text-align: justify;"><span style="font-size:16px;">Cách sử dụng thuốc đắp này rất đơn giản: Chỉ cần đổ thuốc lên miếng gạc cho ướt đều rồi đắp lên vùng đĩa đệm bị đau, đắp&nbsp;khoảng&nbsp;30&nbsp;-60&nbsp;phút, ngày đắp từ 1-2 lần. Những trường hợp bị thoát vị đĩa đệm nặng, có thể đắp nhiều lần và thời gian đắp cũng lâu hơn. Nếu bạn không muốn đắp thuốc thì có thể đổ thuốc ra tay&nbsp;rồi xoa&nbsp;bóp vào chỗ đau, làm đi làm lại như vậy khoảng 5-10 lần là được.</span></p><p style="text-align: justify;"><span style="font-size:16px;">Lưu ý: Thuốc dùng đắp ngoài da, không được uống, không đắp lên vết thương hở, phụ nữ có thai&nbsp;không nên dùng, để xa tầm tay trẻ em.</span></p><h3 style="text-align: justify;"><span style="font-size:18px;"><a href="https://chuabenhthoatvidiadem.vn/cach-chua-benh/dieu-tri-thoat-vi-dia-dem-khoi-han-nghe-thong-bao-tu-benh-nhan-o-tp-hcm-pid-39.html" style="color: rgb(102, 0, 153); cursor: pointer; text-decoration-line: none; font-family: arial, sans-serif; font-size: small;" target="_blank" title="">Bấm vào đây xem: Khỏi hẳn bệnh thoát vị đĩa đệm</a></span></h3><h4><span style="font-size:18px;"><a href="https://chuabenhthoatvidiadem.vn/cach-chua-benh/dia-chi-chua-benh-thoat-vi-dia-dem-tai-tp-hcm-o-dau-pid-73.html" style="color: rgb(102, 0, 153); cursor: pointer; text-decoration-line: none; font-family: arial, sans-serif; font-size: small;" target="_blank" title="">Địa chỉ chữa bệnh thoát vị đĩa đệm ở TP.HCM&nbsp;</a></span></h4><p><span style="background-color: transparent; color: rgb(0, 0, 0); font-family: RobotoSlab-Regular, Arial, Helvetica, sans-serif; font-size: 16px; text-align: justify;">Lương y Nguyễn Văn Minh chữa </span><a data-ved="2ahUKEwjTv828lPj3AhXaqFYBHYknBQEQFnoECAIQAQ" href="https://chuabenhthoatvidiadem.vn/" ping="/url?sa=t&amp;source=web&amp;rct=j&amp;url=https://chuabenhthoatvidiadem.vn/&amp;ved=2ahUKEwjTv828lPj3AhXaqFYBHYknBQEQFnoECAIQAQ" style="color: rgb(26, 13, 171); text-decoration-line: none; -webkit-tap-highlight-color: rgba(0, 0, 0, 0.1); outline: 0px; font-family: arial, sans-serif; font-size: small;" title="">Thoát Vị Đĩa Đệm</a><span style="background-color: transparent; color: rgb(0, 0, 0); font-family: RobotoSlab-Regular, Arial, Helvetica, sans-serif; font-size: 16px; text-align: justify;">, được cập nhật liên tục tại trang web:</span></p><p><span style="background-color: transparent; color: rgb(0, 0, 0); font-family: RobotoSlab-Regular, Arial, Helvetica, sans-serif; font-size: 16px; text-align: justify;">thoatvidiadem.top</span></p><p><span style="background-color: transparent; color: rgb(0, 0, 0); font-family: RobotoSlab-Regular, Arial, Helvetica, sans-serif; font-size: 16px; text-align: justify;">chuabenhthoatvidiadem.vn</span></p><h3 class="r" style="line-height: 1.1; box-sizing: border-box; margin: 0px; padding: 0px; border: 0px; outline: 0px; font-size: 18px; vertical-align: baseline; background-image: initial; background-position: initial; background-size: initial; background-repeat: initial; background-attachment: initial; background-origin: initial; background-clip: initial; font-family: RobotoSlab-Regular, Arial, Helvetica, sans-serif; color: rgb(0, 0, 0); max-width: 100%; overflow: hidden; text-overflow: ellipsis; white-space: nowrap;"><a href="https://chuabenhthoatvidiadem.vn/" style="color: rgb(102, 0, 153); box-sizing: border-box; margin: 0px; padding: 0px; border: 0px; outline: 0px; vertical-align: baseline; background: transparent; text-decoration-line: none; transition: all 406ms ease-out 0s; max-width: 100%; cursor: pointer;" target="_blank" title="">Cách Chữa Bệnh Thoát Vị Đĩa Đệm</a></h3><div class="s" style="box-sizing: border-box; margin: 0px; padding: 0px; border: 0px; outline: 0px; font-size: 16px; vertical-align: baseline; background-image: initial; background-position: initial; background-size: initial; background-repeat: initial; background-attachment: initial; background-origin: initial; background-clip: initial; position: relative; max-width: 48em; font-family: RobotoSlab-Regular, Arial, Helvetica, sans-serif; color: rgb(84, 84, 84); line-height: 18px;"><div class="f kv _SWb" style="box-sizing: border-box; margin: 0px; padding: 0px; border: 0px; outline: 0px; font-size: small; vertical-align: baseline; background: transparent; position: relative; max-width: 100%; color: rgb(128, 128, 128); height: 18px; line-height: 16px; font-family: arial, sans-serif; white-space: nowrap;"><cite class="_Rm" style="box-sizing: border-box; margin: 0px; padding: 0px; border: 0px; outline: 0px; font-size: 14px; vertical-align: baseline; background: transparent; max-width: 100%; color: rgb(0, 102, 33); font-style: normal;">chuabenhthoatvidiadem.vn/</cite></div></div>]]></content:encoded>
						<wfw:commentRss></wfw:commentRss>
						<slash:comments>0</slash:comments>
					</item>
				
					<item>
						<title>Chữa thoát vị đĩa đệm tốt, người bệnh kể: &quot;giá tôi gặp thầy sớm hơn&quot;</title>
						<link>https://chuabenhthoatvidiadem.vn/bai-viet/ket-qua-dieu-tri-thoat-vi-dia-dem/chua-thoat-vi-dia-dem-tot-nguoi-benh-ke-gia-toi-gap-thay-som-hon-pid-229.html</link>
						<comments></comments>
						<pubDate>Sat, 22 Sep 2018 10:40:37 +0700</pubDate>
						<dc:creator>admin</dc:creator>
						<category><![CDATA[Kết quả điều trị thoát vị đĩa đệm]]></category>
						<guid isPermaLink="false"></guid>
						<description><![CDATA[Chữa thoát vị đĩa đệm có hiệu quả sau 1 liệu trình uống thuốc và đắp thuốc, người bệnh tới phòng khám đông y Bảo Minh, kể: &quot;giá tôi gặp thầy sớm hơn thì tốt quá&quot;. Nhiều bệnh nhân sau khi chữa khỏi thoát vị đĩa đệm đã thốt lên: Không ngờ thuốc chữa thoát vị đĩa đệm của phòng khám lại tốt như vậy.]]></description>
						<content:encoded><![CDATA[<h2 style="text-align: justify;"><span style="font-size:18px;">Uống thuốc và đắp thuốc chữa thoát vị đĩa đệm có hiệu quả, bà Hoa ở TP. HCM&nbsp;tới phòng khám đông y Bảo Minh, kể: &quot;giá tôi gặp thầy sớm hơn thì tốt quá&quot;. Nhiều bệnh nhân sau khi chữa khỏi thoát vị đĩa đệm đã thốt lên: Không ngờ thuốc chữa thoát vị đĩa đệm của phòng khám lại tốt như vậy.</span></h2><p style="text-align: justify;"><span style="font-size:16px;">Dưới đây là video ghi lại hình ảnh bà Hoa tới tái khám và lấy thuốc lần hai tại phòng khám đông y Bảo Minh. Mời quý vị xem cuộc nói chuyện giữa bà Hoa và lương y Minh về bệnh thoát vị đĩa đệm cột sống của bà sau 10 ngày điều trị.</span></p><div class="youtube-embed-wrapper" style="position:relative;padding-bottom:56.25%;padding-top:30px;height:0;overflow:hidden"><iframe allowfullscreen="" frameborder="0" height="360" src="https://www.youtube.com/embed/IqN5mAEsHOs?rel=0&amp;autoplay=1&amp;controls=0" style="position:absolute;top:0;left:0;width:100%;height:100%" width="640"></iframe></div><p>&nbsp;</p><p>Bà Hoa đồng ý cung cấp địa chỉ đang ở&nbsp;tại TP. HCM: 220/56C Đường Xô Viết Nghệ Tĩnh, Phường 21, Quận Bình Thạnh. Phòng khám xin chân thành cảm ơn bà đã đồng ý chia sẻ video này (*)</p><p>(*)&nbsp; &nbsp;&quot;Lưu ý: Thuốc uống, thuốc đắp chữa thoát vị đĩa đệm /tác dụng nhanh hay chậm tùy theo cơ địa mỗi nguời&quot;</p><p>Chữa thoát vị đĩa đệm gặp lương y Nguyễn Văn Minh,&nbsp;tại địa chỉ: 856/6 Quang Trung, P.8, Quận Gò Vấp, Tp Hồ Chí Minh.</p><p style="font-size: small; color: rgb(128, 128, 128); font-family: arial, sans-serif; white-space: nowrap;"><span style="background-color: transparent; color: rgb(0, 0, 0); font-family: RobotoSlab-Regular, Arial, Helvetica, sans-serif; font-size: 16px; text-align: justify;">Lương y Nguyễn Văn Minh chữa thoát vị đĩa đệm, nhiều người đã khỏi bệnh, chi tiết&nbsp;</span><span style="background-color: transparent; color: rgb(0, 0, 0); font-family: RobotoSlab-Regular, Arial, Helvetica, sans-serif; font-size: 16px; text-align: justify;">tại trang web:</span></p><h3 class="r" style="line-height: 1.1; white-space: nowrap; background-image: initial; background-position: initial; background-size: initial; background-repeat: initial; background-attachment: initial; background-origin: initial; background-clip: initial; box-sizing: border-box; margin: 0px; padding: 0px; border: 0px; outline: 0px; font-size: 18px; vertical-align: baseline; font-family: RobotoSlab-Regular, Arial, Helvetica, sans-serif; color: rgb(0, 0, 0); max-width: 100%; overflow: hidden; text-overflow: ellipsis;"><a href="https://chuabenhthoatvidiadem.vn/" style="color: rgb(102, 0, 153); box-sizing: border-box; margin: 0px; padding: 0px; border: 0px; outline: 0px; vertical-align: baseline; background: transparent; text-decoration-line: none; transition: all 406ms ease-out 0s; max-width: 100%; cursor: pointer;" target="_blank" title="">Cách Chữa Bệnh Thoát Vị Đĩa Đệm</a></h3><div class="s" style="white-space: nowrap; background-image: initial; background-position: initial; background-size: initial; background-repeat: initial; background-attachment: initial; background-origin: initial; background-clip: initial; box-sizing: border-box; margin: 0px; padding: 0px; border: 0px; outline: 0px; font-size: 16px; vertical-align: baseline; position: relative; max-width: 48em; font-family: RobotoSlab-Regular, Arial, Helvetica, sans-serif; color: rgb(84, 84, 84); line-height: 18px;"><div class="f kv _SWb" style="box-sizing: border-box; margin: 0px; padding: 0px; border: 0px; outline: 0px; font-size: small; vertical-align: baseline; background: transparent; position: relative; max-width: 100%; color: rgb(128, 128, 128); height: 18px; line-height: 16px; font-family: arial, sans-serif;"><cite class="_Rm" style="box-sizing: border-box; margin: 0px; padding: 0px; border: 0px; outline: 0px; font-size: 14px; vertical-align: baseline; background: transparent; max-width: 100%; color: rgb(0, 102, 33); font-style: normal;">chuabenhthoatvidiadem.vn/</cite></div></div>]]></content:encoded>
						<wfw:commentRss></wfw:commentRss>
						<slash:comments>0</slash:comments>
					</item>
				
					<item>
						<title>Thang thuốc chữa thoát vị đĩa đệm</title>
						<link>https://chuabenhthoatvidiadem.vn/bai-viet/kham-chua-benh-thoat-vi-dia-dem/thang-thuoc-chua-thoat-vi-dia-dem-pid-219.html</link>
						<comments></comments>
						<pubDate>Tue, 05 Jun 2018 05:02:03 +0700</pubDate>
						<dc:creator>admin</dc:creator>
						<category><![CDATA[Khám chữa bệnh thoát vị đĩa đệm]]></category>
						<guid isPermaLink="false"></guid>
						<description><![CDATA[Thang thuốc chữa thoát vị đĩa đệm của nhà thuốc đông y Bảo Minh có gần 30 vị thuốc đông y. Những vị thuốc được lương y Nguyễn Văn Minh tuyển chọn và bào chế công phu, luôn có chất lượng điều trị tốt nhất. Do bảo quản thuốc bằng cách phơi khô, sao chín, sấy kỹ nên hoàn toàn yên tâm khi sử dụng.]]></description>
						<content:encoded><![CDATA[<p style="text-align: justify;"><span style="font-size:16px;"><em>Chữa bệnh thoát vị đĩa đệm có khỏi được không phụ thuộc vào thuốc&nbsp;chữa bệnh và kinh nghiệm của người thầy thuốc. Thang thuốc chữa thoát vị đĩa đệm của nhà thuốc&nbsp;Bảo Minh có gần&nbsp;30 vị thuốc đông y. Đơn thuốc ở dưới&nbsp;có&nbsp;20 vị thuốc cơ bản, sau khi khám bệnh và tham khảo kết quả chụp MRI&nbsp;cột sống,&nbsp;lương y Nguyễn Văn Minh sẽ bổ thêm những vị thuốc đặc trị của nhà thuốc. Cho nên thang&nbsp;thuốc chữa thoát vị đĩa đệm luôn có hiệu quả tốt nhất&nbsp;trong điều trị.</em></span></p><p style="text-align: justify;"><img loading="lazy" alt="Thuốc chữa thoát vị đĩa đệm" src="data:image/gif;base64,R0lGODlhAQABAID/AP///wAAACwAAAAAAQABAAACAkQBADs=" data-src="https://chuabenhthoatvidiadem.vn/resources/images/20180503_092934.jpg" style="width: 847px; height: 637px;" class="lazy" width="847" height="637" data-optimized="1" /></p><p><span style="font-size:16px;">1- Mộc qua 12 gr (tẩm dấm ăn, sao chín)&nbsp;</span></p><p><span style="font-size:16px;">2-&nbsp; Đương quy16 gr (bào mỏng, phơi khô, sao vàng hạ thổ)&nbsp;</span></p><p><span style="font-size:16px;">3-&nbsp; Ngưu tất 20 gr (ủ rượu, bào mỏng, sao khô)<br />4- Thục địa 20 gr ( sinh địa củ lớn nấu với sa nhân theo công thức riêng, không bị đầy bụng)<br />5- Sơn thù 12 gr (bỏ hạt, tẩm dấm ăn sao khô)<br />6- Cẩu tích 16 gr (sao nước muối nhạt)<br />7- Tang ký sinh 16 gr (sao chín)&nbsp;<br />8- Tục đoạn 16 gr (tẩy rượu sao chín)<br />9- Đan sâm 20 gr (ủ rượu, bào mỏng, sao khô)<br />10- Xích thược 12 gr (ủ mềm, bào mỏng, phơi khô, sao chín)<br />11- Hà thủ ô đỏ 20 gr (nấu chung với đậu đen xanh lòng, sấy khô)&nbsp;<br />12- Chánh hoài sơn 20 gr (sao vàng hạ thổ)&nbsp;<br />13- Dạ giao đằng 12 gr&nbsp;<br />14-&nbsp; Bạch phục linh 16 gr&nbsp;<br />15-&nbsp; Đỗ trọng 20 gr (tẩm nước muối nhạt sao khô)&nbsp;<br />16- Thương truật 16 gr (tẩm nước vo gạo sao vàng hạ thổ)<br />17- Độc hoạt 10 gr (rửa sạch, thái mỏng, phơi thật khô, sao nhẹ)<br />18- Tần giao xoắn 24 gr (bào mỏng, sấy khô, sao qua)<br />19- Hồng hoa nhẹ 12 gr (hồng hoa Tây Tạng, loại xịn)<br />20- Khương hoạt dẻo 12 gr (thái miếng, sấy nhẹ cho khô)</span></p><p style="text-align: justify;"><span style="font-size:16px;">Có rất nhiều&nbsp;loại thuốc chữa&nbsp;thoát vị đĩa đệm, nếu thầy thuốc có nhiều kinh nghiệm trong điều trị sẽ chọn được những loại thuốc chuẩn&nbsp;nhất, chất lượng thuốc tốt&nbsp;nhất để bào chế. Cách bào chế thuốc cũng quyết định tới việc chữa bệnh có khỏi hay không, bào chế không kỹ ngoài việc không khỏi bệnh mà còn gây tác dụng phụ như: đau bụng, sôi bụng, ợ hơi, nóng khát, khô cổ họng, táo bón....</span></p><p style="text-align: justify;"><span style="font-size: 16px;">Mời bạn đọc xem VIDEO dưới, nghe hết để cảm nhận&nbsp;chia sẻ thật của một bác ở Bình Phước, bác&nbsp;bị thoát vị đĩa đệm đau nhức như thế nào, sau khi uống 12 thang thuốc </span><span style="font-size: 16px; text-align: justify;">chữa thoát vị đĩa đệm của phòng khám,&nbsp;</span><span style="font-size: 16px;">mức độ hài lòng của bác ra sao&nbsp;về&nbsp;thang thuốc quý này.</span></p><p style="text-align: justify;"><span style="font-size:16px;"><span class="optimize-cls-iframe" data-src="https://www.youtube.com/embed/iZD6IsMPCRM">https://www.youtube.com/embed/iZD6IsMPCRM</span></span></p><p style="text-align: justify;"><span style="font-size:16px;">Có thể bạn quan tâm:</span></p><p style="text-align: justify;"><a data-ctbtn="0" data-cthref="http://www.google.com.vn/url?sa=t&amp;rct=j&amp;q=&amp;esrc=s&amp;source=web&amp;cd=80&amp;ved=2ahUKEwiev4-KttbiAhVWfd4KHXFjCE44RhAWMAl6BAgHEAE&amp;url=http%3A%2F%2Fchuabenhthoatvidiadem.vn%2Fcach-chua-benh%2Fthoat-vi-dia-dem-that-lung-l4-l5-l5-s1-pid-223.html&amp;usg=AOvVaw0Xd8idmE62t849mWO8Whwi" href="http://www.google.com.vn/url?sa=t&amp;rct=j&amp;q=&amp;esrc=s&amp;source=web&amp;cd=80&amp;ved=2ahUKEwiev4-KttbiAhVWfd4KHXFjCE44RhAWMAl6BAgHEAE&amp;url=http%3A%2F%2Fchuabenhthoatvidiadem.vn%2Fcach-chua-benh%2Fthoat-vi-dia-dem-that-lung-l4-l5-l5-s1-pid-223.html&amp;usg=AOvVaw0Xd8idmE62t849mWO8Whwi" rel="noopener" style="color: rgb(102, 0, 153); cursor: pointer; text-decoration-line: none; font-family: arial, sans-serif; font-size: small;" target="_blank" title="">Thoát vị đĩa đệm&nbsp;L4-L5, L5-S1</a></p><p style="text-align: justify;"><a href="https://chuabenhthoatvidiadem.vn/cach-chua-benh/thoat-vi-dia-dem-chen-ep-re-than-kinh-pid-254.html" rel="noopener" style="color: rgb(102, 0, 153); cursor: pointer; text-decoration-line: none; font-family: arial, sans-serif; font-size: small;" target="_blank" title="">Thoát vị đĩa đệm chèn dây thần kinh</a></p><p style="text-align: justify;"><a data-ctbtn="0" data-cthref="http://www.google.com.vn/url?sa=t&amp;rct=j&amp;q=&amp;esrc=s&amp;source=web&amp;cd=70&amp;ved=2ahUKEwig9dnCtdbiAhWI-mEKHRu0Ccg4PBAWMAl6BAgHEAE&amp;url=http%3A%2F%2Fchuabenhthoatvidiadem.vn%2Fcach-chua-benh%2Fthoat-vi-dia-dem-co-chua-duoc-khong-pid-237.html&amp;usg=AOvVaw03A_btasO3rBQUhl-3DhTN" href="http://www.google.com.vn/url?sa=t&amp;rct=j&amp;q=&amp;esrc=s&amp;source=web&amp;cd=70&amp;ved=2ahUKEwig9dnCtdbiAhWI-mEKHRu0Ccg4PBAWMAl6BAgHEAE&amp;url=http%3A%2F%2Fchuabenhthoatvidiadem.vn%2Fcach-chua-benh%2Fthoat-vi-dia-dem-co-chua-duoc-khong-pid-237.html&amp;usg=AOvVaw03A_btasO3rBQUhl-3DhTN" rel="noopener" style="color: rgb(102, 0, 153); cursor: pointer; text-decoration-line: none; font-family: arial, sans-serif; font-size: small;" target="_blank" title="">Thoát vị đĩa đệm có chữa được không</a></p><p style="text-align: justify;"><a data-ctbtn="0" data-cthref="http://www.google.com.vn/url?sa=t&amp;rct=j&amp;q=&amp;esrc=s&amp;source=web&amp;cd=67&amp;ved=2ahUKEwig9dnCtdbiAhWI-mEKHRu0Ccg4PBAWMAZ6BAgGEAE&amp;url=http%3A%2F%2Fchuabenhthoatvidiadem.vn%2Fcach-chua-benh%2Fthoat-vi-dia-dem-va-cach-dieu-tri-pid-233.html&amp;usg=AOvVaw0LgWsEfk-Q_p2hkKoACHx5" href="http://www.google.com.vn/url?sa=t&amp;rct=j&amp;q=&amp;esrc=s&amp;source=web&amp;cd=67&amp;ved=2ahUKEwig9dnCtdbiAhWI-mEKHRu0Ccg4PBAWMAZ6BAgGEAE&amp;url=http%3A%2F%2Fchuabenhthoatvidiadem.vn%2Fcach-chua-benh%2Fthoat-vi-dia-dem-va-cach-dieu-tri-pid-233.html&amp;usg=AOvVaw0LgWsEfk-Q_p2hkKoACHx5" rel="noopener" style="color: rgb(102, 0, 153); cursor: pointer; text-decoration-line: none; font-family: arial, sans-serif; font-size: small;" target="_blank" title="">Thoát vị đĩa đệm và cách điều trị</a></p><p style="text-align: justify;"><a href="https://chuabenhthoatvidiadem.vn/cach-chua-benh/don-gia-thuoc-chua-thoat-vi-dia-dem-pid-83.html" rel="noopener" style="color: rgb(102, 0, 153); cursor: pointer; text-decoration-line: none; font-family: arial, sans-serif; font-size: small;" target="_blank" title="">Giá thuốc chữa thoát vị đĩa đệm bao nhiêu</a></p><p style="text-align: justify;"><a href="https://chuabenhthoatvidiadem.vn/cach-chua-benh/thoat-vi-dia-dem-kieng-an-gi-pid-204.html" rel="noopener" style="color: rgb(102, 0, 153); cursor: pointer; text-decoration-line: none; font-family: arial, sans-serif; font-size: small;" target="_blank" title="">Thoát vị đĩa đệm kiêng ăn gì</a></p><p style="text-align: justify;"><a href="https://chuabenhthoatvidiadem.vn/cach-chua-benh/thoat-vi-dia-dem-la-gi-pid-8.html" rel="noopener" style="color: rgb(102, 0, 153); cursor: pointer; text-decoration-line: none; font-family: arial, sans-serif; font-size: small;" target="_blank" title="">Thoát vị đĩa đệm là gì</a></p><p style="text-align: justify;"><span style="font-size:16px;"><a data-ctbtn="0" data-cthref="http://www.google.com.vn/url?sa=t&amp;rct=j&amp;q=&amp;esrc=s&amp;source=web&amp;cd=52&amp;ved=2ahUKEwiv74mMtNbiAhXHMd4KHdfxCKE4MhAWMAF6BAgBEAE&amp;url=http%3A%2F%2Fchuabenhthoatvidiadem.vn%2Fcach-chua-benh%2Fbenh-thoat-vi-dia-dem-cid-16-0.html&amp;usg=AOvVaw3E2sxX5QpxsNUW8fb2ZpGi" href="http://www.google.com.vn/url?sa=t&amp;rct=j&amp;q=&amp;esrc=s&amp;source=web&amp;cd=52&amp;ved=2ahUKEwiv74mMtNbiAhXHMd4KHdfxCKE4MhAWMAF6BAgBEAE&amp;url=http%3A%2F%2Fchuabenhthoatvidiadem.vn%2Fcach-chua-benh%2Fbenh-thoat-vi-dia-dem-cid-16-0.html&amp;usg=AOvVaw3E2sxX5QpxsNUW8fb2ZpGi" rel="noopener" style="color: rgb(102, 0, 153); cursor: pointer; text-decoration-line: none; font-family: arial, sans-serif; font-size: small;" target="_blank" title="">Tìm hiểu bệnh thoát vị đĩa đệm</a></span></p><p style="text-align: justify;"><a data-="" href="https://www.google.com.vn/url?sa=t&amp;rct=j&amp;q=&amp;esrc=s&amp;source=web&amp;cd=104&amp;ved=0ahUKEwivrqjPvtTbAhWafSsKHbZFC3g4ZBAWCDUwAw&amp;url=http%3A%2F%2Fchuabenhthoatvidiadem.vn%2Fcach-chua-benh%2Fkhoi-thoat-vi-dia-dem-cot-song-that-lung-sau-hon-1-thang-dieu-tri-pid-37.html&amp;usg=AOvVaw12bs8zdUwpDg0fWImReAC-" style="font-size: 16px; font-family: arial, sans-serif; white-space: nowrap; color: rgb(102, 0, 153); cursor: pointer; text-decoration-line: none;" target="_blank" title="">Người bệnh đã chữa khỏi thoát vị đĩa đệm kể chuyện.</a></p><p class="r" style="font-size: 18px; margin: 0px; padding: 0px; overflow: hidden; text-overflow: ellipsis; white-space: nowrap; color: rgb(34, 34, 34); font-family: arial, sans-serif;"><span style="font-size:16px;"><a href="https://chuabenhthoatvidiadem.vn/cach-chua-benh/thoai-hoa-cot-song-that-lung-thoat-vi-dia-dem-l3-4-l4-5-dieu-tri-20-ngay-thuoc-het-dau-pid-147.html" style="color: rgb(102, 0, 153); cursor: pointer; text-decoration-line: none;" target="_blank" title="">Em hết bệnh rồi thầy, nghe người bệnh thông báo</a></span></p><p class="r" style="font-size: 18px; margin: 0px; padding: 0px; overflow: hidden; text-overflow: ellipsis; white-space: nowrap; color: rgb(34, 34, 34); font-family: arial, sans-serif;"><span style="font-size:16px;">Người bệnh bị thoát vị đĩa đệm, có thể gửi kết luận chụp MRI qua Zalo số: 0913503552.&nbsp;</span></p><p class="r" style="font-size: 18px; margin: 0px; padding: 0px; overflow: hidden; text-overflow: ellipsis; white-space: nowrap; color: rgb(34, 34, 34); font-family: arial, sans-serif;"><span style="font-size:16px;">Lương y Nguyễn Văn Minh sẽ hướng dẫn phương pháp chữa thoát vị đĩa đệm cho bạn.</span></p><p class="r" style="font-size: 18px; margin: 0px; padding: 0px; overflow: hidden; text-overflow: ellipsis; white-space: nowrap; color: rgb(34, 34, 34); font-family: arial, sans-serif;"><span style="font-size:16px;">Phòng khám thoát vị đĩa đệm ở thành phố: 856/6 Quang Trung, Quận Gò Vấp, HCM</span></p><p class="r" style="font-size: 18px; margin: 0px; padding: 0px; overflow: hidden; text-overflow: ellipsis; white-space: nowrap; color: rgb(34, 34, 34); font-family: arial, sans-serif;">&nbsp;</p><p style="box-sizing: border-box; margin: 0px 0px 10px; padding: 0px; border: 0px; outline: 0px; font-size: 16px; vertical-align: baseline; background-image: initial; background-position: initial; background-size: initial; background-repeat: initial; background-attachment: initial; background-origin: initial; background-clip: initial; max-width: 100%; color: rgb(0, 0, 0); font-family: RobotoSlab-Regular, Arial, Helvetica, sans-serif; text-align: justify;">Trang web của phòng khám đông y Bảo Minh có 2 tên miền, đã đăng ký chính chủ cơ sở và thông báo với Bộ Công Thương Việt Nam.</p><p style="box-sizing: border-box; margin: 0px 0px 10px; padding: 0px; border: 0px; outline: 0px; font-size: 16px; vertical-align: baseline; background-image: initial; background-position: initial; background-size: initial; background-repeat: initial; background-attachment: initial; background-origin: initial; background-clip: initial; max-width: 100%; color: rgb(0, 0, 0); font-family: RobotoSlab-Regular, Arial, Helvetica, sans-serif; text-align: justify;"><a class="xFAlBc" font-size:="" helvetica="" href="https://thoatvidiadem.top/" ping="/url?sa=t&amp;source=web&amp;rct=j&amp;url=https://thoatvidiadem.top/&amp;ved=2ahUKEwiysb_RuZT-AhVApFYBHVLSBtAQhAd6BAgbEAE" style="box-sizing: border-box; margin: 0px; padding: 0px; border: 0px; outline: 0px; vertical-align: baseline; background: transparent; color: rgb(26, 13, 171); text-decoration-line: none; transition: all 406ms ease-out 0s; max-width: 100%; -webkit-tap-highlight-color: rgba(0, 0, 0, 0.1); overflow-wrap: break-word; word-break: break-word;" title="">thoatvidiadem.top</a></p><p style="box-sizing: border-box; margin: 0px 0px 10px; padding: 0px; border: 0px; outline: 0px; font-size: 16px; vertical-align: baseline; background-image: initial; background-position: initial; background-size: initial; background-repeat: initial; background-attachment: initial; background-origin: initial; background-clip: initial; max-width: 100%; color: rgb(0, 0, 0); font-family: RobotoSlab-Regular, Arial, Helvetica, sans-serif; text-align: justify;"><a class="xFAlBc" font-size:="" helvetica="" href="https://chuabenhthoatvidiadem.vn/" ping="/url?sa=t&amp;source=web&amp;rct=j&amp;url=https://chuabenhthoatvidiadem.vn/&amp;ved=2ahUKEwiysb_RuZT-AhVApFYBHVLSBtAQ6156BAgdEAE" style="box-sizing: border-box; margin: 0px; padding: 0px; border: 0px; outline: 0px; vertical-align: baseline; background: transparent; color: rgb(26, 13, 171); text-decoration-line: none; transition: all 406ms ease-out 0s; max-width: 100%; -webkit-tap-highlight-color: rgba(0, 0, 0, 0.1); overflow-wrap: break-word; word-break: break-word;" title="">chuabenhthoatvidiadem.vn</a></p>]]></content:encoded>
						<wfw:commentRss></wfw:commentRss>
						<slash:comments>0</slash:comments>
					</item>
				
					<item>
						<title>Lương y Nguyễn Văn Minh chữa khỏi đau vai gáy do thoát vị đĩa đệm cổ cho anh Long ở Gò Vấp, TP HCM</title>
						<link>https://chuabenhthoatvidiadem.vn/bai-viet/nghe-truc-tiep-nhung-nguoi-duoc-luong-y-minh-chua-khoi-thoat-vi-dia-dem/luong-y-nguyen-van-minh-chua-khoi-dau-vai-gay-do-thoat-vi-dia-dem-co-cho-anh-long-o-go-vap-tp-hcm-pid-56.html</link>
						<comments></comments>
						<pubDate>Sat, 31 Dec 2016 11:50:42 +0700</pubDate>
						<dc:creator>admin</dc:creator>
						<category><![CDATA[Nghe trực tiếp những người được lương y Minh chữa khỏi thoát vị đĩa đệm ]]></category>
						<guid isPermaLink="false"></guid>
						<description><![CDATA[Lương y Nguyễn Văn Minh chữa khỏi đau vai gáy do thoát vị đĩa đệm cổ cho anh Long ở Gò Vấp, TP HCM. Hơn một năm sau gọi điện hỏi thăm, vợ anh Long cho biết anh đã khỏi hẳn từ đó tới nay.]]></description>
						<content:encoded><![CDATA[<h2 style="text-align: justify;"><span style="font-size:16px;">Anh Lê Tấn Bửu Long ở đường&nbsp;Dương Quảng Hàm, quận Gò Vấp, TP HCM &nbsp;hay bị đau cổ gáy, nhức bả vai, tê tay, đau tăng lên khi cử động cánh tay, giơ tay lên cao và đưa về sau đều khó khăn. Chụp MRI phát hiện &nbsp;bị thoát vị đĩa đệm cột sống cổ, khối thoát vị chèn ép rễ thần kinh làm cho anh đau nhức thường xuyên. (*)</span></p><p>&nbsp;</p><p><img loading="lazy" alt="Thoat vi dia dem co" src="data:image/gif;base64,R0lGODlhAQABAID/AP///wAAACwAAAAAAQABAAACAkQBADs=" data-src="https://chuabenhthoatvidiadem.vn/resources/images/1444717790nguyen-nhan-dau-vai-gay.jpg" style="width: 480px; height: 320px;" class="lazy" width="480" height="320" data-optimized="1" /></p><p><em>Thoát vị đĩa đệm cổ gây đau mỏi cổ gáy, bả vai cánh tay.</em></p><h2 style="text-align: justify;"><span style="font-size:16px;">Cách nay hơn một năm anh Long có tới phòng khám của lương y Nguyễn Văn Minh để khám bệnh, sau 3 tuần&nbsp;điều bệnh của anh Long đã khỏi hẳn. Hôm nay Lương y Minh gọi điện lại hỏi xem bệnh cũ&nbsp;có tái phát không, gặp vợ anh Long, chị cho biết bệnh của chồng chị đã khỏi hẳn hơn năm nay không hề bị đau lại. Hãy bấm vào mũi tên dưới đây để nghe trực tiếp thông báo từ vợ anh Long.</span></h2><p><a href="https://chuabenhthoatvidiadem.vn/resources/files/Tho_i_027_m.mp3" title="">Khỏi hoàn toàn thoát vị đĩa đệm do lương y Minh điều trị</a></p><p>&nbsp;</p><h3><span style="font-size:16px;">(*) Thuốc điều trị thoát vị đĩa đệm cổ/ tác dụng nhanh hay chậm&nbsp;có thể thay đổi tùy&nbsp;cơ địa của mỗi nguời.</span></h3><h4><span style="font-size:16px;">Xem thêm:&nbsp;<a href="https://chuabenhthoatvidiadem.vn/cach-chua-benh/khoi-thoat-vi-dia-dem-cot-song-that-lung-sau-hon-1-thang-dieu-tri-pid-37.html" style="color: rgb(102, 0, 153); cursor: pointer; text-decoration-line: none;" target="_blank" title="">clip&nbsp;trị thoát vị đĩa đệm cột sống thắt lưng.</a></span></h4><p>&nbsp;<span style="font-size:16px;">Khi anh Long tới chữa bệnh, phòng khám đông y Bảo Minh còn ở địa chỉ cũ: 373/5 Thống Nhất, P11, Quận Gò Vấp. Hiện nay phòng khám đã chuyển về:&nbsp;</span><span style="font-size: 16px;">856/6 Quang Trung, Phường 8, Quận Gò Vấp, TPHCM.</span></p><p><span style="font-size:16px;">Trang web:&nbsp;https://chuabenhthoatvidiadem.vn/</span></p>]]></content:encoded>
						<wfw:commentRss></wfw:commentRss>
						<slash:comments>0</slash:comments>
					</item>
				
					<item>
						<title>Thoát vị đĩa đệm chèn ép dây thần kinh</title>
						<link>https://chuabenhthoatvidiadem.vn/bai-viet/luong-y-nguyen-van-minh-chua-thoat-vi-dia-dem/thoat-vi-dia-dem-chen-ep-day-than-kinh-pid-331.html</link>
						<comments></comments>
						<pubDate>Mon, 05 Aug 2024 04:36:01 +0700</pubDate>
						<dc:creator>admin</dc:creator>
						<category><![CDATA[Lương y Nguyễn Văn Minh chữa thoát vị đĩa đệm]]></category>
						<guid isPermaLink="false"></guid>
						<description><![CDATA[Thoát vị đĩa đệm chèn ép dây thần kinh làm cho người bệnh bị đau nhức, hoặc tê bì dọc đường đi của dây thần kinh. Bệnh chèn ép càng nặng thì càng đau nhức nhiều, có khi còn bị teo cơ làm cho chân tay yếu liệt.]]></description>
						<content:encoded><![CDATA[<h2 style="text-align: justify;"><span style="font-size:16px;"><strong style="font-size: 16px; text-align: justify;">Thoát vị đĩa đệm chèn ép dây thần kinh&nbsp;</strong><span style="text-align: justify;">(chèn ép rễ thần kinh). Đây là tình trạng làm cho người bệnh bị đau nhức, tê bì dọc đường đi của dây thần kinh. Nếu chèn ép nặng dễ gây teo cơ, chân yếu hoặc tay yếu,&nbsp;đi lại vận động bị hạn chế.</span></span></h2><p><img loading="lazy" alt="Thoat-vi-dia-dem-chen-ep-day-than-kinh" src="data:image/gif;base64,R0lGODlhAQABAID/AP///wAAACwAAAAAAQABAAACAkQBADs=" data-src="https://chuabenhthoatvidiadem.vn/resources/images/Thoat-vi-dia-dem-chen-ep-re-than-kinh.jpg" style="width: 816px; height: 1200px;" class="lazy" width="816" height="1200" data-optimized="1" /></p><p><span style="font-size:16px;">Bác Phùng Quang Thanh đồng ý chia sẻ phiếu kết quả MRI, chụp tại bệnh viện Thân Dân, TP.HCM.</span></p><p><span style="font-size:16px;">Bác sĩ chụp cộng hưởng từ MRI kết luận:</span></p><p><span style="font-size:16px;">- Thoái hóa cột sống thắt lưng</span></p><p><span style="font-size:16px;">- Lồi đĩa đệm tầng L3-4, không chèn ép rễ thần kinh hai bên.</span></p><p><span style="font-size:16px;">- Thoát vị đĩa đệm tầng L4-5, chèn ép rễ thần kinh L5, S1 hai bên</span></p><p><span style="font-size:16px;">- Hẹp ống sống ngang mức L4-5, với đường kính trước sau bao màng cứng ngang mức này #4mm.</span></p><p style="text-align: justify;"><span style="font-size:16px;">Với kết quả chụp cộng hưởng từ như trên, các bác sĩ đều khuyên bác Thanh nên phẫu thuật thoát vị đĩa đệm, nhằm giải tỏa chèn ép dây thần kinh.&nbsp;</span></p><p style="text-align: justify;"><span style="font-size: 16px;">Bạn đọc&nbsp;muốn biết bác Thanh chữa thoát vị đĩa đệm chèn ép dây thần kinh như thế nào, hãy nghe nội dung dưới đây.</span></p><h3><span style="font-size: 16px;"><a title="" href="https://chuabenhthoatvidiadem.vn/resources/files/Ghi âm cuộc gọi Phùng Quang Thanh 61 Tv Nặng Nha Trang 1_ 24_240128_103334 (2) (1).mp3">Chữa thoát vị đĩa đệm chèn ép dây thần kinh</a></span></h3><p style="text-align: justify;"><span style="font-size: 16px;">Sau khi chữa hết đau nhức, tê bì do chèn ép rễ thần kinh L5 và S1 gây nên, mỗi năm bác Thanh đều mua 10 thang thuốc để uống thêm cho tốt cột sống đĩa đệm. Hơn hai năm sau (tháng 10/2025) Lương y Nguyễn Văn Minh gọi lại hỏi thăm, bác Thanh thông báo: sức khỏe rất tốt, không đau nhức gì nữa.</span></p><h4><span style="font-size:16px;"><a title="" href="https://chuabenhthoatvidiadem.vn/resources/files/Ghi âm cuộc gọi Phùng Quang Thanh 61 Tv Nặng Nha Trang 1_ 24_251028_172007_1.mp3">Thoát vị đĩa đệm chèn dây thần kinh</a></span></h4><p><span style="text-align: justify; font-size: 16px;">Bạn đang nghe Lương y Nguyễn Văn Minh và bác Phùng Quang Thanh nói chuyện,&nbsp;chia sẻ về căn bệnh thoát vị đĩa đệm và địa chỉ nhà bác ở TP Nha Trang, Khánh Hòa.</span></p><p style="text-align: justify;"><span style="font-size:16px;">Bác Thanh đồng ý cho chia sẻ thêm hồ sơ bệnh án (bạn đọc nghe hết nội dung sẽ thấy bác Thanh chia sẻ cả sđt của mình). Mục đích bác mong cho&nbsp;người bệnh&nbsp;gặp may mắn, đúng thầy đúng&nbsp;thuốc chữa khỏi bệnh, không phải&nbsp;phẫu thuật thoát vị đĩa đệm. </span></p><p style="text-align: justify;"><span style="font-size:16px;">Xin trân trọng cảm ơn bác Phùng Quang Thanh ở TP. Nha Trang tỉnh&nbsp;Khánh Hòa.</span></p><p style="text-align: justify;"><span style="font-size:16px;"><img loading="lazy" alt="Giấy nhập viện mổ thoát vị đĩa đệm" src="data:image/gif;base64,R0lGODlhAQABAID/AP///wAAACwAAAAAAQABAAACAkQBADs=" data-src="https://chuabenhthoatvidiadem.vn/resources/images/Giấy nhập viện mổ thoát vị đĩa đệm.jpg" style="width: 720px; height: 916px;" class="lazy" width="720" height="916" data-optimized="1" /></span></p><p style="text-align: justify;"><em><span style="font-size:14px;">Giấy nhập viện của bác Thanh để phẫu thuật thoát vị đĩa đệm, do hẹp nặng ống sống và chèn ép dây thần kinh L5, S1 hai bên.</span></em></p><p style="text-align: justify;"><em><span style="font-size:14px;"><img loading="lazy" alt="Thoát vị đĩa đệm chèn ép dây thần kinh" src="data:image/gif;base64,R0lGODlhAQABAID/AP///wAAACwAAAAAAQABAAACAkQBADs=" data-src="https://chuabenhthoatvidiadem.vn/resources/images/Thoát vị đĩa đệm chèn ép dây thần kinh(2).jpg" style="width: 675px; height: 1200px;" class="lazy" width="675" height="1200" data-optimized="1" /></span></em></p><p style="text-align: justify;"><em><span style="font-size:14px;">Hình ảnh thoát vị đĩa đệm chèn ép dây thần kinh, </span></em><em style="text-align: justify;"><span style="font-size: 14px;">của bác Phùng Quang Thanh ở Nha Trang. Cắt ra từ</span></em><em><span style="font-size:14px;">&nbsp;phim chụp cộng hưởng từ MRI cột sống.</span></em></p><p style="text-align: justify;"><em><span style="font-size:14px;"><img loading="lazy" alt="Thoát vị đĩa đệm chèn dây thần kinh" src="data:image/gif;base64,R0lGODlhAQABAID/AP///wAAACwAAAAAAQABAAACAkQBADs=" data-src="https://chuabenhthoatvidiadem.vn/resources/images/Thoát vị đĩa đệm chèn dây thần kinh.jpg" style="width: 932px; height: 1200px;" class="lazy" width="932" height="1200" data-optimized="1" /></span></em></p><p style="text-align: justify;"><em><span style="font-size:14px;">Hình ảnh Thoát vị đĩa đệm L4-L5 chèn dây thần kinh của bác Phùng Quang Thanh.</span></em></p><p style="text-align: justify;"><img loading="lazy" alt="thoatviđiaem.top" src="data:image/gif;base64,R0lGODlhAQABAID/AP///wAAACwAAAAAAQABAAACAkQBADs=" data-src="https://chuabenhthoatvidiadem.vn/resources/images/thoatvidiadem_top(1).jpg" style="width: 860px; height: 1024px;" class="lazy" width="860" height="1024" data-optimized="1" /></p><p><span style="font-size:14px;"><em>Chụp cộng hưởng từ MRI phát hiện thoát vị đĩa đệm chèn ép dây (rễ) thần kinh.</em></span></p><p><span style="font-size:14px;"><em><img loading="lazy" alt="thoatvidiadem.top" src="data:image/gif;base64,R0lGODlhAQABAID/AP///wAAACwAAAAAAQABAAACAkQBADs=" data-src="https://chuabenhthoatvidiadem.vn/resources/images/thoatvidiadem_top(2).jpg" style="width: 1280px; height: 721px;" class="lazy" width="1280" height="721" data-optimized="1" /></em></span></p><p><em><span style="font-size:14px;">Mới đây có dịp vào TP.HCM khám tổng quát sức khỏe, bác Phùng Quang Thanh có ghé thăm. Bác cho biết: &quot;sức khỏe tốt, không đau nhức gì nữa&quot;. Bác vui vẻ chụp ảnh cùng Lương y Nguyễn Văn Minh tại&nbsp;</span><em style="font-size: 14px;">phòng khám đông y Bảo Minh.</em></em></p><p style="text-align: justify;"><span style="font-size: 16px; text-align: justify;">Phòng khám đông y Bảo Minh&nbsp;chỉ chia sẻ ý kiến khi được sự đồng ý từ quý khách.&nbsp;Khi chữa khỏi bệnh thoát vị đĩa đệm chèn ép dây thần kinh,&nbsp;nhiều quý khách đã chia sẻ cảm ơn.&nbsp;Sau này, vì lý do gì đó quý khách không muốn chia sẻ ở đây nữa, chúng tôi sẽ gỡ bỏ thông tin xuống.&nbsp;Còn rất&nbsp;nhiều người chữa hết bệnh nhưng muốn giữ bí mật thông tin, nên chúng tôi sẽ giữ bí mật thông tin cho họ. Xin trân trọng cảm ơn quý khách.</span></p><p style="text-align: justify;"><img loading="lazy" alt="Thoát vị đĩa đệm chèn ép dây thần kinh" src="data:image/gif;base64,R0lGODlhAQABAID/AP///wAAACwAAAAAAQABAAACAkQBADs=" data-src="https://chuabenhthoatvidiadem.vn/resources/images/Thoát vị đĩa đệm chèn ép dây thần kinh.jpg" style="width: 831px; height: 1181px;" class="lazy" width="831" height="1181" data-optimized="1" /></p><p style="text-align: justify;"><em><span style="font-size:14px;">Bác sĩ mô tả hình ảnh thoát vị đĩa đệm chèn dây&nbsp;thần kinh, chèn ép chùm đuôi ngựa.</span></em></p><p style="text-align: justify;"><span style="font-size:16px;"><a title="" href="https://chuabenhthoatvidiadem.vn/resources/files/Ghi âm cuộc gọi Đoan Trang Nhật Yến 90 TV Nặng 1_ 24_240312_090339 (1).mp3">Thoát vị đĩa đệm chèn ép dây thần kinh</a></span></p><p style="text-align: justify;"><span style="font-size: 16px;">Ai bị thoát vị đĩa đệm nhẹ, không chèn ép&nbsp;dây thần kinh, không cần nghe hết nội dung nói chuyện giữa chị Đoàn Trang Nhật Yến và Lương y Nguyễn Văn Minh. Quý vị nào có người nhà bị thoát vị đĩa đệm chèn ép nặng ngách bên và rễ thần kinh, hãy nghe hết nội dung này sẽ hiểu đông y&nbsp;chữa thoát vị đĩa đệm tốt như thế nào.</span></p><p style="text-align: justify;"><span style="font-size: 16px;">Phòng khám xin trân trọng cảm ơn chị Nhật Yến đã đồng ý cho chia sẻ nội dung này.</span></p><p style="text-align: justify;"><span style="font-size:16px;">Thuốc chữa thoát vị đĩa đệm chèn dây thần kinh có hết không? Mời quý khách xem kết quả chụp MRI của bác Bùi Thị Tứ ở TP.HCM.&nbsp;</span></p><p style="text-align: justify;"><span style="font-size: 16px;"><img loading="lazy" alt="Thoát vị đĩa đệm chàn ép dây thần kinh" src="data:image/gif;base64,R0lGODlhAQABAID/AP///wAAACwAAAAAAQABAAACAkQBADs=" data-src="https://chuabenhthoatvidiadem.vn/resources/images/Thoát vị đĩa đệm chèn ép dây thần kinh(1).jpg" style="width: 900px; height: 1200px;" class="lazy" width="900" height="1200" data-optimized="1" /></span></p><p style="text-align: justify;"><span style="font-size: 16px;">Bác Tứ đồng ý chia sẻ ý kiến sau khi chữa khỏi thoát vị đĩa đệm chèn dây thần kinh L4&nbsp;và L5 hai bên.</span></p><p style="text-align: justify;"><span class="optimize-cls-iframe" data-src="https://www.youtube.com/embed/EZ1EBbLt584">https://www.youtube.com/embed/EZ1EBbLt584</span></p><h4 style="text-align: justify;"><span style="font-size: 16px;">Có thể bạn muốn xem; hình ảnh MRI thoát vị đĩa đệm chèn&nbsp;dây thần kinh.</span></h4><p style="text-align: justify;"><span style="font-size: 16px;"><img loading="lazy" alt="Thoát vị đĩa đệm chèn dây thần kinh" src="data:image/gif;base64,R0lGODlhAQABAID/AP///wAAACwAAAAAAQABAAACAkQBADs=" data-src="https://chuabenhthoatvidiadem.vn/resources/images/thoat vi dia dem chen day than kinh (2).jpg" style="width: 938px; height: 1200px;" class="lazy" width="938" height="1200" data-optimized="1" /></span></p><p style="text-align: justify;"><img loading="lazy" alt="thoat-vi-dia-dem-chen-day-than-kinh" src="data:image/gif;base64,R0lGODlhAQABAID/AP///wAAACwAAAAAAQABAAACAkQBADs=" data-src="https://chuabenhthoatvidiadem.vn/resources/images/thoat-vi-dia-dem-chen-day-than- kinh.jpg" style="width: 908px; height: 1200px;" class="lazy" width="908" height="1200" data-optimized="1" /></p><p style="text-align: justify;"><img loading="lazy" alt="Thoat-vi-dia-dem-chen-day-than-kinh" src="data:image/gif;base64,R0lGODlhAQABAID/AP///wAAACwAAAAAAQABAAACAkQBADs=" data-src="https://chuabenhthoatvidiadem.vn/resources/images/thoat vi dia dem chen day than kinh.jpg" style="width: 900px; height: 1200px;" class="lazy" width="900" height="1200" data-optimized="1" /></p><p style="text-align: justify;"><span style="font-size:16px;">Quý khách nào có người nhà bị thoát vị đĩa đệm chèn ép dây&nbsp;thần kinh. Đừng ngần ngại, hãy gửi kết quả chụp cộng hưởng từ MRI cho Lương y Nguyễn Văn Minh. Căn cứ vào đây; thầy thuốc sẽ tư vấn cách chữa tốt nhất cho họ.&nbsp;</span></p><p style="text-align: justify;"><span style="font-size: 16px; text-align: justify;">Chữa hết đau do thoát vị đĩa đệm chèn ép dây thần kinh, bác bệnh nhân ở TP.HCM đồng ý cho&nbsp;ghi lại câu chuyện nhân lúc bác dẫn người nhà đến chữa thoát vị đĩa đệm tại phòng khám đông y Bảo Minh. Xin trân trọng cảm ơn bác.</span></p><p style="text-align: justify;"><span style="font-size:16px;"><span class="optimize-cls-iframe" data-src="https://www.youtube.com/embed/9ZVbdtmCntk">https://www.youtube.com/embed/9ZVbdtmCntk</span></span></p><p style="text-align: justify;">Ai bị thoát vị đĩa đệm chèn ép dây thần kinh (chèn ép rễ thần kinh L3, L5) như của bác Quế ở TP.HCM. Nếu không muốn phẫu thuật thoát vị đĩa đệm cột sống lưng, nên xem hết video để nghe bác Quế kể sự thật đã chữa bệnh ở đây như thế nào. Xin trân trọng cảm ơn bác Trần Quế đã đồng ý cho chia sẻ video này.</p><p style="text-align: justify;"><span style="font-size:16px;"><img loading="lazy" alt="Thoat-vi-dia-dem-chen-ep=day-than-kinh" src="data:image/gif;base64,R0lGODlhAQABAID/AP///wAAACwAAAAAAQABAAACAkQBADs=" data-src="https://chuabenhthoatvidiadem.vn/resources/images/thoat-vi-dia-dem-chen-ep-day-than-kinh.jpg" style="width: 841px; height: 1200px;" class="lazy" width="841" height="1200" data-optimized="1" /></span></p><h5 style="box-sizing: border-box; margin: 0px 0px 10px; padding: 0px; border: 0px; outline: 0px; font-size: 16px; vertical-align: baseline; background-image: initial; background-position: initial; background-size: initial; background-repeat: initial; background-attachment: initial; background-origin: initial; background-clip: initial; max-width: 100%; color: rgb(0, 0, 0); font-family: RobotoSlab-Regular, Arial, Helvetica, sans-serif; text-align: justify;"><a href="https://www.youtube.com/channel/UCMrl47bRL4MgAguyRi48mEw" style="box-sizing: border-box; margin: 0px; padding: 0px; border: 0px; outline: 0px; vertical-align: baseline; background: transparent; color: rgb(102, 0, 153); text-decoration-line: none; transition: 406ms ease-out; max-width: 100%; text-wrap: nowrap; font-family: arial, sans-serif; cursor: pointer;" title="">Lương y Nguyễn Văn Minh </a>c<span style="background-color: transparent;">hữa thoát vị&nbsp;đĩa đệm ở Gò Vấp. TP.HCM</span></h5><p><span style="font-size:16px;">Địa chỉ duy nhất;</span></p><p style="box-sizing: border-box; margin: 0px 0px 10px; padding: 0px; border: 0px; outline: 0px; font-size: 16px; vertical-align: baseline; background-image: initial; background-position: initial; background-size: initial; background-repeat: initial; background-attachment: initial; background-origin: initial; background-clip: initial; max-width: 100%; color: rgb(0, 0, 0); font-family: RobotoSlab-Regular, Arial, Helvetica, sans-serif; text-align: justify;"><strong><span style="background-color: transparent;">856/6 đường </span><span style="background-color: transparent;">Quang Trung, Phường Thông Tây Hội. TP.HCM. Trước đây là Phường 8, q</span><span style="background-color: transparent;">uận Gò Vấp, TP.HCM. Điện thoại 0913 503 552.</span></strong></p><p style="box-sizing: border-box; margin: 0px 0px 10px; padding: 0px; border: 0px; outline: 0px; font-size: 16px; vertical-align: baseline; background-image: initial; background-position: initial; background-size: initial; background-repeat: initial; background-attachment: initial; background-origin: initial; background-clip: initial; max-width: 100%; color: rgb(0, 0, 0); font-family: RobotoSlab-Regular, Arial, Helvetica, sans-serif; text-align: justify;">Có thể bạn quan tâm;</p><p style="box-sizing: border-box; margin: 0px 0px 10px; padding: 0px; border: 0px; outline: 0px; font-size: 16px; vertical-align: baseline; background-image: initial; background-position: initial; background-size: initial; background-repeat: initial; background-attachment: initial; background-origin: initial; background-clip: initial; max-width: 100%; color: rgb(0, 0, 0); font-family: RobotoSlab-Regular, Arial, Helvetica, sans-serif;">-&nbsp;<a title="" href="https://chuabenhthoatvidiadem.vn/cach-chua-benh/thuoc-tri-thoat-vi-dia-dem-pid-324.html">Bài thuốc chữa thoát vị đĩa đệm chèn dây thần kinh</a></p><p style="box-sizing: border-box; margin: 0px 0px 10px; padding: 0px; border: 0px; outline: 0px; font-size: 16px; vertical-align: baseline; background-image: initial; background-position: initial; background-size: initial; background-repeat: initial; background-attachment: initial; background-origin: initial; background-clip: initial; max-width: 100%; color: rgb(0, 0, 0); font-family: RobotoSlab-Regular, Arial, Helvetica, sans-serif; text-align: justify;"><span style="font-size:16px;">-&nbsp;<a title="" href="https://chuabenhthoatvidiadem.vn/cach-chua-benh/luong-y-nguyen-van-minh-chua-thoat-vi-dia-dem-nhieu-nguoi-khong-phai-mo-thoat-vi-dia-dem-pid-25.html">Lương y Nguyễn Văn Minh chữa thoát vị đĩa đệm chèn dây thần kinh, giúp nhiều người hết đau, hết nhức, hết tê bì chân tay. Hoạt động, làm việc gần như&nbsp;bình thường</a>.</span></p><p style="box-sizing: border-box; margin: 0px 0px 10px; padding: 0px; border: 0px; outline: 0px; font-size: 16px; vertical-align: baseline; background-image: initial; background-position: initial; background-size: initial; background-repeat: initial; background-attachment: initial; background-origin: initial; background-clip: initial; max-width: 100%; color: rgb(0, 0, 0); font-family: RobotoSlab-Regular, Arial, Helvetica, sans-serif;">-&nbsp;<a title="" href="https://chuabenhthoatvidiadem.vn/cach-chua-benh/thoat-vi-dia-dem-hep-nang-ong-song-hep-lo-lien-hop-chen-ep-re-than-kinh-pid-243.html"><span style="font-size:16px;">Thoát vị đĩa đệm nặng, chèn ép rễ thần kinh L5 hai bên</span></a></p><p style="box-sizing: border-box; margin: 0px 0px 10px; padding: 0px; border: 0px; outline: 0px; font-size: 16px; vertical-align: baseline; background-image: initial; background-position: initial; background-size: initial; background-repeat: initial; background-attachment: initial; background-origin: initial; background-clip: initial; max-width: 100%; color: rgb(0, 0, 0); font-family: RobotoSlab-Regular, Arial, Helvetica, sans-serif;">-&nbsp;<a title="" href="https://chuabenhthoatvidiadem.vn/cach-chua-benh/giay-phep-kham-chua-benh-cua-luong-y-nguyen-van-minh-pid-30.html">Giấp phép khám chữa bệnh thoát vị đĩa đệm</a></p><p style="box-sizing: border-box; margin: 0px 0px 10px; padding: 0px; border: 0px; outline: 0px; font-size: 16px; vertical-align: baseline; background-image: initial; background-position: initial; background-size: initial; background-repeat: initial; background-attachment: initial; background-origin: initial; background-clip: initial; max-width: 100%; color: rgb(0, 0, 0); font-family: RobotoSlab-Regular, Arial, Helvetica, sans-serif;">Trang web có hai tên miền đăng ký&nbsp;Lương y Nguyễn Văn Minh là&nbsp;<span style="color: rgb(0, 0, 0); font-family: RobotoSlab-Regular, Arial, Helvetica, sans-serif; font-size: 16px;">chủ sở hữu:</span></p><p style="box-sizing: border-box; margin: 0px 0px 10px; padding: 0px; border: 0px; outline: 0px; font-size: 16px; vertical-align: baseline; background-image: initial; background-position: initial; background-size: initial; background-repeat: initial; background-attachment: initial; background-origin: initial; background-clip: initial; max-width: 100%; color: rgb(0, 0, 0); font-family: RobotoSlab-Regular, Arial, Helvetica, sans-serif;"><span class="GKdNbc" font-size:="" helvetica="" id="idu8BacLNOpPQ1e8PoLqWsQM6" style="color: rgb(31, 31, 31); font-weight: 700; font-family: Roboto, ">&nbsp;</span><span font-size:="" helvetica="" style="color: rgb(60, 64, 67); font-family: Roboto, "><a title="" aria-describedby="idu8BacLNOpPQ1e8PoLqWsQM6" class="xFAlBc" href="https://chuabenhthoatvidiadem.vn/" ping="/url?sa=t&amp;source=web&amp;rct=j&amp;url=https://chuabenhthoatvidiadem.vn/&amp;ved=2ahUKEwjC4MPBnMmQAxUTaPUHHSCdJTYQ6156BAgsEAE&amp;opi=89978449" style="color: rgb(26, 13, 171); text-decoration-line: none; -webkit-tap-highlight-color: rgba(0, 0, 0, 0.1); overflow-wrap: break-word; word-break: break-word; outline: 0px;">https://chuabenhthoatvidiadem.vn</a></span></p><p style="box-sizing: border-box; margin: 0px 0px 10px; padding: 0px; border: 0px; outline: 0px; font-size: 16px; vertical-align: baseline; background-image: initial; background-position: initial; background-size: initial; background-repeat: initial; background-attachment: initial; background-origin: initial; background-clip: initial; max-width: 100%; color: rgb(0, 0, 0); font-family: RobotoSlab-Regular, Arial, Helvetica, sans-serif;"><a title="" aria-describedby="idu8BacLNOpPQ1e8PoLqWsQM11" class="xFAlBc" font-size:="" helvetica="" href="https://thoatvidiadem.top/" ping="/url?sa=t&amp;source=web&amp;rct=j&amp;url=https://thoatvidiadem.top/&amp;ved=2ahUKEwjC4MPBnMmQAxUTaPUHHSCdJTYQhAd6BAhIEAE&amp;opi=89978449" style="color: rgb(26, 13, 171); text-decoration-line: none; -webkit-tap-highlight-color: rgba(0, 0, 0, 0.1); overflow-wrap: break-word; word-break: break-word; outline: 0px; font-family: Roboto, ">https://thoatvidiadem.top</a></p>]]></content:encoded>
						<wfw:commentRss></wfw:commentRss>
						<slash:comments>0</slash:comments>
					</item>
				
					<item>
						<title>Bệnh chèn ép dây thần kinh</title>
						<link>https://chuabenhthoatvidiadem.vn/bai-viet/kham-chua-benh-thoat-vi-dia-dem/benh-chen-ep-day-than-kinh-pid-323.html</link>
						<comments></comments>
						<pubDate>Thu, 07 Mar 2024 10:04:27 +0700</pubDate>
						<dc:creator>admin</dc:creator>
						<category><![CDATA[Khám chữa bệnh thoát vị đĩa đệm]]></category>
						<guid isPermaLink="false"></guid>
						<description><![CDATA[Bệnh chèn ép dây thần kinh là cách gọi thông thường để chỉ căn bệnh đau nhức, tê bì do rễ thần kinh bị chèn ép. Triệu chứng này là do bệnh thoát vị đĩa đệm, thoái hóa cột sống, gai cột sống gây nên. Nếu bị thoát vị đĩa đệm cột sống cổ, dễ bị chèn ép rễ thần kinh C4, C5, C6, C7. Khi thoát vị đĩa đệm cột sống lưng, nếu có chèn rễ thần kinh thì hay gặp nhất là rễ L4, L5, S1 và rễ thần kinh chùm đuôi ngựa.]]></description>
						<content:encoded><![CDATA[<p style="text-align: justify;"><span style="font-size: 16px;">Khi bị thoát vị đĩa đệm&nbsp;dễ gây&nbsp;chèn&nbsp;ép rễ thần kinh. Chèn ép&nbsp;nặng thì&nbsp;có các triệu chứng đau nhức nhiều, có khi đau buốt, đau vã mồ hôi, đau lâu ngày dễ bị&nbsp;teo cơ, tê bì chân tay. Nếu&nbsp;chèn ép nhẹ thì đau nhức ít hơn&nbsp;kèm theo mỏi lưng,&nbsp;mỏi cổ gáy.&nbsp;Gốc bệnh&nbsp;</span><span style="font-size: 16px;">là do&nbsp;thoát vị đĩa đệm,&nbsp;thoái hóa cột sống, gai cột sống&nbsp;gây nên. Nếu bị thoát vị đĩa đệm cột sống cổ, dễ gây&nbsp;chèn ép rễ thần kinh C3, C4, C5, C6 hoặc&nbsp;C7 tùy vào tầng đĩa đệm bị thoát vị. Bị thoát vị đĩa đệm cột sống lưng, nếu có chèn rễ thần kinh thì hay gặp nhất là rễ L4, L5, S1 và rễ thần kinh chùm đuôi ngựa.</span></p><p style="text-align: justify;"><img loading="lazy" alt="Bệnh chèn ép dây thần kinh" src="data:image/gif;base64,R0lGODlhAQABAID/AP///wAAACwAAAAAAQABAAACAkQBADs=" data-src="https://chuabenhthoatvidiadem.vn/resources/images/Bệnh chèn rề thần kinh.jpg" style="width: 831px; height: 922px;" class="lazy" width="831" height="922" data-optimized="1" /></p><p style="text-align: justify;"><span style="font-size:16px;">Bệnh chèn ép dây thần kinh (ép rễ thần kinh) làm cho người bệnh bị&nbsp;đau nhức, tê bì. Khi vận động hoặc cử động bị&nbsp;hạn chế và cơn đau tăng lên. Muốc chữa hết bệnh, hết chèn ép rễ thần kinh, người&nbsp;thầy thuốc phải giỏi chuyên môn, có nhiều kinh nghiệm, tay nghề&nbsp;cao và thuốc chữa bệnh phải có chất lượng tốt nhất.</span></p><p><span style="font-size:16px;"><img loading="lazy" alt="Bệnh chèn dây thần kinh" src="data:image/gif;base64,R0lGODlhAQABAID/AP///wAAACwAAAAAAQABAAACAkQBADs=" data-src="https://chuabenhthoatvidiadem.vn/resources/images/Chèn ép rễ.jpg" style="width: 828px; height: 817px;" class="lazy" width="828" height="817" data-optimized="1" /></span></p><p><img loading="lazy" alt="Chèn ép rễ thần kinh" src="data:image/gif;base64,R0lGODlhAQABAID/AP///wAAACwAAAAAAQABAAACAkQBADs=" data-src="https://chuabenhthoatvidiadem.vn/resources/images/Chèn ép rễ thần kinh (2).jpg" style="width: 764px; height: 1200px;" class="lazy" width="764" height="1200" data-optimized="1" /></p><p><img loading="lazy" alt="Thoát vị đĩa đệm, chèn ép rễ thần kinh" src="data:image/gif;base64,R0lGODlhAQABAID/AP///wAAACwAAAAAAQABAAACAkQBADs=" data-src="https://chuabenhthoatvidiadem.vn/resources/images/Bệnh chèn ép dây thần kinh.jpg" style="width: 862px; height: 1200px;" class="lazy" width="862" height="1200" data-optimized="1" /></p><p style="text-align: justify;"><span style="font-size:16px;">Xin trân trọng cảm ơn anh Trần Văn Thắng 47 tuổi, quê ở Hưng Yên, hiện đang sinh sống ở Long An. Sau khi chữa hết bệnh ở phòng khám đông y Bảo Minh, anh&nbsp;đồng ý giới thiệu, chia sẻ&nbsp;cách chữa thoát vị đĩa đệm ở đây.</span></p><p style="text-align: justify;"><span style="font-size:16px;"><img loading="lazy" alt="Chèn ép rễ thần kinh" src="data:image/gif;base64,R0lGODlhAQABAID/AP///wAAACwAAAAAAQABAAACAkQBADs=" data-src="https://chuabenhthoatvidiadem.vn/resources/images/Chèn ép rễ thần kinh(2).jpg" style="width: 864px; height: 1152px;" class="lazy" width="864" height="1152" data-optimized="1" /></span></p><p><em>Bị&nbsp;chèn dây thần kinh (ép rễ thần kinh) do thoái hóa cột sống, thoát vị đĩa đệm gây nên.</em></p><p style="text-align: justify;"><span style="font-size:16px;">Anh Trần Văn Thắng bị thoái hóa cột sống thắt lưng, thoát vị đĩa đệm tầng L4 - 5 ra sau,&nbsp;trung tâm lệch trái, ép chùm đuôi ngựa và rễ thần kinh L5 hai bên (T&gt;P).</span></p><p style="text-align: justify;"><span style="font-size:16px;">Thoát vị đĩa đệm tầng L5 - S1 ra sau, trung tâm lệch phải, di trú xuống dưới ép chùm đuôi ngựa và rễ thần kinh S1 hai bên (P&gt;T).</span></p><p style="text-align: justify;"><span style="font-size:16px;">Căn bệnh gây đau nhức dữ dội cho anh Thắng, vào bệnh viện điều trị bằng thuốc tây nhưng không hết chèn ép, bác sĩ có chỉ định mổ thoát vị đĩa đệm, nhưng anh không muốn mổ. Ai không may&nbsp;bị bệnh như vậy, nên nghe hết nội dung ở dưới đây sẽ&nbsp;rõ hơn.</span></p><p style="text-align: justify;"><a href="https://chuabenhthoatvidiadem.vn/resources/files/Trần Văn Thắng 1976 TV BĐ Long An 240229.mp3" title="">Chữa hết bệnh, hết&nbsp;chèn ép dây&nbsp;thần kinh</a></p><p style="box-sizing: border-box; margin: 0px 0px 10px; padding: 0px; border: 0px; outline: 0px; font-size: 16px; vertical-align: baseline; background-image: initial; background-position: initial; background-size: initial; background-repeat: initial; background-attachment: initial; background-origin: initial; background-clip: initial; max-width: 100%; color: rgb(0, 0, 0); font-family: RobotoSlab-Regular, Arial, Helvetica, sans-serif; text-align: justify;"><span style="box-sizing: border-box; margin: 0px; padding: 0px; border: 0px; outline: 0px; vertical-align: baseline; background: transparent; max-width: 100%;">Tôi xin trân trọng cảm ơn quý bệnh nhân đã đồng ý chia sẻ kinh nghiệm chữa bệnh ở đây, tôi chỉ đăng thông tin khi được sự đồng ý của quý khách, sau này quý nào không thích công khai ở trang web:&nbsp;</span></p><p style="box-sizing: border-box; margin: 0px 0px 10px; padding: 0px; border: 0px; outline: 0px; font-size: 16px; vertical-align: baseline; background-image: initial; background-position: initial; background-size: initial; background-repeat: initial; background-attachment: initial; background-origin: initial; background-clip: initial; max-width: 100%; color: rgb(0, 0, 0); font-family: RobotoSlab-Regular, Arial, Helvetica, sans-serif;"><span style="box-sizing: border-box; margin: 0px; padding: 0px; border: 0px; outline: 0px; vertical-align: baseline; background: transparent; max-width: 100%; text-align: justify;">thoatvidiadem.top và &nbsp;chuabenhthoatvidiadem.vn&nbsp;chúng tôi sẽ gỡ bài đăng, xin cảm ơn quý khách.</span></p><p style="box-sizing: border-box; margin: 0px 0px 10px; padding: 0px; border: 0px; outline: 0px; font-size: 16px; vertical-align: baseline; background-image: initial; background-position: initial; background-size: initial; background-repeat: initial; background-attachment: initial; background-origin: initial; background-clip: initial; max-width: 100%; color: rgb(0, 0, 0); font-family: RobotoSlab-Regular, Arial, Helvetica, sans-serif;"><span style="box-sizing: border-box; margin: 0px; padding: 0px; border: 0px; outline: 0px; font-size: 16px; vertical-align: baseline; background: transparent; max-width: 100%; color: rgb(0, 0, 0); font-family: RobotoSlab-Regular, Arial, Helvetica, sans-serif; text-align: justify;">Có thể bạn muốn xem&nbsp;</span><span style="box-sizing: border-box; margin: 0px; padding: 0px; border: 0px; outline: 0px; font-size: 16px; vertical-align: baseline; background: transparent; max-width: 100%; color: rgb(0, 0, 0); font-family: RobotoSlab-Regular, Arial, Helvetica, sans-serif; text-align: justify;"><a data-ved="2ahUKEwj94eeKyIGAAxUNU94KHef4CXY4MhAWegQIEBAB" href="https://chuabenhthoatvidiadem.vn/cach-chua-benh/giay-phep-kham-chua-benh-cua-luong-y-nguyen-van-minh-pid-30.html" jsaction="rcuQ6b:npT2md" jscontroller="M9mgyc" jsname="qOiK6e" ping="/url?sa=t&amp;source=web&amp;rct=j&amp;opi=89978449&amp;url=https://chuabenhthoatvidiadem.vn/cach-chua-benh/giay-phep-kham-chua-benh-cua-luong-y-nguyen-van-minh-pid-30.html&amp;ved=2ahUKEwj94eeKyIGAAxUNU94KHef4CXY4MhAWegQIEBAB" style="color: rgb(26, 13, 171); box-sizing: border-box; margin: 0px; padding: 0px; border: 0px; outline: 0px; font-size: small; vertical-align: baseline; background: transparent; text-decoration-line: none; transition: all 406ms ease-out 0s; max-width: 100%; -webkit-tap-highlight-color: rgba(0, 0, 0, 0.1); font-family: arial, sans-serif;" title="">Giấy phép khám chữa bệnh</a></span></p><p style="box-sizing: border-box; margin: 0px 0px 10px; padding: 0px; border: 0px; outline: 0px; font-size: 16px; vertical-align: baseline; background-image: initial; background-position: initial; background-size: initial; background-repeat: initial; background-attachment: initial; background-origin: initial; background-clip: initial; max-width: 100%; color: rgb(0, 0, 0); font-family: RobotoSlab-Regular, Arial, Helvetica, sans-serif;"><span style="box-sizing: border-box; margin: 0px; padding: 0px; border: 0px; outline: 0px; font-size: 16px; vertical-align: baseline; background: transparent; max-width: 100%; color: rgb(0, 0, 0); font-family: RobotoSlab-Regular, Arial, Helvetica, sans-serif; text-align: justify;"><img loading="lazy" alt="Chèn ép rễ thần kinh" src="data:image/gif;base64,R0lGODlhAQABAID/AP///wAAACwAAAAAAQABAAACAkQBADs=" data-src="https://chuabenhthoatvidiadem.vn/resources/images/Chèn ép rễ L4,L5.jpg" style="width: 476px; height: 637px;" class="lazy" width="476" height="637" data-optimized="1" /></span></p><p style="text-align: justify; box-sizing: border-box; margin: 0px 0px 10px; padding: 0px; border: 0px; outline: 0px; font-size: 16px; vertical-align: baseline; background-image: initial; background-position: initial; background-size: initial; background-repeat: initial; background-attachment: initial; background-origin: initial; background-clip: initial; max-width: 100%; color: rgb(0, 0, 0); font-family: RobotoSlab-Regular, Arial, Helvetica, sans-serif;">Xin cảm ơn chị Đào Thị Xương nhà ở Bến Tre, chị đã đồng ý cho chia sẻ kết quả chụp MRI và có ý kiến phản hồi tốt ở đây;</p><p style="text-align: justify; box-sizing: border-box; margin: 0px 0px 10px; padding: 0px; border: 0px; outline: 0px; font-size: 16px; vertical-align: baseline; background-image: initial; background-position: initial; background-size: initial; background-repeat: initial; background-attachment: initial; background-origin: initial; background-clip: initial; max-width: 100%; color: rgb(0, 0, 0); font-family: RobotoSlab-Regular, Arial, Helvetica, sans-serif;">Chị Xương bị thoái hóa cột sống thắt lưng,&nbsp;thoát vị đĩa đệm tầng L3/4, L4/5 gây chèn ép rễ thần kinh L4, L5 hai bên. Thoát vị đĩa đệm L2/3 không gây chèn ép rễ thần kinh.</p><p style="text-align: justify; box-sizing: border-box; margin: 0px 0px 10px; padding: 0px; border: 0px; outline: 0px; font-size: 16px; vertical-align: baseline; background-image: initial; background-position: initial; background-size: initial; background-repeat: initial; background-attachment: initial; background-origin: initial; background-clip: initial; max-width: 100%; color: rgb(0, 0, 0); font-family: RobotoSlab-Regular, Arial, Helvetica, sans-serif;"><a href="https://chuabenhthoatvidiadem.vn/resources/files/call_11-14-57_OUT_0971247122.mp3" title="">Chèn ép rễ thần kinh L4, L5 hai bên</a></p><p style="text-align: justify; box-sizing: border-box; margin: 0px 0px 10px; padding: 0px; border: 0px; outline: 0px; font-size: 16px; vertical-align: baseline; background-image: initial; background-position: initial; background-size: initial; background-repeat: initial; background-attachment: initial; background-origin: initial; background-clip: initial; max-width: 100%; color: rgb(0, 0, 0); font-family: RobotoSlab-Regular, Arial, Helvetica, sans-serif;"><img loading="lazy" alt="Bệnh chèn ép dây thần kinh" src="data:image/gif;base64,R0lGODlhAQABAID/AP///wAAACwAAAAAAQABAAACAkQBADs=" data-src="https://chuabenhthoatvidiadem.vn/resources/images/Chèn ép dây thần kinh.jpg" style="width: 805px; height: 856px;" class="lazy" width="805" height="856" data-optimized="1" /></p><p style="box-sizing: border-box; margin: 0px 0px 10px; padding: 0px; border: 0px; outline: 0px; font-size: 16px; vertical-align: baseline; background-image: initial; background-position: initial; background-size: initial; background-repeat: initial; background-attachment: initial; background-origin: initial; background-clip: initial; max-width: 100%; color: rgb(0, 0, 0); font-family: RobotoSlab-Regular, Arial, Helvetica, sans-serif;"><span style="color: rgb(0, 0, 0); font-family: RobotoSlab-Regular, Arial, Helvetica, sans-serif; font-size: 16px; text-align: justify;">Lương y Nguyễn Văn Minh -&nbsp;Thầy thuốc&nbsp;khám chữa bệnh thoát vị đĩa đệm bằng đông y. Có địa chỉ duy nhất ở: 856/6 đường&nbsp;Quang Trung, quận Gò Vấp, TP.HCM. Số di động có Zalo: 0913503552. Điện thoại cố định:&nbsp;028.6295.1367</span></p>]]></content:encoded>
						<wfw:commentRss></wfw:commentRss>
						<slash:comments>0</slash:comments>
					</item>
				
					<item>
						<title>Bệnh thoát vị đĩa đệm</title>
						<link>https://chuabenhthoatvidiadem.vn/bai-viet/thuoc-dong-y-tri-thoat-vi-dia-dem/benh-thoat-vi-dia-dem-pid-293.html</link>
						<comments></comments>
						<pubDate>Wed, 16 Dec 2020 09:44:35 +0700</pubDate>
						<dc:creator>admin</dc:creator>
						<category><![CDATA[Thuốc đông y trị thoát vị đĩa đệm ]]></category>
						<guid isPermaLink="false"></guid>
						<description><![CDATA[Thoát vị đĩa đệm là căn bệnh ảnh hưởng nhiều đến chất lượng cuộc sống. Lương y Nguyễn Văn Minh chữa thoát vị đĩa đệm ở TP.HCM tạo được uy tín tốt. Ông đã chữa cho rất nhiều người khỏi bệnh, giúp họ sinh hoạt và lao động được gần như bình thường.]]></description>
						<content:encoded><![CDATA[<h2><span style="font-size:18px;">Bệnh thoát vị đĩa đệm.</span></h2><p style="text-align: justify;"><span style="font-size:16px;">Thoát vị đĩa đệm là căn bệnh ảnh hưởng nhiều nhất đến cột sống. Tìm cách nào chữa khỏi bệnh,&nbsp;giúp</span><span style="font-size: 16px; text-align: justify;">&nbsp;người bệnh&nbsp;</span><span style="font-size:16px;">không phải phẫu thuật cột sống đĩa đệm là mong ước của nhiều người.</span></p><p style="text-align: justify;"><span style="font-size:16px;"><img loading="lazy" alt="Hình ảnh thoát vị đĩa đệm" src="data:image/gif;base64,R0lGODlhAQABAID/AP///wAAACwAAAAAAQABAAACAkQBADs=" data-src="https://chuabenhthoatvidiadem.vn/resources/images/Hình ảnh thoát vị đĩa đệm(3).jpg" style="width: 900px; height: 1200px;" class="lazy" width="900" height="1200" data-optimized="1" /></span></p><p style="text-align: justify;"><span style="font-size:14px;"><em>Hình ảnh thoát vị đĩa đệm L5-S1 trên phim chụp cộng hưởng từ cột sống thắt lưng.</em></span></p><h3><span style="font-size:16px;">&nbsp;Làm sao để biết mình bị bệnh thoát vị đĩa đệm?</span></h3><p style="text-align: justify;"><span style="font-size:16px;">Mời quý khách bấm vào ô bên dưới để nghe; một bệnh nhân kể&nbsp;từ lúc chị bị đau lưng cho đến khi làm thế nào để biết được mình bị thoát vị đĩa đệm.</span></p><p><span style="font-size:16px;"><a href="https://chuabenhthoatvidiadem.vn/resources/files/Chữa thoát vị đĩa đệm.mp3" title="">Làm thế nào để biết mình bị thoát vị đĩa đệm&nbsp;</a></span></p><p style="text-align: justify;"><span style="font-size:16px;">Tôi là thầy thuốc đông y&nbsp;Nguyễn Văn Minh - Chủ phòng khám đông y Bảo Minh ở Gò Vấp.&nbsp;Tôi&nbsp;xin trân trọng cảm ơn những&nbsp;quý bệnh nhân đã đồng ý cho chia sẻ ở đây, trang web của phòng khám.&nbsp;Tôi chỉ đăng thông tin địa chỉ, bệnh án&nbsp;thoát vị đĩa đệm khi được sự đồng ý của quý khách. Đây là những câu chuyện rất chân thực về cách chữa thoát vị đĩa đệm ở phòng khám do tôi phụ trách.</span></p><p><a href="https://chuabenhthoatvidiadem.vn/resources/files/Lê Thị Huệ tv 6_23.mp3" style="font-size: 16px;" title="">Chữa khỏi bệnh, chị Lê Thị Huệ ở Phan Rang, Ninh&nbsp;Thuận chia sẻ ý kiến</a></p><p style="text-align: justify;"><span style="font-size:16px;">Sau này, nếu&nbsp;quý bệnh nhân&nbsp;nào không muốn chia sẻ ở đây nữa, chúng tôi sẽ gỡ bài đăng xuống, xin trân trọng cảm ơn quý khách.</span></p><p><span style="font-size:18px;"><img loading="lazy" alt="Thoát vị đĩa đệm là gì" src="data:image/gif;base64,R0lGODlhAQABAID/AP///wAAACwAAAAAAQABAAACAkQBADs=" data-src="https://chuabenhthoatvidiadem.vn/resources/images/Thoatvidiademlagi.jpg" style="width: 661px; height: 853px;" class="lazy" width="661" height="853" data-optimized="1" /></span></p><p><span style="font-size:14px;"><em>Hình ảnh thoát vị đĩa đệm L4 L5 chèn ép bao màng cứng, gây hẹp ống sống</em></span></p><p style="text-align: justify;"><span style="font-size:16px;">Thoát vị đĩa đệm là hiện tượng đĩa đệm bị chèn ép lệch khỏi vị trí ban đầu giữa hai đốt sống, nhân nhầy bên trong đĩa đệm thoát ra khỏi bao xơ dây chằng và chèn ép bào màng cứng, hoặc chèn&nbsp;rễ thần kinh, có thể gây hẹp ống sống, gây nên đau nhức, tê bì.</span></p><p style="text-align: justify;"><span style="font-size:16px;">Muốn biết thoát vị đĩa đệm đau như thế nào? Quý vị bấm vào ô dưới nghe xem;</span></p><p style="text-align: justify;"><span style="font-size:16px;"><a href="https://chuabenhthoatvidiadem.vn/resources/files/Bác Nguyễn Thị Mỹ Lệ%2C Bình Phước.mp3" title="">Thoát vị đĩa đệm đau như thế nào</a></span></p><h3><span style="font-size:18px;">Nguyên nhân thoát vị đĩa đệm</span></h3><p style="text-align: justify;"><span style="font-size:16px;">Nguyên nhân gây nên thoát vị đĩa đệm thường là do đĩa đệm cột sống bị thoái hóa, cộng thêm với&nbsp;những tư thế&nbsp;sai hoặc do chấn thương trong lao động, hoạt động hàng ngày. Công việc ngồi nhiều, cúi nhiều, ít vận động cũng dễ dẫn đến thoát vị đĩa đệm.</span></p><p style="text-align: justify;"><span style="font-size:16px;"><span class="optimize-cls-iframe" data-src="https://www.youtube.com/embed/aRyWWAbNLq8">https://www.youtube.com/embed/aRyWWAbNLq8</span></span></p><h3><span style="font-size:18px;">Cách phát hiện thoát vị đĩa đệm</span></h3><p style="text-align: justify;"><span style="font-size:16px;">Cách phát hiện thoát vị đĩa đệm tốt nhất, phải đi&nbsp;chụp MRI cộng hưởng từ cột sống.&nbsp;Chụp MRI là phương pháp phát hiện, chẩn đoán thoát vị đĩa đệm cột sống chính xác nhất hiện nay. Bệnh thoát vị đĩa đệm,&nbsp;thầy thuốc đông y&nbsp;muốn giỏi, nên chuyên sâu nghiên cứu&nbsp;chữa bệnh chuyên khoa. Khi chữa bệnh, cần&nbsp;căn cứ vào kết luận của bác sĩ kết hợp với bắt mạch sẽ đạt hiệu quả tốt nhất.</span></p><p style="text-align: justify;"><span style="font-size:16px;"><span class="optimize-cls-iframe" data-src="https://www.youtube.com/embed/EipKk5ZocEk">https://www.youtube.com/embed/EipKk5ZocEk</span></span></p><p style="text-align: justify;"><span style="font-size:16px;">Xem thêm &gt;&gt;&nbsp;</span><a data-ctbtn="0" data-cthref="/url?sa=t&amp;rct=j&amp;q=&amp;esrc=s&amp;source=web&amp;cd=&amp;ved=2ahUKEwjT04mvxdTtAhULO3AKHY40C8U4MhAWMAZ6BAgJEAI&amp;url=https%3A%2F%2Fchuabenhthoatvidiadem.vn%2Fcach-chua-benh%2Fcach-phat-hien-benh-thoat-vi-dia-dem-loi-dia-dem-pid-263.html&amp;usg=AOvVaw36EU8omnwvkdQpIP_OhXIE" data-ved="2ahUKEwjT04mvxdTtAhULO3AKHY40C8U4MhAWMAZ6BAgJEAI" href="https://www.google.com.vn/url?sa=t&amp;rct=j&amp;q=&amp;esrc=s&amp;source=web&amp;cd=&amp;ved=2ahUKEwjT04mvxdTtAhULO3AKHY40C8U4MhAWMAZ6BAgJEAI&amp;url=https%3A%2F%2Fchuabenhthoatvidiadem.vn%2Fcach-chua-benh%2Fcach-phat-hien-benh-thoat-vi-dia-dem-loi-dia-dem-pid-263.html&amp;usg=AOvVaw36EU8omnwvkdQpIP_OhXIE" rel="noopener" style="color: rgb(102, 0, 153); text-decoration-line: none; -webkit-tap-highlight-color: rgba(0, 0, 0, 0.1); font-family: arial, sans-serif; font-size: small;" target="_blank" title="">Chụp MRI phát hiện&nbsp;thoát vị đĩa đệm</a></p><h2><span style="font-size:18px;">Thoát vị đĩa đệm cột sống cổ</span></h2><p style="text-align: justify;"><span style="font-size:16px;">Thoát vị đĩa đệm C5 C6 và C6 C7. Lương y Nguyễn Văn Minh gặp nhiều nhất trong các trường hợp bị thoát vị đĩa đệm cổ. Những người làm công việc văn phòng, ngồi nhiều với máy tính, cúi nhiều xem điện thoại, không chú ý đến tư thế, rất dễ bị thoát vị đĩa đệm cổ. Tôi khuyên bạn, sau 1 đến 2 giờ&nbsp;làm việc, bạn nên đứng lên đi lại, vận động nhẹ nhàng để các cơ được thư giãn.</span></p><p style="text-align: justify;"><span style="font-size:16px;">Xem thêm &gt;&gt;&nbsp;</span><a data-ctbtn="0" data-cthref="/url?sa=t&amp;rct=j&amp;q=&amp;esrc=s&amp;source=web&amp;cd=&amp;ved=2ahUKEwiK2JnWlNTtAhWXMN4KHXcRBUs4tAEQFjAHegQIBxAC&amp;url=https%3A%2F%2Fchuabenhthoatvidiadem.vn%2Fcach-chua-benh%2Fcham-dut-dau-vai-gay-do-thoat-vi-dia-dem-cot-song-co-sau-3-tuan-dieu-tri-anh-chup-mri-tai-bv-dai-hoc-y-duoc-tp-hcm-pid-65.html&amp;usg=AOvVaw21m5ZxPCpx2WyhHuM0O8nL" data-ved="2ahUKEwiK2JnWlNTtAhWXMN4KHXcRBUs4tAEQFjAHegQIBxAC" href="https://www.google.com.vn/url?sa=t&amp;rct=j&amp;q=&amp;esrc=s&amp;source=web&amp;cd=&amp;ved=2ahUKEwiK2JnWlNTtAhWXMN4KHXcRBUs4tAEQFjAHegQIBxAC&amp;url=https%3A%2F%2Fchuabenhthoatvidiadem.vn%2Fcach-chua-benh%2Fcham-dut-dau-vai-gay-do-thoat-vi-dia-dem-cot-song-co-sau-3-tuan-dieu-tri-anh-chup-mri-tai-bv-dai-hoc-y-duoc-tp-hcm-pid-65.html&amp;usg=AOvVaw21m5ZxPCpx2WyhHuM0O8nL" rel="noopener" style="color: rgb(102, 0, 153); text-decoration-line: none; -webkit-tap-highlight-color: rgba(0, 0, 0, 0.1); font-family: arial, sans-serif; font-size: small;" target="_blank" title="">Hết&nbsp;&nbsp;đau vai gáy do thoát vị đĩa đệm cột sống cổ</a></p><h3 style="text-align: justify;"><span style="font-size: 16px; text-align: justify;">Triệu chứng&nbsp;thoát vị đĩa đệm cột sống cổ</span></h3><p style="text-align: justify;"><span style="font-size:16px;">Có những cơn đau nhói và&nbsp;đau âm ỉ ở cổ giữa hai bả vai. Cơn đau có thể lan xuống cánh tay, bàn tay và ngón tay, có khi kèm tê&nbsp;tay, yếu cơ cánh tay. Cơn đau có thể tăng lên ở một số vị trí khi&nbsp;chuyển động quay hoặc cúi ngửa của cổ.</span></p><h3 style="text-align: justify;"><span style="font-size:16px;">Cách chữa thoát vị đĩa đệm cột sống cổ</span></h3><p style="text-align: justify;"><span style="font-size:16px;">Thoát vị đĩa đệm cột sống cổ có nhiều cách chữa. Những trường hợp bệnh nhẹ, nếu thấy không cần thiết phải uống thuốc, lương y Nguyễn Văn Minh sẽ hướng cách&nbsp;</span><span style="font-size: 16px; text-align: justify;">đắp thuốc,&nbsp;bóp thuốc và day ấn xoa bóp&nbsp;vùng cổ gáy, kết hợp với</span><span style="font-size:16px;">&nbsp;bài tập chữa đau vai gáy, đau mỏi cổ.</span></p><p style="text-align: justify;"><span style="font-size:16px;">Những trường hợp còn lại, cách chữa ở phòng khám đông y Bảo Minh là sự kết hợp giữa uống thuốc thang và </span><span style="font-size: 16px; text-align: justify;">&nbsp;</span><span style="font-size: 16px; text-align: justify;">đắp thuốc hoặc&nbsp;</span><span style="font-size:16px;">bóp thuốc cột sống. Tùy từng trường hợp, Lương y Nguyễn Văn Minh sẽ hướng dẫn thêm các bài tập để&nbsp;hỗ trợ điều trị cho nhanh&nbsp;khỏi bệnh.</span></p><p style="text-align: justify;"><span style="font-size:16px;">Xem thêm &gt;&gt;&nbsp;<a data-ctbtn="0" data-cthref="/url?sa=t&amp;rct=j&amp;q=&amp;esrc=s&amp;source=web&amp;cd=&amp;ved=2ahUKEwj2t_7ildXtAhUFQd4KHUEbC784qgEQFjADegQICRAC&amp;url=https%3A%2F%2Fchuabenhthoatvidiadem.vn%2Fbai-viet%2Fket-qua-dieu-tri-thoat-vi-dia-dem%2Ftoi-da-khoi-benh-thoat-vi-dia-dem-nho-luong-y-nguyen-van-minh-chua-tri-pid-61.html&amp;usg=AOvVaw3N3nZnHlD93B5siKZfq2qE" data-ved="2ahUKEwj2t_7ildXtAhUFQd4KHUEbC784qgEQFjADegQICRAC" href="https://www.google.com.vn/url?sa=t&amp;rct=j&amp;q=&amp;esrc=s&amp;source=web&amp;cd=&amp;ved=2ahUKEwj2t_7ildXtAhUFQd4KHUEbC784qgEQFjADegQICRAC&amp;url=https%3A%2F%2Fchuabenhthoatvidiadem.vn%2Fbai-viet%2Fket-qua-dieu-tri-thoat-vi-dia-dem%2Ftoi-da-khoi-benh-thoat-vi-dia-dem-nho-luong-y-nguyen-van-minh-chua-tri-pid-61.html&amp;usg=AOvVaw3N3nZnHlD93B5siKZfq2qE" rel="noopener" style="color: rgb(102, 0, 153); font-size: small; text-decoration-line: none; -webkit-tap-highlight-color: rgba(0, 0, 0, 0.1); font-family: arial, sans-serif;" target="_blank" title="">Cách chữa khỏi bệnh bằng thuốc đông y&nbsp;</a></span></p><h3><span style="font-size:16px;">Thuốc chữa thoát vị đĩa đệm cổ</span></h3><p style="text-align: justify;"><span style="font-size:16px;">Thuốc chữa thoát vị đĩa đệm cổ, tốt nhất nên chữa bằng thang thuốc sắc, bởi vì thang thuốc được thầy thuốc kê đơn theo đúng với độ tuổi người bệnh, đúng với mức độ thoát vị đĩa đệm, đúng với thời gian bị bệnh, đúng với cơ địa người bệnh v.v. Nên mức độ chữa khỏi bệnh rất cao.</span></p><p style="text-align: justify;"><span style="font-size:16px;"><span style="text-align: justify;">&nbsp;Xem thêm &gt;&gt;&nbsp;</span><a data-ved="2ahUKEwi0k4DW39LtAhWFZt4KHSSGDIE4lgEQFjABegQIARAC" href="https://chuabenhthoatvidiadem.vn/cach-chua-benh/uong-thuoc-cua-thay-chua-thoat-vi-dia-dem-co-toi-het-moi-co-het-dau-vai-gay-pid-115.html" rel="noopener" style="color: rgb(102, 0, 153); text-align: justify; text-decoration-line: none; -webkit-tap-highlight-color: rgba(0, 0, 0, 0.1); font-family: arial, sans-serif; font-size: small;" target="_blank" title="">Uống thuốc của thầy, tôi hết mỏi cổ, hết đau vai gáy</a></span></p><h2 style="text-align: justify;"><span style="font-size:18px;">Thoát vị đĩa đệm cột sống thắt lưng</span></h2><p><span style="font-size:18px;"><span class="optimize-cls-iframe" data-src="https://www.youtube.com/embed/IqN5mAEsHOs">https://www.youtube.com/embed/IqN5mAEsHOs</span></span></p><p style="text-align: justify;"><span style="font-size:16px;">Thoát vị đĩa đệm cột sống thắt lưng, hay gặp nhất là thoát vị đĩa đệm L4 L5 và L5 S1. Hai tầng đĩa đệm này chiếm tới 90% các trường hợp bị thoát vị đĩa đệm ở&nbsp;lưng.</span></p><p style="text-align: justify;"><span style="font-size: 16px; text-align: justify;">Xem thêm &gt;&gt;&nbsp;</span><a data-ctbtn="0" data-cthref="/url?sa=t&amp;rct=j&amp;q=&amp;esrc=s&amp;source=web&amp;cd=&amp;ved=2ahUKEwijrc_bktTtAhUwG6YKHTmuDC84oAEQFjAAegQIAxAC&amp;url=https%3A%2F%2Fchuabenhthoatvidiadem.vn%2Fcach-chua-benh%2Fluong-y-nguyen-van-minh-chua-thoat-vi-dia-dem-nhieu-nguoi-khong-phai-mo-thoat-vi-dia-dem-pid-25.html&amp;usg=AOvVaw36qI_9k1E0A8Z-zXlbMxuk" data-ved="2ahUKEwijrc_bktTtAhUwG6YKHTmuDC84oAEQFjAAegQIAxAC" href="https://www.google.com.vn/url?sa=t&amp;rct=j&amp;q=&amp;esrc=s&amp;source=web&amp;cd=&amp;ved=2ahUKEwijrc_bktTtAhUwG6YKHTmuDC84oAEQFjAAegQIAxAC&amp;url=https%3A%2F%2Fchuabenhthoatvidiadem.vn%2Fcach-chua-benh%2Fluong-y-nguyen-van-minh-chua-thoat-vi-dia-dem-nhieu-nguoi-khong-phai-mo-thoat-vi-dia-dem-pid-25.html&amp;usg=AOvVaw36qI_9k1E0A8Z-zXlbMxuk" rel="noopener" style="color: rgb(102, 0, 153); text-decoration-line: none; -webkit-tap-highlight-color: rgba(0, 0, 0, 0.1); font-family: arial, sans-serif; font-size: small;" target="_blank" title="">Chữa thoát vị đĩa đệm thắt lưng</a></p><h3><span style="font-size:16px;">Triệu chứng thoát vị đĩa đệm thắt lưng</span></h3><p style="text-align: justify;"><span style="font-size:16px;">Đau nhức vùng thắt lưng, có khi đau lan xuống mông, xuống chân, cảm giác tê, nhức trong xương. </span><span style="font-size: 16px; text-align: justify;">Có lúc cơn đau âm ỉ, có lúc lại đau dữ dội, ho hay hắt hơi, mót rặn, đi lại cử động mạnh&nbsp;cũng có thể khiến tình trạng đau nhức tăng lên. Có khi kèm theo</span><span style="font-size:16px;">&nbsp;ở một hoặc cả 2 bên chân bị yếu, tê chân, đi lại không thoải mái tự nhiên</span></p><p style="text-align: justify;"><span style="font-size: 16px; text-align: justify;">Xem thêm &gt;&gt;&nbsp;</span><span style="font-size:16px;"><a data-ved="2ahUKEwiK2JnWlNTtAhWXMN4KHXcRBUs4tAEQFjAJegQIChAC" href="https://chuabenhthoatvidiadem.vn/bai-viet/nghe-truc-tiep-nhung-nguoi-duoc-luong-y-minh-chua-khoi-thoat-vi-dia-dem/thuoc-chua-thoat-vi-dia-dem-tot-qua-em-het-te-chan-roi-bac-si-pid-236.html" rel="noopener" style="color: rgb(102, 0, 153); text-decoration-line: none; -webkit-tap-highlight-color: rgba(0, 0, 0, 0.1); font-family: arial, sans-serif; font-size: small;" target="_blank" title="">Thoát vị đĩa đệm thắt lưng tê chân</a></span></p><h2 style="text-align: justify;"><span style="font-size: 18px;">Chữa thoát vị đĩa đệm</span></h2><p style="text-align: justify;"><span style="font-size:16px;">Chữa thoát vị đĩa đệm có nhiều cách chữa, nhiều&nbsp;phương pháp chữa; chữa bằng thuốc tây kháng viêm&nbsp;giảm đau, chữa bằng phương pháp phẫu thuật cột sống đĩa đệm, chữa bằng châm cứu bấm huyệt, chữa bằng cách nắn chỉnh&nbsp;tác động cột sống, chữa bằng cách tập vật lý trị liệu hàng ngày. Riêng&nbsp;phòng khám đông y Bảo Minh chữa thoát vị đĩa đệm bằng cách: Trong uống thuốc thang, ngoài bóp thuốc và&nbsp;đắp thuốc cột sống.</span></p><p><span style="font-size: 16px; text-align: justify;">Xem thêm &gt;&gt;&nbsp;</span><span style="font-size:16px;"><a data-ctbtn="0" data-cthref="/url?sa=t&amp;rct=j&amp;q=&amp;esrc=s&amp;source=web&amp;cd=&amp;ved=2ahUKEwjdvbvTtdbtAhVMZt4KHT6pDIY4KBAWMAJ6BAgBEAI&amp;url=https%3A%2F%2Fchuabenhthoatvidiadem.vn%2Fcach-chua-benh%2Fket-qua-dieu-tri-thoat-vi-dia-dem-cid-2-20.html&amp;usg=AOvVaw2zv6aygMo0uJfTQ0UIx9dM" data-ved="2ahUKEwjdvbvTtdbtAhVMZt4KHT6pDIY4KBAWMAJ6BAgBEAI" href="https://www.google.com.vn/url?sa=t&amp;rct=j&amp;q=&amp;esrc=s&amp;source=web&amp;cd=&amp;ved=2ahUKEwjdvbvTtdbtAhVMZt4KHT6pDIY4KBAWMAJ6BAgBEAI&amp;url=https%3A%2F%2Fchuabenhthoatvidiadem.vn%2Fcach-chua-benh%2Fket-qua-dieu-tri-thoat-vi-dia-dem-cid-2-20.html&amp;usg=AOvVaw2zv6aygMo0uJfTQ0UIx9dM" rel="noopener" style="color: rgb(102, 0, 153); text-decoration-line: none; -webkit-tap-highlight-color: rgba(0, 0, 0, 0.1); font-family: arial, sans-serif; font-size: small;" target="_blank" title="">Chữa thoát vị đĩa đệm ở TP.HCM</a></span></p><h3><span style="font-size: 16px;">Thoát vị đĩa đệm có chữa khỏi được không</span></h3><p style="text-align: justify;"><span style="font-size: 16px;">Trừ những trường hợp bị thoát vị đĩa đệm nặng, thời gian bị bệnh đã lâu kèm theo&nbsp;teo cơ, người&nbsp;lớn tuổi, người bệnh có thêm bệnh lý nền khác như;&nbsp;tiểu đường, tim mạch,&nbsp;huyết áp cao. Còn lại những trường hợp thoát vị đĩa đệm nhẹ, thoát vị đĩa đệm mức độ trung bình, thoát vị đĩa đệm trên trung bình đều có khả năng chữa khỏi được.</span></p><p><span style="font-size: 16px; text-align: justify;">Xem thêm &gt;&gt;&nbsp;</span><span style="font-size: 16px;"><a data-ctbtn="0" data-cthref="/url?sa=t&amp;rct=j&amp;q=&amp;esrc=s&amp;source=web&amp;cd=&amp;ved=2ahUKEwihnp2zx9TtAhVMzIsBHUrYCs04WhAWMAJ6BAgCEAI&amp;url=https%3A%2F%2Fchuabenhthoatvidiadem.vn%2Fbai-viet%2Fbenh-thoat-vi-dia-dem%2Fthoat-vi-dia-dem-co-chua-khoi-duoc-khong-pid-111.html&amp;usg=AOvVaw223LosZFZPlFnPk7SPZz2n" data-ved="2ahUKEwihnp2zx9TtAhVMzIsBHUrYCs04WhAWMAJ6BAgCEAI" href="https://www.google.com.vn/url?sa=t&amp;rct=j&amp;q=&amp;esrc=s&amp;source=web&amp;cd=&amp;ved=2ahUKEwihnp2zx9TtAhVMzIsBHUrYCs04WhAWMAJ6BAgCEAI&amp;url=https%3A%2F%2Fchuabenhthoatvidiadem.vn%2Fbai-viet%2Fbenh-thoat-vi-dia-dem%2Fthoat-vi-dia-dem-co-chua-khoi-duoc-khong-pid-111.html&amp;usg=AOvVaw223LosZFZPlFnPk7SPZz2n" rel="noopener" style="color: rgb(102, 0, 153); text-decoration-line: none; -webkit-tap-highlight-color: rgba(0, 0, 0, 0.1); font-family: arial, sans-serif; font-size: small;" target="_blank" title="">Chữa thoát vị đĩa đệm bằng đông y</a></span></p><h3><span style="font-size: 16px;">Chữa thoát vị đĩa đệm tại nhà</span></h3><p style="text-align: justify;"><span style="font-size:16px;">Chữa thoát vị đĩa đệm ngay tại nhà, đây&nbsp;là cách chữa chỉ áp dụng cho những người&nbsp;bệnh ở xa, không có điều kiện đến khám tại phòng khám. Cách chữa này, người bệnh phải có kết luận chụp MRI cột sống của bác sĩ chuyên khoa, gửi qua Zalo: 0913503552. Thầy thuốc của phòng khám sẽ hỏi thêm thông tin, xem có chữa được hay không mới nhận chữa.</span></p><p style="text-align: justify;"><span style="font-size: 16px; text-align: justify;">Xem thêm &gt;&gt;&nbsp;</span><span style="font-size:16px;"><a data-ctbtn="0" data-cthref="/url?sa=t&amp;rct=j&amp;q=&amp;esrc=s&amp;source=web&amp;cd=&amp;ved=2ahUKEwjUk_3mrdbtAhWBbN4KHSvoDjM4FBAWMAJ6BAgBEAI&amp;url=https%3A%2F%2Fchuabenhthoatvidiadem.vn%2Fcach-chua-benh%2Fcach-chua-thoat-vi-dia-dem-tai-nha-pid-274.html&amp;usg=AOvVaw1-IiwGTrgfGxqRxcYf-5zH" data-ved="2ahUKEwjUk_3mrdbtAhWBbN4KHSvoDjM4FBAWMAJ6BAgBEAI" href="https://www.google.com.vn/url?sa=t&amp;rct=j&amp;q=&amp;esrc=s&amp;source=web&amp;cd=&amp;ved=2ahUKEwjUk_3mrdbtAhWBbN4KHSvoDjM4FBAWMAJ6BAgBEAI&amp;url=https%3A%2F%2Fchuabenhthoatvidiadem.vn%2Fcach-chua-benh%2Fcach-chua-thoat-vi-dia-dem-tai-nha-pid-274.html&amp;usg=AOvVaw1-IiwGTrgfGxqRxcYf-5zH" rel="noopener" style="color: rgb(102, 0, 153); text-decoration-line: none; -webkit-tap-highlight-color: rgba(0, 0, 0, 0.1); font-family: arial, sans-serif; font-size: small;" target="_blank" title="">Cách chữa thoát vị đĩa đệm tại nhà như thế nào</a></span></p><div><h2><span style="font-size: 18px;">Thuốc chữa thoát vị đĩa đệm</span></h2><p><span style="font-size: 16px; text-align: justify;">Xem thêm &gt;&gt;&nbsp;</span><span style="font-size:16px;"><a data-ctbtn="0" data-cthref="/url?sa=t&amp;rct=j&amp;q=&amp;esrc=s&amp;source=web&amp;cd=&amp;ved=2ahUKEwiW483f29TtAhVCPnAKHTSkBTw4ZBAWMAN6BAgFEAI&amp;url=https%3A%2F%2Fchuabenhthoatvidiadem.vn%2Fcach-chua-benh%2Fthuoc-chua-thoat-vi-dia-dem-toi-uong-20-thang-het-dau-roi-thay-pid-127.html&amp;usg=AOvVaw2u5HzYzdTeButj_KLlb3I1" data-ved="2ahUKEwiW483f29TtAhVCPnAKHTSkBTw4ZBAWMAN6BAgFEAI" href="https://www.google.com.vn/url?sa=t&amp;rct=j&amp;q=&amp;esrc=s&amp;source=web&amp;cd=&amp;ved=2ahUKEwiW483f29TtAhVCPnAKHTSkBTw4ZBAWMAN6BAgFEAI&amp;url=https%3A%2F%2Fchuabenhthoatvidiadem.vn%2Fcach-chua-benh%2Fthuoc-chua-thoat-vi-dia-dem-toi-uong-20-thang-het-dau-roi-thay-pid-127.html&amp;usg=AOvVaw2u5HzYzdTeButj_KLlb3I1" rel="noopener" style="color: rgb(102, 0, 153); text-decoration-line: none; -webkit-tap-highlight-color: rgba(0, 0, 0, 0.1); font-family: arial, sans-serif; font-size: small;" target="_blank" title="">Em uống 20 thang hết đau rồi thầy&nbsp;</a></span></p><h3><span style="font-size: 16px;">Thuốc đông y chữa thoát vị đĩa đệm</span></h3><p style="text-align: justify;"><span style="font-size:16px;">Thuốc đông y chữa thoát vị đĩa đệm có rất nhiều loại thuốc: Thuốc viên nang, thuốc viên nén, thuốc viên hoàn, thuốc cao dẻo, thuốc siro,&nbsp;thuốc thang, thuốc tễ, thuốc cao đặc, thuốc nước, thuốc bột hay còn gọi thuốc tán. Các thầy thuốc đông y nổi tiếng đều khẳng&nbsp;định: Chữa&nbsp;thoát vị đĩa đệm có hiệu quả nhất là thuốc thang. Bởi vì, thuốc thang được kê đơn cho từng người bệnh phù hợp với: Mức độ thoát vị đĩa đệm, thời gian bị thoát vị đĩa đệm, độ tuổi và tình trạng bệnh lý, cơ địa người bệnh.v.v.</span></p><p style="text-align: justify;"><span style="font-size: 16px; text-align: justify;">Xem thêm &gt;&gt;&nbsp;</span><span style="font-size:16px;"><a data-ctbtn="0" data-cthref="/url?sa=t&amp;rct=j&amp;q=&amp;esrc=s&amp;source=web&amp;cd=&amp;ved=2ahUKEwiuotyZyNTtAhUFH3AKHfNRDbs4eBAWMAl6BAgGEAI&amp;url=https%3A%2F%2Fchuabenhthoatvidiadem.vn%2Fcach-chua-benh%2Fthoat-vi-dia-dem-bi-te-chan-xem-cach-tri-thoat-vi-dia-dem-het-te-chan-pid-261.html&amp;usg=AOvVaw0gb-spYETsxMxIFWGGYhSX" data-ved="2ahUKEwiuotyZyNTtAhUFH3AKHfNRDbs4eBAWMAl6BAgGEAI" href="https://www.google.com.vn/url?sa=t&amp;rct=j&amp;q=&amp;esrc=s&amp;source=web&amp;cd=&amp;ved=2ahUKEwiuotyZyNTtAhUFH3AKHfNRDbs4eBAWMAl6BAgGEAI&amp;url=https%3A%2F%2Fchuabenhthoatvidiadem.vn%2Fcach-chua-benh%2Fthoat-vi-dia-dem-bi-te-chan-xem-cach-tri-thoat-vi-dia-dem-het-te-chan-pid-261.html&amp;usg=AOvVaw0gb-spYETsxMxIFWGGYhSX" rel="noopener" style="color: rgb(102, 0, 153); text-decoration-line: none; -webkit-tap-highlight-color: rgba(0, 0, 0, 0.1); font-family: arial, sans-serif; font-size: small;" target="_blank" title="">Thuốc đông y chữa thoát vị đĩa đệm, hết tê chân</a></span></p><h3><span style="font-size: 16px;">Thuốc đặc trị thoát vị đĩa đệm</span></h3><p style="text-align: justify;"><span style="font-size:16px;">Thuốc đặc trị thoát vị đĩa đệm là thuốc có công dụng chữa khỏi bệnh ở mức cao, sau khi khỏi bệnh không cần uống thuốc nữa nhưng vẫn không bị đau lại. Thang thuốc, bài thuốc&nbsp;được nhiều người công nhận là loại thuốc tốt nhất mà họ từng sử dụng. &nbsp;Bài thuốc đặc trị thoát vị đĩa đệm của Lương y Nguyễn văn Minh có khoảng&nbsp;30 vị thuốc&nbsp;đông y hoàn toàn từ thảo dược. Sau khi khám bệnh, kết hợp với kết luận chụp MRI&nbsp;của người bệnh, Lương y Nguyễn Văn Minh sẽ điều chỉnh gia giảm thang thuốc theo mức độ thoát vị đĩa đệm, theo cơ địa mỗi người, cho nên&nbsp;bài thuốc luôn đạt hiệu quả tối ưu trong điều trị thoát vị đĩa đệm.&nbsp;</span></p><p style="text-align: justify;"><span style="font-size: 16px; text-align: justify;">Xem thêm &gt;&gt;&nbsp;</span><span style="font-size:16px;"><a data-ctbtn="0" data-cthref="/url?sa=t&amp;rct=j&amp;q=&amp;esrc=s&amp;source=web&amp;cd=&amp;ved=2ahUKEwjukdD6ltTtAhUXM94KHXdNBoo4ggEQFjADegQIBhAC&amp;url=https%3A%2F%2Fchuabenhthoatvidiadem.vn%2Fbai-viet%2Fbenh-thoat-vi-dia-dem%2Fthuoc-dac-tri-thoat-vi-dia-dem-cua-luong-y-nguyen-van-minh-pid-269.html&amp;usg=AOvVaw3a2tM4vP7WY91QzY7_8_Ry" data-ved="2ahUKEwjukdD6ltTtAhUXM94KHXdNBoo4ggEQFjADegQIBhAC" href="https://www.google.com.vn/url?sa=t&amp;rct=j&amp;q=&amp;esrc=s&amp;source=web&amp;cd=&amp;ved=2ahUKEwjukdD6ltTtAhUXM94KHXdNBoo4ggEQFjADegQIBhAC&amp;url=https%3A%2F%2Fchuabenhthoatvidiadem.vn%2Fbai-viet%2Fbenh-thoat-vi-dia-dem%2Fthuoc-dac-tri-thoat-vi-dia-dem-cua-luong-y-nguyen-van-minh-pid-269.html&amp;usg=AOvVaw3a2tM4vP7WY91QzY7_8_Ry" rel="noopener" style="color: rgb(102, 0, 153); text-decoration-line: none; -webkit-tap-highlight-color: rgba(0, 0, 0, 0.1); font-family: arial, sans-serif; font-size: small;" target="_blank" title="">Thuốc đặc trị thoát vị đĩa đệm của lương y Nguyễn Văn Minh</a></span></p><h3 style="text-align: justify;"><span style="font-size:16px;">Bài thuốc chữa thoát vị đĩa đệm</span></h3><p><span style="font-size:16px;"><img loading="lazy" alt="Thuốc thoát vị đĩa đệm" src="data:image/gif;base64,R0lGODlhAQABAID/AP///wAAACwAAAAAAQABAAACAkQBADs=" data-src="https://chuabenhthoatvidiadem.vn/resources/images/Thầy thuốc chữa thoát vị đĩa đệm.jpg" style="width: 726px; height: 545px;" class="lazy" width="726" height="545" data-optimized="1" /></span></p><p style="text-align: justify;"><span style="font-size:16px;">Bài thuốc&nbsp;chữa thoát vị đĩa đệm có gần&nbsp;30 vị thuốc, sau khi khám bệnh và căn cứ vào kết quả&nbsp;chụp MRI,&nbsp;căn cứ vào cơ địa của từng người, lương y Nguyễn Văn Minh sẽ bổ thêm những vị thuốc đặc trị. Nên công dụng chữa bệnh của&nbsp;bài thuốc luôn đạt hiệu quả tối ưu trong điều trị bệnh thoát vị đĩa đệm.<br />1- Mộc qua 12 gr (tẩm dấm ăn, sao chín). 2-&nbsp; Đương quy 16 gr (bào mỏng, phơi khô, sao vàng hạ thổ).&nbsp; 3-&nbsp; Ngưu tất 20 gr (ủ rượu, bào mỏng, sao khô). 4- Thục địa 20 gr (lão sinh địa nấu với sa nhân theo công thức riêng,&nbsp;không bị đầy bụng). 5- Sơn thù 12 gr (bỏ hạt, tẩm dấm ăn sao khô). 6- Cẩu tích 16 gr (sao nước muối nhạt). 7- Tang ký sinh 16 gr (sao chín). 8- Tục đoạn 16 gr (tẩy rượu sao chín). 9- Đan sâm 20 gr (ủ rượu, bào mỏng, sao khô). 10- Xích thược 12 gr (ủ mềm, bào mỏng, phơi khô, sao chín). 11- Hà thủ ô đỏ 20 gr (nấu chung với đậu đen xanh lòng, sấy khô). 12- Chánh hoài sơn 20 gr (sao vàng hạ thổ). 13- Dạ giao đằng 12 gr. 14-&nbsp; Bạch phục linh 16 gr. 15-&nbsp; Đỗ trọng 20 gr (tẩm nước muối nhạt sao khô). 16- Thương truật 16 gr (tẩm nước vo gạo sao vàng hạ thổ). 17- Độc hoạt 10 gr (rửa sạch, thái mỏng, phơi thật khô, sao nhẹ). 18- Tần giao xoắn 24 gr (bào mỏng, sấy khô, sao qua). 19- Hồng hoa nhẹ 12 gr (hồng hoa Tây Tạng, loại xịn). 20- Khương hoạt dẻo 12 gr (thái miếng, sấy nhẹ cho khô)</span></p><p style="text-align: justify;"><span style="font-size: 16px; text-align: justify;">Xem thêm &gt;&gt;&nbsp;</span><span style="font-size:16px;"><a data-ctbtn="0" data-cthref="/url?sa=t&amp;rct=j&amp;q=&amp;esrc=s&amp;source=web&amp;cd=&amp;ved=2ahUKEwi6tZWa3NTtAhUGQd4KHfsXBNU4PBAWMAl6BAgFEAI&amp;url=https%3A%2F%2Fchuabenhthoatvidiadem.vn%2Fcach-chua-benh%2Ftri-thoat-vi-dia-dem-het-benh-het-trieu-chung-dau-lung-pid-238.html&amp;usg=AOvVaw2OybOIBXMO8Yihhzk7490r" data-ved="2ahUKEwi6tZWa3NTtAhUGQd4KHfsXBNU4PBAWMAl6BAgFEAI" href="https://www.google.com.vn/url?sa=t&amp;rct=j&amp;q=&amp;esrc=s&amp;source=web&amp;cd=&amp;ved=2ahUKEwi6tZWa3NTtAhUGQd4KHfsXBNU4PBAWMAl6BAgFEAI&amp;url=https%3A%2F%2Fchuabenhthoatvidiadem.vn%2Fcach-chua-benh%2Ftri-thoat-vi-dia-dem-het-benh-het-trieu-chung-dau-lung-pid-238.html&amp;usg=AOvVaw2OybOIBXMO8Yihhzk7490r" rel="noopener" style="color: rgb(102, 0, 153); text-decoration-line: none; -webkit-tap-highlight-color: rgba(0, 0, 0, 0.1); font-family: arial, sans-serif; font-size: small;" target="_blank" title="">Thuốc chữa thoát vị đĩa đệm</a></span></p><h3><span style="font-size:16px;">Thuốc bóp, thuốc đắp chữa thoát vị đĩa đệm</span></h3><p style="text-align: justify;"><span style="font-size:16px;">Thuốc bóp,&nbsp;thuốc đắp không chữa khỏi được&nbsp;thoát vị đĩa đệm. Những loại thuốc&nbsp;bóp, thuốc đắp, thuốc bó, rượu xoa bóp, cồn xoa bóp, thuốc lá nam.v.v.&nbsp;chỉ có tác dụng hỗ trợ điều trị&nbsp;cho mau khỏi bệnh. Muốn chữa khỏi thoát vị đĩa đệm phải kết hợp thuốc bóp, thuốc đắp với sắc thuốc thang uống mỗi ngày.</span></p><p style="text-align: justify;"><span style="font-size: 16px; text-align: justify;">Xem thêm &gt;&gt;&nbsp;</span><span style="font-size:16px;"><a data-ved="2ahUKEwiJ1MiSydTtAhWEBIgKHbisD-k4lgEQFjAHegQIBRAC" href="https://chuabenhthoatvidiadem.vn/bai-viet/cach-chua-benh-thoat-vi-dia-dem/thuoc-dap-thoat-vi-dia-dem-tu-dap-thuoc-chua-tri-tai-nha-pid-102.html" rel="noopener" style="color: rgb(102, 0, 153); text-decoration-line: none; -webkit-tap-highlight-color: rgba(0, 0, 0, 0.1); font-family: arial, sans-serif; font-size: small;" target="_blank" title="">Thuốc đắp, thuốc bóp chữa&nbsp;thoát vị đĩa đệm&nbsp;</a></span></p><h3 style="text-align: justify;"><span style="font-size: 16px;">Cây thuốc nam chữa thoát vị đĩa đệm</span></h3><p style="text-align: justify;"><span style="font-size: 16px;">Chữa thoát vị đĩa đệm bằng cây thuốc nam, đây là cách chữa của các phòng khám&nbsp;từ thiện, chữa bệnh miễn phí bằng thuốc nam, vì thuốc nam ở đâu cũng có, giá thuốc lại rẻ, thuốc&nbsp;dễ nấu dễ uống.</span><span style="font-size: 16px; text-align: justify;">&nbsp;Những cây&nbsp;</span><span style="font-size: 16px; text-align: justify;">thuốc nam này&nbsp;</span><span style="font-size: 16px; text-align: justify;">chỉ có tác dụng giảm đau nhức xương khớp, để&nbsp;chữa khỏi bệnh mà chỉ dùng thuốc nam sẽ rất khó,</span><span style="font-size: 16px;">&nbsp;chỉ nên dùng cho những trường hợp mức độ thoát vị đĩa đệm nhẹ, mới bị bệnh&nbsp;</span></p><p><span style="font-size:16px;">Chữa thoát vị đĩa đệm bằng lá lốt.</span></p><p><span style="font-size:16px;">Lá lốt có tác dụng chữa đau nhức xương khớp do phong thấp gây nên, nếu chỉ dùng cây và rễ&nbsp;lá lốt để chữa thoát vị đĩa đệm, sẽ khó&nbsp;hết&nbsp;được bệnh. Khi chữa bệnh, các thầy thuốc sẽ kết hợp lá lốt với những cây thuốc nam khác để trị bệnh.</span></p><p><span style="font-size:16px;">Cây xấu hổ chữa thoát vị đĩa đệm.</span></p><p><span style="font-size:16px;">Chữa thoát vị đĩa đệm bằng&nbsp;cây xấu hổ,&nbsp;tác dụng tương tự như cây lá lốt. Chỉ có tác dụng trong phạm vi hẹp, thầy thuốc phải có kinh nghiệm mới nên dùng.</span></p><p><span style="font-size:16px;">Chữa thoát vị đĩa đệm bằng cây xương rồng.</span></p><p style="text-align: justify;"><span style="font-size:16px;">Cây xương rồng chỉ nên dùng ngoài, không được uống, thực tế cho thấy; chữa thoát vị đĩa đệm bằng cây xương rồng không hết&nbsp;bệnh, chỉ có tác dụng giảm đau nhất thời, cây xương rồng cũng chỉ có nghe thông tin&nbsp;trên mạng, tác dụng chữa bệnh không như mong muốn.</span></p><p><span style="font-size:16px;">Cây mâm xôi&nbsp;chữa thoát vị đĩa đệm.</span></p><p><span style="font-size:16px;">Sự thực thì cây mâm sôi không chữa được thoát vị đĩa đệm, chỉ nghe đồn thổi ở một vài nơi trên mạng mà thôi.</span></p><p><span style="font-size:16px;">Chữa thoát vị đĩa đệm bằng ngải cứu.</span></p><p style="text-align: justify;"><span style="font-size:16px;">Cây ngải&nbsp;cứu tươi&nbsp;sao với rượu, &nbsp;đắp hoặc nằm đè lên&nbsp;vùng lưng bị đau&nbsp;có tác dụng&nbsp;chữa đau lưng&nbsp;nhức mỏi.&nbsp;</span></p><p><span style="font-size:16px;">Đu đủ chữa thoát vị đĩa đệm.</span></p><p><span style="font-size: 16px;">Đu đủ không chữa được&nbsp;thoát vị đĩa đệm, đu đủ xanh nướng với rượu rồi đắp cột sống chỉ làm cho bớt đau bớt nhức tạm thời.</span></p><p><span style="font-size:16px;">Cách chữa thoát vị đĩa đệm tại nhà.</span></p><p style="text-align: justify;"><span style="font-size:16px;">Cách chữa thoát vị đĩa đệm tại nhà là cách chữa chỉ áp dụng cho những bệnh nhân ở xa, không có điều kiện đến trực tiếp phòng khám. Đây là cách chữa người bệnh phải có kết luận chụp MRI cột sống của bác sĩ. Bạn đọc bấm vào đây xem hướng dẫn:&nbsp;</span><a data-ctbtn="0" data-cthref="/url?sa=t&amp;rct=j&amp;q=&amp;esrc=s&amp;source=web&amp;cd=&amp;ved=2ahUKEwii87Gzju7uAhW1w4sBHakKCw04FBAWMAV6BAgIEAI&amp;url=https%3A%2F%2Fchuabenhthoatvidiadem.vn%2Fcach-chua-benh%2Fcach-chua-thoat-vi-dia-dem-tai-nha-pid-274.html&amp;usg=AOvVaw1-IiwGTrgfGxqRxcYf-5zH" data-ved="2ahUKEwii87Gzju7uAhW1w4sBHakKCw04FBAWMAV6BAgIEAI" href="https://www.google.com.vn/url?sa=t&amp;rct=j&amp;q=&amp;esrc=s&amp;source=web&amp;cd=&amp;ved=2ahUKEwii87Gzju7uAhW1w4sBHakKCw04FBAWMAV6BAgIEAI&amp;url=https%3A%2F%2Fchuabenhthoatvidiadem.vn%2Fcach-chua-benh%2Fcach-chua-thoat-vi-dia-dem-tai-nha-pid-274.html&amp;usg=AOvVaw1-IiwGTrgfGxqRxcYf-5zH" rel="noopener" style="color: rgb(102, 0, 153); text-decoration-line: none; -webkit-tap-highlight-color: rgba(0, 0, 0, 0.1); font-family: arial, sans-serif; font-size: small;" target="_blank" title="">Cách chữa thoát vị đĩa đệm tại nhà</a></p><h3><span style="font-size:16px;">Hình ảnh thoát vị đĩa đệm.</span></h3><p><span style="font-size:16px;"><img loading="lazy" alt="Hình ảnh thoát vị đĩa đệm" src="data:image/gif;base64,R0lGODlhAQABAID/AP///wAAACwAAAAAAQABAAACAkQBADs=" data-src="https://chuabenhthoatvidiadem.vn/resources/images/Hinhanhthoatvidiadem.jpg" style="width: 654px; height: 872px;" class="lazy" width="654" height="872" data-optimized="1" /></span></p><p style="text-align: justify;"><span style="font-size: 16px;">Hình ảnh thoát vị đĩa đệm, nếu chụp X quang thì không phát hiện được, muốn biết hình ảnh thoát vị đĩa đệm thì phải chụp MRI cột sống.&nbsp;</span></p><p class="LC20lb DKV0Md" style="font-size: 20px; margin: 0px 0px 3px; padding: 4px 0px 0px; display: inline-block; line-height: 1.3;"><span style="font-size: 16px; text-align: justify;">Xem thêm &gt;&gt;&nbsp;</span><span style="font-size:16px;"><a data-ctbtn="0" data-cthref="/url?sa=t&amp;rct=j&amp;q=&amp;esrc=s&amp;source=web&amp;cd=&amp;ved=2ahUKEwjz6Mjtx9TtAhUa_GEKHU3PDr04ZBAWMAJ6BAgCEAI&amp;url=https%3A%2F%2Fchuabenhthoatvidiadem.vn%2Fcach-chua-benh%2Fthoat-vi-dia-dem-co-chua-duoc-khong-truong-hop-nao-khong-chua-duoc-pid-239.html&amp;usg=AOvVaw38zG805jnGNHLm3iYjiOU_" data-ved="2ahUKEwjz6Mjtx9TtAhUa_GEKHU3PDr04ZBAWMAJ6BAgCEAI" href="https://www.google.com.vn/url?sa=t&amp;rct=j&amp;q=&amp;esrc=s&amp;source=web&amp;cd=&amp;ved=2ahUKEwjz6Mjtx9TtAhUa_GEKHU3PDr04ZBAWMAJ6BAgCEAI&amp;url=https%3A%2F%2Fchuabenhthoatvidiadem.vn%2Fcach-chua-benh%2Fthoat-vi-dia-dem-co-chua-duoc-khong-truong-hop-nao-khong-chua-duoc-pid-239.html&amp;usg=AOvVaw38zG805jnGNHLm3iYjiOU_" rel="noopener" style="color: rgb(102, 0, 153); text-decoration-line: none; -webkit-tap-highlight-color: rgba(0, 0, 0, 0.1); font-family: arial, sans-serif; font-size: small;" target="_blank" title="">Giới thiệu chữa thoát vị đĩa đệm </a></span></p><h2><span style="font-size:18px;">Bài tập chữa thoát vị đĩa đệm.</span></h2><h3><span style="font-size:16px;">Thoát vị đĩa đệm nên tập gì.</span></h3><p style="text-align: justify;"><span style="font-size:16px;">Bài tập chữa thoát vị đĩa đệm </span><span style="font-size: 16px; text-align: justify;">tốt nhất&nbsp;</span><span style="font-size:16px;">chính là tập bơi, đi&nbsp;bơi thường xuyên là bài tập thể dục tốt cho sức khỏe, tốt cho đĩa đệm cột sống. Tập bơi hàng ngày giúp&nbsp;cho những ai&nbsp;bị thoát vị đĩa đệm bớt đi đau nhức, các cơ bắp được săn chắc dẻo dai, khí huyết được lưu thông tốt, làm chậm lại&nbsp;quá trình thoái hóa cột sống, thoái hóa đĩa đệm.</span></p><p><span style="font-size:16px;">Bài tập thoát vị đĩa đệm cổ.</span></p><p><span style="font-size:16px;">Bài tập thoát vị đĩa đệm lưng.</span></p><h3><span style="font-size:16px;">Bài tập yoga chữa thoát vị đĩa đệm.</span></h3><p style="text-align: justify;"><span style="font-size:16px;">Nếu bạn đang bị đau nhiều, hãy nghỉ ngơi, không nên tập bài tập gì. Bạn chỉ tập luyện yoga sau khi uống thuốc trị thoát vị đĩa đệm được 2-4 tuần, lúc đó bạn đã bớt đau nhức&nbsp;nhiều, hãy tập theo bài tập yoga dưới đây. Đây là bài tập yoga dành cho người mới bắt đầu, do bậc thầy về yoga người Ấn Độ hướng dẫn.</span></p><p><span style="font-size: 16px; text-align: justify;">Xem thêm &gt;&gt;&nbsp;</span><span style="font-size:16px;"><a data-ved="2ahUKEwiyg7a3ttbtAhXME4gKHZ0eC8g4MhAWMAl6BAgGEAI" href="https://chuabenhthoatvidiadem.vn/cach-chua-benh/dieu-tri-thoat-vi-dia-dem-bang-y-hoc-co-truyen-pid-47.html" rel="noopener" style="color: rgb(102, 0, 153); text-decoration-line: none; -webkit-tap-highlight-color: rgba(0, 0, 0, 0.1); font-family: arial, sans-serif; font-size: small;" target="_blank" title="">Bài tập yoga, khi tập không có chèn quảng cáo</a></span></p></div><div><span style="font-size:16px;">Thoát vị đĩa đệm nên ăn gì.</span></div><div><p><span style="font-size:16px;">Bị thoát vị đĩa đệm có quan hệ được không.</span></p><p><span style="font-size:16px;">Bị bệnh thoát vị đĩa đệm kiêng ăn gì.</span></p><p><span style="font-size:16px;">Thoát vị đĩa đệm nên uống sữa gì.</span></p><h2 style="text-align: justify;"><span style="font-size:18px;">Khám chữa bệnh thoát vị đĩa đệm ở đâu.</span></h2><p style="text-align: justify;"><span style="font-size:16px;">Lương y Nguyễn Văn Minh thành lập phòng&nbsp;khám và nhà thuốc đông y Bảo Minh. Địa chỉ duy nhất ở TP. Hồ Chí Minh.&nbsp;Số nhà:&nbsp;</span><span style="font-size: 16px; text-align: justify;">856/6 Quang Trung, phường 8, quận Gò Vấp, TP.HCM.</span><span style="font-size:16px;">&nbsp;Do không có chi nhánh nên tránh được người khác mạo danh: Điều này rất quan trọng đối với uy tín của thầy thuốc.</span></p><p style="text-align: justify;"><span style="font-size: 16px; text-align: justify;">Xem thêm &gt;&gt;&nbsp;</span><span style="font-size:16px;"><a data-ctbtn="0" data-cthref="/url?sa=t&amp;rct=j&amp;q=&amp;esrc=s&amp;source=web&amp;cd=&amp;ved=2ahUKEwiJ1MiSydTtAhWEBIgKHbisD-k4lgEQFjAJegQIBhAC&amp;url=https%3A%2F%2Fchuabenhthoatvidiadem.vn%2Fcach-chua-benh%2Fluong-y-nguyen-van-minh-chua-thoat-vi-dia-dem-nhieu-nguoi-khong-phai-mo-thoat-vi-dia-dem-pid-25.html&amp;usg=AOvVaw36qI_9k1E0A8Z-zXlbMxuk" data-ved="2ahUKEwiJ1MiSydTtAhWEBIgKHbisD-k4lgEQFjAJegQIBhAC" href="https://www.google.com.vn/url?sa=t&amp;rct=j&amp;q=&amp;esrc=s&amp;source=web&amp;cd=&amp;ved=2ahUKEwiJ1MiSydTtAhWEBIgKHbisD-k4lgEQFjAJegQIBhAC&amp;url=https%3A%2F%2Fchuabenhthoatvidiadem.vn%2Fcach-chua-benh%2Fluong-y-nguyen-van-minh-chua-thoat-vi-dia-dem-nhieu-nguoi-khong-phai-mo-thoat-vi-dia-dem-pid-25.html&amp;usg=AOvVaw36qI_9k1E0A8Z-zXlbMxuk" rel="noopener" style="color: rgb(102, 0, 153); text-decoration-line: none; -webkit-tap-highlight-color: rgba(0, 0, 0, 0.1); font-family: arial, sans-serif; font-size: small;" target="_blank" title="">Lương y Nguyễn Văn Minh chữa thoát vị đĩa đệm có tốt không?</a></span></p><p style="text-align: justify;"><span style="font-size:16px;">Bạn muốn tìm hiểu về phòng khám nào tốt, thầy thuốc chữa bệnh có tốt không,&nbsp;hãy vào mạng&nbsp;Google gõ nội dung định tìm kiếm, rồi&nbsp;quyết định nên đi chữa bệnh ở đâu là tốt nhất.</span></p><p style="margin: 0px; padding: 0px; font-family: arial, sans-serif; color: rgb(68, 69, 69); text-rendering: optimizelegibility; line-height: 24px; font-size: 20px; overflow: hidden; white-space: nowrap; text-overflow: ellipsis;"><a href="https://chuabenhthoatvidiadem.vn/" rel="noopener" style="margin: 0px; padding: 0px; outline: 0px; color: rgb(102, 0, 153);" target="_blank" title=""><span style="margin: 0px; padding: 0px;">Bệnh Thoát Vị Đĩa Đệm</span></a></p><div class="hideMb" style="margin: 0px; padding: 0px; color: rgb(68, 69, 69); font-family: arial, sans-serif; font-size: small;">thoatvidiadem.top</div><p class="xxv5f" style="margin: 0px; padding: 0px; overflow: hidden; text-overflow: ellipsis; height: 18px; line-height: 16px; white-space: nowrap; color: rgb(68, 69, 69); font-family: arial, sans-serif; font-size: small;"><a class="lxqdE" href="https://chuabenhthoatvidiadem.vn/" rel="noopener" style="margin: 0px; padding: 0px; text-decoration-line: none; color: rgb(0, 102, 33); font-size: 14px; line-height: 20px;" target="_blank" title=""><span style="margin: 0px; padding: 0px;"><span style="margin: 0px; padding: 0px;">chuabenhthoatvidiadem</span>.<span style="margin: 0px; padding: 0px;">vn</span></span></a></p></div>]]></content:encoded>
						<wfw:commentRss></wfw:commentRss>
						<slash:comments>0</slash:comments>
					</item>
				
					<item>
						<title>Bài tập thoát vị đĩa đệm</title>
						<link>https://chuabenhthoatvidiadem.vn/bai-viet/benh-thoat-vi-dia-dem/bai-tap-thoat-vi-dia-dem-pid-288.html</link>
						<comments></comments>
						<pubDate>Wed, 02 Dec 2020 03:55:27 +0700</pubDate>
						<dc:creator>admin</dc:creator>
						<category><![CDATA[Bệnh thoát vị đĩa đệm]]></category>
						<guid isPermaLink="false"></guid>
						<description><![CDATA[Bài tập thoát vị đĩa đệm trên mạng có rất nhiều, nhưng bài tập nào hỗ trợ điều trị thoát vị đĩa đệm tốt, bài tập hoặc tư thế nào không nên tập, bài tập nào tự tập tại nhà. Tham khảo kinh nghiệm của thầy thuốc chuyên trị thoát vị đĩa đệm ở phòng khám đông y Bảo Minh..]]></description>
						<content:encoded><![CDATA[<p style="text-align: justify;"><span style="font-size:18px;">Khi đang bị đau&nbsp;do thoát vị đĩa đệm gây nên, người bệnh rất ngại tập những bài tập thoát vị đĩa đệm. Vì chỉ cần cử động, vận động hơi mạnh là người bệnh đã bị đau. Nhưng sau khi khám và&nbsp;điều trị&nbsp;tại phòng khám đông y Bảo Minh&nbsp;từ 2-3 tuần, các cơn đau nhức&nbsp;đã giảm bớt, người bệnh nên tập các bài tập hỗ trợ chữa thoát vị đĩa đệm dưới đây.</span></p><p><span style="font-size:18px;"><strong>Những bài tập&nbsp;thoát vị đĩa đệm</strong></span></p><p style="text-align: justify;"><strong><span style="font-size:16px;">&nbsp;Bài tập bơi lội mỗi ngày</span></strong></p><p style="text-align: justify;"><span style="font-size:16px;">Bơi lội là bài tập rất tốt cho những người bị thoát vị đĩa đệm cột sống. Tập bơi lội mỗi ngày từ 30-45 phút&nbsp;sẽ đem lại tác dụng tốt&nbsp;cho sức khỏe, cho các gân cơ, các&nbsp;khớp xương. Bơi lội&nbsp;giúp giảm áp lực tác động lên phần đĩa đệm cột sống, giảm cảm giác đau nhức nhanh chóng. Bơi lội là bài tập khá an toàn, hạn chế xảy ra nguy cơ chấn thương cột sống. Tuy nhiên, người bệnh bị thoát vị đĩa đệm không nên bơi quá sức, bơi quá lâu mà chỉ nên kiên trì&nbsp;tập luyện đều đặn&nbsp;mỗi ngày để đạt được kết quả tốt nhất. Các bác sĩ&nbsp;chữa thoát vị đĩa đệm đều khuyên người bệnh nên đi bơi, kết hợp với điều trị với uống&nbsp;thuốc sẽ tránh được phải can thiệp bằng phẫu thuật mổ xẻ. Những ai không có điều kiện tập bơi, hãy tham khảo bài tập yoga ở dưới.</span></p><p style="text-align: justify;"><span style="font-size:16px;"><strong>Bài tập đi bộ hàng ngày</strong></span></p><p style="text-align: justify;"><span style="font-size:16px;">Đi bộ là bài tập đơn giản, dễ tập, dễ thực hiện mọi lúc, mọi nơi. Đi bộ là hình thức vận động&nbsp;tốt cho người bị&nbsp;thoát vị đĩa đệm cột sống, nên đi bộ mỗi ngày từ 30 phút đến 1 giờ hoặc hơn nữa, sẽ rất tốt cho sức khỏe. Đi bộ bước đi dứt khoát, nhanh vừa phải, có thể đi bộ nhiều lần trong ngày để đủ thời gian nói trên. Những người bị&nbsp;thoát vị đĩa đệm nhẹ, mức độ chèn ép nhẹ rễ thần kinh nên đi bộ mỗi ngày, sẽ giảm </span><span style="font-size: 16px; text-align: justify;">đáng kể&nbsp;</span><span style="font-size:16px;">mức độ đau do thoát vị đĩa đệm gây nên.</span></p><p style="text-align: justify;"><strong><span style="font-size:16px;">Bài tập vật lý trị liệu thoát vị đĩa đệm,&nbsp;phục&nbsp;hồi chức năng</span></strong></p><p style="text-align: justify;"><span style="font-size:16px;">Đây là những bài tập do&nbsp;bác sĩ chuyên khoa phục hồi chức năng hướng dẫn và tập cho người bệnh. Điều dễ nhận biết là&nbsp;bài tập vật lý trị liệu, phục hồi chức năng&nbsp;có những động tác gần giống với bài tập yoga dưới đây. Nếu bạn có người nhà bị thoát vị đĩa đệm, muốn tập yoga chữa&nbsp;thoát vị đĩa đệm cổ và thoát vị đĩa đệm&nbsp;lưng, hãy tập theo bài tập này. Đây là bài tập yoga do ông thầy người Ấn Độ hướng dẫn tự tập tại nhà. Hãy nhìn và tập theo từng động tác trong bài&nbsp;tập yoga, không cần cố gắng quá mức, mỗi ngày tập cho thuộc&nbsp; một vài tư thế, khi nào thuộc hết bài tập này sẽ tập liền từ đầu tới cuối bài tập, sẽ có tác dụng tốt cho những người bị bệnh về cột sống đĩa đệm.</span></p><p style="text-align: justify;">&nbsp;</p><p><img loading="lazy" alt="Bài tập thoát vị đĩa đệm" src="data:image/gif;base64,R0lGODlhAQABAID/AP///wAAACwAAAAAAQABAAACAkQBADs=" data-src="https://chuabenhthoatvidiadem.vn/resources/images/Bai-tap-thoat-vi-dia-dem.jpg" style="width: 655px; height: 979px;" class="lazy" width="655" height="979" data-optimized="1" /></p><p><em><span style="font-size:14px;">Bài tập dành cho thoát vị đĩa đệm vùng thắt lưng, do bác sĩ phòng khám cơ xương khớp và phục hồi chức năng ở TP. HCM&nbsp;&nbsp;hướng dẫn.&nbsp;</span></em></p><p><strong style="text-align: justify;"><span style="font-size: 16px;">Bài tập yoga chữa thoát vị đĩa đệm</span></strong></p><p style="text-align: justify;"><span style="font-size: 16px;">Tập các bài tập yoga có tác dụng tốt về xương khớp cột sống, nếu thường xuyên tập luyện, tập đúng động tác&nbsp;sẽ có tác dụng hỗ trợ chữa trị các bệnh về cột sống đĩa đệm. Bài tập này tốt cho cả&nbsp;thoát vị đĩa đệm cổ và lưng.</span></p><p style="text-align: justify;">&nbsp;</p><p><em><span style="font-size:14px;"><span class="optimize-cls-iframe" data-src="https://www.youtube.com/embed/ky1DfwIBRcg">https://www.youtube.com/embed/ky1DfwIBRcg</span></span></em></p><p><em><span style="font-size:14px;">Bài tập yoga hỗ trợ điều trị&nbsp;thoát vị đĩa đệm&nbsp;cho người mới tập tự tập tại nhà.</span></em></p><p style="text-align: justify;"><span style="font-size:16px;"><span style="text-align: justify;">Đây là bài tập yoga tốt cho người hay bị đau vai gáy, đau mỏi cổ, đau lưng, đau hông, đau&nbsp;chân.&nbsp;Tập luyện thường xuyên&nbsp;tốt cho hệ cơ xương khớp, tốt cho&nbsp;cột sống đĩa đệm. Bài tập này dễ tập, dành cho những người mới bắt đầu tập, có thể tự tập tại nhà. Lương y Nguyễn Văn Minh đã hướng&nbsp;dẫn bài tập này cho nhiều người bị đau mỏi cổ, đau mỏi vai gáy, đau thắt lưng do thoát vị&nbsp;đĩa đệm nhẹ gây nên. Sau khoảng thời gian tập&nbsp;từ 3&nbsp;tháng đến 1 năm có kết quả rất tốt, các triệu chứng đau nhức gần như hết hẳn. Những trường hợp bị thoát vị đĩa đệm mức độ trung bình hoặc tương đối nặng, sau khi uống thuốc bớt đau cũng nên tập theo mỗi ngày để củng cố sức khỏe và cột sống đĩa đệm.</span></span></p><p style="text-align: justify;"><span style="font-size: 16px;">Trên YouTuBe có rất nhiều bài tập yoga chữa thoát vị&nbsp;đĩa đệm, nhưng bài tập này là bài tập dễ nhất cho những người muốn tự tập tại nhà. Nếu bạn mở trang web này và tập theo, sẽ không có quảng cáo chèn ngang khi đang tập, còn muốn tập theo </span><span style="font-size: 16px; text-align: justify;">v</span><span style="font-size: 16px; text-align: justify;">ideo&nbsp;</span><span style="font-size: 16px;">trên mạng&nbsp;thì bạn đọc&nbsp;hãy tìm kiếm nội dung sau: Master Kaml - Yoga cho mọi người tập 1.&nbsp;</span></p><p style="text-align: justify;"><span style="font-size:16px;">Lưu ý; Khi mới tập yoga, không nên tập quá sức, những động tác nào gây đau thì ngưng tập, hỏi ý kiến thầy thuốc của bạn.</span></p><p style="text-align: justify;"><span style="font-size:16px;">Phòng khám chuyên trị thoát vị đĩa đệm ở thành phố HCM: 856/6 Quang Trung, Quận Gò Vấp. Lương y Nguyễn Văn Minh tư vấn cách chữa qua Zalo: 0913503552 - ĐT bàn: 028.62951367</span></p><p style="text-align: justify;"><span style="font-size:16px;">Đây là trang web chuyên&nbsp;chữa bệnh thoát&nbsp;vị đĩa đệm&nbsp;của phòng khám đông y Bảo Minh, do Lương y Nguyễn Văn Minh là chủ sở hữu:&nbsp;</span></p><p style="text-align: justify;"><span style="font-size:16px;"><a class="xFAlBc" data-ved="2ahUKEwi758ydvIzyAhUDed4KHT2TDSoQhAcwCnoECBAQAQ" href="https://chuabenhthoatvidiadem.vn/cach-chua-benh/thuoc-dap-thoat-vi-dia-dem-tu-dap-thuoc-chua-tri-tai-nha-pid-102.html" jsaction="ebq3Kd; clickonly:ebq3Kd;" jscontroller="pU86Hd" style="color: rgb(26, 13, 171); text-decoration-line: none; -webkit-tap-highlight-color: rgba(0, 0, 0, 0.1); overflow-wrap: break-word; word-break: break-word; outline: 0px; font-family: Roboto, HelveticaNeue, Arial, sans-serif; font-size: 14px;" title="">chuabenhthoatvidiadem.vn</a></span></p>]]></content:encoded>
						<wfw:commentRss></wfw:commentRss>
						<slash:comments>0</slash:comments>
					</item>
				
					<item>
						<title>Chữa thoát vị đĩa đệm ở phòng khám đông y Bảo Minh</title>
						<link>https://chuabenhthoatvidiadem.vn/bai-viet/nghe-truc-tiep-nhung-nguoi-duoc-luong-y-minh-chua-khoi-thoat-vi-dia-dem/chua-thoat-vi-dia-dem-o-phong-kham-dong-y-bao-minh-pid-271.html</link>
						<comments></comments>
						<pubDate>Tue, 23 Jul 2019 05:43:38 +0700</pubDate>
						<dc:creator>admin</dc:creator>
						<category><![CDATA[Nghe trực tiếp những người được lương y Minh chữa khỏi thoát vị đĩa đệm ]]></category>
						<guid isPermaLink="false"></guid>
						<description><![CDATA[Chữa thoát vị đĩa đệm ở phòng khám đông y Bảo Minh đường Quang Trung, Quận Gò Vấp, TP.HCM. Đây là phòng khám chuyên khoa cột sống đĩa đệm, do Lương y Nguyễn Văn Minh trực tiếp khám và điều trị bằng phương pháp của đông y.]]></description>
						<content:encoded><![CDATA[<p style="text-align: justify;"><span style="font-size: 16px; text-align: justify;">Chữa thoát vị đĩa đệm ở phòng khám đông y Bảo Minh, được nhiều người mách bảo cho người quen tới chữa. Đây là phòng khám chuyên khoa cột sống đĩa đệm, do Lương y Nguyễn Văn Minh trực tiếp khám bệnh&nbsp;và điều trị bằng phương pháp của đông y.&nbsp;</span></p><p><span class="optimize-cls-iframe" data-src="https://www.youtube.com/embed/ymrBbt0uovA">https://www.youtube.com/embed/ymrBbt0uovA</span></p><p style="text-align: justify;"><span style="font-size:16px;">Trân trọng cảm ơn bác Đỗ Thị Hạnh 62 tuổi, nhà ở TP Kon Tum, tỉnh Kon Tum. Bác Hạnh đồng ý chia sẻ hình ảnh thoát vị đĩa đệm L4 L5,&nbsp;cho ghi hình nội dung câu chuyện giữa bác và Lương y Nguyễn Văn Minh.</span></p><p><img loading="lazy" alt="Thoát vị đĩa đệm L4 L5" src="data:image/gif;base64,R0lGODlhAQABAID/AP///wAAACwAAAAAAQABAAACAkQBADs=" data-src="https://chuabenhthoatvidiadem.vn/resources/images/Thoat-vi-dia-dem-L4 L5.jpg" style="width: 800px; height: 1200px;" class="lazy" width="800" height="1200" data-optimized="1" /></p><h2 style="text-align: justify;"><span style="font-size:16px;">Lương y Nguyễn Văn Minh chuyên <strong>chữa&nbsp;thoát vị đĩa đệm</strong>, ông có&nbsp;trên&nbsp;25&nbsp;năm kinh nghiệm chữa bệnh thoát vị đĩa&nbsp;đĩa đệm&nbsp;bằng thuốc&nbsp;đông y,&nbsp;tạo được&nbsp;uy tín tốt</span><span style="font-size:16px;">&nbsp;ở TP.HCM. Ông&nbsp;đã chữa thoát vị đĩa đệm cho rất nhiều người hết bệnh,&nbsp;một số quý khách&nbsp;đồng ý cho&nbsp;ghi lại hình ảnh thực tế đã khỏi bệnh, một số đồng ý chia sẻ cảm ơn qua điện thoại. Xin trân trọng&nbsp;cảm ơn quý khách.</span></h2><h4><span style="font-size:16px;"><a title="" href="https://chuabenhthoatvidiadem.vn/resources/files/FILE_20201009_103150_ Lê Thị Thu Thủy%2C đã cor_201009_102428.mp3">Chữa thoát&nbsp;vị đĩa đệm khỏi bệnh ở phòng khám đông y Bảo Minh</a></span></h4><p><span style="font-size:16px;"><img loading="lazy" alt="Chữa thoát vị đĩa đệm" src="data:image/gif;base64,R0lGODlhAQABAID/AP///wAAACwAAAAAAQABAAACAkQBADs=" data-src="https://chuabenhthoatvidiadem.vn/resources/images/Chữa thoát vị đĩa đệm (3).jpg" style="width: 900px; height: 1200px;" class="lazy" width="900" height="1200" data-optimized="1" /></span></p><h3 style="text-align: justify;"><span style="font-size:16px;">Sau khi chữa thoát vị đĩa đệm khỏi bệnh, chị Lê Thị Thu Thủy&nbsp;đồng ý chia sẻ thông báo khỏi bệnh,&nbsp;kết quả chụp MRI&nbsp;và địa chỉ của chị: 50 Trần Nhật Duật, phường Đạt Hiếu, thị xã Buôn Hồ, tỉnh Đắk Lắk. Quý khách nào ở gần đây bị thoát vị đĩa đệm, đã chữa nhiều nơi nhưng chưa hết,&nbsp;nên gặp chị Thủy để hỏi thêm về cách thoát vị đĩa đệm&nbsp;bằng thuốc&nbsp;đông y.</span></h3><p><span style="font-size:16px;"><a title="" href="https://chuabenhthoatvidiadem.vn/resources/files/Bác Chính khỏi TVDD.mp3">Chữa thoát vị đĩa đệm ở phòng khám đông y Bảo Minh có tốt không</a></span></p><p style="text-align: justify;"><span style="font-size:16px;">Đông y Bảo Minh&nbsp;chỉ chia sẻ ý kiến khi quý khách đồng ý, sau khi chữa&nbsp;khỏi bệnh thoát vị đĩa đệm, nhiều người muốn cảm ơn nhà thuốc, nhưng nhiều người muốn giữ bí mật thông tin, nên chúng tôi chỉ đăng bài sau khi được sự đồng ý từ quý khách. Sau này; vì lý do gì đó mà quý khách không muốn chia sẻ ở đây nữa, chúng tôi sẽ gỡ bỏ thông tin xuống. Xin&nbsp;cảm ơn quý khách.</span></p><p style="text-align: justify;"><span style="font-size:16px;"><img loading="lazy" alt="Chữa thoát vị đĩa đệm " src="data:image/gif;base64,R0lGODlhAQABAID/AP///wAAACwAAAAAAQABAAACAkQBADs=" data-src="https://chuabenhthoatvidiadem.vn/resources/images/thoatvidiadem top (2)(1).jpg" style="width: 831px; height: 1143px;" class="lazy" width="831" height="1143" data-optimized="1" />A</span><span style="font-size: 16px; text-align: justify;">nh Trần Văn Thắng 47 tuổi ở Long An, sau&nbsp;</span><span style="font-size:16px;">khi chữa hết bệnh thoát vị đĩa đệm ở phòng khám đông y Bảo Minh, anh đồng ý chia sẻ giới thiệu cách chữa ở đây:</span></p><p style="text-align: justify;"><a href="https://chuabenhthoatvidiadem.vn/resources/files/Trần Văn Thắng 1976 TV BĐ Long An 240229.mp3" title="">Thuốc đông y trị thoát&nbsp;vị đĩa đệm</a></p><p style="text-align: justify;"><img loading="lazy" alt="Thuốc đông y chữa thoát vị đĩa đệm" src="data:image/gif;base64,R0lGODlhAQABAID/AP///wAAACwAAAAAAQABAAACAkQBADs=" data-src="https://chuabenhthoatvidiadem.vn/resources/images/Thuốc đông y chữa thoát vị đĩa đệm.jpg" style="width: 864px; height: 929px;" class="lazy" width="864" height="929" data-optimized="1" /><span style="font-size: 16px;">Mời bạn đọc nghe cuộc nói chuyện giữa Lương y Nguyễn Văn Minh&nbsp;với anh Tuấn, một trong&nbsp;những người đã chữa khỏi&nbsp;thoát vị đĩa đệm tại phòng khám đông y Bảo Minh (*)</span></p><p style="text-align: justify;"><a href="https://chuabenhthoatvidiadem.vn/resources/files/FILE_Tran Xuan Tuan KG CoVer.mp3" title="">Thoatvidiadem.top</a></p><p style="text-align: justify;"><span style="font-size:16px;">Sau khi chữa khỏi bệnh, anh Trần Xuân Tuấn đồng ý chia sẻ PHIẾU KẾT QUẢ MRI để ai không may bị thoát vị đĩa đệm tương tự như vậy, có tài liệu tham khảo. Phòng khám xin trân trọng cảm ơn anh Trần Xuân Tuấn.</span></p><p style="text-align: justify;"><img loading="lazy" alt="Thoát vị đĩa đệm" src="data:image/gif;base64,R0lGODlhAQABAID/AP///wAAACwAAAAAAQABAAACAkQBADs=" data-src="https://chuabenhthoatvidiadem.vn/resources/images/Thoat vi dia dem(4).jpg" style="width: 615px; height: 808px;" class="lazy" width="615" height="808" data-optimized="1" /></p><p style="text-align: justify;"><span style="font-size:14px;"><em>Đây là kết quả chụp MRI cộng hưởng từ cột sống thắt lưng của anh Tuấn, do bác sĩ ở bệnh viện đa khoa Vạn Hạnh TP.HCM thực hiện.</em></span></p><p style="text-align: justify;"><span style="font-size:14px;"><em><img loading="lazy" alt="Hốt thuốc trị thoát vị đĩa đệm " src="data:image/gif;base64,R0lGODlhAQABAID/AP///wAAACwAAAAAAQABAAACAkQBADs=" data-src="https://chuabenhthoatvidiadem.vn/resources/images/Hốt thuốc trị thoát vị đĩa đệm.jpg" style="width: 1553px; height: 1200px;" class="lazy" width="1553" height="1200" data-optimized="1" /></em></span></p><p><em><span style="font-size:14px;">Hốt thuốc trị thoát vị đĩa đệm tại&nbsp;phòng khám đông y Bảo Minh ở TP HCM.</span></em></p><p>&nbsp;</p><p><span class="optimize-cls-iframe" data-src="https://www.youtube.com/embed/Ii4NtLhPcnY">https://www.youtube.com/embed/Ii4NtLhPcnY</span></p><p style="text-align: justify;"><span style="font-size: 14px;">Quý khách đang nghe&nbsp;nội dung câu chuyện của&nbsp;bà bệnh nhân ở Bình Phước. Cách nay khoảng 7 năm bà có đến chữa bệnh tại phòng khám đông y Bảo Minh, bà khỏi bệnh từ đó đến nay mới đau lại, mức độ đau ít hơn trước đây. Bà đến khám bệnh, mua thuốc về uống tiếp&nbsp;cho hết đau. Bà&nbsp;đồng ý kể câu chuyện chữa khỏi bệnh thật sự của bà trước đây ở phòng khám. Xin trân trọng cảm ơn bà.</span></p><p style="text-align: justify;"><span style="font-size: 16px;">Quý khách nào có người quen bị thoát vị đĩa đệm cổ, mức độ chèn ép nặng rễ thần kinh. Đã điều trị bằng nhiều&nbsp;cách; uống đủ các loại thuốc đông tây nam bắc&nbsp;nhưng không hết bệnh. Hãy xem bệnh án thoát vị đĩa đệm cổ,&nbsp;nghe người bệnh kể lại quá trình điều trị và phục hồi cách tay bị teo cơ như thế nào.&nbsp;</span></p><p style="text-align: justify;"><span style="font-size: 16px;"><a title="" href="https://chuabenhthoatvidiadem.vn/cach-chua-benh/chua-thoat-vi-dia-dem-o-go-vap-pid-332.html">Chữa thoát vị đĩa đệm cột sống cổ</a></span></p><p style="text-align: justify;"><span style="font-size: 16px; text-align: justify;">Thuốc trị thoát vị đĩa đệm của phòng khám đông y Bảo Minh đã trị cho nhiều người khỏi bệnh. Chúng tôi chỉ chia sẻ thông tin, bệnh án khi quý khách đồng ý cho ghi hình và thông báo hết bệnh. Sau khi chữa khỏi thoát vị đĩa đệm, có người muốn cảm ơn nhà thuốc, có người muốn giữ bí mật thông tin riêng, nên chúng tôi chỉ đăng bài sau khi được sự đồng ý từ quý bệnh nhân. Sau này vì một lý do gì đó mà quý khách không muốn chia sẻ ở đây nữa, chúng tôi sẽ gỡ nội dung xuống. Xin trân trọng cảm ơn quý khách.</span></p><p style="text-align: justify;"><span style="font-size:16px;">Những VIDEO được quay tại phòng khám chữa thoát vị đĩa đệm ở Gò Vấp. Đây là những nội dung phản ánh chân thực&nbsp;giữa người bệnh và thầy thuốc, quý khách&nbsp;nào muốn dùng đông y chữa thoát vị đĩa đệm, nên tìm hiểu&nbsp;hết để quyết định chữa thoát vị đĩa đệm ở đâu tốt nhất cho mình.</span></p><p style="text-align: justify;"><span class="optimize-cls-iframe" data-src="https://www.youtube.com/embed/na2KODVQofE">https://www.youtube.com/embed/na2KODVQofE</span><br /><span style="font-size:16px;">Chữa thoát vị đĩa đệm gặp <span style="text-align: justify;">Lương y Nguyễn Văn Minh&nbsp;</span>ở địa chỉ: 856/6 đường Quang Trung, Quận Gò Vấp,&nbsp;<span style="text-align: justify;">TP. Hồ Chí Minh.&nbsp;</span>Zalo tư vấn trị bệnh đau cột sống đĩa đệm: 0913503552 - ĐT cố định: (028).62951367</span></p><p style="text-align: justify;"><span style="font-size:16px;">Có thể bạn muốn xem:&nbsp;</span></p><p style="text-align: justify;"><span style="font-size:16px;">-&nbsp;<a title="" href="https://chuabenhthoatvidiadem.vn/cach-chua-benh/thoat-vi-dia-dem-rach-vong-xo-chen-re-l3-trai-chen-re-l5-phai-pid-312.html">Thoát vị đĩa đệm rách vòng xơ, chèn ép dây thần kinh</a></span></p><p style="text-align: justify;"><span style="font-size:16px;">-&nbsp;<a title="" href="https://chuabenhthoatvidiadem.vn/cach-chua-benh/chua-thoat-vi-dia-dem-ngay-tai-nha-huong-dan-cach-chua-tai-nha-tot-nhat-pid-217.html">Cách chữa thoát vị đĩa đệm ngay tại nhà</a></span></p><p style="text-align: justify;"><span style="font-size:16px;">-&nbsp;<a title="" href="https://chuabenhthoatvidiadem.vn/cach-chua-benh/giay-phep-kham-chua-benh-cua-luong-y-nguyen-van-minh-pid-30.html">Giấy phép khám chữa bệnh bằng y học cổ truyền</a></span></p><p><span style="font-size:16px;">Thông tin về cách chữa bệnh thoát vị đĩa đệm trên trang web:&nbsp;</span></p><p style="text-align: justify;"><span style="font-size:16px;">thoatvidiadem.top</span></p><p style="text-align: justify;"><span style="font-size:16px;"><a data-saferedirecturl="https://www.google.com/url?q=https://chuabenhthoatvidiadem.vn/&amp;source=gmail&amp;ust=1567734487819000&amp;usg=AFQjCNHBa-rYwcCg4HXdGWY86WK7LqDA5w" href="https://chuabenhthoatvidiadem.vn/" style="color: rgb(17, 85, 204); font-family: Arial, Helvetica, sans-serif; font-size: 19.2px;" target="_blank" title="">chuabenhthoatvidiadem.vn</a>&nbsp;</span></p><p style="text-align: justify;"><span style="font-size:16px;">Do&nbsp;<a href="https://www.youtube.com/channel/UCMrl47bRL4MgAguyRi48mEw" rel="noopener" style="white-space: nowrap; font-size: small; color: rgb(102, 0, 153); cursor: pointer; text-decoration-line: none; font-family: arial, sans-serif;" target="_blank" title="">Lương y Nguyễn Văn Minh</a>&nbsp;viết nội dung, không tự ý sao chép khi chưa được sự đồng ý.</span></p><p style="text-align: justify;"><span style="font-size: 16px; text-align: justify;">(*)&nbsp; &nbsp;Lưu ý: Thuốc điều trị&nbsp;thoát vị đĩa đệm có tác dụng nhanh/ chậm có thể thay đổi tùy theo cơ địa&nbsp;mỗi nguời</span></p>]]></content:encoded>
						<wfw:commentRss></wfw:commentRss>
						<slash:comments>0</slash:comments>
					</item>
				
					<item>
						<title>Thuốc đặc trị thoát vị đĩa đệm của lương y Nguyễn Văn Minh</title>
						<link>https://chuabenhthoatvidiadem.vn/bai-viet/benh-thoat-vi-dia-dem/thuoc-dac-tri-thoat-vi-dia-dem-cua-luong-y-nguyen-van-minh-pid-269.html</link>
						<comments></comments>
						<pubDate>Mon, 15 Jul 2019 05:54:58 +0700</pubDate>
						<dc:creator>admin</dc:creator>
						<category><![CDATA[Bệnh thoát vị đĩa đệm]]></category>
						<guid isPermaLink="false"></guid>
						<description><![CDATA[Thuốc đặc trị thoát vị đĩa đệm là thuốc có công dụng chữa khỏi bệnh ở mức cao, được nhiều người công nhận là thuốc tốt nhất mà họ từng sử dụng. Bản thân người bệnh, khi bị thoát vị đĩa đệm có xu hướng lên mạng hoặc nhờ người thân lên mạng tìm thông tin, tìm cách chữa, tìm thầy thuốc, tìm phòng khám, tìm nhà thuốc để mua thuốc trị bệnh. Thuốc chữa bệnh thì ở đâu cũng có, nhưng để tìm đúng thuốc đặc trị thoát vị đĩa đệm, thì không phải ai cũng gặp thầy gặp thuốc.]]></description>
						<content:encoded><![CDATA[<p style="text-align: justify;"><em><span style="font-size:18px;">Thuốc đặc trị thoát vị đĩa đệm của Lương y Nguyễn văn Minh - Phòng khám đông y bảo Minh</span></em></p><p style="text-align: justify;"><span style="font-size: 16px; text-align: justify;">Thuốc đặc trị&nbsp;là&nbsp;thuốc có khả năng chữa khỏi thoát vị đĩa đệm với tỷ lệ cao, khi khỏi bệnh&nbsp;không uống thuốc cũng không bị đau trở&nbsp;lại. Tuy vậy, không phải phòng khám nào, thầy thuốc nào cũng có bài thuốc đặc trị để chữa bệnh, cũng không phải bệnh gì các lương y cũng chữa được.&nbsp;Thông thường mỗi thầy thuốc chỉ&nbsp;có&nbsp;một hoặc hai lĩnh vực chuyên môn giỏi, và có 1-2 bài thuốc đặc trị là nhiều. Lương y Nguyễn Văn Minh cũng vậy, ông cũng chỉ giỏi nhất ở chuyên môn trị&nbsp;thoát vị đĩa đệm.</span></p><p><span class="optimize-cls-iframe" data-src="https://www.youtube.com/embed/UN0lTke8WFY">https://www.youtube.com/embed/UN0lTke8WFY</span></p><p><span style="font-size:14px;"><em>Bác Nguyễn Văn Chính ở Bình Thạnh, TP Hồ Chí Minh, kể chuyện&nbsp;khỏi&nbsp;bệnh sau khi chữa thoát vị đĩa đệm tại phòng khám đông y Bảo Minh&nbsp;</em></span><span style="font-size: 16px; text-align: justify;">.</span></p><p style="text-align: justify;"><span style="font-size:16px;">Bấm vào ô bên dưới, xem&nbsp;</span><a data-ctbtn="0" data-cthref="/url?sa=t&amp;rct=j&amp;q=&amp;esrc=s&amp;source=web&amp;cd=&amp;ved=2ahUKEwi_lP3UptvsAhVRE4gKHSLRBSUQFjAFegQIBRAC&amp;url=https%3A%2F%2Fwww.youtube.com%2Fchannel%2FUCMrl47bRL4MgAguyRi48mEw&amp;usg=AOvVaw0CZxDuwZf9NghLkUubs9Xh" href="https://www.google.com.vn/url?sa=t&amp;rct=j&amp;q=&amp;esrc=s&amp;source=web&amp;cd=&amp;ved=2ahUKEwi_lP3UptvsAhVRE4gKHSLRBSUQFjAFegQIBRAC&amp;url=https%3A%2F%2Fwww.youtube.com%2Fchannel%2FUCMrl47bRL4MgAguyRi48mEw&amp;usg=AOvVaw0CZxDuwZf9NghLkUubs9Xh" rel="noopener" style="color: rgb(102, 0, 153); text-align: justify; text-decoration-line: none; -webkit-tap-highlight-color: rgba(0, 0, 0, 0.1); font-family: arial, sans-serif; font-size: small;" target="_blank" title="">Lương y Nguyễn Văn Minh&nbsp;</a>dùng&nbsp;<span style="font-size:16px;">thuốc đặc trị thoát vị đĩa đệm, chữa cho anh Phong ở Tiền Giang khỏi bệnh, Lương y đã xin phép và được sự đồng ý của anh Phong cho chia sẻ bệnh án thoát vị đĩa đệm của mình.&nbsp;</span></p><p style="text-align: justify;"><a href="https://chuabenhthoatvidiadem.vn/resources/files/Ghi âm cuộc gọi 0987839357_thanh phong_084006.mp3" title="">Thuốc đặc trị thoát vị đĩa đệm</a></p><p style="text-align: justify;"><img loading="lazy" alt="Thuốc đặc trị thoát vị đĩa đệm" src="data:image/gif;base64,R0lGODlhAQABAID/AP///wAAACwAAAAAAQABAAACAkQBADs=" data-src="https://chuabenhthoatvidiadem.vn/resources/images/Thoatvidiadem (3).jpg" style="width: 815px; height: 960px;" class="lazy" width="815" height="960" data-optimized="1" /></p><p style="text-align: justify;"><span style="font-size:16px;">&nbsp;Bài</span><font size="2">&nbsp;</font><span style="font-size:16px;">thuốc đặc trị thoát vị đĩa đệm của Lương y Nguyễn văn Minh, có gần 30 vị thuốc thảo dược đông y, </span><a data-ctbtn="0" data-cthref="/url?sa=t&amp;rct=j&amp;q=&amp;esrc=s&amp;source=web&amp;cd=&amp;ved=2ahUKEwiQy8Xk-vbsAhVZeXAKHcl9Czo4ChAWMAJ6BAgKEAI&amp;url=https%3A%2F%2Fchuabenhthoatvidiadem.vn%2Fcach-chua-benh%2Fthang-thuoc-chua-thoat-vi-dia-dem-pid-219.html&amp;usg=AOvVaw1Pm_Caq-D0rdUVF0BeWqeL" href="https://www.google.com.vn/url?sa=t&amp;rct=j&amp;q=&amp;esrc=s&amp;source=web&amp;cd=&amp;ved=2ahUKEwiQy8Xk-vbsAhVZeXAKHcl9Czo4ChAWMAJ6BAgKEAI&amp;url=https%3A%2F%2Fchuabenhthoatvidiadem.vn%2Fcach-chua-benh%2Fthang-thuoc-chua-thoat-vi-dia-dem-pid-219.html&amp;usg=AOvVaw1Pm_Caq-D0rdUVF0BeWqeL" rel="noopener" style="color: rgb(102, 0, 153); text-decoration-line: none; -webkit-tap-highlight-color: rgba(0, 0, 0, 0.1); font-family: arial, sans-serif; font-size: small;" target="_blank" title="">nhấp vào đây xem</a>.&nbsp;<span style="font-size:16px;">Sau khi khám bệnh, kết hợp với kết quả chụp cộng hưởng từ của người bệnh, Lương y Nguyễn Văn Minh sẽ điều chỉnh thang thuốc theo cơ địa mỗi người, chính vì vậy bài thuốc luôn đạt hiệu quả tối ưu trong điều trị bệnh thoát vị đĩa đệm. Bài thuốc đặc trị này còn được hỗ trợ bởi một loại thuốc đắp cột sống, do chính tay Lương y Nguyễn văn Minh bào chế. Thuốc đắp hoặc bóp vào vùng cột sống đĩa đệm bị đau, bị nhức, thuốc&nbsp;có tác dụng hỗ trợ rất tốt trong việc điều trị đau bởi nguyên nhân do thoát vị đĩa đệm gây nên.</span></p><p><span style="font-size:16px;"><img loading="lazy" alt="Thuốc đặc trị thoát vị đĩa đệm" src="data:image/gif;base64,R0lGODlhAQABAID/AP///wAAACwAAAAAAQABAAACAkQBADs=" data-src="https://chuabenhthoatvidiadem.vn/resources/images/tri-thoat-vi-dia-dem.jpg" style="width: 764px; height: 428px;" class="lazy" width="764" height="428" data-optimized="1" /><em><span style="font-size:14px;">Hình ảnh hốt&nbsp;thuốc đặc trị thoát vị đĩa đệm tại phòng khám đông y Bảo Minh.</span></em></span></p><p style="text-align: justify;"><span style="font-size:16px;">&nbsp;Hãy liên hệ qua Zalo của lương y Nguyễn Văn Minh, số: 0913503552. Đây là trang Zalo&nbsp;chuyên chia sẻ thông tin mới nhất về&nbsp;bệnh thoát vị đĩa đệm.&nbsp;</span></p><p style="text-align: justify;"><span style="font-size: 16px; text-align: justify;">Những trường hợp nhà ở xa, hãy gửi kết quả chụp cộng hưởng từ, thầy thuốc chuyên trị thoát vị đĩa đệm sẽ tư vấn cách chữa miễn phí qua Zalo;</span></p><p style="text-align: justify;"><span class="optimize-cls-iframe" data-src="https://www.youtube.com/embed/ahJrSsmI994">https://www.youtube.com/embed/ahJrSsmI994</span></p><p style="box-sizing: border-box; margin: 0px 0px 10px; padding: 0px; border: 0px; outline: 0px; font-size: 16px; vertical-align: baseline; background-image: initial; background-position: initial; background-size: initial; background-repeat: initial; background-attachment: initial; background-origin: initial; background-clip: initial; max-width: 100%; color: rgb(0, 0, 0); font-family: RobotoSlab-Regular, Arial, Helvetica, sans-serif; text-align: justify;"><span style="box-sizing: border-box; margin: 0px; padding: 0px; border: 0px; outline: 0px; vertical-align: baseline; background: transparent; max-width: 100%;">Phòng khám đông y Bảo Minh chỉ chia sẻ nội dung&nbsp;khi quý khách đồng ý, khi khỏi bệnh thoát vị đĩa đệm&nbsp;nhiều người muốn cảm ơn nhà thuốc, nhưng nhiều người muốn giữ bí mật thông tin, nên chúng tôi chỉ đăng bài sau khi được sự đồng ý từ quý khách. Sau này vì&nbsp;lý do gì&nbsp;quý khách nào&nbsp;không muốn chia sẻ ở đây nữa, chúng tôi sẽ gỡ bỏ thông tin xuống. Xin trân trọng cảm ơn quý khách.</span></p><p style="box-sizing: border-box; margin: 0px 0px 10px; padding: 0px; border: 0px; outline: 0px; font-size: 16px; vertical-align: baseline; background-image: initial; background-position: initial; background-size: initial; background-repeat: initial; background-attachment: initial; background-origin: initial; background-clip: initial; max-width: 100%; color: rgb(0, 0, 0); font-family: RobotoSlab-Regular, Arial, Helvetica, sans-serif;"><span style="box-sizing: border-box; margin: 0px; padding: 0px; border: 0px; outline: 0px; vertical-align: baseline; background: transparent; max-width: 100%;">Lương y Nguyễn Văn Minh -&nbsp;Thầy thuốc chữa thoát vị đĩa đệm: 856/6 Quang Trung, Quận Gò Vấp, TP. HCM.<br style="box-sizing: border-box; max-width: 100%;" />Điện thoại, Zalo tư vấn mua thuốc chữa bệnh: 091 350 3552- (028) 6295 1367.</span></p><p class="LC20lb MBeuO DKV0Md" style="box-sizing: border-box; margin: 0px 0px 3px; padding: 5px 0px 0px; border: 0px; outline: 0px; font-size: 20px; vertical-align: baseline; background-image: initial; background-position: initial; background-size: initial; background-repeat: initial; background-attachment: initial; background-origin: initial; background-clip: initial; max-width: 100%; color: rgb(0, 0, 0); font-family: RobotoSlab-Regular, Arial, Helvetica, sans-serif; line-height: 1.3; display: inline-block; text-align: justify;"><span style="box-sizing: border-box; margin: 0px; padding: 0px; border: 0px; outline: 0px; font-size: 16px; vertical-align: baseline; background: transparent; max-width: 100%;">Trang thông tin chuyên khoa cột sống đĩa đệm, giới thiệu cách trị&nbsp;</span><a data-ved="2ahUKEwjTv828lPj3AhXaqFYBHYknBQEQFnoECAIQAQ" href="https://chuabenhthoatvidiadem.vn/" ping="/url?sa=t&amp;source=web&amp;rct=j&amp;url=https://chuabenhthoatvidiadem.vn/&amp;ved=2ahUKEwjTv828lPj3AhXaqFYBHYknBQEQFnoECAIQAQ" style="box-sizing: border-box; margin: 0px; padding: 0px; border: 0px; outline: 0px; font-size: small; vertical-align: baseline; background: transparent; color: rgb(26, 13, 171); text-decoration-line: none; transition: all 406ms ease-out 0s; max-width: 100%; -webkit-tap-highlight-color: rgba(0, 0, 0, 0.1); font-family: arial, sans-serif;" title="">Thoát Vị Đĩa Đệm</a>&nbsp;<span style="box-sizing: border-box; margin: 0px; padding: 0px; border: 0px; outline: 0px; font-size: 16px; vertical-align: baseline; background: transparent; max-width: 100%;">của Lương y Nguyễn Văn Minh ở phòng khám đông y Bảo Minh:</span></p><p class="LC20lb MBeuO DKV0Md" style="box-sizing: border-box; margin: 0px 0px 3px; padding: 5px 0px 0px; border: 0px; outline: 0px; font-size: 20px; vertical-align: baseline; background-image: initial; background-position: initial; background-size: initial; background-repeat: initial; background-attachment: initial; background-origin: initial; background-clip: initial; max-width: 100%; color: rgb(0, 0, 0); font-family: RobotoSlab-Regular, Arial, Helvetica, sans-serif; line-height: 1.3; display: inline-block; text-align: justify;"><span style="box-sizing: border-box; margin: 0px; padding: 0px; border: 0px; outline: 0px; font-size: 16px; vertical-align: baseline; background: transparent; max-width: 100%;">thoatvidiadem.top</span></p><p class="LC20lb MBeuO DKV0Md" style="box-sizing: border-box; margin: 0px 0px 3px; padding: 5px 0px 0px; border: 0px; outline: 0px; font-size: 20px; vertical-align: baseline; background-image: initial; background-position: initial; background-size: initial; background-repeat: initial; background-attachment: initial; background-origin: initial; background-clip: initial; max-width: 100%; color: rgb(0, 0, 0); font-family: RobotoSlab-Regular, Arial, Helvetica, sans-serif; line-height: 1.3; display: inline-block; text-align: justify;">&nbsp;</p><p class="LC20lb MBeuO DKV0Md" style="box-sizing: border-box; margin: 0px 0px 3px; padding: 5px 0px 0px; border: 0px; outline: 0px; font-size: 20px; vertical-align: baseline; background-image: initial; background-position: initial; background-size: initial; background-repeat: initial; background-attachment: initial; background-origin: initial; background-clip: initial; max-width: 100%; color: rgb(0, 0, 0); font-family: RobotoSlab-Regular, Arial, Helvetica, sans-serif; line-height: 1.3; display: inline-block; text-align: justify;">&nbsp;</p><p class="LC20lb MBeuO DKV0Md" style="box-sizing: border-box; margin: 0px 0px 3px; padding: 5px 0px 0px; border: 0px; outline: 0px; font-size: 20px; vertical-align: baseline; background-image: initial; background-position: initial; background-size: initial; background-repeat: initial; background-attachment: initial; background-origin: initial; background-clip: initial; max-width: 100%; color: rgb(0, 0, 0); font-family: RobotoSlab-Regular, Arial, Helvetica, sans-serif; line-height: 1.3; display: inline-block; text-align: justify;">&nbsp;</p><p class="LC20lb MBeuO DKV0Md" style="box-sizing: border-box; margin: 0px 0px 3px; padding: 5px 0px 0px; border: 0px; outline: 0px; font-size: 20px; vertical-align: baseline; background-image: initial; background-position: initial; background-size: initial; background-repeat: initial; background-attachment: initial; background-origin: initial; background-clip: initial; max-width: 100%; color: rgb(0, 0, 0); font-family: RobotoSlab-Regular, Arial, Helvetica, sans-serif; line-height: 1.3; display: inline-block; text-align: justify;"><span style="box-sizing: border-box; margin: 0px; padding: 0px; border: 0px; outline: 0px; font-size: 16px; vertical-align: baseline; background: transparent; max-width: 100%;">&nbsp;và&nbsp;chuabenhthoatvidiadem.vn&nbsp;</span></p><p class="LC20lb MBeuO DKV0Md" style="box-sizing: border-box; margin: 0px 0px 3px; padding: 5px 0px 0px; border: 0px; outline: 0px; font-size: 20px; vertical-align: baseline; background-image: initial; background-position: initial; background-size: initial; background-repeat: initial; background-attachment: initial; background-origin: initial; background-clip: initial; max-width: 100%; color: rgb(0, 0, 0); font-family: RobotoSlab-Regular, Arial, Helvetica, sans-serif; line-height: 1.3; display: inline-block; text-align: justify;">&nbsp;</p><p class="LC20lb MBeuO DKV0Md" style="box-sizing: border-box; margin: 0px 0px 3px; padding: 5px 0px 0px; border: 0px; outline: 0px; font-size: 20px; vertical-align: baseline; background-image: initial; background-position: initial; background-size: initial; background-repeat: initial; background-attachment: initial; background-origin: initial; background-clip: initial; max-width: 100%; color: rgb(0, 0, 0); font-family: RobotoSlab-Regular, Arial, Helvetica, sans-serif; line-height: 1.3; display: inline-block; text-align: justify;">&nbsp;</p><p class="LC20lb MBeuO DKV0Md" style="box-sizing: border-box; margin: 0px 0px 3px; padding: 5px 0px 0px; border: 0px; outline: 0px; font-size: 20px; vertical-align: baseline; background-image: initial; background-position: initial; background-size: initial; background-repeat: initial; background-attachment: initial; background-origin: initial; background-clip: initial; max-width: 100%; color: rgb(0, 0, 0); font-family: RobotoSlab-Regular, Arial, Helvetica, sans-serif; line-height: 1.3; display: inline-block; text-align: justify;">&nbsp;</p><p class="LC20lb MBeuO DKV0Md" style="box-sizing: border-box; margin: 0px 0px 3px; padding: 5px 0px 0px; border: 0px; outline: 0px; font-size: 20px; vertical-align: baseline; background-image: initial; background-position: initial; background-size: initial; background-repeat: initial; background-attachment: initial; background-origin: initial; background-clip: initial; max-width: 100%; color: rgb(0, 0, 0); font-family: RobotoSlab-Regular, Arial, Helvetica, sans-serif; line-height: 1.3; display: inline-block; text-align: justify;">&nbsp;</p><p class="LC20lb MBeuO DKV0Md" style="box-sizing: border-box; margin: 0px 0px 3px; padding: 5px 0px 0px; border: 0px; outline: 0px; font-size: 20px; vertical-align: baseline; background-image: initial; background-position: initial; background-size: initial; background-repeat: initial; background-attachment: initial; background-origin: initial; background-clip: initial; max-width: 100%; color: rgb(0, 0, 0); font-family: RobotoSlab-Regular, Arial, Helvetica, sans-serif; line-height: 1.3; display: inline-block; text-align: justify;">&nbsp;</p><p class="LC20lb MBeuO DKV0Md" style="box-sizing: border-box; margin: 0px 0px 3px; padding: 5px 0px 0px; border: 0px; outline: 0px; font-size: 20px; vertical-align: baseline; background-image: initial; background-position: initial; background-size: initial; background-repeat: initial; background-attachment: initial; background-origin: initial; background-clip: initial; max-width: 100%; color: rgb(0, 0, 0); font-family: RobotoSlab-Regular, Arial, Helvetica, sans-serif; line-height: 1.3; display: inline-block; text-align: justify;">&nbsp;</p><p class="LC20lb MBeuO DKV0Md" style="box-sizing: border-box; margin: 0px 0px 3px; padding: 5px 0px 0px; border: 0px; outline: 0px; font-size: 20px; vertical-align: baseline; background-image: initial; background-position: initial; background-size: initial; background-repeat: initial; background-attachment: initial; background-origin: initial; background-clip: initial; max-width: 100%; color: rgb(0, 0, 0); font-family: RobotoSlab-Regular, Arial, Helvetica, sans-serif; line-height: 1.3; display: inline-block; text-align: justify;">&nbsp;</p><p class="LC20lb MBeuO DKV0Md" style="box-sizing: border-box; margin: 0px 0px 3px; padding: 5px 0px 0px; border: 0px; outline: 0px; font-size: 20px; vertical-align: baseline; background-image: initial; background-position: initial; background-size: initial; background-repeat: initial; background-attachment: initial; background-origin: initial; background-clip: initial; max-width: 100%; color: rgb(0, 0, 0); font-family: RobotoSlab-Regular, Arial, Helvetica, sans-serif; line-height: 1.3; display: inline-block;">&nbsp;</p><p style="text-align: justify;"><img loading="lazy" alt="Thoát vị đĩa đệm" src="data:image/gif;base64,R0lGODlhAQABAID/AP///wAAACwAAAAAAQABAAACAkQBADs=" data-src="https://chuabenhthoatvidiadem.vn/resources/images/Thoát vị đĩa đệm(4).jpg" style="width: 683px; height: 973px;" class="lazy" width="683" height="973" data-optimized="1" /></p><p style="text-align: justify;"><span style="font-size:16px;">Bạn đọc bấm vào liên kết dưới để xem người bệnh kể về bài thuốc đặc trị thoát vị đĩa đệm của Lương y Nguyễn Văn Minh.</span></p><p style="text-align: justify;"><span style="font-size:18px;"><a data-ctbtn="0" data-cthref="http://www.google.com.vn/url?sa=t&amp;rct=j&amp;q=&amp;esrc=s&amp;source=web&amp;cd=49&amp;ved=2ahUKEwih38PDnLnjAhWRF4gKHW36Bkw4KBAWMAh6BAgJEAE&amp;url=http%3A%2F%2Fchuabenhthoatvidiadem.vn%2Fdieu-tri%2Fket-qua-dieu-tri-thoat-vi-dia-dem-cid-2-0.html&amp;usg=AOvVaw1qRtzJItS0V13yNC1uN3_E" href="http://www.google.com.vn/url?sa=t&amp;rct=j&amp;q=&amp;esrc=s&amp;source=web&amp;cd=49&amp;ved=2ahUKEwih38PDnLnjAhWRF4gKHW36Bkw4KBAWMAh6BAgJEAE&amp;url=http%3A%2F%2Fchuabenhthoatvidiadem.vn%2Fdieu-tri%2Fket-qua-dieu-tri-thoat-vi-dia-dem-cid-2-0.html&amp;usg=AOvVaw1qRtzJItS0V13yNC1uN3_E" rel="noopener" style="color: rgb(102, 0, 153); cursor: pointer; text-decoration-line: none; font-family: arial, sans-serif; font-size: small;" target="_blank" title="">Tham khảo những người đã khỏi thoát vị đĩa đệm, nhờ thuốc đặc trị&nbsp;thoát vị đĩa đệm của Lương y Nguyễn Văn Minh.</a></span></p><p style="text-align: justify;"><span style="font-size:16px;">Trang web chuyên khoa&nbsp;chữa bệnh thoát vị đĩa đệm của Lương y Nguyễn Văn Minh - Phòng khám đông y Bảo Minh&nbsp;có 2 tên miền. </span></p><p><span style="font-size:16px;">Tên miền Việt Nam:&nbsp;</span><a class="xFAlBc" href="https://chuabenhthoatvidiadem.vn/cach-chua-benh/thuoc-dap-thoat-vi-dia-dem-tu-dap-thuoc-chua-tri-tai-nha-pid-102.html" ping="/url?sa=t&amp;source=web&amp;rct=j&amp;url=https://chuabenhthoatvidiadem.vn/cach-chua-benh/thuoc-dap-thoat-vi-dia-dem-tu-dap-thuoc-chua-tri-tai-nha-pid-102.html&amp;ved=2ahUKEwjZyrbkg9n3AhVTAqYKHb8hDVEQhAd6BAgeEAE" style="color: rgb(26, 13, 171); text-decoration-line: none; -webkit-tap-highlight-color: rgba(0, 0, 0, 0.1); overflow-wrap: break-word; word-break: break-word; outline: 0px; font-family: Roboto, HelveticaNeue, Arial, sans-serif; font-size: 14px;" title="">https://chuabenhthoatvidiadem.vn</a></p><p><span style="font-size:16px;">Tên miền quốc tế:&nbsp;</span><a title="" class="xFAlBc" font-size:="" helvetica="" href="https://thoatvidiadem.top/" ping="/url?sa=t&amp;source=web&amp;rct=j&amp;url=https://thoatvidiadem.top/&amp;ved=2ahUKEwjK5umq8PWGAxVbZ_UHHaL3Bo4QhAd6BAhLEAE&amp;opi=89978449" style="color: var(--JKqx2); -webkit-tap-highlight-color: rgba(0, 0, 0, 0.1); overflow-wrap: break-word; word-break: break-word; outline: 0px; font-family: Roboto, ">https://thoatvidiadem.top</a></p><p style="text-align: justify;"><span style="font-size:16px;">Tìm mua thuốc đặc trị thoát vị đĩa đệm ở đâu: 856/6 Quang Trung, Quận Gò vấp, TP.HCM</span></p><p><font color="#000000" face="RobotoSlab-Regular, Arial, Helvetica, sans-serif" style="box-sizing: border-box; margin: 0px; padding: 0px; border: 0px; outline: 0px; font-size: 16px; vertical-align: baseline; background-image: initial; background-position: initial; background-size: initial; background-repeat: initial; background-attachment: initial; background-origin: initial; background-clip: initial; max-width: 100%; color: rgb(0, 0, 0); font-family: RobotoSlab-Regular, Arial, Helvetica, sans-serif; text-align: justify;"><span style="box-sizing: border-box; margin: 0px; padding: 0px; border: 0px; outline: 0px; vertical-align: baseline; background: transparent; max-width: 100%;">Tìm đường đi rất dễ, bạn chỉ việc gõ địa chỉ trên thanh tìm kiếm;&nbsp;</span></font><span style="box-sizing: border-box; margin: 0px; padding: 0px; border: 0px; outline: 0px; font-size: 16px; vertical-align: baseline; background-image: initial; background-position: initial; background-size: initial; background-repeat: initial; background-attachment: initial; background-origin: initial; background-clip: initial; max-width: 100%; color: rgb(0, 0, 0); font-family: RobotoSlab-Regular, Arial, Helvetica, sans-serif; text-align: justify;">Google Map sẽ chỉ đường tới&nbsp;tận&nbsp;nơi:&nbsp;</span></p><p><span style="font-size:16px;">Gmail của Lương y Nguyễn Văn Minh: luongynguyenvanminh@gmail.com</span></p>]]></content:encoded>
						<wfw:commentRss></wfw:commentRss>
						<slash:comments>0</slash:comments>
					</item>
				
					<item>
						<title>Chữa bệnh thoát vị đĩa đệm ở đâu tốt</title>
						<link>https://chuabenhthoatvidiadem.vn/bai-viet/benh-thoat-vi-dia-dem/chua-benh-thoat-vi-dia-dem-o-dau-tot-pid-266.html</link>
						<comments></comments>
						<pubDate>Fri, 21 Jun 2019 11:00:58 +0700</pubDate>
						<dc:creator>admin</dc:creator>
						<category><![CDATA[Bệnh thoát vị đĩa đệm]]></category>
						<guid isPermaLink="false"></guid>
						<description><![CDATA[Chữa bệnh thoát vị đĩa đệm ở đâu tốt? Tìm hiểu trên mạng có rất nhiều nơi, nhiều địa phương có thầy thuốc chữa bệnh thoát vị đĩa đệm giỏi, như: Chữa thoát vị đĩa đệm ở Hà Nội, chữa thoát vị đĩa đệm ở Đà Nẵng, chữa thoát vị đĩa đệm ở Nghệ An, chữa thoát vị đĩa đệm ở Thanh Hóa, chữa thoát vị đĩa đệm ở Bắc Ninh, Bắc giang, Tiền Giang.v.v. Nhưng quyết định chữa thoát vị đĩa đệm ở đâu tốt, có uy tín thật không dễ với nhiều người.]]></description>
						<content:encoded><![CDATA[<p style="text-align: justify;"><span style="font-size:16px;">Chữa bệnh thoát vị đĩa đệm ở đâu tốt? <a data-ctbtn="0" data-cthref="/url?sa=t&amp;rct=j&amp;q=&amp;esrc=s&amp;source=web&amp;cd=&amp;ved=2ahUKEwifh83--IrtAhXRQN4KHQDBDYM4KBAWMAF6BAgEEAI&amp;url=https%3A%2F%2Fchuabenhthoatvidiadem.vn%2Fcach-chua-benh%2Fthoat-vi-dia-dem-co-chua-khoi-duoc-khong-pid-111.html&amp;usg=AOvVaw3g17-FN4ISskPugfjGaGAK" href="https://www.google.com.vn/url?sa=t&amp;rct=j&amp;q=&amp;esrc=s&amp;source=web&amp;cd=&amp;ved=2ahUKEwifh83--IrtAhXRQN4KHQDBDYM4KBAWMAF6BAgEEAI&amp;url=https%3A%2F%2Fchuabenhthoatvidiadem.vn%2Fcach-chua-benh%2Fthoat-vi-dia-dem-co-chua-khoi-duoc-khong-pid-111.html&amp;usg=AOvVaw3g17-FN4ISskPugfjGaGAK" rel="noopener" style="color: rgb(102, 0, 153); text-decoration-line: none; -webkit-tap-highlight-color: rgba(0, 0, 0, 0.1); font-family: arial, sans-serif; font-size: small;" target="_blank" title="">Thoát vị đĩa đệm </a>có chữa khỏi được không? Mua thuốc chữa thoát vị đĩa đệm ở đâu? Phòng khám đông y Bảo Minh có tốt không? Thầy thuốc không nên&nbsp;nhận mình chữa bệnh tốt, chữa bệnh giỏi, mà phải do người bệnh đánh giá! Mời bạn đọc nghe, xem những bài viết trên trang web này. Đây là những trường hợp&nbsp;<a href="https://chuabenhthoatvidiadem.vn/cach-chua-benh/trung-uong-hoi-dong-y-viet-nam-khen-tang-luong-y-nguyen-van-minh-pid-214.html" rel="noopener" style="color: rgb(102, 0, 153); text-decoration-line: none; -webkit-tap-highlight-color: rgba(0, 0, 0, 0.1); font-family: arial, sans-serif; font-size: small;" target="_blank" title="">Lương y Nguyễn Văn Minh</a>&nbsp;đã xin phép và được người bệnh đồng ý chia sẻ, giới thiệu.</span></p><p><span class="optimize-cls-iframe" data-src="https://www.youtube.com/embed/aRyWWAbNLq8">https://www.youtube.com/embed/aRyWWAbNLq8</span></p><p>Bạn đọc bấm vào video xem và cảm nhận.</p><p><span class="optimize-cls-iframe" data-src="https://www.youtube.com/embed/YdyRczpmrqg">https://www.youtube.com/embed/YdyRczpmrqg</span></p><p><span style="font-size:16px;">Chữa khỏi thoát vị đĩa đệm, người bệnh không ngại chia sẻ sự thật. Phòng khám xin trân trọng cảm ơn quý bệnh nhân, đã đồng ý cho ghi lại những nội dung chân thực này.</span></p><p><span class="optimize-cls-iframe" data-src="https://www.youtube.com/embed/cGCJvyQX0iw">https://www.youtube.com/embed/cGCJvyQX0iw</span></p><h4 style="text-align: justify;"><span style="font-size:16px;">Bạn đang xem&nbsp;Video clip quay tại phòng khám đông y Bảo Minh, phòng khám do Lương y Nguyễn Văn Minh trực tiếp khám bệnh, kê đơn thuốc trị thoát vị đĩa đệm.</span></h4><p><span style="font-size:16px;">Xem thêm;&nbsp;<a data-ctbtn="0" data-cthref="/url?sa=t&amp;rct=j&amp;q=&amp;esrc=s&amp;source=web&amp;cd=&amp;ved=2ahUKEwiM6sqc-IrtAhUUUd4KHQV2D5A4FBAWMAR6BAgEEAI&amp;url=https%3A%2F%2Fchuabenhthoatvidiadem.vn%2Fcach-chua-benh%2Fcach-chua-thoat-vi-dia-dem-tai-nha-pid-274.html&amp;usg=AOvVaw1-IiwGTrgfGxqRxcYf-5zH" href="https://www.google.com.vn/url?sa=t&amp;rct=j&amp;q=&amp;esrc=s&amp;source=web&amp;cd=&amp;ved=2ahUKEwiM6sqc-IrtAhUUUd4KHQV2D5A4FBAWMAR6BAgEEAI&amp;url=https%3A%2F%2Fchuabenhthoatvidiadem.vn%2Fcach-chua-benh%2Fcach-chua-thoat-vi-dia-dem-tai-nha-pid-274.html&amp;usg=AOvVaw1-IiwGTrgfGxqRxcYf-5zH" rel="noopener" style="color: rgb(102, 0, 153); -webkit-tap-highlight-color: rgba(0, 0, 0, 0.1); font-family: arial, sans-serif; font-size: small;" target="_blank" title="">Cách chữa thoát vị đĩa đệm ngay tại nhà</a></span></p><p><span style="font-size:16px;"><img loading="lazy" alt="Hốt thuốc chữa thoát vị đĩa đệm ở phòng khám đông y Bảo Minh" src="data:image/gif;base64,R0lGODlhAQABAID/AP///wAAACwAAAAAAQABAAACAkQBADs=" data-src="https://chuabenhthoatvidiadem.vn/resources/images/thuoc-dong-y.jpg" style="width: 750px; height: 366px;" class="lazy" width="921" height="518" data-optimized="1" /></span></p><h3><span style="font-size:14px;"><em>Hốt thuốc chữa thoát vị đĩa đệm&nbsp;Tại phòng khám đông y Bảo Minh.</em></span></h3><h3 style="text-align: justify;"><span style="font-size:16px;">Chữa thoát vị đĩa đệm ở phòng khám đông y Bảo Minh được nhiều người mách tới chữa, đây là phòng khám chuyên sâu chữa bệnh thoát vị đĩa đệm. Bạn đọc có thể tham khảo thêm tại đây:&nbsp;</span><a href="https://www.youtube.com/channel/UCMrl47bRL4MgAguyRi48mEw" rel="noopener" style="color: rgb(102, 0, 153); cursor: pointer; text-decoration-line: none; font-family: arial, sans-serif; font-size: small;" target="_blank" title="">Lương y Nguyễn Văn Minh - YouTube</a></h3><p><span style="font-size:16px;">Địa chỉ phòng khám đông y Bảo Minh:&nbsp;&nbsp;856/6 Đường Quang Trung, Quận Gò Vấp, TP&nbsp;HCM</span></p><p><span style="font-size:16px;">Google Map chỉ đường:</span></p><p><span style="font-size:16px;">&nbsp;</span><a href="https://thoatvidiademcotsong.business.site/?utm_source=gmb&amp;utm_medium=referral" title="">thoatvidiadem cotsong</a></p><p><span style="font-size:16px;">Gọi Zalo thầy thuốc&nbsp;tư vấn miễn phí cách chữa bệnh: 0913503552. ĐT cố định; 028.62951367.</span></p><p><span style="font-size:16px;">Trang web giới thiệu cách chữa bệnh&nbsp;:</span></p><p style="text-align: justify;"><span style="font-size:16px;">thoatvidiadem.top và chuabenhthoatvidiadem.vn</span></p><p style="text-align: justify;"><span style="font-size:16px;">Lưu ý: Thuốc chữa thoát vị đĩa đệm có tác dụng nhanh/ chậm, tùy theo bệnh mỗi nguời</span></p><p style="text-align: justify;"><span style="background-color: transparent; font-size: 16px; color: rgb(0, 0, 0); font-family: RobotoSlab-Regular, Arial, Helvetica, sans-serif;">Lương y Nguyễn Văn Minh chữa thoát vị đĩa đệm, được cập nhật liên tục tại trang web::</span></p><h3 class="r" style="box-sizing: border-box; margin: 0px; padding: 0px; border: 0px; outline: 0px; font-size: 18px; vertical-align: baseline; background-image: initial; background-position: initial; background-size: initial; background-repeat: initial; background-attachment: initial; background-origin: initial; background-clip: initial; font-family: RobotoSlab-Regular, Arial, Helvetica, sans-serif; line-height: 1.1; color: rgb(0, 0, 0); max-width: 100%; overflow: hidden; text-overflow: ellipsis; white-space: nowrap;"><a href="https://chuabenhthoatvidiadem.vn/" style="box-sizing: border-box; margin: 0px; padding: 0px; border: 0px; outline: 0px; vertical-align: baseline; background: transparent; color: rgb(102, 0, 153); text-decoration-line: none; transition: all 406ms ease-out 0s; max-width: 100%; cursor: pointer;" target="_blank" title="">Thuốc Đặc Trị&nbsp;Thoát Vị Đĩa Đệm</a></h3><div class="s" style="box-sizing: border-box; margin: 0px; padding: 0px; border: 0px; outline: 0px; font-size: 16px; vertical-align: baseline; background-image: initial; background-position: initial; background-size: initial; background-repeat: initial; background-attachment: initial; background-origin: initial; background-clip: initial; position: relative; max-width: 48em; font-family: RobotoSlab-Regular, Arial, Helvetica, sans-serif; color: rgb(84, 84, 84); line-height: 18px;"><div class="f kv _SWb" style="box-sizing: border-box; margin: 0px; padding: 0px; border: 0px; outline: 0px; font-size: small; vertical-align: baseline; background: transparent; position: relative; max-width: 100%; color: rgb(128, 128, 128); height: 18px; line-height: 16px; font-family: arial, sans-serif; white-space: nowrap;"><cite class="_Rm" style="box-sizing: border-box; margin: 0px; padding: 0px; border: 0px; outline: 0px; font-size: 14px; vertical-align: baseline; background: transparent; max-width: 100%; color: rgb(0, 102, 33); font-style: normal;">Thuocdactrithoatvidiadem</cite></div></div>]]></content:encoded>
						<wfw:commentRss></wfw:commentRss>
						<slash:comments>0</slash:comments>
					</item>
				
					<item>
						<title>Chia sẻ kinh nghiệm chữa bệnh thoát vị đĩa đệm</title>
						<link>https://chuabenhthoatvidiadem.vn/bai-viet/luong-y-chua-thoat-vi-dia-dem-o-tp-hcm/chia-se-kinh-nghiem-chua-benh-thoat-vi-dia-dem-pid-240.html</link>
						<comments></comments>
						<pubDate>Mon, 10 Dec 2018 09:15:23 +0700</pubDate>
						<dc:creator>admin</dc:creator>
						<category><![CDATA[Lương y chữa thoát vị đĩa đệm ở TP.HCM]]></category>
						<guid isPermaLink="false"></guid>
						<description><![CDATA[Người bệnh chia sẻ kinh nghiệm chữa thoát vị đĩa đệm. Đây là những kinh nghiệm chữa thoát vị đĩa đệm của rất nhiều người, khi họ tới khám chữa bệnh kể lại. Lương y Nguyễn Văn Minh ghi chép lại rồi viết ra đây, hy vọng giúp ích về sau cho những người bị bệnh đĩa đệm cột sống và người thân của họ, có thêm thông tin để trị bệnh một cách tốt nhất.]]></description>
						<content:encoded><![CDATA[<p style="text-align: justify;"><em style="text-align: justify;"><span style="font-size:18px;">Khi tới phòng khám đông y Bảo Minh chữa bệnh đĩa đệm cột sống, rất nhiều người kể: &quot;Tôi đã&nbsp;uống thuốc nhiều nơi, sợ nhất là thuốc uống vào giảm đau ngay, ngưng thuốc lại bị đau như cũ&quot; Hoặc có người kể: &quot;Nếu uống thuốc vào mà thấy thèm ăn, thèm ngủ là tôi ngưng liền&quot;. Lại có người nói: &quot; ở chỗ tôi nhiều người mua thuốc nhức về uống, bị giữ nước mập lên hàng chục ký&quot;.v.v.&nbsp;</span></em><em style="text-align: justify;"><span style="font-size:18px;">Lương y Nguyễn Văn Minh ghi chép lại rồi viết ra đây, mong muốn&nbsp;có thêm thông tin để tham khảo.</span></em></p><h2 style="text-align: justify;"><span style="font-size:16px;">Các chuyên gia hàng đầu về đông y đều&nbsp;khẳng định: Thuốc đông y chữa thoát vị đĩa đệm, thoái hóa cột sống, gai cột sống, đau cột sống...&nbsp;không thể nào bớt đau&nbsp;nhanh được, chỉ có thuốc tây&nbsp;mới&nbsp;giảm đau&nbsp;một cách nhanh chóng. Thuốc đông y chữa nhanh&nbsp;nhất&nbsp;chính là thuốc thang, nhưng thời gian&nbsp;để ngấm thuốc làm&nbsp;bớt đau, bớt&nbsp;nhức cũng phải sau vài ngày sử dụng. Còn các loại thuốc đông y như: Thuốc viên, thuốc bột, thuốc tán, thuốc tễ, thuốc cao.v.v. thì càng không thể, nếu những loại thuốc này uống vào 1-2 ngày đã thấy khỏe và cảm thấy như hết bệnh thì cần phải thận trọng. Rất có thể trong đó có thuốc giảm đau, những hoạt chất trộn trong đó khi uống vào sẽ giảm đau nhanh chóng, người bệnh có cảm giác&nbsp;ăn ngon miệng, hay buồn&nbsp;ngủ, mập lên rất nhanh, khi ngưng không uống thuốc&nbsp;thì thấy&nbsp;đau lại&nbsp;y như cũ.&nbsp;Những loại thuốc trên&nbsp;thường được rao&nbsp;bán khắp nơi, giá thuốc lại rẻ ,&nbsp;mua bán&nbsp;không cần có&nbsp;đơn của bác sĩ, không cần khám bệnh, dễ mua nên được&nbsp;nhiều người mua về uống. Để tránh những tác dụng phụ của những loại thuốc&nbsp;này gây nên, người bệnh nên&nbsp;đến những phòng khám&nbsp;có uy tín, thầy thuốc chuyên khoa&nbsp;để khám và&nbsp;mua thuốc uống cho đảm bảo.</span></h2><p><span style="font-size:16px;"><img loading="lazy" alt="Kinh nghiệm chữa thoát vị đĩa đệm" src="data:image/gif;base64,R0lGODlhAQABAID/AP///wAAACwAAAAAAQABAAACAkQBADs=" data-src="https://chuabenhthoatvidiadem.vn/resources/images/20181211_093847.jpg" style="width: 850px; height: 556px;" class="lazy" width="640" height="418" data-optimized="1" /><span style="font-size:14px;"><em>Giấy phép đủ điều kiện khám bệnh, chữa bệnh bằng y học cổ truyền&nbsp;của lương y Nguyễn Văn Minh</em></span></span></p><p style="text-align: justify;"><span style="font-size:16px;">Kinh nghiệm của nhiều người cho biết; Chỉ đi chữa bệnh ở những phòng khám có đủ giấy phép khám chữa bệnh, thầy thuốc&nbsp;chuyên khoa giỏi, chữa bệnh có uy tín, niêm yết giá thuốc chữa bệnh công khai, đầy đủ.</span></p><p><span style="font-size:16px;"><span style="font-size:14px;"><em><img loading="lazy" alt="Hội Đông Y TP. HCM khen tặng lương y Nguyễn Văn Minh" src="data:image/gif;base64,R0lGODlhAQABAID/AP///wAAACwAAAAAAQABAAACAkQBADs=" data-src="https://chuabenhthoatvidiadem.vn/resources/images/Giấy khen.jpg" style="width: 800px; height: 621px;" class="lazy" width="1546" height="1200" data-optimized="1" /></em></span></span></p><p><span style="font-size:16px;">Thông tin chữa khỏi bệnh thoát vị đĩa đệm một cách an toàn, không có tác dụng phụ, người bệnh đồng ý&nbsp;chia sẻ&nbsp; kinh nghiệm, địa chỉ, kết quả chụp cộng hưởng từ ở đây;</span></p><p><span style="font-size:16px;">Tôi,&nbsp;</span><a data-ved="2ahUKEwjY_K3LhuPtAhWZbN4KHcA8BEAQFjAEegQIDRAC" href="https://www.youtube.com/channel/UCMrl47bRL4MgAguyRi48mEw" rel="noopener" style="color: rgb(102, 0, 153); text-align: justify; text-decoration-line: none; -webkit-tap-highlight-color: rgba(0, 0, 0, 0.1); font-family: arial, sans-serif; font-size: small;" target="_blank" title="">Lương y Nguyễn Văn Minh&nbsp;</a><span style="font-size:16px;">xin chân thành cảm ơn anh Phạm Ngọc Hùng ở Bình Dương, đã đồng ý cho chia sẻ kết quả MRI của anh.</span></p><p><span style="font-size:16px;"><img loading="lazy" alt="Thoát vị đĩa đệm" src="data:image/gif;base64,R0lGODlhAQABAID/AP///wAAACwAAAAAAQABAAACAkQBADs=" data-src="https://chuabenhthoatvidiadem.vn/resources/images/thoatvidiadem(2).jpg" style="width: 819px; height: 1085px;" class="lazy" width="819" height="1085" data-optimized="1" />Tôi đã xin phép và được anh Phạm Ngọc Hùng đồng ý cho ghi lại cuộc nói chuyện, mời bạn đọc bấm vào xem anh Hùng kể về kinh nghiệm chữa thoát vị đĩa đệm như thế nào!</span></p><p><iframe frameborder="0" height="310" longdesc="Kinh nghiệm chữa thoát vị đĩa đệm" name="Thoát vị đĩa đệm" scrolling="no" src="https://www.youtube.com/embed/YdyRczpmrqg" title="Thuốc thoát vị đĩa đệm" width="550"></iframe></p><p style="text-align: justify;"><em><span style="font-size:14px;">Rất nhiều người khỏi bệnh muốn chia sẻ kinh nghiệm chữa thoát vị đĩa đệm, tôi chỉ ghi lại hình ảnh, bệnh án, địa chỉ sau khi đã xin phép và được sự đồng ý của quý bệnh nhân, tôi coi đây là niềm động viên khích lệ tôi chữa bệnh tốt hơn nữa.</span></em></p><p style="text-align: justify;"><span style="font-size:16px;">Tôi,&nbsp;<a data-ved="2ahUKEwjY_K3LhuPtAhWZbN4KHcA8BEAQFjAEegQIDRAC" href="https://www.youtube.com/channel/UCMrl47bRL4MgAguyRi48mEw" rel="noopener" style="color: rgb(102, 0, 153); text-decoration-line: none; -webkit-tap-highlight-color: rgba(0, 0, 0, 0.1); font-family: arial, sans-serif; font-size: small;" target="_blank" title="">Lương y Nguyễn Văn Minh&nbsp;</a>chân thành cảm ơn chị Võ Thị Thu Hiền, đã đồng ý cho chia sẻ kinh nghiệm chữa thoát vị đĩa đệm của chị ở trang web này.</span></p><p style="text-align: justify;"><img loading="lazy" alt="Hình ảnh thoát vị đĩa đệm " src="data:image/gif;base64,R0lGODlhAQABAID/AP///wAAACwAAAAAAQABAAACAkQBADs=" data-src="https://chuabenhthoatvidiadem.vn/resources/images/Hình ảnh thoát vị đĩa đệm(1).jpg" style="width: 756px; height: 1008px;" class="lazy" width="756" height="1008" data-optimized="1" /></p><p style="text-align: justify;"><span style="font-size:16px;">Bạn đọc bấm vào nút bên dưới để nghe chị Hiền thông báo đã khỏi bệnh được hơn 3 năm, đã đi làm được hơn 1 năm. Đây là nội dung rất chân thật giữa thầy thuốc và người bệnh.</span></p><p><a href="https://chuabenhthoatvidiadem.vn/resources/files/Thoatvidiadem Vo Thu Hien Tra Vinh.mp3" title="">Chữa thoát vị đĩa đêm</a></p><p><span style="font-size:16px;"><img loading="lazy" alt="Thoát vị đĩa đệm tầng L4/L5" src="data:image/gif;base64,R0lGODlhAQABAID/AP///wAAACwAAAAAAQABAAACAkQBADs=" data-src="https://chuabenhthoatvidiadem.vn/resources/images/Thoat vi dia dem (2).jpg" style="width: 661px; height: 842px;" class="lazy" width="661" height="842" data-optimized="1" /></span></p><p style="text-align: justify;"><span style="font-size:14px;"><em>Đây là kết luận chụp MRI bệnh viện Chợ Rẫy của chị Hiền tháng 5 năm 2017. Đến tháng 12 năm 2020 có cuộc nói chuyện trên, bạn đọc nghe hết sẽ thấy chị Hiền chia sẻ địa chỉ và số điện thoại.</em></span></p><p style="box-sizing: border-box; margin: 0px 0px 10px; padding: 0px; border: 0px; outline: 0px; font-size: 16px; vertical-align: baseline; background-image: initial; background-position: initial; background-size: initial; background-repeat: initial; background-attachment: initial; background-origin: initial; background-clip: initial; max-width: 100%; color: rgb(0, 0, 0); font-family: RobotoSlab-Regular, Arial, Helvetica, sans-serif; text-align: justify;"><span style="box-sizing: border-box; margin: 0px; padding: 0px; border: 0px; outline: 0px; vertical-align: baseline; background: transparent; max-width: 100%;"><a href="https://chuabenhthoatvidiadem.vn/cach-chua-benh/luong-y-minh-chua-thoat-vi-dia-dem-cho-anh-ut-khoi-benh-gan-nam-nay-pid-22.html" style="box-sizing: border-box; margin: 0px; padding: 0px; border: 0px; outline: 0px; vertical-align: baseline; background: transparent; color: rgb(102, 0, 153); text-decoration-line: none; transition: all 406ms ease-out 0s; max-width: 100%; cursor: pointer;" target="_blank" title="">Trị&nbsp;thoát vị đĩa đệm L3/4,&nbsp;L4/5 hết&nbsp;bệnh chi phí thấp&nbsp;</a></span></p><p style="box-sizing: border-box; margin: 0px 0px 10px; padding: 0px; border: 0px; outline: 0px; font-size: 16px; vertical-align: baseline; background-image: initial; background-position: initial; background-size: initial; background-repeat: initial; background-attachment: initial; background-origin: initial; background-clip: initial; max-width: 100%; color: rgb(0, 0, 0); font-family: RobotoSlab-Regular, Arial, Helvetica, sans-serif; text-align: justify;"><a data-="" href="https://www.google.com.vn/url?sa=t&amp;rct=j&amp;q=&amp;esrc=s&amp;source=web&amp;cd=50&amp;ved=0ahUKEwjC1tTM87_WAhWJQ48KHXSdD844KBAWCFcwCQ&amp;url=http%3A%2F%2Fchuabenhthoatvidiadem.vn%2Fcach-chua-benh%2Fchua-thoat-vi-dia-dem-cot-song-that-lung-khoi-han-khong-phai-mo-pid-74.html&amp;usg=AFQjCNFk9PpHY6F1eywkYl16lBbVUnyCtA" style="box-sizing: border-box; margin: 0px; padding: 0px; border: 0px; outline: 0px; vertical-align: baseline; background: transparent; color: rgb(102, 0, 153); text-decoration-line: none; transition: all 406ms ease-out 0s; max-width: 100%; cursor: pointer;" target="_blank" title="">Thoát vị đĩa đệm&nbsp;có chữa được không?&nbsp;chữa ở đâu&nbsp;để yên tâm</a></p><p style="box-sizing: border-box; margin: 0px 0px 10px; padding: 0px; border: 0px; outline: 0px; font-size: 16px; vertical-align: baseline; background-image: initial; background-position: initial; background-size: initial; background-repeat: initial; background-attachment: initial; background-origin: initial; background-clip: initial; max-width: 100%; color: rgb(0, 0, 0); font-family: RobotoSlab-Regular, Arial, Helvetica, sans-serif; text-align: justify;"><span style="box-sizing: border-box; margin: 0px; padding: 0px; border: 0px; outline: 0px; vertical-align: baseline; background: transparent; max-width: 100%;"><a href="https://chuabenhthoatvidiadem.vn/cach-chua-benh/dau-vai-gay-hoi-tham-bac-cuc-chua-benh-cach-nay-gan-2-nam-pid-32.html" style="box-sizing: border-box; margin: 0px; padding: 0px; border: 0px; outline: 0px; vertical-align: baseline; background: transparent; color: rgb(102, 0, 153); text-decoration-line: none; transition: all 406ms ease-out 0s; max-width: 100%; cursor: pointer;" target="_blank" title="">Thoát vị đĩa đệm&nbsp;cổ,&nbsp;khỏi bệnh&nbsp;2 năm hỏi thăm không đau&nbsp;lại</a></span></p><p style="box-sizing: border-box; margin: 0px 0px 10px; padding: 0px; border: 0px; outline: 0px; font-size: 16px; vertical-align: baseline; background-image: initial; background-position: initial; background-size: initial; background-repeat: initial; background-attachment: initial; background-origin: initial; background-clip: initial; max-width: 100%; color: rgb(0, 0, 0); font-family: RobotoSlab-Regular, Arial, Helvetica, sans-serif; text-align: justify;"><span style="box-sizing: border-box; margin: 0px; padding: 0px; border: 0px; outline: 0px; vertical-align: baseline; background: transparent; max-width: 100%;"><a href="https://chuabenhthoatvidiadem.vn/cach-chua-benh/khoi-thoat-vi-dia-dem-cot-song-that-lung-sau-hon-1-thang-dieu-tri-pid-37.html" style="box-sizing: border-box; margin: 0px; padding: 0px; border: 0px; outline: 0px; vertical-align: baseline; background: transparent; color: rgb(102, 0, 153); text-decoration-line: none; transition: all 406ms ease-out 0s; max-width: 100%; cursor: pointer;" target="_blank" title="">Thoát vị đĩa đệm chữa như thế nào, tham khảo ngay</a></span></p><p style="box-sizing: border-box; margin: 0px 0px 10px; padding: 0px; border: 0px; outline: 0px; font-size: 16px; vertical-align: baseline; background-image: initial; background-position: initial; background-size: initial; background-repeat: initial; background-attachment: initial; background-origin: initial; background-clip: initial; max-width: 100%; color: rgb(0, 0, 0); font-family: RobotoSlab-Regular, Arial, Helvetica, sans-serif; text-align: justify;"><span style="box-sizing: border-box; margin: 0px; padding: 0px; border: 0px; outline: 0px; vertical-align: baseline; background: transparent; max-width: 100%;"><a href="https://chuabenhthoatvidiadem.vn/cach-chua-benh/benh-thoat-vi-dia-dem-cot-song-co-nhieu-tang-co-chua-duoc-khong-pid-68.html" style="box-sizing: border-box; margin: 0px; padding: 0px; border: 0px; outline: 0px; vertical-align: baseline; background: transparent; color: rgb(102, 0, 153); text-decoration-line: none; transition: all 406ms ease-out 0s; max-width: 100%; cursor: pointer;" target="_blank" title="">Thoát vị đĩa đệm&nbsp;có nguy hiểm&nbsp;không ? chữa ở đâu tốt</a></span></p><p style="box-sizing: border-box; margin: 0px 0px 10px; padding: 0px; border: 0px; outline: 0px; font-size: 16px; vertical-align: baseline; background-image: initial; background-position: initial; background-size: initial; background-repeat: initial; background-attachment: initial; background-origin: initial; background-clip: initial; max-width: 100%; color: rgb(0, 0, 0); font-family: RobotoSlab-Regular, Arial, Helvetica, sans-serif; text-align: justify;"><span style="box-sizing: border-box; margin: 0px; padding: 0px; border: 0px; outline: 0px; vertical-align: baseline; background: transparent; max-width: 100%;"><a data-="" href="https://www.google.com.vn/url?sa=t&amp;rct=j&amp;q=&amp;esrc=s&amp;source=web&amp;cd=58&amp;ved=0ahUKEwiU6vPloMDWAhUhR48KHW8fDRU4MhAWCEswBw&amp;url=http%3A%2F%2Fchuabenhthoatvidiadem.vn%2Fcach-chua-benh%2Fchi-van-o-quan-1-tp-hcm-khoi-thoat-vi-dia-dem-khong-tai-phat--pid-19.html&amp;usg=AFQjCNHlxgVc0VzmW40gI062yVtq8A3r_A" style="box-sizing: border-box; margin: 0px; padding: 0px; border: 0px; outline: 0px; vertical-align: baseline; background: transparent; color: rgb(102, 0, 153); text-decoration-line: none; transition: all 406ms ease-out 0s; max-width: 100%; cursor: pointer;" target="_blank" title="">Thoát vị đĩa đệm có chữa được không?</a></span></p><p style="box-sizing: border-box; margin: 0px 0px 10px; padding: 0px; border: 0px; outline: 0px; font-size: 16px; vertical-align: baseline; background-image: initial; background-position: initial; background-size: initial; background-repeat: initial; background-attachment: initial; background-origin: initial; background-clip: initial; max-width: 100%; color: rgb(0, 0, 0); font-family: RobotoSlab-Regular, Arial, Helvetica, sans-serif; text-align: justify;"><span style="box-sizing: border-box; margin: 0px; padding: 0px; border: 0px; outline: 0px; vertical-align: baseline; background: transparent; max-width: 100%;"><a href="https://chuabenhthoatvidiadem.vn/cach-chua-benh/nho-thay-ma-toi-khong-phai-mo-thoat-vi-dia-dem-hay-nghe-benh-nhan-cu-phat-bieu-pid-41.html" style="box-sizing: border-box; margin: 0px; padding: 0px; border: 0px; outline: 0px; vertical-align: baseline; background: transparent; color: rgb(102, 0, 153); text-decoration-line: none; transition: all 406ms ease-out 0s; max-width: 100%; cursor: pointer;" target="_blank" title="">Mổ&nbsp;thoát vị đĩa đệm, trước khi mổ hãy tham khảo</a></span></p><p style="box-sizing: border-box; margin: 0px 0px 10px; padding: 0px; border: 0px; outline: 0px; font-size: 16px; vertical-align: baseline; background-image: initial; background-position: initial; background-size: initial; background-repeat: initial; background-attachment: initial; background-origin: initial; background-clip: initial; max-width: 100%; color: rgb(0, 0, 0); font-family: RobotoSlab-Regular, Arial, Helvetica, sans-serif; text-align: justify;"><span style="box-sizing: border-box; margin: 0px; padding: 0px; border: 0px; outline: 0px; vertical-align: baseline; background: transparent; max-width: 100%;"><a href="https://chuabenhthoatvidiadem.vn/cach-chua-benh/anh-hoang-khoi-dau-nhuc-ba-vai-te-cach-tay-do-thoat-vi-dia-dem-cot-song-co-pid-7.html" style="box-sizing: border-box; margin: 0px; padding: 0px; border: 0px; outline: 0px; vertical-align: baseline; background: transparent; color: rgb(102, 0, 153); text-decoration-line: none; transition: all 406ms ease-out 0s; max-width: 100%; cursor: pointer;" target="_blank" title="">Thoát vị đĩa đệm&nbsp;cổ gây đau vai gáy, &nbsp;người&nbsp;bệnh gọi điện&nbsp;cảm ơn</a></span></p><p style="box-sizing: border-box; margin: 0px 0px 10px; padding: 0px; border: 0px; outline: 0px; font-size: 16px; vertical-align: baseline; background-image: initial; background-position: initial; background-size: initial; background-repeat: initial; background-attachment: initial; background-origin: initial; background-clip: initial; max-width: 100%; color: rgb(0, 0, 0); font-family: RobotoSlab-Regular, Arial, Helvetica, sans-serif; text-align: justify;"><span style="box-sizing: border-box; margin: 0px; padding: 0px; border: 0px; outline: 0px; vertical-align: baseline; background: transparent; max-width: 100%;"><a href="https://chuabenhthoatvidiadem.vn/cach-chua-benh/chup-mri-cot-song-that-lung-thoat-vi-dia-dem-l5-s1-ra-sau-5mm-chen-ep-re-than-kinh-dieu-tri-30-ngay-khoi-han-pid-97.html" style="box-sizing: border-box; margin: 0px; padding: 0px; border: 0px; outline: 0px; vertical-align: baseline; background: transparent; color: rgb(102, 0, 153); text-decoration-line: none; transition: all 406ms ease-out 0s; max-width: 100%; cursor: pointer;" target="_blank" title="">Chữa khỏi hẳn thoát vị đĩa đệm L5/S1, chị Nga chia sẻ địa chỉ</a></span></p><div class="block-rating" style="box-sizing: border-box; margin: 0px; padding: 0px; border: 0px; outline: 0px; font-size: 16px; vertical-align: baseline; background-image: initial; background-position: initial; background-size: initial; background-repeat: initial; background-attachment: initial; background-origin: initial; background-clip: initial; position: relative; float: none; clear: both; max-width: 100%; color: rgb(0, 0, 0); font-family: RobotoSlab-Regular, Arial, Helvetica, sans-serif;"><div class="clearfix" style="box-sizing: border-box; margin: 0px; padding: 0px; border: 0px; outline: 0px; vertical-align: baseline; background: transparent; display: inline-block; position: relative; max-width: 100%;"><p style="box-sizing: border-box; margin: 0px 0px 10px; padding: 0px; border: 0px; outline: 0px; font-size: 16px; vertical-align: baseline; background-image: initial; background-position: initial; background-size: initial; background-repeat: initial; background-attachment: initial; background-origin: initial; background-clip: initial; max-width: 100%; color: rgb(0, 0, 0); font-family: RobotoSlab-Regular, Arial, Helvetica, sans-serif;"><span style="box-sizing: border-box; margin: 0px; padding: 0px; border: 0px; outline: 0px; vertical-align: baseline; background: transparent; max-width: 100%;"><a href="https://chuabenhthoatvidiadem.vn/tag/Thuốc+chữa+thoát+vị+đĩa+đệm/?start=10" style="box-sizing: border-box; margin: 0px; padding: 0px; border: 0px; outline: 0px; vertical-align: baseline; background: transparent; color: rgb(102, 0, 153); text-decoration-line: none; transition: all 406ms ease-out 0s; max-width: 100%; cursor: pointer;" target="_blank" title="">Bác Tâm ở Củ Chi, TP.HCM khen ngợi bài thuốc</a></span></p><p class="r" style="box-sizing: border-box; margin: 0px; padding: 0px; border: 0px; outline: 0px; font-size: 18px; vertical-align: baseline; background-image: initial; background-position: initial; background-size: initial; background-repeat: initial; background-attachment: initial; background-origin: initial; background-clip: initial; max-width: 100%; overflow: hidden; text-overflow: ellipsis; white-space: nowrap; color: rgb(34, 34, 34); font-family: arial, sans-serif;"><span style="box-sizing: border-box; margin: 0px; padding: 0px; border: 0px; outline: 0px; font-size: 16px; vertical-align: baseline; background: transparent; max-width: 100%;"><a href="https://chuabenhthoatvidiadem.vn/cach-chua-benh/thoat-vi-dia-dem-that-lung-toi-9mm-co-chua-duoc-khong-pid-208.html" style="box-sizing: border-box; margin: 0px; padding: 0px; border: 0px; outline: 0px; vertical-align: baseline; background: transparent; color: rgb(102, 0, 153); text-decoration-line: none; transition: all 406ms ease-out 0s; max-width: 100%; cursor: pointer;" target="_blank" title="">Thoát vị đĩa đệm nặng, chữa khỏi thật may mắn</a></span></p></div></div><p class="LC20lb" style="margin: 0px; padding: 0px; display: inline-block;"><a data-ctbtn="0" data-cthref="/url?sa=t&amp;rct=j&amp;q=&amp;esrc=s&amp;source=web&amp;cd=126&amp;ved=2ahUKEwiCkYbu65bfAhUXZt4KHWw_BJA4eBAWMAV6BAgEEAE&amp;url=http%3A%2F%2Fchuabenhthoatvidiadem.vn%2Fcach-chua-benh%2Fluong-y-minh-chua-thoat-vi-dia-dem-cho-anh-ut-khoi-benh-gan-nam-nay-pid-22.html&amp;usg=AOvVaw0KComaltyLT-8E_MJxh8e5" href="https://www.google.com.vn/url?sa=t&amp;rct=j&amp;q=&amp;esrc=s&amp;source=web&amp;cd=126&amp;ved=2ahUKEwiCkYbu65bfAhUXZt4KHWw_BJA4eBAWMAV6BAgEEAE&amp;url=http%3A%2F%2Fchuabenhthoatvidiadem.vn%2Fcach-chua-benh%2Fluong-y-minh-chua-thoat-vi-dia-dem-cho-anh-ut-khoi-benh-gan-nam-nay-pid-22.html&amp;usg=AOvVaw0KComaltyLT-8E_MJxh8e5" style="font-size: small; color: rgb(102, 0, 153); cursor: pointer; text-decoration-line: none; font-family: arial, sans-serif;" target="_blank" title="">&nbsp;Em khỏi bệnh có giới thiệu mấy&nbsp;người lên thầy chữa đấy &nbsp;</a><font size="2">&nbsp; &nbsp; &nbsp; &nbsp; &nbsp; &nbsp; &nbsp; &nbsp; &nbsp; &nbsp; &nbsp; &nbsp; &nbsp; &nbsp;</font></p><p class="LC20lb" style="font-size: 18px; margin: 0px; padding: 0px; display: inline-block;"><span style="font-size:16px;">&nbsp;</span></p><p class="LC20lb" style="font-size: 18px; margin: 0px; padding: 0px; display: inline-block;"><span style="font-size:16px;">&nbsp; &nbsp; </span></p><p class="LC20lb" style="font-size: 18px; margin: 0px; padding: 0px; display: inline-block;">&nbsp;</p><p class="LC20lb" style="font-size: 18px; margin: 0px; padding: 0px; display: inline-block;">&nbsp;</p><p class="LC20lb" style="font-size: 18px; margin: 0px; padding: 0px; display: inline-block;">&nbsp;</p><p class="LC20lb" style="font-size: 18px; margin: 0px; padding: 0px; display: inline-block;">&nbsp;</p><p class="LC20lb" style="font-size: 18px; margin: 0px; padding: 0px; display: inline-block;">&nbsp;</p><p class="LC20lb" style="font-size: 18px; margin: 0px; padding: 0px; display: inline-block;"><span style="font-size:16px;">&nbsp;&nbsp;</span></p><p class="LC20lb" style="font-size: 18px; margin: 0px; padding: 0px; display: inline-block;"><span style="font-size:16px;">&nbsp;<a href="https://chuabenhthoatvidiadem.vn/cach-chua-benh/thuoc-chua-thoat-vi-dia-dem-toi-uong-20-thang-het-dau-roi-thay-pid-127.html" style="color: rgb(102, 0, 153); cursor: pointer; text-decoration-line: none; font-family: arial, sans-serif; font-size: small;" target="_blank" title="">Người bệnh kể: &quot;em uống 20 thang hết đau rồi thầy</a>&quot;</span></p><p><span style="font-size:16px;"><a href="https://chuabenhthoatvidiadem.vn/cach-chua-benh/thoat-vi-dia-dem-thoai-hoa-cot-song-that-lung-uong-thuoc-gi-tot-pid-209.html" style="color: rgb(102, 0, 153); cursor: pointer; text-decoration-line: none; font-family: arial, sans-serif; font-size: small;" target="_blank" title="">&nbsp;Em thấy đỡ, giới thiệu bạn em lên thầy trị&nbsp;thoát vị đĩa đệm</a></span></p><p class="LC20lb" style="font-size: 18px; margin: 0px; padding: 0px; display: inline-block;"><span style="font-size:16px;"><a href="https://chuabenhthoatvidiadem.vn/cach-chua-benh/benh-thoat-vi-dia-dem-cot-song-co-nhieu-tang-co-chua-duoc-khong-pid-68.html" style="color: rgb(102, 0, 153); cursor: pointer; text-decoration-line: none; font-family: arial, sans-serif; font-size: small;" target="_blank" title="">Em bớt nhiều rồi thầy ơi, cổ em không còn cứng nữa</a></span></p><p class="LC20lb" style="font-size: 18px; margin: 0px; padding: 0px; display: inline-block;">&nbsp;</p><p class="LC20lb" style="font-size: 18px; margin: 0px; padding: 0px; display: inline-block;">&nbsp;</p><p class="LC20lb" style="font-size: 18px; margin: 0px; padding: 0px; display: inline-block;">&nbsp;</p><p class="LC20lb" style="font-size: 18px; margin: 0px; padding: 0px; display: inline-block;">&nbsp;</p><p class="LC20lb" style="font-size: 18px; margin: 0px; padding: 0px; display: inline-block;">&nbsp;</p><p class="LC20lb" style="font-size: 18px; margin: 0px; padding: 0px; display: inline-block;">&nbsp;</p><p class="LC20lb" style="font-size: 18px; margin: 0px; padding: 0px; display: inline-block;">&nbsp;</p><p class="LC20lb" style="font-size: 18px; margin: 0px; padding: 0px; display: inline-block;">&nbsp;</p><p class="LC20lb" style="font-size: 18px; margin: 0px; padding: 0px; display: inline-block;">&nbsp;</p><p class="LC20lb" style="font-size: 18px; margin: 0px; padding: 0px; display: inline-block;">&nbsp;</p><p class="LC20lb" style="font-size: 18px; margin: 0px; padding: 0px; display: inline-block;">&nbsp;</p><p class="LC20lb" style="font-size: 18px; margin: 0px; padding: 0px; display: inline-block;">&nbsp;</p><p class="LC20lb" style="font-size: 18px; margin: 0px; padding: 0px; display: inline-block;">&nbsp;</p><p class="LC20lb" style="font-size: 18px; margin: 0px; padding: 0px; display: inline-block;">&nbsp;</p><p class="LC20lb" style="font-size: 18px; margin: 0px; padding: 0px; display: inline-block;">&nbsp;</p><p class="LC20lb" style="font-size: 18px; margin: 0px; padding: 0px; display: inline-block;">&nbsp;</p><p class="LC20lb" style="font-size: 18px; margin: 0px; padding: 0px; display: inline-block;">&nbsp;</p><p class="LC20lb" style="font-size: 18px; margin: 0px; padding: 0px; display: inline-block;">&nbsp;</p><p class="LC20lb" style="font-size: 18px; margin: 0px; padding: 0px; display: inline-block;">&nbsp;</p><p class="LC20lb" style="font-size: 18px; margin: 0px; padding: 0px; display: inline-block;">&nbsp;</p><p class="LC20lb" style="font-size: 18px; margin: 0px; padding: 0px; display: inline-block;">&nbsp;</p><p class="LC20lb" style="font-size: 18px; margin: 0px; padding: 0px; display: inline-block;">&nbsp;</p><p class="LC20lb" style="font-size: 18px; margin: 0px; padding: 0px; display: inline-block;">&nbsp;</p><p class="LC20lb" style="font-size: 18px; margin: 0px; padding: 0px; display: inline-block;">&nbsp;</p><p class="LC20lb" style="font-size: 18px; margin: 0px; padding: 0px; display: inline-block;">&nbsp;</p><p class="LC20lb" style="font-size: 18px; margin: 0px; padding: 0px; display: inline-block;">&nbsp;</p><p class="LC20lb" style="font-size: 18px; margin: 0px; padding: 0px; display: inline-block;">&nbsp;</p><p class="LC20lb" style="font-size: 18px; margin: 0px; padding: 0px; display: inline-block;">&nbsp;</p><p class="LC20lb" style="font-size: 18px; margin: 0px; padding: 0px; display: inline-block;">&nbsp;</p><p class="LC20lb" style="font-size: 18px; margin: 0px; padding: 0px; display: inline-block;">&nbsp;</p><p class="LC20lb" style="font-size: 18px; margin: 0px; padding: 0px; display: inline-block;">&nbsp;</p><p class="LC20lb" style="font-size: 18px; margin: 0px; padding: 0px; display: inline-block;">&nbsp;</p><p class="LC20lb" style="font-size: 18px; margin: 0px; padding: 0px; display: inline-block;">&nbsp;</p><p class="LC20lb" style="font-size: 18px; margin: 0px; padding: 0px; display: inline-block;">&nbsp;</p><p class="LC20lb" style="font-size: 18px; margin: 0px; padding: 0px; display: inline-block;">&nbsp;</p><p class="LC20lb" style="font-size: 18px; margin: 0px; padding: 0px; display: inline-block;">&nbsp;</p><p class="LC20lb" style="font-size: 18px; margin: 0px; padding: 0px; display: inline-block;">&nbsp;</p><p class="LC20lb" style="font-size: 18px; margin: 0px; padding: 0px; display: inline-block;">&nbsp;</p><p class="LC20lb" style="font-size: 18px; margin: 0px; padding: 0px; display: inline-block;">&nbsp;</p><p class="LC20lb" style="font-size: 18px; margin: 0px; padding: 0px; display: inline-block;">&nbsp;</p><p class="LC20lb" style="font-size: 18px; margin: 0px; padding: 0px; display: inline-block;">&nbsp;</p><p class="LC20lb" style="font-size: 18px; margin: 0px; padding: 0px; display: inline-block;">&nbsp;</p><p class="LC20lb" style="font-size: 18px; margin: 0px; padding: 0px; display: inline-block;">&nbsp;</p><p class="LC20lb" style="font-size: 18px; margin: 0px; padding: 0px; display: inline-block;">&nbsp;</p><p class="LC20lb" style="font-size: 18px; margin: 0px; padding: 0px; display: inline-block;">&nbsp;</p><p class="LC20lb" style="font-size: 18px; margin: 0px; padding: 0px; display: inline-block;">&nbsp;</p><p class="LC20lb" style="font-size: 18px; margin: 0px; padding: 0px; display: inline-block;">&nbsp;</p><p class="LC20lb" style="font-size: 18px; margin: 0px; padding: 0px; display: inline-block;">&nbsp;</p><p class="LC20lb" style="font-size: 18px; margin: 0px; padding: 0px; display: inline-block;">&nbsp;</p><p class="LC20lb" style="font-size: 18px; margin: 0px; padding: 0px; display: inline-block;">&nbsp;</p><p class="LC20lb" style="font-size: 18px; margin: 0px; padding: 0px; display: inline-block;">&nbsp;</p><p class="LC20lb" style="font-size: 18px; margin: 0px; padding: 0px; display: inline-block;">&nbsp;</p><p class="LC20lb" style="font-size: 18px; margin: 0px; padding: 0px; display: inline-block;">&nbsp;</p><p class="LC20lb" style="font-size: 18px; margin: 0px; padding: 0px; display: inline-block;">&nbsp;</p><p class="LC20lb" style="font-size: 18px; margin: 0px; padding: 0px; display: inline-block;">&nbsp;</p><p class="LC20lb" style="font-size: 18px; margin: 0px; padding: 0px; display: inline-block;">&nbsp;</p><p class="LC20lb" style="font-size: 18px; margin: 0px; padding: 0px; display: inline-block;">&nbsp;</p><p class="LC20lb" style="font-size: 18px; margin: 0px; padding: 0px; display: inline-block;">&nbsp;</p><p class="LC20lb" style="font-size: 18px; margin: 0px; padding: 0px; display: inline-block;">&nbsp;</p><p class="LC20lb" style="font-size: 18px; margin: 0px; padding: 0px; display: inline-block;">&nbsp;&nbsp; &nbsp; &nbsp; &nbsp; &nbsp; &nbsp; &nbsp; &nbsp; &nbsp; &nbsp; &nbsp; &nbsp; &nbsp; &nbsp; &nbsp; &nbsp; &nbsp; &nbsp; &nbsp; &nbsp; &nbsp; &nbsp; &nbsp; &nbsp; &nbsp; &nbsp; &nbsp; &nbsp; &nbsp; &nbsp; &nbsp; &nbsp; &nbsp; &nbsp; &nbsp; &nbsp; &nbsp; &nbsp; &nbsp; &nbsp; &nbsp; &nbsp; &nbsp;&nbsp;</p><p><span style="background-color: transparent; white-space: nowrap; color: rgb(0, 0, 0); font-family: RobotoSlab-Regular, Arial, Helvetica, sans-serif; font-size: 16px; text-align: justify;">Lương y Nguyễn Văn Minh chữa thoát vị đĩa đệm,&nbsp;</span><span style="background-color: transparent; white-space: nowrap; color: rgb(0, 0, 0); font-family: RobotoSlab-Regular, Arial, Helvetica, sans-serif; font-size: 16px; text-align: justify;">xem chi tiết&nbsp;</span><span style="background-color: transparent; white-space: nowrap; color: rgb(0, 0, 0); font-family: RobotoSlab-Regular, Arial, Helvetica, sans-serif; font-size: 16px; text-align: justify;">tại trang web:</span></p><h3 class="r" style="line-height: 1.1; white-space: nowrap; background-image: initial; background-position: initial; background-size: initial; background-repeat: initial; background-attachment: initial; background-origin: initial; background-clip: initial; box-sizing: border-box; margin: 0px; padding: 0px; border: 0px; outline: 0px; font-size: 18px; vertical-align: baseline; font-family: RobotoSlab-Regular, Arial, Helvetica, sans-serif; color: rgb(0, 0, 0); max-width: 100%; overflow: hidden; text-overflow: ellipsis;"><a href="https://chuabenhthoatvidiadem.vn/" style="color: rgb(102, 0, 153); box-sizing: border-box; margin: 0px; padding: 0px; border: 0px; outline: 0px; vertical-align: baseline; background: transparent; text-decoration-line: none; transition: all 406ms ease-out 0s; max-width: 100%; cursor: pointer;" target="_blank" title="">Cách Chữa Bệnh Thoát Vị Đĩa Đệm</a></h3><div class="s" style="white-space: nowrap; background-image: initial; background-position: initial; background-size: initial; background-repeat: initial; background-attachment: initial; background-origin: initial; background-clip: initial; box-sizing: border-box; margin: 0px; padding: 0px; border: 0px; outline: 0px; font-size: 16px; vertical-align: baseline; position: relative; max-width: 48em; font-family: RobotoSlab-Regular, Arial, Helvetica, sans-serif; color: rgb(84, 84, 84); line-height: 18px;"><div class="f kv _SWb" style="box-sizing: border-box; margin: 0px; padding: 0px; border: 0px; outline: 0px; font-size: small; vertical-align: baseline; background: transparent; position: relative; max-width: 100%; color: rgb(128, 128, 128); height: 18px; line-height: 16px; font-family: arial, sans-serif;"><cite class="_Rm" style="box-sizing: border-box; margin: 0px; padding: 0px; border: 0px; outline: 0px; font-size: 14px; vertical-align: baseline; background: transparent; max-width: 100%; color: rgb(0, 102, 33); font-style: normal;">chuabenhthoatvidiadem.vn/</cite></div></div>]]></content:encoded>
						<wfw:commentRss></wfw:commentRss>
						<slash:comments>0</slash:comments>
					</item>
				
					<item>
						<title>Chữa bệnh đau cột sống - Thoát vị đĩa đệm là nguyên nhân hàng đầu.</title>
						<link>https://chuabenhthoatvidiadem.vn/bai-viet/ket-qua-dieu-tri-thoat-vi-dia-dem/chua-benh-dau-cot-song-thoat-vi-dia-dem-la-nguyen-nhan-hang-dau-pid-143.html</link>
						<comments></comments>
						<pubDate>Wed, 13 Dec 2017 09:48:36 +0700</pubDate>
						<dc:creator>admin</dc:creator>
						<category><![CDATA[Kết quả điều trị thoát vị đĩa đệm]]></category>
						<guid isPermaLink="false"></guid>
						<description><![CDATA[Bệnh đau cột sống: Đau do thoát vị đĩa đệm là nguyên nhân hàng đầu. Cột sống là trụ cột chống đỡ trọng lượng của cơ thể, những nguyên nhân chính hay gây đau cột sống như: Viêm cột sống, thoát vị đĩa đệm, thoái hóa cột sống, gai cột sống, gù vẹo cột sống, thoái hóa đĩa đệm.v.v. Trong đó nguyên nhân do thoát vị đĩa đệm lương y Minh gặp nhiều nhất.]]></description>
						<content:encoded><![CDATA[<h2 style="text-align: justify;"><span style="font-size:16px;">Bệnh đau cột sống: Đau do thoát vị đĩa đệm là nguyên nhân hàng đầu. Cột sống là trụ cột chống đỡ trọng lượng của cơ thể, những nguyên nhân chính hay gây đau cột sống như: Viêm cột sống, lao cột sống, thoát vị đĩa đệm, thoái hóa đĩa đệm, thoái hóa cột sống, gai cột sống, gù vẹo cột sống, trượt đốt sống.v.v. Trong đó, nguyên nhân đau do thoát vị đĩa đệm&nbsp;lương y Minh gặp nhiều nhất.</span></p><p>&nbsp;</p><p><span style="font-size:16px;"><img loading="lazy" alt="Thoai hoa cot song" src="data:image/gif;base64,R0lGODlhAQABAID/AP///wAAACwAAAAAAQABAAACAkQBADs=" data-src="https://chuabenhthoatvidiadem.vn/resources/images/20170424_064526.jpg" style="width: 476px; height: 637px;" class="lazy" width="476" height="637" data-optimized="1" /></span></p><h2><span style="font-size:16px;">Đây là kết quả chụp MRI của chị Đào Thị Xương, 47 tuổi ở Bến Tre.</span></h2><h2><span style="font-size:16px;">- Thoái hóa cột sống thắt lưng. Thoái hóa mất nước giảm tín hiệu các đĩa đệm thắt lưng L3/4, L4/5.</span></h2><h2><span style="font-size:16px;">- Thoát vị đĩa đệm tầng L3/4, L4/5 gây chèn ép rễ thần kinh L4, L5 hai bên.</span></h2><h2><span style="font-size:16px;">- Thoát vị đĩa đệm tầng L2/3 không gây chèn ép rễ thần kinh.</span></h2><h3 style="text-align: justify;"><span style="font-size:16px;">Chị Xương có chữa bệnh đau cột sống do thoát vị đĩa đệm tại phòng khám cách nay&nbsp;gần cả năm. Hôm nay tôi gọi điện hỏi thăm, chị Xương rất vui thông báo đã khỏi bệnh, tôi xin phép và được&nbsp;chị Xương đồng ý cho chia sẻ thông tin và địa chỉ của chị: Ấp Tư, xã An Bình Tây, huyện Ba Tri, tỉnh Bến Tre. Chị còn chia sẻ cả số ĐT: 09288.14280 (*).</span></h3><p><span style="font-size:16px;">Mời bạn đọc bấm vào mũi tên để nghe chi tiết;</span></p><p><a href="https://chuabenhthoatvidiadem.vn/resources/files/call_11-14-57_OUT_0971247122.mp3" title="">&nbsp;thoatvidiadem. L3/4, L4/5</a></p><p><span style="font-size:16px;">(*) &nbsp; Lưu ý: thuốc&nbsp;điều trị thoát vị đĩa đệm có&nbsp;tác dụng nhanh hay chậm&nbsp;tùy theo cơ địa mỗi&nbsp;nguời.</span></p><p><span style="font-size:16px;">P/s: Đây là cuộc nói chuyện rất thật giữa thầy thuốc với người bệnh, có lúc âm thanh nghe không liên tục, nhưng đảm bảo được tính chân thật, đúng người, đúng bệnh.</span></p><h5 class="r" style="font-size: 18px; margin: 0px; padding: 0px; overflow: hidden; text-overflow: ellipsis; white-space: nowrap; color: rgb(34, 34, 34); font-family: arial, sans-serif;"><a href="https://www.youtube.com/channel/UCMrl47bRL4MgAguyRi48mEw" style="color: rgb(102, 0, 153); cursor: pointer; text-decoration-line: none;" target="_blank" title="">Lương y Nguyễn Văn Minh - Chữa thoát vị đĩa đệm bằng thuốc đông y</a>.</h5><p><img loading="lazy" alt="" src="data:image/gif;base64,R0lGODlhAQABAID/AP///wAAACwAAAAAAQABAAACAkQBADs=" data-src="https://chuabenhthoatvidiadem.vn/resources/images/20171005_152631.jpg" style="width: 640px; height: 450px;" class="lazy" width="640" height="450" data-optimized="1" /></p><p>&nbsp;</p><p><span style="font-size:16px;">Trước đây, phòng khám của tôi nằm trên đường Thống Nhất, P.11, quận Gò Vấp. Năm 2017 tôi dời về nhà riêng tại địa chỉ: 856/6&nbsp;Quang Trung, Phường 8, Quận Gò Vấp, Tp Hồ Chí Minh. Giám đốc Sở Y tế TP.HCM đã cấp mới giấy phép hoạt động khám bệnh, chữa bệnh&nbsp;cho phòng khám tại địa chỉ này.</span></p><p>&nbsp;</p>]]></content:encoded>
						<wfw:commentRss></wfw:commentRss>
						<slash:comments>0</slash:comments>
					</item>
				
					<item>
						<title>Lương y Nguyễn Văn Minh chữa thoát vị đĩa đệm cho anh Út ở Đồng Tháp, khỏi dứt tới nay.</title>
						<link>https://chuabenhthoatvidiadem.vn/bai-viet/ket-qua-dieu-tri-thoat-vi-dia-dem/luong-y-nguyen-van-minh-chua-thoat-vi-dia-dem-cho-anh-ut-o-dong-thap-khoi-dut-toi-nay-pid-10.html</link>
						<comments></comments>
						<pubDate>Tue, 06 Dec 2016 11:12:21 +0700</pubDate>
						<dc:creator>admin</dc:creator>
						<category><![CDATA[Kết quả điều trị thoát vị đĩa đệm]]></category>
						<guid isPermaLink="false"></guid>
						<description><![CDATA[Anh Đặng Văn Út bị thoát vị đĩa đệm cột sống thắt lưng (có kết quả MRI kèm theo). Được Lương y Nguyễn Văn Minh chữa khỏi bệnh thoát vị đĩa đệm, anh rất vui và đồng ý chia sẻ câu chuyện thật của mình. Hãy nghe trực tiếp anh Út thông báo khỏi hẳn, không còn bị những cơn đau nhức hành hạ.]]></description>
						<content:encoded><![CDATA[<p style="text-align: justify;"><span style="font-size:16px;">&nbsp;<em><span style="font-size:18px;">Lương y Nguyễn Văn Minh chữa thoát vị đĩa đệm đã khẳng định&nbsp;được uy tín, mời quý khách&nbsp;nghe ý kiến bệnh nhân đã khỏi bệnh thoát vị đĩa đệm cột sống thắt lưng&nbsp;thông báo.</span></em></span></p><p><img loading="lazy" alt="Hốt thuốc đông y chữa thoát vị đĩa đệm tại phòng khám đông y Bảo Minh." src="data:image/gif;base64,R0lGODlhAQABAID/AP///wAAACwAAAAAAQABAAACAkQBADs=" data-src="https://chuabenhthoatvidiadem.vn/resources/images/Thuoc-dong-y-Bao-Minh.jpg" style="width: 768px; height: 438px;" class="lazy" width="768" height="438" data-optimized="1" /><span style="font-size:14px;"><em>Hốt thuốc chữa thoát vị đĩa đệm tại phòng khám đông y Bảo Minh.</em></span></p><p style="text-align: justify;"><span style="font-size:16px;">&nbsp;Anh Đặng Văn Út ở Đồng Tháp bị đau thắt lưng, đau lan xuống một bên&nbsp;mông, đau dọc xuống chân trái, mọi cử động hoạt động hàng ngày đều bị những cơn đau nhức hành hạ&nbsp;rất khổ sở,&nbsp;đã chữa trị nhiều nơi nhưng&nbsp;không khỏi dứt điểm. Vào&nbsp;bệnh viện Chấn Thương Chỉnh Hình TP HCM điều trị thì được bác sĩ chỉ định chụp cộng hưởng từ (chụp MRI).&nbsp;Kết quả chụp chiếu cho thấy&nbsp;anh Út bị gai thoái hóa các đốt sống thắt lưng, thoái hóa khớp liên mấu L3--&gt;S1.&nbsp;Thoát vị&nbsp;đĩa đệm cột sống thắt lưng L3/L4 chèn ép rễ thần kinh L4 hai bên, thoát vị đĩa đệm L4 /L5 chèn ép rễ thần kinh L5 bên&nbsp;trái (xem kết quả chụp MRI bên dưới)</span></p><p style="text-align: justify;"><span style="font-size:16px;">&nbsp;Anh Út được Lương y Nguyễn Văn Minh chữa khỏi bệnh gần năm nay, để có tư liệu thực tế khách quan viết bài này, Lương y Minh đã gọi điện hỏi thăm xem bệnh cũ có bị tái lại không. Anh Út cho biết đã khỏi hẳn đau nhức, anh&nbsp;cảm ơn và vui vẻ đọc cho địa chỉ anh đang ở: ấp Thượng, xã Thới Tiền, huyện Hồng Ngự, tỉnh Đồng Tháp.&nbsp;Nếu bệnh nhân nào ở gần có thể đến gặp trực tiếp anh Út để&nbsp;tham khảo thêm kinh nghiệm chữa thoát vị đĩa đệm bằng đông y (*)</span></p><p><img loading="lazy" alt="Kết quả chụp MRI của anh Út" src="data:image/gif;base64,R0lGODlhAQABAID/AP///wAAACwAAAAAAQABAAACAkQBADs=" data-src="https://chuabenhthoatvidiadem.vn/resources/images/20160530_080149.jpg" class="lazy" width="442" height="589" data-optimized="1" /></p><p>&nbsp;</p><p style="text-align: justify;"><span style="font-size:14px;"><em>&nbsp;Anh Út được Lương y Minh chữa khỏi bệnh, anh rất mừng, đã giới thiệu cho nhiều người tới chữa và đều đạt kết quả. Anh đồng ý&nbsp;đưa&nbsp;kết quả chụp MRI của mình lên&nbsp;để mọi người tham khảo.</em></span></p><p style="text-align: justify;"><span style="font-size: 16px;">&nbsp;</span><a href="https://chuabenhthoatvidiadem.vn/resources/files/mp3/Tho_i_003_m.mp3" style="font-size: 16px;" title="">thoatvidiadem.top</a></p><p style="text-align: justify;"><span style="font-size:16px;">&nbsp;Hãy bấm vào mũi tên để nghe anh Út chia sẻ, cảm ơn Lương y Nguyễn Văn Minh đã chữa khỏi bệnh thoát vị đĩa đệm cho mình, anh vui vẻ cho biết địa chỉ nhà mình đang ở.</span></p><p style="text-align: justify;"><em><span style="font-size:14px;">Thuốc trị&nbsp;thoát vị đĩa của&nbsp;phòng khám đông y Bảo Minh đã trị hết bệnh cho nhiều&nbsp;người, chúng tôi chỉ đưa tin khi quý khách đồng ý cho ghi lại và chia sẻ ý kiến ở đây. Sau nếu&nbsp;quý khách không muốn chia sẻ thông tin nữa, chúng tôi sẽ gỡ bỏ.&nbsp;Xin trân trọng cảm ơn quý khách.</span></em></p><p style="text-align: justify;"><span style="font-size:16px;">(*) &nbsp; &quot;Lưu ý: thuốc uống, thuốc bóp, thuốc đắp&nbsp;chữa thoát vị đĩa đệm /tác dụng&nbsp;nhanh hay chậm tùy theo cơ địa&nbsp;mỗi nguời&quot;</span></p><p><span style="font-size:16px;">Trang web chuyên về bệnh <a data-ved="2ahUKEwjlv862-uz3AhXohVYBHU5CAGQQFnoECAcQAQ" href="https://chuabenhthoatvidiadem.vn/" ping="/url?sa=t&amp;source=web&amp;rct=j&amp;url=https://chuabenhthoatvidiadem.vn/&amp;ved=2ahUKEwjlv862-uz3AhXohVYBHU5CAGQQFnoECAcQAQ" style="color: rgb(26, 13, 171); text-decoration-line: none; -webkit-tap-highlight-color: rgba(0, 0, 0, 0.1); outline: 0px; font-family: arial, sans-serif; font-size: small;" title="">Thoát Vị Đĩa Đệm</a>:</span></p><p><span style="font-size:16px;">thoatvidiadem.top</span></p><p><span style="font-size:16px;">chuabenhthoatvidiadem.vn</span></p><h4 class="hd" style="position: absolute; width: 1px; height: 1px; top: -1000em; overflow: hidden; color: rgb(34, 34, 34); font-family: arial, sans-serif;"><span style="font-size:16px;">Kết quả tìm kiếm</span></h4><div data-async-context="query:lương y Nguyễn Văn Minh" id="ires" style="margin-top: 6px; color: rgb(34, 34, 34); font-family: arial, sans-serif; font-size: medium;"><div eid="5S4zWvSgFYee0gT--Y_4AQ" id="rso"><div class="_NId"><div class="srg"><div class="g" style="line-height: 1.2; font-size: small; margin-top: 0px; margin-bottom: 26px;"><div data-hveid="35" data-ved="0ahUKEwi0p8zy94rYAhUHj5QKHf78Ax8QFQgjKAAwAA"><div class="rc" style="position: relative;"><p class="r" style="font-size: 18px; margin: 0px; padding: 0px; overflow: hidden; text-overflow: ellipsis; white-space: nowrap;"><span style="font-size:16px;"><a href="https://www.youtube.com/channel/UCMrl47bRL4MgAguyRi48mEw" style="color: rgb(102, 0, 153); cursor: pointer; text-decoration-line: none;" target="_blank" title="">Lương y Nguyễn Văn Minh</a>&nbsp;- Thầy thuốc chuyên&nbsp;chữa thoát vị đĩa đệm ở TP.HCM</span></p><p><span style="font-size: 16px;">Địa chỉ: 856/6 Quang Trung, phường 8, quận Gò Vấp, Tp Hồ Chí Minh.</span></p><p><span style="font-size:16px;">Điện thoại tư vấn cách chữa thoát vị đĩa đệm: 028.62951367- 0913503552.</span></p><p><font color="#000000" face="RobotoSlab-Regular, Arial, Helvetica, sans-serif" style="box-sizing: border-box; margin: 0px; padding: 0px; border: 0px; outline: 0px; font-size: 16px; vertical-align: baseline; background-image: initial; background-position: initial; background-size: initial; background-repeat: initial; background-attachment: initial; background-origin: initial; background-clip: initial; max-width: 100%; color: rgb(0, 0, 0); font-family: RobotoSlab-Regular, Arial, Helvetica, sans-serif; text-align: justify;"><span style="box-sizing: border-box; margin: 0px; padding: 0px; border: 0px; outline: 0px; vertical-align: baseline; background: transparent; max-width: 100%;">Muốn&nbsp;đi&nbsp;chữa thoát vị đĩa đệm ở&nbsp;phòng khám đông y Bảo Minh,&nbsp;rất dễ, bạn bấm vào liên kết ở đây.&nbsp;</span></font><span style="box-sizing: border-box; margin: 0px; padding: 0px; border: 0px; outline: 0px; font-size: 16px; vertical-align: baseline; background-image: initial; background-position: initial; background-size: initial; background-repeat: initial; background-attachment: initial; background-origin: initial; background-clip: initial; max-width: 100%; color: rgb(0, 0, 0); font-family: RobotoSlab-Regular, Arial, Helvetica, sans-serif; text-align: justify;">Google Map sẽ chỉ đường tới&nbsp;tận nơi:&nbsp;</span><a href="https://thoatvidiademcotsong.business.site/?m=true" style="box-sizing: border-box; margin: 0px; padding: 0px; border: 0px; outline: 0px; font-size: 16px; vertical-align: baseline; background-image: initial; background-position: initial; background-size: initial; background-repeat: initial; background-attachment: initial; background-origin: initial; background-clip: initial; color: rgb(51, 122, 183); text-decoration-line: none; transition: all 406ms ease-out 0s; max-width: 100%; font-family: RobotoSlab-Regular, Arial, Helvetica, sans-serif; text-align: justify;" title="">thoatvidiadem cotsong</a></p></div></div></div></div></div></div></div>]]></content:encoded>
						<wfw:commentRss></wfw:commentRss>
						<slash:comments>0</slash:comments>
					</item>
				
					<item>
						<title>Châm cứu bấm huyệt</title>
						<link>https://chuabenhthoatvidiadem.vn/bai-viet/luong-y-nguyen-van-minh-chua-thoat-vi-dia-dem/cham-cuu-bam-huyet-pid-328.html</link>
						<comments></comments>
						<pubDate>Wed, 10 Jul 2024 10:43:19 +0700</pubDate>
						<dc:creator>admin</dc:creator>
						<category><![CDATA[Lương y Nguyễn Văn Minh chữa thoát vị đĩa đệm]]></category>
						<guid isPermaLink="false"></guid>
						<description><![CDATA[Châm cứu bấm huyệt chữa thoát vị đĩa đệm. Chữa đau nhức do thoái hóa cột sống, gai cột sống. Phục vụ quý bệnh nhân tốt nhất ở gần đây, như: Gò Vấp, Quận 12, Tân Bình, Bình Thạnh, Tân Phú, Phú Nhuận và huyện Hóc Môn. Đây là những nơi gần quận Gò Vấp, nên thuận tiện cho quý khách đến châm cứu, bấm huyệt chữa bệnh được dễ dàng. Có phòng châm cứu cho người già, có phòng máy lạnh khi trời nóng.]]></description>
						<content:encoded><![CDATA[<p style="text-align: justify;"><span style="font-size:16px;">Bác sĩ đông y châm cứu, bấm huyệt tại phòng khám, hoặc&nbsp;tại nhà người bệnh. Phục vụ tốt nhất quý bệnh nhân ở Gò Vấp. ở Quận 12, Tân Bình, Bình Thạnh, Tân Phú, Phú Nhuận và huyện Hóc Môn. Đây là những nơi ở gần Gò Vấp, thuận tiện cho quý khách đi châm cứu bấm huyệt được dễ dàng.</span></p><h2 style="text-align: justify;"><span style="font-size:16px;"><strong>Châm cứu bấm huyệt</strong> chữa thoát vị đĩa đệm. Chữa thoái hóa cột sống, gai cột sống.&nbsp;Châm cứu bấm huyệt có tác dụng&nbsp;cắt cơn đau;&nbsp;đau vai gáy, đau lưng, đau&nbsp;thắt lưng, đau thần kinh tọa, đau mỏi cổ, tê tay, nhức&nbsp;chân, đau cứng&nbsp;cổ gáy&nbsp;không giơ tay lên được.</span></h2><p><img loading="lazy" alt="Cham-cuu-bam-huyet" src="data:image/gif;base64,R0lGODlhAQABAID/AP///wAAACwAAAAAAQABAAACAkQBADs=" data-src="https://chuabenhthoatvidiadem.vn/resources/images/Cham-cuu-bam-huyet.jpg" style="width: 900px; height: 1200px;" class="lazy" width="900" height="1200" data-optimized="1" /></p><p><span style="font-size:14px;"><em>Hình ảnh bs&nbsp;Nguyễn Thành Long đang châm cứu chữa đau lưng .</em></span></p><h3 style="text-align: justify;"><span style="font-size:16px;">Đông y châm cứu bấm huyệt, điện xung day ấn huyệt, xoa bóp bấm huyệt có tác dụng điều trị đau nhức rất tốt. Nhất là những bệnh về cơ xương khớp, thoái hóa đốt sống, gai cột sống, thoát vị đĩa đệm chèn ép dây thần kinh.</span></h3><p style="text-align: justify;"><img loading="lazy" alt="Hình ảnh châm cúu" src="data:image/gif;base64,R0lGODlhAQABAID/AP///wAAACwAAAAAAQABAAACAkQBADs=" data-src="https://chuabenhthoatvidiadem.vn/resources/images/Hinh-anh-cham-cuu.jpg" style="height: 1200px; opacity: 0.9; width: 900px;" class="lazy" width="900" height="1200" data-optimized="1" /></p><p style="text-align: justify;"><span style="font-size: 16px;">Hình ảnh châm cứu trị đau vai gáy cho cô Huệ ở Gò Vấp. Sau 7 ngày châm cứu bấm huyệt, cô Huệ cho biết: &quot;gần như hết đau, bác sĩ châm cứu rất tốt&quot;. Phòng khám đông y Bảo Minh xin trân trọng cảm ơn cô đã đồng ý cho chụp hình, ghi hình&nbsp;khi cô đến chữa bệnh ở đây.</span></p><p style="text-align: justify;"><span class="optimize-cls-iframe" data-src="https://www.youtube.com/embed/2gEEuaZ0ikE">https://www.youtube.com/embed/2gEEuaZ0ikE</span></p><p style="text-align: justify;"><span style="font-size: 14px;"><em>Bác sĩ châm cứu Nguyễn Thành Long và c</em></span><em style="font-size: 14px;">ô Huệ&nbsp;</em><span style="font-size: 14px;"><em>đang nói chuyện. Quý khách bấm vào video xem phương pháp&nbsp;châm cứu bấm huyệt trị đau vai gáy ở đây tốt như thế nào.</em></span></p><p><span style="font-size:16px;">Quý khách xem đầy đủ&nbsp;<a title="" href="https://www.youtube.com/@bsyhctlong2000/videos">Video châm cứu</a>&nbsp;gần đây do bác sĩ Nguyễn Thành Long tải lên&nbsp;<a title="" href="https://www.youtube.com/@bsyhctlong2000/videos">youtube</a></span></p><p style="text-align: justify;"><span style="font-size:16px;">CHÂM CỨU BẤM HUYỆT Ở ĐÂU.</span></p><p style="text-align: justify;"><span style="font-size:16px;">Châm cứu TPHCM có rất nhiều nơi, nhiều chỗ. Quận nào, huyện nào&nbsp;cũng có đông y châm cứu bấm huyệt trị bệnh. Đây là điểm mạnh của y học cổ truyền Việt Nam. Nhất là những nơi có bác sĩ y học cổ truyền trực tiếp&nbsp;châm cứu cho người bệnh. Bác sĩ&nbsp;được đào tạo với&nbsp;thời gian học tập&nbsp;liên tục </span><span style="font-size: 16px; text-align: justify;">7 năm liền, n</span><span style="font-size:16px;">ên&nbsp;</span><span style="font-size: 16px; text-align: justify;">khi gặp bác sĩ châm cứu bấm huyệt sẽ&nbsp;tác dụng tốt trong điều trị bệnh.</span></p><p style="text-align: justify;"><span class="optimize-cls-iframe" data-src="https://www.youtube.com/embed/w3omCMkg58w">https://www.youtube.com/embed/w3omCMkg58w</span></p><p><span style="font-size:14px;"><em>Bác sĩ Nguyễn Thành Long&nbsp;</em></span><span style="font-size:14px;"><em>châm cứu chữa đau thần kinh tọa.</em></span></p><p style="text-align: justify;"><span style="text-align: justify; font-size: 16px;">&nbsp;Phòng khám đông y Bảo Minh có dịch vụ châm cứu, bấm huyệt chữa bệnh tại địa chỉ; 856/6 đường&nbsp;Quang Trung, Phường 8, quận Gò Vấp.&nbsp;Điều trị tại phòng khám và tại nhà khi có yêu cầu từ người bệnh.&nbsp;Ở đây có&nbsp;phòng châm cứu dưới tầng trệt cho người già, người bệnh đi lại khó khăn. Phòng&nbsp;châm cứu có&nbsp;</span><span style="text-align: justify; font-size: 16px;">máy lạnh</span><span style="text-align: justify; font-size: 16px;">&nbsp;trên lầu 1.</span></p><p style="text-align: justify;"><span class="optimize-cls-iframe" data-src="https://www.youtube.com/embed/BuiMB-jvw_8">https://www.youtube.com/embed/BuiMB-jvw_8</span></p><p style="text-align: justify;"><span style="text-align: justify; font-size: 16px;"><a title="" href="https://www.youtube.com/@bsyhctlong2000/videos">Bác sĩ Nguyễn Thành Long</a>,&nbsp;bác sĩ chuyên khoa y học cổ truyền:&nbsp;châm cứu, bấm huyệt theo phương pháp mới nhất, có tác dụng giảm đau nhanh nhất, phục hồi sức khỏe&nbsp;tốt nhất cho quý khách.</span></p><p style="text-align: justify;"><img loading="lazy" alt="Cham-cuu-go-vap" src="data:image/gif;base64,R0lGODlhAQABAID/AP///wAAACwAAAAAAQABAAACAkQBADs=" data-src="https://chuabenhthoatvidiadem.vn/resources/images/Cham-cuu-go-vap(1).jpg" style="width: 932px; height: 1200px;" class="lazy" width="932" height="1200" data-optimized="1" /></p><p style="text-align: justify;"><span style="font-size:16px;">Giá 1 lần châm cứu&nbsp;hết bao nhiêu, đều được liêm yết công khai ở đây và tại phòng khám để quý khách biết trước. Phòng khám có nhiều dịch vụ cho quý khách chọn thoải mái nhất, sao cho&nbsp;châm cứu bấm huyệt&nbsp;giúp quý khách chữa&nbsp;khỏi bệnh nhanh nhất. </span></p><p style="text-align: justify;"><span style="font-size:16px;">Châm cứu bấm huyệt&nbsp;ở Gò Vấp, nơi mang lại sự thoải mái nhất cho quý khách. Quý khách nào muốn chỉ cần&nbsp;</span><span style="font-size: 16px; text-align: justify;">châm cứu, hoặc xoa bóp bấm huyệt cũng được, ai muốn uống&nbsp;</span><span style="font-size:16px;">thuốc chúng tôi mới bán. Châm cứu có hiệu quả như thế nào đã được khảng định,&nbsp;có những bệnh chỉ cần châm cứu bấm huyệt vài ngày đã khỏi, không cần uống thêm thuốc gì.</span></p><p style="text-align: justify;"><span style="font-size:16px;"><span style="text-align: justify;">Châm cứu có tốt không?&nbsp;</span>Châm cứu bấm huyệt có&nbsp;khỏi bệnh&nbsp;được không? Mời quý khách bấm vào đây xem:&nbsp;<a title="" href="https://www.facebook.com/profile.php?id=61561348367811">Châm cứu bấm huyệt ở Gò Vấp TP. HCM</a></span></p><p style="text-align: justify;"><span style="font-size:16px;">Giờ làm việc của bác sĩ&nbsp;châm cứu:&nbsp;Làm việc các buổi chiều&nbsp;từ 2&nbsp;giờ đến 6 giờ tối. Quý khách nào muốn khám&nbsp;ngày chủ nhật, nên hẹn trước từ thứ 7 để bác sĩ&nbsp;xếp lịch châm cứu.</span></p><p style="box-sizing: border-box; margin: 0px 0px 10px; padding: 0px; border: 0px; outline: 0px; font-size: 16px; vertical-align: baseline; background-image: initial; background-position: initial; background-size: initial; background-repeat: initial; background-attachment: initial; background-origin: initial; background-clip: initial; max-width: 100%; color: rgb(0, 0, 0); font-family: RobotoSlab-Regular, Arial, Helvetica, sans-serif;"><span style="text-align: justify; color: rgb(51, 51, 51); font-family: Tahoma, Verdana, sans-serif;">Để tránh mất thời gian chờ đợi lâu của quý khách, nhằm&nbsp;phục vụ tốt nhất và kịp thời, quý khách nên liên hệ đặt trước&nbsp;thời gian tới châm cứu. Số điện thoại bác sĩ châm cứu ở Gò Vấp: 0868 677 475 bs Nguyễn Thành Long. Điện thoại cố định: (028)&nbsp;6295 1367.</span></p><h5 style="text-align: justify;"><span style="font-size:16px;">CÁC PHƯƠNG PHÁP ĐÔNG Y CHỮA THOÁT VỊ ĐĨA ĐỆM</span></h5><p style="text-align: justify;"><span style="font-size:16px;">Đông y chữa thoát vị đĩa đệm, chữa thoái hóa cột sống, gai cột sống, có rất nhiều cách chữa hết đau, hết nhức,&nbsp;như: uống thuốc đông y&nbsp;hay còn gọi là thuốc y học cổ truyền. Thuốc đông y lại có nhiều loại: Thuốc thang, thuốc hoàn, thuốc viên, thuốc tễ, thuốc nước, thuốc cao dán, thuốc cao đặc,&nbsp;thuốc bóp, thuốc đắp, thuốc ngâm chân. Trong các loại thuốc kể trên, thuốc thang sắc uống mỗi ngày là thuốc chữa thoát vị đĩa đệm tốt nhất hiện nay.&nbsp;Chỉ có&nbsp;thuốc thang mới có đủ hàm lượng, thuốc được kê đơn đúng với mức độ thoát vị đĩa đệm, phù hợp với cơ địa của người bệnh. Chính vì thế,&nbsp;tác dụng chữa bệnh của thuốc thang tốt hơn các loại thuốc khác.</span></p><p style="text-align: justify;"><span style="font-size:16px;">Tùy mức độ thoát vị đĩa đệm, đông y còn sử dụng thêm các phương pháp chữa kết hợp để tăng thêm tác dụng nhanh khỏi bệnh, giảm đau nhanh chóng.&nbsp;Có thể kể ra như;&nbsp;châm cứu, bấm huyệt, điện xung, điện châm,&nbsp;day ấn huyệt, kéo dãn cột sống,&nbsp;đắp thuốc bó thuốc cột sống,&nbsp;dùng rượu xoa bóp huyệt và các bài tập chữa thoát vị đĩa đệm.&nbsp;</span></p><p style="text-align: justify;"><span style="font-size:16px;">Vì vậy khi chữa bệnh thoát vị đĩa đệm, thoái hóa đốt sống đĩa đệm, các phương pháp chữa đều nhằm lưu thông khí huyết, đưa tà khí (phong, hàn, thấp, nhiệt) ra ngoài cơ thể. Bồi bổ can thận để chống tái phát bệnh và chống lại các hiện tượng thoái hóa, lão hóa. Phục hồi các chức năng bình thường của đĩa đệm cột sống. Những trường hợp bị thoát vị đĩa đệm nặng, chèn ép nặng rễ thần kinh hoặc có mảnh rời, khi thầy thuốc bắt mạch xác định có ứ huyết, hoặc do chấn thương thì phải phối hợp thêm thuốc hoạt huyết trừ ứ để đạt hiệu quả cao. Thầy thuốc giỏi phải biết vận dụng những vị thuốc tốt nhất hiện nay để chữa vết thương, chữa bao xơ bị rách, làm lành vết thương.</span></p><p style="text-align: justify;"><span style="font-size:16px;"><span class="optimize-cls-iframe" data-src="https://www.youtube.com/embed/8wtIwS0FvB0">https://www.youtube.com/embed/8wtIwS0FvB0</span></span></p><p style="text-align: justify;"><span style="font-size: 16px;">Đây là&nbsp;trường hợp khỏi bệnh nhờ&nbsp;uống thuốc kết hợp châm cứu bấm huyệt.&nbsp;Anh đã hồi phục các nhóm cơ ở bả vai, hiện nay anh đã gần hết teo cơ, cánh tay giơ tay lên cao và làm việc gần như bình thường. Trước đây, anh bị thoát vị đĩa đệm cổ chèn ép nặng gây teo cơ, tay yếu gần như muốn liệt, không thể tự cử động được. </span><span style="font-size: 16px; text-align: justify;">Anh đồng ý chia sẻ bệnh án và&nbsp;</span><span style="font-size: 16px; text-align: justify;">cho ghi hình</span><span style="font-size: 16px; text-align: justify;">&nbsp;kể lại quá trình chữa bệnh ở đây.&nbsp;</span></p><p style="text-align: justify;"><span style="font-size: 16px;"><img loading="lazy" alt="Luong-y-chua-thoat-vi-dia-dem" src="data:image/gif;base64,R0lGODlhAQABAID/AP///wAAACwAAAAAAQABAAACAkQBADs=" data-src="https://chuabenhthoatvidiadem.vn/resources/images/Lương-y-chua-thoat-vi-dia-dem.jpg" style="width: 816px; height: 1200px;" class="lazy" width="816" height="1200" data-optimized="1" /></span></p><p style="text-align: justify;"><span style="font-size: 16px; text-align: justify;">Xin trân trọng cảm&nbsp;ơn anh Lưu Kim Chan ở TP. HCM. Anh đã tin tưởng uy tín của phòng khám và thầy&nbsp;thuốc, để chúng tôi mang hết khả năng và kinh nghiệm của mình ra&nbsp;chữa&nbsp;bệnh tốt nhất cho anh.</span></p><p style="text-align: justify;"><span style="font-size:16px;">Ai bị đau cứng cổ gáy, đau nhức bả vai và&nbsp;cánh tay đau không tự mặc áo hoặc chải đầu được, mọi cử&nbsp;động đều đau. Hãy bấm vào VIDEO trên để nghe người bệnh cho biết châm cứu ở đây tốt như thế nào.&nbsp;Nếu quý khách&nbsp;nhà ở gần đây, hãy đến&nbsp;phòng châm cứu Gò Vấp để được khám bệnh và tư vấn miễn phí.</span></p><p><span style="font-size: 14px;"><em><img loading="lazy" alt="Cham-cuu-bam-huyet" src="data:image/gif;base64,R0lGODlhAQABAID/AP///wAAACwAAAAAAQABAAACAkQBADs=" data-src="https://chuabenhthoatvidiadem.vn/resources/images/Cham-cuu.jpg" style="height: 721px; opacity: 0.9; width: 1280px;" class="lazy" width="1280" height="721" data-optimized="1" /></em></span></p><p><span style="font-size: 14px;"><i>Hình ảnh châm cứu .</i></span></p><p><span style="font-size: 14px;"><img loading="lazy" alt="Cham-cuu-bam-huyet" src="data:image/gif;base64,R0lGODlhAQABAID/AP///wAAACwAAAAAAQABAAACAkQBADs=" data-src="https://chuabenhthoatvidiadem.vn/resources/images/Cham-cuu-dien.jpg" style="height: 1200px; opacity: 0.9; width: 900px;" class="lazy" width="900" height="1200" data-optimized="1" /></span></p><p><span style="font-size: 14px;"><i>Hình ảnh châm cứu điện (điện châm) và chiếu đèn hồng ngoại. Châm cứu&nbsp;bấm huyệt có tác dụng chữa đau lưng do thoát vị đĩa đệm, thoái hóa cột sống, gai cột sống gây nên đau.</i></span></p><p style="box-sizing: border-box; margin: 0px 0px 10px; padding: 0px; border: 0px; outline: 0px; font-size: 16px; vertical-align: baseline; background-image: initial; background-position: initial; background-size: initial; background-repeat: initial; background-attachment: initial; background-origin: initial; background-clip: initial; max-width: 100%; color: rgb(0, 0, 0); font-family: RobotoSlab-Regular, Arial, Helvetica, sans-serif;"><span style="font-size:16px;"><span style="text-align: justify;">Châm cứu bấm huyệt ở Gò Vấp, TP.HCM.</span></span></p><p style="text-align: justify;"><span style="font-size: 16px;">Bác sĩ Nguyễn Thành Long châm cứu bấm huyệt ở Gò Vấp. TP. HCM. Điện thoại có Zalo: 0868 677 475</span></p><p style="text-align: justify;"><span style="font-size: 16px; text-align: justify;">Châm cứu có tác dụng gì, mời quý khách xem video.</span></p><p style="text-align: justify;"><span style="font-size: 16px;"><span class="optimize-cls-iframe" data-src="https://www.youtube.com/embed/fEgiSDmhKK8">https://www.youtube.com/embed/fEgiSDmhKK8</span></span></p><p style="text-align: justify;"><span style="font-size: 16px;">Châm cứu bấm huyệt chữa đau lưng, có tác dụng ngay sau 1 lần châm cứu bấm huyệt.</span></p><p style="text-align: justify;"><span style="font-size: 16px;"><span class="optimize-cls-iframe" data-src="https://www.youtube.com/embed/YQUxnY39a4c">https://www.youtube.com/embed/YQUxnY39a4c</span></span></p><p style="text-align: justify;"><span style="font-size:16px;">Châm cứu đau vai gáy, đau bả vai lan cánh tay.&nbsp;&nbsp;</span></p><p style="text-align: justify;"><img loading="lazy" alt="Cham-cuu-bam-huyet-go-vap" src="data:image/gif;base64,R0lGODlhAQABAID/AP///wAAACwAAAAAAQABAAACAkQBADs=" data-src="https://chuabenhthoatvidiadem.vn/resources/images/Cham-cuu-bam-huyet-go-vap (2).jpg" style="height: 1200px; opacity: 0.9; color: rgb(0, 0, 0); font-family: RobotoSlab-Regular, Arial, Helvetica, sans-serif; font-size: 16px; text-align: justify; width: 900px;" class="lazy" width="900" height="1200" data-optimized="1" /></p><p style="text-align: justify;"><em style="box-sizing: border-box; margin: 0px; padding: 0px; border: 0px; outline: 0px; font-size: 16px; vertical-align: baseline; background-image: initial; background-position: initial; background-size: initial; background-repeat: initial; background-attachment: initial; background-origin: initial; background-clip: initial; max-width: 100%; color: rgb(0, 0, 0); font-family: RobotoSlab-Regular, Arial, Helvetica, sans-serif;"><span style="box-sizing: border-box; margin: 0px; padding: 0px; border: 0px; outline: 0px; font-size: 14px; vertical-align: baseline; background: transparent; max-width: 100%;"><span style="box-sizing: border-box; margin: 0px; padding: 0px; border: 0px; outline: 0px; vertical-align: baseline; background: transparent; max-width: 100%; text-align: justify;">Châm cứu bấm huyệt ở Gò Vấp, TP.HCM.</span></span></em></p><p style="text-align: justify;"><img loading="lazy" alt="cham-cuu-bam-huyet-go-vap" src="data:image/gif;base64,R0lGODlhAQABAID/AP///wAAACwAAAAAAQABAAACAkQBADs=" data-src="https://chuabenhthoatvidiadem.vn/resources/images/Cham-cuu-bam-huyet-go-vap.jpg" style="height: 1200px; opacity: 0.9; font-size: 16px; text-align: justify; width: 900px;" class="lazy" width="900" height="1200" data-optimized="1" /></p><p style="text-align: justify;">Giờ làm việc trước tháng 10/2024 của bác sĩ Nguyễn Thành Long.</p><p style="box-sizing: border-box; margin: 0px 0px 10px; padding: 0px; border: 0px; outline: 0px; font-size: 16px; vertical-align: baseline; background-image: initial; background-position: initial; background-size: initial; background-repeat: initial; background-attachment: initial; background-origin: initial; background-clip: initial; max-width: 100%; color: rgb(0, 0, 0); font-family: RobotoSlab-Regular, Arial, Helvetica, sans-serif; text-align: justify;">Những trang web của phòng khám đông y Bảo Minh. Đã đăng ký chính chủ và thông báo với Bộ Công Thương Việt Nam.</p><p style="box-sizing: border-box; margin: 0px 0px 10px; padding: 0px; border: 0px; outline: 0px; font-size: 16px; vertical-align: baseline; background-image: initial; background-position: initial; background-size: initial; background-repeat: initial; background-attachment: initial; background-origin: initial; background-clip: initial; max-width: 100%; color: rgb(0, 0, 0); font-family: RobotoSlab-Regular, Arial, Helvetica, sans-serif; text-align: justify;"><a href="https://phongkhambaominh.com/" style="box-sizing: border-box; margin: 0px; padding: 0px; border: 0px; outline: 0px; font-size: 16px; vertical-align: baseline; background: transparent; color: rgb(29, 114, 194); text-decoration-line: none; transition: all 406ms ease-out 0s; max-width: 100%; font-family: RobotoSlab-Regular, Arial, Helvetica, sans-serif;" title="">phongkhambaominh.com</a></p><p style="box-sizing: border-box; margin: 0px 0px 10px; padding: 0px; border: 0px; outline: 0px; font-size: 16px; vertical-align: baseline; background-image: initial; background-position: initial; background-size: initial; background-repeat: initial; background-attachment: initial; background-origin: initial; background-clip: initial; max-width: 100%; color: rgb(0, 0, 0); font-family: RobotoSlab-Regular, Arial, Helvetica, sans-serif;"><a class="xFAlBc" font-size:="" helvetica="" href="https://thoatvidiadem.top/" ping="/url?sa=t&amp;source=web&amp;rct=j&amp;url=https://thoatvidiadem.top/&amp;ved=2ahUKEwiysb_RuZT-AhVApFYBHVLSBtAQhAd6BAgbEAE" style="box-sizing: border-box; margin: 0px; padding: 0px; border: 0px; outline: 0px; vertical-align: baseline; background: transparent; color: rgb(26, 13, 171); text-decoration-line: none; transition: all 406ms ease-out 0s; max-width: 100%; -webkit-tap-highlight-color: rgba(0, 0, 0, 0.1); overflow-wrap: break-word; word-break: break-word;" title="">thoatvidiadem.top</a></p><p style="box-sizing: border-box; margin: 0px 0px 10px; padding: 0px; border: 0px; outline: 0px; font-size: 16px; vertical-align: baseline; background-image: initial; background-position: initial; background-size: initial; background-repeat: initial; background-attachment: initial; background-origin: initial; background-clip: initial; max-width: 100%; color: rgb(0, 0, 0); font-family: RobotoSlab-Regular, Arial, Helvetica, sans-serif;"><a class="xFAlBc" font-size:="" helvetica="" href="https://chuabenhthoatvidiadem.vn/" ping="/url?sa=t&amp;source=web&amp;rct=j&amp;url=https://chuabenhthoatvidiadem.vn/&amp;ved=2ahUKEwiysb_RuZT-AhVApFYBHVLSBtAQ6156BAgdEAE" style="box-sizing: border-box; margin: 0px; padding: 0px; border: 0px; outline: 0px; vertical-align: baseline; background: transparent; color: rgb(26, 13, 171); text-decoration-line: none; transition: all 406ms ease-out 0s; max-width: 100%; -webkit-tap-highlight-color: rgba(0, 0, 0, 0.1); overflow-wrap: break-word; word-break: break-word;" title="">chuabenhthoatvidiadem.vn</a></p><p style="box-sizing: border-box; margin: 0px 0px 10px; padding: 0px; border: 0px; outline: 0px; font-size: 16px; vertical-align: baseline; background-image: initial; background-position: initial; background-size: initial; background-repeat: initial; background-attachment: initial; background-origin: initial; background-clip: initial; max-width: 100%; color: rgb(0, 0, 0); font-family: RobotoSlab-Regular, Arial, Helvetica, sans-serif;"><span style="text-align: justify; font-size: 16px;">Châm cứu bấm huyệt ở Gò Vấp, có&nbsp;địa chỉ duy nhất tại:&nbsp;</span><span style="text-align: justify; color: rgb(0, 0, 0); font-family: RobotoSlab-Regular, Arial, Helvetica, sans-serif; font-size: 16px;">856/6 Đ. Quang Trung, Phường 8, quận Gò Vấp, TP. HCM.</span></p><p style="box-sizing: border-box; margin: 0px 0px 10px; padding: 0px; border: 0px; outline: 0px; font-size: 16px; vertical-align: baseline; background-image: initial; background-position: initial; background-size: initial; background-repeat: initial; background-attachment: initial; background-origin: initial; background-clip: initial; max-width: 100%; color: rgb(0, 0, 0); font-family: RobotoSlab-Regular, Arial, Helvetica, sans-serif;"><img loading="lazy" alt="Châm cứu chữa đau vai gáy" src="data:image/gif;base64,R0lGODlhAQABAID/AP///wAAACwAAAAAAQABAAACAkQBADs=" data-src="https://chuabenhthoatvidiadem.vn/resources/images/Châm cứu chữa đau vai gáy.jpg" style="width: 900px; height: 1200px;" class="lazy" width="900" height="1200" data-optimized="1" /></p><p style="box-sizing: border-box; margin: 0px 0px 10px; padding: 0px; border: 0px; outline: 0px; font-size: 16px; vertical-align: baseline; background-image: initial; background-position: initial; background-size: initial; background-repeat: initial; background-attachment: initial; background-origin: initial; background-clip: initial; max-width: 100%; color: rgb(0, 0, 0); font-family: RobotoSlab-Regular, Arial, Helvetica, sans-serif;"><span style="font-size:14px;"><em><span style="text-align: justify; color: rgb(0, 0, 0); font-family: RobotoSlab-Regular, Arial, Helvetica, sans-serif;">Bác sĩ Nguyễn Thành Long châm cứu chữa đau vai gáy, đau cứng cổ gáy.</span></em></span></p><p style="box-sizing: border-box; margin: 0px 0px 10px; padding: 0px; border: 0px; outline: 0px; font-size: 16px; vertical-align: baseline; background-image: initial; background-position: initial; background-size: initial; background-repeat: initial; background-attachment: initial; background-origin: initial; background-clip: initial; max-width: 100%; color: rgb(0, 0, 0); font-family: RobotoSlab-Regular, Arial, Helvetica, sans-serif;"><img loading="lazy" alt="Cham-cuu-go-vap" src="data:image/gif;base64,R0lGODlhAQABAID/AP///wAAACwAAAAAAQABAAACAkQBADs=" data-src="https://chuabenhthoatvidiadem.vn/resources/images/Cham-cuu-go-vap.jpg" style="height: 1200px; opacity: 0.9; text-align: justify; width: 960px;" class="lazy" width="960" height="1200" data-optimized="1" /></p><p style="box-sizing: border-box; margin: 0px 0px 10px; padding: 0px; border: 0px; outline: 0px; font-size: 16px; vertical-align: baseline; background-image: initial; background-position: initial; background-size: initial; background-repeat: initial; background-attachment: initial; background-origin: initial; background-clip: initial; max-width: 100%; color: rgb(0, 0, 0); font-family: RobotoSlab-Regular, Arial, Helvetica, sans-serif;">Bảng giá châm cứu bấm huyệt đầu năm 2024.</p><p style="box-sizing: border-box; margin: 0px 0px 10px; padding: 0px; border: 0px; outline: 0px; font-size: 16px; vertical-align: baseline; background-image: initial; background-position: initial; background-size: initial; background-repeat: initial; background-attachment: initial; background-origin: initial; background-clip: initial; max-width: 100%; color: rgb(0, 0, 0); font-family: RobotoSlab-Regular, Arial, Helvetica, sans-serif;"><span style="color: rgb(0, 0, 0); font-family: Verdana, Tahoma, Arial, sans-serif; font-size: 16px; text-align: justify;">&nbsp;Nếu quý khách lần đầu ghé thăm trang web này, hãy&nbsp;</span><a href="https://phongkhambaominh.com/kham-benh-chua-benh-me-day.htm" style="box-sizing: border-box; margin: 0px; padding: 0px; border: 0px; outline: 0px; font-size: 16px; vertical-align: baseline; background-image: initial; background-position: initial; background-size: initial; background-repeat: initial; background-attachment: initial; background-origin: initial; background-clip: initial; color: rgb(29, 114, 194); text-decoration-line: none; transition: 406ms ease-out; max-width: 100%; font-family: Verdana, Tahoma, Arial, sans-serif; text-align: justify;" title="">BẤM VÀO ĐÂY</a><span style="color: rgb(0, 0, 0); font-family: Verdana, Tahoma, Arial, sans-serif; font-size: 16px; text-align: justify;">&nbsp;xem giấy phép khám chữa bệnh bằng y học cổ truyền. Giám đốc&nbsp;Sở Y tế TP.HCM cấp cho phòng khám đông y.</span></p>]]></content:encoded>
						<wfw:commentRss></wfw:commentRss>
						<slash:comments>0</slash:comments>
					</item>
				
					<item>
						<title>Thuốc trị thoát vị đĩa đệm</title>
						<link>https://chuabenhthoatvidiadem.vn/bai-viet/cach-chua-thoat-vi-dia-dem/thuoc-tri-thoat-vi-dia-dem-pid-324.html</link>
						<comments></comments>
						<pubDate>Mon, 01 Apr 2024 09:51:13 +0700</pubDate>
						<dc:creator>admin</dc:creator>
						<category><![CDATA[Cách chữa thoát vị đĩa đệm]]></category>
						<guid isPermaLink="false"></guid>
						<description><![CDATA[Thuốc trị thoát vị đĩa đệm tốt nhất là thuốc chữa hết bệnh, hết đau, hết nhức. Khi chữa khỏi thoát vị đĩa đệm, người bệnh không phải uống thêm thuốc gì cũng không bị đau lại. Đây là thuốc do Lương y Nguyễn Văn Minh khám bệnh, kê đơn thuốc cho mỗi người theo mức độ thoát vị đĩa đệm, bị bệnh trong bao lâu, chèn ép dây thần kinh ra sao, có hẹp lỗ liên hợp hay không? Nên thuốc có tác dụng trị bệnh thoát vị đĩa đệm rất tốt.]]></description>
						<content:encoded><![CDATA[<p><a href="https://chuabenhthoatvidiadem.vn/cach-chua-benh/thuoc-tri-thoat-vi-dia-dem-pid-324.html" title="Thuốc trị thoát vị đĩa đệm">Thuốc trị thoát vị đĩa đệm</a> tốt là thuốc chữa hết bệnh, hết đau nhức, hết tê bì chân tay. Khi khỏi bệnh không phải uống thêm thứ gì nhưng cũng không bị đau lại, muốn được như vậy, phải gặp được thầy thuốc giỏi, có chuyên môn cao, nhiều kinh nghiệm. Người thầy thuốc phải là chuyên gia sử dụng những vị thuốc đông y đặc trị. Nói như dân gian; May gặp thầy gặp thuốc!</p><h2>Thuốc trị thoát vị đĩa đệm</h2><blockquote><p><q><strong>Thuốc trị thoát vị đĩa đệm</strong> được Lương y Nguyễn Văn Minh kê đơn giúp cho quá trình điều trị thoát vị đĩa đệm của bệnh nhân đạt kết quả tốt nhất! Hiệu quả của <em>thuốc trị thoát vị đĩa đệm</em> chính là sự khẳng định uy tín của phòng khám và của thầy thuốc được xác nhận bởi rất nhiều bệnh nhân đã khỏi bệnh.</q><br /><cite>&ndash; Xem bệnh&nbsp;thoát vị đĩa đệm của&nbsp;anh Trần Văn Thắng ở dưới đây.</cite></p></blockquote><figure><img loading="lazy" alt="Thuốc trị thoát vị đĩa đệm" src="data:image/gif;base64,R0lGODlhAQABAID/AP///wAAACwAAAAAAQABAAACAkQBADs=" data-src="https://chuabenhthoatvidiadem.vn/resources/images/Thuốc trị thoát vị đĩa đệm.jpg" class="lazy" width="820" height="739" data-optimized="1" /><figcaption>Đây là thuốc trị thoát vị đĩa đệm do thầy thuốc đông y Nguyễn Văn Minh khám bệnh, kê đơn thuốc phù hợp cho mỗi người bệnh.</figcaption></figure><p>Tùy theo mức độ thoát vị đĩa đệm nặng nhẹ như thế nào, chèn ép dây thần kinh ra sao, hẹp lỗ liên hợp mức độ nào, chèn ép bao màng cứng nhiều hay ít, có thoái hóa cột sống mọc gai và thoái hóa đĩa đệm mất mất nước hay không &hellip;. Nên thuốc có tác dụng rất tốt trong điều trị bệnh thoát vị đĩa đệm.</p><h3>Thuốc trị thoát vị đĩa đệm đông y</h3><p>Dưới đây là <strong>thuốc trị thoát vị đĩa đệm đông y</strong> được Lương y Nguyễn Văn Minh kê đơn giúp quá trình điều trị thoát vị đĩa đệm của bệnh nhân đạt kết quả tốt nhất. Chi tiết 21 vị thuốc đông y bao gồm:</p><table border="1" cellpadding="1" cellspacing="1"><caption>21 vị thuốc đông y chữa thoát vị đĩa đệm hiệu quả</caption><thead><tr><th>STT</th><th>Tên thuốc</th><th>Trọng lượng</th><th>Ghi chú</th></tr></thead><tbody><tr><td>1</td><td>Mộc qua</td><td>12 gr</td><td>Tẩm dấm ăn, sao chín</td></tr><tr><td>2</td><td>Đương quy</td><td>16 gr</td><td>Bào mỏng, phơi khô, sao vàng hạ thổ</td></tr><tr><td>3</td><td>Ngưu tất</td><td>20 gr</td><td>Ủ rượu, bào mỏng, sao khô</td></tr><tr><td>4</td><td>Thục địa</td><td>20 gr</td><td>Nấu chung với sa nhân, sấy khô, sao nhẹ</td></tr><tr><td>5</td><td>Sơn thù</td><td>12 gr</td><td>Bỏ hạt, tẩm dấm ăn sao khô</td></tr><tr><td>6</td><td>Cẩu tích</td><td>16 gr</td><td>Sao nước muối nhạt</td></tr><tr><td>7</td><td>Tang ký sinh</td><td>16 gr</td><td>Bào mỏng, sao khô</td></tr><tr><td>8</td><td>Tục đoạn</td><td>16 gr</td><td>Tẩy rượu sao chín</td></tr><tr><td>9</td><td>Đan sâm</td><td>20 gr</td><td>Ủ rượu, bào mỏng, sao khô</td></tr><tr><td>10</td><td>Xích thược</td><td>12 gr</td><td>Ủ mềm, bào mỏng, phơi khô, sao chín</td></tr><tr><td>11</td><td>Hà thủ ô đỏ</td><td>20 gr</td><td>Nấu chung với đậu đen xanh lòng, sấy khô</td></tr><tr><td>12</td><td>Chánh hoài sơn</td><td>20 gr</td><td>Sao vàng hạ thổ</td></tr><tr><td>13</td><td>Dạ giao đằng</td><td>12 gr</td><td>Phiến mỏng sao khô</td></tr><tr><td>14</td><td>Bạch phục linh</td><td>16 gr</td><td>Thái mỏng, sấy khô</td></tr><tr><td>15</td><td>Đỗ trọng</td><td>20 gr</td><td>Tẩm nước muối nhạt sao khô</td></tr><tr><td>16</td><td>Thương truật</td><td>16 gr</td><td>Tẩm nước vo gạo sao vàng hạ thổ</td></tr><tr><td>17</td><td>Độc hoạt</td><td>10 gr</td><td>Rửa sạch, thái mỏng, phơi thật khô, sao qua</td></tr><tr><td>18</td><td>Tần giao xoắn</td><td>24 gr</td><td>Bào mỏng, sấy khô, sao qua</td></tr><tr><td>19</td><td>Hồng hoa nhẹ</td><td>12 gr</td><td>Hồng hoa Tây Tạng, loại xịn nhất</td></tr><tr><td>20</td><td>Khương hoạt dẻo</td><td>12 gr</td><td>Rửa sạch, thái miếng, sấy nhẹ cho khô</td></tr><tr><td>21</td><td>Tế tân&nbsp;</td><td>&nbsp;08 gr</td><td>Chánh tế tân, rửa sạch phơi nắng nhẹ</td></tr></tbody></table><figure><img loading="lazy" alt="Thuốc trị thoát vị đĩa đệm đông y" src="data:image/gif;base64,R0lGODlhAQABAID/AP///wAAACwAAAAAAQABAAACAkQBADs=" data-src="https://chuabenhthoatvidiadem.vn/resources/images/thuoc tri thoat vi dia dem(1).jpg" class="lazy" width="864" height="1019" data-optimized="1" /><figcaption>Trên đây là 21 vị thuốc đông y trị thoát vị đĩa đệm, sau khi khám bệnh Lương y Nguyễn Văn Minh sẽ gia thêm những vị thuốc phù hợp với cơ địa mỗi người, để đạt&nbsp;hiệu quả tốt nhất trong điều trị bệnh.</figcaption></figure><h4>Thuốc đông y trị thoát vị đĩa đệm có tốt không?</h4><p>Có! Thuốc đông y trị thoát vị đĩa đệm tốt hơn các loại thuốc khác nhờ những ưu điểm nổi bật như:</p><ol><li>Điều trị thoát vị đĩa đệm mà không cần phẫu thuật.</li><li>Giúp bệnh nhân lành bệnh mà không gây hại cho sức khỏe.</li><li>Tiết kiệm chi phí điều trị cho bệnh nhân.</li><li>Thuốc có tác dụng bổ xương khớp.</li><li>Thuốc giúp lưu thông khí huyết tốt.</li><li>Ngăn ngừa tắc mạch máu rất tốt.</li></ol><figure><img loading="lazy" alt="Thuốc trị thoát vị đĩa đệm đông y" src="data:image/gif;base64,R0lGODlhAQABAID/AP///wAAACwAAAAAAQABAAACAkQBADs=" data-src="https://chuabenhthoatvidiadem.vn/resources/images/thuoc tri thoat vi dia dem(2).jpg" class="lazy" width="902" height="906" data-optimized="1" /><figcaption>Thuốc đông y trị thoát vị đĩa đệm giúp bệnh nhân lành bệnh mà không gây hại cho sức khỏe.</figcaption></figure><p>Trân trọng cảm ơn quý khách đã đồng ý cho chia sẻ thông tin bệnh án ở đây, mục đích giúp đỡ những người không may bị bệnh như vậy, có tư liệu để tham khảo, sau này quý khách nào không muốn thông tin xuất hiện ở đây nữa, chúng tôi sẽ gỡ xuống.</p><p>Mời bạn đọc xem bệnh&nbsp;thoát vị đĩa đệm L4 L5 và L5 S1&nbsp;của anh Trần Văn Thắng.</p><p><img loading="lazy" alt="Phiếu kết quả MRI" src="data:image/gif;base64,R0lGODlhAQABAID/AP///wAAACwAAAAAAQABAAACAkQBADs=" data-src="https://chuabenhthoatvidiadem.vn/resources/images/Phiếu kết quả MRI.jpg" class="lazy" width="859" height="1200" data-optimized="1" /></p><p>Phiếu kết quả MRI của anh Trần Văn Thắng 47 tuổi ở Long An. Bác sĩ mô tả hình ảnh thoát vị đĩa đệm như sau;</p><p>Gai thoái hóa các thân sống thắt lưng, thoái hóa mất nước các đĩa đệm thắt lưng.</p><p>Thoát vị đĩa đệm L4-5 ra sau #6mm, trung tâm lệch trái, ép chùm đuôi ngựa và rễ thần kinh L5 hai bên (T)&gt;(P).</p><p>Thoát vị đĩa đệm L5-S1 ra sau #8mm, trung tâm lệch phải, di trú xuống dưới, ép chùm đuôi ngựa và rễ thần kinh S1 hai bên (P)&gt;(T).</p><p>Lồi đĩa đệm tầng L3-L4, ép nhẹ mặt trước màng cứng, không ép rễ thần kinh.</p><p>Không thấy bất thường mô mềm cạnh sống.</p><p><a href="https://chuabenhthoatvidiadem.vn/resources/files/Trần Văn Thắng 1976 TV BĐ Long An 240229.mp3" title="">Bài thuốc đông y chữa thoát vị đĩa đệm đã chữa khỏi bệnh cho anh Thắng mà không phải mổ thoát vị đĩa đệm, anh đồng ý chia sẻ ý kiến phản hồi và kết quả chụp MRI của mình.</a></p><p>Phòng khám đông y Bảo Minh - Khám chữa bệnh thoát vị đĩa đệm đông y. Phòng khám chỉ đăng thông tin địa chỉ, kết quả chụp MRI thoát vị đĩa đệm, hoặc số điện thoại khi được sự đồng ý của quý khách, đây là những câu chuyện thật về thuốc chữa thoát vị đĩa đệm đông y. Ai bị bệnh nhẹ, ít đau, ít nhức hoặc mới bị bệnh không cần nghe hết, xem hết những nội dung ở trang web này, còn ai bị bệnh nặng, thoát vị đĩa đệm chèn ép chèn ép rễ thần kinh nhiều, ép bao màng cứng, làm hẹp lỗ liên hợp, gây đau nhiều nhức nhiều, đã uống nhiều loại thuốc nhưng chưa hết bệnh, đi bệnh viện bác sĩ bảo mổ thì nên nghe hết, xem hết những câu chuyện thật ở đây, quý khách sẽ tự cảm nhận và chọn thuốc chữa thoát vị đĩa đệm tốt nhất cho mình.</p><p><img loading="lazy" alt="Thuoc-tri-thoat-vi-dia-dem" src="data:image/gif;base64,R0lGODlhAQABAID/AP///wAAACwAAAAAAQABAAACAkQBADs=" data-src="https://chuabenhthoatvidiadem.vn/resources/images/Thuoc-tri-thoat-vi-dia-dem(2).jpg" style="width: 884px; height: 1200px;" class="lazy" width="884" height="1200" data-optimized="1" /></p><p style="text-align: justify;">Thuốc chữa thoát vị đĩa đệm cho chị Thúy&nbsp;ở Đồng Tháp, giúp chị hết đau nhức và dần phục hồi bên chân bị teo, chị chạy xe đưa đón con đi học được. Mời quý khách bấm vào ô dưới&nbsp;để nghe chị Thúy kể uống thuốc chữa thoát vị đĩa đệm.</p><p><a title="" href="https://chuabenhthoatvidiadem.vn/resources/files/do thi thuy 87 tv.mp3">Thuốc chữa thoát vị đĩa đệm đông y</a></p><p>Có thể quý khách quan tâm:</p><p>-&nbsp;<a title="" href="https://chuabenhthoatvidiadem.vn/cach-chua-benh/thay-thuoc-dong-y-tieu-bieu-toan-quoc-pid-337.html">Lương y Nguyễn Văn Minh vinh dự nhận danh hiệu: THẦY THUỐC ĐÔNG Y TIÊU BIỂU TOÀN QUỐC</a></p><p style="text-align: justify;">-&nbsp;<a title="" href="https://chuabenhthoatvidiadem.vn/cach-chua-benh/giay-phep-kham-chua-benh-cua-luong-y-nguyen-van-minh-pid-30.html">Giấy phép&nbsp;</a><a title="" href="https://chuabenhthoatvidiadem.vn/cach-chua-benh/giay-phep-kham-chua-benh-cua-luong-y-nguyen-van-minh-pid-30.html" style="text-align: justify;">Lương y Nguyễn Văn Minh</a>&nbsp;<a title="" href="https://chuabenhthoatvidiadem.vn/cach-chua-benh/giay-phep-kham-chua-benh-cua-luong-y-nguyen-van-minh-pid-30.html">chữa bệnh bằng y học cổ truyền tại TP. Hồ Chí Minh</a></p><p><img loading="lazy" alt="Thuoc-tri-thoat-vi-dia-dem" src="data:image/gif;base64,R0lGODlhAQABAID/AP///wAAACwAAAAAAQABAAACAkQBADs=" data-src="https://chuabenhthoatvidiadem.vn/resources/images/Thuoc-tri-thoat-vi-dia-dem(1).jpg" style="width: 860px; height: 1200px;" class="lazy" width="860" height="1200" data-optimized="1" /></p><p style="text-align: justify;">Chữa thoát vị đĩa đệm ở Đắk Lắk nhưng chưa hết đau nhức.&nbsp;Anh Vũ Tiến Mạnh tìm đến Phòng Khám đông y Bảo Minh để mua thuốc trị thoát vị đĩa đệm. Anh đồng ý cho quay&nbsp;video và chia sẻ kết quả chụp MRI, với&nbsp;mong muốn ai bị bệnh như vậy biết chỗ để mua thuốc trị bệnh. Quý khách nào&nbsp;ở TP Buôn Ma Thuột, muốn trị thoát vị đĩa đệm bằng thuốc đông y,&nbsp;nên hỏi kinh nghiệm trực tiếp từ anh Mạnh&nbsp;sẽ tốt&nbsp;hơn.</p><p><span class="optimize-cls-iframe" data-src="https://www.youtube.com/embed/aLE2gX69ReA">https://www.youtube.com/embed/aLE2gX69ReA</span></p><p><span style="text-align: justify;">Xin trân trọng cảm ơn anh Vũ Tiến Mạnh đã đồng ý chia sẻ video này.</span></p><p>Đông y lý giải bệnh thoát vị đĩa đệm là do chính khí cơ thể nhân lúc suy yếu, các tà khí như; phong, hàn, thấp, nhiệt xâm phạm cơ thể, ẩn nấp vào gân cơ, khớp xương, kinh lạc làm sự vận hành của khí huyết bị tắc nghẽn, gây nên các triệu chứng đau nhức, tê bì, chân tay yếu mỏi. Gốc bệnh là do hai tạng can và thận hư yếu hoặc bệnh lâu ngày làm khí huyết giảm sút dẫn đến can, thận bị hư tổn. Thận yếu không chủ được cốt tủy, can huyết hư không nuôi dưỡng được gân làm xương khớp, đĩa đệm bị thoái hóa mất nước, bao xơ dây mất độ đàn hồi, thiếu dẻo dai không chắc chắn rất dễ bị thoát vị đĩa đệm.</p><p>Quý khách xem bài thuốc tại đây: <a href="https://chuabenhthoatvidiadem.vn/cach-chua-benh/bai-thuoc-chua-thoat-vi-dia-dem-khang-dinh-uy-tin-cua-thay-thuoc-pid-215.html" title="Thuốc trị thoát vị đĩa đệm đông y">Thuốc trị thoát vị đĩa đệm đông y</a></p><p>Dưới đây là câu chuyện của bà Trần Thị Bé 76 tuổi, nhà ở ấp Bình Thủy, xã Hòa Khánh Đông, huyện Đức Hòa, Long An. Bà đến phòng khám đông y Bảo Minh chữa bệnh đau lưng do thoái hóa cột sống, lồi đĩa đệm, gai thoái hóa. Bà kể chuyện; người quen gần nhà bà uống thuốc chữa thoát vị đĩa đệm ở phòng khám đã hết bệnh, hết đau, hết nhức, nên bà tin tưởng đến khám bệnh và mua thuốc uống.</p><p><img loading="lazy" alt="Kết quả chụp MRI cột sống thắt lưng" src="data:image/gif;base64,R0lGODlhAQABAID/AP///wAAACwAAAAAAQABAAACAkQBADs=" data-src="https://chuabenhthoatvidiadem.vn/resources/images/Kết quả chụp MRI.jpg" class="lazy" width="841" height="1200" data-optimized="1" /></p><p>Kết quả chụp MRI cộng hưởng từ cột sống thắt lưng, của bà Trần Thị Bé ở Long An.</p><p><span class="optimize-cls-iframe" data-src="https://www.youtube.com/embed/nOgBPV9PBcs">https://www.youtube.com/embed/nOgBPV9PBcs</span></p><p>Bà đồng ý cho quay video và chia sẻ kết quả MRI của bà để giới thiệu cách chữa ở đây. Xin trân trọng cảm ơn bà Trần Thị Bé.</p><p><img loading="lazy" alt="Thuốc trị thoát vị đĩa đệm" src="data:image/gif;base64,R0lGODlhAQABAID/AP///wAAACwAAAAAAQABAAACAkQBADs=" data-src="https://chuabenhthoatvidiadem.vn/resources/images/thuoc tri thoat vi dia dem(2).jpg" class="lazy" width="902" height="906" data-optimized="1" /></p><p>Mua thuốc trị thoát vị đĩa đệm ở đâu TpHCM?</p><h3>Phòng Khám Bảo Minh - Địa chỉ bán thuốc trị thoát vị đĩa đệm uy tín tại TpHCM</h3><p>Quý bệnh nhân cần thăm khám, mua thuốc trị thoát vị đĩa đệm vui lòng đến Phòng Khám Bảo Minh ở địa chỉ 856/6 Quang Trung, Quận Gò Vấp, TpHCM. Với nhiều năm kinh nghiệm cùng với những vị thuốc tốt nhất, Phòng Khám Bảo Minh là nơi khám chữa bệnh uy tín cho rất nhiều bệnh nhân thoát vị đĩa đệm ở TpHCM.</p><p>Liên hệ Phòng Khám Đông Y Bảo Minh:</p><address><ul><li>Tên phòng khám: Phòng Khám Đông Y Bảo Minh</li><li>Địa chỉ: 856/6 Quang Trung, phường Thông Tây Hội,&nbsp;<span style="font-style: italic;">TpHCM</span>&nbsp; (trước đây là Phường 8, Quận Gò Vấp).</li><li>Điện thoại: <a href="tel:0913503552" rel="nofollow" title="Gọi 0913 503 552">0913 503 552</a></li><li>Website:</li><li>https://thoatvidiadem.top</li><li>https://chuabenhthoatvidiadem.vn</li></ul></address><p>Zalo thầy thuốc tư vấn, gặp trực tiếp: 0913 503 552.</p><p>​Tag: #thuoctrithoatvidiadem #thuocchuathoatvidiadem #thuocdongytrithoatvidiadem</p>]]></content:encoded>
						<wfw:commentRss></wfw:commentRss>
						<slash:comments>0</slash:comments>
					</item>
				
					<item>
						<title>Cách phát hiện bệnh thoát vị đĩa đệm, lồi đĩa đệm</title>
						<link>https://chuabenhthoatvidiadem.vn/bai-viet/luong-y-nguyen-van-minh-chua-thoat-vi-dia-dem/cach-phat-hien-benh-thoat-vi-dia-dem-loi-dia-dem-pid-263.html</link>
						<comments></comments>
						<pubDate>Fri, 14 Jun 2019 02:54:04 +0700</pubDate>
						<dc:creator>admin</dc:creator>
						<category><![CDATA[Lương y Nguyễn Văn Minh chữa thoát vị đĩa đệm]]></category>
						<guid isPermaLink="false"></guid>
						<description><![CDATA[Cách phát hiện bệnh thoát vị đĩa đệm, lồi đĩa đệm chính xác nhất là chụp cộng hưởng từ cột sống, viết tắt là chụp MRI. Chụp MRI cột sống cổ hoặc cột sống thắt lưng không những phát hiện thoát vị đĩa đệm, mà còn phát hiện những bệnh lý cột sống (nếu có) như: Nang cột sống, u cột sống, thoái hóa cột sống, trượt đốt sống, lệch vẹo cột sống, xẹp đĩa đệm, gai xương cột sống, thoái hóa đĩa đệm mất nước, dày dây chằng vàng, rách bao xơ đĩa đệm, hẹp ngách bên hoặc hẹp lỗ liên hợp, chèn ép rễ thần kinh.v.v.]]></description>
						<content:encoded><![CDATA[<p style="text-align: justify;"><em style="text-align: justify;"><span style="font-size:18px;">Bệnh thoát vị đĩa đệm, lồi đĩa đệm&nbsp;có những triệu chứng để bác sĩ chẩn đoán, nhưng cách phát hiện bệnh thoát vị đĩa đệm chính xác là phải&nbsp;dựa vào chụp cộng hưởng từ (chụp MRI cột sống). Chụp MRI cột sống cổ hoặc cột sống thắt lưng không những phát bệnh hiện thoát vị đĩa đệm, mà còn phát hiện những bệnh lý cột sống (nếu có) như: Các khối u, nang bất thường, các tổn thương&nbsp;ác tính đốt sống,&nbsp;bệnh lý nhiễm trùng thân sống đĩa đệm,&nbsp;thoái hóa cột sống, trượt đốt sống, lệch vẹo cột sống, xẹp đĩa đệm, gai xương đốt sống, thoái hóa đĩa đệm mất nước, dày dây chằng vàng, rách bao xơ đĩa đệm, hẹp ngách bên hoặc hẹp lỗ liên hợp, chèn ép rễ thần kinh.v.v.</span></em></p><p><em style="text-align: justify;"><span style="font-size:18px;"><img loading="lazy" alt="Thoat vi dia dem" src="data:image/gif;base64,R0lGODlhAQABAID/AP///wAAACwAAAAAAQABAAACAkQBADs=" data-src="https://chuabenhthoatvidiadem.vn/resources/images/Thoát vị đĩa đệm(3).jpg" style="width: 650px; height: 867px;" class="lazy" width="900" height="1200" data-optimized="1" /><span style="font-size:14px;">Hình ảnh thoát vị đĩa đệm L4 L5 S1 trên phim chụp MRI cột sống thắt lưng</span></span></em></p><p><em style="text-align: justify;"><span style="font-size:18px;"><img loading="lazy" alt="Thoát vị đĩa đệm lưng" src="data:image/gif;base64,R0lGODlhAQABAID/AP///wAAACwAAAAAAQABAAACAkQBADs=" data-src="https://chuabenhthoatvidiadem.vn/resources/images/Chụp MRI.jpg" style="width: 650px; height: 787px;" class="lazy" width="991" height="1200" data-optimized="1" /></span></em></p><p><span style="font-size:14px;"><em style="text-align: justify;">Hình ảnh&nbsp;chụp cộng hưởng từ cột sống thắt lưng.&nbsp;</em></span></p><p><strong style="text-align: justify;"><span style="font-size: 18px;">CHỤP&nbsp;MRI ở BỆNH VIỆN CHỢ RẪY</span></strong></p><p><strong style="text-align: justify;"><span style="font-size: 18px;"><img loading="lazy" alt="MRI- thoat-vi-dia-dem-co" src="data:image/gif;base64,R0lGODlhAQABAID/AP///wAAACwAAAAAAQABAAACAkQBADs=" data-src="https://chuabenhthoatvidiadem.vn/resources/images/MRI cot-song-co.jpg" style="width: 699px; height: 768px;" class="lazy" width="699" height="768" data-optimized="1" /></span></strong></p><p><span style="font-size:16px;">Phiếu kết quả MRI cột sống cổ, chụp tại bệnh viện Chợ Rẫy.&nbsp;<a href="https://chuabenhthoatvidiadem.vn/cach-chua-benh/nghe-truc-tiep-nhung-nguoi-duoc-luong-y-minh-chua-khoi-thoat-vi-dia-dem-cid-4-10.html" rel="noopener" style="color: rgb(102, 0, 153); cursor: pointer; text-decoration-line: none; font-family: arial, sans-serif; font-size: small;" target="_blank" title="">Bấm vào đây xem hiệu quả chữa bệnh bằng thuốc đông y.</a></span></p><p>&nbsp;</p><p><strong><span style="font-size: 18px;">CHỤP&nbsp;MRI ở BỆNH VIỆN CHẤN THƯƠNG CHỈNH HÌNH TP. HCM</span></strong></p><p><strong><span style="font-size: 18px;"><img loading="lazy" alt="Chụp MRI ở bệnh viện Chấn Thương Chỉnh Hình TP. HCM" src="data:image/gif;base64,R0lGODlhAQABAID/AP///wAAACwAAAAAAQABAAACAkQBADs=" data-src="https://chuabenhthoatvidiadem.vn/resources/images/bv-chan-thuong-chinh-hinh.jpg" style="width: 650px; height: 866px;" class="lazy" width="881" height="1174" data-optimized="1" /></span></strong></p><p><span style="font-size:16px;">Kết quả chụp cộng hưởng từ cột sống thắt lưng tại bv chấn Thương Chỉnh Hình Tp. Hồ chí Minh. Sau khi điều trị tại phòng khám đông y Bảo Minh đã khỏi hẳn.&nbsp;<a data-ctbtn="0" data-cthref="/url?sa=t&amp;rct=j&amp;q=&amp;esrc=s&amp;source=web&amp;cd=44&amp;ved=2ahUKEwiAjdrIkfPmAhUJ6XMBHZiDBPQ4KBAWMAN6BAgBEAE&amp;url=https%3A%2F%2Fchuabenhthoatvidiadem.vn%2Fcach-chua-benh%2Fket-qua-dieu-tri-thoat-vi-dia-dem-cid-2-10.html&amp;usg=AOvVaw1CERIJ0fexNjMSyKGYHCvj" href="https://www.google.com.vn/url?sa=t&amp;rct=j&amp;q=&amp;esrc=s&amp;source=web&amp;cd=44&amp;ved=2ahUKEwiAjdrIkfPmAhUJ6XMBHZiDBPQ4KBAWMAN6BAgBEAE&amp;url=https%3A%2F%2Fchuabenhthoatvidiadem.vn%2Fcach-chua-benh%2Fket-qua-dieu-tri-thoat-vi-dia-dem-cid-2-10.html&amp;usg=AOvVaw1CERIJ0fexNjMSyKGYHCvj" rel="noopener" style="color: rgb(102, 0, 153); cursor: pointer; text-decoration-line: none; font-family: arial, sans-serif; font-size: small;" target="_blank" title="">Bấm vào đây xem chi tiết</a></span></p><p><strong><span style="font-size: 18px;">KẾT QUẢ CHỤP&nbsp;CỘNG HƯỞNG TỪ MRI CỘT SỐNG THẮT LƯNG </span></strong></p><p><strong><span style="font-size: 18px;">BỆNH VIỆN CHUYÊN KHOA NGOẠI THẦN KINH QUỐC TẾ TP. HCM</span></strong></p><p><img loading="lazy" alt="Bệnh viện ngoại thần kinh quốc tế" src="data:image/gif;base64,R0lGODlhAQABAID/AP///wAAACwAAAAAAQABAAACAkQBADs=" data-src="https://chuabenhthoatvidiadem.vn/resources/images/MRI cột sống thắt lưng (2).jpg" style="width: 844px; height: 1141px;" class="lazy" width="844" height="1141" data-optimized="1" /></p><p><strong><span style="font-size:18px;">CHỤP&nbsp;MRI ở KHU Y TẾ KỸ THUẬT CAO - 1A. QUẬN TÂN BÌNH TP.HCM</span></strong></p><p><em style="text-align: justify;"><span style="font-size:18px;"><img loading="lazy" alt="Thoát vị đĩa đệm cột sống thắt lưng" src="data:image/gif;base64,R0lGODlhAQABAID/AP///wAAACwAAAAAAQABAAACAkQBADs=" data-src="https://chuabenhthoatvidiadem.vn/resources/images/Chữa thoát vị đệm đệm.jpg" style="width: 650px; height: 942px;" class="lazy" width="828" height="1200" data-optimized="1" /></span></em></p><p style="text-align: justify;"><span style="font-size:16px;"><span style="font-size:14px;"><em style="text-align: justify;">Người bệnh chụp cộng hưởng từ cột sống thắt lưng, bác sĩ chẩn đoán hình ảnh KHU Y TẾ KỸ THUẬT CAO - 1A ở Quận Tân Bình, TP. HCM kết luận:</em></span></span></p><p style="text-align: justify;"><span style="font-size:16px;">Lồi đĩa đệm tầng L4/5 ra sau, kích thước #5mm, ép vào rễ thần kinh hai bên và gây hẹp ống sống (DAP #6mm).</span></p><p style="text-align: justify;"><span style="font-size:16px;">Thoát vị đĩa đệm tầng L5/S1 ra sau trung tâm, kích thước #6,5mm, chèn ép vào rễ thần kinh S1 hai bên.</span></p><p style="text-align: justify;">&nbsp;</p><p style="text-align: justify;"><strong><span style="font-size:18px;">CHỤP&nbsp;MRI ở BỆNH VIỆN CHUYÊN KHOA NGOẠI THẦN KINH QUỐC TẾ. QUẬN TÂN PHÚ</span></strong></p><p style="text-align: justify;">&nbsp;</p><p style="text-align: justify;"><span style="font-size:16px;"><img loading="lazy" alt="Thoát vị đĩa đệm cổ" src="data:image/gif;base64,R0lGODlhAQABAID/AP///wAAACwAAAAAAQABAAACAkQBADs=" data-src="https://chuabenhthoatvidiadem.vn/resources/images/Thoát vị đĩa đệm(2).jpg" style="width: 650px; height: 867px;" class="lazy" width="900" height="1200" data-optimized="1" /></span></p><p><em style="text-align: justify;"><span style="font-size:18px;"><span style="font-size:14px;">Kết quả chụp cộng hưởng từ MRI cột sống cổ, của một bệnh nhân nữ&nbsp;ở TP. HCM. Chị được bác sĩ cộng hưởng từ ở bệnh viện Chuyên Khoa Ngoại Thần Kinh Quốc Tế, Quận Tân Phú, TP. HCM kết luận:</span></span></em></p><p style="text-align: justify;"><span style="font-size:16px;">Tổn thương phù nhẹ tủy cổ ngang tầng C4/5. Thoái hóa nhẹ&nbsp;cột sống cổ. Thoát vị đĩa đệm C3/4 ra sau trung tâm lệch (P), kèm gai xương, chèn ép nhẹ mặt trước tủy, gây hẹp nhẹ ống sống, chèn ép ngách bên, hẹp lỗ liên hợp hai bên (P)&gt;(T), chèn ép rễ thần kinh C4 hai bên (P)&gt;(T).</span></p><p style="text-align: justify;"><span style="font-size:16px;">Thoát vị đĩa đệm C4/5 ra sau trung tâmlệch (P), chèn ép mặt trước tủy, gây hẹp ống sống nặng, chèn ép ngách bên (P)&gt;(T), hẹp lỗ liên hợp phải, chèn ép rễ thần kinh C5 bên (P).</span></p><p style="text-align: justify;">&nbsp;</p><p style="text-align: justify;"><strong style="text-align: justify;"><span style="font-size: 18px;">CHỤP&nbsp;MRI ở BỆNH VIỆN&nbsp;ĐA KHOA HỒNG ĐỨC QUẬN. QUẬN&nbsp;GÒ VẤP TP.HCM</span></strong></p><p style="text-align: justify;"><span style="font-size:16px;"><img loading="lazy" alt="Bệnh viện đa khoa Hồng Đức" src="data:image/gif;base64,R0lGODlhAQABAID/AP///wAAACwAAAAAAQABAAACAkQBADs=" data-src="https://chuabenhthoatvidiadem.vn/resources/images/20190605_112138.jpg" style="width: 650px; height: 708px;" class="lazy" width="1102" height="1200" data-optimized="1" /></span></p><p><em><span style="font-size:14px;">Kết quả chụp MRI cột sống thắt lưng của một bệnh nhân nam, 36&nbsp;tuổi ở TP.HCM do bác sĩ chuyên khoa I kết luận như sau:</span></em></p><p style="text-align: justify;"><span style="font-size:16px;">Lồi đĩa đệm tầng L4/5 ra sau trung tâm # 4mm, làm hẹp ống sống (đường kính trước sau # 8,5mm, đường kính ngang # 16mm), đè nhẹ rễ thần kinh gai sống L5 hai bên.</span></p><p style="text-align: justify;"><span style="font-size:16px;">Thoái hóa mất nước đĩa đệm tầng L4/5, thoái hóa khớp sau, khớp liên mấu tầng L4/5.</span></p><p style="text-align: justify;"><strong><span style="font-size: 18px;">CHỤP&nbsp;MRI ở BỆNH VIỆN NGUYỄN TRI PHƯƠNG. QUẬN 10&nbsp;TP. HCM</span></strong></p><p style="text-align: justify;"><span style="font-size:16px;"><img loading="lazy" alt="Thoát vị đĩa đêm lưng" src="data:image/gif;base64,R0lGODlhAQABAID/AP///wAAACwAAAAAAQABAAACAkQBADs=" data-src="https://chuabenhthoatvidiadem.vn/resources/images/thoat vi dia dem.jpg" style="width: 650px; height: 918px;" class="lazy" width="725" height="1024" data-optimized="1" /></span></p><p style="text-align: justify;">&nbsp;</p><p style="text-align: justify;"><span style="text-align: justify;"><span style="font-weight: bold; font-size: 18px;">CHỤP&nbsp;MRI ở BỆNH VIỆN QUỐC TẾ&nbsp;CHẤN THƯƠNG CHỈNH HÌNH SÀI GÒN ITO. QUẬN TÂN BÌNH&nbsp;</span></span><strong style="text-align: justify;"><span style="font-size: 18px;">TP. HCM</span></strong></p><p style="text-align: justify;"><strong style="text-align: justify;"><span style="font-size: 18px;"><img loading="lazy" alt="thoatvidiadem" src="data:image/gif;base64,R0lGODlhAQABAID/AP///wAAACwAAAAAAQABAAACAkQBADs=" data-src="https://chuabenhthoatvidiadem.vn/resources/images/thoatvidiadem.jpg" style="width: 650px; height: 810px;" class="lazy" width="822" height="1024" data-optimized="1" /></span></strong></p><p style="text-align: justify;">&nbsp;</p><p style="text-align: justify;"><strong style="text-align: justify;"><span style="font-size: 18px;">CHỤP&nbsp;MRI ở BỆNH VIỆN QUỐC TẾ ĐỒNG NAI</span></strong></p><p style="text-align: justify;"><strong style="text-align: justify;"><span style="font-size: 18px;"><img loading="lazy" alt="Chụp MRI ở bệnh viện Quốc Tế Đồng Nai" src="data:image/gif;base64,R0lGODlhAQABAID/AP///wAAACwAAAAAAQABAAACAkQBADs=" data-src="https://chuabenhthoatvidiadem.vn/resources/images/Rách vòng xơ, lồi đĩa đệm L4L5.jpg" style="width: 619px; height: 890px;" class="lazy" width="619" height="890" data-optimized="1" /></span></strong></p><p style="text-align: justify;"><strong style="text-align: justify;"><span style="font-size: 18px;">CHỤP&nbsp;MRI ở BỆNH VIỆN&nbsp;ĐA KHOA VẠN PHÚC, TP THỦ DẦU MỘT, BÌNH DƯƠNG.</span></strong></p><p style="text-align: justify;"><strong style="text-align: justify;"><span style="font-size: 18px;"><img loading="lazy" alt="CHỤP MRI ở BỆNH VIỆN ĐA KHOA VẠN PHÚC" src="data:image/gif;base64,R0lGODlhAQABAID/AP///wAAACwAAAAAAQABAAACAkQBADs=" data-src="https://chuabenhthoatvidiadem.vn/resources/images/Bệnh viện đa khoa Vạn Phúc.jpg" style="width: 834px; height: 1200px;" class="lazy" width="834" height="1200" data-optimized="1" /></span></strong></p><p style="text-align: justify;">&nbsp;KẾT QUẢ CỘNG HƯỞNG TỪ (MRI). BỆNH VIỆN ĐA KHOA HOÀN MỸ SÀI GÒN.</p><p style="text-align: justify;"><img loading="lazy" alt="Bệnh viện Hoàn Mỹ Sài Gòn" src="data:image/gif;base64,R0lGODlhAQABAID/AP///wAAACwAAAAAAQABAAACAkQBADs=" data-src="https://chuabenhthoatvidiadem.vn/resources/images/Bệnh viện Hoàn Mỹ Sài Gòn.jpg" style="width: 840px; height: 1152px;" class="lazy" width="840" height="1152" data-optimized="1" /></p><p style="text-align: justify;">kẾT QUẢ MRI - Chụp tại bệnh viện ĐHYD Shing Mark, Đồng Nai.</p><p style="text-align: justify;"><img loading="lazy" alt="Bệnh viện ĐHYD Shing Mark" src="data:image/gif;base64,R0lGODlhAQABAID/AP///wAAACwAAAAAAQABAAACAkQBADs=" data-src="https://chuabenhthoatvidiadem.vn/resources/images/Bệnh viện ĐHYD Shing Mark.jpg" style="width: 846px; height: 1200px;" class="lazy" width="846" height="1200" data-optimized="1" /></p><p style="text-align: justify;"><span style="font-size:16px;">Hình ảnh thoát vị đĩa đệm trên phim chụp MRI. Xem video clip dưới đây.</span></p><p style="text-align: justify;"><span style="font-size:16px;"><span class="optimize-cls-iframe" data-src="https://www.youtube.com/embed/wrJ0UQLOPY0">https://www.youtube.com/embed/wrJ0UQLOPY0</span></span></p><p style="color: rgb(128, 128, 128); font-family: arial, sans-serif; font-size: small; white-space: nowrap;"><span style="background-color: transparent; color: rgb(0, 0, 0); font-family: RobotoSlab-Regular, Arial, Helvetica, sans-serif; font-size: 16px; text-align: justify;">Lương y Nguyễn Văn Minh chuyên chữa </span><a data-ved="2ahUKEwjnq-e45ZL4AhWtglYBHVi0ATIQFnoECAIQAQ" href="https://chuabenhthoatvidiadem.vn/" ping="/url?sa=t&amp;source=web&amp;rct=j&amp;url=https://chuabenhthoatvidiadem.vn/&amp;ved=2ahUKEwjnq-e45ZL4AhWtglYBHVi0ATIQFnoECAIQAQ" style="color: rgb(26, 13, 171); text-decoration-line: none; -webkit-tap-highlight-color: rgba(0, 0, 0, 0.1); outline: 0px; font-family: arial, sans-serif; font-size: small;" title="">Thoát Vị Đĩa Đệm</a>&nbsp;<span style="background-color: transparent; color: rgb(0, 0, 0); font-family: RobotoSlab-Regular, Arial, Helvetica, sans-serif; font-size: 16px; text-align: justify;">ở TP. HCM. </span></p><p style="color: rgb(128, 128, 128); font-family: arial, sans-serif; font-size: small; white-space: nowrap;"><span style="background-color: transparent; color: rgb(0, 0, 0); font-family: RobotoSlab-Regular, Arial, Helvetica, sans-serif; font-size: 16px; text-align: justify;">&nbsp;Trang web có 2 tên miền;</span></p><p style="color: rgb(128, 128, 128); font-family: arial, sans-serif; font-size: small; white-space: nowrap;"><span style="color: rgb(0, 0, 0); font-family: RobotoSlab-Regular, Arial, Helvetica, sans-serif; font-size: 16px; text-align: justify; white-space: nowrap;">&nbsp;thoatvidiadem.top và chuabenhthoatvidiadem.vn</span></p><h3 class="r" style="line-height: 1.1; white-space: nowrap; background-image: initial; background-position: initial; background-size: initial; background-repeat: initial; background-attachment: initial; background-origin: initial; background-clip: initial; box-sizing: border-box; margin: 0px; padding: 0px; border: 0px; outline: 0px; font-size: 18px; vertical-align: baseline; font-family: RobotoSlab-Regular, Arial, Helvetica, sans-serif; color: rgb(0, 0, 0); max-width: 100%; overflow: hidden; text-overflow: ellipsis;"><a href="https://chuabenhthoatvidiadem.vn/" style="color: rgb(102, 0, 153); box-sizing: border-box; margin: 0px; padding: 0px; border: 0px; outline: 0px; vertical-align: baseline; background: transparent; text-decoration-line: none; transition: all 406ms ease-out 0s; max-width: 100%; cursor: pointer;" target="_blank" title="">Thoát Vị Đĩa Đệm</a></h3><div class="s" style="white-space: nowrap; background-image: initial; background-position: initial; background-size: initial; background-repeat: initial; background-attachment: initial; background-origin: initial; background-clip: initial; box-sizing: border-box; margin: 0px; padding: 0px; border: 0px; outline: 0px; font-size: 16px; vertical-align: baseline; position: relative; max-width: 48em; font-family: RobotoSlab-Regular, Arial, Helvetica, sans-serif; color: rgb(84, 84, 84); line-height: 18px;"><div class="f kv _SWb" style="box-sizing: border-box; margin: 0px; padding: 0px; border: 0px; outline: 0px; font-size: small; vertical-align: baseline; background: transparent; position: relative; max-width: 100%; color: rgb(128, 128, 128); height: 18px; line-height: 16px; font-family: arial, sans-serif;"><cite class="_Rm" style="box-sizing: border-box; margin: 0px; padding: 0px; border: 0px; outline: 0px; font-size: 14px; vertical-align: baseline; background: transparent; max-width: 100%; color: rgb(0, 102, 33); font-style: normal;">chuabenhthoatvidiadem.vn</cite></div></div>]]></content:encoded>
						<wfw:commentRss></wfw:commentRss>
						<slash:comments>0</slash:comments>
					</item>
				
					<item>
						<title>Thuốc đặc trị thoát vị đĩa đệm</title>
						<link>https://chuabenhthoatvidiadem.vn/bai-viet/kham-chua-benh-thoat-vi-dia-dem/thuoc-dac-tri-thoat-vi-dia-dem-pid-256.html</link>
						<comments></comments>
						<pubDate>Mon, 20 May 2019 09:13:26 +0700</pubDate>
						<dc:creator>admin</dc:creator>
						<category><![CDATA[Khám chữa bệnh thoát vị đĩa đệm]]></category>
						<guid isPermaLink="false"></guid>
						<description><![CDATA[Thuốc đặc trị thoát vị đĩa đệm là thuốc có tác dụng trị thoát vị đĩa đệm đặc hiệu, sau 10 ngày uống thuốc và đắp thuốc thấy bớt bệnh, sau 20 ngày sử dụng thuốc, người bệnh kể: &quot;Tôi hết tê chân tới 90%, hết đau chân&quot;. Lương y Nguyễn Văn Minh có tiếng mát tay chính là nhờ thuốc đặc trị này trong 25 năm qua.]]></description>
						<content:encoded><![CDATA[<p style="text-align: justify;"><span style="font-size:18px;"><em>Thuốc đặc trị thoát vị đĩa đệm là thuốc do Lương y Nguyễn Văn Minh bào chế, những trường hợp thoát vị đĩa đệm mức độ nhẹ và trung bình, thuốc có hiệu quả sau 10 ngày uống thuốc và bóp thuốc, đắp thuốc. </em></span></p><p><span style="font-size:18px;"><em><img loading="lazy" alt="Phòng khám đông y Bảo Minh" src="data:image/gif;base64,R0lGODlhAQABAID/AP///wAAACwAAAAAAQABAAACAkQBADs=" data-src="https://chuabenhthoatvidiadem.vn/resources/images/20190328_141143.jpg" style="width: 650px; height: 488px;" class="lazy" width="1600" height="1200" data-optimized="1" /></em></span></p><p style="text-align: justify;"><span style="font-size:16px;">Dưới đây là câu chuyện của bác Trần&nbsp;Quế và lương y Nguyễn Văn Minh, ghi hình tại phòng khám đông y Bảo Minh.&nbsp;Tôi đã xin phép và được sự đồng ý của bác. Bác Quế 65 tuổi, ở TPHCM&nbsp;bị thoát vị đĩa đệm chèn ép rễ thần kinh, gây đau nhức và tê chân. Trước đây bác Quế có uống thuốc tây theo đơn của bác sĩ ở bệnh viện, nhưng chân&nbsp;bị phù, sưng chân và không hết đau, không hết&nbsp;tê chân. Bác Quế tìm tới phòng khám&nbsp;của lương y Nguyễn Văn Minh để khám bệnh và mua thuốc. Sau khi&nbsp;sử dụng thuốc đặc trị để chữa bệnh,&nbsp;bác Quế kể: &quot;Sau 10 ngày hết phù hết sưng chân, sau 20 ngày bớt&nbsp;tê chân tới 90%&quot;.&nbsp;(*)</span></p><p style="text-align: justify;"><span style="font-size:16px;">Bác Quế đồng ý cho chia sẻ kết quả chụp MRI để giới thiệu làm phước.</span></p><p style="text-align: justify;"><span style="font-size:16px;"><img loading="lazy" alt="Thoát vị đĩa đệm L4 L5" src="data:image/gif;base64,R0lGODlhAQABAID/AP///wAAACwAAAAAAQABAAACAkQBADs=" data-src="https://chuabenhthoatvidiadem.vn/resources/images/Thoát vị đĩa đệm L4 L5 (3).jpg" style="width: 806px; height: 1200px;" class="lazy" width="806" height="1200" data-optimized="1" /><span style="font-size:14px;"><em>Phòng khám đông y Bảo Minh xin trân trọng cảm ơn bác Trần Quế.</em></span></span></p><p style="text-align: justify;"><span style="font-size: 16px;">Bạn đọc xem tới cuối buổi nói chuyện sẽ thấy bác Quế cho biết địa chỉ của bác đang ở tại Tp Hồ Chí Minh.</span></p><p><span class="optimize-cls-iframe" data-src="https://www.youtube.com/embed/uPj0mIAp2gw">https://www.youtube.com/embed/uPj0mIAp2gw</span></p><p style="text-align: justify;"><span style="font-size:16px;">&nbsp;(*) Lưu ý: Thuốc đặc&nbsp;trị thoát vị đĩa đệm/&nbsp;có tác dụng chữa bệnh nhanh chậm tùy theo cơ địa mỗi nguời.</span></p><p style="text-align: justify;">&nbsp;<span style="font-size:16px;">Lương y Nguyễn văn Minh chữa thoát vị đĩa đệm&nbsp;tại địa chỉ:&nbsp;856/6 đường Quang Trung, phường&nbsp;8, quận Gò Vấp, TP.HCM</span></p><p><span style="font-size:16px;">Điện thoại, Zalo: 0913503552 - Cố định: 028.62951367.</span></p><p><span style="font-size:16px;">Trang web chuyên chữa&nbsp;</span><a data-ved="2ahUKEwjnq-e45ZL4AhWtglYBHVi0ATIQFnoECAIQAQ" href="https://chuabenhthoatvidiadem.vn/" ping="/url?sa=t&amp;source=web&amp;rct=j&amp;url=https://chuabenhthoatvidiadem.vn/&amp;ved=2ahUKEwjnq-e45ZL4AhWtglYBHVi0ATIQFnoECAIQAQ" style="color: rgb(26, 13, 171); text-decoration-line: none; -webkit-tap-highlight-color: rgba(0, 0, 0, 0.1); outline: 0px; font-family: arial, sans-serif; font-size: small;" title="">Thoát Vị Đĩa Đệm</a><span style="font-size:16px;">:</span></p><p><span style="font-size:16px;">thoatvidiadem.top và&nbsp;<a href="https://chuabenhthoatvidiadem.vn/" title="">chuabenhthoatvidiadem.vn</a></span></p>]]></content:encoded>
						<wfw:commentRss></wfw:commentRss>
						<slash:comments>0</slash:comments>
					</item>
				
					<item>
						<title>Chụp cộng hưởng từ (chụp MRI) ở TP. HCM</title>
						<link>https://chuabenhthoatvidiadem.vn/bai-viet/dia-chi-chua-benh-thoat-vi-dia-dem/chup-cong-huong-tu-chup-mri-o-tp-hcm-pid-253.html</link>
						<comments></comments>
						<pubDate>Thu, 09 May 2019 04:15:14 +0700</pubDate>
						<dc:creator>admin</dc:creator>
						<category><![CDATA[Địa chỉ chữa bệnh thoát vị đĩa đệm]]></category>
						<guid isPermaLink="false"></guid>
						<description><![CDATA[Có nhiều bệnh viện hàng đầu ở TP.HCM trang bị máy chụp cộng hưởng từ (chụp MRI) hiện đại tiên tiến, nhưng chụp cộng hưởng từ ở đâu tốt nhất, đơn giá chụp phù hợp với mặt bằng chung, khi có chỉ định của bác sĩ người bệnh không mất nhiều thời gian đi lại và chờ đợi để được chụp?.v.v. Là mối quan tâm của người bệnh.]]></description>
						<content:encoded><![CDATA[<p style="text-align: justify;"><em><span style="font-size:18px;">Rất nhiều bệnh viện hàng đầu&nbsp;ở TP.HCM có máy chụp cộng hưởng từ (chụp MRI) hiện đại,&nbsp; chính xác, nhưng chụp ở đâu tốt, chụp cộng hưởng từ giá bao nhiêu tiền,&nbsp;đi chụp ở đâu không phải đợi lâu,&nbsp;chụp cộng hưởng từ có được bảo hiểm y tế chi trả&nbsp;.v.v&nbsp;Là những thông tin được người bệnh quan tâm.</span></em></p><p><img loading="lazy" alt="Chụp cộng hưởng từ cột sống thắt lưng" src="data:image/gif;base64,R0lGODlhAQABAID/AP///wAAACwAAAAAAQABAAACAkQBADs=" data-src="https://chuabenhthoatvidiadem.vn/resources/images/Thoát vị đĩa đệm thắt lưng.jpg" style="width: 913px; height: 1200px;" class="lazy" width="913" height="1200" data-optimized="1" /></p><p><em><span style="font-size:14px;">Hình ảnh trên phim chụp cộng hưởng từ cột sống thắt lưng: Thoát vị đĩa đệm L4-L5&nbsp;và L5-S1, trượt đốt sống L5/S1 độ 1</span></em></p><p><em><span style="font-size:14px;"><img loading="lazy" alt="" src="data:image/gif;base64,R0lGODlhAQABAID/AP///wAAACwAAAAAAQABAAACAkQBADs=" data-src="https://chuabenhthoatvidiadem.vn/resources/images/20190518_101941.jpg" style="width: 800px; height: 962px;" class="lazy" width="998" height="1200" data-optimized="1" /></span></em></p><p><span style="font-size: 14px;"><i>Phim chụp cộng hưởng từ cột sống thắt lưng của một bệnh nhân nam 52 tuổi, bị đau thắt lưng mạn tính. Anh gọi điện đặt lịch trước, hẹn giờ đến bệnh viện Nguyễn Tri Phương để chụp cộng hưởng từ cột sống thắt lưng.</i></span></p><p><img loading="lazy" alt="Kết quả chụp cộng hưởng từ cột sống" src="data:image/gif;base64,R0lGODlhAQABAID/AP///wAAACwAAAAAAQABAAACAkQBADs=" data-src="https://chuabenhthoatvidiadem.vn/resources/images/20190517_084540.jpg" style="width: 800px; height: 1001px;" class="lazy" width="959" height="1200" data-optimized="1" /></p><h2><strong><span style="font-size:18px;">Đơn giá (chi phí) chụp cộng hưởng từ bao nhiêu tiền?</span></strong></h2><p><img loading="lazy" alt="Đơn giá chụp cộng hưởng từ cột sống" src="data:image/gif;base64,R0lGODlhAQABAID/AP///wAAACwAAAAAAQABAAACAkQBADs=" data-src="https://chuabenhthoatvidiadem.vn/resources/images/20190518_100938.jpg" style="width: 800px; height: 600px;" class="lazy" width="1600" height="1200" data-optimized="1" /></p><h3 style="text-align: justify;"><span style="font-size:16px;">Giá dịch vụ chụp cộng hưởng từ cột sống thắt lưng, tại bệnh viện Nguyễn Tri Phương vào thời điểm tháng 5/2019 ghi trên hóa đợn là 2,100,000 đồng (hai triệu một trăm ngàn đồng). Đây là mức&nbsp;giá chụp MRI thuộc dạng trung bình ở Tp Hồ chí Minh.</span></h3><p><span style="font-size: 16px;">Giá chụp MRI tại bệnh viện NGOẠI THẦN KINH QUỐC TẾ có giá 2,500,000 đồng (hai triệu năm trăm ngàn đồng). Thời điểm tháng 3/2019.</span></p><p><span style="font-size:16px;"><img loading="lazy" alt="BỆNH VIỆN NGOẠI THẦN KINH QUỐC TẾ" src="data:image/gif;base64,R0lGODlhAQABAID/AP///wAAACwAAAAAAQABAAACAkQBADs=" data-src="https://chuabenhthoatvidiadem.vn/resources/images/Chèn ép rễ thần kinh(1).jpg" style="width: 800px; height: 961px;" class="lazy" width="999" height="1200" data-optimized="1" /></span></p><p><em>Kết quả chụp cộng hưởng từ MRI cột sống thắt lưng, do bác sĩ chuyên khoa chẩn đoán hình ảnh thực hiện</em></p><p><img loading="lazy" alt="Chụp MRI ở bệnh viện Hoàn Mỹ Sài Gòn" src="data:image/gif;base64,R0lGODlhAQABAID/AP///wAAACwAAAAAAQABAAACAkQBADs=" data-src="https://chuabenhthoatvidiadem.vn/resources/images/Chụp MRI(1).jpg" style="width: 644px; height: 896px;" class="lazy" width="644" height="896" data-optimized="1" /></p><p><span style="font-size:14px;"><em>Sau khi có kết quả chụp MRI, nếu bạn uống thuốc tây không hết, hoặc không muốn uống thuốc tây chữa thoát vị đĩa đệm, hãy gửi tờ kết luận chụp MRI qua Zalo: 0913503552.&nbsp; Thầy thuốc chuyên trị thoát vị đĩa đệm sẽ tư vấn cách chữa, tư vấn cách tập thể dục tốt cho cột sống đĩa đệm của bạn.</em></span></p><h2><span style="font-size:16px;">Lương y Nguyễn Văn Minh chữa thoát vị đĩa đệm ở Gò Vấp: 856/6 Đường Quang Trung, Phường 8, Quận Gò vấp, TP. HCM<br />Điện thoại, Zalo hướng dẫn cách trị bệnh thoát vị đĩa đệm: 0913503552 - Điện thoại bàn: 028.62951367</span></h2><p><span style="font-size:16px;">Trang web chuyên&nbsp;bệnh đau cột sống đĩa đệm:&nbsp;<a class="fl" href="https://chuabenhthoatvidiadem.vn/" title="">chuabenhthoatvidiadem.vn</a></span></p><p><span style="font-size:16px;">Trang web giới thiệu phòng khám và nhà thuốc đông y Bảo Minh:&nbsp;<a href="http://phongkhambaominh.com/thoat-vi-dia-dem.htm" title="">phongkhambaominh.com/thoat-vi-dia-dem.htm</a></span></p><div class="action-menu-panel ab_dropdown" data-ved="2ahUKEwjdh9jLveriAhUOQN4KHaNzBwEQqR8wBnoECAcQAw" jsaction="keydown:m.hdke;mouseover:m.hdhne;mouseout:m.hdhue" role="menu" tabindex="-1"><ol></ol></div>]]></content:encoded>
						<wfw:commentRss></wfw:commentRss>
						<slash:comments>0</slash:comments>
					</item>
				
					<item>
						<title>Thuốc đắp thoát vị đĩa đệm - Tự đắp thuốc chữa trị tại nhà</title>
						<link>https://chuabenhthoatvidiadem.vn/bai-viet/luong-y-nguyen-van-minh-chua-thoat-vi-dia-dem/thuoc-dap-thoat-vi-dia-dem-tu-dap-thuoc-chua-tri-tai-nha-pid-102.html</link>
						<comments></comments>
						<pubDate>Sat, 12 Aug 2017 09:01:49 +0700</pubDate>
						<dc:creator>admin</dc:creator>
						<category><![CDATA[Lương y Nguyễn Văn Minh chữa thoát vị đĩa đệm]]></category>
						<guid isPermaLink="false"></guid>
						<description><![CDATA[Đắp thuốc nam, bó thuốc nam, bóp rượu xoa bóp không chữa khỏi được thoát vị đĩa đệm, thuốc đắp chỉ có tác dụng hỗ trợ thêm cho mau khỏi bệnh. Muốn chữa khỏi thoát vị đĩa đệm phải kết hợp với sắc thuốc thang uống mỗi ngày. Những người bị thoát vị đĩa đệm bị đau nhức nhiều, có thể bóp thuốc hoặc đắp thuốc vào chỗ đau để bớt đau, người bệnh mua thuốc về tự đắp tại nhà. Đây là bài thuốc nam nên có giá thành rất rẻ, nhà thuốc đông y Bảo Minh đã bào chế thuốc với rượu rồi đóng chai. Khi sử dụng chỉ việc đổ thuốc]]></description>
						<content:encoded><![CDATA[<p style="text-align: justify;"><span style="font-size:16px;">​<em style="text-align: justify;">Đây là bài thuốc đắp hỗ trợ chữa bệnh thoát vị đĩa đệm, bài thuốc được bào chế sẵn&nbsp;rồi&nbsp;đóng chai.&nbsp;Người bị thoát vị đĩa đệm cột sống thắt&nbsp;lưng, cột sống cổ mua thuốc về tự đắp hoặc bóp thuốc tại nhà. Đây là bài thuốc nam nên có giá thành rất rẻ, nhà thuốc đông y Bảo Minh&nbsp;đã bào chế thuốc nam với rượu rồi rót&nbsp;vào&nbsp;chai, khi sử dụng chỉ việc đổ thuốc lên miếng gạc và đắp lên cột sống. Thuốc đắp này&nbsp;sử dụng&nbsp;thay cho thuốc bó,&nbsp;bó lá thuốc nam (1).&nbsp;Rất thuận tiện cho quý bệnh nhân sử dụng.</em></span></p><p><img loading="lazy" alt="Thuốc đắp chữa thoát vị đĩa đệm" src="data:image/gif;base64,R0lGODlhAQABAID/AP///wAAACwAAAAAAQABAAACAkQBADs=" data-src="https://chuabenhthoatvidiadem.vn/resources/images/20170812_081552.jpg" style="width: 529px; height: 589px;" class="lazy" width="529" height="589" data-optimized="1" /></p><p style="text-align: justify;"><span style="font-size:14px;"><em>Nếu chỉ dùng các loại thuốc đắp, thuốc bóp, thuốc dán, thuốc&nbsp;thoa, thuốc chườm .v.v Thì không thể chữa khỏi thoát vị đĩa đệm, các loại thuốc trên chỉ có tác dụng giảm đau&nbsp;hỗ trợ chữa bệnh. Muốn chữa được bệnh, các thầy thuốc thường&nbsp;kết hợp giữa thuốc uống và thuốc đắp cột sống.</em></span></p><p style="text-align: justify;"><span style="font-size:14px;"><em><img loading="lazy" alt="Thuốc chữa thoát vị đĩa đệm" src="data:image/gif;base64,R0lGODlhAQABAID/AP///wAAACwAAAAAAQABAAACAkQBADs=" data-src="https://chuabenhthoatvidiadem.vn/resources/images/Thuocthoatvidiadem(1).jpg" style="width: 630px; height: 484px;" class="lazy" width="630" height="484" data-optimized="1" /></em></span></p><p style="text-align: justify;"><span style="font-size:14px;"><em>Thuốc chữa thoát vị đĩa đệm của phòng khám đông y Bảo Minh, do lương y Nguyễn Văn Minh khám bệnh và kê đơn thuốc.</em></span></p><p style="text-align: justify;"><span style="font-size:16px;">Chữa thoát vị đĩa đệm bằng cách vừa uống thuốc thang, vừa đắp thuốc vùng cột sống bị đau thường rất hiệu nghiệm. Bệnh nhẹ, chỉ cần trong uống ngoài đắp khoảng 10 ngày đã thấy bệnh thuyên giảm. Đây là bài thuốc đắp được Lương y Nguyễn Văn Minh bào chế thành dạng nước cho tiện sử dụng. Khi dùng chỉ cần đổ thuốc lên miếng gạc y tế, hoặc miếng bông gòn rồi đắp lên chổ cột sống bị đau, thuốc không gây kích ứng da, không nóng rát vùng da đang đắp thuốc. Ngày đắp 1-2 lần, mỗi lần từ 30 đến 60 phút. Nếu bạn bị thoát vị đĩa đệm chèn ép rễ thần kinh gây đau nhức nhiều, có thể đắp nhiều lần trong ngày hoặc đắp cả đêm khi đi ngủ. Khi đắp thuốc chữa thoát vị đĩa đệm kết hợp với sắc thuốc thang uống hàng ngày thường hiệu quả ngay sau 1 liệu trình sử dụng. Một chai thuốc đắp được từ 5 - 10 ngày tùy theo mức độ bệnh nặng hay nhẹ. Miếng gạc y tế dùng để đổ thuốc vào đắp có bán sẵn tại các nhà thuốc tây trên cả nước, cũng có thể dùng bông gòn hoặc khăn sạch thay cho miếng gạc để đắp thuốc. Thuốc đắp của nhà thuốc chúng tôi không gây bỏng da, không rát không ngứa vùng da bị đắp thuốc, thuốc không có tác dụng phụ&nbsp;gì&nbsp;tới sức khỏe.</span></p><p style="text-align: justify;"><span style="font-size: 16px;">Phương pháp chữa thoát vị đĩa đệm tốt nhất, nên kết hợp giữa uống thuốc và đắp thuốc (hoặc xoa bóp thuốc). Khi điều trị được khoảng 2-3 tuần&nbsp;bớt đau bớt nhức, người bệnh có thể tập thêm các bài tập tốt cho cột sống đĩa đệm, như;&nbsp;đi bơi, tập yoga, đi bộ thong thả. Trong đó; bài tập đi bơi là tốt nhất cho bệnh cột sống đĩa đệm.</span></p><p style="text-align: justify;"><span style="font-size: 16px;">Tôi,&nbsp;</span><a href="https://www.youtube.com/channel/UCMrl47bRL4MgAguyRi48mEw" rel="noopener" style="font-size: small; color: rgb(102, 0, 153); text-decoration-line: none; -webkit-tap-highlight-color: rgba(0, 0, 0, 0.1); cursor: pointer; font-family: arial, sans-serif;" target="_blank" title="">Lương y Nguyễn Văn Minh&nbsp;</a><span style="font-size: 16px;">đã chữa được nhiều người khỏi&nbsp;đau do thoát vị đĩa đệm, có người đồng ý cho ghi hình, có người đồng ý trả lời qua điện thoại và cho biết địa chỉ.&nbsp;Thỉnh thoảng có người đồng ý chia sẻ kết luận chụp MRI, có người cho cả số điện thoại. Tôi chỉ chia sẻ kết quả chữa bệnh khi được sự đồng ý của quý bệnh nhân, tôi xin chân thành cảm ơn tất cả&nbsp;quý bệnh nhân đã khỏi bệnh đồng ý cho chia sẻ ở trang web này.</span></p><p style="text-align: justify;"><span style="font-size: 16px;"><img loading="lazy" alt="Thoát vị đĩa đệm L4-L5, L5- S1" src="data:image/gif;base64,R0lGODlhAQABAID/AP///wAAACwAAAAAAQABAAACAkQBADs=" data-src="https://chuabenhthoatvidiadem.vn/resources/images/thoat vi dia dem(1).jpg" style="width: 738px; height: 977px;" class="lazy" width="738" height="977" data-optimized="1" /></span></p><p style="text-align: justify;"><span style="font-size:14px;"><em>Đây là kết quả chụp MRI của anh Phạm Ngọc Hùng ở Dĩ An Bình Dương, tôi đã xin phép và được anh đồng ý cho chia sẻ để bạn đọc tham khảo.</em></span></p><p style="text-align: justify;"><span style="font-size: 14px;"><i>Sau khi chụp MRI, anh Hùng có uống thuốc tây kháng viêm, giãn cơ, giảm đau nhưng không khỏi. Anh tìm gặp nhờ tôi khám và kê đơn thuốc điều trị cho anh, sau 25 ngày vừa uống vừa bóp thuốc, anh thấy gần như khỏi bệnh, không còn đau nhức nữa, hôm nay anh tái khám để mua thêm thuốc uống cho dứt hẳn, anh đồng ý cho tôi ghi lại cuộc nói chuyện nà, mời bạn đọc bấm xem và cảm nhận.</i></span></p><p style="text-align: justify;"><span class="optimize-cls-iframe" data-src="https://www.youtube.com/embed/YdyRczpmrqg">https://www.youtube.com/embed/YdyRczpmrqg</span></p><p style="text-align: justify;"><span style="font-size:16px;">Còn dưới đây là chia sẻ của anh Thắng ở Bình Thuận;</span></p><p style="text-align: justify;"><span style="font-size: 16px;">Trước đây; anh Hoàng Công&nbsp;</span><span style="font-size: 16px;">Thắng ở tỉnh Bình Thuận, có&nbsp;</span><span style="font-size: 16px;">chữa thoát vị đĩa đệm tại&nbsp;phòng khám đông y Bảo Minh. Hôm nay tôi gọi điện hỏi thăm,&nbsp;anh Thắng thông báo đã khỏi bệnh&nbsp;và đồng ý cho chia sẻ thông tin &nbsp;ở đây.</span></p><p style="text-align: justify;"><img loading="lazy" alt="Thoát vị đĩa đệm L4/ L5" src="data:image/gif;base64,R0lGODlhAQABAID/AP///wAAACwAAAAAAQABAAACAkQBADs=" data-src="https://chuabenhthoatvidiadem.vn/resources/images/Thoat vi dia dem(3).jpg" style="width: 711px; height: 818px;" class="lazy" width="711" height="818" data-optimized="1" /></p><p style="text-align: justify;"><em><span style="font-size:14px;">Tôi xin cảm ơn anh Thắng đã đồng ý cho chia sẻ bệnh án thoát vị đĩa đệm ở đây; Mời quý khách bấm vào liên kết dưới nghe anh Thắng chia sẻ.&nbsp;Ai ở gần thôn Thanh Phong, xã Tân Thuận, huyện&nbsp;Hàm Thuận Nam, tỉnh Bình Thuận có thể hỏi thăm, tham khảo cách chữa bệnh.</span></em></p><p style="text-align: justify;"><span style="font-size:16px;"><a href="https://chuabenhthoatvidiadem.vn/resources/files/hoang cong thang 88 tv (1).mp3" title="">Thuốc chữa thoát vị đĩa đệm</a></span></p><p style="text-align: justify;"><span style="font-size:16px;">Còn dưới đây là kết quả chụp MRI của chị Đào Thị Xương ở Bến Tre.</span></p><p style="text-align: justify;"><img loading="lazy" alt="Chèn ép rễ thần kinh L4, L5" src="data:image/gif;base64,R0lGODlhAQABAID/AP///wAAACwAAAAAAQABAAACAkQBADs=" data-src="https://chuabenhthoatvidiadem.vn/resources/images/Chèn ép rễ L4,L5.jpg" style="width: 476px; height: 637px;" class="lazy" width="476" height="637" data-optimized="1" /></p><p><span style="font-size:14px;"><em>Chị Xương đồng ý chia sẻ kết quả chụp MRI và địa chỉ của chị ở Bến Tre.</em></span></p><p><span style="font-size:16px;">&nbsp;Bạn đọc bấm vào ô phía&nbsp;dưới, nghe và cảm nhận:</span></p><p style="text-align: justify;"><span style="font-size:16px;"><a href="https://chuabenhthoatvidiadem.vn/resources/files/call_11-14-57_OUT_0971247122.mp3" title="">Thoát vị đĩa đệm</a>.</span></p><p><span style="font-size: 16px; text-align: justify;">Nếu khối thoát vị đĩa đệm chèn ép rễ thần kinh L3, L4, L5, hoặc rễ thần kinh S1 gây đau nhức bắp đùi, bắp chân, cẳng chân, bàn chân....Bạn có thể dùng thuốc đắp đổ ra tay rồi xoa bóp vào những chổ đau nhức, mỗi lần xoa bóp từ 5-10 lượt. Ngày có thể xoa bóp nhiều lần cho đỡ nhức, đỡ đau.</span></p><p><img loading="lazy" alt="Thuốc chữa thoát vị đĩa đệm" src="data:image/gif;base64,R0lGODlhAQABAID/AP///wAAACwAAAAAAQABAAACAkQBADs=" data-src="https://chuabenhthoatvidiadem.vn/resources/images/20180112_172651.jpg" style="width: 816px; height: 636px;" class="lazy" width="640" height="498" data-optimized="1" /></p><h4>&nbsp;</h4><p style="text-align: justify;"><span style="font-size:16px;">Có thể bạn muốn nghe:</span></p><p style="text-align: justify;"><a href="https://chuabenhthoatvidiadem.vn/resources/files/Ghi âm cuộc gọi Chị Hoa 67 Tv Khỏi_181204_094556.mp3" title=""><span style="font-size:16px;">Thuốc trị&nbsp;thoát vị đĩa đệm</span></a></p><p style="text-align: justify;"><span style="font-size:16px;">Xem clip Lương y Nguyễn Văn Minh hướng dẫn cách sử dụng thuốc đắp cột sống,&nbsp;hỗ trợ điều&nbsp;trị thoát vị đĩa đệm.</span></p><p style="text-align: justify;"><span style="font-size:16px;"><span class="optimize-cls-iframe" data-src="https://www.youtube.com/embed/EmPEC4ONVr8">https://www.youtube.com/embed/EmPEC4ONVr8</span></span></p><p style="text-align: justify;"><span style="font-size:16px;">Muốn chữa khỏi bệnh thoát vị đĩa đệm, ngoài kinh nghiệm của người thầy thuốc còn cần sự kiên trì của người bệnh. Thuốc đặc trị thoát vị đĩa đệm, của phòng khám chúng tôi không phải là thuốc giảm đau nên cần phải có thời gian để ngấm thuốc. Những trường hợp bị lồi đĩa đệm, phồng đĩa đệm, hoặc thoát vị đĩa đệm nhẹ, chỉ cần uống thuốc đặc trị và đắp thuốc 10 ngày, bệnh đã thuyên giảm tới 90%. Để chữa khỏi hẳn bệnh thoát vị đĩa đệm, thông thường cần thời gian từ 4-8 tuần uống thuốc. Những trường hợp đặc biệt cần thời gian điều trị&nbsp;dài hơn</span>.</p><p style="text-align: justify;"><span style="font-size:16px;">Bạn đọc muốn xem thêm những video thực tế, ghi hình&nbsp;những người&nbsp;đã chữa khỏi bệnh thoát vị đĩa đệm hãy bấm vào đây:&nbsp;<a href="https://www.youtube.com/channel/UCMrl47bRL4MgAguyRi48mEw" style="color: rgb(102, 0, 153); cursor: pointer; text-decoration-line: none;" title="">Lương y Nguyễn Văn Minh - YouTube</a></span></p><p style="text-align: justify;"><span style="font-size:16px;">Phòng khám và nhà thuốc&nbsp;đông y Bảo Minh, chỉ đăng tin,&nbsp;ghi hình, chụp ảnh&nbsp;&nbsp;khi có sự đồng ý của quý bệnh nhân. Chúng tôi coi đây là niềm động viên khích lệ&nbsp;để chúng tôi ngày càng&nbsp;chữa được cho nhiều người khỏi&nbsp;bệnh. Tôi xin chân thành biết ơn những tấm lòng của quý bệnh nhân đã đồng ý cho chia sẻ kinh nghiệm chữa bệnh với mọi người.&nbsp;</span></p><p style="text-align: justify;"><em><span style="font-size:16px;">Lưu ý: Thuốc đắp chữa thoát vị đĩa đệm chỉ để đắp ngoài da, không được uống, không đắp lên vết thương hở, phụ nữ có thai không nên dùng.</span></em></p><p><span style="font-size:16px;">Ghi chú:</span></p><p><span style="font-size:16px;">(1). Đây là tên gọi khác chỉ hành động đắp thuốc nam chữa bệnh, một số địa phương miền&nbsp;bắc&nbsp;hay dùng, miền nam ít sử dụng.</span></p><p><span style="font-size:16px;">Mời bạn đọc xem hiệu quả chữa thoát vị đĩa đệm:&nbsp;<a data-="" href="https://www.google.com.vn/url?sa=t&amp;rct=j&amp;q=&amp;esrc=s&amp;source=web&amp;cd=17&amp;ved=0ahUKEwio0-LB_I_YAhXFmpQKHYLZDh84ChAWCEEwBg&amp;url=http%3A%2F%2Fchuabenhthoatvidiadem.vn%2Ftag%2Ftho%25C3%25A1t%2Bv%25E1%25BB%258B%2B%25C4%2591%25C4%25A9a%2B%25C4%2591%25E1%25BB%2587m%2F%3Fstart%3D10&amp;usg=AOvVaw1Za183Sw5jW4vPrmyUknC2" style="color: rgb(102, 0, 153); cursor: pointer; text-decoration-line: none;" target="_blank" title="">Bấm vào đây &gt;&gt;</a></span></p><p><span style="font-size: 16px;">Địa chỉ khám chữa bệnh thoát vị đĩa đệm ở Sài Gòn: 856/6 Quang Trung, Phường 8, Quận Gò Vấp.</span></p><p><span style="font-size: 16px;">Zalo gửi kết quả chụp MRI cột sống qua số: 0913503552.&nbsp;Lương y Nguyễn Văn Minh tư vấn cách chữa tốt nhất, hiệu quả nhất với&nbsp;chi phí phù hợp nhất cho bạn.</span></p><p><span style="font-size:16px;">Có thể bạn muốn nghe ý kiến nhiều hơn, hãy nhấp chuột vào những đường link dưới đây;</span></p><p class="LC20lb DKV0Md" style="font-size: 20px; margin: 0px 0px 3px; padding: 4px 0px 0px; display: inline-block; line-height: 1.3;"><span style="font-size: 16px;"><a data-ctbtn="0" data-cthref="/url?sa=t&amp;rct=j&amp;q=&amp;esrc=s&amp;source=web&amp;cd=&amp;ved=2ahUKEwjr5Obq-fHpAhUyw4sBHSOPBAE4FBAWMAR6BAgGEAE&amp;url=https%3A%2F%2Fchuabenhthoatvidiadem.vn%2Fcach-chua-benh%2Fthoat-vi-dia-dem-va-cach-dieu-tri-pid-233.html&amp;usg=AOvVaw3C6SdJpJ-6MgCRc5XONfE_" href="https://www.google.com.vn/url?sa=t&amp;rct=j&amp;q=&amp;esrc=s&amp;source=web&amp;cd=&amp;ved=2ahUKEwjr5Obq-fHpAhUyw4sBHSOPBAE4FBAWMAR6BAgGEAE&amp;url=https%3A%2F%2Fchuabenhthoatvidiadem.vn%2Fcach-chua-benh%2Fthoat-vi-dia-dem-va-cach-dieu-tri-pid-233.html&amp;usg=AOvVaw3C6SdJpJ-6MgCRc5XONfE_" rel="noopener" style="color: rgb(102, 0, 153); cursor: pointer; text-decoration-line: none; font-family: arial, sans-serif; font-size: small;" target="_blank" title="">Thoát vị đĩa đệm và cách điều trị</a>&nbsp;</span></p><p class="LC20lb DKV0Md" style="font-size: 20px; margin: 0px 0px 3px; padding: 4px 0px 0px; display: inline-block; line-height: 1.3;">&nbsp;</p><p class="LC20lb DKV0Md" style="font-size: 20px; margin: 0px 0px 3px; padding: 4px 0px 0px; display: inline-block; line-height: 1.3;">&nbsp;</p><p class="LC20lb DKV0Md" style="font-size: 20px; margin: 0px 0px 3px; padding: 4px 0px 0px; display: inline-block; line-height: 1.3;">&nbsp;</p><p class="LC20lb DKV0Md" style="font-size: 20px; margin: 0px 0px 3px; padding: 4px 0px 0px; display: inline-block; line-height: 1.3;">&nbsp;</p><p class="LC20lb DKV0Md" style="font-size: 20px; margin: 0px 0px 3px; padding: 4px 0px 0px; display: inline-block; line-height: 1.3;">&nbsp;</p><p class="LC20lb DKV0Md" style="font-size: 20px; margin: 0px 0px 3px; padding: 4px 0px 0px; display: inline-block; line-height: 1.3;">&nbsp;</p><p class="LC20lb DKV0Md" style="font-size: 20px; margin: 0px 0px 3px; padding: 4px 0px 0px; display: inline-block; line-height: 1.3;">&nbsp;</p><p class="LC20lb DKV0Md" style="font-size: 20px; margin: 0px 0px 3px; padding: 4px 0px 0px; display: inline-block; line-height: 1.3;"><span style="font-size: 16px;">&nbsp; &nbsp; &nbsp; &nbsp; &nbsp; &nbsp; &nbsp; &nbsp; &nbsp; &nbsp; &nbsp; &nbsp; &nbsp; &nbsp; &nbsp; &nbsp; &nbsp; &nbsp; &nbsp; &nbsp; &nbsp; &nbsp; &nbsp; &nbsp; &nbsp; &nbsp; &nbsp; &nbsp; &nbsp; &nbsp; &nbsp; &nbsp; &nbsp; &nbsp; &nbsp; &nbsp;&nbsp;</span></p><p class="LC20lb DKV0Md" style="font-size: 20px; margin: 0px 0px 3px; padding: 4px 0px 0px; display: inline-block; line-height: 1.3;"><span style="font-size: 16px;"><a data-ctbtn="0" data-cthref="/url?sa=t&amp;rct=j&amp;q=&amp;esrc=s&amp;source=web&amp;cd=&amp;ved=2ahUKEwjr5Obq-fHpAhUyw4sBHSOPBAE4FBAWMAl6BAgJEAE&amp;url=https%3A%2F%2Fchuabenhthoatvidiadem.vn%2Fcach-chua-benh%2Fket-qua-dieu-tri-thoat-vi-dia-dem-cid-2-10.html&amp;usg=AOvVaw1CERIJ0fexNjMSyKGYHCvj" href="https://www.google.com.vn/url?sa=t&amp;rct=j&amp;q=&amp;esrc=s&amp;source=web&amp;cd=&amp;ved=2ahUKEwjr5Obq-fHpAhUyw4sBHSOPBAE4FBAWMAl6BAgJEAE&amp;url=https%3A%2F%2Fchuabenhthoatvidiadem.vn%2Fcach-chua-benh%2Fket-qua-dieu-tri-thoat-vi-dia-dem-cid-2-10.html&amp;usg=AOvVaw1CERIJ0fexNjMSyKGYHCvj" rel="noopener" style="color: rgb(102, 0, 153); cursor: pointer; text-decoration-line: none; font-family: arial, sans-serif; font-size: small;" target="_blank" title="">Kết quả điều trị thoát vị đĩa đệm&nbsp;</a>&nbsp; &nbsp; &nbsp; &nbsp; &nbsp; &nbsp; &nbsp; &nbsp; &nbsp; &nbsp; &nbsp; &nbsp; &nbsp; &nbsp; &nbsp; &nbsp; &nbsp; &nbsp; &nbsp; &nbsp; &nbsp; &nbsp; &nbsp; &nbsp; &nbsp; &nbsp; &nbsp;&nbsp; &nbsp; &nbsp; &nbsp; &nbsp;</span></p><p class="LC20lb DKV0Md" style="font-size: 20px; margin: 0px 0px 3px; padding: 4px 0px 0px; display: inline-block; line-height: 1.3;"><span style="font-size: 16px;"><a href="https://chuabenhthoatvidiadem.vn/cach-chua-benh/khoi-thoat-vi-dia-dem-cot-song-that-lung-sau-hon-1-thang-dieu-tri-pid-37.html" rel="noopener" style="color: rgb(102, 0, 153); cursor: pointer; text-decoration-line: none; font-family: arial, sans-serif; font-size: small;" target="_blank" title="">Khỏi hẳn&nbsp;thoát vị đĩa đệm cột sống thắt lưng&nbsp;</a>&nbsp; &nbsp; &nbsp; &nbsp; &nbsp; &nbsp; &nbsp; &nbsp; &nbsp; &nbsp; &nbsp; &nbsp; &nbsp; &nbsp; &nbsp; &nbsp; &nbsp; &nbsp; &nbsp; &nbsp; &nbsp; &nbsp; &nbsp; &nbsp; &nbsp; &nbsp; &nbsp; &nbsp; &nbsp; &nbsp; &nbsp; &nbsp; &nbsp; &nbsp;</span></p><p class="LC20lb DKV0Md" style="font-size: 20px; margin: 0px 0px 3px; padding: 4px 0px 0px; display: inline-block; line-height: 1.3;"><span style="font-size: 16px;"><a href="https://chuabenhthoatvidiadem.vn/cach-chua-benh/vao-google-go-chu-chua-thoat-vi-dia-dem-gap-luong-y-nguyen-van-minh-pid-242.html" rel="noopener" style="color: rgb(102, 0, 153); cursor: pointer; font-family: arial, sans-serif; font-size: small;" target="_blank" title="">Chữa thoát vị đĩa đệm, may gặp thầy gặp thuốc</a>&nbsp; &nbsp; &nbsp; &nbsp; &nbsp; &nbsp; &nbsp; &nbsp; &nbsp; &nbsp; &nbsp; &nbsp; &nbsp; &nbsp; &nbsp; &nbsp;</span></p><p class="LC20lb DKV0Md" style="font-size: 20px; margin: 0px 0px 3px; padding: 4px 0px 0px; display: inline-block; line-height: 1.3;"><span style="font-size: 16px;"><a data-ctbtn="0" data-cthref="/url?sa=t&amp;rct=j&amp;q=&amp;esrc=s&amp;source=web&amp;cd=&amp;ved=2ahUKEwjS-LSQ-_HpAhUZyYsBHVN-C8M4WhAWMAl6BAgKEAE&amp;url=https%3A%2F%2Fchuabenhthoatvidiadem.vn%2Fcach-chua-benh%2Fnghe-truc-tiep-nhung-nguoi-duoc-luong-y-minh-chua-khoi-thoat-vi-dia-dem-cid-4-10.html&amp;usg=AOvVaw28G39eaerO2mnfULHUMTao" href="https://www.google.com.vn/url?sa=t&amp;rct=j&amp;q=&amp;esrc=s&amp;source=web&amp;cd=&amp;ved=2ahUKEwjS-LSQ-_HpAhUZyYsBHVN-C8M4WhAWMAl6BAgKEAE&amp;url=https%3A%2F%2Fchuabenhthoatvidiadem.vn%2Fcach-chua-benh%2Fnghe-truc-tiep-nhung-nguoi-duoc-luong-y-minh-chua-khoi-thoat-vi-dia-dem-cid-4-10.html&amp;usg=AOvVaw28G39eaerO2mnfULHUMTao" rel="noopener" style="color: rgb(102, 0, 153); cursor: pointer; text-decoration-line: none; font-family: arial, sans-serif; font-size: small;" target="_blank" title="">Nghe trực tiếp những người được lương y Minh chữa khỏi bệnh</a>&nbsp; &nbsp; &nbsp; &nbsp; &nbsp; &nbsp; &nbsp; &nbsp; &nbsp; &nbsp; &nbsp; &nbsp; &nbsp; &nbsp; &nbsp; &nbsp; &nbsp; &nbsp; &nbsp; &nbsp; &nbsp; &nbsp; &nbsp; &nbsp; &nbsp; &nbsp; &nbsp; &nbsp; &nbsp; &nbsp; &nbsp; &nbsp; &nbsp; &nbsp; &nbsp; &nbsp; &nbsp; &nbsp; &nbsp; &nbsp; &nbsp; &nbsp;</span></p><p class="LC20lb DKV0Md" style="font-size: 20px; margin: 0px 0px 3px; padding: 4px 0px 0px; display: inline-block; line-height: 1.3; text-align: justify;"><span style="font-size:16px;"><span style="color: rgb(0, 0, 0); font-family: RobotoSlab-Regular, Arial, Helvetica, sans-serif; text-align: justify;">Phòng khám và nhà thuốc đông y Bảo Minh, địa chỉ ở TP.HCM: 856/6 đường Quang Trung, phường 8, quận Gò Vấp. </span></span></p><p class="LC20lb DKV0Md" style="font-size: 20px; margin: 0px 0px 3px; padding: 4px 0px 0px; display: inline-block; line-height: 1.3; text-align: justify;">&nbsp;</p><p class="LC20lb DKV0Md" style="font-size: 20px; margin: 0px 0px 3px; padding: 4px 0px 0px; display: inline-block; line-height: 1.3;">&nbsp;</p><p class="LC20lb DKV0Md" style="font-size: 20px; margin: 0px 0px 3px; padding: 4px 0px 0px; display: inline-block; line-height: 1.3;">&nbsp;</p><p class="LC20lb DKV0Md" style="font-size: 20px; margin: 0px 0px 3px; padding: 4px 0px 0px; display: inline-block; line-height: 1.3;">&nbsp;</p><p class="LC20lb DKV0Md" style="font-size: 20px; margin: 0px 0px 3px; padding: 4px 0px 0px; display: inline-block; line-height: 1.3;">&nbsp;</p><p class="LC20lb DKV0Md" style="font-size: 20px; margin: 0px 0px 3px; padding: 4px 0px 0px; display: inline-block; line-height: 1.3;"><span style="font-size:16px;"><span style="color: rgb(0, 0, 0); font-family: RobotoSlab-Regular, Arial, Helvetica, sans-serif; text-align: justify;">Trang web chữa bệnh thoát vị đĩa đệm:</span></span></p><p class="LC20lb DKV0Md" style="font-size: 20px; margin: 0px 0px 3px; padding: 4px 0px 0px; display: inline-block; line-height: 1.3;">&nbsp;</p><p class="LC20lb DKV0Md" style="font-size: 20px; margin: 0px 0px 3px; padding: 4px 0px 0px; display: inline-block; line-height: 1.3;">&nbsp;</p><p class="LC20lb DKV0Md" style="font-size: 20px; margin: 0px 0px 3px; padding: 4px 0px 0px; display: inline-block; line-height: 1.3;">&nbsp;</p><p class="LC20lb DKV0Md" style="font-size: 20px; margin: 0px 0px 3px; padding: 4px 0px 0px; display: inline-block; line-height: 1.3;">&nbsp;</p><p class="LC20lb DKV0Md" style="font-size: 20px; margin: 0px 0px 3px; padding: 4px 0px 0px; display: inline-block; line-height: 1.3;">&nbsp;</p><p class="LC20lb DKV0Md" style="font-size: 20px; margin: 0px 0px 3px; padding: 4px 0px 0px; display: inline-block; line-height: 1.3;">&nbsp;</p><p class="LC20lb DKV0Md" style="font-size: 20px; margin: 0px 0px 3px; padding: 4px 0px 0px; display: inline-block; line-height: 1.3;">&nbsp;</p><p class="LC20lb DKV0Md" style="font-size: 20px; margin: 0px 0px 3px; padding: 4px 0px 0px; display: inline-block; line-height: 1.3;"><span style="font-size:16px;"><span style="color: rgb(0, 0, 0); font-family: RobotoSlab-Regular, Arial, Helvetica, sans-serif; text-align: justify;">&nbsp;thoatvidiadem.top&nbsp; &nbsp; &nbsp; &nbsp;&nbsp;&nbsp; &nbsp; &nbsp; &nbsp; &nbsp; &nbsp; &nbsp; &nbsp; &nbsp; &nbsp; &nbsp; &nbsp; &nbsp; &nbsp; &nbsp; &nbsp; &nbsp; &nbsp; &nbsp; &nbsp; &nbsp; &nbsp; &nbsp; &nbsp; &nbsp; &nbsp; &nbsp; &nbsp; &nbsp; &nbsp; &nbsp; &nbsp; &nbsp; &nbsp; &nbsp; &nbsp; &nbsp; &nbsp; &nbsp; &nbsp; &nbsp; &nbsp; &nbsp; &nbsp; &nbsp; &nbsp; &nbsp;</span></span></p><p class="LC20lb DKV0Md" style="font-size: 20px; margin: 0px 0px 3px; padding: 4px 0px 0px; display: inline-block; line-height: 1.3;">&nbsp;</p><p class="LC20lb DKV0Md" style="font-size: 20px; margin: 0px 0px 3px; padding: 4px 0px 0px; display: inline-block; line-height: 1.3;"><span style="font-size:16px;"><a href="https://chuabenhthoatvidiadem.vn/" title="">chuabenhthoatvidiadem.vn</a></span></p><p class="LC20lb DKV0Md" style="font-size: 20px; margin: 0px 0px 3px; padding: 4px 0px 0px; display: inline-block; line-height: 1.3;">&nbsp;</p>]]></content:encoded>
						<wfw:commentRss></wfw:commentRss>
						<slash:comments>0</slash:comments>
					</item>
				
					<item>
						<title>Đi khám chữa bệnh thoát vị đĩa đệm bằng xe buýt</title>
						<link>https://chuabenhthoatvidiadem.vn/bai-viet/dia-chi-chua-benh-thoat-vi-dia-dem/di-kham-chua-benh-thoat-vi-dia-dem-bang-xe-buyt-pid-99.html</link>
						<comments></comments>
						<pubDate>Thu, 20 Jul 2017 11:10:50 +0700</pubDate>
						<dc:creator>admin</dc:creator>
						<category><![CDATA[Địa chỉ chữa bệnh thoát vị đĩa đệm]]></category>
						<guid isPermaLink="false"></guid>
						<description><![CDATA[Chữa thoát vị đĩa đệm đi bằng xe buýt rất tiện, có thể đi từ các bến xe: Bến xe Miền Tây, bến xe Miền Đông, bến xe buýt Bến Thành, bến xe Quận 8, bến xe buýt Hiệp thành, bến xe buýt Thới An, bến xe Ngã 4 Ga, bến xe Chợ Lớn, bến xe An Sương, bến xe Củ Chi. Sau đó chọn thêm các tuyến buýt đi qua đường Quang Trung để đón xe.]]></description>
						<content:encoded><![CDATA[<h2><em><span style="font-size:18px;">Các tuyến xe buýt đi ngang qua phòng khám&nbsp;bệnh thoát vị đĩa đệm, của thầy&nbsp;thuốc đông y Nguyễn Văn Minh, Nhà thuốc&nbsp;Bảo Minh.</span></em></h2><p>&nbsp;</p><p><img loading="lazy" alt="Xe buýt đi ngang phòng khám đông y Bảo Minh" src="data:image/gif;base64,R0lGODlhAQABAID/AP///wAAACwAAAAAAQABAAACAkQBADs=" data-src="https://chuabenhthoatvidiadem.vn/resources/images/20190701_144416.jpg" style="width: 800px; height: 600px;" class="lazy" width="1600" height="1200" data-optimized="1" /></p><p style="text-align: justify;"><span style="font-size:16px;">- Tuyến xe buýt có trợ giá số 18: Bến Thành - Chợ Hiệp Thành</span></p><p style="text-align: justify;"><span style="font-size:16px;">- Tuyến xe buýt có trợ giá số 24: Bến Xe Miền Đông- Hóc Môn</span></p><p style="text-align: justify;"><span style="font-size:16px;">- Tuyến xe buýt số 55: Công viên phần mềm Quang Trung- Khu công nghệ cao quận 9</span></p><p style="text-align: justify;"><span style="font-size:16px;">- Tuyến xe buýt số 95: Bến xe Miền Đông - Khu công nghiệp Tân Bình</span></p><p style="text-align: justify;"><span style="font-size:16px;">Khi lên xe buýt, quý khách nhắc nhân viên bán vé xe buýt cho tôi xuống trạm trường Nguyễn Công Trứ (trường THPT Nguyễn Công Trứ). Trường THPT Nguyễn Công Trứ có hai cổng, một cổng lớn đi vào hẻm 872 Quang Trung (đường số 20 cũ), một cổng đi vào hẻm 856 Quang Trung. Phòng khám chữa bệnh thoát vị đĩa đệm của lương y Minh nằm trong&nbsp;hẻm 856 Quang Trung, kế bên hẻm này&nbsp;là&nbsp;trường mẫu giáo HỌA MI VÀNG ANH. Ngoài đầu hẻm có gắn cổng TRƯỜNG PHỔ THÔNG TRUNG HỌC NGUYỄN CÔNG TRỨ. Trên biển hiệu của nhà trường còn để địa chỉ cũ &nbsp;96 Quang Trung, đúng ra phải ghi&nbsp;địa chỉ mới là 856 Quang Trung mới chính xác.</span></p><p><img loading="lazy" alt="Phòng khám đông y Bảo Minh đi vào hẻm trường Nguyễn Công Trứ" src="data:image/gif;base64,R0lGODlhAQABAID/AP///wAAACwAAAAAAQABAAACAkQBADs=" data-src="https://chuabenhthoatvidiadem.vn/resources/images/chuabenhthoatvidiadem_vn(1).jpg" style="width: 738px; height: 554px;" class="lazy" width="640" height="480" data-optimized="1" /></p><p>Quý khách tới chữa bệnh thoát vị đĩa đệm đi thẳng vào hẻm này khoảng 40m là thấy phòng khám bên tay phải.</p><h3><span style="font-size:16px;">Khi&nbsp;đến chữa thoát vị đĩa đệm, lương y Nguyễn Văn Minh sẽ căn cứ vào thể trạng của mỗi&nbsp;người kết hợp với&nbsp;kết quả chụp MRI cột sống cổ, cột sống thắt lưng rồi đưa ra phác đồ điều trị&nbsp;thoát vị đĩa đệm hiệu quả nhất, ít tốn kém nhất cho người bệnh.<br />Chữa bệnh thoát vị đĩa đệm cột sống hay gặp ở các tầng đốt sống sau:<br />- Chữa thoát vị đĩa đệm cột sống cổ; hay gặp nhất là thoát vị đĩa đệm C6 C7, rồi đến đĩa đệm C5 C6. Các đĩa đệm còn lại như: C2 C3; C3 C4; C4 C5 thường gặp ít hơn.&nbsp;<br />- Chữa thoát vị đĩa đệm cột sống thắt lưng; hay gặp nhất là thoát vị đĩa đệm L4 L5, rồi đến thoát vị đĩa đệm L5 S1. Các tầng đĩa đệm như; L1 L2; L2 L3; L3 L4; tỷ lệ bị thoát vị không nhiều bằng L4 L5 và L5 S1.<br />- Chữa bệnh lồi đĩa đệm; những trường hợp này bệnh thường nhẹ, điều trị rất nhanh khỏi.<br />- Chữa bệnh phồng đĩa đệm; tương tự như trường hợp lồi đĩa đệm, thể bệnh nhẹ không đáng ngại.<br />- Chữa bệnh thoái hóa đĩa đệm mất nước; khi điều trị thoát vị đĩa đệm thầy thuốc sẽ kết hợp luôn trong thang thuốc.<br />- Chữa bệnh gai cột sống; cũng kết hợp được khi điều trị thoát vị đĩa đệm. Bài thuốc trị thoát vị đĩa đệm của lương y Nguyễn Văn Minh nhiều người uống khỏi thoát vị đĩa đệm khỏi luôn gai cột sống.</span></h3><h4><span style="font-size:16px;">- Chữa bệnh thoái hóa cột sống; đa số bệnh nhân khi chụp MRI phát hiện thoát vị đĩa đệm thì cũng có thoái hóa cột sống, gai cột sống kèm theo. Thuốc đông y điều trị thoát vị đĩa đệm thường điều trị vào gốc bệnh nên khỏi thoát vị đĩa đệm sẽ khỏi cả những bệnh lý về cột sống đi kèm.</span></h4><h4><span style="font-size:16px;">Các phương pháp của đông y chữa thoát vị đĩa đệm gồm có: uống thuốc đông y (thuốc thang, thuốc tễ, thuốc nước), châm cứu, day ấn huyệt, đắp thuốc nam, rượu xoa bóp và các bài tập chữa thoát vị đĩa đệm. Tùy vào từng mức độ,&nbsp;triệu&nbsp;chứng thoát vị đĩa đệm để điều trị.</span></h4><p style="text-align: justify;"><span style="font-size:16px;">Điện thoại và zalo của Lương y Nguyễn Văn Minh tư vấn cách chữa thoát vị đĩa đệm: 0913503552</span></p><div data-async-context="query:site%3Achuabenhthoatvidiadem.vn" id="ires" style="box-sizing: border-box; margin: 6px 0px 0px; padding: 0px; border: 0px; outline: 0px; font-size: 16px; vertical-align: baseline; background-image: initial; background-position: initial; background-size: initial; background-repeat: initial; background-attachment: initial; background-origin: initial; background-clip: initial; position: relative; max-width: 100%; color: rgb(0, 0, 0); font-family: RobotoSlab-Regular, Arial, Helvetica, sans-serif;"><div eid="HjpeWNaDIILP0gT__LLQBw" id="rso" style="box-sizing: border-box; margin: 0px; padding: 0px; border: 0px; outline: 0px; vertical-align: baseline; background: transparent; position: relative; max-width: 100%;"><div class="_NId" style="box-sizing: border-box; margin: 0px; padding: 0px; border: 0px; outline: 0px; vertical-align: baseline; background: transparent; position: relative; max-width: 100%;"><div class="srg" style="box-sizing: border-box; margin: 0px; padding: 0px; border: 0px; outline: 0px; vertical-align: baseline; background: transparent; position: relative; max-width: 100%;"><div class="g" style="box-sizing: border-box; margin: 0px 0px 26px; padding: 0px; border: 0px; outline: 0px; font-size: small; vertical-align: baseline; background: transparent; position: relative; max-width: 100%; line-height: 1.2; font-family: arial, sans-serif;"><div class="rc" data-hveid="22" data-ved="0ahUKEwjWitHSvIzRAhWCp5QKHX--DHoQFQgWKAAwAA" style="box-sizing: border-box; margin: 0px; padding: 0px; border: 0px; outline: 0px; font-size: 21.36px; vertical-align: baseline; background: transparent; position: relative; max-width: 100%;"><h3 class="r" style="box-sizing: border-box; margin: 0px; padding: 0px; border: 0px; outline: 0px; font-size: 18px; vertical-align: baseline; background: transparent; font-family: inherit; line-height: 1.1; color: inherit; max-width: 100%; overflow: hidden; text-overflow: ellipsis; white-space: nowrap;"><a href="https://chuabenhthoatvidiadem.vn/" style="box-sizing: border-box; margin: 0px; padding: 0px; border: 0px; outline: 0px; vertical-align: baseline; background: transparent; color: rgb(102, 0, 153); text-decoration-line: none; transition: all 406ms ease-out; max-width: 100%; cursor: pointer;" title="">Cách Chữa Bệnh Thoát Vị Đĩa Đệm</a></h3><div class="s" style="box-sizing: border-box; margin: 0px; padding: 0px; border: 0px; outline: 0px; font-size: 21.36px; vertical-align: baseline; background: transparent; position: relative; max-width: 48em; color: rgb(84, 84, 84); line-height: 18px;"><div class="f kv _SWb" style="box-sizing: border-box; margin: 0px; padding: 0px; border: 0px; outline: 0px; font-size: 21.36px; vertical-align: baseline; background: transparent; position: relative; max-width: 100%; color: rgb(128, 128, 128); height: 18px; line-height: 16px; white-space: nowrap;"><p style="box-sizing: border-box; margin: 0px 0px 10px; padding: 0px; border: 0px; outline: 0px; font-size: 21.36px; vertical-align: baseline; background: transparent; max-width: 100%;"><cite class="_Rm" style="box-sizing: border-box; margin: 0px; padding: 0px; border: 0px; outline: 0px; font-size: 14px; vertical-align: baseline; background: transparent; max-width: 100%; color: rgb(0, 102, 33); font-style: normal;">chuabenhthoatvidiadem.vn/</cite></p><p style="box-sizing: border-box; margin: 0px 0px 10px; padding: 0px; border: 0px; outline: 0px; font-size: 21.36px; vertical-align: baseline; background: transparent; max-width: 100%;"><span style="font-size:16px;"><a href="http://phongkhambaominh.com/" style="box-sizing: border-box; margin: 0px; padding: 0px; border: 0px; outline: 0px; font-size: 21.36px; vertical-align: baseline; background: transparent; color: rgb(102, 0, 153); text-decoration-line: none; transition: all 406ms ease-out; max-width: 100%; cursor: pointer;" title="">Lương y&nbsp;Nguyễn Văn Minh - Phòng Khám Đông Y Bảo Minh</a></span></p><div>&nbsp;</div></div></div></div></div></div></div></div></div>]]></content:encoded>
						<wfw:commentRss></wfw:commentRss>
						<slash:comments>0</slash:comments>
					</item>
				
					<item>
						<title>Chụp MRI là cách phát hiện thoát vị đĩa đệm cột sống chính xác nhất</title>
						<link>https://chuabenhthoatvidiadem.vn/bai-viet/benh-thoat-vi-dia-dem/chup-mri-la-cach-phat-hien-thoat-vi-dia-dem-cot-song-chinh-xac-nhat-pid-87.html</link>
						<comments></comments>
						<pubDate>Mon, 12 Jun 2017 05:52:01 +0700</pubDate>
						<dc:creator>admin</dc:creator>
						<category><![CDATA[Bệnh thoát vị đĩa đệm]]></category>
						<guid isPermaLink="false"></guid>
						<description><![CDATA[Đau cột sống lưng, cột sống cổ, tê bì chân tay....coi chừng bạn bị thoát vị đĩa đệm cột sống. Cách phát hiện và chẩn đoán hiệu quả nhất căn bệnh thoát vị đĩa đệm chính là chụp MRI cột sống (chụp cộng hưởng từ).]]></description>
						<content:encoded><![CDATA[<p style="text-align: justify;"><span style="font-size:16px;">Đau lưng, đau thắt lưng, đau nhức cổ vai gáy, tê bì chân tay....coi chừng bạn bị thoát vị đĩa đệm cột sống. Cách phát hiện và chẩn đoán hiệu quả nhất căn bệnh thoát vị đĩa đệm chính là chụp MRI cột sống (chụp cộng hưởng từ).</span></p><p><img loading="lazy" alt="Chụp MRI phát hiện thoát vị đĩa đệm" src="data:image/gif;base64,R0lGODlhAQABAID/AP///wAAACwAAAAAAQABAAACAkQBADs=" data-src="https://chuabenhthoatvidiadem.vn/resources/images/chuabenhthoatvidiadem_vn.jpg" style="width: 550px; height: 367px;" class="lazy" width="640" height="427" data-optimized="1" /></p><h2><span style="font-size:20px;">Chụp MRI là phương pháp phát hiện, chẩn đoán thoát vị đĩa đệm cột sống chính xác nhất hiện nay.</span></h2><p><span style="font-size:20px;"><img loading="lazy" alt="Đau lưng " src="data:image/gif;base64,R0lGODlhAQABAID/AP///wAAACwAAAAAAQABAAACAkQBADs=" data-src="https://chuabenhthoatvidiadem.vn/resources/images/Univadis_14_6_2016_Dau_than_kinh_toa_yeu_to_nguy_co_va_trieu_chung.jpg" style="width: 655px; height: 353px;" class="lazy" width="655" height="353" data-optimized="1" /></span></p><p><span style="font-size: 16px; text-align: justify;">Với các triệu chứng đau nhức, tê bì như: đau lưng, đau thắt lưng, đau cổ vai gáy, nhức bả vai cánh tay, tê tay, đau nhức chân, tê chân... việc chẩn đoán đúng bệnh, đúng vị trí tổn thương ngay từ đầu rất quan trọng. Các phương pháp chẩn đoán hình ảnh có thể là chụp X quang, chụp MRI, CT Scanner... Tuy nhiên, với các bệnh thoái hóa cột sống, thoát vị đĩa đệm cột sống cổ, cột sống thắt lưng thì chụp MRI là phương pháp &ldquo;vàng&rdquo; để thầy thuốc chẩn đoán.</span></p><p style="text-align: justify;"><span style="font-size: 16px;">Dựa vào các hình ảnh rõ nét của phim chụp cộng hưởng từ, các bác sĩ chẩn đoán hình ảnh có thể kết luận chính xác về tình trạng bệnh liên quan đến cột sống như: Phình đĩa đệm, phồng đĩa đệm, lồi đĩa đệm, thóa hóa đĩa đệm mất nước, thoát vị đĩa đệm, hẹp ống sống, chèn rễ thần kinh, chèn ép bao màng cứng v. v.. Từ đó, thầy thuốc chuyên khoa sẽ tư vấn cho người bệnh phương pháp điều trị thoát vị đĩa đệm tốt nhất. Có rất nhiều cách điều trị thoát vị đĩa đệm, trong đó cách dùng thuốc bắc, thuốc nam, đắp thuốc nam hoặc châm cứu kết hợp ..đang&nbsp;là một xu thế được nhiều người lựa chọn. Nhờ hình ảnh chụp cộng hưởng từ sẽ gúp thầy thuốc điều trị theo dõi sát sao diễn tiến bệnh trong thời gian người bệnh uống thuốc và có thể điều chỉnh thuốc cho phù hợp với từng trường hợp.</span></p><p><img loading="lazy" alt=" Chụp cộng hưởng từ cột sống thắt lưng" src="data:image/gif;base64,R0lGODlhAQABAID/AP///wAAACwAAAAAAQABAAACAkQBADs=" data-src="https://chuabenhthoatvidiadem.vn/resources/images/image09.png" style="width: 293px; height: 340px;" class="lazy" width="293" height="340" data-optimized="1" />&nbsp;</p><h3><em><span style="font-size:16px;">Hình ảnh thoát vị đĩa đệm cột sống thắt lưng, trên phim chụp MRI cột sống lưng</span></em></h3><p><span class="optimize-cls-iframe" data-src="https://www.youtube.com/embed/wrJ0UQLOPY0">https://www.youtube.com/embed/wrJ0UQLOPY0</span></p><p><em><span style="font-size:18px;"><span style="font-family:times new roman,times,serif;">Lương y Nguyễn Văn Minh giới thiệu&nbsp;khám chữa bệnh thoát vị đĩa đệm, ở phòng khám đông y Bảo Minh&nbsp; &nbsp; &nbsp; &nbsp; &nbsp; &nbsp; &nbsp; &nbsp; &nbsp;&nbsp;</span></span></em></p><p>&nbsp;<img loading="lazy" alt="Chụp cộng hưởng từ cột sống cổ" src="data:image/gif;base64,R0lGODlhAQABAID/AP///wAAACwAAAAAAQABAAACAkQBADs=" data-src="https://chuabenhthoatvidiadem.vn/resources/images/image002-1.png" style="width: 419px; height: 301px;" class="lazy" width="419" height="301" data-optimized="1" /></p><p><em><span style="font-size:18px;"><span style="font-family:times new roman,times,serif;">&nbsp; &nbsp; &nbsp; &nbsp; &nbsp; &nbsp; &nbsp; &nbsp; &nbsp; &nbsp; &nbsp; &nbsp; &nbsp; &nbsp; &nbsp; &nbsp; &nbsp; &nbsp; &nbsp;</span></span></em></p><h4>&nbsp;<em><span style="font-size:16px;"> Hình ảnh thoát vị đĩa đệm cột sống cổ, thể hiện trên phim chụp MRI&nbsp;cột sống cổ</span></em></h4><p style="text-align: justify;"><span style="font-size:16px;">Tỉ lệ người mắc các bệnh cột sống như thoát vị đĩa đệm, thoái hóa cột sống, thoái hóa đĩa đệm mất nước... đang tăng lên đáng kể. Khi nhận thấy những dấu hiệu của căn bệnh này, điều đầu tiên bạn cần làm là tới bệnh viện&nbsp;để bác sĩ khám&nbsp;chữa bệnh và chụp cộng hưởng từ để xác định đúng vị trí và tình trạng bệnh. Hãy nhớ rằng việc chuẩn đoán chính xác là bước căn bản, cho dù sau đó bạn lựa chọn phương pháp điều trị nào. Dưới đây là một số thông tin về việc chụp MRI:</span></p><p><span style="font-size:16px;">- Chụp MRI không khiến người bệnh bị nhiễm xạ.</span></p><p><span style="font-size:16px;">- Chụp MRI cho chất lượng hình ảnh rõ nét và chính xác nhất.</span></p><p><span style="font-size:16px;">- Người bệnh không cần tiêm thuốc cản từ, không có tác dụng phụ sau khi chụp.</span></p><p><span style="font-size:16px;">- Đơn giá 1 lần chụp MRI từ: 2.000.000&nbsp; đến 2.500.000 đ tùy bệnh viện (thời điểm 2017).</span></p><p><span style="font-size:16px;">Lương y Nguyễn Văn Minh - Phòng khám đông y Bảo Minh khi chữa thoát vị đĩa đệm thường căn cứ vào kết quả chụp MRI mà bệnh nhân mang tới, kết hợp với bắt mạch để kê đơn thuốc điều trị sao cho hiệu quả nhất.</span></p><p><span style="font-size:16px;">Tin liên quan: chua benh thoatvidiadem</span></p><p><span style="font-size:16px;">-&nbsp;<a href="https://chuabenhthoatvidiadem.vn/cach-chua-benh/giay-phep-kham-chua-benh-cua-luong-y-nguyen-van-minh-pid-30.html" style="color: rgb(102, 0, 153); cursor: pointer; text-decoration-line: none;" target="_blank" title="">Phòng khám&nbsp;của lương y Nguyễn Văn Minh do&nbsp;Sở Y Tế TP.HCM cấp phép</a></span></p><p class="r" style="font-size: 18px; margin: 0px; padding: 0px; overflow: hidden; text-overflow: ellipsis; white-space: nowrap; color: rgb(34, 34, 34); font-family: arial, sans-serif;"><span style="font-size:16px;">-&nbsp;<a href="https://chuabenhthoatvidiadem.vn/cach-chua-benh/ket-qua-dieu-tri-thoat-vi-dia-dem-cid-2-10.html" style="color: rgb(102, 0, 153); cursor: pointer; text-decoration-line: none;" target="_blank" title="">Kết quả điều trị thoát vị đĩa đệm - Cách Chữa Bệnh Thoát Vị Đĩa Đệm</a></span></p><p class="r" style="font-size: 18px; margin: 0px; padding: 0px; overflow: hidden; text-overflow: ellipsis; white-space: nowrap; color: rgb(34, 34, 34); font-family: arial, sans-serif;">&nbsp;</p><p class="r" style="font-size: 18px; margin: 0px; padding: 0px; overflow: hidden; text-overflow: ellipsis; white-space: nowrap; color: rgb(34, 34, 34); font-family: arial, sans-serif;"><span style="font-size:16px;">-&nbsp;<a href="https://chuabenhthoatvidiadem.vn/dieu-tri/video-chua-khoi-thoat-vi-dia-dem-cid-3-0.html" style="font-size: 16px; color: rgb(102, 0, 153); cursor: pointer;" target="_blank" title="">Kể chuyện chữa khỏi thoát vị đĩa đệm tại phòng khám đông y Bảo Minh</a></span></p><p class="r" style="font-size: 18px; margin: 0px; padding: 0px; overflow: hidden; text-overflow: ellipsis; white-space: nowrap; color: rgb(34, 34, 34); font-family: arial, sans-serif;">&nbsp;</p><p class="r" style="font-size: 18px; margin: 0px; padding: 0px; overflow: hidden; text-overflow: ellipsis; white-space: nowrap; color: rgb(34, 34, 34); font-family: arial, sans-serif;"><span style="font-size:16px;">-&nbsp;<a href="https://chuabenhthoatvidiadem.vn/cach-chua-benh/dia-chi-chua-benh-thoat-vi-dia-dem-pid-73.html" style="color: rgb(102, 0, 153); cursor: pointer; text-decoration-line: none;" target="_blank" title="">Địa chỉ chữa bệnh thoát vị đĩa đệm uy tín&nbsp;ở Tp Hồ Chí Minh</a></span></p><p class="r" style="font-size: 18px; margin: 0px; padding: 0px; overflow: hidden; text-overflow: ellipsis; white-space: nowrap; color: rgb(34, 34, 34); font-family: arial, sans-serif;">&nbsp;</p><p style="font-size: small; color: rgb(128, 128, 128); font-family: arial, sans-serif; white-space: nowrap;"><span style="background-color: transparent; color: rgb(0, 0, 0); font-family: RobotoSlab-Regular, Arial, Helvetica, sans-serif; font-size: 16px; text-align: justify;">Lương y Nguyễn Văn Minh chữa thoát vị đĩa đệm, nhiều người đã khỏi bệnh, xem chi tiết&nbsp;</span><span style="background-color: transparent; color: rgb(0, 0, 0); font-family: RobotoSlab-Regular, Arial, Helvetica, sans-serif; font-size: 16px; text-align: justify;">tại trang web:</span></p><h3 class="r" style="line-height: 1.1; white-space: nowrap; background-image: initial; background-position: initial; background-size: initial; background-repeat: initial; background-attachment: initial; background-origin: initial; background-clip: initial; box-sizing: border-box; margin: 0px; padding: 0px; border: 0px; outline: 0px; font-size: 18px; vertical-align: baseline; font-family: RobotoSlab-Regular, Arial, Helvetica, sans-serif; color: rgb(0, 0, 0); max-width: 100%; overflow: hidden; text-overflow: ellipsis;"><a href="https://chuabenhthoatvidiadem.vn/" style="color: rgb(102, 0, 153); box-sizing: border-box; margin: 0px; padding: 0px; border: 0px; outline: 0px; vertical-align: baseline; background: transparent; text-decoration-line: none; transition: all 406ms ease-out 0s; max-width: 100%; cursor: pointer;" target="_blank" title="">Cách Chữa Bệnh Thoát Vị Đĩa Đệm</a></h3><div class="s" style="white-space: nowrap; background-image: initial; background-position: initial; background-size: initial; background-repeat: initial; background-attachment: initial; background-origin: initial; background-clip: initial; box-sizing: border-box; margin: 0px; padding: 0px; border: 0px; outline: 0px; font-size: 16px; vertical-align: baseline; position: relative; max-width: 48em; font-family: RobotoSlab-Regular, Arial, Helvetica, sans-serif; color: rgb(84, 84, 84); line-height: 18px;"><div class="f kv _SWb" style="box-sizing: border-box; margin: 0px; padding: 0px; border: 0px; outline: 0px; font-size: small; vertical-align: baseline; background: transparent; position: relative; max-width: 100%; color: rgb(128, 128, 128); height: 18px; line-height: 16px; font-family: arial, sans-serif;"><cite class="_Rm" style="box-sizing: border-box; margin: 0px; padding: 0px; border: 0px; outline: 0px; font-size: 14px; vertical-align: baseline; background: transparent; max-width: 100%; color: rgb(0, 102, 33); font-style: normal;">chuabenhthoatvidiadem.vn/</cite></div></div>]]></content:encoded>
						<wfw:commentRss></wfw:commentRss>
						<slash:comments>0</slash:comments>
					</item>
				
					<item>
						<title>Chữa thoát vị đĩa đệm cột sống thắt lưng, khỏi hẳn không phải mổ</title>
						<link>https://chuabenhthoatvidiadem.vn/bai-viet/nghe-truc-tiep-nhung-nguoi-duoc-luong-y-minh-chua-khoi-thoat-vi-dia-dem/chua-thoat-vi-dia-dem-cot-song-that-lung-khoi-han-khong-phai-mo-pid-74.html</link>
						<comments></comments>
						<pubDate>Tue, 28 Feb 2017 10:45:23 +0700</pubDate>
						<dc:creator>admin</dc:creator>
						<category><![CDATA[Nghe trực tiếp những người được lương y Minh chữa khỏi thoát vị đĩa đệm ]]></category>
						<guid isPermaLink="false"></guid>
						<description><![CDATA[Tôi chữa thoát vị đĩa đệm cột sống lưng cho anh Dùm ở Đồng Tháp, đã khỏi hẳn, không còn bị đau nhức gần năm nay. Năm ngoái anh Dùm quyết định không mổ thoát vị đĩa đệm ở bệnh viện Chợ Rẫy, mà tới phòng khám của tôi để chữa thoát vị đĩa đệm bằng đông y. Vừa uống thuốc vừa đắp thuốc chưa tới 1 tháng đã khỏi hoàn toàn.]]></description>
						<content:encoded><![CDATA[<h2 style="text-align: justify;"><span style="font-size:16px;">Tôi chữa thoát vị đĩa đệm cột sống lưng cho anh Dùm ở Đồng Tháp, đã khỏi hẳn, gần năm nay không còn bị đau nhức. Năm ngoái anh Dùm quyết định không mổ thoát vị đĩa đệm ở bệnh viện Chợ Rẫy TP.HCM, mà tới phòng khám của tôi để chữa thoát vị đĩa đệm bằng đông y. Vừa uống thuốc vừa đắp thuốc chưa tới 1 tháng đã khỏi dứt bệnh. Hôm nay tôi gọi điện thoại hỏi thăm, anh Dùm vui vẻ đồng ý cho tôi được chia sẻ địa chỉ và số điện thoại của anh lên đây, tôi xin chân thành cảm ơn anh.</span></p><p>&nbsp;</p><p><img loading="lazy" alt="thoatvidiadem" src="data:image/gif;base64,R0lGODlhAQABAID/AP///wAAACwAAAAAAQABAAACAkQBADs=" data-src="https://chuabenhthoatvidiadem.vn/resources/images/20161216_071939 (2).jpg" style="width: 478px; height: 617px;" class="lazy" width="478" height="617" data-optimized="1" /></p><p><span style="font-size:16px;">Hãy kích chuột vào mũi tên để nghe thông báo khỏi hẳn thoát vị đĩa đệm, từ chính anh Dùm&nbsp;với lương y Nguyễn Văn Minh (*)</span></p><p><a href="https://chuabenhthoatvidiadem.vn/resources/files/Tho_i_031_m.mp3" title="">https://chuabenhthoatvidiadem.vn/ benhthoatvidiadem L5/S1</a></p><p>&nbsp;</p><p><span style="font-size:16px;">&nbsp;(*) &nbsp;&quot;Lưu ý: tác dụng của thuốc chữa thoát vị đĩa đệm cột sống thắt lưng/ nhanh hay chậm&nbsp;có thể thay đổi tùy theo&nbsp;&nbsp;cơ địa của mỗi nguời&quot;</span></p><p><span style="font-size:16px;">Địa chỉ anh Dùm ở Đồng Tháp: ấp Long Phú, xã Hòa Long, huyện Lai Vung, tỉnh Đồng Tháp. ĐT: 0166.2515.946</span></p><p><span style="font-size:16px;">Có thể bạn muốn xem:&nbsp;<a href="https://chuabenhthoatvidiadem.vn/cach-chua-benh/giay-phep-kham-chua-benh-cua-luong-y-nguyen-van-minh-pid-30.html" style="color: rgb(102, 0, 153); cursor: pointer; text-decoration-line: none;" target="_blank" title="">Giấy phép khám chữa bệnh&nbsp;của lương y Nguyễn Văn Minh.</a></span></p><p><span style="font-size:16px;">Địa chỉ khám chữa bệnh thoát vị đĩa đệm: 856/6 Quang Trung, P.8, Quận gò Vấp, TPHCM.</span></p><p><span style="font-size:16px;">Trang Web của phòng khám:&nbsp;https://chuabenhthoatvidiadem.vn/</span></p><p>&nbsp;</p>]]></content:encoded>
						<wfw:commentRss></wfw:commentRss>
						<slash:comments>0</slash:comments>
					</item>
				
					<item>
						<title>Chị Nguyệt ở Hà Nam điều trị thoát vị đĩa đệm được 3 tuần phát biểu ý kiến.</title>
						<link>https://chuabenhthoatvidiadem.vn/bai-viet/ket-qua-dieu-tri-thoat-vi-dia-dem/chi-nguyet-o-ha-nam-dieu-tri-thoat-vi-dia-dem-duoc-3-tuan-phat-bieu-y-kien-pid-28.html</link>
						<comments></comments>
						<pubDate>Sat, 10 Dec 2016 10:21:31 +0700</pubDate>
						<dc:creator>admin</dc:creator>
						<category><![CDATA[Kết quả điều trị thoát vị đĩa đệm]]></category>
						<guid isPermaLink="false"></guid>
						<description><![CDATA[Lương Nguyễn Văn Minh điều trị thoát vị đĩa đệm cho chị Nguyệt ở Xóm 2, xã Nhân Thịnh, huyện Lý Nhân, tỉnh Hà Nam. Sau 3 tuần uống thuốc chị Nguyệt gọi điện báo mức độ hài lòng. Hãy nghe trực tiếp từ chị Nguyệt.]]></description>
						<content:encoded><![CDATA[<h2 style="text-align: justify;"><span style="font-size:16px;">Chị Nguyệt bị thoái hóa&nbsp;cột sống, gai cột sống, thoát vị đĩa đệm cột sống, đau nhức lâu ngày giảm khả năng lao động. Sau khi uống hơn 3 tuần thuốc thang và kết hợp với&nbsp;đắp thuốc trị thoát vị đĩa đệm, chị Nguyệt đã đỡ rất nhiều. Chị Nguyệt rất mừng vì trước đó đã đi chữa nhiều nơi không đỡ.</span></h2><p><img loading="lazy" alt="Chị Nguyệt khỏi tthoát vị đĩa đệm" src="data:image/gif;base64,R0lGODlhAQABAID/AP///wAAACwAAAAAAQABAAACAkQBADs=" data-src="https://chuabenhthoatvidiadem.vn/resources/images/images780684_6_Phu_nu.jpg" style="width: 454px; height: 302px;" class="lazy" width="454" height="302" data-optimized="1" /></p><h2><span style="font-size:16px;">Hãy bấm vào mũi tên dưới đây để nghe trực tiếp chị Nguyệt thông báo: kết quả điều trị thoát vị đĩa đệm , mức độ thuyên giảm sau 1 thời gian điều trị. Chị Nguyệt đồng ý chia sẻ địa chỉ của chị: Nguyễn Thị Nguyệt, Xóm 2, xã Nhân Thịnh, huyện Lý Nhân, tỉnh Hà Nam (*)</span></h2><p><span style="font-size:16px;"><a href="https://chuabenhthoatvidiadem.vn/resources/files/Thoại 003.mp3" title="">http://.mp3</a></span></p><p>&nbsp;<span style="font-size:16px;">Trên đây là cuộc nói chuyện rất thật giữa thầy thuốc với người bệnh, có lúc âm thanh nghe không được rõ, nhưng đảm bảo được tính chân thật, đúng người, đúng bệnh, đúng địa chỉ.</span></p><p><span style="font-size:16px;">Có thể bạn muốn xem;</span></p><h3 class="r" style="font-size: 18px; margin: 0px; padding: 0px; overflow: hidden; text-overflow: ellipsis; white-space: nowrap; color: rgb(34, 34, 34); font-family: arial, sans-serif;"><span style="font-size:16px;"><a href="https://chuabenhthoatvidiadem.vn/cach-chua-benh/khoi-thoat-vi-dia-dem-cot-song-that-lung-sau-hon-1-thang-dieu-tri-pid-37.html" style="color: rgb(102, 0, 153); cursor: pointer; text-decoration-line: none;" target="_blank" title="">Xem video cách chữa thoát vị đĩa đệm cột sống thắt lưng.</a></span></h3><p><span style="font-size:16px;">(*) &nbsp; &quot;Lưu ý: thuốc chữa thoát vị đĩa đệm có tác dụng nhanh hay chậm,&nbsp;tùy theo tình trạng bệnh&nbsp;mỗi nguời&quot;</span></p><p>&nbsp;</p>]]></content:encoded>
						<wfw:commentRss></wfw:commentRss>
						<slash:comments>0</slash:comments>
					</item>
				
					<item>
						<title>Đau vai gáy, thuốc gì chữa đau vai gáy </title>
						<link>https://chuabenhthoatvidiadem.vn/bai-viet/benh-thoat-vi-dia-dem/dau-vai-gay-thuoc-gi-chua-dau-vai-gay-pid-295.html</link>
						<comments></comments>
						<pubDate>Tue, 29 Dec 2020 09:28:53 +0700</pubDate>
						<dc:creator>admin</dc:creator>
						<category><![CDATA[Bệnh thoát vị đĩa đệm]]></category>
						<guid isPermaLink="false"></guid>
						<description><![CDATA[Chữa đau vai gáy, đau mỏi cổ, nhức bả vai cánh tay do thoát vị đĩa đệm hoặc lồi đĩa đệm, do thoái hóa cột sống, gai đốt sống cổ gây nên. Cách chữa bằng thuốc đông y, khám và điều trị theo thể trạng và mức độ bệnh của mỗi người, là cách chữa bệnh hiệu quả, ít tác dụng phụ, khi hết bệnh là hết thời gian dài mà không phải uống thuốc gì.]]></description>
						<content:encoded><![CDATA[<p><span style="font-size:18px;">Đau vai gáy</span></p><p style="text-align: justify;"><span style="font-size:16px;">Đau vai gáy có nhiều nguyên nhân, Lương y Nguyễn Văn Minh ở phòng khám đông y Bảo Minh chuyên trị đau vai gáy do: Thoát vị đĩa đệm, lồi đĩa đệm, thoái hóa đốt sống, gai cột&nbsp;sống cổ.</span></p><p>&nbsp;</p><p>&nbsp;</p><p><img loading="lazy" alt="Đau vai gáy là bệnh gì" src="data:image/gif;base64,R0lGODlhAQABAID/AP///wAAACwAAAAAAQABAAACAkQBADs=" data-src="https://chuabenhthoatvidiadem.vn/resources/images/Dauvaigay.jpg" style="width: 660px; height: 494px;" class="lazy" width="660" height="494" data-optimized="1" /></p><h3><span style="font-size:14px;"><em>Hình ảnh đau vai gáy do thoát vị đĩa đệm cột sống cổ, đang khám tại phòng khám đông y Bảo Minh.</em></span></h3><p style="text-align: justify;"><span style="font-size:16px;">Đau vai gáy&nbsp;hay đau cổ vai gáy&nbsp;là hiện tượng&nbsp;cơ vùng vai gáy hay co&nbsp;cứng gây đau, làm cho người bệnh bị&nbsp;hạn chế vận động khi quay cổ, ngoái cổ, ngửa cổ hoặc cúi đầu.&nbsp;</span></p><h2 style="text-align: justify;"><span style="font-size:16px;">Nguyên nhân và triệu chứng&nbsp;đau vai gáy</span></h2><p style="text-align: justify;"><span style="font-size:16px;">Đau vai gáy hay&nbsp;đau mỏi cổ vai gáy khá phổ biến, có thể do nhiều nguyên nhân khác nhau như: Thoái hóa đốt sống cổ, gai cột sống cổ, thoát vị đĩa đệm các tầng cột&nbsp;sống cổ. Khi cơ thể không được khỏe, gặp lạnh, nhiễm lạnh dễ bị đau vai gáy, tư thế nằng ngủ do gối đầu.. đều có thể gây nên triệu chứng đau vai gáy.</span></p><p style="text-align: justify;"><span style="font-size: 16px;">Triệu chứng rõ nhất là cứng vùng cổ gáy, đau vàng vai gáy, quay đầu khó khăn, khi quay sang phải hoặc sang trái phải quay cả người thân trên. Đau&nbsp;tăng khi vận động vùng vai gáy, những động tác như với tay ra sau, giơ tay chải đầu, giơ tay mặc áo, đứng lâu, đi mạnh, ngồi lâu hoặc ho, hắt hơi, vận động cột sống cổ. Triệu chứng đau tăng lên khi </span><span style="font-size: 16px;">thay đổi&nbsp;</span><span style="font-size: 16px;">thời tiết, bệnh sẽ thuyên giảm khi được nghỉ ngơi, giảm cử động vùng cổ vai gáy.</span></p><p style="text-align: justify;"><span style="font-size:16px;"><img loading="lazy" alt="Thoát vị đĩa đệm cổ" src="data:image/gif;base64,R0lGODlhAQABAID/AP///wAAACwAAAAAAQABAAACAkQBADs=" data-src="https://chuabenhthoatvidiadem.vn/resources/images/Thoát vị đĩa đệm cổ(1).jpg" style="width: 647px; height: 886px;" class="lazy" width="647" height="886" data-optimized="1" /></span></p><h3 style="text-align: justify;"><span style="font-size:16px;">Thuốc chữa đau vai gáy</span></h3><p style="text-align: justify;"><span style="font-size:16px;">Anh Đỗ Quang Truyện đã&nbsp;khỏi&nbsp;đau vai gáy, hết mỏi cổ&nbsp;do thoát vị đĩa đệm C4-C5-C6 chèn rễ thần kinh C6. Anh Truyện đồng ý cho chia sẻ thông tin bệnh án, địa chỉ và nội dung câu chuyện dưới đây, phòng khám đông y Bảo Minh xin chân trọng cảm ơn anh.</span></p><p style="text-align: justify;"><a href="https://chuabenhthoatvidiadem.vn/resources/files/FILE_Truyện Tv CoVe.mp3" title="">Đau vai gáy do thoát vị đĩa đệm</a></p><p style="text-align: justify;"><span style="font-size:16px;">Để chữa đau vai gáy,&nbsp;</span><span style="font-size: 16px; text-align: justify;">đau mỏi cổ</span><span style="font-size:16px;">&nbsp;nguyên nhân do thoát vị đĩa đệm, lồi đĩa đệm, quý khách nên&nbsp;tìm những&nbsp;phòng khám chuyên khoa, có thầy thuốc&nbsp;giỏi bắt mạch, nhiều kinh nghiệm khám chữa bệnh.</span></p><p style="text-align: justify;"><span style="font-size:16px;">Trang web&nbsp;<a data-ved="2ahUKEwiG7oTsuur3AhWUBqYKHaUHCao4RhAWegQICxAB" href="https://chuabenhthoatvidiadem.vn/cach-chua-benh/thuoc-dac-tri-thoat-vi-dia-dem-cua-luong-y-nguyen-van-minh-pid-269.html" ping="/url?sa=t&amp;source=web&amp;rct=j&amp;url=https://chuabenhthoatvidiadem.vn/cach-chua-benh/thuoc-dac-tri-thoat-vi-dia-dem-cua-luong-y-nguyen-van-minh-pid-269.html&amp;ved=2ahUKEwiG7oTsuur3AhWUBqYKHaUHCao4RhAWegQICxAB" style="color: rgb(26, 13, 171); text-decoration-line: none; -webkit-tap-highlight-color: rgba(0, 0, 0, 0.1); outline: 0px; font-family: arial, sans-serif; font-size: small;" title="">Thoát Vị đĩa Đệm</a></span><font size="2">&nbsp;</font><span style="font-size:16px;">của phòng khám đông y Bảo Minh, có&nbsp;2 tên miền dễ cho quý khách truy cập: thoatvidiadem.top và chuabenhthoatvidiadem.vn</span></p><p style="box-sizing: border-box; margin: 0px 0px 10px; padding: 0px; border: 0px; outline: 0px; font-size: 16px; vertical-align: baseline; background-image: initial; background-position: initial; background-size: initial; background-repeat: initial; background-attachment: initial; background-origin: initial; background-clip: initial; max-width: 100%; color: rgb(0, 0, 0); font-family: RobotoSlab-Regular, Arial, Helvetica, sans-serif; text-align: justify;"><span style="box-sizing: border-box; margin: 0px; padding: 0px; border: 0px; outline: 0px; vertical-align: baseline; background: transparent; max-width: 100%;">Muốn mua thuốc chữa đau vai gáy&nbsp;ở đâu?</span></p><p style="box-sizing: border-box; margin: 0px 0px 10px; padding: 0px; border: 0px; outline: 0px; font-size: 16px; vertical-align: baseline; background-image: initial; background-position: initial; background-size: initial; background-repeat: initial; background-attachment: initial; background-origin: initial; background-clip: initial; max-width: 100%; color: rgb(0, 0, 0); font-family: RobotoSlab-Regular, Arial, Helvetica, sans-serif;"><font color="#000000" face="RobotoSlab-Regular, Arial, Helvetica, sans-serif" style="box-sizing: border-box; margin: 0px; padding: 0px; border: 0px; outline: 0px; vertical-align: baseline; background: transparent; max-width: 100%; text-align: justify;">Tìm đường đi rất dễ, bạn chỉ việc&nbsp;bấm vào liên kết ở đây.&nbsp;</font><span style="box-sizing: border-box; margin: 0px; padding: 0px; border: 0px; outline: 0px; vertical-align: baseline; background: transparent; max-width: 100%; text-align: justify;">Google Map sẽ chỉ đường tới:&nbsp;</span><span style="color: rgb(0, 0, 0); font-family: RobotoSlab-Regular, Arial, Helvetica, sans-serif; font-size: 16px; text-align: justify;">856/6 đường Quang Trung, Quận Gò vấp, TP.HCM</span><span style="box-sizing: border-box; margin: 0px; padding: 0px; border: 0px; outline: 0px; vertical-align: baseline; background: transparent; max-width: 100%; text-align: justify;">:&nbsp;&nbsp;</span><a href="https://thoatvidiademcotsong.business.site/?m=true" style="box-sizing: border-box; margin: 0px; padding: 0px; border: 0px; outline: 0px; vertical-align: baseline; background: transparent; color: rgb(51, 122, 183); text-decoration-line: none; transition: all 406ms ease-out 0s; max-width: 100%; text-align: justify;" title="">thoatvi</a><a href="https://thoatvidiademcotsong.business.site/?m=true" style="box-sizing: border-box; margin: 0px; padding: 0px; border: 0px; outline: 0px; vertical-align: baseline; background: transparent; color: rgb(51, 122, 183); text-decoration-line: none; transition: all 406ms ease-out 0s; max-width: 100%;" title="">diadem cot song.</a></p>]]></content:encoded>
						<wfw:commentRss></wfw:commentRss>
						<slash:comments>0</slash:comments>
					</item>
				
					<item>
						<title>Chữa bệnh đau lưng - Lương y trên 20 năm kinh nghiệm chỉ cách chữa đau lưng </title>
						<link>https://chuabenhthoatvidiadem.vn/bai-viet/ket-qua-dieu-tri-thoat-vi-dia-dem/chua-benh-dau-lung-luong-y-tren-20-nam-kinh-nghiem-chi-cach-chua-dau-lung-pid-155.html</link>
						<comments></comments>
						<pubDate>Sun, 17 Dec 2017 04:30:40 +0700</pubDate>
						<dc:creator>admin</dc:creator>
						<category><![CDATA[Kết quả điều trị thoát vị đĩa đệm]]></category>
						<guid isPermaLink="false"></guid>
						<description><![CDATA[Tôi có kinh nghiệm trên 20 năm chữa bệnh đau lưng, đau thắt lưng dưới. Tôi đã chữa cho hàng ngàn lượt người khỏi hẳn bệnh đau lưng. Nhiều người khỏi bệnh vài năm sau hỏi thăm, họ thông báo: khỏi hẳn, không thấy đau lại. Mời bạn đọc xem cách chữa bệnh đau lưng của tôi, hẳn có ích khi cần thiết.]]></description>
						<content:encoded><![CDATA[<h2 style="text-align: justify;"><span style="font-size:16px;">Tôi có kinh nghiệm trên 20 năm chữa bệnh đau lưng, đau thắt lưng dưới. Tôi đã chữa cho hàng ngàn lượt người khỏi hẳn bệnh đau lưng. Nhiều người khỏi bệnh vài năm sau hỏi thăm, họ thông báo: khỏi hẳn, không thấy đau nữa. Mời bạn đọc xem cách chữa bệnh đau lưng của tôi, hẳn có ích khi cần thiết.</span></p><p><span style="font-size:16px;"><img loading="lazy" alt="Chữa bệnh đau lưng" src="data:image/gif;base64,R0lGODlhAQABAID/AP///wAAACwAAAAAAQABAAACAkQBADs=" data-src="https://chuabenhthoatvidiadem.vn/resources/images/dieu-tri-thoai-vi-dia-dem-cot-song-bang-dong-y-01.jpg" style="width: 640px; height: 426px;" class="lazy" width="640" height="426" data-optimized="1" /></span></p><h2 style="text-align: justify;"><span style="font-size:16px;">Nguyên nhân gây bệnh đau lưng, đau thắt lưng có rất nhiều, tôi chuyên môn sâu về chữa đau lưng do: thoát vị đĩa đệm, lồi đĩa đệm, phồng đĩa đệm, phình đĩa đệm,&nbsp;thoái hóa cột sống, gai cột sống, thoái hóa đĩa đệm cột sống, chấn thương dây chằng cột sống, sút lưng do khiêng mang vác vật nặng.&nbsp;</span></h2><h3 style="text-align: justify;"><span style="font-size:16px;">Hiệu quả chữa bệnh như thế nào, uy tín của thầy thuốc ra sao, hay nhất vẫn là do người bệnh đánh giá. Được sự đồng ý của anh Lê Văn Thành, một người đã chữa bệnh đau lưng ở phòng khám của tôi cách nay gần 2 năm,&nbsp;tôi xin đăng lên đây cuộc nói chuyện giữa tôi và anh Thành, anh Thành cũng cho biết&nbsp;địa chỉ và số điện thoại&nbsp;để mọi người&nbsp;tham khảo, đánh giá&nbsp;cách chữa bệnh đau lưng của tôi.&nbsp;</span></h3><p><a href="https://chuabenhthoatvidiadem.vn/resources/files/Tho_i_044.mp3" title="">Bấm để nghe lương y Minh và anh Thành kể chuyện chữa đau lưng</a></p><p><span style="font-size:16px;">Nghe hết cuộc hội thoại sẽ thấy anh Thành chia sẻ địa chỉ: 93/3B đường 05, ấp Tam Đông, xã Thới Tam Thôn, huyện Hóc Môn, Tp Hồ Chí Minh(*)</span></p><h4><span style="font-size:16px;">(*) &nbsp; &quot;Lưu ý: thuốc&nbsp;chữa bệnh đau lưng có tác dụng&nbsp;nhanh hay chậm/có thể thay đổi tùy theo cơ địa mỗi nguời&quot;</span></h4><p class="r" style="font-size: 18px; margin: 0px; padding: 0px; overflow: hidden; text-overflow: ellipsis; white-space: nowrap; color: rgb(34, 34, 34); font-family: arial, sans-serif;"><span style="font-size:16px;"><a href="https://chuabenhthoatvidiadem.vn/dieu-tri/nghe-truc-tiep-nhung-nguoi-duoc-luong-y-minh-chua-khoi-thoat-vi-dia-dem-cid-4-0.html" style="color: rgb(102, 0, 153); cursor: pointer; text-decoration-line: none;" target="_blank" title="">Lương y Nguyễn Văn Minh - Phòng khám đông y Bảo Minh</a></span></p><p class="r" style="font-size: 18px; margin: 0px; padding: 0px; overflow: hidden; text-overflow: ellipsis; white-space: nowrap; color: rgb(34, 34, 34); font-family: arial, sans-serif;">&nbsp;</p><p class="r" style="margin: 0px; padding: 0px; overflow: hidden; text-overflow: ellipsis; white-space: nowrap; color: rgb(34, 34, 34); font-family: arial, sans-serif;"><span style="font-size: 16px;">Địa chỉ: 856/6 Quang Trung, Phường 8, Quận Gò Vấp, TP.HCM.</span></p><p class="r" style="font-size: 18px; margin: 0px; padding: 0px; overflow: hidden; text-overflow: ellipsis; white-space: nowrap; color: rgb(34, 34, 34); font-family: arial, sans-serif;">&nbsp;</p>]]></content:encoded>
						<wfw:commentRss></wfw:commentRss>
						<slash:comments>0</slash:comments>
					</item>
				
					<item>
						<title>Thoái hóa cột sống thắt lưng, thoát vị đĩa đệm L3/4, L4/5 - Điều trị 20 ngày thuốc hết đau.</title>
						<link>https://chuabenhthoatvidiadem.vn/bai-viet/nghe-truc-tiep-nhung-nguoi-duoc-luong-y-minh-chua-khoi-thoat-vi-dia-dem/thoai-hoa-cot-song-that-lung-thoat-vi-dia-dem-l3-4-l4-5-dieu-tri-20-ngay-thuoc-het-dau-pid-147.html</link>
						<comments></comments>
						<pubDate>Thu, 14 Dec 2017 10:13:11 +0700</pubDate>
						<dc:creator>admin</dc:creator>
						<category><![CDATA[Nghe trực tiếp những người được lương y Minh chữa khỏi thoát vị đĩa đệm ]]></category>
						<guid isPermaLink="false"></guid>
						<description><![CDATA[Chị Xương chụp MRI phát hiện: thoái hóa cột sống thắt lưng, thoái hóa đĩa đệm mất nước, thoát vị đĩa đệm L3/4, L4/5 chèn ép rễ thần kinh. Điều trị 20 ngày vừa uống thuốc, vừa đắp thuốc nam của lương y Minh, chị Xương đã khỏi bệnh cách nay gần 1 năm. Hơn 20 năm qua, lương y Nguyễn Văn Minh đã chữa cho hàng ngàn người khỏi bệnh thoát vị đĩa đệm nhờ cách chữa này.]]></description>
						<content:encoded><![CDATA[<p style="text-align: justify;"><span style="font-size:16px;">Chị Xương chụp MRI phát hiện: thoái hóa cột sống thắt lưng, thoái hóa đĩa đệm mất nước, thoát vị đĩa đệm L3/4, L4/5 chèn ép rễ thần kinh. Điều trị 20 ngày vừa uống thuốc, vừa đắp thuốc nam chữa thoát vị đĩa đệm&nbsp;của lương y Minh, chị Xương đã khỏi bệnh cách nay gần 1 năm, từ đó&nbsp;tới nay không thấy bị đau lại. Hơn 20 năm qua, lương y Nguyễn Văn Minh đã chữa cho hàng ngàn người khỏi bệnh thoát vị đĩa đệm nhờ cách chữa này.</span></p><h2 style="text-align: justify;"><span style="font-size:16px;">Để khách quan trong việc đánh giá cách chữa bệnh thoát vị đĩa đệm&nbsp;của lương y Minh, nhà thuốc chúng tôi đã gọi điện xin phép chị Xương, được chị đồng ý cho chia sẻ cả bệnh án để đúng người đúng bệnh, nhà thuốc xin chân thành cảm ơn chị Xương.</span></h2><p>&nbsp;</p><p><img loading="lazy" alt="" src="data:image/gif;base64,R0lGODlhAQABAID/AP///wAAACwAAAAAAQABAAACAkQBADs=" data-src="https://chuabenhthoatvidiadem.vn/resources/images/20170424_064526.jpg" style="width: 650px; height: 870px;" class="lazy" width="476" height="637" data-optimized="1" /></p><p><span style="font-size:16px;">Mời bạn đọc nhấp vào ô dưới đây để nghe ý kiến của chị Đào Thị Xương</span></p><p><a href="https://chuabenhthoatvidiadem.vn/resources/files/call_11-14-57_OUT_0971247122.mp3" title="">Thoát vị đĩa đệm chèn ép rễ thần kinh&nbsp;</a></p><p style="text-align: justify;"><span style="font-size:16px;">Chị Xương là người rất thật thà nồng hậu, khi được hỏi địa chỉ để chia sẻ, chị không ngần ngại cho biết ngay;&nbsp;</span></p><p style="text-align: justify;"><span style="font-size:16px;">Ấp Tư, xã An Bình Tây, huyện Ba Tri, tỉnh Bến Tre&nbsp;(*)</span></p><p style="text-align: justify;"><span style="font-size:16px;">(*) &nbsp;Lưu ý: tác dụng của thuốc chữa thoát vị đĩa đệm/ thời gian điều trị nhanh hay chậm có thể thay đổi theo mức độ&nbsp;thoát vị đĩa đệm&nbsp;mỗi nguời.</span></p><p style="text-align: justify;"><span style="font-size:16px;">P/s: Đây là cuộc nói chuyện rất thật giữa thầy thuốc với người bệnh, có lúc âm thanh nghe không liên tục, nhưng đảm bảo được tính chân thật, đúng người, đúng bệnh.</span></p><p style="text-align: justify;"><span style="font-size:16px;">Lương y Nguyễn Văn Minh&nbsp;- Lương y chữa thoát vị đĩa đệm bằng thuốc đông y.<br />Địa chỉ phòng khám đông y Bảo Minh: 856/6 đường Quang Trung, phường 8, quận Gò Vấp, Tp Hồ Chí Minh.</span></p><p><span style="font-size: 16px;">Trang web chuyên về bệnh&nbsp;</span><a title="" data-ved="2ahUKEwiEmdPD5P73AhVaAKYKHeVgAsEQFnoECAQQAQ" href="https://chuabenhthoatvidiadem.vn/" ping="/url?sa=t&amp;source=web&amp;rct=j&amp;url=https://chuabenhthoatvidiadem.vn/&amp;ved=2ahUKEwiEmdPD5P73AhVaAKYKHeVgAsEQFnoECAQQAQ" style="font-size: small; color: rgb(26, 13, 171); text-decoration-line: none; -webkit-tap-highlight-color: rgba(0, 0, 0, 0.1); outline: 0px; font-family: arial, sans-serif;">Thoát Vị Đĩa Đệm</a>&nbsp;</p><p><span style="font-size:16px;">thoatvidiadem.top</span></p><p><span style="font-size:16px;">chuabenhthoatvidiadem.vn</span></p>]]></content:encoded>
						<wfw:commentRss></wfw:commentRss>
						<slash:comments>0</slash:comments>
					</item>
				
					<item>
						<title>Đông y chữa thoát vị đĩa đệm</title>
						<link>https://chuabenhthoatvidiadem.vn/bai-viet/luong-y-nguyen-van-minh-chua-thoat-vi-dia-dem/dong-y-chua-thoat-vi-dia-dem-pid-334.html</link>
						<comments></comments>
						<pubDate>Wed, 11 Dec 2024 06:50:32 +0700</pubDate>
						<dc:creator>admin</dc:creator>
						<category><![CDATA[Lương y Nguyễn Văn Minh chữa thoát vị đĩa đệm]]></category>
						<guid isPermaLink="false"></guid>
						<description><![CDATA[Đông y chữa thoát vị đĩa đệm là chữa bảo tồn và hồi phục đĩa đệm cột sống. Tây y chữa thoát vị đĩa đệm bằng thuốc kháng viêm, dãn cơ, giảm đau. Nếu uống thuốc tây vài tuần không đỡ thì bác sĩ ngoại thần kinh sẽ phẫu thuật, cắt bỏ phần đĩa đệm bị thoát ra ngoài.]]></description>
						<content:encoded><![CDATA[<h2 style="text-align: justify;"><span style="font-size:16px;">Đông y chữa thoát vị đĩa đệm là chữa bảo tồn và hồi phục đĩa đệm cột sống. Tây y chữa thoát vị đĩa đệm bằng thuốc kháng viêm, dãn cơ, giảm đau. Nếu uống thuốc tây vài tuần không đỡ thì bác sĩ ngoại thần kinh sẽ phẫu thuật, cắt bỏ phần đĩa đệm bị thoát ra ngoài.</span></h2><p><span class="optimize-cls-iframe" data-src="https://www.youtube.com/embed/oP-jDIP3vLw">https://www.youtube.com/embed/oP-jDIP3vLw</span></p><p style="text-align: justify;"><span style="font-size:16px;">Bác Đỗ Thị Hạnh 62 tuổi ở&nbsp;Thanh Hóa. Mấy chục năm trước bác vào Kon Tum dạy học, hiện nay bác đang&nbsp;ở phường Trường Chinh, thành phố Kon Tum, tỉnh Kon Tum. Bác Hạnh bị thoát vị đĩa đệm tầng L4/5 chèn ép rễ thần kinh L4 và L5. Bác đã uống thuốc tây và tiêm để chữa thoát vị đĩa đệm nhưng không khỏi. Bác sĩ tây y chỉ định mổ để giải thoát cơn đau do chèn ép rễ thần kinh. Sau khi uống thuốc đông y chữa thoát vị đĩa đệm, bác cho biết đã bớt 90%. Hôm nay bác tái khám và đồng ý cho quay video ghi lại nội dung này. Xin trân trọng cảm ơn bác, một cô giáo đã về hưu có lòng tốt&nbsp;</span><span style="font-size: 16px; text-align: justify;">muốn chia sẻ</span><span style="font-size: 16px; text-align: justify;">&nbsp;giới thiệu về đông y.</span></p><p style="text-align: justify;"><img loading="lazy" alt="Thoat-vi-dia-dem-L4-L5" src="data:image/gif;base64,R0lGODlhAQABAID/AP///wAAACwAAAAAAQABAAACAkQBADs=" data-src="https://chuabenhthoatvidiadem.vn/resources/images/Thoat-vi-dia-dem-L4-L5.jpg" style="width: 800px; height: 1200px;" class="lazy" width="800" height="1200" data-optimized="1" /></p><p style="text-align: justify;"><span style="font-size:16px;">Bác Hạnh đồng ý chia sẻ kết quả chụp cộng hưởng từ MRI của bác để mọi người tham khảo;</span></p><p style="text-align: justify;"><span style="font-size:16px;">- Gai&nbsp;xương thoái hóa các đốt sống từ L2 đến L5.</span></p><p style="text-align: justify;"><span style="font-size:16px;">- Thoát vị đĩa đệm L4/5, trung tâm và cạnh trung tâm trái ra sau #3mm, hẹp ngách bên và lỗ liên hợp bên trái. Chèn ép rễ thần kinh L4 và L5 bên trái. Đường kính ống sống d# 5mm.</span></p><p style="text-align: justify;"><span style="font-size:16px;">- Lồi đĩa đệm tầng L5/S1, chèn ép nhẹ rễ thần kinh S1 hai bên.</span></p><p style="text-align: justify;"><span style="font-size:16px;">Quý khách nào quen biết hoặc nhà ở gần đấy,&nbsp;có thể gặp bác Hạnh để hỏi thêm kinh nghiệm chữa bệnh từ&nbsp;bác Hạnh.</span></p><p style="text-align: justify;"><span style="font-size: 16px;">CÓ THỂ BẠN MUỐN XEM;</span></p><p><span style="font-size:16px;"><a title="" href="https://chuabenhthoatvidiadem.vn/cach-chua-benh/thay-thuoc-chua-thoat-vi-dia-dem-o-go-vap-thay-thuoc-10-that-pid-313.html">Thầy thuốc đông y chữa thoát vị đĩa đệm tại TP. Hồ Chí Minh.</a></span></p><p><span style="font-size:16px;"><a title="" href="https://chuabenhthoatvidiadem.vn/cach-chua-benh/thuoc-chua-thoat-vi-dia-dem-tot-nhat-la-phai-ke-don-thuoc-cua-tung-nguoi-pid-247.html">Thuốc chữa thoát vị đĩa đệm tốt nhất là gì, tại sao?</a></span></p><p><a title="" href="https://chuabenhthoatvidiadem.vn/cach-chua-benh/thoat-vi-dia-dem-chen-ep-day-than-kinh-pid-331.html"><span style="font-size:16px;">Cách chữa thoát vị đĩa đệm chèn ép dây thần kinh</span></a></p><p><a title="" href="https://chuabenhthoatvidiadem.vn/cach-chua-benh/chua-thoat-vi-dia-dem-cho-chi-thuy-o-dong-thap-pid-327.html"><span style="font-size:16px;">Đông y chữa thoát vị đĩa đệm hết đau, hết nhức, hồi phục chân bị teo</span></a></p><p><span style="font-size:16px;"><a title="" href="https://chuabenhthoatvidiadem.vn/cach-chua-benh/chua-dau-vai-gay-te-tay-do-thoat-vi-dia-dem-co-pid-333.html">Đông y chữa thoát vị đĩa đệm cổ, phục hồi cánh tay bị teo, nhão.</a></span></p><p style="text-align: justify;"><span style="font-size: 16px;">Đông y chữa thoát vị đĩa đệm có nhiều phương pháp. Ngoài việc dùng thang&nbsp;thuốc&nbsp;sắc uống còn có thuốc bóp, thuốc đắp cột sống, cao xoa, cao dán.&nbsp;Quý khách nào&nbsp;ở gần Gò Vấp&nbsp;có thể đến phòng khám để&nbsp;châm cứu, xoa bóp bấm huyệt, kết hợp thêm để chữa thoát vị đĩa đệm càng tốt.</span></p><p style="box-sizing: border-box; margin: 0px 0px 10px; padding: 0px; border: 0px; outline: 0px; font-size: 16px; vertical-align: baseline; background-image: initial; background-position: initial; background-size: initial; background-repeat: initial; background-attachment: initial; background-origin: initial; background-clip: initial; max-width: 100%; color: rgb(0, 0, 0); font-family: RobotoSlab-Regular, Arial, Helvetica, sans-serif; text-align: justify;"><span style="font-size:16px;"><span style="box-sizing: border-box; margin: 0px; padding: 0px; border: 0px; outline: 0px; vertical-align: baseline; background: transparent; max-width: 100%;">Khi công bố thông tin hình ảnh, bệnh án và kết quả chữa khỏi bệnh của quý khách.&nbsp;Lương y Nguyễn Văn Minh có xin phép và được sự đồng ý của quý khách mới đăng tin. </span></span></p><p style="box-sizing: border-box; margin: 0px 0px 10px; padding: 0px; border: 0px; outline: 0px; font-size: 16px; vertical-align: baseline; background-image: initial; background-position: initial; background-size: initial; background-repeat: initial; background-attachment: initial; background-origin: initial; background-clip: initial; max-width: 100%; color: rgb(0, 0, 0); font-family: RobotoSlab-Regular, Arial, Helvetica, sans-serif; text-align: justify;"><span style="font-size:16px;"><span style="box-sizing: border-box; margin: 0px; padding: 0px; border: 0px; outline: 0px; vertical-align: baseline; background: transparent; max-width: 100%;">Xin trân trọng cảm ơn quý khách đã tin tưởng vào uy tín của thầy thuốc, đồng ý cho chia sẻ sự thật ở đây, với mong muốn giúp cho những ai không may bị bệnh gặp thầy gặp thuốc.&nbsp;Sau này quý khách nào không muốn chia sẻ&nbsp;ở đây nữa, chúng tôi sẽ ẩn đi.</span></span></p><p style="box-sizing: border-box; margin: 0px 0px 10px; padding: 0px; border: 0px; outline: 0px; font-size: 16px; vertical-align: baseline; background-image: initial; background-position: initial; background-size: initial; background-repeat: initial; background-attachment: initial; background-origin: initial; background-clip: initial; max-width: 100%; color: rgb(0, 0, 0); font-family: RobotoSlab-Regular, Arial, Helvetica, sans-serif; text-align: justify;"><span style="box-sizing: border-box; margin: 0px; padding: 0px; border: 0px; outline: 0px; vertical-align: baseline; background: transparent; max-width: 100%;"><span style="font-size:16px;">Mời quý khách xem;&nbsp;<a data-ved="2ahUKEwjiy9_6hJuFAxXHrVYBHU1vAA44ChAWegQICxAB" href="https://chuabenhthoatvidiadem.vn/cach-chua-benh/chinh-sach-bao-mat-thong-tin-pid-300.html" jsname="UWckNb" ping="/url?sa=t&amp;source=web&amp;rct=j&amp;opi=89978449&amp;url=https://chuabenhthoatvidiadem.vn/cach-chua-benh/chinh-sach-bao-mat-thong-tin-pid-300.html&amp;ved=2ahUKEwjiy9_6hJuFAxXHrVYBHU1vAA44ChAWegQICxAB" style="box-sizing: border-box; margin: 0px; padding: 0px; border: 0px; outline: 0px; font-size: small; vertical-align: baseline; background: transparent; color: rgb(26, 13, 171); text-decoration-line: none; transition: 406ms ease-out; max-width: 100%; -webkit-tap-highlight-color: rgba(0, 0, 0, 0.1); font-family: arial, sans-serif;" title="">Chính sách bảo mật thông tin</a></span></span></p><p style="box-sizing: border-box; margin: 0px 0px 10px; padding: 0px; border: 0px; outline: 0px; font-size: 16px; vertical-align: baseline; background-image: initial; background-position: initial; background-size: initial; background-repeat: initial; background-attachment: initial; background-origin: initial; background-clip: initial; max-width: 100%; color: rgb(0, 0, 0); font-family: RobotoSlab-Regular, Arial, Helvetica, sans-serif; text-align: justify;"><span style="box-sizing: border-box; margin: 0px; padding: 0px; border: 0px; outline: 0px; font-size: 16px; vertical-align: baseline; background-image: initial; background-position: initial; background-size: initial; background-repeat: initial; background-attachment: initial; background-origin: initial; background-clip: initial; max-width: 100%; color: rgb(0, 0, 0); font-family: RobotoSlab-Regular, Arial, Helvetica, sans-serif; text-align: justify;">Lương y Nguyễn Văn Minh đứng tên&nbsp;phòng khám và nhà thuốc đông y Bảo Minh. Có địa chỉ duy nhất ở TP. Hồ Chí Minh.</span></p><p style="box-sizing: border-box; margin: 0px 0px 10px; padding: 0px; border: 0px; outline: 0px; font-size: 16px; vertical-align: baseline; background-image: initial; background-position: initial; background-size: initial; background-repeat: initial; background-attachment: initial; background-origin: initial; background-clip: initial; max-width: 100%; color: rgb(0, 0, 0); font-family: RobotoSlab-Regular, Arial, Helvetica, sans-serif; text-align: justify;"><span style="box-sizing: border-box; margin: 0px; padding: 0px; border: 0px; outline: 0px; font-size: 16px; vertical-align: baseline; background-image: initial; background-position: initial; background-size: initial; background-repeat: initial; background-attachment: initial; background-origin: initial; background-clip: initial; max-width: 100%; color: rgb(0, 0, 0); font-family: RobotoSlab-Regular, Arial, Helvetica, sans-serif; text-align: justify;">Số nhà:&nbsp;</span><span style="box-sizing: border-box; margin: 0px; padding: 0px; border: 0px; outline: 0px; font-size: 16px; vertical-align: baseline; background-image: initial; background-position: initial; background-size: initial; background-repeat: initial; background-attachment: initial; background-origin: initial; background-clip: initial; max-width: 100%; color: rgb(0, 0, 0); font-family: RobotoSlab-Regular, Arial, Helvetica, sans-serif; text-align: justify;">856/6 đường Quang Trung, Phường 8, quận Gò Vấp.</span><span style="box-sizing: border-box; margin: 0px; padding: 0px; border: 0px; outline: 0px; font-size: 16px; vertical-align: baseline; background-image: initial; background-position: initial; background-size: initial; background-repeat: initial; background-attachment: initial; background-origin: initial; background-clip: initial; max-width: 100%; color: rgb(0, 0, 0); font-family: RobotoSlab-Regular, Arial, Helvetica, sans-serif; text-align: justify;">&nbsp;</span></p><p style="box-sizing: border-box; margin: 0px 0px 10px; padding: 0px; border: 0px; outline: 0px; font-size: 16px; vertical-align: baseline; background-image: initial; background-position: initial; background-size: initial; background-repeat: initial; background-attachment: initial; background-origin: initial; background-clip: initial; max-width: 100%; color: rgb(0, 0, 0); font-family: RobotoSlab-Regular, Arial, Helvetica, sans-serif; text-align: justify;"><span style="box-sizing: border-box; margin: 0px; padding: 0px; border: 0px; outline: 0px; font-size: 16px; vertical-align: baseline; background-image: initial; background-position: initial; background-size: initial; background-repeat: initial; background-attachment: initial; background-origin: initial; background-clip: initial; max-width: 100%; color: rgb(0, 0, 0); font-family: RobotoSlab-Regular, Arial, Helvetica, sans-serif; text-align: justify;">Do không có chi nhánh nên tránh được người khác mạo danh, điều này rất quan trọng đối với uy tín của thầy thuốc chữa bệnh. Điện thoại tư vấn chuyên sâu về&nbsp;đông y: 0913 503 552. Gặp Lương y Nguyễn Văn Minh. Nếu lương y đang bận thì quý khách kết bạn và gửi câu hỏi qua Zalo, khi nào rảnh lương y sẽ lien hệ lại để tư vấn cho quý khách.</span></p>]]></content:encoded>
						<wfw:commentRss></wfw:commentRss>
						<slash:comments>0</slash:comments>
					</item>
				
					<item>
						<title>Thoát vị đĩa đệm thắt lưng, đau bên trái</title>
						<link>https://chuabenhthoatvidiadem.vn/bai-viet/benh-thoat-vi-dia-dem/thoat-vi-dia-dem-that-lung-dau-ben-trai-pid-303.html</link>
						<comments></comments>
						<pubDate>Mon, 06 Jun 2022 11:16:59 +0700</pubDate>
						<dc:creator>admin</dc:creator>
						<category><![CDATA[Bệnh thoát vị đĩa đệm]]></category>
						<guid isPermaLink="false"></guid>
						<description><![CDATA[Thoát vị đĩa đệm lưng đau bên trái tức là bệnh làm cho đau lưng mé trái, đau hông bên trái, đau hoặc tê chân trái. Đây là những trường hợp thoát vị đĩa đệm chèn ép rễ thần kinh bên trái, các rễ thần kinh hay bị chèn ép L4, L5, hoặc L5, S1. Rễ L1, L2 và L2, L3 ít gặp hơn vì các tầng đĩa đệm L1/L2 và L2/L3 ít bị thoát vị đĩa đệm như tầng L4/L5 và L5/S1.]]></description>
						<content:encoded><![CDATA[<p style="text-align: justify;"><span style="font-size:16px;">Thoát vị đĩa đệm&nbsp;là bệnh gây đau, nếu thoát vị đĩa đệm thắt lưng lúc&nbsp;đầu thường đau&nbsp;ở vùng thắt lưng.&nbsp;Nếu thoát vị đĩa đệm chèn ép rễ thần kinh bên trái sẽ làm cho đau lưng bên trái, đau lan xuống bên mông trái, xuống đùi và bắp chân trái, có thể tê chân hoặc bàn chân tùy theo mức độ chèn rễ thần kinh ra sao.</span></p><p><img loading="lazy" alt="Thoát vị đĩa đệm bên trái" src="data:image/gif;base64,R0lGODlhAQABAID/AP///wAAACwAAAAAAQABAAACAkQBADs=" data-src="https://chuabenhthoatvidiadem.vn/resources/images/Thoát vị đĩa đệm bên trái.jpg" style="width: 666px; height: 871px;" class="lazy" width="666" height="871" data-optimized="1" /></p><p style="text-align: justify;"><span style="font-size:14px;"><em>Một bệnh án thoát vị đĩa đệm thắt lưng làm cho đau lưng bên trái, đau hông trái, đau xuống đùi và chân trái.</em></span></p><p style="text-align: justify;"><span style="font-size:16px;">Do thoát vị đĩa đệm chèn ép&nbsp;</span><span style="font-size: 16px; text-align: justify;">lâu ngày, dẫn đến chân trái yếu, bắp chân&nbsp;teo nhão và nhỏ hơn chân phải.</span><span style="font-size:16px;">&nbsp;Nguyên nhân là thoát vị đĩa đệm tầng L4/L5 ra sau cạnh trái (T) trung tâm, kích thước #4mm, ép rễ thần kinh L5 bên trái (T). Tầng L5/S1 cũng bị thoát vị đĩa đệm ra sau cạnh trái (T) trung tâm, kích thước #6mm, chèn ép rễ thần kinh S1 bên trái (T). Đây là trường hợp thoát vị đĩa đệm đa tầng, cả hai tầng đĩa đệm bị thoát vị đều có chèn ép vào bao màng cứng ống sống và chèn ép rễ thần kinh, điều này gây nên đau nhức khó chịu cho người bệnh, giảm nhiều đến hiệu quả làm việc.</span></p><p style="text-align: justify;"><span style="font-size:16px;">Sau khi điều trị bằng thuốc đông y ở phòng khám, người bệnh đã hết đau nhức, đi lại vận động dễ dàng, người bệnh&nbsp;tập thêm các bài tập thể dục giúp hồi phục&nbsp;bắp chân bị teo nhão.</span></p><p style="text-align: justify;"><span style="font-size:16px;">Những trường hợp muốn giữ kín thông tin, chúng tôi đảm bảo giữ bí mật cho quý khách. Phòng khám chỉ chia sẻ ý kiến khi được sự đồng ý của quý bệnh nhân, sau này vì bất cứ lý do gì quý khách không muốn công bố thông tin ở đây nữa, chúng tôi sẽ gỡ bài đăng xuống.&nbsp; Xin trân trọng cảm ơn quý khách.&nbsp;</span></p><p style="text-align: justify;"><span style="font-size:16px;">Dưới đây là trường hợp của anh Hoàng Công Thắng ở Bình Thuận, anh Thắng đồng ý chia sẻ bệnh án thoát vị đĩa đệm.</span></p><p style="text-align: justify;"><span style="font-size:16px;"><img loading="lazy" alt="Thoát vị đĩa đệm đau bên trái" src="data:image/gif;base64,R0lGODlhAQABAID/AP///wAAACwAAAAAAQABAAACAkQBADs=" data-src="https://chuabenhthoatvidiadem.vn/resources/images/Thoát vị đĩa đệm đau bên trái.jpg" style="width: 649px; height: 853px;" class="lazy" width="649" height="853" data-optimized="1" /></span></p><p style="text-align: justify;"><span style="font-size:14px;"><em>Bác sĩ chẩn đoán hình ảnh kết luận:&nbsp;Thoát vị đĩa đệm tầng L4 L5 ra sau trung tâm lệch trái, kích thước từ 5,5 -&nbsp; 6 mm Chèn ép vào rễ thần kinh L5 bên trái.</em></span></p><p style="text-align: justify;"><span style="font-size:16px;">Sau khi chữa khỏi thoát vị đĩa đệm tại phòng khám đông y Bảo Minh, anh Thắng có lưu số điện thoại của thầy thuốc. Khi&nbsp; mẹ anh Thắng bị bệnh, anh đã gọi cho Lương y Nguyễn Văn Minh và có nội dung cuộc nói chuyện này. Bạn đọc nghe đến gần cuối cuộc nói chuyện, sẽ thấy anh Thắng đồng ý chia sẻ địa chỉ và tình trạng bệnh của mình, để ai không may bị bệnh như vậy có cơ sở để tham khảo. Phòng khám xin trân trọng cảm ơn anh Hoàng Công Thắng. Bạn đọc bấm vào mũi tên ở ô dưới để nghe.</span></p><p style="text-align: justify;"><a href="https://chuabenhthoatvidiadem.vn/resources/files/hoang cong thang 88 tv (1).mp3" title="">Thoát vị đĩa đệm&nbsp;</a></p><p style="text-align: justify;"><span style="font-size:16px;">Để giữ gìn đảm bảo uy tín của thầy thuốc và nhà thuốc. Lương y Nguyễn Văn Minh chỉ đăng những thông tin có thật, chữa khỏi bệnh thật sự, có địa chỉ thật&nbsp; được người bệnh đồng ý chia sẻ. Quý khách nào bị thoát vị đĩa đệm, nhà ở gần có thể tìm đến học hỏi kinh nghiệm.</span></p><div class="NJo7tc Z26q7c jGGQ5e" data-header-feature="0" style="flex-direction: row; flex: 0 0 auto; color: rgb(32, 33, 36); font-family: arial, sans-serif; font-size: 14px;"><div class="yuRUbf" style="font-size: small; line-height: 1.58;"><div class="NJo7tc Z26q7c jGGQ5e" data-header-feature="0" style="flex-direction: row; flex: 0 0 auto; color: rgb(32, 33, 36); font-family: arial, sans-serif; font-size: 14px;"><div class="yuRUbf" style="font-size: small; line-height: 1.58;"><div class="B6fmyf" style="position: absolute; top: 0px; height: 0px; visibility: hidden; white-space: nowrap;"><div class="TbwUpd" style="display: inline-block; padding-bottom: 2px; padding-top: 1px; text-size-adjust: none;">&nbsp;</div><div class="eFM0qc" style="display: inline-block; padding-bottom: 2px; padding-top: 1px; padding-left: 2px; visibility: visible;"><span class="PEA3Bd" jsaction="KyPa0e:Y0y4c;BVfjhf:VFzweb;wjOG7e:gDkf4c;" jscontroller="nabPbb" style="position: relative; user-select: none; margin: 0px 3px; vertical-align: middle; display: inline-block;"><g-popup jsaction="A05xBd:IYtByb;EOZ57e:WFrRFb;" jscontroller="DPreE" jsdata="mVjAjf;_;CNT5xU" jsname="V68bde"><div aria-expanded="false" aria-haspopup="true" aria-label="Tuỳ chọn kết quả" class="rIbAWc" jsaction="WFrRFb;keydown:uYT2Vb" jsname="oYxtQd" role="button" style="cursor: pointer; display: inline-block; outline: 0px;" tabindex="0"><div class="vlFZgc" data-ved="2ahUKEwjU44CPqLT4AhVqm1YBHTyGDx4Q7B16BAgEEAM" jsname="LgbsSe" style="height: 12px; margin-top: 1px; width: 13px; cursor: pointer;">&nbsp;</div></div></g-popup></span></div></div></div></div></div></div>]]></content:encoded>
						<wfw:commentRss></wfw:commentRss>
						<slash:comments>0</slash:comments>
					</item>
				
					<item>
						<title>Hình ảnh thoát vị đĩa đệm</title>
						<link>https://chuabenhthoatvidiadem.vn/bai-viet/dia-chi-chua-benh-thoat-vi-dia-dem/hinh-anh-thoat-vi-dia-dem-pid-276.html</link>
						<comments></comments>
						<pubDate>Tue, 15 Sep 2020 09:25:44 +0700</pubDate>
						<dc:creator>admin</dc:creator>
						<category><![CDATA[Địa chỉ chữa bệnh thoát vị đĩa đệm]]></category>
						<guid isPermaLink="false"></guid>
						<description><![CDATA[Hình ảnh thoát vị đĩa đệm, hình ảnh lồi đĩa đệm, thoái hóa đĩa đệm mất nước.v.v. Đây là những hình ảnh chụp lại trên phim cộng hưởng từ MRI. Kèm theo những kết luận của bác sĩ chuyên khoa cột sống, được Lương y Nguyễn Văn Minh cập nhật liên tục để bạn đọc tham khảo.]]></description>
						<content:encoded><![CDATA[<p style="text-align: justify;"><span style="font-size:16px;">Hình ảnh thoát vị đĩa đệm rõ nhất&nbsp;khi&nbsp;chụp cộng hưởng từ MRI cột sống.&nbsp;Chụp phim X-quang không phát hiện được hình ảnh thoát vị đĩa đệm, chỉ đi chụp&nbsp;cộng hưởng từ cột sống mới phát hiện&nbsp;có bị thoát vị đĩa đệm hay không.</span></p><h2 style="text-align: justify;"><span style="font-size:16px;">Hình ảnh thoát vị đĩa đệm.&nbsp;Cột sống&nbsp;cổ dễ bị thoát vị đĩa đệm&nbsp;tầng; C4-C5; C5-6; C6-C7.&nbsp;Cột sống lưng dễ bị thoát vị đĩa đệm tầng&nbsp;L4-L5; L5-S1.&nbsp;</span></h2><p><img loading="lazy" alt="Hình ảnh thoát vị đĩa đệm" src="data:image/gif;base64,R0lGODlhAQABAID/AP///wAAACwAAAAAAQABAAACAkQBADs=" data-src="https://chuabenhthoatvidiadem.vn/resources/images/Hình ảnh thoát vị đĩa đệm(2).jpg" style="width: 900px; height: 1200px;" class="lazy" width="900" height="1200" data-optimized="1" /></p><p><span style="font-size:14px;"><em>Hình ảnh thoát vị đĩa đệm trên phim chụp cộng hưởng từ MRI. Đây là hình ảnh thoát vị đĩa đệm L5 S1.</em></span></p><p><span style="font-size:14px;"><em><img loading="lazy" alt="Hình ảnh thoát vị đĩa đệm " src="data:image/gif;base64,R0lGODlhAQABAID/AP///wAAACwAAAAAAQABAAACAkQBADs=" data-src="https://chuabenhthoatvidiadem.vn/resources/images/Hình ảnh thoát vị đĩa đệm (3).jpg" style="width: 830px; height: 950px;" class="lazy" width="830" height="950" data-optimized="1" /></em></span></p><p><span style="font-size:14px;"><em>Hình ảnh thoát vị đĩa đệm cắt ra từ phim chụp MRI. Đây là hình ảnh thoát vị đĩa đệm 2 tầng L4-L5 và L5-S1.</em></span></p><p><span style="font-size:18px;"><em><span style="font-size:14px;"><img loading="lazy" alt="Hình ảnh thoát vị đĩa đệm cổ" src="data:image/gif;base64,R0lGODlhAQABAID/AP///wAAACwAAAAAAQABAAACAkQBADs=" data-src="https://chuabenhthoatvidiadem.vn/resources/images/thoat-vi-dia-dem-co.jpg" style="width: 792px; height: 968px;" class="lazy" width="792" height="968" data-optimized="1" />Hình ảnh thoát vị đĩa đệm cổ, trên phim chụp cộng hưởng từ MRI</span></em></span></p><p>&nbsp;</p><p><img loading="lazy" alt="" src="data:image/gif;base64,R0lGODlhAQABAID/AP///wAAACwAAAAAAQABAAACAkQBADs=" data-src="https://chuabenhthoatvidiadem.vn/resources/images/Hinh-anh-thoat-vi-dia-dem.jpg" style="width: 800px; height: 1067px;" class="lazy" width="900" height="1200" data-optimized="1" /></p><p style="text-align: justify;"><span style="font-size:14px;"><em>Đây là hình ảnh thoát vị đĩa đệm tầng L4 L5, L5/S1 trên phim chụp cộng hưởng từ MRI. Lương y Nguyễn Văn Minh chụp lại khi bệnh nhân đến khám chữa bệnh thoát vị đĩa ở&nbsp;&nbsp;phòng khám đông y Bảo Minh.</em></span></p><p style="text-align: justify;">&nbsp;</p><p style="box-sizing: border-box; margin: 0px 0px 10px; padding: 0px; border: 0px; outline: 0px; font-size: 16px; vertical-align: baseline; background-image: initial; background-position: initial; background-size: initial; background-repeat: initial; background-attachment: initial; background-origin: initial; background-clip: initial; max-width: 100%; color: rgb(0, 0, 0); font-family: RobotoSlab-Regular, Arial, Helvetica, sans-serif; text-align: justify;"><span style="box-sizing: border-box; margin: 0px; padding: 0px; border: 0px; outline: 0px; vertical-align: baseline; background: transparent; max-width: 100%;">Tôi, Lương y Nguyễn Văn Minh là thầy thuốc chữa thoát vị đĩa đệm ở phòng khám đông y Bảo Minh. Nhằm giữ uy tín của thầy thuốc và của phòng khám, tôi chỉ chia sẻ hình ảnh thật, nội dung thật, bệnh án thật và chữa khỏi bệnh có thật, nên những&nbsp;câu chuyện phải nghe hết&nbsp;mới cảm nhận sự chân thật của người bệnh và thầy thuốc.</span></p><p style="box-sizing: border-box; margin: 0px 0px 10px; padding: 0px; border: 0px; outline: 0px; font-size: 16px; vertical-align: baseline; background-image: initial; background-position: initial; background-size: initial; background-repeat: initial; background-attachment: initial; background-origin: initial; background-clip: initial; max-width: 100%; color: rgb(0, 0, 0); font-family: RobotoSlab-Regular, Arial, Helvetica, sans-serif; text-align: justify;"><span style="box-sizing: border-box; margin: 0px; padding: 0px; border: 0px; outline: 0px; vertical-align: baseline; background: transparent; max-width: 100%;">Lần đầu bạn ghé trang web này, bấm vào đây xem giấy phép&nbsp;chữa bệnh:&nbsp;</span><a data-ved="2ahUKEwil8uqEhpuFAxUBsVYBHQ06CLA4PBAWegQIBBAB" href="https://chuabenhthoatvidiadem.vn/cach-chua-benh/giay-phep-kham-chua-benh-cua-luong-y-nguyen-van-minh-pid-30.html" jsname="UWckNb" ping="/url?sa=t&amp;source=web&amp;rct=j&amp;opi=89978449&amp;url=https://chuabenhthoatvidiadem.vn/cach-chua-benh/giay-phep-kham-chua-benh-cua-luong-y-nguyen-van-minh-pid-30.html&amp;ved=2ahUKEwil8uqEhpuFAxUBsVYBHQ06CLA4PBAWegQIBBAB" style="box-sizing: border-box; margin: 0px; padding: 0px; border: 0px; outline: 0px; font-size: small; vertical-align: baseline; background: transparent; color: rgb(26, 13, 171); text-decoration-line: none; transition: all 406ms ease-out 0s; max-width: 100%; -webkit-tap-highlight-color: rgba(0, 0, 0, 0.1); font-family: arial, sans-serif;" title="">Giấy phép khám chữa bệnh của Lương y Nguyễn Văn Minh.</a></p><p style="text-align: justify;"><img loading="lazy" alt="Hình ảnh thoát vị đĩa đệm" src="data:image/gif;base64,R0lGODlhAQABAID/AP///wAAACwAAAAAAQABAAACAkQBADs=" data-src="https://chuabenhthoatvidiadem.vn/resources/images/Hình ảnh thoát vị đĩa đệm.jpg" style="width: 800px; height: 1067px;" class="lazy" width="900" height="1200" data-optimized="1" /></p><p style="text-align: justify;"><span style="font-size:14px;"><em>Hình ảnh thoái hóa đĩa đệm L4/L5 và thoát vị đĩa đệm cột sống thắt lưng tầng L4/L5 trên phim chụp cộng hưởng từ MRI</em></span></p><p style="text-align: justify;"><em><img loading="lazy" alt="Hình ảnh thoát vị đia đệm " src="data:image/gif;base64,R0lGODlhAQABAID/AP///wAAACwAAAAAAQABAAACAkQBADs=" data-src="https://chuabenhthoatvidiadem.vn/resources/images/Hinh-anh-thoat-vi-dia-dem (2).jpg" style="width: 800px; height: 1067px;" class="lazy" width="900" height="1200" data-optimized="1" /></em></p><p style="text-align: justify;"><span style="font-size:14px;"><i>Đây là 1 trong 3 phim chụp cộng hưởng từ&nbsp;MRI, thấy rõ hình ảnh thoát vị đĩa đệm L4/L5 và L5/S1</i></span></p><p style="text-align: justify;"><i><img loading="lazy" alt="" src="data:image/gif;base64,R0lGODlhAQABAID/AP///wAAACwAAAAAAQABAAACAkQBADs=" data-src="https://chuabenhthoatvidiadem.vn/resources/images/Thoat-vi-dia-dem-lung.jpg" style="width: 800px; height: 1109px;" class="lazy" width="866" height="1200" data-optimized="1" /></i></p><p style="text-align: justify;"><span style="font-size:14px;"><i>Căn cứ vào hình ảnh thoát vị đĩa đệm trên phim MRI, bác sĩ chuyên khoa cột sống có&nbsp;kết luận chính xác về bệnh lý cột sống của người bệnh.</i></span></p><p style="text-align: justify;"><span style="text-align: justify;">Trang web của phòng khám đông y Bảo Minh:&nbsp;</span><a class="fl" data-ctbtn="0" data-cthref="http://www.google.com.vn/url?sa=t&amp;rct=j&amp;q=&amp;esrc=s&amp;source=web&amp;cd=&amp;ved=2ahUKEwi3xeO36vHrAhUTZt4KHbfoBhQQhAcwFHoECCkQAg&amp;url=http%3A%2F%2Fchuabenhthoatvidiadem.vn%2F&amp;usg=AOvVaw2PIc3BU4xahQXMF1MZyFZW" href="http://www.google.com.vn/url?sa=t&amp;rct=j&amp;q=&amp;esrc=s&amp;source=web&amp;cd=&amp;ved=2ahUKEwi3xeO36vHrAhUTZt4KHbfoBhQQhAcwFHoECCkQAg&amp;url=http%3A%2F%2Fchuabenhthoatvidiadem.vn%2F&amp;usg=AOvVaw2PIc3BU4xahQXMF1MZyFZW" rel="noopener" style="color: rgb(26, 13, 171); text-align: justify; text-decoration-line: none; -webkit-tap-highlight-color: rgba(0, 0, 0, 0.1); cursor: pointer; font-family: arial, sans-serif; font-size: 14px;" target="_blank" title="">chuabenhthoatvidiadem.vn</a><span style="text-align: justify;">&nbsp;do&nbsp;</span><a href="https://www.youtube.com/channel/UCMrl47bRL4MgAguyRi48mEw" rel="noopener" style="color: rgb(102, 0, 153); font-size: small; text-align: justify; text-decoration-line: none; -webkit-tap-highlight-color: rgba(0, 0, 0, 0.1); cursor: pointer; font-family: arial, sans-serif;" target="_blank" title="">Lương y Nguyễn Văn Minh&nbsp;</a><span style="text-align: justify;">phụ trách, luôn có những hình ảnh mới nhất về bệnh thoát vị đĩa đệm.</span><font style="text-align: justify;">&nbsp;</font></p><p style="text-align: justify;"><span style="font-size:14px;"><i><img loading="lazy" alt="Hình ảnh thoát vị đia đệm " src="data:image/gif;base64,R0lGODlhAQABAID/AP///wAAACwAAAAAAQABAAACAkQBADs=" data-src="https://chuabenhthoatvidiadem.vn/resources/images/Hinh anh thoat vi dia dem.jpg" style="width: 710px; height: 789px;" class="lazy" width="710" height="789" data-optimized="1" /></i></span></p><p style="text-align: justify;"><span style="font-size:16px;">Thương tổn lồi đĩa đệm lan tỏa tầng L3?L4, L4/L5, L5/S1, chèn ép đường đi của rễ thần kinh L4, L5 hai bên, rễ s1 bên phải, hefp ống sống tầng L4/L5.</span></p><p style="text-align: justify;"><span style="font-size:16px;"><img loading="lazy" alt="MRI thoát vị đĩa đệm cột sống thắt lưng." src="data:image/gif;base64,R0lGODlhAQABAID/AP///wAAACwAAAAAAQABAAACAkQBADs=" data-src="https://chuabenhthoatvidiadem.vn/resources/images/MRI cột sống thắt lưng.jpg" style="width: 900px; height: 1200px;" class="lazy" width="900" height="1200" data-optimized="1" /></span></p><p style="text-align: justify;"><img loading="lazy" alt="Thoát vị đĩa đệm cổ" src="data:image/gif;base64,R0lGODlhAQABAID/AP///wAAACwAAAAAAQABAAACAkQBADs=" data-src="https://chuabenhthoatvidiadem.vn/resources/images/Thoat vi dia dem co.jpg" style="height: 600px; opacity: 0.9; font-size: 18px; width: 800px;" class="lazy" width="958" height="719" data-optimized="1" /><em style="font-size: 18px;"><span style="font-size: 14px;">Thoát&nbsp;vị đĩa đệm cổ gây đau vai gáy, đau từ cổ xuống bả vai.</span></em></p><p style="text-align: justify;"><a href="https://www.youtube.com/channel/UCMrl47bRL4MgAguyRi48mEw" style="background: transparent; font-size: 16px; box-sizing: border-box; margin: 0px; padding: 0px; border: 0px; outline: 0px; vertical-align: baseline; color: rgb(102, 0, 153); text-decoration-line: none; transition: all 406ms ease-out 0s; max-width: 100%; text-wrap: nowrap; font-family: arial, sans-serif; cursor: pointer;" title="">Lương y Nguyễn Văn Minh chữa thoát vị đĩa đệm</a><span style="background-color: transparent; color: rgb(0, 0, 0); font-family: RobotoSlab-Regular, Arial, Helvetica, sans-serif; font-size: 16px;">. Zalo tư vấn miễn phí: 0913503552&nbsp;</span></p><p style="box-sizing: border-box; margin: 0px 0px 10px; padding: 0px; border: 0px; outline: 0px; font-size: 16px; vertical-align: baseline; background-image: initial; background-position: initial; background-size: initial; background-repeat: initial; background-attachment: initial; background-origin: initial; background-clip: initial; max-width: 100%; color: rgb(0, 0, 0); font-family: RobotoSlab-Regular, Arial, Helvetica, sans-serif;"><span style="box-sizing: border-box; margin: 0px; padding: 0px; border: 0px; outline: 0px; vertical-align: baseline; background: transparent; max-width: 100%;">Địa chỉ chữa thoát vị&nbsp;đĩa đệm: 856/6 Quang Trung, Phường 8, Quận Gò Vấp, TP.HCM</span></p><p style="text-align: justify;"><span style="font-size:16px;"><img loading="lazy" alt="Kết quả chụp cộng hưởng từ MRI cột sống thắt lưng." src="data:image/gif;base64,R0lGODlhAQABAID/AP///wAAACwAAAAAAQABAAACAkQBADs=" data-src="https://chuabenhthoatvidiadem.vn/resources/images/Kết quả chụp cộng hưởng từ.jpg" style="width: 900px; height: 1200px;" class="lazy" width="900" height="1200" data-optimized="1" /></span></p><p style="text-align: justify;"><img loading="lazy" alt="MRI thoát vị đĩa đệm trên phim" src="data:image/gif;base64,R0lGODlhAQABAID/AP///wAAACwAAAAAAQABAAACAkQBADs=" data-src="https://chuabenhthoatvidiadem.vn/resources/images/MRI thoát vị đĩa đệm trên phim.jpg" style="width: 900px; height: 1200px;" class="lazy" width="900" height="1200" data-optimized="1" /></p><p style="text-align: justify;"><span style="font-size:16px;">Dưới đây là kết quả MRI (chụp cộng hưởng từ cột sống thắt lưng). Phòng khám đã xin phép và được quý bệnh nhân đồng ý cho chia sẻ giới thiệu.</span></p><p style="text-align: justify;"><span style="font-size:16px;"><img loading="lazy" alt="" src="data:image/gif;base64,R0lGODlhAQABAID/AP///wAAACwAAAAAAQABAAACAkQBADs=" data-src="https://chuabenhthoatvidiadem.vn/resources/images/Thầy thuốc chữa thoát vị đĩa đệm(1).jpg" style="width: 806px; height: 1200px;" class="lazy" width="806" height="1200" data-optimized="1" /></span></p><p style="text-align: justify;"><span style="color: rgb(0, 0, 0); font-family: RobotoSlab-Regular, Arial, Helvetica, sans-serif; font-size: 16px; text-align: justify;">Chữa&nbsp;thoát vị đĩa đệm nhờ vào hình ảnh thoát vị đĩa đệm kết hợp với bắt mạch sẽ đạt hiệu quả chữa bệnh tốt nhất.&nbsp;Đây là thế mạnh của y học cổ truyền, với thâm niên hơn 25 năm trong nghề Lương y Nguyễn Văn Minh đã chữa cho rất nhiều người khỏi bệnh, giúp họ không phải mổ thoát vị đĩa đệm. Những người bị bệnh nhẹ không cần phải xem hết, nghe hết nội dung ở trang web này,&nbsp;trường hợp nào&nbsp;bị thoát vị đĩa đệm nặng, có chỉ định mổ của bác sĩ, nhưng không muốn mổ, hãy nghe và xem hết những nội dung được chia sẻ ở đây.</span></p><p style="text-align: justify;">&nbsp;</p>]]></content:encoded>
						<wfw:commentRss></wfw:commentRss>
						<slash:comments>0</slash:comments>
					</item>
				
					<item>
						<title>Điều trị thoát vị đĩa đệm cho bệnh nhân ở Tiền Giang, gọi điện hỏi thăm người nhà kể đã khỏi hẳn.</title>
						<link>https://chuabenhthoatvidiadem.vn/bai-viet/nghe-truc-tiep-nhung-nguoi-duoc-luong-y-minh-chua-khoi-thoat-vi-dia-dem/dieu-tri-thoat-vi-dia-dem-cho-benh-nhan-o-tien-giang-goi-dien-hoi-tham-nguoi-nha-ke-da-khoi-han-pid-43.html</link>
						<comments></comments>
						<pubDate>Tue, 13 Dec 2016 04:12:50 +0700</pubDate>
						<dc:creator>admin</dc:creator>
						<category><![CDATA[Nghe trực tiếp những người được lương y Minh chữa khỏi thoát vị đĩa đệm ]]></category>
						<guid isPermaLink="false"></guid>
						<description><![CDATA[Anh Nguyễn Tiến Lành ở Tiền Giang bị thoát vị đĩa đệm, được người nhà đưa lên phòng khám của lương y Minh điều trị cách nay hơn một năm. Hôm nay lương y Minh tìm lại bệnh án cũ của anh Lành để hỏi thăm. gặp được chị của anh Lành đang sống ở TP HCM, chị cho biết anh Lành đã khỏi hẳn hơn năm nay. Hiện tại anh Lành đang sinh hoạt lao động bình thường và không phải uống thêm bất cứ thứ thuốc gì.]]></description>
						<content:encoded><![CDATA[<h2 style="text-align: justify;"><span style="font-size:16px;">Anh Nguyễn Tiến Lành ở Tiền Giang bị thoát vị đĩa đệm, được người nhà đưa lên phòng khám của lương y Minh điều trị cách nay hơn một năm. Hôm nay lương y Minh tìm lại bệnh án cũ của anh Lành để hỏi thăm, gặp được chị của anh Lành đang sống ở TP HCM, chị cho biết anh Lành đã khỏi hẳn hơn năm nay. Hiện tại anh Lành đang sinh hoạt lao động bình thường và không phải uống thêm bất cứ thứ thuốc gì.</span></p><p>&nbsp;</p><h2 style="text-align: justify;"><img loading="lazy" alt="Đĩa đệm thoát vị chèn ép rễ thần kinh" src="data:image/gif;base64,R0lGODlhAQABAID/AP///wAAACwAAAAAAQABAAACAkQBADs=" data-src="https://chuabenhthoatvidiadem.vn/resources/images/dau-than-kinh-toa-1419909428878.jpg" style="width: 600px; height: 627px;" class="lazy" width="480" height="501" data-optimized="1" /></p><p><span style="font-size:16px;">Hãy bật Audio ghi lại thông báo của chị gái anh Lành về mức độ hài lòng khi thấy người thân khỏi bệnh (*)</span></p><p><a href="https://chuabenhthoatvidiadem.vn/resources/files/mp3/Tho_i_004_m.mp3" title="">Aodio&nbsp;chị gái anh Lành nói chuyện với lương y Minh</a></p><p>&nbsp;</p><p><span style="font-size:16px;">(*) &nbsp; &quot;Lưu ý: tác dụng của&nbsp;thuốc chữa thoát vị đĩa đệm/ nhanh hay chậm có thể thay đổi tùy theo&nbsp;cơ địa của mỗi nguời&quot;</span></p><p><span style="font-size:16px;">Tin liên quan:&nbsp;<a href="https://chuabenhthoatvidiadem.vn/cach-chua-benh/chup-mri-la-cach-phat-hien-thoat-vi-dia-dem-cot-song-chinh-xac-nhat-pid-87.html" style="color: rgb(102, 0, 153); cursor: pointer; text-decoration-line: none;" target="_blank" title="">Chụp MRI cột sống - Cách phát hiện thoát vị đĩa đệm chính xác nhất</a>.</span></p><p><span style="font-size:16px;">Địa chỉ&nbsp;chữa bệnh thoát vị đĩa đệm: 856/6 Quang Trung, Phường 8, Quận Gò Vấp, TP.HCM.</span></p><p><span style="font-size:16px;">Trang Web của phòng khám:&nbsp;https://chuabenhthoatvidiadem.vn/</span></p>]]></content:encoded>
						<wfw:commentRss></wfw:commentRss>
						<slash:comments>0</slash:comments>
					</item>
				
					<item>
						<title>Đau vai gáy- Hỏi thăm bác Cúc chữa bệnh cách nay gần 2 năm.</title>
						<link>https://chuabenhthoatvidiadem.vn/bai-viet/ket-qua-dieu-tri-thoat-vi-dia-dem/dau-vai-gay-hoi-tham-bac-cuc-chua-benh-cach-nay-gan-2-nam-pid-32.html</link>
						<comments></comments>
						<pubDate>Mon, 12 Dec 2016 11:05:29 +0700</pubDate>
						<dc:creator>admin</dc:creator>
						<category><![CDATA[Kết quả điều trị thoát vị đĩa đệm]]></category>
						<guid isPermaLink="false"></guid>
						<description><![CDATA[Bác Cúc nhà ở phường 16 quận Gò Vấp TP HCM (gần trường học Phan Tây Hồ) bị thoái hóa đĩa đệm, thoái hóa đốt sống cổ, mọc gai chèn ép rễ thần kinh gây đau nhức bả vai, mỏi cổ, đau nhức cánh tay. Bác Cúc đã chữa bệnh ở phòng khám của lương y Nguyễn Văn Minh cách nay gần 2 năm. Hãy nghe nội dung cuộc trò chuyện trực tiếp giữa lương y Minh và bác Cúc.]]></description>
						<content:encoded><![CDATA[<h2 style="text-align: justify;"><span style="font-size:16px;">Bác Cúc nhà ở phường 16 quận Gò Vấp TP HCM (gần trường học Phan Tây Hồ) bị thoái hóa đĩa đệm, thoái hóa đốt sống cổ, mọc gai chèn ép rễ thần kinh gây đau nhức bả vai, mỏi cổ, đau nhức cánh tay. Bác Cúc đã chữa bệnh ở phòng khám của lương y Nguyễn Văn Minh cách nay gần 2&nbsp;hai năm. Hôm nay lương y Minh gọi điện lại hỏi thăm sức khỏe của bác Cúc, bác cho biết đã khỏi hẳn từ ngày đó, hãy nghe nội dung cuộc trò chuyện trực tiếp giữa lương y Minh và bác Cúc. (*)</span></p><p><img loading="lazy" alt="Khỏi bệnh đau vai gáy" src="data:image/gif;base64,R0lGODlhAQABAID/AP///wAAACwAAAAAAQABAAACAkQBADs=" data-src="https://chuabenhthoatvidiadem.vn/resources/images/balienphonglan.jpg" style="width: 565px; height: 353px;" class="lazy" width="565" height="353" data-optimized="1" /></p><p><em>Bác Cúc đã khỏi đau vai gáy, nhức mỏi cánh tay gần 2 năm nay không tái phát.</em></p><p><a href="https://chuabenhthoatvidiadem.vn/resources/files/Tho_i_007_m.mp3" title="">Lương y Minh đã chữa bệnh cho bác Cúc cách nay gần hai năm.</a></p><h4 class="r" style="box-sizing: border-box; margin: 0px; padding: 0px; border: 0px; outline: 0px; font-size: 18px; vertical-align: baseline; background-image: initial; background-position: initial; background-size: initial; background-repeat: initial; background-attachment: initial; background-origin: initial; background-clip: initial; font-family: arial, sans-serif; line-height: 1.1; color: rgb(34, 34, 34); max-width: 100%; overflow: hidden; text-overflow: ellipsis; white-space: nowrap;"><span style="box-sizing: border-box; margin: 0px; padding: 0px; border: 0px; outline: 0px; font-size: 16px; vertical-align: baseline; background: transparent; max-width: 100%;">Có thể bạn chưa xem:&nbsp;<a href="https://chuabenhthoatvidiadem.vn/cach-chua-benh/khoi-thoat-vi-dia-dem-cot-song-that-lung-sau-hon-1-thang-dieu-tri-pid-37.html" style="box-sizing: border-box; margin: 0px; padding: 0px; border: 0px; outline: 0px; vertical-align: baseline; background: transparent; color: rgb(102, 0, 153); text-decoration-line: none; transition: all 406ms ease-out; max-width: 100%; cursor: pointer;" target="_blank" title="">VIDEO&nbsp;kể cách chữa bệnh&nbsp;thoát vị đĩa đệm cột sống thắt lưng</a></span></h4><p>&nbsp;</p><h2><span style="font-size:16px;">(*)&nbsp; &nbsp;&quot;Lưu ý: tác dụng của thuốc chữa thoát vị đĩa đệm nhanh hay chậm/&nbsp;có thể thay đổi tùy theo tình trạng bệnh mỗi nguời&quot;</span></h2><h3><span style="font-size:16px;">Địa chỉ chữa thoát vị đĩa đệm: 856/6 Quang Trung, Phường 8, Quận Gò Vấp, TP.HCM</span></h3>]]></content:encoded>
						<wfw:commentRss></wfw:commentRss>
						<slash:comments>0</slash:comments>
					</item>
				
					<item>
						<title>Nguyên nhân gây thoát vị đĩa đệm</title>
						<link>https://chuabenhthoatvidiadem.vn/bai-viet/benh-thoat-vi-dia-dem/nguyen-nhan-gay-thoat-vi-dia-dem-pid-27.html</link>
						<comments></comments>
						<pubDate>Sat, 10 Dec 2016 05:55:32 +0700</pubDate>
						<dc:creator>admin</dc:creator>
						<category><![CDATA[Bệnh thoát vị đĩa đệm]]></category>
						<guid isPermaLink="false"></guid>
						<description><![CDATA[Có nhiều nguyên nhân gây thoát vị đĩa đệm, nguyên nhân phổ biến là sai tư thế trong lao động, vận động và hoạt động hàng ngày. Quá trình thoái hoá tự nhiên do tuổi tác làm thoái hóa cột sống, thoái hóa đĩa đệm cũng là yếu tố thuận lợi để gây bệnh.]]></description>
						<content:encoded><![CDATA[<h2><span style="font-size:18px;">Những nguyên nhân gây nên thoát vị đĩa đệm cột sống.</span></h2><p><img loading="lazy" alt="Nguyên nhân thoát vị đĩa đệm" src="data:image/gif;base64,R0lGODlhAQABAID/AP///wAAACwAAAAAAQABAAACAkQBADs=" data-src="https://chuabenhthoatvidiadem.vn/resources/images/meo-nang-vat-nang-dung-cach-tranh-ton-thuong-cot-song.jpg" style="width: 480px; height: 296px;" class="lazy" width="480" height="296" data-optimized="1" /></p><p><em>Nâng vật nặng không đúng tư thế dễ gây thoát vị đĩa đệm.</em></p><h2>&nbsp;<span style="font-size:18px;">Một số nguyên nhân chủ yếu gồm có:</span></h2><p>Nguyên nhân phổ biến là sai tư thế trong lao động, vận động và hoạt động. Cơn đau thường xuất hiện khi ta nhấc vật nặng ở tư thế không phù hợp. Tư thế lao động, tư thế ngồi, mang vác nặng sai cách đặc biệt hay gặp nhất là việc bê vác vật nặng. Ví dụ: Thay vì ngồi xuống bê vật rồi từ từ đứng lên, nhiều người có thói quen đứng rồi cúi xuống, nhấc vật nặng lên. Việc mang vác nặng sai tư thế này dễ gây chấn thương đốt sống lưng, thoát vị đĩa đệm. Không chỉ bê vác nặng, mà nhiều thói quen sinh hoạt hàng ngày cũng ảnh hưởng xấu tới xương khớp như tư thế ngồi gây cong vẹo cột sống, hoạt động thể dục thể thao không đúng cách.</p><p><img loading="lazy" alt="Nguyên nhân thoát vị đĩa đệm" src="data:image/gif;base64,R0lGODlhAQABAID/AP///wAAACwAAAAAAQABAAACAkQBADs=" data-src="https://chuabenhthoatvidiadem.vn/resources/images/an-ton-nng-vc-hng2-3-1024.jpg" style="width: 550px; height: 413px;" class="lazy" width="1024" height="768" data-optimized="1" /><br />Nguyên nhân&nbsp;do quá trình&nbsp;thoái hoá tự nhiên ảnh hưởng bởi tuổi tác làm&nbsp;thoái hóa cột sống, thoái hóa đĩa đệm&nbsp;cũng là các yếu tố thuận lợi dễ gây thoát vị đĩa đệm. Những người ở độ tuổi từ 30 đến 50 là có nguy cơ bị thoát vị cao nhất do những thành phần nước và đàn hồi bên trong nhân nhầy&nbsp;sẽ giảm đi theo tuổi tác. Những người trên 30 tuổi, đĩa đệm thường không còn mềm mại, nhân nhầy có thể bị khô, vòng sụn bên ngoài xơ hóa, rạn nứt và có thể rách. Trên cơ sở đó nếu có một lực tác động mạnh vào cột sống (chấn thương, gắng sức...), nhân nhầyy có thể&nbsp;qua&nbsp;chỗ rách của đĩa đệm thoát vị ra ngoài chui vào ống sống, chèn ép rễ thần kinh gây đau nhức.<br />Nguyên nhân tiếp theo là&nbsp;do bị tai nạn hay các chấn thương cột sống bởi các hoạt động thể dục thể thao quá mức và không đúng cách.<br />Tổn thương đĩa đệm cũng có thể do nguyên nhân di truyền. Nếu bố mẹ có đĩa đệm yếu do bất thường về cấu trúc thì con cái cũng dễ bị thoát vị đĩa đệm.</p><p><iframe frameborder="0" height="310" longdesc="Nguyên nhân bệnh thoát vị đĩa đệm" name="Nguyên nhân thoát vị đĩa đệm" scrolling="no" src="https://www.youtube.com/embed/x7aavTS0FT8" title="Bệnh đau đĩa đệm" width="550"></iframe></p><p><em><span style="font-size:14px;">Bạn đọc bấm vào video trên xem người bệnh kể lại câu chuyện đã trị khỏi thoát vị đĩa đệm như thế nào.</span></em></p><p style="box-sizing: border-box; margin: 0px 0px 10px; padding: 0px; border: 0px; outline: 0px; font-size: 16px; vertical-align: baseline; background-image: initial; background-position: initial; background-size: initial; background-repeat: initial; background-attachment: initial; background-origin: initial; background-clip: initial; max-width: 100%; color: rgb(0, 0, 0); font-family: RobotoSlab-Regular, Arial, Helvetica, sans-serif;"><span style="box-sizing: border-box; margin: 0px; padding: 0px; border: 0px; outline: 0px; vertical-align: baseline; background: transparent; max-width: 100%;">Lương y Nguyễn Văn Minh, phụ trách phòng khám và nhà thuốc đông y Bảo Minh, có địa chỉ duy nhất tại: 856/6 Quang Trung, Quận Gò vấp. Di động, Zalo: 0913503552 - 028.6295.1367</span></p><p style="box-sizing: border-box; margin: 0px 0px 10px; padding: 0px; border: 0px; outline: 0px; font-size: 16px; vertical-align: baseline; background-image: initial; background-position: initial; background-size: initial; background-repeat: initial; background-attachment: initial; background-origin: initial; background-clip: initial; max-width: 100%; color: rgb(0, 0, 0); font-family: RobotoSlab-Regular, Arial, Helvetica, sans-serif;"><span style="box-sizing: border-box; margin: 0px; padding: 0px; border: 0px; outline: 0px; vertical-align: baseline; background: transparent; max-width: 100%;">Xem thêm hiệu quả bài thuốc:</span></p><p style="box-sizing: border-box; margin: 0px 0px 10px; padding: 0px; border: 0px; outline: 0px; font-size: 16px; vertical-align: baseline; background-image: initial; background-position: initial; background-size: initial; background-repeat: initial; background-attachment: initial; background-origin: initial; background-clip: initial; max-width: 100%; color: rgb(0, 0, 0); font-family: RobotoSlab-Regular, Arial, Helvetica, sans-serif;"><span style="box-sizing: border-box; margin: 0px; padding: 0px; border: 0px; outline: 0px; vertical-align: baseline; background: transparent; max-width: 100%;"><a href="https://chuabenhthoatvidiadem.vn/tag/Thuốc+chữa+thoát+vị+đĩa+đệm/?start=10" style="box-sizing: border-box; margin: 0px; padding: 0px; border: 0px; outline: 0px; vertical-align: baseline; background: transparent; color: rgb(102, 0, 153); text-decoration-line: none; transition: all 406ms ease-out 0s; max-width: 100%; cursor: pointer;" target="_blank" title="">Bác Tâm ở Củ Chi, TP.HCM khen ngợi bài thuốc</a></span></p><p class="r" style="box-sizing: border-box; margin: 0px; padding: 0px; border: 0px; outline: 0px; font-size: 18px; vertical-align: baseline; background-image: initial; background-position: initial; background-size: initial; background-repeat: initial; background-attachment: initial; background-origin: initial; background-clip: initial; max-width: 100%; overflow: hidden; text-overflow: ellipsis; white-space: nowrap; color: rgb(34, 34, 34); font-family: arial, sans-serif;"><span style="box-sizing: border-box; margin: 0px; padding: 0px; border: 0px; outline: 0px; font-size: 16px; vertical-align: baseline; background: transparent; max-width: 100%;"><a href="https://chuabenhthoatvidiadem.vn/cach-chua-benh/thoat-vi-dia-dem-that-lung-toi-9mm-co-chua-duoc-khong-pid-208.html" style="box-sizing: border-box; margin: 0px; padding: 0px; border: 0px; outline: 0px; vertical-align: baseline; background: transparent; color: rgb(102, 0, 153); text-decoration-line: none; transition: all 406ms ease-out 0s; max-width: 100%; cursor: pointer;" target="_blank" title="">Thoát vị đĩa đệm&nbsp;tới 9mm, không phải ai cũng may như anh Tuấn</a></span></p><p class="r" style="box-sizing: border-box; margin: 0px; padding: 0px; border: 0px; outline: 0px; font-size: 18px; vertical-align: baseline; background-image: initial; background-position: initial; background-size: initial; background-repeat: initial; background-attachment: initial; background-origin: initial; background-clip: initial; max-width: 100%; overflow: hidden; text-overflow: ellipsis; white-space: nowrap; color: rgb(34, 34, 34); font-family: arial, sans-serif;">&nbsp;</p><p style="box-sizing: border-box; margin: 0px 0px 10px; padding: 0px; border: 0px; outline: 0px; font-size: 16px; vertical-align: baseline; background-image: initial; background-position: initial; background-size: initial; background-repeat: initial; background-attachment: initial; background-origin: initial; background-clip: initial; max-width: 100%; color: rgb(0, 0, 0); font-family: RobotoSlab-Regular, Arial, Helvetica, sans-serif; text-align: justify;"><span style="box-sizing: border-box; margin: 0px; padding: 0px; border: 0px; outline: 0px; vertical-align: baseline; background: transparent; max-width: 100%;"><a href="https://chuabenhthoatvidiadem.vn/cach-chua-benh/luong-y-minh-chua-thoat-vi-dia-dem-cho-anh-ut-khoi-benh-gan-nam-nay-pid-22.html" style="box-sizing: border-box; margin: 0px; padding: 0px; border: 0px; outline: 0px; vertical-align: baseline; background: transparent; color: rgb(102, 0, 153); text-decoration-line: none; transition: all 406ms ease-out 0s; max-width: 100%; cursor: pointer;" target="_blank" title="">Điều trị&nbsp;thoát vị đĩa đệm L3/4,&nbsp;L4/5 khỏi bệnh chi phí thấp&nbsp;</a></span></p><p style="box-sizing: border-box; margin: 0px 0px 10px; padding: 0px; border: 0px; outline: 0px; font-size: 16px; vertical-align: baseline; background-image: initial; background-position: initial; background-size: initial; background-repeat: initial; background-attachment: initial; background-origin: initial; background-clip: initial; max-width: 100%; color: rgb(0, 0, 0); font-family: RobotoSlab-Regular, Arial, Helvetica, sans-serif; text-align: justify;"><a data-="" href="https://www.google.com.vn/url?sa=t&amp;rct=j&amp;q=&amp;esrc=s&amp;source=web&amp;cd=50&amp;ved=0ahUKEwjC1tTM87_WAhWJQ48KHXSdD844KBAWCFcwCQ&amp;url=http%3A%2F%2Fchuabenhthoatvidiadem.vn%2Fcach-chua-benh%2Fchua-thoat-vi-dia-dem-cot-song-that-lung-khoi-han-khong-phai-mo-pid-74.html&amp;usg=AFQjCNFk9PpHY6F1eywkYl16lBbVUnyCtA" style="box-sizing: border-box; margin: 0px; padding: 0px; border: 0px; outline: 0px; vertical-align: baseline; background: transparent; color: rgb(102, 0, 153); text-decoration-line: none; transition: all 406ms ease-out 0s; max-width: 100%; cursor: pointer;" target="_blank" title="">Thoát vị đĩa đệm&nbsp;có chữa được không?&nbsp;chữa ở đâu&nbsp;để yên tâm</a></p><p style="box-sizing: border-box; margin: 0px 0px 10px; padding: 0px; border: 0px; outline: 0px; font-size: 16px; vertical-align: baseline; background-image: initial; background-position: initial; background-size: initial; background-repeat: initial; background-attachment: initial; background-origin: initial; background-clip: initial; max-width: 100%; color: rgb(0, 0, 0); font-family: RobotoSlab-Regular, Arial, Helvetica, sans-serif; text-align: justify;"><span style="box-sizing: border-box; margin: 0px; padding: 0px; border: 0px; outline: 0px; vertical-align: baseline; background: transparent; max-width: 100%;"><a href="https://chuabenhthoatvidiadem.vn/cach-chua-benh/dau-vai-gay-hoi-tham-bac-cuc-chua-benh-cach-nay-gan-2-nam-pid-32.html" style="box-sizing: border-box; margin: 0px; padding: 0px; border: 0px; outline: 0px; vertical-align: baseline; background: transparent; color: rgb(102, 0, 153); text-decoration-line: none; transition: all 406ms ease-out 0s; max-width: 100%; cursor: pointer;" target="_blank" title="">Thoát vị đĩa đệm&nbsp;cổ,&nbsp;khỏi bệnh&nbsp;2 năm hỏi thăm không tái lại</a></span></p><p style="box-sizing: border-box; margin: 0px 0px 10px; padding: 0px; border: 0px; outline: 0px; font-size: 16px; vertical-align: baseline; background-image: initial; background-position: initial; background-size: initial; background-repeat: initial; background-attachment: initial; background-origin: initial; background-clip: initial; max-width: 100%; color: rgb(0, 0, 0); font-family: RobotoSlab-Regular, Arial, Helvetica, sans-serif; text-align: justify;"><span style="box-sizing: border-box; margin: 0px; padding: 0px; border: 0px; outline: 0px; vertical-align: baseline; background: transparent; max-width: 100%;"><a href="https://chuabenhthoatvidiadem.vn/cach-chua-benh/khoi-thoat-vi-dia-dem-cot-song-that-lung-sau-hon-1-thang-dieu-tri-pid-37.html" style="box-sizing: border-box; margin: 0px; padding: 0px; border: 0px; outline: 0px; vertical-align: baseline; background: transparent; color: rgb(102, 0, 153); text-decoration-line: none; transition: all 406ms ease-out 0s; max-width: 100%; cursor: pointer;" target="_blank" title="">Thoát vị đĩa đệm chữa như thế nào, có&nbsp;địa chỉ để tham khảo</a></span></p><p style="box-sizing: border-box; margin: 0px 0px 10px; padding: 0px; border: 0px; outline: 0px; font-size: 16px; vertical-align: baseline; background-image: initial; background-position: initial; background-size: initial; background-repeat: initial; background-attachment: initial; background-origin: initial; background-clip: initial; max-width: 100%; color: rgb(0, 0, 0); font-family: RobotoSlab-Regular, Arial, Helvetica, sans-serif; text-align: justify;"><span style="box-sizing: border-box; margin: 0px; padding: 0px; border: 0px; outline: 0px; vertical-align: baseline; background: transparent; max-width: 100%;"><a href="https://chuabenhthoatvidiadem.vn/cach-chua-benh/benh-thoat-vi-dia-dem-cot-song-co-nhieu-tang-co-chua-duoc-khong-pid-68.html" style="box-sizing: border-box; margin: 0px; padding: 0px; border: 0px; outline: 0px; vertical-align: baseline; background: transparent; color: rgb(102, 0, 153); text-decoration-line: none; transition: all 406ms ease-out 0s; max-width: 100%; cursor: pointer;" target="_blank" title="">Thoát vị đĩa đệm&nbsp;có nguy hiểm&nbsp;không ? ở đâu chữa khỏi bệnh&nbsp;</a></span></p><p style="box-sizing: border-box; margin: 0px 0px 10px; padding: 0px; border: 0px; outline: 0px; font-size: 16px; vertical-align: baseline; background-image: initial; background-position: initial; background-size: initial; background-repeat: initial; background-attachment: initial; background-origin: initial; background-clip: initial; max-width: 100%; color: rgb(0, 0, 0); font-family: RobotoSlab-Regular, Arial, Helvetica, sans-serif; text-align: justify;"><span style="box-sizing: border-box; margin: 0px; padding: 0px; border: 0px; outline: 0px; vertical-align: baseline; background: transparent; max-width: 100%;"><a data-="" href="https://www.google.com.vn/url?sa=t&amp;rct=j&amp;q=&amp;esrc=s&amp;source=web&amp;cd=58&amp;ved=0ahUKEwiU6vPloMDWAhUhR48KHW8fDRU4MhAWCEswBw&amp;url=http%3A%2F%2Fchuabenhthoatvidiadem.vn%2Fcach-chua-benh%2Fchi-van-o-quan-1-tp-hcm-khoi-thoat-vi-dia-dem-khong-tai-phat--pid-19.html&amp;usg=AFQjCNHlxgVc0VzmW40gI062yVtq8A3r_A" style="box-sizing: border-box; margin: 0px; padding: 0px; border: 0px; outline: 0px; vertical-align: baseline; background: transparent; color: rgb(102, 0, 153); text-decoration-line: none; transition: all 406ms ease-out 0s; max-width: 100%; cursor: pointer;" target="_blank" title="">Thoát vị đĩa đệm&nbsp;thắt lưng có chữa được không?&nbsp;xem ở đây</a></span></p><p style="box-sizing: border-box; margin: 0px 0px 10px; padding: 0px; border: 0px; outline: 0px; font-size: 16px; vertical-align: baseline; background-image: initial; background-position: initial; background-size: initial; background-repeat: initial; background-attachment: initial; background-origin: initial; background-clip: initial; max-width: 100%; color: rgb(0, 0, 0); font-family: RobotoSlab-Regular, Arial, Helvetica, sans-serif; text-align: justify;"><span style="box-sizing: border-box; margin: 0px; padding: 0px; border: 0px; outline: 0px; vertical-align: baseline; background: transparent; max-width: 100%;"><a href="https://chuabenhthoatvidiadem.vn/cach-chua-benh/nho-thay-ma-toi-khong-phai-mo-thoat-vi-dia-dem-hay-nghe-benh-nhan-cu-phat-bieu-pid-41.html" style="box-sizing: border-box; margin: 0px; padding: 0px; border: 0px; outline: 0px; vertical-align: baseline; background: transparent; color: rgb(102, 0, 153); text-decoration-line: none; transition: all 406ms ease-out 0s; max-width: 100%; cursor: pointer;" target="_blank" title="">Mổ&nbsp;thoát vị đĩa đệm có an toàn không? cách nào&nbsp;không phải mổ?&nbsp;</a></span></p><p style="box-sizing: border-box; margin: 0px 0px 10px; padding: 0px; border: 0px; outline: 0px; font-size: 16px; vertical-align: baseline; background-image: initial; background-position: initial; background-size: initial; background-repeat: initial; background-attachment: initial; background-origin: initial; background-clip: initial; max-width: 100%; color: rgb(0, 0, 0); font-family: RobotoSlab-Regular, Arial, Helvetica, sans-serif; text-align: justify;"><span style="box-sizing: border-box; margin: 0px; padding: 0px; border: 0px; outline: 0px; vertical-align: baseline; background: transparent; max-width: 100%;"><a href="https://chuabenhthoatvidiadem.vn/cach-chua-benh/anh-hoang-khoi-dau-nhuc-ba-vai-te-cach-tay-do-thoat-vi-dia-dem-cot-song-co-pid-7.html" style="box-sizing: border-box; margin: 0px; padding: 0px; border: 0px; outline: 0px; vertical-align: baseline; background: transparent; color: rgb(102, 0, 153); text-decoration-line: none; transition: all 406ms ease-out 0s; max-width: 100%; cursor: pointer;" target="_blank" title="">Thoát vị đĩa đệm&nbsp;cổ gây đau vai gáy, trị khỏi bệnh gọi điện thoại cảm ơn</a></span></p><p style="box-sizing: border-box; margin: 0px 0px 10px; padding: 0px; border: 0px; outline: 0px; font-size: 16px; vertical-align: baseline; background-image: initial; background-position: initial; background-size: initial; background-repeat: initial; background-attachment: initial; background-origin: initial; background-clip: initial; max-width: 100%; color: rgb(0, 0, 0); font-family: RobotoSlab-Regular, Arial, Helvetica, sans-serif; text-align: justify;"><span style="box-sizing: border-box; margin: 0px; padding: 0px; border: 0px; outline: 0px; vertical-align: baseline; background: transparent; max-width: 100%;"><a href="https://chuabenhthoatvidiadem.vn/cach-chua-benh/chup-mri-cot-song-that-lung-thoat-vi-dia-dem-l5-s1-ra-sau-5mm-chen-ep-re-than-kinh-dieu-tri-30-ngay-khoi-han-pid-97.html" style="box-sizing: border-box; margin: 0px; padding: 0px; border: 0px; outline: 0px; vertical-align: baseline; background: transparent; color: rgb(102, 0, 153); text-decoration-line: none; transition: all 406ms ease-out 0s; max-width: 100%; cursor: pointer;" target="_blank" title="">Thoát vị đĩa đệm L5/S1, nếu bạn ở Long An tham khảo địa chỉ ở đây</a></span></p><p style="box-sizing: border-box; margin: 0px 0px 10px; padding: 0px; border: 0px; outline: 0px; font-size: 16px; vertical-align: baseline; background-image: initial; background-position: initial; background-size: initial; background-repeat: initial; background-attachment: initial; background-origin: initial; background-clip: initial; max-width: 100%; color: rgb(0, 0, 0); font-family: RobotoSlab-Regular, Arial, Helvetica, sans-serif; text-align: justify;"><span style="box-sizing: border-box; margin: 0px; padding: 0px; border: 0px; outline: 0px; vertical-align: baseline; background: transparent; max-width: 100%;">Trang web thuộc quyền sở hữu của Lương y Nguyễn Văn Minh - Phòng khám đông y Bảo Minh:</span></p><p style="box-sizing: border-box; margin: 0px 0px 10px; padding: 0px; border: 0px; outline: 0px; font-size: 16px; vertical-align: baseline; background-image: initial; background-position: initial; background-size: initial; background-repeat: initial; background-attachment: initial; background-origin: initial; background-clip: initial; max-width: 100%; color: rgb(0, 0, 0); font-family: RobotoSlab-Regular, Arial, Helvetica, sans-serif;"><a href="https://phongkhambaominh.com/" style="box-sizing: border-box; margin: 0px; padding: 0px; border: 0px; outline: 0px; vertical-align: baseline; background: transparent; color: rgb(51, 122, 183); text-decoration-line: none; transition: all 406ms ease-out 0s; max-width: 100%;" title="">phongkhambaominh.com</a>&nbsp;và&nbsp;<a href="https://chuabenhthoatvidiadem.vn/" style="box-sizing: border-box; margin: 0px; padding: 0px; border: 0px; outline: 0px; vertical-align: baseline; background: transparent; color: rgb(51, 122, 183); text-decoration-line: none; transition: all 406ms ease-out 0s; max-width: 100%;" title="">chua benh thoatvidiadem.vn</a></p><h3 class="r" style="font-size: 18px; margin: 0px; padding: 0px; overflow: hidden; text-overflow: ellipsis; white-space: nowrap;"><a href="https://chuabenhthoatvidiadem.vn/dieu-tri/nghe-truc-tiep-nhung-nguoi-duoc-luong-y-minh-chua-khoi-thoat-vi-dia-dem-cid-4-0.html" style="color: rgb(102, 0, 153); cursor: pointer; text-decoration: none;" title="">Nghe trực tiếp những người được lương y Minh chữa khỏi thoát vị đĩa dệm.</a></h3><div class="s" style="max-width: 48em; color: rgb(84, 84, 84); line-height: 18px;"><div class="f kv _SWb" style="color: rgb(128, 128, 128); height: 18px; line-height: 16px; font-family: arial, sans-serif; font-size: small; white-space: nowrap;"><p><span style="color: rgb(0, 102, 33); font-size: 14px;">chuabenhthoatvidiadem.vn/.../nghe-truc-tiep-nhung-nguoi-duoc-luong-y-minh-chua-...</span></p><p>&nbsp;</p><div class="s" style="max-width: 48em; color: rgb(84, 84, 84); line-height: 18px;">&nbsp;</div><div class="action-menu ab_ctl" style="display: inline; position: relative; margin: 1px 3px 0px; user-select: none; vertical-align: middle;"><div class="action-menu-panel ab_dropdown" data-ved="0ahUKEwjrzueX4pvRAhUGFZQKHZd6DoQ4FBCpHwgqMAM" jsaction="keydown:m.hdke;mouseover:m.hdhne;mouseout:m.hdhue" role="menu" style="background-image: initial; background-position: initial; background-size: initial; background-repeat: initial; background-attachment: initial; background-origin: initial; background-clip: initial; border: 1px solid rgba(0, 0, 0, 0.2); font-size: 13px; padding: 0px; position: absolute; right: auto; top: 12px; z-index: 3; transition: opacity 0.218s; box-shadow: rgba(0, 0, 0, 0.2) 0px 2px 4px; left: 0px; visibility: hidden;" tabindex="-1"><ol style="margin: 0px; padding-right: 0px; padding-left: 0px; border: 0px;"><li class="action-menu-item ab_dropdownitem" role="menuitem" style="margin: 0px; padding: 0px; border: 0px; list-style: none; user-select: none; cursor: pointer;">&nbsp;</li></ol></div></div></div></div><h5 style="line-height: 1.1; white-space: nowrap; box-sizing: border-box; margin: 10px 0px; padding: 0px; border: 0px; outline: 0px; font-size: 14px; vertical-align: baseline; background-image: initial; background-position: initial; background-size: initial; background-repeat: initial; background-attachment: initial; background-origin: initial; background-clip: initial; font-family: RobotoSlab-Regular, Arial, Helvetica, sans-serif; color: rgb(0, 0, 0); max-width: 100%;"><span style="box-sizing: border-box; margin: 0px; padding: 0px; border: 0px; outline: 0px; font-size: 18px; vertical-align: baseline; background: transparent; max-width: 100%;">Trang web chia sẻ cách chữa bệnh thoát vị đĩa đệm của&nbsp;lương y Nguyễn Văn Minh:</span></h5><h3 class="r" style="color: rgb(128, 128, 128); font-family: arial, sans-serif; white-space: nowrap; font-size: 18px; margin: 0px; padding: 0px; overflow: hidden; text-overflow: ellipsis;"><a href="https://chuabenhthoatvidiadem.vn/" style="color: rgb(102, 0, 153); cursor: pointer; text-decoration: none;" target="_blank" title="">Cách Chữa Bệnh Thoát Vị Đĩa Đệm</a></h3><div class="s" style="font-family: arial, sans-serif; font-size: small; white-space: nowrap; max-width: 48em; color: rgb(84, 84, 84); line-height: 18px;"><div class="f kv _SWb" style="color: rgb(128, 128, 128); height: 18px; line-height: 16px;"><cite class="_Rm" style="color: rgb(0, 102, 33); font-style: normal; font-size: 14px;">chuabenhthoatvidiadem.vn/</cite></div><div class="f kv _SWb" style="color: rgb(128, 128, 128); height: 18px; line-height: 16px;">&nbsp;</div></div>]]></content:encoded>
						<wfw:commentRss></wfw:commentRss>
						<slash:comments>0</slash:comments>
					</item>
				
					<item>
						<title>Bài thuốc điều trị thoát vị đĩa đệm hiệu quả rõ rệt sau 3 tuần, trước đó đã chữa nhiều nơi không khỏi.</title>
						<link>https://chuabenhthoatvidiadem.vn/bai-viet/nghe-truc-tiep-nhung-nguoi-duoc-luong-y-minh-chua-khoi-thoat-vi-dia-dem/bai-thuoc-dieu-tri-thoat-vi-dia-dem-hieu-qua-ro-ret-sau-3-tuan-truoc-do-da-chua-nhieu-noi-khong-khoi-pid-71.html</link>
						<comments></comments>
						<pubDate>Mon, 23 Jan 2017 10:19:12 +0700</pubDate>
						<dc:creator>admin</dc:creator>
						<category><![CDATA[Nghe trực tiếp những người được lương y Minh chữa khỏi thoát vị đĩa đệm ]]></category>
						<guid isPermaLink="false"></guid>
						<description><![CDATA[Bài thuốc điều trị thoát vị đĩa đệm của lương y Nguyễn Văn Minh, dùng điều trị cho chị Nguyệt ở Hà Nam có hiệu quả rõ rệt sau 3 tuần, trước đó chị Nguyệt đã chữa nhiều nơi không khỏi, hãy nhấp vào mũi tên để nghe ý kiến chân thực từ chị Nguyệt.]]></description>
						<content:encoded><![CDATA[<h2 style="text-align: justify;"><span style="font-size:16px;">Bài thuốc điều trị thoát vị đĩa đệm của lương y Nguyễn Văn Minh, có hiệu quả được nhiều người thừa nhận. Dùng điều trị cho chị Nguyệt ở Hà Nam&nbsp;hiệu quả rõ rệt sau 3 tuần uống thuốc và đắp thuốc, trước đó chị Nguyệt đã chữa nhiều nơi không khỏi, hãy nhấp vào mũi tên để nghe ý kiến chân thực từ chị Nguyệt.</span></p><p><img loading="lazy" alt="Bệnh thoát vị đĩa đệm" src="data:image/gif;base64,R0lGODlhAQABAID/AP///wAAACwAAAAAAQABAAACAkQBADs=" data-src="https://chuabenhthoatvidiadem.vn/resources/images/What-Causes-Bulging-Disc-in-Your-Back.png" style="width: 350px; height: 350px;" class="lazy" width="350" height="350" data-optimized="1" /></p><p><span style="font-size:16px;"><em>Hình ảnh mô phỏng đĩa đệm bị thoát vị</em></span></p><p><span style="font-size:16px;">Chị Nguyệt đồng ý chia sẻ địa chỉ của chị: Nguyễn Thị Nguyệt, Xóm 2, xã Nhân Thịnh, huyện Lý Nhân, tỉnh Hà Nam (*)</span></p><p><span style="font-size:16px;"><a href="https://chuabenhthoatvidiadem.vn/resources/files/Tho_i_016_m.mp3" title="">Nghe chị Nguyệt chia sẻ địa chỉ của chị ở Hà Nam.</a></span></p><p><span style="font-size:16px;">(*) &nbsp; &quot;Lưu ý: thuốc điều trị thoát vị đĩa đệm/&nbsp;có tác dụng nhanh hay chậm&nbsp;tùy theo&nbsp;cơ địa của mỗi nguời&quot;</span></p><p><span style="font-size:16px;">Có thể bạn muốn xem:&nbsp;<a href="https://chuabenhthoatvidiadem.vn/cach-chua-benh/khoi-thoat-vi-dia-dem-cot-song-that-lung-sau-hon-1-thang-dieu-tri-pid-37.html" style="color: rgb(102, 0, 153); cursor: pointer; text-decoration-line: none;" target="_blank" title="">clip trị&nbsp;thoát vị đĩa đệm cột sống thắt lưng&nbsp;</a></span></p><p><span style="font-size:16px;">Địa chỉ chữa&nbsp;thoát vị đĩa đệm ở TP.HCM: 856/6 Quang Trung, Phường 8, Quận Gò Vấp.</span></p><p><span style="font-size:16px;">Trang Web của nhà thuốc;&nbsp;https://chuabenhthoatvidiadem.vn/</span></p>]]></content:encoded>
						<wfw:commentRss></wfw:commentRss>
						<slash:comments>0</slash:comments>
					</item>
				
					<item>
						<title>Hỏi thăm bệnh nhân thoát vị đĩa đệm cột sống thắt lưng, nghe ý kiến thông báo thực tế khỏi bệnh.</title>
						<link>https://chuabenhthoatvidiadem.vn/bai-viet/ket-qua-dieu-tri-thoat-vi-dia-dem/hoi-tham-benh-nhan-thoat-vi-dia-dem-cot-song-that-lung-nghe-y-kien-thong-bao-thuc-te-khoi-benh-pid-52.html</link>
						<comments></comments>
						<pubDate>Sat, 24 Dec 2016 10:33:20 +0700</pubDate>
						<dc:creator>admin</dc:creator>
						<category><![CDATA[Kết quả điều trị thoát vị đĩa đệm]]></category>
						<guid isPermaLink="false"></guid>
						<description><![CDATA[Tôi trân trọng cảm ơn những bệnh nhân cũ đã đồng ý cho ghi hình, trả lời chia sẻ và sẵn sàng giới thiệu uy tín của lương y Nguyễn Văn Minh với người quen; cách chữa thoát vị đĩa đệm, nhất là những bài thuốc nổi tiếng hiệu nghiệm của phòng khám, đặc trị thoát vị đĩa đệm cột sống cổ, cột sống thắt lưng.]]></description>
						<content:encoded><![CDATA[<h2 style="text-align: justify;"><span style="font-size:18px;">Tôi trân trọng cảm ơn những bệnh nhân cũ đồng ý chia sẻ, giới thiệu uy tín của lương y Nguyễn Văn Minh về&nbsp;chữa bệnh thoát vị đĩa đệm&nbsp;và những bài thuốc nổi tiếng hiệu nghiệm của phòng khám, đặc trị thoát vị đĩa đệm cột sống cổ, cột sống thắt lưng.</span></p><p>&nbsp;</p><p><img loading="lazy" alt="Thoat vi dia dem cot song that lung" src="data:image/gif;base64,R0lGODlhAQABAID/AP///wAAACwAAAAAAQABAAACAkQBADs=" data-src="https://chuabenhthoatvidiadem.vn/resources/images/daulung_ARCA.jpg" style="width: 480px; height: 320px;" class="lazy" width="480" height="320" data-optimized="1" />&nbsp;</p><h3 style="text-align: justify;"><span style="font-size:16px;">Tôi đã chữa khỏi bệnh đau lưng do thoát vị đĩa đệm cho chị Cúc&nbsp;ở ấp Phú An, xã An Phước, huyện Mang Thít, tỉnh Vĩnh Long. Chị Cúc kể: đã uống thuốc nam ở nhiều nơi không khỏi, nhưng từ khi uống thuốc trị thoát vị đĩa đệm ở nhà thuốc đông y&nbsp;Bảo Minh, chị đã hết nhức&nbsp;và ngưng uống thuốc 1 thời gian dài cũng không bị nhức lại. Chị Cúc&nbsp;đã giới thiệu nhiều người quen tới phòng khám của tôi để chữa thoát vị đĩa đệm. Mời quý khách&nbsp;bấm vào mũi tên để nghe&nbsp;chị Cúc&nbsp;kể chuyện (</span>*)</h3><p><a href="https://chuabenhthoatvidiadem.vn/resources/files/Thoại 002.mp3" title="">https://chuabenhthoatvidiadem.vn/.mp3</a></p><h2><span style="font-size:16px;">(*) &nbsp; &quot;Lưu ý: thuốc uống và thuốc đắp chữa thoát vị đĩa đệm/tác dụng nhanh hay chậm&nbsp;có thể thay đổi tùy theo triệu chứng, cơ địa mỗi nguời&quot;</span></h2><h4 class="r" style="box-sizing: border-box; margin: 0px; padding: 0px; border: 0px; outline: 0px; font-size: 18px; vertical-align: baseline; background-image: initial; background-position: initial; background-size: initial; background-repeat: initial; background-attachment: initial; background-origin: initial; background-clip: initial; font-family: arial, sans-serif; line-height: 1.1; color: rgb(34, 34, 34); max-width: 100%; overflow: hidden; text-overflow: ellipsis; white-space: nowrap;"><span style="box-sizing: border-box; margin: 0px; padding: 0px; border: 0px; outline: 0px; font-size: 16px; vertical-align: baseline; background: transparent; max-width: 100%;">Có thể bạn muốn xem:<a href="https://chuabenhthoatvidiadem.vn/cach-chua-benh/khoi-thoat-vi-dia-dem-cot-song-that-lung-sau-hon-1-thang-dieu-tri-pid-37.html" style="box-sizing: border-box; margin: 0px; padding: 0px; border: 0px; outline: 0px; vertical-align: baseline; background: transparent; color: rgb(102, 0, 153); text-decoration-line: none; transition: all 406ms ease-out; max-width: 100%; cursor: pointer;" target="_blank" title="">&nbsp;Video hướng dẫn cách chữa bệnh&nbsp;thoát vị đĩa đệm cột sống thắt lưng.</a></span></h4><p><span style="font-size:16px;">Địa chỉ khám chữa bệnh thoát vị đĩa đệm: 856/6 Quang Trung, Phường 8, Quận Gò Vấp, TPHCM.</span></p>]]></content:encoded>
						<wfw:commentRss></wfw:commentRss>
						<slash:comments>0</slash:comments>
					</item>
				
					<item>
						<title>Bệnh thoát vị đĩa đệm cột sống cổ nhiều tầng có chữa được không?</title>
						<link>https://chuabenhthoatvidiadem.vn/bai-viet/ket-qua-dieu-tri-thoat-vi-dia-dem/benh-thoat-vi-dia-dem-cot-song-co-nhieu-tang-co-chua-duoc-khong-pid-68.html</link>
						<comments></comments>
						<pubDate>Wed, 11 Jan 2017 11:38:56 +0700</pubDate>
						<dc:creator>admin</dc:creator>
						<category><![CDATA[Kết quả điều trị thoát vị đĩa đệm]]></category>
						<guid isPermaLink="false"></guid>
						<description><![CDATA[Nhiều người điện thoại hỏi tôi &quot;Em bị thoát vị đĩa đệm cột sống cổ: C4-5, C5-6 và cả C6-7 nữa, có chữa được không thầy ?&quot;. Bạn hãy cho tôi biết kết quả chụp MRI cột sống cổ của bạn, tôi sẽ trả lời có chữa được hay không.]]></description>
						<content:encoded><![CDATA[<h2 style="text-align: justify;"><span style="font-size:16px;">Nhiều người điện thoại hỏi tôi &quot;Em bị thoát vị đĩa đệm cột sống cổ nhiều tầng: C4-5, C5-6 và cả C6-7 nữa, có chữa được không thầy?&quot;. Bạn hãy cho tôi biết kết quả chụp MRI (chụp cộng hưởng từ)&nbsp;cột sống cổ của bạn, tôi sẽ trả lời có chữa được hay không.</span></h2><h2><span style="font-size:16px;">Trường hợp của anh Lê ở Bến Tre&nbsp;là một ví dụ điển hình (tôi đã xin phép anh Lê cho chia sẻ thông tin bệnh án thoát vị đĩa đệm cổ)</span></h2><h2><span style="font-size:16px;">Kết quả chụp MRI cột sống cổ của anh Lê, bác sĩ bệnh viện Đại Học Y Dược Tp. Hồ Chí Minh kết luận:</span></h2><h2><span style="font-size:16px;">&nbsp;- Thoái hóa cột sống cổ<br />- Thoát vị đĩa đệm tầng C6-7, chèn ép rễ thần kinh C7 bên (P).<br />- Thoát vị đĩa đệm tầng C3-4 kèm gai sau, chèn ép rễ thần kinh C4 (T).<br />- Thoát vị đĩa đệm tầng C4-5 và C5-6, không chèn ép rễ thần kinh.<br />- Hẹp nhẹ ống sống cổ ngang mức từ C4--&gt;C7, đường kính trước sau chỗ hẹp nhất (ngang mức C5-6 và C6-7) # 7mm.</span></h2><h3 style="text-align: justify;"><span style="font-size:16px;">Với kết quả chụp MRI cột sống cổ của anh Lê, tôi đã dùng phương pháp chữa thoát vị đĩa đệm của đông&nbsp;y để điều trị: Sắc thuốc uống kết hợp đắp thuốc cột sống cổ. Kết quả thật tuyệt vời, sau 2 liệu trình điều trị ngay tại nhà anh Lê,&nbsp;những triệu chứng&nbsp;thoát vị đĩa đệm cổ&nbsp;như; đau nhức cổ gáy, tê cánh tay, đau&nbsp;vai gáy...đã khỏi tới 90%. Anh Lê vui mừng gọi điện báo tin bởi vì trước đó đã điều trị thoát vị đĩa đệm cổ nhiều nơi không khỏi, bác sĩ bệnh viện Đại Học Y Dược TP HCM&nbsp;khuyên anh nên mổ thoát vị đĩa đệm cổ để giải thoát những cơn đau ngày đêm hành hạ, anh Lê kể nhiều đêm đau nhức không ngủ được. Mời quý vị bấm vào mũi tên dưới đây để thấy đúng người thực việc thực (*)</span></h3><p><img loading="lazy" alt="Bệnh thoát vị đĩa đệm" src="data:image/gif;base64,R0lGODlhAQABAID/AP///wAAACwAAAAAAQABAAACAkQBADs=" data-src="https://chuabenhthoatvidiadem.vn/resources/images/20161205_103801.jpg" style="width: 500px; height: 673px;" class="lazy" width="474" height="638" data-optimized="1" /></p><p><em>Anh Lê đồng ý chia sẻ kết quả chụp cộng hưởng từ cột sống cổ.</em></p><h4 style="text-align: justify;"><span style="font-size:16px;">Hãy nghe anh Lê gọi điện thoại cho lương y Minh ở liên kết dưới. Anh&nbsp;thông báo bệnh thoát vị đĩa đệm cột sống cổ của anh được chữa khỏi, hết hẳn những cơn&nbsp;đau nhức. Anh Lê vui vẻ chia sẻ địa chỉ nơi anh đang sinh sống: Ấp 2, xã An Phước, huyện Châu Thành, tỉnh Bến Tre. Thay mặt phòng khám đông y Bảo Minh, tôi xin chân thành&nbsp;cảm ơn anh Lê.</span></h4><p><a href="https://chuabenhthoatvidiadem.vn/resources/files/Tho_i_030_m.mp3" title="">Anh Lê bị thoát vị đĩa đệm nhiều tầng: C3-4, C4-5, C5-6 và C6-7 .</a></p><h6 class="r" style="font-size: 18px; margin: 0px; padding: 0px; overflow: hidden; text-overflow: ellipsis; white-space: nowrap; color: rgb(34, 34, 34); font-family: arial, sans-serif;">&nbsp;</h6><p><span style="font-size:16px;">(*) &nbsp; &quot;Lưu ý: thuốc&nbsp;điều trị thoát vị đĩa đệm tác dụng nhanh hay chậm, có thể thay đổi tùy theo&nbsp;cơ địa&nbsp;mỗi nguời&quot;</span></p><h6 class="r" style="font-size: 18px; margin: 0px; padding: 0px; overflow: hidden; text-overflow: ellipsis; white-space: nowrap; color: rgb(34, 34, 34); font-family: arial, sans-serif;"><span style="font-size:16px;"><a href="https://www.youtube.com/channel/UCMrl47bRL4MgAguyRi48mEw" style="color: rgb(102, 0, 153); cursor: pointer; text-decoration-line: none;" title="">Lương y Nguyễn Văn Minh - Phòng Khám Đông Y Bảo Minh.</a>&nbsp;</span></h6><p class="r" style="font-size: 18px; margin: 0px; padding: 0px; overflow: hidden; text-overflow: ellipsis; white-space: nowrap; color: rgb(34, 34, 34); font-family: arial, sans-serif;"><span style="color: rgb(0, 0, 0); font-family: RobotoSlab-Regular, Arial, Helvetica, sans-serif; font-size: 16px;">Điện thoại, Zalo tư vấn</span>&nbsp;chữa thoát vị đĩa đệm: 0913503552 - Cố định: 028.6295.1367</p><h6 class="r" style="font-size: 18px; margin: 0px; padding: 0px; overflow: hidden; text-overflow: ellipsis; white-space: nowrap; color: rgb(34, 34, 34); font-family: arial, sans-serif;">&nbsp;</h6><p><span style="font-size: 16px;">Khám bệnh thoát vị đĩa đệm ở TP.HCM: 856/6 Quang Trung, Phường 8, Quận Gò Vấp.</span></p><p><span style="font-size: 16px;">Trang web chuyên sâu bệnh thoát vị đĩa đệm: chuabenhthoatvidiadem.vn</span></p>]]></content:encoded>
						<wfw:commentRss></wfw:commentRss>
						<slash:comments>0</slash:comments>
					</item>
				
					<item>
						<title>Điều trị thoát vị đĩa đệm bằng y học cổ truyền</title>
						<link>https://chuabenhthoatvidiadem.vn/bai-viet/benh-thoat-vi-dia-dem/dieu-tri-thoat-vi-dia-dem-bang-y-hoc-co-truyen-pid-47.html</link>
						<comments></comments>
						<pubDate>Tue, 20 Dec 2016 10:16:40 +0700</pubDate>
						<dc:creator>admin</dc:creator>
						<category><![CDATA[Bệnh thoát vị đĩa đệm]]></category>
						<guid isPermaLink="false"></guid>
						<description><![CDATA[Điều trị thoát vị đĩa đệm bằng y học cổ truyền gồm có :Uống thuốc đông y, đắp thuốc nam, châm cứu, day ấn huyệt, thuốc rượu xoa bóp.v.v. để chữa bệnh. Tùy từng bệnh nhân thầy thuốc có thể dùng một hoặc nhiều phương pháp kết hợp để điều trị thoát vị đĩa đệm. Ở Phòng Khám Đông Y Bảo Minh hay kết hợp giữa uống thuốc và đắp thuốc để chữa thoát vị đĩa đệm, trên 90% không phải phẫu thuật tvdd.]]></description>
						<content:encoded><![CDATA[<p style="text-align: justify;"><span style="font-size:18px;">Khi&nbsp;điều trị bệnh thoát vị đĩa đệm, lương y Nguyễn Văn Minh sẽ căn cứ vào thể trạng của từng người và kết quả chụp MRI cột sống cổ, cột sống thắt lưng rồi đưa ra một hoặc kết hợp nhiều phương pháp để điều trị&nbsp;thoát vị đĩa đệm.</span></p><p style="text-align: justify;"><span style="font-size:16px;">Các phương pháp điều trị&nbsp;thoát vị đĩa đệm của y học cổ truyền&nbsp;gồm có: Uống thuốc đông y,&nbsp;(thuốc bắc, thuốc nam&nbsp;hoặc kết hợp giữa thuốc nam và thuốc bắc), </span><span style="font-size: 16px; text-align: justify;">đắp thuốc nam,&nbsp;</span><span style="font-size:16px;">châm cứu, tập&nbsp;vật lý trị liệu, day ấn huyệt,&nbsp;rượu xoa bóp và các bài tập chữa thoát vị đĩa đệm.&nbsp;</span></p><p><img loading="lazy" alt="thoatvidiadem" src="data:image/gif;base64,R0lGODlhAQABAID/AP///wAAACwAAAAAAQABAAACAkQBADs=" data-src="https://chuabenhthoatvidiadem.vn/resources/images/cach-dieu-tri-benh-dau-lung-o-nam-gioi-0802.jpeg" style="width: 480px; height: 326px;" class="lazy" width="480" height="326" data-optimized="1" /></p><p>&nbsp;</p><p style="text-align: justify;"><span style="font-size:16px;">Theo y học cổ truyền thì bệnh thoát vị đĩa đệm là do chính khí của cơ thể không đầy đầy đủ, các tà khí như phong, hàn, thấp, nhiệt xâm phạm cơ thể, ẩn nấp vào gân cơ, khớp xương, kinh lạc làm sự vận hành của khí huyết bị tắc nghẽn gây nên các chứng đau nhức, tê bì. Gốc bệnh là do hai tạng can và thận hư yếu hoặc bệnh lâu ngày làm khí huyết giảm sút dẫn đến can, thận bị hư tổn. Thận yếu không chủ được cốt tủy, can huyết hư không nuôi dưỡng được gân làm xương khớp, đĩa đệm bị thoái hóa mất nước, bao xơ dây chằng lỏng lẻo không chắc chắn rất dễ bị thoát vị.<br />Vì vậy khi chữa bệnh thoát vị đĩa đệm, thoái hóa đốt sống đĩa đệm, các phương pháp chữa đều nhằm lưu thông khí huyết, đưa tà khí (phong, hàn, thấp, nhiệt) ra ngoài cơ thể. Bồi bổ can thận để chống tái phát bệnh và chống lại các hiện tượng thoái hóa, lão hóa. Phục hồi các chức năng bình thường của đĩa đệm cột sống. Những trường hợp bị thoát vị đĩa đệm do chấn thương thì phải phối hợp thêm thuốc hoạt huyết trừ ứ để đạt hiệu quả cao.</span></p><p style="text-align: justify;"><span style="font-size:16px;"><iframe frameborder="0" height="310" longdesc="Chữa thoát vị đĩa đệm bằng y học cổ truyền" name="Chữa thoát vị đĩa đệm" scrolling="no" src="https://www.youtube.com/embed/qSgsr1hAjtA" title="Bệnh đĩa đệm" width="550"></iframe></span></p><p style="text-align: justify;"><span style="font-size:14px;"><em>Đây là câu chuyện thật, điển hình về cách chữa thoát vị đĩa đệm bằng y học cổ&nbsp; truyền ở phòng khám đông y Bảo Minh</em></span></p><p style="text-align: justify;"><span style="font-size:16px;">&nbsp; Lương y Nguyễn Văn Minh đã có kinh nghiệm nhiều năm chữa thoát vị đĩa đệm, đã chữa khỏi cho nhiều bệnh nhân bằng bài thuốc đặc trị thoát vị đĩa đệm. Do chữa trị vào tận gốc bệnh thoát vị đĩa đệm nên nhiều người khỏi bệnh mấy năm trời không tái phát, trong số đó&nbsp;nhiều người đã có chỉ định phẫu thuật đĩa đệm của bác sĩ.</span></p><p style="text-align: justify;"><span style="font-size: 16px;">Quý bạn đọc nhấp vào nghe và cảm nhận</span></p><p style="text-align: justify;"><a href="https://chuabenhthoatvidiadem.vn/resources/files/FILE_L0937156113_Lê thị thới.mp3" style="font-size: 16px; text-align: justify;" title="">Khám chữa bệnh thoát vị đĩa đệm</a></p><p style="text-align: justify;"><em><span style="font-size:14px;">Phòng khám xin trân trọng cảm ơn anh Hiếu đã đồng ý cho chia sẻ nội dung câu chuyện này, chúng tôi chỉ công bố&nbsp;khi được sự cho phép của quý bệnh nhân đã khỏi bệnh.</span></em></p><p style="text-align: justify;"><span style="font-size:16px;">Bài thuốc chữa thoát vị đĩa của Lương y Nguyễn Văn Minh hay ở chỗ vừa chữa khỏi bệnh vừa giúp phục hồi sự cứng cáp dẻo dai của đĩa đệm cột sống, thuốc&nbsp;không có tác dụng phụ, không làm đau dạ dày, không giữ nước. Do thuốc y học cổ truyền cần có thời gian để cơ thể ngấm thuốc nên không thể giảm đau ngay trong 2-3 ngày đầu uống thuốc, để đỡ đau nhức do thoát vị đĩa đệm gây ra thường phải uống từ 7- 10 ngày mới thấy kết quả.</span></p><p style="text-align: justify;"><span style="font-size:16px;">&nbsp;Bài thuốc đặc trị bệnh thoát vị đĩa đệm, đã giúp nhiều người khỏi bệnh, tránh phải mổ tvdd.<br />Bài thuốc quý gồm hơn 20 vị thuốc bắc,&nbsp;nam, được lương y Minh trực tiếp chọn lựa, chỉ đạo bào chế sao tẩm, nấu thuốc, bảo quản thuốc nên chất lượng luôn tốt nhất. Những vị thuốc nòng cốt trong bài gồm có các vị như: Mộc qua, đan sâm, lộc giác, thục địa, đương quy, khương hoạt, tần giao, hà thủ ô, đỗ trọng, quy bản, độc hoạt, ngưu tất, phòng phong.v.v..Khi chữa bệnh, tùy vào mức độ thoát vị đĩa đệm của từng bệnh nhân, lương y Minh sẽ gia thêm một số vị thuốc để phù hợp với cơ địa của mỗi người sao cho hiệu quả chữa bệnh tốt nhất.&nbsp;</span></p><p style="text-align: justify;"><span style="font-size:16px;">Ngoài việc uống thuốc, y&nbsp;học cổ truyền còn trú trọng đến các bài tập để nâng cao sức khỏe, phòng chống&nbsp;thoát vị đĩa đệm.&nbsp;Theo kinh nghiệm của cá nhân tôi, những bài tập tốt nhất cho cột sống đĩa đệm là đi bơi;&nbsp;bơi ếch, bơi sải, bơi bướm, rồi&nbsp;đến tập yoga, tập dưỡng sinh.</span><span style="font-size: 16px;">&nbsp;Khi tập các bài tập kể trên, bạn nên có huấn luyện viên hướng dẫn tập luyện sẽ tốt nhất cho bạn.</span></p><p style="text-align: justify;"><span style="font-size:16px;">Bạn đọc có thể tham khảo bài tập&nbsp;yoga tốt cho cột sống cổ, cột sống lưng ở dưới đây. Đây là bài tập yoga&nbsp;do ông thầy yoga nổi tiếng, người Ấn Độ hướng dẫn. Đây là bài tập yoga dành cho những người mới bắt đầu, khi bạn tập theo video ở trang web này, sẽ không có quảng cáo chèn ngang, rất dễ cho người mới tập yoga. Những động tác nào không rõ, hãy liên hệ qua Zalo, tôi sẽ tư vấn giúp.</span></p><p><iframe frameborder="0" height="310" longdesc="Bài tập thoát vị đĩa đệm" name="Tập yoga" scrolling="no" src="https://www.youtube.com/embed/ky1DfwIBRcg" title="yoga trị thoát vị đĩa đệm" width="550"></iframe></p><p style="text-align: justify;"><span style="font-size:16px;">Địa chỉ phòng khám, chuyên khám chữa bệnh thoát vị đĩa đệm ở TP. HCM: 856/6 đường Quang Trung, phường 8, quận Gò Vấp. Liên hệ qua Zalo: 0913503552, thầy thuốc tư vấn có nên mổ thoát vị đĩa đệm hay không? Trường hợp nào bắt buộc phải mổ, trường hợp nào nên dùng phương pháp của y học cổ truyền thì tốt hơn</span>:</p><p style="text-align: justify;"><span style="font-size: 16px;">Tham khảo một số địa chỉ của những người đã khỏi bệnh, họ&nbsp;đồng ý cho chia sẻ kinh nghiệm, chia sẻ bệnh án, địa chỉ. Còn rất nhiều người khỏi bệnh nhưng không muốn xuất hiện ở đây, tôi tôn trọng và đảm bảo quyền riêng tư của họ.</span></p><p style="text-align: justify;"><span style="font-size: 16px;">- Anh&nbsp;<a data-ctbtn="0" data-cthref="/url?sa=t&amp;rct=j&amp;q=&amp;esrc=s&amp;source=web&amp;cd=&amp;ved=2ahUKEwi7sJb-wIPsAhVBL6YKHQiHDMc4WhAWMAB6BAgDEAE&amp;url=https%3A%2F%2Fchuabenhthoatvidiadem.vn%2Fcach-chua-benh%2Fthuoc-chua-thoat-vi-dia-dem-tot-qua-em-het-te-chan-roi-bac-si-pid-236.html&amp;usg=AOvVaw2eNN39e3u82IKV3Oo4lAWl" href="https://www.google.com.vn/url?sa=t&amp;rct=j&amp;q=&amp;esrc=s&amp;source=web&amp;cd=&amp;ved=2ahUKEwi7sJb-wIPsAhVBL6YKHQiHDMc4WhAWMAB6BAgDEAE&amp;url=https%3A%2F%2Fchuabenhthoatvidiadem.vn%2Fcach-chua-benh%2Fthuoc-chua-thoat-vi-dia-dem-tot-qua-em-het-te-chan-roi-bac-si-pid-236.html&amp;usg=AOvVaw2eNN39e3u82IKV3Oo4lAWl" rel="noopener" style="color: rgb(102, 0, 153); font-size: small; background-image: initial; background-position: initial; background-size: initial; background-repeat: initial; background-attachment: initial; background-origin: initial; background-clip: initial; box-sizing: border-box; margin: 0px; padding: 0px; border: 0px; outline: 0px; vertical-align: baseline; text-decoration-line: none; transition: all 406ms ease-out 0s; max-width: 100%; -webkit-tap-highlight-color: rgba(0, 0, 0, 0.1); cursor: pointer; font-family: arial, sans-serif;" target="_blank" title="">Nguyên Văn Nhiên</a></span><font size="2">&nbsp;</font><span style="font-size: 16px;">46 tuổi, địa chỉ: 11/2 đường Tô Hiệu, phường Lộc Sơn, thành phố Bảo Lộc, tỉnh Lâm Đồng.</span><a data-ctbtn="0" data-cthref="/url?sa=t&amp;rct=j&amp;q=&amp;esrc=s&amp;source=web&amp;cd=&amp;ved=2ahUKEwi7sJb-wIPsAhVBL6YKHQiHDMc4WhAWMAB6BAgDEAE&amp;url=https%3A%2F%2Fchuabenhthoatvidiadem.vn%2Fcach-chua-benh%2Fthuoc-chua-thoat-vi-dia-dem-tot-qua-em-het-te-chan-roi-bac-si-pid-236.html&amp;usg=AOvVaw2eNN39e3u82IKV3Oo4lAWl" href="https://www.google.com.vn/url?sa=t&amp;rct=j&amp;q=&amp;esrc=s&amp;source=web&amp;cd=&amp;ved=2ahUKEwi7sJb-wIPsAhVBL6YKHQiHDMc4WhAWMAB6BAgDEAE&amp;url=https%3A%2F%2Fchuabenhthoatvidiadem.vn%2Fcach-chua-benh%2Fthuoc-chua-thoat-vi-dia-dem-tot-qua-em-het-te-chan-roi-bac-si-pid-236.html&amp;usg=AOvVaw2eNN39e3u82IKV3Oo4lAWl" rel="noopener" style="color: rgb(102, 0, 153); box-sizing: border-box; margin: 0px; padding: 0px; border: 0px; outline: 0px; font-size: small; vertical-align: baseline; background-image: initial; background-position: initial; background-size: initial; background-repeat: initial; background-attachment: initial; background-origin: initial; background-clip: initial; text-decoration-line: none; transition: all 406ms ease-out 0s; max-width: 100%; -webkit-tap-highlight-color: rgba(0, 0, 0, 0.1); cursor: pointer; font-family: arial, sans-serif;" target="_blank" title="">&nbsp;</a></p><p style="text-align: justify;"><span style="font-size: 16px;">- Chị&nbsp;<a href="https://chuabenhthoatvidiadem.vn/bai-viet/ket-qua-dieu-tri-thoat-vi-dia-dem/luong-y-nguyen-van-minh-chua-thoat-vi-dia-dem-cho-chi-nghia-khoi-han-chi-dong-y-chia-se-dia-chi-that-pid-264.html" rel="noopener" style="color: rgb(102, 0, 153); font-size: small; text-decoration-line: none; -webkit-tap-highlight-color: rgba(0, 0, 0, 0.1); font-family: arial, sans-serif;" target="_blank" title="">Phạm Thị Nghĩa&nbsp;</a>51&nbsp;tuổi, địa chỉ: 154 Hùng Vương, phường Đạt Hiếu, thị xã Buôn Hồ, tỉnh Đắk Lắk.</span></p><p style="text-align: justify;"><span style="font-size: 16px;">- Bác Nguyễn</span><span style="font-size: 16px;">&nbsp;</span><a data-ctbtn="0" data-cthref="/url?sa=t&amp;rct=j&amp;q=&amp;esrc=s&amp;source=web&amp;cd=&amp;ved=2ahUKEwjz9peqzYPsAhWIfXAKHYZCDw44tAEQFjAFegQIBRAB&amp;url=https%3A%2F%2Fchuabenhthoatvidiadem.vn%2Fbai-viet%2Fnghe-truc-tiep-nhung-nguoi-duoc-luong-y-minh-chua-khoi-thoat-vi-dia-dem%2Fthoat-vi-dia-dem-l4-5-va-loi-dia-dem-l5-s1-co-chua-khoi-duoc-khong-pid-39.html&amp;usg=AOvVaw3nukuai7tAoH4mabYiiFZq" href="https://www.google.com.vn/url?sa=t&amp;rct=j&amp;q=&amp;esrc=s&amp;source=web&amp;cd=&amp;ved=2ahUKEwjz9peqzYPsAhWIfXAKHYZCDw44tAEQFjAFegQIBRAB&amp;url=https%3A%2F%2Fchuabenhthoatvidiadem.vn%2Fbai-viet%2Fnghe-truc-tiep-nhung-nguoi-duoc-luong-y-minh-chua-khoi-thoat-vi-dia-dem%2Fthoat-vi-dia-dem-l4-5-va-loi-dia-dem-l5-s1-co-chua-khoi-duoc-khong-pid-39.html&amp;usg=AOvVaw3nukuai7tAoH4mabYiiFZq" rel="noopener" style="color: rgb(102, 0, 153); font-size: small; background-image: initial; background-position: initial; background-size: initial; background-repeat: initial; background-attachment: initial; background-origin: initial; background-clip: initial; box-sizing: border-box; margin: 0px; padding: 0px; border: 0px; outline: 0px; vertical-align: baseline; text-decoration-line: none; transition: all 406ms ease-out 0s; max-width: 100%; -webkit-tap-highlight-color: rgba(0, 0, 0, 0.1); cursor: pointer; font-family: arial, sans-serif;" target="_blank" title="">Nguyễn Văn Chính</a><span style="font-size: 16px;">&nbsp;66 tuổi, địa chỉ: 127B Đinh Tiên Hoàng, phường 3, quận Bình Thạnh, TP HCM.</span></p><p style="text-align: justify;"><span style="font-size: 16px;">- Bác&nbsp;</span><a href="https://chuabenhthoatvidiadem.vn/cach-chua-benh/hoi-tham-bac-cuc-chua-benh-dau-vai-gay-cach-nay-gan-2-nam-pid-34.html" rel="noopener" style="color: rgb(102, 0, 153); font-size: small; background-image: initial; background-position: initial; background-size: initial; background-repeat: initial; background-attachment: initial; background-origin: initial; background-clip: initial; box-sizing: border-box; margin: 0px; padding: 0px; border: 0px; outline: 0px; vertical-align: baseline; text-decoration-line: none; transition: all 406ms ease-out 0s; max-width: 100%; -webkit-tap-highlight-color: rgba(0, 0, 0, 0.1); cursor: pointer; font-family: arial, sans-serif;" target="_blank" title="">Nguyễn Thị Hồng Cúc&nbsp;</a><span style="font-size: 16px;">58 tuổi, địa chỉ: 525/19/9 Thống Nhất, phường 16, quận Gò Vấp, TP HCM.</span></p><p style="text-align: justify;"><span style="font-size: 16px;">- Chị</span><span style="box-sizing: border-box; margin: 0px; padding: 0px; border: 0px; outline: 0px; font-size: 16px; vertical-align: baseline; background-image: initial; background-position: initial; background-size: initial; background-repeat: initial; background-attachment: initial; background-origin: initial; background-clip: initial; max-width: 100%; color: rgb(0, 0, 0); font-family: RobotoSlab-Regular, Arial, Helvetica, sans-serif;">&nbsp;</span><a href="https://chuabenhthoatvidiadem.vn/cach-chua-benh/thoat-vi-dia-dem-va-cach-dieu-tri-pid-233.html" rel="noopener" style="color: rgb(102, 0, 153); box-sizing: border-box; margin: 0px; padding: 0px; border: 0px; outline: 0px; font-size: small; vertical-align: baseline; background-image: initial; background-position: initial; background-size: initial; background-repeat: initial; background-attachment: initial; background-origin: initial; background-clip: initial; text-decoration-line: none; transition: all 406ms ease-out 0s; max-width: 100%; -webkit-tap-highlight-color: rgba(0, 0, 0, 0.1); cursor: pointer; font-family: arial, sans-serif;" target="_blank" title="">Lê Thị Thu Thủy</a><font size="2">&nbsp;</font><span style="color: rgb(0, 0, 0); font-family: RobotoSlab-Regular, Arial, Helvetica, sans-serif; font-size: 16px;">47 tuổi ở địa chỉ: 50 Trần Nhật Duật, phường Đạt Hiếu, thị xã Buôn Hồ, tỉnh Đắk Lắk.</span></p><p style="text-align: justify;"><span style="font-size: 16px;">- Anh Nguyễn Thanh Hải 42 tuổi, địa chỉ: 61/72 Điện Biên Phủ, Phường 1, Quận 3, TP HCM.</span></p><p style="text-align: justify;"><span style="font-size: 16px;">- Chị&nbsp;</span><a data-ctbtn="0" data-cthref="/url?sa=t&amp;rct=j&amp;q=&amp;esrc=s&amp;source=web&amp;cd=&amp;ved=2ahUKEwi7sJb-wIPsAhVBL6YKHQiHDMc4WhAWMAZ6BAgHEAE&amp;url=https%3A%2F%2Fchuabenhthoatvidiadem.vn%2Fcach-chua-benh%2Fchi-van-o-quan-1-tp-hcm-khoi-thoat-vi-dia-dem-khong-tai-phat--pid-19.html&amp;usg=AOvVaw0hVpHnPPfU9Tdt65XbTmCd" href="https://www.google.com.vn/url?sa=t&amp;rct=j&amp;q=&amp;esrc=s&amp;source=web&amp;cd=&amp;ved=2ahUKEwi7sJb-wIPsAhVBL6YKHQiHDMc4WhAWMAZ6BAgHEAE&amp;url=https%3A%2F%2Fchuabenhthoatvidiadem.vn%2Fcach-chua-benh%2Fchi-van-o-quan-1-tp-hcm-khoi-thoat-vi-dia-dem-khong-tai-phat--pid-19.html&amp;usg=AOvVaw0hVpHnPPfU9Tdt65XbTmCd" rel="noopener" style="color: rgb(102, 0, 153); font-size: small; background-image: initial; background-position: initial; background-size: initial; background-repeat: initial; background-attachment: initial; background-origin: initial; background-clip: initial; box-sizing: border-box; margin: 0px; padding: 0px; border: 0px; outline: 0px; vertical-align: baseline; text-decoration-line: none; transition: all 406ms ease-out 0s; max-width: 100%; -webkit-tap-highlight-color: rgba(0, 0, 0, 0.1); cursor: pointer; font-family: arial, sans-serif;" target="_blank" title="">Lê Thị Thanh Vân</a><span style="font-size: 16px;">&nbsp;48 tuổi, địa chỉ: 149/ 22 Lê Thị Riêng, phường Bến Thành, Quận 1, TP HCM.</span></p><p style="text-align: justify;"><span style="font-size: 16px;">- Anh&nbsp;</span><a data-ctbtn="0" data-cthref="/url?sa=t&amp;rct=j&amp;q=&amp;esrc=s&amp;source=web&amp;cd=&amp;ved=2ahUKEwjYnMrHvoPsAhUMVpQKHdhzDuw4UBAWMAN6BAgDEAE&amp;url=https%3A%2F%2Fchuabenhthoatvidiadem.vn%2Fcach-chua-benh%2Fbenh-thoat-vi-dia-dem-cot-song-co-nhieu-tang-co-chua-duoc-khong-pid-68.html&amp;usg=AOvVaw1JbElGf7eS07-2ycKDaqHF" href="https://www.google.com.vn/url?sa=t&amp;rct=j&amp;q=&amp;esrc=s&amp;source=web&amp;cd=&amp;ved=2ahUKEwjYnMrHvoPsAhUMVpQKHdhzDuw4UBAWMAN6BAgDEAE&amp;url=https%3A%2F%2Fchuabenhthoatvidiadem.vn%2Fcach-chua-benh%2Fbenh-thoat-vi-dia-dem-cot-song-co-nhieu-tang-co-chua-duoc-khong-pid-68.html&amp;usg=AOvVaw1JbElGf7eS07-2ycKDaqHF" rel="noopener" style="color: rgb(102, 0, 153); font-size: small; background-image: initial; background-position: initial; background-size: initial; background-repeat: initial; background-attachment: initial; background-origin: initial; background-clip: initial; box-sizing: border-box; margin: 0px; padding: 0px; border: 0px; outline: 0px; vertical-align: baseline; text-decoration-line: none; transition: all 406ms ease-out 0s; max-width: 100%; -webkit-tap-highlight-color: rgba(0, 0, 0, 0.1); cursor: pointer; font-family: arial, sans-serif;" target="_blank" title="">Mai Văn Lê</a><span style="font-size: 16px;">&nbsp;30 tuổi, địa chỉ: Ấp 2, xã An Phước, huyện Châu Thành, tỉnh Bến Tre.</span></p><p style="text-align: justify;"><span style="font-size: 16px;">- Chú Lê Tấn Bửu Long 55 tuổi, địa chỉ: 396/39/5 Dương Quảng Hàm, phường 5, quận Gò Vấp, TP HCM.</span></p><p style="text-align: justify;"><span style="font-size: 16px;">- Anh&nbsp;</span><a data-ctbtn="0" data-cthref="/url?sa=t&amp;rct=j&amp;q=&amp;esrc=s&amp;source=web&amp;cd=&amp;ved=2ahUKEwjYnMrHvoPsAhUMVpQKHdhzDuw4UBAWMAJ6BAgKEAE&amp;url=https%3A%2F%2Fchuabenhthoatvidiadem.vn%2Fcach-chua-benh%2Fchua-thoat-vi-dia-dem-cot-song-that-lung-khoi-han-khong-phai-mo-pid-74.html&amp;usg=AOvVaw1Bzb8cJjof6Ar_6waEfM3f" href="https://www.google.com.vn/url?sa=t&amp;rct=j&amp;q=&amp;esrc=s&amp;source=web&amp;cd=&amp;ved=2ahUKEwjYnMrHvoPsAhUMVpQKHdhzDuw4UBAWMAJ6BAgKEAE&amp;url=https%3A%2F%2Fchuabenhthoatvidiadem.vn%2Fcach-chua-benh%2Fchua-thoat-vi-dia-dem-cot-song-that-lung-khoi-han-khong-phai-mo-pid-74.html&amp;usg=AOvVaw1Bzb8cJjof6Ar_6waEfM3f" rel="noopener" style="color: rgb(102, 0, 153); font-size: small; background-image: initial; background-position: initial; background-size: initial; background-repeat: initial; background-attachment: initial; background-origin: initial; background-clip: initial; box-sizing: border-box; margin: 0px; padding: 0px; border: 0px; outline: 0px; vertical-align: baseline; text-decoration-line: none; transition: all 406ms ease-out 0s; max-width: 100%; -webkit-tap-highlight-color: rgba(0, 0, 0, 0.1); cursor: pointer; font-family: arial, sans-serif;" target="_blank" title="">Trần Văn Dùm</a><font size="2">&nbsp;</font><span style="font-size: 16px;">29 tuổi, địa chỉ: Ấp Long Phú, xã Hòa Long, huyện Lai Vung, tỉnh Đồng Tháp.</span></p><p style="text-align: justify;"><span style="font-size: 16px;">- Bà</span><a data-ctbtn="0" data-cthref="/url?sa=t&amp;rct=j&amp;q=&amp;esrc=s&amp;source=web&amp;cd=&amp;ved=2ahUKEwi_kLX_uontAhV7y4sBHRmED_44RhAWMAV6BAgGEAI&amp;url=https%3A%2F%2Fchuabenhthoatvidiadem.vn%2Fcach-chua-benh%2Fchua-thoat-vi-dia-dem-o-phong-kham-dong-y-bao-minh-pid-271.html&amp;usg=AOvVaw1Zi7AG03gUyGzHWn11syNY&amp;cshid=1605612267286013" href="https://www.google.com.vn/url?sa=t&amp;rct=j&amp;q=&amp;esrc=s&amp;source=web&amp;cd=&amp;ved=2ahUKEwi_kLX_uontAhV7y4sBHRmED_44RhAWMAV6BAgGEAI&amp;url=https%3A%2F%2Fchuabenhthoatvidiadem.vn%2Fcach-chua-benh%2Fchua-thoat-vi-dia-dem-o-phong-kham-dong-y-bao-minh-pid-271.html&amp;usg=AOvVaw1Zi7AG03gUyGzHWn11syNY&amp;cshid=1605612267286013" rel="noopener" style="color: rgb(102, 0, 153); font-size: small; text-decoration-line: none; -webkit-tap-highlight-color: rgba(0, 0, 0, 0.1); font-family: arial, sans-serif;" target="_blank" title="">&nbsp;Nguyễn Thị Hảo</a><font size="2">&nbsp;</font><span style="font-size: 16px;">địa chỉ: 270 Cách Mạng Tháng 8, phường Vĩnh Lợi, TP Rạch Giá, tỉnh Kiên Giang.</span></p><p style="text-align: justify;"><span style="font-size: 16px;">- Anh&nbsp;</span><a data-ctbtn="0" data-cthref="/url?sa=t&amp;rct=j&amp;q=&amp;esrc=s&amp;source=web&amp;cd=&amp;ved=2ahUKEwjYnMrHvoPsAhUMVpQKHdhzDuw4UBAWMAJ6BAgKEAE&amp;url=https%3A%2F%2Fchuabenhthoatvidiadem.vn%2Fcach-chua-benh%2Fchua-thoat-vi-dia-dem-cot-song-that-lung-khoi-han-khong-phai-mo-pid-74.html&amp;usg=AOvVaw1Bzb8cJjof6Ar_6waEfM3f" href="https://www.google.com.vn/url?sa=t&amp;rct=j&amp;q=&amp;esrc=s&amp;source=web&amp;cd=&amp;ved=2ahUKEwjYnMrHvoPsAhUMVpQKHdhzDuw4UBAWMAJ6BAgKEAE&amp;url=https%3A%2F%2Fchuabenhthoatvidiadem.vn%2Fcach-chua-benh%2Fchua-thoat-vi-dia-dem-cot-song-that-lung-khoi-han-khong-phai-mo-pid-74.html&amp;usg=AOvVaw1Bzb8cJjof6Ar_6waEfM3f" rel="noopener" style="color: rgb(102, 0, 153); font-size: small; background-image: initial; background-position: initial; background-size: initial; background-repeat: initial; background-attachment: initial; background-origin: initial; background-clip: initial; box-sizing: border-box; margin: 0px; padding: 0px; border: 0px; outline: 0px; vertical-align: baseline; text-decoration-line: none; transition: all 406ms ease-out 0s; max-width: 100%; -webkit-tap-highlight-color: rgba(0, 0, 0, 0.1); cursor: pointer; font-family: arial, sans-serif;" target="_blank" title="">Đặng Văn Út&nbsp;</a><span style="font-size: 16px;">&nbsp;30 tuổi, địa chỉ: Ấp Thượng, xã Thới Tiền, huyện Hồng Ngự, tỉnh Đồng Tháp.</span></p><p style="text-align: justify;"><span style="font-size: 16px;">- Chị Nguyễn Thị Nguyệt 51 tuổi, địa chỉ: Xóm 2, xã Nhân Thịnh, huyện Lý Nhân, tỉnh Hà Nam.</span></p><p style="text-align: justify;"><span style="font-size: 16px;">- Anh</span><a data-ctbtn="0" data-cthref="/url?sa=t&amp;rct=j&amp;q=&amp;esrc=s&amp;source=web&amp;cd=&amp;ved=2ahUKEwiu78SuvIntAhVBG6YKHVPdDO44WhAWMAF6BAgHEAI&amp;url=https%3A%2F%2Fchuabenhthoatvidiadem.vn%2Fbai-viet%2Fbenh-thoat-vi-dia-dem%2Fthoat-vi-dia-dem-co-chua-khoi-duoc-khong-pid-111.html&amp;usg=AOvVaw223LosZFZPlFnPk7SPZz2n" href="https://www.google.com.vn/url?sa=t&amp;rct=j&amp;q=&amp;esrc=s&amp;source=web&amp;cd=&amp;ved=2ahUKEwiu78SuvIntAhVBG6YKHVPdDO44WhAWMAF6BAgHEAI&amp;url=https%3A%2F%2Fchuabenhthoatvidiadem.vn%2Fbai-viet%2Fbenh-thoat-vi-dia-dem%2Fthoat-vi-dia-dem-co-chua-khoi-duoc-khong-pid-111.html&amp;usg=AOvVaw223LosZFZPlFnPk7SPZz2n" rel="noopener" style="color: rgb(102, 0, 153); font-size: small; text-decoration-line: none; -webkit-tap-highlight-color: rgba(0, 0, 0, 0.1); font-family: arial, sans-serif;" target="_blank" title="">Trần Thanh Nhã</a><span style="font-size: 16px;">&nbsp;36 tuổi, địa chỉ: ấp Tràm Chỏi, xã Vĩnh Điều, huyện Giang Thành, tỉnh Kiên Giang.</span></p><p style="text-align: justify;"><span style="font-size: 16px;">- Chị&nbsp;</span><a data-ctbtn="0" data-cthref="/url?sa=t&amp;rct=j&amp;q=&amp;esrc=s&amp;source=web&amp;cd=&amp;ved=2ahUKEwjYnMrHvoPsAhUMVpQKHdhzDuw4UBAWMAB6BAgEEAE&amp;url=https%3A%2F%2Fchuabenhthoatvidiadem.vn%2Fcach-chua-benh%2Fthoat-vi-dia-dem-l5-s1-gai-va-thoai-hoa-cot-song-that-lung-pid-205.html&amp;usg=AOvVaw0HzSKtyFB863Vt_azShCtb" href="https://www.google.com.vn/url?sa=t&amp;rct=j&amp;q=&amp;esrc=s&amp;source=web&amp;cd=&amp;ved=2ahUKEwjYnMrHvoPsAhUMVpQKHdhzDuw4UBAWMAB6BAgEEAE&amp;url=https%3A%2F%2Fchuabenhthoatvidiadem.vn%2Fcach-chua-benh%2Fthoat-vi-dia-dem-l5-s1-gai-va-thoai-hoa-cot-song-that-lung-pid-205.html&amp;usg=AOvVaw0HzSKtyFB863Vt_azShCtb" rel="noopener" style="color: rgb(102, 0, 153); background-image: initial; background-position: initial; background-size: initial; background-repeat: initial; background-attachment: initial; background-origin: initial; background-clip: initial; font-size: small; box-sizing: border-box; margin: 0px; padding: 0px; border: 0px; outline: 0px; vertical-align: baseline; text-decoration-line: none; transition: all 406ms ease-out 0s; max-width: 100%; -webkit-tap-highlight-color: rgba(0, 0, 0, 0.1); cursor: pointer; font-family: arial, sans-serif;" target="_blank" title="">Võ Thị Lệ Nga</a><font size="2">&nbsp;</font><span style="font-size: 16px;">44 tuổi, địa chỉ; Số nhà 20, KP4, TT Cần Giuộc, huyện Cần Giuộc, tỉnh Long An.</span></p><p>V.V</p><p><span style="font-size:16px;">Bấm vào đây xem thêm: Hệu quả&nbsp;</span><a href="https://chuabenhthoatvidiadem.vn/cach-chua-benh/nghe-truc-tiep-nhung-nguoi-duoc-luong-y-minh-chua-khoi-thoat-vi-dia-dem-cid-4-10.html" style="color: rgb(102, 0, 153); font-size: 16px; cursor: pointer; text-decoration-line: none;" target="_blank" title="">cách chữa thoát vị đĩa đệm, </a><span style="font-size:16px;">bằng y học cổ truyền tại&nbsp;phòng khám:</span></p><h3 class="r" style="font-size: 18px; margin: 0px; padding: 0px; overflow: hidden; text-overflow: ellipsis; white-space: nowrap;"><a href="https://chuabenhthoatvidiadem.vn/" style="color: rgb(102, 0, 153); cursor: pointer; text-decoration: none;" title="">Chuyên trị&nbsp;thoát vị đĩa đệm</a></h3><div class="s" style="max-width: 48em; color: rgb(84, 84, 84); line-height: 18px;"><div class="f kv _SWb" style="color: rgb(128, 128, 128); height: 18px; line-height: 16px; font-family: arial, sans-serif; font-size: small; white-space: nowrap;"><cite class="_Rm" style="color: rgb(0, 102, 33); font-style: normal; font-size: 14px;">chuabenhthoatvidiadem.vn</cite></div><div class="f kv _SWb" style="color: rgb(128, 128, 128); height: 18px; line-height: 16px; font-family: arial, sans-serif; font-size: small; white-space: nowrap;">&nbsp;</div></div>]]></content:encoded>
						<wfw:commentRss></wfw:commentRss>
						<slash:comments>0</slash:comments>
					</item>
				
					<item>
						<title>Hỏi thăm bác Cúc chữa bệnh đau vai gáy cách nay gần 2 năm</title>
						<link>https://chuabenhthoatvidiadem.vn/bai-viet/nghe-truc-tiep-nhung-nguoi-duoc-luong-y-minh-chua-khoi-thoat-vi-dia-dem/hoi-tham-bac-cuc-chua-benh-dau-vai-gay-cach-nay-gan-2-nam-pid-34.html</link>
						<comments></comments>
						<pubDate>Mon, 12 Dec 2016 04:00:40 +0700</pubDate>
						<dc:creator>admin</dc:creator>
						<category><![CDATA[Nghe trực tiếp những người được lương y Minh chữa khỏi thoát vị đĩa đệm ]]></category>
						<guid isPermaLink="false"></guid>
						<description><![CDATA[Bác Cúc ở phường 16 quận Gò Vấp TP HCM (gần trường học Phan Tây Hồ) bị thoái hóa đĩa đệm, thoái hóa đốt sống cổ, mọc gai chèn ép rễ thần kinh gây đau nhức bả vai, mỏi cổ, đau nhức cánh tay. Bác Cúc chữa bệnh cách nay gần 2 năm. Hãy nghe cuộc trò chuyện trực tiếp giữa lương y Minh và bác Cúc về bệnh cũ trước đây.]]></description>
						<content:encoded><![CDATA[<h2 style="text-align: justify;"><span style="font-size:16px;">Bác Cúc ở phường 16 quận Gò Vấp TP HCM (gần trường học Phan Tây Hồ) bị thoái hóa đĩa đệm, thoái hóa đốt sống cổ, mọc gai chèn ép rễ thần kinh gây đau nhức bả vai, mỏi cổ, đau nhức cánh tay. Bác Cúc đã chữa bệnh ở phòng khám của lương y Nguyễn Văn Minh cách nay gần 2 hai năm. Hôm nay lương y Minh gọi điện lại hỏi thăm sức khỏe của bác Cúc, bác cho biết đã khỏi hẳn từ ngày đó, hãy nghe nội dung cuộc trò chuyện trực tiếp giữa lương y Minh và bác Cúc. (*)</span></p><p><img loading="lazy" alt="Khỏi bệnh đau vai gáy" src="data:image/gif;base64,R0lGODlhAQABAID/AP///wAAACwAAAAAAQABAAACAkQBADs=" data-src="https://chuabenhthoatvidiadem.vn/resources/images/balienphonglan.jpg" style="width: 565px; height: 353px;" class="lazy" width="565" height="353" data-optimized="1" /></p><p><span style="font-size:16px;"><em>Bác Cúc đã khỏi đau vai gáy, nhức mỏi cánh tay gần 2 năm nay không tái phát.</em></span></p><p><a href="https://chuabenhthoatvidiadem.vn/resources/files/Tho_i_007_m.mp3" title="">Bác Cúc trao đổi trực tiếp với lương y Minh về căn bệnh đau vai gáy trước đây</a></p><p>&nbsp;</p><p><span style="font-size:16px;">(*) &nbsp; &quot;Lưu ý: thuốc&nbsp;điều trị bệnh thoát vị đĩa đệm /tác dụng nhanh hay chậm&nbsp;tùy theo cơ địa của mỗi nguời&quot;</span></p><p><span style="font-size:16px;">Xem thêm:&nbsp;<a href="https://chuabenhthoatvidiadem.vn/cach-chua-benh/khoi-thoat-vi-dia-dem-cot-song-that-lung-sau-hon-1-thang-dieu-tri-pid-37.html" style="color: rgb(102, 0, 153); cursor: pointer; text-decoration-line: none;" target="_blank" title="">clip chữa&nbsp;thoát vị đĩa đệm cột sống thắt lưng tại Sài Gòn.</a></span></p><p>&nbsp;</p><p><span style="font-size:16px;">Địa chỉ lương y Minh&nbsp;chữa bệnh thoát vị đĩa đệm: 856/6 Quang Trung, Phường 8, Quận Gò Vấp, TP.HCM.</span></p><p><span style="font-size:16px;">Trang Web: https://chuabenhthoatvidiadem.vn/</span></p>]]></content:encoded>
						<wfw:commentRss></wfw:commentRss>
						<slash:comments>0</slash:comments>
					</item>
				
					<item>
						<title>Điều trị thoát vị đĩa đệm cột sống thắt lưng; dùng cách nào an toàn mà hiệu quả nhất.</title>
						<link>https://chuabenhthoatvidiadem.vn/bai-viet/ket-qua-dieu-tri-thoat-vi-dia-dem/dieu-tri-thoat-vi-dia-dem-cot-song-that-lung-dung-cach-nao-an-toan-ma-hieu-qua-nhat-pid-11.html</link>
						<comments></comments>
						<pubDate>Wed, 07 Dec 2016 08:47:47 +0700</pubDate>
						<dc:creator>admin</dc:creator>
						<category><![CDATA[Kết quả điều trị thoát vị đĩa đệm]]></category>
						<guid isPermaLink="false"></guid>
						<description><![CDATA[Điều trị thoát vị đĩa đệm cột sống thắt lưng; dùng cách nào an toàn mà hiệu quả nhất, thuốc nào không mập, không giữ nước? không tăng cân? không đau dạ dày?...Cách chữa nào không phải nằm viện? khỏi bệnh có phục hồi cột sống để lao động được không?.v.v.Tìm câu trả lời từ chính người bệnh và người thân của họ thông báo.]]></description>
						<content:encoded><![CDATA[<h2 style="text-align: justify;"><span style="font-size:16px;">Điều trị thoát vị đĩa đệm cột sống thắt lưng; dùng cách nào an toàn mà hiệu quả nhất, thuốc nào không mập, không giữ nước? không tăng cân? không đau dạ dày?...Cách chữa nào không phải nằm viện? khỏi bệnh có phục hồi cột sống để lao động được không?.v.v.Tìm câu trả lời từ chính người bệnh và người thân của họ thống báo.</span></p><h3 style="text-align: justify;"><span style="font-size:16px;">Lương y Nguyễn Văn Minh&nbsp;đã chữa thoát vị đĩa đệm cột sống thắt lưng&nbsp;cho anh Nguyễn Tiến Lành ở Tiền Giang cách nay hơn một năm. Hôm nay lương y Minh tìm lại bệnh án cũ của anh Lành để hỏi thăm. gặp được chị của anh Lành đang sống ở TP HCM, chị cho biết anh Lành đã khỏi hẳn hơn năm nay. Hiện tại anh Lành đang sinh hoạt lao động bình thường, không bị những cơn đau nhức do thoát vị đĩa đệm chèn ép rễ thần kinh gây ra. (*)</span></h3><p><img loading="lazy" alt="Thoát vị đĩa đệm" src="data:image/gif;base64,R0lGODlhAQABAID/AP///wAAACwAAAAAAQABAAACAkQBADs=" data-src="https://chuabenhthoatvidiadem.vn/resources/images/thoat-vi-dia-dem.jpg" class="lazy" width="480" height="285" data-optimized="1" /></p><p style="text-align: justify;"><span style="font-size:16px;">Bạn hãy bấm vào hình mũi tên ở dưới để nghe cuộc nói chuyện giữa lương y Minh và chị gái anh Nguyễn Tiến Lành, chính chị là người đưa anh Lành lên TP HCM để chữa thoát vị đĩa đệm.</span></p><p><a href="https://chuabenhthoatvidiadem.vn/resources/files/mp3/Tho_i_004_m.mp3" title="">Bạn đang nghe người nhà thông báo anh lành đã khỏi hẳn thoát vị đĩa đệm</a></p><p><span style="font-size:16px;">(*)&nbsp; &nbsp;&quot;Lưu ý: thuốc uống và thuốc đắp chữa thoát vị đĩa đệm/tác dụng nhanh hay chậm có thể thay đổi tùy theo chứng bệnh mỗi nguời&quot;</span></p><p><span style="font-size: 16px;">Có thể bạn muốn xem:</span></p><p><span style="font-size: 16px;">&nbsp;</span><a href="https://chuabenhthoatvidiadem.vn/cach-chua-benh/khoi-thoat-vi-dia-dem-cot-song-that-lung-sau-hon-1-thang-dieu-tri-pid-37.html" style="font-size: 16px; background: transparent; font-family: arial, sans-serif; white-space: nowrap; box-sizing: border-box; margin: 0px; padding: 0px; border: 0px; outline: 0px; vertical-align: baseline; color: rgb(102, 0, 153); text-decoration-line: none; transition: all 406ms ease-out; max-width: 100%; cursor: pointer;" target="_blank" title="">Video chữa bệnh&nbsp;thoát vị đĩa đệm cột sống tại phòng khám đông y Bảo Minh</a></p><p><span style="font-size:16px;">Địa chỉ chữa bệnh thoát vị đĩa đệm: 856/6 Quang Trung, Phường 8, Quận Gò Vấp, TPHCM.</span></p>]]></content:encoded>
						<wfw:commentRss></wfw:commentRss>
						<slash:comments>0</slash:comments>
					</item>
				
					<item>
						<title>Thoát vị đĩa đệm chèn ép rễ thần kinh </title>
						<link>https://chuabenhthoatvidiadem.vn/bai-viet/benh-thoat-vi-dia-dem/thoat-vi-dia-dem-chen-ep-re-than-kinh-pid-254.html</link>
						<comments></comments>
						<pubDate>Sun, 19 May 2019 08:53:34 +0700</pubDate>
						<dc:creator>admin</dc:creator>
						<category><![CDATA[Bệnh thoát vị đĩa đệm]]></category>
						<guid isPermaLink="false"></guid>
						<description><![CDATA[Thoát vị đĩa đệm chèn ép rễ thần kinh (bà con hay gọi chèn dây thần kinh) làm cho đau mông, đau đùi, đau chân, nhiều trường hợp chèn ép gây tê chân nhất là từ cổ chân trở xuống bàn chân và các ngón chân. Đây là trường hợp của bác Quế ở TP.HCM bị thoát vị đĩa đệm chèn ép rễ thần kinh gây nên tê chân rất khó chịu, sau 2 liệu trình điều trị tại phòng khám của lương y Nguyễn Văn Minh, bác Quế kể: &quot;bớt tê chân tới 90%&quot;. Tôi đã xin phép và bác đồng ý cho ghi lại buổi nói chuyện.]]></description>
						<content:encoded><![CDATA[<p style="text-align: justify;"><span style="font-size:18px;">T<em>hoát vị đĩa đệm chèn ép rễ thần kinh (bà con hay gọi chèn dây thần kinh) làm cho đau mông, đau đùi, đau chân, nhiều trường hợp chèn ép gây tê chân nhất là từ cổ chân trở xuống bàn chân và các ngón chân. </em></span></p><p style="text-align: justify;"><span style="font-size:16px;">Bác Quế ở TP. HCM bị thoát vị đĩa đệm cột sống thắt lưng, khối thoát vị chèn ép vào rễ thần kinh làm cho bác đau một bên mông, đau dọc xuống đùi, xuống bắp chân và làm cho tê chân từ cổ&nbsp;chân xuống bàn chân, các ngón chân út và áp út.&nbsp;Trước đây bác Quế có sử dụng thuốc tây giảm đau do bác sĩ ở bệnh viện kê đơn thuốc. Bác Quế kể: Khi&nbsp;uống thuốc tây chân như bị phù, không đỡ nên bác tìm cách trị bệnh bằng đông y. Lương y Nguyễn Văn Minh ở phòng khám đông y Bảo Minh đã được bác Quế tin tưởng tới khám bệnh mua thuốc về uống và thuốc đắp cột sống. Sau 20 ngày điều trị, bác Quế tái khám, bác kể: :bớt tê chân&nbsp;tới 90%&quot;. Phòng khám&nbsp;xin cảm ơn bác Quế đã cho ghi lại cuộc nói chuyện này và bác đồng ý chia sẻ địa chỉ thật của mình đang ở Tp Hồ Chí Minh: số 147 Lý Nam Đế, Phường 7, Quận 11.</span></p><p style="text-align: justify;"><span style="font-size:16px;"><img loading="lazy" alt="Thoát vị đĩa đệm chèn ép rễ thần kinh" src="data:image/gif;base64,R0lGODlhAQABAID/AP///wAAACwAAAAAAQABAAACAkQBADs=" data-src="https://chuabenhthoatvidiadem.vn/resources/images/Thoát vị đĩa đệm gây tê chân.jpg" style="width: 800px; height: 1067px;" class="lazy" width="900" height="1200" data-optimized="1" /></span></p><p style="text-align: justify;"><em><span style="font-size:14px;">Hình ảnh thoát vị đĩa đệm trên phim chụp cộng hưởng từ. Tôi đã xin phép và bác Quế đồng ý chia sẻ.</span></em></p><p style="text-align: justify;"><span style="font-size:16px;"><img loading="lazy" alt="Thoát vị đĩa đệm chèn dây thần kinh" src="data:image/gif;base64,R0lGODlhAQABAID/AP///wAAACwAAAAAAQABAAACAkQBADs=" data-src="https://chuabenhthoatvidiadem.vn/resources/images/MRI thoát vị đĩa đệm lưng.jpg" style="width: 800px; height: 1067px;" class="lazy" width="900" height="1200" data-optimized="1" /></span></p><p style="text-align: justify;"><em><span style="font-size:14px;">Hình ảnh thoát vị đĩa đệm trên phim chụp cộng hưởng từ cột sống thắt lưng của bác Quế.</span></em></p><p style="text-align: justify;"><img loading="lazy" alt="Thoát vị đĩa đệm chèn dây thần kinh" src="data:image/gif;base64,R0lGODlhAQABAID/AP///wAAACwAAAAAAQABAAACAkQBADs=" data-src="https://chuabenhthoatvidiadem.vn/resources/images/Kết quả MRI của bác Quế bị thoát vị đĩa đệm.jpg" style="width: 800px; height: 1033px;" class="lazy" width="929" height="1200" data-optimized="1" /><span style="font-size:14px;"><em>Bác Quế đồng ý chia sẻ kết quả chụp MRI của bác để mọi người tham khảo</em></span></p><p style="text-align: justify;"><span style="font-size:16px;">Mời bạn đọc nhấp vào Video clip dưới nghe câu chuyện chân thực giữa bác Quế và Lương y Nguyễn Văn Minh.</span></p><p><span class="optimize-cls-iframe" data-src="https://www.youtube.com/embed/uPj0mIAp2gw">https://www.youtube.com/embed/uPj0mIAp2gw</span></p><p style="text-align: justify;"><em><span style="font-size:14px;">Tôi xin chân thành cảm ơn bác Trần Quế, đã đồng ý cung cấp thông tin thật, hình ảnh thật và bệnh án&nbsp;thoát vị đĩa đệm của bác&nbsp;để tôi có tư liệu viết bài này. Mục đích giới thiệu cho những ai quan tâm tới&nbsp;cách chữa bệnh thoát vị&nbsp;đĩa đệm bằng đông y ở TP.HCM (*)</span></em></p><p><span style="font-size:14px;">(*) Lưu ý: Tác dụng của thuốc uống, thuốc đắp chữa thoát vị đĩa đệm/ liệu trình điều trị bệnh có thể thay đổi tùy theo cơ địa mỗi nguời</span></p><h2><span style="font-size:18px;">Lương y Nguyễn Văn Minh chữa thoát vị đĩa đệm tại địa chỉ duy nhất: 856/6 Quang Trung, Phường 8, Quận Gò vấp, TP. HCM</span></h2><h2><span style="font-size:18px;">Điện thoại di động, Zalo: 0913503552 - Điện thoại bàn: 028.62951367</span></h2><p><span style="font-size:18px;">Trang web chuyên sâu về bệnh đau cột sống đĩa đệm:</span><span style="font-size:16px;"><a href="https://chuabenhthoatvidiadem.vn/" title="">chuabenhthoatvidiadem.vn</a>&nbsp;</span></p><p><span style="font-size:18px;">Có thể bạn quan tâm:&nbsp;</span></p><p><a data-ctbtn="0" data-cthref="/url?sa=t&amp;rct=j&amp;q=&amp;esrc=s&amp;source=web&amp;cd=&amp;ved=2ahUKEwi6s5GvgvLpAhXkLqYKHSXLCUA4ZBAWMAV6BAgDEAE&amp;url=https%3A%2F%2Fchuabenhthoatvidiadem.vn%2Fcach-chua-benh%2Fthoat-vi-dia-dem-cot-song-that-lung-l4-l5-l5-s1-may-gap-duoc-thay-pid-123.html&amp;usg=AOvVaw2hAWtwem9iorxUXBneY8k8" href="https://www.google.com.vn/url?sa=t&amp;rct=j&amp;q=&amp;esrc=s&amp;source=web&amp;cd=&amp;ved=2ahUKEwi6s5GvgvLpAhXkLqYKHSXLCUA4ZBAWMAV6BAgDEAE&amp;url=https%3A%2F%2Fchuabenhthoatvidiadem.vn%2Fcach-chua-benh%2Fthoat-vi-dia-dem-cot-song-that-lung-l4-l5-l5-s1-may-gap-duoc-thay-pid-123.html&amp;usg=AOvVaw2hAWtwem9iorxUXBneY8k8" rel="noopener" style="color: rgb(102, 0, 153); cursor: pointer; text-decoration-line: none; font-family: arial, sans-serif; font-size: small;" target="_blank" title="">Thoát vị đĩa đệm cột sống thắt lưng L4/L5, L5/S1</a></p><p class="LC20lb DKV0Md" style="box-sizing: border-box; margin: 0px 0px 3px; padding: 4px 0px 0px; border: 0px; outline: 0px; font-size: 20px; vertical-align: baseline; background-image: initial; background-position: initial; background-size: initial; background-repeat: initial; background-attachment: initial; background-origin: initial; background-clip: initial; max-width: 100%; color: rgb(0, 0, 0); font-family: RobotoSlab-Regular, Arial, Helvetica, sans-serif; display: inline-block; line-height: 1.3;"><span style="box-sizing: border-box; margin: 0px; padding: 0px; border: 0px; outline: 0px; font-size: 16px; vertical-align: baseline; background: transparent; max-width: 100%;"><a data-ctbtn="0" data-cthref="/url?sa=t&amp;rct=j&amp;q=&amp;esrc=s&amp;source=web&amp;cd=&amp;ved=2ahUKEwjr5Obq-fHpAhUyw4sBHSOPBAE4FBAWMAR6BAgGEAE&amp;url=https%3A%2F%2Fchuabenhthoatvidiadem.vn%2Fcach-chua-benh%2Fthoat-vi-dia-dem-va-cach-dieu-tri-pid-233.html&amp;usg=AOvVaw3C6SdJpJ-6MgCRc5XONfE_" href="https://www.google.com.vn/url?sa=t&amp;rct=j&amp;q=&amp;esrc=s&amp;source=web&amp;cd=&amp;ved=2ahUKEwjr5Obq-fHpAhUyw4sBHSOPBAE4FBAWMAR6BAgGEAE&amp;url=https%3A%2F%2Fchuabenhthoatvidiadem.vn%2Fcach-chua-benh%2Fthoat-vi-dia-dem-va-cach-dieu-tri-pid-233.html&amp;usg=AOvVaw3C6SdJpJ-6MgCRc5XONfE_" rel="noopener" style="box-sizing: border-box; margin: 0px; padding: 0px; border: 0px; outline: 0px; font-size: small; vertical-align: baseline; background: transparent; color: rgb(102, 0, 153); text-decoration-line: none; transition: all 406ms ease-out 0s; max-width: 100%; cursor: pointer; font-family: arial, sans-serif;" target="_blank" title="">Thoát vị đĩa đệm và cách điều trị</a>&nbsp; &nbsp; &nbsp; &nbsp; &nbsp; &nbsp; &nbsp; &nbsp; &nbsp; &nbsp; &nbsp; &nbsp; &nbsp; &nbsp; &nbsp; &nbsp; &nbsp; &nbsp; &nbsp; &nbsp; &nbsp; &nbsp; &nbsp; &nbsp; &nbsp; &nbsp; &nbsp; &nbsp; &nbsp; &nbsp; &nbsp; &nbsp; &nbsp; &nbsp; &nbsp; &nbsp; &nbsp;&nbsp;</span></p><p class="LC20lb DKV0Md" style="box-sizing: border-box; margin: 0px 0px 3px; padding: 4px 0px 0px; border: 0px; outline: 0px; font-size: 20px; vertical-align: baseline; background-image: initial; background-position: initial; background-size: initial; background-repeat: initial; background-attachment: initial; background-origin: initial; background-clip: initial; max-width: 100%; color: rgb(0, 0, 0); font-family: RobotoSlab-Regular, Arial, Helvetica, sans-serif; display: inline-block; line-height: 1.3;"><span style="box-sizing: border-box; margin: 0px; padding: 0px; border: 0px; outline: 0px; font-size: 16px; vertical-align: baseline; background: transparent; max-width: 100%;"><a data-ctbtn="0" data-cthref="/url?sa=t&amp;rct=j&amp;q=&amp;esrc=s&amp;source=web&amp;cd=&amp;ved=2ahUKEwjr5Obq-fHpAhUyw4sBHSOPBAE4FBAWMAl6BAgJEAE&amp;url=https%3A%2F%2Fchuabenhthoatvidiadem.vn%2Fcach-chua-benh%2Fket-qua-dieu-tri-thoat-vi-dia-dem-cid-2-10.html&amp;usg=AOvVaw1CERIJ0fexNjMSyKGYHCvj" href="https://www.google.com.vn/url?sa=t&amp;rct=j&amp;q=&amp;esrc=s&amp;source=web&amp;cd=&amp;ved=2ahUKEwjr5Obq-fHpAhUyw4sBHSOPBAE4FBAWMAl6BAgJEAE&amp;url=https%3A%2F%2Fchuabenhthoatvidiadem.vn%2Fcach-chua-benh%2Fket-qua-dieu-tri-thoat-vi-dia-dem-cid-2-10.html&amp;usg=AOvVaw1CERIJ0fexNjMSyKGYHCvj" rel="noopener" style="box-sizing: border-box; margin: 0px; padding: 0px; border: 0px; outline: 0px; font-size: small; vertical-align: baseline; background: transparent; color: rgb(102, 0, 153); text-decoration-line: none; transition: all 406ms ease-out 0s; max-width: 100%; cursor: pointer; font-family: arial, sans-serif;" target="_blank" title="">Kết quả điều trị thoát vị đĩa đệm&nbsp;</a>&nbsp; &nbsp; &nbsp; &nbsp; &nbsp; &nbsp; &nbsp; &nbsp; &nbsp; &nbsp; &nbsp; &nbsp; &nbsp; &nbsp; &nbsp; &nbsp; &nbsp; &nbsp; &nbsp; &nbsp; &nbsp; &nbsp; &nbsp; &nbsp; &nbsp; &nbsp; &nbsp;&nbsp; &nbsp; &nbsp; &nbsp; &nbsp;</span></p><p class="LC20lb DKV0Md" style="box-sizing: border-box; margin: 0px 0px 3px; padding: 4px 0px 0px; border: 0px; outline: 0px; font-size: 20px; vertical-align: baseline; background-image: initial; background-position: initial; background-size: initial; background-repeat: initial; background-attachment: initial; background-origin: initial; background-clip: initial; max-width: 100%; color: rgb(0, 0, 0); font-family: RobotoSlab-Regular, Arial, Helvetica, sans-serif; display: inline-block; line-height: 1.3;"><span style="box-sizing: border-box; margin: 0px; padding: 0px; border: 0px; outline: 0px; font-size: 16px; vertical-align: baseline; background: transparent; max-width: 100%;"><a href="https://chuabenhthoatvidiadem.vn/cach-chua-benh/khoi-thoat-vi-dia-dem-cot-song-that-lung-sau-hon-1-thang-dieu-tri-pid-37.html" rel="noopener" style="box-sizing: border-box; margin: 0px; padding: 0px; border: 0px; outline: 0px; font-size: small; vertical-align: baseline; background: transparent; color: rgb(102, 0, 153); text-decoration-line: none; transition: all 406ms ease-out 0s; max-width: 100%; cursor: pointer; font-family: arial, sans-serif;" target="_blank" title="">Khỏi hẳn&nbsp;thoát vị đĩa đệm cột sống thắt lưng&nbsp;</a>&nbsp; &nbsp; &nbsp; &nbsp; &nbsp; &nbsp; &nbsp; &nbsp; &nbsp; &nbsp; &nbsp; &nbsp; &nbsp; &nbsp; &nbsp; &nbsp; &nbsp; &nbsp; &nbsp; &nbsp; &nbsp; &nbsp; &nbsp; &nbsp; &nbsp; &nbsp; &nbsp; &nbsp; &nbsp; &nbsp; &nbsp; &nbsp; &nbsp; &nbsp;</span></p><p class="LC20lb DKV0Md" style="box-sizing: border-box; margin: 0px 0px 3px; padding: 4px 0px 0px; border: 0px; outline: 0px; font-size: 20px; vertical-align: baseline; background-image: initial; background-position: initial; background-size: initial; background-repeat: initial; background-attachment: initial; background-origin: initial; background-clip: initial; max-width: 100%; color: rgb(0, 0, 0); font-family: RobotoSlab-Regular, Arial, Helvetica, sans-serif; display: inline-block; line-height: 1.3;"><span style="box-sizing: border-box; margin: 0px; padding: 0px; border: 0px; outline: 0px; font-size: 16px; vertical-align: baseline; background: transparent; max-width: 100%;"><a href="https://chuabenhthoatvidiadem.vn/cach-chua-benh/vao-google-go-chu-chua-thoat-vi-dia-dem-gap-luong-y-nguyen-van-minh-pid-242.html" rel="noopener" style="box-sizing: border-box; margin: 0px; padding: 0px; border: 0px; outline: 0px; font-size: small; vertical-align: baseline; background: transparent; color: rgb(102, 0, 153); text-decoration-line: none; transition: all 406ms ease-out 0s; max-width: 100%; cursor: pointer; font-family: arial, sans-serif;" target="_blank" title="">Chữa thoát vị đĩa đệm, may gặp thầy gặp thuốc</a>&nbsp; &nbsp; &nbsp; &nbsp; &nbsp; &nbsp; &nbsp; &nbsp; &nbsp; &nbsp; &nbsp; &nbsp; &nbsp; &nbsp; &nbsp; &nbsp;</span></p><p class="LC20lb DKV0Md" style="box-sizing: border-box; margin: 0px 0px 3px; padding: 4px 0px 0px; border: 0px; outline: 0px; font-size: 20px; vertical-align: baseline; background-image: initial; background-position: initial; background-size: initial; background-repeat: initial; background-attachment: initial; background-origin: initial; background-clip: initial; max-width: 100%; color: rgb(0, 0, 0); font-family: RobotoSlab-Regular, Arial, Helvetica, sans-serif; display: inline-block; line-height: 1.3;"><span style="box-sizing: border-box; margin: 0px; padding: 0px; border: 0px; outline: 0px; font-size: 16px; vertical-align: baseline; background: transparent; max-width: 100%;"><a data-ctbtn="0" data-cthref="/url?sa=t&amp;rct=j&amp;q=&amp;esrc=s&amp;source=web&amp;cd=&amp;ved=2ahUKEwjS-LSQ-_HpAhUZyYsBHVN-C8M4WhAWMAl6BAgKEAE&amp;url=https%3A%2F%2Fchuabenhthoatvidiadem.vn%2Fcach-chua-benh%2Fnghe-truc-tiep-nhung-nguoi-duoc-luong-y-minh-chua-khoi-thoat-vi-dia-dem-cid-4-10.html&amp;usg=AOvVaw28G39eaerO2mnfULHUMTao" href="https://www.google.com.vn/url?sa=t&amp;rct=j&amp;q=&amp;esrc=s&amp;source=web&amp;cd=&amp;ved=2ahUKEwjS-LSQ-_HpAhUZyYsBHVN-C8M4WhAWMAl6BAgKEAE&amp;url=https%3A%2F%2Fchuabenhthoatvidiadem.vn%2Fcach-chua-benh%2Fnghe-truc-tiep-nhung-nguoi-duoc-luong-y-minh-chua-khoi-thoat-vi-dia-dem-cid-4-10.html&amp;usg=AOvVaw28G39eaerO2mnfULHUMTao" rel="noopener" style="box-sizing: border-box; margin: 0px; padding: 0px; border: 0px; outline: 0px; font-size: small; vertical-align: baseline; background: transparent; color: rgb(102, 0, 153); text-decoration-line: none; transition: all 406ms ease-out 0s; max-width: 100%; cursor: pointer; font-family: arial, sans-serif;" target="_blank" title="">Nghe trực tiếp những người được lương y Minh chữa khỏi bệnh</a></span></p>]]></content:encoded>
						<wfw:commentRss></wfw:commentRss>
						<slash:comments>0</slash:comments>
					</item>
				
					<item>
						<title>Thoái hóa cột sống thắt lưng, gai đốt sống, thoát vị đĩa đệm, có chữa được không?</title>
						<link>https://chuabenhthoatvidiadem.vn/bai-viet/nghe-truc-tiep-nhung-nguoi-duoc-luong-y-minh-chua-khoi-thoat-vi-dia-dem/thoai-hoa-cot-song-that-lung-gai-dot-song-thoat-vi-dia-dem-co-chua-duoc-khong-pid-138.html</link>
						<comments></comments>
						<pubDate>Sun, 10 Dec 2017 08:43:38 +0700</pubDate>
						<dc:creator>admin</dc:creator>
						<category><![CDATA[Nghe trực tiếp những người được lương y Minh chữa khỏi thoát vị đĩa đệm ]]></category>
						<guid isPermaLink="false"></guid>
						<description><![CDATA[Chụp MRI phát hiện: Thoái hóa cột sống thắt lưng, gai đốt sống, thoái hóa mất nước đĩa đệm thắt lưng, thoát vị đĩa đệm có chữa được không? Nhiều người thấy kết luận như vậy thường lo lắng, sợ bệnh cột sống như vậy không chữa được. Hãy xem lương y có trên 20 năm kinh nghiệm chữa bệnh cột sống chỉ cách chữa.]]></description>
						<content:encoded><![CDATA[<h2 style="text-align: justify;"><span style="font-size:16px;">Chụp MRI phát hiện: Thoái hóa cột sống thắt lưng, gai thoái hóa các đốt sống thắt lưng, thoái hóa mất nước đĩa đệm thắt lưng, thoát vị đĩa đệm tầng L4L5 ra sau #5mm, liệu&nbsp;có chữa được không? Nhiều người thấy bác sĩ kết luận như vậy thường lo lắng, sợ bệnh cột sống như vậy không chữa được. Hãy xem lương y có trên 20 năm kinh nghiệm chữa bệnh cột sống nói chuyện dưới đây:</span></h2><p><a href="https://chuabenhthoatvidiadem.vn/resources/files/Tho_i_040_ph_c_tv_h_c_m_n.mp3" title="">Nhấp vào đây nghe anh Phúc thông báo hết đau thắt lưng.mp3</a></p><p><img loading="lazy" alt="" src="data:image/gif;base64,R0lGODlhAQABAID/AP///wAAACwAAAAAAQABAAACAkQBADs=" data-src="https://chuabenhthoatvidiadem.vn/resources/images/20170528_163557.jpg" style="width: 737px; height: 589px;" class="lazy" width="737" height="589" data-optimized="1" /></p><h2 style="text-align: justify;"><span style="font-size:16px;">Hơn 20&nbsp;năm chữa bệnh đau&nbsp;cột sống bởi: thoát vị đĩa đệm,&nbsp;thoái hóa cột sống, gai cột sống. Tôi đã đúc rút cho mình rất nhiều kinh nghiệm trong việc điều trị các chứng đau cột sống. Nhiều người được tôi chữa khỏi cách nay đã&nbsp;lâu, khi gặp lại họ đều thông báo: &quot;Thầy chữa cho em&nbsp;khỏi bệnh&nbsp;thoát vị đĩa đệm, thuốc của thầy hay quá,&nbsp;lâu rồi&nbsp;em&nbsp;không thấy đau lại&quot; (*)</span></h2><h4 style="text-align: justify;"><span style="font-size:16px;">Tôi xin chân thành cảm ơn nhiều quý bệnh nhân đã động viên, khích lệ&nbsp;và đồng ý cho tôi chia sẻ bệnh án cũng như mức độ khỏi bệnh của mình&nbsp;tại&nbsp;trang web này, để tôi phổ biến rộng rãi hơn nữa cách chữa bệnh bằng thuốc đông y.&nbsp;</span></h4><h2 class="hd" style="position: absolute; width: 1px; height: 1px; top: -1000em; overflow: hidden; color: rgb(34, 34, 34); font-family: arial, sans-serif;">Kết quả tìm kiếm</h2><div data-async-context="query:lương y Nguyễn Văn Minh" id="ires" style="margin-top: 6px; color: rgb(34, 34, 34); font-family: arial, sans-serif; font-size: medium;"><div eid="L1AtWqvpGsWC8gWLyK6ABw" id="rso"><div class="_NId"><div class="srg"><div class="g" style="line-height: 1.2; font-size: small; margin-top: 0px; margin-bottom: 26px;"><div data-hveid="35" data-ved="0ahUKEwjrvJ_m3v_XAhVFgbwKHQukC3AQFQgjKAAwAA"><div class="rc" style="position: relative;"><h3 class="r" style="font-size: 18px; margin: 0px; padding: 0px; overflow: hidden; text-overflow: ellipsis; white-space: nowrap;"><span style="font-size:16px;"><a href="https://www.youtube.com/channel/UCMrl47bRL4MgAguyRi48mEw" style="color: rgb(102, 0, 153); cursor: pointer; text-decoration-line: none;" target="_blank" title="">Lương y Nguyễn Văn Minh - Thầy thuốc chữa thoát vị đĩa đệm tại Sài Gòn</a></span></h3><p><span style="color: rgb(0, 0, 0); font-family: RobotoSlab-Regular, Arial, Helvetica, sans-serif; font-size: 16px;">(*) &nbsp; &quot;Lưu ý: tác dụng của bài thuốc chữa thoát vị đĩa đệm/ nhanh hay chậm có thể thay đổi tùy&nbsp;tình trạng bệnh mỗi nguời&quot;</span></p><h5 style="box-sizing: border-box; margin: 0px 0px 10px; padding: 0px; border: 0px; outline: 0px; font-size: 16px; vertical-align: baseline; background-image: initial; background-position: initial; background-size: initial; background-repeat: initial; background-attachment: initial; background-origin: initial; background-clip: initial; max-width: 100%; color: rgb(0, 0, 0); font-family: RobotoSlab-Regular, Arial, Helvetica, sans-serif;"><span style="font-size:16px;"><span font-size:="" style="color: rgb(51, 51, 51); font-family: sans-serif, Arial, Verdana, " trebuchet="">Phòng khám lương y Nguyễn Văn&nbsp;Minh: 856/6 Quang Trung, Gò Vấp, Tp.HCM.</span></span></h5><p><span style="background-color: transparent; color: rgb(0, 0, 0); font-family: RobotoSlab-Regular, Arial, Helvetica, sans-serif; font-size: 16px; text-align: justify;">Nội dung&nbsp;về cách trị bệnh thoát vị đĩa đệm ở trang web:&nbsp;</span></p><p style="box-sizing: border-box; margin: 0px 0px 10px; padding: 0px; border: 0px; outline: 0px; font-size: 16px; vertical-align: baseline; background-image: initial; background-position: initial; background-size: initial; background-repeat: initial; background-attachment: initial; background-origin: initial; background-clip: initial; max-width: 100%; color: rgb(0, 0, 0); font-family: RobotoSlab-Regular, Arial, Helvetica, sans-serif; text-align: justify;"><a data-saferedirecturl="https://www.google.com/url?q=https://chuabenhthoatvidiadem.vn/&amp;source=gmail&amp;ust=1567734487819000&amp;usg=AFQjCNHBa-rYwcCg4HXdGWY86WK7LqDA5w" href="https://chuabenhthoatvidiadem.vn/" style="color: rgb(17, 85, 204); box-sizing: border-box; margin: 0px; padding: 0px; border: 0px; outline: 0px; font-size: 19.2px; vertical-align: baseline; background: transparent; text-decoration-line: none; transition: all 406ms ease-out 0s; max-width: 100%; font-family: Arial, Helvetica, sans-serif;" target="_blank" title="">chuabenhthoatvidiadem.vn</a>, được<span style="box-sizing: border-box; margin: 0px; padding: 0px; border: 0px; outline: 0px; vertical-align: baseline; background: transparent; max-width: 100%;">&nbsp;<a href="https://www.youtube.com/channel/UCMrl47bRL4MgAguyRi48mEw" rel="noopener" style="color: rgb(102, 0, 153); box-sizing: border-box; margin: 0px; padding: 0px; border: 0px; outline: 0px; font-size: small; vertical-align: baseline; background: transparent; text-decoration-line: none; transition: all 406ms ease-out 0s; max-width: 100%; white-space: nowrap; cursor: pointer; font-family: arial, sans-serif;" target="_blank" title="">Lương y Nguyễn Văn Minh</a>&nbsp;đúc rút&nbsp;từ kinh nghiệm hơn 20 năm&nbsp;trị bệnh,&nbsp;không tự ý sao chép khi chưa được sự đồng ý của lương y.</span></p></div></div></div></div></div></div></div>]]></content:encoded>
						<wfw:commentRss></wfw:commentRss>
						<slash:comments>0</slash:comments>
					</item>
				
					<item>
						<title>Thoát vị đĩa đệm cột sống thắt lưng L4/L5 - Xem cách trị hết bệnh của Lương y trên 20 năm kinh nghiệm.</title>
						<link>https://chuabenhthoatvidiadem.vn/bai-viet/ket-qua-dieu-tri-thoat-vi-dia-dem/thoat-vi-dia-dem-cot-song-that-lung-l4-l5-xem-cach-tri-het-benh-cua-luong-y-tren-20-nam-kinh-nghiem-pid-124.html</link>
						<comments></comments>
						<pubDate>Tue, 05 Dec 2017 05:44:05 +0700</pubDate>
						<dc:creator>admin</dc:creator>
						<category><![CDATA[Kết quả điều trị thoát vị đĩa đệm]]></category>
						<guid isPermaLink="false"></guid>
						<description><![CDATA[Cách chữa thoát vị đĩa đệm L4 L5; chữa hết đau, hết nhức bằng phương pháp đông y. Đây là cách chữa của Lương y Nguyễn Văn Minh ở phòng khám đông y Bảo Minh. Cách chữa này đã chữa cho nhiều người hết bệnh, giúp họ không phải phẫu thuật đĩa đệm cột sống. Phòng khám chỉ chia sẻ ý kiến phản hồi khi quý khách đồng ý, sau này quý khách nào không muốn chia sẻ ở đây nữa, chúng tôi sẽ gỡ bài đăng xuống. Xin trân trọng cảm ơn quý khách.]]></description>
						<content:encoded><![CDATA[<h2 style="text-align: justify;"><span style="font-size:16px;">Cách chữa&nbsp;thoát vị đĩa đệm L4 L5;&nbsp;chữa&nbsp;hết đau, hết nhức&nbsp;bằng phương pháp đông y. Đây là cách chữa&nbsp;của Lương y Nguyễn Văn Minh ở phòng khám đông y Bảo Minh. </span></h2><p><a title="" href="https://chuabenhthoatvidiadem.vn/resources/files/Ghi âm cuộc gọi Đoan Trang Nhật Yến 90 TV Nặng 1_ 24_240312_090339 (1).mp3">Cách chữa thoát vị đĩa đệm L4 L5</a></p><p style="text-align: justify;"><span style="font-size:16px;">Ai&nbsp;bị thoát vị đĩa đệm L4-5&nbsp;nặng.&nbsp;Chèn ép nặng nghách bên, hẹp nặng ống sống L4-5. Đau nhức nhiều, uống thuốc tây giảm đau; kháng viêm, giãn cơ&nbsp;mãi chưa hết bệnh.&nbsp;Nên nghe hết nội dung câu chuyện&nbsp;giữa Lương y Nguyễn Văn Minh và chị Đoàn Trang Nhật Yến ở trên.</span></p><p style="text-align: justify;"><span style="font-size:16px;">Sau khi chữa bớt đau nhức nhiều,&nbsp;chị Yến&nbsp;đồng ý chia sẻ bệnh án, phản hồi về cách&nbsp;chữa thoát vị đĩa đệm&nbsp;ở trang web này. Phòng khám&nbsp;c</span><span style="font-size: 16px; text-align: justify;">hân thành</span><span style="font-size: 16px; text-align: justify;">&nbsp;cảm ơn chị Đoàn Trang Nhật Yến ở Bà Rịa Vũng Tàu.</span></p><p style="text-align: justify;"><span style="font-size:16px;">Cách chữa này đã chữa cho nhiều người hết bệnh, giúp họ không phải phẫu thuật đĩa đệm cột sống. Chúng tôi chỉ đăng thông tin,&nbsp;</span><span style="font-size: 16px; text-align: justify;">phản hồi ý kiến ở đây</span><span style="font-size:16px;"> khi quý khách đồng ý. Sau này, quý khách nào không muốn chia sẻ ở đây nữa, chúng tôi sẽ gỡ bài đăng xuống. Xin trân trọng cảm ơn quý khách.</span></p><h4 style="text-align: justify;"><span style="font-size: 16px; text-align: justify;">Quý khách tham khảo&nbsp;hình ảnh thoát vị đĩa đệm L4-5.&nbsp;Kết quả kết quả chụp cộng hưởng từ MRI của chị Yến dưới đây.&nbsp;</span></h4><p style="text-align: justify;"><img loading="lazy" alt="Hình ảnh thoát vị đĩa đệm L4 L5" src="data:image/gif;base64,R0lGODlhAQABAID/AP///wAAACwAAAAAAQABAAACAkQBADs=" data-src="https://chuabenhthoatvidiadem.vn/resources/images/Hình ảnh thoát vị đĩa đệm L4 L5(1).jpg" style="height: 1200px; opacity: 0.9; font-size: 16px; width: 676px;" class="lazy" width="676" height="1200" data-optimized="1" /></p><h3 style="text-align: justify;"><em><span style="font-size: 14px;">Hình ảnh thoát vị đĩa đệm L4 L5.&nbsp;</span></em></h3><p style="text-align: justify;"><img loading="lazy" alt="Thoát vị đĩa đệm L4 L5" src="data:image/gif;base64,R0lGODlhAQABAID/AP///wAAACwAAAAAAQABAAACAkQBADs=" data-src="https://chuabenhthoatvidiadem.vn/resources/images/Thoát vị đĩa đệm L4 L5 (2)(2).jpg" style="width: 852px; height: 1200px;" class="lazy" width="852" height="1200" data-optimized="1" /></p><p style="text-align: justify;"><span style="font-size:14px;"><em>Bác sĩ cộng hưởng từ kết luận: Thoát vị đĩa đệm L4-5 có mảnh lớn ra sau trung tâm, chèn ép nặng nghách bên và rễ L5 hai bên, chèn ép chùm đuôi ngựa, hẹp nặng ống sống L4-5, chưa hẹp lỗ liên hợp. Thoái hóa xương dưới sụn thân sống L4-5. Thoái hóa mất nước đĩa đệm L3-$, L4-5. Lồi nhẹ vòng xơ đĩa đệm L3-4 ra sau trung tâm, chèn ép bao màng cứng.</em></span></p><p style="text-align: justify;"><span style="color: rgb(0, 0, 0); font-family: RobotoSlab-Regular, Arial, Helvetica, sans-serif; font-size: 16px;">Đông y lý giải căn bệnh&nbsp;thoát vị đĩa đệm là do lúc chính khí cơ thể&nbsp;suy yếu, các tà khí như; phong, hàn, thấp, nhiệt xâm phạm vào&nbsp;cơ thể, chúng ẩn nấp vào gân cơ, khớp xương, kinh lạc làm sự vận hành của khí huyết bị tắc nghẽn, gây nên các triệu chứng đau nhức, tê bì, chân tay yếu mỏi. Gốc bệnh là do hai tạng can và thận hư yếu hoặc bệnh lâu ngày làm khí huyết giảm sút dẫn đến can, thận bị hư tổn. Thận yếu không chủ được cốt tủy, can huyết hư không nuôi dưỡng được gân làm xương khớp, đĩa đệm bị thoái hóa mất nước, bao xơ dây mất độ đàn hồi, thiếu dẻo dai không chắc chắn rất dễ bị thoát vị đĩa đệm.</span></p><p style="text-align: justify;"><span style="color: rgb(0, 0, 0); font-family: RobotoSlab-Regular, Arial, Helvetica, sans-serif; font-size: 16px;">Đông y chữa thoát vị đĩa đệm là chữa vào gốc bệnh; thuốc&nbsp;có tác dụng bồi bổ can thận, vì thận chủ cốt tủy (hệ xương khớp trong cơ thể), can chủ cân (hệ gân cơ dây chằng). Khi hai tạng can và thận khỏe mạnh thì xương khớp vững chắc, gân cơ dây chằng bền chặt chắc chắn. Ngoài tác dụng bổ can thận, thì bài thuốc chữa thoát vị đĩa đệm còn có tác dụng hoạt huyết trừ ứ (tiêu trừ huyết ứ do đĩa đệm bị rách bao xơ, mảnh rời&nbsp;</span><span style="color: rgb(0, 0, 0); font-family: RobotoSlab-Regular, Arial, Helvetica, sans-serif; font-size: 16px; text-align: justify;">nhân nhầy</span><span style="color: rgb(0, 0, 0); font-family: RobotoSlab-Regular, Arial, Helvetica, sans-serif; font-size: 16px;">&nbsp;thoát ra ngoài). Bài thuốc cũng có những vị thuốc tốt nhất&nbsp;chữa vết thương bên trong cơ thể, làm lành bao xơ phục hồi đĩa đệm cột sống.</span></p><p><span style="color: rgb(0, 0, 0); font-family: RobotoSlab-Regular, Arial, Helvetica, sans-serif; font-size: 16px;">Xem thêm;</span></p><h3><span style="font-size:16px;"><a data-ved="2ahUKEwjr1a6PhpuFAxUEqVYBHaiSA-84UBAWegQIBRAB" href="https://chuabenhthoatvidiadem.vn/cach-chua-benh/thay-thuoc-chua-thoat-vi-dia-dem-o-go-vap-thay-thuoc-10-that-pid-313.html" jsname="UWckNb" ping="/url?sa=t&amp;source=web&amp;rct=j&amp;opi=89978449&amp;url=https://chuabenhthoatvidiadem.vn/cach-chua-benh/thay-thuoc-chua-thoat-vi-dia-dem-o-go-vap-thay-thuoc-10-that-pid-313.html&amp;ved=2ahUKEwjr1a6PhpuFAxUEqVYBHaiSA-84UBAWegQIBRAB" style="box-sizing: border-box; margin: 0px; padding: 0px; border: 0px; outline: 0px; font-size: small; vertical-align: baseline; background-image: initial; background-position: initial; background-size: initial; background-repeat: initial; background-attachment: initial; background-origin: initial; background-clip: initial; color: rgb(26, 13, 171); text-decoration-line: none; transition: all 406ms ease-out 0s; max-width: 100%; -webkit-tap-highlight-color: rgba(0, 0, 0, 0.1); font-family: arial, sans-serif;" title="">Chữa thoát vị đĩa đệm ở Gò Vấp.&nbsp;thầy thuốc công bố&nbsp;mười sự&nbsp;thật.</a></span></h3><p style="text-align: justify;"><span style="font-size:16px;"><span style="text-align: justify;">Anh Lê Hồng Phúc ở TP.HCM bị thoát vị đĩa đệm cột sống thắt lưng L4/L5, có kích thước #5mm. Sau 2 liệu trình điều trị tại phòng khám của Lương y Nguyễn Văn Minh, kết hợp giữa uống thuốc và đắp thuốc chữa thoát vị, anh Phúc đã&nbsp;hết những triệu chứng thoát vị đĩa đệm. Gần năm sau&nbsp;lương y Minh&nbsp;gọi điện hỏi thăm, anh Phúc thông báo không bị tái phát&nbsp;những triệu chứng đau lưng do thoát vị đĩa đệm nữa. Anh phúc còn kể đã đưa mẹ anh tới khám bệnh cột sống tại phòng khám của lương y Minh.</span></span></p><p><span style="font-size:16px;"><img loading="lazy" alt="Thoát vị đĩa đệm L4 L5" src="data:image/gif;base64,R0lGODlhAQABAID/AP///wAAACwAAAAAAQABAAACAkQBADs=" data-src="https://chuabenhthoatvidiadem.vn/resources/images/Thoat vi dia dem L4 l5.jpg" style="width: 800px; height: 986px;" class="lazy" width="915" height="1128" data-optimized="1" /><em><span style="font-size:14px;">Thoát vị đĩa đệm L4 L5 trên phim chụp MRI cột sống</span></em></span></p><p><img loading="lazy" alt="Thoat vi dia dem l4l5" src="data:image/gif;base64,R0lGODlhAQABAID/AP///wAAACwAAAAAAQABAAACAkQBADs=" data-src="https://chuabenhthoatvidiadem.vn/resources/images/20170528_163557.jpg" style="width: 737px; height: 589px;" class="lazy" width="737" height="589" data-optimized="1" /></p><p><span style="font-size:16px;">Được sự đồng ý của anh Phúc, nhà thuốc&nbsp;chúng tôi xin được chia sẻ cuộc nói chuyện rất chân thực này.&nbsp;Mời quý bạn đọc bấm vào mũi tên dưới đây để nghe anh Phúc thông báo.</span></p><p><a href="https://chuabenhthoatvidiadem.vn/resources/files/Tho_i_040_ph_c_tv_h_c_m_n.mp3" title="">https://chuabenhthoatvidiadem.vn/.mp3</a></p><p><span style="font-size:16px;">Anh Phúc không ngần ngại cho bạn đọc biết cả địa chỉ anh đang sinh sống tại TP.HCM: 47/8k ấp Chánh 1, xã Tân Xuân, huyện Hóc Môn. Nhà thuốc xin chân thành cảm ơn tấm lòng tốt của anh Phúc (*)</span></p><p style="text-align: justify;"><span style="font-size: 16px;">Mời quý khách xem thêm kết quả chụp MRI của bác Trần Quế 67 tuổi (bác Quế chụp MRI năm 2018). Đến năm 2023 bác Quế thấy&nbsp;đau nhức trở lại nhưng mức độ nhẹ, bác&nbsp;quay lại phòng khám mua thêm thuốc uống. Bác đồng ý chia sẻ bệnh án thoát vị đĩa đệm, địa chỉ bác đang ở TP.HCM.&nbsp;Bác cho ghi hình lại nội dung câu&nbsp;chuyện giữa bác và Lương y Nguyễn Văn Minh tại phòng khám đông y Bảo Minh. Phòng khám xin trân trọng biết ơn bác.</span></p><p><em style="font-size: 14px;"><img loading="lazy" alt="Thoát vị đĩa đệm L4-L5" src="data:image/gif;base64,R0lGODlhAQABAID/AP///wAAACwAAAAAAQABAAACAkQBADs=" data-src="https://chuabenhthoatvidiadem.vn/resources/images/Thầy thuốc chữa thoát vị đĩa đệm(1).jpg" style="height: 1200px; opacity: 0.9; width: 806px;" class="lazy" width="806" height="1200" data-optimized="1" /></em></p><p><span class="optimize-cls-iframe" data-src="https://www.youtube.com/embed/qK3Ka45mths">https://www.youtube.com/embed/qK3Ka45mths</span></p><p><span style="font-size:16px;">Có thể bạn chưa xem:</span></p><p><span style="font-size:16px;">-&nbsp;<a href="https://chuabenhthoatvidiadem.vn/cach-chua-benh/khoi-thoat-vi-dia-dem-cot-song-that-lung-sau-hon-1-thang-dieu-tri-pid-37.html" style="color: rgb(102, 0, 153); cursor: pointer; text-decoration-line: none;" target="_blank" title="">Bà Hảo kể lại đã chữa khỏi thoát vị đĩa đệm như thế nào.</a></span></p><p><span style="font-size:16px;">-&nbsp;<a href="https://chuabenhthoatvidiadem.vn/cach-chua-benh/dia-chi-chua-benh-thoat-vi-dia-dem-pid-73.html" style="color: rgb(102, 0, 153); cursor: pointer;" target="_blank" title="">Địa chỉ nhà thuốc&nbsp;chữa thoát vị đĩa đệm&nbsp;ở Tp Hồ Chí Minh</a></span></p><h4 style="text-align: justify;"><span style="font-size: 16px;">Quý khách nào bị thoát vị đĩa đệm L4-5, đã chữa nhiều cách mà chưa hết đau, chưa hết nhức. Hãy gửi kết luận&nbsp;thoát vị đĩa đệm L4-5 qua Zalo của thầy thuốc chữa thoát vị đĩa đệm: 0913503552. Quý khách sẽ nhận được lời tư vấn tốt nhất, về cách chữa bệnh hết đau nhức tê bì do thoát vị đĩa đệm cột sống gây nên.</span></h4><p><em><span style="font-size:14px;"><img loading="lazy" alt="Thoát vị đĩa đệm L4-L5" src="data:image/gif;base64,R0lGODlhAQABAID/AP///wAAACwAAAAAAQABAAACAkQBADs=" data-src="https://chuabenhthoatvidiadem.vn/resources/images/Thoát vị đĩa đệm L4 L5(3).jpg" style="width: 899px; height: 1200px;" class="lazy" width="899" height="1200" data-optimized="1" /></span></em></p><p><span style="font-size:14px;"><em>Thoát vị đĩa đệm L4 L5 ra sau #4mm dạng trung tâm, chèn ép rễ thần kinh L4 hai bên.</em></span></p><p><span style="font-size:16px;">Có thể bạn quan tâm;</span></p><p><span style="font-size:16px;"><a data-ved="2ahUKEwj94eeKyIGAAxUNU94KHef4CXY4MhAWegQIEBAB" href="https://chuabenhthoatvidiadem.vn/cach-chua-benh/giay-phep-kham-chua-benh-cua-luong-y-nguyen-van-minh-pid-30.html" jsaction="rcuQ6b:npT2md" jscontroller="M9mgyc" jsname="qOiK6e" ping="/url?sa=t&amp;source=web&amp;rct=j&amp;opi=89978449&amp;url=https://chuabenhthoatvidiadem.vn/cach-chua-benh/giay-phep-kham-chua-benh-cua-luong-y-nguyen-van-minh-pid-30.html&amp;ved=2ahUKEwj94eeKyIGAAxUNU94KHef4CXY4MhAWegQIEBAB" style="color: rgb(26, 13, 171); text-align: justify; background: transparent; box-sizing: border-box; margin: 0px; padding: 0px; border: 0px; outline: 0px; font-size: small; vertical-align: baseline; text-decoration-line: none; transition: all 406ms ease-out 0s; max-width: 100%; -webkit-tap-highlight-color: rgba(0, 0, 0, 0.1); font-family: arial, sans-serif;" title="">Giấy phép khám chữa bệnh&nbsp;y học cổ truyền sử dụng thuốc&nbsp;đông y</a></span></p><div class="kb0PBd cvP2Ce A9Y9g jGGQ5e" data-snf="x5WNvb" data-snhf="0" style="flex: 1 1 100%; min-width: 0px; contain: layout paint; overflow: hidden; color: rgb(32, 33, 36); font-family: arial, sans-serif; font-size: 14px;"><div class="yuRUbf" style="font-size: small; line-height: 1.58;"><div class="notranslate HGLrXd NJjxre iUh30 ojE3Fb" style="font-size: 12px; line-height: 1.3; padding: 0px; display: inline-block; text-size-adjust: none; position: absolute; left: 0px; top: 0px; width: 600px;"><div class="q0vns" style="display: flex; padding: 0px; overflow: hidden; align-items: center;"><div aria-hidden="true" class="eqA2re UnOTSe Vwoesf" style="vertical-align: middle; display: inline-block;"><span jsaction="rcuQ6b:npT2md;PYDNKe:bLV6Bd;mLt3mc" jscontroller="msmzHf"><a title="" data-ved="2ahUKEwiY2bCIk7CGAxVUoK8BHWl-Doc4ChAWegQICBAB" href="https://chuabenhthoatvidiadem.vn/cach-chua-benh/thuoc-tri-thoat-vi-dia-dem-pid-324.html" jsname="UWckNb" ping="/url?sa=t&amp;source=web&amp;rct=j&amp;opi=89978449&amp;url=https://chuabenhthoatvidiadem.vn/cach-chua-benh/thuoc-tri-thoat-vi-dia-dem-pid-324.html&amp;ved=2ahUKEwiY2bCIk7CGAxVUoK8BHWl-Doc4ChAWegQICBAB" style="color: var(--JKqx2); text-decoration-line: none; -webkit-tap-highlight-color: rgba(0, 0, 0, 0.1); outline: 0px;"><span class="DDKf1c" style="margin-right: 12px;"><img alt="" class="XNo5Ab" src="data:image/png;base64,iVBORw0KGgoAAAANSUhEUgAAABwAAAAcCAMAAABF0y+mAAAAwFBMVEVHcExajqBplKZWe4dmlaet0dpReIS0tLRhjqFWk6hzjpmLrWdKb4Vox1O4UmBJeo1Mf5VBd41RhptDe5a5ydA9ang5dZOXrrmjt8A0cI6uvcJYiqBJgpjJzmyqVWHw6lnEpnHV12n/90yel37f3WJiiZRvhoZxiZSKkIO0n3SWW2t3lYmjtX5IcHpydYjI1dtfg5C5xHdbfYp+obGKpYmHbX2LoallfZFwmKnZrmm7PUeYkJyve4TlKQCC4QCG1npm/ZY6AAAAD3RSTlMA2WlbWAmgAZ2n0PTP6OPAwHC+AAABvElEQVQokY2S2XKjMBREjTfANTNCC0hA2HdssMFr7Ery/381VwQ7TuUl/Sad6r6LNJn8TnNdUZSVPv9JFnpL6tb3/brN9MV3Ns3gur/cbkXdXuvz9JnpR7++MSb2e+6wi39t9SdW+0cmrC6I16i3OWuvxwedkvNxa1C67gIbl0mCWXEmY/LCJWSLDSNL49TGYZ7nmBHifnalkRdGDIAHr7MQyl9DhBxKtAG65CKoYdBDFHsS9mFl84y4w+xgBAY6RJGNEK7KCmHHJPMxFRulrBnECIRRVdqO2chc5ewKSkMwWwcvHazg5Kj5A/Df2wen9BVgFqTxGiNkJTne+29/JXz/4OUulEWtjRfYQzDAdwkV4gorLIDRdeQF0ooesUNDNEzKtUG7IJDTINmtuXyMQkOoSjeb9AvO7kuwaBlKGMWxNaTuzOaxviSxEgm7YQ/IGFOHxb9s8yrZQbfpsEHMTLMZv8Mc3mBLrB2NgijKMTZYYzaz+4NqBJIFxbYX2zbmkNksJ+oz7R0mOHwT0RenseD9W7pgLUC77OQIPntmE1XVuBBcsC0/nTR18kNzbaWsVktwqV+eUZ+Hb1f/AaCSOMIlgm/GAAAAAElFTkSuQmCC" style="border: 1px solid rgb(218, 220, 224); background-color: rgb(241, 243, 244); border-radius: 50%; display: block; height: 26px; width: 26px;" /></span></a></span></div><div class="CA5RN" style="overflow: hidden;"><div><span jsaction="rcuQ6b:npT2md;PYDNKe:bLV6Bd;mLt3mc" jscontroller="msmzHf"><a title="" data-ved="2ahUKEwiY2bCIk7CGAxVUoK8BHWl-Doc4ChAWegQICBAB" href="https://chuabenhthoatvidiadem.vn/cach-chua-benh/thuoc-tri-thoat-vi-dia-dem-pid-324.html" jsname="UWckNb" ping="/url?sa=t&amp;source=web&amp;rct=j&amp;opi=89978449&amp;url=https://chuabenhthoatvidiadem.vn/cach-chua-benh/thuoc-tri-thoat-vi-dia-dem-pid-324.html&amp;ved=2ahUKEwiY2bCIk7CGAxVUoK8BHWl-Doc4ChAWegQICBAB" style="color: var(--JKqx2); text-decoration-line: none; -webkit-tap-highlight-color: rgba(0, 0, 0, 0.1); outline: 0px;"><span class="VuuXrf" style="font-size: 14px; display: block; line-height: 20px; text-wrap: nowrap;">chuabenhthoatvidiadem.vn</span></a></span></div><div class="byrV5b" style="align-items: center; display: flex; flex-direction: row;"><span jsaction="rcuQ6b:npT2md;PYDNKe:bLV6Bd;mLt3mc" jscontroller="msmzHf"><a title="" data-ved="2ahUKEwiY2bCIk7CGAxVUoK8BHWl-Doc4ChAWegQICBAB" href="https://chuabenhthoatvidiadem.vn/cach-chua-benh/thuoc-tri-thoat-vi-dia-dem-pid-324.html" jsname="UWckNb" ping="/url?sa=t&amp;source=web&amp;rct=j&amp;opi=89978449&amp;url=https://chuabenhthoatvidiadem.vn/cach-chua-benh/thuoc-tri-thoat-vi-dia-dem-pid-324.html&amp;ved=2ahUKEwiY2bCIk7CGAxVUoK8BHWl-Doc4ChAWegQICBAB" style="color: var(--JKqx2); text-decoration-line: none; -webkit-tap-highlight-color: rgba(0, 0, 0, 0.1); outline: 0px;"><cite class="qLRx3b tjvcx GvPZzd cHaqb" role="text" style="color: rgb(77, 81, 86); font-style: normal; overflow: hidden; text-overflow: ellipsis; text-wrap: nowrap; line-height: 18px;">https://chuabenhthoatvidiadem.vn<span class="ylgVCe ob9lvb" role="text">&nbsp;&rsaquo; cach-chua-benh &rsaquo; t.</span></cite></a></span></div></div></div></div></div></div><p style="box-sizing: border-box; margin: 0px 0px 10px; padding: 0px; border: 0px; outline: 0px; font-size: 16px; vertical-align: baseline; background-image: initial; background-position: initial; background-size: initial; background-repeat: initial; background-attachment: initial; background-origin: initial; background-clip: initial; max-width: 100%; color: rgb(0, 0, 0); font-family: RobotoSlab-Regular, Arial, Helvetica, sans-serif; text-align: justify;">Trang web:</p><p style="box-sizing: border-box; margin: 0px 0px 10px; padding: 0px; border: 0px; outline: 0px; font-size: 16px; vertical-align: baseline; background-image: initial; background-position: initial; background-size: initial; background-repeat: initial; background-attachment: initial; background-origin: initial; background-clip: initial; max-width: 100%; color: rgb(0, 0, 0); font-family: RobotoSlab-Regular, Arial, Helvetica, sans-serif; text-align: justify;">&nbsp;<a class="xFAlBc" font-size:="" helvetica="" href="https://thoatvidiadem.top/" ping="/url?sa=t&amp;source=web&amp;rct=j&amp;url=https://thoatvidiadem.top/&amp;ved=2ahUKEwjazZPK5OiAAxVHpVYBHQccCIcQhAd6BAhbEAE&amp;opi=89978449" style="box-sizing: border-box; margin: 0px; padding: 0px; border: 0px; outline: 0px; vertical-align: baseline; background: transparent; color: rgb(26, 13, 171); text-decoration-line: none; transition: all 406ms ease-out 0s; max-width: 100%; -webkit-tap-highlight-color: rgba(0, 0, 0, 0.1); overflow-wrap: break-word; word-break: break-word;" title="">thoatvidiadem.top</a>&nbsp;</p><p style="box-sizing: border-box; margin: 0px 0px 10px; padding: 0px; border: 0px; outline: 0px; font-size: 16px; vertical-align: baseline; background-image: initial; background-position: initial; background-size: initial; background-repeat: initial; background-attachment: initial; background-origin: initial; background-clip: initial; max-width: 100%; color: rgb(0, 0, 0); font-family: RobotoSlab-Regular, Arial, Helvetica, sans-serif; text-align: justify;"><a class="xFAlBc" font-size:="" helvetica="" href="https://chuabenhthoatvidiadem.vn/" ping="/url?sa=t&amp;source=web&amp;rct=j&amp;url=https://chuabenhthoatvidiadem.vn/&amp;ved=2ahUKEwjazZPK5OiAAxVHpVYBHQccCIcQ6156BAhFEAE&amp;opi=89978449" style="box-sizing: border-box; margin: 0px; padding: 0px; border: 0px; outline: 0px; vertical-align: baseline; background: transparent; color: rgb(26, 13, 171); text-decoration-line: none; transition: all 406ms ease-out 0s; max-width: 100%; -webkit-tap-highlight-color: rgba(0, 0, 0, 0.1); overflow-wrap: break-word; word-break: break-word;" title="">chuabenhthoatvidiadem.vn</a></p><p style="box-sizing: border-box; margin: 0px 0px 10px; padding: 0px; border: 0px; outline: 0px; font-size: 16px; vertical-align: baseline; background-image: initial; background-position: initial; background-size: initial; background-repeat: initial; background-attachment: initial; background-origin: initial; background-clip: initial; max-width: 100%; color: rgb(0, 0, 0); font-family: RobotoSlab-Regular, Arial, Helvetica, sans-serif; text-align: justify;">Thầy thuốc chữa thoát vị đĩa đệm trực tiếp tư vấn: 0913503552 - (028)62951367</p><p><span style="font-size: 16px;">&nbsp;(*) Lưu ý: thuốc uống và thuốc đắp chữa thoát vị đĩa đệm/tác dụng nhanh hay chậm có thể thay đổi tùy theo&nbsp;bệnh mỗi nguời.</span></p><p style="box-sizing: border-box; margin: 0px 0px 10px; padding: 0px; border: 0px; outline: 0px; font-size: 16px; vertical-align: baseline; background-image: initial; background-position: initial; background-size: initial; background-repeat: initial; background-attachment: initial; background-origin: initial; background-clip: initial; max-width: 100%; color: rgb(0, 0, 0); font-family: RobotoSlab-Regular, Arial, Helvetica, sans-serif;"><span style="color: rgb(51, 51, 51); font-family: Tahoma, Verdana, sans-serif;">Chữa thoát vị đĩa đệm ở Gò Vấp: 856/6 Quang Trung, Phường 8, Quận Gò Vấp, TP.HCM. Nhờ&nbsp;</span><span style="color: rgb(0, 0, 0); font-family: RobotoSlab-Regular, Arial, Helvetica, sans-serif; font-size: 16px; background: transparent; box-sizing: border-box; margin: 0px; padding: 0px; border: 0px; outline: 0px; vertical-align: baseline; max-width: 100%;">Google Map chỉ đường là nhanh nhất.</span></p><div class="yuRUbf" style="font-size: small; line-height: 1.58; color: rgb(34, 34, 34); font-family: arial, sans-serif;"><h3 class="LC20lb DKV0Md" style="font-size: 20px; margin: 0px 0px 3px; padding: 4px 0px 0px; display: inline-block; line-height: 1.3;"><a href="https://chuabenhthoatvidiadem.vn/" rel="noopener" style="color: rgb(102, 0, 153); text-decoration-line: none; -webkit-tap-highlight-color: rgba(0, 0, 0, 0.1); cursor: pointer;" target="_blank" title="">Thoát Vị Đĩa Đệm</a></h3></div><div class="kb0PBd cvP2Ce A9Y9g jGGQ5e" data-snf="x5WNvb" data-snhf="0" style="flex: 1 1 100%; min-width: 0px; contain: layout paint; overflow: hidden; color: rgb(32, 33, 36); font-family: arial, sans-serif; font-size: 14px;"><div class="yuRUbf" style="font-size: small; line-height: 1.58;"><div class="notranslate HGLrXd NJjxre iUh30 ojE3Fb" style="color: var(--JKqx2); text-decoration-line: none; -webkit-tap-highlight-color: rgba(0, 0, 0, 0.1); outline: 0px; font-size: 12px; line-height: 1.3; padding: 0px; display: inline-block; text-size-adjust: none; position: absolute; left: 0px; top: 0px; width: 600px;"><div class="q0vns" style="display: flex; padding: 0px; overflow: hidden; align-items: center;"><div aria-hidden="true" class="eqA2re UnOTSe Vwoesf" style="vertical-align: middle; display: inline-block;"><span jsaction="rcuQ6b:npT2md;PYDNKe:bLV6Bd;mLt3mc" jscontroller="msmzHf"><a title="" data-ved="2ahUKEwiY2bCIk7CGAxVUoK8BHWl-Doc4ChAWegQICBAB" href="https://chuabenhthoatvidiadem.vn/cach-chua-benh/thuoc-tri-thoat-vi-dia-dem-pid-324.html" jsname="UWckNb" ping="/url?sa=t&amp;source=web&amp;rct=j&amp;opi=89978449&amp;url=https://chuabenhthoatvidiadem.vn/cach-chua-benh/thuoc-tri-thoat-vi-dia-dem-pid-324.html&amp;ved=2ahUKEwiY2bCIk7CGAxVUoK8BHWl-Doc4ChAWegQICBAB" style="color: var(--JKqx2); text-decoration-line: none; -webkit-tap-highlight-color: rgba(0, 0, 0, 0.1); outline: 0px;"><span class="DDKf1c" style="margin-right: 12px;"><img alt="" class="XNo5Ab" src="data:image/png;base64,iVBORw0KGgoAAAANSUhEUgAAABwAAAAcCAMAAABF0y+mAAAAwFBMVEVHcExajqBplKZWe4dmlaet0dpReIS0tLRhjqFWk6hzjpmLrWdKb4Vox1O4UmBJeo1Mf5VBd41RhptDe5a5ydA9ang5dZOXrrmjt8A0cI6uvcJYiqBJgpjJzmyqVWHw6lnEpnHV12n/90yel37f3WJiiZRvhoZxiZSKkIO0n3SWW2t3lYmjtX5IcHpydYjI1dtfg5C5xHdbfYp+obGKpYmHbX2LoallfZFwmKnZrmm7PUeYkJyve4TlKQCC4QCG1npm/ZY6AAAAD3RSTlMA2WlbWAmgAZ2n0PTP6OPAwHC+AAABvElEQVQokY2S2XKjMBREjTfANTNCC0hA2HdssMFr7Ery/381VwQ7TuUl/Sad6r6LNJn8TnNdUZSVPv9JFnpL6tb3/brN9MV3Ns3gur/cbkXdXuvz9JnpR7++MSb2e+6wi39t9SdW+0cmrC6I16i3OWuvxwedkvNxa1C67gIbl0mCWXEmY/LCJWSLDSNL49TGYZ7nmBHifnalkRdGDIAHr7MQyl9DhBxKtAG65CKoYdBDFHsS9mFl84y4w+xgBAY6RJGNEK7KCmHHJPMxFRulrBnECIRRVdqO2chc5ewKSkMwWwcvHazg5Kj5A/Df2wen9BVgFqTxGiNkJTne+29/JXz/4OUulEWtjRfYQzDAdwkV4gorLIDRdeQF0ooesUNDNEzKtUG7IJDTINmtuXyMQkOoSjeb9AvO7kuwaBlKGMWxNaTuzOaxviSxEgm7YQ/IGFOHxb9s8yrZQbfpsEHMTLMZv8Mc3mBLrB2NgijKMTZYYzaz+4NqBJIFxbYX2zbmkNksJ+oz7R0mOHwT0RenseD9W7pgLUC77OQIPntmE1XVuBBcsC0/nTR18kNzbaWsVktwqV+eUZ+Hb1f/AaCSOMIlgm/GAAAAAElFTkSuQmCC" style="border: 1px solid rgb(218, 220, 224); background-color: rgb(241, 243, 244); border-radius: 50%; display: block; height: 26px; width: 26px;" /></span></a></span></div><div class="CA5RN" style="overflow: hidden;"><div><span jsaction="rcuQ6b:npT2md;PYDNKe:bLV6Bd;mLt3mc" jscontroller="msmzHf"><a title="" data-ved="2ahUKEwiY2bCIk7CGAxVUoK8BHWl-Doc4ChAWegQICBAB" href="https://chuabenhthoatvidiadem.vn/cach-chua-benh/thuoc-tri-thoat-vi-dia-dem-pid-324.html" jsname="UWckNb" ping="/url?sa=t&amp;source=web&amp;rct=j&amp;opi=89978449&amp;url=https://chuabenhthoatvidiadem.vn/cach-chua-benh/thuoc-tri-thoat-vi-dia-dem-pid-324.html&amp;ved=2ahUKEwiY2bCIk7CGAxVUoK8BHWl-Doc4ChAWegQICBAB" style="color: var(--JKqx2); text-decoration-line: none; -webkit-tap-highlight-color: rgba(0, 0, 0, 0.1); outline: 0px;"><span class="VuuXrf" style="font-size: 14px; display: block; line-height: 20px; text-wrap: nowrap;">chuabenhthoatvidiadem.vn</span></a></span></div><div class="byrV5b" style="align-items: center; display: flex; flex-direction: row;"><span jsaction="rcuQ6b:npT2md;PYDNKe:bLV6Bd;mLt3mc" jscontroller="msmzHf"><a title="" data-ved="2ahUKEwiY2bCIk7CGAxVUoK8BHWl-Doc4ChAWegQICBAB" href="https://chuabenhthoatvidiadem.vn/cach-chua-benh/thuoc-tri-thoat-vi-dia-dem-pid-324.html" jsname="UWckNb" ping="/url?sa=t&amp;source=web&amp;rct=j&amp;opi=89978449&amp;url=https://chuabenhthoatvidiadem.vn/cach-chua-benh/thuoc-tri-thoat-vi-dia-dem-pid-324.html&amp;ved=2ahUKEwiY2bCIk7CGAxVUoK8BHWl-Doc4ChAWegQICBAB" style="color: var(--JKqx2); text-decoration-line: none; -webkit-tap-highlight-color: rgba(0, 0, 0, 0.1); outline: 0px;"><cite class="qLRx3b tjvcx GvPZzd cHaqb" role="text" style="color: rgb(77, 81, 86); font-style: normal; overflow: hidden; text-overflow: ellipsis; text-wrap: nowrap; line-height: 18px;">https://chuabenhthoatvidiadem.vn<span class="ylgVCe ob9lvb" role="text">&nbsp;&rsaquo; cach-chua-benh &rsaquo; t...</span></cite></a></span><div>&nbsp;</div></div></div></div></div></div></div><div class="kb0PBd cvP2Ce A9Y9g jGGQ5e" data-snf="x5WNvb" data-snhf="0" style="flex: 1 1 100%; min-width: 0px; contain: layout paint; overflow: hidden; color: rgb(32, 33, 36); font-family: arial, sans-serif; font-size: 14px;"><div class="yuRUbf" style="font-size: small; line-height: 1.58;"><div class="notranslate HGLrXd NJjxre iUh30 ojE3Fb" style="color: var(--JKqx2); text-decoration-line: none; -webkit-tap-highlight-color: rgba(0, 0, 0, 0.1); outline: 0px; font-size: 12px; line-height: 1.3; padding: 0px; display: inline-block; text-size-adjust: none; position: absolute; left: 0px; top: 0px; width: 600px;">&nbsp;</div></div></div>]]></content:encoded>
						<wfw:commentRss></wfw:commentRss>
						<slash:comments>0</slash:comments>
					</item>
				
					<item>
						<title>Đơn giá thuốc chữa thoát vị đĩa đệm</title>
						<link>https://chuabenhthoatvidiadem.vn/bai-viet/benh-thoat-vi-dia-dem/don-gia-thuoc-chua-thoat-vi-dia-dem-pid-83.html</link>
						<comments></comments>
						<pubDate>Sat, 13 May 2017 11:18:50 +0700</pubDate>
						<dc:creator>admin</dc:creator>
						<category><![CDATA[Bệnh thoát vị đĩa đệm]]></category>
						<guid isPermaLink="false"></guid>
						<description><![CDATA[Thuốc chữa thoát vị đĩa đệm tại phòng khám là thuốc sạch, chất lượng thuốc tốt nhất. Tôi, lương y Nguyễn Văn Minh đảm bảo bằng uy tín rằng không dùng hóa chất bảo quản. Chúng tôi không bán thuốc chữa bệnh giá rẻ kém chất lượng. Thang thuốc chữa thoát vị đĩa đệm có giá từ 70.000 đ đến 120.000 đ/ thang. Thuốc đắp chữa thoát vị đĩa đệm có giá 70.000 đ/chai (đắp được 5-10 ngày).]]></description>
						<content:encoded><![CDATA[<h2 style="text-align: justify;"><span style="font-size: 16px;">Thuốc chữa thoát vị đĩa đệm tại phòng khám là thuốc sạch, chất lượng thuốc đầu vào&nbsp;đảm bảo tốt nhất, những vị thuốc được bào chế kỹ nhất. Tôi, lương y Nguyễn Văn Minh đảm bảo bằng uy tín rằng không dùng h</span><span style="font-size: 16px;">óa chất bảo quản thuốc. Chúng tôi không bán thuốc chữa bệnh&nbsp;giá rẻ&nbsp;kém chất lượng.</span></h2><h2 style="text-align: justify;"><span style="font-size:16px;">Thang thuốc chữa thoát vị đĩa đệmcó&nbsp;giá từ 70.000 đ đến 120.000 đ/ thang. Thuốc đắp chữa thoát vị đĩa đệm có giá 70.000 đ/ chai (đắp được 5- 10 ngày). (*)</span></h2><h2 style="text-align: justify;">&nbsp;</h2><p><img loading="lazy" alt="Đơn giá thuốc chữa thoát vị đĩa đệm" src="data:image/gif;base64,R0lGODlhAQABAID/AP///wAAACwAAAAAAQABAAACAkQBADs=" data-src="https://chuabenhthoatvidiadem.vn/resources/images/20180317_095218 (1).jpg" style="width: 550px; height: 820px;" class="lazy" width="395" height="589" data-optimized="1" /></p><h3 style="text-align: justify;"><span style="font-size:16px;">Khi&nbsp;tới chữa thoát vị đĩa đệm tại phòng khám, lương y Nguyễn Văn Minh sẽ căn cứ vào kết quả chụp MRI cột sống cổ, MRI cột sống thắt lưng và&nbsp;thể trạng của từng người rồi đưa ra một hoặc nhiều phương pháp kết hợp để chữa thoát vị đĩa đệm<br />Chữa bệnh thoát vị đĩa đệm cột sống hay gặp ở các tầng đốt sống sau:<br />- Chữa thoát vị đĩa đệm cột sống cổ; hay gặp nhất là thoát vị đĩa đệm C6-C7, rồi đến đĩa đệm C5-C6. Các đĩa đệm còn lại như: C2-C3; C3-C4; C4-C5 thường gặp ít hơn.&nbsp;<br />- Chữa thoát vị đĩa đệm cột sống thắt lưng; hay gặp nhất là thoát vị đĩa đệm L4-L5, rồi đến thoát vị đĩa đệm L5-S1. Các tầng đĩa đệm như; L1-L2; L2-L3; L3-L4; tỷ lệ bị thoát vị không nhiều bằng L4-L5 và L5-S1</span>.<br /><span style="font-size:16px;">- Chữa bệnh lồi đĩa đệm; những trường hợp này bệnh thường nhẹ, điều trị rất nhanh khỏi.<br />- Chữa bệnh phồng đĩa đệm; tương tự như trường hợp lồi đĩa đệm, thể bệnh nhẹ không đáng ngại.<br />- Chữa bệnh thoái hóa đĩa đệm mất nước; khi điều trị thoát vị đĩa đệm thầy thuốc sẽ kết hợp luôn trong thang thuốc.<br />- Chữa bệnh gai cột sống; cũng kết hợp được khi điều trị thoát vị đĩa đệm. Bài thuốc trị thoát vị đĩa đệm của lương y Nguyễn Văn Minh nhiều người uống khỏi thoát vị đĩa đệm khỏi luôn gai cột sống.</span></h3><h4 style="text-align: justify;"><span style="font-size:16px;">- Chữa bệnh thoái hóa cột sống; đa số bệnh nhân khi chụp MRI phát hiện thoát vị đĩa đệm thì cũng có thoái hóa cột sống, gai cột sống kèm theo. Thuốc đông y điều trị thoát vị đĩa đệm thường điều trị vào gốc bệnh nên khỏi thoát vị đĩa đệm sẽ khỏi cả những bệnh lý về cột sống đi kèm.</span></h4><p><span style="font-size: 16px;">&quot;Nhờ thầy mà tôi không phải mổ thoát vị đĩa đệm&quot; - Hãy xem bệnh nhân cũ khỏi bệnh phát biểu ý kiến, cảm ơn lương y Minh:&nbsp;</span><a data-="" href="https://www.google.com.vn/url?sa=t&amp;rct=j&amp;q=&amp;esrc=s&amp;source=web&amp;cd=&amp;ved=0ahUKEwj3oLT40tjRAhWKJZQKHYI9BWE4ChAWCD0wBw&amp;url=http%3A%2F%2Fchuabenhthoatvidiadem.vn%2Fdieu-tri%2Fket-qua-dieu-tri-thoat-vi-dia-dem-cid-2-0.html&amp;usg=AFQjCNGPDZQppdauF3FAox6iUAi1qbRtzQ&amp;sig2=WAKVBk_APaJGBW-s7_9SzA&amp;bvm=bv.144686652,d.dGo" style="font-family: RobotoSlab-Regular, Arial, Helvetica, sans-serif; font-size: 18px; white-space: nowrap; background: transparent; box-sizing: border-box; margin: 0px; padding: 0px; border: 0px; outline: 0px; vertical-align: baseline; color: rgb(102, 0, 153); text-decoration-line: none; transition: all 406ms ease-out; max-width: 100%; cursor: pointer;" target="_blank" title="">Tại đây&nbsp;</a><a data-="" href="https://www.google.com.vn/url?sa=t&amp;rct=j&amp;q=&amp;esrc=s&amp;source=web&amp;cd=&amp;ved=0ahUKEwj3oLT40tjRAhWKJZQKHYI9BWE4ChAWCD0wBw&amp;url=http%3A%2F%2Fchuabenhthoatvidiadem.vn%2Fdieu-tri%2Fket-qua-dieu-tri-thoat-vi-dia-dem-cid-2-0.html&amp;usg=AFQjCNGPDZQppdauF3FAox6iUAi1qbRtzQ&amp;sig2=WAKVBk_APaJGBW-s7_9SzA&amp;bvm=bv.144686652,d.dGo" style="background: transparent; font-family: RobotoSlab-Regular, Arial, Helvetica, sans-serif; font-size: 18px; white-space: nowrap; box-sizing: border-box; margin: 0px; padding: 0px; border: 0px; outline: 0px; vertical-align: baseline; color: rgb(102, 0, 153); text-decoration-line: none; transition: all 406ms ease-out; max-width: 100%; cursor: pointer;" target="_blank" title="">&gt;&gt;</a></p><p><span style="font-size:16px;">Địa chỉ phòng khám chữa&nbsp;thoát vị đĩa đệm: 856/6 Quang Trung, Phường 8, Quận Gò Vấp,&nbsp;Hồ Chí Minh.</span></p><p>(*) Đây là đơn giá thang thuốc chữa thoát vị đĩa đệm từ năm 2018 trở về trước, năm 2019 giá 1 thang thuốc tăng thêm 10 ngàn đồng.</p>]]></content:encoded>
						<wfw:commentRss></wfw:commentRss>
						<slash:comments>0</slash:comments>
					</item>
				
					<item>
						<title>Thuốc chữa bệnh thoát vị đĩa đệm giá bao nhiêu</title>
						<link>https://chuabenhthoatvidiadem.vn/bai-viet/benh-thoat-vi-dia-dem/thuoc-chua-benh-thoat-vi-dia-dem-gia-bao-nhieu-pid-251.html</link>
						<comments></comments>
						<pubDate>Mon, 01 Apr 2019 10:05:01 +0700</pubDate>
						<dc:creator>admin</dc:creator>
						<category><![CDATA[Bệnh thoát vị đĩa đệm]]></category>
						<guid isPermaLink="false"></guid>
						<description><![CDATA[Đơn giá thuốc chữa thoát vị đĩa đệm năm 2020 có cao hơn so với đơn giá cũ năm 2019 trở về trước, nguyên nhân là do giá nhân công trồng dược liệu tăng, kéo theo giá thuốc nguyên liệu đầu vào tăng lên. Nhà thuốc Bảo Minh điều chỉnh cho phù hơp để đảm bảo chất lượng thuốc tốt nhất.]]></description>
						<content:encoded><![CDATA[<p style="text-align: justify;"><em><span style="font-size:18px;">Thuốc chữa bệnh thoát vị đĩa đệm, đơn giá&nbsp;năm 2020 có thay đổi so với giai đoạn từ&nbsp;2017-2019. Nguyên nhân là do giá cả các mặt hàng đều tăng, giá nguyên dược liệu đầu vào cũng tăng&nbsp;lên so với những năm trước.</span></em></p><p><img loading="lazy" alt="Giá thuốc chữa thoát vị đĩa đệm" src="data:image/gif;base64,R0lGODlhAQABAID/AP///wAAACwAAAAAAQABAAACAkQBADs=" data-src="https://chuabenhthoatvidiadem.vn/resources/images/Gia-thuoc-thoat-vi-dia-dem.jpg" style="width: 852px; height: 1200px;" class="lazy" width="640" height="901" data-optimized="1" /></p><p><span style="font-size:16px;">Bài thuốc chữa thoát vị đĩa đệm của Lương y Nguyễn Văn Minh,&nbsp;có gần 30 vị thuốc đông y, dưới đây là 20 vị thuốc cơ bản, sau khi khám bệnh và có kết quả&nbsp;chụp cộng hưởng từ,&nbsp;căn cứ vào cơ địa của từng người, lương y Nguyễn Văn Minh sẽ bổ thêm những vị thuốc đặc trị. Chính vì vậy bài thuốc luôn đạt hiệu quả rất tốt&nbsp;trong điều trị thoát vị đĩa đệm cột sống cổ, cột sống lưng.</span></p><p><span style="font-size:16px;"><img loading="lazy" alt="Thoat vi dia dem " src="data:image/gif;base64,R0lGODlhAQABAID/AP///wAAACwAAAAAAQABAAACAkQBADs=" data-src="https://chuabenhthoatvidiadem.vn/resources/images/Univadis_14_6_2016_Dau_than_kinh_toa_yeu_to_nguy_co_va_trieu_chung(1).jpg" style="width: 640px; height: 344px;" class="lazy" width="640" height="344" data-optimized="1" /><br />1- Mộc qua 12 gr (tẩm dấm ăn, sao chín)&nbsp;</span></p><p><span style="font-size:16px;">2-&nbsp; Đương quy16 gr (bào mỏng, phơi khô, sao vàng hạ thổ)&nbsp;</span></p><p><span style="font-size:16px;">3-&nbsp; Ngưu tất 20 gr (ủ rượu, bào mỏng, sao khô)<br />4- Thục địa 20 gr ( lão sinh địa nấu với sa nhân theo công thức gia truyền, không bị đầy bụng)<br />5- Sơn thù 12 gr (bỏ hạt, tẩm dấm ăn sao khô)<br />6- Cẩu tích 16 gr (sao nước muối nhạt)<br />7- Tang ký sinh 16 gr (sao chín)&nbsp;<br />8- Tục đoạn 16 gr (tẩy rượu sao chín)<br />9- Đan sâm 20 gr (ủ rượu, bào mỏng, sao khô)<br />10- Xích thược 12 gr (ủ mềm, bào mỏng, phơi khô, sao chín)<br />11- Hà thủ ô đỏ 20 gr (nấu chung với đậu đen xanh lòng, sấy khô)&nbsp;<br />12- Chánh hoài sơn 20 gr (sao vàng hạ thổ)&nbsp;<br />13- Dạ giao đằng 12 gr&nbsp;<br />14-&nbsp; Bạch phục linh 16 gr&nbsp;<br />15-&nbsp; Đỗ trọng 20 gr (tẩm nước muối nhạt sao khô)&nbsp;<br />16- Thương truật 16 gr (tẩm nước vo gạo sao vàng hạ thổ)<br />17- Độc hoạt 10 gr (rửa sạch, thái mỏng, phơi thật khô, sao nhẹ)<br />18- Tần giao xoắn 24 gr (bào mỏng, sấy khô, sao qua)<br />19- Hồng hoa nhẹ 12 gr (hồng hoa Tây Tạng, loại xịn)<br />20- Khương hoạt dẻo 12 gr (thái miếng, sấy nhẹ cho khô)</span></p><p class="r" style="box-sizing: border-box; margin: 0px; padding: 0px; border: 0px; outline: 0px; font-size: 18px; vertical-align: baseline; background-image: initial; background-position: initial; background-size: initial; background-repeat: initial; background-attachment: initial; background-origin: initial; background-clip: initial; max-width: 100%; overflow: hidden; text-overflow: ellipsis; white-space: nowrap; color: rgb(34, 34, 34); font-family: arial, sans-serif; text-align: justify;"><span style="box-sizing: border-box; margin: 0px; padding: 0px; border: 0px; outline: 0px; font-size: 16px; vertical-align: baseline; background: transparent; max-width: 100%; color: rgb(0, 0, 0); font-family: RobotoSlab-Regular, Arial, Helvetica, sans-serif;">Lương y Nguyễn Văn Minh chữa thoát vị đĩa đệm, chia sẻ cách chữa&nbsp;tại trang web:</span></p><h3 class="r" style="box-sizing: border-box; margin: 0px; padding: 0px; border: 0px; outline: 0px; font-size: 18px; vertical-align: baseline; background-image: initial; background-position: initial; background-size: initial; background-repeat: initial; background-attachment: initial; background-origin: initial; background-clip: initial; font-family: RobotoSlab-Regular, Arial, Helvetica, sans-serif; line-height: 1.1; color: rgb(0, 0, 0); max-width: 100%; overflow: hidden; text-overflow: ellipsis; white-space: nowrap;"><a href="https://chuabenhthoatvidiadem.vn/" style="box-sizing: border-box; margin: 0px; padding: 0px; border: 0px; outline: 0px; vertical-align: baseline; background: transparent; color: rgb(102, 0, 153); text-decoration-line: none; transition: all 406ms ease-out 0s; max-width: 100%; cursor: pointer;" target="_blank" title="">Cách Chữa Bệnh Thoát Vị Đĩa Đệm</a></h3><div class="s" style="box-sizing: border-box; margin: 0px; padding: 0px; border: 0px; outline: 0px; font-size: 16px; vertical-align: baseline; background-image: initial; background-position: initial; background-size: initial; background-repeat: initial; background-attachment: initial; background-origin: initial; background-clip: initial; position: relative; max-width: 48em; font-family: RobotoSlab-Regular, Arial, Helvetica, sans-serif; color: rgb(84, 84, 84); line-height: 18px;"><div class="f kv _SWb" style="box-sizing: border-box; margin: 0px; padding: 0px; border: 0px; outline: 0px; font-size: small; vertical-align: baseline; background: transparent; position: relative; max-width: 100%; color: rgb(128, 128, 128); height: 18px; line-height: 16px; font-family: arial, sans-serif; white-space: nowrap;"><cite class="_Rm" style="box-sizing: border-box; margin: 0px; padding: 0px; border: 0px; outline: 0px; font-size: 14px; vertical-align: baseline; background: transparent; max-width: 100%; color: rgb(0, 102, 33); font-style: normal;">chuabenhthoatvidiadem.vn</cite></div><div class="f kv _SWb" style="box-sizing: border-box; margin: 0px; padding: 0px; border: 0px; outline: 0px; font-size: small; vertical-align: baseline; background: transparent; position: relative; max-width: 100%; color: rgb(128, 128, 128); height: 18px; line-height: 16px; font-family: arial, sans-serif; white-space: nowrap;">&nbsp;</div><div class="f kv _SWb" style="box-sizing: border-box; margin: 0px; padding: 0px; border: 0px; outline: 0px; font-size: small; vertical-align: baseline; background: transparent; position: relative; max-width: 100%; color: rgb(128, 128, 128); height: 18px; line-height: 16px; font-family: arial, sans-serif; white-space: nowrap;"><span style="box-sizing: border-box; margin: 0px; padding: 0px; border: 0px; outline: 0px; font-size: 18px; vertical-align: baseline; background: transparent; max-width: 100%;"><span style="box-sizing: border-box; margin: 0px; padding: 0px; border: 0px; outline: 0px; vertical-align: baseline; background: transparent; max-width: 100%; color: rgb(0, 0, 0); font-family: RobotoSlab-Regular, Arial, Helvetica, sans-serif;">Khám chữa bệnh thoát vị&nbsp;đĩa đệm tại TP.HCM: 856/6 đường Quang Trung, quận Gò Vấp.</span></span></div><div class="f kv _SWb" style="box-sizing: border-box; margin: 0px; padding: 0px; border: 0px; outline: 0px; font-size: small; vertical-align: baseline; background: transparent; position: relative; max-width: 100%; color: rgb(128, 128, 128); height: 18px; line-height: 16px; font-family: arial, sans-serif; white-space: nowrap;">&nbsp;</div><div class="f kv _SWb" style="box-sizing: border-box; margin: 0px; padding: 0px; border: 0px; outline: 0px; font-size: small; vertical-align: baseline; background: transparent; position: relative; max-width: 100%; color: rgb(128, 128, 128); height: 18px; line-height: 16px; font-family: arial, sans-serif; white-space: nowrap;"><span style="box-sizing: border-box; margin: 0px; padding: 0px; border: 0px; outline: 0px; font-size: 18px; vertical-align: baseline; background: transparent; max-width: 100%;"><span style="box-sizing: border-box; margin: 0px; padding: 0px; border: 0px; outline: 0px; vertical-align: baseline; background: transparent; max-width: 100%; color: rgb(0, 0, 0); font-family: RobotoSlab-Regular, Arial, Helvetica, sans-serif;">Googd Map chỉ đường:&nbsp;</span></span></div><div class="f kv _SWb" style="box-sizing: border-box; margin: 0px; padding: 0px; border: 0px; outline: 0px; font-size: small; vertical-align: baseline; background: transparent; position: relative; max-width: 100%; color: rgb(128, 128, 128); height: 18px; line-height: 16px; font-family: arial, sans-serif; white-space: nowrap;"><a href="https://thoatvidiademcotsong.business.site/?utm_source=gmb&amp;utm_medium=referral" style="box-sizing: border-box; margin: 0px; padding: 0px; border: 0px; outline: 0px; font-size: 13px; vertical-align: baseline; background: transparent; color: rgb(51, 122, 183); text-decoration-line: none; transition: all 406ms ease-out 0s; max-width: 100%;" title="">https://thoatvidiadem cotsong</a></div></div>]]></content:encoded>
						<wfw:commentRss></wfw:commentRss>
						<slash:comments>0</slash:comments>
					</item>
				
					<item>
						<title>Thuốc trị bệnh thoát vị đĩa đệm, em uống 20 thang hết nhức rồi thầy!</title>
						<link>https://chuabenhthoatvidiadem.vn/bai-viet/nghe-truc-tiep-nhung-nguoi-duoc-luong-y-minh-chua-khoi-thoat-vi-dia-dem/thuoc-tri-benh-thoat-vi-dia-dem-em-uong-20-thang-het-nhuc-roi-thay-pid-207.html</link>
						<comments></comments>
						<pubDate>Wed, 28 Mar 2018 08:56:23 +0700</pubDate>
						<dc:creator>admin</dc:creator>
						<category><![CDATA[Nghe trực tiếp những người được lương y Minh chữa khỏi thoát vị đĩa đệm ]]></category>
						<guid isPermaLink="false"></guid>
						<description><![CDATA[Thuốc trị bệnh thoát vị đĩa đệm hay quá, em uống 20 thang hết nhức rồi thầy! Anh Tuấn ở Lâm Đồng bị thoát vị đĩa đệm nặng, bác sĩ chấn thương chỉnh hình TpHCM cho nhập viện để mổ thoát vị đĩa đệm. Anh Tuấn sợ mổ, đến nhà thuốc Bảo Minh uống 20 thang thuốc và mua 2 chai thuốc đắp trị thoát vị đĩa đệm, hết hẳn đau nhức. Anh Tuấn đồng ý chia sẻ địa chỉ thật của mình.]]></description>
						<content:encoded><![CDATA[<p style="text-align: justify;"><em><span style="font-size:18px;">Thuốc trị bệnh thoát vị đĩa đệm hay quá, em&nbsp;uống 20 thang hết nhức rồi thầy! Đây là câu nói&nbsp;của anh Tuấn&nbsp;ở Lâm Đồng, gọi điện cho lương y Nguyễn Văn Minh thông báo khỏi bệnh. Năm ngoái, anh Tuấn bị thoát vị đĩa đệm nặng, bác sĩ chấn thương chỉnh hình TpHCM</span><span style="font-size:18px;">&nbsp;yêu cầu phải mổ thoát vị đĩa đệm mới bớt đau nhức. Không muốn mổ, anh Tuấn đã uống thuốc trị thoát vị đĩa đệm ở nhà thuốc Bảo Minh, sau khi uống 20 thang thuốc và 2 chai thuốc đắp trị thoát vị đĩa đệm, những cơn đau nhức đã hết hẳn. Tôi&nbsp;xin phép và được&nbsp;anh Tuấn đồng ý chia sẻ&nbsp;câu chuyện về: bài&nbsp;thuốc trị bệnh thoát vị đĩa đệm của nhà thuốc Bảo Minh.</span></em></p><p><img loading="lazy" alt="Thoat vi dia dem" src="data:image/gif;base64,R0lGODlhAQABAID/AP///wAAACwAAAAAAQABAAACAkQBADs=" data-src="https://chuabenhthoatvidiadem.vn/resources/images/20180213_093000 (2).jpg" style="width: 785px; height: 589px;" class="lazy" width="785" height="589" data-optimized="1" /></p><p style="text-align: justify;"><span style="font-size:16px;">Hôm nay, sau mấy tháng không thấy đau nhức, anh Tuấn gọi điện thông báo và hỏi lương y Minh xem có phải uống thêm thuốc nữa hay không. Bởi vì anh không ngờ bệnh thoát vị đĩa đệm nặng như của mình mà chỉ điều trị 20 ngày đã hết nhức. Anh cho biết thêm:&nbsp;Trước đó&nbsp;đã uống đủ các loại thuốc, kể cả thuốc chữa thoát vị đĩa đệm của Nhật, rồi thuốc thoát vị đĩa đệm của Mỹ cũng không khỏi hẳn.</span></p><p><span style="font-size:16px;">Anh Tuấn đồng ý chia sẻ nhằm giúp&nbsp;dùm những người&nbsp;bị thoát vị đĩa đệm mà không muốn mổ, có thông tin để tham khảo: Nguyễn Văn Tuấn SN 1975. Số nhà 30/5 Tô Hiệu, Phường Lộc Sơn, TP Bảo Lộc, tỉnh Lâm Đồng.</span></p><p><span style="font-size: 16px;">Mời quý vị nhấp chuột vào ô dưới để nghe anh Tuấn và lương y Nguyễn Văn Minh trao đổi&nbsp;</span>(*)</p><p><span style="font-size: 16px;"><a href="https://chuabenhthoatvidiadem.vn/resources/files/Thoại 004.mp3" title="">thuoc&nbsp;thoat vi dia dem.vn</a></span></p><p><em><span style="font-size:16px;">(*)&nbsp; &nbsp;Lưu ý: thuốc trị&nbsp; bệnh thoát vị đĩa đệm&nbsp;tác dụng nhanh/&nbsp;chậm tùy theo cơ địa mỗi nguời.</span></em></p><p><em><span style="font-size:16px;">P/s: Đây là cuộc nói chuyện rất thật giữa thầy thuốc với người bệnh, có lúc âm thanh nghe không được rõ, nhưng đảm bảo được tính chân thật, đúng người, đúng bệnh.</span></em></p><p><span style="font-size:16px;">Lương y Nguyễn Văn Minh khám bệnh, chữa bệnh thoát vị đĩa đệm tại:&nbsp;856/6 Quang Trung, Phường 8, Quận Gò Vấp, TP.HCM</span></p><p><span style="font-size:16px;">Điện thoại, Zalo hướng dẫn phương pháp chữa thoát vị đĩa đệm: 0913503552 - Cố định: 02862951367.</span></p><p><span style="background-color: transparent; color: rgb(0, 0, 0); font-family: RobotoSlab-Regular, Arial, Helvetica, sans-serif; font-size: 16px; text-align: justify;">Thông tin về&nbsp;bệnh thoát vị đĩa đệm trên trang web:&nbsp;</span></p><p style="box-sizing: border-box; margin: 0px 0px 10px; padding: 0px; border: 0px; outline: 0px; font-size: 16px; vertical-align: baseline; background-image: initial; background-position: initial; background-size: initial; background-repeat: initial; background-attachment: initial; background-origin: initial; background-clip: initial; max-width: 100%; color: rgb(0, 0, 0); font-family: RobotoSlab-Regular, Arial, Helvetica, sans-serif; text-align: justify;"><a data-saferedirecturl="https://www.google.com/url?q=https://chuabenhthoatvidiadem.vn/&amp;source=gmail&amp;ust=1567734487819000&amp;usg=AFQjCNHBa-rYwcCg4HXdGWY86WK7LqDA5w" href="https://chuabenhthoatvidiadem.vn/" style="box-sizing: border-box; margin: 0px; padding: 0px; border: 0px; outline: 0px; font-size: 19.2px; vertical-align: baseline; background: transparent; color: rgb(17, 85, 204); text-decoration-line: none; transition: all 406ms ease-out 0s; max-width: 100%; font-family: Arial, Helvetica, sans-serif;" target="_blank" title="">chuabenhthoatvidiadem.vn</a>, được<span style="box-sizing: border-box; margin: 0px; padding: 0px; border: 0px; outline: 0px; vertical-align: baseline; background: transparent; max-width: 100%;">&nbsp;<a href="https://www.youtube.com/channel/UCMrl47bRL4MgAguyRi48mEw" rel="noopener" style="box-sizing: border-box; margin: 0px; padding: 0px; border: 0px; outline: 0px; font-size: small; vertical-align: baseline; background: transparent; color: rgb(102, 0, 153); text-decoration-line: none; transition: all 406ms ease-out 0s; max-width: 100%; white-space: nowrap; cursor: pointer; font-family: arial, sans-serif;" target="_blank" title="">Lương y Nguyễn Văn Minh</a>&nbsp;đúc rút&nbsp;từ kinh nghiệm hơn 20 năm&nbsp;trị bệnh,&nbsp;không tự ý sao chép khi chưa được sự đồng ý.</span></p>]]></content:encoded>
						<wfw:commentRss></wfw:commentRss>
						<slash:comments>0</slash:comments>
					</item>
				
					<item>
						<title>Thoát vị đĩa đệm cột sống có kích thước # 5-6mm có chữa khỏi được không thầy?</title>
						<link>https://chuabenhthoatvidiadem.vn/bai-viet/benh-thoat-vi-dia-dem/thoat-vi-dia-dem-cot-song-co-kich-thuoc-5-6mm-co-chua-khoi-duoc-khong-thay-pid-72.html</link>
						<comments></comments>
						<pubDate>Sun, 05 Feb 2017 09:06:45 +0700</pubDate>
						<dc:creator>admin</dc:creator>
						<category><![CDATA[Bệnh thoát vị đĩa đệm]]></category>
						<guid isPermaLink="false"></guid>
						<description><![CDATA[Tôi năm nay 47 tuổi, bị đau thắt lưng, đi chụp MRI bác sĩ kết luận thoát vị đĩa đệm cột sống thắt lưng tầng L4/L5 kích thước # 5-6mm, thầy cho tôi hỏi bệnh của tôi có chữa khỏi được không? Thời gian chữa bệnh khoảng bao lâu? Đây là câu hỏi của anh Đào Công Bắc ở Quận Tân Phú TP HCM gửi tới lương y Nguyễn Văn Minh.]]></description>
						<content:encoded><![CDATA[<h2><span style="font-size:16px;">Tôi năm nay 47 tuổi, bị đau thắt lưng, đau một bên mông, đau lan&nbsp;xuống đùi tới bắp chân, tê chân. Chụp MRI bác sĩ kết luận tôi bị thoát vị đĩa đệm cột sống thắt lưng tầng L4/L5 kích thước # 5-6mm, chèn ép rễ thần kinh. Thầy cho tôi hỏi bệnh của tôi có chữa khỏi được&nbsp;không? Thời gian chữa bệnh khoảng bao lâu? Tôi xin cảm ơn.</span></h2><p><span style="font-size:16px;">Trên đây là câu hỏi của anh Đào Công Bắc ở Quận Tân Phú TP HCM gửi tới lương y Nguyễn Văn Minh - Phòng khám đông y Bảo Minh.</span></p><h2><img loading="lazy" alt="Thóa vị đĩa đệm cột sống thắt lưng" src="data:image/gif;base64,R0lGODlhAQABAID/AP///wAAACwAAAAAAQABAAACAkQBADs=" data-src="https://chuabenhthoatvidiadem.vn/resources/images/Standing-Extensions.jpg" style="width: 396px; height: 600px;" class="lazy" width="396" height="600" data-optimized="1" /></h2><h3><span style="font-size:16px;">Chào anh Bắc, với trường hợp thoát vị đĩa đệm như của anh, tôi (lương&nbsp;y Nguyễn Văn Minh) xin tư vấn như sau:</span></h3><h3><span style="font-size:16px;">- Bệnh thoát vị đĩa đệm cột sống hoàn toàn có thể chữa khỏi bằng các phương pháp của y học cổ truyền (đông y) như: uống thuốc thang kết hợp với thuốc đắp, nếu anh&nbsp;ở TP HCM và&nbsp;có nhiều&nbsp;thời gian&nbsp;thì&nbsp;kết hợp với châm cứu giảm đau. Tôi đã chữa cho rất nhiều người bị thoát vị đĩa đệm khỏi hẳn, có&nbsp;nhiều người 3-4 năm sau tôi gọi điện thoại lại hỏi thăm, họ trả lời rất tốt, không bị tái phát bệnh cũ.</span></h3><h4><span style="font-size:16px;">- Thời gian chữa khỏi hẳn bệnh thoát vị đĩa đệm thường phụ thuộc vào các yếu tố như: Bị thoát vị nặng hay nhẹ, thời gian bị bệnh lâu hay mới bị, nguyên nhân gây thoát vị đĩa đệm là gì? &nbsp;rồi đến tuổi tác và sau cùng là cơ địa của mỗi người hấp thụ thuốc nhanh hay chậm... Tính trung bình quãng thời gian điều trị &nbsp;khoảng 3- 6&nbsp;tuần sẽ hết các triệu chứng&nbsp;đau nhức, tê bì do thoát vị đĩa đệm gây nên.</span></h4><p style="text-align: justify;"><span style="font-size: 16px;">Anh có thể tham khảo một số ý kiến bệnh nhân cũ &nbsp;</span><a href="https://chuabenhthoatvidiadem.vn/dieu-tri/nghe-truc-tiep-nhung-nguoi-duoc-luong-y-minh-chua-khoi-thoat-vi-dia-dem-cid-4-0.html" style="font-size: 16px; color: rgb(102, 0, 153); cursor: pointer; text-decoration-line: none;" title="">Tại đây&nbsp;</a><a href="https://chuabenhthoatvidiadem.vn/dieu-tri/nghe-truc-tiep-nhung-nguoi-duoc-luong-y-minh-chua-khoi-thoat-vi-dia-dem-cid-4-0.html" style="font-size: 16px; color: rgb(102, 0, 153); cursor: pointer; text-decoration-line: none;" title="">&gt;&gt;</a><span style="font-size: 16px;">. &nbsp;Chúc anh mau khỏi bệnh</span></p><p style="text-align: justify;"><span style="box-sizing: border-box; margin: 0px; padding: 0px; border: 0px; outline: 0px; font-size: 16px; vertical-align: baseline; background-image: initial; background-position: initial; background-size: initial; background-repeat: initial; background-attachment: initial; background-origin: initial; background-clip: initial; max-width: 100%; color: rgb(0, 0, 0); font-family: RobotoSlab-Regular, Arial, Helvetica, sans-serif; text-align: justify;">T</span><span style="box-sizing: border-box; margin: 0px; padding: 0px; border: 0px; outline: 0px; font-size: 16px; vertical-align: baseline; background-image: initial; background-position: initial; background-size: initial; background-repeat: initial; background-attachment: initial; background-origin: initial; background-clip: initial; max-width: 100%; color: rgb(0, 0, 0); font-family: RobotoSlab-Regular, Arial, Helvetica, sans-serif; text-align: justify;">rang&nbsp;web tôi xây dựng, chuyên trị bệnh&nbsp;thoát vị đĩa đệm:&nbsp; &nbsp; &nbsp; &nbsp; &nbsp; &nbsp; &nbsp; &nbsp; &nbsp; &nbsp; &nbsp; &nbsp; &nbsp; &nbsp; &nbsp; &nbsp; &nbsp; &nbsp; &nbsp; &nbsp; &nbsp; &nbsp; &nbsp;<a href="https://chuabenhthoatvidiadem.vn/" style="box-sizing: border-box; margin: 0px; padding: 0px; border: 0px; outline: 0px; vertical-align: baseline; background: transparent; color: rgb(51, 122, 183); text-decoration-line: none; transition: all 406ms ease-out 0s; max-width: 100%;" title="">https://chuabenhthoatvidiadem.vn/</a>&nbsp;</span></p><p style="text-align: justify;"><span style="box-sizing: border-box; margin: 0px; padding: 0px; border: 0px; outline: 0px; font-size: 16px; vertical-align: baseline; background-image: initial; background-position: initial; background-size: initial; background-repeat: initial; background-attachment: initial; background-origin: initial; background-clip: initial; max-width: 100%; color: rgb(0, 0, 0); font-family: RobotoSlab-Regular, Arial, Helvetica, sans-serif; text-align: justify;">&nbsp;Bạn đọc có người quen không may bị thoát vị đĩa đệm, đã chữa trị nhiều nơi chưa khỏi, nếu&nbsp;bác sĩ chuyên khoa cột sống khuyên họ nên mổ thoát vị đĩa đệm, quý bạn đọc có thể giới thiệu họ tham khảo cách chữa của tôi, để tôi được giúp họ xem có thể tránh được&nbsp;không phải mổ hay không.</span></p><p style="box-sizing: border-box; margin: 0px 0px 10px; padding: 0px; border: 0px; outline: 0px; font-size: 16px; vertical-align: baseline; background-image: initial; background-position: initial; background-size: initial; background-repeat: initial; background-attachment: initial; background-origin: initial; background-clip: initial; max-width: 100%; color: rgb(0, 0, 0); font-family: RobotoSlab-Regular, Arial, Helvetica, sans-serif; text-align: justify;"><span style="box-sizing: border-box; margin: 0px; padding: 0px; border: 0px; outline: 0px; vertical-align: baseline; background: transparent; max-width: 100%;">Bạn đọc&nbsp;nào&nbsp;ở thị trấn Củ Chi, TP.HCM,&nbsp;</span><span style="box-sizing: border-box; margin: 0px; padding: 0px; border: 0px; outline: 0px; vertical-align: baseline; background: transparent; max-width: 100%;">bấm vào đây:&nbsp;</span><a href="https://chuabenhthoatvidiadem.vn/cach-chua-benh/uong-thuoc-cua-thay-chua-thoat-vi-dia-dem-co-toi-het-moi-co-het-dau-vai-gay-pid-115.html" rel="noopener" style="box-sizing: border-box; margin: 0px; padding: 0px; border: 0px; outline: 0px; font-size: small; vertical-align: baseline; background: transparent; color: rgb(102, 0, 153); text-decoration-line: none; transition: all 406ms ease-out 0s; max-width: 100%; -webkit-tap-highlight-color: rgba(0, 0, 0, 0.1); cursor: pointer; font-family: arial, sans-serif;" target="_blank" title="">Bác Tâm khỏi bệnh, chia sẻ địa chỉ</a></p><p style="box-sizing: border-box; margin: 0px 0px 10px; padding: 0px; border: 0px; outline: 0px; font-size: 16px; vertical-align: baseline; background-image: initial; background-position: initial; background-size: initial; background-repeat: initial; background-attachment: initial; background-origin: initial; background-clip: initial; max-width: 100%; color: rgb(0, 0, 0); font-family: RobotoSlab-Regular, Arial, Helvetica, sans-serif; text-align: justify;"><span style="color: rgb(0, 0, 0); font-family: RobotoSlab-Regular, Arial, Helvetica, sans-serif; font-size: 16px; text-align: justify;">Bạn đọc&nbsp;</span><span style="box-sizing: border-box; margin: 0px; padding: 0px; border: 0px; outline: 0px; vertical-align: baseline; background: transparent; max-width: 100%;">nào&nbsp;ở&nbsp;huyện Hồng Ngự, tỉnh Đồng Tháp,</span><span style="box-sizing: border-box; margin: 0px; padding: 0px; border: 0px; outline: 0px; vertical-align: baseline; background: transparent; max-width: 100%;">&nbsp;bấm vào đây;&nbsp;</span><a data-ctbtn="0" data-cthref="/url?sa=t&amp;rct=j&amp;q=&amp;esrc=s&amp;source=web&amp;cd=&amp;ved=2ahUKEwiqgMWxyYPsAhWadXAKHb5HCIc4ZBAWMAh6BAgJEAE&amp;url=https%3A%2F%2Fchuabenhthoatvidiadem.vn%2Fcach-chua-benh%2Fluong-y-minh-chua-thoat-vi-dia-dem-cho-anh-ut-khoi-benh-gan-nam-nay-pid-22.html&amp;usg=AOvVaw1E4-GqVfA6vRXRcGUH63tt" href="https://www.google.com.vn/url?sa=t&amp;rct=j&amp;q=&amp;esrc=s&amp;source=web&amp;cd=&amp;ved=2ahUKEwiqgMWxyYPsAhWadXAKHb5HCIc4ZBAWMAh6BAgJEAE&amp;url=https%3A%2F%2Fchuabenhthoatvidiadem.vn%2Fcach-chua-benh%2Fluong-y-minh-chua-thoat-vi-dia-dem-cho-anh-ut-khoi-benh-gan-nam-nay-pid-22.html&amp;usg=AOvVaw1E4-GqVfA6vRXRcGUH63tt" rel="noopener" style="box-sizing: border-box; margin: 0px; padding: 0px; border: 0px; outline: 0px; font-size: small; vertical-align: baseline; background: transparent; color: rgb(102, 0, 153); text-decoration-line: none; transition: all 406ms ease-out 0s; max-width: 100%; -webkit-tap-highlight-color: rgba(0, 0, 0, 0.1); cursor: pointer; font-family: arial, sans-serif;" target="_blank" title="">Anh Út chữa khỏi bệnh,&nbsp;đồng ý chia sẻ địa chỉ</a></p><p style="box-sizing: border-box; margin: 0px 0px 10px; padding: 0px; border: 0px; outline: 0px; font-size: 16px; vertical-align: baseline; background-image: initial; background-position: initial; background-size: initial; background-repeat: initial; background-attachment: initial; background-origin: initial; background-clip: initial; max-width: 100%; color: rgb(0, 0, 0); font-family: RobotoSlab-Regular, Arial, Helvetica, sans-serif; text-align: justify;"><span style="color: rgb(0, 0, 0); font-family: RobotoSlab-Regular, Arial, Helvetica, sans-serif; font-size: 16px; text-align: justify;">Bạn đọc&nbsp;</span><span style="box-sizing: border-box; margin: 0px; padding: 0px; border: 0px; outline: 0px; vertical-align: baseline; background: transparent; max-width: 100%;">nào&nbsp;ở tp Tây Ninh, tỉnh Tây Ninh, bấm vào đây:&nbsp;</span><a data-ctbtn="0" data-cthref="/url?sa=t&amp;rct=j&amp;q=&amp;esrc=s&amp;source=web&amp;cd=&amp;ved=2ahUKEwiMnKuXzIPsAhXHQN4KHT7JASk4lgEQFjACegQIAxAB&amp;url=https%3A%2F%2Fchuabenhthoatvidiadem.vn%2Fcach-chua-benh%2Fthoai-hoa-dia-dem-mat-nuoc-va-loi-dia-dem-gay-hep-ong-song-chen-ep-re-than-kinh-l4-l5-pid-257.html&amp;usg=AOvVaw0wFuGOxQfqt5u3x5PgQ2QP" href="https://www.google.com.vn/url?sa=t&amp;rct=j&amp;q=&amp;esrc=s&amp;source=web&amp;cd=&amp;ved=2ahUKEwiMnKuXzIPsAhXHQN4KHT7JASk4lgEQFjACegQIAxAB&amp;url=https%3A%2F%2Fchuabenhthoatvidiadem.vn%2Fcach-chua-benh%2Fthoai-hoa-dia-dem-mat-nuoc-va-loi-dia-dem-gay-hep-ong-song-chen-ep-re-than-kinh-l4-l5-pid-257.html&amp;usg=AOvVaw0wFuGOxQfqt5u3x5PgQ2QP" rel="noopener" style="box-sizing: border-box; margin: 0px; padding: 0px; border: 0px; outline: 0px; font-size: small; vertical-align: baseline; background: transparent; color: rgb(102, 0, 153); text-decoration-line: none; transition: all 406ms ease-out 0s; max-width: 100%; -webkit-tap-highlight-color: rgba(0, 0, 0, 0.1); cursor: pointer; font-family: arial, sans-serif;" target="_blank" title="">Anh Phương thông báo kết quả tốt</a></p><p style="box-sizing: border-box; margin: 0px 0px 10px; padding: 0px; border: 0px; outline: 0px; font-size: 16px; vertical-align: baseline; background-image: initial; background-position: initial; background-size: initial; background-repeat: initial; background-attachment: initial; background-origin: initial; background-clip: initial; max-width: 100%; color: rgb(0, 0, 0); font-family: RobotoSlab-Regular, Arial, Helvetica, sans-serif; text-align: justify;"><span style="color: rgb(0, 0, 0); font-family: RobotoSlab-Regular, Arial, Helvetica, sans-serif; font-size: 16px; text-align: justify;">Bạn đọc&nbsp;</span><span style="box-sizing: border-box; margin: 0px; padding: 0px; border: 0px; outline: 0px; vertical-align: baseline; background: transparent; max-width: 100%;">nào&nbsp;ở&nbsp;quận&nbsp;Bình Thạnh, TP. HCM, bấm vào đây:&nbsp;</span><a data-ctbtn="0" data-cthref="/url?sa=t&amp;rct=j&amp;q=&amp;esrc=s&amp;source=web&amp;cd=&amp;ved=2ahUKEwjz9peqzYPsAhWIfXAKHYZCDw44tAEQFjAFegQIBRAB&amp;url=https%3A%2F%2Fchuabenhthoatvidiadem.vn%2Fbai-viet%2Fnghe-truc-tiep-nhung-nguoi-duoc-luong-y-minh-chua-khoi-thoat-vi-dia-dem%2Fthoat-vi-dia-dem-l4-5-va-loi-dia-dem-l5-s1-co-chua-khoi-duoc-khong-pid-39.html&amp;usg=AOvVaw3nukuai7tAoH4mabYiiFZq" href="https://www.google.com.vn/url?sa=t&amp;rct=j&amp;q=&amp;esrc=s&amp;source=web&amp;cd=&amp;ved=2ahUKEwjz9peqzYPsAhWIfXAKHYZCDw44tAEQFjAFegQIBRAB&amp;url=https%3A%2F%2Fchuabenhthoatvidiadem.vn%2Fbai-viet%2Fnghe-truc-tiep-nhung-nguoi-duoc-luong-y-minh-chua-khoi-thoat-vi-dia-dem%2Fthoat-vi-dia-dem-l4-5-va-loi-dia-dem-l5-s1-co-chua-khoi-duoc-khong-pid-39.html&amp;usg=AOvVaw3nukuai7tAoH4mabYiiFZq" rel="noopener" style="box-sizing: border-box; margin: 0px; padding: 0px; border: 0px; outline: 0px; font-size: small; vertical-align: baseline; background: transparent; color: rgb(102, 0, 153); text-decoration-line: none; transition: all 406ms ease-out 0s; max-width: 100%; -webkit-tap-highlight-color: rgba(0, 0, 0, 0.1); cursor: pointer; font-family: arial, sans-serif;" target="_blank" title="">Chữa khỏi bệnh, bác Chính chia sẻ</a></p><p style="box-sizing: border-box; margin: 0px 0px 10px; padding: 0px; border: 0px; outline: 0px; font-size: 16px; vertical-align: baseline; background-image: initial; background-position: initial; background-size: initial; background-repeat: initial; background-attachment: initial; background-origin: initial; background-clip: initial; max-width: 100%; color: rgb(0, 0, 0); font-family: RobotoSlab-Regular, Arial, Helvetica, sans-serif; text-align: justify;"><span style="box-sizing: border-box; margin: 0px; padding: 0px; border: 0px; outline: 0px; vertical-align: baseline; background: transparent; max-width: 100%;">Ai ở&nbsp;quận Bình Thạnh, TP.HCM&nbsp;bấm vào đây:&nbsp;</span><a data-ctbtn="0" data-cthref="/url?sa=t&amp;rct=j&amp;q=&amp;esrc=s&amp;source=web&amp;cd=&amp;ved=2ahUKEwis3sCyyoPsAhUSyIsBHUi3Dl84ggEQFjAGegQICBAB&amp;url=https%3A%2F%2Fchuabenhthoatvidiadem.vn%2Fcach-chua-benh%2Fanh-hoang-khoi-dau-nhuc-ba-vai-te-cach-tay-do-thoat-vi-dia-dem-cot-song-co-pid-7.html&amp;usg=AOvVaw2eYFAmyM2zungBOjYfmvBI" href="https://www.google.com.vn/url?sa=t&amp;rct=j&amp;q=&amp;esrc=s&amp;source=web&amp;cd=&amp;ved=2ahUKEwis3sCyyoPsAhUSyIsBHUi3Dl84ggEQFjAGegQICBAB&amp;url=https%3A%2F%2Fchuabenhthoatvidiadem.vn%2Fcach-chua-benh%2Fanh-hoang-khoi-dau-nhuc-ba-vai-te-cach-tay-do-thoat-vi-dia-dem-cot-song-co-pid-7.html&amp;usg=AOvVaw2eYFAmyM2zungBOjYfmvBI" rel="noopener" style="box-sizing: border-box; margin: 0px; padding: 0px; border: 0px; outline: 0px; font-size: small; vertical-align: baseline; background: transparent; color: rgb(102, 0, 153); text-decoration-line: none; transition: all 406ms ease-out 0s; max-width: 100%; -webkit-tap-highlight-color: rgba(0, 0, 0, 0.1); cursor: pointer; font-family: arial, sans-serif;" target="_blank" title="">Anh Hoàng chữa&nbsp;khỏi bệnh, chia sẻ&nbsp;</a></p><p style="box-sizing: border-box; margin: 0px 0px 10px; padding: 0px; border: 0px; outline: 0px; font-size: 16px; vertical-align: baseline; background-image: initial; background-position: initial; background-size: initial; background-repeat: initial; background-attachment: initial; background-origin: initial; background-clip: initial; max-width: 100%; color: rgb(0, 0, 0); font-family: RobotoSlab-Regular, Arial, Helvetica, sans-serif; text-align: justify;"><span style="color: rgb(0, 0, 0); font-family: RobotoSlab-Regular, Arial, Helvetica, sans-serif; font-size: 16px; text-align: justify;">Bạn đọc</span><span style="box-sizing: border-box; margin: 0px; padding: 0px; border: 0px; outline: 0px; vertical-align: baseline; background: transparent; max-width: 100%;">&nbsp;nào&nbsp;ở phường 5, quận Gò Vấp, bấm vào đây:&nbsp;</span><a data-ctbtn="0" data-cthref="/url?sa=t&amp;rct=j&amp;q=&amp;esrc=s&amp;source=web&amp;cd=&amp;ved=2ahUKEwi8vf-1y4PsAhWHH3AKHToiAvc4jAEQFjABegQIAxAB&amp;url=https%3A%2F%2Fchuabenhthoatvidiadem.vn%2Fcach-chua-benh%2Fkhoi-thoat-vi-dia-dem-cot-song-co-nho-bai-thuoc-dac-tri-cua-luong-y-nguyen-van-minh-pid-63.html&amp;usg=AOvVaw2Tsq1XwapqLd--ZRosGCY_" href="https://www.google.com.vn/url?sa=t&amp;rct=j&amp;q=&amp;esrc=s&amp;source=web&amp;cd=&amp;ved=2ahUKEwi8vf-1y4PsAhWHH3AKHToiAvc4jAEQFjABegQIAxAB&amp;url=https%3A%2F%2Fchuabenhthoatvidiadem.vn%2Fcach-chua-benh%2Fkhoi-thoat-vi-dia-dem-cot-song-co-nho-bai-thuoc-dac-tri-cua-luong-y-nguyen-van-minh-pid-63.html&amp;usg=AOvVaw2Tsq1XwapqLd--ZRosGCY_" rel="noopener" style="box-sizing: border-box; margin: 0px; padding: 0px; border: 0px; outline: 0px; font-size: small; vertical-align: baseline; background: transparent; color: rgb(102, 0, 153); text-decoration-line: none; transition: all 406ms ease-out 0s; max-width: 100%; -webkit-tap-highlight-color: rgba(0, 0, 0, 0.1); cursor: pointer; font-family: arial, sans-serif;" target="_blank" title="">Chữa khỏi bệnh, người nhà anh Long thông báo</a></p><p style="box-sizing: border-box; margin: 0px 0px 10px; padding: 0px; border: 0px; outline: 0px; font-size: 16px; vertical-align: baseline; background-image: initial; background-position: initial; background-size: initial; background-repeat: initial; background-attachment: initial; background-origin: initial; background-clip: initial; max-width: 100%; color: rgb(0, 0, 0); font-family: RobotoSlab-Regular, Arial, Helvetica, sans-serif; text-align: justify;"><span style="color: rgb(0, 0, 0); font-family: RobotoSlab-Regular, Arial, Helvetica, sans-serif; font-size: 16px; text-align: justify;">Bạn đọc&nbsp;</span><span style="box-sizing: border-box; margin: 0px; padding: 0px; border: 0px; outline: 0px; vertical-align: baseline; background: transparent; max-width: 100%;">nào&nbsp;ở Quận 11, TP.HCM bấm vào đây: &gt;&gt;&nbsp;</span><a data-ctbtn="0" data-cthref="/url?sa=t&amp;rct=j&amp;q=&amp;esrc=s&amp;source=web&amp;cd=&amp;ved=2ahUKEwjnkeTetYPsAhXRBKYKHWVLDC84ChAWMAF6BAgCEAE&amp;url=https%3A%2F%2Fchuabenhthoatvidiadem.vn%2Fcach-chua-benh%2Fthuoc-dac-tri-thoat-vi-dia-dem-pid-256.html&amp;usg=AOvVaw1hHJr7wqoxZH1iiUBoOI6k" href="https://www.google.com.vn/url?sa=t&amp;rct=j&amp;q=&amp;esrc=s&amp;source=web&amp;cd=&amp;ved=2ahUKEwjnkeTetYPsAhXRBKYKHWVLDC84ChAWMAF6BAgCEAE&amp;url=https%3A%2F%2Fchuabenhthoatvidiadem.vn%2Fcach-chua-benh%2Fthuoc-dac-tri-thoat-vi-dia-dem-pid-256.html&amp;usg=AOvVaw1hHJr7wqoxZH1iiUBoOI6k" rel="noopener" style="box-sizing: border-box; margin: 0px; padding: 0px; border: 0px; outline: 0px; font-size: small; vertical-align: baseline; background: transparent; color: rgb(102, 0, 153); text-decoration-line: none; transition: all 406ms ease-out 0s; max-width: 100%; -webkit-tap-highlight-color: rgba(0, 0, 0, 0.1); cursor: pointer; font-family: arial, sans-serif;" target="_blank" title="">Bác Quế uống thuốc đỡ đau nhức, bác chia sẻ địa chỉ</a></p><p style="box-sizing: border-box; margin: 0px 0px 10px; padding: 0px; border: 0px; outline: 0px; font-size: 16px; vertical-align: baseline; background-image: initial; background-position: initial; background-size: initial; background-repeat: initial; background-attachment: initial; background-origin: initial; background-clip: initial; max-width: 100%; color: rgb(0, 0, 0); font-family: RobotoSlab-Regular, Arial, Helvetica, sans-serif;"><span style="color: rgb(0, 0, 0); font-family: RobotoSlab-Regular, Arial, Helvetica, sans-serif; font-size: 16px; text-align: justify;">Bạn đọc</span><span style="box-sizing: border-box; margin: 0px; padding: 0px; border: 0px; outline: 0px; vertical-align: baseline; background: transparent; max-width: 100%; text-align: justify;">&nbsp;nào</span><span style="box-sizing: border-box; margin: 0px; padding: 0px; border: 0px; outline: 0px; vertical-align: baseline; background: transparent; max-width: 100%;">&nbsp;ở huyện Hóc Môn, TP.HCM bấm vào đây;&nbsp;&gt;&gt;&nbsp;<a href="https://chuabenhthoatvidiadem.vn/bai-viet/ket-qua-dieu-tri-thoat-vi-dia-dem/-pid-124.html" rel="noopener" style="box-sizing: border-box; margin: 0px; padding: 0px; border: 0px; outline: 0px; font-size: small; vertical-align: baseline; background: transparent; color: rgb(102, 0, 153); text-decoration-line: none; transition: all 406ms ease-out 0s; max-width: 100%; -webkit-tap-highlight-color: rgba(0, 0, 0, 0.1); cursor: pointer; font-family: arial, sans-serif;" target="_blank" title="">Anh Phúc uống thuốc đỡ nhiều, chia sẻ địa chỉ</a></span></p><p style="box-sizing: border-box; margin: 0px 0px 10px; padding: 0px; border: 0px; outline: 0px; font-size: 16px; vertical-align: baseline; background-image: initial; background-position: initial; background-size: initial; background-repeat: initial; background-attachment: initial; background-origin: initial; background-clip: initial; max-width: 100%; color: rgb(0, 0, 0); font-family: RobotoSlab-Regular, Arial, Helvetica, sans-serif;"><span style="box-sizing: border-box; margin: 0px; padding: 0px; border: 0px; outline: 0px; vertical-align: baseline; background: transparent; max-width: 100%; text-align: justify;">Quý vị nào</span><span style="box-sizing: border-box; margin: 0px; padding: 0px; border: 0px; outline: 0px; vertical-align: baseline; background: transparent; max-width: 100%;">&nbsp;ở huyện Giang Thành, tỉnh Kiên Giang bấm vào đây; &gt;&gt;&nbsp;<a data-ctbtn="0" data-cthref="/url?sa=t&amp;rct=j&amp;q=&amp;esrc=s&amp;source=web&amp;cd=&amp;ved=2ahUKEwiX0tLkuoPsAhUjCqYKHbb3Azk4HhAWMAl6BAgKEAE&amp;url=https%3A%2F%2Fchuabenhthoatvidiadem.vn%2Fcach-chua-benh%2Fcach-chua-thoat-vi-dia-dem-cot-song-that-lung-pid-222.html&amp;usg=AOvVaw0XJ8uJ9mXsqTS0Q7SfV6IS" href="https://www.google.com.vn/url?sa=t&amp;rct=j&amp;q=&amp;esrc=s&amp;source=web&amp;cd=&amp;ved=2ahUKEwiX0tLkuoPsAhUjCqYKHbb3Azk4HhAWMAl6BAgKEAE&amp;url=https%3A%2F%2Fchuabenhthoatvidiadem.vn%2Fcach-chua-benh%2Fcach-chua-thoat-vi-dia-dem-cot-song-that-lung-pid-222.html&amp;usg=AOvVaw0XJ8uJ9mXsqTS0Q7SfV6IS" rel="noopener" style="box-sizing: border-box; margin: 0px; padding: 0px; border: 0px; outline: 0px; font-size: small; vertical-align: baseline; background: transparent; color: rgb(102, 0, 153); text-decoration-line: none; transition: all 406ms ease-out 0s; max-width: 100%; -webkit-tap-highlight-color: rgba(0, 0, 0, 0.1); cursor: pointer; font-family: arial, sans-serif;" target="_blank" title="">Anh Nhã chữa khỏi bệnh chia sẻ địa chỉ</a></span></p><p style="box-sizing: border-box; margin: 0px 0px 10px; padding: 0px; border: 0px; outline: 0px; font-size: 16px; vertical-align: baseline; background-image: initial; background-position: initial; background-size: initial; background-repeat: initial; background-attachment: initial; background-origin: initial; background-clip: initial; max-width: 100%; color: rgb(0, 0, 0); font-family: RobotoSlab-Regular, Arial, Helvetica, sans-serif;"><span style="box-sizing: border-box; margin: 0px; padding: 0px; border: 0px; outline: 0px; vertical-align: baseline; background: transparent; max-width: 100%; text-align: justify;">Quý vị nào</span>&nbsp;<span style="box-sizing: border-box; margin: 0px; padding: 0px; border: 0px; outline: 0px; vertical-align: baseline; background: transparent; max-width: 100%;">ở t</span><span style="box-sizing: border-box; margin: 0px; padding: 0px; border: 0px; outline: 0px; vertical-align: baseline; background: transparent; max-width: 100%; text-align: justify;">hị xã Buôn Hồ, tỉnh Đắk Lắk bấm vào đây; &gt;&gt;&nbsp;</span><span style="box-sizing: border-box; margin: 0px; padding: 0px; border: 0px; outline: 0px; vertical-align: baseline; background: transparent; max-width: 100%;"><a data-ctbtn="0" data-cthref="/url?sa=t&amp;rct=j&amp;q=&amp;esrc=s&amp;source=web&amp;cd=&amp;ved=2ahUKEwioxcezu4PsAhVvyYsBHYp8DkM4MhAWMAd6BAgIEAE&amp;url=https%3A%2F%2Fchuabenhthoatvidiadem.vn%2Fcach-chua-benh%2Ftri-thoat-vi-dia-dem-het-benh-het-trieu-chung-dau-lung-pid-238.html&amp;usg=AOvVaw2OybOIBXMO8Yihhzk7490r" href="https://www.google.com.vn/url?sa=t&amp;rct=j&amp;q=&amp;esrc=s&amp;source=web&amp;cd=&amp;ved=2ahUKEwioxcezu4PsAhVvyYsBHYp8DkM4MhAWMAd6BAgIEAE&amp;url=https%3A%2F%2Fchuabenhthoatvidiadem.vn%2Fcach-chua-benh%2Ftri-thoat-vi-dia-dem-het-benh-het-trieu-chung-dau-lung-pid-238.html&amp;usg=AOvVaw2OybOIBXMO8Yihhzk7490r" rel="noopener" style="box-sizing: border-box; margin: 0px; padding: 0px; border: 0px; outline: 0px; font-size: small; vertical-align: baseline; background: transparent; color: rgb(102, 0, 153); text-decoration-line: none; transition: all 406ms ease-out 0s; max-width: 100%; -webkit-tap-highlight-color: rgba(0, 0, 0, 0.1); cursor: pointer; font-family: arial, sans-serif;" target="_blank" title="">Cô Hoa chữa khỏi bệnh chia sẻ địa chỉ</a></span></p><p style="box-sizing: border-box; margin: 0px 0px 10px; padding: 0px; border: 0px; outline: 0px; font-size: 16px; vertical-align: baseline; background-image: initial; background-position: initial; background-size: initial; background-repeat: initial; background-attachment: initial; background-origin: initial; background-clip: initial; max-width: 100%; color: rgb(0, 0, 0); font-family: RobotoSlab-Regular, Arial, Helvetica, sans-serif;"><span style="box-sizing: border-box; margin: 0px; padding: 0px; border: 0px; outline: 0px; vertical-align: baseline; background: transparent; max-width: 100%; text-align: justify;">Quý vị nào</span><span style="box-sizing: border-box; margin: 0px; padding: 0px; border: 0px; outline: 0px; vertical-align: baseline; background: transparent; max-width: 100%;">&nbsp;ở TP Bảo Lộc, tỉnh Lâm Đồng bấn vào đây;</span>&nbsp;&gt;&gt;<span style="box-sizing: border-box; margin: 0px; padding: 0px; border: 0px; outline: 0px; vertical-align: baseline; background: transparent; max-width: 100%;">&nbsp;<a data-ctbtn="0" data-cthref="/url?sa=t&amp;rct=j&amp;q=&amp;esrc=s&amp;source=web&amp;cd=&amp;ved=2ahUKEwioxcezu4PsAhVvyYsBHYp8DkM4MhAWMAl6BAgJEAE&amp;url=https%3A%2F%2Fchuabenhthoatvidiadem.vn%2Fcach-chua-benh%2Fthoat-vi-dia-dem-that-lung-toi-9mm-co-chua-duoc-khong-pid-208.html&amp;usg=AOvVaw2G215Y3MOOodwfyhXCsnvE" href="https://www.google.com.vn/url?sa=t&amp;rct=j&amp;q=&amp;esrc=s&amp;source=web&amp;cd=&amp;ved=2ahUKEwioxcezu4PsAhVvyYsBHYp8DkM4MhAWMAl6BAgJEAE&amp;url=https%3A%2F%2Fchuabenhthoatvidiadem.vn%2Fcach-chua-benh%2Fthoat-vi-dia-dem-that-lung-toi-9mm-co-chua-duoc-khong-pid-208.html&amp;usg=AOvVaw2G215Y3MOOodwfyhXCsnvE" rel="noopener" style="box-sizing: border-box; margin: 0px; padding: 0px; border: 0px; outline: 0px; font-size: small; vertical-align: baseline; background: transparent; color: rgb(102, 0, 153); text-decoration-line: none; transition: all 406ms ease-out 0s; max-width: 100%; -webkit-tap-highlight-color: rgba(0, 0, 0, 0.1); cursor: pointer; font-family: arial, sans-serif;" target="_blank" title="">Anh Tuấn trị khỏi bệnh, chia sẻ&nbsp;địa chỉ</a></span></p><p style="box-sizing: border-box; margin: 0px 0px 10px; padding: 0px; border: 0px; outline: 0px; font-size: 16px; vertical-align: baseline; background-image: initial; background-position: initial; background-size: initial; background-repeat: initial; background-attachment: initial; background-origin: initial; background-clip: initial; max-width: 100%; color: rgb(0, 0, 0); font-family: RobotoSlab-Regular, Arial, Helvetica, sans-serif;"><span style="box-sizing: border-box; margin: 0px; padding: 0px; border: 0px; outline: 0px; vertical-align: baseline; background: transparent; max-width: 100%; text-align: justify;">Quý vị nào</span><span style="box-sizing: border-box; margin: 0px; padding: 0px; border: 0px; outline: 0px; vertical-align: baseline; background: transparent; max-width: 100%;">&nbsp;ở&nbsp;<span style="box-sizing: border-box; margin: 0px; padding: 0px; border: 0px; outline: 0px; vertical-align: baseline; background: transparent; max-width: 100%;">TP Mỹ Tho, tỉnh Tiền Giang&nbsp;</span>bấm vào đây; &gt;&gt;&nbsp;</span><a data-ctbtn="0" data-cthref="/url?sa=t&amp;rct=j&amp;q=&amp;esrc=s&amp;source=web&amp;cd=&amp;ved=2ahUKEwj20OSMvYPsAhVFNKYKHV9YCA84RhAWMAB6BAgEEAE&amp;url=https%3A%2F%2Fchuabenhthoatvidiadem.vn%2Fcach-chua-benh%2Fthoat-vi-dia-dem-thoai-hoa-cot-song-that-lung-uong-thuoc-gi-pid-209.html&amp;usg=AOvVaw1zTPZJ-h4JtL2RbjbS_4EN" href="https://www.google.com.vn/url?sa=t&amp;rct=j&amp;q=&amp;esrc=s&amp;source=web&amp;cd=&amp;ved=2ahUKEwj20OSMvYPsAhVFNKYKHV9YCA84RhAWMAB6BAgEEAE&amp;url=https%3A%2F%2Fchuabenhthoatvidiadem.vn%2Fcach-chua-benh%2Fthoat-vi-dia-dem-thoai-hoa-cot-song-that-lung-uong-thuoc-gi-pid-209.html&amp;usg=AOvVaw1zTPZJ-h4JtL2RbjbS_4EN" rel="noopener" style="box-sizing: border-box; margin: 0px; padding: 0px; border: 0px; outline: 0px; font-size: small; vertical-align: baseline; background: transparent; color: rgb(102, 0, 153); text-decoration-line: none; transition: all 406ms ease-out 0s; max-width: 100%; -webkit-tap-highlight-color: rgba(0, 0, 0, 0.1); cursor: pointer; font-family: arial, sans-serif;" target="_blank" title="">Anh Quang khỏi bệnh,&nbsp;chia sẻ địa chỉ</a></p><p style="box-sizing: border-box; margin: 0px 0px 10px; padding: 0px; border: 0px; outline: 0px; font-size: 16px; vertical-align: baseline; background-image: initial; background-position: initial; background-size: initial; background-repeat: initial; background-attachment: initial; background-origin: initial; background-clip: initial; max-width: 100%; color: rgb(0, 0, 0); font-family: RobotoSlab-Regular, Arial, Helvetica, sans-serif;"><span style="box-sizing: border-box; margin: 0px; padding: 0px; border: 0px; outline: 0px; vertical-align: baseline; background: transparent; max-width: 100%; text-align: justify;">Quý vị nào</span><span style="box-sizing: border-box; margin: 0px; padding: 0px; border: 0px; outline: 0px; vertical-align: baseline; background: transparent; max-width: 100%;">&nbsp;ở quận Gò Vấp, TP. HCM bấm vào đây; &gt;&gt;&nbsp;</span><a href="https://chuabenhthoatvidiadem.vn/cach-chua-benh/hoi-tham-bac-cuc-chua-benh-dau-vai-gay-cach-nay-gan-2-nam-pid-34.html" rel="noopener" style="box-sizing: border-box; margin: 0px; padding: 0px; border: 0px; outline: 0px; font-size: small; vertical-align: baseline; background: transparent; color: rgb(102, 0, 153); text-decoration-line: none; transition: all 406ms ease-out 0s; max-width: 100%; -webkit-tap-highlight-color: rgba(0, 0, 0, 0.1); cursor: pointer; font-family: arial, sans-serif;" target="_blank" title="">Bác Cúc chữa khỏi&nbsp;bệnh, chia sẻ địa chỉ&nbsp;</a></p><h3 style="box-sizing: border-box; margin: 20px 0px 10px; padding: 0px; border: 0px; outline: 0px; font-size: 24px; vertical-align: baseline; background-image: initial; background-position: initial; background-size: initial; background-repeat: initial; background-attachment: initial; background-origin: initial; background-clip: initial; font-family: RobotoSlab-Regular, Arial, Helvetica, sans-serif; line-height: inherit; color: rgb(0, 0, 0); max-width: 100%; text-align: justify;"><span style="box-sizing: border-box; margin: 0px; padding: 0px; border: 0px; outline: 0px; font-size: 16px; vertical-align: baseline; background: transparent; max-width: 100%;">Quý vị nào</span><span style="box-sizing: border-box; margin: 0px; padding: 0px; border: 0px; outline: 0px; font-size: 16px; vertical-align: baseline; background: transparent; max-width: 100%;">&nbsp;ở huyện Ba Tri, tỉnh Bến Tre&nbsp;</span><span style="box-sizing: border-box; margin: 0px; padding: 0px; border: 0px; outline: 0px; font-size: 16px; vertical-align: baseline; background: transparent; max-width: 100%;">bấm vào đây; &gt;&gt;</span><span style="box-sizing: border-box; margin: 0px; padding: 0px; border: 0px; outline: 0px; font-size: 16px; vertical-align: baseline; background: transparent; max-width: 100%;">&nbsp;</span><a data-ctbtn="0" data-cthref="/url?sa=t&amp;rct=j&amp;q=&amp;esrc=s&amp;source=web&amp;cd=&amp;ved=2ahUKEwj20OSMvYPsAhVFNKYKHV9YCA84RhAWMAR6BAgCEAE&amp;url=https%3A%2F%2Fchuabenhthoatvidiadem.vn%2Fcach-chua-benh%2Fchua-benh-dau-cot-song-thoat-vi-dia-dem-la-nguyen-nhan-hang-dau-pid-143.html&amp;usg=AOvVaw1O-z0RQ3TEw6aOuXrFjGIx" href="https://www.google.com.vn/url?sa=t&amp;rct=j&amp;q=&amp;esrc=s&amp;source=web&amp;cd=&amp;ved=2ahUKEwj20OSMvYPsAhVFNKYKHV9YCA84RhAWMAR6BAgCEAE&amp;url=https%3A%2F%2Fchuabenhthoatvidiadem.vn%2Fcach-chua-benh%2Fchua-benh-dau-cot-song-thoat-vi-dia-dem-la-nguyen-nhan-hang-dau-pid-143.html&amp;usg=AOvVaw1O-z0RQ3TEw6aOuXrFjGIx" rel="noopener" style="box-sizing: border-box; margin: 0px; padding: 0px; border: 0px; outline: 0px; font-size: small; vertical-align: baseline; background: transparent; color: rgb(102, 0, 153); text-decoration-line: none; transition: all 406ms ease-out 0s; max-width: 100%; -webkit-tap-highlight-color: rgba(0, 0, 0, 0.1); cursor: pointer; font-family: arial, sans-serif;" target="_blank" title="">Chị Xương chữa khỏi bệnh, chia sẻ địa chỉ&nbsp;</a></h3><p style="box-sizing: border-box; margin: 0px 0px 10px; padding: 0px; border: 0px; outline: 0px; font-size: 16px; vertical-align: baseline; background-image: initial; background-position: initial; background-size: initial; background-repeat: initial; background-attachment: initial; background-origin: initial; background-clip: initial; max-width: 100%; color: rgb(0, 0, 0); font-family: RobotoSlab-Regular, Arial, Helvetica, sans-serif;"><span style="box-sizing: border-box; margin: 0px; padding: 0px; border: 0px; outline: 0px; vertical-align: baseline; background: transparent; max-width: 100%; text-align: justify;">Quý bạn đọc nào</span><span style="box-sizing: border-box; margin: 0px; padding: 0px; border: 0px; outline: 0px; vertical-align: baseline; background: transparent; max-width: 100%;">&nbsp;ở thị trấn&nbsp;</span><span style="box-sizing: border-box; margin: 0px; padding: 0px; border: 0px; outline: 0px; vertical-align: baseline; background: transparent; max-width: 100%; text-align: justify;">Cần Giuộc, tỉnh&nbsp;Long An bấm&nbsp;</span><span style="box-sizing: border-box; margin: 0px; padding: 0px; border: 0px; outline: 0px; vertical-align: baseline; background: transparent; max-width: 100%;">vào đây; &gt;&gt;&nbsp;</span><a data-ctbtn="0" data-cthref="/url?sa=t&amp;rct=j&amp;q=&amp;esrc=s&amp;source=web&amp;cd=&amp;ved=2ahUKEwjYnMrHvoPsAhUMVpQKHdhzDuw4UBAWMAB6BAgEEAE&amp;url=https%3A%2F%2Fchuabenhthoatvidiadem.vn%2Fcach-chua-benh%2Fthoat-vi-dia-dem-l5-s1-gai-va-thoai-hoa-cot-song-that-lung-pid-205.html&amp;usg=AOvVaw0HzSKtyFB863Vt_azShCtb" href="https://www.google.com.vn/url?sa=t&amp;rct=j&amp;q=&amp;esrc=s&amp;source=web&amp;cd=&amp;ved=2ahUKEwjYnMrHvoPsAhUMVpQKHdhzDuw4UBAWMAB6BAgEEAE&amp;url=https%3A%2F%2Fchuabenhthoatvidiadem.vn%2Fcach-chua-benh%2Fthoat-vi-dia-dem-l5-s1-gai-va-thoai-hoa-cot-song-that-lung-pid-205.html&amp;usg=AOvVaw0HzSKtyFB863Vt_azShCtb" rel="noopener" style="box-sizing: border-box; margin: 0px; padding: 0px; border: 0px; outline: 0px; font-size: small; vertical-align: baseline; background: transparent; color: rgb(102, 0, 153); text-decoration-line: none; transition: all 406ms ease-out 0s; max-width: 100%; -webkit-tap-highlight-color: rgba(0, 0, 0, 0.1); cursor: pointer; font-family: arial, sans-serif;" target="_blank" title="">Chị Nga chũa khỏi bệnh, chia sẻ địa chỉ</a></p><p style="box-sizing: border-box; margin: 0px 0px 10px; padding: 0px; border: 0px; outline: 0px; font-size: 16px; vertical-align: baseline; background-image: initial; background-position: initial; background-size: initial; background-repeat: initial; background-attachment: initial; background-origin: initial; background-clip: initial; max-width: 100%; color: rgb(0, 0, 0); font-family: RobotoSlab-Regular, Arial, Helvetica, sans-serif;"><span style="box-sizing: border-box; margin: 0px; padding: 0px; border: 0px; outline: 0px; vertical-align: baseline; background: transparent; max-width: 100%; text-align: justify;">Quý bạn đọc&nbsp;</span><span style="box-sizing: border-box; margin: 0px; padding: 0px; border: 0px; outline: 0px; vertical-align: baseline; background: transparent; max-width: 100%; text-align: justify;">nào</span><span style="box-sizing: border-box; margin: 0px; padding: 0px; border: 0px; outline: 0px; vertical-align: baseline; background: transparent; max-width: 100%;">&nbsp;ở&nbsp;</span><span style="box-sizing: border-box; margin: 0px; padding: 0px; border: 0px; outline: 0px; vertical-align: baseline; background: transparent; max-width: 100%;">&nbsp;huyện Lai Vung, tỉnh Đồng Tháp</span><span style="box-sizing: border-box; margin: 0px; padding: 0px; border: 0px; outline: 0px; vertical-align: baseline; background: transparent; max-width: 100%; text-align: justify;">&nbsp;bấm&nbsp;</span><span style="box-sizing: border-box; margin: 0px; padding: 0px; border: 0px; outline: 0px; vertical-align: baseline; background: transparent; max-width: 100%;">vào đây; &gt;&gt;&nbsp;</span><a data-ctbtn="0" data-cthref="/url?sa=t&amp;rct=j&amp;q=&amp;esrc=s&amp;source=web&amp;cd=&amp;ved=2ahUKEwjYnMrHvoPsAhUMVpQKHdhzDuw4UBAWMAJ6BAgKEAE&amp;url=https%3A%2F%2Fchuabenhthoatvidiadem.vn%2Fcach-chua-benh%2Fchua-thoat-vi-dia-dem-cot-song-that-lung-khoi-han-khong-phai-mo-pid-74.html&amp;usg=AOvVaw1Bzb8cJjof6Ar_6waEfM3f" href="https://www.google.com.vn/url?sa=t&amp;rct=j&amp;q=&amp;esrc=s&amp;source=web&amp;cd=&amp;ved=2ahUKEwjYnMrHvoPsAhUMVpQKHdhzDuw4UBAWMAJ6BAgKEAE&amp;url=https%3A%2F%2Fchuabenhthoatvidiadem.vn%2Fcach-chua-benh%2Fchua-thoat-vi-dia-dem-cot-song-that-lung-khoi-han-khong-phai-mo-pid-74.html&amp;usg=AOvVaw1Bzb8cJjof6Ar_6waEfM3f" rel="noopener" style="box-sizing: border-box; margin: 0px; padding: 0px; border: 0px; outline: 0px; font-size: small; vertical-align: baseline; background: transparent; color: rgb(102, 0, 153); text-decoration-line: none; transition: all 406ms ease-out 0s; max-width: 100%; -webkit-tap-highlight-color: rgba(0, 0, 0, 0.1); cursor: pointer; font-family: arial, sans-serif;" target="_blank" title="">Anh Dùm chữa khỏi bệnh, chia sẻ địa chỉ</a></p><p style="box-sizing: border-box; margin: 0px 0px 10px; padding: 0px; border: 0px; outline: 0px; font-size: 16px; vertical-align: baseline; background-image: initial; background-position: initial; background-size: initial; background-repeat: initial; background-attachment: initial; background-origin: initial; background-clip: initial; max-width: 100%; color: rgb(0, 0, 0); font-family: RobotoSlab-Regular, Arial, Helvetica, sans-serif;"><span style="box-sizing: border-box; margin: 0px; padding: 0px; border: 0px; outline: 0px; vertical-align: baseline; background: transparent; max-width: 100%; text-align: justify;">Quý bạn đọc&nbsp;</span><span style="box-sizing: border-box; margin: 0px; padding: 0px; border: 0px; outline: 0px; vertical-align: baseline; background: transparent; max-width: 100%; text-align: justify;">nào</span><span style="box-sizing: border-box; margin: 0px; padding: 0px; border: 0px; outline: 0px; vertical-align: baseline; background: transparent; max-width: 100%;">&nbsp;ở&nbsp;</span><span style="box-sizing: border-box; margin: 0px; padding: 0px; border: 0px; outline: 0px; vertical-align: baseline; background: transparent; max-width: 100%;">huyện Châu Thành, tỉnh Bến Tre</span><span style="box-sizing: border-box; margin: 0px; padding: 0px; border: 0px; outline: 0px; vertical-align: baseline; background: transparent; max-width: 100%; text-align: justify;">&nbsp;bấm&nbsp;</span><span style="box-sizing: border-box; margin: 0px; padding: 0px; border: 0px; outline: 0px; vertical-align: baseline; background: transparent; max-width: 100%;">vào đây; &gt;&gt;&nbsp;</span><a data-ctbtn="0" data-cthref="/url?sa=t&amp;rct=j&amp;q=&amp;esrc=s&amp;source=web&amp;cd=&amp;ved=2ahUKEwjYnMrHvoPsAhUMVpQKHdhzDuw4UBAWMAN6BAgDEAE&amp;url=https%3A%2F%2Fchuabenhthoatvidiadem.vn%2Fcach-chua-benh%2Fbenh-thoat-vi-dia-dem-cot-song-co-nhieu-tang-co-chua-duoc-khong-pid-68.html&amp;usg=AOvVaw1JbElGf7eS07-2ycKDaqHF" href="https://www.google.com.vn/url?sa=t&amp;rct=j&amp;q=&amp;esrc=s&amp;source=web&amp;cd=&amp;ved=2ahUKEwjYnMrHvoPsAhUMVpQKHdhzDuw4UBAWMAN6BAgDEAE&amp;url=https%3A%2F%2Fchuabenhthoatvidiadem.vn%2Fcach-chua-benh%2Fbenh-thoat-vi-dia-dem-cot-song-co-nhieu-tang-co-chua-duoc-khong-pid-68.html&amp;usg=AOvVaw1JbElGf7eS07-2ycKDaqHF" rel="noopener" style="box-sizing: border-box; margin: 0px; padding: 0px; border: 0px; outline: 0px; font-size: small; vertical-align: baseline; background: transparent; color: rgb(102, 0, 153); text-decoration-line: none; transition: all 406ms ease-out 0s; max-width: 100%; -webkit-tap-highlight-color: rgba(0, 0, 0, 0.1); cursor: pointer; font-family: arial, sans-serif;" target="_blank" title="">Anh Lê chữa khỏi bệnh, chi sẻ địa chỉ&nbsp;</a></p><p style="box-sizing: border-box; margin: 0px 0px 10px; padding: 0px; border: 0px; outline: 0px; font-size: 16px; vertical-align: baseline; background-image: initial; background-position: initial; background-size: initial; background-repeat: initial; background-attachment: initial; background-origin: initial; background-clip: initial; max-width: 100%; color: rgb(0, 0, 0); font-family: RobotoSlab-Regular, Arial, Helvetica, sans-serif;"><span style="box-sizing: border-box; margin: 0px; padding: 0px; border: 0px; outline: 0px; vertical-align: baseline; background: transparent; max-width: 100%; text-align: justify;">Quý bạn đọc&nbsp;</span><span style="box-sizing: border-box; margin: 0px; padding: 0px; border: 0px; outline: 0px; vertical-align: baseline; background: transparent; max-width: 100%; text-align: justify;">nào</span><span style="box-sizing: border-box; margin: 0px; padding: 0px; border: 0px; outline: 0px; vertical-align: baseline; background: transparent; max-width: 100%;">&nbsp;ở&nbsp;</span><span style="box-sizing: border-box; margin: 0px; padding: 0px; border: 0px; outline: 0px; vertical-align: baseline; background: transparent; max-width: 100%; text-align: justify;">&nbsp;</span><span style="box-sizing: border-box; margin: 0px; padding: 0px; border: 0px; outline: 0px; vertical-align: baseline; background: transparent; max-width: 100%;">huyện Cầu Kè, tỉnh Trà Vinh&nbsp;</span><span style="box-sizing: border-box; margin: 0px; padding: 0px; border: 0px; outline: 0px; vertical-align: baseline; background: transparent; max-width: 100%; text-align: justify;">bấm&nbsp;</span><span style="box-sizing: border-box; margin: 0px; padding: 0px; border: 0px; outline: 0px; vertical-align: baseline; background: transparent; max-width: 100%;">vào đây; &gt;&gt;&nbsp;</span><a data-ctbtn="0" data-cthref="/url?sa=t&amp;rct=j&amp;q=&amp;esrc=s&amp;source=web&amp;cd=&amp;ved=2ahUKEwjYnMrHvoPsAhUMVpQKHdhzDuw4UBAWMAd6BAgGEAE&amp;url=https%3A%2F%2Fchuabenhthoatvidiadem.vn%2Fcach-chua-benh%2Fthuoc-chua-thoat-vi-dia-dem-toi-uong-20-thang-het-dau-roi-thay-pid-127.html&amp;usg=AOvVaw2u5HzYzdTeButj_KLlb3I1" href="https://www.google.com.vn/url?sa=t&amp;rct=j&amp;q=&amp;esrc=s&amp;source=web&amp;cd=&amp;ved=2ahUKEwjYnMrHvoPsAhUMVpQKHdhzDuw4UBAWMAd6BAgGEAE&amp;url=https%3A%2F%2Fchuabenhthoatvidiadem.vn%2Fcach-chua-benh%2Fthuoc-chua-thoat-vi-dia-dem-toi-uong-20-thang-het-dau-roi-thay-pid-127.html&amp;usg=AOvVaw2u5HzYzdTeButj_KLlb3I1" rel="noopener" style="box-sizing: border-box; margin: 0px; padding: 0px; border: 0px; outline: 0px; font-size: small; vertical-align: baseline; background: transparent; color: rgb(102, 0, 153); text-decoration-line: none; transition: all 406ms ease-out 0s; max-width: 100%; -webkit-tap-highlight-color: rgba(0, 0, 0, 0.1); cursor: pointer; font-family: arial, sans-serif;" target="_blank" title="">Chị Linh điều trị khỏi bệnh, chi sẻ</a></p><p style="box-sizing: border-box; margin: 0px 0px 10px; padding: 0px; border: 0px; outline: 0px; font-size: 16px; vertical-align: baseline; background-image: initial; background-position: initial; background-size: initial; background-repeat: initial; background-attachment: initial; background-origin: initial; background-clip: initial; max-width: 100%; color: rgb(0, 0, 0); font-family: RobotoSlab-Regular, Arial, Helvetica, sans-serif;"><span style="box-sizing: border-box; margin: 0px; padding: 0px; border: 0px; outline: 0px; vertical-align: baseline; background: transparent; max-width: 100%;">Ai ở&nbsp;</span><span style="box-sizing: border-box; margin: 0px; padding: 0px; border: 0px; outline: 0px; vertical-align: baseline; background: transparent; max-width: 100%; text-align: justify;">&nbsp;TP Rạch Giá, tỉnh Kiên Giang Việt Nam&nbsp;</span><span style="box-sizing: border-box; margin: 0px; padding: 0px; border: 0px; outline: 0px; vertical-align: baseline; background: transparent; max-width: 100%; text-align: justify;">bấm&nbsp;</span><span style="box-sizing: border-box; margin: 0px; padding: 0px; border: 0px; outline: 0px; vertical-align: baseline; background: transparent; max-width: 100%;">vào đây; &gt;&gt;&nbsp;</span><a data-ctbtn="0" data-cthref="/url?sa=t&amp;rct=j&amp;q=&amp;esrc=s&amp;source=web&amp;cd=&amp;ved=2ahUKEwjYnMrHvoPsAhUMVpQKHdhzDuw4UBAWMAl6BAgJEAE&amp;url=https%3A%2F%2Fchuabenhthoatvidiadem.vn%2Fcach-chua-benh%2Fkhoi-thoat-vi-dia-dem-cot-song-that-lung-sau-hon-1-thang-dieu-tri-pid-37.html&amp;usg=AOvVaw1sX5Ia5zvkBDTAcdosUWAB" href="https://www.google.com.vn/url?sa=t&amp;rct=j&amp;q=&amp;esrc=s&amp;source=web&amp;cd=&amp;ved=2ahUKEwjYnMrHvoPsAhUMVpQKHdhzDuw4UBAWMAl6BAgJEAE&amp;url=https%3A%2F%2Fchuabenhthoatvidiadem.vn%2Fcach-chua-benh%2Fkhoi-thoat-vi-dia-dem-cot-song-that-lung-sau-hon-1-thang-dieu-tri-pid-37.html&amp;usg=AOvVaw1sX5Ia5zvkBDTAcdosUWAB" rel="noopener" style="box-sizing: border-box; margin: 0px; padding: 0px; border: 0px; outline: 0px; font-size: small; vertical-align: baseline; background: transparent; color: rgb(102, 0, 153); text-decoration-line: none; transition: all 406ms ease-out 0s; max-width: 100%; -webkit-tap-highlight-color: rgba(0, 0, 0, 0.1); cursor: pointer; font-family: arial, sans-serif;" target="_blank" title="">Bà Hảo trị khỏi bệnh, chia sẻ địa chỉ&nbsp;</a></p><p style="box-sizing: border-box; margin: 0px 0px 10px; padding: 0px; border: 0px; outline: 0px; font-size: 16px; vertical-align: baseline; background-image: initial; background-position: initial; background-size: initial; background-repeat: initial; background-attachment: initial; background-origin: initial; background-clip: initial; max-width: 100%; color: rgb(0, 0, 0); font-family: RobotoSlab-Regular, Arial, Helvetica, sans-serif;"><span style="box-sizing: border-box; margin: 0px; padding: 0px; border: 0px; outline: 0px; vertical-align: baseline; background: transparent; max-width: 100%;">Ai ở</span><span style="box-sizing: border-box; margin: 0px; padding: 0px; border: 0px; outline: 0px; vertical-align: baseline; background: transparent; max-width: 100%; text-align: justify;">&nbsp;</span><span style="box-sizing: border-box; margin: 0px; padding: 0px; border: 0px; outline: 0px; vertical-align: baseline; background: transparent; max-width: 100%;">Tp Bảo Lộc, tỉnh Lâm Đồng, bấm&nbsp;</span><span style="box-sizing: border-box; margin: 0px; padding: 0px; border: 0px; outline: 0px; vertical-align: baseline; background: transparent; max-width: 100%;">vào đây; &gt;&gt;&nbsp;</span><a data-ctbtn="0" data-cthref="/url?sa=t&amp;rct=j&amp;q=&amp;esrc=s&amp;source=web&amp;cd=&amp;ved=2ahUKEwi7sJb-wIPsAhVBL6YKHQiHDMc4WhAWMAB6BAgDEAE&amp;url=https%3A%2F%2Fchuabenhthoatvidiadem.vn%2Fcach-chua-benh%2Fthuoc-chua-thoat-vi-dia-dem-tot-qua-em-het-te-chan-roi-bac-si-pid-236.html&amp;usg=AOvVaw2eNN39e3u82IKV3Oo4lAWl" href="https://www.google.com.vn/url?sa=t&amp;rct=j&amp;q=&amp;esrc=s&amp;source=web&amp;cd=&amp;ved=2ahUKEwi7sJb-wIPsAhVBL6YKHQiHDMc4WhAWMAB6BAgDEAE&amp;url=https%3A%2F%2Fchuabenhthoatvidiadem.vn%2Fcach-chua-benh%2Fthuoc-chua-thoat-vi-dia-dem-tot-qua-em-het-te-chan-roi-bac-si-pid-236.html&amp;usg=AOvVaw2eNN39e3u82IKV3Oo4lAWl" rel="noopener" style="box-sizing: border-box; margin: 0px; padding: 0px; border: 0px; outline: 0px; font-size: small; vertical-align: baseline; background: transparent; color: rgb(102, 0, 153); text-decoration-line: none; transition: all 406ms ease-out 0s; max-width: 100%; -webkit-tap-highlight-color: rgba(0, 0, 0, 0.1); cursor: pointer; font-family: arial, sans-serif;" target="_blank" title="">Anh Nhiên điều trị khỏi bệnh, chia sẻ địa chỉ&nbsp;</a></p><p style="box-sizing: border-box; margin: 0px 0px 10px; padding: 0px; border: 0px; outline: 0px; font-size: 16px; vertical-align: baseline; background-image: initial; background-position: initial; background-size: initial; background-repeat: initial; background-attachment: initial; background-origin: initial; background-clip: initial; max-width: 100%; color: rgb(0, 0, 0); font-family: RobotoSlab-Regular, Arial, Helvetica, sans-serif; text-align: justify;"><span style="box-sizing: border-box; margin: 0px; padding: 0px; border: 0px; outline: 0px; vertical-align: baseline; background: transparent; max-width: 100%;">Ai ở phường 25,&nbsp;q</span><span style="box-sizing: border-box; margin: 0px; padding: 0px; border: 0px; outline: 0px; vertical-align: baseline; background: transparent; max-width: 100%;">uận Bình Thạnh, TP. HCM&nbsp;</span><span style="box-sizing: border-box; margin: 0px; padding: 0px; border: 0px; outline: 0px; vertical-align: baseline; background: transparent; max-width: 100%;">bấm&nbsp;</span><span style="box-sizing: border-box; margin: 0px; padding: 0px; border: 0px; outline: 0px; vertical-align: baseline; background: transparent; max-width: 100%;">vào đây; &gt;&gt;&nbsp;</span><a data-ctbtn="0" data-cthref="/url?sa=t&amp;rct=j&amp;q=&amp;esrc=s&amp;source=web&amp;cd=&amp;ved=2ahUKEwi7sJb-wIPsAhVBL6YKHQiHDMc4WhAWMAJ6BAgCEAE&amp;url=https%3A%2F%2Fchuabenhthoatvidiadem.vn%2Fcach-chua-benh%2Fchua-thoat-vi-dia-dem-tot-nguoi-benh-ke-gia-toi-gap-thay-som-hon-pid-229.html&amp;usg=AOvVaw2TIvmw3f5HhFYN1tti0vBP" href="https://www.google.com.vn/url?sa=t&amp;rct=j&amp;q=&amp;esrc=s&amp;source=web&amp;cd=&amp;ved=2ahUKEwi7sJb-wIPsAhVBL6YKHQiHDMc4WhAWMAJ6BAgCEAE&amp;url=https%3A%2F%2Fchuabenhthoatvidiadem.vn%2Fcach-chua-benh%2Fchua-thoat-vi-dia-dem-tot-nguoi-benh-ke-gia-toi-gap-thay-som-hon-pid-229.html&amp;usg=AOvVaw2TIvmw3f5HhFYN1tti0vBP" rel="noopener" style="box-sizing: border-box; margin: 0px; padding: 0px; border: 0px; outline: 0px; font-size: small; vertical-align: baseline; background: transparent; color: rgb(102, 0, 153); text-decoration-line: none; transition: all 406ms ease-out 0s; max-width: 100%; -webkit-tap-highlight-color: rgba(0, 0, 0, 0.1); cursor: pointer; font-family: arial, sans-serif;" target="_blank" title="">Bà Hoa chữa bệnh đỡ nhiều, chia sẻ&nbsp;</a></p><p style="box-sizing: border-box; margin: 0px 0px 10px; padding: 0px; border: 0px; outline: 0px; font-size: 16px; vertical-align: baseline; background-image: initial; background-position: initial; background-size: initial; background-repeat: initial; background-attachment: initial; background-origin: initial; background-clip: initial; max-width: 100%; color: rgb(0, 0, 0); font-family: RobotoSlab-Regular, Arial, Helvetica, sans-serif;"><span style="box-sizing: border-box; margin: 0px; padding: 0px; border: 0px; outline: 0px; vertical-align: baseline; background: transparent; max-width: 100%; text-align: justify;">Quý bạn đọc&nbsp;</span><span style="box-sizing: border-box; margin: 0px; padding: 0px; border: 0px; outline: 0px; vertical-align: baseline; background: transparent; max-width: 100%; text-align: justify;">nào</span><span style="box-sizing: border-box; margin: 0px; padding: 0px; border: 0px; outline: 0px; vertical-align: baseline; background: transparent; max-width: 100%;">&nbsp;ở TP Mỹ Tho, tỉnh Tiền Giang</span><span style="box-sizing: border-box; margin: 0px; padding: 0px; border: 0px; outline: 0px; vertical-align: baseline; background: transparent; max-width: 100%; text-align: justify;">&nbsp;bấm&nbsp;</span><span style="box-sizing: border-box; margin: 0px; padding: 0px; border: 0px; outline: 0px; vertical-align: baseline; background: transparent; max-width: 100%;">vào đây; &gt;&gt;&nbsp;</span><a data-ctbtn="0" data-cthref="/url?sa=t&amp;rct=j&amp;q=&amp;esrc=s&amp;source=web&amp;cd=&amp;ved=2ahUKEwi7sJb-wIPsAhVBL6YKHQiHDMc4WhAWMAN6BAgEEAE&amp;url=https%3A%2F%2Fchuabenhthoatvidiadem.vn%2Fcach-chua-benh%2Fvao-google-go-chu-chua-thoat-vi-dia-dem-gap-luong-y-nguyen-van-minh-pid-242.html&amp;usg=AOvVaw3bC8btW_2HMrF5fj1lV-LU" href="https://www.google.com.vn/url?sa=t&amp;rct=j&amp;q=&amp;esrc=s&amp;source=web&amp;cd=&amp;ved=2ahUKEwi7sJb-wIPsAhVBL6YKHQiHDMc4WhAWMAN6BAgEEAE&amp;url=https%3A%2F%2Fchuabenhthoatvidiadem.vn%2Fcach-chua-benh%2Fvao-google-go-chu-chua-thoat-vi-dia-dem-gap-luong-y-nguyen-van-minh-pid-242.html&amp;usg=AOvVaw3bC8btW_2HMrF5fj1lV-LU" rel="noopener" style="box-sizing: border-box; margin: 0px; padding: 0px; border: 0px; outline: 0px; font-size: small; vertical-align: baseline; background: transparent; color: rgb(102, 0, 153); text-decoration-line: none; transition: all 406ms ease-out 0s; max-width: 100%; -webkit-tap-highlight-color: rgba(0, 0, 0, 0.1); cursor: pointer; font-family: arial, sans-serif;" target="_blank" title="">Anh Phong chữa khỏi bệnh, chia sẻ địa chỉ</a></p><p style="box-sizing: border-box; margin: 0px 0px 10px; padding: 0px; border: 0px; outline: 0px; font-size: 16px; vertical-align: baseline; background-image: initial; background-position: initial; background-size: initial; background-repeat: initial; background-attachment: initial; background-origin: initial; background-clip: initial; max-width: 100%; color: rgb(0, 0, 0); font-family: RobotoSlab-Regular, Arial, Helvetica, sans-serif;"><span style="box-sizing: border-box; margin: 0px; padding: 0px; border: 0px; outline: 0px; vertical-align: baseline; background: transparent; max-width: 100%; text-align: justify;">Quý bạn đọc&nbsp;</span><span style="box-sizing: border-box; margin: 0px; padding: 0px; border: 0px; outline: 0px; vertical-align: baseline; background: transparent; max-width: 100%; text-align: justify;">nào</span><span style="box-sizing: border-box; margin: 0px; padding: 0px; border: 0px; outline: 0px; vertical-align: baseline; background: transparent; max-width: 100%;">&nbsp;ở&nbsp;</span><span style="box-sizing: border-box; margin: 0px; padding: 0px; border: 0px; outline: 0px; vertical-align: baseline; background: transparent; max-width: 100%;">phường Bến Thành, Quận 1, TP.HCM</span><span style="box-sizing: border-box; margin: 0px; padding: 0px; border: 0px; outline: 0px; vertical-align: baseline; background: transparent; max-width: 100%; text-align: justify;">&nbsp;bấm&nbsp;</span><span style="box-sizing: border-box; margin: 0px; padding: 0px; border: 0px; outline: 0px; vertical-align: baseline; background: transparent; max-width: 100%;">vào đây; &gt;&gt;&nbsp;</span><a data-ctbtn="0" data-cthref="/url?sa=t&amp;rct=j&amp;q=&amp;esrc=s&amp;source=web&amp;cd=&amp;ved=2ahUKEwi7sJb-wIPsAhVBL6YKHQiHDMc4WhAWMAZ6BAgHEAE&amp;url=https%3A%2F%2Fchuabenhthoatvidiadem.vn%2Fcach-chua-benh%2Fchi-van-o-quan-1-tp-hcm-khoi-thoat-vi-dia-dem-khong-tai-phat--pid-19.html&amp;usg=AOvVaw0hVpHnPPfU9Tdt65XbTmCd" href="https://www.google.com.vn/url?sa=t&amp;rct=j&amp;q=&amp;esrc=s&amp;source=web&amp;cd=&amp;ved=2ahUKEwi7sJb-wIPsAhVBL6YKHQiHDMc4WhAWMAZ6BAgHEAE&amp;url=https%3A%2F%2Fchuabenhthoatvidiadem.vn%2Fcach-chua-benh%2Fchi-van-o-quan-1-tp-hcm-khoi-thoat-vi-dia-dem-khong-tai-phat--pid-19.html&amp;usg=AOvVaw0hVpHnPPfU9Tdt65XbTmCd" rel="noopener" style="box-sizing: border-box; margin: 0px; padding: 0px; border: 0px; outline: 0px; font-size: small; vertical-align: baseline; background: transparent; color: rgb(102, 0, 153); text-decoration-line: none; transition: all 406ms ease-out 0s; max-width: 100%; -webkit-tap-highlight-color: rgba(0, 0, 0, 0.1); cursor: pointer; font-family: arial, sans-serif;" target="_blank" title="">Chị Vân chữa khỏi bệnh, chia sẻ&nbsp;</a></p><p class="LC20lb DKV0Md" style="box-sizing: border-box; margin: 0px 0px 3px; padding: 4px 0px 0px; border: 0px; outline: 0px; font-size: 20px; vertical-align: baseline; background-image: initial; background-position: initial; background-size: initial; background-repeat: initial; background-attachment: initial; background-origin: initial; background-clip: initial; font-family: RobotoSlab-Regular, Arial, Helvetica, sans-serif; line-height: 1.3; color: rgb(0, 0, 0); max-width: 100%; display: inline-block;">&nbsp;<span style="font-size:16px;">Có thể bạn quan tâm:</span>&nbsp;<a href="https://chuabenhthoatvidiadem.vn/cach-chua-benh/thoat-vi-dia-dem-bao-lau-thi-khoi-pid-272.html" rel="noopener" style="box-sizing: border-box; margin: 0px; padding: 0px; border: 0px; outline: 0px; font-size: small; vertical-align: baseline; background: transparent; color: rgb(102, 0, 153); text-decoration-line: none; transition: all 406ms ease-out 0s; max-width: 100%; -webkit-tap-highlight-color: rgba(0, 0, 0, 0.1); cursor: pointer; font-family: arial, sans-serif;" target="_blank" title="">Chữa thoát vị đĩa đệm bao lâu thì khỏi</a></p><p style="text-align: justify;"><span style="font-size:16px;">P/s: Phòng khám&nbsp;chỉ đăng tin, ghi hình, chụp ảnh&nbsp; khi có sự đồng ý của quý bệnh nhân. Tôi coi đây là niềm động viên, khích lệ để càng ngày càng chữa được cho nhiều người khỏi bệnh. Tôi xin chân thành biết ơn những tấm lòng tốt của quý bệnh nhân đã đồng ý cho chia sẻ địa chỉ,&nbsp;thông tin chữa bệnh tại trang web này.&nbsp;</span></p><p style="text-align: justify;"><span style="color: rgb(0, 0, 0); font-family: RobotoSlab-Regular, Arial, Helvetica, sans-serif; font-size: 16px; text-align: justify;">&nbsp;L</span><span style="box-sizing: border-box; margin: 0px; padding: 0px; border: 0px; outline: 0px; font-size: 16px; vertical-align: baseline; background-image: initial; background-position: initial; background-size: initial; background-repeat: initial; background-attachment: initial; background-origin: initial; background-clip: initial; max-width: 100%; color: rgb(0, 0, 0); font-family: RobotoSlab-Regular, Arial, Helvetica, sans-serif; text-align: justify;">ương y Nguyễn văn Minh chữa thoát vị đĩa đệm&nbsp;tại địa chỉ:&nbsp;856/6 đường Quang Trung, P 8, quận Gò Vấp, TP.HCM. Điện thoại/ Zalo: 0913503552- (028).62951367</span></p><h4 class="r" style="font-size: 18px; margin: 0px; padding: 0px; overflow: hidden; text-overflow: ellipsis; white-space: nowrap; color: rgb(34, 34, 34); font-family: arial, sans-serif;"><span style="font-size:16px;">Trang web chuyên sâu bệnh thoát vị đĩa đệm;</span></h4><h3 class="r" style="font-size: 18px; margin: 0px; padding: 0px; overflow: hidden; text-overflow: ellipsis; white-space: nowrap;"><a data-="" href="https://www.google.com.vn/url?sa=t&amp;rct=j&amp;q=&amp;esrc=s&amp;source=web&amp;cd=1&amp;ved=0ahUKEwicspqEvfrRAhVTtJQKHekpCb4QFggXMAA&amp;url=http%3A%2F%2Fchuabenhthoatvidiadem.vn%2F&amp;usg=AFQjCNHLNWkYYfIBYhvpYBPA77wEVmAQpw&amp;sig2=Otlbp9GvyB3YgeDz2Yaa9Q&amp;bvm=bv.146094739,d.dGc" style="color: rgb(102, 0, 153); cursor: pointer;" title="">Thuốc đặc trị thoát vị đĩa đệm</a></h3><div class="s" style="max-width: 48em; color: rgb(84, 84, 84); line-height: 18px;"><div class="f kv _SWb" style="color: rgb(128, 128, 128); height: 18px; line-height: 16px; font-family: arial, sans-serif; font-size: small; white-space: nowrap;"><cite class="_Rm" style="color: rgb(0, 102, 33); font-style: normal; font-size: 14px;">chuabenhthoatvidiadem.vn</cite><div class="action-menu ab_ctl" style="display: inline; position: relative; margin: 1px 3px 0px; user-select: none; vertical-align: middle;"><div class="action-menu-panel ab_dropdown" data-ved="0ahUKEwicspqEvfrRAhVTtJQKHekpCb4QqR8IGTAA" jsaction="keydown:m.hdke;mouseover:m.hdhne;mouseout:m.hdhue" role="menu" style="background-image: initial; background-position: initial; background-size: initial; background-repeat: initial; background-attachment: initial; background-origin: initial; background-clip: initial; border: 1px solid rgba(0, 0, 0, 0.2); font-size: 13px; padding: 0px; position: absolute; right: auto; top: 12px; z-index: 3; transition: opacity 0.218s; box-shadow: rgba(0, 0, 0, 0.2) 0px 2px 4px; left: 0px; visibility: hidden;" tabindex="-1"><ol style="margin: 0px; padding-right: 0px; padding-left: 0px; border: 0px;"><li class="action-menu-item ab_dropdownitem" role="menuitem" style="margin: 0px; padding: 0px; border: 0px; list-style: none; user-select: none; cursor: pointer;">&nbsp;</li></ol></div></div></div></div>]]></content:encoded>
						<wfw:commentRss></wfw:commentRss>
						<slash:comments>0</slash:comments>
					</item>
				
					<item>
						<title>Khỏi thoát vị đĩa đệm cột sống cổ nhờ bài thuốc đặc trị của lương y Nguyễn Văn Minh.</title>
						<link>https://chuabenhthoatvidiadem.vn/bai-viet/ket-qua-dieu-tri-thoat-vi-dia-dem/khoi-thoat-vi-dia-dem-cot-song-co-nho-bai-thuoc-dac-tri-cua-luong-y-nguyen-van-minh-pid-63.html</link>
						<comments></comments>
						<pubDate>Mon, 02 Jan 2017 09:55:49 +0700</pubDate>
						<dc:creator>admin</dc:creator>
						<category><![CDATA[Kết quả điều trị thoát vị đĩa đệm]]></category>
						<guid isPermaLink="false"></guid>
						<description><![CDATA[Lương y Nguyễn Văn Minh có trên 20 năm kinh nghiệm chữa bệnh thoát vị đĩa đệm, đã điều trị thoát vị đĩa đệm cho rất nhiều người khỏi hẳn. Mấy năm sau gọi điện lại hỏi thăm, có khi gặp được người nhà bệnh nhân, hãy nghe người thân của họ thông báo khách quan.]]></description>
						<content:encoded><![CDATA[<p style="text-align: justify;"><span style="font-size:18px;"><em>Năm ngoái anh Long hay bị đau mỏi cổ gáy, nhức bả vai, tê tay, đau tăng lên khi cử động cánh tay, giơ tay lên cao và đưa về sau đều rất&nbsp;khó khăn. Chụp MRI phát hiện bị thoái hóa cột sống cổ, thoát vị đĩa đệm đốt&nbsp;sống cổ tầng C4-5, C5-6, khối thoát vị chèn ép rễ thần kinh làm cho anh đau nhức thường xuyên. Do anh Long ở Gò Vấp, TP HCM nên anh tới ngay lương y Minh nhờ điều trị thoát vị đĩa đệm, kết quả sau 3 tuần điều trị anh Long đã khỏi&nbsp;bệnh không còn bị đau nhức (*)</em></span></p><p>&nbsp;</p><p><img loading="lazy" alt="Thoát vị đĩa đệm cổ" src="data:image/gif;base64,R0lGODlhAQABAID/AP///wAAACwAAAAAAQABAAACAkQBADs=" data-src="https://chuabenhthoatvidiadem.vn/resources/images/image002-1.png" style="width: 419px; height: 301px;" class="lazy" width="419" height="301" data-optimized="1" /></p><p>&nbsp;<em>Thoát vị đĩa đệm&nbsp;cột sống cổ,&nbsp;&nbsp;phải chụp cộng&nbsp;hưởng từ mới phát hiện ra, chụp phim X quang chỉ phát hiện thoái hóa đốt sống cổ,&nbsp;gai xương đốt sống cổ.</em></p><p><span style="font-size:16px;">Hôm nay lương y Nguyễn Văn Minh gọi điện hỏi thăm, xem bệnh cũ có tái phát lại hay không, gặp chị vợ của anh Long, chị thông báo anh khỏi hẳn hơn năm nay không bị tái phát.&nbsp;</span></p><p style="text-align: justify;"><span style="font-size:16px;">&nbsp;Bạn đang nghe cuộc nói chuyện khi phòng khám đông y Bảo Minh còn ở địa chỉ cũ: 373/5 Thống Nhất, P11, Quận Gò Vấp. Hiện nay đã chuyễn về địa chỉ mới&nbsp;ở: 856/6 Quang Trung, P.8, Gò Vấp, TP.HCM. </span></p><p style="text-align: justify;"><span style="font-size:16px;">(*)&nbsp;Lưu ý:&nbsp;Thuốc chữa thoát vị đĩa đệm có&nbsp;tác dụng nhanh hay chậm,&nbsp;có thể thay đổi tùy theo cơ địa&nbsp;mỗi nguời.&nbsp;</span></p><p><a href="https://chuabenhthoatvidiadem.vn/resources/files/Tho_i_027_m.mp3" title="">thoat vi dia dem&nbsp;</a></p><p>&nbsp;</p><p><img loading="lazy" alt="Lương y Nguyễn Văn Minh" src="data:image/gif;base64,R0lGODlhAQABAID/AP///wAAACwAAAAAAQABAAACAkQBADs=" data-src="https://chuabenhthoatvidiadem.vn/resources/images/20180529_094748(1).jpg" style="width: 800px; height: 600px;" class="lazy" width="1600" height="1200" data-optimized="1" /></p><p><span style="font-size:16px;"><em>&nbsp;Ba năm sau gặp lại anh Long, anh thông báo: &quot;thuốc của thầy rất tốt, tôi không bị đau lại gì nữa&quot;</em></span></p><p class="r" style="font-size: 18px; margin: 0px; padding: 0px; overflow: hidden; text-overflow: ellipsis; white-space: nowrap; color: rgb(34, 34, 34); font-family: arial, sans-serif;"><span style="font-size:16px;">Có thể bạn muốn xem&nbsp;Video</span>:&nbsp;<a data-="" href="https://www.google.com.vn/url?sa=t&amp;rct=j&amp;q=&amp;esrc=s&amp;source=web&amp;cd=39&amp;ved=0ahUKEwi8kb64nOPWAhUJpJQKHQW8AIY4HhAWCEcwCA&amp;url=http%3A%2F%2Fchuabenhthoatvidiadem.vn%2Fdieu-tri%2Fdieu-tri-thoat-vi-dia-dem-cot-song-that-lung-cid-3-0.html&amp;usg=AOvVaw2mks18FOweWxFN1CEOtH9e" style="font-size: 16px; color: rgb(102, 0, 153); cursor: pointer; text-decoration-line: none;" target="_blank" title="">Điều trị thoát vị đĩa đệm cột sống thắt lưng</a></p><h3><span style="font-size:16px;">Chữa thoát vị đĩa đệm cổ,&nbsp;bác Tâm ở Củ Chi sau 3 năm sau gọi điện kể:&nbsp;<a href="https://chuabenhthoatvidiadem.vn/cach-chua-benh/luong-y-chua-thoat-vi-dia-dem-gioi-co-uy-tin-la-do-nguoi-benh-gioi-thieu-thay-thuoc-pid-117.html" style="color: rgb(102, 0, 153); cursor: pointer; text-decoration-line: none; font-family: arial, sans-serif; font-size: small;" target="_blank" title="">Tôi hết mỏi cổ rồi bác sĩ&nbsp;</a></span></h3><p><span style="background-color: transparent; color: rgb(0, 0, 0); font-family: RobotoSlab-Regular, Arial, Helvetica, sans-serif; font-size: 16px; text-align: justify;">Thông tin bệnh thoát vị đĩa đệm trên trang web:&nbsp;</span></p><p style="box-sizing: border-box; margin: 0px 0px 10px; padding: 0px; border: 0px; outline: 0px; font-size: 16px; vertical-align: baseline; background-image: initial; background-position: initial; background-size: initial; background-repeat: initial; background-attachment: initial; background-origin: initial; background-clip: initial; max-width: 100%; color: rgb(0, 0, 0); font-family: RobotoSlab-Regular, Arial, Helvetica, sans-serif; text-align: justify;"><a data-saferedirecturl="https://www.google.com/url?q=https://chuabenhthoatvidiadem.vn/&amp;source=gmail&amp;ust=1567734487819000&amp;usg=AFQjCNHBa-rYwcCg4HXdGWY86WK7LqDA5w" href="https://chuabenhthoatvidiadem.vn/" style="box-sizing: border-box; margin: 0px; padding: 0px; border: 0px; outline: 0px; font-size: 19.2px; vertical-align: baseline; background: transparent; color: rgb(17, 85, 204); text-decoration-line: none; transition: all 406ms ease-out 0s; max-width: 100%; font-family: Arial, Helvetica, sans-serif;" target="_blank" title="">chuabenhthoatvidiadem.vn</a>, d<span style="box-sizing: border-box; margin: 0px; padding: 0px; border: 0px; outline: 0px; vertical-align: baseline; background: transparent; max-width: 100%;">o&nbsp;<a href="https://www.youtube.com/channel/UCMrl47bRL4MgAguyRi48mEw" rel="noopener" style="box-sizing: border-box; margin: 0px; padding: 0px; border: 0px; outline: 0px; font-size: small; vertical-align: baseline; background: transparent; color: rgb(102, 0, 153); text-decoration-line: none; transition: all 406ms ease-out 0s; max-width: 100%; white-space: nowrap; cursor: pointer; font-family: arial, sans-serif;" target="_blank" title="">Lương y Nguyễn Văn Minh</a>&nbsp;viết nội dung, không tự ý sao chép khi chưa được sự đồng ý.</span></p>]]></content:encoded>
						<wfw:commentRss></wfw:commentRss>
						<slash:comments>0</slash:comments>
					</item>
				
					<item>
						<title>Đau thắt lưng do lồi đĩa đệm, uống thuốc & đắp thuốc khỏi bệnh sau 15 ngày.</title>
						<link>https://chuabenhthoatvidiadem.vn/bai-viet/benh-thoat-vi-dia-dem/dau-that-lung-do-loi-dia-dem-uong-thuoc-dap-thuoc-khoi-benh-sau-15-ngay-pid-211.html</link>
						<comments></comments>
						<pubDate>Sat, 19 May 2018 09:12:22 +0700</pubDate>
						<dc:creator>admin</dc:creator>
						<category><![CDATA[Bệnh thoát vị đĩa đệm]]></category>
						<guid isPermaLink="false"></guid>
						<description><![CDATA[Bệnh nhân nữ bị đau thắt lưng, chụp cộng hưởng từ cột sống thắt lưng, bác sĩ chẩn đoán hình ảnh kết luận: Lồi đĩa đệm L5/S1 ra sau sang hai bên, ép mặt trước bao màng cứng, không chèn ép rễ thần kinh, có dịch khớp liên mấu L5/S1 hai bên. Tới phòng khám điều trị: vừa uống thuốc & đắp thuốc cột sống thắt lưng, chỉ sau 15 ngày đã hết hẳn triệu chứng đau lưng.]]></description>
						<content:encoded><![CDATA[<p style="text-align: justify;"><em><span style="font-size:18px;">Bệnh nhân nữ bị đau thắt lưng, chụp cộng hưởng từ cột sống thắt lưng, bác sĩ chẩn đoán hình ảnh tại BỆNH VIỆN CHẤN THƯƠNG CHỈNH HÌNH TP.HCM&nbsp;kết luận: Lồi đĩa đệm L5/S1 ra sau sang hai bên, ép mặt trước bao màng cứng, không chèn ép rễ thần kinh, có dịch khớp liên mấu L5/S1 hai bên. Tới phòng khám điều trị: vừa uống thuốc &amp; đắp thuốc cột sống thắt lưng, chỉ sau 15 ngày đã hết hẳn triệu chứng đau lưng.</span></em></p><p style="text-align: justify;">&nbsp;</p><p style="text-align: justify;"><em><span style="font-size:18px;"><img loading="lazy" alt="Lồi đĩa đệm L5/S1" src="data:image/gif;base64,R0lGODlhAQABAID/AP///wAAACwAAAAAAQABAAACAkQBADs=" data-src="https://chuabenhthoatvidiadem.vn/resources/images/20180225_102500.jpg" style="width: 570px; height: 589px;" class="lazy" width="570" height="589" data-optimized="1" /></span></em></p><p style="text-align: justify;"><em><span style="font-size:16px;">Đây là bệnh án của một&nbsp;cô giáo dạy tiếng anh, đang dạy học ở TP.HCM. Sau khi xem kết quả MRI và bắt mạch khám bệnh, lương y Nguyễn Văn Minh chẩn đoán sẽ khỏi bệnh sau 2 tuần. Kết quả đúng như dự đoán, sau 15 ngày vừa uống thuốc vừa kết hợp&nbsp;đắp thuốc cột sống, bệnh của cô giáo đã khỏi hẳn.</span></em></p><p style="text-align: justify;"><span style="font-size:16px;">Chúng tôi xin được che bớt họ tên và địa chỉ để đảm bảo quyền riên tư của người bệnh. Phòng khám đông y Bảo Minh chỉ đăng thông tin bệnh án, họ tên địa chỉ, hình ảnh, nội dung cuộc nói chuyện khi được sự cho phép của quý bệnh nhân.</span></p><p style="text-align: justify;"><span style="font-size:16px;">Mời quý khách xem những bệnh nhân đồng ý cho đăng thông tin bệnh án, họ tên địa chỉ thật kèm theo ý kiến của chính họ dưới đây:</span></p><p style="box-sizing: border-box; margin: 0px 0px 10px; padding: 0px; border: 0px; outline: 0px; font-size: 16px; vertical-align: baseline; background-image: initial; background-position: initial; background-size: initial; background-repeat: initial; background-attachment: initial; background-origin: initial; background-clip: initial; max-width: 100%; color: rgb(0, 0, 0); font-family: RobotoSlab-Regular, Arial, Helvetica, sans-serif;"><span style="box-sizing: border-box; margin: 0px; padding: 0px; border: 0px; outline: 0px; vertical-align: baseline; background: transparent; max-width: 100%;">&rArr;&nbsp;<a href="https://chuabenhthoatvidiadem.vn/cach-chua-benh/nho-thay-chua-thoat-vi-dia-dem-dot-song-co-toi-het-moi-co-het-dau-vai-gay-pid-115.html" style="box-sizing: border-box; margin: 0px; padding: 0px; border: 0px; outline: 0px; vertical-align: baseline; background: transparent; color: rgb(102, 0, 153); text-decoration-line: none; transition: all 406ms ease-out; max-width: 100%; cursor: pointer;" target="_blank" title="">Nhờ thầy chữa bệnh, tôi hết đau&nbsp;mỏi cổ - Bác Tâm ở Củ Chi, TP.HCM kể chuyện</a></span></p><p style="box-sizing: border-box; margin: 0px 0px 10px; padding: 0px; border: 0px; outline: 0px; font-size: 16px; vertical-align: baseline; background-image: initial; background-position: initial; background-size: initial; background-repeat: initial; background-attachment: initial; background-origin: initial; background-clip: initial; max-width: 100%; color: rgb(0, 0, 0); font-family: RobotoSlab-Regular, Arial, Helvetica, sans-serif;"><span style="color: rgb(0, 0, 0); font-family: RobotoSlab-Regular, Arial, Helvetica, sans-serif; font-size: 16px;">&rArr;</span><span style="box-sizing: border-box; margin: 0px; padding: 0px; border: 0px; outline: 0px; vertical-align: baseline; background: transparent; max-width: 100%;">&nbsp;<a data-="" href="https://www.google.com.vn/url?sa=t&amp;rct=j&amp;q=&amp;esrc=s&amp;source=web&amp;cd=50&amp;ved=0ahUKEwjC1tTM87_WAhWJQ48KHXSdD844KBAWCFcwCQ&amp;url=http%3A%2F%2Fchuabenhthoatvidiadem.vn%2Fcach-chua-benh%2Fchua-thoat-vi-dia-dem-cot-song-that-lung-khoi-han-khong-phai-mo-pid-74.html&amp;usg=AFQjCNFk9PpHY6F1eywkYl16lBbVUnyCtA" style="box-sizing: border-box; margin: 0px; padding: 0px; border: 0px; outline: 0px; vertical-align: baseline; background: transparent; color: rgb(102, 0, 153); text-decoration-line: none; transition: all 406ms ease-out; max-width: 100%; cursor: pointer;" target="_blank" title="">Điều trị thoát vị đĩa đệm cột sống thắt lưng, có địa chỉ đã khỏi bệnh để quý vị tham khảo.</a></span></p><p style="box-sizing: border-box; margin: 0px 0px 10px; padding: 0px; border: 0px; outline: 0px; font-size: 16px; vertical-align: baseline; background-image: initial; background-position: initial; background-size: initial; background-repeat: initial; background-attachment: initial; background-origin: initial; background-clip: initial; max-width: 100%; color: rgb(0, 0, 0); font-family: RobotoSlab-Regular, Arial, Helvetica, sans-serif;"><span style="color: rgb(0, 0, 0); font-family: RobotoSlab-Regular, Arial, Helvetica, sans-serif; font-size: 16px;">&rArr;</span><span style="color: rgb(0, 0, 0); font-family: RobotoSlab-Regular, Arial, Helvetica, sans-serif; font-size: 16px; background: transparent; box-sizing: border-box; margin: 0px; padding: 0px; border: 0px; outline: 0px; vertical-align: baseline; max-width: 100%;">&nbsp;</span><a href="https://chuabenhthoatvidiadem.vn/cach-chua-benh/thoai-hoa-cot-song-that-lung-thoat-vi-dia-dem-l3-4-l4-5-dieu-tri-20-ngay-thuoc-het-dau-pid-147.html" style="color: rgb(102, 0, 153); cursor: pointer; text-decoration-line: none;" target="_blank" title="">Thoát vị đĩa đệm L3/4, L4/5, thoái hóa cột sống thắt lưng. Chị Xương ở Bến Tre cho địa chỉ</a></p><p style="box-sizing: border-box; margin: 0px 0px 10px; padding: 0px; border: 0px; outline: 0px; font-size: 16px; vertical-align: baseline; background-image: initial; background-position: initial; background-size: initial; background-repeat: initial; background-attachment: initial; background-origin: initial; background-clip: initial; max-width: 100%; color: rgb(0, 0, 0); font-family: RobotoSlab-Regular, Arial, Helvetica, sans-serif;"><span style="color: rgb(0, 0, 0); font-family: RobotoSlab-Regular, Arial, Helvetica, sans-serif; font-size: 16px;">&rArr;&nbsp;</span><span style="box-sizing: border-box; margin: 0px; padding: 0px; border: 0px; outline: 0px; vertical-align: baseline; background: transparent; max-width: 100%;"><a href="https://chuabenhthoatvidiadem.vn/cach-chua-benh/luong-y-minh-chua-thoat-vi-dia-dem-cho-anh-ut-khoi-benh-gan-nam-nay-pid-22.html" style="box-sizing: border-box; margin: 0px; padding: 0px; border: 0px; outline: 0px; vertical-align: baseline; background: transparent; color: rgb(102, 0, 153); text-decoration-line: none; transition: all 406ms ease-out; max-width: 100%; cursor: pointer;" target="_blank" title="">Chữa thoát vị đĩa đệm tầng L3-4 và L4-5. Nghe&nbsp;anh Út ở Đồng Tháp thật thà kể chuyện</a></span></p><p style="box-sizing: border-box; margin: 0px 0px 10px; padding: 0px; border: 0px; outline: 0px; font-size: 16px; vertical-align: baseline; background-image: initial; background-position: initial; background-size: initial; background-repeat: initial; background-attachment: initial; background-origin: initial; background-clip: initial; max-width: 100%; color: rgb(0, 0, 0); font-family: RobotoSlab-Regular, Arial, Helvetica, sans-serif;"><span style="color: rgb(0, 0, 0); font-family: RobotoSlab-Regular, Arial, Helvetica, sans-serif; font-size: 16px;">&rArr;&nbsp;</span><a href="https://chuabenhthoatvidiadem.vn/cach-chua-benh/thoat-vi-dia-dem-va-thoai-hoa-cot-song-that-lung-uong-thuoc-gi-tot-pid-209.html" style="color: rgb(102, 0, 153); cursor: pointer; text-decoration-line: none;" target="_blank" title="">Gai cột sống, thoái hóa cột sống thắt lưng, thoát vị đĩa đệm, anh Quang ở Tiền Giang chia sẻ</a></p><p style="box-sizing: border-box; margin: 0px 0px 10px; padding: 0px; border: 0px; outline: 0px; font-size: 16px; vertical-align: baseline; background-image: initial; background-position: initial; background-size: initial; background-repeat: initial; background-attachment: initial; background-origin: initial; background-clip: initial; max-width: 100%; color: rgb(0, 0, 0); font-family: RobotoSlab-Regular, Arial, Helvetica, sans-serif;"><span style="color: rgb(0, 0, 0); font-family: RobotoSlab-Regular, Arial, Helvetica, sans-serif; font-size: 16px;">&rArr;</span><span style="box-sizing: border-box; margin: 0px; padding: 0px; border: 0px; outline: 0px; vertical-align: baseline; background: transparent; max-width: 100%;"><a href="https://chuabenhthoatvidiadem.vn/cach-chua-benh/thoat-vi-dia-dem-cot-song-that-lung-l4-l5-xem-cach-tri-thoat-vi-dia-dem-dut-diem-pid-124.html" style="box-sizing: border-box; margin: 0px; padding: 0px; border: 0px; outline: 0px; vertical-align: baseline; background: transparent; color: rgb(102, 0, 153); text-decoration-line: none; transition: all 406ms ease-out; max-width: 100%; cursor: pointer;" target="_blank" title="">Thoát vị đĩa đệm cột sống thắt lưng L4/L5 - Anh Phúc ở TPHCM cho biết địa chỉ ở Hóc Môn</a></span></p><p style="box-sizing: border-box; margin: 0px 0px 10px; padding: 0px; border: 0px; outline: 0px; font-size: 16px; vertical-align: baseline; background-image: initial; background-position: initial; background-size: initial; background-repeat: initial; background-attachment: initial; background-origin: initial; background-clip: initial; max-width: 100%; color: rgb(0, 0, 0); font-family: RobotoSlab-Regular, Arial, Helvetica, sans-serif;"><span style="color: rgb(0, 0, 0); font-family: RobotoSlab-Regular, Arial, Helvetica, sans-serif; font-size: 16px;">&rArr;&nbsp;</span><span style="box-sizing: border-box; margin: 0px; padding: 0px; border: 0px; outline: 0px; vertical-align: baseline; background: transparent; max-width: 100%;"><a href="https://chuabenhthoatvidiadem.vn/cach-chua-benh/dau-vai-gay-hoi-tham-bac-cuc-chua-benh-cach-nay-gan-2-nam-pid-32.html" style="box-sizing: border-box; margin: 0px; padding: 0px; border: 0px; outline: 0px; vertical-align: baseline; background: transparent; color: rgb(102, 0, 153); text-decoration-line: none; transition: all 406ms ease-out; max-width: 100%; cursor: pointer;" target="_blank" title="">Bác Cúc&nbsp;ở Gò Vấp bị đau mỏi cổ,&nbsp;nhức bả vai, tê cánh tay. Hai&nbsp;năm sau hỏi thăm</a></span></p><p style="box-sizing: border-box; margin: 0px 0px 10px; padding: 0px; border: 0px; outline: 0px; font-size: 16px; vertical-align: baseline; background-image: initial; background-position: initial; background-size: initial; background-repeat: initial; background-attachment: initial; background-origin: initial; background-clip: initial; max-width: 100%; color: rgb(0, 0, 0); font-family: RobotoSlab-Regular, Arial, Helvetica, sans-serif;"><span style="color: rgb(0, 0, 0); font-family: RobotoSlab-Regular, Arial, Helvetica, sans-serif; font-size: 16px;">&rArr;</span><span style="box-sizing: border-box; margin: 0px; padding: 0px; border: 0px; outline: 0px; vertical-align: baseline; background: transparent; max-width: 100%;">&nbsp;<a href="https://chuabenhthoatvidiadem.vn/cach-chua-benh/khoi-thoat-vi-dia-dem-cot-song-that-lung-sau-hon-1-thang-dieu-tri-pid-37.html" style="box-sizing: border-box; margin: 0px; padding: 0px; border: 0px; outline: 0px; vertical-align: baseline; background: transparent; color: rgb(102, 0, 153); text-decoration-line: none; transition: all 406ms ease-out; max-width: 100%; cursor: pointer;" target="_blank" title="">Chữa khỏi thoát vị đĩa đệm cột sống thắt lưng,&nbsp;nghe bà Hảo chia sẻ địa chỉ ở Kiên Giang.</a></span></p><p style="box-sizing: border-box; margin: 0px 0px 10px; padding: 0px; border: 0px; outline: 0px; font-size: 16px; vertical-align: baseline; background-image: initial; background-position: initial; background-size: initial; background-repeat: initial; background-attachment: initial; background-origin: initial; background-clip: initial; max-width: 100%; color: rgb(0, 0, 0); font-family: RobotoSlab-Regular, Arial, Helvetica, sans-serif;"><span style="color: rgb(0, 0, 0); font-family: RobotoSlab-Regular, Arial, Helvetica, sans-serif; font-size: 16px;">&rArr;&nbsp;</span><span style="box-sizing: border-box; margin: 0px; padding: 0px; border: 0px; outline: 0px; vertical-align: baseline; background: transparent; max-width: 100%;"><a href="https://chuabenhthoatvidiadem.vn/cach-chua-benh/benh-thoat-vi-dia-dem-cot-song-co-nhieu-tang-co-chua-duoc-khong-pid-68.html" style="box-sizing: border-box; margin: 0px; padding: 0px; border: 0px; outline: 0px; vertical-align: baseline; background: transparent; color: rgb(102, 0, 153); text-decoration-line: none; transition: all 406ms ease-out; max-width: 100%; cursor: pointer;" target="_blank" title="">Chữa thoát vị đĩa đệm cột sống cổ đa tầng, anh Lê ở Bến Tre chia sẻ.</a></span></p><p style="box-sizing: border-box; margin: 0px 0px 10px; padding: 0px; border: 0px; outline: 0px; font-size: 16px; vertical-align: baseline; background-image: initial; background-position: initial; background-size: initial; background-repeat: initial; background-attachment: initial; background-origin: initial; background-clip: initial; max-width: 100%; color: rgb(0, 0, 0); font-family: RobotoSlab-Regular, Arial, Helvetica, sans-serif;"><span style="color: rgb(0, 0, 0); font-family: RobotoSlab-Regular, Arial, Helvetica, sans-serif; font-size: 16px;">&rArr;&nbsp;</span><span style="box-sizing: border-box; margin: 0px; padding: 0px; border: 0px; outline: 0px; vertical-align: baseline; background: transparent; max-width: 100%;"><a data-="" href="https://www.google.com.vn/url?sa=t&amp;rct=j&amp;q=&amp;esrc=s&amp;source=web&amp;cd=58&amp;ved=0ahUKEwiU6vPloMDWAhUhR48KHW8fDRU4MhAWCEswBw&amp;url=http%3A%2F%2Fchuabenhthoatvidiadem.vn%2Fcach-chua-benh%2Fchi-van-o-quan-1-tp-hcm-khoi-thoat-vi-dia-dem-khong-tai-phat--pid-19.html&amp;usg=AFQjCNHlxgVc0VzmW40gI062yVtq8A3r_A" style="box-sizing: border-box; margin: 0px; padding: 0px; border: 0px; outline: 0px; vertical-align: baseline; background: transparent; color: rgb(102, 0, 153); text-decoration-line: none; transition: all 406ms ease-out; max-width: 100%; cursor: pointer;" target="_blank" title="">Thoát vị đĩa đệm cột sống thắt lưng có chữa&nbsp;khỏi được&nbsp;không? Bấm xem sẽ rõ.</a></span></p><p style="box-sizing: border-box; margin: 0px 0px 10px; padding: 0px; border: 0px; outline: 0px; font-size: 16px; vertical-align: baseline; background-image: initial; background-position: initial; background-size: initial; background-repeat: initial; background-attachment: initial; background-origin: initial; background-clip: initial; max-width: 100%; color: rgb(0, 0, 0); font-family: RobotoSlab-Regular, Arial, Helvetica, sans-serif;"><span style="color: rgb(0, 0, 0); font-family: RobotoSlab-Regular, Arial, Helvetica, sans-serif; font-size: 16px;">&rArr;&nbsp;</span><span style="box-sizing: border-box; margin: 0px; padding: 0px; border: 0px; outline: 0px; vertical-align: baseline; background: transparent; max-width: 100%;"><a href="https://chuabenhthoatvidiadem.vn/cach-chua-benh/anh-hoang-khoi-dau-nhuc-ba-vai-te-cach-tay-do-thoat-vi-dia-dem-cot-song-co-pid-7.html" style="box-sizing: border-box; margin: 0px; padding: 0px; border: 0px; outline: 0px; vertical-align: baseline; background: transparent; color: rgb(102, 0, 153); text-decoration-line: none; transition: all 406ms ease-out; max-width: 100%; cursor: pointer;" target="_blank" title="">Đau&nbsp;bả vai, tê cách tay, chữa khỏi bệnh anh Hoàng gọi điện thoại cảm ơn</a></span></p><p style="box-sizing: border-box; margin: 0px 0px 10px; padding: 0px; border: 0px; outline: 0px; font-size: 16px; vertical-align: baseline; background-image: initial; background-position: initial; background-size: initial; background-repeat: initial; background-attachment: initial; background-origin: initial; background-clip: initial; max-width: 100%; color: rgb(0, 0, 0); font-family: RobotoSlab-Regular, Arial, Helvetica, sans-serif;"><span style="color: rgb(0, 0, 0); font-family: RobotoSlab-Regular, Arial, Helvetica, sans-serif; font-size: 16px;">&rArr;&nbsp;</span><span style="box-sizing: border-box; margin: 0px; padding: 0px; border: 0px; outline: 0px; vertical-align: baseline; background: transparent; max-width: 100%;"><a data-="" href="https://www.google.com.vn/url?sa=t&amp;rct=j&amp;q=&amp;esrc=s&amp;source=web&amp;cd=65&amp;ved=0ahUKEwiE7byExcDWAhXFr48KHTmWBBo4PBAWCDowBA&amp;url=http%3A%2F%2Fchuabenhthoatvidiadem.vn%2Fcach-chua-benh%2Fcach-chua-thoat-vi-dia-dem-cot-song-that-lung-l4-l5-khoi-benh-khong-phai-mo-tvdd-pid-106.html&amp;usg=AFQjCNF68fP1PpvR2u6GjMqzuBU6AKZJ5A" style="box-sizing: border-box; margin: 0px; padding: 0px; border: 0px; outline: 0px; vertical-align: baseline; background: transparent; color: rgb(102, 0, 153); text-decoration-line: none; transition: all 406ms ease-out; max-width: 100%; cursor: pointer;" target="_blank" title="">Khỏi hẳn bệnh đau lưng nhờ uống thuốc chữa thoát vị đĩa đệm, địa chỉ ở Gò Vấp TP.HCM</a></span></p><p style="box-sizing: border-box; margin: 0px 0px 10px; padding: 0px; border: 0px; outline: 0px; font-size: 16px; vertical-align: baseline; background-image: initial; background-position: initial; background-size: initial; background-repeat: initial; background-attachment: initial; background-origin: initial; background-clip: initial; max-width: 100%; color: rgb(0, 0, 0); font-family: RobotoSlab-Regular, Arial, Helvetica, sans-serif;"><span style="color: rgb(0, 0, 0); font-family: RobotoSlab-Regular, Arial, Helvetica, sans-serif; font-size: 16px;">&rArr;</span><span style="box-sizing: border-box; margin: 0px; padding: 0px; border: 0px; outline: 0px; vertical-align: baseline; background: transparent; max-width: 100%;"><a href="https://chuabenhthoatvidiadem.vn/cach-chua-benh/chi-van-o-quan-1-tp-hcm-khoi-thoat-vi-dia-dem-khong-tai-phat--pid-19.html" style="box-sizing: border-box; margin: 0px; padding: 0px; border: 0px; outline: 0px; vertical-align: baseline; background: transparent; color: rgb(102, 0, 153); text-decoration-line: none; transition: all 406ms ease-out; max-width: 100%; cursor: pointer;" target="_blank" title="">Thoát vị đĩa đệm cột sống thắt lưng L5-S1, chị Nga ở Long An cho biết địa chỉ</a></span></p><p style="box-sizing: border-box; margin: 0px 0px 10px; padding: 0px; border: 0px; outline: 0px; font-size: 16px; vertical-align: baseline; background-image: initial; background-position: initial; background-size: initial; background-repeat: initial; background-attachment: initial; background-origin: initial; background-clip: initial; max-width: 100%; color: rgb(0, 0, 0); font-family: RobotoSlab-Regular, Arial, Helvetica, sans-serif;"><span style="color: rgb(0, 0, 0); font-family: RobotoSlab-Regular, Arial, Helvetica, sans-serif; font-size: 16px;">&rArr;&nbsp;</span><span style="box-sizing: border-box; margin: 0px; padding: 0px; border: 0px; outline: 0px; vertical-align: baseline; background: transparent; max-width: 100%;"><a href="https://chuabenhthoatvidiadem.vn/cach-chua-benh/dieu-tri-thoat-vi-dia-dem-cho-benh-nhan-o-tien-giang-goi-dien-hoi-tham-nguoi-nha-ke-da-khoi-han-pid-43.html" style="box-sizing: border-box; margin: 0px; padding: 0px; border: 0px; outline: 0px; vertical-align: baseline; background: transparent; color: rgb(102, 0, 153); text-decoration-line: none; transition: all 406ms ease-out; max-width: 100%; cursor: pointer;" target="_blank" title="">Khỏi thoát vị đĩa đệm cho anh Lành ở Tiền Giang, người nhà thông báo đã khỏi bệnh.</a></span></p><p style="box-sizing: border-box; margin: 0px 0px 10px; padding: 0px; border: 0px; outline: 0px; font-size: 16px; vertical-align: baseline; background-image: initial; background-position: initial; background-size: initial; background-repeat: initial; background-attachment: initial; background-origin: initial; background-clip: initial; max-width: 100%; color: rgb(0, 0, 0); font-family: RobotoSlab-Regular, Arial, Helvetica, sans-serif;"><span style="color: rgb(0, 0, 0); font-family: RobotoSlab-Regular, Arial, Helvetica, sans-serif; font-size: 16px;">&rArr;&nbsp;</span><span style="box-sizing: border-box; margin: 0px; padding: 0px; border: 0px; outline: 0px; vertical-align: baseline; background: transparent; max-width: 100%;"><a href="https://chuabenhthoatvidiadem.vn/cach-chua-benh/luong-y-nguyen-van-minh-chua-khoi-dau-vai-gay-do-thoat-vi-dia-dem-co-cho-anh-long-o-go-vap-tp-hcm-pid-56.html" style="box-sizing: border-box; margin: 0px; padding: 0px; border: 0px; outline: 0px; vertical-align: baseline; background: transparent; color: rgb(102, 0, 153); text-decoration-line: none; transition: all 406ms ease-out; max-width: 100%; cursor: pointer;" target="_blank" title="">Chữa thoát vị đĩa đệm cho anh Long ở Gò Vấp, TP.HCM, vợ anh kể đã hết đau, hết nhức</a></span></p><p style="box-sizing: border-box; margin: 0px 0px 10px; padding: 0px; border: 0px; outline: 0px; font-size: 16px; vertical-align: baseline; background-image: initial; background-position: initial; background-size: initial; background-repeat: initial; background-attachment: initial; background-origin: initial; background-clip: initial; max-width: 100%; color: rgb(0, 0, 0); font-family: RobotoSlab-Regular, Arial, Helvetica, sans-serif;"><span style="color: rgb(0, 0, 0); font-family: RobotoSlab-Regular, Arial, Helvetica, sans-serif; font-size: 16px;">&rArr;&nbsp;</span><span style="box-sizing: border-box; margin: 0px; padding: 0px; border: 0px; outline: 0px; vertical-align: baseline; background: transparent; max-width: 100%;"><a href="https://chuabenhthoatvidiadem.vn/cach-chua-benh/dieu-tri-thoat-vi-dia-dem-khoi-han-nghe-thong-bao-tu-benh-nhan-o-tp-hcm-pid-39.html" style="box-sizing: border-box; margin: 0px; padding: 0px; border: 0px; outline: 0px; vertical-align: baseline; background: transparent; color: rgb(102, 0, 153); text-decoration-line: none; transition: all 406ms ease-out; max-width: 100%; cursor: pointer;" target="_blank" title="">Chữa thoát vị đĩa đệm L4/5,&nbsp;lồi đĩa đệm L5/S1, bác Chính ở TP.HCM&nbsp;chi sẻ địa chỉ,&nbsp;bệnh án</a></span></p><p style="box-sizing: border-box; margin: 0px 0px 10px; padding: 0px; border: 0px; outline: 0px; font-size: 16px; vertical-align: baseline; background-image: initial; background-position: initial; background-size: initial; background-repeat: initial; background-attachment: initial; background-origin: initial; background-clip: initial; max-width: 100%; color: rgb(0, 0, 0); font-family: RobotoSlab-Regular, Arial, Helvetica, sans-serif; text-align: justify;"><span style="font-size:16px;"><span style="box-sizing: border-box; margin: 0px; padding: 0px; border: 0px; outline: 0px; vertical-align: baseline; background: transparent; max-width: 100%;">Lương y Nguyễn Văn Minh phụ trách phòng khám và nhà thuốc đông y Bảo Minh, có địa chỉ duy nhất: 856/ Quang trung, Gò Vấp, HCM. Di động, Zalo: 0913503552 - Cố định: 02862951367</span></span></p><p style="box-sizing: border-box; margin: 0px 0px 10px; padding: 0px; border: 0px; outline: 0px; font-size: 16px; vertical-align: baseline; background-image: initial; background-position: initial; background-size: initial; background-repeat: initial; background-attachment: initial; background-origin: initial; background-clip: initial; max-width: 100%; color: rgb(0, 0, 0); font-family: RobotoSlab-Regular, Arial, Helvetica, sans-serif; text-align: justify;"><span style="font-size:16px;"><span style="background-color: transparent;">Trang web thuộc quyền sở hữu của nhà thuốc:</span></span></p><p style="box-sizing: border-box; margin: 0px 0px 10px; padding: 0px; border: 0px; outline: 0px; font-size: 16px; vertical-align: baseline; background-image: initial; background-position: initial; background-size: initial; background-repeat: initial; background-attachment: initial; background-origin: initial; background-clip: initial; max-width: 100%; color: rgb(0, 0, 0); font-family: RobotoSlab-Regular, Arial, Helvetica, sans-serif; text-align: justify;">thoatvidiadem.top</p><p style="box-sizing: border-box; margin: 0px 0px 10px; padding: 0px; border: 0px; outline: 0px; font-size: 16px; vertical-align: baseline; background-image: initial; background-position: initial; background-size: initial; background-repeat: initial; background-attachment: initial; background-origin: initial; background-clip: initial; max-width: 100%; color: rgb(0, 0, 0); font-family: RobotoSlab-Regular, Arial, Helvetica, sans-serif; text-align: justify;"><span style="font-size:16px;"><a href="https://phongkhambaominh.com/" style="box-sizing: border-box; margin: 0px; padding: 0px; border: 0px; outline: 0px; vertical-align: baseline; background: transparent; color: rgb(51, 122, 183); text-decoration-line: none; transition: all 406ms ease-out 0s; max-width: 100%;" title="">phongkhambaominh.com</a>&nbsp;</span></p><p style="box-sizing: border-box; margin: 0px 0px 10px; padding: 0px; border: 0px; outline: 0px; font-size: 16px; vertical-align: baseline; background-image: initial; background-position: initial; background-size: initial; background-repeat: initial; background-attachment: initial; background-origin: initial; background-clip: initial; max-width: 100%; color: rgb(0, 0, 0); font-family: RobotoSlab-Regular, Arial, Helvetica, sans-serif; text-align: justify;"><span style="font-size:16px;"><a href="https://chuabenhthoatvidiadem.vn/" style="box-sizing: border-box; margin: 0px; padding: 0px; border: 0px; outline: 0px; vertical-align: baseline; background: transparent; color: rgb(51, 122, 183); text-decoration-line: none; transition: all 406ms ease-out 0s; max-width: 100%;" title="">chuabenhthoatvidiadem.vn</a></span></p><p style="box-sizing: border-box; margin: 0px 0px 10px; padding: 0px; border: 0px; outline: 0px; font-size: 16px; vertical-align: baseline; background-image: initial; background-position: initial; background-size: initial; background-repeat: initial; background-attachment: initial; background-origin: initial; background-clip: initial; max-width: 100%; color: rgb(0, 0, 0); font-family: RobotoSlab-Regular, Arial, Helvetica, sans-serif; text-align: justify;"><span style="font-size:16px;"><span style="box-sizing: border-box; margin: 0px; padding: 0px; border: 0px; outline: 0px; vertical-align: baseline; background: transparent; max-width: 100%;">Google Map chỉ đường phòng khám đông y Bảo Minh chữa thoát vị đĩa đệm:</span></span></p><p style="box-sizing: border-box; margin: 0px 0px 10px; padding: 0px; border: 0px; outline: 0px; font-size: 16px; vertical-align: baseline; background-image: initial; background-position: initial; background-size: initial; background-repeat: initial; background-attachment: initial; background-origin: initial; background-clip: initial; max-width: 100%; color: rgb(0, 0, 0); font-family: RobotoSlab-Regular, Arial, Helvetica, sans-serif; text-align: justify;"><span style="font-size:16px;"><a href="https://thoatvidiademcotsong.business.site/?utm_source=gmb&amp;utm_medium=referral" style="box-sizing: border-box; margin: 0px; padding: 0px; border: 0px; outline: 0px; vertical-align: baseline; background: transparent; color: rgb(51, 122, 183); text-decoration-line: none; transition: all 406ms ease-out 0s; max-width: 100%;" title="">thoatvidiadem cotsong.</a></span></p>]]></content:encoded>
						<wfw:commentRss></wfw:commentRss>
						<slash:comments>0</slash:comments>
					</item>
				
					<item>
						<title>Thoát vị đĩa đệm L5 S1, gai và thoái hóa cột sống thắt lưng.</title>
						<link>https://chuabenhthoatvidiadem.vn/bai-viet/nghe-truc-tiep-nhung-nguoi-duoc-luong-y-minh-chua-khoi-thoat-vi-dia-dem/thoat-vi-dia-dem-l5-s1-gai-va-thoai-hoa-cot-song-that-lung-pid-205.html</link>
						<comments></comments>
						<pubDate>Tue, 13 Mar 2018 08:43:09 +0700</pubDate>
						<dc:creator>admin</dc:creator>
						<category><![CDATA[Nghe trực tiếp những người được lương y Minh chữa khỏi thoát vị đĩa đệm ]]></category>
						<guid isPermaLink="false"></guid>
						<description><![CDATA[]]></description>
						<content:encoded><![CDATA[<h2 style="text-align: justify;"><span style="font-size:18px;">&nbsp;Chị Nga bị&nbsp;thoát vị đĩa đệm tầng L5/S1, kèm theo gai xương và thoái hóa đốt sống L5/S1, thoái hóa mất nước đĩa đệm tầng L5/S1. Chị Nga vừa uống thuốc&nbsp;vừa đắp thuốc trị thoát vị đĩa đệm&nbsp;của phòng khám&nbsp;Bảo Minh chưa tới 3 liệu trình&nbsp;đã khỏi hẳn.&nbsp;Từ ngày chị Nga&nbsp;chữa bệnh ở phòng khám tới nay đã hơn 1 năm, hôm nay lương y Nguyễn Văn Minh gọi điện lại hỏi thăm, chị&nbsp;thông báo đã khỏi hẳn, hơn năm nay không thấy bị đau lại. Phòng khám đã xin phép và được chị Nga đồng ý cho chia sẻ: bệnh án thoát vị đĩa đệm, địa chỉ nơi chị đang sinh sống ở thị trấn Cần Giuộc, tỉnh&nbsp;Long An.</span></p><p style="text-align: justify;"><span style="font-size:16px;">Chị Nga là người rất có uy tín tại TT Cần Giuộc, nên hễ ai cần giúp đỡ chị đều tận tình mách bảo, chỉ đường, chia sẻ cách chữa bệnh&nbsp;của lương y Nguyễn Văn Minh. Quý vị ở Long An có thể hỏi thăm kinh nghiệm chữa thoát vị đĩa đệm từ chị Nga tại địa chỉ: 20 Khu phố 4, TT Cần Giuộc.&nbsp;</span></p><p style="text-align: justify;"><a href="https://chuabenhthoatvidiadem.vn/resources/files/nga can giuoc.mp3" title="">http://thoat vi dia dem L5 S1 .mp3</a></p><p style="text-align: justify;"><span style="font-size:16px;">Lưu ý: Đây là cuộc nói chuyện rất thật giữa thầy thuốc với bệnh nhân cũ của phòng khám, có lúc âm thanh nghe không được&nbsp;liên tục, nhưng đảm bảo được tính chân thật, đúng người đúng bệnh&nbsp;(*)</span></p><p><img loading="lazy" alt="Thoát vị đĩa đệm L5S1" src="data:image/gif;base64,R0lGODlhAQABAID/AP///wAAACwAAAAAAQABAAACAkQBADs=" data-src="https://chuabenhthoatvidiadem.vn/resources/images/20170203_151012 (3).jpg" style="width: 442px; height: 589px;" class="lazy" width="442" height="589" data-optimized="1" /></p><h2><span style="font-size:16px;">Mô tả hình ảnh thoát vị đĩa đệm của&nbsp;chị Nga trên phim chụp cộng hưởng từ:</span></h2><h2><span style="font-size:16px;">- Gai thoái hóa đốt sống L5/S1, thoái hóa mất nước giảm tín hiệu đĩa đệm tầng L5/S1</span></h2><h2><span style="font-size:16px;">-&nbsp;Thoát vị đĩa đệm tầng L5/S1, ra sau trung tâm lệch phải, chèn ép nhẹ rễ thần kinh S1 phải</span></h2><h2><span style="font-size:16px;">- Không gây hẹp ống sống thắt lưng</span></h2><h2><span style="font-size:16px;">- Các lỗ liên hợp và các rễ thần kinh tương ứng hai bên thấy được trên phim trong giới hạn bình thường</span></h2><h2><span style="font-size:16px;">- Không thấy bất thường các cuống, cung đốt sống và phần mềm cạnh sống trên phim</span></h2><p><span style="font-size:16px;">Phòng khám đông y Bảo Minh xin trân trọng cảm ơn tấm lòng tốt của chị Nga&nbsp;và gia đình chị.</span></p><h3><span style="font-size:16px;">(*)&nbsp; &quot;Lưu ý: tác dụng của thuốc uống, thuốc đắp chữa thoát vị đĩa đệm/ liệu trình điều trị có thể thay đổi tùy theo cơ địa mỗi nguời&quot;</span></h3><p style="text-align: justify;"><em><span style="font-size:16px;">P/S:&nbsp;Nhà thuốc đông y Bảo Minh chỉ đăng tin, ghi hình, chia sẻ bệnh án&nbsp;khi có sự đồng ý của quý bệnh nhân. Chúng tôi coi đây là niềm động viên khích lệ để chúng tôi chữa bệnh&nbsp;tốt hơn nữa,&nbsp;giúp&nbsp;cho thật nhiều người khỏi bệnh. Chúng tôi xin chân thành biết ơn những tấm lòng của quý bệnh nhân đã đồng ý cho chia sẻ kinh nghiệm chữa bệnh với mọi người.&nbsp;</span></em></p>]]></content:encoded>
						<wfw:commentRss></wfw:commentRss>
						<slash:comments>0</slash:comments>
					</item>
				
					<item>
						<title>Thoát vị đĩa đệm có chữa khỏi được không?</title>
						<link>https://chuabenhthoatvidiadem.vn/bai-viet/benh-thoat-vi-dia-dem/thoat-vi-dia-dem-co-chua-khoi-duoc-khong-pid-111.html</link>
						<comments></comments>
						<pubDate>Mon, 09 Oct 2017 11:56:41 +0700</pubDate>
						<dc:creator>admin</dc:creator>
						<category><![CDATA[Bệnh thoát vị đĩa đệm]]></category>
						<guid isPermaLink="false"></guid>
						<description><![CDATA[Chữa mãi mà không khỏi thoát vị đĩa đệm, nhiều người bi quan nghĩ: không biết mình bị thoát vị đĩa đệm có chữa khỏi được không? Ở đâu chữa được thoát vị đĩa đệm? Có nhiều người mách đi tìm &quot;thần y&quot; chữa thoát vị đĩa đệm ở Sài Gòn, rồi Hà Nội, Thanh Hóa, Bắc Giang, Tiền Giang..không biết có đúng vậy không.]]></description>
						<content:encoded><![CDATA[<p style="text-align: justify;"><span style="font-size:16px;">Chữa mãi mà không khỏi thoát vị đĩa đệm, nhiều người bi quan nghĩ: không biết mình bị thoát vị đĩa đệm có chữa khỏi được không? ở đâu chữa bệnh&nbsp;thoát vị đĩa đệm tốt nhất? Có&nbsp;người mách đi tìm&nbsp;&quot;thần y&quot; chữa thoát vị đĩa đệm&nbsp;ở Sài Gòn. Lại có người chỉ ở&nbsp;Hà Nội, rồi&nbsp;Thanh Hóa, Bắc Giang,&nbsp;Tiền Giang.v.v. đâu cũng có &quot;thần y&quot;!</span></p><h3 style="text-align: justify;"><span style="font-size:16px;">Thực tế cho thấy: Bệnh thoát vị đĩa đệm có tới hơn 90%&nbsp;trường hợp hoàn có thể chữa khỏi được, quan trọng người bệnh&nbsp;phải gặp đúng&nbsp;thầy đúng thuốc, cộng thêm&nbsp;niềm tin vào nơi thầy thuốc chữa bệnh cho mình thì rất nhanh khỏi.</span></h3><h2 style="text-align: justify;"><span style="font-size:16px;">Mời quý khách xem VIDEO&nbsp;ghi hình tại Phòng khám Đông y&nbsp;Bảo Minh, xem&nbsp;Lương y Nguyễn Văn Minh chữa thoát vị đĩa đệm cột sống thắt lưng khỏi hẳn.</span></h2><p style="text-align: justify;"><span class="optimize-cls-iframe" data-src="https://www.youtube.com/embed/hRNThAWSBak">https://www.youtube.com/embed/hRNThAWSBak</span></p><p style="text-align: justify;"><span style="font-size:16px;">Anh Trần Thanh Nhã bị thoát vị đĩa đệm cột sống thắt lưng L4/L5 và L5/S1. Đã điều trị bằng thuốc tây và vật lý trị liệu nhưng không khỏi hẳn. Bác sĩ chỉ định phải mổ thoát vị đĩa đệm mới hết đau.&nbsp;&nbsp;Anh Nhã rất sợ mổ, tìm đến&nbsp;lương y Nguyễn Văn Minh chữa bệnh thoát vị đĩa đệm cột sống thắt lưng bằng thuốc đông y. Khỏi bệnh&nbsp;anh rất vui mừng và&nbsp;đồng ý cho ghi lại hình ảnh thực tế của mình để cảm ơn phòng khám (*)</span></p><p style="text-align: justify;"><span style="font-size:16px;">Nếu bạn đọc ở Kiên Giang tham khảo kinh nghiệm&nbsp;của anh Nhã tại địa chỉ: ấp Tràm Chỏi, xã Vĩnh Điều, huyện Giang Thành, tỉnh Kiên Giang .</span></p><p style="text-align: justify;"><span style="font-size:16px;">P/s: Lúc quay video năm 2016, địa chỉ phòng khám còn&nbsp;ở; 373/5 Thống Nhất, phường 11, Gò Vấp. Hiện nay phòng khám đã dời về địa chỉ: 856/6 Đường Quang Trung, phường 8, Gò Vấp, Tp Hồ Chí Minh.</span></p><p style="text-align: justify;"><span style="font-size:16px;">(*) &quot;Lưu ý: thuốc uống và thuốc đắp chữa thoát vị đĩa đệm/tác dụng nhanh hay chậm có thể thay đổi tùy theo triệu chứng bệnh mỗi nguời&quot;</span></p><h4 style="text-align: justify;"><span style="font-size:16px;">Có thể bạn quan tâm:&nbsp;<a href="https://chuabenhthoatvidiadem.vn/cach-chua-benh/chup-mri-la-cach-phat-hien-thoat-vi-dia-dem-cot-song-chinh-xac-nhat-pid-87.html" style="color: rgb(102, 0, 153); cursor: pointer; text-decoration-line: none;" target="_blank" title="">Cách&nbsp;phát hiện&nbsp;thoát vị đĩa đệm, </a><a href="https://chuabenhthoatvidiadem.vn/cach-chua-benh/chup-mri-la-cach-phat-hien-thoat-vi-dia-dem-cot-song-chinh-xac-nhat-pid-87.html" style="color: rgb(102, 0, 153); text-align: justify; cursor: pointer; text-decoration-line: none;" target="_blank" title="">hãy chụp MRI cột sống</a></span></h4><p><span style="font-size:16px;">Địa chỉ lương y Nguyễn Văn Minh chữa thoát vị đĩa đệm: 856/6 Quang Trung, Phường 8, Quận Gò Vấp, TP.HCM.</span></p><p>&nbsp;</p>]]></content:encoded>
						<wfw:commentRss></wfw:commentRss>
						<slash:comments>0</slash:comments>
					</item>
				
					<item>
						<title>Tôi đã khỏi bệnh thoát vị đĩa đệm cột sống cổ nhờ lương y Nguyễn Văn Minh chữa trị.</title>
						<link>https://chuabenhthoatvidiadem.vn/bai-viet/ket-qua-dieu-tri-thoat-vi-dia-dem/toi-da-khoi-benh-thoat-vi-dia-dem-cot-song-co-nho-luong-y-nguyen-van-minh-chua-tri-pid-61.html</link>
						<comments></comments>
						<pubDate>Mon, 02 Jan 2017 10:34:40 +0700</pubDate>
						<dc:creator>admin</dc:creator>
						<category><![CDATA[Kết quả điều trị thoát vị đĩa đệm]]></category>
						<guid isPermaLink="false"></guid>
						<description><![CDATA[Chữa bệnh thoát vị đĩa đệm cột sống cổ, cột sống thắt lưng bằng thuốc đông y sắc uống, kết hợp với đắp thuốc trị thoát vị đĩa đệm mang lại hiệu quả cao. Nhiều bệnh nhân chỉ sau 4 tuần điều trị đã hết đau nhức cổ gáy, không còn đau bả vai tê cánh tay. Trong đó có anh Hoàng ở TP HCM bị thoát vị đĩa đệm đốt sống cổ C5 C6, C6 C7, đã trị khỏi hẳn, anh gọi điện cảm ơn.]]></description>
						<content:encoded><![CDATA[<h2 style="text-align: justify;"><span style="font-size:16px;"><span style="font-family:arial,helvetica,sans-serif;">Anh Hoàng bị thoát vị đĩa đệm cột sống cổ, gây đau nhức vùng cổ gáy, đau lan xuống bả vai cánh tay, đã điều trị nhiều nơi nhưng&nbsp;không khỏi dứt điểm. Kết quả chụp cộng hưởng từ cột sống cổ, bác sĩ kết luận anh bị thoát vị đĩa đệm đốt&nbsp;sống cổ C5 C6, C6 C7, chèn ép rễ thần kinh gây đau nhức. Lương y Nguyễn Văn Minh đã điều trị cho anh khỏi hẳn các triệu chứng đau nhức do thoát vị đĩa đệm gây nên, anh gọi điện cảm ơn lương y Minh. Hai năm sau gặp lại anh Hoàng, anh thông báo khỏi hẳn từ ngày đó tới nay không thấy tái phát bệnh cũ (*)</span></span></p><p>&nbsp;</p><p><img loading="lazy" alt="chua khoi thoat vi dia dem" src="data:image/gif;base64,R0lGODlhAQABAID/AP///wAAACwAAAAAAQABAAACAkQBADs=" data-src="https://chuabenhthoatvidiadem.vn/resources/images/454545.jpg" style="width: 480px; height: 270px;" class="lazy" width="480" height="270" data-optimized="1" /></p><p><span style="font-size:18px;"><span style="font-family:times new roman,times,serif;"><em>Sau 2 năm khỏi thoát vị đĩa đệm cổ C5 C6, C6 C7, anh Hoàng có ghé thăm phòng khám đông y Bảo Minh,&nbsp;chụp hình kỷ niệm với lương y Nguyễn Văn minh.</em></span></span></p><p><span style="font-size:16px;">&nbsp;Hãy click vào mũi tên để nghe thực tế anh Hoàng kể đã khỏi bệnh thoát vị đĩa đệm.</span></p><p>&nbsp;</p><p><a href="https://chuabenhthoatvidiadem.vn/resources/files/Tho_i_028_m.mp3" title="">chuabenhthoatvidiadem.vn</a></p><p>&nbsp;</p><p><span style="font-size:16px;">(*)&nbsp; &nbsp;&quot;Lưu ý: tác dụng của thuốc chữa thoát vị đĩa đệm /nhanh hay chậm có thể thay đổi tùy theo triệu chứng bệnh mỗi nguời&quot;</span></p><p><span style="font-size:16px;">Đọc thêm:&nbsp;<a href="https://chuabenhthoatvidiadem.vn/cach-chua-benh/giay-phep-kham-chua-benh-cua-luong-y-nguyen-van-minh-pid-30.html" style="color: rgb(102, 0, 153); cursor: pointer; text-decoration-line: none;" target="_blank" title="">Giấy phép khám chữa bệnh của lương y Nguyễn Văn Minh.</a></span></p><h4 class="r" style="box-sizing: border-box; margin: 0px; padding: 0px; border: 0px; outline: 0px; font-size: 18px; vertical-align: baseline; background-image: initial; background-position: initial; background-size: initial; background-repeat: initial; background-attachment: initial; background-origin: initial; background-clip: initial; font-family: arial, sans-serif; line-height: 1.1; color: rgb(34, 34, 34); max-width: 100%; overflow: hidden; text-overflow: ellipsis; white-space: nowrap;"><span style="box-sizing: border-box; margin: 0px; padding: 0px; border: 0px; outline: 0px; font-size: 16px; vertical-align: baseline; background: transparent; max-width: 100%;">Lương y&nbsp;chữa thoát vị đĩa đệm ở TP.HCM</span></h4><p style="box-sizing: border-box; margin: 0px 0px 10px; padding: 0px; border: 0px; outline: 0px; font-size: 21.36px; vertical-align: baseline; background-image: initial; background-position: initial; background-size: initial; background-repeat: initial; background-attachment: initial; background-origin: initial; background-clip: initial; max-width: 100%; color: rgb(34, 34, 34); font-family: arial, sans-serif;"><span style="box-sizing: border-box; margin: 0px; padding: 0px; border: 0px; outline: 0px; font-size: 16px; vertical-align: baseline; background: transparent; max-width: 100%;">Địa chỉ: 856/6 Quang Trung, phường 8, quận Gò Vấp, Tp Hồ Chí Minh.</span></p>]]></content:encoded>
						<wfw:commentRss></wfw:commentRss>
						<slash:comments>0</slash:comments>
					</item>
				
					<item>
						<title>Chữa thoát vị đĩa đệm bằng đông y ở TP. HCM</title>
						<link>https://chuabenhthoatvidiadem.vn/bai-viet/ket-qua-dieu-tri-thoat-vi-dia-dem/chua-thoat-vi-dia-dem-bang-dong-y-o-tp-hcm-pid-262.html</link>
						<comments></comments>
						<pubDate>Sat, 08 Jun 2019 10:16:25 +0700</pubDate>
						<dc:creator>admin</dc:creator>
						<category><![CDATA[Kết quả điều trị thoát vị đĩa đệm]]></category>
						<guid isPermaLink="false"></guid>
						<description><![CDATA[Chữa bệnh thoát vị đĩa đệm bằng đông y là gì? cách chữa bằng đông y có khỏi hẳn được không? Trăm nghe không bằng một thấy! Đây là hình ảnh và bệnh án thoát vị đĩa đệm của bác Quế ở TP. HCM. Lương y Nguyễn Văn Minh đã chữa thoát vị đĩa đệm cho bác bằng thuốc đông y đặc trị, sau 20 ngày đã bớt bệnh tới 90%. Hôm nay bác Quế tái khám và kể chuyện bệnh của bác đã đỡ như thế nào, tôi đã xin phép và được bác Quế đồng ý cho chia sẻ hình ảnh chân thực của chính bác ở đây.]]></description>
						<content:encoded><![CDATA[<h2 style="text-align: justify;"><em><span style="font-size:18px;">Chữa thoát vị đĩa đệm bằng đông y ở TP. HCM có gì tốt, có khỏi được không, uống thuốc đông y bao lâu thì có tác dụng? Cảm nhận&nbsp;từ người bệnh kể chuyện thật của&nbsp;mình&nbsp;đang&nbsp;chữa bệnh ở phòng khám, đây chính&nbsp;là cách khẳng định tốt nhất về hiệu quả của thuốc đông y. Mời quý vị xem cách chữa thoát vị đĩa đệm bằng đông y của lương y Nguyễn Văn Minh ở dưới đây, qua lời kể của bác Trần Quế.</span></em></h2><p><em><span style="font-size:18px;"><iframe frameborder="0" height="310" longdesc="chữa thoát vị đĩa đệm bằng đông y" name="Chữa thoát vị đĩa đệm" scrolling="no" src="https://www.youtube.com/embed/zuc5y2sZHxE" title="Thuốc đông y" width="550"></iframe></span></em></p><p style="text-align: justify;"><span style="font-size:16px;">Tôi, Lương y Nguyễn Văn Minh - Phòng khám đông y Bảo Minh xin chân thành cảm ơn bác Trần Quế đã cho chia sẻ thông tin địa chỉ thật và bệnh án thoát vị đĩa đệm của bác&nbsp;tại trang web này của phòng khám: chuabenhthoatvidiadem.vn&nbsp;</span></p><p><img loading="lazy" alt="Hình ảnh thoát vị đĩa đệm" src="data:image/gif;base64,R0lGODlhAQABAID/AP///wAAACwAAAAAAQABAAACAkQBADs=" data-src="https://chuabenhthoatvidiadem.vn/resources/images/MRI thoát vị đĩa đệm chèn rễ thần kinh.jpg" style="width: 800px; height: 1067px;" class="lazy" width="900" height="1200" data-optimized="1" /></p><p><em><span style="font-size:14px;">Hình ảnh thoát vị đĩa đệm cột sống thắt lưng của&nbsp;bác Quế trên phim chụp cộng hưởng từ (MRI)</span></em></p><p><img loading="lazy" alt="Chữa thoát vị đĩa đệm bằng đông y" src="data:image/gif;base64,R0lGODlhAQABAID/AP///wAAACwAAAAAAQABAAACAkQBADs=" data-src="https://chuabenhthoatvidiadem.vn/resources/images/Kết quả điều trị thoát vị đĩa đệm.jpg" style="width: 800px; height: 1067px;" class="lazy" width="900" height="1200" data-optimized="1" /><em><span style="font-size:14px;">Đây là kết quả chụp MRI của&nbsp;bác Quế, do&nbsp;bác sĩ bệnh viện Triều An TP.HCM thực hiện, tôi xin ghi lại cho rõ phần mô tả hình ảnh, kết luận như sau:</span></em></p><p><strong><span style="font-size:16px;">MÔ TẢ HÌNH ẢNH</span></strong></p><h2><span style="font-size:16px;">Trượt ra sau độ 1 thân sống L2/3 &amp; L3/4 không thấy hình ảnh khuyết eo thân sống thắt lưng.</span></h2><h2><span style="font-size:16px;">Gai xương thoái hóa thân sống. Thoái hóa mỡ (Modic loại II) các thân sống, tín hiệu tủy xương cao trên T1W, T2W.</span></h2><h2><span style="font-size:16px;">Bề cao và tín hiệu các đĩa đệm cột sống thắt lưng và ngực thấp&nbsp;giảm.</span></h2><h2><span style="font-size:16px;">Thoát vị đĩa đệm cạnh trái trung tâm tầng L2-3, chèn ép vào khoang màng cứng, chèn ép rễ thần kinh L3 bên trái.</span></h2><h2><span style="font-size:16px;">Thoát vị đĩa đệm cạnh phải trung tâm tầng L4-5 ra sau #3mm và xuống dưới #5mm vào ngách bên chèn ép rễ thần kinh L5 bên phải</span></h2><h2><span style="font-size:16px;">Lồi đĩa đệm trung tâm các tầng L1-2, L3-4 &amp; L5-S1 không chèn ép rễ thần kinh hai bên.</span></h2><h2><span style="font-size:16px;">Vị trí, hình dạng tín hiệu tủy chóp cùng bình thường.</span></h2><h2><span style="font-size:16px;">Phì đại và tụ ít dịch các khớp liên mấu tầng lưng thấp.</span></h2><h2><span style="font-size:16px;">Các dây chằng dọc trước, dọc sau bình thường, dày dây chằng vàng.</span></h2><h2><span style="font-size:16px;">Không thấy bất thường tín hiệu phần mềm cạnh sống.&nbsp;</span></h2><p><strong><span style="font-size:16px;">KẾT LUẬN</span></strong></p><p><strong><span style="font-size: 16px;">Thoát vị đĩa đệm cạnh trái trung tâm tầng L2-3, chèn ép vào khoang màng cứng, chèn ép rễ thần kinh L3&nbsp;trái.</span></strong></p><p><strong><span style="font-size: 16px;">Thoát vị đĩa đệm cạnh phải trung tâm tầng L4-5&nbsp;chèn ép rễ thần kinh L5&nbsp;phải.</span></strong></p><p><strong><span style="font-size: 16px;">Lồi đĩa đệm trung tâm các tầng L1-2, L3-4 &amp; L5-S1 không chèn ép rễ thần kinh hai bên.</span></strong></p><p><strong><span style="font-size: 16px;">Trượt ra sau độ 1 thân sống L2/L3 &amp; L3/L4 Thoái hóa cột sống thắt lưng.</span></strong></p><p style="text-align: justify;"><span style="font-size:16px;">Sau khi uống thuốc kết hợp đắp thuốc cột&nbsp;sống được 20 ngày, bác Quế thấy bớt bệnh tới 90%, hôm nay bác Quế tái khám, tôi đã xin phép quay lại những hình ảnh và lời kể chân thực nhất của bác Quế, về cách chữa thoát vị đĩa đệm bằng đông y (*)</span></p><p style="text-align: justify;"><span style="font-size:16px;">Lưu ý: (*)&nbsp; Thuốc đông y chữa&nbsp;thoát vị đĩa đệm có tác dụng nhanh hay chậm, có thể thay đổi tùy theo tình trạng bệnh của mỗi nguời</span></p><p style="text-align: justify;"><span style="font-size:16px;">Lương y Nguyễn Văn Minh chuyên chữa bệnh&nbsp;thoát vị đĩa đệm, tại: &nbsp;856/6 Đường Quang Trung, Phường 8, Quận Gò Vấp, TP.HCM. Zalo: 0913503552 - Điện thoại bàn: 02862951367</span></p>]]></content:encoded>
						<wfw:commentRss></wfw:commentRss>
						<slash:comments>0</slash:comments>
					</item>
				
					<item>
						<title>Thoát vị đĩa đệm và cách điều trị</title>
						<link>https://chuabenhthoatvidiadem.vn/bai-viet/nghe-truc-tiep-nhung-nguoi-duoc-luong-y-minh-chua-khoi-thoat-vi-dia-dem/thoat-vi-dia-dem-va-cach-dieu-tri-pid-233.html</link>
						<comments></comments>
						<pubDate>Sat, 13 Oct 2018 08:40:06 +0700</pubDate>
						<dc:creator>admin</dc:creator>
						<category><![CDATA[Nghe trực tiếp những người được lương y Minh chữa khỏi thoát vị đĩa đệm ]]></category>
						<guid isPermaLink="false"></guid>
						<description><![CDATA[Thoát vị đĩa đệm và cách điều trị có chi phí thấp, hiệu quả cao của Lương y Nguyễn Văn Minh ở TP.HCM. Điều trị thoát vị đĩa đệm bằng cách: Trong uống thuốc thang, ngoài đắp thuốc, bóp thuốc cột sống. Cách điều trị này không chỉ nổi tiếng tại TP.HCM mà còn lan truyền tại Đắk Lắk, xem tại đây.]]></description>
						<content:encoded><![CDATA[<p style="text-align: justify;"><span style="font-size:18px;"><span style="font-size:16px;">Thầy thuốc muốn chữa thoát vị đĩa đệm giỏi, cần phải có bài thuốc hay, kinh nghiệm giỏi trong việc điều trị.&nbsp;Lương y Nguyễn Văn Minh đã điều trị cho rất nhiều người khỏi thoát vị đĩa đệm với chi phí rất thấp so với việc nằm viện điều trị</span></span><em><span style="font-size:18px;">.</span></em></p><h2 style="text-align: justify;"><span style="font-size:16px;">Thoát vị đĩa đệm và cách điều trị hết đau, hết nhức cho chị Thủy ở Đắk Lắk. Đây là cách chữa bệnh có chi phí thấp, hiệu quả cao ở&nbsp;Gò Vấp,TP.HCM.&nbsp;</span></h2><p style="text-align: justify;"><span style="font-size: 16px;">Chị Lê Thị Thu Thủy ở Buôn Hồ, Đắk Lắk đồng ý chia sẻ bệnh án thoát vị đĩa đệm. Kết quả&nbsp;chụp MRI tại bệnh viện Hòa Hảo TP.HCM. Hãy bấm vào mũi tên dưới đây để nghe chị Thủy gọi điện cho Lương y Minh thông báo&nbsp;khỏi bệnh;</span></p><p style="text-align: justify;"><a href="https://chuabenhthoatvidiadem.vn/resources/files/Ghi âm cuộc gọi 0976930315_181006_083327.mp3" title=""><em><span style="font-size: 16px;">chuabenhthoatvidiadem.vn</span></em></a></p><p style="text-align: justify;"><span style="font-size:16px;">Những thầy thuốc chữa bệnh có tâm, muốn giữ uy tín về danh tiếng lâu dài, họ luôn&nbsp;tôn trọng và công bố đúng sự thật. Phòng khám đông y Bảo Minh cũng vậy, luôn tôn trọng sự thật, trước khi đăng tin ghi hình về bệnh án thoát vị đĩa đệm, chúng tôi đều xin phép, được sự đồng ý chúng tôi mới công bố. Mục đích giúp thêm được nhiều người thoát cảnh đau đớn do bệnh tật gây nên. Khi chữa khỏi bệnh cho họ, đa số đều muốn giới thiệu người thầy thuốc đã trị khỏi&nbsp;bệnh cho họ.</span></p><p style="text-align: justify;"><em><span style="font-size:16px;">Lưu ý: Đây là cuộc nói chuyện rất thật và tự nhiên giữa lương y Nguyễn Văn Minh và chị Lê Thị Thu Thủy, có lúc âm thanh nghe không được rõ và liên tục, mong quý bạn đọc thông cảm (*)</span></em></p><p style="text-align: justify;">&nbsp;</p><h2><em style="font-size: 13px;"><img loading="lazy" alt="Thoát vị đĩa đệm và cách điều trị" src="data:image/gif;base64,R0lGODlhAQABAID/AP///wAAACwAAAAAAQABAAACAkQBADs=" data-src="https://chuabenhthoatvidiadem.vn/resources/images/20180811_104521.jpg" style="opacity: 0.9; width: 900px; height: 1200px;" class="lazy" width="900" height="1200" data-optimized="1" /></em></h2><h3>&nbsp;</h3><h3><span style="font-size:16px;">Bác sĩ chuyên khoa cột sống ở bệnh viện Hòa Hảo, Tp HCM&nbsp;cho chị Thủy chụp cộng hưởng từ cột sống thắt lưng,&nbsp;kết quả khảo sát cột sống thắt lưng&nbsp;của chị Thủy như sau:</span></h3><p><span style="font-size:20px;">MÔ&nbsp;TẢ&nbsp;</span></p><p><strong><span style="font-size:16px;">Tầng L3-4, L5-S1, giảm tín hiệu trên T2WI, giảm chiều cao đĩa đệm.</span></strong></p><p><strong><span style="font-size:16px;">Trượt L5-S1. Thoái hóa mấu khớp bên L5-S1 hai bên</span></strong></p><p><strong><span style="font-size:16px;">Thoát vị đĩa đệm trung tâm tầng L3-4, L5-S1, chèn ép rễ thần kinh L4, S1 hai bên</span></strong></p><h4><strong><span style="font-size: 16px;">Hẹp lỗ liên hợp hai bên.</span></strong></h4><h4><strong><span style="font-size:16px;">Không dày hay cốt hóa dây chằng vàng, dây chằng dọc sau hai bên.</span></strong></h4><h4><strong><span style="font-size:16px;">Đường kính ống sống trước sau không hẹp.</span></strong></h4><h4><strong><span style="font-size:16px;">Các thân sống tăng tín hiệu không đồng nhất trên T2WI, T1WI, chối xương các thân sống, các đĩa đệm còn lại có tín hiệu và chiều cao thay đổi không đáng kể, không thoát vị.</span></strong></h4><h4><strong><span style="font-size:16px;">Tủy sống ngực thấp, chóp cùng bình thường. Không thấy u trong túi&nbsp;cùng màng cứng.</span></strong></h4><p><span style="font-size:20px;">KẾT LUẬN</span></p><h5><strong><span style="font-size: 16px;">Trượt L5-S1, thoái hóa&nbsp;mấu khớp bên&nbsp;L5, S1 hai bên.&nbsp;</span></strong></h5><h5><strong><span style="font-size: 16px;">Thoát vị đĩa đệm trung tâm tầng L3-L4, L5-S1, chèn ép rễ thần kinh&nbsp;L4, S1 hai bên.</span></strong></h5><h5><strong><span style="font-size: 16px;">Thoái hóa cột sống thắt lưng.</span></strong></h5><p><span style="font-size:16px;">Sau khi điều trị bằng thuốc uống và thuốc đắp cột sống, tổng cộng hết 50 thang thuốc, chị Thủy đã hết đau, hết nhức,&nbsp;khỏi hẳn&nbsp;bệnh thoát vị đĩa đệm. </span></p><p><span style="font-size:16px;">Phòng khám đông y Bảo Minh xin trân trọng cảm ơn chị Thủy, đã đồng ý chia sẻ ý kiến và bệnh án của mình.</span></p><p><span style="font-size:18px;">Chữa thoát vị đĩa đệm gặp lương y Nguyễn Văn Minh, tại địa chỉ: </span></p><p><span style="font-size:18px;">856/6 Đường Quang Trung, Quận Gò Vấp, TP.HCM. ĐT, Zalo của Lương y Nguyễn Văn Minh: 0913503552 - Cố định: 02862951367</span></p><p style="text-align: justify;"><span style="font-size:16px;"><font color="#000000" face="RobotoSlab-Regular, Arial, Helvetica, sans-serif" style="box-sizing: border-box; margin: 0px; padding: 0px; border: 0px; outline: 0px; font-size: 16px; vertical-align: baseline; background-image: initial; background-position: initial; background-size: initial; background-repeat: initial; background-attachment: initial; background-origin: initial; background-clip: initial; max-width: 100%; color: rgb(0, 0, 0); font-family: RobotoSlab-Regular, Arial, Helvetica, sans-serif; text-align: justify;"><span style="box-sizing: border-box; margin: 0px; padding: 0px; border: 0px; outline: 0px; vertical-align: baseline; background: transparent; max-width: 100%;">Quý khách đi khám thoát vị đĩa đệm&nbsp;bằng&nbsp;</span></font></span><span style="color: rgb(0, 0, 0); font-family: RobotoSlab-Regular, Arial, Helvetica, sans-serif; font-size: 16px; text-align: justify;">bản đồ<span style="font-size:16px;"><font color="#000000" face="RobotoSlab-Regular, Arial, Helvetica, sans-serif" style="box-sizing: border-box; margin: 0px; padding: 0px; border: 0px; outline: 0px; font-size: 16px; vertical-align: baseline; background-image: initial; background-position: initial; background-size: initial; background-repeat: initial; background-attachment: initial; background-origin: initial; background-clip: initial; max-width: 100%; color: rgb(0, 0, 0); font-family: RobotoSlab-Regular, Arial, Helvetica, sans-serif; text-align: justify;"><span style="box-sizing: border-box; margin: 0px; padding: 0px; border: 0px; outline: 0px; vertical-align: baseline; background: transparent; max-width: 100%;"> </span></font></span>Google Map rất chính xác. Ở Gò Vấp chỉ có duy nhất một địa chỉ 856/6 Quang Trung, nên không sợ nhầm lẫn.</span></p><p style="text-align: justify;"><span style="font-size: 16px;">(*)&nbsp; Thuốc uống, thuốc đắp chữa thoát vị đĩa đệm có tác dụng nhanh hay&nbsp;chậm tùy theo cơ địa mỗi nguời&quot;</span></p>]]></content:encoded>
						<wfw:commentRss></wfw:commentRss>
						<slash:comments>0</slash:comments>
					</item>
				
					<item>
						<title>Các bài thuốc dân gian chữa thoát vị đĩa đệm</title>
						<link>https://chuabenhthoatvidiadem.vn/bai-viet/benh-thoat-vi-dia-dem/cac-bai-thuoc-dan-gian-chua-thoat-vi-dia-dem-pid-158.html</link>
						<comments></comments>
						<pubDate>Thu, 11 Jan 2018 08:36:21 +0700</pubDate>
						<dc:creator>admin</dc:creator>
						<category><![CDATA[Bệnh thoát vị đĩa đệm]]></category>
						<guid isPermaLink="false"></guid>
						<description><![CDATA[Các bài thuốc dân gian, các bài thuốc nam chữa thoát vị đĩa đệm có rất nhiều. Do chữa theo cách mách nhau, truyền miệng theo kinh nghiệm dân gian, nên cũng có nhiều bài thuốc có tác dụng tốt, nhiều bài chữa thoát vị đĩa đệm còn hạn chế. Các bài thuốc dân gian trị thoát vị đĩa đệm toàn là thuốc nam, lại chữa bệnh ngay tại nhà nên những ai mới bị bệnh hoặc bệnh còn nhẹ cũng nên tham khảo.]]></description>
						<content:encoded><![CDATA[<p style="text-align: justify;"><span style="font-size:16px;">Các bài thuốc dân gian,&nbsp;bài thuốc nam chữa thoát vị đĩa đệm có rất nhiều. Do chữa theo cách mách nhau, truyền miệng theo kinh nghiệm dân gian, nên cũng có nhiều bài thuốc có tác dụng tốt, nhiều bài công dụng chữa bệnh còn hạn chế. Các bài thuốc dân gian trị thoát vị đĩa đệm toàn là thuốc nam, lại chữa bệnh ngay tại nhà&nbsp;nên những ai mới bị bệnh hoặc bệnh còn nhẹ cũng nên tham khảo.</span></p><h2 style="text-align: justify;"><span style="font-size:20px;">Trị thoát vị đĩa đệm bằng đu đủ</span></h2><p style="text-align: justify;"><span style="font-size:16px;">Cách làm: Dùng 1 trái đu đủ xanh cắt phần đầu trái&nbsp;tạo thành nắp đậy, giữ lại hạt bên trong. Gừng tươi 1 củ&nbsp;giã&nbsp;dập&nbsp;trộn chung với 30 ml rượu trắng&nbsp;rồi cho vào trong ruột trái đu đủ, đậy nắp&nbsp;lại. Mang&nbsp;đu đủ nướng&nbsp;trên bếp&nbsp;lửa khi nào thấy mềm thì&nbsp;được. Sau đó, dùng vải sạch bọc trái đu đủ còn ấm, bóp&nbsp;nát quả đu đủ&nbsp; rồi đắp lên&nbsp;vị trí bị thoát vị đĩa đệm, hoặc&nbsp;người bệnh nằm đè lên khoảng 30&nbsp;phút. Làm mỗi ngày 1 lần để bớt đau nhức do thoát vị đĩa đệm.</span></p><p style="text-align: justify;"><span style="font-size:14px;">P/s: Nếu quý khách&nbsp;chữa thoát vị đĩa đệm bằng đu đủ, nhưng chưa khỏi&nbsp;bệnh, hãy liên hệ gặp thầy thuốc chuyên chữa thoát vị đĩa đệm ở Gò Vấp, ông sẽ tư vấn cách chữa giúp quý khách. Cách chữa này có&nbsp;</span><span style="font-size:14px;">kết quả tốt như thế nào, mời quý khách bấm vào đây nghe (đây là những trường hợp quý khách đã chữa khỏi bệnh, đồng ý chia sẻ kinh nghiệm chữa thoát vị đĩa đệm):&nbsp;</span></p><p style="text-align: justify;"><a data-ctbtn="0" data-cthref="/url?sa=t&amp;rct=j&amp;q=&amp;esrc=s&amp;source=web&amp;cd=&amp;ved=2ahUKEwjcqeLB0d7vAhXU7GEKHQmmBPc4HhAWMAJ6BAgJEAM&amp;url=https%3A%2F%2Fchuabenhthoatvidiadem.vn%2Fcach-chua-benh%2Fket-qua-dieu-tri-thoat-vi-dia-dem-cid-2-10.html&amp;usg=AOvVaw1CERIJ0fexNjMSyKGYHCvj" data-ved="2ahUKEwjcqeLB0d7vAhXU7GEKHQmmBPc4HhAWMAJ6BAgJEAM" href="https://www.google.com.vn/url?sa=t&amp;rct=j&amp;q=&amp;esrc=s&amp;source=web&amp;cd=&amp;ved=2ahUKEwjcqeLB0d7vAhXU7GEKHQmmBPc4HhAWMAJ6BAgJEAM&amp;url=https%3A%2F%2Fchuabenhthoatvidiadem.vn%2Fcach-chua-benh%2Fket-qua-dieu-tri-thoat-vi-dia-dem-cid-2-10.html&amp;usg=AOvVaw1CERIJ0fexNjMSyKGYHCvj" rel="noopener" style="color: rgb(26, 13, 171); text-decoration-line: none; -webkit-tap-highlight-color: rgba(0, 0, 0, 0.1); font-family: arial, sans-serif; font-size: small;" target="_blank" title="">Kết quả chữa thoát vị đĩa đệm, ở phòng khám đông y Bảo Minh</a></p><h2 style="text-align: justify;"><span style="font-size: 20px;">Trị thoát vị đĩa đệm bằng cây xương rồng</span></h2><p style="text-align: justify;"><span style="font-size:16px;">Cách làm: Lấy khoảng 500 gam cây xương rồng, bỏ gai nhọn, rửa sạch cắt khúc đập dập trộn với 1 nắm muối hột. Rang hỗn hợp trên cho nóng đều rồi lấy vải sạch bọc lại đắp lên vùng cột sống bị thoát vị đĩa đệm, nguội lại&nbsp;mang rang nóng, làm như vậy 3- 5 lần là được. Có thể nằm đè lên hỗn hợp xương rồng và muối hột khoảng 20 phút. Kiên trì&nbsp;thực hiện&nbsp;phương pháp này vài ngày, có thể&nbsp;chứng&nbsp;đau nhức cột sống đĩa đệm&nbsp;của bạn sẽ bớt đau.</span></p><p style="text-align: justify;"><span style="font-size:14px;"><span style="text-align: justify;">P/s: Nhiều người chữa thoát vị đĩa đệm bằng xương rồng, nhưng chỉ đỡ đau, không&nbsp;khỏi được thoát vị đĩa đệm, họ đã nhờ thầy thuốc chuyên chữa thoát vị đĩa đệm, khám và kê đơn thuốc chữa thoát vị đĩa đệm.&nbsp;&nbsp;Kết quả tốt như thế nào, mời quý khách bấm vào liên kết dưới đây nghe (đây là những trường hợp quý khách đã chữa khỏi bệnh, đồng ý chia sẻ ý kiến về cách&nbsp;chữa thoát vị đĩa đệm của Lương y Nguyễn Văn Minh):&nbsp;</span></span></p><p style="text-align: justify;"><a data-ved="2ahUKEwjPpoir097vAhXWMd4KHROAARI4FBAWMAl6BAgIEAM" href="https://chuabenhthoatvidiadem.vn/dieu-tri/ket-qua-dieu-tri-thoat-vi-dia-dem-cid-2-0.html" rel="noopener" style="color: rgb(26, 13, 171); text-decoration-line: none; -webkit-tap-highlight-color: rgba(0, 0, 0, 0.1); font-family: arial, sans-serif; font-size: small;" target="_blank" title="">Kết quả chữa&nbsp;trị thoát vị đĩa đệm</a></p><h2 style="text-align: justify;"><span style="font-size: 20px;">Trị thoát vị đĩa đệm bằng ngải cứu</span></h2><p style="text-align: justify;"><span style="font-size:16px;">Trị thoát vị đĩa đệm bằng ngải cứu là cách trị bệnh đơn giản dễ thực hiện nhất, cây ngải cứu là loại thuốc nam thông dụng ai cũng biết, không sợ nhầm lẫn. Ngải cứu có tác dụng chữa rất nhiều chứng bệnh khác nhau, dùng ngải cứu rang cám đánh cảm, dùng ngải cứu rang muối hoặc sao với rượu&nbsp;chữa đau lưng, đây là cách chữa bệnh theo dân gian&nbsp;nhiều người hay sử dụng ngay khi mới mắc bệnh.</span></p><p style="text-align: justify;"><span style="font-size:16px;">Cách làm: Lấy khoảng 0,5 kg ngải cứu tươi, rửa sạch thái nhỏ rang với 1 nắm muối hột hoặc trộn với 100ml rượu gạo rồi sao lên cho nóng đều, dùng vải bọc lại rồi đặt dưới vùng cột sống bị đau, nằm đè lên , nguội mang sao lại cho&nbsp;nóng, làm như vậy mỗi ngày 1- 2&nbsp;lần, mỗi lần khoảng 30 phút. Nếu có thêm lá cúc tần trộn cùng ngải cứu thì tác dụng trị đau nhức&nbsp;của bài thuốc sẽ tốt&nbsp;hơn.</span></p><p style="text-align: justify;"><span style="font-size:14px;">Ghi chú: Nếu người bệnh đã chữa thoát vị đĩa đệm bằng ngải cứu, nhưng chỉ đỡ đau, không đắp ngải cứu lại bị đau bị nhức, hãy xem cách chữa của Lương y chuyên chữa thoát vị đĩa đệm ở TP.HCM, tại đây:</span></p><p style="text-align: justify;"><img loading="lazy" alt="Thuốc thoát vị đĩa đệm" src="data:image/gif;base64,R0lGODlhAQABAID/AP///wAAACwAAAAAAQABAAACAkQBADs=" data-src="https://chuabenhthoatvidiadem.vn/resources/images/Thuoc thoatvidiadem.jpg" style="width: 654px; height: 638px;" class="lazy" width="654" height="638" data-optimized="1" /></p><p style="text-align: justify;"><span style="font-size:14px;">&nbsp;<a data-ctbtn="0" data-cthref="/url?sa=t&amp;rct=j&amp;q=&amp;esrc=s&amp;source=web&amp;cd=&amp;ved=2ahUKEwj93-ab2d7vAhWqGaYKHbAmCjwQFjAJegQIBRAD&amp;url=https%3A%2F%2Fchuabenhthoatvidiadem.vn%2Fcach-chua-benh%2Fthuoc-chua-thoat-vi-dia-dem-pid-290.html&amp;usg=AOvVaw3jiw1eX1Gj4nbDzeMBv_Cs" data-ved="2ahUKEwj93-ab2d7vAhWqGaYKHbAmCjwQFjAJegQIBRAD" href="https://www.google.com.vn/url?sa=t&amp;rct=j&amp;q=&amp;esrc=s&amp;source=web&amp;cd=&amp;ved=2ahUKEwj93-ab2d7vAhWqGaYKHbAmCjwQFjAJegQIBRAD&amp;url=https%3A%2F%2Fchuabenhthoatvidiadem.vn%2Fcach-chua-benh%2Fthuoc-chua-thoat-vi-dia-dem-pid-290.html&amp;usg=AOvVaw3jiw1eX1Gj4nbDzeMBv_Cs" rel="noopener" style="color: rgb(26, 13, 171); -webkit-tap-highlight-color: rgba(0, 0, 0, 0.1); font-family: arial, sans-serif; font-size: small;" target="_blank" title="">Thuốc chữa thoát vị đĩa đệm</a></span></p><p style="text-align: justify;"><span style="font-size: 20px;">Trị thoát vị đĩa đệm bằng lá lốt</span></p><p style="text-align: justify;"><span style="font-size:16px;">Theo kinh nghiệm dân gian hay dùng&nbsp;lá lốt chữa các chứng bệnh về đau nhức&nbsp;xươn khớp, đau cột sống, thoái hóa cột sống, thoát vị đĩa đệm. Bài thuốc nam chữa thoát vị đĩa đệm có lá lốt:&nbsp;Lá lốt 50 gam, xấu hổ 30 gam, lá đinh lăng 50 gam, cành dâu 30 gam, cỏ xước 30 gam, tất cả rửa sạch cắt ngắn, phơi khô sao vàng sắc uống ngày 1 thang. Chú&nbsp;ý:&nbsp; Lá lốt, cỏ xước và xấu hổ nên dùng cả thân&nbsp;cây và&nbsp;rễ sẽ có tác dụng chữa bệnh tốt hơn.</span></p><p style="text-align: justify;"><span style="font-size:16px;">Lá lốt ngâm chân:&nbsp;Cây lá lốt dùng cả phần rễ và thân lá, lấy khoảng 500 gam lá lốt rửa sạch nấu với 1 nhúm muối hột, đun sôi 10&nbsp;phút, khi còn ấm mang ngâm chân, mỗi ngày ngâm 1 lần, mỗi lầ từ 15- 20 phút. Có tác dụng chữa đau lưng, chân tay&nbsp;nhức mỏi.</span></p><p style="text-align: justify;">P/s: Nếu người nhà bạn đã&nbsp;chữa thoát vị đĩa đệm bằng lá lốt, nhưng bệnh chưa khỏi hẳn&nbsp;không, hãy&nbsp;gặp thầy thuốc chuyên chữa thoát vị đĩa đệm ở Gò Vấp, nhờ&nbsp;tư vấn cách chữa tốt nhất giúp người nhà bạn, hãy bấm vào liên kết dưới đây xem những người bệnh chia sẻ ý kiến về cách chữa này.</p><h3 class="LC20lb DKV0Md" style="font-size: 20px; margin: 0px 0px 3px; padding: 5px 0px 0px; display: inline-block; line-height: 1.3;"><a data-ctbtn="0" data-cthref="/url?sa=t&amp;rct=j&amp;q=&amp;esrc=s&amp;source=web&amp;cd=&amp;ved=2ahUKEwjvr4ih1d7vAhVV7WEKHYhfBPE4bhAWMAB6BAgDEAM&amp;url=https%3A%2F%2Fchuabenhthoatvidiadem.vn%2Fcach-chua-benh%2Fnghe-truc-tiep-nhung-nguoi-duoc-luong-y-minh-chua-khoi-thoat-vi-dia-dem-cid-4-10.html&amp;usg=AOvVaw28G39eaerO2mnfULHUMTao" data-ved="2ahUKEwjvr4ih1d7vAhVV7WEKHYhfBPE4bhAWMAB6BAgDEAM" href="https://www.google.com.vn/url?sa=t&amp;rct=j&amp;q=&amp;esrc=s&amp;source=web&amp;cd=&amp;ved=2ahUKEwjvr4ih1d7vAhVV7WEKHYhfBPE4bhAWMAB6BAgDEAM&amp;url=https%3A%2F%2Fchuabenhthoatvidiadem.vn%2Fcach-chua-benh%2Fnghe-truc-tiep-nhung-nguoi-duoc-luong-y-minh-chua-khoi-thoat-vi-dia-dem-cid-4-10.html&amp;usg=AOvVaw28G39eaerO2mnfULHUMTao" rel="noopener" style="color: rgb(26, 13, 171); text-decoration-line: none; -webkit-tap-highlight-color: rgba(0, 0, 0, 0.1); font-family: arial, sans-serif; font-size: small;" target="_blank" title="">Lương y Nguyễn Văn Minh chữa thoát vị đĩa đệm</a></h3><h3 style="text-align: justify;"><span style="font-size:20px;">Bài thuốc nam chữa thoát vị đĩa đệm bằng cây cỏ xước</span></h3><p><span style="font-size:20px;"><img loading="lazy" alt="Chữa thoát vị đĩa đệm bằng cỏ xước" src="data:image/gif;base64,R0lGODlhAQABAID/AP///wAAACwAAAAAAQABAAACAkQBADs=" data-src="https://chuabenhthoatvidiadem.vn/resources/images/cay-co-xuoc.jpg" style="width: 450px; height: 338px;" class="lazy" width="450" height="338" data-optimized="1" /></span></p><p><span style="font-size:16px;"><em>&nbsp; &nbsp; &nbsp; &nbsp; &nbsp; &nbsp; &nbsp; &nbsp; &nbsp; Cây cỏ xước, vị thuốc nam chữa đau nhức xương khớp theo dân gian</em></span></p><p style="text-align: justify;"><span style="font-size: 16px; text-align: justify;">Cây cỏ xước mọc hoang khắp nơi, miền bắc, miền nam đều có, nhân dân thường nhổ cả cây cỏ xước còn gốc&nbsp;rễ về rửa sạch phơi khô làm thuốc chữa bệnh. Đây là vị thuốc nam trị&nbsp;bệnh đau nhức dân gian hay sử dụng,&nbsp;bài thuốc chữa thoát vị đĩa đệm có&nbsp;cây cỏ xước là&nbsp;thành phần chính như sau: Cỏ xước 30 gam, củ nghệ&nbsp;20 gam, dây đau xương 30 gam, chuối hột 20 gam, quả ké đầu ngựa 15 gam (sao vàng), vỏ quýt 10 gam, nấu nước uống như uống nước trà hàng ngày. Những người mới bị đau lưng do lồi đĩa đệm, phồng (phình) đĩa đệm, sử dụng bài thuốc này kết hợp với đắp thuốc bằng trái đu đủ, hoặc đắp ngải cứu theo hướng dẫn trên, sau 10 ngày có thể khỏi đau nhức.</span></p><p style="text-align: justify;"><iframe frameborder="0" height="310" longdesc="Cách chữa thoát vị đĩa đệm bằng dân gian" name="Thoát vị đĩa đệm" scrolling="no" src="https://www.youtube.com/embed/wrJ0UQLOPY0" title="Cách chữa bệnh" width="550"></iframe></p><p style="text-align: justify;"><em><span style="font-size:18px;"><span style="text-align: justify;">Nếu bạn hoặc người thân đã chữa thoát vị đĩa đệm bằng các bài thuốc nam, chữa theo các phương pháp dân gian mà không khỏi hẳn thoát vị đĩa đệm, hãy điện thoại để lương y Nguyễn Văn Minh khám bệnh, tư vấn, chia sẻ cách sử dụng&nbsp;bài thuốc&nbsp;đặc trị thoát vị đĩa đệm của nhà thuốc. Bài thuốc được kế thừa từ các thầy thuốc là những danh y nổi tiếng của Việt Nam, cộng với kinh nghiệm chữa bệnh thực tế&nbsp;hơn 20 năm, lương y Nguyễn Văn minh đúc rút được&nbsp;bài thuốc trị bệnh tối ưu nhất, hiệu quả nhất&nbsp;để chữa thoát vị đĩa đệm.</span></span></em></p><p style="text-align: justify;"><span style="font-size:16px;">Xem hiệu quả của bài thuốc chữa thoát vị đĩa đệm:&nbsp;<a data-="" href="https://www.google.com.vn/url?sa=t&amp;rct=j&amp;q=&amp;esrc=s&amp;source=web&amp;cd=118&amp;ved=0ahUKEwiLtPvW1eDYAhXMj5QKHdY_AVg4bhAWCEwwBw&amp;url=http%3A%2F%2Fchuabenhthoatvidiadem.vn%2Fcach-chua-benh%2Fket-qua-dieu-tri-thoat-vi-dia-dem-cid-2-10.html&amp;usg=AOvVaw24khmoCtph_RU7RP1Pf-gN" style="color: rgb(102, 0, 153); cursor: pointer; text-decoration-line: none;" target="_blank" title="">Bấm vào đây &gt;&gt;</a></span></p><p style="text-align: justify;"><span style="font-size:16px;">Quay lại trang chủ:&nbsp;</span></p><p class="r" style="font-size: 18px; margin: 0px; padding: 0px; overflow: hidden; text-overflow: ellipsis; white-space: nowrap;"><span style="font-size:16px;"><a data-="" href="https://www.google.com.vn/url?sa=t&amp;rct=j&amp;q=&amp;esrc=s&amp;source=web&amp;cd=1&amp;ved=0ahUKEwj9oJiV1uDYAhVIHZQKHSaKC0MQFggkMAA&amp;url=http%3A%2F%2Fchuabenhthoatvidiadem.vn%2F&amp;usg=AOvVaw2PIc3BU4xahQXMF1MZyFZW" style="color: rgb(102, 0, 153); cursor: pointer; text-decoration-line: none;" target="_blank" title="">Cách Chữa Bệnh Thoát Vị Đĩa Đệm</a></span></p><p class="r" style="font-size: 18px; margin: 0px; padding: 0px; overflow: hidden; text-overflow: ellipsis; white-space: nowrap;"><span style="color: rgb(0, 102, 33); font-size: 14px; font-family: arial, sans-serif;">chuabenhthoatvidiadem.vn/&nbsp; &nbsp;</span></p><div class="s" style="max-width: 48em; color: rgb(84, 84, 84); line-height: 18px;"><div class="f kv _SWb" style="color: rgb(128, 128, 128); height: 18px; line-height: 16px; font-family: arial, sans-serif; font-size: small; white-space: nowrap;"><p>&nbsp;</p><div class="action-menu ab_ctl" style="display: inline; position: relative; margin: 1px 3px 0px; user-select: none; vertical-align: middle;"><div class="action-menu-panel ab_dropdown" data-ved="0ahUKEwj9oJiV1uDYAhVIHZQKHSaKC0MQqR8IJjAA" jsaction="keydown:m.hdke;mouseover:m.hdhne;mouseout:m.hdhue" role="menu" style="background-image: initial; background-position: initial; background-size: initial; background-repeat: initial; background-attachment: initial; background-origin: initial; background-clip: initial; border: 1px solid rgba(0, 0, 0, 0.2); font-size: 13px; padding: 0px; position: absolute; right: auto; top: 12px; z-index: 3; transition: opacity 0.218s; box-shadow: rgba(0, 0, 0, 0.2) 0px 2px 4px; left: 0px; visibility: hidden;" tabindex="-1"><ol style="margin: 0px; padding-right: 0px; padding-left: 0px; border: 0px;"><li class="action-menu-item ab_dropdownitem" role="menuitem" style="margin: 0px; padding: 0px; border: 0px; list-style: none; user-select: none; cursor: pointer;">&nbsp;</li></ol></div></div></div></div>]]></content:encoded>
						<wfw:commentRss></wfw:commentRss>
						<slash:comments>0</slash:comments>
					</item>
				
					<item>
						<title>chụp cộng hưởng từ cột sống thắt lưng</title>
						<link>https://chuabenhthoatvidiadem.vn/bai-viet/benh-thoat-vi-dia-dem/chup-cong-huong-tu-cot-song-that-lung-pid-245.html</link>
						<comments></comments>
						<pubDate>Thu, 14 Feb 2019 09:23:15 +0700</pubDate>
						<dc:creator>admin</dc:creator>
						<category><![CDATA[Bệnh thoát vị đĩa đệm]]></category>
						<guid isPermaLink="false"></guid>
						<description><![CDATA[Chụp cộng hưởng từ cột sống thắt lưng sẽ phát hiện được các bệnh lý cột sống như; Thoát vị đĩa đệm cột sống thắt lưng, thoái hóa cột sống, gai đốt sống, trượt đốt sống, xẹp đốt sống, viêm cột sống...Khi có kết luận của bác sĩ chụp cộng hưởng từ thì việc tìm cách chữa bệnh sẽ dễ hơn rất nhiều cho người thầy thuốc .]]></description>
						<content:encoded><![CDATA[<p style="text-align: justify;"><span style="font-size:18px;"><em>Bị đau lưng, đau cột sống thắt lưng, đau thần kinh tọa, tê chân, đau nhức mông đùi...&nbsp;không biết nguyên nhân do đâu! Chụp cộng hưởng từ cột sống thắt lưng sẽ giúp phát hiện: Thoát vị đĩa đệm, lồi đĩa đệm, thoái hóa cột sống, gai cột sống, trượt đốt sống, viêm cột sống, tổn thương rễ thần kinh, lao cột sống...Thầy thuốc sẽ căn cứ vào đó mà đưa ra phương pháp chữa trị tốt nhất, nhanh nhất và ít tốn kém nhất cho người bệnh.</em></span></p><p><span style="font-size:18px;"><em><img loading="lazy" alt="Chụp cộng hưởng từ cột sống thắt lưng" src="data:image/gif;base64,R0lGODlhAQABAID/AP///wAAACwAAAAAAQABAAACAkQBADs=" data-src="https://chuabenhthoatvidiadem.vn/resources/images/Chụp cộng hưởng từ cột sống thắt lưng.jpg" style="width: 800px; height: 1128px;" class="lazy" width="851" height="1200" data-optimized="1" /></em></span></p><p><span style="font-size:16px;">Kết luận của bác sĩ&nbsp;chuyên khoa cột sống ở TP. HCM: </span></p><p><span style="font-size:16px;">Thoái hóa cột sống thắt lưng</span></p><p><span style="font-size:16px;">Thoát vị đĩa đệm L4/L5 lan tỏa, (ra sau bên #6mm)--&gt; gây hẹp lỗ liên hợp. Chèn ép bao màng cứng và rễ L5 trái&gt;phải.</span></p><p><iframe frameborder="0" height="310" longdesc="Chup cong huong tu cot song" name="thoat vi dia dem" scrolling="no" src="https://www.youtube.com/embed/wrJ0UQLOPY0" title="benh thoat vi dia dem" width="550"></iframe></p><p><span style="color: rgb(0, 0, 0); font-family: RobotoSlab-Regular, Arial, Helvetica, sans-serif; font-size: 18px; text-align: justify;">Phòng khám chuyên trị thoát vị đĩa đệm ở thành phố HCM: 856/6 Quang Trung, P.&nbsp;8, Quận Gò Vấp.&nbsp;Lương y Nguyễn Văn Minh tư vấn qua Zalo: 0913503552 - ĐT bàn: 028.6295.1367</span></p><p style="box-sizing: border-box; margin: 0px 0px 10px; padding: 0px; border: 0px; outline: 0px; font-size: 16px; vertical-align: baseline; background-image: initial; background-position: initial; background-size: initial; background-repeat: initial; background-attachment: initial; background-origin: initial; background-clip: initial; max-width: 100%; color: rgb(0, 0, 0); font-family: RobotoSlab-Regular, Arial, Helvetica, sans-serif; text-align: justify;"><span style="box-sizing: border-box; margin: 0px; padding: 0px; border: 0px; outline: 0px; font-size: 18px; vertical-align: baseline; background: transparent; max-width: 100%;">Tin liên quan bênh thoát vị đĩa đệm:&nbsp;</span></p><p class="LC20lb DKV0Md" style="box-sizing: border-box; margin: 0px 0px 3px; padding: 4px 0px 0px; border: 0px; outline: 0px; font-size: 20px; vertical-align: baseline; background-image: initial; background-position: initial; background-size: initial; background-repeat: initial; background-attachment: initial; background-origin: initial; background-clip: initial; max-width: 100%; color: rgb(0, 0, 0); font-family: RobotoSlab-Regular, Arial, Helvetica, sans-serif; display: inline-block; line-height: 1.3;"><span style="box-sizing: border-box; margin: 0px; padding: 0px; border: 0px; outline: 0px; font-size: 16px; vertical-align: baseline; background: transparent; max-width: 100%;"><a data-ctbtn="0" data-cthref="/url?sa=t&amp;rct=j&amp;q=&amp;esrc=s&amp;source=web&amp;cd=&amp;ved=2ahUKEwjr5Obq-fHpAhUyw4sBHSOPBAE4FBAWMAR6BAgGEAE&amp;url=https%3A%2F%2Fchuabenhthoatvidiadem.vn%2Fcach-chua-benh%2Fthoat-vi-dia-dem-va-cach-dieu-tri-pid-233.html&amp;usg=AOvVaw3C6SdJpJ-6MgCRc5XONfE_" href="https://www.google.com.vn/url?sa=t&amp;rct=j&amp;q=&amp;esrc=s&amp;source=web&amp;cd=&amp;ved=2ahUKEwjr5Obq-fHpAhUyw4sBHSOPBAE4FBAWMAR6BAgGEAE&amp;url=https%3A%2F%2Fchuabenhthoatvidiadem.vn%2Fcach-chua-benh%2Fthoat-vi-dia-dem-va-cach-dieu-tri-pid-233.html&amp;usg=AOvVaw3C6SdJpJ-6MgCRc5XONfE_" rel="noopener" style="box-sizing: border-box; margin: 0px; padding: 0px; border: 0px; outline: 0px; font-size: small; vertical-align: baseline; background: transparent; color: rgb(102, 0, 153); text-decoration-line: none; transition: all 406ms ease-out 0s; max-width: 100%; cursor: pointer; font-family: arial, sans-serif;" target="_blank" title="">Thoát vị đĩa đệm và cách điều trị</a>&nbsp; &nbsp; &nbsp; &nbsp; &nbsp; &nbsp; &nbsp; &nbsp; &nbsp; &nbsp; &nbsp; &nbsp; &nbsp; &nbsp; &nbsp; &nbsp; &nbsp; &nbsp; &nbsp; &nbsp; &nbsp; &nbsp; &nbsp; &nbsp; &nbsp; &nbsp; &nbsp; &nbsp; &nbsp; &nbsp; &nbsp; &nbsp; &nbsp; &nbsp; &nbsp; &nbsp; &nbsp;&nbsp;</span></p><p class="LC20lb DKV0Md" style="box-sizing: border-box; margin: 0px 0px 3px; padding: 4px 0px 0px; border: 0px; outline: 0px; font-size: 20px; vertical-align: baseline; background-image: initial; background-position: initial; background-size: initial; background-repeat: initial; background-attachment: initial; background-origin: initial; background-clip: initial; max-width: 100%; color: rgb(0, 0, 0); font-family: RobotoSlab-Regular, Arial, Helvetica, sans-serif; display: inline-block; line-height: 1.3;"><span style="box-sizing: border-box; margin: 0px; padding: 0px; border: 0px; outline: 0px; font-size: 16px; vertical-align: baseline; background: transparent; max-width: 100%;"><a data-ctbtn="0" data-cthref="/url?sa=t&amp;rct=j&amp;q=&amp;esrc=s&amp;source=web&amp;cd=&amp;ved=2ahUKEwjr5Obq-fHpAhUyw4sBHSOPBAE4FBAWMAl6BAgJEAE&amp;url=https%3A%2F%2Fchuabenhthoatvidiadem.vn%2Fcach-chua-benh%2Fket-qua-dieu-tri-thoat-vi-dia-dem-cid-2-10.html&amp;usg=AOvVaw1CERIJ0fexNjMSyKGYHCvj" href="https://www.google.com.vn/url?sa=t&amp;rct=j&amp;q=&amp;esrc=s&amp;source=web&amp;cd=&amp;ved=2ahUKEwjr5Obq-fHpAhUyw4sBHSOPBAE4FBAWMAl6BAgJEAE&amp;url=https%3A%2F%2Fchuabenhthoatvidiadem.vn%2Fcach-chua-benh%2Fket-qua-dieu-tri-thoat-vi-dia-dem-cid-2-10.html&amp;usg=AOvVaw1CERIJ0fexNjMSyKGYHCvj" rel="noopener" style="box-sizing: border-box; margin: 0px; padding: 0px; border: 0px; outline: 0px; font-size: small; vertical-align: baseline; background: transparent; color: rgb(102, 0, 153); text-decoration-line: none; transition: all 406ms ease-out 0s; max-width: 100%; cursor: pointer; font-family: arial, sans-serif;" target="_blank" title="">Kết quả điều trị thoát vị đĩa đệm&nbsp;</a>&nbsp; &nbsp; &nbsp; &nbsp; &nbsp; &nbsp; &nbsp; &nbsp; &nbsp; &nbsp; &nbsp; &nbsp; &nbsp; &nbsp; &nbsp; &nbsp; &nbsp; &nbsp; &nbsp; &nbsp; &nbsp; &nbsp; &nbsp; &nbsp; &nbsp; &nbsp; &nbsp;&nbsp; &nbsp; &nbsp; &nbsp; &nbsp;</span></p><p class="LC20lb DKV0Md" style="box-sizing: border-box; margin: 0px 0px 3px; padding: 4px 0px 0px; border: 0px; outline: 0px; font-size: 20px; vertical-align: baseline; background-image: initial; background-position: initial; background-size: initial; background-repeat: initial; background-attachment: initial; background-origin: initial; background-clip: initial; max-width: 100%; color: rgb(0, 0, 0); font-family: RobotoSlab-Regular, Arial, Helvetica, sans-serif; display: inline-block; line-height: 1.3;"><span style="box-sizing: border-box; margin: 0px; padding: 0px; border: 0px; outline: 0px; font-size: 16px; vertical-align: baseline; background: transparent; max-width: 100%;"><a href="https://chuabenhthoatvidiadem.vn/cach-chua-benh/khoi-thoat-vi-dia-dem-cot-song-that-lung-sau-hon-1-thang-dieu-tri-pid-37.html" rel="noopener" style="box-sizing: border-box; margin: 0px; padding: 0px; border: 0px; outline: 0px; font-size: small; vertical-align: baseline; background: transparent; color: rgb(102, 0, 153); text-decoration-line: none; transition: all 406ms ease-out 0s; max-width: 100%; cursor: pointer; font-family: arial, sans-serif;" target="_blank" title="">Khỏi hẳn&nbsp;thoát vị đĩa đệm cột sống thắt lưng&nbsp;</a>&nbsp; &nbsp; &nbsp; &nbsp; &nbsp; &nbsp; &nbsp; &nbsp; &nbsp; &nbsp; &nbsp; &nbsp; &nbsp; &nbsp; &nbsp; &nbsp; &nbsp; &nbsp; &nbsp; &nbsp; &nbsp; &nbsp; &nbsp; &nbsp; &nbsp; &nbsp; &nbsp; &nbsp; &nbsp; &nbsp; &nbsp; &nbsp; &nbsp; &nbsp;</span></p><p class="LC20lb DKV0Md" style="box-sizing: border-box; margin: 0px 0px 3px; padding: 4px 0px 0px; border: 0px; outline: 0px; font-size: 20px; vertical-align: baseline; background-image: initial; background-position: initial; background-size: initial; background-repeat: initial; background-attachment: initial; background-origin: initial; background-clip: initial; max-width: 100%; color: rgb(0, 0, 0); font-family: RobotoSlab-Regular, Arial, Helvetica, sans-serif; display: inline-block; line-height: 1.3;"><span style="box-sizing: border-box; margin: 0px; padding: 0px; border: 0px; outline: 0px; font-size: 16px; vertical-align: baseline; background: transparent; max-width: 100%;"><a href="https://chuabenhthoatvidiadem.vn/cach-chua-benh/vao-google-go-chu-chua-thoat-vi-dia-dem-gap-luong-y-nguyen-van-minh-pid-242.html" rel="noopener" style="box-sizing: border-box; margin: 0px; padding: 0px; border: 0px; outline: 0px; font-size: small; vertical-align: baseline; background: transparent; color: rgb(102, 0, 153); text-decoration-line: none; transition: all 406ms ease-out 0s; max-width: 100%; cursor: pointer; font-family: arial, sans-serif;" target="_blank" title="">Chữa thoát vị đĩa đệm, may gặp thầy gặp thuốc</a>&nbsp; &nbsp; &nbsp; &nbsp; &nbsp; &nbsp; &nbsp; &nbsp; &nbsp; &nbsp; &nbsp; &nbsp; &nbsp; &nbsp; &nbsp; &nbsp;</span></p><p class="LC20lb DKV0Md" style="box-sizing: border-box; margin: 0px 0px 3px; padding: 4px 0px 0px; border: 0px; outline: 0px; font-size: 20px; vertical-align: baseline; background-image: initial; background-position: initial; background-size: initial; background-repeat: initial; background-attachment: initial; background-origin: initial; background-clip: initial; max-width: 100%; color: rgb(0, 0, 0); font-family: RobotoSlab-Regular, Arial, Helvetica, sans-serif; display: inline-block; line-height: 1.3;"><span style="box-sizing: border-box; margin: 0px; padding: 0px; border: 0px; outline: 0px; font-size: 16px; vertical-align: baseline; background: transparent; max-width: 100%;"><a data-ctbtn="0" data-cthref="/url?sa=t&amp;rct=j&amp;q=&amp;esrc=s&amp;source=web&amp;cd=&amp;ved=2ahUKEwjS-LSQ-_HpAhUZyYsBHVN-C8M4WhAWMAl6BAgKEAE&amp;url=https%3A%2F%2Fchuabenhthoatvidiadem.vn%2Fcach-chua-benh%2Fnghe-truc-tiep-nhung-nguoi-duoc-luong-y-minh-chua-khoi-thoat-vi-dia-dem-cid-4-10.html&amp;usg=AOvVaw28G39eaerO2mnfULHUMTao" href="https://www.google.com.vn/url?sa=t&amp;rct=j&amp;q=&amp;esrc=s&amp;source=web&amp;cd=&amp;ved=2ahUKEwjS-LSQ-_HpAhUZyYsBHVN-C8M4WhAWMAl6BAgKEAE&amp;url=https%3A%2F%2Fchuabenhthoatvidiadem.vn%2Fcach-chua-benh%2Fnghe-truc-tiep-nhung-nguoi-duoc-luong-y-minh-chua-khoi-thoat-vi-dia-dem-cid-4-10.html&amp;usg=AOvVaw28G39eaerO2mnfULHUMTao" rel="noopener" style="box-sizing: border-box; margin: 0px; padding: 0px; border: 0px; outline: 0px; font-size: small; vertical-align: baseline; background: transparent; color: rgb(102, 0, 153); text-decoration-line: none; transition: all 406ms ease-out 0s; max-width: 100%; cursor: pointer; font-family: arial, sans-serif;" target="_blank" title="">Nghe trực tiếp những người được lương y Minh chữa khỏi bệnh</a></span></p>]]></content:encoded>
						<wfw:commentRss></wfw:commentRss>
						<slash:comments>0</slash:comments>
					</item>
				
					<item>
						<title>Thoát vị đĩa đệm có chữa được không? Trường hợp nào không chữa được</title>
						<link>https://chuabenhthoatvidiadem.vn/bai-viet/nghe-truc-tiep-nhung-nguoi-duoc-luong-y-minh-chua-khoi-thoat-vi-dia-dem/thoat-vi-dia-dem-co-chua-duoc-khong-truong-hop-nao-khong-chua-duoc-pid-239.html</link>
						<comments></comments>
						<pubDate>Sat, 08 Dec 2018 09:37:40 +0700</pubDate>
						<dc:creator>admin</dc:creator>
						<category><![CDATA[Nghe trực tiếp những người được lương y Minh chữa khỏi thoát vị đĩa đệm ]]></category>
						<guid isPermaLink="false"></guid>
						<description><![CDATA[Thoát vị đĩa đệm có chữa được không? Thoát vị đĩa đệm có tự khỏi được không? Bệnh thoát vị đĩa đệm nặng như thế nào thì không chữa được? Thoát vị đĩa đệm chữa trong bao lâu? Phòng khám đông y Bảo Minh luôn giữ uy tín: Chữa được mới nhận chữa, những trường hợp thoát vị đĩa đệm nặng, gây teo chân, các phương pháp chữa của đông y không có khả năng chữa được, chúng tôi cũng tư vấn tận tình.]]></description>
						<content:encoded><![CDATA[<p><span style="font-size: 18px;">Thoát vị đĩa đệm có chữa được không</span></p><h2 style="text-align: justify;"><em><span style="font-size:18px;">Chất lượng khám chữa bệnh&nbsp;của phòng khám có tốt hay không phụ thuộc vào nhiều yếu tố, trong đó có yếu tố chẩn đoán&nbsp;mức độ thoát vị đĩa đệm nặng hay nhẹ. Những trường hợp bị thoát vị đĩa đệm mức độ trung bình và nhẹ, tỉ lệ chữa khỏi bệnh rất cao. Ngược lại, những trường hợp bị bệnh nặng, khám bệnh thấy</span></em><em style="font-size: 13px;"><span style="font-size:18px;">&nbsp;không&nbsp;chữa được, chúng tôi không nhận chữa . Thầy thuốc sẽ&nbsp;tư vấn tận tình cho quý bệnh nhân.</span></em></h2><p style="text-align: justify;"><span style="font-size:16px;">Mời bạn đọc bấm vào ô bên dưới, nghe người bệnh kể chuyện&nbsp;chữa khỏi thoát vị đĩa đệm. Lương y Nguyễn Văn Minh đã xin phép và được chị đồng ý cho chia sẻ nội dung này, tôi xin chân thành cảm ơn chị.&nbsp;</span></p><p><a href="https://chuabenhthoatvidiadem.vn/resources/files/Ghi âm cuộc gọi Chị Hoa 67 Tv Khỏi_181204_094556.mp3" title="">Thoát vị đĩa đệm có chữa được không</a></p><p style="text-align: justify;"><span style="font-size:16px;">Không phải ai&nbsp;bị&nbsp;thoát vị đĩa đệm&nbsp;đều chữa khỏi được, có những trường hợp bị khi chụp MRI phát hiện thoát vị đĩa đệm nặng, có mảnh rời, hẹp nặng ống sống, chèn ép nặng chùm đuôi ngựa hoặc&nbsp;những bệnh nhân lớn tuổi, có thêm những bệnh&nbsp;khác&nbsp;kèm theo như tiểu đường, tim mạch&nbsp;.v.v. Những trường hợp như vậy chúng tôi đều không nhận chữa, tùy vào từng trường hợp cụ thể sẽ tư vấn cho họ làm thế nào là tốt nhất.</span></p><p><img loading="lazy" alt="Bệnh thoát vị đĩa đệm" src="data:image/gif;base64,R0lGODlhAQABAID/AP///wAAACwAAAAAAQABAAACAkQBADs=" data-src="https://chuabenhthoatvidiadem.vn/resources/images/20180228_081307.jpg" style="width: 800px; height: 759px;" class="lazy" width="1265" height="1200" data-optimized="1" /></p><p><em><span style="font-size:14px;">Căn cứ vào kết quả chụp cộng hưởng từ cột sống,&nbsp;tiên lượng&nbsp;có chữa được hay không!</span></em></p><p><img loading="lazy" alt="MRI thoát vị đĩa đệm" src="data:image/gif;base64,R0lGODlhAQABAID/AP///wAAACwAAAAAAQABAAACAkQBADs=" data-src="https://chuabenhthoatvidiadem.vn/resources/images/20180323_151055.jpg" style="width: 800px; height: 600px;" class="lazy" width="640" height="480" data-optimized="1" /><span style="font-size:14px;"><em>Kết quả MRI của một bệnh nhân đã chữa khỏi bệnh cách nay 4 năm tại phòng khám đông y Bảo Minh</em></span>.</p><p style="box-sizing: border-box; margin: 0px 0px 10px; padding: 0px; border: 0px; outline: 0px; font-size: 16px; vertical-align: baseline; background-image: initial; background-position: initial; background-size: initial; background-repeat: initial; background-attachment: initial; background-origin: initial; background-clip: initial; max-width: 100%; color: rgb(0, 0, 0); font-family: RobotoSlab-Regular, Arial, Helvetica, sans-serif; text-align: justify;"><span style="box-sizing: border-box; margin: 0px; padding: 0px; border: 0px; outline: 0px; vertical-align: baseline; background: transparent; max-width: 100%;">Xem Video clip của&nbsp;<span style="box-sizing: border-box; margin: 0px; padding: 0px; border: 0px; outline: 0px; font-size: 18px; vertical-align: baseline; background: transparent; max-width: 100%;"><a href="https://www.youtube.com/channel/UCMrl47bRL4MgAguyRi48mEw" style="box-sizing: border-box; margin: 0px; padding: 0px; border: 0px; outline: 0px; font-size: small; vertical-align: baseline; background: transparent; color: rgb(102, 0, 153); text-decoration-line: none; transition: all 406ms ease-out 0s; max-width: 100%; cursor: pointer; font-family: arial, sans-serif;" target="_blank" title="">Lương y Nguyễn Văn Minh</a></span>&nbsp;ghi lại những hình ảnh chữa khỏi bệnh tại phòng khám đông y Bảo Minh ở đây:&nbsp;</span><a data-ctbtn="0" data-cthref="/url?sa=t&amp;rct=j&amp;q=&amp;esrc=s&amp;source=web&amp;cd=1&amp;ved=2ahUKEwj3xeK37dniAhWWA4gKHYOUCWYQFjAAegQIAhAB&amp;url=https%3A%2F%2Fwww.youtube.com%2Fchannel%2FUCMrl47bRL4MgAguyRi48mEw&amp;usg=AOvVaw0CZxDuwZf9NghLkUubs9Xh" href="https://www.google.com.vn/url?sa=t&amp;rct=j&amp;q=&amp;esrc=s&amp;source=web&amp;cd=1&amp;ved=2ahUKEwj3xeK37dniAhWWA4gKHYOUCWYQFjAAegQIAhAB&amp;url=https%3A%2F%2Fwww.youtube.com%2Fchannel%2FUCMrl47bRL4MgAguyRi48mEw&amp;usg=AOvVaw0CZxDuwZf9NghLkUubs9Xh" rel="noopener" style="color: rgb(102, 0, 153); cursor: pointer; text-decoration-line: none; font-family: arial, sans-serif; font-size: small;" target="_blank" title="">Lương y Nguyễn Văn Minh - YouTube</a></p><p style="box-sizing: border-box; margin: 0px 0px 10px; padding: 0px; border: 0px; outline: 0px; font-size: 16px; vertical-align: baseline; background-image: initial; background-position: initial; background-size: initial; background-repeat: initial; background-attachment: initial; background-origin: initial; background-clip: initial; max-width: 100%; color: rgb(0, 0, 0); font-family: RobotoSlab-Regular, Arial, Helvetica, sans-serif; text-align: justify;"><span style="box-sizing: border-box; margin: 0px; padding: 0px; border: 0px; outline: 0px; vertical-align: baseline; background: transparent; max-width: 100%;">Nếu bạn gửi kết quả chụp MRI qua&nbsp;Zalo của Lương y Nguyễn văn Minh: 0913503552.&nbsp;Bạn sẽ nhận được tư vấn cách chữa bệnh tốt nhất, thuốc ít có tác dụng phụ nhất,&nbsp; chi phí chữa bệnh ít tốn tiền nhất, khỏi bệnh ít tái phát nhất.</span></p><p style="box-sizing: border-box; margin: 0px 0px 10px; padding: 0px; border: 0px; outline: 0px; font-size: 16px; vertical-align: baseline; background-image: initial; background-position: initial; background-size: initial; background-repeat: initial; background-attachment: initial; background-origin: initial; background-clip: initial; max-width: 100%; color: rgb(0, 0, 0); font-family: RobotoSlab-Regular, Arial, Helvetica, sans-serif;"><span style="box-sizing: border-box; margin: 0px; padding: 0px; border: 0px; outline: 0px; vertical-align: baseline; background: transparent; max-width: 100%;">Phòng khám đông y Bảo Minh có&nbsp;&nbsp;địa chỉ duy nhất: 856/6 Quang Trung, Gò Vấp, TP.HCM.</span></p>]]></content:encoded>
						<wfw:commentRss></wfw:commentRss>
						<slash:comments>0</slash:comments>
					</item>
				
					<item>
						<title>Thoát vị đĩa đệm kiêng ăn gì</title>
						<link>https://chuabenhthoatvidiadem.vn/bai-viet/ket-qua-dieu-tri-thoat-vi-dia-dem/thoat-vi-dia-dem-kieng-an-gi-pid-204.html</link>
						<comments></comments>
						<pubDate>Thu, 01 Mar 2018 11:12:32 +0700</pubDate>
						<dc:creator>admin</dc:creator>
						<category><![CDATA[Kết quả điều trị thoát vị đĩa đệm]]></category>
						<guid isPermaLink="false"></guid>
						<description><![CDATA[Bị thoát vị đĩa đệm kiêng ăn gì, nếu không ăn kiêng có được không, thời gian ăn kiêng trong bao lâu, những món ăn nào kỵ thuốc chữa thoát vị đĩa đệm, đồ uống phải kiêng những gì?..xem câu trả lời từ thầy thuốc chữa thoát vị đĩa đệm có thâm niên hơn 20 năm kinh nghiệm.]]></description>
						<content:encoded><![CDATA[<p style="text-align: justify;"><span style="font-size:18px;">Bị thoát vị đĩa đệm kiêng ăn gì, nếu không ăn kiêng có được không, thời gian ăn kiêng trong bao lâu, những món ăn nào kỵ thuốc chữa thoát vị đĩa đệm, đồ uống phải kiêng những thứ gì?..xem câu trả lời từ thầy thuốc chữa thoát vị đĩa đệm có thâm niên hơn 20 năm kinh nghiệm.</span></p><p><img loading="lazy" alt="Thoát vị đĩa đệm kiêng ăn gì" src="data:image/gif;base64,R0lGODlhAQABAID/AP///wAAACwAAAAAAQABAAACAkQBADs=" data-src="https://chuabenhthoatvidiadem.vn/resources/images/Thoát vị đĩa đệm kiêng ăn gì.jpg" style="width: 550px; height: 390px;" class="lazy" width="550" height="390" data-optimized="1" /></p><p><em>&nbsp; <span style="font-size:16px;">&nbsp;Bị bệnh thoát vị đĩa đệm nên kiêng các món ăn chế biến từ măng.</span></em></p><h2><span style="font-size:20px;">Thoát vị đĩa đệm kiêng ăn gì?</span></h2><p><span style="font-size:16px;">&bull; Kiêng ăn những món ăn chế biến từ tạng phủ động vật: lòng mề, dạ dày,&nbsp;tim, gan, cật,&nbsp;óc...</span></p><p><span style="font-size:16px;">&bull; Kiêng ăn những thức ăn nhiều dầu mỡ, thịt xông khói, thịt muối, lạp xưởng, thịt hộp, cá khô, cá muối</span></p><p style="text-align: justify;"><span style="font-size:16px;">&bull; Khi đang uống thuốc đông y điều trị thoát vị đĩa đệm nên kiêng: thịt chó,&nbsp;cà pháo, măng tươi, măng chua, măng khô, đậu xanh, giá đỗ, rau muống. Có một vài&nbsp;người&nbsp;ăn thịt gà thì mức độ đau nhức tăng lên, nhưng&nbsp;tỷ lệ này rất ít, chỉ khoảng 2-3%. Thời gian ăn kiêng kéo dài tới khi khỏi bệnh, thông thường từ 3 đến&nbsp;6 tuần.</span></p><p><span style="font-size:16px;">&bull; Uống ít rượu bia, hạn chế uống trà đặc, nước tăng lực, nước ngọt các loại.</span></p><p style="text-align: justify;"><span style="font-size:16px;">&nbsp;&bull; Những người&nbsp;thừa cân, béo phì&nbsp;phải có thêm chế độ ăn kiêng để giảm cân, nếu không trọng lượng của cơ thể ngày càng đè nặng&nbsp;lên cột sống đĩa đệm, làm cho khối thoát vị bên trong đĩa đệm càng thoát ra nhiều hơn.</span></p><p style="text-align: justify;"><span style="font-size:16px;"><img loading="lazy" alt="Thoát vị đĩa đệm " src="data:image/gif;base64,R0lGODlhAQABAID/AP///wAAACwAAAAAAQABAAACAkQBADs=" data-src="https://chuabenhthoatvidiadem.vn/resources/images/Nha-thuoc-dong-y.jpg" style="width: 768px; height: 461px;" class="lazy" width="768" height="461" data-optimized="1" /></span></p><p><span style="font-size:14px;"><em>Hốt thuốc chữa thoát vị đĩa đệm ở phòng khám đông y Bảo Minh.</em></span></p><p style="text-align: justify;"><span style="font-size:16px;">Nếu&nbsp;người thân của quý khách&nbsp;bị thoát vị đĩa đệm cột sống, đã chữa bằng các phương pháp như: vật lý trị liệu, châm cứu, bấm huyệt, uống thuốc tây, uống thuốc nam...&nbsp;mà chưa khỏi dứt điểm, hãy liên hệ với lương y Nguyễn Văn Minh. Quý khách&nbsp;sẽ được khám bệnh, tư vấn, chia sẻ&nbsp;bài thuốc&nbsp;trị thoát vị đĩa đệm của phòng khám đông y Bảo Minh. Bài thuốc được kế thừa từ những thầy thuốc là danh y nổi tiếng Việt Nam, cộng với kinh nghiệm chữa bệnh thực tế hơn 20 năm, lương y Nguyễn Văn Minh&nbsp;tìm&nbsp;được công thức tối ưu nhất, hiệu quả nhất để trị thoát vị đĩa đệm. Có hơn 90% người bệnh không phải vào bệnh viện để phẫu thuật thoát vị đĩa đệm nhờ bài thuốc này. Bài thuốc là cứu cánh cho hàng ngàn người khỏi hẳn thoát vị đĩa đệm, hồi phục cột sống đĩa đệm để họ trở lại lao động, sinh hoạt bình thường. Để có bằng chứng về cách chữa thoát vị đĩa đệm cột sống, phòng khám đã gọi điện hỏi thăm 1 số bệnh nhân đã điều trị khỏi bệnh ở phòng khám từ 1 năm trở lên, được sự đồng ý của quý bệnh nhân đã khỏi bệnh, chúng tôi xin được đăng bệnh án thoát vị đĩa đệm của họ tại trang web của phòng khám. Đây là những bệnh án của người thật, địa chỉ thật, âm thanh thật nên có lúc âm thanh không được liên tục, kính&nbsp;mong quý khách lắng nghe.</span></p><p style="text-align: justify;"><span style="font-size: 16px; text-align: justify;">&rArr;</span>&nbsp;&nbsp;<span style="font-size:16px;"><a href="https://chuabenhthoatvidiadem.vn/cach-chua-benh/chua-benh-dau-cot-song-thoat-vi-dia-dem-la-nguyen-nhan-hang-dau-pid-143.html" style="font-size: 16px; font-family: arial, sans-serif; white-space: nowrap; color: rgb(102, 0, 153); cursor: pointer; text-decoration-line: none;" target="_blank" title="">Cách chữa thoát vị đĩa đệm cột sống thắt lưng, tầng L3/4, L4/5</a></span></p><p><span style="font-size: 16px; text-align: justify;">&rArr;</span><span style="text-align: justify;">&nbsp;</span><span style="font-size:16px;">&nbsp;<a href="https://chuabenhthoatvidiadem.vn/cach-chua-benh/thuoc-chua-thoat-vi-dia-dem-toi-uong-20-thang-het-dau-roi-thay-pid-127.html" style="font-size: 16px; font-family: arial, sans-serif; white-space: nowrap; color: rgb(102, 0, 153); cursor: pointer; text-decoration-line: none;" target="_blank" title="">Thoát vị đĩa đệm và phương pháp điều trị, kết quả chụp MRI ở BV Chợ Rẫy</a></span></p><p><span style="font-size: 16px; text-align: justify;">&rArr;</span><span style="text-align: justify;">&nbsp;&nbsp;</span><span style="font-size:16px;"><a href="https://chuabenhthoatvidiadem.vn/cach-chua-benh/benh-thoat-vi-dia-dem-cot-song-co-nhieu-tang-co-chua-duoc-khong-pid-68.html" style="color: rgb(102, 0, 153); cursor: pointer; text-decoration-line: none;" target="_blank" title="">Thoát vị đĩa đệm đốt sống cổ; C4-C5, C5-C6, C6-C7</a></span></p><p><span style="font-size: 16px; text-align: justify;">&rArr;</span><span style="text-align: justify;">&nbsp;&nbsp;</span><span style="font-size:16px;"><a href="https://chuabenhthoatvidiadem.vn/cach-chua-benh/hoi-tham-bac-cuc-chua-benh-dau-vai-gay-cach-nay-gan-2-nam-pid-34.html" style="color: rgb(102, 0, 153); cursor: pointer;" target="_blank" title="">Chữa đau vai gáy, đau bả vai cánh tay khỏi bệnh.</a></span></p><p><span style="font-size: 16px; text-align: justify;">&rArr;</span><span style="text-align: justify;">&nbsp;&nbsp;</span><span style="font-size:16px;"><a href="https://chuabenhthoatvidiadem.vn/cach-chua-benh/luong-y-minh-chua-thoat-vi-dia-dem-cho-anh-ut-khoi-benh-gan-nam-nay-pid-22.html" style="color: rgb(102, 0, 153); cursor: pointer; text-decoration-line: none;" target="_blank" title="">Bệnh án thoát vị đĩa đệm, tại BV Chấn Thương Chỉnh Hình TpHCM</a></span></p><p><span style="font-size: 16px; text-align: justify;">&rArr;</span><span style="text-align: justify;"><span style="font-size:16px;">&nbsp;</span></span><span style="font-size:16px;"><a href="https://chuabenhthoatvidiadem.vn/cach-chua-benh/uong-thuoc-cua-thay-chua-thoat-vi-dia-dem-co-toi-het-moi-co-het-dau-vai-gay-pid-115.html" style="color: rgb(102, 0, 153); cursor: pointer; text-decoration-line: none;" target="_blank" title="">Cách chữa mỏi cổ, đau vai gáy, 3 năm không đau lại</a></span></p><p><span style="background-color: transparent; font-size: 16px; color: rgb(0, 0, 0); font-family: RobotoSlab-Regular, Arial, Helvetica, sans-serif;">Trang web chuyên về chữa bệnh thoát vị đĩa đệm của&nbsp;lương y Nguyễn Văn Minh:</span></p><h3 class="r" style="box-sizing: border-box; margin: 0px; padding: 0px; border: 0px; outline: 0px; font-size: 18px; vertical-align: baseline; background-image: initial; background-position: initial; background-size: initial; background-repeat: initial; background-attachment: initial; background-origin: initial; background-clip: initial; font-family: RobotoSlab-Regular, Arial, Helvetica, sans-serif; line-height: 1.1; color: rgb(0, 0, 0); max-width: 100%; overflow: hidden; text-overflow: ellipsis; white-space: nowrap;"><a href="https://chuabenhthoatvidiadem.vn/" style="box-sizing: border-box; margin: 0px; padding: 0px; border: 0px; outline: 0px; vertical-align: baseline; background: transparent; color: rgb(102, 0, 153); text-decoration-line: none; transition: all 406ms ease-out 0s; max-width: 100%; cursor: pointer;" target="_blank" title="">Cách Chữa Bệnh Thoát Vị Đĩa Đệm</a></h3><div class="s" style="box-sizing: border-box; margin: 0px; padding: 0px; border: 0px; outline: 0px; font-size: 16px; vertical-align: baseline; background-image: initial; background-position: initial; background-size: initial; background-repeat: initial; background-attachment: initial; background-origin: initial; background-clip: initial; position: relative; max-width: 48em; font-family: RobotoSlab-Regular, Arial, Helvetica, sans-serif; color: rgb(84, 84, 84); line-height: 18px;"><div class="f kv _SWb" style="box-sizing: border-box; margin: 0px; padding: 0px; border: 0px; outline: 0px; font-size: small; vertical-align: baseline; background: transparent; position: relative; max-width: 100%; color: rgb(128, 128, 128); height: 18px; line-height: 16px; font-family: arial, sans-serif; white-space: nowrap;"><cite class="_Rm" style="box-sizing: border-box; margin: 0px; padding: 0px; border: 0px; outline: 0px; font-size: 14px; vertical-align: baseline; background: transparent; max-width: 100%; color: rgb(0, 102, 33); font-style: normal;">chuabenhthoatvidiadem.vn/</cite></div></div>]]></content:encoded>
						<wfw:commentRss></wfw:commentRss>
						<slash:comments>0</slash:comments>
					</item>
				
					<item>
						<title>Em bị thoát vị đĩa đệm cột sống thắt lưng, thầy chữa bằng cách nào?</title>
						<link>https://chuabenhthoatvidiadem.vn/bai-viet/benh-thoat-vi-dia-dem/em-bi-thoat-vi-dia-dem-cot-song-that-lung-thay-chua-bang-cach-nao-pid-93.html</link>
						<comments></comments>
						<pubDate>Sat, 01 Jul 2017 10:04:45 +0700</pubDate>
						<dc:creator>admin</dc:creator>
						<category><![CDATA[Bệnh thoát vị đĩa đệm]]></category>
						<guid isPermaLink="false"></guid>
						<description><![CDATA[Em bị đau ngang thắt lưng, chụp MRI ở bệnh viện Chợ Rẫy phát hiện bị thoát vị đĩa đệm cột sống thắt lưng L4/L5. Uống thuốc tây cả tháng chỉ giảm đau, ngưng thuốc lại bị đau, em rất sợ mổ thoát vị đĩa đệm, cho em hỏi thầy có cách nào trị khỏi hẳn không?]]></description>
						<content:encoded><![CDATA[<p style="text-align: justify;"><span style="font-size:16px;">Em bị đau ngang thắt lưng, chụp MRI ở bệnh viện Chợ Rẫy phát hiện bị thoát vị đĩa đệm cột sống thắt lưng L4/L5. Uống thuốc tây cả tháng chỉ giảm đau, ngưng thuốc lại bị đau. Bác sĩ bảo uống thuốc tây không khỏi thì phải mổ, em rất sợ mổ thoát vị đĩa đệm. Cho em hỏi thầy có cách nào trị khỏi hẳn không?&nbsp;</span></p><h2 style="text-align: justify;"><span style="font-size:16px;">Đây là câu hỏi của chị Lê thị Dưỡng ở phường Trảng Dài, tp Biên Hòa, Đồng Nai gọi điện hỏi lương y Nguyễn Văn Minh.</span></h2><p><img loading="lazy" alt="Kết quả chụp MRI" src="data:image/gif;base64,R0lGODlhAQABAID/AP///wAAACwAAAAAAQABAAACAkQBADs=" data-src="https://chuabenhthoatvidiadem.vn/resources/images/ket qua chup mri.jpg" style="width: 550px; height: 623px;" class="lazy" width="563" height="638" data-optimized="1" />&nbsp;</p><p><em><span style="font-family:times new roman,times,serif;">&nbsp; &nbsp; &nbsp; &nbsp; &nbsp; &nbsp; &nbsp; &nbsp; &nbsp; &nbsp; &nbsp; &nbsp; &nbsp; &nbsp; &nbsp; &nbsp;&nbsp;</span></em></p><h3><span style="font-size:16px;">Lương y Nguyễn Văn Minh - Nhà thuốc đông y Bảo Minh xin trả lời như sau:</span></h3><p style="text-align: justify;"><span style="font-size:16px;">Những trường hợp thoát vị đĩa đệm như của chị, tôi đã điều trị thành công cho rất nhiều người, có người khỏi gần mười năm nay không bị đau lại. Phương pháp điều trị thoát vị đĩa đệm của tôi tại phòng khám đông y Bảo Minh gồm có: thuốc thang sắc uống kết hợp với thuốc đắp chữa thoát vị đĩa đệm cột sống.</span></p><p style="text-align: justify;"><span style="font-size:16px;"><img loading="lazy" alt="Thuốc chữa thoát vị đĩa đệm" src="data:image/gif;base64,R0lGODlhAQABAID/AP///wAAACwAAAAAAQABAAACAkQBADs=" data-src="https://chuabenhthoatvidiadem.vn/resources/images/20180127_121525.jpg" style="width: 785px; height: 589px;" class="lazy" width="785" height="589" data-optimized="1" /></span></p><p style="text-align: justify;"><em><span style="font-size:16px;">&nbsp; Hốt thuốc thang trị thoát vị đĩa đệm tại phòng khám đông y Bảo Minh</span></em></p><p><span style="font-size:16px;">Chị hãy bấm vào liên kết dưới đây để nghe một số người bệnh đã khỏi thoát vị đĩa đệm chia sẻ:&nbsp;</span></p><p style="text-align: justify;"><span style="font-size:16px;">Lưu ý: Tôi&nbsp;chỉ sử dụng thông tin, hình ảnh, lời nói ...&nbsp;khi có sự đồng ý của những người đã khỏi thoát vị đĩa đệm do tôi chữa. Tôi coi đây là niềm động viên, khích lệ rất lớn. Tôi xin chân thành biết ơn những tấm lòng tốt của quý bệnh nhân đã đồng ý cho chia sẻ địa chỉ, cách&nbsp;chữa bệnh tại trang web này.&nbsp;</span></p><p style="text-align: justify;">&gt;&gt;<span style="font-size:16px;">&nbsp;<a href="https://chuabenhthoatvidiadem.vn/cach-chua-benh/chua-benh-dau-lung-luong-y-tren-20-nam-kinh-nghiem-chi-cach-chua-dau-lung-pid-155.html" style="color: rgb(102, 0, 153); cursor: pointer; text-decoration-line: none;" target="_blank" title="">Chữa bệnh đau cột sống&nbsp;lưng cách nay gần 2 năm&nbsp;- Hôm nay gọi điện, xem anh ấy nói gì?</a></span></p><p>&gt;&gt;&nbsp;<span style="font-size:16px;"><a href="https://chuabenhthoatvidiadem.vn/bai-viet/cach-chua-benh-thoat-vi-dia-dem/thoat-vi-dia-dem-cot-song-that-lung-l4-l5-l5-s1-may-gap-duoc-thay-pid-123.html" style="color: rgb(102, 0, 153); cursor: pointer; text-decoration-line: none;" target="_blank" title="">Thoát vị đĩa đệm cột sống thắt lưng L4/L5, L5/S1- May gặp được thầy.</a></span></p><p style="box-sizing: border-box; margin: 0px 0px 10px; padding: 0px; border: 0px; outline: 0px; font-size: 16px; vertical-align: baseline; background-image: initial; background-position: initial; background-size: initial; background-repeat: initial; background-attachment: initial; background-origin: initial; background-clip: initial; max-width: 100%; color: rgb(0, 0, 0); font-family: RobotoSlab-Regular, Arial, Helvetica, sans-serif;">&gt;&gt;&nbsp;<a data-="" href="https://www.google.com.vn/url?sa=t&amp;rct=j&amp;q=&amp;esrc=s&amp;source=web&amp;cd=50&amp;ved=0ahUKEwjC1tTM87_WAhWJQ48KHXSdD844KBAWCFcwCQ&amp;url=http%3A%2F%2Fchuabenhthoatvidiadem.vn%2Fcach-chua-benh%2Fchua-thoat-vi-dia-dem-cot-song-that-lung-khoi-han-khong-phai-mo-pid-74.html&amp;usg=AFQjCNFk9PpHY6F1eywkYl16lBbVUnyCtA" style="box-sizing: border-box; margin: 0px; padding: 0px; border: 0px; outline: 0px; vertical-align: baseline; background: transparent; color: rgb(102, 0, 153); text-decoration-line: none; transition: all 406ms ease-out; max-width: 100%; cursor: pointer;" target="_blank" title="">Điều trị thoát vị đĩa đệm cột sống thắt lưng,&nbsp;có địa chỉ kèm theo.</a></p><p style="box-sizing: border-box; margin: 0px 0px 10px; padding: 0px; border: 0px; outline: 0px; font-size: 16px; vertical-align: baseline; background-image: initial; background-position: initial; background-size: initial; background-repeat: initial; background-attachment: initial; background-origin: initial; background-clip: initial; max-width: 100%; color: rgb(0, 0, 0); font-family: RobotoSlab-Regular, Arial, Helvetica, sans-serif;">&gt;&gt;&nbsp;<a href="https://chuabenhthoatvidiadem.vn/cach-chua-benh/luong-y-minh-chua-thoat-vi-dia-dem-cho-anh-ut-khoi-benh-gan-nam-nay-pid-22.html" style="box-sizing: border-box; margin: 0px; padding: 0px; border: 0px; outline: 0px; vertical-align: baseline; background: transparent; color: rgb(102, 0, 153); text-decoration-line: none; transition: all 406ms ease-out; max-width: 100%; cursor: pointer;" target="_blank" title="">Chữa thoát vị đĩa đệm L3-4 và L4-5,&nbsp;nghe để cảm nhận cách chữa bệnh ít tốn kém mà khỏi bệnh</a></p><p style="box-sizing: border-box; margin: 0px 0px 10px; padding: 0px; border: 0px; outline: 0px; font-size: 16px; vertical-align: baseline; background-image: initial; background-position: initial; background-size: initial; background-repeat: initial; background-attachment: initial; background-origin: initial; background-clip: initial; max-width: 100%; color: rgb(0, 0, 0); font-family: RobotoSlab-Regular, Arial, Helvetica, sans-serif;">&gt;&gt;&nbsp;<a href="https://chuabenhthoatvidiadem.vn/cach-chua-benh/dau-vai-gay-hoi-tham-bac-cuc-chua-benh-cach-nay-gan-2-nam-pid-32.html" style="box-sizing: border-box; margin: 0px; padding: 0px; border: 0px; outline: 0px; vertical-align: baseline; background: transparent; color: rgb(102, 0, 153); text-decoration-line: none; transition: all 406ms ease-out; max-width: 100%; cursor: pointer;" target="_blank" title="">Bác Cúc&nbsp;ở Gò Vấp bị thoát vị đĩa đệm cột sống cổ, chèn ép rễ thần kinh gây đau mỏi cổ,&nbsp;nhức bả vai, tê cánh tay. Khỏi&nbsp;gần 2 năm không đau lại.</a></p><p style="box-sizing: border-box; margin: 0px 0px 10px; padding: 0px; border: 0px; outline: 0px; font-size: 16px; vertical-align: baseline; background-image: initial; background-position: initial; background-size: initial; background-repeat: initial; background-attachment: initial; background-origin: initial; background-clip: initial; max-width: 100%; color: rgb(0, 0, 0); font-family: RobotoSlab-Regular, Arial, Helvetica, sans-serif;">&gt;&gt; <a href="https://chuabenhthoatvidiadem.vn/cach-chua-benh/khoi-thoat-vi-dia-dem-cot-song-that-lung-sau-hon-1-thang-dieu-tri-pid-37.html" style="box-sizing: border-box; margin: 0px; padding: 0px; border: 0px; outline: 0px; vertical-align: baseline; background: transparent; color: rgb(102, 0, 153); text-decoration-line: none; transition: all 406ms ease-out; max-width: 100%; cursor: pointer;" target="_blank" title="">Bệnh thoát vị đĩa đệm cột sống thắt lưng, trị khỏi hẳn không tái phát, nghe bà Hảo chia sẻ địa chỉ ở Kiên Giang.</a></p><p style="box-sizing: border-box; margin: 0px 0px 10px; padding: 0px; border: 0px; outline: 0px; font-size: 16px; vertical-align: baseline; background-image: initial; background-position: initial; background-size: initial; background-repeat: initial; background-attachment: initial; background-origin: initial; background-clip: initial; max-width: 100%; color: rgb(0, 0, 0); font-family: RobotoSlab-Regular, Arial, Helvetica, sans-serif;">&gt;&gt;&nbsp;<a href="https://chuabenhthoatvidiadem.vn/cach-chua-benh/benh-thoat-vi-dia-dem-cot-song-co-nhieu-tang-co-chua-duoc-khong-pid-68.html" style="box-sizing: border-box; margin: 0px; padding: 0px; border: 0px; outline: 0px; vertical-align: baseline; background: transparent; color: rgb(102, 0, 153); text-decoration-line: none; transition: all 406ms ease-out; max-width: 100%; cursor: pointer;" target="_blank" title="">Bệnh thoát vị đĩa đệm có nguy hiểm&nbsp;không ? Hãy nghe anh Lê chia sẻ.</a></p><p style="box-sizing: border-box; margin: 0px 0px 10px; padding: 0px; border: 0px; outline: 0px; font-size: 16px; vertical-align: baseline; background-image: initial; background-position: initial; background-size: initial; background-repeat: initial; background-attachment: initial; background-origin: initial; background-clip: initial; max-width: 100%; color: rgb(0, 0, 0); font-family: RobotoSlab-Regular, Arial, Helvetica, sans-serif;">&gt;&gt;&nbsp;<a data-="" href="https://www.google.com.vn/url?sa=t&amp;rct=j&amp;q=&amp;esrc=s&amp;source=web&amp;cd=58&amp;ved=0ahUKEwiU6vPloMDWAhUhR48KHW8fDRU4MhAWCEswBw&amp;url=http%3A%2F%2Fchuabenhthoatvidiadem.vn%2Fcach-chua-benh%2Fchi-van-o-quan-1-tp-hcm-khoi-thoat-vi-dia-dem-khong-tai-phat--pid-19.html&amp;usg=AFQjCNHlxgVc0VzmW40gI062yVtq8A3r_A" style="box-sizing: border-box; margin: 0px; padding: 0px; border: 0px; outline: 0px; vertical-align: baseline; background: transparent; color: rgb(102, 0, 153); text-decoration-line: none; transition: all 406ms ease-out; max-width: 100%; cursor: pointer;" target="_blank" title="">Thoát vị đĩa đệm cột sống thắt lưng có chữa&nbsp;khỏi được&nbsp;không? Bấm xem sẽ rõ.</a></p><p style="box-sizing: border-box; margin: 0px 0px 10px; padding: 0px; border: 0px; outline: 0px; font-size: 16px; vertical-align: baseline; background-image: initial; background-position: initial; background-size: initial; background-repeat: initial; background-attachment: initial; background-origin: initial; background-clip: initial; max-width: 100%; color: rgb(0, 0, 0); font-family: RobotoSlab-Regular, Arial, Helvetica, sans-serif;">&gt;&gt;&nbsp;<a href="https://chuabenhthoatvidiadem.vn/cach-chua-benh/anh-hoang-khoi-dau-nhuc-ba-vai-te-cach-tay-do-thoat-vi-dia-dem-cot-song-co-pid-7.html" style="box-sizing: border-box; margin: 0px; padding: 0px; border: 0px; outline: 0px; vertical-align: baseline; background: transparent; color: rgb(102, 0, 153); text-decoration-line: none; transition: all 406ms ease-out; max-width: 100%; cursor: pointer;" target="_blank" title="">Đau&nbsp;bả vai, tê cách tay do thoát vị đĩa đệm cột sống cổ, chữa khỏi bệnh anh Hoàng gọi điện thoại cảm ơn lương y Minh</a></p><p style="box-sizing: border-box; margin: 0px 0px 10px; padding: 0px; border: 0px; outline: 0px; font-size: 16px; vertical-align: baseline; background-image: initial; background-position: initial; background-size: initial; background-repeat: initial; background-attachment: initial; background-origin: initial; background-clip: initial; max-width: 100%; color: rgb(0, 0, 0); font-family: RobotoSlab-Regular, Arial, Helvetica, sans-serif;">&gt;&gt;&nbsp;<a data-="" href="https://www.google.com.vn/url?sa=t&amp;rct=j&amp;q=&amp;esrc=s&amp;source=web&amp;cd=65&amp;ved=0ahUKEwiE7byExcDWAhXFr48KHTmWBBo4PBAWCDowBA&amp;url=http%3A%2F%2Fchuabenhthoatvidiadem.vn%2Fcach-chua-benh%2Fcach-chua-thoat-vi-dia-dem-cot-song-that-lung-l4-l5-khoi-benh-khong-phai-mo-tvdd-pid-106.html&amp;usg=AFQjCNF68fP1PpvR2u6GjMqzuBU6AKZJ5A" style="box-sizing: border-box; margin: 0px; padding: 0px; border: 0px; outline: 0px; vertical-align: baseline; background: transparent; color: rgb(102, 0, 153); text-decoration-line: none; transition: all 406ms ease-out; max-width: 100%; cursor: pointer;" target="_blank" title="">Khỏi hẳn bệnh đau lưng nhờ uống thuốc chữa thoát vị đĩa đệm, xem địa chỉ ở Gò Vấp TP.HCM</a></p><p style="box-sizing: border-box; margin: 0px 0px 10px; padding: 0px; border: 0px; outline: 0px; font-size: 16px; vertical-align: baseline; background-image: initial; background-position: initial; background-size: initial; background-repeat: initial; background-attachment: initial; background-origin: initial; background-clip: initial; max-width: 100%; color: rgb(0, 0, 0); font-family: RobotoSlab-Regular, Arial, Helvetica, sans-serif;">&gt;&gt;&nbsp;<a href="https://chuabenhthoatvidiadem.vn/cach-chua-benh/chi-van-o-quan-1-tp-hcm-khoi-thoat-vi-dia-dem-khong-tai-phat--pid-19.html" style="box-sizing: border-box; margin: 0px; padding: 0px; border: 0px; outline: 0px; vertical-align: baseline; background: transparent; color: rgb(102, 0, 153); text-decoration-line: none; transition: all 406ms ease-out; max-width: 100%; cursor: pointer;" target="_blank" title="">Thoát vị đĩa đệm cột sống thắt lưng L5-S1, chị Nga ở Long An kể đã khỏi dứt điểm.</a></p><p style="box-sizing: border-box; margin: 0px 0px 10px; padding: 0px; border: 0px; outline: 0px; font-size: 16px; vertical-align: baseline; background-image: initial; background-position: initial; background-size: initial; background-repeat: initial; background-attachment: initial; background-origin: initial; background-clip: initial; max-width: 100%; color: rgb(0, 0, 0); font-family: RobotoSlab-Regular, Arial, Helvetica, sans-serif;">&gt;&gt;&nbsp;<a href="https://chuabenhthoatvidiadem.vn/cach-chua-benh/dieu-tri-thoat-vi-dia-dem-cho-benh-nhan-o-tien-giang-goi-dien-hoi-tham-nguoi-nha-ke-da-khoi-han-pid-43.html" style="box-sizing: border-box; margin: 0px; padding: 0px; border: 0px; outline: 0px; vertical-align: baseline; background: transparent; color: rgb(102, 0, 153); text-decoration-line: none; transition: all 406ms ease-out; max-width: 100%; cursor: pointer;" target="_blank" title="">Lương y Minh chữa khỏi thoát vị đĩa đệm cho anh Lành ở Tiền Giang, người nhà thông báo đã khỏi bệnh.</a></p><p style="box-sizing: border-box; margin: 0px 0px 10px; padding: 0px; border: 0px; outline: 0px; font-size: 16px; vertical-align: baseline; background-image: initial; background-position: initial; background-size: initial; background-repeat: initial; background-attachment: initial; background-origin: initial; background-clip: initial; max-width: 100%; color: rgb(0, 0, 0); font-family: RobotoSlab-Regular, Arial, Helvetica, sans-serif;">&gt;&gt;&nbsp;<a href="https://chuabenhthoatvidiadem.vn/cach-chua-benh/luong-y-nguyen-van-minh-chua-khoi-dau-vai-gay-do-thoat-vi-dia-dem-co-cho-anh-long-o-go-vap-tp-hcm-pid-56.html" style="box-sizing: border-box; margin: 0px; padding: 0px; border: 0px; outline: 0px; vertical-align: baseline; background: transparent; color: rgb(102, 0, 153); text-decoration-line: none; transition: all 406ms ease-out; max-width: 100%; cursor: pointer;" target="_blank" title="">Chữa thoát vị đĩa đệm cho anh Long ở Gò Vấp, vợ anh kể chuyện đã khỏi hẳn,&nbsp;không tái phát</a></p><p style="box-sizing: border-box; margin: 0px 0px 10px; padding: 0px; border: 0px; outline: 0px; font-size: 16px; vertical-align: baseline; background-image: initial; background-position: initial; background-size: initial; background-repeat: initial; background-attachment: initial; background-origin: initial; background-clip: initial; max-width: 100%; color: rgb(0, 0, 0); font-family: RobotoSlab-Regular, Arial, Helvetica, sans-serif;">&gt;&gt;&nbsp;<a href="https://chuabenhthoatvidiadem.vn/cach-chua-benh/dieu-tri-thoat-vi-dia-dem-khoi-han-nghe-thong-bao-tu-benh-nhan-o-tp-hcm-pid-39.html" style="box-sizing: border-box; margin: 0px; padding: 0px; border: 0px; outline: 0px; vertical-align: baseline; background: transparent; color: rgb(102, 0, 153); text-decoration-line: none; transition: all 406ms ease-out; max-width: 100%; cursor: pointer;" target="_blank" title="">Chữa thoát vị đĩa đệm L4/5,&nbsp;lồi đĩa đệm L5/S1 bằng thuốc đông y&nbsp;có khỏi được không ?.</a></p><p><span style="font-size:16px;">Nghe thêm những người được lương y Minh chữa khỏi thoát vị đĩa đệm</span>:&nbsp;<span style="font-family:arial,helvetica,sans-serif;"><span style="font-size:16px;"><a href="https://chuabenhthoatvidiadem.vn/dieu-tri/nghe-truc-tiep-nhung-nguoi-duoc-luong-y-minh-chua-khoi-thoat-vi-dia-dem-cid-4-0.html" style="color: rgb(102, 0, 153); cursor: pointer; text-decoration-line: none;" title=""><span style="color: rgb(102, 0, 153); cursor: pointer; text-decoration-line: none;">Tại đây&nbsp;&gt;&gt;</span></a></span></span></p><p><span style="font-size:16px;">Địa chỉ nhà&nbsp;thuốc: 856/6 Quang Trung,Phường 8, Quận Gò Vấp, TP.HCM</span></p><p><span style="font-size:16px;">Trang web chia sẻ thông tin về cách chữa thoát vị đĩa đệm của lương y Nguyễn Văn Minh:&nbsp;</span></p><div class="f kv _SWb" style="color: rgb(128, 128, 128); height: 18px; line-height: 16px; font-family: arial, sans-serif; font-size: small; white-space: nowrap;"><h2><span style="font-size:16px;"><cite class="_Rm" style="color: rgb(0, 102, 33); font-style: normal; font-size: 14px;">chuabenhthoatvidiadem.vn/</cite></span></h2></div>]]></content:encoded>
						<wfw:commentRss></wfw:commentRss>
						<slash:comments>0</slash:comments>
					</item>
				
					<item>
						<title>Mổ thoát vị đĩa đệm ở bệnh viện Chợ Rẫy, sau mổ uống thuốc gì?</title>
						<link>https://chuabenhthoatvidiadem.vn/bai-viet/benh-thoat-vi-dia-dem/mo-thoat-vi-dia-dem-o-benh-vien-cho-ray-sau-mo-uong-thuoc-gi-pid-213.html</link>
						<comments></comments>
						<pubDate>Thu, 24 May 2018 11:33:09 +0700</pubDate>
						<dc:creator>admin</dc:creator>
						<category><![CDATA[Bệnh thoát vị đĩa đệm]]></category>
						<guid isPermaLink="false"></guid>
						<description><![CDATA[Sau khi mổ thoát vị đĩa đệm ở bệnh viện Chợ Rẫy, nhiều người thấy cột sống, chân tay còn yếu, muốn uống thêm thuốc bắc để hồi phục vết thương sau mổ cột sống đĩa đệm. Bài thuốc bổ can thận, làm lành vết thương sau mổ của nhà thuốc Bảo Minh có tác dụng hỗ trợ rất tốt. Đây là bài thuốc bổ của đông y với những vị thuốc bắc tốt nhất cho xương khớp đĩa đệm.]]></description>
						<content:encoded><![CDATA[<p style="text-align: justify;"><em style="text-align: justify;"><span style="font-size:18px;">Sau khi mổ thoát vị đĩa đệm ở bệnh viện Chợ Rẫy, nhiều người thấy chân tay còn yếu, muốn uống thêm thuốc đông y với những vị&nbsp;thuốc bắc để phục hồi nhanh vết thương sau&nbsp;mổ cột sống đĩa đệm. Trong bài thuốc hồi phục sau mổ của lương y Nguyễn Văn Minh có những vị thuốc bổ:&nbsp;bổ gân cốt,&nbsp;bổ xương khớp đĩa đệm kết hợp với những vị thuốc có tác dụng mau lành vết thương.</span></em></p><p><span style="font-size:16px;">Có thể hữu ích với bạn đọc quan tâm bệnh cột sống đĩa đệm:</span></p><p style="text-align: justify;"><span style="text-align: justify; color: rgb(34, 34, 34); font-family: arial, sans-serif; font-size: 16px; white-space: nowrap;">Xem:&nbsp;</span><a href="https://chuabenhthoatvidiadem.vn/cach-chua-benh/vao-google-go-chu-chua-thoat-vi-dia-dem-gap-luong-y-nguyen-van-minh-pid-242.html" rel="noopener" style="color: rgb(102, 0, 153); font-size: small; text-align: justify; cursor: pointer; text-decoration-line: none; font-family: arial, sans-serif;" target="_blank" title="">&nbsp;<span style="font-size: 16px;">Anh Lê Thành Phong ở Tiền Giang, không phải mổ thoát vị đĩa đệm, đồng ý kể câu chuyện tìm cách chữa bệnh như thế nào. Anh vui vẻ&nbsp;chia sẻ địa chỉ, số điện thoại&nbsp;và kết quả chụp MRI ở bệnh viện Chợ Rẫy.</span></a></p><p><em style="text-align: justify;"><span style="font-size:18px;"><img loading="lazy" alt="Phẫu thuật thoát vị đĩa đệm" src="data:image/gif;base64,R0lGODlhAQABAID/AP///wAAACwAAAAAAQABAAACAkQBADs=" data-src="https://chuabenhthoatvidiadem.vn/resources/images/20181203_085559.jpg" style="width: 900px; height: 1200px;" class="lazy" width="900" height="1200" data-optimized="1" />Hình ảnh phẫu thuật thoát vị đĩa đệm qua phim chụp X quang.<img loading="lazy" alt="Mổ thoát vị đĩa đệm ở bệnh viện Chợ Rẫy" src="data:image/gif;base64,R0lGODlhAQABAID/AP///wAAACwAAAAAAQABAAACAkQBADs=" data-src="https://chuabenhthoatvidiadem.vn/resources/images/20181203_085536.jpg" style="width: 900px; height: 1200px;" class="lazy" width="900" height="1200" data-optimized="1" />Phẫu thuật thoát vị đĩa đệm L4/5 và L5/S1</span></em></p><p>&nbsp;</p><p><em><span style="font-size:18px;"><img loading="lazy" alt="sau mổ thoát vị đĩa đệm" src="data:image/gif;base64,R0lGODlhAQABAID/AP///wAAACwAAAAAAQABAAACAkQBADs=" data-src="https://chuabenhthoatvidiadem.vn/resources/images/20180517_081400.jpg" style="width: 800px; height: 569px;" class="lazy" width="1600" height="1138" data-optimized="1" /></span></em></p><p style="text-align: justify;"><span style="font-size:16px;"><em>Giấy xuất viện sau khi mổ thoát vị đĩa đệm ở bệnh viện Chợ Rẫy</em></span></p><p style="text-align: justify;"><span style="font-size:16px;">Những trường hợp bị bệnh thoát vị đĩa đệm nặng, chụp MRI phát hiện thoát vị đĩa đệm&nbsp;có kích thước lên tới # 9-10mm, chèn ép nặng rễ thần kinh, hẹp nặng ống sống,&nbsp;gây&nbsp;đau nhức không chịu được. Đã uống&nbsp;các loại thuốc giảm đau tốt nhất của bệnh viện cũng không đỡ, buộc phải chọn phương pháp mổ thoát vị đĩa đệm. Bệnh viện Chợ Rẫy và bệnh viện Chấn Thương Chỉnh Hình Tp. Hồ Chí Minh được nhiều người chọn để mổ.</span></p><p style="text-align: justify;"><span style="font-size:16px;"><img loading="lazy" alt="Thuốc bắc phục hồi sau mổ thoát vị đĩa đệm" src="data:image/gif;base64,R0lGODlhAQABAID/AP///wAAACwAAAAAAQABAAACAkQBADs=" data-src="https://chuabenhthoatvidiadem.vn/resources/images/20180619_085634.jpg" style="width: 571px; height: 588px;" class="lazy" width="571" height="588" data-optimized="1" /></span></p><p style="text-align: justify;">&nbsp;</p><p style="text-align: justify;"><span style="font-size:16px;">Sau khi mổ thoát vị đĩa đệm:&nbsp;Cột sống cổ, cột sống lưng đều yếu, chân tay yếu, nên nhiều người chọn cách uống thêm thuốc bắc để bồi bổ cơ thể, giúp mau hồi phục sức khỏe cột sống đĩa đệm. Phòng khám đông y Bảo Minh là địa chỉ ở TP.HCM được nhiều người tới cắt thuốc mang về nhà sắc uống.</span></p><p style="text-align: justify;"><span style="font-size:16px;">Có nhiều trường hợp bị thoát vị đĩa đệm, bác sĩ chuyên khoa đã điều trị bằng&nbsp;thuốc tây, thuốc có tác dụng:&nbsp;kháng viêm, dãn cơ, giảm đau. Nếu uống một thời gian mà&nbsp;không đỡ, bác sĩ chuyên khoa cột sống sẽ chỉ định mổ, họ sợ mổ cột sống nên tìm gặp Lương y Nguyễn Văn Minh để chữa trị. Đã có rất nhiều người hết bệnh, không phải mổ. Dưới đ<span style="text-align: justify;">ây là video ghi lại chân&nbsp;</span><span style="text-align: justify;">thực</span><span style="text-align: justify;">&nbsp;cuộc nói chuyện ở phòng khám đông y Bảo Minh.</span></span></p><p style="text-align: justify;"><span style="font-size:16px;"><iframe frameborder="0" height="310" longdesc="Chữa khỏi bệnh, không phải mổ thoát vị đĩa đệm" name="Phòng khám Bảo Minh" scrolling="no" src="https://www.youtube.com/embed/gmxUKfKBqOY" title="Chữa thoát vị đĩa đệm" width="550"></iframe></span></p><p style="text-align: justify;"><span style="font-size:16px;">Cách đây 2 năm, anh Hiếu có chở mẹ vợ tới chữa bệnh thoát vị đĩa đệm ở phòng khám của Lương y Nguyễn Văn Minh, hôm nay anh lại đưa mẹ đẻ tới cũng chữa thoát vị đĩa đệm, anh cho biết: mẹ vợ đã khỏi hẳn căn bệnh thoát vị đĩa đệm, hai năm nay bà không bị đau nhức gì nữa. Chính vì tin tưởng vào phòng khám nên hôm nay anh cũng mong lương y Minh chữa khỏi bệnh cho mẹ mình. Bạn đọc hãy nghe anh Hiếu chia sẻ địa chỉ và số điện thoại của anh với mong muốn giúp cho những ai đang bị bệnh may gặp thầy gặp thuốc.</span></p><p style="text-align: justify;"><span style="font-size:16px;">Có thể bạn quan tâm tới những trường hợp không phải mổ thoát vị đĩa đệm, nhờ trị bệnh ở phòng khám đông y Bảo Minh</span></p><p style="text-align: justify;"><span style="color: rgb(34, 34, 34); font-family: arial, sans-serif; font-size: 16px; text-align: justify; white-space: nowrap;">&rArr;&nbsp;</span><span style="font-size:16px;"><a href="https://chuabenhthoatvidiadem.vn/cach-chua-benh/thuoc-chua-thoat-vi-dia-dem-toi-uong-20-thang-het-dau-roi-thay-pid-127.html" rel="noopener" style="color: rgb(102, 0, 153); cursor: pointer; text-decoration-line: none; font-family: arial, sans-serif; font-size: small;" target="_blank" title="">Thuốc chữa thoát vị đĩa đệm tốt quá, em&nbsp;hết đau rồi thầy!</a></span></p><p style="text-align: justify;"><span style="color: rgb(34, 34, 34); font-family: arial, sans-serif; font-size: 16px; white-space: nowrap;">&rArr;&nbsp;</span><span style="font-size:16px;"><a data-ctbtn="0" data-cthref="/url?sa=t&amp;rct=j&amp;q=&amp;esrc=s&amp;source=web&amp;cd=&amp;ved=2ahUKEwiVp_GEh6HqAhUNMd4KHeUHCkU4RhAWMAl6BAgIEAE&amp;url=https%3A%2F%2Fchuabenhthoatvidiadem.vn%2Fbai-viet%2Fbenh-thoat-vi-dia-dem%2Fthoat-vi-dia-dem-co-chua-khoi-duoc-khong-pid-111.html&amp;usg=AOvVaw223LosZFZPlFnPk7SPZz2n" href="https://www.google.com.vn/url?sa=t&amp;rct=j&amp;q=&amp;esrc=s&amp;source=web&amp;cd=&amp;ved=2ahUKEwiVp_GEh6HqAhUNMd4KHeUHCkU4RhAWMAl6BAgIEAE&amp;url=https%3A%2F%2Fchuabenhthoatvidiadem.vn%2Fbai-viet%2Fbenh-thoat-vi-dia-dem%2Fthoat-vi-dia-dem-co-chua-khoi-duoc-khong-pid-111.html&amp;usg=AOvVaw223LosZFZPlFnPk7SPZz2n" rel="noopener" style="color: rgb(102, 0, 153); cursor: pointer; font-family: arial, sans-serif; font-size: small;" target="_blank" title="">Không phải mổ thoát vị đĩa đệm, &nbsp;anh Nhã chia sẻ địa chỉ ở Kiên Giang</a></span></p><p style="text-align: justify;"><span style="color: rgb(34, 34, 34); font-family: arial, sans-serif; font-size: 16px; white-space: nowrap;">&rArr;&nbsp;</span><span style="font-size:16px;"><a data-ctbtn="0" data-cthref="/url?sa=t&amp;rct=j&amp;q=&amp;esrc=s&amp;source=web&amp;cd=&amp;ved=2ahUKEwiVp_GEh6HqAhUNMd4KHeUHCkU4RhAWMAF6BAgEEAE&amp;url=https%3A%2F%2Fchuabenhthoatvidiadem.vn%2Fbai-viet%2Fthuoc-chua-benh-thoat-vi-dia-dem%2Fthuoc-dac-tri-thoat-vi-dia-dem-pid-256.html&amp;usg=AOvVaw0tb0z2bkbAVj2jj9PWUKHf" href="https://www.google.com.vn/url?sa=t&amp;rct=j&amp;q=&amp;esrc=s&amp;source=web&amp;cd=&amp;ved=2ahUKEwiVp_GEh6HqAhUNMd4KHeUHCkU4RhAWMAF6BAgEEAE&amp;url=https%3A%2F%2Fchuabenhthoatvidiadem.vn%2Fbai-viet%2Fthuoc-chua-benh-thoat-vi-dia-dem%2Fthuoc-dac-tri-thoat-vi-dia-dem-pid-256.html&amp;usg=AOvVaw0tb0z2bkbAVj2jj9PWUKHf" rel="noopener" style="color: rgb(102, 0, 153); cursor: pointer; font-family: arial, sans-serif; font-size: small;" target="_blank" title="">Nghe bác Trần Quế chia sẻ về tác dụng của bài thuốc trị thoát vị đĩa đệm</a></span></p><p class="LC20lb DKV0Md" style="font-size: 20px; margin: 0px 0px 3px; padding: 4px 0px 0px; display: inline-block; line-height: 1.3;"><span style="color: rgb(34, 34, 34); font-family: arial, sans-serif; font-size: 16px; text-align: justify; white-space: nowrap;">&rArr;&nbsp;</span><span style="font-size:16px;"><a data-ctbtn="0" data-cthref="/url?sa=t&amp;rct=j&amp;q=&amp;esrc=s&amp;source=web&amp;cd=&amp;ved=2ahUKEwiMg5_KiKHqAhXIBIgKHeWqC8I4WhAWMAJ6BAgFEAE&amp;url=https%3A%2F%2Fchuabenhthoatvidiadem.vn%2Fcach-chua-benh%2Fthuoc-chua-thoat-vi-dia-dem-tot-qua-em-het-te-chan-roi-bac-si-pid-236.html&amp;usg=AOvVaw2eNN39e3u82IKV3Oo4lAWl" href="https://www.google.com.vn/url?sa=t&amp;rct=j&amp;q=&amp;esrc=s&amp;source=web&amp;cd=&amp;ved=2ahUKEwiMg5_KiKHqAhXIBIgKHeWqC8I4WhAWMAJ6BAgFEAE&amp;url=https%3A%2F%2Fchuabenhthoatvidiadem.vn%2Fcach-chua-benh%2Fthuoc-chua-thoat-vi-dia-dem-tot-qua-em-het-te-chan-roi-bac-si-pid-236.html&amp;usg=AOvVaw2eNN39e3u82IKV3Oo4lAWl" rel="noopener" style="color: rgb(102, 0, 153); cursor: pointer; text-decoration-line: none; font-family: arial, sans-serif; font-size: small;" target="_blank" title="">Thuốc chữa thoát vị đĩa đệm tốt đấy bác, em hết tê chân rồi bác sĩ</a></span></p><p class="r" style="font-size: 18px; margin: 0px; padding: 0px; overflow: hidden; text-overflow: ellipsis; white-space: nowrap; color: rgb(34, 34, 34); font-family: arial, sans-serif;"><span style="font-size:16px;">&rArr;&nbsp;<a href="https://chuabenhthoatvidiadem.vn/cach-chua-benh/nho-thay-ma-toi-khong-phai-mo-thoat-vi-dia-dem-hay-nghe-benh-nhan-cu-phat-bieu-pid-41.html" style="color: rgb(102, 0, 153); cursor: pointer; text-decoration-line: none;" target="_blank" title="">Bác Chính kể: Nhờ thầy mà tôi không phải mổ thoát vị đĩa đệm&nbsp;</a></span></p><p class="r" style="font-size: 18px; margin: 0px; padding: 0px; overflow: hidden; text-overflow: ellipsis; white-space: nowrap; color: rgb(34, 34, 34); font-family: arial, sans-serif;"><span style="color: rgb(34, 34, 34); font-family: arial, sans-serif; font-size: 16px; white-space: nowrap;">&rArr;&nbsp;</span><span style="font-size:16px;"><a href="https://chuabenhthoatvidiadem.vn/cach-chua-benh/chua-thoat-vi-dia-dem-cot-song-that-lung-khoi-han-khong-phai-mo-pid-74.html" style="color: rgb(102, 0, 153); cursor: pointer; text-decoration-line: none;" target="_blank" title="">Chữa thoát vị đĩa đệm cột sống thắt lưng, khỏi hẳn không phải mổ</a></span></p><p class="r" style="font-size: 18px; margin: 0px; padding: 0px; overflow: hidden; text-overflow: ellipsis; white-space: nowrap; color: rgb(34, 34, 34); font-family: arial, sans-serif;"><span style="color: rgb(34, 34, 34); font-family: arial, sans-serif; font-size: 16px; white-space: nowrap;">&rArr;&nbsp;</span><span style="font-size:16px;"><a href="https://chuabenhthoatvidiadem.vn/cach-chua-benh/khoi-thoat-vi-dia-dem-cot-song-that-lung-sau-hon-1-thang-dieu-tri-pid-37.html" style="color: rgb(102, 0, 153); cursor: pointer; text-decoration-line: none;" target="_blank" title="">Khỏi thoát vị đĩa đệm cột sống thắt lưng sau hơn 1 tháng điều trị</a>&nbsp;</span></p><p class="LC20lb DKV0Md" style="font-size: 20px; margin: 0px 0px 3px; padding: 4px 0px 0px; display: inline-block; line-height: 1.3;"><span style="color: rgb(34, 34, 34); font-family: arial, sans-serif; font-size: 16px; white-space: nowrap;">&rArr;&nbsp;</span><span style="font-size:16px;"><a data-ctbtn="0" data-cthref="/url?sa=t&amp;rct=j&amp;q=&amp;esrc=s&amp;source=web&amp;cd=&amp;ved=2ahUKEwilgY_bi6HqAhWLH3AKHdCdCWQ4ZBAWMAJ6BAgEEAE&amp;url=https%3A%2F%2Fchuabenhthoatvidiadem.vn%2Fcach-chua-benh%2Fnghe-truc-tiep-nhung-nguoi-duoc-luong-y-minh-chua-khoi-thoat-vi-dia-dem-cid-4-10.html&amp;usg=AOvVaw28G39eaerO2mnfULHUMTao" href="https://www.google.com.vn/url?sa=t&amp;rct=j&amp;q=&amp;esrc=s&amp;source=web&amp;cd=&amp;ved=2ahUKEwilgY_bi6HqAhWLH3AKHdCdCWQ4ZBAWMAJ6BAgEEAE&amp;url=https%3A%2F%2Fchuabenhthoatvidiadem.vn%2Fcach-chua-benh%2Fnghe-truc-tiep-nhung-nguoi-duoc-luong-y-minh-chua-khoi-thoat-vi-dia-dem-cid-4-10.html&amp;usg=AOvVaw28G39eaerO2mnfULHUMTao" rel="noopener" style="color: rgb(102, 0, 153); cursor: pointer; text-decoration-line: none; font-family: arial, sans-serif; font-size: small;" target="_blank" title="">Nghe thêm những người được lương y Minh chữa khỏi bệnh, đồng ý kể chuyện</a>&nbsp;</span></p><p class="LC20lb DKV0Md" style="font-size: 20px; margin: 0px 0px 3px; padding: 4px 0px 0px; display: inline-block; line-height: 1.3;">&nbsp;</p><p class="LC20lb DKV0Md" style="font-size: 20px; margin: 0px 0px 3px; padding: 4px 0px 0px; display: inline-block; line-height: 1.3;">&nbsp;</p><p class="LC20lb DKV0Md" style="font-size: 20px; margin: 0px 0px 3px; padding: 4px 0px 0px; display: inline-block; line-height: 1.3;">&nbsp;</p><p class="LC20lb DKV0Md" style="font-size: 20px; margin: 0px 0px 3px; padding: 4px 0px 0px; display: inline-block; line-height: 1.3;">&nbsp;</p><p class="LC20lb DKV0Md" style="font-size: 20px; margin: 0px 0px 3px; padding: 4px 0px 0px; display: inline-block; line-height: 1.3;"><span style="font-size:16px;">&nbsp; &nbsp; &nbsp; &nbsp; &nbsp; &nbsp; &nbsp; &nbsp; &nbsp; &nbsp; &nbsp; &nbsp; &nbsp; &nbsp; &nbsp; &nbsp; &nbsp; &nbsp; &nbsp; &nbsp;</span></p><p style="text-align: justify;"><span style="font-size: 16px;">Trang web chuyên chữa bệnh thoát vị đĩa đệm:&nbsp;</span><a href="https://chuabenhthoatvidiadem.vn/" title="">chuabenhthoatvidiadem.vn</a></p><p style="text-align: justify;"><span style="font-size: 16px;">Phòng khám chuyên trị thoát vị đĩa đệm ở thành phố HCM: 856/6 Quang Trung, P. 8, Quận Gò Vấp. Lương y Nguyễn Văn Minh tư vấn qua Zalo: 091 350 3552 - ĐT bàn: 028.62951367</span></p>]]></content:encoded>
						<wfw:commentRss></wfw:commentRss>
						<slash:comments>0</slash:comments>
					</item>
				
					<item>
						<title>Cách chữa thoát vị đĩa đệm cột sống thắt lưng L4 L5, khỏi bệnh không phải mổ tvdd</title>
						<link>https://chuabenhthoatvidiadem.vn/bai-viet/ket-qua-dieu-tri-thoat-vi-dia-dem/cach-chua-thoat-vi-dia-dem-cot-song-that-lung-l4-l5-khoi-benh-khong-phai-mo-tvdd-pid-106.html</link>
						<comments></comments>
						<pubDate>Tue, 22 Aug 2017 03:46:45 +0700</pubDate>
						<dc:creator>admin</dc:creator>
						<category><![CDATA[Kết quả điều trị thoát vị đĩa đệm]]></category>
						<guid isPermaLink="false"></guid>
						<description><![CDATA[Xem cách chữa thoát vị đĩa đệm cột sống thắt lưng L4 L5. Chữa khỏi thoát vị đĩa đệm, khỏi đau thắt lưng, không cần mổ thoát vị đĩa đệm, có khả năng hồi phục sức lao động tới 90%.]]></description>
						<content:encoded><![CDATA[<h2 style="text-align: justify;"><span style="font-size:16px;">Cách chữa thoát vị đĩa đệm cột sống thắt lưng L4 L5 tại TP. HCM. Chữa khỏi thoát vị đĩa đệm, khỏi đau thắt lưng, không cần mổ thoát vị đĩa đệm, có khả năng hồi phục sức lao động &nbsp;tới 90%. Đây là kết quả chụp cộng hưởng từ cột sống thắt lưng của anh Ngô Văn Tình 45 tuổi, đang sinh sống tại địa chỉ: 114/18/20 Bùi Quang Là, p12, quận Gò Vấp, Tp Hồ Chí Minh. Anh Tình đã chữa khỏi bệnh&nbsp;thoát vị đĩa đệm cột sống tại phòng khám của lương y Minh, anh rất vui khi chia sẻ địa chỉ anh đang ở (*).</span></p><p><img loading="lazy" alt="Thoát vị đĩa đệm L4-L5" src="data:image/gif;base64,R0lGODlhAQABAID/AP///wAAACwAAAAAAQABAAACAkQBADs=" data-src="https://chuabenhthoatvidiadem.vn/resources/images/phongkhambaominh_com.jpg" style="width: 622px; height: 588px;" class="lazy" width="622" height="588" data-optimized="1" /></p><h4><span style="font-size:16px;">Quý khách hãy bấm vào mũi tên để nghe cuộc trò chuyện giữa lương Nguyễn Văn Minh và anh Tình để tham khảo cách chữa thoát vị đĩa đệm cột sống thắt lưng L4 L5.</span></h4><p><a href="https://chuabenhthoatvidiadem.vn/resources/files/call_15-05-28_IN_0902937342.mp3" title="">https://chuabenhthoatvidiadem.vn/ thoat vi dia dem L4 L5</a></p><h3><span style="font-size:16px;">(*) &nbsp; &quot;Lưu ý: tác dụng của thuốc uống, thuốc đắp chữa thoát vị đĩa đệm/ nhanh hay chậm tùy&nbsp;theo triệu&nbsp;chứng thoát vị đĩa đệm&nbsp;của mỗi nguời&quot;</span></h3><p class="r" style="box-sizing: border-box; margin: 0px; padding: 0px; border: 0px; outline: 0px; font-size: 18px; vertical-align: baseline; background-image: initial; background-position: initial; background-size: initial; background-repeat: initial; background-attachment: initial; background-origin: initial; background-clip: initial; font-family: arial, sans-serif; line-height: 1.1; color: rgb(34, 34, 34); max-width: 100%; overflow: hidden; text-overflow: ellipsis; white-space: nowrap;"><span style="box-sizing: border-box; margin: 0px; padding: 0px; border: 0px; outline: 0px; font-size: 16px; vertical-align: baseline; background: transparent; max-width: 100%;">Có thể bạn chưa xem:&nbsp;<a href="https://chuabenhthoatvidiadem.vn/cach-chua-benh/khoi-thoat-vi-dia-dem-cot-song-that-lung-sau-hon-1-thang-dieu-tri-pid-37.html" style="box-sizing: border-box; margin: 0px; padding: 0px; border: 0px; outline: 0px; vertical-align: baseline; background: transparent; color: rgb(102, 0, 153); text-decoration-line: none; transition: all 406ms ease-out; max-width: 100%; cursor: pointer;" target="_blank" title="">Video cách chữa bệnh&nbsp;thoát vị đĩa đệm cột sống thắt lưng.</a></span></p>]]></content:encoded>
						<wfw:commentRss></wfw:commentRss>
						<slash:comments>0</slash:comments>
					</item>
				
					<item>
						<title>Lương y Minh chữa thoát vị đĩa đệm cho anh Út khỏi bệnh gần năm nay</title>
						<link>https://chuabenhthoatvidiadem.vn/bai-viet/nghe-truc-tiep-nhung-nguoi-duoc-luong-y-minh-chua-khoi-thoat-vi-dia-dem/luong-y-minh-chua-thoat-vi-dia-dem-cho-anh-ut-khoi-benh-gan-nam-nay-pid-22.html</link>
						<comments></comments>
						<pubDate>Fri, 09 Dec 2016 05:41:50 +0700</pubDate>
						<dc:creator>admin</dc:creator>
						<category><![CDATA[Nghe trực tiếp những người được lương y Minh chữa khỏi thoát vị đĩa đệm ]]></category>
						<guid isPermaLink="false"></guid>
						<description><![CDATA[Anh Đặng Văn Út bị thoát vị đĩa đệm cột sống thắt lưng tầng L3/ L4 và L4 /L5 (xem kết quả chụp MRI của bệnh viện Chấn Thương Chỉnh Hình TP HCM kèm theo). Lương y Minh điều trị thoát vị đĩa đệm cho anh Út đã khỏi bệnh. Anh đồng ý chia sẻ, hãy bấm để nghe địa chỉ của anh Út.]]></description>
						<content:encoded><![CDATA[<h2 style="text-align: justify;"><span style="font-size:16px;">Anh Út ở Đồng Tháp bị đau thắt lưng, nhức bên mông lan xuống chân trái,&nbsp;tê nhức&nbsp;chân không làm ăn gì được. Anh lên&nbsp;bệnh viện Chấn Thương Chỉnh Hình TP HCM chụp MRI. Kết quả chụp MRI cho thấy&nbsp;anh Út bị gai thoái hóa các đốt sống thắt lưng typ II (Modic). Thoát vị&nbsp;đĩa đệm tầng L3/4 ra sau kiểu trung tâm, hẹp ống sống L3/4, hẹp lỗ liên hợp L3/4 hai bên, chèn ép rễ thần kinh L4 hai bên. Thoát vị đĩa đệm tầng L4/5 ra sau kiểu trung tâm, hẹp lỗ liên hợp L4/5 (T), chèn ép rễ thần kinh L5 (T). Thoái hóa khớp liên mấu L3--&gt;S1 hai bên. </span></p><h3 style="text-align: justify;"><span style="font-size:16px;">Anh Út cũng đã điều trị thoát vị đĩa đệm nhiều nơi, cả ở dưới quê và trên thành phố nhưng không trị dứt điểm tvdd, hay bị tái phát những cơn đau nhức. Do rất sợ phải mổ tvdd nên&nbsp;anh Út tìm&nbsp;tới phòng khám của lương y Minh ở TP HCM để điều trị.&nbsp;Sau 6 tuần điều trị tích cực anh Út đã khỏi bệnh gần năm nay, để có tư liệu thực tế viết bài này, lương y Minh đã gọi điện hỏi thăm tình hình sức khỏe của&nbsp;anh Út, anh cảm ơn và rất vui được chia sẻ địa chỉ nhà anh: Đặng Văn Út,&nbsp;ấp Thượng, xã Thới Tiền, huyện Hồng Ngự, tỉnh Đồng Tháp.&nbsp;Nếu bệnh nhân nào ở gần có thể gặp trực tiếp anh Út tham khảo cách chữa thoát vị đĩa đệm bằng đông y của lương y Nguyễn văn Minh. (*)</span></h3><p><img loading="lazy" alt="Thoát vị đĩa đệm L3/4 và L4/5" src="data:image/gif;base64,R0lGODlhAQABAID/AP///wAAACwAAAAAAQABAAACAkQBADs=" data-src="https://chuabenhthoatvidiadem.vn/resources/images/20160530_080149.jpg" class="lazy" width="442" height="589" data-optimized="1" /></p><p><span style="font-size:16px;"><em>Kết quả chụp MRI của anh Út (anh Út&nbsp;đồng ý chia sẻ)</em></span></p><p><span style="font-size:16px;">Hãy Click chuột vào mũi tên để nghe trực tiếp anh Út và lương y Minh trò chuyện. Nghe về mức độ hài lòng của anh Út&nbsp;khi chữa thoát vị đĩa đệm tại phòng khám của lương y Minh.</span></p><p><a href="https://chuabenhthoatvidiadem.vn/resources/files/mp3/Tho_i_003_m.mp3" title="">Audio trực tiếp cuộc trò chuyện giữa lương y Minh và anh Út về kết quả điều trị bệnh thoát vị đĩa đệm</a></p><p><span style="font-size:16px;">(*) &nbsp; &quot;Lưu ý: tác dụng của thang thuốc uống/ phuơng pháp điều trị thoát vị đĩa đệm có thể thay đổi tùy theo tình trạng cơ địa của mỗi nguời&quot;</span></p><h3 class="r" style="box-sizing: border-box; margin: 0px; padding: 0px; border: 0px; outline: 0px; font-size: 18px; vertical-align: baseline; background-image: initial; background-position: initial; background-size: initial; background-repeat: initial; background-attachment: initial; background-origin: initial; background-clip: initial; font-family: arial, sans-serif; line-height: 1.1; color: rgb(34, 34, 34); max-width: 100%; overflow: hidden; text-overflow: ellipsis; white-space: nowrap;"><span style="box-sizing: border-box; margin: 0px; padding: 0px; border: 0px; outline: 0px; font-size: 16px; vertical-align: baseline; background: transparent; max-width: 100%;">Có thể bạn muốn&nbsp;xem:&nbsp;<a href="https://chuabenhthoatvidiadem.vn/cach-chua-benh/khoi-thoat-vi-dia-dem-cot-song-that-lung-sau-hon-1-thang-dieu-tri-pid-37.html" style="box-sizing: border-box; margin: 0px; padding: 0px; border: 0px; outline: 0px; vertical-align: baseline; background: transparent; color: rgb(102, 0, 153); text-decoration-line: none; transition: all 406ms ease-out; max-width: 100%; cursor: pointer;" target="_blank" title="">Video kể chuyện&nbsp;chữa bệnh&nbsp;thoát vị đĩa đệm cột sống thắt lưng.</a></span></h3>]]></content:encoded>
						<wfw:commentRss></wfw:commentRss>
						<slash:comments>0</slash:comments>
					</item>
				
					<item>
						<title>Thoái hóa đĩa đệm mất nước và lồi đĩa đệm gây hẹp ống sống, chèn ép rễ thần kinh L4, L5</title>
						<link>https://chuabenhthoatvidiadem.vn/bai-viet/nghe-truc-tiep-nhung-nguoi-duoc-luong-y-minh-chua-khoi-thoat-vi-dia-dem/thoai-hoa-dia-dem-mat-nuoc-va-loi-dia-dem-gay-hep-ong-song-chen-ep-re-than-kinh-l4-l5-pid-257.html</link>
						<comments></comments>
						<pubDate>Thu, 23 May 2019 05:12:27 +0700</pubDate>
						<dc:creator>admin</dc:creator>
						<category><![CDATA[Nghe trực tiếp những người được lương y Minh chữa khỏi thoát vị đĩa đệm ]]></category>
						<guid isPermaLink="false"></guid>
						<description><![CDATA[Đây là bệnh án của một bệnh nhân nam ở Tây Ninh, anh bị thoái hóa đĩa đệm mất nước và lồi đĩa đệm gây hẹp ống sống, hẹp ngách bên và hẹp lỗ liên hợp, chèn ép rễ thần kinh L4, L5 gây nên đau thắt lưng, đau mông, đau chân. Sau khi điều trị được 1 tháng, anh gọi điện cho lương y Nguyễn Văn Minh thông báo: Không còn đau nữa, anh muốn uống thêm thuốc cho khỏi hẳn.]]></description>
						<content:encoded><![CDATA[<p style="text-align: justify;"><em><span style="font-size:18px;">Bệnh nhân nam 45 tuổi ở Tây Ninh, anh bị đau thắt lưng, đau một&nbsp;bên mông trái, đau xuống bắp chân. Anh đi khám bệnh và được bác sĩ ở Bệnh Viện Chuyên Khoa Ngoại Thần Kinh Quốc Tế cho chụp cộng hưởng từ MRI cột sống thắt lưng.&nbsp;Bác sĩ kết luận: Thoái hóa đĩa đệm mất nước và lồi đĩa đệm gây hẹp ống sống, hẹp ngách bên và hẹp&nbsp;lỗ liên hợp, chèn ép rễ thần kinh L4, L5.&nbsp;</span></em></p><p><img loading="lazy" alt="Lồi đĩa đệm" src="data:image/gif;base64,R0lGODlhAQABAID/AP///wAAACwAAAAAAQABAAACAkQBADs=" data-src="https://chuabenhthoatvidiadem.vn/resources/images/Chèn ép rễ thần kinh.jpg" style="width: 800px; height: 961px;" class="lazy" width="999" height="1200" data-optimized="1" /></p><p><span style="font-size:16px;">Mời bạn đọc bấm vào ô bên dưới để nghe cuộc nói chuyện giữa Lương y Nguyễn Văn Minh và người bệnh đang&nbsp;trị bệnh tại phòng khám của lương y Nguyễn Văn Minh (*)</span></p><p><a href="https://chuabenhthoatvidiadem.vn/resources/files/Phương tvdd Tây Ninh.mp3" title="">Thoái hóa đĩa đệm mất nước</a></p><p><span style="font-size:16px;">(*) Lưu ý: Thuốc chữa bệnh&nbsp;thoát vị đĩa đệm, lồi đĩa đệm&nbsp;có tác dụng nhanh hay chậm, tùy theo cơ địa mỗi nguời.</span></p><p style="text-align: justify;"><span style="font-size:18px;">Thầy thuốc chữa&nbsp;thoát vị bằng đông y ở Gò Vấp, TP.HCM: 856/6 Quang Trung. Bạn hãy gửi kết quả chụp MRI&nbsp;của bác sĩ qua Zalo số: 0913503552, tôi tư vấn miễn phí cách chữa&nbsp;thoát vị đĩa đệm bằng đông y giúp bạn.</span></p><p style="text-align: justify;"><span style="font-size:18px;">Trang web chuyên sâu bệnh cột sống đĩa đệm:</span></p><p style="text-align: justify;"><span style="font-size:18px;">thoatvidiadem.top và chuabenhthoatvidiadem.vn</span></p><p style="text-align: justify;"><span style="font-size:18px;">Có thể bạn quan tâm:&nbsp;</span></p><p style="text-align: justify;"><a title="" data-ved="2ahUKEwj3lbqHwe_3AhU3zIsBHe7NDRoQFnoECA0QAQ" href="https://chuabenhthoatvidiadem.vn/cach-chua-benh/thong-tin-chu-so-huu-website-pid-301.html" ping="/url?sa=t&amp;source=web&amp;rct=j&amp;url=https://chuabenhthoatvidiadem.vn/cach-chua-benh/thong-tin-chu-so-huu-website-pid-301.html&amp;ved=2ahUKEwj3lbqHwe_3AhU3zIsBHe7NDRoQFnoECA0QAQ" style="color: rgb(26, 13, 171); text-decoration-line: none; -webkit-tap-highlight-color: rgba(0, 0, 0, 0.1); outline: 0px; font-family: arial, sans-serif; font-size: small;">Thông tin chủ sở hữu website: Thoát Vị Đĩa Đệm</a></p><h3 class="LC20lb MBeuO DKV0Md" style="margin: 0px 0px 3px; padding: 5px 0px 0px; font-size: 20px; line-height: 1.3; display: inline-block;"><a title="" data-ved="2ahUKEwiVzda1we_3AhUlEqYKHVViCww4ChAWegQIAxAB" href="https://chuabenhthoatvidiadem.vn/cach-chua-benh/thuoc-chua-thoat-vi-dia-dem-pid-290.html" ping="/url?sa=t&amp;source=web&amp;rct=j&amp;url=https://chuabenhthoatvidiadem.vn/cach-chua-benh/thuoc-chua-thoat-vi-dia-dem-pid-290.html&amp;ved=2ahUKEwiVzda1we_3AhUlEqYKHVViCww4ChAWegQIAxAB" style="color: rgb(26, 13, 171); text-decoration-line: none; -webkit-tap-highlight-color: rgba(0, 0, 0, 0.1); outline: 0px; font-family: arial, sans-serif; font-size: small;">Thầy thuốc đông y&nbsp;chữa thoát vị đĩa đệm</a></h3><p><a title="" data-ved="2ahUKEwiVzda1we_3AhUlEqYKHVViCww4ChAWegQIAhAB" href="https://chuabenhthoatvidiadem.vn/cach-chua-benh/thoat-vi-dia-dem-l4-l5-pid-283.html" ping="/url?sa=t&amp;source=web&amp;rct=j&amp;url=https://chuabenhthoatvidiadem.vn/cach-chua-benh/thoat-vi-dia-dem-l4-l5-pid-283.html&amp;ved=2ahUKEwiVzda1we_3AhUlEqYKHVViCww4ChAWegQIAhAB" style="font-size: small; color: rgb(26, 13, 171); text-decoration-line: none; -webkit-tap-highlight-color: rgba(0, 0, 0, 0.1); outline: 0px; font-family: arial, sans-serif;">Chữa khỏi thoát vị đĩa đệm L4 L5</a></p>]]></content:encoded>
						<wfw:commentRss></wfw:commentRss>
						<slash:comments>0</slash:comments>
					</item>
				
					<item>
						<title>Cách chữa thoát vị đĩa đệm cột sống thắt lưng</title>
						<link>https://chuabenhthoatvidiadem.vn/bai-viet/ket-qua-dieu-tri-thoat-vi-dia-dem/cach-chua-thoat-vi-dia-dem-cot-song-that-lung-pid-222.html</link>
						<comments></comments>
						<pubDate>Thu, 16 Aug 2018 06:00:51 +0700</pubDate>
						<dc:creator>admin</dc:creator>
						<category><![CDATA[Kết quả điều trị thoát vị đĩa đệm]]></category>
						<guid isPermaLink="false"></guid>
						<description><![CDATA[Cách chữa thoát vị đĩa đệm cột sống thắt lưng khỏi hẳn. Đây là cách chữa của lương y Nguyễn Văn Minh tại phòng khám đông y Bảo Minh. Cách chữa này đã mang lại hiệu quả cao, thực tế đã chữa khỏi bệnh cho hàng ngàn người. Một số người bệnh đồng ý chia sẻ bệnh án thoát vị đĩa đệm cột sống thắt lưng của mình. Phòng khám đông y Bảo Minh xin chân thành cảm ơn những tấm lòng quý báu của quý bệnh nhân.]]></description>
						<content:encoded><![CDATA[<h2 style="text-align: justify;"><em style="text-align: justify;"><span style="font-size:18px;">Chữa thoát vị đĩa đệm cột sống thắt lưng như thế nào? Chữa bệnh ở đâu tốt nhất? Đơn giá thuốc chữa bệnh hết bao nhiêu 1 liệu trình? Thời gian chữa trong bao lâu thì khỏi bệnh?&nbsp;&nbsp;Khi khỏi bệnh sau này có bị thoát vị đĩa đệm trở lại không?.. Hàng loạt câu hỏi từ người bệnh và người thân của họ được gửi tới&nbsp;</span></em><em><span style="font-size:18px;"><a data-="" href="https://www.google.com.vn/url?sa=t&amp;rct=j&amp;q=&amp;esrc=s&amp;source=web&amp;cd=155&amp;ved=2ahUKEwjT04XxhYLdAhWLp48KHaynCH04lgEQFjAEegQIBhAB&amp;url=http%3A%2F%2Fphongkhambaominh.com%2Fphong-kham-dong-y-bao-minh-chuyen-ve-dia-chi-moi.htm&amp;usg=AOvVaw01d1bcJYFBnb2UOFHpGYSO" style="color: rgb(102, 0, 153); cursor: pointer; text-decoration-line: none;" target="_blank" title="">lương y Nguyễn Văn Minh</a></span></em><em style="text-align: justify;"><span style="font-size:18px;">&nbsp;nhờ tư vấn cách chữa trị.</span></em></p><p><em style="text-align: justify;"><span style="font-size:18px;"><img loading="lazy" alt="Thoát vị đĩa đệm cột sống thắt lưng" src="data:image/gif;base64,R0lGODlhAQABAID/AP///wAAACwAAAAAAQABAAACAkQBADs=" data-src="https://chuabenhthoatvidiadem.vn/resources/images/20180818_103716 (1).jpg" style="width: 985px; height: 1200px;" class="lazy" width="985" height="1200" data-optimized="1" /></span></em></p><p><span style="font-size:16px;"><em style="text-align: justify;">Hình ảnh thoát vị đĩa đệm cột sống thắt lưng trên phim chụp cộng hưởng từ, bệnh nhân bị thoát vị đĩa đệm tầng L4/L5 và L5/S1</em></span></p><p style="text-align: justify;"><span style="font-size:16px;">Dưới đây là video ghi hình thực tế, người bệnh kể lại quá trình chữa bệnh thoát vị đĩa đệm của mình&nbsp;tại phòng khám đông y Bảo Minh. Chúng tôi đã xin phép, anh đồng ý cho chia sẻ video này, phòng khám xin chân thành cảm ơn (*).</span></p><p style="text-align: justify;"><span style="font-size: 16px;">(</span><span style="font-size: 16px;">*)&nbsp; &nbsp;Lưu ý: Thuốc uống, thuốc đắp chữa thoát vị đĩa đệm /tác dụng nhanh hay chậm tùy theo cơ địa mỗi nguời.&nbsp;</span></p><p style="text-align: justify;"><span style="font-size: 16px;">Chữa thoát vị đĩa đệm gặp lương y Nguyễn Văn Minh, tại địa chỉ: 856/6 Quang Trung, P.8, Quận Gò Vấp, Tp Hồ Chí Minh. </span></p><p style="text-align: justify;"><span style="font-size: 16px;">Video này&nbsp;ghi hình năm 2016&nbsp;tại địa chỉ cũ: 373/5 Thống Nhất, P.11, Gò Vấp.</span></p><div class="youtube-embed-wrapper" style="position:relative;padding-bottom:56.25%;padding-top:30px;height:0;overflow:hidden"><iframe allowfullscreen="" frameborder="0" height="360" src="https://www.youtube.com/embed/hRNThAWSBak?rel=0&amp;autoplay=1&amp;controls=0" style="position:absolute;top:0;left:0;width:100%;height:100%" width="640"></iframe></div>]]></content:encoded>
						<wfw:commentRss></wfw:commentRss>
						<slash:comments>0</slash:comments>
					</item>
				
					<item>
						<title>Thoát vị đĩa đệm nên ăn gì, kiêng ăn gì để mau khỏi bệnh.</title>
						<link>https://chuabenhthoatvidiadem.vn/bai-viet/benh-thoat-vi-dia-dem/thoat-vi-dia-dem-nen-an-gi-kieng-an-gi-de-mau-khoi-benh-pid-200.html</link>
						<comments></comments>
						<pubDate>Wed, 14 Feb 2018 11:22:39 +0700</pubDate>
						<dc:creator>admin</dc:creator>
						<category><![CDATA[Bệnh thoát vị đĩa đệm]]></category>
						<guid isPermaLink="false"></guid>
						<description><![CDATA[Thoát vị đĩa đệm nên ăn gì thì tốt, kiêng ăn gì để mau khỏi bệnh được quan tâm nhiều. Tìm hiểu ăn gì, kiêng ăn gì, không chỉ người bệnh mà người thân của những người bị thoát vị đĩa đệm cũng muốn biết để nấu ăn và chăm sóc người bệnh tốt hơn. Xem lương y, bác sĩ chữa thoát vị đĩa đệm ở TP.HCM chỉ cách ăn gì, kiêng gì như thế nào!]]></description>
						<content:encoded><![CDATA[<h2><span style="font-size:18px;">Thoát vị đĩa đệm nên ăn gì thì tốt, kiêng ăn gì để mau khỏi bệnh được quan tâm nhiều. Tìm hiểu ăn gì?&nbsp;kiêng ăn gì?&nbsp;Không chỉ người bệnh mà người thân của những người bị thoát vị đĩa đệm cũng muốn biết để nấu ăn và chăm sóc người bệnh tốt hơn. Hãy tham khảo&nbsp;lương y,&nbsp;bác sĩ&nbsp;chữa thoát vị đĩa đệm ở TP.HCM&nbsp;chỉ cách ăn gì, kiêng gì.</span></p><h3><span style="font-size:20px;"><a data-ctbtn="0" data-cthref="/url?sa=t&amp;rct=j&amp;q=&amp;esrc=s&amp;source=web&amp;cd=228&amp;ved=2ahUKEwi1ksPi24PhAhXbPXAKHWz-A7o43AEQFjAHegQIARAB&amp;url=http%3A%2F%2Fphongkhambaominh.com%2Fthoat-vi-dia-dem%2Fbenh-hoc-benh-an.htm&amp;usg=AOvVaw1gCG35cQP4ltJz-WcYP8Fc" href="https://www.google.com/url?sa=t&amp;rct=j&amp;q=&amp;esrc=s&amp;source=web&amp;cd=228&amp;ved=2ahUKEwi1ksPi24PhAhXbPXAKHWz-A7o43AEQFjAHegQIARAB&amp;url=http%3A%2F%2Fphongkhambaominh.com%2Fthoat-vi-dia-dem%2Fbenh-hoc-benh-an.htm&amp;usg=AOvVaw1gCG35cQP4ltJz-WcYP8Fc" style="color: rgb(102, 0, 153); cursor: pointer; text-decoration-line: none; font-family: arial, sans-serif; font-size: small;" target="_blank" title="">Bệnh&nbsp;án thoát vị đĩa đệm điển hình, đã chữa khỏi tại phòng khám đông y Bảo Minh</a></span></h3><h2><span style="font-size:20px;">Thoát vị đĩa đệm&nbsp;nên ăn gì</span></h2><p><span style="font-size: 16px;">&bull; Ăn các món&nbsp;ăn&nbsp;chứa nhiều canxi như: thịt cá, cua, ốc, nghêu, sò, hàu, tôm...</span></p><p><span style="font-size: 16px;"><img loading="lazy" alt="Cháo hàu" src="data:image/gif;base64,R0lGODlhAQABAID/AP///wAAACwAAAAAAQABAAACAkQBADs=" data-src="https://chuabenhthoatvidiadem.vn/resources/images/Thoát vị đĩa đệm nên ăn gì.jpg" style="width: 600px; height: 400px;" class="lazy" width="600" height="400" data-optimized="1" /></span></p><p><span style="font-size:14px;"><em>Cháo hàu, món ăn có tác dụng tốt cho cột sống đĩa đệm.</em></span></p><p><span style="font-size: 16px;">&bull; Nên ăn gân, xương&nbsp;của các loại động vật: rùa, ba ba, cua đinh, heo, bò,&nbsp;dê,&nbsp;cừu, hươu nai...</span></p><p><span style="font-size: 16px;">&bull; Những thức&nbsp;ăn được chế biến từ các loại:&nbsp;rắn, lươn, chạch, cá hồi, cá chình, cá tầm...</span></p><p><span style="font-size: 16px;">&bull; Nên ăn nhiều&nbsp;loại rau củ quả&nbsp;bổ sung hàng ngày, lưu ý các loại rau có màu&nbsp;xanh thẫm sẽ tốt hơn.</span></p><p style="text-align: justify;"><span style="font-size: 16px;">&bull; Thoát vị đĩa đệm uống gì: Nên uống sữa và các sản phẩm chế biến từ sữa. Uống&nbsp;nước ép hoặc ăn trái cây, ăn nhiều&nbsp;các loại trái cây họ cam quýt, trái cây có vị chua,&nbsp;không nên uống nước&nbsp;trái cây đóng chai hoặc nước ngọt.</span></p><h2>&bull; <span style="font-size:18px;">Những người có khả năng kinh tế nên ăn bổ sung:</span></h2><p><span style="font-size: 16px;">&nbsp; - Cao xương ngựạ,&nbsp;cao xương&nbsp;trăn, cao sơn dương, cao ban long, cao quy bản, cao xương ba ba. Trước đây có cao hổ cốt, cao xương gấu, cao xương&nbsp;khỉ nhưng hiện nay nhà nước&nbsp;cấm săn bắt động vật hoang dã, có thể thay bằng loại khác.</span></p><p><span style="font-size:16px;">&nbsp;- Những người lớn&nbsp;tuổi,&nbsp;khí huyết suy kém, cơ thể gầy yếu&nbsp;nên ăn thêm&nbsp;nhung hươu, nhung nai, cao ban long.</span></p><h3><span style="font-size:20px;">Thoát vị đĩa đệm kiêng ăn gì</span></h3><p><span style="font-size:16px;">&bull; Nên kiêng những món ăn chế biến từ tạng phủ động vật: lòng&nbsp;mề, dạ dày, tim, cật, gan, óc...</span></p><p><span style="font-size:16px;">&bull; Nên kiêng thức ăn nhiều dầu mỡ, thịt xông khói, thịt muối, lạp xưởng, thịt hộp, cá khô, cá muối</span></p><p style="text-align: justify;"><span style="font-size:16px;">&bull; Khi đang uống thuốc đông y chữa&nbsp;thoát vị đĩa đệm nên kiêng: thịt chó, cà pháo, măng tươi, măng chua, măng khô, đậu xanh, giá đỗ, rau muống. Có một số&nbsp;người&nbsp;khi ăn thịt gà thì mức độ&nbsp;đau nhức tăng lên, tuy nhiên tỷ lệ này&nbsp;rất ít, chỉ khoảng 2-3%.</span></p><p><span style="font-size:16px;">&bull; Uống ít rượu bia, hạn chế uống nước trà đặc, không uống nước tăng lực, nước ngọt các loại.</span></p><p style="text-align: justify;"><em style="font-size: 18px; text-align: justify;">&nbsp;Lưu ý: những người mập (béo phì, thừa cân) bắt buộc phải ăn kiêng để giảm cân, không ăn những thức ăn chiên xào nhiều dầu mỡ, đồ ăn béo, bánh ngọt, nước ngọt, bia, sữa có đường, nhung hươu, nhung nai, trái cây ngọt nhiều...để giảm bớt cân nặng đè lên cột sống đĩa đệm làm bệnh nặng thêm.</em></p><p style="text-align: justify;"><em style="text-align: justify;"><span style="font-size:18px;">Muốn&nbsp;chữa khỏi bệnh&nbsp;thoát vị đĩa đệm, ngoài chế độ ăn uống ra, người bệnh còn phải biết mình bị thoát vị đĩa đệm ở mức độ nào,&nbsp;chữa thoát vị đĩa đệm ở đâu tốt,&nbsp;uống thuốc gì cho đảm bảo, chi phí chữa thoát vị đĩa đệm 1 liệu trình là bao nhiêu? điều trị&nbsp;2 hay 3 liệu trình thì khỏi bệnh.v.v.&nbsp;thật không dễ với nhiều người. Với mong muốn mọi người có thêm thông tin, để so sánh cách chữa thoát vị đĩa đệm nào hiệu quả, hãy đọc thêm bài viết sau:&nbsp;</span></em></p><p style="text-align: justify;"><span style="font-size:16px;">1-&nbsp;<a data-="" href="https://www.google.com.vn/url?sa=t&amp;rct=j&amp;q=&amp;esrc=s&amp;source=web&amp;cd=91&amp;ved=0ahUKEwjD1cKI2afZAhXHErwKHUpKAlw4WhAWCCMwAA&amp;url=http%3A%2F%2Fchuabenhthoatvidiadem.vn%2Fcach-chua-benh%2Fthuoc-chua-thoat-vi-dia-dem-tot-nhat-la-dang-nao-thuoc-thang-thuoc-vien-hay-thuoc-dap-pid-199.html&amp;usg=AOvVaw2lAmToXVD1wE6gI88GeuN_" style="color: rgb(102, 0, 153); cursor: pointer; text-decoration-line: none;" target="_blank" title="">Thuốc chữa thoát vị đĩa đệm tốt nhất là thuốc&nbsp;nào?</a></span></p><p style="text-align: justify;"><span style="font-size:16px;">2-&nbsp;<a data-="" href="https://www.google.com.vn/url?sa=t&amp;rct=j&amp;q=&amp;esrc=s&amp;source=web&amp;cd=30&amp;ved=0ahUKEwi7m__o16fZAhUGS7wKHSWuBLA4FBAWCE0wCQ&amp;url=http%3A%2F%2Fchuabenhthoatvidiadem.vn%2Fcach-chua-benh%2Fthoat-vi-dia-dem-pid-197.html&amp;usg=AOvVaw2ODP7hDRpkJ_qLo3wUFQT0" style="color: rgb(102, 0, 153); cursor: pointer; text-decoration-line: none;" target="_blank" title="">Cách chữa&nbsp;thoát vị đĩa đệm cột sống</a></span></p><p style="text-align: justify;"><span style="font-size:16px;">3-&nbsp;<a href="https://chuabenhthoatvidiadem.vn/cach-chua-benh/thuoc-dap-thoat-vi-dia-dem-tu-dap-thuoc-chua-tri-tai-nha-pid-102.html" style="color: rgb(102, 0, 153); cursor: pointer; text-decoration-line: none;" target="_blank" title="">Thuốc đắp chữa thoát vị đĩa đệm - Tự đắp thuốc&nbsp;điều trị tại nhà</a></span></p><p style="text-align: justify;"><span style="font-size:16px;">Nếu bạn hoặc người thân bị thoát vị đĩa đệm cột sống, đã sử dụng các bài thuốc dân gian, các&nbsp;bài thuốc nam chữa thoát vị đĩa đệm mà chưa khỏi dứt điểm, hãy liên hệ với lương y Nguyễn Văn Minh. Bạn sẽ được khám bệnh, tư vấn, chia sẻ cách sử dụng bài thuốc đặc trị thoát vị đĩa đệm của phòng khám đông y&nbsp;Bảo Minh. Bài thuốc được kế thừa từ những thầy thuốc là danh y nổi tiếng Việt Nam, cộng với kinh nghiệm chữa bệnh thực tế hơn 20 năm, lương y Nguyễn Văn Minh đúc rút được bài thuốc trị bệnh tối ưu nhất, hiệu quả nhất để điều trị bệnh thoát vị đĩa đệm. Có hơn 90% người bệnh&nbsp;không phải vào bệnh viện để phẫu thuật thoát vị đĩa đệm nhờ bài thuốc này.&nbsp;Bài thuốc là cứu cánh cho hàng ngàn người khỏi hẳn thoát vị đĩa đệm, hồi phục cột sống đĩa đệm để họ trở lại lao động, sinh hoạt bình thường. Để có bằng chứng về cách chữa thoát vị đĩa đệm cột sống, phòng khám đã gọi điện hỏi thăm 1 số bệnh nhân đã điều trị khỏi bệnh ở phòng khám từ 1 năm trở lên, được sự đồng ý của quý bệnh nhân đã khỏi bệnh, chúng tôi xin&nbsp;được đăng bệnh án thoát vị đĩa đệm của họ tại trang web của phòng khám. Đây là những bệnh án của người thật, địa chỉ thật, âm thanh thật&nbsp;nên&nbsp;có lúc âm thanh không được chuẩn, mong quý khách chiếu cố.</span></p><p><span style="font-size:16px;">Tin liên quan:</span></p><p>&nbsp;<span style="font-size:16px;">&bull;&nbsp;<a data-="" href="https://www.google.com.vn/url?sa=t&amp;rct=j&amp;q=&amp;esrc=s&amp;source=web&amp;cd=78&amp;ved=0ahUKEwj5vuKXkaXZAhWGGpQKHVFGA6c4RhAWCEwwBw&amp;url=http%3A%2F%2Fchuabenhthoatvidiadem.vn%2Fcach-chua-benh%2Fnghe-truc-tiep-nhung-nguoi-duoc-luong-y-minh-chua-khoi-thoat-vi-dia-dem-cid-4-10.html&amp;usg=AOvVaw1nL3j2PPH-eQQOySBpwh5K" style="color: rgb(102, 0, 153); cursor: pointer; text-decoration-line: none;" target="_blank" title="">Thoát vị đĩa đệm cột sống: nghe kể chuyện chữa khỏi bệnh&nbsp;</a></span></p><p><span style="font-size: 16px;">&bull;&nbsp;</span><a href="https://chuabenhthoatvidiadem.vn/bai-viet/nghe-truc-tiep-nhung-nguoi-duoc-luong-y-minh-chua-khoi-thoat-vi-dia-dem/luong-y-chua-thoat-vi-dia-dem-gioi-co-uy-tin-la-do-nguoi-benh-gioi-thieu-thay-thuoc-pid-117.html" style="font-size: 16px; color: rgb(102, 0, 153); cursor: pointer; text-decoration-line: none;" target="_blank" title="">Chữa thoát vị đĩa đệm giỏi, có uy tín, 5-10 năm sau người bệnh vẫn nhớ</a></p><p><span style="font-size:16px;">&bull;&nbsp;<a href="https://chuabenhthoatvidiadem.vn/cach-chua-benh/thoat-vi-dia-dem-cot-song-that-lung-l4-l5-xem-cach-tri-thoat-vi-dia-dem-dut-diem-pid-124.html" style="color: rgb(102, 0, 153); cursor: pointer; text-decoration-line: none;" target="_blank" title="">Thoát vị đĩa đệm cột sống L4-L5 #5mm</a></span></p><p><span style="font-size:16px;">&bull;&nbsp;<a href="https://chuabenhthoatvidiadem.vn/cach-chua-benh/benh-thoat-vi-dia-dem-nhieu-tang-co-chua-duoc-khong-pid-68.html" style="color: rgb(102, 0, 153); cursor: pointer; text-decoration-line: none;" target="_blank" title="">Thoát vị đĩa đệm cổ, đa tầng có chữa khỏi&nbsp;không?</a></span></p><p><span style="font-size: 16px;">&bull;&nbsp;</span>&nbsp;<span style="font-size:16px;"><a href="https://chuabenhthoatvidiadem.vn/cach-chua-benh/khoi-thoat-vi-dia-dem-cot-song-that-lung-sau-hon-1-thang-dieu-tri-pid-37.html" style="color: rgb(102, 0, 153); cursor: pointer; text-decoration-line: none;" target="_blank" title="">Thoát vị đĩa đệm lưng: điều trị&nbsp;khỏi dứt điểm</a>&nbsp;&nbsp;</span></p><p><span style="font-size: 16px;">&bull;</span><span style="font-size: 20px;">&nbsp;<span style="font-size:16px;"><a data-="" href="https://www.google.com.vn/url?sa=t&amp;rct=j&amp;q=&amp;esrc=s&amp;source=web&amp;cd=31&amp;ved=0ahUKEwjj9YmyjqXZAhVFipQKHZ4PCNY4HhAWCCMwAA&amp;url=http%3A%2F%2Fchuabenhthoatvidiadem.vn%2Fcach-chua-benh%2Fthoat-vi-dia-dem-pid-197.html&amp;usg=AOvVaw2ODP7hDRpkJ_qLo3wUFQT0" style="color: rgb(102, 0, 153); cursor: pointer; text-decoration-line: none;" target="_blank" title="">Thoát vị đĩa đệm cột sống</a></span></span></p><p><em><span style="font-size:16px;"><a href="https://www.youtube.com/channel/UCMrl47bRL4MgAguyRi48mEw" style="color: rgb(102, 0, 153); cursor: pointer; text-decoration-line: none;" target="_blank" title="">Lương y Nguyễn Văn Minh - </a>&nbsp;<a href="http://phongkhambaominh.com/" ping="/url?sa=t&amp;source=web&amp;rct=j&amp;url=http://phongkhambaominh.com/&amp;ved=0ahUKEwiGg_Ws_KbZAhVEjpQKHdHdA9cQFggkMAA" style="color: rgb(102, 0, 153); cursor: pointer; text-decoration-line: none;" title="">Phòng Khám Đông Y Bảo Minh</a>&nbsp;&nbsp;</span></em></p><p><span style="font-size: 16px;"><i>Điện thoại: 028.6295.1367 - DD: 0913.503.552</i></span></p><p><span style="font-size: 16px;"><i>Địa chỉ: 856/6 Đường Quang Trung, Phường 8, Quận Gò Vấp, TP.HCM.</i></span></p><h2 class="hd" style="position: absolute; width: 1px; height: 1px; top: -1000em; overflow: hidden; color: rgb(34, 34, 34); font-family: arial, sans-serif;">Kết quả tìm kiếm</h2>]]></content:encoded>
						<wfw:commentRss></wfw:commentRss>
						<slash:comments>0</slash:comments>
					</item>
				
					<item>
						<title>Trị thoát vị đĩa đệm, hết bệnh hết triệu chứng đau lưng</title>
						<link>https://chuabenhthoatvidiadem.vn/bai-viet/ket-qua-dieu-tri-thoat-vi-dia-dem/tri-thoat-vi-dia-dem-het-benh-het-trieu-chung-dau-lung-pid-238.html</link>
						<comments></comments>
						<pubDate>Sat, 08 Dec 2018 02:06:00 +0700</pubDate>
						<dc:creator>admin</dc:creator>
						<category><![CDATA[Kết quả điều trị thoát vị đĩa đệm]]></category>
						<guid isPermaLink="false"></guid>
						<description><![CDATA[Thoát vị đĩa đệm thắt lưng có triệu chứng phổ biến là đau thắt lưng. Có người còn bị đau xuống mông, đau dọc xuống một hoặc hai bên chân, nhiều khi kèm theo tê chân, mỏi chân và yếu chân. Một triệu chứng nữa là những cơn ho, hắt hơi hoặc thậm chí đi đại tiện rặn mạnh cũng làm người bệnh đau tăng lên. Lương y Nguyễn Văn Minh đã chữa cho hàng ngàn người khỏi bệnh, họ lại giới thiệu người thân tới chữa cũng hết bệnh, hết đau. Xem kinh nghiệm chữa thoát vị đĩa đệm ở đây.]]></description>
						<content:encoded><![CDATA[<h2 style="text-align: justify;"><em><span style="font-size:18px;">Thoát vị đĩa đệm cột sống thắt&nbsp;lưng có triệu chứng rõ nhất&nbsp;là đau lưng, có khi đau lan xuống mông. Ngoài những triệu chứng đau lưng, đau mông, người bệnh&nbsp;có thể thấy&nbsp;đau dọc xuống một hoặc hai bên đùi, xuống bắp chân cẳng chân, nhiều khi kèm theo tê chân, mỏi chân và yếu chân. Một triệu chứng nữa là những cơn ho, hắt hơi hoặc thậm chí đi đại tiện rặn mạnh cũng làm người bệnh thấy đau tăng lên. Chữa&nbsp;khỏi bệnh thoát vị đĩa đệm thì những triệu chứng đau kể trên sẽ không còn.</span></em></p><p><em><span style="font-size:18px;"><img loading="lazy" alt="Thoát vị đĩa đệm" src="data:image/gif;base64,R0lGODlhAQABAID/AP///wAAACwAAAAAAQABAAACAkQBADs=" data-src="https://chuabenhthoatvidiadem.vn/resources/images/20181208_102308.jpg" style="width: 1206px; height: 1200px;" class="lazy" width="640" height="636" data-optimized="1" /></span></em></p><h2 style="text-align: justify;"><em style="font-size: 14px;">&nbsp; &nbsp;Hình ảnh đau&nbsp;lưng do thoát vị đĩa đệm</em></h2><h2 style="text-align: justify;"><span style="font-size:16px;">Băn khoăn lớn nhất của người bệnh chính là làm sao&nbsp;gặp được thầy&nbsp;giỏi thuốc tốt, cách chữa bệnh của ông thầy có hiệu quả, chữa bệnh ngay tại nhà và không nằm viện là tốt nhất, thời gian trị bệnh ngắn, khi khỏi bệnh không bị đau trở lại, chi phí chữa bệnh hợp lý.v.v. Nhiều người&nbsp;cũng không làm sao để biết chữa bệnh ở đâu tốt, tin tưởng được.v.v. Bạn đọc có thể nghe ý kiến của một bệnh nhân cũ đã chữa khỏi bệnh, cô đồng ý&nbsp;chia sẻ thông tin bệnh án của mình, hy vọng&nbsp;giúp được&nbsp;những ai đang bị đau vì bệnh đĩa đệm cột sống tham khảo. Bấm vào liên kết dưới đây</span></h2><p>&nbsp;<a href="https://chuabenhthoatvidiadem.vn/resources/files/Ghi âm cuộc gọi Chị Hoa 67 Tv Khỏi_181204_094556.mp3" title="">chua benh thoatvidiadem&nbsp;</a></p><p style="text-align: justify;"><span style="font-size:16px;">Bạn đang nghe giọng&nbsp;nói của cô&nbsp;Hoa&nbsp;52&nbsp;tuổi, nói chuyện với lương y Nguyễn Văn Minh. Cách nay gần một năm, cô&nbsp;Hoa có tới phòng khám đông y Bảo Minh chữa bệnh thoát vị đĩa đệm. Sau khi khỏi bệnh, những triệu chứng đau nhức không còn, ngưng thuốc mấy tháng cũng không bị đau lại. Cô&nbsp;Hoa đã giới thiệu rất nhiều bạn bè, người thân của mình tới gặp lương y Nguyễn Văn Minh để chữa thoát vị đĩa đệm.&nbsp;Hôm nay, lương y&nbsp;Nguyễn Văn Minh gọi điện hỏi thăm, cô&nbsp;Hoa rất mừng,&nbsp;kể: &quot;em hết bệnh rồi, em giới thiệu bạn em tới chữa cũng hết đau rồi thầy&quot;. Ngẫm thấy! Làm nghề&nbsp;thầy&nbsp;thuốc cứu người, không gì hạnh phúc hơn khi được bệnh nhân tin tưởng vào chuyên môn chữa bệnh của mình để giới thiệu người thân tới chữa bệnh.</span></p><p style="text-align: justify;"><span style="font-size:16px;">Cuối buổi nói chuyện, cô Hoa chia sẻ địa chỉ của mình&nbsp;ở tỉnh Đắk Lắk&nbsp;như sau:&nbsp;</span></p><p style="text-align: justify;"><span style="font-size: 16px;">Số nhà 211 đường Nguyễn Chí Thanh, tổ dân phố 5, phường Đạt Hiếu, Thị Xã Buôn Hồ, Đắk Lắk.</span></p><p style="text-align: justify;"><span style="font-size:16px;">Nếu bạn đọc ở Đắk Lắk&nbsp;có thể tìm&nbsp;gặp cô&nbsp;Hoa tìm hiểu thêm (*). <span style="font-size:18px;"><a href="http://phongkhambaominh.com/" style="color: rgb(102, 0, 153); cursor: pointer; text-decoration-line: none; font-family: arial, sans-serif; font-size: small;" target="_blank" title="">Phòng Khám Đông Y Bảo Minh</a></span></span>&nbsp;<span style="font-size: 16px;">xin cảm ơn cô Phạm Thị Hoa đã đồng ý cho sử dụng thông tin thật của mình ở đây.</span></p><p style="text-align: justify;"><span style="font-size:16px;">(*)&nbsp;Lưu ý: Thuốc chữa thoát vị đĩa đệm tốt nhất/tác dụng nhanh hay chậm tùy theo cơ địa mỗi nguời</span></p><h3 style="text-align: justify;"><span style="font-size:18px;">Chữa thoát vị đĩa đệm gặp lương y Nguyễn Văn Minh tại địa chỉ:&nbsp;</span></h3><h3 style="text-align: justify;"><span style="font-size:18px;">856/6 đường Quang Trung, P 8, quận Gò Vấp, TP.HCM</span></h3><p><span style="font-size: 18px;">Điện thoại, Zalo Lương y Nguyễn Văn Minh: 0913503552 - 028.6295.1367</span></p>]]></content:encoded>
						<wfw:commentRss></wfw:commentRss>
						<slash:comments>0</slash:comments>
					</item>
				
					<item>
						<title>Mổ thoát vị đĩa đệm - Bệnh nặng tới đâu mới phải mổ?</title>
						<link>https://chuabenhthoatvidiadem.vn/bai-viet/benh-thoat-vi-dia-dem/mo-thoat-vi-dia-dem-benh-nang-toi-dau-moi-phai-mo-pid-157.html</link>
						<comments></comments>
						<pubDate>Mon, 25 Dec 2017 09:49:35 +0700</pubDate>
						<dc:creator>admin</dc:creator>
						<category><![CDATA[Bệnh thoát vị đĩa đệm]]></category>
						<guid isPermaLink="false"></guid>
						<description><![CDATA[Đau nhức do thoát vị đĩa đệm: Bệnh nặng tới đâu mới phải mổ, nếu mổ thì mổ ở đâu tốt nhất, mổ thoát vị đĩa đệm hết bao nhiêu tiền, mổ thoát vị đĩa đệm có nguy hiểm không, sau mổ có hết đau không?...Là những câu hỏi cần câu trả lời từ những thầy thuốc chữa bệnh giỏi, có uy tín.]]></description>
						<content:encoded><![CDATA[<p style="text-align: justify;"><span style="font-size:16px;">Đau nhức do thoát vị đĩa đệm: Bệnh nặng tới đâu&nbsp;mới phải mổ, nếu mổ thì mổ ở đâu tốt nhất, mổ thoát vị đĩa đệm hết bao nhiêu tiền, mổ thoát vị đĩa đệm có nguy hiểm không, sau mổ&nbsp;có&nbsp;hết đau không?...Là những câu hỏi cần câu trả lời, tư vấn từ những thầy thuốc chữa bệnh có uy tín.</span></p><p><span style="font-size:16px;"><img loading="lazy" alt="Mổ thoát vị đĩa đệm" src="data:image/gif;base64,R0lGODlhAQABAID/AP///wAAACwAAAAAAQABAAACAkQBADs=" data-src="https://chuabenhthoatvidiadem.vn/resources/images/20181203_085516.jpg" style="width: 900px; height: 1200px;" class="lazy" width="900" height="1200" data-optimized="1" /></span></p><p><span style="font-size:14px;"><em>Mổ thoát vị đĩa đệm, khoan bắt đinh vít cột sống cố định các đốt sống. Hình ảnh mổ thoát vị đĩa đệm L4-L5 và L5-S1</em></span></p><p><span style="font-size:14px;"><em><img loading="lazy" alt="Hình ảnh mổ thoát vị đĩa đệm" src="data:image/gif;base64,R0lGODlhAQABAID/AP///wAAACwAAAAAAQABAAACAkQBADs=" data-src="https://chuabenhthoatvidiadem.vn/resources/images/20181203_085528.jpg" style="width: 900px; height: 1200px;" class="lazy" width="900" height="1200" data-optimized="1" />Hình ảnh bắt vít cột sống thắt lưng sau khi mổ thoát vị đĩa đệm.</em></span></p><h2 style="text-align: justify;"><span style="font-size:16px;">Có một số trường hợp&nbsp;mổ thoát vị đĩa đệm gặp rủi ro,&nbsp;khiến nhiều bệnh nhân có ý định mổ thoát vị đĩa đệm rất hoang mang. Đây là bệnh thường gặp và rất được quan tâm bởi không chỉ tốn kém chi phí lớn để&nbsp;mổ, mà còn ảnh hưởng rất nhiều&nbsp;đến cuộc sống lao động sau này, ảnh&nbsp;hưởng cả&nbsp;&nbsp;tới&nbsp;kinh tế gia đình và xã hội. Tuy nhiên, do bệnh nhân thiếu thông tin, hoặc&nbsp;do một số bác sĩ nhận diện không đúng bệnh lý, lạm dụng thái quá các kỹ thuật chẩn đoán, ranh giới giữa chỉ định mổ hay không mổ phụ thuộc kinh nghiệm chủ quan của bác sĩ.&hellip; nên&nbsp;có nhiều trường hợp tốn kém tiền bạc để mổ thoát vị đĩa đệm cột sống cổ, cột sống thắt lưng&nbsp;nhưng vẫn không hết đau. Lại có&nbsp;trường hợp&nbsp;sau khi mổ thoát vị đĩa đệm hết đau lưng và tê chân nhưng sức khỏe yếu đi rất rõ, mất khả năng lao động.</span></h2><p style="text-align: justify;"><span style="font-size:16px;">Phải khẳng định rằng có tới 90% trường hợp bị thoát vị đĩa đệm không cần mổ, hoàn toàn chữa khỏi bằng thuốc. Trong đó sử dụng thuốc uống kết hợp&nbsp;thuốc đắp chữa thoát vị đĩa đệm luôn có ưu điểm nhờ công dụng chữa bệnh tốt, không có tác dụng phụ, khi hết&nbsp;bệnh&nbsp;thì lao động sinh hoạt bình thường, bệnh ít khi bị tái phát.&nbsp;Tuy nhiên, có khoảng 10% bệnh nhân bị&nbsp;thoát vị đĩa đệm nặng, mức độ đĩa đệm thoát vị lớn chèn ép nặng vào ống sống,&nbsp;rễ thần kinh gây nên các hiện tượng tiểu tiện không tự chủ, teo cơ nhanh chóng hoặc có những cơn đau kịch liệt, tê buốt dữ dội&nbsp;lúc đó buộc phải chọn phương pháp phẫu thuật đĩa đệm để loại bỏ những cơn đau.</span></p><p style="text-align: justify;"><span style="font-size: 16px;">Những bệnh viện mổ thoát vị đĩa đệm tốt nhất ở Hà Nội phải kể đến: Bệnh viện&nbsp;Việt Đức, bệnh viện Bạch Mai, Bệnh viện Quân&nbsp;Đội&nbsp;103, </span><span style="font-size: 16px; text-align: justify;">Bệnh viện Quân</span><span style="font-size: 16px; text-align: justify;">&nbsp;Đ</span><span style="font-size: 16px; text-align: justify;">ội&nbsp;</span><span style="font-size: 16px;">108. Ở TP Hồ Chí Minh có các bệnh viện mổ thoát vị đĩa đệm có tiếng như: Bệnh viện Chợ Rẫy, BV Chấn Thương Chỉnh Hình TP HCM, bệnh viện Đại Học Y&nbsp;Dược TP.HCM</span></p><h3><span style="font-size:20px;">Mổ thoát vị đĩa đệm hết bao nhiêu tiền?</span></h3><p><span style="font-size:16px;">Chí phí phẫu thuật thoát vị đĩa đệm hết bao nhiêu tiền tùy thuộc vào tình trạng thoát vị đĩa đệm của người bệnh là một tầng hay hai tầng, mức độ bệnh như thế nào và phương pháp phẫu thuật mà người bệnh áp dụng là gì. Đối với những trường hợp mổ thoát vị đĩa đệm thông thường chỉ cần mổ lấy nhân thoát vị thì chi phí dao động từ 20&nbsp;đến 30&nbsp;triệu đồng.&nbsp;Mổ nội soi có chi phí cao hơn, dao động từ 40&nbsp;đến 60&nbsp;triệu đồng</span></p><p><span style="font-size:16px;">Nếu người bệnh bị thoát vị đĩa đệm đa tầng hay thoát vị kèm theo hẹp ống sống thì ngoài việc lấy nhân thoát vị, các bác sĩ phẫu thuật phải thực hiện thêm nhiều thao&nbsp;tác chuyên môn như mở cung sau giải ép ống sống hay đặt nẹp vít cố định cột sống. Và chỉ riêng chi phí cho nẹp vít cũng lên đến 30-40 triệu đồng và các chi phí khác kèm theo khoảng 15- 20 triệu đồng. Tổng cộng chi phí cho một ca phẫu thuật loại này cả tiền nằm viện và thuốc men ăn uống dao động từ 70- 120 triệu, nếu phải mổ lại lần 2 hoặc&nbsp;lần 3 thì chi phí sẽ tăng lên nhiều hơn nữa. Đây quả là một khoản chi phí không hề nhỏ so với đại đa số&nbsp;người dân Việt Nam.</span></p><p><span style="font-size:16px;">Chi phí phẫu thuật thoát vị đĩa đệm trên đây chỉ là con số tham khảo, tùy theo từng bệnh viện hay theo thời &nbsp;giá mà chi phí có sự chênh lệch khác nhau. Người bệnh&nbsp;sẽ&nbsp;được tư vấn cụ thể về chi phí phẫu thuật bởi&nbsp;bác sĩ chuyên&nbsp;khoa tại BV nơi mình đăng ký mổ thoát vị đĩa đệm.</span></p><h4 style="text-align: justify;"><span style="font-size:20px;">Mổ thoát vị đĩa đệm có nguy hiểm không? có hết đau không?</span></h4><p style="text-align: justify;"><span style="font-size:16px;">Sau khi phẫu thuật thoát vị đĩa đệm, có 5% đến 15% bệnh nhân bị tái phát cơn đau sau 6 tháng hoặc lâu hơn, lại&nbsp;phải mổ lại lần hai. Mức độ tái phát phụ thuộc vào kết quả mổ thoát vị đĩa đệm&nbsp;của lần đầu cũng như chế độ sinh hoạt, tập luyện phục hồi sau mổ thường ngày của mỗi người. Tuy nhiên, với bất kỳ cuộc phẫu thuật nào&nbsp;ở cột sống, dù là lần đầu hay&nbsp;lần hai thì&nbsp;luôn tiềm ẩn các biến chứng nguy hiểm như: rách màng cứng gây rò rỉ dịch não tủy, tổn thương rễ thần kinh, rối loạn kiểm soát ruột, bàng quang, xuất huyết, nhiễm trùng...Nên người bệnh cần cân nhắc kỹ lưỡng và tham khảo ý kiến các bác sĩ chuyên khoa trước khi quyết định có mổ thoát vị đĩa đệm hay không.</span></p><h5 style="text-align: justify;"><span style="font-size:20px;">Cách chữa thoát vị đĩa đệm bằng thuốc uống và thuốc đắp cột sống đĩa đệm</span></h5><p style="text-align: justify;">&nbsp;<span style="font-size:16px;"> Hơn 20 năn làm nghề thuốc, tôi tích lũy được rất nhiều kinh nghiệm để chữa bệnh&nbsp;thoát vị đĩa đệm, tôi đã chữa khỏi cho hàng ngàn bệnh nhân bằng&nbsp;thuốc đặc trị trong uống ngoài đắp chữa thoát vị đĩa đệm. Do chữa trị vào tận gốc bệnh thoát vị đĩa đệm nên nhiều người khỏi bệnh mấy năm trời không tái phát. Trong số những bệnh nhân đã được tôi chữa khỏi hẳn thoát vị đĩa đệm, có nhiều người từng có chỉ định phẫu thuật đĩa đệm của bác sĩ nhưng lại quyết định không mổ mà tìm tới nhờ tôi chữa. Vài người&nbsp;trong số đó đồng ý cho tôi ghi hình, ghi âm buổi nói chuyện để làm tài liệu cho trang web này, họ tâm sự thật với tôi &quot;Thầy đã chữa khỏi bệnh cho tôi, nhờ thầy mà tôi không&nbsp;phải mổ,&nbsp;tôi chỉ kể lại thực tế, có sao nói vậy&quot;. Tôi xin cảm ơn &nbsp;sự chia sẻ của họ.<br />Bài thuốc tôi dùng chữa thoát vị đĩa đệm đặc biệt hay ở chỗ chữa khỏi bệnh và giúp phục hồi sự cứng cáp dẻo dai của đĩa đệm cột sống mà lại không hề xảy ra tác dụng phụ.</span></p><p style="text-align: justify;"><span style="font-size:16px;">Để nghe ý kiến của những người đã khỏi thoát vị đĩa đệm đồng ý chia sẻ, hãy click liên kết dưới:</span></p><p class="r" style="font-size: 18px; margin: 0px; padding: 0px; overflow: hidden; text-overflow: ellipsis; white-space: nowrap; color: rgb(34, 34, 34); font-family: arial, sans-serif;"><span style="font-size:16px;"><a href="https://chuabenhthoatvidiadem.vn/dieu-tri/nghe-truc-tiep-nhung-nguoi-duoc-luong-y-minh-chua-khoi-thoat-vi-dia-dem-cid-4-0.html" style="color: rgb(102, 0, 153); cursor: pointer; text-decoration-line: none;" target="_blank" title="">&gt;&gt; Ý kiến đại diện quý bệnh nhân đã khỏi thoát vị đĩa đệm</a></span></p><p class="r" style="font-size: 18px; margin: 0px; padding: 0px; overflow: hidden; text-overflow: ellipsis; white-space: nowrap; color: rgb(34, 34, 34); font-family: arial, sans-serif;"><em><span style="font-size:16px;">&nbsp; &nbsp; &nbsp; &nbsp; &nbsp; &nbsp; &nbsp; &nbsp; &nbsp; &nbsp; &nbsp; &nbsp; &nbsp; &nbsp; &nbsp; &nbsp; &nbsp; &nbsp; &nbsp; &nbsp; &nbsp; &nbsp; &nbsp; &nbsp; &nbsp; &nbsp; &nbsp; &nbsp; &nbsp; &nbsp; &nbsp; &nbsp; &nbsp; &nbsp; &nbsp; &nbsp; &nbsp; &nbsp; &nbsp; &nbsp; &nbsp; &nbsp; &nbsp; &nbsp; &nbsp; &nbsp; &nbsp; &nbsp; &nbsp; &nbsp; &nbsp;TP.HCM ngày 10/12/2017&nbsp; </span></em></p><p class="r" style="font-size: 18px; margin: 0px; padding: 0px; overflow: hidden; text-overflow: ellipsis; white-space: nowrap; color: rgb(34, 34, 34); font-family: arial, sans-serif;">&nbsp; &nbsp; &nbsp; &nbsp; &nbsp; &nbsp; &nbsp; &nbsp; &nbsp; &nbsp; &nbsp; &nbsp; &nbsp; &nbsp; &nbsp; &nbsp; &nbsp; &nbsp; &nbsp; &nbsp; &nbsp; &nbsp; &nbsp; &nbsp; &nbsp; &nbsp; &nbsp; &nbsp; &nbsp; &nbsp; &nbsp; &nbsp; &nbsp; &nbsp; &nbsp; &nbsp; &nbsp; &nbsp; &nbsp; &nbsp; &nbsp; &nbsp; &nbsp; &nbsp; &nbsp;<a href="https://www.youtube.com/channel/UCMrl47bRL4MgAguyRi48mEw" style="font-size: 16px; color: rgb(102, 0, 153); cursor: pointer; text-decoration-line: none;" target="_blank" title="">&nbsp;Lương y Nguyễn Văn Minh&nbsp;</a></p><p class="r" style="font-size: 18px; margin: 0px; padding: 0px; overflow: hidden; text-overflow: ellipsis; white-space: nowrap; color: rgb(34, 34, 34); font-family: arial, sans-serif;">&nbsp;</p><p class="r" style="font-size: 18px; margin: 0px; padding: 0px; overflow: hidden; text-overflow: ellipsis; white-space: nowrap; color: rgb(34, 34, 34); font-family: arial, sans-serif;"><span style="font-size:18px;">Phòng khám chữa&nbsp;thoát vị đĩa đệm:&nbsp;856/6 Quang Trung, Phường 8, Quận Gò Vấp, TP.HCM</span></p><p class="r" style="font-size: 18px; margin: 0px; padding: 0px; overflow: hidden; text-overflow: ellipsis; white-space: nowrap; color: rgb(34, 34, 34); font-family: arial, sans-serif;">&nbsp;</p><p style="font-size: small; color: rgb(128, 128, 128); font-family: arial, sans-serif; white-space: nowrap;"><span style="background-color: transparent; color: rgb(0, 0, 0); font-family: RobotoSlab-Regular, Arial, Helvetica, sans-serif; font-size: 16px; text-align: justify;">Lương y Nguyễn Văn Minh chữa thoát vị đĩa đệm, nhiều người đã khỏi bệnh, chi tiết&nbsp;</span><span style="background-color: transparent; color: rgb(0, 0, 0); font-family: RobotoSlab-Regular, Arial, Helvetica, sans-serif; font-size: 16px; text-align: justify;">tại trang web:</span></p><h3 class="r" style="line-height: 1.1; white-space: nowrap; background-image: initial; background-position: initial; background-size: initial; background-repeat: initial; background-attachment: initial; background-origin: initial; background-clip: initial; box-sizing: border-box; margin: 0px; padding: 0px; border: 0px; outline: 0px; font-size: 18px; vertical-align: baseline; font-family: RobotoSlab-Regular, Arial, Helvetica, sans-serif; color: rgb(0, 0, 0); max-width: 100%; overflow: hidden; text-overflow: ellipsis;"><a href="https://chuabenhthoatvidiadem.vn/" style="color: rgb(102, 0, 153); box-sizing: border-box; margin: 0px; padding: 0px; border: 0px; outline: 0px; vertical-align: baseline; background: transparent; text-decoration-line: none; transition: all 406ms ease-out 0s; max-width: 100%; cursor: pointer;" target="_blank" title="">Cách Chữa Bệnh Thoát Vị Đĩa Đệm</a></h3><div class="s" style="white-space: nowrap; background-image: initial; background-position: initial; background-size: initial; background-repeat: initial; background-attachment: initial; background-origin: initial; background-clip: initial; box-sizing: border-box; margin: 0px; padding: 0px; border: 0px; outline: 0px; font-size: 16px; vertical-align: baseline; position: relative; max-width: 48em; font-family: RobotoSlab-Regular, Arial, Helvetica, sans-serif; color: rgb(84, 84, 84); line-height: 18px;"><div class="f kv _SWb" style="box-sizing: border-box; margin: 0px; padding: 0px; border: 0px; outline: 0px; font-size: small; vertical-align: baseline; background: transparent; position: relative; max-width: 100%; color: rgb(128, 128, 128); height: 18px; line-height: 16px; font-family: arial, sans-serif;"><cite class="_Rm" style="box-sizing: border-box; margin: 0px; padding: 0px; border: 0px; outline: 0px; font-size: 14px; vertical-align: baseline; background: transparent; max-width: 100%; color: rgb(0, 102, 33); font-style: normal;">chuabenhthoatvidiadem.vn/</cite></div></div>]]></content:encoded>
						<wfw:commentRss></wfw:commentRss>
						<slash:comments>0</slash:comments>
					</item>
				
					<item>
						<title>Thuốc chữa thoát vị đĩa đệm - Tôi uống 20 thang hết đau rồi thầy!</title>
						<link>https://chuabenhthoatvidiadem.vn/bai-viet/nghe-truc-tiep-nhung-nguoi-duoc-luong-y-minh-chua-khoi-thoat-vi-dia-dem/thuoc-chua-thoat-vi-dia-dem-toi-uong-20-thang-het-dau-roi-thay-pid-127.html</link>
						<comments></comments>
						<pubDate>Wed, 06 Dec 2017 09:43:31 +0700</pubDate>
						<dc:creator>admin</dc:creator>
						<category><![CDATA[Nghe trực tiếp những người được lương y Minh chữa khỏi thoát vị đĩa đệm ]]></category>
						<guid isPermaLink="false"></guid>
						<description><![CDATA[Lương y Minh chữa thoát vị đĩa đệm cho chị Linh ở Trà Vinh, sau khi uống 20 thang thuốc kết hợp thuốc đắp thoát vị đĩa đệm, chị Linh đã hết đau cột sống thắt lưng, khỏi luôn đau chân. Hôm nay lương y Minh gọi điện hỏi thăm, chị Linh kể: &quot; em hết đau rồi thầy&quot;]]></description>
						<content:encoded><![CDATA[<h2 style="text-align: justify;"><span style="font-size:16px;">Thuốc chữa&nbsp;<a href="https://chuabenhthoatvidiadem.vn/" rel="noopener" style="color: rgb(102, 0, 153); text-decoration-line: none; -webkit-tap-highlight-color: rgba(0, 0, 0, 0.1); font-family: arial, sans-serif; font-size: small;" target="_blank" title="">thoát vị đĩa đệm</a></span><font size="2">&nbsp;</font><span style="font-size:16px;">hay ở cách bào chế. Lương y Minh chữa thoát vị đĩa đệm cho&nbsp;chị Linh ở Trà Vinh, sau khi uống 20 thang thuốc đặc trị, kết hợp <a title="" href="https://chuabenhthoatvidiadem.vn/cach-chua-benh/thuoc-dap-thoat-vi-dia-dem-tu-dap-thuoc-chua-tri-tai-nha-pid-102.html" rel="noopener" style="color: rgb(102, 0, 153); -webkit-tap-highlight-color: rgba(0, 0, 0, 0.1); font-family: arial, sans-serif; font-size: small;" target="_blank">thuốc đắp</a>&nbsp;chữa thoát vị đĩa đệm của phòng khám.&nbsp;Chị Linh đã hết đau cột sống thắt lưng, khỏi luôn đau chân. Hôm nay lương y Minh gọi điện hỏi thăm, chị Linh kể: &quot; em hết đau rồi thầy&quot;</span></h2><p><span style="font-size:16px;"><img loading="lazy" alt="Lương y Nguyễn Văn Minh chữa thoát vị đĩa đệm" src="data:image/gif;base64,R0lGODlhAQABAID/AP///wAAACwAAAAAAQABAAACAkQBADs=" data-src="https://chuabenhthoatvidiadem.vn/resources/images/Lương y Nguyễn Văn Minh.jpg" style="width: 576px; height: 432px;" class="lazy" width="576" height="432" data-optimized="1" /></span></p><p style="text-align: justify;"><span style="font-size:14px;"><em>Thuốc&nbsp;thoát vị đĩa đệm của Lương y Nguyễn Văn Minh, đây là bài thuốc đặc trị thoát vị đĩa đệm cột&nbsp;sống. Đã trị khỏi cho rất nhiều người bị thoát vị đĩa đệm, tránh cho họ&nbsp;không phải mổ cột sống đĩa đệm.</em></span></p><p><span style="font-size: 16px;">Chị Linh chụp MRI ở bệnh viện Chợ Rẫy, bác sĩ kết luận&nbsp;như sau:</span></p><p><span style="font-size:16px;">- Thoái hóa cột sống thắt lưng, gai thân sống.</span></p><p><span style="font-size:16px;">- Thoái hóa mất nước đĩa đệm thắt lưng.</span></p><p><span style="font-size:16px;">- Thoát vị đĩa đệm tầng L4-L5 ra sau #5mm trung tâm lệch trái, chèn ép nhẹ rễ thần kinh L5 bên&nbsp;trái, hẹp ống sống.</span></p><p><span style="font-size:16px;">- Thoát vị đĩa đệm tầng L5-S1 ra sau #4mm cạnh phải trung tâm, ép mặt trước bao màng cứng, không chèn ép rễ thần kinh.</span></p><h3 style="text-align: justify;"><span style="font-size:16px;">Chị Linh được bác sĩ tư vấn: nếu uống thuốc điều trị thoát vị đĩa đệm ở bệnh viện mà không khỏi thì phải mổ, do lo sợ mổ&nbsp;thoát vị đĩa đệm cũng không chắc chắn,&nbsp;nên khi có người quen giới thiệu là chị Linh tới ngay khám bệnh và hốt thuốc ở&nbsp;phòng khám lương y Minh. </span></h3><h3 style="text-align: justify;"><span style="font-size:16px;">Được sự đồng ý của chị Linh, phòng khám chữa thoát vị đĩa đệm của chúng tôi đăng lên đây cuộc nói chuyện, địa chỉ và&nbsp;số điện thoại của chị Linh để mọi người tham khảo cách chữa thoát vị đĩa đệm của phòng khám chúng tôi .</span></h3><p><a href="https://chuabenhthoatvidiadem.vn/resources/files/Tho_i_042.mp3" title="">Bấm vào mũi tên để nghe ý kiến của chị Linh .mp3</a></p><p><img loading="lazy" alt="Thuốc chữa thoát vị đĩa đệm" src="data:image/gif;base64,R0lGODlhAQABAID/AP///wAAACwAAAAAAQABAAACAkQBADs=" data-src="https://chuabenhthoatvidiadem.vn/resources/images/20171025_070205 (2).jpg" style="width: 1168px; height: 1200px;" class="lazy" width="1168" height="1200" data-optimized="1" /></p><p>Đ<span style="font-size:16px;">ịa chỉ ở Trà Vinh của chị Linh: Ấp Cả Chương, xã Phong Thạnh, huyện Cầu Kè, tỉnh Trà Vinh (*)</span></p><p><span style="font-size:16px;">Điện thoại: 0166.445.7020.</span></p><p><span style="font-size:16px;">Phòng khám xin chân thành cảm ơn chị Linh đã tin tưởng và chia sẻ thông tin, triệu chứng bệnh&nbsp;thoát vị đĩa đệm của mình.</span></p><p><span style="font-size:16px;">(*) &nbsp; &quot;Lưu ý: &nbsp;thuốc chữa thoát vị đĩa đệm cột sống thắt lưng /tác dụng nhanh hay chậm&nbsp;có thể&nbsp; thay đổi theo cơ địa&nbsp;mỗi nguời&quot;</span></p><h4 class="r" style="font-size: 18px; margin: 0px; padding: 0px; overflow: hidden; text-overflow: ellipsis; white-space: nowrap; color: rgb(34, 34, 34); font-family: arial, sans-serif;"><span style="font-size:16px;"><a href="http://phongkhambaominh.com/" style="color: rgb(102, 0, 153); cursor: pointer; text-decoration-line: none;" target="_blank" title="">Lương y Nguyễn Văn Minh</a>&nbsp;- Kinh nghiệm trên 20 năm điều trị thoát vị đĩa đệm bằng thuốc đông y.</span></h4><p style="text-align: justify;"><span style="font-size:16px;">Bạn hãy gửi kết quả chụp MRI của bác sĩ qua Zalo: 0913503552, tôi tư vấn miễn phí cách chữa thoát vị đĩa đệm bằng đông y giúp bạn.</span></p><p><span style="font-size:16px;">Địa chỉ khám chữa bệnh thoát vị đĩa đệm:&nbsp;856/6 Quang Trung, Phường 8, Quận Gò Vấp, TPHCM.</span></p><p><span style="font-size:16px;">Trang web của phòng khám https://chuabenhthoatvidiadem.vn/</span></p>]]></content:encoded>
						<wfw:commentRss></wfw:commentRss>
						<slash:comments>0</slash:comments>
					</item>
				
					<item>
						<title>Thoát vị đĩa đệm thắt lưng L4-L5, L5-S1</title>
						<link>https://chuabenhthoatvidiadem.vn/bai-viet/ket-qua-dieu-tri-thoat-vi-dia-dem/thoat-vi-dia-dem-that-lung-l4-l5-l5-s1-pid-223.html</link>
						<comments></comments>
						<pubDate>Mon, 20 Aug 2018 07:58:38 +0700</pubDate>
						<dc:creator>admin</dc:creator>
						<category><![CDATA[Kết quả điều trị thoát vị đĩa đệm]]></category>
						<guid isPermaLink="false"></guid>
						<description><![CDATA[Thoát vị đĩa đệm tầng L4/L5, kiểu trung tâm và trong khe liên hợp hai bên, gây hẹp ống sống, hẹp ngách bên và lỗ liên hợp hai bên, chèn ép rễ thần kinh L4,L5 hai bên. Thoát vị đĩa đệm tầng L5/S1, kiểu cạch trung tâm và trong khe liên hợp, gây hẹp ống sống, hẹp ngách bên và lỗ liên hợp, chèn ép rễ thần kinh L5,S1. Thoái hóa đốt sống-đĩa đệm nhiều tầng cột sống thắt lưng. Xem cách chữa tại đây.]]></description>
						<content:encoded><![CDATA[<h2 style="text-align: justify;"><span style="font-size: 18px;"><i>Không ở đâu khám chữa bệnh thoát vị đĩa đệm&nbsp;tốt hơn ở TP.HCM. Nơi đây có rất nhiều bệnh viện chuyên khoa cột sống đĩa đệm&nbsp;hàng đầu của Việt Nam, cộng thêm hàng trăm&nbsp;phòng khám chữa thoát vị đĩa đệm uy tín. Đội ngũ&nbsp;bác sĩ chữa thoát vị đĩa đệm giỏi ở TP.HCM cũng nhiều nhất cả nước, nên trả lời cho câu hỏi: Chữa thoát vị đĩa đệm ở đâu tốt? thật không dễ với nhiều người bệnh.</i></span></h2><p>&nbsp;</p><p><img loading="lazy" alt="Thoát vị đĩa đệm L4 L5, L5 S1" src="data:image/gif;base64,R0lGODlhAQABAID/AP///wAAACwAAAAAAQABAAACAkQBADs=" data-src="https://chuabenhthoatvidiadem.vn/resources/images/20180818_103716.jpg" style="width: 595px; height: 1200px;" class="lazy" width="595" height="1200" data-optimized="1" /></p><p><span style="font-size:16px;"><em>Hình ảnh thoát vị đĩa đệm tầng L4/L5, L5/S1</em></span></p><p>&nbsp;</p><p><img loading="lazy" alt="Thoát vị đĩa đệm L4 L5, L5 S1" src="data:image/gif;base64,R0lGODlhAQABAID/AP///wAAACwAAAAAAQABAAACAkQBADs=" data-src="https://chuabenhthoatvidiadem.vn/resources/images/20180818_103111.jpg" style="width: 833px; height: 750px;" class="lazy" width="1333" height="1200" data-optimized="1" /></p><h2 style="text-align: justify;"><span style="font-size:16px;">Bệnh án thoát vị đĩa đệm của 1 bệnh nhân nam 42&nbsp;tuổi ở Bình Dương. Bác sĩ&nbsp;khoa chẩn đoán hình ảnh của bệnh viện Chuyên Khoa Ngoại Thần Kinh Quốc Tế,&nbsp;kết luận anh bị&nbsp;thoát vị đĩa đệm đa tầng như sau:</span></p><h2 style="text-align: justify;"><span style="font-size:18px;">- Thoát vị đĩa đệm tầng L4/L5, kiểu trung tâm và trong khe liên hợp hai&nbsp;bên, gây hẹp ống&nbsp; sống, hẹp ngách bên và lỗ liên hợp hai bên, chèn ép rễ thần kinh L4, L5 hai bên.</span></p><h2 style="text-align: justify;"><span style="font-size:18px;">- Thoát vị đĩa đệm tầng L5/S1, kiểu cạnh trung tâm và trong khe liên hợp, gây nên hẹp ống sống, hẹp ngách bên và lỗ liên hợp, chèn ép rễ thần kinh L5, S1.</span></p><h2 style="text-align: justify;"><span style="font-size:18px;">- Thoái hóa đốt sống, đĩa đệm nhiều tầng cột sống.</span></p><p><span style="font-size:16px;">Bệnh nhân uống thuốc và đắp thuốc hết 3 liệu trình đã khỏi hẳn, hơn hai năm nay không bị đau lại, hiện nay&nbsp;anh làm việc,&nbsp;lao động hoạt động bình thường.</span></p><p><span style="font-size:16px;">Mời bạn đọc xem VIDEO khám chữa bệnh, bốc thuốc tại phòng khám đông y Bảo Minh</span></p><div class="youtube-embed-wrapper" style="position:relative;padding-bottom:56.25%;padding-top:30px;height:0;overflow:hidden"><iframe allowfullscreen="" frameborder="0" height="360" src="https://www.youtube.com/embed/QFrmg90K_MM?rel=0&amp;autoplay=1&amp;controls=0" style="position:absolute;top:0;left:0;width:100%;height:100%" width="640"></iframe></div>]]></content:encoded>
						<wfw:commentRss></wfw:commentRss>
						<slash:comments>0</slash:comments>
					</item>
				
					<item>
						<title>Bệnh thoát vị đĩa đệm có chữa khỏi được không thầy?</title>
						<link>https://chuabenhthoatvidiadem.vn/bai-viet/nghe-truc-tiep-nhung-nguoi-duoc-luong-y-minh-chua-khoi-thoat-vi-dia-dem/benh-thoat-vi-dia-dem-co-chua-khoi-duoc-khong-thay-pid-108.html</link>
						<comments></comments>
						<pubDate>Tue, 29 Aug 2017 10:18:42 +0700</pubDate>
						<dc:creator>admin</dc:creator>
						<category><![CDATA[Nghe trực tiếp những người được lương y Minh chữa khỏi thoát vị đĩa đệm ]]></category>
						<guid isPermaLink="false"></guid>
						<description><![CDATA[Bệnh thoát vị đĩa đệm có chữa khỏi được không thầy? Thầy có thể chữa khỏi hẳn thoát vị đĩa đệm được không ? Thời gian điều trị thoát vị đĩa đệm trong bao lâu? Thoát vị đĩa đệm triệu chứng là gì?.v.v. Là những câu hỏi được người bệnh hỏi nhiều nhất. Hãy nghe trực tiếp anh Tình đã chữa khỏi thoát vị đĩa đệm tại phòng khám kể .]]></description>
						<content:encoded><![CDATA[<h2 style="text-align: justify;"><span style="font-size:16px;">Bệnh thoát vị đĩa đệm có chữa khỏi được không thầy? Thầy có thể chữa khỏi hẳn&nbsp;thoát vị đĩa đệm được không? Thời gian điều trị thoát vị đĩa đệm trong bao lâu? Thoát vị đĩa đệm triệu chứng là gì?.v.v. Là những câu hỏi được người bệnh hỏi nhiều nhất.</span></p><p><img loading="lazy" alt="Bệnh thoát vị đĩa đệm" src="data:image/gif;base64,R0lGODlhAQABAID/AP///wAAACwAAAAAAQABAAACAkQBADs=" data-src="https://chuabenhthoatvidiadem.vn/resources/images/Thoát vị đĩa đệm.jpg" style="width: 480px; height: 340px;" class="lazy" width="480" height="340" data-optimized="1" /></p><h3 style="text-align: justify;"><span style="font-size:16px;">Để trả lời câu hỏi; bệnh thoát vị có chữa khỏi được không. Mời bạn đọc nghe trực tiếp anh Tình thông báo&nbsp;đã&nbsp;khỏi hẳn&nbsp;bệnh đau lưng do&nbsp;thoát vị đĩa đệm cột sống thắt lưng. Để khẳng định uy tín của thầy thuốc chữa bệnh&nbsp;thoát vị đĩa đệm, đã nhận chữa thoát vị đĩa đệm là phải có kết quả, tôi có xin phép anh Tình chia sẻ&nbsp;địa chỉ nhà anh đang ở tại TP HCM:&nbsp;&nbsp;114/18/20 đường Bùi Quang Là, phường 12, quận Gò Vấp. Anh Tình đồng ý chia sẻ quá trình điều trị bệnh thoát vị đĩa đệm cột sống thắt lưng, không những khỏi bệnh mà hiện nay anh Tình còn có thể lao động hàng ngày, hôm nào làm việc nhiều cũng chỉ hơi rêm rêm thắt&nbsp;lưng, sáng hôm sau ngủ dậy lại thấy khỏe, không đau nhức gì.&nbsp;Tôi xin cảm ơn anh đã chia sẻ thông tin bệnh của mình để mong giúp người khác thoát khỏi những cơn đau nhức do thoát vị đĩa đệm gây nên. (*)</span></h3><p><img loading="lazy" alt="Thoát vị đĩa đệm L4-5" src="data:image/gif;base64,R0lGODlhAQABAID/AP///wAAACwAAAAAAQABAAACAkQBADs=" data-src="https://chuabenhthoatvidiadem.vn/resources/images/phongkhambaominh_com.jpg" style="width: 622px; height: 588px;" class="lazy" width="622" height="588" data-optimized="1" /></p><p><a href="https://chuabenhthoatvidiadem.vn/resources/files/call_15-05-28_IN_0902937342.mp3" title="">chua benh dau lung.&nbsp;thoatvidiadem. l4 l5</a></p><h2><span style="font-size:16px;">(*) &nbsp; &quot;Lưu ý: tác dụng của bài thuốc chữa thoát vị đĩa đệm /nhanh hay chậm&nbsp;có thể thay đổi theo thoát vị đĩa đệm triệu chứng&nbsp;của mỗi nguời&quot;</span></h2><h4 class="r" style="font-size: 18px; margin: 0px; padding: 0px; overflow: hidden; text-overflow: ellipsis; white-space: nowrap; color: rgb(34, 34, 34); font-family: arial, sans-serif;"><span style="font-size:16px;"><a href="https://www.youtube.com/channel/UCMrl47bRL4MgAguyRi48mEw" style="color: rgb(102, 0, 153); cursor: pointer; text-decoration-line: none;" title="">Lương y Nguyễn Văn Minh -</a>&nbsp;Lương y&nbsp;chữa bệnh thoát vị đĩa đệm.</span></h4><p><span style="font-size:16px;">Địa chỉ khám&nbsp;chữa bệnh&nbsp;thoát vị đĩa đệm ở Sài Gòn: 856/6 Quang Trung, phường 8, quận Gò Vấp, Tp Hồ Chí Minh. Điện thoại tư vấn chữa thoát vị đĩa đệm cột sống: 028.6295.1367- 0913.503.552.</span></p><p>&nbsp;</p>]]></content:encoded>
						<wfw:commentRss></wfw:commentRss>
						<slash:comments>0</slash:comments>
					</item>
				
					<item>
						<title>Thoát vị đĩa đệm là gì?</title>
						<link>https://chuabenhthoatvidiadem.vn/bai-viet/benh-thoat-vi-dia-dem/thoat-vi-dia-dem-la-gi-pid-8.html</link>
						<comments></comments>
						<pubDate>Sat, 03 Dec 2016 09:26:57 +0700</pubDate>
						<dc:creator>admin</dc:creator>
						<category><![CDATA[Bệnh thoát vị đĩa đệm]]></category>
						<guid isPermaLink="false"></guid>
						<description><![CDATA[Thoát vị đĩa đệm là hiện tượng đĩa đệm bị chèn ép lệch khỏi vị trí ban đầu giữa hai đốt sống, nhân nhầy bên trong đĩa đệm thoát ra khỏi bao xơ đĩa đệm và chèn ép vào rễ thần kinh, tủy sống gây nên các triệu chứng đau nhức, tê bì...]]></description>
						<content:encoded><![CDATA[<h2><span style="font-size:18px;">Thoát vị đĩa đệm là hiện tượng đĩa đệm bị chèn ép lệch khỏi vị trí ban đầu giữa hai đốt sống, nhân nhầy bên trong đĩa đệm thoát ra khỏi bao xơ đĩa đệm và chèn ép vào rễ thần kinh, tủy sống gây nên các triệu chứng đau nhức, tê bì...</span></h2><p>&nbsp;</p><p><img loading="lazy" alt="Thoát vị đĩa đệm chèn ép dây thần kinh" src="data:image/gif;base64,R0lGODlhAQABAID/AP///wAAACwAAAAAAQABAAACAkQBADs=" data-src="https://chuabenhthoatvidiadem.vn/resources/images/Thoát vị đĩa đệm.jpg" class="lazy" width="480" height="340" data-optimized="1" /></p><p style="text-align: justify;">Cơ thể chúng ta có 24 đốt sống có thể cử động (từ cổ đến thắt lưng), nối&nbsp;giữa các&nbsp;đốt sống là đĩa đệm. Đĩa đệm có cấu trúc dạng thớ sợi chắc xếp theo hình vòng tròn và chứa nhân nhầy bên trong.&nbsp;Đĩa đệm có tác dụng như một chiếc lò so làm cho cột sống cơ thể cử động được uyển chuyển và làm giảm các sang chấn giúp cơ thể tránh&nbsp;được những chấn thương.</p><p><img loading="lazy" alt="Đĩa đệm nhìn theo mặt cắt ngang" src="data:image/gif;base64,R0lGODlhAQABAID/AP///wAAACwAAAAAAQABAAACAkQBADs=" data-src="https://chuabenhthoatvidiadem.vn/resources/images/thoat-vi-dia-dem.jpg" class="lazy" width="480" height="285" data-optimized="1" /></p><p style="text-align: justify;">Khi đĩa đệm bị dịch chuyển ra khỏi vị trí bên trong giữa hai đốt sống, thường xảy ra sau các tác nhân sang chấn hoặc trên nền đĩa đệm bị thoái hóa mất nước, nứt rách, và trên lâm sàng thường biểu hiện các triệu chứng đau về thần kinh.</p><p style="text-align: justify;">Thoát vị đĩa đệm có thể xảy ra ở bất kỳ đoạn nào của cột sống, nhưng hay gặp thoát vị đĩa đệm ở vị trí thắt lưng,&nbsp;trong trường hợp này sẽ gây ra chứng đau thắt lưng. Và khi thoát vị đĩa đệm có chèn ép vào rễ&nbsp;Thần kinh tọa sẽ gây chứng đau thắt lưng và đau lan xuống chân dọc theo đường đi của dây thần kinh tọa. Khi thoát vị ở vị trí cổ, sẽ gây đau cổ gáy. Nếu kết hợp ép rễ thần kinh cánh tay sẽ gây đau cổ, vai và tay cùng bên bị chèn ép.</p><p style="text-align: justify;">Thoát vị cũng có thể không nhận biết được khi không có triệu chứng vì nó không gây đè ép vào rễ dây thần kinh.</p><p style="text-align: justify;"><span class="optimize-cls-iframe" data-src="https://www.youtube.com/embed/wrJ0UQLOPY0">https://www.youtube.com/embed/wrJ0UQLOPY0</span></p><h3 style="text-align: justify;"><span style="font-size:16px;">Tôi, Lương y Nguyễn Văn Minh chuyên chữa bệnh thoát vị đĩa đệm cột sống thắt lưng, cột sống cổ. Rất nhiều người đã khỏi bệnh hoàn toàn nhờ bài thuốc đặc trị thoát vị đĩa đệm do tôi bào chế. Trước khi tôi muốn sử dụng hình ảnh, địa chỉ, giọng nói và kết quả chụp MRI của những bệnh nhân cũ tôi đều xin phép, được sự đồng ý tôi mới đăng tin. Tôi cũng rất vui khi nhiều người tới chữa bệnh ở phòng khám của tôi, họ nói: Thầy chữa khỏi bệnh cho tôi, tôi không phải tốn tiền đi mổ, thầy cứ ghi hình hay làm gì cũng được.Tôi xin chân thành cảm ơn những tấm lòng quý báu của họ. Hãy nghe trực tiếp giọng nói của một số bệnh nhân đã chữa bệnh tại phòng khám của tôi</span></h3><p><span style="font-size:16px;"><span style="color: rgb(34, 34, 34); font-family: arial, sans-serif; white-space: nowrap;">Nghe trực tiếp những người khỏi thoát vị đĩa đệm chia sẻ</span><a href="https://chuabenhthoatvidiadem.vn/dieu-tri/nghe-truc-tiep-nhung-nguoi-duoc-luong-y-minh-chua-khoi-thoat-vi-dia-dem-cid-4-0.html" style="font-family: arial, sans-serif; font-size: 18px; white-space: nowrap; color: rgb(102, 0, 153); cursor: pointer; text-decoration-line: none;" title="">: Tại Đây &gt;&gt;&nbsp;</a></span></p><h5 style="box-sizing: border-box; margin: 10px 0px; padding: 0px; border: 0px; outline: 0px; font-size: 14px; vertical-align: baseline; background-image: initial; background-position: initial; background-size: initial; background-repeat: initial; background-attachment: initial; background-origin: initial; background-clip: initial; font-family: RobotoSlab-Regular, Arial, Helvetica, sans-serif; line-height: 1.1; color: rgb(0, 0, 0); max-width: 100%;"><span style="font-size:16px;"><span style="box-sizing: border-box; margin: 0px; padding: 0px; border: 0px; outline: 0px; vertical-align: baseline; background: transparent; max-width: 100%;">Trang web chuyên về chữa bệnh thoát vị đĩa đệm của&nbsp;lương y Nguyễn Văn Minh:</span></span></h5><h3 class="r" style="box-sizing: border-box; margin: 0px; padding: 0px; border: 0px; outline: 0px; font-size: 18px; vertical-align: baseline; background-image: initial; background-position: initial; background-size: initial; background-repeat: initial; background-attachment: initial; background-origin: initial; background-clip: initial; font-family: RobotoSlab-Regular, Arial, Helvetica, sans-serif; line-height: 1.1; color: rgb(0, 0, 0); max-width: 100%; overflow: hidden; text-overflow: ellipsis; white-space: nowrap;"><a href="https://chuabenhthoatvidiadem.vn/" style="box-sizing: border-box; margin: 0px; padding: 0px; border: 0px; outline: 0px; vertical-align: baseline; background: transparent; color: rgb(102, 0, 153); text-decoration: none; transition: all 406ms ease-out; max-width: 100%; cursor: pointer;" target="_blank" title="">Cách Chữa Bệnh Thoát Vị Đĩa Đệm</a></h3><div class="s" style="box-sizing: border-box; margin: 0px; padding: 0px; border: 0px; outline: 0px; font-size: 16px; vertical-align: baseline; background-image: initial; background-position: initial; background-size: initial; background-repeat: initial; background-attachment: initial; background-origin: initial; background-clip: initial; position: relative; max-width: 48em; font-family: RobotoSlab-Regular, Arial, Helvetica, sans-serif; color: rgb(84, 84, 84); line-height: 18px;"><div class="f kv _SWb" style="box-sizing: border-box; margin: 0px; padding: 0px; border: 0px; outline: 0px; font-size: small; vertical-align: baseline; background: transparent; position: relative; max-width: 100%; color: rgb(128, 128, 128); height: 18px; line-height: 16px; font-family: arial, sans-serif; white-space: nowrap;"><cite class="_Rm" style="box-sizing: border-box; margin: 0px; padding: 0px; border: 0px; outline: 0px; font-size: 14px; vertical-align: baseline; background: transparent; max-width: 100%; color: rgb(0, 102, 33); font-style: normal;">chuabenhthoatvidiadem.vn/</cite></div></div>]]></content:encoded>
						<wfw:commentRss></wfw:commentRss>
						<slash:comments>0</slash:comments>
					</item>
				
					<item>
						<title>Thoát vị đĩa đệm có nên đi bộ hoặc chạy bộ không?</title>
						<link>https://chuabenhthoatvidiadem.vn/bai-viet/benh-thoat-vi-dia-dem/thoat-vi-dia-dem-co-nen-di-bo-hoac-chay-bo-khong-pid-216.html</link>
						<comments></comments>
						<pubDate>Fri, 01 Jun 2018 09:14:25 +0700</pubDate>
						<dc:creator>admin</dc:creator>
						<category><![CDATA[Bệnh thoát vị đĩa đệm]]></category>
						<guid isPermaLink="false"></guid>
						<description><![CDATA[Bị thoát vị đĩa đệm có nên đi bộ tập thể dục không, có nên chạy bộ hàng ngày không? Bằng thực tế hơn 20 năm chuyên chữa bệnh thoát vị đĩa đệm. Lương y Nguyễn Văn Minh có lời khuyên tốt nhất cho câu hỏi; Bị thoát vị đĩa đệm có nên đi bộ hoặc chạy bộ hay không?]]></description>
						<content:encoded><![CDATA[<p style="text-align: justify;"><span style="font-size:18px;"><em>Bị thoát vị đĩa đệm có nên đi bộ tập thể dục không, có nên chạy bộ hàng ngày không? Câu trả lời chính xác là:&nbsp;Không có&nbsp;lời khuyên chung cho mọi người,&nbsp;với người này đi bộ thì tốt nhưng với người kia đi bộ lại làm cho tình trạng bệnh nặng thêm. Bằng thực tế hơn 20 năm chuyên chữa bệnh thoát vị đĩa đệm, lương y Nguyễn Văn Minh tổng kết những ai nên đi bộ và những ai không nên đi bộ như sau:</em></span></p><p><img loading="lazy" alt="Thoát vị đĩa đệm có nên đi bộ không" src="data:image/gif;base64,R0lGODlhAQABAID/AP///wAAACwAAAAAAQABAAACAkQBADs=" data-src="https://chuabenhthoatvidiadem.vn/resources/images/20180313_064832 (1).jpg" style="width: 757px; height: 589px;" class="lazy" width="757" height="589" data-optimized="1" /></p><h2 style="text-align: justify;"><em><span style="font-size:18px;">1- Những trường hợp thoát vị đĩa đệm không nên đi bộ:</span></em></h2><p style="text-align: justify;"><span style="font-size:16px;">Đây là những người mới&nbsp;bị thoát vị đĩa đệm cột sống thắt lưng, đang có những cơn đau cấp;&nbsp;đau lưng, đau hông, đau chân&nbsp;hoặc đau hông đau lan xuống chân, có khi đau dữ dội, đau kịch liệt, mọi cử động như&nbsp;ho, hắt hơi hoặc đêm nằn trở mình đều đau. Những trường hợp này cần phải nghỉ ngơi, hạn chế vận động, không nên cố gắng đi bộ, bởi vì càng đi càng đau. Rồi những trường hợp lớn tuổi, thừa cân,&nbsp;bị thoát vị đĩa đệm kèm theo thoái hóa cột sống, thoái hóa khớp gối, thoái hóa khớp háng nặng&nbsp;...cũng không nên đi bộ nhiều.</span></p><h3 style="text-align: justify;"><span style="font-size:18px;"><em>2- Những trường hợp nên đi bộ tập thể dục:</em></span></h3><p style="text-align: justify;"><span style="font-size:16px;">Đây là những người bị thoát vị đĩa đệm dạng nhẹ, hoặc thoát vị đĩa đệm do ngồi nhiều, hoặc mức độ chèn ép bao màngcứng,&nbsp;chèn ép lỗ liên hợp&nbsp;và rễ thần kinh còn nhẹ. Kế đến là những trường hợp thoát vị đĩa đệm nhưng đã điều trị bằng thuốc uống và thuốc đắp của phòng khám đông y Bảo Minh được 2-3 tuần, bớt đau nhiều thì nên đi bộ tập thể dục. Đi bộ rất tốt cho người bị thoát vị đĩa đệm, nên tranh thủ thời gian trong ngày để đi bộ, có thể đi nhiều lần trong ngày, sao cho đi được từ 2000 đến 4000&nbsp;bước chân, tùy theo bệnh của từng người. Khi không còn đau do&nbsp;thoát vị đĩa đệm nữa, người bệnh nên duy trì đi bộ thường xuyên&nbsp;hàng ngày, tùy theo độ tuổi, có thể đi từ 2000&nbsp;đến 6000 bước chân.</span></p><p style="text-align: justify;"><em><span style="font-size:18px;">3- Thoát vị đĩa đệm có chạy bộ được không.</span></em></p><p style="text-align: justify;"><span style="font-size:16px;">Nguyên tắc chung là người bị thoát vị đĩa đệm, nên tránh tập thể dục những bài tập có tác động mạnh đến cột sống đĩa đệm; như: Bóng đá, bóng chuyền, bóng bàn,&nbsp;cầu lông, quần vợt, cử tạ, nhảy xa, nhảy cao.v.v. Do&nbsp;những động tác di chuyển mạnh, đột ngột rất dễ bị chấn thương làm cho rách bao xơ,&nbsp;đĩa đệm lại thoát ra ngoài. Tuy nhiên, nếu trường hơp còn trẻ, muốn chạy bộ tập thể dục, hãy hỏi ý kiến thầy thuốc đã&nbsp;điều trị thoát vị đĩa đệm cho mình&nbsp;để quyết định</span></p><p style="text-align: justify;"><span style="font-size: 16px;">Có thể bạn quan tâm:</span></p><p style="text-align: justify;"><span style="font-size:16px;"><a data-="" href="https://www.google.com/url?sa=t&amp;rct=j&amp;q=&amp;esrc=s&amp;source=web&amp;cd=142&amp;ved=0ahUKEwjOj-XyibnbAhUHjLwKHY1JDVY4jAEQFggoMAE&amp;url=http%3A%2F%2Fchuabenhthoatvidiadem.vn%2Fcach-chua-benh%2Fthoai-hoa-cot-song-that-lung-thoat-vi-dia-dem-l3-4-l4-5-dieu-tri-20-ngay-thuoc-het-dau-pid-147.html&amp;usg=AOvVaw24CdhLIBBKyI8GCQ6Vx8kP" style="color: rgb(102, 0, 153); cursor: pointer; text-decoration-line: none;" target="_blank" title="">Thoái hóa cột sống thắt lưng kèm theo&nbsp;thoát vị đĩa đệm L3/4, L4/5</a></span></p><p style="text-align: justify;"><span style="font-size:16px;"><a href="https://chuabenhthoatvidiadem.vn/cach-chua-benh/thuoc-tri-benh-thoat-vi-dia-dem-em-uong-20-thang-het-nhuc-roi-thay-pid-207.html" style="color: rgb(102, 0, 153); cursor: pointer; text-decoration-line: none;" target="_blank" title="">Thuốc trị bệnh thoát vị đĩa đệm, em uống 20 thang hết nhức rồi thầy!</a></span></p><p style="text-align: justify;"><a href="https://www.youtube.com/channel/UCMrl47bRL4MgAguyRi48mEw" style="font-family: RobotoSlab-Regular, Arial, Helvetica, sans-serif; font-size: 16px; background: transparent; box-sizing: border-box; margin: 0px; padding: 0px; border: 0px; outline: 0px; vertical-align: baseline; color: rgb(102, 0, 153); text-decoration-line: none; transition: all 406ms ease-out 0s; max-width: 100%; cursor: pointer;" target="_blank" title="">Lương y Nguyễn Văn Minh</a><span style="color: rgb(0, 0, 0); font-family: RobotoSlab-Regular, Arial, Helvetica, sans-serif; font-size: 16px; background: transparent; box-sizing: border-box; margin: 0px; padding: 0px; border: 0px; outline: 0px; vertical-align: baseline; max-width: 100%;">&nbsp;chuyên&nbsp;chữa thoát vị đĩa đệm, đã khẳng định uy tín&nbsp;ở TP.HCM</span></p><p style="box-sizing: border-box; margin: 0px 0px 10px; padding: 0px; border: 0px; outline: 0px; font-size: 16px; vertical-align: baseline; background-image: initial; background-position: initial; background-size: initial; background-repeat: initial; background-attachment: initial; background-origin: initial; background-clip: initial; max-width: 100%; color: rgb(0, 0, 0); font-family: RobotoSlab-Regular, Arial, Helvetica, sans-serif;"><span style="box-sizing: border-box; margin: 0px; padding: 0px; border: 0px; outline: 0px; vertical-align: baseline; background: transparent; max-width: 100%;">Địa chỉ&nbsp;khám chữa bệnh: 856/6 Quang Trung, Phường 8, Quận Gò Vấp, TP.HCM</span></p><p style="box-sizing: border-box; margin: 0px 0px 10px; padding: 0px; border: 0px; outline: 0px; font-size: 16px; vertical-align: baseline; background-image: initial; background-position: initial; background-size: initial; background-repeat: initial; background-attachment: initial; background-origin: initial; background-clip: initial; max-width: 100%; color: rgb(0, 0, 0); font-family: RobotoSlab-Regular, Arial, Helvetica, sans-serif;"><span style="box-sizing: border-box; margin: 0px; padding: 0px; border: 0px; outline: 0px; vertical-align: baseline; background: transparent; max-width: 100%;">Điện thoại, Zalo tư vấn:&nbsp;0913503552 - Điện thoại cố định: 02862951367.</span></p>]]></content:encoded>
						<wfw:commentRss></wfw:commentRss>
						<slash:comments>0</slash:comments>
					</item>
				
					<item>
						<title>Chụp MRI cột sống thắt lưng, thoát vị đĩa đệm L5/S1 ra sau # 5mm, chèn ép rễ thần kinh, điều trị 30 ngày khỏi hẳn.</title>
						<link>https://chuabenhthoatvidiadem.vn/bai-viet/ket-qua-dieu-tri-thoat-vi-dia-dem/chup-mri-cot-song-that-lung-thoat-vi-dia-dem-l5-s1-ra-sau-5mm-chen-ep-re-than-kinh-dieu-tri-30-ngay-khoi-han-pid-97.html</link>
						<comments></comments>
						<pubDate>Wed, 19 Jul 2017 08:57:03 +0700</pubDate>
						<dc:creator>admin</dc:creator>
						<category><![CDATA[Kết quả điều trị thoát vị đĩa đệm]]></category>
						<guid isPermaLink="false"></guid>
						<description><![CDATA[Bị thoát vị đĩa đệm cột sống cổ, thoát vị đĩa đệm cột sống thắt lưng, nhiều người mách nhau: Thầy Bảo Minh chữa thoát vị đĩa đệm hay lắm, đến đấy mà chữa. Tôi coi đó là niềm vinh hạnh khi bệnh nhân tin tưởng vào uy tín chữa bệnh thoát vị đĩa đệm của tôi.]]></description>
						<content:encoded><![CDATA[<h2 style="text-align: justify;"><span style="font-size:16px;"><span style="font-family:arial,helvetica,sans-serif;">Chị Võ Thị Lệ Nga 44 tuổi bị đau thắt lưng, đau lan xuống 1 bên mông. Kết quả chụp MRI chị Nga bị thoái hóa đốt sống&nbsp;L5-S1có gai nhỏ, thoái hóa mất nước đĩa đệm tầng L5/S1. Thoát vị&nbsp;đĩa đệm tầng L5/S1 ra sau kích thước # 5mm, chèn ép rễ thần kinh. Tôi đã dùng thuốc uống và thuốc đắp chữa&nbsp;khỏi thoát vị đĩa đệm cho chị Nga. Chị không ngần ngại&nbsp;chia sẻ thông tin của chị về căn bệnh thoát vị đĩa đệm cột sống thắt lưng L5/S1 của mình (*)</span></span></h2><h2>&nbsp;</h2><p><img loading="lazy" alt="Thoát vị đĩa đệm L5/S1" src="data:image/gif;base64,R0lGODlhAQABAID/AP///wAAACwAAAAAAQABAAACAkQBADs=" data-src="https://chuabenhthoatvidiadem.vn/resources/images/chuabenhthoatvidiadem.jpg" style="width: 442px; height: 589px;" class="lazy" width="442" height="589" data-optimized="1" /></p><h3 style="text-align: justify;"><span style="font-family:arial,helvetica,sans-serif;"><span style="font-size:18px;"><span style="font-size:16px;">Chị Nga rất&nbsp;tin tưởng vào uy tín chữa thoát vị đĩa đệm của tôi, chị đã giới thiệu nhiều người thân quen tới chữa bệnh tại phòng khám đông y Bảo Minh do tôi phụ trách, hôm nay tôi gọi điện thoại để cảm ơn chị Nga,&nbsp;và hỏi xem bệnh thoát vị đĩa đệm cột sống thắt lưng L5/S1 của chị có bị tái phát không</span>.&nbsp;</span></span></h3><h4><span style="font-size:16px;"><span style="font-family:arial,helvetica,sans-serif;">Bạn đọc hãy bấm vào mũi tên dưới đây để nghe thực tế câu trả lời từ chị Nga và địa chỉ của chị đang sinh sống tại Long An.</span></span></h4><p><a href="https://chuabenhthoatvidiadem.vn/resources/files/nga can giuoc.mp3" title="">https://chuabenhthoatvidiadem.vn/thoatvidiadem L5S1.mp3</a></p><h4><span style="font-size:16px;">Rất thú vị khi tôi biết bệnh nhân truyền tai nhau cách tìm&nbsp;thông tin về chữa thoát vị đĩa đệm như sau; Chỉ cần vào mạng gõ chữ thầy Bảo Minh chữa thoát vị đĩa đệm, là ra ngay kết quả.</span>&nbsp;</h4><h5><span style="font-size:16px;">P/s: Thầy Bảo Minh là cách&nbsp; một số bệnh nhân gọi lương y Nguyễn Văn Minh cho dễ nhớ.</span></h5><p><span style="font-size:16px;">(*) &nbsp; &quot;Lưu ý: thuốc điều trị thoát vị đĩa đệm có thể tác dụng nhanh hay chậm, tùy theo&nbsp;tình trạng bệnh mỗi nguời&quot;</span></p><p><span style="font-size:16px;">Địa chỉ chữa thoát vị đĩa đệm ở TP.HCM: 856/6 Quang Trung, phường 8, quận Gò Vấp, HCM.</span></p>]]></content:encoded>
						<wfw:commentRss></wfw:commentRss>
						<slash:comments>0</slash:comments>
					</item>
				
					<item>
						<title>Điều trị thoát vị đĩa đệm cột sống thắt lưng L5-S1 khỏi hẳn, không tái phát.</title>
						<link>https://chuabenhthoatvidiadem.vn/bai-viet/nghe-truc-tiep-nhung-nguoi-duoc-luong-y-minh-chua-khoi-thoat-vi-dia-dem/dieu-tri-thoat-vi-dia-dem-cot-song-that-lung-l5-s1-khoi-han-khong-tai-phat-pid-19.html</link>
						<comments></comments>
						<pubDate>Thu, 08 Dec 2016 11:32:02 +0700</pubDate>
						<dc:creator>admin</dc:creator>
						<category><![CDATA[Nghe trực tiếp những người được lương y Minh chữa khỏi thoát vị đĩa đệm ]]></category>
						<guid isPermaLink="false"></guid>
						<description><![CDATA[Điều trị thoát vị đĩa đệm cột sống thắt lưng khỏi hẳn, nhất là thoát vị đĩa đệm L5-S1. Chấm dứt những cơn đau lưng do thoát vị đĩa đệm gây ra là ước mong của nhiều người bị thoát vị đĩa đệm.]]></description>
						<content:encoded><![CDATA[<h2 style="text-align: justify;"><span style="font-size:16px;">Điều trị thoát vị đĩa đệm cột sống thắt lưng khỏi hẳn, nhất là thoát vị đĩa đệm L5-S1. Điều trị bằng cách nào để chấm dứt những cơn đau thắt lưng,&nbsp;nguyên nhân do thoát vị đĩa đệm gây ra là ước mong của nhiều người không may bị thoát vị đĩa đệm.</span></h2><h2 style="text-align: justify;"><span style="font-size:16px;">Chị Vân ở phường Bến Thành, Quận 1, TP.HCM bị thoát vị đĩa đệm cột sống thắt &nbsp;lưng L5-S1, được người quen giới thiệu tới chữa bệnh tại phòng khám của lương y Nguyễn Văn Minh&nbsp;cách nay gần năm trời.&nbsp;Hôm nay lương y Minh gọi điện hỏi thăm xem chị có bị tái phát những cơn đau lưng do thoát vị đĩa đệm gây ra không. Chị Vân cho biết đã khỏi hẳn, không bị đau nhức gì nữa, chị đồng ý chia sẻ ý kiến của chị về mức độ hài lòng của mình khi chữa thoát vị đĩa đệm ở đây.&nbsp;</span></h2><p><span style="font-size: 16px; text-align: justify;">Mời quý vị&nbsp;nghe cuộc trò chuyện trực tiếp từ chị Vân và lương y Nguyễn Văn Minh để cảm nhận về cách chữa thoát vị đĩa đệm bằng đông y. (*)</span></p><p>&nbsp;</p><p><img loading="lazy" alt="Thoat vi dia dem" src="data:image/gif;base64,R0lGODlhAQABAID/AP///wAAACwAAAAAAQABAAACAkQBADs=" data-src="https://chuabenhthoatvidiadem.vn/resources/images/10-thoi-quen-sai-lam-cua-dan-cong-so11438934446(1).jpg" style="opacity: 0.9; width: 600px; height: 382px;" class="lazy" width="600" height="382" data-optimized="1" /></p><p><em>Hãy bấm vào mũi tên để nghe trực tiếp cuộc trò chuyện giữa chị Vân và lương y Minh về kết quả điều trị bệnh thoát vị đĩa đệm.</em></p><p><a href="https://chuabenhthoatvidiadem.vn/resources/files/Tho_i_025_m.mp3" title="">chuabenhthoatvidiadem.vn/ thoatvidiadem L5/S1</a></p><h4><span style="font-size:16px;">(*) &nbsp; &quot;Lưu ý: tác dụng của thuốc&nbsp;điều trị thoát vị đĩa đệm nhanh hay chậm /có thể phụ thuộc&nbsp;cơ địa của&nbsp;mỗi nguời&quot;</span></h4><h4><span style="font-size:16px;">Mời bạn đọc xem thêm hình ảnh của một số quý bệnh nhân cũ đã khỏi bệnh do&nbsp;&nbsp;<a href="https://www.youtube.com/channel/UCMrl47bRL4MgAguyRi48mEw" style="color: rgb(102, 0, 153); cursor: pointer; text-decoration-line: none;" title="">Lương y Nguyễn Văn Minh</a>&nbsp;điều trị tại <a href="http://phongkhambaominh.com/" style="color: rgb(102, 0, 153); cursor: pointer; text-decoration-line: none;" title="">Phòng Khám Đông Y Bảo Minh</a>&nbsp;và ghi lại hình ảnh nhằm chia sẻ chân thực nhất.</span></h4><p><span style="font-size: 16px;">Địa chỉ phòng khám thoát vị đĩa đệm ở TP.HCM; 856/6 đường Quang Trung, quận&nbsp;Gò Vấp. Điện thoại, Zalo hướng dẫn cách chữa bệnh: 0913503552 - Cố&nbsp;định: 02862951367</span></p><p>&nbsp;</p>]]></content:encoded>
						<wfw:commentRss></wfw:commentRss>
						<slash:comments>0</slash:comments>
					</item>
				
					<item>
						<title>Thoát vị đĩa đệm do tập tạ</title>
						<link>https://chuabenhthoatvidiadem.vn/bai-viet/benh-thoat-vi-dia-dem/thoat-vi-dia-dem-do-tap-ta-pid-259.html</link>
						<comments></comments>
						<pubDate>Wed, 05 Jun 2019 11:46:49 +0700</pubDate>
						<dc:creator>admin</dc:creator>
						<category><![CDATA[Bệnh thoát vị đĩa đệm]]></category>
						<guid isPermaLink="false"></guid>
						<description><![CDATA[Thoát vị đĩa đệm do tập tạ là do khi tập, người tập có những động tác nâng tạ, gánh tạ, đẩy tạ sai tư thế, hoặc khối lượng tạ nặng quá khả năng chịu đựng của cột sống đĩa đệm. Đây là dạng thoát vị đĩa đệm cấp, thường có những cơn đau phát ra ngay khi tập tạ. Thoát vị đĩa đệm do tập tạ có triệu chứng đau thường ở vùng cột sống thắt lưng, hay gặp ở đĩa đệm tầng L4-L5 và L5-S1.]]></description>
						<content:encoded><![CDATA[<p style="text-align: justify;"><span style="font-size:18px;"><em>Thoát vị đĩa đệm do tập tạ là do khi tập tạ, người tập có những động tác nâng tạ, gánh tạ, đẩy tạ sai tư thế, hoặc khối lượng tạ nặng quá khả năng chịu đựng của cột sống đĩa đệm. Đây là dạng thoát vị đĩa đệm cấp, thường có những cơn đau phát ra ngay sau khi tập tạ.</em></span></p><p><span style="font-size:18px;"><em><img loading="lazy" alt="Thuốc chữa thoát vị đĩa đệm tốt nhất" src="data:image/gif;base64,R0lGODlhAQABAID/AP///wAAACwAAAAAAQABAAACAkQBADs=" data-src="https://chuabenhthoatvidiadem.vn/resources/images/20190328_160800.jpg" style="width: 800px; height: 600px;" class="lazy" width="1600" height="1200" data-optimized="1" /></em></span></p><h2><span style="font-size:14px;"><span style="font-size:16px;">Chữa thoát vị đĩa đệm bằng thuốc đông y tại nhà thuốc đông y Bảo Minh: 856/6 Quang Trung, Quận Gò Vấp, HCM.&nbsp;&nbsp;ĐT, Zalo của Lương y Nguyễn Văn Minh&nbsp;tư vấn cách chữa bệnh: 0913503552 - 028.62951367.</span>&nbsp;</span></h2><p><span style="font-size:14px;"><img loading="lazy" alt="Thoát vị đĩa đệm do tập tạ" src="data:image/gif;base64,R0lGODlhAQABAID/AP///wAAACwAAAAAAQABAAACAkQBADs=" data-src="https://chuabenhthoatvidiadem.vn/resources/images/20181114_145417.jpg" style="width: 640px; height: 438px;" class="lazy" width="640" height="438" data-optimized="1" /></span></p><p><em><span style="font-size:14px;">&nbsp;Bị thoát vị đĩa đệm do tập tạ.</span></em></p><p><span style="font-size:16px;">Tham khảo bệnh nhân đã chữa khỏi bệnh thoát vị đĩa đệm tại đây:</span></p><p style="box-sizing: border-box; margin: 0px 0px 10px; padding: 0px; border: 0px; outline: 0px; font-size: 16px; vertical-align: baseline; background-image: initial; background-position: initial; background-size: initial; background-repeat: initial; background-attachment: initial; background-origin: initial; background-clip: initial; max-width: 100%; color: rgb(0, 0, 0); font-family: RobotoSlab-Regular, Arial, Helvetica, sans-serif; text-align: justify;"><span style="box-sizing: border-box; margin: 0px; padding: 0px; border: 0px; outline: 0px; vertical-align: baseline; background: transparent; max-width: 100%;"><a href="https://chuabenhthoatvidiadem.vn/cach-chua-benh/luong-y-minh-chua-thoat-vi-dia-dem-cho-anh-ut-khoi-benh-gan-nam-nay-pid-22.html" style="box-sizing: border-box; margin: 0px; padding: 0px; border: 0px; outline: 0px; vertical-align: baseline; background: transparent; color: rgb(102, 0, 153); text-decoration-line: none; transition: all 406ms ease-out 0s; max-width: 100%; cursor: pointer;" target="_blank" title="">Chữa thoát vị đĩa đệm L3/4 và L4/5, cách chữa khỏi bệnh hết ít tiền</a></span></p><p style="box-sizing: border-box; margin: 0px 0px 10px; padding: 0px; border: 0px; outline: 0px; font-size: 16px; vertical-align: baseline; background-image: initial; background-position: initial; background-size: initial; background-repeat: initial; background-attachment: initial; background-origin: initial; background-clip: initial; max-width: 100%; color: rgb(0, 0, 0); font-family: RobotoSlab-Regular, Arial, Helvetica, sans-serif; text-align: justify;"><span style="background-color: transparent;">&nbsp;</span><a data-="" href="https://www.google.com.vn/url?sa=t&amp;rct=j&amp;q=&amp;esrc=s&amp;source=web&amp;cd=50&amp;ved=0ahUKEwjC1tTM87_WAhWJQ48KHXSdD844KBAWCFcwCQ&amp;url=http%3A%2F%2Fchuabenhthoatvidiadem.vn%2Fcach-chua-benh%2Fchua-thoat-vi-dia-dem-cot-song-that-lung-khoi-han-khong-phai-mo-pid-74.html&amp;usg=AFQjCNFk9PpHY6F1eywkYl16lBbVUnyCtA" style="background: transparent; box-sizing: border-box; margin: 0px; padding: 0px; border: 0px; outline: 0px; vertical-align: baseline; color: rgb(102, 0, 153); text-decoration-line: none; transition: all 406ms ease-out 0s; max-width: 100%; cursor: pointer;" target="_blank" title="">Trị thoát vị đĩa đệm lưng khỏi hẳn, có địa chỉ ở đây để quý vị xem</a></p><p style="box-sizing: border-box; margin: 0px 0px 10px; padding: 0px; border: 0px; outline: 0px; font-size: 16px; vertical-align: baseline; background-image: initial; background-position: initial; background-size: initial; background-repeat: initial; background-attachment: initial; background-origin: initial; background-clip: initial; max-width: 100%; color: rgb(0, 0, 0); font-family: RobotoSlab-Regular, Arial, Helvetica, sans-serif; text-align: justify;"><span style="box-sizing: border-box; margin: 0px; padding: 0px; border: 0px; outline: 0px; vertical-align: baseline; background: transparent; max-width: 100%;"><a href="https://chuabenhthoatvidiadem.vn/cach-chua-benh/dau-vai-gay-hoi-tham-bac-cuc-chua-benh-cach-nay-gan-2-nam-pid-32.html" style="box-sizing: border-box; margin: 0px; padding: 0px; border: 0px; outline: 0px; vertical-align: baseline; background: transparent; color: rgb(102, 0, 153); text-decoration-line: none; transition: all 406ms ease-out 0s; max-width: 100%; cursor: pointer;" target="_blank" title="">Thuốc chữa thoát vị đĩa đệm&nbsp;cổ, chữa khỏi bệnh, 2 năm hỏi thăm không đau lại.</a></span></p><p style="box-sizing: border-box; margin: 0px 0px 10px; padding: 0px; border: 0px; outline: 0px; font-size: 16px; vertical-align: baseline; background-image: initial; background-position: initial; background-size: initial; background-repeat: initial; background-attachment: initial; background-origin: initial; background-clip: initial; max-width: 100%; color: rgb(0, 0, 0); font-family: RobotoSlab-Regular, Arial, Helvetica, sans-serif; text-align: justify;"><span style="box-sizing: border-box; margin: 0px; padding: 0px; border: 0px; outline: 0px; vertical-align: baseline; background: transparent; max-width: 100%;"><a href="https://chuabenhthoatvidiadem.vn/cach-chua-benh/khoi-thoat-vi-dia-dem-cot-song-that-lung-sau-hon-1-thang-dieu-tri-pid-37.html" style="box-sizing: border-box; margin: 0px; padding: 0px; border: 0px; outline: 0px; vertical-align: baseline; background: transparent; color: rgb(102, 0, 153); text-decoration-line: none; transition: all 406ms ease-out 0s; max-width: 100%; cursor: pointer;" target="_blank" title="">Thoát vị đĩa đệm&nbsp;lưng, ở Kiên Giang tới địa chỉ sau hỏi thăm.</a></span></p><p style="box-sizing: border-box; margin: 0px 0px 10px; padding: 0px; border: 0px; outline: 0px; font-size: 16px; vertical-align: baseline; background-image: initial; background-position: initial; background-size: initial; background-repeat: initial; background-attachment: initial; background-origin: initial; background-clip: initial; max-width: 100%; color: rgb(0, 0, 0); font-family: RobotoSlab-Regular, Arial, Helvetica, sans-serif; text-align: justify;"><span style="box-sizing: border-box; margin: 0px; padding: 0px; border: 0px; outline: 0px; vertical-align: baseline; background: transparent; max-width: 100%;"><a href="https://chuabenhthoatvidiadem.vn/cach-chua-benh/benh-thoat-vi-dia-dem-cot-song-co-nhieu-tang-co-chua-duoc-khong-pid-68.html" style="box-sizing: border-box; margin: 0px; padding: 0px; border: 0px; outline: 0px; vertical-align: baseline; background: transparent; color: rgb(102, 0, 153); text-decoration-line: none; transition: all 406ms ease-out 0s; max-width: 100%; cursor: pointer;" target="_blank" title="">Thoát vị đĩa đệm&nbsp;cổ&nbsp;có nguy hiểm&nbsp;không ? ở đâu chữa tốt nhất</a></span></p><p style="box-sizing: border-box; margin: 0px 0px 10px; padding: 0px; border: 0px; outline: 0px; font-size: 16px; vertical-align: baseline; background-image: initial; background-position: initial; background-size: initial; background-repeat: initial; background-attachment: initial; background-origin: initial; background-clip: initial; max-width: 100%; color: rgb(0, 0, 0); font-family: RobotoSlab-Regular, Arial, Helvetica, sans-serif; text-align: justify;"><span style="box-sizing: border-box; margin: 0px; padding: 0px; border: 0px; outline: 0px; vertical-align: baseline; background: transparent; max-width: 100%;"><a data-="" href="https://www.google.com.vn/url?sa=t&amp;rct=j&amp;q=&amp;esrc=s&amp;source=web&amp;cd=58&amp;ved=0ahUKEwiU6vPloMDWAhUhR48KHW8fDRU4MhAWCEswBw&amp;url=http%3A%2F%2Fchuabenhthoatvidiadem.vn%2Fcach-chua-benh%2Fchi-van-o-quan-1-tp-hcm-khoi-thoat-vi-dia-dem-khong-tai-phat--pid-19.html&amp;usg=AFQjCNHlxgVc0VzmW40gI062yVtq8A3r_A" style="box-sizing: border-box; margin: 0px; padding: 0px; border: 0px; outline: 0px; vertical-align: baseline; background: transparent; color: rgb(102, 0, 153); text-decoration-line: none; transition: all 406ms ease-out 0s; max-width: 100%; cursor: pointer;" target="_blank" title="">Thoát vị đĩa đệm&nbsp;thắt lưng có chữa&nbsp;khỏi&nbsp;không?&nbsp;xem ở đâu&nbsp;</a></span></p><p style="box-sizing: border-box; margin: 0px 0px 10px; padding: 0px; border: 0px; outline: 0px; font-size: 16px; vertical-align: baseline; background-image: initial; background-position: initial; background-size: initial; background-repeat: initial; background-attachment: initial; background-origin: initial; background-clip: initial; max-width: 100%; color: rgb(0, 0, 0); font-family: RobotoSlab-Regular, Arial, Helvetica, sans-serif; text-align: justify;"><span style="box-sizing: border-box; margin: 0px; padding: 0px; border: 0px; outline: 0px; vertical-align: baseline; background: transparent; max-width: 100%;"><a href="https://chuabenhthoatvidiadem.vn/cach-chua-benh/nho-thay-ma-toi-khong-phai-mo-thoat-vi-dia-dem-hay-nghe-benh-nhan-cu-phat-bieu-pid-41.html" style="box-sizing: border-box; margin: 0px; padding: 0px; border: 0px; outline: 0px; vertical-align: baseline; background: transparent; color: rgb(102, 0, 153); text-decoration-line: none; transition: all 406ms ease-out 0s; max-width: 100%; cursor: pointer;" target="_blank" title="">Có nên mổ&nbsp;thoát vị đĩa đệm ? cách nào chữa thoát vị đĩa đệm không phải mổ?&nbsp;</a></span></p><p style="box-sizing: border-box; margin: 0px 0px 10px; padding: 0px; border: 0px; outline: 0px; font-size: 16px; vertical-align: baseline; background-image: initial; background-position: initial; background-size: initial; background-repeat: initial; background-attachment: initial; background-origin: initial; background-clip: initial; max-width: 100%; color: rgb(0, 0, 0); font-family: RobotoSlab-Regular, Arial, Helvetica, sans-serif; text-align: justify;"><span style="box-sizing: border-box; margin: 0px; padding: 0px; border: 0px; outline: 0px; vertical-align: baseline; background: transparent; max-width: 100%;"><a href="https://chuabenhthoatvidiadem.vn/cach-chua-benh/anh-hoang-khoi-dau-nhuc-ba-vai-te-cach-tay-do-thoat-vi-dia-dem-cot-song-co-pid-7.html" style="box-sizing: border-box; margin: 0px; padding: 0px; border: 0px; outline: 0px; vertical-align: baseline; background: transparent; color: rgb(102, 0, 153); text-decoration-line: none; transition: all 406ms ease-out 0s; max-width: 100%; cursor: pointer;" target="_blank" title="">Đau&nbsp;vai gáy, tê&nbsp;tay do thoát vị đĩa đệm&nbsp;cổ, khỏi bệnh gọi điện thoại cảm ơn</a></span></p><p style="box-sizing: border-box; margin: 0px 0px 10px; padding: 0px; border: 0px; outline: 0px; font-size: 16px; vertical-align: baseline; background-image: initial; background-position: initial; background-size: initial; background-repeat: initial; background-attachment: initial; background-origin: initial; background-clip: initial; max-width: 100%; color: rgb(0, 0, 0); font-family: RobotoSlab-Regular, Arial, Helvetica, sans-serif; text-align: justify;"><span style="box-sizing: border-box; margin: 0px; padding: 0px; border: 0px; outline: 0px; vertical-align: baseline; background: transparent; max-width: 100%;"><a href="https://chuabenhthoatvidiadem.vn/cach-chua-benh/chup-mri-cot-song-that-lung-thoat-vi-dia-dem-l5-s1-ra-sau-5mm-chen-ep-re-than-kinh-dieu-tri-30-ngay-khoi-han-pid-97.html" style="box-sizing: border-box; margin: 0px; padding: 0px; border: 0px; outline: 0px; vertical-align: baseline; background: transparent; color: rgb(102, 0, 153); text-decoration-line: none; transition: all 406ms ease-out 0s; max-width: 100%; cursor: pointer;" target="_blank" title="">Thoát vị đĩa đệm L5/S1, người nào ở Long An ghé địa chỉ&nbsp;ở đây tham khảo</a>.</span></p><p style="box-sizing: border-box; margin: 0px 0px 10px; padding: 0px; border: 0px; outline: 0px; font-size: 16px; vertical-align: baseline; background-image: initial; background-position: initial; background-size: initial; background-repeat: initial; background-attachment: initial; background-origin: initial; background-clip: initial; max-width: 100%; color: rgb(0, 0, 0); font-family: RobotoSlab-Regular, Arial, Helvetica, sans-serif; text-align: justify;"><span style="box-sizing: border-box; margin: 0px; padding: 0px; border: 0px; outline: 0px; vertical-align: baseline; background: transparent; max-width: 100%;"><a href="https://chuabenhthoatvidiadem.vn/cach-chua-benh/dieu-tri-thoat-vi-dia-dem-cho-benh-nhan-o-tien-giang-goi-dien-hoi-tham-nguoi-nha-ke-da-khoi-han-pid-43.html" style="box-sizing: border-box; margin: 0px; padding: 0px; border: 0px; outline: 0px; vertical-align: baseline; background: transparent; color: rgb(102, 0, 153); text-decoration-line: none; transition: all 406ms ease-out 0s; max-width: 100%; cursor: pointer;" target="_blank" title="">Lương y chữa thoát vị đĩa đệm cho anh Lành ở Tiền Giang, bấm vào đây để nghe thông báo.</a></span></p><p style="box-sizing: border-box; margin: 0px 0px 10px; padding: 0px; border: 0px; outline: 0px; font-size: 16px; vertical-align: baseline; background-image: initial; background-position: initial; background-size: initial; background-repeat: initial; background-attachment: initial; background-origin: initial; background-clip: initial; max-width: 100%; color: rgb(0, 0, 0); font-family: RobotoSlab-Regular, Arial, Helvetica, sans-serif; text-align: justify;"><span style="box-sizing: border-box; margin: 0px; padding: 0px; border: 0px; outline: 0px; vertical-align: baseline; background: transparent; max-width: 100%;"><a href="https://chuabenhthoatvidiadem.vn/cach-chua-benh/luong-y-nguyen-van-minh-chua-khoi-dau-vai-gay-do-thoat-vi-dia-dem-co-cho-anh-long-o-go-vap-tp-hcm-pid-56.html" style="box-sizing: border-box; margin: 0px; padding: 0px; border: 0px; outline: 0px; vertical-align: baseline; background: transparent; color: rgb(102, 0, 153); text-decoration-line: none; transition: all 406ms ease-out 0s; max-width: 100%; cursor: pointer;" target="_blank" title="">Chữa thoát vị đĩa đệm cho anh Long ở Gò Vấp, gặp vợ anh kể&nbsp;khỏi bệnh không đau lại.</a></span></p><p style="box-sizing: border-box; margin: 0px 0px 10px; padding: 0px; border: 0px; outline: 0px; font-size: 16px; vertical-align: baseline; background-image: initial; background-position: initial; background-size: initial; background-repeat: initial; background-attachment: initial; background-origin: initial; background-clip: initial; max-width: 100%; color: rgb(0, 0, 0); font-family: RobotoSlab-Regular, Arial, Helvetica, sans-serif; text-align: justify;"><span style="font-size:16px;"><span style="box-sizing: border-box; margin: 0px; padding: 0px; border: 0px; outline: 0px; vertical-align: baseline; background: transparent; max-width: 100%;">Trang web chuyên về chữa bệnh&nbsp;</span></span><a data-ved="2ahUKEwjTv828lPj3AhXaqFYBHYknBQEQFnoECAIQAQ" href="https://chuabenhthoatvidiadem.vn/" ping="/url?sa=t&amp;source=web&amp;rct=j&amp;url=https://chuabenhthoatvidiadem.vn/&amp;ved=2ahUKEwjTv828lPj3AhXaqFYBHYknBQEQFnoECAIQAQ" style="color: rgb(26, 13, 171); text-decoration-line: none; -webkit-tap-highlight-color: rgba(0, 0, 0, 0.1); outline: 0px; font-family: arial, sans-serif; font-size: small;" title="">Thoát Vị Đĩa Đệm</a><span style="font-size:16px;"><span style="box-sizing: border-box; margin: 0px; padding: 0px; border: 0px; outline: 0px; vertical-align: baseline; background: transparent; max-width: 100%;">&nbsp;của Lương y Nguyễn Văn Minh:&nbsp;</span></span></p><p style="box-sizing: border-box; margin: 0px 0px 10px; padding: 0px; border: 0px; outline: 0px; font-size: 16px; vertical-align: baseline; background-image: initial; background-position: initial; background-size: initial; background-repeat: initial; background-attachment: initial; background-origin: initial; background-clip: initial; max-width: 100%; color: rgb(0, 0, 0); font-family: RobotoSlab-Regular, Arial, Helvetica, sans-serif; text-align: justify;"><span style="color: rgb(0, 0, 0); font-family: RobotoSlab-Regular, Arial, Helvetica, sans-serif; font-size: 16px; text-align: justify;">thoatvidiadem.top</span></p><p style="box-sizing: border-box; margin: 0px 0px 10px; padding: 0px; border: 0px; outline: 0px; font-size: 16px; vertical-align: baseline; background-image: initial; background-position: initial; background-size: initial; background-repeat: initial; background-attachment: initial; background-origin: initial; background-clip: initial; max-width: 100%; color: rgb(0, 0, 0); font-family: RobotoSlab-Regular, Arial, Helvetica, sans-serif; text-align: justify;"><span style="font-size:16px;"><a class="fl" href="https://chuabenhthoatvidiadem.vn/" rel="noopener" style="text-decoration-line: none; color: rgb(26, 13, 171); cursor: pointer; font-family: arial, sans-serif; font-size: small;" target="_blank" title="">chuabenhthoatvidiadem.vn</a></span></p><h2 class="hd" style="box-sizing: border-box; margin: 20px 0px 10px; padding: 0px; border: 0px; outline: 0px; font-size: 30px; vertical-align: baseline; background-image: initial; background-position: initial; background-size: initial; background-repeat: initial; background-attachment: initial; background-origin: initial; background-clip: initial; font-family: RobotoSlab-Regular, Arial, Helvetica, sans-serif; line-height: inherit; color: rgb(0, 0, 0); max-width: 100%; position: absolute; width: 1px; height: 1px; top: -1000em; overflow: hidden;">Kết quả tìm kiếm<a href="https://chuabenhthoatvidiadem.vn/" style="background: transparent; font-family: inherit; font-size: 18px; white-space: nowrap; box-sizing: border-box; margin: 0px; padding: 0px; border: 0px; outline: 0px; vertical-align: baseline; color: rgb(102, 0, 153); text-decoration-line: none; transition: all 406ms ease-out 0s; max-width: 100%; cursor: pointer;" title="">Cách Chữa Bệnh Thoát Vị Đĩa Đệm</a></h2>]]></content:encoded>
						<wfw:commentRss></wfw:commentRss>
						<slash:comments>0</slash:comments>
					</item>
				
					<item>
						<title>Thoát vị đĩa đệm có chữa được không</title>
						<link>https://chuabenhthoatvidiadem.vn/bai-viet/ket-qua-dieu-tri-thoat-vi-dia-dem/thoat-vi-dia-dem-co-chua-duoc-khong-pid-237.html</link>
						<comments></comments>
						<pubDate>Fri, 30 Nov 2018 04:44:39 +0700</pubDate>
						<dc:creator>admin</dc:creator>
						<category><![CDATA[Kết quả điều trị thoát vị đĩa đệm]]></category>
						<guid isPermaLink="false"></guid>
						<description><![CDATA[Thoát vị đĩa đệm có chữa được không? Chữa thoát vị đĩa đệm có tốn nhiều tiền không? Thời gian chữa trong bao lâu thì khỏi? Lương y bác sĩ nào chữa thoát vị đĩa đệm giỏi? Phòng khám chữa thoát vị đĩa đệm có uy tín ở Sài Gòn nằm ở đường nào? v.v. Nên tìm hiểu từ chính những người đã trị khỏi bệnh kể cho nghe tại đây.]]></description>
						<content:encoded><![CDATA[<h2 style="text-align: justify;"><em><span style="font-size:18px;">Bệnh thoát vị đĩa đệm gây nên những triệu chứng đau nhức, tê bì, bệnh nặng có khi còn gây teo cơ, yếu chân, yếu tay, mất sức lao động, đi lại làm việc không được hiệu quả. Chữa khỏi được thoát vị đĩa đệm bằng những bài thuốc đông y mà không có tác dụng phụ được nhiều người bệnh tin dùng. Phương pháp chữa thoát vị đĩa đệm bằng đông y có:&nbsp;Thuốc uống, thuốc đắp, thuốc bó, thuốc rượu, thuốc bóp.v.v. Trong đó thuốc uống sử dụng thuốc thang (thuốc chén, thang thuốc bắc, thuốc nam) đem&nbsp;sắc đặc là tốt nhất.</span></em></p><p style="text-align: justify;"><span style="font-size:16px;">Cách chữa bệnh thoát vị đĩa đệm bằng đông y, được&nbsp;lương y Nguyễn Văn Minh ở phòng khám đông y Bảo Minh nâng thành chuyên sâu, được&nbsp;nhiều người tín nhiệm mách nhau tới chữa. Thiết nghĩ, bạn đọc nhiều bài viết về bệnh thoát vị đĩa đệm,&nbsp;không bằng nghe thực tế những người khỏi bệnh phát biểu ở đây.</span></p><p><em><span style="font-size:18px;"><a href="https://chuabenhthoatvidiadem.vn/resources/files/Ghi âm cuộc gọi 0977640939_181127_083737.mp3" title="">Nhấp vào đây nghe thông báo từ bệnh nhân cũ</a>&nbsp;</span></em></p><p><img loading="lazy" alt="Thoát vị đĩa đệm có chữa được không" src="data:image/gif;base64,R0lGODlhAQABAID/AP///wAAACwAAAAAAQABAAACAkQBADs=" data-src="https://chuabenhthoatvidiadem.vn/resources/images/20181023_112328.jpg" style="width: 900px; height: 1200px;" class="lazy" width="900" height="1200" data-optimized="1" /></p><p><em>Thoát vị đĩa đệm chèn ép rễ thần kinh gây nên đau nhức, tê chân dọc đường đi của dây thần kinh.</em></p><p><span style="box-sizing: border-box; margin: 0px; padding: 0px; border: 0px; outline: 0px; font-size: 16px; vertical-align: baseline; background: transparent; max-width: 100%;">Lưu ý: Bài thuốc trị thoát vị đĩa đệm/&nbsp;có tác dụng lâu mau tùy theo cơ địa&nbsp;mỗi nguời</span></p><p><span style="box-sizing: border-box; margin: 0px; padding: 0px; border: 0px; outline: 0px; font-size: 16px; vertical-align: baseline; background: transparent; max-width: 100%;">Có thể bạn quan tâm:&nbsp;</span><a href="http://phongkhambaominh.com/thoat-vi-dia-dem/benh-hoc-benh-an.htm" ping="/url?sa=t&amp;source=web&amp;rct=j&amp;url=http://phongkhambaominh.com/thoat-vi-dia-dem/benh-hoc-benh-an.htm&amp;ved=2ahUKEwjIwK_V_vveAhWRQN4KHRu5CYs40gEQFjAFegQIBBAB" style="color: rgb(102, 0, 153); cursor: pointer; text-decoration-line: none; font-family: arial, sans-serif; font-size: small;" title="">Bệnh án thoát vị đĩa đệm&nbsp;- Phòng Khám Đông Y Bảo Minh</a></p><p>&nbsp;</p><p>&nbsp;</p>]]></content:encoded>
						<wfw:commentRss></wfw:commentRss>
						<slash:comments>0</slash:comments>
					</item>
				
					<item>
						<title>Thoát vị đĩa đệm + Thoái hóa cột sống thắt lưng - Uống thuốc gì.</title>
						<link>https://chuabenhthoatvidiadem.vn/bai-viet/ket-qua-dieu-tri-thoat-vi-dia-dem/thoat-vi-dia-dem-thoai-hoa-cot-song-that-lung-uong-thuoc-gi-pid-209.html</link>
						<comments></comments>
						<pubDate>Tue, 08 May 2018 11:25:30 +0700</pubDate>
						<dc:creator>admin</dc:creator>
						<category><![CDATA[Kết quả điều trị thoát vị đĩa đệm]]></category>
						<guid isPermaLink="false"></guid>
						<description><![CDATA[Thoát vị đĩa đệm + Thoái hóa cột sống thắt lưng + Gai thoái hóa các đốt sống thắt lưng. Cách điều trị như thế nào mau khỏi bệnh, uống thuốc gì tốt? Mời quý khách nghe ý kiến của anh Quang ở Tiền Giang, đang uống thuốc và đắp thuốc trị gai cột sống, chữa thoát vị đĩa đệm chia sẻ, phát biểu.]]></description>
						<content:encoded><![CDATA[<h2 style="text-align: justify;"><span style="font-size:18px;">Thoát vị đĩa đệm l4/L5, thoái hóa cột sống thắt lưng, kèm theo gai thoái hóa các đốt sống thắt lưng. Đây là bệnh án được chia sẻ bởi anh Nguyễn Duy&nbsp;Quang ở Tiền Giang. Lương y Nguyễn Văn Minh điều trị cho&nbsp;anh Quang bằng cách: Trong uống thuốc bắc, ngoài đắp thuốc nam. Chỉ sau 2 liệu trình điều trị ngay tại nhà, những cơn đau thắt lưng&nbsp;gần như hết. Anh Quang đồng ý chia sẻ thông tin của mình, mời quý khách nghe ý kiến của&nbsp;anh Quang tại đây;</span></p><p><span style="font-size:18px;"><a href="https://chuabenhthoatvidiadem.vn/resources/files/Ghi âm cuộc gọi duy quang_180507_172340.mp3" title="">https://chuabenhthoatvidiadem.vn/.mp3</a></span></p><p>&nbsp;</p><p><img loading="lazy" alt="Thoát vị đĩa đệm thắt lưng" src="data:image/gif;base64,R0lGODlhAQABAID/AP///wAAACwAAAAAAQABAAACAkQBADs=" data-src="https://chuabenhthoatvidiadem.vn/resources/images/20180411_095233.jpg" style="width: 1158px; height: 1200px;" class="lazy" width="1158" height="1200" data-optimized="1" /></p><p><span style="font-size:18px;">Nếu bạn đọc ở Tiền Giang, có thể liên hệ tham khảo kinh nghiệm chữa bệnh của anh Quang tại địa chỉ: 149 Ấp Bắc, Phường 5, TP Mỹ Tho, tỉnh Tiền Giang (*)</span></p><p><span style="font-size:16px;">(*)&nbsp; &nbsp;&quot;Lưu ý: &nbsp;thuốc chữa thoát vị đĩa đệm /tác dụng nhanh hay chậm tùy&nbsp; vào&nbsp;cơ địa mỗi nguời&quot;</span></p><p><span style="font-size:16px;">&nbsp;Địa chỉ nhà thuốc:&nbsp;856/6 Quang Trung, P.8, Quận&nbsp;Gò Vấp, TP.HCM.</span></p>]]></content:encoded>
						<wfw:commentRss></wfw:commentRss>
						<slash:comments>0</slash:comments>
					</item>
				
					<item>
						<title>&quot;Nhờ thầy mà tôi không phải mổ thoát vị đĩa đệm &quot;. Hãy nghe bệnh nhân cũ phát biểu.</title>
						<link>https://chuabenhthoatvidiadem.vn/bai-viet/ket-qua-dieu-tri-thoat-vi-dia-dem/nho-thay-ma-toi-khong-phai-mo-thoat-vi-dia-dem-hay-nghe-benh-nhan-cu-phat-bieu-pid-41.html</link>
						<comments></comments>
						<pubDate>Tue, 13 Dec 2016 11:36:13 +0700</pubDate>
						<dc:creator>admin</dc:creator>
						<category><![CDATA[Kết quả điều trị thoát vị đĩa đệm]]></category>
						<guid isPermaLink="false"></guid>
						<description><![CDATA[Năm ngoái bác Chính uống hết 30 thang thuốc khỏi hẳn thoát vị đĩa đệm, nay bác gọi điện cho lương y Minh hỏi xem có chữa được bệnh đau thắt ngực cho bác hay không. Tôi cảm động khi bác nói &quot;Nhờ thầy mà tôi không phải mổ thoát vị đĩa đệm&quot;]]></description>
						<content:encoded><![CDATA[<p style="text-align: justify;"><span style="font-size:16px;">Năm 2015 bác Chính uống hết 30 thang thuốc khỏi hẳn thoát vị đĩa đệm, năm sau bác Chính gọi điện cho tôi (Lương y Nguyễn Văn Minh) hỏi xem có chữa được bệnh đau thắt ngực&nbsp;hay không. Tôi thật cảm động và ấn tượng với câu nói của bác: &quot;Nhờ thầy mà tôi không phải mổ thoát vị đĩa đệm&quot;.</span></p><p style="text-align: justify;"><span style="font-size:16px;">Khi tôi hẹn bác tới phòng khám để khám chữa&nbsp;bệnh đau ngực&nbsp;cho bác, bác đồng ý chia sẻ kết quả chụp MRI và nội dung câu chuyện. Tôi xin cảm ơn bác Chính&nbsp;rất nhiều (*)</span></p><p><img loading="lazy" alt="Mổ thoát vị đĩa đệm" src="data:image/gif;base64,R0lGODlhAQABAID/AP///wAAACwAAAAAAQABAAACAkQBADs=" data-src="https://chuabenhthoatvidiadem.vn/resources/images/20161211_093114(2).jpg" style="width: 650px; height: 693px;" class="lazy" width="1126" height="1200" data-optimized="1" /></p><p style="text-align: justify;"><span style="font-size:16px;">Kết quả chụp MRI cột sống thắt lưng của bác Chính năm 2015.</span></p><h2 style="text-align: justify;"><span style="font-size: 16px; text-align: justify;">Bác sĩ khuyên bác Chính&nbsp;</span><span style="font-size: 16px; text-align: justify;">nên <strong>mổ thoát vị đĩa đệm</strong>, nếu&nbsp;</span><span style="font-size:16px;">uống thuốc tây&nbsp;2 tuần không bớt đau nhức.&nbsp;Bác Chính quyết định không nên mổ, đi khám và uống thuốc đông y.</span></h2><h3><a href="https://chuabenhthoatvidiadem.vn/resources/files/Tho_i_022_m.mp3" title="">Bác Chính nói &quot;<strong>Nhờ thầy mà tôi không phải mổ thoát vị đĩa đệm</strong>&quot;</a></h3><p style="text-align: justify;"><span style="font-size:16px;">Hãy bấm vào liên kết trên&nbsp;đây để nghe nội dung câu chuyện&nbsp;giữa bác Chính và Lương y Minh (năm 2016)</span></p><p><span style="font-size:16px;">Ảnh chụp phiếu kết quả MRI của bác Chính ở trên chữ hơi nhỏ, tôi chép nguyên văn phần mô tả hình ảnh và kết luận của bác sĩ Bệnh Viện Thống Nhất, Bộ Y Tế ra đây để bạn đọc dễ tham khảo.</span></p><p><span style="font-size:16px;"><strong>MÔ TẢ HÌNH ẢNH:</strong></span></p><p><span style="font-size:16px;">- Không thấy bất thường tín hiệu vùng chóp tủy.</span></p><p><span style="font-size:16px;">- Đường cong sinh lý trong giới hạn bình thường.</span></p><p><span style="font-size:16px;">- Chiều cao thân sống các đốt sống thắt lưng bình thường.</span></p><p><span style="font-size:16px;">- Các dây chằng dọc trước, sau, dây chằng vàng hai bên và mô mềm cạnh sống không phát hiện bất thường. Không thấy bất thường cuống, cung.</span></p><p><span style="font-size:16px;">- Thoái hóa cột sống thắt lưng, thoái hóa khớp mấu&nbsp;bên cột sống thắt lưng.</span></p><p><span style="font-size:16px;">- Bề cao đĩa đệm cột sống thắt lưng bình thường. Thoái hóa mất nước đĩa đệm tầng L2/3, L3/4, L4/5, L5/S1 với tín hiệu thấp trên T2W.</span></p><p><span style="font-size:16px;">- Tầng L2-3 và L3-4: Không thấy hình ảnh lồi đĩa đệm, thoát vị đĩa đệm.</span></p><p><span style="font-size:16px;">- Tầng L4-5: Thoát vị đĩa đệm ra sau trung tâm, kích thước # 6-6,5mm, chèn ép vào rễ thần kinh L5 hai bên và gây hẹp ống sống (ĐK trước- sau # 6mm).</span></p><p><span style="font-size:16px;">- Tầng L5-S1: Lồi đĩa đệm ra sau, kích thước # 3-4mm, ép vào bao màng cứng ống sống nhưng không ảnh hưởng vào rễ thần kinh hai bên.</span></p><p><span style="font-size:16px;">- Các lỗ liên hợp hai bên bình thường.</span></p><p><span style="font-size:16px;"><strong>KẾT LUẬN:</strong></span></p><h3><span style="font-size:16px;">- Thoát vị đĩa đệm tầng L4/5 ra sau trung tâm, kích thước # 6-6,5mm, chèn ép vào rễ thần kinh L5 hai bên và gây hẹp ống sống (ĐK trước -sau # 6mm).</span></h3><p style="text-align: justify;"><span style="font-size:16px;">Khi bác Chính tới khám bệnh về cơn đau thắt ngực, Lương y Nguyễn Văn Minh đề nghị bác cho quay video, kể về&nbsp;việc chữa khỏi thoát vị đĩa đệm, giúp bác không phải mổ thoát vị đĩa đệm&nbsp;</span><span style="font-size: 16px; text-align: justify;">như thế nào</span><span style="font-size:16px;">&nbsp;ở phòng khám đông y Bảo Minh. Mời bạn đọc bấm vào video để xem một cách chân thực nhất.</span></p><p><span class="optimize-cls-iframe" data-src="https://www.youtube.com/embed/qSgsr1hAjtA">https://www.youtube.com/embed/qSgsr1hAjtA</span></p><p style="text-align: justify;"><em><span style="font-size:14px;">P/s; Do video quay từ tháng 12 năm 2016, lại ghi hình ngay tại phòng khám ở địa chỉ cũ: 373/5 Thống Nhất, nên hình ảnh và âm thanh không được rõ nét, nhưng đảm bảo được tính chân thực. Những trường hợp thoát vị đĩa đệm nhẹ không cần phải xem hết, còn những trường hợp đã chữa nhiều nơi chưa khỏi, bác sĩ yêu cầu mổ thoát vị đĩa đệm nhưng chưa muốn mổ, hãy nghe hết, xem hết những nội dung này, quý khách sẽ có đủ thông tin hữu ích.</span></em></p><p style="text-align: justify;"><span style="font-size:16px;">Tới&nbsp;tháng 6/2022; bác Chính có gọi cho tôi; Lương y Nguyễn Văn Minh, bác&nbsp;hỏi lại địa chỉ để mách người quen đến chữa thoát vị đĩa đệm. Xin trân trọng cảm ơn bác, một người Sài Gòn tốt bụng như bao người khác mà tôi đã từng gặp.</span></p><p style="text-align: justify;"><a href="https://chuabenhthoatvidiadem.vn/resources/files/Bác Chính khỏi TVDD.mp3" title="">Thầy thuốc chữa thoát vị đĩa đệm</a></p><p style="box-sizing: border-box; margin: 0px 0px 10px; padding: 0px; border: 0px; outline: 0px; font-size: 16px; vertical-align: baseline; background-image: initial; background-position: initial; background-size: initial; background-repeat: initial; background-attachment: initial; background-origin: initial; background-clip: initial; max-width: 100%; color: rgb(0, 0, 0); font-family: RobotoSlab-Regular, Arial, Helvetica, sans-serif; text-align: justify;"><span style="box-sizing: border-box; margin: 0px; padding: 0px; border: 0px; outline: 0px; vertical-align: baseline; background: transparent; max-width: 100%;">Quý khách&nbsp;đến khám chữa bệnh tại phòng khám đông y Bảo Minh, luôn&nbsp;được&nbsp;bảo&nbsp;mật&nbsp;thông tin. Phòng khám chỉ chia sẻ ý kiến khi được sự đồng ý của quý bệnh nhân, sau này vì bất cứ lý do gì quý khách không muốn công bố thông tin ở đây nữa, chúng tôi sẽ gỡ bài đăng xuống.&nbsp;Xin trân trọng cảm ơn quý khách.</span></p><p style="box-sizing: border-box; margin: 0px 0px 10px; padding: 0px; border: 0px; outline: 0px; font-size: 16px; vertical-align: baseline; background-image: initial; background-position: initial; background-size: initial; background-repeat: initial; background-attachment: initial; background-origin: initial; background-clip: initial; max-width: 100%; color: rgb(0, 0, 0); font-family: RobotoSlab-Regular, Arial, Helvetica, sans-serif; text-align: justify;">Bạn đọc nào muốn tìm hiểu thêm sự thật về thầy thuốc chuyên trị thoát vị đĩa đệm:<a data-ved="2ahUKEwihk4u_2av_AhUPmVYBHcEmD6o4RhAWegQICBAB" href="https://chuabenhthoatvidiadem.vn/cach-chua-benh/thay-thuoc-chua-thoat-vi-dia-dem-o-go-vap-thay-thuoc-10-that-pid-313.html" jsaction="rcuQ6b:npT2md" jscontroller="M9mgyc" jsname="qOiK6e" ping="/url?sa=t&amp;source=web&amp;rct=j&amp;url=https://chuabenhthoatvidiadem.vn/cach-chua-benh/thay-thuoc-chua-thoat-vi-dia-dem-o-go-vap-thay-thuoc-10-that-pid-313.html&amp;ved=2ahUKEwihk4u_2av_AhUPmVYBHcEmD6o4RhAWegQICBAB" style="color: rgb(26, 13, 171); text-decoration-line: none; -webkit-tap-highlight-color: rgba(0, 0, 0, 0.1); outline: 0px; font-family: arial, sans-serif; font-size: small;" title="">&nbsp;Bấm vào đây xem; Thầy Thuốc 10 thật.</a></p><p style="box-sizing: border-box; margin: 0px 0px 10px; padding: 0px; border: 0px; outline: 0px; font-size: 16px; vertical-align: baseline; background-image: initial; background-position: initial; background-size: initial; background-repeat: initial; background-attachment: initial; background-origin: initial; background-clip: initial; max-width: 100%; color: rgb(0, 0, 0); font-family: RobotoSlab-Regular, Arial, Helvetica, sans-serif; text-align: justify;"><span style="color: rgb(0, 0, 0); font-family: RobotoSlab-Regular, Arial, Helvetica, sans-serif; font-size: 16px; text-align: justify;">Để giữ gìn uy tín của thầy thuốc cũng như của phòng khám đông y Bảo Minh, chúng tôi chỉ chia sẻ thông tin có thật;&nbsp;thầy thuốc&nbsp;</span><span style="color: rgb(0, 0, 0); font-family: RobotoSlab-Regular, Arial, Helvetica, sans-serif; font-size: 16px; text-align: justify;">thật, giấy phép thật, địa chỉ thật,&nbsp;</span><span style="color: rgb(0, 0, 0); font-family: RobotoSlab-Regular, Arial, Helvetica, sans-serif; font-size: 16px; text-align: justify;">chữa khỏi bệnh thật sự. Cho n</span><span style="color: rgb(0, 0, 0); font-family: RobotoSlab-Regular, Arial, Helvetica, sans-serif; font-size: 16px; text-align: justify;">ên; những đơn vị tiếp thị quảng cáo, viết báo viết bài&nbsp;tung hô quảng cáo quá sự thật&nbsp;</span><span style="color: rgb(0, 0, 0); font-family: RobotoSlab-Regular, Arial, Helvetica, sans-serif; font-size: 16px; text-align: justify;">chúng tôi xin miễn tiếp, mong quý báo quý&nbsp;đài không gọi điện làm phiền, xin cảm ơn!</span></p><p style="box-sizing: border-box; margin: 0px 0px 10px; padding: 0px; border: 0px; outline: 0px; font-size: 16px; vertical-align: baseline; background-image: initial; background-position: initial; background-size: initial; background-repeat: initial; background-attachment: initial; background-origin: initial; background-clip: initial; max-width: 100%; color: rgb(0, 0, 0); font-family: RobotoSlab-Regular, Arial, Helvetica, sans-serif; text-align: justify;"><span style="box-sizing: border-box; margin: 0px; padding: 0px; border: 0px; outline: 0px; vertical-align: baseline; background: transparent; max-width: 100%;">Xem thêm:&nbsp;<a data-ved="2ahUKEwjxrtT74rb4AhWbQPUHHRkZD6IQFnoECBEQAQ" href="https://chuabenhthoatvidiadem.vn/cach-chua-benh/chinh-sach-bao-mat-thong-tin-pid-300.html" ping="/url?sa=t&amp;source=web&amp;rct=j&amp;url=https://chuabenhthoatvidiadem.vn/cach-chua-benh/chinh-sach-bao-mat-thong-tin-pid-300.html&amp;ved=2ahUKEwjxrtT74rb4AhWbQPUHHRkZD6IQFnoECBEQAQ" style="box-sizing: border-box; margin: 0px; padding: 0px; border: 0px; outline: 0px; font-size: small; vertical-align: baseline; background: transparent; color: rgb(26, 13, 171); text-decoration-line: none; transition: all 406ms ease-out 0s; max-width: 100%; -webkit-tap-highlight-color: rgba(0, 0, 0, 0.1); font-family: arial, sans-serif;" title="">Chính sách bảo mật thông tin -&nbsp; Chữa Thoát Vị Đĩa Đệm</a></span></p><h4 class="r" style="font-size: 18px; margin: 0px; padding: 0px; overflow: hidden; text-overflow: ellipsis; white-space: nowrap; color: rgb(34, 34, 34); font-family: arial, sans-serif;">&nbsp;<span style="font-size:16px;"><a href="https://chuabenhthoatvidiadem.vn/cach-chua-benh/dia-chi-chua-benh-thoat-vi-dia-dem-pid-73.html" style="color: rgb(102, 0, 153); cursor: pointer; text-decoration-line: none;" target="_blank" title="">Lương y chữa thoát vị đĩa đệm ở Tp Hồ Chí Minh: 856/6 Quang Trung, phường 8, Gò Vấp</a></span></h4><p><span style="font-size: 16px;">Nếu bạn nào muốn tư vấn cách chữa&nbsp;thoát vị đĩa đệm, liên hệ Lương y Nguyễn Văn Minh:&nbsp;0913503552- ĐT bàn; 02862951367.&nbsp;</span></p><p><span style="font-size: 16px;">Có thể bạn quan tâm:</span></p><p><a data-ved="2ahUKEwihk4u_2av_AhUPmVYBHcEmD6o4RhAWegQICxAB" href="https://chuabenhthoatvidiadem.vn/cach-chua-benh/trung-uong-hoi-dong-y-viet-nam-khen-tang-luong-y-nguyen-van-minh-pid-214.html" jsaction="rcuQ6b:npT2md" jscontroller="M9mgyc" jsname="qOiK6e" ping="/url?sa=t&amp;source=web&amp;rct=j&amp;url=https://chuabenhthoatvidiadem.vn/cach-chua-benh/trung-uong-hoi-dong-y-viet-nam-khen-tang-luong-y-nguyen-van-minh-pid-214.html&amp;ved=2ahUKEwihk4u_2av_AhUPmVYBHcEmD6o4RhAWegQICxAB" style="color: rgb(26, 13, 171); text-decoration-line: none; -webkit-tap-highlight-color: rgba(0, 0, 0, 0.1); outline: 0px; font-family: arial, sans-serif; font-size: small;" title="">Trung ương Hội Đông y Việt Nam khen tặng Lương y Nguyễn Văn Minh&nbsp;</a>.&nbsp; &nbsp;</p><p>&nbsp;<a data-ved="2ahUKEwiNu4X83av_AhWxs1YBHfpICJg4FBAWegQIGxAB" href="https://chuabenhthoatvidiadem.vn/cach-chua-benh/hoi-dong-y-quan-go-vap-tp-hcm-pid-285.html" jsaction="rcuQ6b:npT2md" jscontroller="M9mgyc" jsname="qOiK6e" ping="/url?sa=t&amp;source=web&amp;rct=j&amp;url=https://chuabenhthoatvidiadem.vn/cach-chua-benh/hoi-dong-y-quan-go-vap-tp-hcm-pid-285.html&amp;ved=2ahUKEwiNu4X83av_AhWxs1YBHfpICJg4FBAWegQIGxAB" style="font-size: small; color: rgb(26, 13, 171); text-decoration-line: none; -webkit-tap-highlight-color: rgba(0, 0, 0, 0.1); outline: 0px; font-family: arial, sans-serif;" title="">Hội Đông y quận Gò Vấp, TP. HCM. Nơi sinh hoạt của những thầy thuốc đông.&nbsp; &nbsp;</a></p><h3 class="LC20lb MBeuO DKV0Md" style="margin: 18px 0px 3px; padding: 5px 0px 0px; font-size: 20px; line-height: 1.3; display: inline-block;"><a data-ved="2ahUKEwiPqICc3av_AhU1tVYBHSRZAQI4WhAWegQIGRAB" href="https://chuabenhthoatvidiadem.vn/cach-chua-benh/thuoc-chua-thoat-vi-dia-dem-tot-nhat-l-phai-ke-don-thuoc-cua-tung-nguoi-pid-247.html" jsaction="rcuQ6b:npT2md" jscontroller="M9mgyc" jsname="qOiK6e" ping="/url?sa=t&amp;source=web&amp;rct=j&amp;url=https://chuabenhthoatvidiadem.vn/cach-chua-benh/thuoc-chua-thoat-vi-dia-dem-tot-nhat-l-phai-ke-don-thuoc-cua-tung-nguoi-pid-247.html&amp;ved=2ahUKEwiPqICc3av_AhU1tVYBHSRZAQI4WhAWegQIGRAB" style="color: rgb(26, 13, 171); text-decoration-line: none; -webkit-tap-highlight-color: rgba(0, 0, 0, 0.1); outline: 0px; font-family: arial, sans-serif; font-size: small;" title="">Thuốc chữa thoát vị đĩa đệm tốt nhất, là phải kê đơn thuốc cho từng trường hợp bệnh cụ thể</a></h3><h3 class="LC20lb MBeuO DKV0Md" style="margin: 18px 0px 3px; padding: 5px 0px 0px; font-size: 20px; line-height: 1.3; display: inline-block;"><a data-ved="2ahUKEwiNu4X83av_AhWxs1YBHfpICJg4FBAWegQIGxAB" href="https://chuabenhthoatvidiadem.vn/cach-chua-benh/hoi-dong-y-quan-go-vap-tp-hcm-pid-285.html" jsaction="rcuQ6b:npT2md" jscontroller="M9mgyc" jsname="qOiK6e" ping="/url?sa=t&amp;source=web&amp;rct=j&amp;url=https://chuabenhthoatvidiadem.vn/cach-chua-benh/hoi-dong-y-quan-go-vap-tp-hcm-pid-285.html&amp;ved=2ahUKEwiNu4X83av_AhWxs1YBHfpICJg4FBAWegQIGxAB" style="color: rgb(26, 13, 171); text-decoration-line: none; -webkit-tap-highlight-color: rgba(0, 0, 0, 0.1); outline: 0px; font-family: arial, sans-serif; font-size: small;" title="">&nbsp;&nbsp;</a></h3><h3 class="LC20lb MBeuO DKV0Md" style="margin: 18px 0px 3px; padding: 5px 0px 0px; font-size: 20px; line-height: 1.3; display: inline-block;"><a title="" data-ved="2ahUKEwjHjYzx36v_AhUDCN4KHUI6BBI4KBAWegQICBAB" href="https://chuabenhthoatvidiadem.vn/cach-chua-benh/chia-se-kinh-nghiem-chua-benh-thoat-vi-dia-dem-pid-240.html" jsaction="rcuQ6b:npT2md" jscontroller="M9mgyc" jsname="qOiK6e" ping="/url?sa=t&amp;source=web&amp;rct=j&amp;url=https://chuabenhthoatvidiadem.vn/cach-chua-benh/chia-se-kinh-nghiem-chua-benh-thoat-vi-dia-dem-pid-240.html&amp;ved=2ahUKEwjHjYzx36v_AhUDCN4KHUI6BBI4KBAWegQICBAB" style="color: rgb(26, 13, 171); text-decoration-line: none; -webkit-tap-highlight-color: rgba(0, 0, 0, 0.1); outline: 0px; font-family: arial, sans-serif; font-size: small;">Quý khách bị thoát vị đĩa đệm L4/L5 chia sẻ kinh nghiệm chữa bệnh&nbsp;</a></h3><p><span style="font-size: 16px;">(*) &nbsp; &quot;Lưu ý: thuốc chữa thoát vị đĩa đệm/tác dụng nhanh hay chậm tùy theo tình trạng, triệu chứng bệnh&nbsp;mỗi nguời&quot;</span></p><p><span style="background-color: transparent; color: rgb(0, 0, 0); font-family: RobotoSlab-Regular, Arial, Helvetica, sans-serif; font-size: 16px; text-align: justify; white-space: nowrap;">Tìm hiểu thông tin Lương y Nguyễn Văn Minh, chuyên chữa thoát vị đĩa đệm ở TP.HCM&nbsp;tại trang web:</span></p><p><span style="background-color: transparent; color: rgb(0, 0, 0); font-family: RobotoSlab-Regular, Arial, Helvetica, sans-serif; font-size: 16px; text-align: justify; white-space: nowrap;">thoatvidiadem.top</span></p><h3 class="r" style="line-height: 1.1; box-sizing: border-box; margin: 0px; padding: 0px; border: 0px; outline: 0px; font-size: 18px; vertical-align: baseline; background-image: initial; background-position: initial; background-size: initial; background-repeat: initial; background-attachment: initial; background-origin: initial; background-clip: initial; font-family: RobotoSlab-Regular, Arial, Helvetica, sans-serif; color: rgb(0, 0, 0); max-width: 100%; overflow: hidden; text-overflow: ellipsis; white-space: nowrap;"><a href="https://chuabenhthoatvidiadem.vn/" style="color: rgb(102, 0, 153); box-sizing: border-box; margin: 0px; padding: 0px; border: 0px; outline: 0px; vertical-align: baseline; background: transparent; text-decoration-line: none; transition: all 406ms ease-out 0s; max-width: 100%; cursor: pointer;" target="_blank" title="">Thoát Vị Đĩa Đệm</a></h3><div class="s" style="box-sizing: border-box; margin: 0px; padding: 0px; border: 0px; outline: 0px; font-size: 16px; vertical-align: baseline; background-image: initial; background-position: initial; background-size: initial; background-repeat: initial; background-attachment: initial; background-origin: initial; background-clip: initial; position: relative; max-width: 48em; font-family: RobotoSlab-Regular, Arial, Helvetica, sans-serif; color: rgb(84, 84, 84); line-height: 18px;"><div class="f kv _SWb" style="box-sizing: border-box; margin: 0px; padding: 0px; border: 0px; outline: 0px; font-size: small; vertical-align: baseline; background: transparent; position: relative; max-width: 100%; color: rgb(128, 128, 128); height: 18px; line-height: 16px; font-family: arial, sans-serif; white-space: nowrap;"><cite class="_Rm" style="box-sizing: border-box; margin: 0px; padding: 0px; border: 0px; outline: 0px; font-size: 14px; vertical-align: baseline; background: transparent; max-width: 100%; color: rgb(0, 102, 33); font-style: normal;">chuabenhthoatvidiadem.vn</cite></div></div>]]></content:encoded>
						<wfw:commentRss></wfw:commentRss>
						<slash:comments>0</slash:comments>
					</item>
				
					<item>
						<title>Thoát vị đĩa đệm cột sống nên ăn gì</title>
						<link>https://chuabenhthoatvidiadem.vn/bai-viet/ket-qua-dieu-tri-thoat-vi-dia-dem/thoat-vi-dia-dem-cot-song-nen-an-gi-pid-202.html</link>
						<comments></comments>
						<pubDate>Fri, 23 Feb 2018 11:32:31 +0700</pubDate>
						<dc:creator>admin</dc:creator>
						<category><![CDATA[Kết quả điều trị thoát vị đĩa đệm]]></category>
						<guid isPermaLink="false"></guid>
						<description><![CDATA[Thoát vị đĩa đệm cột sống nên ăn gì, những món ăn trị bệnh thoát vị đĩa đệm là món nào, ăn gì chữa bệnh thoát vị đĩa đệm mau khỏi, thức ăn tốt cho người bệnh thoát vị đĩa đệm là gì?...rất nhiều thắc mắc được gửi tới phòng khám đông y Bảo Minh nhờ tư vấn.]]></description>
						<content:encoded><![CDATA[<h2 style="text-align: justify;"><span style="font-size:18px;">Thoát vị đĩa đệm cột sống nên ăn gì, những món ăn trị&nbsp;bệnh thoát vị đĩa đệm là món nào,&nbsp;ăn gì&nbsp;chữa&nbsp;bệnh&nbsp;thoát vị đĩa đệm mau khỏi, thức ăn tốt cho người bệnh&nbsp;thoát vị đĩa đệm là gì?...rất nhiều thắc mắc được&nbsp;gửi tới phòng khám đông y Bảo Minh.</span></h2><h2><span style="font-size:20px;">Nên ăn gì khi bị thoát vị đĩa đệm? Lương y Nguyễn Văn Minh khuyên như sau:&nbsp;</span></h2><p><span style="font-size:16px;">Người bệnh nên lưu ý ăn&nbsp;những loại thức ăn dưới đây:</span></p><p><span style="font-size:16px;">&bull; &nbsp;Ăn những thức ăn chứa nhiều canxi như: thịt cá, cua, ốc, nghêu, sò, hàu, tôm...</span></p><p><span style="font-size:16px;">&bull; Ăn thức ăn chế biến từ&nbsp;gân, xương của các loại động vật: hươu, nai,&nbsp;rùa, ba ba, cua đinh,&nbsp;heo, bò, dê, cừu...</span></p><p><span style="font-size: 16px;">&bull; Các món ăn được chế biến&nbsp;từ các&nbsp;loại:&nbsp;rắn, lươn, chạch, cá chình, cá hồi...</span></p><p><span style="font-size:16px;">&bull; Nên ăn nhiều loại rau củ quả bổ sung hàng ngày, lưu ý các loại rau có màu xanh thẫm sẽ tốt hơn.</span></p><p><span style="font-size: 16px;">&bull; Nên uống sữa và các sản phẩm chế biến từ sữa. Uống nước ép hoặc ăn trái cây, ăn nhiều các loại trái cây họ cam quýt, trái cây có vị chua.</span></p><p><span style="font-size:16px;">&bull; Có điều kiện nên ăn:</span></p><p><span style="font-size:16px;">&nbsp; - Các loại cao xương: Cao sơn dương, cao xương trăn, cao xương ngựa, cao ban long, cao quy bản, cao yếm mai ba ba. Một số đông vật hoang dã nấu cao rất tốt như: như&nbsp;cao hổ cốt, cao xương&nbsp;gấu, cao xương khỉ nhưng hiện nay nhà nước cấm săn bắt, có thể thay thế bằng cao động vật nuôi nhốt cũng tốt.</span></p><p><span style="font-size:16px;">&nbsp; - Nhung hươu, nhung nai, sừng hươu, gạc nai, (những người sợ mập, người béo phì, còn ít tuổi không nên ăn).</span></p><p><img loading="lazy" alt="thoát vị đĩa đệm cột sống nên ăn gì" src="data:image/gif;base64,R0lGODlhAQABAID/AP///wAAACwAAAAAAQABAAACAkQBADs=" data-src="https://chuabenhthoatvidiadem.vn/resources/images/thoát vị đĩa đệm ăn gì.jpg" style="width: 850px; height: 567px;" class="lazy" width="1296" height="864" data-optimized="1" /></p><p>&nbsp; &nbsp; &nbsp; &nbsp; &nbsp; &nbsp; &nbsp; &nbsp;<span style="font-size:16px;"><em>&nbsp;Món ăn ba ba nấu chuối đậu.</em></span></p><p><span style="font-size:16px;"><em>Rùa, cua đinh, ba ba là những&nbsp;món ăn bổ dưỡng cho người bị thoát vị đĩa đệm cột sống, thoái hóa cột sống, gai cột sống, thoái hóa đĩa đệm cột sống. </em></span></p><p><span style="font-size:16px;"><em>Lưu ý: Sau khi ăn, còn lại&nbsp;yếm rùa,&nbsp; yếm ba ba, yếm&nbsp;cua đinh mang rửa sạch nướng chín đập vụn dùng để nấu cao chữa bệnh rất tốt.</em></span></p><p style="text-align: justify;"><em><span style="font-size:16px;">Nếu bạn hoặc người thân&nbsp;đã chữa thoát vị đĩa đệm ở nhiều nơi nhưng chưa&nbsp;khỏi,&nbsp;hãy liên hệ với lương y Nguyễn Văn Minh. Mọi&nbsp; người sẽ được khám bệnh, tư vấn,&nbsp;hướng dấn&nbsp;cách chữa thoát vị đĩa đệm ngay tại nhà: kết hợp trong uống thuốc, ngoài đắp thuốc, chỉ&nbsp;cần từ 1-2 liệu trình bệnh đã giảm trên 90%.&nbsp;Bài thuốc sử dụng tại phòng khám được kế thừa từ những tinh hoa của các&nbsp;thầy thuốc là danh y nổi tiếng Việt Nam, cộng với kinh nghiệm chữa bệnh thực tế hơn 20 năm, lương y Nguyễn Văn Minh đã đúc rút được bài thuốc trị bệnh tốt nhất, hiệu quả nhất để&nbsp;điều trị bệnh thoát vị đĩa đệm. Bài thuốc là cứu cánh cho hàng ngàn người khỏi hẳn thoát vị đĩa đệm, hồi phục đĩa đệm cột sống dẻo dai để họ trở lại lao động, sinh hoạt bình thường.</span></em></p><p style="text-align: justify;"><span style="font-size:16px;">&nbsp;Chữa&nbsp;thoát vị đĩa đệm cột sống cần có hiệu quả nhìn&nbsp;thấy, phòng khám đã gọi điện hỏi thăm 1 số người&nbsp;đã&nbsp;khỏi bệnh từ&nbsp;1 năm trở lên, được sự đồng ý của quý bệnh nhân, chúng tôi xin giới thiệu&nbsp;bệnh án thoát vị đĩa đệm của họ tại trang web của phòng khám. Đây là những bệnh án của người thật, địa chỉ thật, âm thanh thật nên có lúc âm thanh nghe không rõ, mong bạn đọc lưu tâm&nbsp;.</span></p><p style="text-align: justify;"><span style="font-size:16px;"><span style="text-align: justify;">&rArr;&nbsp;&nbsp;</span><a href="https://chuabenhthoatvidiadem.vn/cach-chua-benh/anh-hoang-khoi-dau-nhuc-ba-vai-te-cach-tay-do-thoat-vi-dia-dem-cot-song-co-pid-7.html" style="color: rgb(102, 0, 153); cursor: pointer; text-decoration-line: none;" target="_blank" title="">Đau bả vai lan xuống&nbsp;cách tay, phương pháp&nbsp;chữa dứt điểm tận gốc</a></span></p><p style="text-align: justify;"><span style="font-size: 16px; text-align: justify;">&rArr;</span>&nbsp;&nbsp;<span style="font-size: 16px;"><a href="https://chuabenhthoatvidiadem.vn/cach-chua-benh/chua-benh-dau-cot-song-thoat-vi-dia-dem-la-nguyen-nhan-hang-dau-pid-143.html" style="color: rgb(102, 0, 153); font-family: arial, sans-serif; white-space: nowrap; cursor: pointer; text-decoration-line: none;" target="_blank" title="">Cách chữa thoát vị đĩa đệm cột sống thắt lưng, tầng L3/4, L4/5</a></span></p><p><span style="font-size: 16px; text-align: justify;">&rArr;</span><span style="font-size: 16px;">&nbsp;<a href="https://chuabenhthoatvidiadem.vn/cach-chua-benh/thuoc-chua-thoat-vi-dia-dem-toi-uong-20-thang-het-dau-roi-thay-pid-127.html" style="color: rgb(102, 0, 153); font-family: arial, sans-serif; white-space: nowrap; cursor: pointer; text-decoration-line: none;" target="_blank" title="">Thoát vị đĩa đệm và phương pháp điều trị, kết quả chụp MRI ở BV Chợ Rẫy</a></span></p><p><span style="font-size: 16px; text-align: justify;">&rArr;</span><span style="text-align: justify;">&nbsp;&nbsp;</span><span style="font-size: 16px;"><a href="https://chuabenhthoatvidiadem.vn/cach-chua-benh/benh-thoat-vi-dia-dem-cot-song-co-nhieu-tang-co-chua-duoc-khong-pid-68.html" style="color: rgb(102, 0, 153); cursor: pointer; text-decoration-line: none;" target="_blank" title="">Thoát vị đĩa đệm đốt sống cổ; C4-C5, C5-C6, C6-C7</a></span></p><p><span style="font-size: 16px; text-align: justify;">&rArr;</span><span style="text-align: justify;">&nbsp;&nbsp;</span><span style="font-size: 16px;"><a href="https://chuabenhthoatvidiadem.vn/cach-chua-benh/hoi-tham-bac-cuc-chua-benh-dau-vai-gay-cach-nay-gan-2-nam-pid-34.html" style="color: rgb(102, 0, 153); cursor: pointer;" target="_blank" title="">Chữa đau vai gáy, đau bả vai cánh tay khỏi bệnh.</a></span></p><p><span style="font-size: 16px; text-align: justify;">&rArr;</span><span style="text-align: justify;">&nbsp;</span><span style="font-size: 16px;"><a href="https://chuabenhthoatvidiadem.vn/cach-chua-benh/luong-y-minh-chua-thoat-vi-dia-dem-cho-anh-ut-khoi-benh-gan-nam-nay-pid-22.html" style="color: rgb(102, 0, 153); cursor: pointer; text-decoration-line: none;" target="_blank" title="">Thoát vị đĩa đệm và gai cột sống, MRI ở BV Chấn Thương Chỉnh Hình TpHCM</a></span></p><p><span style="font-size: 16px; text-align: justify;">&rArr;</span><span style="text-align: justify;"><span style="font-size: 16px;">&nbsp;</span></span><span style="font-size: 16px;"><a href="https://chuabenhthoatvidiadem.vn/cach-chua-benh/uong-thuoc-cua-thay-chua-thoat-vi-dia-dem-co-toi-het-moi-co-het-dau-vai-gay-pid-115.html" style="color: rgb(102, 0, 153); cursor: pointer; text-decoration-line: none;" target="_blank" title="">Cách chữa mỏi cổ, đau vai gáy, 3 năm không đau lại</a></span></p><p style="text-align: justify;"><em><span style="font-size:16px;">Xem thêm:</span></em></p><p style="text-align: justify;"><span style="font-size:16px;"><a data-="" href="https://www.google.com.vn/url?sa=t&amp;rct=j&amp;q=&amp;esrc=s&amp;source=web&amp;cd=81&amp;ved=0ahUKEwjJ6ojWlMjZAhULE5QKHW3SCfM4UBAWCCMwAA&amp;url=http%3A%2F%2Fchuabenhthoatvidiadem.vn%2Fcach-chua-benh%2Fnghe-truc-tiep-nhung-nguoi-duoc-luong-y-minh-chua-khoi-thoat-vi-dia-dem-cid-4-10.html&amp;usg=AOvVaw1nL3j2PPH-eQQOySBpwh5K" style="color: rgb(102, 0, 153); cursor: pointer;" target="_blank" title="">Hiệu quả bài thuốc chữa thoát vị&nbsp;đĩa đệm</a></span></p><p style="text-align: justify;"><span style="font-size: 16px;">Địa chỉ chữa&nbsp;thoát vị đĩa đệm ở TPHCM: 856/6 Quang Trung, P8, Quận Gò Vấp.</span></p><p style="text-align: justify;"><span style="background-color: transparent; font-size: 16px; color: rgb(0, 0, 0); font-family: RobotoSlab-Regular, Arial, Helvetica, sans-serif;">Trang web chuyên sâu về chữa bệnh thoát vị đĩa đệm của Lương y Nguyễn Văn Minh:</span></p><h3 class="r" style="box-sizing: border-box; margin: 0px; padding: 0px; border: 0px; outline: 0px; font-size: 18px; vertical-align: baseline; background-image: initial; background-position: initial; background-size: initial; background-repeat: initial; background-attachment: initial; background-origin: initial; background-clip: initial; font-family: RobotoSlab-Regular, Arial, Helvetica, sans-serif; line-height: 1.1; color: rgb(0, 0, 0); max-width: 100%; overflow: hidden; text-overflow: ellipsis; white-space: nowrap;"><a href="https://chuabenhthoatvidiadem.vn/" style="box-sizing: border-box; margin: 0px; padding: 0px; border: 0px; outline: 0px; vertical-align: baseline; background: transparent; color: rgb(102, 0, 153); text-decoration-line: none; transition: all 406ms ease-out 0s; max-width: 100%; cursor: pointer;" target="_blank" title="">Cách Chữa Bệnh Thoát Vị Đĩa Đệm</a></h3><div class="s" style="box-sizing: border-box; margin: 0px; padding: 0px; border: 0px; outline: 0px; font-size: 16px; vertical-align: baseline; background-image: initial; background-position: initial; background-size: initial; background-repeat: initial; background-attachment: initial; background-origin: initial; background-clip: initial; position: relative; max-width: 48em; font-family: RobotoSlab-Regular, Arial, Helvetica, sans-serif; color: rgb(84, 84, 84); line-height: 18px;"><div class="f kv _SWb" style="box-sizing: border-box; margin: 0px; padding: 0px; border: 0px; outline: 0px; font-size: small; vertical-align: baseline; background: transparent; position: relative; max-width: 100%; color: rgb(128, 128, 128); height: 18px; line-height: 16px; font-family: arial, sans-serif; white-space: nowrap;"><cite class="_Rm" style="box-sizing: border-box; margin: 0px; padding: 0px; border: 0px; outline: 0px; font-size: 14px; vertical-align: baseline; background: transparent; max-width: 100%; color: rgb(0, 102, 33); font-style: normal;">chuabenhthoatvidiadem.vn/</cite></div></div>]]></content:encoded>
						<wfw:commentRss></wfw:commentRss>
						<slash:comments>0</slash:comments>
					</item>
				
					<item>
						<title>Thoát vị đĩa đệm ăn kiêng những gì</title>
						<link>https://chuabenhthoatvidiadem.vn/bai-viet/nghe-truc-tiep-nhung-nguoi-duoc-luong-y-minh-chua-khoi-thoat-vi-dia-dem/thoat-vi-dia-dem-an-kieng-nhung-gi-pid-258.html</link>
						<comments></comments>
						<pubDate>Sun, 26 May 2019 11:04:08 +0700</pubDate>
						<dc:creator>admin</dc:creator>
						<category><![CDATA[Nghe trực tiếp những người được lương y Minh chữa khỏi thoát vị đĩa đệm ]]></category>
						<guid isPermaLink="false"></guid>
						<description><![CDATA[Thoát vị đĩa đệm ăn kiêng những gì, món ăn trị thoát vị đĩa đệm là gì, thoát vị đĩa đệm nên ăn uống gì,]]></description>
						<content:encoded><![CDATA[<p style="text-align: justify;"><em><span style="font-size:18px;">Thoát vị đĩa đệm ăn kiêng những gì? Đây là câu hỏi được người bệnh thoát vị đĩa đệm quan tâm, nếu bạn chữa bệnh bằng thuốc tây thì bác sĩ chuyên khoa cột sống không yêu cầu bạn&nbsp;phải ăn kiêng gì. Ăn kiêng chỉ áp dụng cho người bệnh đang&nbsp;điều trị bằng thuốc đông y, tuy nhiên mỗi bài thuốc, mỗi ông thầy đông y lại dặn bệnh nhân ăn kiêng mỗi khác nhau.&nbsp;Điều này cũng dễ hiểu vì kinh nghiệm trị bệnh mỗi thầy thuốc mỗi khác, tác dụng trị bệnh của các bài thuốc cũng không giống nhau,&nbsp;lại có những vị thuốc cần phải kiêng thức ăn này nhưng lại không cần kiêng thức ăn kia .v.v.</span></em></p><p><em><span style="font-size:18px;"><img loading="lazy" alt="Chữa thoát vị đĩa đệm bằng đông y" src="data:image/gif;base64,R0lGODlhAQABAID/AP///wAAACwAAAAAAQABAAACAkQBADs=" data-src="https://chuabenhthoatvidiadem.vn/resources/images/20190316_095444.jpg" style="width: 800px; height: 600px;" class="lazy" width="1600" height="1200" data-optimized="1" /></span></em></p><p><em><span style="font-size:18px;"><span style="font-size: 14px;">Hốt thuốc trị thoát vị đĩa đệm tại nhà thuốc đông y&nbsp;Bảo Minh</span></span></em></p><p style="text-align: justify;"><span style="font-size:16px;">Nếu bạn hoặc người nhà, đang uống thuốc chữa thoát vị đĩa đệm tại phòng khám đông y Bảo Minh, thì nên kiêng những thức ăn sau cho mau khỏi bệnh: Thịt chó, măng tươi, măng khô, cà pháo, đậu xanh, rau muống. Rượu bia uống hạn chế (không cần kiêng tuyệt đối), Ngoài những món ăn và thức uống như trên, có một số thức ăn không phù hợp với những người bị thêm những chứng bệnh khác, lương y Nguyễn Văn Minh sẽ có lời khuyên ăn kiêng chi tiết cho mỗi người. Điện thoại: 0913503552 - 02862951367</span></p><p style="text-align: justify;"><span style="font-size:16px;">Có thể bạn quan tâm</span></p><h3 class="LC20lb" style="font-size: 18px; margin: 0px; padding: 0px; display: inline-block; line-height: 1.33;"><a href="https://chuabenhthoatvidiadem.vn/cach-chua-benh/thuoc-chua-thoat-vi-dia-dem-toi-uong-20-thang-het-dau-roi-thay-pid-127.html" style="color: rgb(102, 0, 153); cursor: pointer; text-decoration-line: none; font-family: arial, sans-serif; font-size: small;" target="_blank" title="">Thuốc chữa thoát vị đĩa đệm hay quá, em uống 20 thang hết đau rồi thầy</a></h3><p>&nbsp;</p><p><a href="https://chuabenhthoatvidiadem.vn/cach-chua-benh/thuoc-chua-thoat-vi-dia-dem-tot-qua-em-het-te-chan-roi-bac-si-pid-236.html" style="color: rgb(102, 0, 153); cursor: pointer; text-decoration-line: none; font-family: arial, sans-serif; font-size: small;" target="_blank" title="">Thuốc chữa thoát vị đĩa đệm tốt quá, em hết tê chân rồi bác sĩ</a></p><p>&nbsp;</p><h3 class="LC20lb" style="font-size: 18px; margin: 0px; padding: 0px; display: inline-block; line-height: 1.33;"><a href="https://chuabenhthoatvidiadem.vn/cach-chua-benh/thoat-vi-dia-dem-cot-song-that-lung-cach-chua-khoi-benh-khong-tai-phat-pid-79.html" style="color: rgb(102, 0, 153); cursor: pointer; text-decoration-line: none; font-family: arial, sans-serif; font-size: small;" target="_blank" title="">Thoát vị đĩa đệm cột sống thắt lưng, xem cách chữa khỏi bệnh </a></h3><p>&nbsp;</p><h3 class="LC20lb" style="font-size: 18px; margin: 0px; padding: 0px; display: inline-block; line-height: 1.33;"><a href="https://chuabenhthoatvidiadem.vn/cach-chua-benh/khoi-thoat-vi-dia-dem-cot-song-that-lung-sau-hon-1-thang-dieu-tri-pid-37.html" style="color: rgb(102, 0, 153); cursor: pointer; text-decoration-line: none; font-family: arial, sans-serif; font-size: small;" target="_blank" title="">Khỏi thoát vị đĩa đệm cột sống thắt lưng sau hơn 1 tháng điều trị</a></h3><p>&nbsp;</p><h3 class="LC20lb" style="font-size: 18px; margin: 0px; padding: 0px; display: inline-block; line-height: 1.33;"><a href="https://chuabenhthoatvidiadem.vn/cach-chua-benh/nghe-truc-tiep-nhung-nguoi-duoc-luong-y-minh-chua-khoi-thoat-vi-dia-dem-cid-4-10.html" style="color: rgb(102, 0, 153); cursor: pointer; text-decoration-line: none; font-family: arial, sans-serif; font-size: small;" target="_blank" title="">Nghe trực tiếp những người được lương y Minh chữa khỏi bệnh </a></h3><p>&nbsp;</p><h3 class="LC20lb" style="font-size: 18px; margin: 0px; padding: 0px; display: inline-block; line-height: 1.33;"><a href="https://chuabenhthoatvidiadem.vn/cach-chua-benh/vao-google-go-chu-chua-thoat-vi-dia-dem-gap-luong-y-nguyen-van-minh-pid-242.html" style="color: rgb(102, 0, 153); cursor: pointer; text-decoration-line: none; font-family: arial, sans-serif; font-size: small;" target="_blank" title="">Chữa thoát vị đĩa đệm gặp lương y Nguyễn Văn Minh</a></h3><p>&nbsp;</p><h3 class="LC20lb" style="font-size: 18px; margin: 0px; padding: 0px; display: inline-block; line-height: 1.33;"><a href="https://chuabenhthoatvidiadem.vn/cach-chua-benh/dau-that-lung-do-loi-dia-dem-uong-thuoc-dap-thuoc-khoi-benh-sau-15-ngay-pid-211.html" style="color: rgb(102, 0, 153); cursor: pointer; text-decoration-line: none; font-family: arial, sans-serif; font-size: small;" target="_blank" title="">Đau thắt lưng do lồi đĩa đệm, uống thuốc &amp; đắp thuốc khỏi bệnh </a></h3><p>&nbsp;</p><h3 class="LC20lb" style="font-size: 18px; margin: 0px; padding: 0px; display: inline-block; line-height: 1.33;"><a href="https://chuabenhthoatvidiadem.vn/cach-chua-benh/luong-y-minh-chua-thoat-vi-dia-dem-cho-anh-ut-khoi-benh-gan-nam-nay-pid-22.html" style="color: rgb(102, 0, 153); cursor: pointer; text-decoration-line: none; font-family: arial, sans-serif; font-size: small;" target="_blank" title="">Lương yNguyễn Văn&nbsp;&nbsp;Minh chữa thoát vị đĩa đệm cho anh Út ở Đồng Tháp</a></h3><p>&nbsp;</p><h3 class="LC20lb" style="font-size: 18px; margin: 0px; padding: 0px; display: inline-block; line-height: 1.33;"><a href="https://chuabenhthoatvidiadem.vn/cach-chua-benh/nho-thay-ma-toi-khong-phai-mo-thoat-vi-dia-dem-hay-nghe-benh-nhan-cu-phat-bieu-pid-41.html" style="color: rgb(102, 0, 153); cursor: pointer; text-decoration-line: none; font-family: arial, sans-serif; font-size: small;" target="_blank" title="">Nhờ thầy mà tôi không phải mổ thoát vị đĩa đệm, nghe người bệnh kể&nbsp;</a></h3><p>&nbsp;</p><h3 class="LC20lb" style="font-size: 18px; margin: 0px; padding: 0px; display: inline-block; line-height: 1.33;"><a href="https://chuabenhthoatvidiadem.vn/cach-chua-benh/uong-thuoc-cua-thay-chua-thoat-vi-dia-dem-co-toi-het-moi-co-het-dau-vai-gay-pid-115.html" style="color: rgb(102, 0, 153); cursor: pointer; text-decoration-line: none; font-family: arial, sans-serif; font-size: small;" target="_blank" title="">Uống thuốc của thầy&nbsp;tôi hết mỏi cổ, hết đau vai gáy</a></h3><p>&nbsp;</p><h3 class="LC20lb" style="font-size: 18px; margin: 0px; padding: 0px; display: inline-block; line-height: 1.33;"><a href="https://chuabenhthoatvidiadem.vn/bai-viet/ket-qua-dieu-tri-thoat-vi-dia-dem/thoat-vi-dia-dem-that-lung-toi-9mm-co-chua-duoc-khong-pid-208.html" style="color: rgb(102, 0, 153); cursor: pointer; text-decoration-line: none; font-family: arial, sans-serif; font-size: small;" target="_blank" title="">Thoát vị đĩa đệm thắt lưng tới 9mm, có chữa được không</a></h3><p>&nbsp;</p><h3 class="LC20lb" style="font-size: 18px; margin: 0px; padding: 0px; display: inline-block; line-height: 1.33;"><a href="https://chuabenhthoatvidiadem.vn/cach-chua-benh/cham-dut-dau-vai-gay-do-thoat-vi-dia-dem-cot-song-co-sau-3-tuan-dieu-tri-anh-chup-mri-tai-bv-dai-hoc-y-duoc-tp-hcm-pid-65.html" style="color: rgb(102, 0, 153); cursor: pointer; text-decoration-line: none; font-family: arial, sans-serif; font-size: small;" target="_blank" title="">Hết đau vai gáy do thoát vị đĩa đệm cột sống cổ sau 3 tuần điều trị&nbsp;</a></h3>]]></content:encoded>
						<wfw:commentRss></wfw:commentRss>
						<slash:comments>0</slash:comments>
					</item>
				
					<item>
						<title>Chữa bệnh thoát vị đĩa đệm bằng đông y ở đâu tốt</title>
						<link>https://chuabenhthoatvidiadem.vn/bai-viet/ket-qua-dieu-tri-thoat-vi-dia-dem/chua-benh-thoat-vi-dia-dem-bang-dong-y-o-dau-tot-pid-234.html</link>
						<comments></comments>
						<pubDate>Wed, 07 Nov 2018 09:26:08 +0700</pubDate>
						<dc:creator>admin</dc:creator>
						<category><![CDATA[Kết quả điều trị thoát vị đĩa đệm]]></category>
						<guid isPermaLink="false"></guid>
						<description><![CDATA[Chữa bệnh thoát vị đĩa đệm bằng đông y ở đâu tốt, làm sao tìm được thầy thuốc đông y giỏi chuyên môn chữa bệnh đĩa đệm cột sống? Cách tìm hiểu hay nhất là từ người bệnh kể cho bạn biết họ đã chữa bệnh ở đâu, cách chữa bệnh bằng thuốc đông y như thế nào, đơn thuốc chữa thoát vị đĩa đệm có giá bao nhiêu?]]></description>
						<content:encoded><![CDATA[<p style="text-align: justify;"><em><span style="font-size:18px;">Chữa bệnh thoát vị đĩa đệm bằng đông y ở đâu tốt, làm sao tìm được thầy thuốc đông y giỏi chuyên môn chữa bệnh đĩa đệm cột sống? Cách tìm hiểu hay nhất là từ người bệnh kể cho bạn biết họ đã chữa bệnh ở đâu, cách chữa bệnh bằng thuốc đông y như thế nào, đơn thuốc chữa thoát vị đĩa đệm có giá bao nhiêu? Khi khỏi bệnh rồi vài năm sau có bị đau lại không?</span></em></p><p style="text-align: justify;"><span style="font-size:16px;">Mời bạn đọc nghe lời kể của một bệnh nhân ở Hậu Giang, đã chữa khỏi bệnh thoát vị đĩa đệm cách nay một năm rưỡi. Hôm nay bệnh nhân&nbsp;gặp lương y Nguyễn Văn Minh nói chuyện trên điện thoại, quý bệnh nhân đồng ý chia sẻ quá trình chữa bệnh may gặp thầy gặp thuốc, không những chữa khỏi bệnh cho bản thân mình mà còn giúp cho cả người thân khỏi bệnh. Mời bạn đọc bấm vào mũi tên dưới đây để nghe ý kiến chân thực nhất.</span></p><p style="text-align: justify;"><span style="font-size:16px;"><a href="https://chuabenhthoatvidiadem.vn/resources/files/Thoại 002(1).mp3" title="">thoat vi dia dem</a></span></p><p style="text-align: justify;"><span style="font-size:16px;">Tôi xin chân thành cảm ơn quý bệnh nhân đã đồng ý cho chia sẻ nội dung này. Tôi chỉ chia sẻ thông tin của những bệnh nhân làm nghề tự do, các bác hưu trí, cô bác nội trợ,&nbsp;họ đồng ý cung cấp địa chỉ và&nbsp;thông tin&nbsp;chữa bệnh, thông tin này&nbsp;không làm ảnh hưởng tới cuộc sống của quý bệnh nhân<font color="#000000" face="RobotoSlab-Regular, Arial, Helvetica, sans-serif">&nbsp;(*)</font></span></p><p style="text-align: justify;"><span style="font-size:16px;"><font color="#000000" face="RobotoSlab-Regular, Arial, Helvetica, sans-serif"><img loading="lazy" alt="Thầy thuốc đông y giỏi ở Sài Gòn" src="data:image/gif;base64,R0lGODlhAQABAID/AP///wAAACwAAAAAAQABAAACAkQBADs=" data-src="https://chuabenhthoatvidiadem.vn/resources/images/20180504_102842.jpg" style="width: 800px; height: 600px;" class="lazy" width="1600" height="1200" data-optimized="1" /></font></span></p><h4 style="text-align: justify;"><em><span style="font-size:14px;">Trung ương Hội Đông Y Việt Nam khen tặng cho những cống hiến, đóng góp của lương y Nguyễn Văn Minh cho nền đông y Việt Nam phát triển.</span></em></h4><p style="text-align: justify;"><span style="font-size:16px;">Địa chỉ thầy thuốc chữa bệnh thoát vị bằng đông y ở Sài Gòn: 856/6 Đường Quang Trung, Quận Gò Vấp. Gửi hình chụp MRI, tờ&nbsp;kết luận của bác sĩ qua Zalo số: 0913503552, tôi tư vấn miễn phí cách chữa bệnh thoát vị đĩa đệm bằng thuốc đông y cho bạn, và cả người thân của bạn.</span></p><p style="text-align: justify;">(*)&nbsp;&nbsp;<span style="color: rgb(0, 0, 0); font-family: RobotoSlab-Regular, Arial, Helvetica, sans-serif; font-size: 16px;">Lưu ý: Chữa thoát vị đĩa đệm bằng đông y&nbsp;/ thuốc có tác dụng&nbsp;nhanh hay chậm tùy theo cơ địa&nbsp;mỗi nguời.</span></p><p style="text-align: justify;"><span style="color: rgb(0, 0, 0); font-family: RobotoSlab-Regular, Arial, Helvetica, sans-serif; font-size: 16px;">Trang web: chuabenhthoatvidiadem.vn và phongkhambaominh.com</span></p>]]></content:encoded>
						<wfw:commentRss></wfw:commentRss>
						<slash:comments>0</slash:comments>
					</item>
				
					<item>
						<title>Bài thuốc dân gian chữa thoát vị đĩa đệm tiêu biểu</title>
						<link>https://chuabenhthoatvidiadem.vn/bai-viet/nghe-truc-tiep-nhung-nguoi-duoc-luong-y-minh-chua-khoi-thoat-vi-dia-dem/bai-thuoc-dan-gian-chua-thoat-vi-dia-dem-tieu-bieu-pid-159.html</link>
						<comments></comments>
						<pubDate>Thu, 11 Jan 2018 08:45:59 +0700</pubDate>
						<dc:creator>admin</dc:creator>
						<category><![CDATA[Nghe trực tiếp những người được lương y Minh chữa khỏi thoát vị đĩa đệm ]]></category>
						<guid isPermaLink="false"></guid>
						<description><![CDATA[Các bài thuốc dân gian chữa thoát vị đĩa đệm, được lưu truyền trong nhân dân có rất nhiều bài, nhiều loại. Có bài thuốc chỉ 1-2 vị thuốc nam, nấu nước uống như uống trà, lại có bài thuốc đắp hàng ngày, có bài thuốc nấu nước ngâm chân.... Nhiều nhất phải kể đến những bài thuốc nam ở đâu cũng có như: Lá lốt, ngải cứu, cỏ xước, chuối hột, xương rồng. v.v. Những bài thuốc dân gian chữa thoát vị đĩa đệm tương đối an toàn. Chỉ những người mới bị bệnh hoặc thoát vị đĩa đệm nhẹ, sử dụng mới khỏi bệnh.]]></description>
						<content:encoded><![CDATA[<p style="text-align: justify;"><span style="font-size:16px;">Các bài thuốc dân gian chữa thoát vị đĩa đệm, được lưu truyền trong nhân dân có rất nhiều bài, nhiều loại. Có bài thuốc chỉ 1-2 vị thuốc nam, nấu nước uống như uống trà,&nbsp;có bài thuốc đắp,&nbsp;xào thuốc&nbsp;với rượu đắp hàng ngày, lại&nbsp;có bài thuốc nấu nước ngâm chân... Nhiều nhất phải kể đến những bài thuốc nam dễ tìm ở đâu cũng có như: Lá lốt, ngải cứu, cỏ xước, xấu hổ, chuối hột, xương rồng. v.v. Những bài thuốc dân gian chữa <a href="https://chuabenhthoatvidiadem.vn/cach-chua-benh/benh-thoat-vi-dia-dem-cid-16-0.html" style="color: rgb(102, 0, 153); cursor: pointer; text-decoration-line: none;" target="_blank" title="">bệnh thoát vị đĩa đệm</a>&nbsp;tương đối&nbsp;an toàn và có chi phí&nbsp;thấp.</span></p><h2 style="text-align: justify;"><span style="font-size:20px;">Các bài thuốc dân gian chữa thoát vị đĩa đệm, đau nhức xương khớp nhân dân hay sử dụng:</span></h2><h3><span style="font-size:20px;">Chữa thoát vị đĩa đệm bằng ngải cứu và lá cúc tần.</span></h3><p style="text-align: justify;"><span style="font-size:16px;"><span style="font-size:18px;">Cách thực hiện</span>: Dùng&nbsp;ngải cứu tươi và lá cúc tần, mỗi loại khoảng 200 gam, rửa sạch thái nhỏ trộn với rượu&nbsp;rồi&nbsp;xào lên cho nóng, lấy vải bọc lại mang đắp thuốc lên chỗ đau hoặc nằm đè lên,&nbsp;nguội bỏ ra xào nóng đắp lại, ngày làm 1-2 lần, mỗi lần 15- 30&nbsp;phút. Áp dụng cho những trường hợp bị thoát vị đĩa đệm nhẹ do chấn thương hoặc&nbsp;khiêng vác vật nặng trái tư thế, biểu hiện đau lưng,&nbsp;đau thắt lưng. Nếu không có lá cúc tần, chỉ dùng ngải cứu cũng được nhưng tác dụng trị bệnh sẽ giảm đi.</span></p><h3 style="text-align: justify;"><span style="font-size:20px;">Chữa&nbsp;thoát vị đĩa đệm bằng cây&nbsp;xương rồng</span></h3><p style="text-align: justify;"><span style="font-size:16px;"><span style="font-size:18px;">Cách thực hiện</span>: Cây xương rồng mọc hoang ở đâu cũng có, cắt phần thân trên, bỏ gai nhọn, rửa sạch cắt khúc đập dập, dùng&nbsp;khoảng 0,5 kg&nbsp;trộn với 1 nắm muối hột. Đặt lên bếp đun&nbsp;hỗn hợp trên cho nóng đều rồi lấy vải sạch bọc lại mang đắp lên vùng cột sống bị thoát vị đĩa đệm, nguội lại mang đun&nbsp;nóng, làm như vậy 2- 3&nbsp;lần là được. Có thể nằm đè lên hỗn hợp xương rồng và muối hột khoảng 20 phút. Kiên trì thực hiện phương pháp này vài ngày, có thể chứng đau nhức cột sống đĩa đệm của bạn sẽ bớt đau</span>.</p><p style="text-align: justify;"><span style="font-size:18px;"><em>Nếu không có thời gian hoặc không có những cây&nbsp;thuốc nam ở trên, bạn có thể tham khảo&nbsp;<a href="https://chuabenhthoatvidiadem.vn/cach-chua-benh/thuoc-dap-thoat-vi-dia-dem-tu-dap-thuoc-chua-tri-tai-nha-pid-102.html" style="color: rgb(102, 0, 153); cursor: pointer; text-decoration-line: none;" target="_blank" title="">bài thuốc đắp trị&nbsp;thoát vị đĩa đệm</a>, do nhà thuốc đông y Bảo Minh đã chế sẵn, chỉ việc mua về rồi đổ thuốc ra đắp, rất tiện lợi.</em></span></p><h3 style="text-align: justify;"><span style="font-size:20px;">Chữa thoát vị đĩa đệm bằng lá lốt</span></h3><p><span style="font-size: 18px; text-align: justify;">Cách thực hiện: <span style="font-size:16px;">Cây lá lốt dùng cả phần rễ và thân lá, lấy&nbsp;khoảng 500 gam lá lốt rửa sạch nấu với 1 nhúm muối hột, đun&nbsp;sôi 10&nbsp;phút, khi còn ấm mang ngâm chân, ngâm từ 15- 20 phút mỗi&nbsp;ngày. </span></span></p><p><span style="font-size: 18px; text-align: justify;"><span style="font-size:16px;">Bài thuốc nam chữa thoát vị đĩa đệm có lá lốt: Lá lốt 50 gam,&nbsp;xấu hổ 30 gam, lá đinh lăng 50 gam, cành dâu 30 gam, cỏ xước 30 gam, tất cả&nbsp;rửa sạch cắt ngắn, phơi khô sao vàng sắc uống ngày 1 thang. Lưu ý:&nbsp;&nbsp;Lá&nbsp;lốt, cỏ xước&nbsp;và xấu hổ nên dùng cả cây có&nbsp;rễ&nbsp;sẽ cho tác dụng chữa bệnh&nbsp;tốt hơn.</span></span></p><h4><span style="font-size:20px;">Chữa thoát vị đĩa đệm bằng cây chìa vôi</span></h4><p style="text-align: justify;"><span style="font-size:16px;">Chữa thoát vị đĩa đệm bằng cây chìa vôi được nhiều trang mạng chia sẻ, những ai muốn chữa bệnh bằng chìa vôi xin lưu ý: tên &quot;chìa vôi&quot; được dùng cho ít nhất 3 loại cây khác nhau, trong sách &quot;NHỮNG CÂY THUỐC VÀ VỊ THUỐC VIỆT NAM&quot; của Giáo sư Tiến sĩ Đỗ Tất Lợi trên&nbsp;các trang 137, 505, 536&nbsp;đều có vị thuốc mang tên &quot;chìa vôi&#39;. 3 loại cây &quot;chìa vôi&#39; này đều là cây mọc hoang, miền bắc, miền nam đều có.</span></p><p style="text-align: justify;"><span style="font-size: 16px;">Cây thuốc &quot;chìa vôi&quot; ở trang 137 ghi rõ: chỉ dùng lá tươi để </span><span style="font-size: 16px;">đắp thuốc chữa bệnh lòi dom, hắc lào và chữa sán trâu bò.</span></p><p style="text-align: justify;"><span style="font-size:16px;">Cây thuốc &quot;chìa vôi&quot; ở trang 505 ghi như sau: Dây chìa vôi mới dùng ở phạm vi nhân dân,&nbsp;dùng chữa&nbsp;đau nhức xương, đau nhức đầu, tê thấp, ngày dùng 10-30 gam dạng thuốc sắc hay ngâm rượu uống.</span></p><p style="text-align: justify;"><span style="font-size:16px;">Cây thuốc &quot;chìa vôi&quot; ở trang 536 lại là một cây hoàn toàn khác biệt với 2 loại cây trên, thành phần dùng rễ (củ). Trong nhân dân cũng dùng củ chìa vôi chữa đau nhức các khớp xương, thân cây chìa vôi loại này nhân dân ở một số vùng dùng hơ nóng hoặc xào nóng đắp lên bụng phụ nữ sau khi sinh để chữa đau bụng. Một số nước phương tây dùng rễ chìa vôi làm thuốc xổ, có tác dụng tẩy mạnh, liều 4-8 gam dưới dạng thuốc sắc, 1-4 gam dạng thuốc bột.</span></p><p style="text-align: justify;"><span style="font-size:16px;">Như vậy, tên chìa vôi để chỉ 3 cây khác nhau, công dụng cũng không giống nhau,&nbsp;nếu không&nbsp;có chuyên môn giỏi&nbsp;để phân biệt cho đúng vị thuốc chìa vôi thì không nên sử dụng chìa vôi để chữa bệnh thoát vị đĩa đệm, nhất là dùng để sắc uống.&nbsp;</span></p><h4 style="text-align: justify;"><span style="font-size:20px;">Chữa thoát vị đĩa đệm bằng chuối hột</span></h4><p style="text-align: justify;"><span style="font-size:16px;">Cây chuối hột cho trái&nbsp;chuối hột dùng làm thuốc chữa bệnh. Trong dân gian&nbsp;hay dùng chuối hột chữa bệnh đau lưng. Nhiều người bị đau lưng do thoát vị đĩa đệm uống rượu ngâm chuối hột thấy&nbsp;đỡ đau lưng. Đây là bài thuốc dân gian&nbsp;chữa bệnh có giá rẻ mà tác dụng tốt, dễ mua, dễ chế biến, dễ sử dụng.</span></p><p style="text-align: justify;"><span style="font-size: 18px; text-align: justify;">Cách thực hiện:&nbsp;</span><span style="font-size: 16px;">Dùng quả chuối hột vỏ còn xanh, rửa sạch, cắt bỏ cuống và núm, thái mỏng, phơi khô, trước khi ngâm rượu nên sao&nbsp;qua cho thơm. 10 quả chuối hột ngâm khoảng 1&nbsp;lít rượu là vừa, ngâm sau 20- 30 ngày thì uống được, mỗi bữa 1-2 ly nhỏ. Nếu muốn cho rượu thơm và dễ uống thì dùng trái chuối hột vừa&nbsp;chín, bóc vỏ rồi ngâm cả trái chuối. Phụ nữ không uống được rượu thì nấu nước chuối hột, uống như uống nước trà hàng ngày. </span></p><p style="text-align: justify;"><span style="font-size: 16px;"><span style="font-size:18px;">Một bài thuốc dân gian khác chữa thoát vị đĩa đệm từ cây chuối hột</span>: Chọn cây chuối to&nbsp;chưa ra quả, chặt ngang thân cây chuối, dùng dao khoét lõm&nbsp;thân cây để nước từ thân chuối tiết ra đọng lại ở đó, cho thêm cục đường phèn lấy bát úp lại tránh côn trùng, để qua đêm rồi uống nước từ thân chuối tiết ra, mỗi ngày lại cắt ngắn thân cây khoảng 20cm, làm như vậy cho tới sát gốc chuối.&nbsp;</span></p><p style="text-align: justify;"><span style="font-size:16px;">Ngoài những bài thuốc kể trên, trong dân gian còn nhiều bài thuốc chữa thoát vị đĩa đệm&nbsp;như: chữa bằng đậu bắp, chữa bằng cây xương rồng, chữa bằng cây dền gai, chữa bằng củ cốt khí&nbsp;v.v. Nhưng tác dụng chữa bệnh không hiệu quả&nbsp;bằng các bài thuốc trên.&nbsp;</span></p><p style="text-align: justify;"><span style="font-size:18px;">Hạn chế của những bài thuốc dân gian chữa thoát vị đĩa đệm</span><span style="font-size: 16px; text-align: justify;">: các bài thuốc trên&nbsp;chỉ có tác&nbsp;dụng với những&nbsp;người mới bị bệnh hoặc&nbsp;thoát vị đĩa đệm thể nhẹ, còn những người bị bệnh đã lâu, đau nhức nhiều hoặc có thêm 1 - 2 chứng&nbsp;bệnh khác đi kèm thì những bài thuốc dân gian không thể chữa khỏi.</span></p><p style="text-align: justify;"><span style="font-size:18px;"><em><span style="text-align: justify;">Nếu bạn&nbsp;đã&nbsp;sử dụng các&nbsp;bài thuốc dân gian, bài thuốc nam chữa thoát vị đĩa đệm&nbsp;mà chưa khỏi dứt điểm,</span><span style="text-align: justify;"> </span>hãy liên hệ với&nbsp;lương y Nguyễn Văn Minh. Bạn sẽ được&nbsp;khám bệnh, tư vấn, chia sẻ cách sử dụng bài thuốc đặc trị thoát vị đĩa đệm của nhà thuốc đông y Bảo Minh. Bài thuốc được kế thừa từ những&nbsp;thầy thuốc là danh y nổi tiếng&nbsp;Việt Nam, cộng với kinh nghiệm chữa bệnh thực tế hơn 20 năm, <a href="https://www.youtube.com/channel/UCMrl47bRL4MgAguyRi48mEw" style="color: rgb(102, 0, 153); font-size: 16px; text-align: justify; cursor: pointer; text-decoration-line: none;" target="_blank" title="">lương y Nguyễn Văn Minh</a>&nbsp;đúc rút được bài thuốc trị bệnh tối ưu nhất, hiệu quả nhất để điều trị bệnh thoát vị đĩa đệm<span style="text-align: justify;">. Bài thuốc&nbsp;là&nbsp;cứu cánh cho hàng ngàn người khỏi hẳn&nbsp;thoát vị đĩa đệm,&nbsp;hồi phục&nbsp;cột sống đĩa đệm để họ trở lại&nbsp;lao động, sinh hoạt bình thường.</span></em></span></p><p style="text-align: justify;"><img loading="lazy" alt="Hốt thuốc tại phòng khám đông y Bảo Minh" src="data:image/gif;base64,R0lGODlhAQABAID/AP///wAAACwAAAAAAQABAAACAkQBADs=" data-src="https://chuabenhthoatvidiadem.vn/resources/images/Nha-thuoc-Bao-Minh(1).jpg" style="width: 768px; height: 576px;" class="lazy" width="768" height="576" data-optimized="1" /></p><p style="text-align: justify;"><span style="font-size:16px;"><em>&nbsp; &nbsp;Hốt thuốc tại nhà thuốc đông y Bảo Minh - 856/6 Quang trung, P.8, Gò Vấp, TP.HCM</em></span></p><h4 style="text-align: justify;"><span style="font-size:16px;">Cách chữa thoát vị đĩa hiệu quả nhất :&nbsp;<a data-="" href="https://www.google.com.vn/url?sa=t&amp;rct=j&amp;q=&amp;esrc=s&amp;source=web&amp;cd=76&amp;ved=0ahUKEwi6iZiKuuDYAhWLyLwKHRjlCGQ4RhAWCEEwBQ&amp;url=http%3A%2F%2Fchuabenhthoatvidiadem.vn%2Fdieu-tri%2Fnghe-truc-tiep-nhung-nguoi-duoc-luong-y-minh-chua-khoi-thoat-vi-dia-dem-cid-4-0.html&amp;usg=AOvVaw3OFSSfe7IpKB_3mWiQP_2s" style="color: rgb(102, 0, 153); cursor: pointer; text-decoration-line: none;" target="_blank" title="">Xem tại đây &gt;&gt;</a></span></h4><p style="text-align: justify;"><span style="font-size:16px;">Thầy thuốc chữa thoát vị đĩa đệm ở TP. HCM có nhiều thầy giỏi, chuyên môn cao, chữa bệnh</span></p><p style="text-align: justify;"><span style="font-size:16px;">có uy tín. Những trường hợp bị thoát vị đĩa đệm, điều trị bằng tây y, bằng các bài thuốc dân gian truyền miệng&nbsp;không hết bệnh, nên tìm đến các&nbsp;</span><span style="font-size: 16px;">địa chỉ của những ông&nbsp;thầy đông y này mà chữa, bạn có cơ hội rất cao chữa khỏi bệnh thoát vị đĩa đệm.&nbsp;</span></p><p style="text-align: justify;"><span style="font-size:16px;">Lương y Nguyễn Văn Minh có trên 20 năm kinh nghiệm, chuyên sâu điều trị thoát vị đĩa đệm bằng đông</span></p><p style="text-align: justify;"><span style="font-size:16px;">y. Bạn hãy gửi kết quả chụp MRI qua Zalo số: 0913503552 để được tư vấn cách chữa thoát vị đĩa đệm</span></p><p style="text-align: justify;"><span style="font-size:16px;">tốt nhất cho bạn.</span></p><p style="text-align: justify;"><span style="font-size:16px;">Lương y Nguyễn Văn Minh chữa thoát vị đĩa đệm, chia sẻ cách chữa tại trang web:</span></p><p class="r" style="box-sizing: border-box; margin: 0px; padding: 0px; border: 0px; outline: 0px; font-size: 18px; vertical-align: baseline; background-image: initial; background-position: initial; background-size: initial; background-repeat: initial; background-attachment: initial; background-origin: initial; background-clip: initial; max-width: 100%; overflow: hidden; text-overflow: ellipsis; white-space: nowrap; color: rgb(34, 34, 34); font-family: arial, sans-serif; text-align: justify;"><span style="color: rgb(0, 102, 33); font-family: arial, sans-serif; font-size: 14px; white-space: nowrap;">chuabenhthoatvidiadem.vn</span></p>]]></content:encoded>
						<wfw:commentRss></wfw:commentRss>
						<slash:comments>0</slash:comments>
					</item>
				
					<item>
						<title>Lồi đĩa đệm và cách chữa lồi đĩa điệm</title>
						<link>https://chuabenhthoatvidiadem.vn/bai-viet/nghe-truc-tiep-nhung-nguoi-duoc-luong-y-minh-chua-khoi-thoat-vi-dia-dem/loi-dia-dem-va-cach-chua-loi-dia-diem-pid-302.html</link>
						<comments></comments>
						<pubDate>Sat, 14 May 2022 11:28:34 +0700</pubDate>
						<dc:creator>admin</dc:creator>
						<category><![CDATA[Nghe trực tiếp những người được lương y Minh chữa khỏi thoát vị đĩa đệm ]]></category>
						<guid isPermaLink="false"></guid>
						<description><![CDATA[Lồi đĩa đệm cột sống thắt lưng, gây nên đau lưng, xem cách chữa lồi đĩa điệm hết bệnh khỏi các chứng đau lưng, đau thắt lưng dưới]]></description>
						<content:encoded><![CDATA[<h2><span style="font-size:18px;">Lồi đĩa đệm và cách chữa lồi đĩa điệm bằng thuốc đông y.</span></h2><p style="text-align: justify;"><span style="font-size:16px;">Một bệnh nhân nhà ở Quận 12, TP.HCM bị đau thắt lưng, đau xuống mông đùi, bên trái đau nhiều hơn, nằm&nbsp;nghỉ thì đỡ đau, đứng nhiều và&nbsp;đi lại vận động&nbsp;đau tăng lên. Khám bệnh và chụp Xquang không thấy gì, vào bệnh viện Quân Y 175 yêu cầu bác sĩ cho chụp cộng hưởng từ cột sống thắt lưng, hình ảnh và kết luận như sau;&nbsp;</span></p><p><span style="font-size:18px;"><img loading="lazy" alt="Lồi đĩa đệm" src="data:image/gif;base64,R0lGODlhAQABAID/AP///wAAACwAAAAAAQABAAACAkQBADs=" data-src="https://chuabenhthoatvidiadem.vn/resources/images/thoatvidiadem(3).jpg" style="width: 672px; height: 896px;" class="lazy" width="672" height="896" data-optimized="1" /></span></p><p><span style="font-size:18px;">Phát hiện thoái hóa đốt&nbsp;sống -&nbsp;đĩa đệm thắt lưng và lồi đĩa đệm nhờ chụp cộng hưởng từ cột sống thắt lưng.</span></p><p><span style="font-size:18px;"><img loading="lazy" alt="Lồi đĩa đêm" src="data:image/gif;base64,R0lGODlhAQABAID/AP///wAAACwAAAAAAQABAAACAkQBADs=" data-src="https://chuabenhthoatvidiadem.vn/resources/images/thoatvidiadem(4).jpg" style="width: 672px; height: 896px;" class="lazy" width="672" height="896" data-optimized="1" /></span></p><p><span style="font-size:18px;"><img loading="lazy" alt="Lồi đĩa đệm" src="data:image/gif;base64,R0lGODlhAQABAID/AP///wAAACwAAAAAAQABAAACAkQBADs=" data-src="https://chuabenhthoatvidiadem.vn/resources/images/thoatvidiadem_top.jpg" style="width: 601px; height: 768px;" class="lazy" width="601" height="768" data-optimized="1" /></span></p><p><span style="font-size:18px;"><img loading="lazy" alt="Lồi đĩa đệm" src="data:image/gif;base64,R0lGODlhAQABAID/AP///wAAACwAAAAAAQABAAACAkQBADs=" data-src="https://chuabenhthoatvidiadem.vn/resources/images/thoatvidiadem_top (2).jpg" style="width: 640px; height: 832px;" class="lazy" width="640" height="832" data-optimized="1" /></span></p><p><img loading="lazy" alt="Lồi đĩa đêm" src="data:image/gif;base64,R0lGODlhAQABAID/AP///wAAACwAAAAAAQABAAACAkQBADs=" data-src="https://chuabenhthoatvidiadem.vn/resources/images/Thoatvidiadem_top (3)(1).jpg" style="width: 662px; height: 730px;" class="lazy" width="662" height="730" data-optimized="1" /></p><p style="text-align: justify;"><span style="font-size:16px;">Phòng khám đông y Bảo Minh&nbsp;chuyên trị thoát vị đĩa đệm, lồi đĩa đệm bằng thuốc thang đông y kết hợp với thuốc xoa bóp. Trang web Thoát Vị Đĩa Đệm có 2 tên miền, tên miền quốc tế: thoatvidiadem.top - Tên miền Việt Nam: chuabenhthoatvidiadem.vn</span></p>]]></content:encoded>
						<wfw:commentRss></wfw:commentRss>
						<slash:comments>0</slash:comments>
					</item>
				
					<item>
						<title>Thoát vị đĩa đệm có chữa khỏi được không</title>
						<link>https://chuabenhthoatvidiadem.vn/bai-viet/nghe-truc-tiep-nhung-nguoi-duoc-luong-y-minh-chua-khoi-thoat-vi-dia-dem/thoat-vi-dia-dem-co-chua-khoi-duoc-khong-pid-278.html</link>
						<comments></comments>
						<pubDate>Fri, 25 Sep 2020 09:33:48 +0700</pubDate>
						<dc:creator>admin</dc:creator>
						<category><![CDATA[Nghe trực tiếp những người được lương y Minh chữa khỏi thoát vị đĩa đệm ]]></category>
						<guid isPermaLink="false"></guid>
						<description><![CDATA[Thoát vị đĩa đệm có chữa khỏi được không? Cần khẳng định là thoát vị đĩa đệm chữa khỏi được, bằng chứng ở đây đã có nhiều người được chữa khỏi bệnh tại phòng khám đông y Bảo Minh. Phòng khám do Lương y Nguyễn Văn Minh khám bệnh và điều trị bằng thuốc đông y.]]></description>
						<content:encoded><![CDATA[<p style="text-align: justify;"><em><span style="font-size:18px;">Những người&nbsp;bị thoát vị đĩa đệm, chữa khỏi được không phải mổ có rất nhiều,&nbsp;đây là những trường hợp tin tưởng vào cách chữa thoát vị đĩa đệm bằng thuốc thảo dược đông y, được&nbsp;&nbsp;Lương y Nguyễn Văn Minh khám bệnh, tư vấn kê đơn thuốc. Ông cũng tư vấn&nbsp;những trường hợp&nbsp;nào thì chữa được, những trường hợp&nbsp;nào thì chỉ chữa cho đỡ đau, những trường hợp nào thì khuyên họ nên đi mổ vì người bệnh&nbsp;bị thoát vị đĩa đệm không hề nhẹ.</span></em></p><p><img loading="lazy" alt="Thoát vị đĩa đệm có chữa khỏi được không" src="data:image/gif;base64,R0lGODlhAQABAID/AP///wAAACwAAAAAAQABAAACAkQBADs=" data-src="https://chuabenhthoatvidiadem.vn/resources/images/Thoa-vi-dia-dem-co-chua-khoi-duoc-khong.jpg" style="width: 768px; height: 576px;" class="lazy" width="768" height="576" data-optimized="1" /></p><p><em><span style="font-size:14px;">Lương y Nguyễn Văn Minh đang tư vấn cho người bệnh xem có chữa khỏi thoát vị đĩa đệm cho họ được không.</span></em></p><p style="text-align: justify;"><span style="font-size:16px;">Bằng kinh nghiệm hơn 25&nbsp;năm chữa bệnh thoát vị đĩa đệm cổ,</span><a href="https://www.youtube.com/channel/UCMrl47bRL4MgAguyRi48mEw" rel="noopener" style="color: rgb(102, 0, 153); text-decoration-line: none; -webkit-tap-highlight-color: rgba(0, 0, 0, 0.1); cursor: pointer; font-family: arial, sans-serif; font-size: small;" target="_blank" title="">&nbsp;</a>&nbsp;<span style="font-size:16px;">thoát vị đĩa đệm lưng.&nbsp;T</span><span style="text-align: justify; font-size: 16px;">ôi,&nbsp;</span><a href="https://www.youtube.com/channel/UCMrl47bRL4MgAguyRi48mEw" rel="noopener" style="color: rgb(102, 0, 153); font-size: small; text-align: justify; text-decoration-line: none; -webkit-tap-highlight-color: rgba(0, 0, 0, 0.1); cursor: pointer; font-family: arial, sans-serif;" target="_blank" title="">Lương y Nguyễn Văn Minh</a>&nbsp;<span style="font-size:16px;">đã điều trị&nbsp;cho rất nhiều người khỏi bệnh, giúp họ bớt đi những đau đớn, nhức buốt&nbsp;do căn bệnh này gây ra. Tôi xin khẳng định rằng; muốn chữa khỏi&nbsp;thoát vị đĩa đệm, người thầy thuốc không thể chỉ hỏi người bệnh vài câu rồi bảo họ là chữa khỏi được, mà phải khám bệnh kỹ càng và coi&nbsp;kết quả chụp cộng hưởng từ MRI xem nặng nhẹ thế nào, từ đó mới có thể kết luận có chữa khỏi bệnh được hay không.&nbsp;</span></p><p style="text-align: justify;"><span style="font-size:16px;"><img loading="lazy" alt="thoatvidiadem top" src="data:image/gif;base64,R0lGODlhAQABAID/AP///wAAACwAAAAAAQABAAACAkQBADs=" data-src="https://chuabenhthoatvidiadem.vn/resources/images/Thoatvidiadem top.jpg" style="width: 640px; height: 606px;" class="lazy" width="640" height="606" data-optimized="1" /></span></p><p style="text-align: justify;"><span style="font-size:16px;">Tôi lập trang web:&nbsp;<a href="https://chuabenhthoatvidiadem.vn/" title="">Thoát vị đĩa đệm</a>&nbsp;có 2 tên miền;&nbsp;</span><span style="color: rgb(0, 0, 0); font-family: RobotoSlab-Regular, Arial, Helvetica, sans-serif; font-size: 16px;">thoatvidiadem.top và chuabenhthoatvidiadem.vn&nbsp;</span><span style="font-size: 16px;">với mục đích giới thiệu cách chữa thoát vị đĩa đệm bằng phương pháp của&nbsp;y học cổ truyền Việt Nam, sử dụng thang thuốc đông y sắc uống kết hợp thuốc xoa bóp hoặc đắp thuốc để điều trị. Cách chữa này đã giúp nhiều người khỏi bệnh, được mọi người mách nhau đến chữa;</span></p><p style="text-align: justify;"><a href="https://chuabenhthoatvidiadem.vn/resources/files/Thoatvidiadem Vo Thu Hien Tra Vinh.mp3" title="">Thoát vị đĩa đệm có chữa khỏi được không</a></p><p style="text-align: justify;"><span style="font-size:16px;">Bạn đọc có người quen không may bị thoát vị đĩa đệm, đã chữa trị nhiều nơi chưa khỏi, nếu&nbsp;bác sĩ chuyên khoa cột sống khuyên họ nên mổ thoát vị đĩa đệm, quý bạn đọc có thể giới thiệu họ tham khảo cách chữa của tôi, để tôi được giúp họ xem có thể tránh được&nbsp;không phải mổ hay không! </span></p><p style="text-align: justify;"><span style="font-size:16px;">Những người được tôi chữa khỏi có rất nhiều, nhưng tôi chỉ đưa lên đây một số trường hợp đồng ý cho tôi ghi hình, cho tôi ghi lại câu chuyện trao đổi về căn bệnh của họ, nhiều người còn đồng ý cho tôi chia sẻ số điện thoại và địa chỉ nhà riêng của họ, tôi luôn biết ơn và trân trọng họ.</span></p><p style="text-align: justify;"><img loading="lazy" alt="Hốt thuốc chữa thoát vị đĩa đệm ở nhà thuốc đông y Bảo Minh" src="data:image/gif;base64,R0lGODlhAQABAID/AP///wAAACwAAAAAAQABAAACAkQBADs=" data-src="https://chuabenhthoatvidiadem.vn/resources/images/Nha-thuoc-Bao-Minh.jpg" style="width: 768px; height: 576px;" class="lazy" width="768" height="576" data-optimized="1" /></p><p style="text-align: justify;"><em><span style="font-size:14px;">Hốt thuốc chữa thoát vị đĩa đệm ở nhà thuốc đông y Bảo Minh.</span></em></p><p style="text-align: justify;"><span style="font-size:16px;">Mời bạn đọc bấm vào các đường link dưới đây xem, sẽ rõ hơn:</span></p><p style="text-align: justify;"><span style="font-size: 16px; text-align: justify;">Quý vị nào&nbsp;ở thị trấn Củ Chi, TP.HCM,&nbsp;</span><span style="font-size: 16px; text-align: justify;">bấm vào đây: &gt;&gt;&nbsp;</span><a href="https://chuabenhthoatvidiadem.vn/cach-chua-benh/uong-thuoc-cua-thay-chua-thoat-vi-dia-dem-co-toi-het-moi-co-het-dau-vai-gay-pid-115.html" rel="noopener" style="color: rgb(102, 0, 153); text-decoration-line: none; -webkit-tap-highlight-color: rgba(0, 0, 0, 0.1); cursor: pointer; font-family: arial, sans-serif; font-size: small;" target="_blank" title="">Bác Tâm khỏi bệnh, chia sẻ địa chỉ </a></p><p style="text-align: justify;"><span style="font-size: 16px; text-align: justify;">Quý vị nào&nbsp;ở&nbsp;</span><span style="box-sizing: border-box; margin: 0px; padding: 0px; border: 0px; outline: 0px; font-size: 16px; vertical-align: baseline; background: transparent; max-width: 100%;">huyện Hồng Ngự, tỉnh Đồng Tháp,</span><span style="font-size: 16px; text-align: justify;">&nbsp;bấm vào đây; &gt;&gt;&nbsp;</span><a data-ctbtn="0" data-cthref="/url?sa=t&amp;rct=j&amp;q=&amp;esrc=s&amp;source=web&amp;cd=&amp;ved=2ahUKEwiqgMWxyYPsAhWadXAKHb5HCIc4ZBAWMAh6BAgJEAE&amp;url=https%3A%2F%2Fchuabenhthoatvidiadem.vn%2Fcach-chua-benh%2Fluong-y-minh-chua-thoat-vi-dia-dem-cho-anh-ut-khoi-benh-gan-nam-nay-pid-22.html&amp;usg=AOvVaw1E4-GqVfA6vRXRcGUH63tt" href="https://www.google.com.vn/url?sa=t&amp;rct=j&amp;q=&amp;esrc=s&amp;source=web&amp;cd=&amp;ved=2ahUKEwiqgMWxyYPsAhWadXAKHb5HCIc4ZBAWMAh6BAgJEAE&amp;url=https%3A%2F%2Fchuabenhthoatvidiadem.vn%2Fcach-chua-benh%2Fluong-y-minh-chua-thoat-vi-dia-dem-cho-anh-ut-khoi-benh-gan-nam-nay-pid-22.html&amp;usg=AOvVaw1E4-GqVfA6vRXRcGUH63tt" rel="noopener" style="color: rgb(102, 0, 153); text-decoration-line: none; -webkit-tap-highlight-color: rgba(0, 0, 0, 0.1); cursor: pointer; font-family: arial, sans-serif; font-size: small;" target="_blank" title="">Anh Út chữa khỏi bệnh,&nbsp;đồng ý chia sẻ địa chỉ</a></p><p style="text-align: justify;"><span style="font-size: 16px; text-align: justify;">Quý vị nào&nbsp;ở tp Tây Ninh, tỉnh Tây Ninh, bấm vào đây: &gt;&gt;&nbsp;</span><a data-ctbtn="0" data-cthref="/url?sa=t&amp;rct=j&amp;q=&amp;esrc=s&amp;source=web&amp;cd=&amp;ved=2ahUKEwiMnKuXzIPsAhXHQN4KHT7JASk4lgEQFjACegQIAxAB&amp;url=https%3A%2F%2Fchuabenhthoatvidiadem.vn%2Fcach-chua-benh%2Fthoai-hoa-dia-dem-mat-nuoc-va-loi-dia-dem-gay-hep-ong-song-chen-ep-re-than-kinh-l4-l5-pid-257.html&amp;usg=AOvVaw0wFuGOxQfqt5u3x5PgQ2QP" href="https://www.google.com.vn/url?sa=t&amp;rct=j&amp;q=&amp;esrc=s&amp;source=web&amp;cd=&amp;ved=2ahUKEwiMnKuXzIPsAhXHQN4KHT7JASk4lgEQFjACegQIAxAB&amp;url=https%3A%2F%2Fchuabenhthoatvidiadem.vn%2Fcach-chua-benh%2Fthoai-hoa-dia-dem-mat-nuoc-va-loi-dia-dem-gay-hep-ong-song-chen-ep-re-than-kinh-l4-l5-pid-257.html&amp;usg=AOvVaw0wFuGOxQfqt5u3x5PgQ2QP" rel="noopener" style="color: rgb(102, 0, 153); text-decoration-line: none; -webkit-tap-highlight-color: rgba(0, 0, 0, 0.1); cursor: pointer; font-family: arial, sans-serif; font-size: small;" target="_blank" title="">Anh Phương thông báo kết quả tốt</a></p><p style="text-align: justify;"><span style="font-size: 16px; text-align: justify;">Quý vị nào&nbsp;ở phường 3, quạn Bình Thạnh, TP. HCM, bấm vào đây: &gt;&gt;&nbsp;</span><a data-ctbtn="0" data-cthref="/url?sa=t&amp;rct=j&amp;q=&amp;esrc=s&amp;source=web&amp;cd=&amp;ved=2ahUKEwjz9peqzYPsAhWIfXAKHYZCDw44tAEQFjAFegQIBRAB&amp;url=https%3A%2F%2Fchuabenhthoatvidiadem.vn%2Fbai-viet%2Fnghe-truc-tiep-nhung-nguoi-duoc-luong-y-minh-chua-khoi-thoat-vi-dia-dem%2Fthoat-vi-dia-dem-l4-5-va-loi-dia-dem-l5-s1-co-chua-khoi-duoc-khong-pid-39.html&amp;usg=AOvVaw3nukuai7tAoH4mabYiiFZq" href="https://www.google.com.vn/url?sa=t&amp;rct=j&amp;q=&amp;esrc=s&amp;source=web&amp;cd=&amp;ved=2ahUKEwjz9peqzYPsAhWIfXAKHYZCDw44tAEQFjAFegQIBRAB&amp;url=https%3A%2F%2Fchuabenhthoatvidiadem.vn%2Fbai-viet%2Fnghe-truc-tiep-nhung-nguoi-duoc-luong-y-minh-chua-khoi-thoat-vi-dia-dem%2Fthoat-vi-dia-dem-l4-5-va-loi-dia-dem-l5-s1-co-chua-khoi-duoc-khong-pid-39.html&amp;usg=AOvVaw3nukuai7tAoH4mabYiiFZq" rel="noopener" style="color: rgb(102, 0, 153); text-decoration-line: none; -webkit-tap-highlight-color: rgba(0, 0, 0, 0.1); cursor: pointer; font-family: arial, sans-serif; font-size: small;" target="_blank" title="">Chữa khỏi bệnh, bác Chính chia sẻ</a></p><p style="text-align: justify;"><span style="font-size: 16px; text-align: justify;">Quý vị nào&nbsp;ở phường 22&nbsp;quận Bình Thạnh, TP.HCM&nbsp;bấm vào đây: &gt;&gt;&nbsp;</span><a data-ctbtn="0" data-cthref="/url?sa=t&amp;rct=j&amp;q=&amp;esrc=s&amp;source=web&amp;cd=&amp;ved=2ahUKEwis3sCyyoPsAhUSyIsBHUi3Dl84ggEQFjAGegQICBAB&amp;url=https%3A%2F%2Fchuabenhthoatvidiadem.vn%2Fcach-chua-benh%2Fanh-hoang-khoi-dau-nhuc-ba-vai-te-cach-tay-do-thoat-vi-dia-dem-cot-song-co-pid-7.html&amp;usg=AOvVaw2eYFAmyM2zungBOjYfmvBI" href="https://www.google.com.vn/url?sa=t&amp;rct=j&amp;q=&amp;esrc=s&amp;source=web&amp;cd=&amp;ved=2ahUKEwis3sCyyoPsAhUSyIsBHUi3Dl84ggEQFjAGegQICBAB&amp;url=https%3A%2F%2Fchuabenhthoatvidiadem.vn%2Fcach-chua-benh%2Fanh-hoang-khoi-dau-nhuc-ba-vai-te-cach-tay-do-thoat-vi-dia-dem-cot-song-co-pid-7.html&amp;usg=AOvVaw2eYFAmyM2zungBOjYfmvBI" rel="noopener" style="color: rgb(102, 0, 153); text-decoration-line: none; -webkit-tap-highlight-color: rgba(0, 0, 0, 0.1); cursor: pointer; font-family: arial, sans-serif; font-size: small;" target="_blank" title="">Anh Hoàng chữa&nbsp;khỏi bệnh, chia sẻ&nbsp;</a></p><p style="text-align: justify;"><span style="font-size: 16px; text-align: justify;">Quý vị nào&nbsp;ở phường 5, quận Gò Vấp, bấm vào đây: &gt;&gt;&nbsp;</span><a data-ctbtn="0" data-cthref="/url?sa=t&amp;rct=j&amp;q=&amp;esrc=s&amp;source=web&amp;cd=&amp;ved=2ahUKEwi8vf-1y4PsAhWHH3AKHToiAvc4jAEQFjABegQIAxAB&amp;url=https%3A%2F%2Fchuabenhthoatvidiadem.vn%2Fcach-chua-benh%2Fkhoi-thoat-vi-dia-dem-cot-song-co-nho-bai-thuoc-dac-tri-cua-luong-y-nguyen-van-minh-pid-63.html&amp;usg=AOvVaw2Tsq1XwapqLd--ZRosGCY_" href="https://www.google.com.vn/url?sa=t&amp;rct=j&amp;q=&amp;esrc=s&amp;source=web&amp;cd=&amp;ved=2ahUKEwi8vf-1y4PsAhWHH3AKHToiAvc4jAEQFjABegQIAxAB&amp;url=https%3A%2F%2Fchuabenhthoatvidiadem.vn%2Fcach-chua-benh%2Fkhoi-thoat-vi-dia-dem-cot-song-co-nho-bai-thuoc-dac-tri-cua-luong-y-nguyen-van-minh-pid-63.html&amp;usg=AOvVaw2Tsq1XwapqLd--ZRosGCY_" rel="noopener" style="color: rgb(102, 0, 153); text-decoration-line: none; -webkit-tap-highlight-color: rgba(0, 0, 0, 0.1); cursor: pointer; font-family: arial, sans-serif; font-size: small;" target="_blank" title="">Chữa khỏi bệnh, người nhà anh Long thông báo</a></p><p style="text-align: justify;"><span style="font-size:16px;">Quý vị nào&nbsp;ở Quận 11, TP.HCM bấm vào đây: &gt;&gt;&nbsp;</span><a data-ctbtn="0" data-cthref="/url?sa=t&amp;rct=j&amp;q=&amp;esrc=s&amp;source=web&amp;cd=&amp;ved=2ahUKEwjnkeTetYPsAhXRBKYKHWVLDC84ChAWMAF6BAgCEAE&amp;url=https%3A%2F%2Fchuabenhthoatvidiadem.vn%2Fcach-chua-benh%2Fthuoc-dac-tri-thoat-vi-dia-dem-pid-256.html&amp;usg=AOvVaw1hHJr7wqoxZH1iiUBoOI6k" href="https://www.google.com.vn/url?sa=t&amp;rct=j&amp;q=&amp;esrc=s&amp;source=web&amp;cd=&amp;ved=2ahUKEwjnkeTetYPsAhXRBKYKHWVLDC84ChAWMAF6BAgCEAE&amp;url=https%3A%2F%2Fchuabenhthoatvidiadem.vn%2Fcach-chua-benh%2Fthuoc-dac-tri-thoat-vi-dia-dem-pid-256.html&amp;usg=AOvVaw1hHJr7wqoxZH1iiUBoOI6k" rel="noopener" style="color: rgb(102, 0, 153); text-decoration-line: none; -webkit-tap-highlight-color: rgba(0, 0, 0, 0.1); cursor: pointer; font-family: arial, sans-serif; font-size: small;" target="_blank" title="">Bác Quế uống thuốc đỡ đau nhức, bác chia sẻ địa chỉ</a></p><p><span style="font-size: 16px; text-align: justify;">Quý vị nào</span><span style="font-size:16px;">&nbsp;ở huyện Hóc Môn, TP.HCM bấm vào đây;&nbsp;&gt;&gt;&nbsp;<a href="https://chuabenhthoatvidiadem.vn/bai-viet/ket-qua-dieu-tri-thoat-vi-dia-dem/-pid-124.html" rel="noopener" style="color: rgb(102, 0, 153); text-decoration-line: none; -webkit-tap-highlight-color: rgba(0, 0, 0, 0.1); cursor: pointer; font-family: arial, sans-serif; font-size: small;" target="_blank" title="">Anh Phúc uống thuốc đỡ nhiều, chia sẻ địa chỉ</a></span></p><p><span style="font-size: 16px; text-align: justify;">Quý vị nào</span><span style="font-size:16px;">&nbsp;ở huyện Giang Thành, tỉnh Kiên Giang bấm vào đây; &gt;&gt;&nbsp;<a data-ctbtn="0" data-cthref="/url?sa=t&amp;rct=j&amp;q=&amp;esrc=s&amp;source=web&amp;cd=&amp;ved=2ahUKEwiX0tLkuoPsAhUjCqYKHbb3Azk4HhAWMAl6BAgKEAE&amp;url=https%3A%2F%2Fchuabenhthoatvidiadem.vn%2Fcach-chua-benh%2Fcach-chua-thoat-vi-dia-dem-cot-song-that-lung-pid-222.html&amp;usg=AOvVaw0XJ8uJ9mXsqTS0Q7SfV6IS" href="https://www.google.com.vn/url?sa=t&amp;rct=j&amp;q=&amp;esrc=s&amp;source=web&amp;cd=&amp;ved=2ahUKEwiX0tLkuoPsAhUjCqYKHbb3Azk4HhAWMAl6BAgKEAE&amp;url=https%3A%2F%2Fchuabenhthoatvidiadem.vn%2Fcach-chua-benh%2Fcach-chua-thoat-vi-dia-dem-cot-song-that-lung-pid-222.html&amp;usg=AOvVaw0XJ8uJ9mXsqTS0Q7SfV6IS" rel="noopener" style="color: rgb(102, 0, 153); text-decoration-line: none; -webkit-tap-highlight-color: rgba(0, 0, 0, 0.1); cursor: pointer; font-family: arial, sans-serif; font-size: small;" target="_blank" title="">Anh Nhã chữa khỏi bệnh chia sẻ địa chỉ</a></span></p><p><span style="font-size: 16px; text-align: justify;">Quý vị nào</span>&nbsp;<span style="font-size:16px;">ở t</span><span style="color: rgb(0, 0, 0); font-family: RobotoSlab-Regular, Arial, Helvetica, sans-serif; font-size: 16px; text-align: justify;">hị xã Buôn Hồ, tỉnh Đắk Lắk bấm vào đây; &gt;&gt;&nbsp;</span><span style="font-size:16px;"><a data-ctbtn="0" data-cthref="/url?sa=t&amp;rct=j&amp;q=&amp;esrc=s&amp;source=web&amp;cd=&amp;ved=2ahUKEwioxcezu4PsAhVvyYsBHYp8DkM4MhAWMAd6BAgIEAE&amp;url=https%3A%2F%2Fchuabenhthoatvidiadem.vn%2Fcach-chua-benh%2Ftri-thoat-vi-dia-dem-het-benh-het-trieu-chung-dau-lung-pid-238.html&amp;usg=AOvVaw2OybOIBXMO8Yihhzk7490r" href="https://www.google.com.vn/url?sa=t&amp;rct=j&amp;q=&amp;esrc=s&amp;source=web&amp;cd=&amp;ved=2ahUKEwioxcezu4PsAhVvyYsBHYp8DkM4MhAWMAd6BAgIEAE&amp;url=https%3A%2F%2Fchuabenhthoatvidiadem.vn%2Fcach-chua-benh%2Ftri-thoat-vi-dia-dem-het-benh-het-trieu-chung-dau-lung-pid-238.html&amp;usg=AOvVaw2OybOIBXMO8Yihhzk7490r" rel="noopener" style="color: rgb(102, 0, 153); text-decoration-line: none; -webkit-tap-highlight-color: rgba(0, 0, 0, 0.1); cursor: pointer; font-family: arial, sans-serif; font-size: small;" target="_blank" title="">Cô Hoa chữa khỏi bệnh chia sẻ địa chỉ</a></span></p><p><span style="font-size: 16px; text-align: justify;">Quý vị nào</span><span style="font-size:16px;">&nbsp;ở TP Bảo Lộc, tỉnh Lâm Đồng bấn vào đây;</span> &gt;&gt;<span style="font-size:16px;">&nbsp;<a data-ctbtn="0" data-cthref="/url?sa=t&amp;rct=j&amp;q=&amp;esrc=s&amp;source=web&amp;cd=&amp;ved=2ahUKEwioxcezu4PsAhVvyYsBHYp8DkM4MhAWMAl6BAgJEAE&amp;url=https%3A%2F%2Fchuabenhthoatvidiadem.vn%2Fcach-chua-benh%2Fthoat-vi-dia-dem-that-lung-toi-9mm-co-chua-duoc-khong-pid-208.html&amp;usg=AOvVaw2G215Y3MOOodwfyhXCsnvE" href="https://www.google.com.vn/url?sa=t&amp;rct=j&amp;q=&amp;esrc=s&amp;source=web&amp;cd=&amp;ved=2ahUKEwioxcezu4PsAhVvyYsBHYp8DkM4MhAWMAl6BAgJEAE&amp;url=https%3A%2F%2Fchuabenhthoatvidiadem.vn%2Fcach-chua-benh%2Fthoat-vi-dia-dem-that-lung-toi-9mm-co-chua-duoc-khong-pid-208.html&amp;usg=AOvVaw2G215Y3MOOodwfyhXCsnvE" rel="noopener" style="color: rgb(102, 0, 153); -webkit-tap-highlight-color: rgba(0, 0, 0, 0.1); cursor: pointer; font-family: arial, sans-serif; font-size: small;" target="_blank" title="">Anh Tuấn trị khỏi bệnh, chia sẻ&nbsp;địa chỉ</a></span></p><p><span style="font-size: 16px; text-align: justify;">Quý vị nào</span><span style="font-size:16px;">&nbsp;ở&nbsp;<span style="color: rgb(0, 0, 0); font-family: RobotoSlab-Regular, Arial, Helvetica, sans-serif;">TP Mỹ Tho, tỉnh Tiền Giang&nbsp;</span>bấm vào đây; &gt;&gt;&nbsp;</span><a data-ctbtn="0" data-cthref="/url?sa=t&amp;rct=j&amp;q=&amp;esrc=s&amp;source=web&amp;cd=&amp;ved=2ahUKEwj20OSMvYPsAhVFNKYKHV9YCA84RhAWMAB6BAgEEAE&amp;url=https%3A%2F%2Fchuabenhthoatvidiadem.vn%2Fcach-chua-benh%2Fthoat-vi-dia-dem-thoai-hoa-cot-song-that-lung-uong-thuoc-gi-pid-209.html&amp;usg=AOvVaw1zTPZJ-h4JtL2RbjbS_4EN" href="https://www.google.com.vn/url?sa=t&amp;rct=j&amp;q=&amp;esrc=s&amp;source=web&amp;cd=&amp;ved=2ahUKEwj20OSMvYPsAhVFNKYKHV9YCA84RhAWMAB6BAgEEAE&amp;url=https%3A%2F%2Fchuabenhthoatvidiadem.vn%2Fcach-chua-benh%2Fthoat-vi-dia-dem-thoai-hoa-cot-song-that-lung-uong-thuoc-gi-pid-209.html&amp;usg=AOvVaw1zTPZJ-h4JtL2RbjbS_4EN" rel="noopener" style="color: rgb(102, 0, 153); -webkit-tap-highlight-color: rgba(0, 0, 0, 0.1); cursor: pointer; font-family: arial, sans-serif; font-size: small;" target="_blank" title="">Anh Quang khỏi bệnh,&nbsp;chia sẻ địa chỉ</a></p><p><span style="font-size: 16px; text-align: justify;">Quý vị nào</span><span style="font-size: 16px;">&nbsp;ở quận Gò Vấp, TP. HCM bấm vào đây; &gt;&gt;&nbsp;</span><a href="https://chuabenhthoatvidiadem.vn/cach-chua-benh/hoi-tham-bac-cuc-chua-benh-dau-vai-gay-cach-nay-gan-2-nam-pid-34.html" rel="noopener" style="color: rgb(102, 0, 153); text-decoration-line: none; -webkit-tap-highlight-color: rgba(0, 0, 0, 0.1); cursor: pointer; font-family: arial, sans-serif; font-size: small;" target="_blank" title="">Bác Cúc chữa khỏi&nbsp;bệnh, chia sẻ địa chỉ&nbsp;</a></p><h3 style="box-sizing: border-box; margin: 20px 0px 10px; padding: 0px; border: 0px; outline: 0px; font-size: 24px; vertical-align: baseline; background-image: initial; background-position: initial; background-size: initial; background-repeat: initial; background-attachment: initial; background-origin: initial; background-clip: initial; font-family: RobotoSlab-Regular, Arial, Helvetica, sans-serif; line-height: inherit; color: rgb(0, 0, 0); max-width: 100%; text-align: justify;"><span style="font-size: 16px; text-align: justify;">Quý vị nào</span><span style="box-sizing: border-box; margin: 0px; padding: 0px; border: 0px; outline: 0px; font-size: 16px; vertical-align: baseline; background: transparent; max-width: 100%;">&nbsp;ở huyện Ba Tri, tỉnh Bến Tre&nbsp;</span><span style="font-size: 16px;">bấm vào đây; &gt;&gt;</span><span style="box-sizing: border-box; margin: 0px; padding: 0px; border: 0px; outline: 0px; font-size: 16px; vertical-align: baseline; background: transparent; max-width: 100%;">&nbsp;</span><a data-ctbtn="0" data-cthref="/url?sa=t&amp;rct=j&amp;q=&amp;esrc=s&amp;source=web&amp;cd=&amp;ved=2ahUKEwj20OSMvYPsAhVFNKYKHV9YCA84RhAWMAR6BAgCEAE&amp;url=https%3A%2F%2Fchuabenhthoatvidiadem.vn%2Fcach-chua-benh%2Fchua-benh-dau-cot-song-thoat-vi-dia-dem-la-nguyen-nhan-hang-dau-pid-143.html&amp;usg=AOvVaw1O-z0RQ3TEw6aOuXrFjGIx" href="https://www.google.com.vn/url?sa=t&amp;rct=j&amp;q=&amp;esrc=s&amp;source=web&amp;cd=&amp;ved=2ahUKEwj20OSMvYPsAhVFNKYKHV9YCA84RhAWMAR6BAgCEAE&amp;url=https%3A%2F%2Fchuabenhthoatvidiadem.vn%2Fcach-chua-benh%2Fchua-benh-dau-cot-song-thoat-vi-dia-dem-la-nguyen-nhan-hang-dau-pid-143.html&amp;usg=AOvVaw1O-z0RQ3TEw6aOuXrFjGIx" rel="noopener" style="color: rgb(102, 0, 153); text-decoration-line: none; -webkit-tap-highlight-color: rgba(0, 0, 0, 0.1); cursor: pointer; font-family: arial, sans-serif; font-size: small;" target="_blank" title="">Chị Xương chữa khỏi bệnh, chia sẻ địa chỉ&nbsp;</a></h3><p><span style="font-size: 16px; text-align: justify;">Quý bạn đọc nào</span><span style="box-sizing: border-box; margin: 0px; padding: 0px; border: 0px; outline: 0px; font-size: 16px; vertical-align: baseline; background: transparent; max-width: 100%;">&nbsp;ở thị trấn&nbsp;</span><span style="color: rgb(0, 0, 0); font-family: RobotoSlab-Regular, Arial, Helvetica, sans-serif; font-size: 16px; text-align: justify;">Cần Giuộc, tỉnh&nbsp;Long An bấm&nbsp;</span><span style="font-size: 16px;">vào đây; &gt;&gt;&nbsp;</span><a data-ctbtn="0" data-cthref="/url?sa=t&amp;rct=j&amp;q=&amp;esrc=s&amp;source=web&amp;cd=&amp;ved=2ahUKEwjYnMrHvoPsAhUMVpQKHdhzDuw4UBAWMAB6BAgEEAE&amp;url=https%3A%2F%2Fchuabenhthoatvidiadem.vn%2Fcach-chua-benh%2Fthoat-vi-dia-dem-l5-s1-gai-va-thoai-hoa-cot-song-that-lung-pid-205.html&amp;usg=AOvVaw0HzSKtyFB863Vt_azShCtb" href="https://www.google.com.vn/url?sa=t&amp;rct=j&amp;q=&amp;esrc=s&amp;source=web&amp;cd=&amp;ved=2ahUKEwjYnMrHvoPsAhUMVpQKHdhzDuw4UBAWMAB6BAgEEAE&amp;url=https%3A%2F%2Fchuabenhthoatvidiadem.vn%2Fcach-chua-benh%2Fthoat-vi-dia-dem-l5-s1-gai-va-thoai-hoa-cot-song-that-lung-pid-205.html&amp;usg=AOvVaw0HzSKtyFB863Vt_azShCtb" rel="noopener" style="color: rgb(102, 0, 153); -webkit-tap-highlight-color: rgba(0, 0, 0, 0.1); cursor: pointer; font-family: arial, sans-serif; font-size: small;" target="_blank" title="">Chị Nga chữa khỏi bệnh, chia sẻ địa chỉ</a></p><p><span style="font-size: 16px; text-align: justify;">Quý bạn đọc&nbsp;</span><span style="font-size: 16px; text-align: justify;">nào</span><span style="font-size: 16px;">&nbsp;ở&nbsp;</span><span style="color: rgb(0, 0, 0); font-family: RobotoSlab-Regular, Arial, Helvetica, sans-serif; font-size: 16px;">&nbsp;huyện Lai Vung, tỉnh Đồng Tháp</span><span style="color: rgb(0, 0, 0); font-family: RobotoSlab-Regular, Arial, Helvetica, sans-serif; font-size: 16px; text-align: justify;">&nbsp;bấm&nbsp;</span><span style="font-size: 16px;">vào đây; &gt;&gt;&nbsp;</span><a data-ctbtn="0" data-cthref="/url?sa=t&amp;rct=j&amp;q=&amp;esrc=s&amp;source=web&amp;cd=&amp;ved=2ahUKEwjYnMrHvoPsAhUMVpQKHdhzDuw4UBAWMAJ6BAgKEAE&amp;url=https%3A%2F%2Fchuabenhthoatvidiadem.vn%2Fcach-chua-benh%2Fchua-thoat-vi-dia-dem-cot-song-that-lung-khoi-han-khong-phai-mo-pid-74.html&amp;usg=AOvVaw1Bzb8cJjof6Ar_6waEfM3f" href="https://www.google.com.vn/url?sa=t&amp;rct=j&amp;q=&amp;esrc=s&amp;source=web&amp;cd=&amp;ved=2ahUKEwjYnMrHvoPsAhUMVpQKHdhzDuw4UBAWMAJ6BAgKEAE&amp;url=https%3A%2F%2Fchuabenhthoatvidiadem.vn%2Fcach-chua-benh%2Fchua-thoat-vi-dia-dem-cot-song-that-lung-khoi-han-khong-phai-mo-pid-74.html&amp;usg=AOvVaw1Bzb8cJjof6Ar_6waEfM3f" rel="noopener" style="color: rgb(102, 0, 153); text-decoration-line: none; -webkit-tap-highlight-color: rgba(0, 0, 0, 0.1); cursor: pointer; font-family: arial, sans-serif; font-size: small;" target="_blank" title="">Anh Dùm chữa khỏi bệnh, chia sẻ địa chỉ</a></p><p><span style="font-size: 16px; text-align: justify;">Quý bạn đọc&nbsp;</span><span style="font-size: 16px; text-align: justify;">nào</span><span style="font-size: 16px;">&nbsp;ở&nbsp;</span><span style="box-sizing: border-box; margin: 0px; padding: 0px; border: 0px; outline: 0px; font-size: 16px; vertical-align: baseline; background: transparent; max-width: 100%;">huyện Châu Thành, tỉnh Bến Tre</span><span style="color: rgb(0, 0, 0); font-family: RobotoSlab-Regular, Arial, Helvetica, sans-serif; font-size: 16px; text-align: justify;">&nbsp;bấm&nbsp;</span><span style="font-size: 16px;">vào đây; &gt;&gt;&nbsp;</span><a data-ctbtn="0" data-cthref="/url?sa=t&amp;rct=j&amp;q=&amp;esrc=s&amp;source=web&amp;cd=&amp;ved=2ahUKEwjYnMrHvoPsAhUMVpQKHdhzDuw4UBAWMAN6BAgDEAE&amp;url=https%3A%2F%2Fchuabenhthoatvidiadem.vn%2Fcach-chua-benh%2Fbenh-thoat-vi-dia-dem-cot-song-co-nhieu-tang-co-chua-duoc-khong-pid-68.html&amp;usg=AOvVaw1JbElGf7eS07-2ycKDaqHF" href="https://www.google.com.vn/url?sa=t&amp;rct=j&amp;q=&amp;esrc=s&amp;source=web&amp;cd=&amp;ved=2ahUKEwjYnMrHvoPsAhUMVpQKHdhzDuw4UBAWMAN6BAgDEAE&amp;url=https%3A%2F%2Fchuabenhthoatvidiadem.vn%2Fcach-chua-benh%2Fbenh-thoat-vi-dia-dem-cot-song-co-nhieu-tang-co-chua-duoc-khong-pid-68.html&amp;usg=AOvVaw1JbElGf7eS07-2ycKDaqHF" rel="noopener" style="color: rgb(102, 0, 153); text-decoration-line: none; -webkit-tap-highlight-color: rgba(0, 0, 0, 0.1); cursor: pointer; font-family: arial, sans-serif; font-size: small;" target="_blank" title="">Anh Lê chữa khỏi bệnh, chi sẻ địa chỉ&nbsp;</a></p><p><span style="font-size: 16px; text-align: justify;">Quý bạn đọc&nbsp;</span><span style="font-size: 16px; text-align: justify;">nào</span><span style="font-size: 16px;">&nbsp;ở&nbsp;</span><span style="color: rgb(0, 0, 0); font-family: RobotoSlab-Regular, Arial, Helvetica, sans-serif; font-size: 16px; text-align: justify;">&nbsp;</span><span style="color: rgb(0, 0, 0); font-family: RobotoSlab-Regular, Arial, Helvetica, sans-serif; font-size: 16px;">huyện Cầu Kè, tỉnh Trà Vinh&nbsp;</span><span style="color: rgb(0, 0, 0); font-family: RobotoSlab-Regular, Arial, Helvetica, sans-serif; font-size: 16px; text-align: justify;">bấm&nbsp;</span><span style="font-size: 16px;">vào đây; &gt;&gt;&nbsp;</span><a data-ctbtn="0" data-cthref="/url?sa=t&amp;rct=j&amp;q=&amp;esrc=s&amp;source=web&amp;cd=&amp;ved=2ahUKEwjYnMrHvoPsAhUMVpQKHdhzDuw4UBAWMAd6BAgGEAE&amp;url=https%3A%2F%2Fchuabenhthoatvidiadem.vn%2Fcach-chua-benh%2Fthuoc-chua-thoat-vi-dia-dem-toi-uong-20-thang-het-dau-roi-thay-pid-127.html&amp;usg=AOvVaw2u5HzYzdTeButj_KLlb3I1" href="https://www.google.com.vn/url?sa=t&amp;rct=j&amp;q=&amp;esrc=s&amp;source=web&amp;cd=&amp;ved=2ahUKEwjYnMrHvoPsAhUMVpQKHdhzDuw4UBAWMAd6BAgGEAE&amp;url=https%3A%2F%2Fchuabenhthoatvidiadem.vn%2Fcach-chua-benh%2Fthuoc-chua-thoat-vi-dia-dem-toi-uong-20-thang-het-dau-roi-thay-pid-127.html&amp;usg=AOvVaw2u5HzYzdTeButj_KLlb3I1" rel="noopener" style="color: rgb(102, 0, 153); text-decoration-line: none; -webkit-tap-highlight-color: rgba(0, 0, 0, 0.1); cursor: pointer; font-family: arial, sans-serif; font-size: small;" target="_blank" title="">Chị Linh điều trị khỏi bệnh, chi sẻ</a></p><p><span style="font-size: 16px;">Ai ở&nbsp;</span><span style="color: rgb(0, 0, 0); font-family: RobotoSlab-Regular, Arial, Helvetica, sans-serif; font-size: 16px; text-align: justify;">&nbsp;TP Rạch Giá, tỉnh Kiên Giang Việt Nam&nbsp;</span><span style="color: rgb(0, 0, 0); font-family: RobotoSlab-Regular, Arial, Helvetica, sans-serif; font-size: 16px; text-align: justify;">bấm&nbsp;</span><span style="font-size: 16px;">vào đây; &gt;&gt;&nbsp;</span><a data-ctbtn="0" data-cthref="/url?sa=t&amp;rct=j&amp;q=&amp;esrc=s&amp;source=web&amp;cd=&amp;ved=2ahUKEwjYnMrHvoPsAhUMVpQKHdhzDuw4UBAWMAl6BAgJEAE&amp;url=https%3A%2F%2Fchuabenhthoatvidiadem.vn%2Fcach-chua-benh%2Fkhoi-thoat-vi-dia-dem-cot-song-that-lung-sau-hon-1-thang-dieu-tri-pid-37.html&amp;usg=AOvVaw1sX5Ia5zvkBDTAcdosUWAB" href="https://www.google.com.vn/url?sa=t&amp;rct=j&amp;q=&amp;esrc=s&amp;source=web&amp;cd=&amp;ved=2ahUKEwjYnMrHvoPsAhUMVpQKHdhzDuw4UBAWMAl6BAgJEAE&amp;url=https%3A%2F%2Fchuabenhthoatvidiadem.vn%2Fcach-chua-benh%2Fkhoi-thoat-vi-dia-dem-cot-song-that-lung-sau-hon-1-thang-dieu-tri-pid-37.html&amp;usg=AOvVaw1sX5Ia5zvkBDTAcdosUWAB" rel="noopener" style="color: rgb(102, 0, 153); text-decoration-line: none; -webkit-tap-highlight-color: rgba(0, 0, 0, 0.1); cursor: pointer; font-family: arial, sans-serif; font-size: small;" target="_blank" title="">Bà Hảo trị khỏi bệnh, chia sẻ địa chỉ&nbsp;</a></p><p><span style="font-size: 16px;">Ai ở</span><span style="color: rgb(0, 0, 0); font-family: RobotoSlab-Regular, Arial, Helvetica, sans-serif; font-size: 16px; text-align: justify;">&nbsp;</span><span style="box-sizing: border-box; margin: 0px; padding: 0px; border: 0px; outline: 0px; font-size: 16px; vertical-align: baseline; background: transparent; max-width: 100%;">Tp Bảo Lộc, tỉnh Lâm Đồng, bấm&nbsp;</span><span style="font-size: 16px;">vào đây; &gt;&gt;&nbsp;</span><a data-ctbtn="0" data-cthref="/url?sa=t&amp;rct=j&amp;q=&amp;esrc=s&amp;source=web&amp;cd=&amp;ved=2ahUKEwi7sJb-wIPsAhVBL6YKHQiHDMc4WhAWMAB6BAgDEAE&amp;url=https%3A%2F%2Fchuabenhthoatvidiadem.vn%2Fcach-chua-benh%2Fthuoc-chua-thoat-vi-dia-dem-tot-qua-em-het-te-chan-roi-bac-si-pid-236.html&amp;usg=AOvVaw2eNN39e3u82IKV3Oo4lAWl" href="https://www.google.com.vn/url?sa=t&amp;rct=j&amp;q=&amp;esrc=s&amp;source=web&amp;cd=&amp;ved=2ahUKEwi7sJb-wIPsAhVBL6YKHQiHDMc4WhAWMAB6BAgDEAE&amp;url=https%3A%2F%2Fchuabenhthoatvidiadem.vn%2Fcach-chua-benh%2Fthuoc-chua-thoat-vi-dia-dem-tot-qua-em-het-te-chan-roi-bac-si-pid-236.html&amp;usg=AOvVaw2eNN39e3u82IKV3Oo4lAWl" rel="noopener" style="color: rgb(102, 0, 153); text-decoration-line: none; -webkit-tap-highlight-color: rgba(0, 0, 0, 0.1); cursor: pointer; font-family: arial, sans-serif; font-size: small;" target="_blank" title="">Anh Nhiên điều trị khỏi bệnh, chia sẻ địa chỉ&nbsp;</a></p><p style="text-align: justify; "><span style="font-size: 16px;">Ai ở phường 25,&nbsp;q</span><span style="color: rgb(0, 0, 0); font-family: RobotoSlab-Regular, Arial, Helvetica, sans-serif; font-size: 16px;">uận Bình Thạnh, TP. HCM&nbsp;</span><span style="color: rgb(0, 0, 0); font-family: RobotoSlab-Regular, Arial, Helvetica, sans-serif; font-size: 16px; text-align: justify;">bấm&nbsp;</span><span style="font-size: 16px;">vào đây; &gt;&gt;&nbsp;</span><a data-ctbtn="0" data-cthref="/url?sa=t&amp;rct=j&amp;q=&amp;esrc=s&amp;source=web&amp;cd=&amp;ved=2ahUKEwi7sJb-wIPsAhVBL6YKHQiHDMc4WhAWMAJ6BAgCEAE&amp;url=https%3A%2F%2Fchuabenhthoatvidiadem.vn%2Fcach-chua-benh%2Fchua-thoat-vi-dia-dem-tot-nguoi-benh-ke-gia-toi-gap-thay-som-hon-pid-229.html&amp;usg=AOvVaw2TIvmw3f5HhFYN1tti0vBP" href="https://www.google.com.vn/url?sa=t&amp;rct=j&amp;q=&amp;esrc=s&amp;source=web&amp;cd=&amp;ved=2ahUKEwi7sJb-wIPsAhVBL6YKHQiHDMc4WhAWMAJ6BAgCEAE&amp;url=https%3A%2F%2Fchuabenhthoatvidiadem.vn%2Fcach-chua-benh%2Fchua-thoat-vi-dia-dem-tot-nguoi-benh-ke-gia-toi-gap-thay-som-hon-pid-229.html&amp;usg=AOvVaw2TIvmw3f5HhFYN1tti0vBP" rel="noopener" style="color: rgb(102, 0, 153); text-decoration-line: none; -webkit-tap-highlight-color: rgba(0, 0, 0, 0.1); cursor: pointer; font-family: arial, sans-serif; font-size: small;" target="_blank" title="">Bà Hoa chữa bệnh đỡ nhiều, chia sẻ&nbsp;</a></p><p><span style="font-size: 16px; text-align: justify;">Quý bạn đọc&nbsp;</span><span style="font-size: 16px; text-align: justify;">nào</span><span style="font-size: 16px;">&nbsp;ở TP Mỹ Tho, tỉnh Tiền Giang</span><span style="color: rgb(0, 0, 0); font-family: RobotoSlab-Regular, Arial, Helvetica, sans-serif; font-size: 16px; text-align: justify;">&nbsp;bấm&nbsp;</span><span style="font-size: 16px;">vào đây; &gt;&gt;&nbsp;</span><a data-ctbtn="0" data-cthref="/url?sa=t&amp;rct=j&amp;q=&amp;esrc=s&amp;source=web&amp;cd=&amp;ved=2ahUKEwi7sJb-wIPsAhVBL6YKHQiHDMc4WhAWMAN6BAgEEAE&amp;url=https%3A%2F%2Fchuabenhthoatvidiadem.vn%2Fcach-chua-benh%2Fvao-google-go-chu-chua-thoat-vi-dia-dem-gap-luong-y-nguyen-van-minh-pid-242.html&amp;usg=AOvVaw3bC8btW_2HMrF5fj1lV-LU" href="https://www.google.com.vn/url?sa=t&amp;rct=j&amp;q=&amp;esrc=s&amp;source=web&amp;cd=&amp;ved=2ahUKEwi7sJb-wIPsAhVBL6YKHQiHDMc4WhAWMAN6BAgEEAE&amp;url=https%3A%2F%2Fchuabenhthoatvidiadem.vn%2Fcach-chua-benh%2Fvao-google-go-chu-chua-thoat-vi-dia-dem-gap-luong-y-nguyen-van-minh-pid-242.html&amp;usg=AOvVaw3bC8btW_2HMrF5fj1lV-LU" rel="noopener" style="color: rgb(102, 0, 153); -webkit-tap-highlight-color: rgba(0, 0, 0, 0.1); cursor: pointer; font-family: arial, sans-serif; font-size: small;" target="_blank" title="">Anh Phong chữa khỏi bệnh, chia sẻ địa chỉ</a></p><p><span style="font-size: 16px; text-align: justify;">Quý bạn đọc&nbsp;</span><span style="font-size: 16px; text-align: justify;">nào</span><span style="font-size: 16px;">&nbsp;ở&nbsp;</span><span style="box-sizing: border-box; margin: 0px; padding: 0px; border: 0px; outline: 0px; font-size: 16px; vertical-align: baseline; background: transparent; max-width: 100%;">phường Bến Thành, Quận 1, TP.HCM</span><span style="color: rgb(0, 0, 0); font-family: RobotoSlab-Regular, Arial, Helvetica, sans-serif; font-size: 16px; text-align: justify;">&nbsp;bấm&nbsp;</span><span style="font-size: 16px;">vào đây; &gt;&gt;&nbsp;</span><a data-ctbtn="0" data-cthref="/url?sa=t&amp;rct=j&amp;q=&amp;esrc=s&amp;source=web&amp;cd=&amp;ved=2ahUKEwi7sJb-wIPsAhVBL6YKHQiHDMc4WhAWMAZ6BAgHEAE&amp;url=https%3A%2F%2Fchuabenhthoatvidiadem.vn%2Fcach-chua-benh%2Fchi-van-o-quan-1-tp-hcm-khoi-thoat-vi-dia-dem-khong-tai-phat--pid-19.html&amp;usg=AOvVaw0hVpHnPPfU9Tdt65XbTmCd" href="https://www.google.com.vn/url?sa=t&amp;rct=j&amp;q=&amp;esrc=s&amp;source=web&amp;cd=&amp;ved=2ahUKEwi7sJb-wIPsAhVBL6YKHQiHDMc4WhAWMAZ6BAgHEAE&amp;url=https%3A%2F%2Fchuabenhthoatvidiadem.vn%2Fcach-chua-benh%2Fchi-van-o-quan-1-tp-hcm-khoi-thoat-vi-dia-dem-khong-tai-phat--pid-19.html&amp;usg=AOvVaw0hVpHnPPfU9Tdt65XbTmCd" rel="noopener" style="color: rgb(102, 0, 153); -webkit-tap-highlight-color: rgba(0, 0, 0, 0.1); cursor: pointer; font-family: arial, sans-serif; font-size: small;" target="_blank" title="">Chị Vân chữa khỏi bệnh, chia sẻ&nbsp;</a></p><p><span style="font-size: 20px;"><span style="font-size:16px;">&nbsp;Có thể bạn quan tâm</span>:&nbsp;</span><a href="https://chuabenhthoatvidiadem.vn/cach-chua-benh/thoat-vi-dia-dem-bao-lau-thi-khoi-pid-272.html" rel="noopener" style="color: rgb(102, 0, 153); text-decoration-line: none; -webkit-tap-highlight-color: rgba(0, 0, 0, 0.1); cursor: pointer; font-family: arial, sans-serif; font-size: small;" target="_blank" title="">Chữa thoát vị đĩa đệm bao lâu thì khỏi</a></p><p style="box-sizing: border-box; margin: 0px 0px 10px; padding: 0px; border: 0px; outline: 0px; font-size: 16px; vertical-align: baseline; background-image: initial; background-position: initial; background-size: initial; background-repeat: initial; background-attachment: initial; background-origin: initial; background-clip: initial; max-width: 100%; color: rgb(0, 0, 0); font-family: RobotoSlab-Regular, Arial, Helvetica, sans-serif;"><span style="box-sizing: border-box; margin: 0px; padding: 0px; border: 0px; outline: 0px; vertical-align: baseline; background: transparent; max-width: 100%; text-align: justify;">Chữa thoát vị đĩa đệm gặp Lương y Nguyễn Văn Minh, địa chỉ&nbsp;856/6 đường Quang Trung, phường 8, Quận Gò Vấp, TP.HCM. Điện thoại: 028.62951367 - Di Động: 0913503552</span></p><p style="box-sizing: border-box; margin: 0px 0px 10px; padding: 0px; border: 0px; outline: 0px; font-size: 16px; vertical-align: baseline; background-image: initial; background-position: initial; background-size: initial; background-repeat: initial; background-attachment: initial; background-origin: initial; background-clip: initial; max-width: 100%; color: rgb(0, 0, 0); font-family: RobotoSlab-Regular, Arial, Helvetica, sans-serif;"><span style="box-sizing: border-box; margin: 0px; padding: 0px; border: 0px; outline: 0px; vertical-align: baseline; background: transparent; max-width: 100%; text-align: justify;">Trang web giới thiệu cách chữa&nbsp;</span><a data-ved="2ahUKEwjTv828lPj3AhXaqFYBHYknBQEQFnoECAIQAQ" href="https://chuabenhthoatvidiadem.vn/" ping="/url?sa=t&amp;source=web&amp;rct=j&amp;url=https://chuabenhthoatvidiadem.vn/&amp;ved=2ahUKEwjTv828lPj3AhXaqFYBHYknBQEQFnoECAIQAQ" style="color: rgb(26, 13, 171); text-decoration-line: none; -webkit-tap-highlight-color: rgba(0, 0, 0, 0.1); outline: 0px; font-family: arial, sans-serif; font-size: small;" title="">Thoát Vị Đĩa Đệm</a>&nbsp;bằng đông y;</p><h3 class="r" style="box-sizing: border-box; margin: 0px; padding: 0px; border: 0px; outline: 0px; font-size: 18px; vertical-align: baseline; background-image: initial; background-position: initial; background-size: initial; background-repeat: initial; background-attachment: initial; background-origin: initial; background-clip: initial; font-family: RobotoSlab-Regular, Arial, Helvetica, sans-serif; line-height: 1.1; color: rgb(0, 0, 0); max-width: 100%; overflow: hidden; text-overflow: ellipsis; white-space: nowrap;"><a href="https://chuabenhthoatvidiadem.vn/" style="box-sizing: border-box; margin: 0px; padding: 0px; border: 0px; outline: 0px; vertical-align: baseline; background: transparent; color: rgb(102, 0, 153); text-decoration-line: none; transition: all 406ms ease-out 0s; max-width: 100%; cursor: pointer;" target="_blank" title="">Chữa Khỏi Thoát Vị Đĩa Đệm</a></h3><div class="s" style="box-sizing: border-box; margin: 0px; padding: 0px; border: 0px; outline: 0px; font-size: 16px; vertical-align: baseline; background-image: initial; background-position: initial; background-size: initial; background-repeat: initial; background-attachment: initial; background-origin: initial; background-clip: initial; position: relative; max-width: 48em; font-family: RobotoSlab-Regular, Arial, Helvetica, sans-serif; color: rgb(84, 84, 84); line-height: 18px;"><div class="f kv _SWb" style="box-sizing: border-box; margin: 0px; padding: 0px; border: 0px; outline: 0px; font-size: small; vertical-align: baseline; background: transparent; position: relative; max-width: 100%; color: rgb(128, 128, 128); height: 18px; line-height: 16px; font-family: arial, sans-serif; white-space: nowrap;"><cite class="_Rm" style="box-sizing: border-box; margin: 0px; padding: 0px; border: 0px; outline: 0px; font-size: 14px; vertical-align: baseline; background: transparent; max-width: 100%; color: rgb(0, 102, 33); font-style: normal;">chuabenhthoatvidiadem.vn</cite></div></div>]]></content:encoded>
						<wfw:commentRss></wfw:commentRss>
						<slash:comments>0</slash:comments>
					</item>
					</channel>
</rss>
